21 ANALYSIS: MULTIPLE PULMONARY NODULES

Multiple pulmonary nodules:

“The term is generally accepted as indicating several or many separate and rounded lung densities varying in size up to 30 mm in diameter.”

“miliary pattern (nodules)…a collection of tiny discrete pulmonary opacities that are generally uniform in size, widespread in distribution, and each of which is 2 mm or less in diameter.”1

TWO SCENARIOS

Scenario 1: A CXR shows multiple nodules. It is highly likely that the patient’s clinical history will suggest the likely diagnosis. Examples:

image A young intravenous drug addict…lung abscesses.
image A history of renal carcinoma…metastases.

Scenario 2: The clinical presentation does not provide an obvious clue to the likely diagnosis. We need to remind ourselves of:

1. The possible causes of multiple pulmonary nodules(Table 21.1).
2. Specific radiographic features that will suggest either: (a) the likely diagnosis; or (b) a snappy—but limited—differential diagnosis.

Table 21.1 Causes of multiple pulmonary nodules26.

Inflammatory/Infective
image Granulomas
image Septic emboli/lung abscesses7
image Fungal pneumonia
image Tuberculosis
image miliary
image bronchopneumonia
image Chickenpox pneumonia
Neoplastic
image Metastases36,8
image Bronchioloalveolar cell carcinoma
image Lymphoma
image Kaposi’s sarcoma
image Mycosis fungoides
Autoimmune disease
image Rheumatoid nodules
image Wegener’s granulomatosis9
Vascular
image Arteriovenous malformations
image Pulmonary infarcts
Other
image Sarcoidosis
image Silicosis
image Langerhans cell histiocytosis (granulomatosis)

image

Figure 21.1 (a) Multiple pulmonary nodules. The size of the nodules usually vary. Strictly speaking, a nodule has a maximum diameter of 30 mm. Above 30 mm an opacity is conventionally referred to as a mass. Some descriptive flexibility is accepted, particularly if most of the lesions are less than 30 mm in diameter. (b) Opacities outside the lung can simulate pulmonary nodules. These include healing rib fractures (1), old rib fractures (2), and pleural plaques (3).

CAUSES OF MULTIPLE NODULES

A CXR showing clinically unexpected nodules is unusual. The default diagnosis is metastatic disease. In most instances the clinical history and examination will indicate whether an alternative diagnosis is likely.

Table 21.2 Traps10: simulated pulmonary nodules.

image Nipples
image Multiple cutaneous lesions
image Subcutaneous lesions
image e.g. cysticercosis
image Pleural plaques (asbestos related)
image Bone islands in the ribs
image Healing rib fractures
image Electrocardiogram electrode pads

NODULES—CXR FEATURES

Particular appearances will suggest a fairly limited differential diagnosis(Table 21.3).

Table 21.3 Features and potential diagnoses.

Morphology The possibilities
Calcified nodules
image Tuberculous granulomas
image Histoplasmosis
image Previous chickenpox pneumonia
image Coccidioidomycosis
image Metastases
image osteogenic sarcoma, chondrosarcoma
image Mitral stenosis with long standing elevated pulmonary venous pressure
image Dust inhalation diseases. Silicosis
Miliary nodules
“having the appearance of millet seeds”
image Infection
image tuberculosis, histoplasmosis
image Metastases
image thyroid or breast carcinoma, melanoma, choriocarcinoma
image Sarcoid
image Silicosis
Cavitating nodules
image Abscesses
image Staphylococcus, Klebsiella, Streptococcus, tuberculosis, fungal infection
image hydatid disease
image Metastases
image squamous cell carcinomas, sarcomas
image Areas of infarction
image Rheumatoid nodules
image Wegener’s granulomatosis
image Focal lung contusions
Beware
image Imposters—Notcavitation
image multiple small bullae
image cystic bronchiectasis

NODULES—A RULE OR TWO

Several useful rules of thumb can be applied (Table 21.4).

Table 21.4 Particular pathologies — CXR features.

Pathology Features
Metastases
image Margins are usually well-defined
image Occasionally ill-defined: choriocarcinoma
Abscesses
image Ill-defined margins
image Edges may become harder and sharper when treated with antibiotics
Rheumatoid nodules
image Can disappear spontaneuosly and later reappear
image Reappearance may be in different positions

image

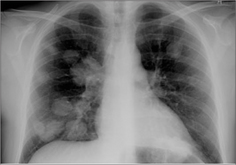
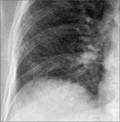
Figure 21.2 Multiple nodules. Metastases from a renal cell carcinoma. The appearances are typical of metastases–rounded lesions with fairly well-defined margins.

image

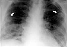
Figure 21.3 Multiple nodules. Male. Age 38. Intravenous drug user. Endocarditis. Lung abscesses. Two of the nodules are cavitating (arrows).

image

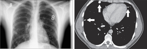
Figure 21.4 Multiple small nodules. Some are much smaller than 10 mm but are readily visible. This suggests that they are calcified. Indeed, they do contain calcification as shown on the CT section (arrows). Secondary tumours from a primary osteogenic sarcoma.

image

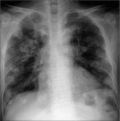
Figure 21.5 Multiple miliary nodules. Tuberculosis. These very small densities (2 mm diameter) are visible because the lung interstitium has hundreds/thousands of exceptionally tiny lesions superimposed one in front of another.

image

Figure 21.6 Male. Cavitating nodules. Metastatic lesions from a primary tumour of the larynx. Metastases that cavitate are usually squamous cell lesions: in men, frequently a head and neck primary tumour; in women, often carcinoma of the cervix.

INTERESTING NODULES—CHICKENPOX INFECTION11

Aetiology/pathology

Highly infectious viral infection (varicella). Spread by droplet infection/ruptured skin lesions/contact with herpes zoster.

Clinical features

Children are most commonly affected and it is then a relatively mild illness. Infected adults can be very ill. Characteristic rash appears centrally starting on the trunk and spreads centrifugally. In adults, chickenpox pneumonia may occur; it is a very rare complication in children. Pneumonia can be debilitating and occasionally fatal, particularly in immunocompromised individuals.

The CXR

image Chickenpox pneumonia:
image Extensive, diffuse, ill-defined, air space shadowing.
image Subsequently: development of multiple calcified nodules in the lungs. Interestingly, an adult with chickenpox may subsequently develop calcified nodules whether or not pneumonia has complicated the illness.
image The calcified nodules are characteristically:
image Scattered—mainly in the mid and lower zones.
image Small—less than 3 mm in diameter.

image

Figure 21.7 Multiple small–very small–calcified nodules were present in the mid and upper zones of both lungs. One of the nodules is indicated by the arrow. Previous chickenpox pneumonia.

REFERENCES

1. Glossary of terms for thoracic radiology: recommendations of the Nomenclature Committee of the Fleischner Society. AJR. 1984;143:509-517.

2. Zitting AJ. Prevalence of Radiographic small lung opacities and pleural abnormalities in a representative adult population sample. Chest. 1995;107:126-131.

3. Reed JC. Chest Radiology: Plain Film Patterns and Differential Diagnosis, 5th ed., Philadelphia, PA: Mosby; 2003:259-286.

4. Collins SJ, Stern EJ. Chest Radiology: The Essentials. Philadelphia, PA: Lippincott Williams & Wilkins, 1999;96-105.

5. Felson B. Chest Roentgenology. Philadelphia, PA: WB Saunders, 1973.

6. Fraser RG, Muller NL, Colman NC, Pare PD. Fraser and Pare’s Diagnosis of Diseases of the Chest, 4th ed. Philadelphia, PA: WB Saunders, 1999.

7. Huang RM, Naidich DP, Lubat E, et al. Septic pulmonary emboli: CT–radiographic correlation. AJR. 1989;153:41-45.

8. Seo JB, Im JG, Goo JM, et al. Atypical pulmonary metastases; spectrum of radiologic findings. Radiographics. 2001;21:403-417.

9. Frazier AA, Rosado-de-Christenson ML, Galvin JR, et al. Pulmonary angiitis and granulomatosis: radiologic–pathologic correlation. Radiographics. 1998;18:687-710.

10. Gronner AT, Ominsky SH. Plain film radiography of the chest: findings that simulate pulmonary disease. AJR. 1994;163:1343-1348.

11. Sargent EN, Carson MJ, Reilly ED. Roentgenographic manifestations of varicella pneumonia with post mortem correlation. AJR. 1966;98:305-317.