Chapter 288 Lymphatic Filariasis (Brugia malayi, Brugia timori, and Wuchereria bancrofti)

Arlene E. Dent, James W. Kazura

Etiology

The filarial worms Brugia malayi (Malayan filariasis), Brugia timori, and Wuchereria bancrofti (bancroftian filariasis) are threadlike nematodes that cause similar infections. Infective larvae are introduced into humans during blood feeding by the mosquito vector. Over a period of 4-6 mo, the larval forms develop into sexually mature adult worms. Once an adequate number of male and female worms accumulate in the afferent lymphatic vessels, adult female worms release large numbers of microfilariae that circulate in the bloodstream. The life cycle of the parasite is completed when mosquitoes ingest microfilariae in a blood meal, which molt to form infective larvae over a period of 10-14 days. Adult worms have a 5-7 yr life span.

Epidemiology

More than 120 million people living in tropical Africa, Asia, and Latin America are infected; approximately 10-20% of these individuals have clinically significant morbidity attributable to filariasis. W. bancrofti is transmitted in Africa, Asia, and Latin America and accounts for 90% of lymphatic filariasis. B. malayi is restricted to the South Pacific and Southeast Asia, and B. timori is restricted to several islands of Indonesia. Travelers from nonendemic areas of the world who spend brief periods of time in endemic areas are rarely infected. Global elimination has been targeted for 2020.

Clinical Manifestations

The clinical manifestations of B. malayi, B. timori, and W. bancrofti infection are similar; manifestations of acute infection include transient, recurrent lymphadenitis and lymphangitis, The early signs and symptoms include episodic fever, lymphangitis of an extremity, lymphadenitis (especially the inguinal and axillary areas), headaches, and myalgias that last a few days to several weeks. These symptoms are caused by an acute inflammatory response triggered by death of adult worms. Initial damage to lymphatic vessels may remain subclinical for years. The syndrome is most frequently observed in young persons 10-20 yr of age. Manifestations of chronic lymphatic filariasis occur mostly in adults 30 yr of age or older and result from anatomic and functional obstruction to lymph flow. This obstruction results in lymphedema of the legs, arms, breasts, and/or genitalia. Male genital involvement such as hydrocele is very common in W. bancrofti infection but uncommon in Brugia species infection. Chronic lymphedema predisposes affected extremities to bacterial superinfections, sclerosis, and verrucous skin changes, resulting in elephantitis, which may involve 1 or more limbs, the breasts, or genitalia. It is uncommon for children to have overt signs of chronic filariasis.

Tropical Pulmonary Eosinophilia

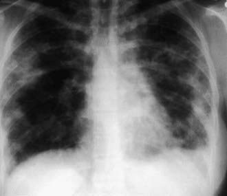
The presence of microfilariae in the body has no apparent pathologic consequences except in persons with tropical pulmonary eosinophilia, a syndrome of filarial etiology in which microfilariae are found in the lungs and lymph nodes but not the bloodstream. It occurs only in individuals who have lived for years in endemic areas. Men 20-30 yr of age are most likely to be affected, although the syndrome occasionally occurs in children. The presentation includes paroxysmal nocturnal cough with dyspnea, fever, weight loss, and fatigue. Rales and rhonchi are found on auscultation of the chest. The x-ray findings may occasionally be normal, but increased bronchovascular markings, discrete opacities in the middle and basal regions of the lung, or diffuse miliary lesions are usually present (Fig. 288-1). Recurrent episodes may result in interstitial fibrosis and chronic respiratory insufficiency in untreated individuals. Hepatosplenomegaly and generalized lymphadenopathy are often seen in children. The diagnosis is suggested by residence in a filarial endemic area, eosinophilia (>2,000/µL), compatible clinical symptoms, increased serum IgE (>1,000 IU/mL), and high titers of antimicrofilarial antibodies in the absence of microfilaremia. Although microfilariae may be found in sections of lung or lymph node, biopsy of these tissues is unwarranted in most situations. The clinical response to diethylcarbamazine (2 mg/kg/dose tid PO for 12-21 days) is the final criterion for diagnosis; the majority of patients improve with this therapy. If symptoms recur, a 2nd course of the anthelmintic should be administered. Patients with chronic symptoms are less likely to show improvement than those who have been ill for a short time.

image

Figure 288-1 Chest radiograph of a woman with tropical pulmonary eosinophilia. Reticulondular opacities are scattered throughout both lungs.

(From Mandell GL, Bennett JE, Dolin R, editors: Principles and practice of infectious diseases, vol 2, ed 6, Philadelphia, 2006, Elsevier, p 3274.)

Diagnosis

Demonstration of microfilariae in the blood is the primary means for confirming the diagnosis of lymphatic filariasis. Because microfilaremia is nocturnal in most cases, blood samples should be obtained between 10 P.M. and 2 A.M. Anticoagulated blood is passed through a Nuclepore filter that is stained and examined microscopically for microfilariae. Adult worms or microfilariae can be identified in tissue specimens obtained at biopsy. Infection with W. bancrofti in the absence of blood-borne microfilariae may be diagnosed by detection of parasite antigen in the serum. Adult worms in lymphatic vessels can be visualized by ultrasonography.

Treatment

The use of antifilarial drugs in the management of acute lymphadenitis and lymphangitis is controversial. No controlled studies demonstrate that administration of drugs such as diethylcarbamazine modifies the course of acute lymphangitis. Diethylcarbamazine may be given to asymptomatic microfilaremic persons to lower the intensity of parasitemia. The drug also kills a proportion of the adult worms. Because treatment-associated complications such as pruritus, fever, generalized body pain, hypotension, and even death may occur, especially with high microfilarial levels, the dose of diethylcarbamazine should be increased gradually (children, 1 mg/kg PO as a single dose on day 1, 1 mg/kg tid PO on day 2, 1-2 mg/kg tid PO on day 3, and 6 mg/kg/day divided tid PO on days 4-14; adults, 50 mg PO on day 1, 50 mg tid PO on day 2, 100 mg tid PO on day 3, and 6 mg/kg/day divided tid PO on days 4-14). For patients with no microfilaria in the blood, the full dose (6 mg/kg/day divided tid PO) can be given beginning on day 1. Repeat doses may be necessary to further reduce the microfilaremia and kill lymph-dwelling adult parasites. W. bancrofti is more sensitive than B. malayi to diethylcarbamazine.

Global programs to control and ultimately eradicate lymphatic filariasis currently recommend a single annual dose of diethylcarbamazine (6 mg/kg PO once) in combination with albendazole (400 mg PO once) for 5 yr. In co-endemic areas of filariasis and onchocerciasis, mass drug applications with single-dose ivermectin (150 µg/kg PO once) and albendazole are used because of severe adverse reactions with diethylcarbamazine in onchocerciasis-infected individuals. Five years of annual mass treatment is thought to be necessary to stop transmission. Adjuvant medicines (e.g., doxycycline) that target endosymbiont bacteria (Wolbachia) in filarial parasites may accelerate eradication.

Bibliography

Kazura JW, Bockarie MJ. Lymphatic filariasis in Papua New Guinea: interdisciplinary research on a national health problem. Trends Parasitol. 2003;19:260-263.

Melrose WD, Durrheim DD, Burgess GW. Update on immunological tests for lymphatic filariasis. Trends Parasitol. 2004;20:255-257.

Molyneux DH. 10 years of success in addressing lymphatic filariasis. Lancet. 2009;373:529-530.

Molyneux DH. Elimination of transmission of lymphatic filariasis in Egypt. Lancet. 2006;367:966-968.

Ottesen EA, Hooper PJ, Bradley M, et al. The global programme to eliminate lymphatic filariasis: health impact after 8 years. PLoS Negl Trop Dis. 2008;2:e317.

Ramzy RMR, El Setouhy M, Helmy H, et al. Effect of yearly mass drug administration with diethylcarbamazine and albendazole on bancroftian filariasis in Egypt: a comprehensive assessment. Lancet. 2006;367:992-999.

Shenoy RK, Suma TK, Kumaraswami V, et al. Antifilarial drugs, in the doses employed in mass drug administrations by the Global Programme to Eliminate Lymphatic Filariasis, reverse lymphatic pathology in children with Brugia malayi infection. Ann Trop Med Parasitol. 2009;103:235-247.

Stolk WA, de Vlas SJ, Habbema JDF. Anti-Wolbachia treatment for lymphatic filariasis. Lancet. 2005;365:2067-2068.

Supali T, Djuardi Y, Pfarr KM, et al. Doxycycline treatment of Brugia malayi-infected persons reduces microfilaremia and adverse reactions after diethylcarbamazine and albendazole treatment. Clin Infect Dis. 2008;46:1385-1393.

Taylor M, Hoerauf A, Bockarie M. Lymphatic filariasis and onchocerciasis. Lancet. 2010;376:1175-1182.

Weil GJ, Kastens W, Susapu M, et al. The impact of repeated rounds of mass drug administration with diethylcarbamazine plus albendazole on bancroftian filariasis in Papua New Guinea. PLoS Negl Trop Dis. 2008;2:e344.