Marg Brown RVT, BEd Ad Ed
The essential joy of being with horses is that it brings us in contact with the rare elements of grace, beauty, spirit, and fire.
—Sharon Ralls Lemons, Author and equestrian
Key Terms
Key terms are defined in the Glossary on the Evolve website.
Caudoproximal-craniodistal (CdPr-CrDi)
Cranioproximal-caudodistal (CrPr-CdDi)
Crena
Dorsolateral-palmaromedial oblique (DLPMO)
Dorsolateral-ventrolateral oblique (DLVLO)
Dorsomedial-palmarolateral oblique (DMPLO)
Dorsoproximal-dorsodistal oblique (DPr-DDi)
Dorsoproximal-palmarodistal (DPr-PaDi)
Flexor view
High coronary view
Lateromedial (LaM)
Midsagittal plane
Occlusal
Palmaroproximal-palmarodistal oblique (PaPr-PaDi)
Plantaroproximal-plantarodistal (PlPr-PlDi)
Positional terminology
Skyline
Sulcus
Tangential
Ungular or collateral cartilages
Upright pedal route
Ventrolateral-dorsolateral oblique
Weight bearing

To preserve space, the radiographs presented in this chapter do not show collimation. For safety, always collimate so that the beam is limited to within the image receptor edges. In film radiography, you should see a clear border of collimation (frame) on every radiograph. In some jurisdictions, evidence of collimation is required by law.
Imaging large animals requires good planning, good teamwork, lots of patience, and being prepared to expect the unexpected. The common principles of radiography that apply to small animals also apply to large animals, with the major differences being due to patient size and posture, which necessitate special consideration for areas of patient restraint, equipment, preparation, radiation safety, and positioning devices. Safety of personnel and patient is critical.
Compare the large-animal anatomy with human and small-animal anatomy (Fig. 24.1). The technical terms are similar but common terms differ.






Large animals in the standing position are minimally restrained, which is a concern for both human and machine safety. Large animals can easily become startled when confronted with unfamiliar objects, so it is important to minimize sudden movements and loud noises. Keep the behavior of the particular patient in mind, and modify your restraint to take advantage of that behavior, being aware that any sights or sounds such as uncoiling electrical cords or moving positioning devices can startle a typically quiet horse.
Ensure there is a solid ground surface that is level, clean, and nonslippery. The area should be quiet, free of obstacles, and large enough for personnel to move around the horse safely. Sedation may calm the patient and curtail startling that can cause movement blur on the image. Depending on the patient, consider various strategies such as raising the opposite limb, using a twitch, offering food, or using stocks. A competent handler is essential if the horse is being difficult or sedation is not an option.
Movement artifacts, poor positioning of the patient or the x-ray beam, and inadequate exposure are the most common reasons that images must be repeated. Among other inconveniences, any repetition means further radiation dose for the restrainer or the patient. To help minimize repeat radiographs, take the time to make sure that the patient is properly positioned, the image receptor is properly placed, and the central ray is directed correctly.
Proper patient preparation is essential to obtain high-quality radiographs and to minimize radiation exposure. The hair coat should be dry, brushed, and cleared of dirt or other debris. If the foot is being radiographed, it is important to prevent overlying shadows superimposed on the field of view. This is especially true of dorsopalmar/dorsoplantar and oblique views. Remove the shoe and trim back any overgrown portions of the foot. Pick and thoroughly clean the sole and clefts, and then pack the sulci adjacent to and in the center of the frog with a substance of similar radiographic opacity, such as Play-Doh, methylcellulose, or softened soap, to eliminate gas shadows due to the grooves of the frog (Fig. 24.2).


Double-check that you have all proper equipment and supplies with you, including foot blocks, as well as protective equipment and devices for all personnel to be as far from the primary beam as possible. If film cassettes are used and radiographs are being taken off site, make sure to take enough cassettes and film to the facility to allow for “repeats” and unexpected views. For digital radiography make sure that all required equipment such as spare cords, hand switches, or required batteries is on hand.
All of the radiation safety principles applied to small animals equally apply to large animals. When working with large animals, concern for physical safety often supersedes radiation safety. Thus it is essential to constantly keep the three tenets of radiation safety in mind (shielding, distance, and time).
Portable machines can be particularly dangerous with regard to radiation exposure as they can be aimed in any direction and they use longer exposure times than stationary units to produce diagnostic images due to limited machine power. It is critical for all individuals who will be in the path of the beam, near the beam, or holding the portable x-ray unit to have appropriate and proper fitting protective lead attire, thyroid collars, and a monitoring badge (see Chapter 3).
All personal protective equipment (PPE) must undergo a routine maintenance schedule to evaluate weaknesses and breakage (see Chapters 3 and 9). Proper storage of PPE is important; avoid folding gowns and gloves.
The most significant safety action is to increase one's distance from the primary beam through the use of a cassette holder (Fig. 24.3) and the use of a tripod to hold the x-ray unit if space and circumstances allow. Because the construction of x-ray machines does not allow the primary beam to be centered less than about 10 cm (4 inches) from the ground, a positioning block is needed to raise the affected foot (Fig. 24.4) for most views of the foot and pastern.










Always collimate. The primary beam should only include the area of interest so that all margins of the primary beam are visible on the processed film. In digital imaging the algorithm depends on proper collimation. Stand out of direct or bright light to see the collimator guide-light. Because the horizontal beam is standard, always be conscious of where the beam is directed and where individuals are standing; a cassette holder should be used when possible. To help decrease exposure time, use a fast combination of film and screen if using this system.
The source-image distance (SID) is generally less for large animals, with the common SID being 26 to 30 inches (66 cm-76.2 cm), compared with 40 inches (100 cm) in radiography of small animals. Always use the retractable tape measure to determine the proper SID based on the technique chart. Do not guess! Some units have two small laser pointers at precise angles that merge at the correct distance when the collimator light is on. A shorter SID also helps decrease the exposure time. If the SID changes from what is suggested on the technique chart, keep this formula in mind to change the mAs:

Review Chapters 5 and 6 if you need to adjust the image technique.
A cassette tunnel is also useful for digit radiographs to protect the image receptor for dorsopalmar/dorsoplantar and oblique views of the foot. A cassette tunnel can be purchased or can be manufactured out of radiolucent wood (avoid use of nails) or hard plastic durable enough to withstand the weight of the horse. If using a cassette tunnel, make sure it is strong enough to support the weight of the horse and is translucent to minimize artifacts on the film (Fig. 24.4F and G). To minimize a slippery surface, cover with duct tape or use a mouse pad or section of yoga mat between the hoof and tunnel.
If using a foot block, have it high enough so that the beam can be directed in a horizontal plane on the area of interest. Ideally, the block should have a slot to support the cassette close to the limb to minimize distortion (Fig. 24.4D). If only the lateromedial view of the digit is needed, then shoe removal, sole cleaning, and foot trimming are not essential. For equal weight-bearing, both front feet should be on a foot block. If only the affected foot is placed on the block, improper pressure of the distal limb joints may affect the accuracy of the diagnosis.
The opposite limb may need to be lifted to ensure full weight-bearing and to prevent motion if equal weight-bearing is not required.
Keep the image receptor as close and parallel to the limb as possible to minimize object-film distance (OFD) and distortion. The suggested angle with the ground may change depending on the limb confirmation of the patient. The central ray should always be perpendicular to the limb axis being radiographed.
Of the three types of x-ray machines available—portable, mobile, and ceiling mounted—the portable unit is the most practical for those in ambulatory practices. Portable units are small and can be set up wherever there is a power supply.
Ensure there is an adequate power supply, as line voltage may vary, causing inconsistency in the exposures. These units are generally adequate for radiography of the equine distal limbs, skull, and cranial cervical vertebrae. Keep cords well away from feet to prevent tangling or damage from being stepped on. Position the horse so the cords can reach both the left and right sides. Although the portable equipment is built to withstand a certain amount of rough handling, transportation and frequent movement of radiographic equipment increase the opportunity for damage to x-ray equipment. Units should never be left in the vehicle overnight during below-freezing temperatures unless a sufficient warm-up time is taken into consideration before the first exposure.
Depending on the type of unit, the kilovoltage (kV) and milliampere (mA) are generally preset, giving power anywhere from 40 to 120 kV and 15 to 100 mA. Time is usually the variable control, providing values of 0.3 to generally 50 milliampere-seconds (mAs). Newer units have variable kV and mAs. The digital displays allow adjustments of 1- to 5- kV increments. Because of the relatively low mA capacity, movement is a concern. Mobile units can be wheeled from room to room in the same premises, but are generally too cumbersome to be easily moved and transported. The kV and mA capacity is higher, allowing for shorter exposure times and less chance of motion artifacts than with the portable units.
Veterinary specialty referral practices commonly use large units permanently mounted on a set of ceiling rails to allow horizontal and vertical movement. These high-capacity units have the greatest output range (between 800 and 1000 mA), capable of obtaining high-quality radiographs of regions such as the thorax, pelvis, and thoracolumbar vertebrae. It may be difficult to obtain parallel views of the feet because the unit may not reach the ground close enough to prevent obliquity. A supplementary portable unit is often used in these situations.
Exposure factors vary for each machine, so contact the generator manufacturer for a technique chart that can be used as a starting point. See Chapters 5 and 8 for suggested equine charts.
Regular maintenance and calibration of all x-ray units are essential to the consistent production of quality radiographs and maintenance of a safe working environment. Inspections should be implemented as per local regulations.
See Chapter 8 for further information on digital equipment.
You should have an understanding of the normal equine anatomy. Use a systematic approach, making sure to view the whole image. Review the radiography checklist found in Chapter 15.
The purpose of most radiographs taken in equine practice is to evaluate the bones of the skeleton; thus any response of the bone to insult or disease is relevant. Any changes such as sclerosis (causing more of a radiopaque image) or demineralization (radiolucent appearance) may not be visible on the radiograph, as a change of at least 30% in the bone mineral matrix is required before radiographic changes are evident.1
Consideration may need to be given to additional imaging for accurate diagnosis and prognosis. This would include ultrasonography as well as cross-sectional imaging modalities such as computerized tomography (CT), magnetic resonance imaging (MRI), scintigraphy, and further diagnostic testing. CT and MRI show the most detail in all structures, indicating actual soft tissue and cartilage within the foot. Modalities such as nuclear scintigraphy and thermography show problem areas to the bone and soft tissue, such as ligaments, tendons, and articular cartilage that are poorly imaged on radiographs (see Fig. 24.64).
Equine clients often request a prepurchase examination of a horse before buying a competitive or breeding prospect. This examination is done to reduce the buyer's risk and assess the current health and athletic soundness of the horse. The examination is not a guarantee of the health or soundness of the horse, but an interpretation of the ability of the horse to meet the intended purpose of the procurer. Depending on the level of expected performance or value of the purchase, this examination may include extensive radiographs.
It is critical for all parties to identify any potential conflict of interest that may exist. The veterinarian requested to perform such an examination must clearly identify his or her relationship with, or prior knowledge of, the horse to be purchased and its owners or trainers. It is recommended to have a legal agreement prepared and signed that clearly identifies any relationship or knowledge to protect the interest of the performing veterinarian.
For proper diagnosis and legal requirements, correct labeling is mandatory. As with radiography of small animals, permanent identification of the patient and owner (or purchaser for a prepurchase examination) is required. The specific limb being radiographed should also be identified, as well as the actual position. This includes indicating forelimbs and hind limbs, especially distal to the carpus/tarsus.
As in small-animal radiography, the proximal end of the extremity is at the top of the viewer for DP/PD/CrCd/CdCr views. For the lateral or oblique radiographs, the proximal end points up, and the cranial or dorsal aspect of the limb is to your left.
Conventionally, limb markers should be placed dorsally or laterally. Place directional markers (right/left, front/rear) on the lateral aspect of the limb for DP(CrCd) and oblique views and at the dorsal/cranial aspect for lateromedial views. Use Velcro tabs or duct tape to affix to plate. If there is a swelling on the limb, a marker such as a BB pellet taped on the skin might be useful. If using a digital plate, take images in the order of DP, DLPMO, DMPLO, and LM to move the markers only once.
Because equine skeletal structures are large and complex, multiple views are required. In small animals, generally two views perpendicular to each other are taken. Horses generally require a minimum of four views for most positions, and six for many joints.
Refer to Chapter 15 for a review of some of the basic terminology.

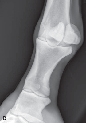
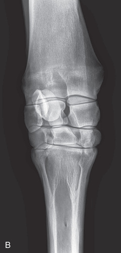
For the dorsolateral-palmaromedial oblique (DLPMO) view (Fig. 24.6B), the central ray faces the dorsal part of the limb aimed 45 degrees laterally from the midline. The image receptor is on the palmaromedial aspect of the limb so that it is perpendicular to the beam. Remember “point of entry to point of exit”; the beam travels from dorsolateral to palmaromedial. The film marker is placed along the lateral aspect of the image receptor. So that there is no confusion as to what angle should be used, the proper description for this 45-degree DLPMO view is dorsoproximal 45-degree lateral palmarodistomedial oblique (DPr45L-PaDiMO).

What is actually being highlighted on this DLPMO projection (Fig. 24.6B) is the portion that is not against the film—specifically the lateral sesamoid in Fig. 24.6B. Note that because this is taken at an oblique angle, the image of the medial proximal sesamoid is obstructed by the distal metacarpus (see Technician Notes). Thus an oblique projection allows the portion of the bone farther from the film to be in profile. The radiograph is like a shadow: the way the beam is directed, the body part on the film is superimposed in the oblique, and the opposite edges are highlighted.
The view is correctly described first from where the beam enters on the limb and then where it exits. Using point of entry to point of exit the DLPMO is technically termed a medial oblique because the beam enters off the midline on the lateral aspect and exits on the medial aspect. The medial aspect is against the film. However, because the lateral portion of the bone is in profile in a DLPMO, practicing veterinarians may refer to the position as a lateral oblique.
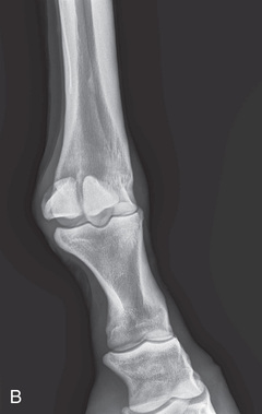
The same principle applies to the dorsomedial-palmarolateral oblique (DMPLO) (Fig. 24.6A), but this time the central ray is aimed at the dorsal part of the limb 45 degrees medially to the midline. The image receptor is on the palmarolateral aspect of the limb and is perpendicular to the beam. The beam travels from dorsomedial (point of entry) to palmarolateral (point of exit). The film marker is placed along the lateral aspect of the image receptor, appearing to be on the dorsal part of the limb in the radiograph. So that there is no confusion as to what angle should be used, the proper description for this 45-degree DMPLO is dorsoproximal 45-degree medial–palmarodistolateral oblique (DPr45M-PaDiLO).
Taking the two middle and two outer letters once the “O” is removed tells us that the dorsolateral and mediopalmar surfaces (red lines on Fig. 24.6A) will be highlighted. The medial proximal sesamoid is in profile.
Remember the view is correctly described first from where the beam enters on the limb and then where it exits. Using point of entry to point of exit, the DMPLO is technically termed a lateral oblique since the beam enters off the midline on the medial aspect and exits on the lateral aspect. The lateral aspect is against the film. However, because the medial portion of the bone is in profile in a DMPLO, practicing veterinarians may refer to the position as a medial oblique.
In practice, you may hear common terms that are used in place of the correct anatomical terms (Table 24.1) or different modes of describing the beam. Anterior posterior (AP), a human term, is still sometimes used in practice; however, the correct nomenclature is dorsopalmar or dorsoplantar (DP). Common terms are listed here for the purpose of further understanding but are not necessarily the proper nomenclature.
TABLE 24.1

Data from Butler JA, Coles CM, Dyson SJ, et al: Clinical Radiology of the Horse, Osney Mead, Oxford, 1993, Blackwell Science Ltd; Morgan JP: Techniques of Veterinary Radiography, Ames, IA, 1993, Iowa State University Press; Thrall DE: Textbook of Veterinary Diagnostic Radiology, St Louis, 2007, Saunders; Weaver M, Barakzai S: Handbook of Equine Radiography, London, 2010, Saunders.

Table 24.2 lists the views that are used in equine limb examination.
TABLE 24.2
| STRUCTURES EVALUATED/ COMMENTS | VIEWS/COMMENTSa | COMMON TERMINOLOGY |
|---|---|---|
| P3 | Dorsal 65-degree proximal–palmarodistal oblique (D65Pr-PaDiO); beam angled to ground, high coronary or upright pedal routes. Dorsoproximal-palmarodistal (DPr-PaDi) with horizontal beam | Dorsopalmar (DP) |
| Lateromedial (LM) with foot on block (optional). | Lateral (L) | |
| Oblique views especially if a P3 fracture is suspected: | ||
| (1) DLPMO | ||
| (2) DMPLO | ||
| Distal interphalangeal joint | Dorsal 65-degree proximal–palmarodistal oblique (D65Pr-PaDiO) high coronary route with beam angled to ground | Dorsopalmar (DP) |
| Lateromedial (LM) with foot on block to include solar margin of P3 and soft tissues of sole on the radiograph | Lateral (L) | |
| Optional views | Oblique views | |
| (1) DLPMO | ||
| (2) DMPLO | ||
| Navicular | Lateromedial (LM) | Lateral (L) |
Dorsoproximal-palmarodistal oblique (DPr-PaDiO): (1) High coronary stand-on route: 45 degrees: projects proximal border and extremities (D45Pr-PaDiO) 65 degrees: projects both borders and extremities (D65Pr-PaDiO) OR | Dorsopalmar (DP) | |
| Dorsopalmar (DP) | ||
| Palmaroproximal-palmarodistal oblique view (PaPr-PaDiO): | Flexor or skyline | |
| D65Pr45L-PaDiMO | DLPMO | |
| D65Pr45M-PaDiLO | DMPLO | |
| Pastern P1, proximal interphalangeal joint, P2 | Lateromedial (LM) | Lateral (L) |
| Dorsoproximal-palmarodistal oblique (D30-45Pr-PaDiO) | Dorsopalmar (DP) | |
| Dorsal 35-degree proximal, 35-degree lateral–palmarodistomedial oblique (D35Pr-35L-PaDiMO) | DLPMO | |
| Dorsal 35-degree proximal, 35-degree medial–palmarodistolateral oblique (D35Pr-35M-PaDiLO) | DMPLO | |
| Metacarpophalangeal/metatarsophalangeal joint/proximal sesamoid bones (fetlock) | Dorsal 10-degree proximal–palmarodistal oblique (D10Pr-PaDiO) | Dorsopalmar (DP) |
| Lateromedial (LM) extended | Lateral (L) | |
| Lateromedial (LM) flexed | Flexed lateral (L) | |
| Dorsoproximal 45-degree lateral–palmarodistomedial oblique (DPr45L-PaDiMO) | DLPMO | |
| Dorsoproximal 45-degree medial–palmarodistolateral oblique (DPr45M-PaDiLO) | DMPLO | |
| Optional views | Palmaroproximal-palmarodistal oblique view (PaPr-PaDiO) | Flexor/skyline/caudal tangential |
| Dorsoproximal-dorsodistal oblique (DPr-DDiO) | Extensor surface/skyline | |
| Metacarpal/metatarsal cannon bone (M3) | Dorsoproximal-palmarodistal (DPr-PaDi) | Dorsopalmar (DP) |
| Lateromedial (LM) | Lateral (L) | |
| Lateral splint bone (M4) | Dorsoproximal 45-degree lateral–palmarodistomedial oblique (DPr45L-PaDiMO) | DLPMO |
| Medial splint bone (M2) | Dorsoproximal 45-degree medial–palmarodistolateral oblique (DPr45M-PaDiLO) | DMPLO |
| Carpus | Dorsoproximal-palmarodistal (DPr-PaDi) | Dorsopalmar (DP) |
| Lateromedial extended (LM) | Lateral (L) | |
| Lateromedial flexed (LM) | Flexed lateral (L) | |
| Dorsoproximal 45-degree lateral–palmarodistomedial oblique (DPr45L-PaDiMO) | DLPMO | |
| Dorsoproximal 45-degree medial–palmarodistolateral oblique (DPr45M-PaDiLO) | DMPLO | |
| Optional views | Dorsoproximal-dorsodistal oblique flexed (DPr-DDiO) | Skyline |
| Tarsus | Dorsoproximal-plantarodistal (DPr-PlDi) | Dorsoplantar (DP) |
| Lateromedial (LM) extended | Lateral (L) | |
| Lateromedial flexed (LM) | Flexed lateral (L) | |
| Dorsoproximal 45-degree lateral–plantarodistomedial oblique (DPr45L-PlDiMO) | DLPMO | |
| Dorsoproximal 45-degree medial–plantarodistolateral oblique (DPr45M-PlDiLO) | DMPLO | |
| Tuber calcaneus | Flexed plantaroproximal-plantarodistal (PlPr-PlDi) | Skyline |
| Radius | Cranioproximal-caudodistal (CrPr-CdDi) | Craniocaudal (CrCd) |
| Lateromedial (LM) | Lateral (L) | |
| Optional views | Caudoproximal-craniodistal (CdPr-CrDi) | Caudocranial (CdCr) |
| Cranioproximolateral-caudodistomedial oblique (CrPrL-CdDiMO) | CrLCdMO | |
| Cranioproximomedial-caudodistolateral oblique (CrPrM-CdDiLO) | CrMCdLO | |
| Elbow joint | Cranioproximal-caudodistal (CrPr-CdDi)—standing | Craniocaudal (CrCd) |
| Mediolateral standing (ML) | Lateral (L) | |
| Optional views | Cranioproximal-craniodistal oblique (CrPr-CrDiO) of olecranon | Skyline or flexor |
| Lateromedial (LM) | Lateral (L) | |
| Mediolateral through the thoracic cavity | Mediolateral (ML) | |
| Cranioproximal-caudodistal (CrPr-CdDi)—recumbent | Craniocaudal (CrCd) | |
| Mediolateral (recumbent) (ML) | Lateral (L) | |
| Craniomedial-caudolateral oblique | CrMCdLO | |
Shoulder Optional views | Mediolateral (ML) | Lateral (L) |
| Cranioproximal 45-degree medial–caudodistolateral oblique (CrPr45M-CaDiLO) | CrMCdLO | |
| Cranioproximal 45-degree lateral–caudodistomedial oblique (CrPr45L-CaDiMO) | CrLCdMO | |
| Stifle | Lateromedial (LM) | Lateral (L) |
| Caudoproximal-craniodistal (CdPr-CrDi) | Caudocranial (CdCr) | |
| Lateral trochlear ridge and medial femoral condyle (stifle) | Caudoproximal 60-degree lateral–craniodistomedial oblique (Cd60L-CrMO) | CdLCrMO |
| Optional stifle | Cranioproximal-caudodistal (CrPr-CdDi) | Craniocaudal (CrCd) |
| Cranioproximal-craniodistal oblique(CrPr-CrDiO) | Skyline patella | |
| Lateromedial flexed (LM) | Flexed lateral (L) |


aPalmar is used in this chart and chapter with the understanding that plantar can be substituted when referring to the hind limb.
Data from Weaver M, Barakzai S: Handbook of equine radiography, London, 2010, Saunders Elsevier; Morgan JP: Techniques of veterinary radiography. Ames, IA, 1993, Iowa State University Press; Butler JA, Coles CM, Dyson SJ, et al: Clinical radiology of the horse, Osney Mead, Oxford, 2008, Wiley-Blackwell; Thrall DE: Textbook of veterinary diagnostic radiology, ed 6, St. Louis, 2013, Elsevier.
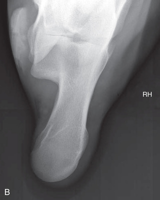
The distal phalanx and the navicular bone comprise the digit or foot. Common indications for imaging the equine foot include localized lameness by clinical examination (pain on pressure from foot testers, increased digital pulses, etc.) or by diagnostic analgesia, laminitis, penetrating wounds, or as required for a prepurchase examination.1
The three following views can be taken for the dorsoproximal-palmarodistal (DPr-PaDi) views of the foot. The terminology changes slightly depending on the actual positioning. Because the foot or the beam is at an angle to the ground, the high coronary and upright pedal routes are technically termed DPr-PaDiO views. Note that there is no lateral or medial distinction, so do not get confused.







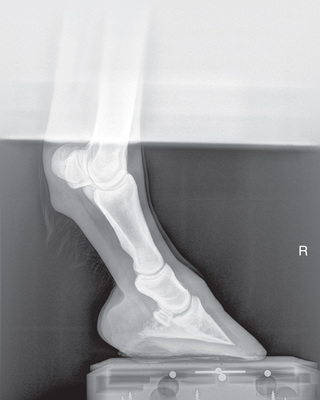
The lateromedial view of the distal phalanx is used for all of the bones and joints of the foot.


Oblique views of the distal phalanx and navicular bone are as follows:





Positioning, central ray, and collimation instructions are the same as those for the lateromedial view of the distal phalanx (Fig. 24.14).


The D65Pr-PaDiO view projects both borders and extremities of the navicular, and the distal border can be seen through the distal and palmar (plantar) portions of the middle phalanx (Fig. 24.15).



The D45Pr-PaDiO view projects the proximal border and extremities.
Place the foot with the toe tipped so that the dorsal wall is positioned 80 degrees or 90 degrees from the horizontal for the navicular bone (Fig. 24.16).3



The D90Pr-PaDiO view projects the proximal border and extremities (equivalent to 45-degree high coronary view).
The D80Pr-PaDiO view projects both the proximal and distal borders and the extremities (equivalent to 65-degree high coronary view).



Oblique views of the navicular bone are as follows:
The oblique views do not superimpose the wings, so fractures are more easily diagnosed.
Positioning, central ray, and collimation instructions are the same as those for the oblique views of the distal phalanx (see Fig. 24.12).
The main indications for radiography of the middle and proximal phalanx and proximal interphalangeal joint are lameness localized with clinical examination or diagnostic analgesia and penetrating wounds. Specific views of this area are best obtained with the horse bearing weight squarely on all four limbs.
The lateromedial view of the pastern provides information on the integrity of the foot axis and the bones and joints in the digit.



The dorsopalmar (D30-45Pr-PaDiO) view of the pastern is a standard view to evaluate the causes of forelimb and hind limb lameness. Additional views of the opposite limb are indicated in patients less than 9 months of age. Comparison studies permit evaluation of physeal closure.2



Oblique views of the pastern are as follows (Fig. 24.20):










Oblique views of the fetlock are as follows:




The DLPMO view is used to view the lateral sesamoid (see Fig. 24.6B and Fig. 24.24A-B), and the DMPLO to view the medial sesamoid (see Fig. 24.6A and Fig. 24.24C-D).







Oblique views of the metacarpus/metatarsus to view the splint bones are as follows:
The DLPMO view is used to evaluate the lateral splint bone (M4), and the DMPLO to evaluate the medial splint bone (M2).




The carpus consists of three principal joints with articulation between adjacent bones in each row of carpal bones. This causes overlying images, which may confuse interpretation. Consequently, it is recommended to obtain a minimum of five standard views.3








Oblique views of the carpus are as follows:








The elbow joint is difficult to radiograph while the animal is in a standing position because of its proximity to the ventral body wall. The use of general anesthesia is preferred if possible. Because of the increased thickness of the limb, higher-capacity x-ray equipment is required.



With the patient standing, the mediolateral view is the easiest positioning for the elbow and is often suitable for a portable x-ray unit.



To attain quality projections of the shoulder joint, the use of general anesthesia and placement of the patient in lateral recumbency are recommended. The standing position may be possible if the patient tolerates manipulation. The easiest and maybe only view of the shoulder that can be obtained is the mediolateral.










Oblique views of the tarsus are as follows:









Radiography of the femorotibial joint (stifle) is difficult because of the thickness of the surrounding tissue and the sensitive nature of this region. Because of the depth of the muscle in the femoral region, the caudocranial projection demonstrates little above the joint space. Radiographs of this region should be attempted only if the patient is cooperative. Safety is paramount in radiography of the hind region of the horse. Sedation or a twitch may be used; general anesthesia is also to be considered.








General anesthesia is required for the pelvic radiographic study of a large animal patient. Young foals (or calves) can be successfully radiographed in the field, whereas larger patients (horses or cows) must be radiographed in the hospital setting because of the specific high-powered radiographic equipment required, such as a mobile or ceiling-mounted unit, to provide proper output (high kV exposure). Views may be segmented to obtain a complete pelvic view (multiple images used for a single view). If using film, the use of a table with an embedded cassette tunnel is preferred to increase ease of positioning and cassette exchange. Due to the thickness of this region, the use of a grid is suggested.
Before administration of a general anesthetic, special consideration must be given to the anesthesia recovery process for patients with pelvic fractures or luxation. As a result, a pelvic radiographic study may be contraindicated.


Note that for all positions:
See Table 24.3 for further specifics.
TABLE 24.3
| BODY PART | PROJECTION | IMAGE RECEPTOR PLACEMENT | X-RAY TUBE | CENTRAL RAY | FURTHER COMMENTS |
|---|---|---|---|---|---|
| Skull | Lateral (Fig. 24.52) | Against the affected side. | Opposite lateral side. | From the opposite side on area of interest. | |
| Skull | Dorsoventral (DV) (Fig. 24.53) | Horizontal ramus against the ventral aspect of the mandible. | At the dorsal aspect. | Along the midline of dorsal skull on area of interest, perpendicular to the horizontal ramus of mandible. | Easier to note asymmetry. Will need increased exposure. |
| Maxillary sinuses, nasal passage | Oblique views: Dorso 45-degree lateral–ventrolateral oblique (D45L-VLO) (Fig. 24.54) | Ventral, against affected side. Plate is angled 45 degrees. | Dorsolateral above the head on the opposite unaffected side. | On third and fourth cheek teeth and 45 degrees from parallel plane directed downward. | Avoids superimposition of cheek teeth. Best views for maxillary sinuses, frontal sinuses, and both dental arcades. Bilateral recommended. |
| Incisor | D45L-VLO | Below affected jaw and laterally. | Above affected jaw and opposite lateral. | 45-degree angle directed downward on area of interest. | |
| Upper dental arcade | D45L-VLO | Against affected side laterally. | Position laterally against unaffected side on the dorsal head. | Downward 45 degrees from horizontal on area of interest. | Can reverse so image receptor against unaffected side and beam aimed upward 45 degrees (V45L-DLO). |
| Lower dental arcade | D45L-VLO | Unaffected side ventrally. | Laterally to affected side of head dorsally. | Downward 45 degrees from horizontal on area of interest. | |
| Frontal region | D30L-VLO | Affected side slightly ventrally. | Opposite unaffected side slightly above head. | 30 degrees centered on midline behind eye on the affected side. | Avoid inadvertent rostrocaudal angulation. Will need less exposure than if imaging teeth. |
| Teeth | V45L-DLO (Fig. 24.55) | Above affected jaw (dorsally) and laterally. | Below affected jaw (ventrally) and from opposite lateral. | 45-degree angle directed upward. | Alternative view for oblique teeth. For upper dental arcade, the image receptor is placed against the unaffected side. |
| Teeth | Occlusal (Fig. 24.56) | In the mouth as far caudal as the patient will allow. | Maxillary: dorsal to head Mandibular: ventral to head. | Maxillary: direct beam downward Mandibular: direct beam upward at 60-80 degrees from vertical, depending on the conformation of incisors. | Difficult as patient not likely to cooperate without chemical restraint. Need lower exposure than for cheek teeth. |
| Guttural pouch/larynx/ pharynx/ hyoid bones | Lateral (Fig. 24.57) | Lateral side of the caudal skull. | Horizontal beam opposite lateral side of the skull. | Caudal to vertical ramus of mandible (over guttural pouch region). At caudoventral angle of the mandible for the nasopharynx, larynx, and proximal trachea. | Portable unit may be used due to soft tissue density. Position as for routine skull views. Oblique views can be taken with 10- to 20-degree caudorostral angle.1 Endoscopy is preferred for nasopharynx, larynx, and proximal trachea. |
| Dorsoventral (DV) | Ventral: under the mandible. | Dorsal to the head. | Midline of the skull over the area of interest. | Sedation is highly recommended. | |
| Cervical spine | Lateral (Fig. 24.58) | Side of the cervical region. | Opposite side of neck. | Centered on region of choice: | Because of the size of the patient, the cervical spine must be exposed in three views. The patient can be standing or recumbent. |
| Thoracic spine | Lateral (Fig. 24.59) | Side of the patient on area of interest. | Opposite side. | Area of interest perpendicular to the image receptor. | Often completed for the dorsal spinous processes (withers). |
| Thorax | Lateral (Fig. 24.60) | Affected side | Horizontal beam on opposite side. | See comments later for specifics: | Patient standing. Portable unit not powerful enough. |
| Abdomen | Lateral (Fig. 24.61) | On side (most lesions on midline). | Opposite side. | Last rib for small horses: | Multiple laterals required for larger patients. |




























Even if they are frequently handled, bovine patients have little to no experience of manipulation of their lower extremities, which poses a challenge to perform these radiographs. Maintaining image receptor placement close to the limb without proper restraint devices is almost impossible in most conditions. It is because of these challenges, as well as economic concerns, that radiographs are generally completed only in high-quality or high-producing livestock.
The use of stocks, ropes, and pulley, or ideally, a lift table, will aid in the production of quality radiographs of cattle. The use of stocks provides reduced mobility of the patient; however, they do not limit the mobility of the limbs. Securing the affected limb or, if weight-bearing, rigging an alternate limb through ropes, may be required. The use of a lift table enables the limbs to be secured in a motionless fashion and increases positioning options because the patient can be lifted and tilted off the ground. The lifting of the alternate limb may increase the safety of maneuvering around distal extremities. Sedation or rapid general anesthesia may be used with the bovine patient. The combined use of restraint devices and sedation can significantly increase the safety of personnel, equipment, and the patient for bovine radiographs. Care must be taken to consider the stage of gestation, if applicable, and the potential for recovery trauma.
Equipment requirements and positioning techniques for bovine radiography are the same as those for equine radiography. Handling restrictions may hinder the options and available positions. See Table 24.4 for the common views.
TABLE 24.4
| STRUCTURES | COMMON NAME | SPECIFIC TERMINOLOGYa | POSITIONb | CENTRAL RAY IS POSITIONED |
|---|---|---|---|---|
Digit/foot: P-III (distal phalanx, coffin bone) P-II (middle phalanx) P-I (proximal phalanx-pastern) Proximal interphalangeal joint (pastern joint) joint | DP (Standard) (Fig. 24.62B,C) | Dorsal 45-degree proximal–palmarodistal (D45Pr-PaDi) | Foot slightly forward on image receptor. | Perpendicular to foot axis at MSP (midsagittal plane) at area of interest with beam angled ~45 degrees to ground |
| Lateral (Standard) (Fig. 24.62D) | Lateromedial | On a block to elevate limb for P-III; resting on ground for other views. | 90 degrees lateral to MSP, parallel to ground on area of interest: coronary band for PIII | |
| Lateral-interdigit (Optional) | Lateromedial (mediolateral) with interdigital film | Receptor between digits. Easiest with patient in lateral recumbency but can be completed standing with foot raised. | 90 degrees laterally from MSP to radiograph the lateral claw. 90 degrees medially from MSP medially to radiograph the medial claw. | |
DLPMO (Optional) | Dorsoproximal 45-degree lateral–palmarodistomedial oblique (DPr45L-PaDiMO)/(DPr45M-PDiLO) | As for the lateral view for P-III. | 45 degrees to ground on the area of interest | |
| DMPLO (Optional) | Dorsoproximal 45-degree medial–palmarodistolateral oblique (DPr45M-PaDiLO) (DMPLO) | As for the DP view for P-II and P-I | 45 degrees lateral to MSP directed either laterally (DLPMO) or medially (DMPLO) | |
| Fetlock joint and proximal sesamoid bones | Dorsopalmar: DP (Standard) | Dorsoproximal-palmarodistal (DPr-PaDi) | Foot on ground, full weight-bearing and cassette against palmar aspect. | On MSP parallel to the ground, centered at the fetlock |
| Metacarpophalangeal/metatarsophalangeal articulation | Lateral (Standard) | Lateromedial extended (LM) | Foot on ground, full weight-bearing, and cassette against medial aspect. | 90 degrees laterally from MSP parallel to the ground directed toward the fetlock joint. |
| DLPMO (Optional) | Dorsoproximal 30-degree lateral–palmarodistomedial oblique (DPr30L-PaDiMO) (DLPMO) | Foot on ground, full weight-bearing, and cassette against medial aspect of palmar surface | 45 degrees lateral to MSP directed either laterally (DLPMO). | |
DMPLO (Optional) | Dorsoproximal 30-degree medial–palmarodistolateral oblique (DPr30M-PaDiLO) (DMPLO) | Foot on ground, full weight-bearing, and cassette against lateral aspect of palmar surface | Or medially (DMPLO) and parallel to ground on the fetlock joint or the proximal sesamoid bones. | |
| Carpusc | DP (Standard) | -Dorsoproximal-palmarodistal (DPr-PaDi) | Weight-bearing with limbs evenly on ground and cassette on palmar aspect of limb. | Parallel to the ground, centered on palpable intercarpal joint space; slightly lateral to MSP since legs are slightly rotated externally when standing. |
Lateral (Standard) | Lateromedial extended (LM) | Weight-bearing with limbs evenly on ground and cassette against medial aspect of limb. | 90 degrees lateral to MSP; parallel to ground just distal and dorsal to prominence of accessory carpal bone. | |
| Elbow joint | CdCr (Standard) | Caudoproximal-craniodistal- standing (CdPr-CrDi) | Weight-bearing with limbs evenly on ground and cassette against cranial aspect of joint at angle to the x-ray beam. | Caudal to joint; parallel to ground so beam perpendicular to radius. |
| Lateral (Standard) | Lateromedial standing (LM) | Weight-bearing with limbs evenly on ground; cassette against medial aspect of joint at angle to the x-ray beam. | 90 degrees lateral to MSP, parallel to ground on either the elbow joint or olecranon if required. | |
CrCd (Optional) | Cranioproximal-caudodistal standing (CrPr-CdDi) | Weight-bearing with limbs evenly on ground and cassette parallel against caudal aspect of olecranon and perpendicular to the lateral chest wall. | Directed upward at 20 degrees-30 degrees craniodistal to caudoproximal. | |
| Shoulder | Tangential oblique (Standard) | Caudomedial-Craniolateral obliqued | Weight-bearing with limb in normal position and image receptor placed vertically cranial to shoulder and pushed medially to ensure that the lateral tuberosity of the humerus will be imaged. | Caudally and is lateral and slightly dorsal to middle of thorax, angled downward, centered at the craniolateral aspect of the proximal humerus. |
Lateral (Optional since lateral recumbency required) | Mediolateral recumbent (ML) | In lateral recumbency with affected limb down and pulled cranially with the humeral head superimposed over the soft tissue of the neck. | Above the patient with the beam perpendicular to the ground and centered on the shoulder joint or area of interest. | |
| Tarsus | DP (two views) (Standard) | Horizontal dorsoplantar (1) 10 degrees dorsoproximal-plantarodistal (2) | For both views: full weight-bearing with digit pointing slightly outward so beam is not under the patient. image receptor against plantar aspect of tarsus parallel with calcaneus. | Dorsally and slightly laterally on MSP centered on palpable trochlea. For view 1: beam is parallel to ground (shows tarsometatarsal joint space) For view 2: angle 10 degrees downward in dorsoproximal to plantarodistal angle (for intertarsal joint space). |
| Lateral (Standard) | Lateromedial | Weight-bearing with limbs evenly on ground and cassette against medial aspect of limb. | 10 cm (4 inches) distal to point of hock. | |
| Stifle | Caudocranial CdCr (Standard) | Caudoproximal-craniodistal standing (CdPr-CrDi) | Weight-bearing with limbs evenly on ground and vertical cassette against cranial aspect of patella at right angle to body wall, placed as far proximal and pushed as far medially as abdomen permits. | Caudal to the joint and directed downward to obtain a “tunnel” view of the distal femur. |
| Lateral (Standard) | Lateromedial | Weight-bearing with limbs evenly on ground and cassette against medial aspect of joint. | Laterally, parallel to the ground and centered distal and caudal to the patella. | |
| Lateral patella (Optional) | Lateromedial (LM) patella | Weight-bearing with limbs evenly on ground and cassette against medial aspect of patella further proximally and cranially than for regular LM view. | Parallel to the ground and centered on the patella. |


aPalmar(o) is used with the understanding that plantar(o) can be substituted when referring to the hind limb.
bFurther specifications with preparation and positioning for the digit: Before a digit radiograph is taken in the bovine patient, the interdigital space and both claws should be cleansed thoroughly and lightly trimmed. If this step is not taken, false images or shadows may mask abnormalities present in the claws. The digits can be viewed radiographically using four angles or projections.6
cOptional views for the carpus include the lateromedial flexed, dorsolateral-palmaromedial oblique (DLPMO), and dorsomedial-palmarolateral oblique (DMPLO). The oblique views are also possible for the elbow joint.
dUsually only the area of the acromion process of the scapula and lateral tubercles of the humerus are visualized on the oblique views and not the character of the shoulder joint. There is extensive scatter radiation due to increased soft tissue. The oblique view is best combined with the lateral view in a recumbent patient.
Further studies of the bovine include pelvis (dorsal recumbency only with hind limbs extended laterally as much as possible); the head (please see the equine for similar positioning); and the spine, thorax, and abdomen (also see as per the equine patient).
Data from Morgan JP: Techniques of Veterinary Radiography, Ames, IA, 1993, Iowa State University Press.
Pelvis, skull, spine, thorax, and abdomen radiographs are completed much like those in horses. In the case of a small calf, radiographs may be performed in the clinic with use of positioning and techniques similar to those used for a large dog. A mobile x-ray machine can be used to take thoracic or abdominal radiographs in a small calf (Fig. 24.62).





Small ruminant patients (sheep/goats) and swine can be radiographed much like small animals (Fig. 24.63). Because they can be easily transported, small ruminant patients are often radiographed within the clinic setting.


Because of their minimal handling experience, however, care must be taken to prevent injury due to patient response to fear (i.e., thrashing of limbs). If the patient is horned, special precautions to prevent injury to staff must be taken. Sedation is recommended to produce quality radiographs in an efficient manner.
The fleece of the ovine patient is dense and may contain dirt and debris (i.e., twigs, clumps of mud/stones). Before imaging, carefully inspect for and remove debris that may produce artifacts within the image.
It is beyond the scope of this text to discuss alternate modalities (Fig. 24.64) in this edition. Additional imaging, such as nuclear scintigraphy, infrared thermal imaging, and MRI, show more features for diagnosis but are considerably more expensive than imaging with the use of x-radiation.


Fig. 24.65 is a mystery radiograph. Review it and answer the question presented with it.

1. Safety is a priority when taking radiographs. To keep personnel away from the central ray when the metacarpus of large animals is being radiographed, you should:
b. Use a foot block with a cassette slot
c. Use a cassette holder with a clamp and long handle
2. When viewing a DMPLO radiograph of the equine fetlock, you should place the image on the viewer so that the proximal cannon bone is positioned:
a. Down with the dorsal aspect to your left
b. Up with the dorsal aspect to your left
c. Up with the dorsal aspect to your right
d. Down with the dorsal aspect to your right
3. To prevent air artifacts when radiographing the equine foot, it is best to use:
4. The dorsal 65-degree proximal–palmarodistal oblique (D65Pr-PaDiO) view of the distal phalanx means that the beam is angled:
a. To the ground, 65 degrees palmaroproximal
b. 65 degrees from the MSP and to the ground
c. 65 degrees to the limb, dorsoproximal
d. To the ground 65 degrees dorsoproximal
5. The dorsal 65-degree proximal–palmarodistal oblique (D65Pr-PaDiO) view of the digit is also known as a:
6. A human wrist is equivalent to the equine:
b. Metacarpal interphalangeal joint
7. For the upright pedal route of the navicular bone the foot will be:
a. Pointed on a block with the beam parallel to the ground
b. Placed flat on the tunnel cassette with the beam angled
c. Placed flat on a block with the beam angled to the ground
d. Placed flat on the tunnel cassette with the beam parallel to the ground
8. For a true DP view of the navicular bone, you need to include the:
d. Coffin bone, navicular, and long pastern
9. The descriptive terminology for a DLPMO is:
a. Dorsal 45-degree proximal lateral–palmarodistomedial oblique
b. Dorsoproximal 45-degree lateral–palmarodistomedial oblique
c. Dorsoproximal 45-degree medial–palmarodistolateral oblique
d. Dorso 45-degree proximal medial–palmarodistolateral oblique
10. You are preparing to image the DMPLO of the digit of a Thoroughbred. The image receptor should be placed at the _______ oblique aspect of the limb and the beam directed dorsal 65-degree proximal and _____________
a. lateral; 45-degree at the lateral
b. lateral; 45-degree at the medial
c. medial; 45-degree at the medial
d. medial; 45-degree at the lateral
11. The veterinarian will request that you complete the DMPLO view of the digit to visualize the __________ wing of the coffin bone, which will appear ____________ on the image.
a. lateral; smaller and denser
b. lateral; larger and less dense
d. medial; larger and less dense
12. To image the fetlock, the image receptor should be placed against the:
a. Medial aspect of the limb, perpendicular to the ground for a flexed lateral view
b. Medial aspect of the limb, perpendicular to the ground for a DP view
c. Medial aspect of the limb, parallel with the ground for a flexed lateral view
d. Lateral side of the limb, perpendicular to the ground for a lateromedial view
a. First and fifth metacarpus/metatarsus
b. Second and fourth metacarpus/metatarsus
c. Second and third metacarpus/metatarsus
d. Third and fourth metacarpus/metatarsus
14. You are required to complete a lateromedial view of the metacarpals of an Arabian. The central ray is:
a. On the medial aspect and angled 90 degrees from the MSP
b. Angled to the ground and 90 degrees from the MSP
c. Parallel to the ground and angled 90 degrees from the MSP
d. Parallel to the ground and angled 45 degrees from the MSP
15. To position for the craniocaudal view of the elbow, place the image receptor on the:
b. Plantar aspect of the joint
c. Cranial aspect of the joint
16. Oblique views are necessary for an equine dental survey to avoid:
a. Increased amount of soft tissue on the head
b. Superimposition of the guttural pouch
c. Superimposition of the frontal sinuses
d. Superimposition of the opposite arcade
17. Pelvic radiographs may be contraindicated in equine patients with a pelvic injury because:
a. Anesthesia poses a risk to the equine patient
b. Patient recovery may cause additional injury
c. Pelvic radiographs are often unsuccessful
d. Pelvic radiographs are never contraindicated
18. The SID for large animals is generally:
a. The same as for small animals
c. Shorter than for small animals
d. Longer than for small animals
19. You are required to complete a carpus DP view for a Holstein cow (dairy). You should position the central ray:
a. Parallel to the ground and slightly lateral to the MSP
b. Parallel to the ground on the MSP
c. Parallel to the ground slightly medial to the MSP
d. At a slight angle to the ground on the MSP
20. The view that is completed for cattle but not performed on an equine P3 is the:
b. Dorsal 45-degree proximal–palmarodistal view
c. Lateromedial (mediolateral) view with interdigital film
d. Dorsal 45-degree lateral–palmaromedial oblique
Chapter Review Question answers are located in the Instructor Resources on Evolve and can be provided to students at the discretion of the Instructor.