20 ANALYSIS: SOLITARY PULMONARY NODULE

A COMMON SCENARIO

Solitary pulmonary nodule (SPN):

“to qualify as a nodule or cyst, a pulmonary lesion must present a reasonably sharp outline. Hence, a focal infiltrate with ill-defined borders is excluded…. I have set no upper limit of size for a pulmonary nodule, though I usually call the big ones a mass”1.

“a focal round or oval area of increased opacity in the lung that measures less than 3.0 cm in diameter”2.

A COMMON SCENARIO

An otherwise generally well patient has a CXR (e.g. for high blood pressure). A SPN is an unexpected finding.

Frequently, the clinical history will make a particular diagnosis highly likely. Examples: a man of 65 who has smoked two packs a day for 40 years—the default diagnosis will be a primary bronchial carcinoma. A history of carcinoma of the breast/kidney/colon some years previously will make a secondary deposit likely.

On the other hand there may be no clue from the history. In this case there are three steps:

1. Remind oneself of the causes of a SPN (Table 20.1).
2. Clinical assessment.
3. CXR analysis. This includes a search for CXR features which indicate a benign lesion and makes a CT examination unnecessary (Table 20.3).

Table 20.1 Causes of a SPN.

Most common
image Benign granuloma (previous infection)
Less common
image Bronchial carcinoma
image Metastasis
image Organising pneumonia
image Hamartoma
Much less common
image Mucoid impaction
image Abscess
image Infected bulla
image Infarct
image Haematoma
image Rheumatoid nodule
image Wegener’s granuloma
image Carcinoid
image Sarcoid granuloma
Very rare
image Arterio-venous malformation
image Intrapulmonary lipoma
image Amyloid
image Hydatid cyst

Table 20.3 SPN: benign characteristics.

CXR feature Comment
Size
1. Almost all benign nodules are less than 3 cm in diameter.
2. A nodule of less than 1 cm in diameter is very difficult to visualise7. Apply this maxim: “this nodule is less than 1 cm in diameter but I can see it very well indeed. This means that it is almost certainly calcified and thus it will be benign.”
Shrinking Rapid reduction in size in days or weeks on interval CXRs — the lesion is benign (often a resolving infection).
Calcification Benign if central, shaggy, laminated, popcorn, or stippled.
Presence of Branching Tubular branching leading up to the nodule suggests:
image an arterio-venous malformation, or
image a pulmonary venous varix, or
image mucoid impaction within a bronchus
Stable No change over two years is a strong feature suggesting a benign lesion8. Not an absolute guarantor5,6 but indicates a high probability.
image

Figure 20.1 A SPN is a common finding on adult CXRs. Approximately 60–70% are benign. Some 30–40% are malignant2-4.

CAUSES OF A SPN

A solitary pulmonary nodule is a very common finding on a CXR in adults. The vast majority are benign lesions (Table 20.1), usually old granulomas2-4.

CLINICAL ASSESSMENT

CLINICAL DETAILS ARE CRUCIAL

image Is the clinical history helpful? Sometimes a recent low grade chest infection may result in a residual area of pneumonia. A history of asthma will raise the possibility of mucoid impaction. Perhaps there has been a recent injury to the chest, e.g. a haematoma.
image Is the clinical examination abnormal? Is there a mole or skin tag on the chest wall? A breast lump, an abdominal mass or an enlarged liver would raise the likelihood of malignancy.

Table 20.2 Traps: simulated pulmonary nodules.

image Overlap of normal pulmonary vessels
image Healing rib fracture
image Rib density—benign
image Rib density—malignant
image Cartilage calcification — first rib
image Pleural plaque
image Encysted pleural fluid
image Electrocardiogram electrode pad
image Nipple shadow
image Skin excrescence/mole
image Clothing artefact

STEP-BY-STEP CXR ANALYSIS

Step 1: Exclude any of the common traps (Table 20.2). A nodule may not be in the lung. A lateral CXR will confirm (or exclude) the lesion as intrapulmonary.
Step 2: Apply this rule: “the best next step is comparison with a previous CXR”. This will often remove the need for any further investigation.
image If a CXR two or more years prior shows that the lesion has not changed in size…the SPN can be assumed to be benign, usually a benign granuloma. This is not a 100% guarantee5,6. Nevertheless, it is a highly reliable rule of thumb. Lack of growth implies a long doubling time (see opposite) which generally indicates a benign histology. This criterion has even greater power if earlier images (i.e. beyond two years) are also available for comparison.
image If the previous CXR was clear… the SPN is an active lesion. It is highly likely to be malignant or inflammatory.
Step 3: No previous CXR available: look for benign features (Table 20.3).
Step 4: No previous CXR available: look for malignant features (Table 20.4).
Step 5: Is CT of the thorax necessary? Table 20.6 provides guidelines.

Doubling time—a summary5,9-12

The growth rate of a lesion is often expressed in terms of doubling time (i.e. the time in which a nodule doubles in volume12). It has been estimated that a nodule goes through some 30 doublings before it reaches 1 cm in diameter and becomes readily detectable on a CXR13. Bronchial carcinomas usually take 1–18 months to double in size.

Table 20.4 SPN: malignant characteristics.

CXR feature Comment
Size Diameter of more than 3 cm is very suggestive of malignancy.
Margin Ill-defined or spiculated border is a strong pointer towards malignancy.
Strands Radiating strands at the margin — strong probability of a primary carcinoma… but not an absolute certainty.
Calcification position9,10 Eccentric calcification raises the suspicion of a scar carcinoma.

Rule of thumb: A doubling time of less than one month, or alternatively more than 18 months, suggests benign disease. This maxim is a helpful guideline, but there are occasional exceptions.

image

Figure 20.2 (a) Central calcification in a SPN is usually a benign feature. (b) Eccentric calcification raises the suspicion of a carcinoma arising in an old scar.

image

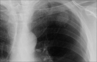
Figure 20.3 SPN at the apex of the left lung. The margin is slightly irregular and ill-defined. These two features are suggestive of a primary bronchial carcinoma.

image

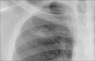
Figure 20.4 SPNs. In (a) the margin is irregular. In (b) a tail sign is present. A “tail” is a strand-like or linear projection of tissue extending outwards from the margin of a nodule. Either (a) or (b) should raise the strong suspicion of malignancy.

image

Figure 20.5 The right upper zone nodule has a cavity within it. Some benign lesions do cavitate, e.g. abscess or rheumatoid nodule. All the same, in the appropriate clinical setting, cavitation should always suggest the probability of a squamous carcinoma. Subsequently confirmed squamous carcinoma of the bronchus.

Table 20.5 SPN: unreliable characteristics… the indeterminate nodule.

CXR feature Comment
Smooth margin
image This is common with benign disease. Nevertheless, some primary carcinomas do have smooth margins.
image A metastasis usually has a smooth margin.
Lobulated outline May be present in benign as well as in malignant lesions.
The tail sign Can occur in benign and malignant lesions11 (Fig. 20.4).
Cavitation Abscesses cavitate. Squamous cell carcinomas cavitate.
Doubling time/rate of growth
image Some granulomas grow slowly.
image Some primary carcinomas grow very slowly… others grow very rapidly.

Table 20.6 Is CT necessary?

CXR analysis Feature CT indicated?
Step 1 An artefact is confirmed (Table 20.2) No
Step 2 Lesion unchanged over the previous two years No (very occasionally, the clinical context—age, smoking history— will justify CT)
Lesion has increased in size over the previous two years Yes
Step 3 Classic benign features (Table 20.3) No
Step 4
image Classic malignant features (Table 20.4)
Yes
image Indeterminate features (Table 20.5)
Yes

AN INTERESTING LESION—PULMONARY HAMARTOMA2,10

Pathology

Hamartomas are benign tumours found in various organs. All hamartomas contain cells of some of the tissues within the organ of origin. A pulmonary hamartoma invariably contains cartilage and bronchial epithelium; it often contains fat.

Clinical features

Usually an incidental, asymptomatic finding. Tuberous sclerosis is a rare association.

The CXR

image 90% are situated peripherally in the lung. Very occasionally it is endobronchial.
image Solitary.
image Most are less than 3 cm in diameter. Exceptionally—may be as large as 10 cm.
image Margins sharp and well-defined.
image 10–20% contain calcification which may be stippled or popcorn shaped (Fig. 20.6)
image Interval CXRs—slow growth does occur.
image NB: fat within a SPN on CT is pathognomic of a hamartoma.
image

Figure 20.6 Some hamartomas contain visible calcification. It is often stippled or popcorn shaped. This figure shows the appearance of popcorn calcification. Note the similarity to a popped kernel of corn1.

REFERENCES

1. Felson B. Chest Roentgenology. Philadelphia, PA: WB Saunders, 1973;314-329.

2. Erasmus JJ, McAdams HP, Connolly JE. Solitary pulmonary nodules: Part I. Morphologic evaluation for differentiation of benign and malignant lesions. Radiographics. 2000;20:43-58.

3. Gurney JW. Determining the likelihood of malignancy in solitary pulmonary nodules with Bayesian analysis. Radiology. 1993;186:405-413.

4. Lillington GA, Caskey CI. Evaluation and management of solitary and multiple pulmonary nodules. Clin Chest Med. 1993;14:111-119.

5. Sherrier RH, Chiles C, Johnson GA, et al. Differentation of benign from malignant pulmonary nodules with digitized chest radiographs. Radiology. 1987;162:645-649.

6. Yankelevitz DF, Henschke CJ. Does 2-year stability imply that pulmonary nodules are benign? AJR. 1997;168:325-328.

7. Kundel HL. Predictive value and threshold detectability of lung tumours. Radiology. 1981;139:25-29.

8. Good CA. Roentgenologic appraisal of solitary pulmonary nodules. Minn Med. 1962;45:157-160.

9. Hansell DM, Armstrong P, Lynch DA, McAdams HP. Imaging of Diseases of the Chest, 4th ed. St Louis, MO: Mosby, 2005.

10. Collins J, Stern EJ. Chest Radiology: The Essentials. Philadelphia, PA: Lippincott Williams & Wilkins, 1999.

11. Webb WR. The pleural tail sign. Radiology. 1978;127:309-313.

12. Reed JC. Chest Radiology: Plain Film Patterns and Differential Diagnoses, 5th Edition. Philadelphia, PA: Mosby, 2003.

13. Collins VP, Loeffler RK, Tivey H. Observations on growth rates of human tumors. Am J Roentgenol. 1956;76:988-1000.

14. Erasmus JJ, McAdams HP, Connolly JE. Solitary pulmonary nodules: Part II. Evaluation of the indeterminate nodule. Radiographics. 2000;20:59-66.

15. Dewan NA, Shehan CJ, Reeb SD, et al. Likelihood of malignancy in a solitary pulmonary nodule: comparison of Bayesian analysis and FDG–PET scan. Chest. 1997;112:416-422.

16. Woodring JH, Fried AM. Significance of wall thickness in solitary cavities of the lung: a follow-up study. AJR. 1983;140:473-474.