Chapter 264 Lymphocytic Choriomeningitis Virus

Daniel J. Bonthius


Lymphocytic choriomeningitis virus (LCMV) is a prevalent human pathogen and an important cause of meningitis in children and adults. This virus is capable of crossing the placenta and infecting the fetus and is also an important cause of neurologic birth defects and encephalopathy in the newborn.

Etiology

LCMV is a member of the family Arenaviridae, which are enveloped, negative-sense single-stranded RNA viruses. The name of the arenaviruses is derived from arenosus, the Latin word for “sandy,” because of the fine granularities observed within the virion on ultrathin electron microscopic sections.

Epidemiology

Like all arenaviruses, LCMV utilizes rodents as its reservoir. The common house mouse, Mus musculus, is both the natural host and the primary reservoir for the virus, which is transferred vertically from one generation of mice to the next via intrauterine infection. Hamsters and guinea pigs are also potential reservoirs. Although heavily infected with LCMV, rodents that acquire the virus transplacentally often remain asymptomatic because congenital infection provides them with immunologic tolerance for the virus. Infected rodents shed the virus in large quantities in nasal secretions, urine, feces, saliva, and milk throughout their lives.

Humans typically acquire LCMV by contacting fomites contaminated with infectious virus or by inhaling aerosolized virus. Most human infections occur during the fall and early winter, when mice move into human habitations. Humans can also acquire the virus via organ transplantation. Congenital LCMV infection occurs when a woman acquires a primary LCMV infection during pregnancy. The virus passes through the placenta to the fetus during maternal viremia. The fetus may also acquire the virus during passage through the birth canal, due to exposure to infected vaginal secretions. Outside of organ transplantation and vertical transmission during pregnancy, there have been no cases of human-to-human transmission of LCMV.

LCMV is prevalent in the environment, has a great geographic range, and infects large numbers of humans. The virus is found throughout the world’s temperate regions and probably occurs wherever the genus Mus has been introduced (which is every continent but Antarctica). According to one epidemiologic study, 9% of house mice are infected. Serologic studies have demonstrated that approximately 5% of adult humans possess antibodies to LCMV, indicating prior exposure and infection.

Pathogenesis

LCMV is not a cytolytic virus. Thus, unlike the pathogenesis of many other nervous system pathogens that directly damage the brain by killing host brain cells, pathogenesis of LCMV involves other underlying mechanisms. Furthermore, the pathogenic mechanisms are different in postnatal (acquired) infection than in prenatal (congenital) infection. A critical difference in the pathogenesis of postnatal versus prenatal infection is that the virus infects brain parenchyma in the case of prenatal infection but is restricted to the meninges and choroid plexus in postnatal cases.

In postnatal infections, LCMV replicates to high titers in the choroid plexus and meninges. Viral antigen within these tissues becomes the target of an acute mononuclear cell infiltration driven by CD8+ T lymphocytes. The presence of lymphocytes in large numbers within the meninges and cerebrospinal fluid (CSF) leads to the symptoms of meningitis that mark acquired LCMV infection. As the lymphocytes clear the virus from the meninges and CSF, the density of lymphocytes declines, and the symptoms of meningitis resolve. Thus, symptoms of acquired (postnatal) LCMV infection are immune-mediated and are due to the presence of large numbers of lymphocytes.

Prenatal infection likewise inflames the tissues surrounding the brain parenchyma, and this inflammation leads to some of the signs of congenital LCMV. In particular, within the ventricular system, congenital LCMV infection often leads to ependymal inflammation, which may block the egress of CSF at the cerebral aqueduct and lead to hydrocephalus. However, unlike postnatal cases, prenatal infection with LCMV includes infection of the substance of the brain, rather than just the meninges or ependyma. This infection of brain parenchyma leads to the substantial neuropathologic changes typically accompanying congential LCMV infection. In particular, LCMV infects the mitotically active neuroblasts, located at periventricular sites. Through an unknown mechanism, presence of the virus kills these periventricular cells, leading to periventricular calcifications, a radiographic hallmark of this disorder. Within the fetal brain, LCMV infection of neurons and glial cells also disrupts neuronal migration, leading to abnormal gyral patterns, and interferes with neuronal mitosis, leading to microcephaly and cerebellar hypoplasia.

Clinical Manifestations

The clinical manifestations of LCMV infection depend on whether the infection occurs prenatally or postnatally. Congenital infection with LCMV is unique, as it involves both the postnatal infection of a pregnant woman and the prenatal infection of a fetus.

Acquired (Postnatal) LCMV Infection

LCMV infection during postnatal life (during childhood or adulthood) typically consists of a brief, self-limited febrile illness. The illness classically consists of two clinical phases. In the first phase, the symptoms mimic a nonspecific viral syndrome and include fever, myalgia, malaise, nausea, anorexia, and vomiting. These symptoms usually resolve after several days but are followed by a second phase, consisting of central nervous system (CNS) disease. The symptoms of this second phase are those of aseptic meningitis, including headache, fever, nuchal rigidity, photophobia, and vomiting. The entire course of the biphasic disease is typically 1-3 wk.

The clinical spectrum of LCMV infection is broad. One third of postnatal infections are asymptomatic. Other patients demonstrate extraneural disease that extends beyond the usual symptoms and may include orchitis, pneumonitis, myocarditis, parotitis, dermatitis, alopecia, and pharyngitis. In others, the neurologic disease may be considerably more severe than usual and may include transverse myelitis, Guillain-Barré-like syndrome, hydrocephalus, and encephalitis. Recovery from acquired LCMV infection is usually complete, but fatalities occasionally occur.

LCMV infections acquired via solid organ transplantation always induce severe disease. Several weeks after transplantation, recipients of infected organs experience fever, leukopenia, and lethargy. Following these nonspecific symptoms, the course of disease rapidly progresses to multiorgan system failure and shock. These cases are almost always fatal.

Congenital LCMV Infection

LCMV infection during pregnancy can kill the fetus and induce spontaneous abortion. Among surviving fetuses, the two clinical hallmarks of congenital LCMV infection are vision impairment and brain dysfunction.

The vision impairment in congenital LCMV infection is due to chorioretinitis and the formation of chorioretinal scars. The scarring is usually bilateral and most commonly located in the periphery of the fundus, but involvement of the macula also occurs.

Although the retinal injuries from congenital LCMV infection are often severe, it is the brain effects that cause the greatest disability. Prenatal infection with LCMV commonly induces either macrocephaly or microcephaly. Macrocephaly following LCMV infection is almost invariably due to noncommunicating hydrocephalus, stemming from inflammation within the ventricular system. Microcephaly is due to virus-induced failure of brain growth. In addition to disturbances of head size, periventricular calcifications are also cardinal features of congenital LCMV infection.

Although hydrocephalus, microencephaly, and periventricular calcifications are by far the most commonly observed abnormalities of the brain in congenital LCMV, other forms of neuropathology can also occur, either alone or in combination. These include periventricular cysts, porencephalic cysts, encephalomalacia, intraparenchymal calcifications, cerebellar hypoplasia, and neuronal migration disturbances.

Infants with congenital LCMV infection typically present during the newborn period with evidence of brain dysfunction. The most common signs are lethargy, seizures, irritability, and jitteriness.

Within the fetus, LCMV has a specific tropism for the brain. Thus, unlike many other congenital infections, LCMV usually does not induce systemic manifestations. Birthweight is typically appropriate for gestational age. Rashes and thrombocytopenia are unusual in congenital LCMV infection. Hepatosplenomegaly is only rarely observed, and serum liver enzyme levels are usually normal. Auditory deficits are unusual.

Laboratory Findings

In acquired (postnatal) LCMV infection, the hallmark laboratory abnormality, CSF pleocytosis occurs, during the second (CNS) phase of the disease. The CSF typically contains hundreds to thousands of white blood cells, almost all of which are lymphocytes. However, CSF eosinophilia may also occur. Mild elevations of CSF protein and hypoglycorrhachia are common.

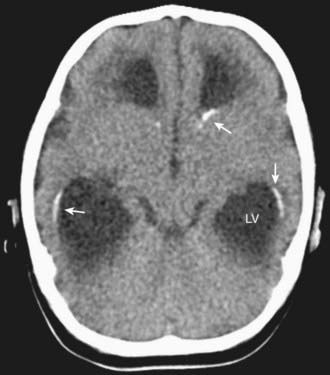
In congenital LCMV infection, laboratory findings in the newborn depend on whether active infection is still present. If the infant still harbors the infection, then examination of the CSF may reveal a lymphocytic pleocytosis. Unlike many other congenital infections, LCMV does not typically induce elevations in liver enzymes, thrombocytopenia, or anemia. In many cases, the most reliably abnormal findings are on the head CT scan, which typically reveals a combination of microencephaly, hydrocephalus, and periventricular calcifications (Fig. 264-1).

image

Figure 264-1 Head CT scan from a 2 mo old microcephalic baby with congenital lymphocytic choriomeningitis virus infection. The scan reveals enlargement of the lateral ventricles (LV) and periventricular calcifications (arrows).

Diagnosis and Differential Diagnosis

Acute LCMV infections can be diagnosed by isolation of the virus from CSF. Polymerase chain reaction (PCR) has also been utilized to detect LCMV RNA in patients with active infections. However, by the time of birth, a baby prenatally infected with LCMV may no longer harbor the virus. Thus, congenital LCMV infection is more commonly diagnosed by serologic testing. The immunofluorescent antibody test detects both immunoglobulin (Ig) M and IgG and has greater sensitivity than the more widely available complement fixation method. The immunofluorescent antibody test is commercially available, and its specificity and sensitivity make it an acceptable diagnostic tool. A more sensitive test for detecting congenital LCMV infection is the enzyme-linked immunosorbent assay (ELISA), which measures titers of LCMV IgG and IgM and is performed at the Centers for Disease Control and Prevention (CDC).

For acquired (postnatal) LCMV infection, the principal items in the differential diagnosis are the other infectious agents that can induce meningitis. These include bacteria, fungi, viruses, and other pathogens. The most common viral causes of meningitis are the enteroviruses and the arboviruses, including LaCrosse encephalitis virus and equine encephalitis virus. LCMV infection is most common in winter, whereas the enteroviruses and arboviruses are most commonly acquired in summer and early fall.

The principal considerations in the differential diagnosis of congenital LCMV infection are the other infectious pathogens that can cross the placenta and damage the developing fetus, including Toxoplasma gondii, rubella virus, cytomegalovirus, herpes simplex virus, and Treponema pallidum. Toxoplasmosis and cytomegalovirus infection are particularly difficult to differentiate from LCMV infection, because all three of these infections can produce microcephaly, intracerebral calcifications, and chorioretinitis. Although clinical clues may aid in distinguishing one congenital infection from another, definitive identification of the causative infectious agent usually requires laboratory data, including cultures and serologic studies.

Complications

Complications in children with congenital LCMV infection are nonspecific and include the medical problems that commonly arise in scenarios involving ventriculoperitoneal shunts, severe seizure disorders, and static encephalopathy. These complications include shunt failure or infection, aspiration pneumonia, injuries from falls, and joint contractures.

Treatment

There is no specific treatment for acquired or congenital LCMV infection. An effective antiviral therapy for LCMV infection has not yet been developed. Ribavirin is active against LCMV and other arenaviruses in vitro, but its utility in vivo is unproven. Immunosuppressive therapy, if present, should be reduced.

Supportive Care

Children with hydrocephalus due to congenital LCMV infection often require placement of a ventriculoperitoneal shunt during infancy for treatment of hydrocephalus. Seizures often begin during early postnatal life, often are difficult to control, and typically require administration of multiple antiepileptic medications. The mental retardation induced by congenital LCMV infection is often profound. In most cases, affected children should be referred for educational intervention during early life. The spasticity accompanying congenital LCMV infection is often severe. Although physical therapy can help to maintain range of motion and minimize painful spasms and contractures, implantation of a baclofen pump may be helpful.

Prognosis

The great majority of patients with postnatally acquired LCMV infection have a full recovery with no permanent sequelae. Rarely, postnatal infections induce hydrocephalus and require shunting. Rarer yet, postnatal LCMV infection is fatal.

In contrast to the usual benign outcome of postnatal infections, prenatal infections typically lead to severe and permanent disability. In children with congenital LCMV infection, brain function is nearly always impaired, and chorioretinitis is invariably present. Mental retardation, cerebral palsy, ataxia, epilepsy, and blindness are common neurologic sequelae. However, children with congenital LCMV infection have diverse outcomes. All children with the combination of microencephaly and periventricular calcifications have profound neurologic impairment. Blindness, medically refractory epilepsy, spastic quadriparesis, and mental retardation are typical of this group. However, other children with congenital LCMV infection who do not have the combination of microencephaly and periventricular calcifications often have a more favorable outcome, with less severe motor, mental, and vision impairments. Children with isolated cerebellar hypoplasia may be ataxic but have only mild or moderate mental retardation and vision loss.

Prevention

No vaccine exists to prevent LCMV infection. However, measures can be taken to reduce the risk of infection. Because rodents, especially house mice, are the principal reservoir of LCMV, people can reduce their risk of contracting LCMV by minimizing their exposure to the secretions and excretions of mice. This can be accomplished most effectively by eliminating cohabitation with mice. Congenital LCMV infection does not occur unless a woman contracts a primary infection with LCMV during pregnancy. Thus, women should be especially careful to avoid contact or cohabitation with mice during pregnancy. Pregnant women should also avoid contact with pet rodents, especially mice and hamsters. These facts should be stressed during prenatal visits.

Acquisition of LCMV from solid organ transplantation represents a substantial risk to organ recipients. Prospective donors with LCMV meningitis or encephalitis pose a clear risk for transmitting a fatal infection to recipients. Health care providers, transplant centers, and organ procurement organizations should be aware of the risks posed by LCMV and should consider LCMV in any potential donor with signs of aseptic meningitis but no identified infectious agent. The risks and benefits of offering and receiving organs from donors with possible LCMV infection should be carefully considered.

Bibliography

Bonthius DJ, Karacay B. Meningitis and encephalitis in children: an update. Neurol Clin. 2002;20:1013-1038.

Bonthius DJ, Nichols B, Harb H, et al. Lymphocytic choriomeningitis virus infection in brain: critical role of host age. Ann Neurol. 2007;62:356-374.

Bonthius DJ, Perlman S. Congenital viral infections of the brain: lessons learned from lymphocytic choriomeningitis virus in the neonatal rat. PLoS Pathogens. 2007;3:e149.

Bonthius DJ, Wright R, Tseng B, et al. Congenital lymphocytic choriomeningitis virus infection: spectrum of disease. Ann Neurol. 2007;62:347-355.

Centers for Disease Control and Prevention. Lymphocytic choriomeningitis virus transmitted through solid organ transplantation—Massachusetts, 2008. MMWR Morb Mortal Wkly Rep. 2008;57:799-800.

Centers for Disease Control and Prevention. Update: interim guidance for minimizing risk for human lymphocytic choriomeningitis virus infection associated with pet rodents. MMWR Morb Mortal Wkly Rep. 2005;54:799-801.

Childs J, Glass G, Korch G, et al. Lymphocytic choriomeningitis virus infection and house mouse (Mus musculus) distribution in urban Baltimore. Am J Trop Med. 1992;47:27-34.

Farmer M, Sebire G. Genetic mimics of congenital lymphocytic choriomeningitis virus encephalitis. Ann Neurol. 2008;64:353-355.

Fischer SA, Graham MB, Kuehnert MJ, et al. Transmission of lymphocytic choriomeningitis virus by organ transplantation. N Engl J Med. 2006;34:2235-2249.

Mets MB, Barton LL, Khan AS, et al. Lymphocytic choriomeningitis virus: an underdiagnosed cause of congenital chorioretinitis. Am J Ophthalmol. 2000;130:209-215.

Wright R, Johnson D, Neumann M, et al. Congenital lymphocytic choriomeningitis virus syndrome: a disease that mimics congenital toxoplasmosis or cytomegalovirus infection. Pediatrics. 1997;100:E9.