Chapter 304 Dental Caries

Norman Tinanoff

Etiology

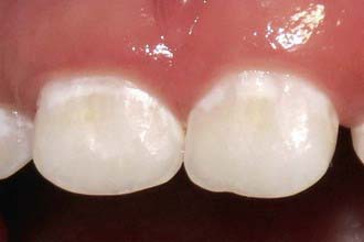
The development of dental caries depends on interrelationships among the tooth surface, dietary carbohydrates, and specific oral bacteria. Organic acids produced by bacterial fermentation of dietary carbohydrates reduce the pH of dental plaque adjacent to the tooth to a point where demineralization occurs. The initial demineralization appears as an opaque white spot lesion on the enamel, and with progressive loss of tooth mineral, cavitation of the tooth occurs (Fig. 304-1).

image

Figure 304-1 Initial carious lesions (white spot lesions) around the necks of the maxillary central incisors.

The group of microorganisms Streptococcus mutans are associated with the development of dental caries. These bacteria have the ability to adhere to enamel, produce abundant acid, and survive at low pH. Once the enamel surface cavitates, other oral bacteria (lactobacilli) can colonize the tooth, produce acid, and foster further tooth demineralization. Demineralization from bacterial acid production is determined by the frequency of carbohydrate consumption and by the type of carbohydrate. Sucrose is the most cariogenic sugar because one of its by-products during bacterial metabolism is glucan, a polymer that enables bacteria to adhere more readily to tooth structures. Dietary behaviors, such as consuming sweetened beverages in a nursing bottle or frequently consuming sticky candies, increase the cariogenic potential of foods because of the long retention of sugar in the mouth.

Epidemiology

The incidence of dental caries has decreased in developed countries in the past 30 years but has not decreased and remains highly prevalent among low-income children and children from developing countries. More than half of the children in the United States have dental caries, with most of those having caries primarily in the pits and fissures of the occlusal (biting) surfaces of the molar teeth.

Clinical Manifestations

Dental caries of the primary dentition usually begins in the pits and fissures. Small lesions may be difficult to diagnose by visual inspection, but larger lesions are evident as darkened or cavitated lesions on the tooth surfaces (Fig. 304-2). Rampant dental caries in infants and toddlers, referred to as early childhood caries (ECC), is the result of a child colonized early with cariogenic bacteria and the frequent ingestion of sugar, either in the bottle or in solid foods. The carious process in this situation is initiated earlier and consequently can affect the maxillary incisors first and then progress to the molars as they erupt.

image

Figure 304-2 Rampant caries in a 3 yr old child. Note darkened and cavitated lesions on the fissure surfaces of mandibular molars.

The prevalence of ECC is 30-50% in children from low socioeconomic backgrounds and as high as 70% in some Native American groups. Besides high frequency of sugar consumption and colonization with cariogenic bacteria, other enabling factors include low socioeconomic status of the family, other family member with carious teeth, recent immigrant status of the child, and the visual presence of dental plaque on the child’s teeth. Children who develop caries at a young age are known to be at high risk for developing further caries as they get older. Therefore, the appropriate prevention of early childhood caries can result in the elimination of major dental problems in toddlers and less decay in later childhood.

Complications

Left untreated, dental caries usually destroy most of the tooth and invade the dental pulp (Fig. 304-3), leading to an inflammation of the pulp (pulpitis) and significant pain. Pulpitis can progress to pulp necrosis, with bacterial invasion of the alveolar bone causing a dental abscess (Fig. 304-4). Infection of a primary tooth can disrupt normal development of the successor permanent tooth. In some cases this process leads to sepsis and infection of the facial space.

image

Figure 304-3 Basic dental anatomy: 1, enamel; 2, dentin; 3, gingival margin; 4, pulp; 5, cementum; 6, periodontal ligament; 7, alveolar bone; 8, neurovascular bundle.

image

Figure 304-4 Facial swelling from an abscessed primary molar. Resolution of the inflammation can be achieved by a course of antibiotics, followed by either extraction or root canal of the offending tooth.

Treatment

The age at which dental caries occurs is important in dental management. Children <3 yr of age lack the developmental ability to cooperate with dental treatment and often require restraint, sedation, or general anesthesia to repair carious teeth. After age 4 yr, children can generally cope with dental restorative care with the use of local anesthesia.

Dental treatment, using silver amalgam, plastic composite, or stainless steel crowns, can restore most teeth affected with dental caries. If caries involves the dental pulp, a partial removal of the pulp (pulpotomy) or complete removal of the pulp (pulpectomy) may be required. If a tooth requires extraction, a space maintainer may be indicated to prevent migration of teeth, which subsequently leads to malposition of permanent successor teeth.

Clinical management of the pain and infection associated with untreated dental caries varies with the extent of involvement and the medical status of the patient. Dental infection localized to the dentoalveolar unit can be managed by local measures (extraction, pulpectomy). Oral antibiotics are indicated for dental infections associated with fever, cellulitis, and facial swelling, or if it is difficult to anesthetize the tooth in the presence of inflammation. Penicillin is the antibiotic of choice, except in patients with a history of allergy to this agent. Clindamycin and erythromycin are suitable alternatives. Oral analgesics, such as ibuprofen, are usually adequate for the pain control.

Prevention

Because they are seeing infants and toddlers on a periodicity schedule, physicians have an important role in screening children <3 yr of age for dental caries; providing preventive instructions; applying preventive measures, such as fluoride varnish; and referring the child to a dentist if problems exist.

Fluoride

The most effective preventive measure against dental caries is communal water supplies optimized to 1 ppm fluoride. Children who reside in areas with fluoride-deficient water supplies and are at risk for caries benefit from dietary fluoride supplements (Table 304-1). If the patient uses a private water supply, it is necessary to get the water tested for fluoride levels before prescribing fluoride supplements. To avoid potential overdoses, no fluoride prescription should be written for more than a total of 120 mg of fluoride. However, because of confusion regarding fluoride supplements among practitioners and parents, association of supplements with fluorosis, and lack of parent compliance with the daily administration, supplements may no longer be the first-line approach for preventing caries in preschool children.

Table 304-1 SUPPLEMENTAL FLUORIDE DOSAGE SCHEDULE

image

Topical fluoride on a daily basis can be achieved by using fluoridated toothpaste. Supervised use of a “pea-sized” amount of toothpaste (approximately 1/4 g) on the toothbrush in children <6 yr of age reduces the risk of fluorosis. Children <2 yr of age, who are at risk for caries, should brush with a “smear” of fluoridated toothpaste. Professional topical fluoride applications performed semiannually reportedly reduce caries by approximately 30%. Fluoride varnish is ideal for professional applications in preschool children because of ease of use, even with non–dental health providers, and its safety due to single-dose dispensers. Products that are available now come in containers of 0.25, 0.4, or 0.6 mL of varnish, corresponding to 12.5, 20, or 30 mg fluoride, respectively. Fluoride varnish should be administered twice a year for preschool children at moderate caries risk and four times a year for children at high caries risk.

Oral Hygiene

Daily brushing, especially with fluoridated toothpaste, helps prevent dental caries. Most children <8 yr of age do not have the coordination required for adequate tooth brushing. Accordingly, parents should assume responsibility for the child’s oral hygiene, with the degree of parental involvement appropriate to the child’s changing abilities.

Diet

Frequent consumption of fruit juice is not generally recognized by parents for its high cariogenic potential. Therefore, consuming sweetened beverages in a nursing bottle or sippy cup should be discouraged, and special efforts must be made to instruct parents that their child should only consume juices at meal times and not exceed 6 oz per day.

Dental Sealant

Plastic dental sealants have been shown to be effective in preventing caries on the pit and fissure of the primary and permanent molars. Sealants are most effective when placed soon after teeth erupt and used in children with deep grooves and fissures in the molar teeth.

Bibliography

American Academy of Pediatrics Section on Pediatric Dentistry and Oral Health. Preventive oral health intervention for pediatricians. Pediatrics. 2008;122:1387-1394.

Ammari JB, Baqain ZH, Ashley PF. Effects of programs for prevention of early childhood caries. A systematic review. Med Princ Pract. 2007;16:437-442.

Centers for Disease Control and Prevention. Populations receiving optimally fluoridated public drinking water—United States, 1992–2006. MMWR. 2008;57:737-740.

Cheng KK, Chalmers I, Sheldon TA. Adding fluoride to water supplies. BMJ. 2007;335:699-702.

Dye BA, Tan S, Smith V, et al. Trends in oral health status: United States, 1988–1994 and 1999–2004. National Center for Health Statistics. Vital Health Stat. 2007;11:248.

The Lancet. Oral health: prevention is key. Lancet. 2009;373:1.

Milgrom P, Ly KA, Tut OK, et al. Xylitol pediatric topical oral syrup to prevent dental caries. Arch Pediatr Adolesc Med. 2009;163:601-606.

Selwitz RH, Ismail AI, Pitts NB. Dental caries. Lancet. 2007;369:51-58.

Twetman S. Prevention of early childhood caries (ECC)—review of literature published 1998–2007. Arch Paediatr Dent. 2008;9:12-18.

Weintraub JA, Ramos-Gomez F, June B. Fluoride varnish efficacy in preventing early childhood caries. J Dent Res. 2006;85:172-176.