Marg Brown RVT, BEd Ad Ed
The best lightning rod for your protection is your own spine.
—Ralph Waldo Emerson, American essayist and poet, 1803–1882
Key Terms
Key terms are defined in the Glossary on the Evolve website.
Coned-down view
Diverge
Dynamic
Flexed lateral
Hyperextension
Hyperflexion
Kyphosis
Orthogonal
Positioning terminology
Survey
Vertebral formula

To preserve space, the radiographs presented in this chapter do not show collimation. For safety, always collimate so that the beam is limited within the image receptor edges. In film radiography, you should see a clear border of collimation (frame) on every radiograph. In some jurisdictions, evidence of collimation is required by law.
Survey axial skeletal imaging does have limited diagnostic value in neurological disease and may be insufficient in conditions of the vertebral column, such as trauma. Definitive evidence may need to be obtained by myelography, computerized tomography (CT), or magnetic resonance imaging (MRI).1,2 When these modalities are available, they have largely replaced radiography for spinal disease/trauma diagnosis in referral practices.
However, in spite of the limitations, proper survey vertebral radiographs are a valuable tool for those patients who have suffered spinal injuries and present with paresis or paralysis, either partial or complete. In addition, survey radiographs can demonstrate many of the signs consistent with intervertebral disk protrusion. Common intervertebral disk protrusion sites are T12 to T13, T13 to L1, C2 to C3, and C3 to C4.1
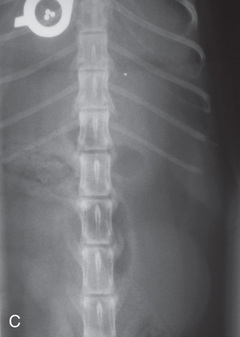
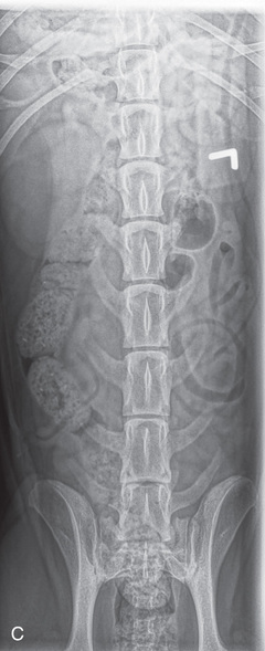
High-quality images are needed to see subtle changes in bone opacity, shape, and angulation of the vertebrae or vertebral column1,2 (Table 20.1). The common views of this portion of the axial skeleton are the lateral (L) and ventrodorsal (VD) views of the cervical, thoracic, thoracolumbar, lumbar, lumbosacral, sacral, and caudal vertebrae. Depending on the size of the patient, a full survey study is either four or five images of each orthogonal view.
TABLE 20.1

Cat survey studies of the vertebrae are often part of the whole-body view. For both the dog and the cat, coned-down views are important for areas of interest. Dynamic views of the vertebrae are not common in cats but can be completed.
See Appendix D on the Evolve website for information on the vertebral number and characteristics of the vertebrae of some common species.








MEASURE: Across the shoulder at the level of C6 to ensure adequate penetration of the caudal cervical vertebrae. Overexposure may occur with the cranial cervical vertebrae. Coned-down views can be made of these areas.
CENTRAL RAY: C3 to C4.
BORDERS: Base of the skull to the spine of the scapula (just past the shoulder joint, about T2, to include the cervical vertebrae). Collimate tightly to the edge of the wings of the atlas and the center of the spine of the scapula.



MEASURE: Level of C6 near the manubrium.
CENTRAL RAY: C3 to C4.
BORDERS: Base of the skull to just past the shoulder joint to about T2, with tight collimation laterally.



MEASURE: C3 to C4 intervertebral space across the neck.
CENTRAL RAY: C3 to C4 intervertebral space.
BORDERS: Base of the skull to the spine of the scapula (just past the shoulder joint). Collimate tightly to the edge of the wings of the atlas and the center of the spine of the scapula.



MEASURE: C3 to C4 intervertebral space across the neck.
CENTRAL RAY: C3 to C4 intervertebral space.
BORDERS: Base of the skull to the spine of the scapula (just past the shoulder joint). Collimate tightly to the edge of the wings of the atlas and the center of the scapular spine.



MEASURE: C1 (for odontoid process).
CENTRAL RAY: C1 (for odontoid process).
BORDERS: Midskull to C4.
















MEASURE: Level of L1.
CENTRAL RAY: L3 to L4 (palpate).
BORDERS: T12 to S1 (Just cranial to origin of last rib to just before the greater trochanter).



MEASURE: Level of L1.
CENTRAL RAY: Level of L4 (palpate).
BORDERS: T12 to S1 (Just cranial to both the origin of the last rib and acetabulum).






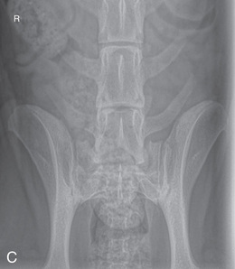
MEASURE: Level of the lumbosacral junction or the highest point of the wings of the ilia.
CENTRAL RAY: Level of the lumbosacral junction (just caudal to the wings of the ilia).
BORDERS: L4 to the most cranial caudal vertebra (just cranial to the wings of the ilia to the femoral head).





MEASURE: Wings of the ilia.
CENTRAL RAY: On the lumbosacral junction, caudal to the wings of the ilia, at an angle of 20 to 30 degrees in a caudocranial direction.
BORDERS: L4 to the most cranial-caudal vertebra (from just cranial to the wings of the ilia to the femoral head).



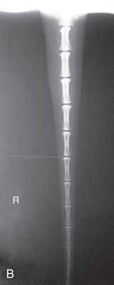
MEASURE: Thickest part of the tail.
CENTRAL RAY: Area of interest.
BORDERS: Four or five vertebrae on either side of the area of interest, or the full tail.


MEASURE: Thickest part of the tail.
CENTRAL RAY: Area of interest.
BORDERS: Four or five vertebrae on either side of the area of interest, or the full tail.


Fig. 20.24 is a mystery radiograph. Review it and answer the question presented with it.

1. The ventrodorsal cervical vertebrae of a Doberman are to be radiographed. It is best to measure:
2. For a radiograph of the lateral cervical vertebrae of the Doberman, sponges can be used to help ensure proper patient positioning. A sponge is not likely needed:
b. Beneath the cervical vertebrae
3. The front limbs of the Doberman for the lateral cervical vertebrae should be:
a. Superimposed and positioned slightly caudally
b. Superimposed and positioned slightly cranially
c. Scissored and positioned slightly caudally
d. Scissored and positioned slightly cranially
4. A flexed lateral view is required for the cervical vertebrae of this Doberman. The cervical vertebrae should be flexed, and:
a. The head should be in a natural oblique position
b. The head should be in a true lateral position
c. The limbs should be extended as far cranial as possible
d. No padding is required under the cervical vertebrae
5. A lateral view of the thoracolumbar vertebrae is required of a Dachshund. You should measure at the:
a. T13 to L1 intervertebral space
b. Cranial border of the scapula
6. The borders for this lateral view of the Dachshund thoracolumbar vertebrae should be at:
a. The xiphoid to the most caudal portion of the last rib
b. The cranial portion of C1 to T6
c. T13 to caudal portion of L1
7. To ensure proper positioning for a ventrodorsal thoracolumbar view:
a. Superimpose the ribs so that the intervertebral spaces are better viewed
b. Place padding under the cervical vertebrae and sternum
c. Place the pelvic limbs over each other in a neutral position, and secure with sandbags
d. Superimpose the sternum over the vertebrae
8. In the lateral view of the TL junction, the label and positional markers should be placed:
a. Ventral to the vertebrae being imaged
b. Dorsal to the vertebrae being imaged
c. At the cranial aspect of the vertebrae being imaged
d. At the caudal aspect of the vertebrae being imaged
9. An Irish Setter is paralyzed. After it is stabilized and appropriate medication administered, the veterinarian wants you to take accurate orthogonal x-rays of the thoracic and lumbar vertebrae, as the veterinarian suspects compression fracture but is concerned about causing further injury. With film radiography you should complete a:
a. Right lateral and right lateral decubitus view
d. Right and left lateral and DV view
10. In radiographing an Irish Wolfhound’s thoracic and lumbar vertebrae for lateral and orthogonal views, you should measure and center at:
a. T6/T7 and L4 to obtain four radiographs total
b. T6/T7, TL junction, and L4 to obtain six radiographs total
c. T6/T7 and L4 to obtain two radiographs total
d. T6/T7, TL junction, and L4 to obtain three radiographs total
11. In radiographing the Irish Wolfhound’s thoracolumbar vertebrae, you should include from:
12. You are checking the lateral lumbar radiographs of the Irish Wolfhound vertebrae to ensure that you are giving the veterinarian properly positioned radiographs. On the lateral image you are looking for:
a. Superimposed intervertebral foramina and transverse processes
b. Equal symmetry of the transverse processes
c. A colon that does not contain any stool
d. Spinous processes that are evident on the midvertebral body
13. To note symmetry on the VD lumbar radiograph of the Irish Wolfhound, you are looking for:
a. Superimposed intervertebral foramina that are of equal size
b. Superimposed pelvic limbs that are slightly positioned caudally
c. Spinous processes that are evident on the midvertebral body
d. A “Nike” swoosh created by the superimposition of transfer processes
14. A cleansing enema performed 1 to 2 hours before exposure is recommended for:
a. The ventrodorsal lumbar and lumbosacral views
b. Lateral and ventrodorsal lumbar and lumbosacral vertebrae views
c. All ventrodorsal vertebrae views
d. All ventrodorsal and lateral vertebrae views
15. Lumbosacral instability is suspected in a Greyhound. Along with the regular lateral the veterinarian will complete dynamic studies after a myelography study. The dynamic study is in reference to:
d. Both hyperextended and hyperflexed views
16. For a hyperextended lumbosacral view, a German Shepherd will be positioned in:
a. Ventral recumbency with a horizontal beam aimed at the lumbosacral junction
b. Lateral recumbency with the hind limbs superimposed and extended quite caudally
c. Lateral recumbency with the hind limbs superimposed and extended quite cranially
d. Dorsal recumbency with the hind limbs superimposed and extended quite cranially
17. Which chart should be used to determine the exposure factors for the lateral lumbosacral vertebrae?
18. If oblique views are to be taken of the vertebrae, the patient should be placed in:
a. Lateral recumbency with 30 to 45 degrees rotation
b. Sternal recumbency with 30 to 45 degrees rotation
c. Dorsal recumbency with 30 to 45 degrees rotation
d. Dorsal recumbency with 15 to 25 degrees rotation
19. A stabilized and paralyzed feline patient had been HBC (hit by car). The veterinarian suspects a complete fracture in the thoracic and lumbar region but wishes to take an initial radiograph to assist the owners to determine if treatment is an option. The veterinarian suggests that for now she would like you to obtain:
a. Right and left lateral radiographs from C1 to S1
b. Right lateral and VD radiographs from C1 to S1
c. Three right lateral radiographs: C1 to L1, T10 to L3, and T12 to S1
d. A right lateral radiograph from the shoulder joint to the pelvis
Chapter Review Question answers are located in the Instructor Resources on Evolve and can be provided to students at the discretion of the Instructor.