Chapter 621 Disorders of the Uveal Tract

Scott E. Olitsky, Denise Hug, Laura S. Plummer, Merrill Stass-Isern

Uveitis (Iritis, Cyclitis, Chorioretinitis)

The uveal tract (the inner vascular coat of the eye, consisting of the iris, ciliary body, and choroid) is subject to inflammatory involvement in a number of systemic diseases, both infectious and noninfectious, and in response to exogenous factors, including trauma and toxic agents (Table 621-1). Inflammation may affect any 1 portion of the uveal tract preferentially or all parts together.

Table 621-1 UVEITIS IN CHILDHOOD

ANTERIOR UVEITIS

Juvenile rheumatoid arthritis (pauciarticular)
Sarcoidosis
Trauma
Tuberculosis
Kawasaki disease
Ulcerative colitis
Post infectious (enteric or genital) with arthritis and rash
Spirochetal (syphilis, leptospiral)
Heterochromic iridocyclitis (Fuchs)
Viral (herpes simplex, herpes zoster)
Ankylosing spondylitis
Stevens-Johnson syndrome
Idiopathic
Drugs

POSTERIOR UVEITIS (CHOROIDITIS—MAY INVOLVE RETINA)

Toxoplasmosis
Parasites (toxocariasis)
Sarcoidosis
Tuberculosis
Viral (rubella, herpes simplex, HIV, cytomegalovirus)
Subacute sclerosing panencephalitis
Idiopathic

ANTERIOR AND/OR POSTERIOR UVEITIS

Sympathetic ophthalmia (trauma to other eye)
Vogt-Koyanagi-Harada syndrome (uveo-otocutaneous syndrome: poliosis, vitiligo, deafness, tinnitus, uveitis, aseptic meningitis, retinitis)
Behçet syndrome
Lyme disease

Iritis may occur alone or in conjunction with inflammation of the ciliary body as iridocyclitis or in association with pars planitis. Pain, photophobia, and lacrimation are the characteristic symptoms of acute anterior uveitis, but the inflammation may develop insidiously without disturbing symptoms. Signs of anterior uveitis include conjunctival hyperemia, particularly in the perilimbal region (ciliary flush), and cells and protein (“flare”) in the aqueous humor (Fig. 621-1). Inflammatory deposits on the posterior surface of the cornea (keratic precipitates) and congestion of the iris may also be seen. More chronic cases may show degenerative changes of the cornea (band keratopathy), lenticular opacities (cataract), development of glaucoma, and impairment of vision. The cause of anterior uveitis is often obscure; primary considerations in children are rheumatoid disease, particularly pauciarticular rheumatoid arthritis, Kawasaki disease, reactive arthritis (postinfectious), and sarcoidosis. Iritis may be secondary to corneal disease, such as herpetic keratitis or a bacterial or fungal corneal ulcer, or to a corneal abrasion or foreign body. Traumatic iritis and iridocyclitis are especially common in children.

image

Figure 621-1 Cell and flare in the anterior chamber. The flare represents protein leakage.

(Courtesy of Peter Buch, CRA.)

Iridocyclitis that occurs in children with arthritis deserves special mention. Unlike most forms of anterior uveitis, it rarely creates pain, photophobia, or conjunctival hyperemia. Loss of vision may not be noticed until severe and irreversible damage has occurred. Because of the lack of symptoms and the high incidence of uveitis in these children, routine periodic screening is necessary. Ophthalmic screening guidelines are based on 3 factors that predispose children with arthritis to uveitis:

1 Type of arthritis
2 Age of onset of arthritis
3 Antinuclear antibody status

Table 621-2 has been developed by the American Academy of Pediatrics for children with juvenile rheumatoid arthritis without known iridocyclitis.

Table 621-2 EXAMINATION SCHEDULE FOR CHILDREN WITH JRA WITHOUT KNOWN IRIDOCYCLITIS

JRA SUBTYPE AGE AT ONSET
<7 Years ≥7 Years
PAUCIARTICULAR
Positive ANA
Less than 4 years’ duration Every 3-4 mo Every 6 mo
4-7 years duration Every 6 mo Annually
More than 7 years’ duration Annually Annually
Negative ANA
Less than 4 years’ duration Every 6 mo Every 6 mo
4-7 years duration Every 6 mo Annually
More than 7 years’ duration Annually Annually
POLYARTICULAR
Positive ANA
Less than 4 years’ duration Every 3-4 mo Every 6 mo
4-7 years duration Every 6 mo Annually
More than 7 years’ duration Annually Annually
Negative ANA
Less than 4 years’ duration Every 6 mo Every 6 mo
4-7 years duration Every 6 mo Annually
More than 7 years’ duration Annually Annually
SYSTEMIC Annually, regardless of duration Annually, regardless of duration

ANA, antinuclear antibody; JRA, juvenile rheumatoid arthritis.

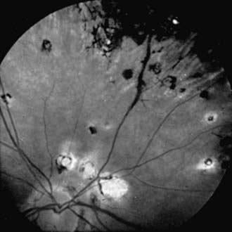
Choroiditis, inflammation of the posterior portion of the uveal tract, invariably also involves the retina; when both are obviously affected, the condition is termed chorioretinitis. The causes of posterior uveitis are numerous; the more common are toxoplasmosis, histoplasmosis, cytomegalic inclusion disease, sarcoidosis, syphilis, tuberculosis, and toxocariasis (Fig. 621-2). Depending on the etiology, the inflammatory signs may be diffuse or focal. Vitreous reaction often occurs as well. With many types, the result is atrophic chorioretinal scarring demarcated by pigmentation, often with visual impairment. Secondary complications include retinal detachment, glaucoma, and phthisis.

image

Figure 621-2 Focal atrophic and pigmented scars of chorioretinitis.

Panophthalmitis is inflammation involving all parts of the eye. It is frequently suppurative, most often as a result of a perforating injury or of septicemia. It produces severe pain, marked congestion of the eye, inflammation of the adjacent orbital tissues and eyelids, and loss of vision. In many cases, the eye is lost despite intensive treatment of the infection and inflammation. Enucleation of the eye or evisceration of the orbit may be necessary.

Sympathetic ophthalmia is a rare type of inflammatory response that affects the uninjured eye after a perforating injury. It may occur weeks, months, or even years after the injury. A hypersensitivity phenomenon is the most probable cause. Loss of vision in the uninjured (sympathizing) eye may result. Removal of the injured eye prevents the development of sympathetic ophthalmia but does not stop the progression of the disease once it has occurred. Therefore, early enucleation should be considered if there is no hope of visual recovery after a severe injury.

Treatment

The various forms of intraocular inflammation are treated according to their causal factors. When infection is proved or suspected, appropriate systemic antimicrobial or antiviral therapy is used. In some cases, intravitreal injection is indicated.

Elimination of the intraocular inflammation is important to reduce the risk of severe, and often permanent, vision loss. Untreated, the inflammatory process may lead to the development of band keratopathy (calcium deposition in the cornea), cataracts, glaucoma, and irreversible retinal damage. Anterior inflammation may respond well to topical corticosteroid treatment. Posterior cases often require systemic therapy. The use of topical and systemic corticosteroids can lead to the development of glaucoma and cataracts. To reduce the need for topical and systemic corticosteroids, systemic immunosuppression is often used in patients requiring long-term treatment. Commonly used immunosuppressive agents include methotrexate, cyclosporine, and tumor necrosis factor inhibitors. Multiple agents may be needed in recalcitrant cases. Cycloplegic agents, particularly atropine, are also used to reduce inflammation and to prevent adhesion of the iris to the lens (posterior synechiae), especially in anterior uveitis. Extensive posterior synechiae formation can lead to acute angle closure glaucoma.

Surgery may be required for patients who develop glaucoma due to the underlying disease process or the need for corticosteroid treatment. Cataract surgery should be delayed until the inflammation has been under control for a period of time. Cataract surgery in children with a history of prolonged uveitis can carry significant risk. There is no universal agreement concerning the use of intraocular lenses in these patients.

Pars planitis is an uncommon idiopathic form of intermediate uveitis characterized by anterior chamber involvement, anterior vitreous cells and condensations and peripheral retinal vasculitis. The average age of onset is 9 yr. It is predominately bilateral and seen more frequently in males. Painless decreased vision is the usual presenting sign. The prognosis is good when adequate medical treatment is sought early in the course of the disease.

Masquerade syndromes can sometimes mimic intraocular inflammation. Retinoblastoma, leukemia, retained intraocular foreign body, juvenile xanthogranuloma, and peripheral retinal detachments may produce signs similar to those seen in uveitis. These syndromes should be kept in mind when evaluating a patient with suspected uveitis or if a patient does not respond as anticipated to antiinflammatory treatment.

Bibliography

BenEzra D, Cohen E. Cataract surgery in children with chronic uveitis. Ophthalmology. 2000;107:1255-1260.

Chu DS, Foster CS. Sympathetic ophthalmia. Int Ophthalmol Clin. 2002;42:179-185.

Cunningham ETJr, Suhler EB. Childhood uveitis-young patients, old problems, new perspectives. J AAPOS. 2008;12:537-538.

1993 Adapted from American Academy of Pediatrics, Sections on Rheumatology and Ophthalmology: guidelines for ophthalmic examinations in children with juvenile rheumatoid arthritis. Pediatrics. 1993;92:295-296.

Guly C, Forrester JV. Investigation and management of uveitis. BMJ. 2010;341:c4976.

Holland GN, Stiehm ER. Special considerations in the evaluation and management of uveitis in children. Am J Ophthalmol. 2003;135:867-878.

Kadayifcilar S, Eldem B, Tumer B. Uveitis in childhood. J Pediatr Ophthalmol Strabismus. 2003;40:335-340.

Kotaniemi K, Savolainen A, Karma A, et al. Recent advances in uveitis of juvenile idiopathic arthritis. Surv Ophthalmol. 2003;48:489-502.

McCluskey P, Powell RJ. The eye in systemic inflammatory diseases. Lancet. 2004;364:2125-2133.

Oren B, Sehgal A, Simon JW, et al. The prevalence of uveitis in juvenile rheumatoid arthritis. J AAPOS. 2001;5:2-4.

Patel H, Goldstein D. Pediatric uveitis. Pediatr Clin North Am. 2003;50:125-136.

Rosenberg KD, Feuer WJ, Davis JL. Ocular complications of pediatric uveitis. Ophthalmology. 2004;111:2299-2306.

Smith JA, Mackensen F, Sen HN, et al. Epidemiology and course of disease in childhood uveitis. Ophthalmology. 2009;116:1544-1551.