Chapter 697 Hyperphosphatasia

Russell W. Chesney


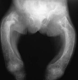
Hyperphosphatasia is characterized by excessive elevation of the bone isoenzyme of alkaline phosphatase in serum and significant growth failure. Osteoid proliferation in the subperiosteal portion of bone results in separation of the periosteum from the bone cortex. Bowing and thickening of the diaphyses are common, along with osteopenia (see Fig. 697-1 on the Nelson Textbook of Pediatrics website at www.expertconsult.com image). The disease usually has its onset by 2-3 yr of age, when painful deformity developing in the extremities leads to abnormal gait and sometimes fractures. Other common findings include pectus carinatum, kyphoscoliosis, and rib fraying. The skull is large, and the cranium is thickened (widened diploë) and may be deformed. Skull involvement can lead to progressive and profound hearing loss. Radiographically, the bony texture is variable; dense areas (showing a teased cotton-wool appearance) are interspersed with radiolucent areas and general demineralization. Long bones appear cylindrical, lose metaphyseal modeling, and contain pseudocysts that show a dense, bony halo.

image

Figure 697-1 Hyperphosphatasia showing bowing and thickening of the diaphyses and osteopenia.

(From Slovis TL, editor: Caffey’s pediatric diagnostic imaging, ed 11, vol 2, Philadelphia, 2008, Mosby.)

In this autosomal recessive disorder, serum levels of both calcium and phosphate are normal, whereas urinary leucine amino acid peptidase activity and serum acid phosphatase levels are increased. This disorder is often called juvenile Paget disease because, as in adult-onset Paget disease, calcitonin can reduce the rapid bone turnover found in this disorder; in children, the disorder is more generalized and symmetric. This disorder is distinct from Paget disease because histology of bone reveals a lack of normal cortical bone remodeling and an absence of the classic mosaic pattern of lamellar bone found in the adult condition. Hence, the term “juvenile Paget disease” is inappropriate. A case has been reported in which intense intravenous biphosphonate (ibandronate) therapy administered over a 3-yr period arrested progression of idiopathic hyperphosphatasia, preventing deformity and disability and improving hearing.

Transient hyperphosphatasia occurs between 2 mo and 2 yr of age, has no associated manifestations other than some mild gastrointestinal symptoms, and is usually detected during routine (screening) laboratory evaluation for some unrelated complaint. Liver and bone isoenzyme fractions are elevated; there are no other manifestations of hepatic or bone dysfunction. Serum alkaline phosphatase values as high as 3,000 to 6,000 IU/L may be encountered. The cause is unknown. Resolution usually occurs within 4 to 6 mo.

Familial hyperphosphatemia, an autosomal dominant trait, is another benign condition that is distinguished from the transient infantile form by persistent and asymptomatic elevations of serum alkaline phosphatase levels.

A more serious autosomal dominant variant, expansile skeletal hyperplasia, is characterized by early-onset deafness, premature loss of teeth, progressive hyperostotic widening of long bones causing painful phalanges in the hands, episodic hypercalcemia, and enhanced bone remodeling. A defect in the gene that encodes receptor activation of nuclear factor γB (NF-γB) is relevant. This gene appears to be necessary for osteogenesis, and the defect leads to increased activity of NF-γB in the skeleton.

Bibliography

Cundy T, Wheadon L, King A. Treatment of idiopathic hyperphosphatasia with intensive bisphosphonate therapy. J Bone Miner Res. 2004;19:703-711.

Whyte MP, Hughes AE. Expansile skeletal hyperphosphatasia is caused by a 15-base pair tandem duplication in TNFRSF11A encoding RANK and is allelic to familial expansile osteolysis. J Bone Miner Res. 2002;17:26-29.

Whyte MP. Enzyme defects and the skeleton. In: Rosen CJ, Compston JE, Lian JB, editors. Primer on the metabolic bone diseases and disorders of mineral metabolism. Washington, DC: American Society for Bone and Mineral Research; 2008:454-458.