Chapter 354 Autoimmune Hepatitis

Benjamin L. Shneider, Frederick J. Suchy


Autoimmune hepatitis is a chronic hepatic inflammatory process manifested by elevated serum aminotransaminase concentrations, liver-associated serum autoantibodies, and/or hypergammaglobulinemia. The target of the inflammatory process can include hepatocytes and to a lesser extent bile duct epithelium. Chronicity is determined either by duration of liver disease (typically >3-6 mo) or by evidence of chronic hepatic decompensation (hypoalbuminemia, thrombocytopenia) or physical stigmata of chronic liver disease (clubbing, spider telangiectasia, hepatosplenomegaly). The severity is variable; the affected child might have only biochemical evidence of liver dysfunction, might have stigmata of chronic liver disease, or can present in hepatic failure.

Chronic hepatitis can also be caused by persistent viral infection (Chapter 350), drugs (Chapter 355), metabolic diseases (Chapter 353), or unknown and autoimmune disorders (Table 354-1). Approximately 15-20% of chronic cases are associated with hepatitis B infection; unusually severe disease may be caused by superimposed infection with hepatitis D (a defective RNA virus that is dependent on replicating hepatitis B virus [HBV]). More than 90% of hepatitis B infections in the 1st yr of life become chronic, compared with 5-10% among older children and adults. Chronic hepatitis develops in >50% of acute hepatitis C virus infections. Patients receiving blood products or who have had massive transfusions are at increased risk. Hepatitis A or E viruses do not cause chronic hepatitis. Drugs that are commonly used in children and can cause chronic liver injury include isoniazid, methyldopa, pemoline, nitrofurantoin, dantrolene, minocycline, pemoline, and the sulfonamides. Metabolic diseases can lead to chronic hepatitis including α1-antitrypsin deficiency, inborn errors of bile acid biosynthesis, and Wilson disease. Nonalcoholic steatohepatitis, usually associated with obesity and insulin resistance, is another common cause of chronic hepatitis; it is relatively benign and responds to weight reduction and/or vitamin E therapy. Progression to cirrhosis has been described in adults and some children. In most cases, the cause of chronic hepatitis is unknown; in many, an autoimmune mechanism is suggested by the finding of serum antinuclear and anti–smooth muscle antibodies and by multisystem involvement (arthropathy, thyroiditis, rashes, Coombs-positive hemolytic anemia).

Table 354-1 DISORDERS PRODUCING CHRONIC HEPATITIS

Chronic viral hepatitis
Hepatitis B
Hepatitis C
Hepatitis D
Autoimmune hepatitis
Antiactin antibody positive
Anti-liver-kidney microsomal antibody positive
Antisoluble liver antigen antibody positive
Others (includes antibodies to liver-specific lipoproteins or asialoglycoprotein)
Overlap syndrome with sclerosing cholangitis and autoantibodies
Systemic lupus erythematosus
Celiac disease
Drug-induced hepatitis
Metabolic disorders associated with chronic liver disease
Wilson disease
α1-Antitrypsin deficiency
Tyrosinemia
Niemann-pick disease type 2
Glycogen storage disease type iv
Cystic fibrosis
Galactosemia
Bile acid biosynthetic abnormalities

Histologic features help characterize chronic hepatitis. Subdivision of chronic hepatitis into a persistent vs active form on the basis of histologic findings is not as useful as once thought. The finding of inflammation contained within the limiting plate of the portal tract (chronic persistent hepatitis) and the absence of fibrosis or cirrhosis suggest a more benign course. The finding of activity on biopsy can predict response to antiviral therapy if hepatitis B infection is present and is a criterion used in the diagnosis of autoimmune hepatitis. Histologic features help identify the etiology; characteristic periodic acid–Schiff (PAS)-positive, diastase-resistant granules are seen in α1-antitrypsin deficiency, and macrovesicular and microvesicular neutral fat accumulation within hepatocytes is a feature of steatohepatitis. Bile duct injury can suggest an autoimmune cholangiopathy. Ultrastructural analysis might suggest distinct types of storage disorders.

Autoimmune hepatitis is a clinical constellation that suggests an immune-mediated process; it is responsive to immunosuppressive therapy (Table 354-2). Autoimmune hepatitis typically refers to a primarily hepatocyte-specific process, whereas autoimmune cholangiopathy and sclerosing cholangitis are predominated by intra- and extrahepatic bile duct injury. Overlap of the process involving both hepatocyte and bile duct directed injury may be common in children. De novo hepatitis is seen in a subset of liver transplant recipients whose initial disease was not autoimmune.

Table 354-2 CLASSIFICATION OF AUTOIMMUNE HEPATITIS

VARIABLE TYPE 1 AUTOIMMUNE HEPATITIS TYPE 2 AUTOIMMUNE HEPATITIS
Characteristic autoantibodies Antinuclear antibody* Antibody against liver-kidney microsome 1*
Smooth-muscle antibody*  
Antiactin antibody Antibody against liver cytosol 1*
Autoantibodies against soluble liver antigen and liver-pancreas antigen  
Atypical perinuclear antineutrophil cytoplasmic antibody  
Geographic variation Worldwide Worldwide; rare in North America
Age at presentation Any age Predominantly childhood and young adulthood
Sex of patients Female in ~75% of cases Female in ~95% of cases
Association with other autoimmune diseases Common Common§
Clinical severity Broad range Generally severe
Histopathologic features at presentation Broad range Generally advanced
Treatment failure Infrequent Frequent
Relapse after drug withdrawal Variable Common
Need for long-term maintenance Variable ~100%

* The conventional method of detection is immunofluorescence.

Tests for this antibody are rarely available in commercial laboratories.

This antibody is detected by enzyme-linked immunosorbent assay.

§ Autoimmune polyendocrinopathy-candidiasis-ectodermal dystrophy is seen only in patients with type 2 disease.

From Krawitt EL: Autoimmune hepatitis, N Engl J Med 354:54–66, 2006.

Etiology

In autoimmune hepatitis (AIH) a dense portal mononuclear cell infiltrate invades the surrounding parenchyma and comprises T and B lymphocytes, macrophages, and plasma cells. The immunopathogenic mechanisms underlying autoimmune hepatitis are unsettled. Triggering factors can include infections, drugs, and the environment (toxins) in a genetically susceptible host. Several HLA class II molecules, particularly DR3 isoforms, confer susceptibility to autoimmune hepatitis and present antigens from outside of the cell to T-lymphocytes. Cytochrome P450 (CYP) 2D6 is the main autoantigen in type 2 autoimmune hepatitis. CD4+ T lymphocytes recognizing a self-antigenic liver peptide orchestrate liver injury. Cell-mediated injury by cytokines released by CD8+ cytotoxic T cells and/or antibody-mediated cytotoxicity can be operative. Antibody-coated hepatocytes may be lysed by complement or Fc-bearing natural killer (NK) lymphocytes. Heterozygous mutations in the autoimmune regulator gene (AIRE), which encodes a transcription factor controlling the negative selection of autoreactive thymocytes, can be found in some children with autoimmune hepatitis types 1 and 2. AIRE mutations also cause autoimmune polyendocrinopathy-candidiasis-ectodermal dystrophy in which autoimmune hepatitis occurs in about 20% of patients.

Pathology

The histologic features common to untreated cases include inflammatory infiltrates, consisting of lymphocytes and plasma cells that expand portal areas and often penetrate the lobule; moderate to severe piecemeal necrosis of hepatocytes extending outward from the limiting plate; variable necrosis, fibrosis, and zones of parenchymal collapse spanning neighboring portal triads or between a portal triad and central vein (bridging necrosis); and variable degrees of bile duct epithelial injury. Distortion of hepatic architecture can be severe; cirrhosis may be present in children at the time of diagnosis. Histologic features in acute liver failure may be obscured by massive necrosis.

Clinical Manifestations

The clinical features and course of autoimmune hepatitis are extremely variable. Signs and symptoms at the time of presentation comprise a wide spectrum of disease including a substantial number of asymptomatic patients and some who have an acute, even fulminant, onset. In 25-30% of patients with autoimmune hepatitis, particularly children, the illness mimics acute viral hepatitis. In most, the onset is insidious. Patients can be asymptomatic or have fatigue, malaise, behavioral changes, anorexia, and amenorrhea, sometimes for many months before jaundice or stigmata of chronic liver disease are recognized. Extrahepatic manifestations can include arthritis, vasculitis, nephritis, thyroiditis, Coombs-positive anemia, and rash. Some patients’ initial clinical features reflect cirrhosis (ascites, bleeding esophageal varices, or hepatic encephalopathy).

There is usually mild to moderate jaundice. Spider telangiectasias and palmar erythema may be present. The liver is often tender and slightly enlarged but might not be felt in patients with cirrhosis. The spleen is commonly enlarged. Edema and ascites may be present in advanced cases. Evidence of involvement of other organ systems may be found.

Laboratory Findings

The findings are related to the severity of presentation. In many asymptomatic cases, serum aminotransferase ranges between 100 and 300 IU/L, whereas levels in excess of 1,000 IU/L can be seen in symptomatic young patients. Serum bilirubin concentrations (predominantly the direct-reacting fraction) are commonly 2-10 mg/dL. Serum alkaline phosphatase (ALP) and γ-glutamyl transpeptidase (GGT) activities are normal to slightly increased but may be more significantly elevated in autoimmune cholangiopathy. Serum gamma-globulin levels can show marked polyclonal elevations. Hypoalbuminemia is common. The prothrombin time is prolonged, most often as a result of vitamin K deficiency but also as a reflection of impaired hepatocellular function. A normochromic normocytic anemia, leukopenia, and thrombocytopenia are present and become more severe with the development of portal hypertension and hypersplenism.

Most patients with autoimmune hepatitis have hypergammaglobulinemia. Serum immunoglobulin (Ig) G levels usually exceed 16 g/L. Characteristic patterns of serum autoantibodies define several subgroups of autoimmune hepatitis (see Table 354-2). The most common pattern is the formation of non–organ-specific antibodies, such as antiactin (smooth muscle) and antinuclear antibodies. Approximately 50% of these patients are 10-20 yr of age. High titers of a liver-kidney microsomal (LKM) antibody are detected in another form that usually affects children 2-14 yr of age. A subgroup of primarily young women might demonstrate autoantibodies against a soluble liver antigen but not against nuclear or microsomal proteins. Antineutrophil cytoplasmic antibodies may be seen more commonly in autoimmune cholangiopathy. Autoantibodies are rare in healthy children so that titers as low as 1 : 40 may be significant, although nonspecific elevation in autoantibodies can be observed in a variety of liver diseases. Up to 20% of patients with apparent autoimmune hepatitis might not have autoantibodies at presentation. Antibodies to a cytochrome P450 component of LKM are commonly found in adult patients with chronic hepatitis C infection. Homologies in antigenic peptide epitopes between the hepatitis C virus and cytochrome P450 might explain this. Other, less-common autoantibodies include rheumatoid factor, anti-parietal cell antibodies, and antithyroid antibodies. A Coombs-positive hemolytic anemia may be present.

Diagnosis

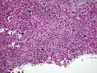
Autoimmune hepatitis is a clinical diagnosis based on certain diagnostic criteria; no single test will make this diagnosis. Diagnostic criteria with scoring systems have been developed for adults and modified slightly for children, although these scoring systems were developed as research and not diagnostic tools. Important positive features include female gender, primary elevation in transaminases and not ALP, elevated gamma-globulin levels, the presence of autoantibodies (most commonly antinuclear, smooth muscle, or liver-kidney microsome), and characteristic histologic findings (Fig. 354-1). Important negative features include the absence of viral markers (hepatitis B, C, D) of infection, absence of a history of drug or blood product exposure, and negligible alcohol consumption.

image

Figure 354-1 Autoimmune hepatitis. Liver biopsy showing fibrous expansion of the portal tracts with moderate portal lymphocytic infiltrates rich in plasma cells (arrowhead). There is extensive interface hepatitis (arrows). Original magnification ×20.

(Courtesy of Margret Magid, Mount Sinai School of Medicine.)

All other conditions that might lead to chronic hepatitis should be excluded (see Table 354-1). The differential diagnosis includes α1-antitrypsin deficiency (Chapter 349) and Wilson disease (Chapter 349.2). The former disorder must be excluded by performing α1-antitrypsin phenotyping and the latter by measuring serum ceruloplasmin and 24 hr urinary copper excretion and/or hepatic copper levels. Chronic hepatitis may occur in patients with inflammatory bowel disease, but liver dysfunction in such patients is more commonly due to pericholangitis or sclerosing cholangitis. Celiac disease (Chapter 330.2) is associated with liver disease that is akin to autoimmune hepatitis, and appropriate serologic testing should be performed, including assays for tissue transglutaminase. An ultrasonogram should be done to identify a choledochal cyst or other structural disorders of the biliary system. MR cholangiography may be very useful for screening for evidence of sclerosing cholangitis. Dilated or obliterated veins on ultrasonography suggest the possibility of the Budd-Chiari syndrome.

Treatment

Prednisone, with or without azathioprine or 6-mercaptopurine, improves the clinical, biochemical, and histologic features in most patients with autoimmune hepatitis and prolongs survival in most patients with severe disease. The choleretic agent ursodeoxycholic acid may be particularly useful in patients with biliary features of their disease.

The goal is to suppress or eliminate hepatic inflammation with minimal side effects. Prednisone at an initial dose of 1-2 mg/kg/24 hr is continued until aminotransferase values return to less than twice the upper limit of normal. The dose should then be lowered in 5 mg decrements over 2-4 mo until a maintenance dose of 0.1-0.3 mg/kg/24 hr is achieved. In patients who respond poorly, who experience severe side effects, or who cannot be maintained on low-dose steroids, azathioprine (1.5-2.0 mg/kg/24 hr, up to 100 mg/24 hr) can be added, with frequent monitoring for bone marrow suppression. Monitoring of metabolites of azathioprine may be useful in tailoring therapy for an individual patient. Single-agent therapy with alternate-day corticosteroids should be used with great caution, although addition of azathioprine to alternate-day steroids can be an effective approach that minimizes corticosteroid-related toxicity. In patients with a mild and relatively asymptomatic presentation, some favor a lower starting dose of prednisone (10-20 mg) coupled with the simultaneous early administration of either 6-mercaptopurine (1.0-1.5 mg/kg/24 hr) or azathioprine (1.5-2.0 mg/kg/24 hr). Anecdotal reports have shown a potential for budesonide, cyclosporine, tacrolimus, mycophenylate mofetil, and sirolimus in the management of cases refractory to standard therapy. Use of these agents should be reserved for practitioners with extensive experience in their administration, because the agents have a more restricted therapeutic to toxic ratio.

Histologic progress does not necessarily need to be assessed by sequential liver biopsies, although biochemical remission does not ensure histologic resolution. Follow-up liver biopsy is therefore especially important in patients for whom consideration is given to discontinuing corticosteroid therapy. In patients with disappearance of symptoms and biochemical abnormalities and resolution of the necroinflammatory process on biopsy, an attempt at gradual discontinuation of medication is justified. There is a high rate of relapse after discontinuation of therapy. Relapse can require reinstitution of high levels of immunosuppression to control disease.

Prognosis

The initial response to therapy in autoimmune hepatitis is generally prompt, with a >75% rate of remission. Transaminases and bilirubin fall to near-normal levels, often in the 1st 1-3 mo. When present, abnormalities in serum albumin and prothrombin time respond over a longer period (3-9 mo). In patients meeting the criteria for tapering and then withdrawal of treatment (25-40% of children), 50% are weaned from all medication; in the other 50%, relapse occurs after a variable period. Relapse usually responds to retreatment. Many children will not meet the criteria for an attempt at discontinuation of immunosuppression and should be maintained on the smallest dose of prednisone that minimizes biochemical activity of the disease. A careful balance of the risks of continued immunosuppression and ongoing hepatitis must be continually evaluated. This requires continual screening for complications of medical therapy (ophthalmologic examination, bone density measurement, blood pressure monitoring). Intermittent flares of hepatitis can occur and can necessitate recycling of prednisone therapy.

Some children have a relatively steroid-resistant form of hepatitis. More extensive evaluations of the etiology of their hepatitis should be undertaken, directed particularly at reassessing for the presence of either sclerosing cholangitis or Wilson disease. Progression to cirrhosis can occur in autoimmune hepatitis despite a good response to drug therapy and prolongation of life. Corticosteroid therapy in fulminant autoimmune disease may be useful, although it should be administered with caution, given the predisposition of these patients to systemic bacterial and fungal infections.

Orthotopic liver transplantation has been successful in patients with end-stage liver disease associated with autoimmune hepatitis (Chapter 360). Disease can recur after transplantation. Indication for transplantation should include evidence of hepatic decompensation.

Bibliography

Alvarez F, Berg PA, Bianchi FB, et al. International Autoimmune Hepatitis Group report: review of criteria for diagnosis of autoimmune hepatitis. J Hepatol. 1999;31:929-938.

Corte CD, Ranucci G, Tufano M, et al. Autoimmune hepatitis type 2 arising in PFAPA syndrome: coincidences or possible correlations? Pediatrics. 2010;125:e683-e686.

Czaja AJ, Bianchi FB, Carpenter HA, et al. Treatment challenges and investigational opportunities in autoimmune hepatitis. Hepatology. 2005;41:207-215.

Czaja AJ. Autoimmune hepatitis. Part A: pathogenesis. Expert Rev Gastroenterol Hepatol. 2007;1:113-128.

Decock S, McGee P, Hirschfield GM. Autoimmune liver disease for the non-specialist. BMJ. 2009;339:686-691.

Ferreira AR, Roquete ML, Toppa NH, et al. Effect of treatment of hepatic histopathology in children and adolescents with autoimmune hepatitis. J Pediatr Gastroenterol Nutr. 2008;46:65-70.

Gregorio GV, Portmann B, Reid F, et al. Autoimmune sclerosing cholangitis overlap syndrome in childhood: A 16 year prospective study. Hepatology. 2001;33:544-553.

Krawitt EL. Autoimmune hepatitis. N Engl J Med. 2006;354:54-66.

Lankisch TO, Mourier O, Sokal EM, et al. AIRE gene analysis in children with autoimmune hepatitis type I or II. J Pediatr Gastroenterol Nutr. 2009;48:498-500.

Oettinger R, Brunnberg A, Gerner P, et al. Clinical features and biochemical data of Caucasian children at diagnosis of autoimmune hepatitis. J Autoimmun. 2005;24:79-84.

Rumbo C, Emerick KM, Emre S, et al. Azathioprine metabolite measurements in the treatment of autoimmune hepatitis in pediatric patients: A preliminary report. J Pediatr Gastroenterol Nutr. 2002;35:391-398.

Vergani D, Mieli-Vergani G. Aetiopathogenesis of autoimmune hepatitis. World J Gastroenterol. 2008;14:3306-3312.