Chapter 335 Acute Appendicitis

John J. Aiken, Keith T. Oldham


Acute appendicitis, despite a declining incidence in the United States in the past half century, remains the most common acute surgical condition in children and a major cause of childhood morbidity. Approximately 80,000 children are affected annually in the United States, a rate of 4/1,000 children <14 yr of age. Although since the turn of the century there has been a trend toward shorter hospital stays, appendicitis accounts for >1 million hospital days utilized per year. Mortality is low, but morbidity remains high, mostly in association with perforated appendicitis.

The methods of diagnosis and treatment of appendicitis vary significantly among clinicians and hospitals, and consensus regarding a best practice approach to the child who presents with the chief complaint of abdominal pain and suspected appendicitis has been elusive. Management has changed substantially in the past several decades with improved antibiotics regimens, advances in imaging techniques, percutaneous drainage procedures by interventional radiologists, initial nonoperative management in selected cases, and the use of laparoscopy.

Pathology

Acute appendicitis is most likely a disease of multiple etiologies, the final common pathway of which involves invasion of the appendiceal wall by bacteria. One pathway to acute appendicitis begins with luminal obstruction; inspissated fecal material, lymphoid hyperplasia, ingested foreign body, parasites, and tumors have been implicated. Obstruction of the appendiceal lumen results in increasing intraluminal pressures from bacterial proliferation and continued secretion of mucus. Elevated intraluminal pressure, in turn, leads to lymphatic and venous congestion and edema followed by impaired arterial perfusion, eventually leading to ischemia of the wall of the appendix, bacterial invasion with inflammatory infiltrate of all layers of the appendiceal wall, and necrosis. This progression correlates with progression from simple appendicitis to gangrenous appendicitis and, thereafter, appendiceal perforation. Submucosal lymphoid follicles, which can obstruct the appendiceal lumen, are few at birth but multiply steadily during childhood, reaching a peak in number during the teen years, when acute appendicitis is most common, and declining after age 30 yr. Fecaliths and appendicitis are more common in developed countries with refined, low-fiber diets than in developing countries with a high-fiber diet; no causal relationship has been established between lack of dietary fiber and appendicitis.

The finding that <50% of specimens from cases of acute appendicitis demonstrate luminal obstruction on pathologic examination has prompted investigations of alternative etiologies. Enteric infection likely plays a role in many cases in association with mucosal ulceration and invasion of the appendiceal wall by bacteria. Bacteria such as Yersinia, Salmonella, and Shigella spp and viruses such as mumps, coxsackievirus B, and adenovirus have been implicated. In addition, case reports demonstrate the occurrence of appendicitis from ingested foreign bodies, in association with carcinoid tumors of the appendix or Ascaris and following blunt abdominal trauma. Children with cystic fibrosis have an increased incidence of appendicitis; the cause is believed to be the abnormal thickened mucus. Appendicitis in neonates is rare and warrants evaluation for cystic fibrosis and Hirschsprung disease.

A primary focus in the management of acute appendicitis is avoidance of sepsis and the infectious complications mostly seen in association with perforation. Bacteria can be cultured from the serosal surface of the appendix before microscopic or gross perforation and bacterial invasion of the mesenteric veins can result in portal vein sepsis (pylephlebitis) and liver abscess. Subsequent to perforation, the microbiologic fecal contamination may be localized to the right lower quadrant (RLQ) or pelvis by the omentum and adjacent loops of bowel, resulting in a localized abscess or inflammatory mass (phlegmon), or alternatively, the fecal contamination can spread throughout the peritoneal cavity, causing diffuse peritonitis. Young children typically have a poorly developed omentum and are often unable to control the local infection. Perforation and abscess formation with appendicitis can lead to fistula formation in adjacent organs, scrotal cellulitis and abscess through a patent processus vaginalis (congenital indirect inguinal hernia), or small bowel obstruction.

Clinical Features

Appendicitis is most common in older children, with peak incidence between the age of 12 and 18 yr; it is rare in children <5 yr of age (<5% of cases) and extremely rare (<1% of cases) in children <3 yr of age. It affects boys slightly more often than girls and whites more often than blacks in the United States. There is a seasonal peak incidence in autumn and spring. There appears to be a familial predisposition in some cases, particularly in children in whom appendicitis develops before age 6 yr.

Perforation is most common in young children, with rates as high as 82% for children <5 yr and approaching 100% in infants. There is an increased incidence of perforated appendicitis in children of minority race and children with Medicaid health insurance.

Appendicitis in children has an immensely broad spectrum of clinical presentation. The signs and symptoms can be classic or atypical and quite variable depending on the timing of presentation, the patient’s age, the position of the appendix, and individual variability in the evolution of the disease process. Children early in the disease process can appear well and have minimal symptoms, subtle findings on physical examination, and normal laboratory studies; those with perforation and advanced peritonitis often demonstrate bowel obstruction, renal failure, and septic shock.

Despite advances in imaging technology and computer-assisted decision-making models and scoring systems, accurate diagnosis can be difficult, and perforation rates have not changed in the past few decades.

Whereas the classic presentation of acute appendicitis is well described, this represents less than half the cases; therefore, most cases of appendicitis have an “atypical” presentation. The illness typically begins insidiously with generalized malaise and anorexia; the child does not appear ill and the family is not likely to seek consultation assuming the child has “stomach flu” or a viral syndrome. Unfortunately, if the diagnosis is appendicitis, the illness escalates rapidly with abdominal pain followed by vomiting; appendiceal perforation is likely to occur within 48 hr of the onset of illness, and the opportunity for diagnosis before perforation is generally brief.

Abdominal pain is consistently the primary and often the first symptom and begins shortly (hours) after the onset of illness. The pain is initially vague, unrelated to activity or position, often colicky, and periumbilical in location as a result of visceral inflammation from a distended appendix. Progression of the inflammatory process in the next 12-24 hr leads to involvement of the adjacent parietal peritoneal surfaces, resulting in somatic pain localized to the RLQ. The pain becomes steady and more severe and is exacerbated by movement. The child often describes marked discomfort with the “bumpy” car ride to the hospital, moves cautiously, and has difficulty getting onto the examining room stretcher. Nausea and vomiting occur in more than half the patients and usually follow the onset of abdominal pain by several hours. Anorexia is a classic and consistent finding in acute appendicitis, but occasionally, affected patients are hungry. Diarrhea and urinary symptoms are also common, particularly in cases of perforated appendicitis when there is likely inflammation near the rectum and possible abscess in the pelvis. Because enteric infections can cause appendicitis, diarrhea may be the initial manifestation and gastroenteritis may be the assumed diagnosis. In contrast to gastroenteritis, the abdominal pain in appendicitis is constant (not cramping or relieved by defecation), the emesis may become bile stained and persistent, and the clinical course worsens rather than improves over time. Fever is typically low-grade unless perforation has occurred. Most patients demonstrate at least mild tachycardia.

The temporal progression of symptoms from vague mild pain, malaise, and anorexia to severe localized pain, fever, and vomiting typically occurs rapidly, in 24-48 hr in the majority of cases. If the diagnosis is delayed beyond 36-48 hr, the perforation rate exceeds 65%. A period after perforation of lessened abdominal pain and acute symptoms has been described, presumably with the elimination of pressure within the appendix. If the omentum or adjacent intestine is able to wall off the infectious process, the evolution of illness is less predictable and delay in presentation is likely. If perforation leads to diffuse peritonitis, the child generally has escalating diffuse abdominal pain and rapid development of toxicity evidenced by dehydration and by signs of sepsis including hypotension, oliguria, acidosis, and high-grade fever. When several days have elapsed in the progression of appendicitis, patients often develop signs and symptoms of developing small bowel obstruction. If the appendix is retrocecal, appendicitis predictably evolves more slowly and patients are likely to relate 4-5 days of illness preceding evaluation. The pain is lateral and posterior and can mimic the symptoms associated with septic arthritis of the hip or a psoas muscle abscess.

Atypical clinical features include absence of fever, Rovsing sign, rebound pain, migration of pain, guarding, and anorexia in 30-50% of pediatric patients. Other atypical features include normal to increased bowel sounds and an abrupt onset of pain.

Physical Examination

The hallmark of diagnosing acute appendicitis remains a careful and thorough history and physical examination. A primary focus of the initial assessment is attention to the temporal evolution of the illness in relation to specific presenting signs and symptoms. In many children, appendicitis can be confidently diagnosed on clinical examination alone and they can thus be spared the treatment delay, expense, and possible radiation exposure associated with imaging studies.

Physical examination begins with inspection of the child’s demeanor as well as the appearance of the abdomen. Because appendicitis most often has an insidious onset, children rarely present <12 hr from the onset of illness, and the children who do present early are likely to have minimal findings. Children with early appendicitis (18-36 hr) typically appear mildly ill and move tentatively, hunched forward and often with a slight limp favoring the right side. Supine, they often lie quietly on their right side with their knees pulled up to relax the abdominal muscles, and when asked to lie flat or sit up, they move cautiously and might use a hand to protect the RLQ.

Early in appendicitis, the abdomen is typically flat; abdominal distention suggests more advanced disease characteristic of perforation or developing small bowel obstruction. Auscultation can reveal normal or hyperactive bowel sounds in early appendicitis, which are replaced by hypoactive bowel sounds as the disease progresses to perforation. The judicious use of morphine analgesia to relieve abdominal pain does not change diagnostic accuracy or interfere with surgical decision-making, and patients should receive adequate pain control.

Localized abdominal tenderness is the single most reliable finding in the diagnosis of acute appendicitis. In 1899, McBurney described the classic point of localized tenderness in acute appendicitis, which is the junction of the lateral and middle thirds of the line joining the right anterior-superior iliac spine and the umbilicus, but the tenderness can also localize to any of the aberrant locations of the appendix. Localized tenderness is a later and less-consistent finding when the appendix is retrocecal in position.

A gentle touch on the child’s arm at the beginning of the examination with the reassurance that the abdominal examination will be similarly gentle can help to establish trust and increase the chance for a reliable and reproducible examination. The examination is best initiated in the left lower abdomen, so that the immediate part of the exam is not uncomfortable, and conducted in a counterclockwise direction moving to the left upper abdomen, right upper abdomen, and lastly, the right lower abdomen. This should alleviate anxiety, allow relaxation of the abdominal musculature, and enhance trust. The examiner makes several “circles” of the abdomen with sequentially more pressure.

A consistent finding in acute appendicitis is rigidity of the overlying rectus muscle. This rigidity may be voluntary, to protect the area of tenderness from the examiner’s hand, or involuntary, secondary to peritonitis causing spasm of the overlying muscle. Physical examination findings must be interpreted relative to the temporal evolution of the illness. Abdominal tenderness may be vague or even absent early in the course of appendicitis and is often diffuse after rupture. Rebound tenderness and referred rebound tenderness (Rovsing sign) are also consistent findings in acute appendicitis but not always present. Rebound tenderness is elicited by deep palpation of the abdomen followed by the sudden release of the examining hand. This is often very painful to the child and has demonstrated poor correlation with peritonitis, so it should be avoided. Gentle finger percussion is a better test for peritoneal irritation. Similarly, digital rectal examination is uncomfortable and unlikely to contribute to the evaluation of appendicitis in most cases. Rectal exam may be helpful in selected cases, including when the diagnosis is in doubt, when a pelvic appendix or abscess is suspected, or in adolescent girls when ovarian pathology is suspected. Psoas and obturator internus signs are pain with passive stretch of these muscles. The psoas sign is elicited with active right thigh flexion or passive extension of the hip and typically positive in cases of a retrocecal appendix. The obturator sign is demonstrated by adductor pain after internal rotation of the flexed thigh and typically positive in cases of a pelvic appendix. Physical examination may demonstrate a mass in the RLQ representing an inflammatory phlegmon around the appendix or a localized abscess.

Diagnostic Studies

Laboratory Findings

A variety of laboratory tests have been used in the evaluation of children with suspected appendicitis. Individually, none are very sensitive or specific for appendicitis, but collectively they can affect the clinician’s level of suspicion and decision-making to proceed with pediatric surgery consultation, discharge, or imaging studies. Findings should be interpreted with attention to the temporal evolution of the illness.

A complete blood count with differential and urinalysis are commonly obtained.

The leukocyte count in early appendicitis (<24 hr of illness) may be normal and typically is mildly elevated with a left shift (11,000-16,000/mm3) as the illness progresses in the 1st 24-48 hr. Whereas a normal white blood cell count (WBC) never completely eliminates appendicitis, a count <8,000/mm3 in a patient with a history of illness >48 hr should be viewed as highly suspicious for an alternative diagnosis. The leukocyte count may be markedly elevated (>20,000/mm3) in perforated appendicitis and rarely in nonperforated cases; a markedly elevated WBC, other than in cases of advanced, perforated appendicitis, should raise suspicion of an alternative diagnosis.

Urinalysis often demonstrates a few white or red blood cells, due to proximity of the inflamed appendix to the ureter or bladder, but it should be free of bacteria. The urine is often concentrated and contains ketones from diminished oral intake and vomiting. Gross hematuria is uncommon and suggests primary renal pathology.

Electrolytes and liver chemistries are generally normal unless there has been a delay in diagnosis, leading to severe dehydration and/or sepsis. Amylase and liver enzymes are only helpful to exclude alternative diagnoses such as pancreatitis and cholecystitis and are not obtained if appendicitis is the strongly suspected diagnosis.

C-reactive protein increases in proportion to the degree of appendiceal inflammation but is nonspecific and not widely used. Serum amyloid A protein is consistently elevated in patients with acute appendicitis with a sensitivity and specificity of 86% and 83%, respectively.

The Pediatric Appendicitis score combines history, physical, and laboratory data to assist in the diagnosis (Table 335-1). Scores of ≤2 suggest a very low likelihood of appendicitis, while scores ≥8 are highly associated with appendicitis. Scores between 3 and 7 warrant further diagnostic studies. Nonetheless, no scoring system is perfectly sensitive or specific.

Table 335-1 PEDIATRIC APPENDICITIS SCORES

FEATURE SCORE
Fever >38°C 1
Anorexia 1
Nausea/vomiting 1
Cough/percussion/hopping tenderness 2
Right lower quadrant tenderness 2
Migration of pain 1
Leukocytosis >10,000 (109/L) 1
Polymorphonuclear-neutrophilia >7,500 (109/L) 1
Total 10

From Acheson J, Banerjee J: Management of suspected appendicitis in children, Arch Dis Child Educ Pract Ed 95:9–13, 2010.

Radiologic Studies

Plain Films

Plain abdominal x-rays can demonstrate several findings in acute appendicitis, including sentinel loops of bowel and localized ileus, scoliosis from psoas muscle spasm, a colonic air-fluid level above the right iliac fossa (colon cutoff sign), or a fecalith (5-10% of cases), but they have a low sensitivity for appendicitis and are not generally recommended (Fig. 335-1). Plain films are most helpful in evaluating complicated cases in which small bowel obstruction or free air is suspected.

image

Figure 335-1 Calcified appendicoliths are seen in a coned-down anteroposterior view of the right lower quadrant (A) and in the resected appendix of a 10 yr old girl with acute appendicitis (B).

(From Kuhn JP, Slovis TL, Haller JO: Caffrey’s pediatric diagnostic imaging, vol 2, ed 10, Philadelphia, 2004, Mosby, p 1682.)

Ultrasound

Ultrasound (US) is often used in the evaluation of acute appendicitis and has demonstrated >90% sensitivity and specificity in pediatric centers experienced with the technique. Graded abdominal compression is used to displace the cecum and ascending colon and identify the appendix, which has a typical target appearance (Fig. 335-2). The ultrasound criteria for appendicitis include wall thickness ≥6 mm, luminal distention, lack of compressibility, a complex mass in the RLQ, or a fecalith. The visualized appendix usually coincides with the site of localized pain and tenderness. Findings that suggest advanced appendicitis on ultrasound include asymmetric wall thickening, abscess formation, associated free intraperitoneal fluid, surrounding tissue edema, and decreased local tenderness to compression.

image

Figure 335-2 Ultrasound examination of patients with appendicitis. A, Transverse ultrasound scan of the appendix demonstrates the characteristic “target sign.” In this case, the innermost portion is sonolucent, compatible with fluid or pus. B, Longitudinal view of another patient demonstrates the alternating hyperechoic and hypoechoic layers with an outermost hypoechoic layer, suggesting periappendiceal fluid. C, Longitudinal ultrasound scan of the right lower quadrant (RLQ) demonstrates a dilated, noncompressible appendix. The bright echo within the appendix represents an appendicolith with acoustic shadowing (arrow).

(From Kuhn JP, Slovis TL, Haller JO: Caffrey’s pediatric diagnostic imaging, vol 2, ed 10, Philadelphia, 2004, Mosby, p 1684.)

The main limitation of ultrasound is inability to visualize the appendix, which is reported in up to 20% of cases. A normal appendix must be visualized to exclude appendicitis by ultrasound. Certain conditions decrease the sensitivity and reliability of ultrasound for appendicitis, including obesity, bowel distention, and pain.

Major advantages of ultrasound include its low cost and freedom from need for patient preparation and ionizing radiation. Ultrasound can be particularly helpful in adolescent girls, a group with a high negative appendectomy rate (normal appendix found at surgery), because of its ability to evaluate for ovarian pathology without ionizing radiation. A diagnostic or normal ultrasound exam eliminates the need for CT and should be considered the first exam in an experienced center.

CT Scan

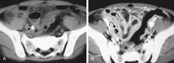
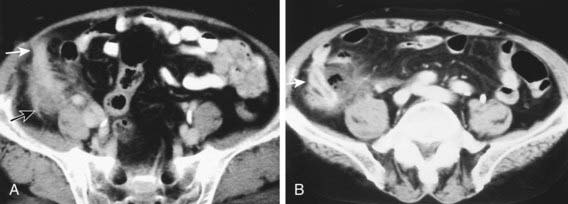
CT scan has been the gold standard imaging study for evaluating children with suspected appendicitis. CT examination can be performed in many ways, including standard CT scan, helical CT scan, with or without oral and intravenous contrast, examination of both the abdomen and pelvis or pelvis alone, focused appendiceal CT scan, and focused appendiceal CT scan with rectal contrast. All of these techniques have demonstrated >95% sensitivity and specificity for acute appendicitis. Findings on CT scan consistent with appendicitis include a distended thick-walled appendix, inflammatory streaking of surrounding mesenteric fat, or a pericecal phlegmon or abscess (Figs. 335-3 and 335-4).

image

Figure 335-3 A, Phlegmon (open arrow) is noted around the enlarged appendix (solid arrow) in perforated appendicitis. B, Extraluminal air is shown adjacent to the wall-enhanced appendix (arrow) in perforated appendicitis.

(From Yeung KW, Chang MS, Hsiao CP: Evaluation of perforated and nonperforated appendicitis with CT, J Clin Imag 28:422–427, 2004.)

image

Figure 335-4 A, Precontrast-enhanced CT reveals an appendicolith (arrow) in perforated appendicitis. B, Postcontrast-enhanced CT (1 cm below the level in A) reveals intraluminal air in the appendix (curved arrow) associated with ileal wall enhancement in perforated appendicitis.

(From Yeung KW, Chang MS, Hsiao CP: Evaluation of perforated and nonperforated appendicitis with CT, J Clin Imag 28:422–427, 2004.)

Appendicoliths are more readily demonstrated on CT scan than on plain radiographs. CT scan is also useful in advanced appendicitis to identify and guide percutaneous drainage of fluid collections and identification of an inflammatory mass, which might prompt a plan for initial nonoperative management.

Disadvantages of CT scan include greater cost; radiation exposure; possible need for intravenous, oral, or rectal contrast; and possible need for sedation. Oral contrast is particularly problematic if appendicitis is confirmed, because of the risk for aspiration at induction of anesthesia. Because the finding of fat stranding in surrounding tissues is a key component of CT evaluation for appendicitis, CT is less reliable in thin children with minimal body fat. For this reason, rectal contrast can increase diagnostic accuracy in this group. CT imaging is also helpful in demonstrating nonappendiceal causes of abdominal pain.

MRI/WBC Scan

MRI has been demonstrated to be at least equivalent to CT in diagnostic accuracy for appendicitis and does not involve ionizing radiation. The use of MRI in the evaluation of appendicitis is limited because it is less available, is more costly, most often requires sedation, and does not offer equivalent access for drainage of fluid collections. Radionuclide-labeled WBC scans have also been used in some centers in evaluating atypical cases of possible appendicitis in children and demonstrated a high sensitivity (97%) but only modest specificity (80%).

Differential Diagnosis

The list of illnesses that can mimic acute appendicitis is extensive because many gastrointestinal, gynecologic, and inflammatory disorders can manifest with similar illness history, signs, and symptoms. Differential diagnosis, even limited to common conditions, includes gastroenteritis, mesenteric adenitis, Meckel diverticulitis, inflammatory bowel disease, diabetes mellitus, sickle cell disease, streptococcal pharyngitis, pneumonia, cholecystitis, pancreatitis, urinary tract infection, infectious enteritis, and, in girls, ovarian torsion, ectopic pregnancy, ruptured ovarian cysts, and pelvic inflammatory disease (including tubo-ovarian abscess). Intestinal tract lymphoma, tumors of the appendix (carcinoid in children), and ovarian tumors are rare but can also masquerade as acute appendicitis.

Children <3 yr of age and adolescent girls have historically proved to be at particularly high risk for an incorrect diagnosis.

Most important is differentiation of the patients with gastroenteritis, which is the most common misdiagnosis in the child with appendicitis, because significant morbidity surrounds this distinction. The time course of illness (hours, days, weeks) leading to presentation is a critical component of the history. The classic patient with acute appendicitis describes abdominal pain as the preeminent symptom. In general, symptoms of systemic illness such as headache, chills, and myalgias indicate that a patient does not have appendicitis. Acute appendicitis most often begins insidiously as generalized malaise or anorexia, but there is early onset of abdominal pain and the illness typically escalates rapidly in the 1st 24-48 hr. Whereas most patients with acute appendicitis have 1 or 2 episodes of vomiting in the 1st 24-48 hr of illness, multiple episodes of vomiting are unusual in early appendicitis. In contrast, when gastroenteritis is the diagnosis, diarrhea and vomiting are more likely to be predominant symptoms early in the illness, and abdominal pains may seem associated with the frequent episodes of diarrhea and vomiting. In patients with an acute presentation (<72 hr of illness), vomiting preceding pain, large-volume diarrhea, large amounts of nonbilious vomiting, and high fever suggest gastroenteritis. In addition, patients with appendicitis typically have normal or hypoactive bowel sounds, whereas gastroenteritis typically produces persistently hyperactive bowel sounds. From the onset of illness, the child with appendicitis typically has a steadily deteriorating clinical course, whereas the child with gastroenteritis may have an undulating course, at times feeling better and other times feeling worse.

In the classic child with acute appendicitis who presents within 48 hr of the onset of illness, the WBC count can be low, normal, or elevated but is only rarely elevated >20,000/mm3. WBC counts in this range should prompt consideration of alternative diagnoses and further studies.

Children who present with a history of illness >3-4 days are often more challenging. If the diagnosis is appendicitis, perforation has likely occurred and the child’s presentation should evidence signs and symptoms of localized abscess/phlegmon in the RLQ or diffuse peritonitis. At this point in the illness, the WBC count should be elevated (>12/000/mm3) with a left shift; a WBC count <7,000/mm3 with a lymphocytosis is distinctly unusual and more typical of gastroenteritis.

An abnormal hemogram combined with purpuric skin lesions, arthritis, and nephritis suggests a diagnosis of Henoch-Schönlein purpura or hemolytic-uremic syndrome. Torsion of an undescended testis and epididymitis are common but should be discovered on physical examination. Meckel diverticulitis is an infrequent condition, but the clinical presentation closely mimics appendicitis and the diagnosis is usually made at surgery. Primary spontaneous peritonitis in prepubertal girls is often mistaken for appendicitis.

It should be recognized that “missed” appendicitis is the most common cause of small bowel obstruction in children without history of prior abdominal surgery. Atypical presentations of appendicitis are expected in association with other conditions such as pregnancy, Crohn disease, steroid treatment, or immunosuppressive therapy. Appendicitis in association with Crohn disease often has a protracted presentation with an atypical pattern of recurring but localized abdominal pain.

The diagnosis of appendicitis in adolescent girls is especially challenging, and some series report negative appendectomy rates as high as 30%. Ovarian cysts are often painful as a result of rupture, rapid enlargement, or hemorrhage. Rupture of an ovarian follicle associated with ovulation often causes mid-cycle lateralizing pain (mittelschmerz), but there is no progression of symptoms and systemic illness is absent. Ovarian tumors and torsion can also mimic acute appendicitis, although ovarian torsion is typically characterized by the acute onset of severe pain and is associated with more dramatic nausea and vomiting than is normally seen in early appendicitis. In pelvic inflammatory disease, the pain is typically suprapubic, bilateral, and of longer duration. The need for accurate urgent diagnosis in girls is influenced by concern that perforated appendicitis can predispose the patient to future ectopic pregnancy or tubal infertility, although data have not consistently demonstrated increased incidence of infertility after perforated appendicitis. For these reasons, the majority of adolescent girls warrant further diagnostic studies by ultrasonography, CT, or laparoscopy.

Diagnostic Approach

The diagnosis of appendicitis occasionally humbles even experienced clinicians. A diagnosis of acute appendicitis is made in only 50-70% of children at the time of initial assessment, and delay in diagnosis and treatment leads to substantial increases in morbidity, length of hospitalization, and cost. When patients have perforation due to late presentation, missed diagnosis, or delay in diagnosis, they require longer hospitalizations, often other invasive procedures such as percutaneous drainage of abscesses, and longer courses of antibiotics, and they are at higher risk for the complications of appendicitis including abscess formation, peritonitis, sepsis, wound infection, and small bowel obstruction. The cost of treatment for cases of perforated appendicitis is approximately double the cost for nonperforated cases.

Traditionally, early surgery in equivocal cases was the standard because complications and morbidity rise dramatically in appendicitis after perforation. Negative laparotomy rates of 10-20% were common and were deemed acceptable to keep perforation rates low. Many authors have criticized these high negative laparotomy rates, citing the risks and expense of unnecessary surgery. National databases have become an important resource for benchmarking and standardization of care. The Pediatric Health Information System (PHIS) was created by the Child Health Corporation of America (CHCA) as a national database to support the evaluation and improvement of clinical care in children’s hospitals. A review of data collected from this source demonstrated substantial variation in practice patterns and resource utilization in the evaluation and management of appendicitis. Overall rupture rates for appendicitis varied from 20% to 76%, with a median of 36%. The median overall negative laparotomy rate (normal appendix) was 2.6%, significantly lower than traditionally reported rates of 10%-20%. The lack of consensus in management approach is reflected by the fact that the use of diagnostic imaging in cases of suspected appendicitis varied from 18% to 89%.

The diagnostic challenges are many, including the rapid escalation of appendicitis from subtle malaise to perforation (often within 36-48 hr), variable abilities of medical centers and experience among clinicians, and fear of malpractice suits for missed diagnosis. Several reports have described clinical scoring systems and computer-assisted decision-making models incorporating specific elements of the history, physical examination, and laboratory studies designed to improve diagnostic accuracy in acute appendicitis (see Table 335-1). To date, none has demonstrated improved accuracy over experienced clinical judgment.

Some clinicians remain steadfast to the primacy of a careful history and physical examination and rarely order imaging studies. The initial assessment, along with the history and physical examination, may include a complete blood count with differential, urinalysis, and plain films (chest and abdominal series). If the initial assessment leads to a high level of suspicion for appendicitis, pediatric surgical consultation should be the next step, with the likelihood of prompt appendectomy without further studies. If the initial evaluation suggests a nonsurgical diagnosis and a low concern for appendicitis, the child may be discharged with advice to the family to return for repeat evaluation if the child is not improving on liquids and a bland diet in the next 24 hr. This approach has demonstrated high sensitivity and specificity (>90%) at certain institutions, but collective data from many centers have not been able to reproduce this degree of accuracy.

In equivocal cases, some clinicians or centers proceed with a plan of active observation. Many reports substantiate improved diagnostic accuracy by observation and serial examination over a period of 12-24 hr, simplifying the eventual decision to proceed with appendectomy, discharge the patient, or proceed with imaging studies, and report no correlation between surgical morbidity and timing of surgery. The child may be observed with intravenous fluids and planned repeat CBC and physical examination in 6-12 hr. At the end of a period of observation, the clinician should decide to discharge the patient based on improved clinical status, proceed to appendectomy, or proceed to further imaging evaluation. Further imaging in this equivocal group hopefully can minimize the negative laparotomy rate without increasing the perforation rate (missed or delayed diagnosis). Less than 2% of children’s appendices perforate while under observation. This approach is cost effective, often avoids radiologic imaging, and is optimized if an observational unit is available that avoids admission costs for the period of observation.

Most centers demonstrate improved diagnostic accuracy for appendicitis in children when using radiologic imaging as an adjunct to history and physical examination, and some have even recommended imaging in all atypical cases to minimize unnecessary surgery (negative appendectomy) and avoid the complications of missed appendicitis, including perforation with abscess formation and peritonitis, sepsis, wound infection, and small bowel obstruction. The consequence of missed appendicitis substantially increases morbidity, length of stay, and cost. With selective imaging, the PHIS review of pediatric centers had an overall negative appendicitis appendectomy rate of 2.6%.

It seems likely that if imaging studies are obtained in all patients with equivocal presentations and a brief duration of illness (<24 hr), the false-negative rate of the imaging studies will increase. Maximum benefit and effectiveness of imaging is obtained when it is used selectively in children for whom the diagnosis is equivocal after careful history and physical examination by an experienced clinician and who are not too early in the temporal evolution of the illness.

A thoughtful approach in equivocal cases of appendicitis is to begin with ultrasound if it is readily available and the hospital has experience with ultrasound for possible appendicitis. Ultrasound in one study decreased the need for CT scan in 22% of patients. CT scan is used if ultrasound is unavailable or inconclusive, or as the first-line test in obese patients, in cases of probable advanced or perforated appendicitis, or when there is gaseous distention of the bowel. This approach has proved highly accurate and cost-effective.

Practice guidelines have decreased both length of stay and cost without increasing complications. One such guideline employing clinical judgment and selective imaging attained a positive and negative predictive value for appendicitis of 94% and 99%, respectively.

Treatment

Once the diagnosis of appendicitis is confirmed or highly suspected, the treatment for acute appendicitis is most often prompt appendectomy. Antibiotics and advances in interventional radiology have permitted drainage of fluid collections and initial nonoperative management as an alternative option in late presentations, depending on the patient’s general condition and the state of the appendix. Emergency surgery is rarely indicated, and most patients require preoperative supportive measures to stabilize vital signs and to ensure the safety of the procedure and improve outcomes.

Whereas the traditional surgical approach has been to proceed with surgery as soon as the diagnosis is confirmed, appendectomy should rarely be undertaken in the middle of the night. Often, unexpected pathology (appendiceal tumors, intestinal lymphoma, congenital renal anomalies, inflammatory bowel disease) are discovered at operation, and intraoperative consultation and frozen section may be needed. There is no correlation between timing of surgery and perforation rates or postoperative morbidity when the operation proceeds within 24-48 hr of diagnosis. Appendectomy can be a challenging operation, with potential for major complications including injury to adjacent intestine, the iliac vessels, or the right ureter. The operation should proceed semi-electively within 12-24 hr of diagnosis. Children with appendicitis are typically at least mildly dehydrated and require preoperative fluid resuscitation to correct hypovolemia and electrolyte abnormalities before anesthesia. Fever, if present, should be treated. Pain management begins even before a definitive diagnosis is made, and consultation of a pain service, if available, is appropriate once a decision is made to proceed to surgery. In the majority of cases, preoperative management can be accomplished during the period of diagnostic evaluation and prompt appendectomy can be performed.

In patients in whom perforated appendicitis is identified at the time of diagnosis, the operation is even less urgent and proper preoperative management is more critical. When the illness is protracted owing to a delay in diagnosis or presentation, patients can demonstrate significant physiologic derangements including severe dehydration, hypotension, acidosis, and renal failure. These patients require a longer period of stabilization with fluid resuscitation and antibiotics, including, in occasional cases, admission to an intensive care unit before proceeding with more definitive management. Based on the patient’s status, findings on CT scan, and availability of experienced radiologists, the initial plan may be percutaneous drainage of fluid collections by interventional radiology and continued fluid resuscitation and antibiotics. A phlegmon without an identifiable fluid component might initially respond to nonoperative antibiotic treatment. Placement of one or more drainage catheters under imaging (CT or ultrasound) guidance has been successful in >80% of patients. Most patients still require delayed appendectomy (during the same hospitalization) or interval appendectomy (4-6 weeks after the initial presentation).

If diffuse peritonitis exists, most surgeons proceed promptly with appendectomy after a brief period of intravenous fluids and broad spectrum antibiotics. Others continue nonoperative management provided the patient demonstrates clinical improvement by physiologic criteria including hemodynamic stability, urine output, control of fever, and declining leukocyte count. If the patient demonstrates clinical recovery by resolution of fever, sepsis, and return of bowel function, generally a 2 wk course of oral antibiotics is completed and a decision is made regarding interval appendectomy in 6-8 wk. A child who fails to improve within 24-72 hr needs an urgent appendectomy to control sepsis. Emergency appendectomy should only be performed in the occasional circumstance when physiologic resuscitation requires urgent control of advanced peritoneal sepsis not amenable to interventional drainage or this is not available.

Antibiotics

Antibiotics lower the incidence of postoperative wound infections and intraperitoneal abscesses in perforated appendicitis, but their role is less well defined in simple appendicitis. The antibiotic regimen should be directed against the typical bacterial flora found in the appendix, including anaerobic organisms (Bacteroides, Clostridia, and Peptostreptococcus spp.) and gram-negative aerobic bacteria (Escherchia coli, Pseudomonas aeruginosa, Enterobacter, and Klebsiella spp.). Gram-positive organisms are less commonly found in the colon, and the need to provide antibiotic coverage for them (primarily enterococcus) is controversial. Many antibiotic combinations have demonstrated equivalent efficacy in controlled trials in terms of wound infection rate, resolution of fever, length of stay, and incidence of complications.

For simple nonperforated appendicitis, one preoperative dose of a single broad-spectrum agent (cefoxitin) or equivalent is sufficient. In perforated or gangrenous appendicitis, most surgeons prefer either “triple” antibiotics (ampicillin, gentamicin, and clindamycin or metronidazole) or a combination such as ceftriaxone-metronidazole or ticarcillin-clavulanate plus gentamicin, and antibiotic coverage is continued postoperatively for 3-5 days. Oral antibiotics have proved equally effective as intravenous, and therefore the patient can be switched to an oral regimen and discharged once bowel function returns. This transition to oral antibiotics has significantly affected length of stay and cost in the management of perforated appendicitis.

Interval Appendectomy

Appendicitis complicated by a walled-off inflammatory mass or abscess can be treated without immediate appendectomy. This strategy is intended to avoid a predictable higher surgical complication rate and is often useful in children, in whom the overall incidence of perforation approaches 50%. In this group of patients, debate exists over the need for interval appendectomy. The risk of developing recurrent appendicitis if the appendix is not removed is unknown, and published reports vary between 10% and 80% (most are closer to 10%). Most cases of recurrent appendicitis develop within 2 yr of the initial illness. Some authors believe interval appendectomy is unnecessary because of the low risk for recurrent appendicitis. Others support interval appendectomy to avoid recurrent appendicitis and to confirm the original diagnosis, citing an incidence of unexpected pathology in 30% of interval appendectomy specimens. The vast majority of pediatric surgeons perform interval appendectomy routinely (4-6 wk interval) after nonoperative management of perforated appendicitis.

Surgical Technique

Appendectomy is traditionally performed through a RLQ muscle-splitting incision. Laparoscopic appendectomy is also popular among pediatric surgeons for both simple and perforated appendicitis. Studies that have compared the open surgical approach to laparoscopic appendectomy demonstrate differences in administrative factors (cost, resource utilization, length of stay) and clinical outcome measures (wound infection rate, intraabdominal abscess, analgesic requirements, return to full activity) but have failed to establish an evidence-based preference between laparoscopic and open appendectomy in children.

In nonperforated appendicitis, laparoscopic appendectomy appears to have lower narcotic analgesic requirements, decreased wound morbidity, and improved cosmesis, but operative times and costs seem slightly higher when compared to the open procedure. Length of hospitalization is similar for both approaches.

The role of laparoscopy in perforated appendicitis is less well defined. There are no convincing data to recommend one approach in all patients. Most pediatric surgeons use both approaches selectively. The laparoscopic approach is used most often for obese patients, when alternative diagnoses are suspected, and in adolescent girls to better evaluate for ovarian pathology and pelvic inflammatory disease while avoiding the ionizing radiation associated with CT imaging. Injection of bupivacaine into the wound has been shown to reduce postoperative pain significantly in a randomized, controlled trial in children.

Complications

Morbidity rates for appendicitis vary widely in large series from 10% to 45%. The principal determinant of complications is the severity of the appendicitis. In nonperforated appendicitis, an overall complication rate of 5-10% is expected. With perforated appendicitis, the complication rate rises to 15-30%. The most common complications are wound infections (3-10%) and intra-abdominal abscesses; both are more common after perforation. Perforation and abscess formation can also lead to fistula formation in adjacent organs. Perforation rates are consistently >80% in children <5 yr of age. Patients with advanced appendicitis can progress to sepsis and multisystem organ failure, but generally these patients respond promptly to antibiotics, fluids, and other supportive measures. Other potential complications include postoperative ileus, diffuse peritonitis, portal vein pylephlebitis (rare), and adhesive small bowel obstruction.

Mortality with appendicitis is rare (<0.3%) and seen mostly in neonates and immunocompromised patients.

Bibliography

Acheson J, Banerjee J. Management of suspected appendicitis in children. Arch Dis Child Educ Pract Ed. 2010;95:9-13.

Becker T, Kharbanda A, Bachur R. Atypical clinical features of pediatric appendicitis. Acad Emerg Med. 2007;14:124-129.

Bhatt M, Joseph L, Ducharme FM, et al. Prospective validation of the pediatric appendicitis score in a Canadian pediatric emergency department. Acad Emerg Med. 2009;16:591-596.

Bundy DG, Byerley JS, Liles EA, et al. Does this child have appendicitis? JAMA. 2007;298:438-451.

Dixon AK, Watson CJ. Imaging in patients with acute abdominal pain. BMJ. 2009;339:1-2.

Fisher M, Meates-Dennis M. Is interval appendectomy necessary after successful conservative treatment of appendiceal mass in children? Arch Dis Child. 2008;93:631-632.

Frisch M, Pedersen BV, Andersson RE. Appendicitis, mesenteric, lymphadenitis, and subsequent risk of ulcerative colitis: cohort studies in Sweden and Denmark. BMJ. 2009;338:808-811.

Goldin AB, Sawin RS, Garrison MM, et al. Aminoglycoside-based triple-antibiotic therapy versus monotherapy for children with ruptured appendicitis. Pediatrics. 2007;119:905-911.

Goldman RD, Carter S, Stephens D, et al. Prospective validation of the pediatric appendicitis score. J Pediatr. 2008;153(2):278-282.

Grimes C, Chin D, Bailey C, et al. Appendiceal faecaliths are associated with right iliac fossa pain. Ann R Coll Surg Engl. 2010;92:61-64.

Healthcare Cost and Utilization Project. The kid’s inpatient database. (website) www.hcup-us.ahrq.gov/kidoverview.jsp Accessed May 7, 2010

Henry MCW, Gollin G, Islam S, et al. Matched analysis of nonoperative management vs immediate appendectomy for perforated appendicitis. J Pediatr Surg. 2007;42:19-24.

Henry MCW, Walker A, Silverman BL, et al. Risk factors for the development of abdominal abscess following operation for perforated appendicitis in children. Arch Surg. 2007;142:236-241.

Ingraham AM, Cohen ME, Bilimoria KY, et al. Effect of delay to operation on outcomes in adults with acute appendicitis. Arch Surg. 2010;145(9):886-892.

Keckler SJ, Tsao K, Sharp SW, et al. Resource utilization and outcomes from percutaneous drainage and interval appendectomy for perforated appendicitis with abscess. J Pediatr Surg. 2008;43:977-980.

Kwok MY, Kim MK, Gorelick MH. Evidence-based approach to the diagnosis of appendicitis in children. Pediatr Emerg Care. 2004;20:690-698.

Laméris W, van Randen A, Woulter H, et al. Imaging strategies for detection of urgent conditions in patients with acute abdominal pain: diagnostic accuracy study. BMJ. 2009;339:29-33.

Morrow SE, Newman KD. Current management of appendicitis. Semin Pediatr Surg. 2007;16:34-40.

Solomkin JS, Mazuski JE, Bradley JS, et al. Diagnosis and management of complicated intra-abdominal infection in adults and children: guidelines by the Surgical Infection Society and the Infectious Diseases Society of America. Clin Infect Dis. 2010;50:133-164.

Wan MJ, Krahn M, Ungar WJ, et al. Acute appendicitis in young children: cost-effectiveness of US versus CT in diagnosis—a Markov decision analytic model. Radiology. 2009;250(2):378-386.

Williams RF, Blakely ML, Fischer PE, et al. Diagnosing ruptured appendicitis preoperatively in pediatric patients. J Am Coll Surg. 2009;208(5):819-825.

Zilbert NR, Stamell EF, Ezon I, et al. Management and outcomes for children with acute appendicitis differ by hospital type: areas for improvement at public hospitals. Clin Pediatr. 2009;48(5):499-504.