After studying the chapter and reviewing the figures, tables, and case studies, you should be able to do the following:
Entry-level
Advanced
The chapter provides an overview of pulmonary function testing. Common pulmonary function tests are introduced, and the indications for each test are discussed. Diseases that commonly require pulmonary function tests are described, and guidelines regarding patient preparation and assessment are presented. Adequate patient preparation, physical assessment, and pulmonary history help the tests provide answers to clinical questions. The importance of patient instruction in obtaining valid data is discussed. These topics are developed more fully in subsequent chapters.
Many different tests are used to evaluate lung function. These tests can be divided into categories based on the aspect of lung function they measure (Box 1.1). Although the tests can be performed individually, they are often performed in combination. Fig. 1.1 shows a sample pulmonary function test (PFT) report that includes spirometry, lung volumes, diffusing capacity, and respiratory muscle strength measurements in a commonly used format. Determining which tests to do depends on the clinical question to be answered. This question may be explicit, such as “Does the patient have asthma?” or less obvious, such as “Does this patient who needs thoracic surgery have any pulmonary diseases that might complicate the procedure?” In either case, indications for specific tests are useful (see Boxes 1.2–1.6).


The most basic test of pulmonary function is the measurement of vital capacity (VC). This test simply measures the largest volume of air that can be moved into or out of the lungs. In the mid-1800s, a surgeon named Hutchinson developed a simple water-sealed spirometer that allowed measurement of what he named vital capacity, or “vital breath,” as he noted its relationship to survival. Hutchinson popularized the concept of using VC to assess lung function and named several other lung compartments with terms that are still used today. He observed that VC was related to the standing height of the patient. He also developed tables to estimate the expected VC for a healthy patient. The VC was usually graphed on chart paper, which allowed subdivisions of the VC to be identified (see Chapter 2).
Forced vital capacity (FVC) is an enhancement of the simple VC test. During the 1930s, Barach observed that patients with asthma or emphysema exhaled more slowly than healthy patients. He noted that airflow out of the lungs was important in detecting obstruction of the airways. Barach used a rotating chart drum (kymograph) to display VC changes as a spirogram. He even evaluated the effects of bronchodilator medications using the FVC traced as a spirogram.
In 1947, Tiffeneau described measuring the volume expired in the first second of a maximal exhalation in proportion to the maximal volume that could be inspired (FEV1/IVC [inspiratory vital capacity]) as an index of airflow obstruction (i.e., the Tiffeneau index). Around 1950, Gaensler began using a microswitch in conjunction with a water-sealed spirometer to time FVC. He observed that healthy patients consistently exhaled approximately 80% of their FVC in 1 second and almost all of the FVC in 3 seconds. He used the forced expired volume in the first second (FEV1) to assess airway obstruction. In 1955, Leuallen and Fowler demonstrated a graphic method used to assess airflow. They measured airflow between the 25% and 75% points on a forced expiratory spirogram. This measure was described as the maximal midexpiratory flow rate (MMFR). This and similar measurements have been used to describe airflow from both healthy and airflow-obstructed patients. To standardize terminology, the MMFR is now referred to as the forced expiratory flow 25% to 75% (FEF25%–75%).
In addition to displaying FVC as a volume–time spirogram, it can be represented by plotting airflow against volume. In the late 1950s, Hyatt and others began using the flow-volume display to assess airway function. The tracing was termed the maximal expiratory flow-volume (MEFV) curve. By combining the forced expiration with an inspiratory maneuver, a closed loop can be displayed. This figure is called the flow-volume loop (see Chapter 2).
Peak expiratory flow (PEF) is measured using either a flow-sensing spirometer or a peak flow meter. In the 1960s, Wright and McKerrow popularized the use of peak flow to monitor patients with asthma. Peak flow can be readily assessed from the flow-volume loop as well. Recently, portable peak flow meters that allow monitoring at home, as well as in the hospital or clinic, have been developed.
The FVC, FEV1, and other flows, along with flow-volume loops, are all used to measure the patient’s response to bronchodilator medications (see Chapter 2). Tests are performed before and after inhalation of a bronchodilator, and the percentage of change is calculated. The same tests may be used to assess airway response after a challenge to the airways. These tests are referred to as bronchial challenge or bronchial provocation tests. The challenge may be in the form of a nonspecific inhaled agent (e.g., methacholine) or a physical agent (e.g., exercise). In either case, airflow is assessed before and after the challenge. The percent change (normally a decrease) after the challenge is calculated (see Chapter 9).
Maximal voluntary ventilation (MVV) was described as early as 1941. Cournand and Richards originally called it the maximal breathing capacity (MBC). In the MVV test, the patient breathes rapidly and deeply for 12 to 15 seconds. The volume of air exchanged is expressed in liters per minute. The MVV gives an estimate of the peak ventilation available to meet physiologic demands.
Measurement of respiratory muscle strength is accomplished by assessing maximal inspiratory pressure (MIP) and maximal expiratory pressure (MEP). This is done using either a pressure transducer or a simple aneroid manometer. MIP and MEP are important adjuncts to spirometry for monitoring respiratory muscle function in a variety of pulmonary and nonpulmonary diseases. Black and Hyatt developed the first device to assess these parameters and called the device a “bugle” because the expiratory maneuver and the device used to measure the pressure were like blowing into a bugle.
Raw measurements date back to the development of the body plethysmograph in the early 1950s. Comroe, DuBois, and others perfected a technique that provided estimates of alveolar pressure. The patient sits in an airtight box called a plethysmograph (see Chapter 11). The plethysmographic method allows the calculation of the pressure drop across the airways related to flow at the mouth (see Chapter 4). This technique originally required complicated monitoring and recording devices. Microprocessors have simplified the measurement of the required signals so that plethysmography is now widely used. The same equipment can also be used to measure thoracic gas volume (VTG) rapidly and accurately.
Lung compliance is measured by passing a small balloon into the esophagus to measure pleural pressure. Intrapleural pressure can then be related to volume changes to estimate the distensibility of the lung (see Chapter 4). Other less invasive techniques are available but not widely used.
Measurement of lung volume dates to the early 1800s, well before Hutchinson’s development of spirometry. Various techniques have been used to estimate the volume of gas remaining in the lung after a complete exhalation. Davy used a hydrogen-dilution technique to estimate residual air. This technique was later improved by Meneely and Kaltreider using helium (He) instead of hydrogen. Around the same time, Darling, Cournand, and Richards began using oxygen breathing to wash nitrogen (N2) out of the lungs. The collection and analysis of the volume of exhaled N2 allowed the functional residual capacity (FRC) to be estimated. Using simple spirometry combined with FRC determinations allows total lung capacity (TLC) and residual volume (RV) to be calculated. The other commonly used method for measuring lung volumes uses the body plethysmograph to measure VTG or FRC. Estimation of lung volumes from chest radiographs is possible but is not widely used. Lung volume can also be estimated from computed tomography (CT) scans, but such measurements are seldom performed just for the purpose of measuring lung volume.
Closed-circuit (He-dilution) and open-circuit (N2-washout) techniques are both widely used to measure FRC. Besides determining lung volumes, each technique provides some limited information about the distribution of ventilation within the lungs. The pattern of N2 washout can be displayed graphically. The time required for He to equilibrate during rebreathing provides a similar index of the evenness of ventilation. In the early 1950s and 1960s, Fowler developed a single-breath N2-washout technique. This method plots the N2 concentration in expired gas after a single breath of 100% oxygen. The single-breath N2 washout also provides limited information about gas distribution in the lungs and allows estimates of the lung volume at which airway closure occurs when the patient exhales completely (see Chapter 4).
Measurement of resting ventilation requires only a simple gas-metering device and a means of collecting expired air. Portable computerized spirometers allow minute ventilation, tidal volume (VT), and breathing rate to be readily measured in almost any setting. Determination of alveolar ventilation or dead space (wasted ventilation) requires measurement of the arterial partial pressure of carbon dioxide (Paco2) in addition to total ventilation. Alternately, the partial pressure of carbon dioxide (Pco2) can be estimated from expired CO2. The availability of blood gas analyzers and exhaled CO2 analyzers makes these measurements routine.
The basis for the modern single-breath diffusing capacity (Dlco) test was described by August and Marie Krogh in 1911. They showed that small but measurable differences existed between inspired and expired gas containing carbon monoxide (CO). This change could be related to the uptake of gas across the lung. Although they used the method to test a series of patients, they did not use the single-breath technique for clinical purposes. Around 1950, Forrester and others revisited the method. They developed it as a tool to measure the gas exchange capacity of the lung. At about the same time, Filley and others were promoting other techniques using CO to measure Dlco. Most of these techniques allowed patients to breathe normally rather than hold their breath. These methods are called steady-state techniques. Each method has certain limitations. However, the single-breath technique is the most widely used and standardized in the United States and Europe (see Chapter 3).
Measurement of gases (O2 and CO2) in the blood began with volumetric methods used since the early 1900s. In 1957, Sanz introduced the glass electrode to measure the pH of fluids potentiometrically. In 1958, Severinghaus added an outer jacket containing a bicarbonate buffer to the glass electrode. The electrode buffer was separated from the blood being analyzed by a membrane permeable to CO2. This allowed the pressure of CO2 in the blood to be measured as a pH change in the electrode. In 1956, Leland Clark covered a platinum electrode with a polypropylene membrane. When a voltage was applied to the electrode, O2 was reduced at the platinum cathode in proportion to its partial pressure. These three electrodes (pH, Pco2, and partial pressure of oxygen [Po2]) were the basic measurement devices in blood gas analyzers for many years. Miniature electrodes gradually replaced the traditional electrodes. Today, blood gas analyzers use a variety of electrochemical techniques (see Blood Gas Analyzers, Chapter 11) to measure not only pH, Pco2, and Po2 but also the various fractions of Hb, such as oxyhemoglobin (O2Hb) and carboxyhemoglobin (COHb). Similar methods to measure electrolytes (K++, Na++, Cl−) are also included in many blood gas analyzer systems. Transcutaneous electrodes using techniques like the classical blood gas electrodes are available for the measurement of O2 and CO2 tensions (tcpO2 and tcpCO2).
Blood oximetry was developed during World War II to monitor the effects of exposure to high-altitude flight. During the 1960s, spectrophotometric analyzers that could measure the total Hb, along with O2Hb and COHb levels, were perfected. Blood oximetry testing is commonly combined with blood gas analysis so that both can be accomplished with a single instrument. Pulse oximetry was developed in the 1970s because of efforts to monitor cardiac rate by using a light beam to sense pulsatile blood flow. It was quickly discovered that the pulse could be sensed, and changes in light absorption could also be used to estimate arterial oxygen saturation. Modern microprocessors have allowed pulse oximeters that are small and portable, with some devices capable of measuring COHb in addition to O2 saturation.
Capnography, or monitoring of exhaled carbon dioxide, was developed in conjunction with the infrared gas analyzer (see Chapter 11). This sensitive and rapidly responding analyzer allows exhaled CO2 to be monitored continuously. Most critical care units, operating rooms, and emergency departments use some combination of blood gas analysis, pulse oximetry, and capnography for patient monitoring. Blood gas analysis is an integral part of routine pulmonary function testing because it is the definitive test of the basic functions of the lung.
Exhaled nitric oxide (eNO), although not a measure of blood gas or gas exchange, has emerged as an important parameter for assessing inflammatory changes in the lungs. Asthma, chronic obstructive pulmonary disease (COPD), and other pathologies characterized by inflammation of the airways or lung tissue can be monitored by analyzing trace amounts of nitric oxide (NO) in exhaled gas.
Exercise tests commonly use a treadmill or cycle ergometer to impose an external workload that stresses the cardiovascular and musculoskeletal systems. The simplest types of exercise tests are those in which the patient performs work and only noninvasive measurements are made. Such measurements include heart rate and rhythm monitoring using an electrocardiogram (ECG). Other simple, noninvasive measurements are blood pressure and respiratory rate monitoring. Analysis of exhaled gas is noninvasive, but the patient does have to breathe through a mouthpiece or mask. Ventilation and VT can be estimated by collecting the exhaled air. Analysis of expired gases permits oxygen consumption and CO2 production to be measured. When invasive measures (blood gas analysis, arterial catheters, pulmonary artery catheters) are used, the entire range of physiologic variables that affect exercise can be monitored. Computerized exhaled gas analysis allows sophisticated measurements to be made rapidly while the patient continues to exercise (breath-by-breath gas analysis). Simple exercise field tests, such as the 6-Minute Walk Test (6MWT), have become popular because the distance walked correlates well with more sophisticated exercise measurements and with clinical outcomes in a variety of diseases.
Measurement of energy expenditure and caloric requirements dates to the early 1900s. The basal metabolic rate (BMR) was measured by allowing subjects to rebreathe from a volume spirometer containing added oxygen. Plotting the rate at which oxygen was consumed derived an estimate of energy expenditure. Similar techniques are used today, except that oxygen consumption and carbon dioxide production are monitored using exhaled gas analysis. Resting energy expenditure (REE) has replaced BMR as the primary variable related to metabolic needs. Although BMR was used to detect disorders that affected metabolism, REE is used to manage critically ill patients whose caloric requirements may be difficult to estimate.
Each category of pulmonary function testing includes specific reasons that the test may be necessary. These reasons for testing are called indications. Some PFTs have well-defined indications. The same indications that apply to one type of test (e.g., spirometry) may also apply to other categories.
Spirometry is the PFT performed most often because it is indicated in many situations (see Box 1.2). Spirometry is often performed as a screening procedure. It may be the first test to indicate the presence of pulmonary disease. Spirometry is either recommended or required for the diagnosis of obstructive lung disease by the Global Initiative for Chronic Obstructive Lung Disease (GOLD), the Global Initiative for Asthma (GINA), and numerous other organizations concerned with the diagnosis of lung diseases. However, spirometry alone may not be sufficient to completely define the extent of disease, response to therapy, preoperative risk, or level of impairment. Spirometry must be performed correctly because of the serious impact its results can have on the patient’s life. It is one of the few tests that yield a false-positive response if performed poorly because low values are the result. These low results may lead to further testing, inappropriate diagnosis and treatment, and increased costs for the patient and the health care delivery system.
The determination of lung volume usually includes the VC and its subdivisions, along with the FRC. From these two basic measurements, TLC and other lung volumes can be calculated (see Chapter 4). Lung volumes are almost always measured in conjunction with spirometry, although the indications for them are distinct (see Box 1.3). The most common reason for measuring lung volumes is to identify restrictive lung disease. A reduced VC (or FVC) measured with spirometry may suggest restriction, particularly if airflow is normal. Measurement of FRC and determination of TLC are necessary to confirm restriction because a low FVC can be caused by either restriction or obstruction. If TLC is reduced below the 5th percentile of the predicted value, restriction is present. The severity of the restrictive process is determined by the extent of reduction of the TLC. TLC and its components can be determined by several methods. For patients with obstructive lung diseases (COPD, asthma), lung volumes measured by body plethysmography may be indicated (see Chapter 4) because multiple-breath or single-breath dilution techniques may underestimate TLC. In obstructive lung disease, lung volumes are necessary to determine whether air trapping or hyperinflation is present. The degree of hyperinflation, measured by indices such as the IC/TLC ratio, correlates with increased mortality in patients who have COPD.
Diffusing capacity is measured by having the patient inhale a low concentration of CO and a tracer gas to determine gas exchange within the lungs (Dlco). Several methods of evaluating the uptake of CO from the lungs are available, but the single-breath technique (Dlcosb) is most used. This method is also called the breath-hold technique because CO transfer is measured during 8 to 12 seconds of breath holding. Dlco is usually measured in conjunction with spirometry and lung volumes. Although many pulmonary and cardiovascular diseases reduce Dlco (see Box 1.4), it may be abnormally increased in some cases (see Chapter 3). Dlco testing is commonly used to monitor diseases caused by dust (pneumoconiosis). These are conditions in which lung tissue is infiltrated by substances such as silica or asbestos that disrupt the normal structure of the gas exchange units. Dlco testing is also used to evaluate pulmonary involvement in systemic diseases such as rheumatoid arthritis. Dlco measurements are often included in the evaluation of patients with obstructive lung disease, particularly in emphysema. Dlco tests may be indicated to monitor changes in lung function (i.e., gas exchange) induced by drugs used to treat cardiac arrhythmias, as well as changes caused by chemotherapy and radiation therapy for lung cancer.
Blood gas analysis is often done in conjunction with pulmonary function studies. Blood is drawn from a peripheral artery without being exposed to air (i.e., anaerobically). The radial artery is often used for a single arterial puncture or indwelling catheter. Blood gas analysis includes the measurement of pH, along with Pco2 and Po2. Other calculated parameters (HCO3−, base excess, etc.) are often included in the standard blood gas report. The same specimen may be used for blood oximetry to measure total Hb, O2Hb saturation, COHb, and methemoglobin (MetHb).
Blood gas analysis is the ideal measure of pulmonary function because it assesses the two primary functions of the lung (oxygenation and CO2 removal). Evaluation of many pulmonary disorders may include blood gas analysis. Specific indications for blood gas analysis are listed in Box 1.5. Blood gas analysis is most often used to determine the need for supplemental oxygen and to manage patients who require ventilatory support. Some pulmonary function measurements require blood gas analysis as an integral part of the test (i.e., shunt or dead-space studies). Blood gas analysis is invasive; noninvasive measurements of oxygenation or gas exchange are often preferred because they are safer or less costly. Many noninvasive techniques (e.g., pulse oximetry, transcutaneous monitoring, and capnography) rely on a blood gas analysis to verify their validity (see Chapter 6).
Physical exercise stresses the heart, the lungs, and the pulmonary and peripheral circulatory systems. Exercise testing allows simultaneous evaluation of the cellular, cardiovascular, and ventilatory systems. Cardiopulmonary exercise tests can be used to determine the level of fitness or extent of dysfunction. Appropriately designed tests can determine the role of cardiac or pulmonary involvement. COPD, interstitial lung disease, pulmonary vascular disease, and exercise-induced bronchospasm are respiratory disorders that often require exercise evaluation. Understanding the physiologic basis for the patient’s inability to exercise is an important aspect in prescribing effective therapy (i.e., cardiac or pulmonary rehabilitation). Exercise testing may also be required for the determination of disability. Box 1.6 lists specific indications for exercise tests.
Equipment used to measure oxygen consumption and CO2 production during exercise can also measure resting metabolic rates. This allows estimates of caloric needs in patients who are critically ill. Indications for performing studies of REE are detailed in Chapter 10.
Patients are usually referred to the pulmonary function laboratory to evaluate signs or symptoms of lung disease. In some instances, the clinician may wish to exclude a specific diagnosis, such as asthma. Indications for different categories of PFTs have been described previously. Sometimes, patients display patterns during testing that are consistent with a specific diagnosis. This section presents an overview of some commonly encountered forms of impaired pulmonary function.
An obstructive airway disease is one in which airflow into or out of the lungs is reduced. This simple definition includes a variety of pathologic conditions. Some of these conditions are closely related in how they cause airway obstruction. For example, mucus hypersecretion is a component of chronic bronchitis, asthma, and cystic fibrosis (CF), although their causes are distinct.
The term COPD is often used to describe long-standing airway obstruction caused by emphysema, chronic bronchitis, or sometimes asthma, which is not fully reversible. These three conditions may be present alone or in combination (Fig. 1.2). Bronchiectasis is sometimes considered a component of COPD. COPD is characterized by dyspnea at rest or with exertion, often accompanied by a productive cough. Delineation of the type of obstruction depends on the history, physical examination, and pulmonary function studies. Unfortunately, the term COPD is used to describe the clinical findings of dyspnea or cough without attention to the actual cause. This may lead to inappropriate therapy. Other similar terms include chronic obstructive lung disease (COLD) and chronic airway obstruction (CAO).

Emphysema means “air trapping” and is defined morphologically. The air spaces distal to the terminal bronchioles are abnormally increased in size. The walls of the alveoli undergo destructive changes. This destruction results in the overinflation of lung units. If the process mainly involves the respiratory bronchioles, the emphysema is termed centrilobular. If the alveoli are also involved, the term panlobular emphysema is used to describe the pattern. These distinctions require the examination of lung tissue either by biopsy or at postmortem. Because this is often impractical, emphysema is suspected when there is airway obstruction with air trapping. Physical assessment, chest x-ray or CT studies, and pulmonary function studies are the primary diagnostic tools. Spirometry (FVC, FEV1, and FEV1/FVC) is used to determine the presence and extent of obstruction. Lung volumes (TLC, RV, IC, and RV/TLC) define the pattern of air trapping or hyperinflation caused by emphysema. Dlco and blood gas analyses are useful in tracking the degree of gas exchange abnormality in emphysema. Some form of exercise testing may be necessary if the patient with emphysema is suspected of oxygen desaturation with exertion or to plan pulmonary rehabilitation.
Emphysema is caused primarily by cigarette smoking. Repeated inflammation of the respiratory bronchioles results in tissue destruction. As the disease advances, more and more alveolar walls are destroyed. Loss of elastic tissue results in airway collapse, air trapping, and hyperinflation. Some emphysema is caused by the absence of a protective enzyme, α1-antitrypsin. The lack of this enzyme is caused by a genetic defect. The enzyme α1-antitrypsin inhibits proteases in the blood from attacking healthy tissue. Deficiency of α1-antitrypsin causes the gradual destruction of alveolar walls, resulting in panlobular emphysema. Chronic exposure to environmental pollutants can also contribute to the development of emphysema. The natural aging of the lung also causes some changes that resemble the disease entity. The natural decline of elastic recoil in the lung reduces maximal airflow and increases lung volume as people age. Surgical removal of lung tissue sometimes causes the remaining lung to overinflate.
The main symptom of emphysema is breathlessness, either at rest or with exertion. Hypoxemia may contribute to this dyspnea, particularly in advanced emphysema. However, the destruction of alveolar walls also causes loss of the capillary bed. Ventilation-perfusion matching may be relatively well preserved in patients with emphysema. As a result, oxygen levels may be only slightly decreased, particularly at rest. This type of patient is sometimes called the “pink puffer.” As the disease advances, the loss of alveolar surface causes a decreased ability to oxygenate mixed venous blood. Dlco is reduced. The patient becomes increasingly breathless, particularly with exertion. Muscle wasting seems to be common in emphysema, and patients are often below their ideal body weight. As noted, symptoms of chronic bronchitis and asthma may be present as well.
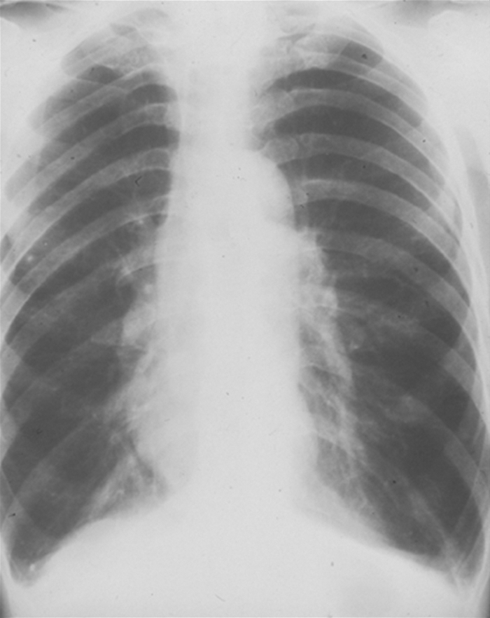
The chest x-ray film of a patient with emphysema shows flattened diaphragms and increased air spaces. The lung fields appear hyperlucent (dark), with little vascularity. The heart appears to be hanging from the great vessels (Fig. 1.3). CT scans, especially spiral CT scans, show a three-dimensional picture of enlarged air spaces and loss of supporting tissue. CT scans also delineate whether the emphysematous changes are localized or spread throughout the lungs.

The physical appearance of the chest confirms what is shown radiographically. The chest wall is immobile with the shoulders elevated. The diameter of the chest is increased in the anterior-posterior aspect (so-called barrel chest). There is little diaphragmatic excursion during inspiration. Intercostal retractions may be prominent. Accessory muscles (neck and shoulders) are used to lift the chest wall. Breath sounds are distant or absent. Patients may need to support the arms and shoulders to catch their breath. Breathing is often done through pursed lips to alleviate the sensation of dyspnea (Fig. 1.4).

Chronic bronchitis is diagnosed by clinical findings. It is present when there is excessive mucus production with a productive cough on most days for at least 3 months for 2 years or more. The diagnosis is made by excluding other diseases that also result in excess mucus production. These include CF, tuberculosis, abscess, tumors, and bronchiectasis.
Chronic bronchitis, like emphysema, is caused primarily by cigarette smoking. It may also result from chronic exposure to environmental pollutants and second hand smoke. Chronic bronchitis causes the mucous glands that line the airways to hypertrophy and increase in number. There is also chronic inflammation of the bronchial wall with infiltration of leukocytes and lymphocytes. The number of ciliated epithelial cells decreases. This causes impairment of mucus flow in the airways. Similar changes occur in respiratory bronchioles. Excessive mucus and poor clearance make the patient susceptible to repeated infections. Some patients who have chronic bronchitis caused by cigarette smoking experience a decrease in cough and mucus production after smoking cessation. Some airway changes, however, usually persist. Spirometry is useful in evaluating the extent of airway obstruction caused by bronchitic changes. Dlco may be helpful in distinguishing emphysema and chronic bronchitis; patients with bronchitis may have preserved Dlco, whereas patients with emphysema tend to have reduced Dlco. However, Dlco is usually not normal in chronic bronchitis because of the mismatching of ventilation and perfusion caused by bronchial obstruction.
Chronic cough is the defining symptom of chronic bronchitis. Some patients do not consider cough abnormal and refer to it as “smoker’s cough” or “morning cough.” In addition to cough, chronic bronchitis may produce dyspnea, particularly with exertion. Blood gas abnormalities usually accompany chronic bronchitis. Ventilation-perfusion mismatching causes hypoxemia. If hypoxemia is significant and persists, the patient may develop secondary polycythemia. Cyanosis may be present because of the combination of arterial desaturation and increased Hb levels. Chronic hypoxemia may also lead to right-sided heart failure (cor pulmonale) with peripheral edema, particularly in the feet and ankles. Advanced chronic bronchitis is also often accompanied by CO2 retention (hypercapnia).
Unlike the patient with emphysema, the patient with chronic bronchitis may show few clinical signs of underlying disease. Body weight may be normal or increased, with minimal changes to the chest wall. Patients with bronchitis may appear normal except for cough and dyspnea. The chest x-ray film in chronic bronchitis differs markedly from that in emphysema. The congested airways are easily visible. The heart may appear enlarged, with the pulmonary vessels prominent. The diaphragms may appear normal or flattened, depending on the degree of air trapping present. If there is right-sided heart failure, swelling (edema) of the lower extremities is often present.
Pulmonary infections can seriously aggravate chronic bronchitis, and patients who have chronic bronchitis tend to have an increased number of chest infections. The appearance of the sputum produced can help predict worsening function. If it is normally white, a change to discolored sputum indicates the beginning of an infection. This may be accompanied by worsened hypoxemia and shortness of breath. Early treatment can potentially reverse an otherwise serious complication. Failure to manage the chest infection can result in severe hypoxemia and hypercapnia with exacerbation of right-sided heart failure. Acute respiratory failure superimposed on chronic failure is a common cause of death in patients with COPD.
Bronchiectasis is pathologic dilatation of the bronchi. It usually results from the destruction of the bronchial walls by severe repeated infections, but some individuals are born with it (congenital bronchiectasis). The terms saccular, cystic, and tubular are used to describe the appearance of the bronchi. Most bronchiectasis involves prolonged episodes of infection. Bronchiectasis is common in CF and after bronchial obstruction by a tumor or foreign body. When the entire bronchial tree is involved, it is assumed that the disease is inherited or caused by developmental abnormalities.
The main clinical feature of bronchiectasis is a very productive cough. The sputum is usually purulent and foul-smelling. Hemoptysis is also common. Frequent bronchopulmonary infections lead to gas exchange abnormalities like those of chronic bronchitis. Right-sided heart failure follows the advancement of the disease. Chest x-ray studies, bronchograms, and CT scans are used to identify the type and extent of the disease. As in chronic bronchitis, spirometry may be useful for assessing the degree of obstruction and response to therapy.
Treatment of bronchiectasis includes vigorous bronchial hygiene. Regular antibiotic therapy is used to manage the repeated infections. Bronchoscopy and surgical resection are sometimes required to manage localized areas of infection. Patients with recurrent hemoptysis may require a resection of the offending lobe.
GOLD, a World Health Organization (WHO) program, works with health care professionals to raise awareness and improve the prevention and treatment of COPD. COPD is the third-leading cause of morbidity and mortality throughout the world. COPD often includes components of emphysema and chronic bronchitis (see Fig. 1.2). This association most likely is due to the common risk factor of cigarette smoking. Hyperreactive airways disease (asthma) may also be present. Reversibility of obstruction, however, is usually less than in uncomplicated asthma. Bronchiectasis and bronchiolitis are also commonly found in patients with COPD.
An essential ingredient in COPD management is early diagnosis. GOLD requires spirometry as the primary tool in the diagnosis of COPD. It also classifies airflow limitation into four grades (GOLD 1, mild; GOLD 2, moderate; GOLD 3, severe; and GOLD 4, very severe). Spirometry is recommended for all smokers with ≥ 20 years of smoking and chronic cough, dyspnea on exertion, mucus hypersecretion, or wheezing.
Treatment of COPD begins with smoking cessation and avoiding irritants that inflame the airways. The rate of decline in lung function (FEV1) in smokers is approximately twice that of nonsmokers. Smoking cessation decreases the accelerated decline in most, but not all, smokers. Other measures aimed at keeping the airways open are also important. Inhaled bronchodilators, especially β2 agonists, are commonly used. Combinations of β2 agonists and anticholinergic bronchodilators, together with inhaled corticosteroids (ICSs), provide relief for many patients with COPD. This is often the case even when there is little improvement in airflow assessed by spirometry. Some patients require oral steroids (e.g., prednisone) to manage chronic inflammation. Antibiotics are commonly used at the first sign of respiratory infections, and vaccination against viral and bacterial (pneumococcus) infection is recommended. Digitalis and diuretics are most often prescribed for the management of cor pulmonale.
Breathing retraining, bronchial hygiene measures, and physical reconditioning are important therapeutic modalities in addition to pharmacologic management. Breathing retraining is especially important for the patient with advanced COPD. Grossly altered pulmonary mechanics favor hyperinflation and the use of accessory muscles. Training in the use of the diaphragm for slow, relaxed breathing can significantly improve gas exchange. Pulmonary rehabilitation, particularly physical reconditioning, permits many patients with otherwise debilitating disease to maintain their quality of life (Fig. 1.5).

Supplemental O2 therapy is indicated in COPD when the patient’s oxygen tension at rest or during exercise is less than 55 mm Hg. Oxygen may also be prescribed when signs of cor pulmonale are present. Many patients desaturate with exertion only. Exercise testing is the only reliable method of detecting exertional desaturation. Low-flow O2 therapy can be implemented by several methods, including portable systems. Chronic O2 supplementation has been shown to improve survival in patients with COPD.
Single-lung transplantation has been used for patients with end-stage COPD who meet the inclusion criteria. Although lung transplantation causes an immediate improvement in pulmonary function, there are factors that need to be considered. The cost of hospitalization and follow-up care is extensive, and the lack of donor organs means that many patients with COPD die while awaiting transplantation. The prognosis for those receiving lung transplants is generally good. In some transplant recipients, a severe form of airway obstruction (bronchiolitis obliterans) has been found to occur in the transplanted lung. The reason for this obstructive process is unclear, but the progression is rapid. Spirometry is used to monitor transplant recipients to detect early changes associated with bronchiolitis obliterans (Fig. 1.6).

Lung volume reduction surgery (LVRS) has also been used to treat end-stage COPD. In this procedure, poorly perfused lung tissue is surgically removed. This allows the remaining lung units to expand with improved ventilation-perfusion matching. This technique works particularly well when there are well-defined areas of trapped gas with little perfusion (bullae). The procedure can be performed by sternotomy or by using a flexible thoracoscope. With both methods, lung volumes (TLC and RV) are reduced, and spirometry and gas exchange improve. Spirometry, lung volume measurement, and blood gas analysis are used to monitor changes in these patients. Lung volume reduction is expensive, carries significant risk, and does not appear to benefit all patients who have air trapping.
Asthma is characterized by reversible airway obstruction. Obstruction is caused by inflammation of the mucosal lining of the airways, bronchospasm, and increased airway secretions. Bronchospasm is usually reversed by the inhalation of bronchodilators but may be persistent and severe in some patients. Inflammation is the essential element in the asthmatic response. Increased airway responsiveness is related to the inhalation of antigens, viral infections, air pollution, occupational exposure, cold air, and exercise. Spirometry is the most useful tool for detecting reversible airway obstruction. Improvement in the FEV1 or FVC (see Chapter 2) is the hallmark of reversibility. Raw and specific airway conductance (sGaw) are also useful in the evaluation of reversible obstruction. PEF, measured using portable peak flow meters, can provide immediate information for a clinician or patient to modify therapy. Analysis of eNO can detect inflammatory changes in the airways even in the absence of spirometric or peak flow abnormalities.
Asthma can occur at any age but often begins during childhood. Even infants can have hyperreactive airways (see Chapter 8). Some children with asthma outgrow the disease, but in others, the disease continues into adulthood. In some individuals, asthma begins in adulthood, usually after age 40. There appears to be a hereditary component to asthma; many cases occur in patients who have a family history of asthma or allergic disorders.
Agents or events that cause an asthmatic episode are called triggers (Box 1.7). Antigens such as animal dander, pollens, and dusts are the most common triggers. Other common triggers include exposure to air pollutants, exercise in cold or dry air, occupational exposure to dusts or fumes, and viral upper respiratory infections. Aspirin or other drugs can also trigger asthma, as can food additives (e.g., metabisulfites) or emotional upset (e.g., crying, laughing). All these triggers act on the hyperresponsive airway to produce the symptoms of asthma.
The most common presentation of asthma includes wheezing, cough, and shortness of breath. The severity of asthmatic episodes varies, even in the same individual at different times. In many patients, airway function is relatively normal between intermittent episodes or attacks. Some patients have only cough or chest tightness that subsides spontaneously. However, severe episodes may be life-threatening. In its worst presentation, asthma causes continuous chest tightness and wheezing that may not respond to the usual therapy. Dyspnea and cough can both be extreme, and if unresolved, they can progress to respiratory failure.
During an attack, there is usually wheezing, noisy breathing, and prolonged expiratory times. If the attack is severe, there may be significant air trapping with decreased breath sounds, similar to the pattern seen in patients with emphysema. Accessory muscles of ventilation are used, and breathing may be labored. Spirometry or peak flows provide a simple means of tracking response to bronchodilators. Arterial blood gas testing may be necessary during severe asthmatic episodes. Hypoxemia is commonly present because of ventilation-perfusion mismatching. This usually results in acute alveolar hyperventilation that presents itself as respiratory alkalosis or metabolic alkalosis in chronic patients and deteriorates into respiratory acidosis, which suggests impending respiratory failure.
Bronchial provocation tests using methacholine, histamine, mannitol, exercise, or hyperventilation are often used to make the diagnosis of hyperreactive airways in patients who appear normal but have episodic symptoms. Skin testing is also used to demonstrate sensitivity to inhaled antigens. Elevated eNO levels are also predictive of the airway inflammation common in the patient with asthma and usually correlate with hyperresponsiveness measured by conventional bronchial challenge tests (see Chapter 9).
GINA, a WHO-sponsored program, and the National Asthma Education Prevention Program (NAEPP) are two resources that provide guidance on asthma management.
The first step in asthma management is avoiding known triggers. In some instances, this is easily accomplished. However, in the case of air pollution or occupational exposure, avoiding the offending substance may be expensive or impossible. Asthma education usually focuses on helping affected individuals identify and avoid triggers, monitoring their peak flows daily, and instructing them on the proper use of medications.
Pharmacologic management of asthma is usually based on a combination of bronchodilator, steroid, and antiinflammatory therapy. For some patients with mild asthma, a β2 agonist bronchodilator from a metered-dose inhaler (MDI) may be the only treatment required. Various β2 agonists are available, and these drugs are typically used as rescue medications. In moderate or severe asthma, long-acting β2 agonist bronchodilators (e.g., salmeterol) are usually inhaled on a dosing schedule. Anticholinergic bronchodilators (e.g., ipratropium or tiotropium) have become widely prescribed for use in conjunction with β2 agonists. Anticholinergic bronchodilators may be preferred in patients who experience tachycardia or tremor caused by adrenergic drugs. Although most β2 agonists have a rapid onset of action (5–15 minutes), anticholinergic bronchodilators typically take 30 to 60 minutes for peak effect to occur but with much longer-lasting effects.
ICSs (e.g., beclomethasone, fluticasone, budesonide, and mometasone) are the most effective treatment for mild, moderate, and severe asthma. Steroids act primarily as antiinflammatory agents in the airways and may allow bronchodilators to work more effectively. Several different preparations are available in MDIs or dry-powder inhalers. Combinations of inhaled steroids and long-acting β2 agonist bronchodilators seem to be highly effective at preventing asthma symptoms. Children and adolescents may not respond to inhaled steroids. Corticosteroids, in general, have several adverse side effects, including a reduction in bone density and adrenal suppression. Inhaled steroids have relatively fewer side effects; fungal infection of the oral cavity is a common problem. Inhaled steroids decrease bone density, and their effect on growth in children is not completely understood.
Cromolyn sodium or nedocromil is used to prophylactically prevent bronchoconstriction by blocking the release of mediators from mast cells in the airways. They cannot be used for acute episodes but may decrease the amount of corticosteroids or bronchodilators necessary. Cromolyn derivatives are available as a nebulized solution, inhaled powder, or MDI.
Leukotriene receptor antagonists are also used to reduce airway inflammation in asthma. They block the release of leukotrienes, which potentiate inflammatory mediators. These drugs may be effective in cases in which inhaled steroids are not and have been successfully used in conjunction with steroids. Some patients may better accept oral preparations of leukotriene inhibitors.
Some patients who have severe asthma caused by allergies may benefit from drugs that block immunoglobulin E (IgE)-mediated responses. Omalizumab blocks IgE from binding to mast cells and prevents activation that can lead to inflammation.
A significant tool in the management of asthma is the portable peak flow meter (see Chapters 2 and 11). This device allows simple monitoring of airway function by the patient at home, as well as by caregivers in a variety of settings. Measuring peak flow provides objective data to guide both the patient and physician in modifying bronchodilator therapy or seeking early treatment. Computerized peak flow meters that include symptom history (i.e., an electronic diary) allow asthma management to be tailored to the individual patient’s asthmatic needs.
CF is a disease that primarily affects the mucus-producing apparatus of the lungs and pancreas. CF is an inherited disorder, transmitted as an autosomal-recessive trait. In whites, it occurs in approximately 1 in 2500 to 3000 live births; in African Americans, CF is much less common, occurring in only 1 of 17,000 live births. There are approximately 70,000 to 100,000 people living worldwide with CF. A simple test, the sweat test, measures the chloride level in sweat, which is elevated in CF. Some states require a screening blood test for CF in newborns. CF was once considered a pediatric disease because affected individuals rarely lived to adulthood. Improved detection and aggressive treatment have increased the median survival age well into adulthood.
CF is characterized by the malabsorption of food because of pancreatic insufficiency and progressive suppurative pulmonary disease. In infancy and early childhood, gastrointestinal manifestations seem to predominate. As the child gets older, respiratory complications related to the tenacious mucus production take over. Other organ systems may be involved as well. Children with CF tend to remain chronically infected with respiratory pathogens, such as Staphylococcus aureus, Pseudomonas aeruginosa, or Burkholderia cepacia.
Clinical manifestations of CF include chronic cough and sinusitis, bronchiectasis, and atelectasis. Hemoptysis and pneumothorax are common. Pulmonary function studies may be used to follow the progression of the disease. Spirometry (FEV1) is frequently measured as an index of the need for lung transplantation. Chest x-ray studies show changes consistent with bronchiectasis and honeycombing. Atelectasis commonly affects entire lobes because of mucus impaction. Other complications center on gastrointestinal manifestations (e.g., bowel obstruction and vitamin deficiencies). Most individuals with CF are diagnosed in infancy or early childhood, based on elevated sweat chloride levels. Occasionally, some young adults are not diagnosed until after age 15. In many instances, adolescents or even adults are misdiagnosed as having asthma or related pulmonary diseases. Misdiagnosis usually occurs in individuals who have mild CF with few complications.
Removal of the excess mucus produced in CF is the primary focus of management. This usually requires bronchial hygiene measures and pharmacologic intervention. Bronchodilators are used to reverse the bronchospasm that commonly accompanies chronic inflammation. A genetically engineered enzyme is now used to reduce mucus viscosity in patients with CF. This enzyme (rhDNase) is administered via an aerosol. This reduces the viscosity of secretions and improves airflow. Corticosteroids are used to combat both pulmonary inflammation and bronchial hyperreactivity. Continuous or intermittent antibiotics are also a mainstay of care in the patient with CF. Proper nutrition is similarly important in managing CF. Pancreatic insufficiency increases the patient’s metabolic rate, even though nutrients are poorly absorbed in the intestine. Pancreatic enzyme supplements and vitamins are required, particularly in children with CF. For individuals with severe CF, lung transplantation has become a life-saving treatment. Pulmonary function studies are routinely used to assess lung function following transplantation.
Many obstructive diseases involve the medium or small airways. Sometimes, airway obstruction occurs in the upper airways (nose, mouth, or pharynx) or in the large thoracic airways (trachea, main-stem bronchi). Obstruction can also occur where the upper and lower airways meet at the vocal cords. When obstruction occurs below the vocal cords, the degree of obstruction may vary with changes in thoracic pressure. This occurs because the airways themselves change size as thoracic pressure rises or falls. Obstructive processes above the vocal cords are not influenced by thoracic pressures but may still vary with airflow, depending on the type of lesion involved. Regardless of the location of the problem, large airway obstruction results in increased work of breathing. Extrathoracic or intrathoracic airway obstruction is frequently diagnosed using the flow-volume loop or measurements of Raw (see Chapters 2 and 4).
Vocal cord dysfunction (VCD) or damage can result in significant airway obstruction. The vocal cords are normally held open or abducted during inspiration. When damaged, the vocal cords move toward the midline, narrowing the airway opening. This type of obstruction limits flow primarily during inspiration. In some cases, expiratory flow may be reduced as well, but inspiratory flow is typically lower. Common causes of VCD include laryngeal muscle weakness or mechanical damage, as sometimes occurs during intubation of the trachea. Severe infections involving the larynx can leave scar tissue on the vocal cords or supporting structures. VCD often mimics asthma. It may become noticeably worse when ventilation is increased, such as during exercise. Neuromuscular disorders can cause paralysis of the vocal cords, also resulting in variable extrathoracic airway obstruction (see Chapter 2).
Tumors are a common cause of large airway obstruction. Lesions that invade the trachea or main-stem bronchi can significantly diminish airflow. The decrease in flow is related to the decrease in the cross-sectional area of the airway. If the airway lumen (i.e., the part not obstructed) varies in cross-sectional area with inspiration and expiration, the obstruction is described as variable. During inspiration, thoracic pressure decreases, and large airways increase their cross-sectional area. During expiration, the opposite occurs. If the airway is partially obstructed by a tumor, airflow will be decreased during inspiration and expiration but more so during expiration. If the tumor reduces the cross-sectional area of the airway but does not cause it to change with the phase of breathing, the obstruction is fixed. In this instance, both inspiratory and expiratory flows are reduced approximately equally (see Chapter 2). Tumors involving the upper airway may cause variable or fixed obstruction. If an extrathoracic tumor causes the airway cross section to vary with breathing, inspiratory flow is usually reduced. An easy way to remember the cause and effect is to use the mnemonic, “What’s in is out, what’s out is in.” In other words, if the obstruction is within the thoracic cage, it will affect the expiratory flow-volume curve. In contrast, if the obstruction is outside of the thoracic cage (i.e., VCD), it will affect the inspiratory portion of the flow-volume loop.
Neuromuscular disorders that affect the muscles of the upper airway can also affect airway patency. When the muscles of the pharynx or larynx are relaxed (reduced muscle tone), airway collapse may occur during the inspiratory phase of breathing. Any disorder that affects the innervation of the pharyngeal muscles can cause similar obstructive patterns. Abnormal airflow patterns are sometimes seen in patients who have obstructive sleep apnea, although flow measurements cannot predict sleep apnea. Myasthenia gravis affects the muscles of respiration, including the muscles of the upper airway. Generalized weakness of these muscles can result in variable extrathoracic obstruction.
Both extrathoracic and intrathoracic large airway obstructions commonly result from trauma to the airways. This can occur as a result of motor vehicle accidents or falls. Scarring or stenosis of the trachea may also occur after prolonged endotracheal intubation or tracheostomy. The typical pattern is one of fixed obstruction, although some lesions do vary with the phase of breathing. Granulomatous disease, such as sarcoidosis or tuberculosis, can occasionally cause upper airway obstruction. Extrinsic airway compression can also reduce airflow. Goiters or mediastinal masses are the most common culprits that compress the airways in this way.
Treatment of extrathoracic or intrathoracic large airway obstruction is aimed at reversing the process produced by the offending lesions. For VCD, stopping inappropriate therapy (e.g., steroids) is the first step. Speech therapy and breathing retraining have been demonstrated to reduce inspiratory obstruction. In severe cases, a mixture of helium and oxygen (80% He and 20% O2) may be needed to alleviate dyspnea and interrupt the episode. Treatment of neuromuscular disease, such as myasthenia gravis, often reverses the associated airway obstruction. Tumors usually require resection. Some neoplasms can be managed by radiation or chemotherapy only. In either case, spirometry with flow-volume curves (see Chapter 2) is used to assess airway obstruction. Surgical repair of trauma to the upper or large airways directly relieves airway obstruction and reduces the work of breathing.
Restrictive lung disease is characterized by the reduction of lung volumes. The VC and TLC are both reduced below the LLN. Any process that interferes with the bellows action of the lungs or chest wall can cause restriction. Restriction is often associated with interstitial lung diseases, including idiopathic fibrosis, pneumoconiosis, and sarcoidosis, as well as the following:
Pulmonary fibrosis involves scarring of the lung with involvement at the alveolar level. Multiple causes have been identified, including environmental pollutants, smoking, radiation, and connective tissue diseases. Patients who have pulmonary fibrosis present with dyspnea that increases with exertion and a dry, nonproductive cough.
Pulmonary fibrosis can follow the use of medications such as bleomycin, cyclophosphamide, methotrexate, or amiodarone. It is also associated with several autoimmune diseases. Rheumatoid arthritis, systemic lupus erythematosus (SLE), and scleroderma all produce alveolar wall inflammation and fibrotic changes. As each disease progresses, lung volumes are reduced. These reductions in VC and TLC occur as fibrosis causes the lungs to become stiff. Measurement of pulmonary compliance (see Chapter 4) is sometimes helpful in quantifying the effects of the fibrosis. Dlco (see Chapter 3) is often reduced because of loss of lung volume and ventilation-perfusion mismatching. The same processes also cause hypoxemia at rest that worsens with exertion.
When other causes of pulmonary fibrosis have been ruled out, this condition is called idiopathic pulmonary fibrosis (IPF). IPF is a chronic progressive interstitial lung disease of unknown etiology, characterized by alveolar wall inflammation, resulting in fibrosis. Vascular changes are usually associated with pulmonary hypertension. These patients also have increasing exertional dyspnea, usually with a nonproductive cough. Clubbing of the fingers and expiratory rales are common physical findings. On the chest x-ray film, infiltrates are visible, and advanced IPF shows a honeycombing pattern.
Management of pulmonary fibrosis relies primarily on corticosteroids (prednisone). Long-term therapy is usually indicated, with large initial doses followed by tapering and then maintenance. Immunosuppressive agents are sometimes used in conjunction with steroids in difficult cases. In the most severe presentations, lung transplantation may be required. Spirometry, lung volume measurements, and Dlco are routinely used to monitor the patient’s progress and response to therapeutic interventions. Blood gases and exercise tests may be needed to gauge the degree of oxygen desaturation that is known to occur.
Pneumoconiosis is lung impairment caused by inhalation of particulate material (e.g., dusts). Specific types of dust exposures have been shown to result in pneumoconiosis (Table 1.1). Dust particles in the size range between 0.5 and 5.0 microns are considered most dangerous because they are deposited throughout the lung. A carefully taken history of the patient’s exposure, including work history, is essential. (See Pulmonary History in the Preliminaries to Patient Testing section.) Most cases of pneumoconiosis are characterized by pulmonary fibrosis and chest x-ray abnormalities. Pulmonary function studies typically reveal a restrictive pattern with a reduction in Dlco.
Table 1.1
| Dust | Pneumoconiosis | Occupation |
|---|---|---|
| Iron | Siderosis | Welder, miner |
| Tin | Stannosis | Metal worker |
| Barium | Baritosis | Miner, metallurgist, ceramics worker |
| Silica | Silicosis (aka grinder disease or potter rot) | Sandblaster, granite worker, brick maker, coal miner |
| Asbestos | Asbestosis | Brake/clutch manufacturer, shipbuilder, steam fitter, insulator |
| Talc | Talcosis | Ceramics worker, cosmetics maker |
| Beryllium | Berylliosis | Alloy maker, electronic tube maker, metal worker |
| Coal | Coal worker pneumoconiosis | Coal miner |
Silicosis, caused by inhalation of silica dust, is common. Silica is found in sand, slate, granite, and other ores; sandblasters, miners, and ceramic workers are a few of the occupations commonly exposed to silica. Silica is deposited in the lung and ingested by macrophages. This results in the formation of nodules around bronchioles and blood vessels. As the silicosis advances, fibrosis occurs. The patient usually has cough and dyspnea, especially on exertion. In addition to restriction shown by pulmonary function studies, some airways may also be obstructed. As nodules increase in size to more than 1 cm, the condition is labeled progressive massive fibrosis (PMF). PMF is usually accompanied by hypoxemia and pulmonary hypertension. Treatment of silicosis is directed at relieving hypoxemia and managing right-sided heart failure.
Asbestosis results from inhalation of asbestos fibers. Asbestos has been commonly used in the manufacture of insulating materials, brake linings, roofing materials, and fire-resistant materials. As with most pneumoconiosis, the risk of developing asbestosis is related to the intensity and duration of exposure. The onset of symptoms is usually delayed for 20 years. Cigarette smoking has been shown to shorten the period between exposure and onset of symptoms. Inhaled asbestos fibers are engulfed by alveolar macrophages. Fibrosis in alveolar walls and around bronchioles develops. The visceral pleura may also show fibrous deposits. Plaques, made up of collagenous connective tissue, are often found on the parietal pleura. The patient experiences dyspnea on exertion. PFTs show restriction and impaired diffusion (Dlco). The chest x-ray film may show irregular densities in the lower lung fields, fibrotic changes (honeycombing), and diaphragmatic calcifications. COPD and lung cancer are also common in patients with asbestosis and are related to cigarette smoking. Treatment consists of assessment with PFTs (especially Dlco) and relief of symptoms.
Coal worker’s pneumoconiosis (CWP) is caused by an accumulation of coal dust (carbon particles) in the lungs. It should not be confused with black lung, which is a legal term used to describe any chronic respiratory disease in a coal miner. Some coal contains silica, but CWP begins with a reaction to an accumulation of dust called a coal macule. These macules are usually found in the upper lobes. The black coal pigment is deposited around the respiratory bronchioles. Diagnosis of CWP is made by history and chest x-ray film interpretation. Onset of symptoms caused by CWP usually occurs in advanced cases. Coal workers often have respiratory symptoms and physiologic findings consistent with COPD. These symptoms may be related more to cigarette smoking than to coal dust exposure. CWP causes fibrosis, restriction on PFTs, hypoxemia, and pulmonary hypertension. As in the case of other pneumoconiosis, treatment is aimed at relief of the symptoms.
Sarcoidosis is a granulomatous disease that affects multiple organ systems. The lungs are often involved. The disease appears most often in the second through fourth decades of life. In the United States it occurs more commonly in African Americans, especially in women. The granulomas found in sarcoidosis are composed of macrophages, epithelioid cells, and other inflammatory cells. Sarcoidosis has an active phase and a nonactive phase. In the active phase, granulomas form and increase in size. These granulomatous lesions may resolve with little or no structural change, or they may cause fibrosis in the target organ. In the nonactive phase, inflammation subsides, but scar tissue usually remains.
Symptoms of sarcoidosis include fatigue, muscle weakness, fever, and weight loss. Other symptoms involve the specific organ system in which the granulomatous changes occur. The lungs and lymph nodes of the mediastinum are frequently involved in patients who have sarcoidosis. Dyspnea and a dry, nonproductive cough are the most common presenting symptoms. Chest x-ray films usually show enlargement of the hilar and mediastinal lymph nodes. Interstitial infiltrates may also be present. Other systems commonly involved in sarcoidosis include the skin, eyes, musculoskeletal system, heart, and central nervous system.
PFTs show a pattern of restriction with relatively normal flows. It is not unusual for sarcoidosis in the early stages to show completely normal lung function. Dlco may not be reduced except when there is advanced fibrosis of lung tissue. Arterial blood gas measurements may be normal, or there may be hypoxemia. Cardiopulmonary exercise testing may show worsened gas exchange. Diagnosis of sarcoidosis is sometimes made via clinical findings and chest x-ray examination, but biopsy of affected tissue is often necessary. This may involve mediastinoscopy or fiberoptic bronchoscopy.
Management of sarcoidosis includes medications to treat symptoms such as fever, skin lesions, or arthralgia. Serious complications involving worsening pulmonary function are usually treated with corticosteroids.
Several disorders involving the chest wall or pleura of the lungs result in restrictive patterns on pulmonary function studies. Conditions affecting the thorax include kyphoscoliosis and obesity. Pleural diseases include pleurisy, pleural effusions, and pneumothorax.
Kyphoscoliosis is a condition that involves abnormal curvature of the spine both anteriorly (kyphosis) and laterally (scoliosis). The degree of curvature is usually determined by x-rays, with curvature greater than 40 degrees requiring surgery. Patients who have kyphoscoliosis show rib-cage distortion that can lead to recurrent infections, as well as blood gas abnormalities. Depending on the degree of spinal curvature, the patient may have normal lung function or restriction. Ventilation may be normal. Lung compression usually causes ventilation-perfusion mismatching and hypoxemia. In severe cases, there may be hypercapnia and respiratory acidosis. Treatment of the disorder involves prevention of infections and relief of hypoxemia if present. Surgical correction is necessary in many cases, and pulmonary function studies are used to evaluate patients both preoperatively and postoperatively.
Pectus excavatum (sunken chest) is a congenital abnormality affecting the development of the sternum and ribs of the anterior chest. It is found more frequently in boys than in girls (approximately 3:1) and occurs in about 1 in 300 to 400 births, making it the most common congenital abnormality of the chest. The caved-in chest is usually obvious in infants but often does not cause significant limitations until adolescence. Pectus excavatum varies in severity but typically results in a restrictive pattern on PFTs. Exercise testing or other tests of cardiac performance may be indicated to assess functional limitations in severe cases. Pulmonary function and exercise tests may also be used to assess improvements following corrective surgery.
Obesity restricts ventilation, especially when the obesity is severe. Obesity is usually categorized using body mass index (BMI). BMI equals body weight in kilograms divided by height in meters squared (BMI = kg/m2). A BMI of 18.5 to 24.9 is normal, 25 to 29.9 is considered overweight, and 30 or greater is considered obese. A BMI of 40 or greater is sometimes referred to as morbid obesity. The increased mass of the thorax and abdomen interferes with the bellows action of the chest wall, as well as excursion of the diaphragm. TLC and VC are usually preserved in obese individuals, but FRC and expiratory reserve volume (ERV) are characteristically reduced. Obesity is also sometimes associated with asthma-like symptoms. It is not clear whether asthma is related to obesity or if the restriction caused by obesity contributes to airflow limitation that mimics asthma. The airflow limitation occurs secondary to the subject breathing at or near RV.
Obesity may also be associated with a more general syndrome that consists of hypercapnia and hypoxemia, sleep apnea, and decreased respiratory drive. The combination of these findings is sometimes called the obesity-hypoventilation syndrome. Chronic hypoxemia in this syndrome results in polycythemia, pulmonary hypertension, and cor pulmonale. Not all patients who are obese show the signs of obesity-hypoventilation syndrome. However, pulmonary function studies often show restriction in proportion to the excess weight. Weight reduction relieves many of the associated symptoms. Respiratory stimulants, tracheostomy, and continuous positive airway pressure (CPAP) are used to manage the obstructive sleep apnea component.
Pleurisy and pleural effusions can each result in restrictive ventilatory patterns. Pleurisy is characterized by the deposition of a fibrous exudate on the pleural surface. It is associated with other pulmonary diseases such as pneumonia or lung cancer. Pleurisy is often accompanied by chest discomfort or pain and may precede the development of pleural effusions. Pleural effusion is an abnormal accumulation of fluid in the pleural space. This fluid may be either a transudate or an exudate. Transudates occur when there is an imbalance in the hydrostatic or oncotic pressures, as occurs in CHF. Exudates are associated with infections or with inflammation, as in lung carcinoma. Patients with pleural effusions usually have symptoms that relate to the extent of the effusion. Small effusions often go unnoticed. If the effusion is large, there may be atelectasis from compression of lung tissue and associated blood gas changes. PFTs show restriction because of volume loss. In some cases, there is restriction caused by splinting because of pain. Treatment of pleurisy and pleural effusions is directed toward the underlying cause. Large or unresolved pleural effusions often require thoracentesis or chest tube drainage. Patients with painful pleural involvement may have difficulty performing spirometry or breath holding as required for Dlco.
Pneumothorax is a condition in which air enters the pleural space. This air leak may be caused by a perforation of the lung itself or of the chest wall (e.g., chest trauma). A small pneumothorax may not cause any symptoms. A large pneumothorax can result in severe dyspnea and chest pain. Physical examination of the patient reveals decreased chest movement on the affected side. Breath sounds are usually absent. A chest x-ray study shows a shift of the mediastinum away from the pneumothorax. Small pneumothoraxes usually resolve without treatment as gas is reabsorbed from the pleural space. Large air leaks usually require a chest tube with appropriate drainage to allow lung reexpansion.
PFTs are usually contraindicated in the presence of pneumothorax. However, undiagnosed pneumothorax may present a risk if pulmonary function studies are performed. Maneuvers that generate high intrathoracic pressures (i.e., FVC, MVV, MIP/MEP) can aggravate an untreated pneumothorax. The potential for the development of a tension pneumothorax exists when these maneuvers are performed. In a tension pneumothorax, air enters the pleural space but cannot escape. Increasing pressure compresses the opposite lung as well as the heart and great vessels. Compression of the mediastinum interferes with venous return to the heart and can cause a rapid drop in blood pressure. A tension pneumothorax can be fatal if not treated immediately. Patients referred for pulmonary function studies who have a known or suspected pneumothorax should be tested very carefully or not at all. In many instances, the information obtained may not justify the risk to the patient.
Diseases that affect the spinal cord, peripheral nerves, neuromuscular junctions, and respiratory muscles can all cause a restrictive pattern of pulmonary function. Most of these disorders result in an inability to generate normal respiratory pressures. The VC and TLC are often reduced, whereas the RV may be preserved. Some chronic neuromuscular disorders are associated with decreased lung compliance. Blood gas abnormalities, particularly hypoxemia, may result if the degree of involvement is severe. Stiff lungs and rapid respiratory rates often result in respiratory alkalosis (hyperventilation). Progressive muscle weakness results in respiratory acidosis (hypoventilation) and respiratory failure.
Paralysis of the diaphragm may be bilateral or unilateral. Bilateral paralysis may be the end stage of various disorders. The most prominent finding is orthopnea or shortness of breath in the supine position. In the upright position, the patient has a marked increase in VC and improvement in gas exchange. Simple spirometry in the supine and sitting positions can demonstrate the functional impairment. Unilateral paralysis often results from damage to one of the phrenic nerves (e.g., trauma, surgery, or tumor). As with bilateral paralysis, there is a marked change in VC from supine to sitting position. Diagnosis of which side is involved may require a chest x-ray or examination under fluoroscopy. Reduced inspiratory pressures may suggest diaphragmatic involvement.
Amyotrophic lateral sclerosis (ALS), or Lou Gehrig disease, affects the anterior horn cells of the spinal cord (motor neurons). Progressive muscle weakness results in a gradual decrease in VC and TLC, which is invariably fatal. Pulmonary function studies may be done serially to assess the progression of the disease.
Duchenne muscular dystrophy is caused by a defective gene for dystrophin (a protein in the muscles). It occurs in about 1 out of every 3600 male infants and is an inherited disorder. Symptoms usually occur before age 6 and can appear in infancy. VC monitoring and respiratory muscle strength measurements (MIP, MEP) are commonly performed but may be challenging depending on the age of the patient.
Guillain–Barré syndrome is a progressive disease in which the body’s immune system attacks the peripheral nerves. Lower extremity weakness ascends to the upper extremities and face. There may be marked respiratory muscle weakness, along with weakness of the pharyngeal and laryngeal muscles. Many patients eventually require mechanical support of ventilation. Serial measurements of the VC, MIP, and MEP, cough peak flow (CPF), or sniff nasal inspiratory pressures (SNIPs) are used to follow the disease progression (see Chapter 10).
Myasthenia gravis is a chronic autoimmune disease affecting neuromuscular transmission. In myasthenia gravis, antibodies produced by the body’s immune system block or destroy the receptors for acetylcholine at the neuromuscular junction, which prevents the muscle contraction from occurring. It particularly affects muscles innervated by the bulbar nuclei (i.e., face, lips, throat, and neck). The patient with myasthenia gravis has pronounced fatigability of the muscles. Speech and swallowing difficulties can occur with prolonged exercise of the associated muscles. Administration of edrophonium chloride (Tensilon) is sometimes used to confirm the diagnosis of myasthenia gravis; the drug blocks acetylcholinesterase and temporarily increases muscle strength in patients who have myasthenia gravis. When the ventilatory muscles become involved, a myasthenic crisis occurs. Progression of a myasthenic crisis can be assessed using VC and respiratory pressures. Analysis of the flow-volume curve (see Chapter 2) may be helpful in detecting upper airway obstruction brought on by muscular weakness.
CHF is often used synonymously with left ventricular failure. Failure of the left ventricle may be caused by systemic hypertension, coronary artery disease, or aortic insufficiency. CHF may also be associated with cardiomyopathy, congenital heart defects, and left-to-right shunts. In each case, fluid backs up in the lungs. The pulmonary venous system becomes engorged. Fluid may spill into the alveolar spaces (pulmonary edema) or the pleural space (effusion).
The patient who has CHF usually has shortness of breath on exertion, cough, and fatigue. If coronary artery disease is the cause of CHF, there may be chest pain (angina) as well. Exertional dyspnea is related to pulmonary venous congestion. The fluid overload in the lungs reduces lung volume and makes the lungs stiff (decreased compliance). Dyspnea is usually worse when the patient is supine (i.e., orthopnea). This orthopnea results from increased pulmonary vascular congestion, which happens when interstitial fluid becomes intravascular, causing an increase in volume, which in turn causes vascular engorgement, promoting capillary leak. Dyspnea brought on by CHF may be difficult to distinguish from other causes (e.g., chronic pulmonary disease); therefore patients are often referred for pulmonary function studies. The chest x-ray film usually shows increased pulmonary congestion. The heart (left ventricle) may appear enlarged, particularly if systemic hypertension is the cause.
Treatment of CHF is directed at the underlying cause. Relief of systemic hypertension can reduce the myocardial workload. This is usually accomplished by vasodilator therapy. Reducing fluid retention is also important in managing CHF. Diuretics such as furosemide (Lasix) are commonly used to reduce the afterload on the ventricle. Oxygen therapy may also help reduce myocardial workload, especially if there is hypoxemia. If the cause of CHF is an arrhythmia, antiarrhythmic agents are typically used. PFTs, particularly lung volumes and Dlco, may be used to monitor the effects of treatment.
Lung transplantation has evolved as an effective treatment for end-stage lung disease. Lung transplantation has been used for patients with CF, primary pulmonary hypertension, and COPD (Table 1.2). Double-lung transplants are usually performed in patients who have CF, generalized bronchiectasis, or some types of COPD. Heart–lung transplants have been used for Eisenmenger syndrome, pulmonary hypertension with cor pulmonale, and end-stage lung disease coexisting with severe heart disease. Single-lung transplantation has been used effectively in patients with COPD who are younger than approximately 60 years old. Single-lung transplantation offers the benefit that two recipients can share a single donor’s organs. Survival rates for lung transplant recipients have steadily improved. Longer survival is mainly due to more potent antirejection drugs (e.g., cyclosporine) and better adjunctive therapy. PFTs are used to both assess potential transplant candidates and follow them postoperatively.
Table 1.2
| Transplant Type | Disease State |
|---|---|
| Heart–lung | Eisenmenger syndrome, severe cardiac defect Pulmonary hypertension, cor pulmonale End-stage lung disease, coexisting severe cardiac disease |
| Double lung | Cystic fibrosis Generalized bronchiectasis COPD with severe chronic bronchitis or extensive bullae |
| Single lung | Restrictive fibrotic lung disease Eisenmenger syndrome (less severe cardiac anomalies) COPD Primary pulmonary hypertension |
COPD, Chronic obstructive pulmonary disease.
Modified from American Thoracic Society. (2014). International guidelines for the selection of lung transplant candidates. American Journal of Respiratory and Critical Care Medicine, 158, 335–339.
Preoperative evaluation consists of documentation of the severity of the specific disease process. Spirometry, lung volumes, Dlco, and blood gas analysis are all used to rank the level of dysfunction. The same tests are also used to detect sudden worsening of lung function that might necessitate rapid intervention. Cardiopulmonary exercise testing may be indicated to determine the extent of the physiologic abnormality. For example, a patient with borderline pulmonary hypertension at rest may develop severe hypertension during even mild exertion.
Most transplantation programs list patients as prospective candidates when their pulmonary disease has advanced beyond predefined limits. An extended wait for lung transplantation is a direct result of the shortage of donor organs. Patients are often referred for transplant evaluation when a major decline in their condition is observed. The term transplant window has been used to describe the time during which the patient is sick enough to require transplantation but healthy enough to have a reasonable chance of survival.
Posttransplant follow-up relies heavily on PFTs. Spirometry has been used extensively to monitor improvements resulting from transplantation. Recipients of double-lung transplants often show lung function values approaching those of normal patients within a few months. Blood gas changes usually occur immediately after surgery. Single-lung transplant (SLT) recipients show similar gains. However, because SLT patients retain a native lung, improvement in pulmonary function is usually less than when both lungs are replaced. Interpretation of spirometry, lung volumes, and blood gases in SLT patients is often complicated by the presence of the native lung along with the transplanted lung.
Besides monitoring improved lung function, PFTs are used to detect rejection and the development of bronchiolitis obliterans (BO). Rejection may be difficult to distinguish from other pulmonary complications (e.g., pneumonia) in patients who are immunosuppressed. There is some evidence that changes in spirometry (FVC, FEV1, FEF25%–75%) or distribution of gas (as measured by the single-breath technique) may signal episodes of acute rejection. Chronic rejection is thought to be associated with the development of BO. This pattern is characterized by the development of severe airflow limitation in the transplanted lung. Spirometry, particularly indices of small airway function such as FEF25% to 75%, may provide the earliest signs of BO.
In 2020, the world was dealing with the global COVID-19 pandemic. This led to professional societies publishing recommendations on when to utilize pulmonary function testing because the virus may be spread during lung function procedures, which may induce cough. Even after the COVID-19 pandemic has subsided, future pandemics may be the new reality. The European Respiratory Society (ERS) published its recommendations based on three levels of a pandemic outbreak.⁎
Which tests the laboratory provides, when to expand diagnostic services beyond the basic tests, and the extra infection precaution steps put in place are the decision of the laboratory management team and the local infection control department. However, basic guidelines from the American Thoracic Society (ATS) and ERS can be used to assist in the decision-making process.
To provide accurate patient data, the laboratory needs to have a defined quality assurance program in place. The Clinical and Laboratory Standards Institute (CLSI), an organization that provides guidance for medical laboratories, adapted the concepts found in the International Standards Organization (ISO) 9001 recommendations and applied them to the laboratory setting in a guideline titled “A Quality Management System; a Model for Laboratory Services (QMS01-A5).” Table 1.3 describes the various hierarchical stages of quality, where a quality management system is a systematic, “process-oriented” approach to quality. The quality system model describes, documents, implements, measures, and monitors the implementation and effectiveness of the work operations of the laboratory. The model is characterized by quality elements that are essential components of an organization or laboratory’s quality system and are called the quality system essentials, or QSEs.
Table 1.3
| The quality management system (QMS) is a major level in the health care quality hierarchy and forms the basis for this document. Also see Fig. 1.7.a |
| Stage | Activities Performed |
|---|---|
| Total quality management | Management approach centered on sustained high quality by focusing on long-term success through customer satisfaction |
| Quality cost management | Measurement system for the economic aspects of the “cost of quality” |
| Quality management system | Systematic, process-oriented approach to meeting quality objectives |
| Quality assurance | Planned and systematic activities to provide confidence that an organization fulfills requirements for quality |
| Quality control | Operational process-control techniques to fulfill quality requirements for regulatory compliance and accreditationb |
a Cianfrani, C. A., Tsiakals, J. J., & West, J. E. (2002). The ASQ ISO 9000:2000 handbook. Milwaukee, WI: American Society for Quality.
b International Organization for Standardization. (2005). Quality management systems: Fundamentals and vocabulary. ISO 9000. Geneva, Switzerland: International Organization for Standardization.
In the CLSI’s quality system model, these 12 QSEs are identified across the laboratory’s “Path of Workflow.” In the pulmonary function laboratory, the path of workflow (POW) would include pretest, test, and posttest activities. Chapter 12 will further detail the POW activities and how integrating these concepts into a laboratory’s quality plan ensures quality testing results (Fig. 1.7).

Several preliminary steps precede any pulmonary function study. These include patient preparation, physical measurements and assessment, brief pulmonary history, and instructions to the patient in the performance of specific test maneuvers. In addition, PFTs are usually done in an ordered sequence. The testing sequence may be determined by laboratory policy, or it may be adapted for specific needs using a predefined protocol.
Patient preparation for pulmonary function studies consists mainly of instructions given to the patient in advance of the actual test session. These instructions focus on taking or withholding specific medications, refraining from smoking and eating, and other guidelines related to specific tests (e.g., exercise tests, blood gases).
Patients referred for evaluation of airflow limitation are often already taking bronchodilators or related drugs. If the response to bronchodilators is to be assessed, bronchodilators should be withheld before testing. The exact length of time to withhold a bronchodilator is dictated by the onset of action and how long it takes for the drug to be metabolized and/or excreted. Guidelines for withholding specific bronchodilators before simple spirometry are presented in detail in Chapter 2. Recommendations for withholding medications before a bronchial challenge test (methacholine, exercise, hyperventilation, etc.) are found in Chapter 9. Some patients may have difficulty withholding bronchodilators. In the case of simple spirometry, the test may be performed if necessary, with an operator comment describing the use of bronchodilators before testing. The patient should be instructed to take the bronchodilator when breathing problems require it. Patients scheduled for a bronchial challenge who inadvertently take their bronchodilators may need to be rescheduled because bronchodilators can significantly alter airway response and lead to false-negative results.
Care should be taken when instructing outpatients about withholding medications. Some patients may be unable to correctly identify all their medications. Therefore it may be difficult for them to correctly withhold bronchodilators only. Some patients incorrectly withhold all medications. This may cause serious problems for patients who rely on insulin (patients with diabetes), antiarrhythmics, or antihypertensives used for high blood pressure. If the patient is uncertain, it may be preferable not to withhold any medications.
Patients referred for PFTs should be asked to refrain from smoking for 1 hour before the test. Smoking cessation is especially important if Dlco tests or arterial blood gas tests are ordered. Smoking has been shown to directly reduce Dlco. Smoking also raises the level of CO in the blood, which also interferes with the measurement of Dlco (CO back pressure in blood). Increased CO in the blood (COHb) also makes it difficult to interpret O2 saturation measured by pulse oximetry (see Chapter 6). Smoking has been shown to reduce the levels of eNO, which may artifactually reduce the level of NO in patients who have airway inflammation.
Patients referred for PFTs should refrain from eating a large meal immediately before their appointment. Two hours is usually sufficient to avoid vomiting or gastric distress during routine testing. The same is true if the patient will be exercising as part of the evaluation. Patients scheduled for a bronchial challenge test (see Chapter 9) have further defined withholding schedules. Outpatients scheduled for metabolic studies may need to fast for 8 hours before testing to assure a stable baseline. Patients should refrain from alcohol consumption for at least 8 hours before testing (Box 1.8).
Patients should refrain from vigorous exercise immediately before testing and should be relaxed and comfortable during the test session. Exercise can result in circulating catecholamines, which affect airway tone. Depending on the time of exercise related to the testing time, exercise can also alter the subject’s cardiac output, resulting in a change to carbon monoxide uptake. Tight-fitting clothing (e.g., neckties) may need to be loosened during testing. Dentures should be left in place; many patients find it easier to hold the mouthpiece using their dentures. However, if the dentures are loose, they may obstruct the mouthpiece, particularly during forced expiratory maneuvers.
Some patients may require special accommodations for PFTs to be performed safely and accurately. Patients, or those referring patients, should understand the requirements of the tests requested. Patients who are unable to sit or stand may require additional time or equipment for testing to be completed. Patients who have a permanent tracheostomy may also require special devices to allow connection to standard pulmonary function circuits. Patients who do not speak the primary language used in the laboratory may require an interpreter to be present during testing. Asking appropriate questions before the patient’s appointment can identify each of these special needs.
Various physical measurements are required for estimating each patient’s expected level of pulmonary function. Age, height, and weight are usually recorded in addition to the patient’s sex. Race or ethnic origin should also be recorded. Using the patient’s declared ethnic origin is preferred. Basic physical assessment of the patient’s respiratory status may be needed before and during testing.
The patient’s age should be recorded as of the last birthday. Some computerized pulmonary function systems store the patient’s birth date and calculate the age. This approach is helpful, especially when the patient returns periodically for serial testing. Care should be used when entering specially formatted data (e.g., dates) into a computerized system. Data-entry errors can result in gross overestimation or underestimation of the patient’s expected values.
Standing height, in centimeters (within 1 decimal place), should be recorded with the patient barefoot or in stocking feet. A wall-mounted ruler (stadiometer) allows the patient to stand with the back against the wall and the head close to the ruler. If the patient is unable to stand upright, the arm span or other alternative methods (ulnar length) should be used. Patients who have a history of kyphosis, scoliosis, or related problems should also have the height estimated using their arm span. Arm span may be measured using a ruler placed on a wall or a tailor’s tape measure (Fig. 1.8A–C). The patient should extend the arms horizontally on both sides, and the distance between the tips of the middle fingers is then measured. Alternately, the distance from the tip of the middle finger to the center of the vertebra at the level of the scapula is measured on each side and then summed. Height may then be estimated as arm span/1.06 or using regression equations that account for race, sex, and age in addition to arm span. Ulnar length is another method of estimating height in subjects. A measurement is made between the points of the elbow (olecranon process) and the midpoint of the prominent bone of the wrist (styloid process), on the left side if possible (Fig. 1.9).




A table is used to convert the ulnar length to an estimated height (Table 1.4). The patient’s weight in pounds or kilograms (within 0.5 kg) should be measured with an accurate scale. Although body weight is typically not used in the calculation of predicted lung volumes, subjects who are morbidly obese may demonstrate a restrictive pattern. Measurement of weight and calculation of BMI may be helpful for the interpretation of reduced lung volumes (e.g., FRC, ERV). Body weight is used to calculate other reference values (see Chapter 13). When weight is used to predict an expected value, the patient’s ideal body weight should be used, unless noted otherwise. Using actual weight in patients who are obese may overestimate expected values if the reference set is based on subjects with normal weights. Weight is also used to express oxygen consumption (i.e., milliliter/kilogram) for exercise and metabolic measurements. The patient’s weight may also be required when lung volumes are determined with the body plethysmograph. Weight is used to estimate body volume in the plethysmograph (see Chapter 4).
Table 1.4
| Height (m) | blank cell | blank cell | blank cell | blank cell | blank cell | blank cell | blank cell | blank cell | blank cell | blank cell | blank cell | blank cell | blank cell | blank cell |
|---|---|---|---|---|---|---|---|---|---|---|---|---|---|---|
| Men (< 65 years) | 1.94 | 1.93 | 1.91 | 1.89 | 1.87 | 1.85 | 1.84 | 1.82 | 1.80 | 1.78 | 1.76 | 1.75 | 1.73 | 1.71 |
| Men (> 65 years) | 1.87 | 1.86 | 1.84 | 1.82 | 1.81 | 1.79 | 1.78 | 1.76 | 1.75 | 1.73 | 1.71 | 1.70 | 1.68 | 1.67 |
| Ulna length (cm) | 32.0 | 31.5 | 31.0 | 30.5 | 30.0 | 29.5 | 29.0 | 28.5 | 28.0 | 27.5 | 27.0 | 26.5 | 26.0 | 25.5 |
| Women (< 65 years) | 1.84 | 1.83 | 1.81 | 1.80 | 1.79 | 1.77 | 1.76 | 1.75 | 1.73 | 1.72 | 1.70 | 1.69 | 1.68 | 1.66 |
| Women (> 65 years) | 1.84 | 1.83 | 1.81 | 1.79 | 1.78 | 1.76 | 1.75 | 1.73 | 1.71 | 1.70 | 1.68 | 1.66 | 1.65 | 1.63 |
| Men (< 65 years) | 1.69 | 1.67 | 1.66 | 1.64 | 1.62 | 1.60 | 1.58 | 1.57 | 1.55 | 1.53 | 1.51 | 1.49 | 1.48 | 1.46 |
| Men (> 65 years) | 1.65 | 1.63 | 1.62 | 1.60 | 1.59 | 1.57 | 1.56 | 1.54 | 1.52 | 1.51 | 1.49 | 1.48 | 1.46 | 1.45 |
| Ulna length | 25.0 | 24.5 | 24.0 | 23.5 | 23.0 | 22.5 | 22.0 | 21.5 | 21.0 | 20.5 | 20.0 | 19.5 | 19.0 | 18.5 |
| Women (< 65 years) | 1.65 | 1.63 | 1.62 | 1.61 | 1.59 | 1.58 | 1.56 | 1.55 | 1.54 | 1.52 | 1.51 | 1.50 | 1.48 | 1.47 |
| Women (> 65 years) | 1.61 | 1.60 | 1.58 | 1.56 | 1.55 | 1.53 | 1.52 | 1.50 | 1.48 | 1.47 | 1.45 | 1.44 | 1.42 | 1.40 |
Physical assessment of patients referred for pulmonary function studies may be needed to determine whether the individual can perform the test. Documentation concerning the physical assessment of the patient can also assist with the interpretation of test results. The physical assessment should focus on breathing pattern, breath sounds (if necessary), and respiratory symptoms (Box 1.9). These can be observed simply and noted as necessary. Assessment of the patient’s oxygen status using pulse oximetry (see Chapter 6) may be required, especially if the subject presents to the laboratory using oxygen therapy. Some test modalities require the patient to be off oxygen, and if the patient is intolerant, that portion of the test will not be performed. Documenting operator comments regarding the patient’s signs, symptoms, and oxygenation status at the time of the test is a useful adjunct, especially if test performance is less than optimal.
Accurate interpretation of pulmonary function studies—from simple screening spirometry to complete cardiopulmonary evaluation—requires clinical information related to possible pulmonary disease. An ordered array of questions that can be easily answered by the patient provides the most useful history. The interpreter of pulmonary function studies may have little clinical information other than that obtained at the time of testing. A pulmonary history should be taken routinely before pulmonary function testing (Box 1.10).
Most of these questions can be answered with yes or no or by circling an appropriate response. Space should be provided so that the patient or history taker can enter comments. Computerized pulmonary function systems often allow history data to be stored in a database along with the patient’s test results. This is a useful feature but may limit the extent of the history that can be stored. In instances in which the physician performs the test, such history may be redundant if a medical history is available.
Interpretation of PFTs is best made if the clinical question asked of the test is considered. The clinician requesting the test should indicate the reason for the test. Examples of clinical questions asked of pulmonary function studies include, “Does the patient have airway obstruction?” or “Does the patient have hyperreactive airways?” The pulmonary history, including the reason for the test, should be used to decide what is normal or abnormal. Clinical information, as provided by the history, is especially important when the patient’s PFTs are near the lower or upper limits of normal. For example, an FEV1 near the LLN would be interpreted differently in a healthy patient tested as part of a routine physical than it would be in a smoker who complained of increasing dyspnea.
Pulmonary function laboratories should have written policies and procedures defining how each test is performed (see Chapter 12). An excellent resource is the ATS’s Pulmonary Function Laboratory Management and Procedure Manual, 3rd edition (2016), which is available on the ATS website. Indications for performing a specific test should be related to the clinical question to be answered or to the patient’s diagnosis. Testing protocols that can be modified for individual patients are usually the most cost-effective means of obtaining the required data. When the required tests have been determined, the exact sequence of tests can be selected. The sequence in which tests are performed may vary according to patient need and the test method used. For example, a patient with severe obstructive lung disease may not be able to perform an acceptable Dlco maneuver until a bronchodilator has been administered.
As described previously, the basis for deciding which PFTs are needed is related to the clinical question being asked. The clinical question is often inappropriately stated as a diagnosis. In fact, many patients are referred for pulmonary function studies to establish a diagnosis. For example, a patient may be referred with a diagnosis listed as “asthma.” The clinical question is, “Does the patient have asthma?” Pulmonary function studies may be able to help answer this question, but the exact tests to be performed may not be defined. In this example, spirometry is indicated. Using an adaptive protocol, spirometry can be performed, and based on the results, appropriate additional tests can be selected (Fig. 1.10). Bronchial challenge tests may be performed if spirometry results are normal. Alternatively, additional tests such as lung volumes or Dlco may be necessary.

The correct sequence (and timing) for performing tests is important. Many laboratories use a fixed order for component PFTs. This may include spirometry, followed by lung volumes and Dlco. In some instances, the order of tests may need to be altered. The methodology used for some tests has definite effects on the results of subsequent procedures. For example, the multiple-breath N2-washout test to determine FRC has the patient inhale 100% O2 for several minutes. If this test is performed immediately before a Dlco test, the elevated O2 level in the lungs (as well as in the blood and tissues) may reduce the measured Dlco. Similarly, before repetition of the Dlco maneuver or FRC determination by gas-dilution techniques, sufficient time must be allowed to wash out residual test gas.
Many PFTs depend on patient effort. To obtain valid data, patients must be instructed and coached for each maneuver. Instruction and coaching are particularly important for the FVC maneuver. Instruction should include a description of what the patient is expected to do, such as “You will take a deep breath in and then blow out as hard and as fast as possible.” In addition to a description of the test, the maneuver should be demonstrated. During the actual test, vocal encouragement should be given so that the patient knows what is expected and continues for an appropriate interval. Any problems that occur with the first few efforts should be explained before the patient attempts the test again. For example, “That was a particularly good effort, but you stopped before blowing out for 6 seconds. Let us try that again, and keep blowing out until I signal you to relax.” This type of feedback is important because patients may be uncertain of what is required. Patients should be instructed that some maneuvers will be repeated so that their best effort can be obtained. They should be assured that repeating some tests is required and does not necessarily reflect a problem on their part.
Patients should also be carefully instructed for tests that require quiet breathing, such as lung volume determinations. Instructions about maintaining a good seal on the mouthpiece and continuing normal breathing can help reduce leaks or interrupted tests. Some maneuvers are complicated and may be difficult to describe to the patient. The Dlco maneuver and panting in the body plethysmograph both consist of several steps. For these tests, a combination of demonstration and practice may be the most efficient means of instructing the patient.
Even after adequate instruction and demonstration, some patients may be unable to perform certain tests. This may be caused by a lack of coordination related to illness, pain because of their condition, or an inability to follow instructions. For example, a patient may experience uncontrollable coughing when asked to inspire deeply for an FVC maneuver. If the coughing prevents obtaining valid spirometry results, the fact should be noted in the operator’s comments (see Chapter 2). Suboptimal effort by the patient can usually be detected as poorly repeatable results on effort-dependent tests (e.g., the FVC). Care should be taken that adequate instructions are given, and enough efforts recorded, before deciding that the patient did not give a maximal effort. If the patient cannot continue or refuses to continue a test, the exact reason should be documented in the operator’s comments.