Partial veneer crown preparations generally do not include the buccal or labial wall, thus preserving more of the tooth’s coronal tissue than do complete crowns. Partial veneers can be used as single tooth restorations or as fixed partial denture (FPD) retainers. Partial coverage restorations tend to be less retentive than complete crowns and also less resistant to displacement. Internal features such as grooves and boxes can be incorporated to improve resistance form. Inlays are intracoronal restorations, or onlays if one or more cusps are restored. These are even less retentive than partial veneer crowns but offer increased material strength (i.e., resistance to deformation), and preservation of tooth structure compared to plastic materials such as amalgam or composite resin. When carefully executed and time is taken to develop the appropriate preparation geometry, partial veneer crowns, inlays and onlays can be exceptionally long-lasting restorations.
Partial Veneer Crown; Inlay; Onlay; Groove position; Groove placement; Pinhole; Pulpal configuration
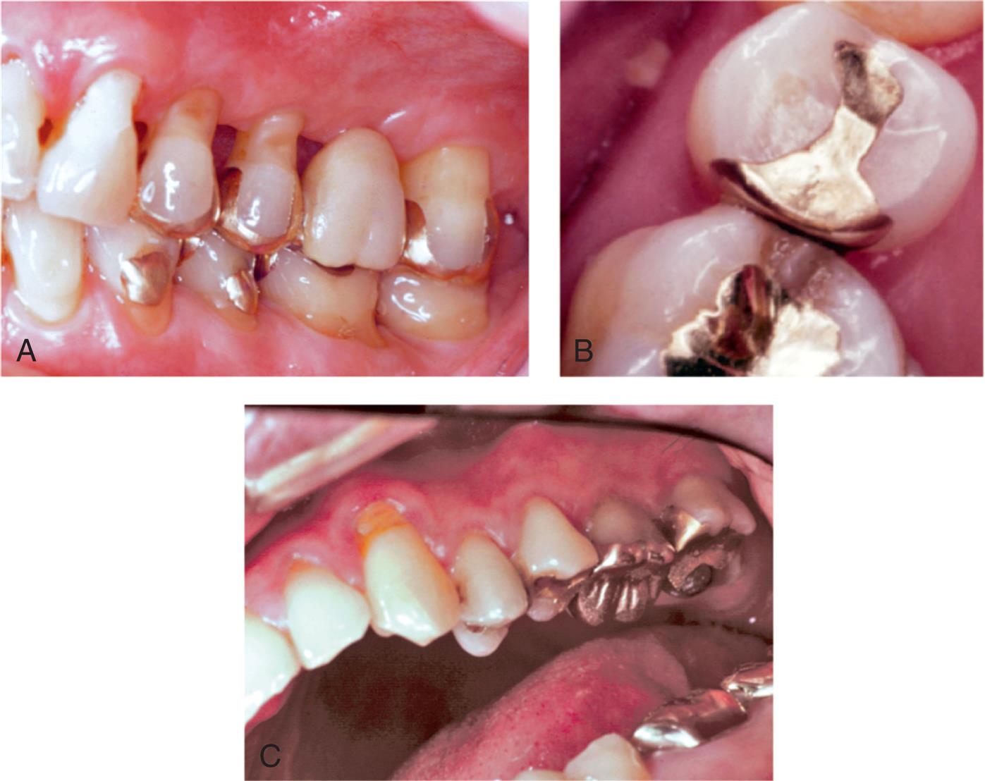
An extracoronal metal restoration that covers only part of the clinical crown is considered a partial veneer crown. It can also be referred to as a partial-coverage restoration. An intracoronal cast metal restoration is called an inlay, or an onlay if one or more cusps are restored. Examples of these restorations are presented in Fig. 11.1. Partial veneer crowns generally include all tooth surfaces except the buccal or labial wall in the preparation. Therefore these restorations preserve more of the tooth’s coronal tissue than does a complete crown. However, the preparation is more demanding and is not routinely provided by practitioners. Buccolingual displacement of the restoration is prevented by internal features (e.g., proximal boxes and grooves). Partial veneers can be used as single-tooth restorations or as retainers for a fixed partial denture (FPD). Although more often used on posterior teeth today, they can be used on both anterior and posterior teeth. Because they cover less of the coronal surface, partial coverage restorations tend to be less retentive than complete crowns and also less resistant to displacement. Inlays and onlays are even less retentive than partial veneer crowns. However, they provide the advantage of material strength (i.e., resistance to deformation) and preservation of tooth structure. Margins are generally more accessible, allowing improved finishing by the dentist, and cleaning by the patient. When carefully executed, inlays and onlays can be exceptionally long-lasting restorations (see Fig. 11.1).

Over time, several types of cast partial veneer restorations have been used: for posterior teeth, these include three-quarter, modified three-quarter, and seven-eighths crowns; for anterior teeth, three-quarter crowns and pinledges (Fig. 11.2). In the presence of more esthetic contemporary materials cast partial veneer crowns are primarily used on posterior teeth, rather than in the esthetic zone.

Partial veneer crowns can be used to restore posterior teeth that have lost moderate amounts of tooth structure if the buccal wall of the abutment is intact and well supported by sound tooth structure. They provide adequate retention to be used as retainers for an FPD or where restoration or alteration of the occlusal surface is needed. Anterior cast partial veneers are rarely used today but can be used as retainers. They may offer a conservative approach to reestablish anterior guidance and can be used to splint teeth. They are particularly suitable for teeth with sufficient bulk since those can accommodate the necessary retentive features.
Partial veneer restorations are contraindicated on teeth with short clinical crowns because retention may be inadequate. They are also contraindicated as retainers for long-span FPDs. They are rarely suitable for endodontically treated teeth as insufficient tooth structure remains after the endodontic treatment to accommodate the retentive features. Often, on endodontically treated posterior teeth the buccal cusps are weakened by the access cavity. They are not suitable for teeth with extensively damaged crowns, and as is true of all cast restorations, partial veneer restorations are contraindicated in the presence of active caries or periodontal disease.
The shape and alignment of teeth are important determinants of the feasibility of partial veneer crowns. The alignment of axial surfaces should be evaluated carefully, and partial veneer crowns should not be prepared on teeth that are proximally bulbous. Making the necessary proximal grooves on such teeth will leave unsupported enamel. Similarly, it is often not possible to prepare adequate grooves on thin teeth with restricted faciolingual dimension.
Partial veneer crowns are usually prepared parallel to the long axis of the tooth, and poorly aligned abutment teeth are a contraindication since problems with unsupported enamel often result.
The primary advantage associated with partial veneer crowns is conservation of tooth structure. Another advantage is reduced pulpal and periodontal insult during tooth preparation. Access to supragingival margins is rather easy, and the operator can perform selected finishing procedures that are more difficult or impossible with complete coverage restorations. Access is also better for oral hygiene. Because less of the margin approximates the soft tissues subgingivally, there is less gingival involvement than with complete crowns.
During cementation of a partial veneer, excess luting agent can escape more easily than during cementation of complete cast crowns, which facilitates seating of the restoration. Because of direct visibility, verification of seating and cement removal are simple. When the restoration is in service, the remaining intact facial or buccal tooth structure enables vitality testing.
Partial veneer restorations have less retention and resistance than do complete cast crowns. Tooth preparation is more challenging because only limited adjustments can be made in the path of placement. The preparation of grooves, boxes, and pinholes requires dexterity of the operator. Some metal is displayed in the completed restoration, which may be unacceptable to patients.
The teeth most commonly prepared for partial veneer restorations include maxillary and mandibular molars. Cast partial veneers are rarely applied anymore on anterior teeth because of the difficulty in achieving an esthetic result and have been replaced by ceramic alternatives. The technique illustrated is suitable for posterior teeth. Meticulous care and precision are required if partial veneer restorations are to be a successful (conservative) alternative to complete-coverage restorations.
The necessary instruments for a partial veneer crown preparation include the following (Fig. 11.3):

The regular- or coarse-grit diamonds are used for bulk reduction, and the fine-grit diamonds or tungsten carbide burs for finishing. If pinholes are required, they can be prepared with the twist drill and then shaped with a tapered tungsten carbide fissure bur. The tungsten carbide fissure burs are recommended for preparing boxes and ledges, and the inverted-cone tungsten carbide bur is useful for preparation of offsets. Hand instruments can be used to finish proximal flares and bevels. A periodontal probe is invaluable for assessing the alignment and dimension of the various preparation features.
The step-by-step preparation of a three-quarter crown is illustrated on a maxillary premolar (Fig. 11.4). Except for a narrow bevel or chamfer margin placed along the bucco-occlusal line angle, the buccal surface of the abutment remains intact. The other surfaces (including the occlusal surface) are prepared to accommodate a casting in the same manner as a complete crown preparation (see Chapter 8), differing only in the need for proximal axial grooves to develop resistance form.

Upon the completion of occlusal reduction, the clearance on the functional cusp should be at least 1.5 mm, and those on the nonfunctional cusp and in the central groove should be at least 1.0 mm. Simultaneously, the tooth should be prepared so that metal display is minimal; the original outline form of the buccal wall should be preserved as well as possible.





The proximal grooves are best prepared with a tapered tungsten carbide bur.


Depending on available access, it may be feasible to complete the flaring with the same rotary instrument that was used to place the groove (Fig. 11.13). However, removing the last “lip” of unsupported tooth structure with a chisel is often a better option because this minimizes the risk of damage to the adjacent tooth.





Although largely surpassed in popularity by adhesively bonded ceramic restorations—at least for restoration of single teeth—a few clinical examples of other types of cast partial veneer crowns are illustrated to help understand the geometry of their preparation designs and since they still may be encountered clinically. Fig. 11.18 shows the design of a seven-eighths crown on a maxillary molar and a clinical example. A modified three-quarter crown used as a retainer for a three-unit FPD is illustrated in Fig. 11.19.


With the advent of metal-ceramic and ceramic restorations, the use of partial veneer restorations on anterior teeth has become rare. Nevertheless, two anterior partial veneer crown preparations, the maxillary canine three-quarter crown and the pinledge, are worthy of study. Few preparations are as technically demanding as the three-quarter crown preparation on a maxillary canine (Fig. 11.20) which stems from the proximal curvature that this tooth exhibits. This challenge is illustrated in Fig. 11.21. A clinical example is shown in Fig. 11.22.



Although always considered technically challenging, pinledge preparations (Fig. 11.23) were used on intact anterior teeth and encompassed minimal tooth reduction while providing adequate mechanical support for short-span FPDs or splints (Fig. 11.24). They are of interest because their clinical application enhanced our understanding of optimal placement of pinholes in anterior teeth (Fig. 11.25).



An inlay can be used instead of amalgam for patients with a low caries rate who require a small interproximal restoration in a tooth with ample supporting dentin. It is among the least complicated cast restorations to make and can be very durable when done carefully. An onlay allows a damaged occlusal surface to be restored with a casting in the most conservative manner. It should be considered in the restoration of a severely worn dentition when the teeth are otherwise minimally damaged or for the replacement of a mesio-occlusal–distal (MOD) amalgam restoration when sufficient tooth structure remains for retention and resistance form.
Because these restorations rely on intracoronal (wedging) retention, inlays and onlays are contraindicated unless there is sufficient bulk to provide resistance and retention form. MOD inlays may increase the risk of cusp fracture and are generally not recommended. Extensive onlays, required where caries or existing restorations extend beyond the facial or lingual line angles, are contraindicated unless pins are used to supplement retention and resistance.
Cast inlays and onlays can be extremely long-lived restorations because of the excellent mechanical properties of the gold alloy (see Fig. 11.1). Low creep and corrosion mean that if inlay or onlay margins are accurately cast and finished, they will not deteriorate. The lack of corrosion may also offer an esthetic advantage. Gold does not lead to the tooth discoloration sometimes associated with dental amalgam. Unlike an inlay or amalgam, an onlay can support cusps, reducing the risk of tooth fracture.
In the restoration of a small carious lesion, an inlay is not very conservative of tooth structure. This is because additional tooth removal is necessary after minimal proximal extension to achieve a cavity preparation without undercuts and to enable access for impression making. This extension may lead to additional display of metal and to gingival encroachment, which is undesirable for periodontal health. Because inlays do not encircle the tooth, the bulk of the buccal and lingual cusps must provide resistance and retention form. Of concern is that high occlusal force may lead to cusp fracture as a result of wedging from the inlay.
Tungsten carbide burs are usually used for inlay or onlay preparations (Fig. 11.26), but diamonds can be substituted if preferred:

The MO or DO inlay preparation follows a series of steps (Fig. 11.27).

Fig. 11.29 shows some outstanding clinical examples of conservative cast inlays.

The occlusal outline and proximal boxes of an onlay preparation (Fig. 11.30) are similar to those of an inlay. The additional steps are the occlusal reduction and a functional (centric) cusp ledge.


Clinical examples of onlay restorations are shown in Fig. 11.32.
