Page 348 

POSTERIOR ABDOMINAL REGION

The posterior abdominal region is posterior to the abdominal part of the gastrointestinal tract, the spleen, and the pancreas (Fig. 4.127). This area, bounded by bones and muscles making up the posterior abdominal wall, contains numerous structures that not only are directly involved in the activities of the abdominal contents but also use this area as a conduit between body regions. Examples include the abdominal aorta and its associated nerve plexuses, the inferior vena cava, the sympathetic trunks, and lymphatics. There are also structures originating in this area that are critical to the normal function of other regions of the body (i.e., the lumbar plexus of nerves), and there are organs that associate with this area during development and remain in it in the adult (i.e., the kidneys and suprarenal glands).

image

Fig. 4.127 Posterior abdominal region.

  Page 349 

Posterior abdominal wall

Bones

Lumbar vertebrae and the sacrum

Projecting into the midline of the posterior abdominal area are the bodies of the five lumbar vertebrae (Fig. 4.128). The prominence of these structures in this region is due to the secondary curvature (a forward convexity) of the lumbar part of the vertebral column.

image

Fig. 4.128 Osteology of the posterior abdominal wall.

The lumbar vertebrae can be distinguished from cervical and thoracic vertebrae because of their size. They are much larger than any other vertebrae in any other region. The vertebral bodies are massive and progressively increase in size from vertebra LI to LV. The pedicles are short and stocky, the transverse processes are long and slender, and the spinous processes are large and stubby. The articular processes are large and oriented medially and laterally, which promotes flexion and extension in this part of the vertebral column.

Between each lumbar vertebra is an intervertebral disc, which completes this part of the midline boundary of the posterior abdominal wall.

The midline boundary of the posterior abdominal wall, inferior to the lumbar vertebrae, consists of the upper margin of the sacrum (Fig. 4.128). The sacrum is formed by the fusion of the five sacral vertebrae into a single, wedge-shaped bony structure that is broad superiorly and narrows inferiorly. Its concave anterior surface and its convex posterior surface contain anterior and posterior sacral foramina for the anterior and posterior rami of spinal nerves to pass through.

Pelvic bones

The ilia, which are components of each pelvic bone, attach laterally to the sacrum at the sacro-iliac joints (Fig. 4.128). The upper part of each ilium expands outward into a thin wing-like area (the iliac fossa). The medial side of this region of each iliac bone, and the related muscles, are components of the posterior abdominal wall.

Ribs

Superiorly, ribs XI and XII complete the bony framework of the posterior abdominal wall (Fig. 4.128). These ribs are unique in that they do not articulate with the sternum, they have a single articular facet on their heads, and they do not have necks or tubercles.

Rib XI is posterior to the superior part of the left kidney, and rib XII is posterior to the superior part of both kidneys. Also, rib XII serves as a point of attachment for numerous muscles and ligaments.

Muscles

Muscles forming the medial, lateral, inferior, and superior boundaries of the posterior abdominal region fill in the bony framework of the posterior abdominal wall (Table 4.2). Medially are the psoas major and minor muscles, laterally is the quadratus lumborum muscle, inferiorly is the iliacus muscle, and superiorly is the diaphragm (Fig. 4.129).

Table 4.2 Posterior abdominal wall muscles

image
image

Fig. 4.129 Muscles of the posterior abdominal wall.

Psoas major and minor

Medially, the psoas major muscles cover the anterolateral surface of the bodies of the lumbar vertebrae, filling in the space between the vertebral bodies and the transverse processes (Fig. 4.129). Each of these muscles arises from the bodies of vertebra TXII and all five lumbar vertebrae, from the intervertebral discs between each vertebra, and from the transverse processes of the lumbar vertebrae. Passing inferiorly along the pelvic brim, each muscle continues into the anterior thigh, under the inguinal ligament, to attach to the lesser trochanter of the femur.

  Page 350 

The psoas major muscle flexes the thigh at the hip joint when the trunk is stabilized and flexes the trunk against gravity when the body is supine. It is innervated by anterior rami of nerves L1 to L3.

Associated with the psoas major muscle is the psoas minor muscle, which is sometimes absent. Lying on the surface of the psoas major when present, this slender muscle arises from vertebrae TXII and LI and the intervening intervertebral disc; its long tendon inserts into the pectineal line of the pelvic brim and the iliopubic eminence.

The psoas minor is a weak flexor of the lumbar vertebral column and is innervated by the anterior ramus of nerve L1.

Quadratus lumborum

Laterally, the quadratus lumborum muscles fill the space between ribs XII and the iliac crest on both sides of the vertebral column (Fig. 4.129). They are overlapped medially by the psoas major muscles; along their lateral borders are the transversus abdominis muscles.

Each quadratus lumborum muscle arises from the transverse process of vertebra LV, the iliolumbar ligament, and the adjoining part of the iliac crest. The muscle attaches superiorly to the transverse process of the first four lumbar vertebrae and the inferior border of rib XII.

The quadratus lumborum muscles depress and stabilize the twelfth ribs and contribute to lateral bending of the trunk. Acting together, the muscles may extend the lumbar part of the vertebral column. They are innervated by anterior rami of T12 and L1 to L4 spinal nerves.

Iliacus

Inferiorly, an iliacus muscle fills the iliac fossa on each side (Fig. 4.129). From this expansive origin covering the iliac fossa, the muscle passes inferiorly, joins with the psoas major muscle, and attaches to the lesser trochanter of the femur. As they pass into the thigh, these combined muscles are referred to as the iliopsoas muscle.

  Page 351 

Like the psoas major muscle, the iliacus flexes the thigh at the hip joint when the trunk is stabilized and flexes the trunk against gravity when the body is supine. It is innervated by branches of the femoral nerve.

Diaphragm

Superiorly, the diaphragm forms the boundary of the posterior abdominal region. This musculotendinous sheet also separates the abdominal cavity from the thoracic cavity.

Structurally, the diaphragm consists of a central tendinous part into which the circumferentially arranged muscle fibers attach (Fig. 4.130). The diaphragm is anchored to the lumbar vertebrae by musculotendinous crura, which blend with the anterior longitudinal ligament of the vertebral column:

image the right crus is the longest and broadest of the crura and is attached to the bodies of vertebrae LI to LIII, and the intervening intervertebral discs (Fig. 4.131);
image similarly, the left crus is attached to vertebrae LI and LII and the associated intervertebral disc.
image

Fig. 4.130 Diaphragm.

image

Fig. 4.131 Crura of the diaphragm.

The crura are connected across the midline by a tendinous arch (the median arcuate ligament), which passes anterior to the aorta (Fig. 4.131).

  Page 352 

Lateral to the crura, a second tendinous arch is formed by the fascia covering the upper part of the psoas major muscle. This is the medial arcuate ligament, which is attached medially to the sides of vertebrae LI and LII and laterally to the transverse process of vertebra LI (Fig. 4.131).

A third tendinous arch, the lateral arcuate ligament, is formed by a thickening in the fascia that covers the quadratus lumborum. It is attached medially to the transverse process of vertebra LI and laterally to rib XII (Fig. 4.131).

The medial and lateral arcuate ligaments serve as points of origin for some of the muscular components of the diaphragm.

Structures passing through or around the diaphragm

Numerous structures pass through or around the diaphragm (Fig. 4.130):

image the aorta passes posterior to the diaphragm and anterior to the vertebral bodies at the lower level of vertebra TXII; it is between the two crura of the diaphragm and posterior to the median arcuate ligament, just to the left of midline;
image accompanying the aorta through the aortic hiatus is the thoracic duct and, sometimes, the azygos vein;
image the esophagus passes through the musculature of the right crus of the diaphragm at the level of vertebra TX, just to the left of the aortic hiatus;
image passing through the esophageal hiatus with the esophagus are the anterior and posterior vagal trunks, the esophageal branches of the left gastric artery and vein, and a few lymphatic vessels;
image the third large opening in the diaphragm is the caval opening through which the inferior vena cava passes from the abdominal cavity to the thoracic cavity (Fig. 4.130) at approximately vertebra TVIII in the central tendinous part of the diaphragm;
image accompanying the inferior vena cava through the caval opening is the right phrenic nerve;
image the left phrenic nerve passes through the muscular part of the diaphragm just anterior to the central tendon on the left side.

Additional structures pass through small openings either in or just outside the diaphragm as they pass from the thoracic cavity to the abdominal cavity (Fig. 4.130):

image the greater and lesser splanchnic nerves pass through the crura, on either side;
image the hemiazygos vein passes through the left crus;
image passing posterior to the medial arcuate ligament, on either side, are the sympathetic trunks and the least splanchnic nerves;
image passing anterior to the diaphragm, just deep to the ribs, are the superior epigastric vessels;
image other vessels and nerves (i.e., the musculophrenic vessels and intercostal nerves) also pass through the diaphragm at various points.
Domes

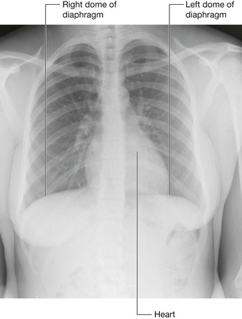
The classic appearance of the right and left domes of the diaphragm is caused by the underlying abdominal contents pushing these lateral areas upward, and by the fibrous pericardium, which is attached centrally, causing a flattening of the diaphragm in this area (Fig. 4.132).

image

Fig. 4.132 Right and left domes of the diaphragm. Chest radiograph.

The domes are produced by:

image the liver on the right, with some contribution from the right kidney and the right suprarenal gland; and
image the fundus of the stomach and spleen on the left, with contributions from the left kidney and the left suprarenal gland.

Although the height of these domes varies during breathing, a reasonable estimate in normal expiration places the left dome at the fifth intercostal space and the right dome at rib V. This is important to remember when percussing the thorax.

During inspiration, the muscular part of the diaphragm contracts, causing the central tendon of the diaphragm to be drawn inferiorly. This results in some flattening of the domes, enlargement of the thoracic cavity, and a reduction in intra-thoracic pressure. The physiological effect of these changes is that air enters the lungs and venous return to the heart is enhanced.

Blood supply

There is blood supply to the diaphragm on its superior and inferior surfaces:

image superiorly, the musculophrenic and pericardiacophrenic arteries, both branches of the internal thoracic artery, and the superior phrenic artery, a branch of the thoracic aorta, supply the diaphragm;
image inferiorly, the inferior phrenic arteries, branches of the abdominal aorta, supply the diaphragm (see Fig. 4.130).

Venous drainage is through companion veins to these arteries.

Innervation

Innervation of the diaphragm is primarily by the phrenic nerves. These nerves, from the C3 to C5 spinal cord levels, provide all motor innervation to the diaphragm and sensory fibers to the central part. They pass through the thoracic cavity, between the mediastinal pleura and the pericardium, to the superior surface of the diaphragm. At this point, the right phrenic nerve accompanies the inferior vena cava through the diaphragm and the left phrenic nerve passes through the diaphragm by itself (see Fig. 4.130). Additional sensory fibers are supplied to the peripheral areas of the diaphragm by intercostal nerves.

In the clinic

Psoas muscle abscess

At first glance, it is difficult to appreciate why the psoas muscle sheath is of greater importance than any other muscle sheath. The psoas muscle and its sheath arise not only from the lumbar vertebrae but also from the intervertebral discs between each vertebra. This disc origin is of critical importance. In certain types of infection, the intervertebral disc is preferentially affected (e.g., tuberculosis and salmonella discitis). As the infection of the disc develops, the infection spreads anteriorly and anterolaterally. In the anterolateral position, the infection passes into the psoas muscle sheath, and spreads within the muscle and sheath, and may appear below the inguinal ligament as a mass.

In the clinic

Diaphragmatic hernias

To understand why a hernia occurs through the diaphragm, it is necessary to consider the embryology of the diaphragm.

The diaphragm is formed from four structures—the septum transversum, the posterior esophageal mesentery, the pleuroperitoneal membrane, and the peripheral rim—which eventually fuse together, so separating the abdominal cavity from the thoracic cavity. The septum transversum forms the central tendon, which develops from a mesodermal origin in front of the embryo’s head and then moves to its more adult position during formation of the head fold.

Fusion of the various components of the diaphragm may fail, and hernias may occur through the failed points of fusion (Fig. 4.133). The commonest sites are:

image between the xiphoid process and the costal margins on the right (Morgagni’s hernia); and
image through an opening on the left when the pleuroperitoneal membrane fails to close the pericardioperitoneal canal (Bochdalek’s hernia).
image

Fig. 4.133 Fetal diaphragmatic hernia in utero. T2-weighted MR image. Fetus in coronal plane, mother in sagittal plane.

Hernias may also occur through the central tendon and through a congenitally large esophageal hiatus.

Morgagni’s and Bochdalek’s hernias tend to appear at or around the time of birth or in early infancy. They allow abdominal bowel to enter the thoracic cavity, which may compress the lungs and reduce respiratory function. Most of these hernias require surgical closure of the diaphragmatic defect.

Occasionally, small defects within the diaphragm fail to permit bowel through, but do allow free movement of fluid. Patients with ascites may develop pleural effusions, while patients with pleural effusions may develop ascites when these defects are present.

In the clinic

Hiatus hernia

At the level of the esophageal hiatus, the diaphragm may be lax, allowing the fundus of the stomach to herniate into the posterior mediastinum (Fig. 4.134). This typically causes symptoms of acid reflux. Ulceration may occur and may produce bleeding and anemia. The diagnosis is usually made by barium studies or endoscopy. Treatment in the first instance is by medical management, although surgery may be necessary.

image

Fig. 4.134 Lower esophagus and upper stomach showing a hiatus hernia. Radiograph using barium.

Viscera

Kidneys

The bean-shaped kidneys are retroperitoneal in the posterior abdominal region (Fig. 4.135). They lie in the extraperitoneal connective tissue immediately lateral to the vertebral column. In the supine position, the kidneys extend from approximately vertebra TXII superiorly to vertebra LIII inferiorly, with the right kidney somewhat lower than the left because of its relationship with the liver. Although they are similar in size and shape, the left kidney is a longer and more slender organ than the right kidney, and nearer to the midline.

image

Fig. 4.135 Retroperitoneal position of the kidneys in the posterior abdominal region.

  Page 356 
Relationships to other structures

The anterior surface of the right kidney is related to numerous structures, some of which are separated from the kidney by a layer of peritoneum and some of which are directly against the kidney (Fig. 4.136):

image a small part of the superior pole is covered by the right suprarenal gland;
image moving inferiorly, a large part of the rest of the upper part of the anterior surface is against the liver and is separated from it by a layer of peritoneum;
image medially, the descending part of the duodenum is retroperitoneal and contacts the kidney;
image the inferior pole of the kidney, on its lateral side, is directly associated with the right colic flexure and, on its medial side, is covered by a segment of the intraperitoneal small intestine.
image

Fig. 4.136 Structures related to the anterior surface of each kidney.

The anterior surface of the left kidney is also related to numerous structures, some with an intervening layer of peritoneum and some directly against the kidney (Fig. 4.136):

image a small part of the superior pole, on its medial side, is covered by the left suprarenal gland;
image the rest of the superior pole is covered by the intraperitoneal stomach and spleen;
image moving inferiorly, the retroperitoneal pancreas covers the middle part of the kidney;
image on its lateral side, the lower half of the kidney is covered by the left colic flexure and the beginning of the descending colon, and, on its medial side, by the parts of the intraperitoneal jejunum.

Posteriorly, the right and left kidneys are related to similar structures (Fig. 4.137). Superiorly is the diaphragm and inferior to this, moving in a medial to lateral direction, are psoas major, quadratus lumborum, and transversus abdominis muscles.

image

Fig. 4.137 Structures related to the posterior surface of each kidney.

The superior pole of the right kidney is anterior to rib XII, while the same region of the left kidney is anterior to ribs XI and XII. The pleural sacs, and specifically, the costodiaphragmatic recesses, therefore extend posterior to the kidneys.

Also passing posterior to the kidneys are the subcostal vessels and nerves and the iliohypogastric and ilio-inguinal nerves.

Renal fat and fascia

The kidneys are enclosed in and associated with a unique arrangement of fascia and fat. Immediately outside the renal capsule, there is an accumulation of extraperitoneal fat—the perinephric fat (perirenal fat), which completely surrounds the kidney (Fig. 4.138). Enclosing the perinephric fat is a membranous condensation of the extraperitoneal fascia (the renal fascia). The suprarenal glands are also enclosed in this fascial compartment, usually separated from the kidneys by a thin septum.

image

Fig. 4.138 Organization of fat and fascia surrounding the kidney.

The renal fascia must be incised in any surgical approach to this organ.

  Page 357 
  Page 358 

At the lateral margins of each kidney, the anterior and posterior layers of the renal fascia fuse (Fig. 4.138). This fused layer may connect with the transversalis fascia on the lateral abdominal wall.

Above each suprarenal gland, the anterior and posterior layers of the renal fascia fuse and blend with the fascia that covers the diaphragm.

Medially, the anterior layer of the renal fascia continues over the vessels in the hilum and fuses with the connective tissue associated with the abdominal aorta and the inferior vena cava (Fig. 4.138). In some cases, the anterior layer may cross the midline to the opposite side and blend with its companion layer.

The posterior layer of the renal fascia passes medially between the kidney and the fascia covering the quadratus lumborum muscle to fuse with the fascia covering the psoas major muscle.

Inferiorly, the anterior and posterior layers of the renal fascia enclose the ureters.

In addition to perinephric fat and the renal fascia, a final layer of paranephric fat (pararenal fat) completes the fat and fascias associated with the kidney (Fig. 4.138). This fat accumulates posterior and posterolateral to each kidney.

Kidney structure

Each kidney has a smooth anterior and posterior surface covered by a fibrous capsule, which is easily removable except during disease.

On the medial margin of each kidney is the hilum of kidney, which is a deep vertical slit through which renal vessels, lymphatics, and nerves enter and leave the substance of the kidney (Fig. 4.139). Internally, the hilum is continuous with the renal sinus. Perinephric fat continues into the hilum and sinus and surrounds all structures.

image

Fig. 4.139 Internal structure of the kidney.

Each kidney consists of an outer renal cortex and an inner renal medulla. The renal cortex is a continuous band of pale tissue that completely surrounds the renal medulla. Extensions of the renal cortex (the renal columns) project into the inner aspect of the kidney, dividing the renal medulla into discontinuous aggregations of triangular-shaped tissue (the renal pyramids).

  Page 359 

The bases of the renal pyramids are directed outward, toward the renal cortex, while the apex of each renal pyramid projects inward, toward the renal sinus. The apical projection (renal papilla) is surrounded by a minor calyx.

The minor calices receive urine and represent the proximal parts of the tube that will eventually form the ureter (Fig. 4.139). In the renal sinus, several minor calices unite to form a major calyx, and two or three major calices unite to form the renal pelvis, which is the funnel-shaped superior end of the ureters.

Renal vasculature and lymphatics

A single large renal artery, a lateral branch of the abdominal aorta, supplies each kidney. These vessels usually arise just inferior to the origin of the superior mesenteric artery between vertebrae LI and LII (Fig. 4.140). The left renal artery usually arises a little higher than the right, and the right renal artery is longer and passes posterior to the inferior vena cava.

image

Fig. 4.140 Renal vasculature.

As each renal artery approaches the renal hilum, it divides into anterior and posterior branches, which supply the renal parenchyma. Accessory renal arteries are common. They originate from the lateral aspect of the abdominal aorta, either above or below the primary renal arteries, enter the hilum with the primary arteries or pass directly into the kidney at some other level, and are commonly called extrahilar arteries.

Multiple renal veins contribute to the formation of the left and right renal veins, both of which are anterior to the renal arteries (Fig. 4.140).

Importantly, the longer left renal vein crosses the midline anterior to the abdominal aorta and posterior to the superior mesenteric artery and can be compressed by an aneurysm in either of these two vessels.

The lymphatic drainage of each kidney is to the lateral aortic (lumbar) nodes around the origin of the renal artery.

Ureters

The ureters are muscular tubes that transport urine from the kidneys to the bladder. They are continuous superiorly with the renal pelvis, which is a funnel-shaped structure in the renal sinus. The renal pelvis is formed from a condensation of two or three major calices, which in turn are formed by the condensation of several minor calices (see Fig. 4.139). The minor calices surround a renal papilla.

  Page 360 

The renal pelvis narrows as it passes inferiorly through the hilum of the kidney and becomes continuous with the ureter at the ureteropelvic junction (Fig. 4.141). Inferior to this junction, the ureters descend retroperitoneally on the medial aspect of the psoas major muscle. At the pelvic brim, the ureters cross either the end of the common iliac or the beginning of the external iliac arteries, enter the pelvic cavity, and continue their journey to the bladder.

image

Fig. 4.141 Ureters.

At three points along their course the ureters are constricted (Fig. 4.141):

image the first point is at the ureteropelvic junction;
image the second point is where the ureters cross the common iliac vessels at the pelvic brim;
image the third point is where the ureters enter the wall of the bladder.

Kidney stones can become lodged at these constrictions.

  Page 361 
Ureteric vasculature and lymphatics

The ureters receive arterial branches from adjacent vessels as they pass towards the bladder (Fig. 4.141):

image the renal arteries supply the upper end;
image the middle part may receive branches from the abdominal aorta, the testicular or ovarian arteries, and the common iliac arteries;
image in the pelvic cavity, the ureters are supplied by one or more arteries from branches of the internal iliac arteries.

In all cases, arteries reaching the ureters divide into ascending and descending branches, which form longitudinal anastomoses.

Lymphatic drainage of the ureters follows a pattern similar to that of the arterial supply. Lymph from:

image the upper part of each ureter drains to the lateral aortic (lumbar) nodes;
image the middle part of each ureter drains to lymph nodes associated with the common iliac vessels;
image the inferior part of each ureter drains to lymph nodes associated with the external and internal iliac vessels.
Ureteric innervation

Ureteric innervation is from the renal, aortic, superior hypogastric, and inferior hypogastric plexuses through nerves that follow the blood vessels.

Visceral efferent fibers come from both sympathetic and parasympathetic sources, whereas visceral afferent fibers return to T11 to L2 spinal cord levels. Ureteric pain, which is usually related to distention of the ureter, is therefore referred to cutaneous areas supplied by T11 to L2 spinal cord levels. These areas would most likely include the posterior and lateral abdominal wall below the ribs and above the iliac crest, the pubic region, the scrotum in males, the labia majora in females, and the proximal anterior aspect of the thigh.

In the clinic

Urinary tract stones

Urinary tract stones (calculi) occur more frequently in men than in women, are most common in people aged between 20 and 60 years, and are usually associated with sedentary lifestyles. The stones are polycrystalline aggregates of calcium, phosphate, oxalate, urate, and other soluble salts within an organic matrix. The urine becomes saturated with these salts, and small variations in the pH cause the salts to precipitate.

Typically the patient has pain that radiates from the infrascapular region (loin) into the groin, and even into the scrotum or labia majora. Blood in the urine (hematuria) may also be noticed.

Infection must be excluded because certain species of bacteria are commonly associated with urinary tract stones.

The complications of urinary tract stones include infection, urinary obstruction, and renal failure. Stones may also develop within the bladder and produce marked irritation, causing pain and discomfort.

The diagnosis of urinary tract stones is based upon history and examination. Stones are often visible on abdominal radiographs. Special investigations include:

image ultrasound scanning, which may demonstrate the dilated renal pelvis and calices when the urinary system is obstructed; and
image an intravenous urogram, which will demonstrate the obstruction, pinpoint the exact level, and enable the surgeon to plan a procedure to remove the stone if necessary.

In the clinic

Urinary tract cancer

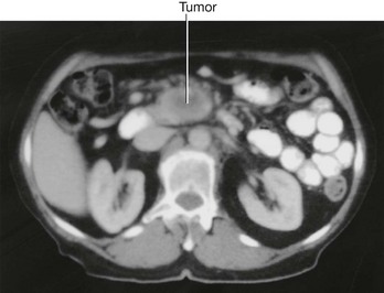
Most tumors that arise in the kidney are renal cell carcinomas. These tumors develop from the proximal tubular epithelium. Approximately 5% of tumors within the kidney are transitional cell tumors, which arise from the urothelium of the renal pelvis. Most patients typically have blood in the urine (hematuria), pain in the infrascapular region (loin), and a mass.

Renal cell tumors are unusual because not only do they grow outward from the kidney, invading the fat and fascia, but they also spread into the renal vein. This venous extension is rare for any other type of tumor, so, when seen, renal cell carcinoma should be suspected. In addition, the tumor may spread along the renal vein and into the inferior vena cava, and in rare cases can grow into the right atrium across the tricuspid valve and into the pulmonary artery (Figs. 4.142 and 4.143).

image

Fig. 4.142 Tumor in the right kidney growing toward, and possibly invading, the duodenum. Computed tomogram in the axial plane.

image

Fig. 4.143 Tumor in the right kidney spreading into the right renal vein. Computed tomogram in the axial plane.

Treatment for most renal cancers is surgical removal, even when metastatic spread is present, because some patients show regression of metastases.

Transitional cell carcinoma arises from the urothelium. The urothelium is present from the calices to the urethra and behaves as a “single unit.” Therefore, when patients develop transitional carcinomas within the bladder, similar tumors may also be present within upper parts of the urinary tract. In patients with bladder cancer, the whole of the urinary tract must always be investigated to exclude the possibility of other tumors (Fig. 4.144).

image

Fig. 4.144 Transitional cell carcinoma in the pelvis of the right kidney. Coronal computed tomogram reconstruction.

  Page 363 

In the Clinic

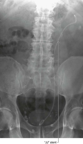
Nephrostomy

A nephrostomy is a procedure where a tube is placed through the lateral or posterior abdominal wall into the renal cortex to lie within the renal pelvis. The function of this tube is to allow drainage of urine from the renal pelvis through the tube externally (Fig. 4.145).

image

Fig. 4.145 This radiograph, anterior-posterior view, demonstrates a double J stent. The superior aspect of the double J stent is situated within the renal pelvis. The stent passes through the ureter describing the path of the ureter, and the tip of the double J stent is projected over the bladder, which appears as a slightly dense area on the radiograph.

The kidneys are situated on the posterior abdominal wall, and in thin healthy subjects may be only up to 2–3 cm from the skin. Access to the kidney is relatively straightforward, because the kidney can be easily visualized under ultrasound guidance. Using local anesthetic, a needle can be placed, under ultrasound direction, through the skin into the renal cortex and into the renal pelvis. A series of wires and tubes can be passed through the needle to position the drainage catheter.

The indications of such a procedure are many. In patients with distal ureteric obstruction the back pressure of urine within the ureters and the kidney significantly impairs the function of the kidney, which will fail to function. This will produce renal failure and ultimately death. Furthermore, a dilated obstructed system is also susceptible to infection. In many cases, there is not only obstruction producing renal failure but also infected urine within the system.

  Page 364 

In the clinic

Kidney transplant

Kidney transplantation began in the United States in the 1950s. Since the first transplant, the major problem for kidney transplantation has been tissue rejection. A number of years have passed since this initial procedure and there have been significant breakthroughs in transplant rejection medicine. Renal transplantation is now a common procedure undertaken in patients with end stage renal failure.

Transplant kidneys are obtained from either living or deceased donors. The living donors are carefully assessed, because harvesting a kidney from a normal healthy individual, even with modern day medicine, carries a small risk.

Deceased kidney donors are brain dead or have suffered cardiac death. The donor kidney is harvested with a small cuff of aortic and venous tissue. The ureter is also harvested.

An ideal place to situate the transplant kidney is in the left or the right iliac fossa (Fig. 4.146). A curvilinear incision is made paralleling the iliac crest and pubic symphysis. The external oblique muscle, internal oblique muscle, transverse abdominis muscle, and transversalis fascia are divided. The surgeon identifies the parietal peritoneum but does not enter the peritoneal cavity. The parietal peritoneum is medially retracted to reveal the external iliac artery, external iliac vein, and the bladder. In some instances the internal iliac artery of the recipient is mobilized and anastomosed directly as an end-to-end procedure onto the renal artery of the donor kidney. Similarly the internal iliac vein is anastomosed to the donor vein. In the presence of a small aortic cuff of tissue the donor artery is anastomosed to the recipient external iliac artery and similarly for the venous anastomosis. The ureter is easily tunneled obliquely through the bladder wall with a straightforward anastomosis.

image image

Fig. 4.146 Kidney transplant. A. This image demonstrates an MR angiogram of the bifurcation of the aorta. Attaching to the left external iliac artery is the donor artery for a kidney that has been transplanted into the left iliac fossa. B. Abdominal computed tomogram, in the axial plane, showing the transplanted kidney in the left iliac fossa.

The left and right iliac fossae are ideal locations for the transplant kidney, because a new space can be created without compromise to other structures. The great advantage of this procedure is the proximity to the anterior abdominal wall, which permits easy ultrasound visualization of the kidney and permits Doppler vascular assessment. Furthermore, in this position biopsies are easily obtained. The extraperitoneal approach enables patients to make a swift recovery.

  Page 365 

Suprarenal glands

The suprarenal glands are associated with the superior pole of each kidney (Fig. 4.147). They consist of an outer cortex and an inner medulla. The right gland is shaped like a pyramid, whereas the left gland is semilunar in shape and the larger of the two.

Anterior to the right suprarenal gland is part of the right lobe of the liver and the inferior vena cava, whereas anterior to the left suprarenal gland is part of the stomach, pancreas, and, on occasion, the spleen. Parts of the diaphragm are posterior to both glands.

The suprarenal glands are surrounded by the perinephric fat and enclosed in the renal fascia, though a thin septum separates each gland from its associated kidney.

  Page 366 

In the clinic

Investigation of the urinary tract

After an appropriate history and examination of the patient, including a digital rectal examination to assess the prostate in men, special investigations are required.

IVU (intravenous urogram)

An IVU is one of the most important and commonly carried out radiological investigations. The patient is injected with iodinated contrast medium. Most contrast media contain three iodine atoms spaced around a benzene ring. The relatively high atomic number of iodine compared to the atomic number of carbon, hydrogen, and oxygen, attenuates the radiation beam. After intravenous injection, contrast media are excreted predominantly by glomerular filtration, although some are secreted by the renal tubules. This allows visualization of the collecting system as well as the ureters and bladder.

Ultrasound

Ultrasound can be used to assess kidney size and the size of the calices, which may be dilated when obstructed. Although the ureters are poorly visualized using ultrasound, the bladder can be easily seen when full. Ultrasound measurements of bladder volume can be obtained before and after micturition.

Computed tomography

Computed tomography can be used to assess the kidneys, ureters, bladder, and adjacent structures and is a powerful tool for staging primary urinary tract tumors.

Nuclear medicine

Nuclear medicine is an extremely useful tool for investigating the urinary tract because radioisotope compounds can be used to estimate renal cell mass and function and assess the parenchyma for renal scarring. These tests are often very useful in children when renal scarring and reflux disease is suspected.

Suprarenal vasculature

The arterial supply to the suprarenal glands is extensive and arises from three primary sources (Fig. 4.147):

image as the bilateral inferior phrenic arteries pass upward from the abdominal aorta to the diaphragm, they give off multiple branches (superior suprarenal arteries) to the suprarenal glands;
image a middle branch (middle suprarenal artery) to the suprarenal glands usually arises directly from the abdominal aorta;
image inferior branches (inferior suprarenal arteries) from the renal arteries pass upward to the suprarenal glands.
image

Fig. 4.147 Arterial supply to the suprarenal glands.

In contrast to this multiple arterial supply is the venous drainage, which usually consists of a single vein leaving the hilum of each gland. On the right side, the right suprarenal vein is short and almost immediately enters the inferior vena cava; while on the left side, the left suprarenal vein passes inferiorly to enter the left renal vein.

Vasculature

Abdominal aorta

The abdominal aorta begins at the aortic hiatus of the diaphragm as a midline structure at approximately the lower level of vertebra TXII (Fig. 4.148). It passes downward on the anterior surface of the bodies of vertebrae LI to LIV, ending just to the left of midline at the lower level of vertebra LIV. At this point, it divides into the right and left common iliac arteries. This bifurcation can be visualized on the anterior abdominal wall as a point approximately 2.5 cm below the umbilicus or even with a line extending between the highest points of the iliac crest.

image

Fig. 4.148 Abdominal aorta.

As the abdominal aorta passes through the posterior abdominal region, the prevertebral plexus of nerves and ganglia covers its anterior surface. It is also related to numerous other structures:

image anterior to the abdominal aorta, as it descends, are the pancreas and splenic vein, the left renal vein, and the inferior part of the duodenum;
image several lumbar veins cross it posteriorly as they pass to the inferior vena cava;
image on its right side are the cisterna chyli, thoracic duct, azygos vein, right crus of the diaphragm, and the inferior vena cava;
image on its left side is the left crus of the diaphragm.
  Page 367 

Branches of the abdominal aorta (Table 4.3) can be classified as:

image visceral branches supplying organs;
image posterior branches supplying the diaphragm or body wall; or
image terminal branches.

Table 4.3 Branches of the abdominal aorta

image
Visceral branches

The visceral branches are either unpaired or paired vessels.

The three unpaired visceral branches that arise from the anterior surface of the abdominal aorta (Fig. 4.148) are:

image the celiac trunk, which supplies the abdominal foregut;
image the superior mesenteric artery, which supplies the abdominal midgut; and
image the inferior mesenteric artery, which supplies the abdominal hindgut.

The paired visceral branches of the abdominal aorta (Fig. 4.148) include:

image the middle suprarenal arteries—small, lateral branches of the abdominal aorta arising just above the renal arteries that are part of the multiple vascular supply to the suprarenal gland;
image the renal arteries—lateral branches of the abdominal aorta that arise just inferior to the origin of the superior mesenteric artery between vertebrae LI and LII, and supply the kidneys; and
  Page 368 
image the testicular or ovarian arteries—anterior branches of the abdominal aorta that arise below the origin of the renal arteries, and pass downward and laterally on the anterior surface of the psoas major muscle.
Posterior branches

The posterior branches of the abdominal aorta are vessels supplying the diaphragm or body wall. They consist of the inferior phrenic arteries, the lumbar arteries, and the median sacral artery (Fig. 4.148).

Inferior phrenic arteries

The inferior phrenic arteries arise immediately inferior to the aortic hiatus of the diaphragm either directly from the abdominal aorta, as a common trunk from the abdominal aorta, or from the base of the celiac trunk (Fig. 4.148). Whatever their origin, they pass upward, provide some arterial supply to the suprarenal gland, and continue onto the inferior surface of the diaphragm.

Lumbar arteries

There are usually four pairs of lumbar arteries arising from the posterior surface of the abdominal aorta (Fig. 4.148). They run laterally and posteriorly over the bodies of the lumbar vertebrae, continue laterally, passing posterior to the sympathetic trunks and between the transverse processes of adjacent lumbar vertebrae, and reach the abdominal wall. From this point onward, they demonstrate a branching pattern similar to a posterior intercostal artery, which includes providing segmental branches that supply the spinal cord.

Median sacral artery

The final posterior branch is the median sacral artery (Fig. 4.148). This vessel arises from the posterior surface of the abdominal aorta just superior to the bifurcation and passes in an inferior direction, first over the anterior surface of the lower lumbar vertebrae and then over the anterior surface of the sacrum and coccyx.

  Page 369 

In the clinic

Abdominal aortic stent graft

An abdominal aortic aneurysm is a dilatation of the aorta and generally tends to occur in the infrarenal region (the region at or below the renal arteries). As the aorta expands, the risk of rupture increases, and it is now generally accepted that when an aneurysm reaches 5.5 cm or greater an operation will significantly benefit the patient.

With the aging population, the number of abdominal aortic aneurysms is increasing. Moreover, with the increasing use of imaging techniques a number of abdominal aortic aneurysms are identified in asymptomatic patients.

For many years the standard treatment for repair was an open operative technique, which involved a large incision from xiphoid process of the sternum to symphysis pubis and dissection of the aneurysm. The aneurysm was excised and a tubular woven graft was sewn into place. Recovery may take a number of days, even weeks, and most patients would be placed in the intensive care unit after the operation

Further developments and techniques have led to a new type of procedure being performed to treat abdominal aortic aneurysms—the endovascular graft. The idea of placing the graft into the aortic aneurysm and lining the dilated vessel is not new and was first described over 10 years ago. Since the original description the devices have been modified on a number of occasions (Fig. 4.149).

image image

Fig. 4.149 Volume-rendered reconstruction using multidetector computed tomography of patient with an infrarenal abdominal aortic aneurysm before (A) and after (B) endovascular aneurysm repair. Note the image only demonstrates the intraluminal contrast and not the entire vessel. White patches in the aorta (A) represent intramural calcium.

The technique involves surgically dissecting the femoral artery below the inguinal ligament. A small incision is made in the femoral artery and the pre-loaded compressed graft with metal support struts is passed on a large catheter into the abdominal aorta through the femoral artery. Using X-ray for guidance the graft is opened, lining the inside of the aorta. Limb attachments are made to the graft that extend into the common iliac vessels. This bifurcated tube device effectively excludes the abdominal aortic aneurysm.

This type of device is not suitable for all patients. Patients who receive this device do not need to go to the intensive care unit. Many patients leave hospital within 24–48 hours. Importantly, this device can be used for patients who were deemed unfit for open surgical repair.

  Page 370 

Inferior vena cava

The inferior vena cava returns blood from all structures below the diaphragm to the right atrium of the heart. It is formed when the two common iliac veins come together at the level of vertebra LV, just to the right of midline. It ascends through the posterior abdominal region anterior to the vertebral column immediately to the right of the abdominal aorta (Fig. 4.150), continues in a superior direction, and leaves the abdomen by piercing the central tendon of the diaphragm at the level of vertebra TVIII.

image

Fig. 4.150 Inferior vena cava.

During its course, the anterior surface of the inferior vena cava is crossed by the right common iliac artery, the root of the mesentery, the right testicular or ovarian artery, the inferior part of the duodenum, the head of the pancreas, the superior part of the duodenum, the bile duct, the portal vein, and the liver, which overlaps and on occasion completely surrounds the vena cava (Fig. 4.150).

Tributaries to the inferior vena cava include the:

image common iliac veins;
image lumbar veins;
image right testicular or ovarian vein;
image renal veins;
image right suprarenal vein;
image inferior phrenic veins; and
image hepatic veins.

There are no tributaries from the abdominal part of the gastrointestinal tract, the spleen, the pancreas, or the gallbladder, because veins from these structures are components of the portal venous system, which first passes through the liver.

  Page 371 

Of the venous tributaries mentioned above, the lumbar veins are unique in their connections and deserve special attention. Not all of the lumbar veins drain directly into the inferior vena cava (Fig. 4.151):

image the fifth lumbar vein generally drains into the iliolumbar vein, a tributary of the common iliac vein;
image the third and fourth lumbar veins usually drain into the inferior vena cava;
image the first and second lumbar veins may empty into the ascending lumbar veins.
image

Fig. 4.151 Lumbar veins.

The ascending lumbar veins are long, anastomosing venous channels that connect the common iliac, iliolumbar, and lumbar veins with the azygos and hemiazygos veins of the thorax.

If the inferior vena cava becomes blocked the ascending lumbar veins become important collateral channels between the lower and upper parts of the body.

In the clinic

Inferior vena cava filter

Deep vein thrombosis is a potentially fatal condition where a clot (thrombus) is formed in the deep venous system of the legs and the veins of the pelvis. Virchow described the reasons for thrombus formation as decreased blood flow, abnormality of the constituents of blood, and abnormalities of the vessel wall. Common predisposing factors include hospitalization and surgery, the oral contraceptive pill, smoking, and air travel. Other abnormalities also include clotting abnormalities (e.g., protein S and protein C deficiency).

The diagnosis of deep vein thrombosis may be difficult to establish, with symptoms including leg swelling and pain and discomfort in the calf. It may also be an incidental finding.

In practice, patients with suspected deep vein thrombosis undergo a D-dimer blood test, which measures levels of a fibrin degradation product. If this is positive there is a high association with deep vein thrombosis.

The consequences of deep vein thrombosis are two-fold. Occasionally the clot may dislodge and pass into the venous system through the right side of the heart and into the main pulmonary arteries. If the clots are of significant size they obstruct blood flow to the lung and may produce instantaneous death. Secondary complications include destruction of the normal valvular system in the legs, which may lead to venous incompetency and chronic leg swelling with ulceration.

The treatment for deep vein thrombosis is prevention. In order to prevent deep vein thrombosis, patients are optimized by removing all potential risk factors. Subcutaneous heparin may be injected and the patient wears compression stockings to prevent venous stasis while in the hospital.

In certain situations it is not possible to optimize the patient with prophylactic treatment, and it may be necessary to insert a filter into the inferior vena cava that traps any large clots. It may be removed after the risk period has ended.

  Page 372 

Lymphatic system

Lymphatic drainage from most deep structures and regions of the body below the diaphragm converges mainly on collections of lymph nodes and vessels associated with the major blood vessels of the posterior abdominal region (Fig. 4.152; Table 4.4). The lymph then predominantly drains into the thoracic duct.

image

Fig. 4.152 Abdominal lymphatics.

Table 4.4 Lymphatic drainage

Lymphatic vessel Area drained
Right jugular trunk Right side of head and neck
Left jugular trunk Left side of head and neck
Right subclavian trunk Right upper limb, superficial regions of thoracic and upper abdominal wall
Left subclavian trunk Left upper limb, superficial regions of thoracic and upper abdominal wall
Right bronchomediastinal trunk Right lung and bronchi, mediastinal structures, thoracic wall
Left bronchomediastinal trunk Left lung and bronchi, mediastinal structures, thoracic wall
Thoracic duct Lower limbs, abdominal walls and viscera, pelvic walls and viscera, thoracic wall

Pre-aortic and lateral aortic or lumbar nodes (para-aortic nodes)

Approaching the aortic bifurcation, the collections of lymphatics associated with the two common iliac arteries and veins merge, and multiple groups of lymphatic vessels and nodes associated with the abdominal aorta and inferior vena cava pass superiorly. These collections may be subdivided into pre-aortic nodes, which are anterior to the abdominal aorta, and right and left lateral aortic or lumbar nodes (para-aortic nodes), which are positioned on either side of the abdominal aorta (Fig. 4.152).

  Page 373 

As these collections of lymphatics pass through the posterior abdominal region, they continue to collect lymph from a variety of structures. The lateral aortic or lumbar lymph nodes (para-aortic nodes) receive lymphatics from the body wall, the kidneys, the suprarenal glands, and the testes or ovaries.

The pre-aortic nodes are organized around the three anterior branches of the abdominal aorta that supply the abdominal part of the gastrointestinal tract, as well as the spleen, pancreas, gallbladder, and liver. They are divided into celiac, superior mesenteric, and inferior mesenteric nodes, and receive lymph from the organs supplied by the similarly named arteries.

Finally, the lateral aortic or lumbar nodes form the right and left lumbar trunks, whereas the pre-aortic nodes form the intestinal trunk (Fig. 4.152). These trunks come together and form a confluence that, at times, appears as a saccular dilation (the cisterna chyli). This confluence of lymph trunks is posterior to the right side of the abdominal aorta and anterior to the bodies of vertebrae LI and LII. It marks the beginning of the thoracic duct.

In the clinic

Retroperitoneal lymph node surgery

From a clinical perspective, retroperitoneal lymph nodes are arranged in two groups. The pre-aortic lymph node group drains lymph from the embryological midline structures, such as the liver, bowel, and pancreas. The para-aortic lymph node group (the lateral aortic or lumbar nodes), on either side of the aorta, drain lymph from bilateral structures, such as the kidneys and adrenal glands. Organs embryologically derived from the posterior abdominal wall also drain lymph to these nodes. These organs include the ovaries and the testes (importantly, the testes do not drain lymph to the inguinal regions).

In general, lymphatic drainage follows standard predictable routes; however, in the presence of disease, alternate routes of lymphatic drainage will occur.

There are a number of causes for enlarged retroperitoneal lymph nodes. In the adult, massively enlarged lymph nodes are a feature of lymphoma, and smaller lymph node enlargement is observed in the presence of infection and metastatic malignant spread of disease (e.g., colon cancer).

The treatment for malignant lymph node disease is based upon a number of factors, including the site of the primary tumor (e.g., bowel) and its histological cell type. Normally, the primary tumor is surgically removed and the lymph node spread and metastatic organ spread (e.g., to the liver and the lungs) are often treated with chemotherapy and radiotherapy.

In certain instances it may be considered appropriate to resect the lymph nodes in the retroperitoneum (e.g., for testicular cancer).

The surgical approach to retroperitoneal lymph node resection involves a lateral paramedian incision in the midclavicular line. The three layers of the anterolateral abdominal wall (external oblique, internal oblique, and transversus abdominis) are opened and the transversalis fascia is divided. The next structure the surgeon sees is the parietal peritoneum. Instead of entering the parietal peritoneum, which is standard procedure for most intra-abdominal surgical operations, the surgeon gently pushes the parietal peritoneum toward the midline, which moves the intra-abdominal contents and allows a clear view of the retroperitoneal structures. On the left, the para-aortic lymph node group (lateral aortic or lumbar nodes) are easily demonstrated with a clear view of the abdominal aorta and kidney. On the right the inferior vena cava is demonstrated, which has to be retracted to access to the right para-aortic lymph node chain (lateral aortic or lumbar nodes).

The procedure of the retroperitoneal lymph node dissection is extremely well tolerated and lacks the problems of entering the peritoneal cavity (e.g., paralytic ileus). Unfortunately, the complication of a vertical incision in the midclavicular line is to divide the segmental nerve supply to the rectus abdominis muscle. This produces muscle atrophy and asymmetric proportions to the anterior abdominal wall.

  Page 374 

Nervous system in the posterior abdominal region

Several important components of the nervous system are in the posterior abdominal region. These include the sympathetic trunks and associated splanchnic nerves, the plexus of nerves and ganglia associated with the abdominal aorta, and the lumbar plexus of nerves.

Sympathetic trunks and splanchnic nerves

The sympathetic trunks pass through the posterior abdominal region anterolateral to the lumbar vertebral bodies, before continuing across the sacral promontory and into the pelvic cavity (Fig. 4.153). Along their course, small raised areas are visible. These represent collections of neuronal cell bodies—primarily postganglionic neuronal cell bodies—which are located outside the central nervous system. They are sympathetic paravertebral ganglia. There are usually four ganglia along the sympathetic trunks in the posterior abdominal region.

image

Fig. 4.153 Sympathetic trunks passing through the posterior abdominal region.

Also associated with the sympathetic trunks in the posterior abdominal region are the lumbar splanchnic nerves (Fig. 4.153). These components of the nervous system pass from the sympathetic trunks to the plexus of nerves and ganglia associated with the abdominal aorta. Usually two to four lumbar splanchnic nerves carry preganglionic sympathetic fibers and visceral afferent fibers.

  Page 375 

Abdominal prevertebral plexus and ganglia

The abdominal prevertebral plexus is a network of nerve fibers surrounding the abdominal aorta. It extends from the aortic hiatus of the diaphragm to the bifurcation of the aorta into the right and left common iliac arteries. Along its route, it is subdivided into smaller, named plexuses (Fig. 4.154):

image beginning at the diaphragm and moving inferiorly, the initial accumulation of nerve fibers is referred to as the celiac plexus—this subdivision includes nerve fibers associated with the roots of the celiac trunk and superior mesenteric artery;
image continuing inferiorly, the plexus of nerve fibers extending from just below the superior mesenteric artery to the aortic bifurcation is the abdominal aortic plexus (Fig. 4.155);
image at the bifurcation of the abdominal aorta, the abdominal prevertebral plexus continues inferiorly as the superior hypogastric plexus.
image

Fig. 4.154 Prevertebral plexus and ganglia in the posterior abdominal region.

image

Fig. 4.155 Nerve fibers passing through the abdominal prevertebral plexus and ganglia.

Throughout its length, the abdominal prevertebral plexus is a conduit for:

image preganglionic sympathetic and visceral afferent fibers from the thoracic and lumbar splanchnic nerves;
image preganglionic parasympathetic and visceral afferent fibers from the vagus nerves [X]; and
image preganglionic parasympathetic fibers from the pelvic splanchnic nerves (Fig. 4.155).

Associated with the abdominal prevertebral plexus are clumps of nervous tissue (the prevertebral ganglia), which are collections of postganglionic sympathetic neuronal cell bodies in recognizable aggregations along the abdominal prevertebral plexus; they are usually named after the nearest branch of the abdominal aorta. They are therefore referred to as celiac, superior mesenteric, aorticorenal, and inferior mesenteric ganglia (Fig. 4.156). These structures, along with the abdominal prevertebral plexus, play a critical role in the innervation of the abdominal viscera.

image

Fig. 4.156 Prevertebral ganglia associated with the prevertebral plexus.

  Page 376 

Common sites for pain referred from the abdominal viscera are given in Table 4.5.

Table 4.5 Referred pain pathways (visceral afferents)

image
  Page 377 
  Page 378 

Lumbar plexus

The lumbar plexus is formed by the anterior rami of nerves L1 to L3, and most of the anterior ramus of L4 (Fig. 4.157 and Table 4.6). It also receives a contribution from the T12 (subcostal) nerve.

image

Fig. 4.157 Lumbar plexus.

Table 4.6 Branches of the lumbar plexus

image

Branches of the lumbar plexus include the iliohypogastric, ilio-inguinal, genitofemoral, lateral cutaneous nerve of thigh (lateral femoral cutaneous), femoral, and obturator nerves. The lumbar plexus forms in the substance of the psoas major muscle anterior to its attachment to the transverse processes of the lumbar vertebrae (Fig. 4.158). Therefore, relative to the psoas major muscle, the various branches emerge either:

image anterior—genitofemoral nerve;
image medial—obturator nerve; or
image lateral—iliohypogastric, ilio-inguinal, and femoral nerves, and the lateral cutaneous nerve of the thigh.
image

Fig. 4.158 Lumbar plexus in the posterior abdominal region.

Iliohypogastric and ilio-inguinal nerves (L1)

The iliohypogastric and ilio-inguinal nerves arise as a single trunk from the anterior ramus of nerve L1 (Fig. 4.157). Either before or soon after emerging from the lateral border of the psoas major muscle, this single trunk divides into the iliohypogastric and the ilio-inguinal nerves.

Iliohypogastric nerve

The iliohypogastric nerve passes across the anterior surface of the quadratus lumborum muscle, posterior to the kidney. It pierces the transversus abdominis muscle and continues anteriorly around the body between the transversus abdominis and internal oblique muscles. Above the iliac crest, a lateral cutaneous branch pierces the internal and external oblique muscles to supply the posterolateral gluteal skin (Fig. 4.159).

image

Fig. 4.159 Cutaneous distribution of the nerves from the lumbar plexus.

The remaining part of the iliohypogastric nerve (the anterior cutaneous branch) continues in an anterior direction, piercing the internal oblique just medial to the anterior superior iliac spine as it continues in an obliquely downward and medial direction. Becoming cutaneous, just above the superficial inguinal ring, after piercing the aponeurosis of the external oblique, it distributes to the skin in the pubic region (Fig. 4.159). Throughout its course, it also supplies branches to the abdominal musculature.

  Page 379 
Ilio-inguinal nerve

The ilio-inguinal nerve is smaller than, and inferior to, the iliohypogastric nerve as it crosses the quadratus lumborum muscle. Its course is more oblique than that of the iliohypogastric nerve, and it usually crosses part of the iliacus muscle on its way to the iliac crest. Near the anterior end of the iliac crest, it pierces the transversus abdominis muscle, and then pierces the internal oblique muscle and enters the inguinal canal.

The ilio-inguinal nerve emerges through the superficial inguinal ring, along with the spermatic cord, and provides cutaneous innervation to the upper medial thigh, the root of the penis, and the anterior surface of the scrotum in men, or the mons pubis and labium majus in women (Fig. 4.159). Throughout its course, it also supplies branches to the abdominal musculature.

Genitofemoral nerve (L1 and L2)

The genitofemoral nerve arises from the anterior rami of the nerves L1 and L2 (Fig. 4.157). It passes downward in the substance of the psoas major muscle until it emerges on the anterior surface of psoas major. It then descends on the surface of the muscle, in a retroperitoneal position, passing posterior to the ureter. It eventually divides into genital and femoral branches.

  Page 380 

The genital branch continues downward and enters the inguinal canal through the deep inguinal ring. It continues through the canal and:

image in men, innervates the cremasteric muscle and terminates on the skin in the upper anterior part of the scrotum; and
image in women, accompanies the round ligament of the uterus and terminates on the skin of the mons pubis and labium majus.
  Page 381 

The femoral branch descends on the lateral side of the external iliac artery and passes posterior to the inguinal ligament, entering the femoral sheath lateral to the femoral artery. It pierces the anterior layer of the femoral sheath and the fascia lata to supply the skin of the upper anterior thigh (Fig. 4.159).

Lateral cutaneous nerve of thigh (L2 and L3)

The lateral cutaneous nerve of thigh arises from the anterior rami of nerves L2 and L3 (Fig. 4.157). It emerges from the lateral border of the psoas major muscle, passing obliquely downward across the iliacus muscle toward the anterior superior iliac spine (Fig. 4.159). It passes posterior to the inguinal ligament and enters the thigh.

The lateral cutaneous nerve of thigh supplies the skin on the anterior and lateral thigh to the level of the knee (Fig. 4.159).

Obturator nerve (L2 to L4)

The obturator nerve arises from the anterior rami of the nerves L2 to L4 (Fig. 4.157). It descends in the psoas major muscle, emerging from its medial side near the pelvic brim (Fig. 4.158).

The obturator nerve continues posterior to the common iliac vessels, passes across the lateral wall of the pelvic cavity, and enters the obturator canal, through which the obturator nerve gains access to the medial compartment of the thigh.

In the area of the obturator canal, the obturator nerve divides into anterior and posterior branches. On entering the medial compartment of the thigh, the two branches are separated by the obturator externus and adductor brevis muscles. Throughout their course through the medial compartment, these two branches supply:

image articular branches to the hip joint;
image muscular branches to obturator externus, pectineus, adductor longus, gracilis, adductor brevis, and adductor magnus muscles;
image cutaneous branches to the medial aspect of the thigh; and
image in association with the saphenous nerve, cutaneous branches to the medial aspect of the upper part of the leg, and articular branches to the knee joint (Fig. 4.159).
Femoral nerve (L2 to L4)

The femoral nerve arises from the anterior rami of nerves L2 to L4 (Fig. 4.157). It descends through the substance of the psoas major muscle, emerging from the lower lateral border of the psoas major (Fig. 4.158). Continuing its descent, the femoral nerve lies between the lateral border of the psoas major and the anterior surface of the iliacus muscle. It is deep to the iliacus fascia and lateral to the femoral artery as it passes posterior to the inguinal ligament and enters the anterior compartment of the thigh. Upon entering the thigh, it immediately divides into multiple branches.

Cutaneous branches of the femoral nerve include:

image medial and intermediate cutaneous nerves supplying the skin on the anterior surface of the thigh; and
image the saphenous nerve supplying the skin on the medial surface of the leg (Fig. 4.159).

Muscular branches innervate the iliacus, pectineus, sartorius, rectus femoris, vastus medialis, vastus intermedius, and vastus lateralis muscles. Articular branches supply the hip and knee joints.

  Page 382 

Surface anatomy

Abdomen surface anatomy

Visualization of the position of abdominal viscera is fundamental to a physical examination. Some of these viscera or their parts can be felt by palpating through the abdominal wall. Surface features can be used to establish the positions of deep structures (Fig. 4.160).

image

Fig. 4.160 Anterior and posterior abdominal walls. A. Anterior in a woman. B. Posterior in a woman. C. Anterior in a man. D. Posterior in a man.

  Page 383 

Defining the surface projection of the abdomen

Palpable landmarks can be used to delineate the extent of the abdomen on the surface of the body. These landmarks are:

image the costal margin above; and
image the pubic tubercle, anterior superior iliac spine, and iliac crest below (Fig. 4.161).
image

Fig. 4.161 Interior view of the abdominal region of a man. Palpable bony landmarks, the inguinal ligament, and the position of the diaphragm are indicated.

The costal margin is readily palpable and separates the abdominal wall from the thoracic wall.

A line between the anterior superior iliac spine and the pubic tubercle marks the position of the inguinal ligament, which separates the anterior abdominal wall above from the thigh of the lower limb below.

The iliac crest separates the posterolateral abdominal wall from the gluteal region of the lower limb.

The upper part of the abdominal cavity projects above the costal margin to the diaphragm and therefore abdominal viscera in this region of the abdomen are protected by the thoracic wall.

The level of the diaphragm varies during the breathing cycle. The dome of the diaphragm on the right can reach as high as the fourth costal cartilage during forced expiration.

  Page 384 

How to find the superficial inguinal ring

The superficial inguinal ring is an elongate triangular defect in the aponeurosis of the external oblique (Fig. 4.162). It lies in the lower medial aspect of the anterior abdominal wall and is the external opening of the inguinal canal. The inguinal canal and superficial ring are larger in men than in women:

image in men, structures that pass between the abdomen and the testis pass through the inguinal canal and superficial inguinal ring;
  Page 385 
image in women, the round ligament of the uterus passes through the inguinal canal and superficial inguinal ring to merge with connective tissue of the labium majus.
image

Fig. 4.162 Groin. A. In a man. B. In a woman. C. Examination of the superficial inguinal ring and related regions of the inguinal canal in a man.

The superficial inguinal ring is superior to the pubic crest and tubercle and to the medial end of the inguinal ligament:

image in men, the superficial inguinal ring can be easily located by following the spermatic cord superiorly to the lower abdominal wall—the external spermatic fascia of the spermatic cord is continuous with the margins of the superficial inguinal ring;
image in women, the pubic tubercle can be palpated and the ring is superior and lateral to it.

The deep inguinal ring, which is the internal opening to the inguinal canal, lies superior to the inguinal ligament, midway between the anterior iliac spine and pubic symphysis. The pulse of the femoral artery can be felt in the same position, but below the inguinal ligament.

Because the superficial inguinal ring is the site where inguinal hernias appear, particularly in men, the ring and related parts of the inguinal canal are often evaluated during physical examination.

How to determine lumbar vertebral levels

Lumbar vertebral levels are useful for visualizing the positions of viscera and major blood vessels. The approximate positions of the lumbar vertebrae can be established using palpable or visible landmarks (Fig. 4.163):

  Page 386 
image a horizontal plane passes through the medial ends of the ninth costal cartilages and the body of the LI vertebra—this transpyloric plane cuts through the body midway between the suprasternal (jugular) notch and the pubic symphysis;
image a horizontal plane passes through the lower edge of the costal margin (tenth costal cartilage) and the body of the LIII vertebra—the umbilicus is normally on a horizontal plane that passes through the disc between the LIII and LIV vertebrae;
image a horizontal plane (supracristal plane) through the highest point on the iliac crests passes through the spine and body of the LIV vertebra;
image a plane through the tubercles of the crest of the ilium passes through the body of the LV vertebra.
image

Fig. 4.163 Landmarks used for establishing the positions of lumbar vertebrae are indicated. Anterior view of the abdominal region of a man.

Visualizing structures at the LI vertebral level

The LI vertebral level is marked by the transpyloric plane, which cuts transversely through the body midway between the jugular notch and pubic symphysis, and through the ends of the ninth costal cartilages (Fig. 4.164). At this level are:

image the beginning and upper limit of the end of the duodenum;
image the hila of the kidneys;
image the neck of the pancreas; and
image the origin of the superior mesenteric artery from the aorta.
image

Fig. 4.164 LI vertebral level and the important viscera associated with this level. Anterior view of the abdominal region of a man.

The left and right colic flexures are close to this level.

  Page 387 

Visualizing the position of major blood vessels

Each of the vertebral levels in the abdomen is related to the origin of major blood vessels (Fig. 4.165):

image the celiac trunk originates from the aorta at the upper border of the LI vertebra;
image the superior mesenteric artery originates at the lower border of the LI vertebra;
image the renal arteries originate at approximately the LII vertebra;
image the inferior mesenteric artery originates at the LIII vertebra;
image the aorta bifurcates into the right and left common iliac arteries at the level of the LIV vertebra;
image the left and right common iliac veins join to form the inferior vena cava at the LV vertebral level.
image

Fig. 4.165 Major vessels projected onto the body’s surface. Anterior view of the abdominal region of a man.

  Page 388 

Using abdominal quadrants to locate major viscera

The abdomen can be divided into quadrants by a vertical median plane and a horizontal transumbilical plane, which passes through the umbilicus (Fig. 4.166):

image the liver and gallbladder are in the right upper quadrant;
image the stomach and spleen are in the left upper quadrant;
image the cecum and appendix are in the right lower quadrant; and
image the end of the descending colon and sigmoid colon are in the left lower quadrant.
image

Fig. 4.166 Abdominal quadrants and the positions of major viscera. Anterior view of a man.

Most of the liver is under the right dome of the diaphragm and is deep to the lower thoracic wall. The inferior margin of the liver can be palpated descending below the right costal margin when a patient is asked to inhale deeply. On deep inspiration, the edge of the liver can be felt “slipping” under the palpating fingers placed under the costal margin.

A common surface projection of the appendix is McBurney’s point, which is one-third of the way up along a line from the right anterior superior iliac spine to the umbilicus.

  Page 389 

Defining surface regions to which pain from the gut is referred

The abdomen can be divided into nine regions by a midclavicular sagittal plane on each side and by the subcostal and intertubercular planes, which pass through the body transversely (Fig. 4.167). These planes separate the abdomen into:

image three central regions (epigastric, umbilical, pubic); and
image three regions on each side (hypochondrium, flank, groin).
image

Fig. 4.167 The nine regions of the abdomen. Anterior view of a woman.

Pain from the abdominal part of the foregut is referred to the epigastric region, pain from the midgut is referred to the umbilical region, and pain from the hindgut is referred to the pubic region.

  Page 390 

Where to find the kidneys

The kidneys project onto the back on either side of the midline and are related to the lower ribs (Fig. 4.168):

image the left kidney is a little higher than the right and reaches as high as rib XI;
image the superior pole of the right kidney reaches only as high as rib XII.
image

Fig. 4.168 Surface projection of the kidneys and ureters. Posterior view of the abdominal region of a woman.

The lower poles of the kidneys occur around the level of the disc between the LIII and LIV vertebrae. The hila of the kidneys and the beginnings of the ureters are at approximately the LI vertebra.

The ureters descend vertically anterior to the tips of the transverse processes of the lower lumbar vertebrae and enter the pelvis.

Where to find the spleen

The spleen projects onto the left side and back in the area of ribs IX to XI (Fig. 4.169). The spleen follows the contour of rib X and extends from the superior pole of the left kidney to just posterior to the midaxillary line.

image

Fig. 4.169 Surface projection of the spleen. Posterior view of a man.

  Page 391 

Clinical cases

Case 1 TRAUMATIC RUPTURE OF THE DIAPHRAGM

A 45-year-old man had mild epigastric pain and a diagnosis of esophageal reflux was made. He was given appropriate medication, which worked well. However, at the time of the initial consultation, the family practitioner requested a chest radiograph, which demonstrated a prominent hump on the left side of the diaphragm and old rib fractures.

The patient was recalled for further questioning.

He was extremely pleased with the treatment he had been given for his gastroesophageal reflux, but was concerned about being recalled for further history and examination. During the interview, he revealed that he had previously been involved in a motorcycle accident and had undergone a laparotomy for a “rupture.” The patient did not recall what operation was performed, but was assured at the time that the operation was a great success.

The patient is likely to have undergone a splenectomy.

In any patient who has had severe blunt abdominal trauma (such as that caused by a motorcycle accident), lower left-sided rib fractures are an extremely important sign of appreciable trauma.

A review of the patient’s old notes revealed that at the time of the injury the spleen was removed surgically, but it was not appreciated that there was a small rupture of the dome of the left hemidiaphragm. The patient gradually developed a hernia through which bowel could enter, producing the “hump” on the diaphragm seen on the chest radiograph.

Because this injury occurred many years ago and the patient has been asymptomatic, it is unlikely that the patient will come to any harm and was discharged.

Case 2 CHRONIC THROMBOSIS OF THE INFERIOR VENA CAVA

A medical student was asked to inspect the abdomen of two patients. On the first patient he noted irregular veins radiating from the umbilicus. On the second patient he noted irregular veins, coursing in a caudal to cranial direction, over the anterior abdominal wall from the groin to the chest. He was asked to explain his findings and determine the significance of these features.

In the first patient the veins were draining radially away from the periumbilical region. In normal individuals, enlarged veins do not radiate from the umbilicus. In patients with portal hypertension the portal venous pressure is increased as a result of hepatic disease. Small collateral veins develop at and around the obliterated umbilical vein. These veins pass through the umbilicus and drain onto the anterior abdominal wall, forming a portosystemic anastomosis. The eventual diagnosis for this patient was cirrhosis of the liver.

The veins draining in a caudocranial direction on the anterior abdominal wall in the second patient is not a typical appearance of veins on the anterior abdominal wall. When veins are so prominent, it usually implies that there is an obstruction to the normal route of venous drainage and an alternative route has been taken. Typically, blood from the lower limbs and the retroperitoneal organs drains into the inferior cava and from here to the right atrium of the heart. This patient had a chronic thrombosis of the inferior vena cava, preventing blood returning to the heart by the “usual” route.

  Page 392 

Blood from the lower limbs and the pelvis may drain via a series of collateral vessels, some of which include the superficial inferior epigastric veins, which run in the superficial fascia. These anastomose with the superior, superficial, and deep epigastric venous systems to drain into the internal thoracic veins, which in turn drain into the brachiocephalic veins and the superior vena cava.

After the initial inferior vena cava thrombosis, the veins of the anterior abdominal wall and other collateral pathways hypertrophy to accommodate the increase in blood flow.

Case 3 LIVER BIOPSY IN PATIENTS WITH SUSPECTED LIVER CIRRHOSIS

A 55-year-old man developed severe jaundice and a massively distended abdomen. A diagnosis of cirrhosis of the liver was made, and further confirmatory tests demonstrated that the patient had significant ascites (free fluid within the peritoneal cavity). A liver biopsy was necessary to confirm the cirrhosis, but there was some debate about how this biopsy should be obtained (Fig. 4.170).

image

Fig. 4.170 Transjugular liver biopsy needle in the right hepatic vein. Radiograph.

In patients with cirrhosis it is important to determine the extent of the cirrhosis and the etiology.

History, examination, and blood tests are useful and are supported by complex radiological investigations. To begin treatment and determine the prognosis, a sample of liver tissue must be obtained. However, there are important issues to consider when taking a liver biopsy from a patient with suspected cirrhosis.

One issue is liver function.

The liver function of patients with suspected liver disease is poor, as demonstrated by the patient’s jaundice, an inability to conjugate bilirubin. Importantly, because some liver products are blood clotting factors involved in the clotting cascade, the blood clotting ability of patients with severe liver disease is significantly impaired. These patients therefore have a high risk of bleeding.

Another issue is the presence of ascites.

Normally the liver rests against the lateral and anterior abdominal walls. This direct contact can be useful for care after a liver biopsy has been obtained. After the procedure, the patient lies over the region where the biopsy has been obtained and the weight of the liver stems any localized bleeding. When patients have significant ascites, the liver cannot be compressed against the walls of the abdomen and blood may pour freely into the ascitic fluid.

The patient has ascites, so another approach for a liver biopsy must be considered.

The patient was referred to the radiology department for a transjugular liver biopsy.

  Page 393 

The skin around the jugular vein in the neck was anesthetized. Access was obtained through insertion of a needle and a guide-wire. The guide-wire was advanced through the right internal jugular vein and into the right brachiocephalic vein. It entered the superior vena cava, was passed along the posterior wall of the atrium, and entered the superior aspect of the inferior vena cava. A catheter was inserted over the wire and directed into the right hepatic vein. Using a series of dilators, the hole was enlarged and a biopsy needle was placed over the wire and into the right hepatic vein. The liver was biopsied through the right hepatic vein and the biopsy sample was removed. A simple suture was used to close the internal jugular vein in the neck and minor compression stemmed any blood flow.

Assuming that the biopsy needle does not penetrate the liver capsule, it is not important how much the patient bleeds from the liver because this bleeding will enter the hepatic vein and is immediately returned to the circulation.

Case 4 HODGKIN’S LYMPHOMA

A 30-year-old man had a diffuse and poorly defined epigastric mass. Further examination revealed asymmetric scrotal enlargement.

As part of her differential diagnosis, the resident considered the possibility that the man had testicular cancer with regional abdominal para-aortic nodal involvement (the lateral aortic, or lumbar, nodes).

A primary testicular neoplasm is the most common tumor in men between the ages of 25 and 34 and accounts for between 1% and 2% of all malignancies in men. A family history of testicular cancer and maldescent of the testis are strong predisposing factors.

Spread of the tumor is typically to the lymph node chains that drain the testes.

The testes develop from structures adjacent to the renal vessels in the upper abdomen, between the transversalis fascia and the peritoneum. They normally migrate through the inguinal canals into the scrotum just before birth. The testes take with them their arterial supply, their venous drainage, their nerve supply, and their lymphatics.

A computed tomography scan revealed a para-aortic lymph node mass in the upper abdomen and enlarged lymph nodes throughout the internal and common iliac lymph node chains.

Assuming the scrotal mass was a carcinoma of the testes, which would normally drain into the lateral aortic (lumbar) nodes in the upper abdomen, it would be very unusual for iliac lymphadenopathy to be present.

Further examination of the scrotal mass was required.

A transillumination test of the scrotum on the affected side was positive. An ultrasound scan revealed normal right and left testes and a large fluid collection around the right testis. A diagnosis of a right-sided hydrocele was made.

Scrotal masses are common in young males and determining the exact anatomical site of the scrotal mass is of utmost clinical importance. Any mass that arises from the testis should be investigated to exclude testicular cancer. Masses that arise from the epididymis and scrotal lesions, such as fluid (hydrocele) or hernias, are also clinically important but are not malignant.

The ultrasound scan revealed fluid surrounding the testis, which is diagnostic of a hydrocele. Simple cysts arising from and around the epididymis (epididymal cysts) can be easily defined.

A diagnosis of lymphoma was suspected.

Lymphoma is a malignant disease of lymph nodes. Most lymphomas are divided into two specific types, namely Hodgkin’s lymphoma and non-Hodgkin’s lymphoma. If caught early the prognosis from radical chemotherapy is excellent.

  Page 394 

The patient underwent a biopsy, which was performed from the posterior approach. He was placed in the prone position in the computed tomography (CT) scanner. A fine needle with a special cutting device was used to obtain a lymph node sample. A left-sided approach was used because the inferior vena cava is on the right side and the nodes were in the para-aortic regions (i.e., the biopsy needle would have to pass between the inferior vena cava and the aorta from a posterior approach, which is difficult). The skin was anesthetized using local anesthetic at the lateral border of the quadratus lumborum muscle. The needle was angled at approximately 45° within the quadratus lumborum muscle and entered the retroperitoneum to lie beside the left-sided para-aortic lymph nodes. Because this procedure is performed using CT guidance the operator can advance the needle slowly taking care not to “hit’ ” other retroperitoneal structures.

A good biopsy was obtained and the diagnosis was Hodgkin’s lymphoma. The patient underwent chemotherapy and 2 years later is in full remission and leads an active life.

Case 5 INGUINAL HERNIA

A 35-year-old man had a soft mass approximately 3 cm in diameter in the right scrotum. The diagnosis was a right indirect inguinal hernia.

What were the examination findings?

The mass was not tender and the physician was not able to “get above it.” The testes were felt separate from the mass, and a transillumination test (in which a bright light is placed behind the scrotum and the scrotal sac is viewed from the front) was negative. (A positive test occurs when the light penetrates through the scrotum.)

When the patient stood up, a positive cough “impulse” was felt within the mass.

After careful and delicate maneuvering, the mass could be massaged into the inguinal canal, so emptying from the scrotum. When the massaging hand was removed, the mass recurred in the scrotum.

An indirect inguinal hernia enters the inguinal canal through the deep inguinal ring. It passes through the inguinal canal to exit through the superficial inguinal ring in the aponeurosis of the external oblique muscle. The hernia sac lies superior and medial to the pubic tubercle and enters into the scrotum within the spermatic cord.

A direct inguinal hernia passes directly through the posterior wall of the inguinal canal. It does not pass down the inguinal canal. If large enough, it may pass through the superficial inguinal ring and into the scrotum.

  Page 395 

Case 6 URETERIC STONE

A 25-year-old man developed severe pain in the left lower quadrant of his abdomen. The pain was diffuse and relatively constant, but did ease for short periods of time. On direct questioning the patient indicated that the pain was in the inguinal region and radiated into his left infrascapular region (loin). A urine dipstick was positive for blood (hematuria).

A diagnosis of a ureteric stone (calculus) was made.

The patient’s initial infrascapular pain, which later radiated to the left groin, relates to passage of the ureteric stone along the ureter.

The origin of the pain relates to ureteral distention.

A series of peristaltic waves along the ureter transport urine along the length of the ureter from the kidney to the bladder. As the ureteric stone obstructs the kidney, the ureter becomes distended, resulting in an exacerbation of the pain. The peristaltic waves are superimposed upon the distention, resulting in periods of exacerbation and periods of relief.

The pain is referred.

The visceral afferent (sensory) nerve fibers from the ureter pass into the spinal cord, entering the first and second lumbar segments of the spinal cord. Pain is thus referred to cutaneous regions innervated by somatic sensory nerves from the same spinal cord levels (i.e., the inguinal region and groin).

The patient was investigated by a CT scan.

Traditionally patients are investigated with a plain radiograph to look for the radiopaque stone (90% of renal stones are radiopaque).

An ultrasound scan may be useful to assess for pelvicaliceal dilatation and may reveal stones at the pelviureteral junction or the vesicoureteric junction. Ultrasound is also valuable for assessing other causes of obstruction (e.g., tumors at and around the ureteric orifices in the bladder).

Usually an intravenous urogram would be carried out to enable assessment of the upper urinary tracts and precise location of the stone.

Not infrequently, CT scans of the abdomen are also obtained. These scans not only give information about the kidneys, ureters, and bladder but also show the position of the stone and other associated pathology.

If this patient’s infrascapular pain was on the right and predominantly within the right lower abdomen, appendicitis would also have to be excluded. A CT scan would enable differentiation of appendicitis and urinary colic.

Case 7 INTRA-ABDOMINAL ABSCESS

A 27-year-old woman was admitted to the surgical ward with appendicitis. She underwent an appendectomy. It was noted at operation that the appendix had perforated and there was pus within the abdominal cavity. The appendix was removed and the stump tied. The abdomen was washed out with warm saline solution. The patient initially made an uneventful recovery, but by day 7 she had become unwell with pain over her right shoulder and spiking temperatures.

This patient had developed an intra-abdominal abscess.

Any operation on the bowel may involve peritoneal contamination with fecal contents and fecal flora. This may not be appreciated at the time of the operation.

Over the postoperative period an inflammatory reaction ensued and an abscess cavity developed, filling with pus. Typically, the observation chart revealed a “swinging” pyrexia (fever).

  Page 396 

The most common sites for abscess to develop are the pelvis and the hepatorenal recess.

When a patient is in the supine position, the lowest points in the abdominal and pelvic cavities are the posterior superior aspect of the peritoneal cavity (the hepatorenal recess) and, in women, the recto-uterine pouch (pouch of Douglas).

The shoulder tip pain suggested that the abscess was in the hepatorenal recess.

The motor and sensory innervation of the diaphragm is from nerves C3 to C5. The somatic pain sensation from the parietal peritoneum covering the undersurface of the diaphragm is carried into the spinal cord by the phrenic nerve (C3 to C5) and is interpreted by the brain as coming from skin over the shoulder—a region supplied by other somatic sensory nerves entering the same levels of the spinal cord as those from the diaphragm.

This patient therefore experienced a type of referred pain.

A chest radiograph demonstrated elevation of the right hemidiaphragm.

This elevation of the right hemidiaphragm was due to the pus tracking from the hepatorenal space around the lateral and anterior aspect of the liver to sit on top of the liver in a subphrenic position. An ultrasound scan demonstrated this collection of fluid. The abscess cavity could be clearly seen by placing the ultrasound probe between ribs XI and XII. The inferior border of the right lower lobe lies at rib X in the midaxillary line. When the probe is placed between ribs XI and XII the ultrasound waves pass between the intercostal muscles and the parietal pleura laterally on the chest wall, and continue through the parietal pleura overlying the diaphragm into the cavity of the abscess, which lies below the diaphragm.

Drainage was not by an intercostal route. Instead, using CT guidance, and local anesthesia, a subcostal drain was established and 1 liter of pus was removed (Fig. 4.171). It is important to bear in mind that placing a drain through the pleural cavity into the abdominal cavity effectively allows intra-abdominal pus to pass into the thoracic cavity, and that this may produce an empyema (pus in the pleural space).

image

Fig. 4.171 Subphrenic collection of pus and gas. Computed tomogram in the axial plane.

The patient made a slow and uneventful recovery.

Case 8 COMPLICATIONS OF AN ABDOMINOPERINEAL RESECTION

A 45-year-old man developed a low-grade rectal carcinoma just above the anorectal margin. He underwent an abdominoperineal resection of the tumor and was left with a left lower abdominal colostomy (see below). Unfortunately, the man’s wife left him for a number of reasons, including lack of sexual desire. He “turned to drink” and over the ensuing years developed cirrhosis. He was brought into the emergency room with severe bleeding from enlarged veins around his colostomy. An emergency transjugular intrahepatic portosystemic shunt was created, which stopped all bleeding (Figs 4.172 and 4.173). He is now doing well in a rehabilitation program.

image

Fig. 4.172 Position of a transjugular intrahepatic portosystemic shunt stent. Radiograph.

image

Fig. 4.173 Functioning transjugular intrahepatic portosystemic shunt. Venogram.

  Page 397 

A colostomy was necessary because of the low site of the tumor.

Carcinoma of the colon and rectum usually develops in older patients, but some people do get tumors early in life. Most tumors develop from benign polyps, which undergo malignant change. As the malignancy develops it invades through the wall of the bowel and then metastasizes to local lymphatics. The tumor extends within the wall for a few centimeters above and below its origin. Lymphatic spread is to local and regional lymph nodes and then to the pre-aortic lymph node chain. These drain eventually into the thoracic duct.

When this man was assessed for surgery, the tumor was so close to the anal margin that resection of the sphincters was necessary to be certain that the tumor margins were clear. The bowel cannot be joined to the anus without sphincters because the patient would be fecally incontinent. At surgery the tumor was excised, including the locoregional lymph node chains and the peritumoral fat around the rectum.

The free end of the sigmoid colon was brought through a hole in the anterior abdominal wall. The bowel was then carefully sutured to the anterior abdominal wall to allow placement of a bag to collect the feces. This is a colostomy.

Contrary to their usual immediate negative reaction to having a bag on the anterior abdominal wall, most patients cope extremely well, especially if they have been cured of cancer.

This patient’s pelvic nerves were damaged. The radical pelvic surgical dissection damaged the pelvic parasympathetic nerve supply necessary for erection of the penis. Unfortunately, this was not well explained to the patient, which in some part led to the failure of his relationship. With any radical surgery in the pelvis, the nerves that supply the penis or clitoris may be damaged, so interfering with sexual function.

This patient was bleeding from stomal varices.

As he developed a serious drinking problem, his liver became cirrhotic and this damaged the normal liver architecture. This in turn increased the blood pressure in the portal vein (portal hypertension).

  Page 398 

In patients with portal hypertension small anastomoses develop between the veins of the portal system and the veins of the systemic circulation. These portosystemic anastomoses are usually of little consequence; however, at the gastroesophageal junction, they lie in a submucosal and mucosal position and are subject to trauma. Torrential hemorrhage may occur from even minor trauma, and death may ensue following blood loss. These varices require urgent treatment, which includes injecting sclerosant substances, banding, and even surgical ligation.

Fortunately, most of the other portosystemic anastomoses are of relatively little consequence. In patients with colostomies, small veins may develop between the veins of the large bowel (portal system drainage) and cutaneous veins on the anterior abdominal wall (systemic veins). If these veins become enlarged because of portal hypertension, they are subject to trauma as feces are passed through the colostomy. Torrential hemorrhage may ensue if they are damaged.

A procedure was carried out to lower the portal pressure.

To reduce the pressure in the portal vein in this patient, several surgical procedures were considered. These included sewing the side of the portal vein onto the inferior vena cava (portacaval shunt) and sewing the splenic vein onto the renal vein (a splenorenal shunt). These procedures, however, require a large abdominal incision and are extremely complex. As an alternative, it was decided to create a transjugular intrahepatic portosystemic shunt.

Creating a transjugular intrahepatic portosystemic shunt is a relatively new technique that may be carried out under local anesthesia. Using a right internal jugular approach, a long needle is placed through the internal jugular vein, the superior vena cava, and the right atrium, into the inferior vena cava. The right hepatic vein is cannulated and, with special steering wires, a needle is passed through the hepatic substance directly into the right branch of the portal vein. A small balloon is passed over the wire, through the hepatic substance, and inflated. After the balloon has been removed a metallic stent (a flexible wire tube) is placed across this tract in the liver to keep it open. Blood now freely flows from the portal vein into the right hepatic vein creating a portosystemic shunt.

As a result of this procedure the pressure in this patient’s portal system is lower and similar to that of the systemic venous system, so reducing the potential for bleeding at the portosystemic anastomoses (i.e., the colostomy).

Case 9 CARCINOMA OF THE HEAD OF THE PANCREAS

A 52-year-old woman visited her family physician with complaints of increasing lethargy and vomiting. The physician examined her and noted that compared to previous visits she had lost significant weight. She was also jaundiced, and on examination of the abdomen a well-defined 10 cm rounded mass was palpable below the liver edge in the right upper quadrant (Fig. 4.174).

image

Fig. 4.174 Tumor in the head of the pancreas. Computed tomogram in the axial plane.

The clinical diagnosis was carcinoma of the head of the pancreas.

It is difficult to appreciate how such a precise diagnosis can be made clinically when only three clinical signs have been described.

The patient’s obstruction was in the distal bile duct.

When a patient has jaundice, the causes are excessive breakdown of red blood cells (pre-hepatic), hepatic failure (hepatic jaundice), and posthepatic causes, which include obstruction along the length of the biliary tree.

The patient had a mass in her right upper quadrant that was palpable below the liver; this was the gallbladder.

In healthy individuals, the gallbladder is not palpable. An expanded gallbladder indicates obstruction either within the cystic duct or below the level of the cystic duct insertion (i.e., the bile duct).

The patient’s vomiting was related to the position of the tumor.

  Page 399 

It is not uncommon for vomiting and weight loss (cachexia) to occur in patients with a malignant disease. The head of the pancreas lies within the curve of the duodenum, primarily adjacent to the descending part of the duodenum. Any tumor mass in the region of the head of the pancreas is likely to expand, and may encase and invade the duodenum. Unfortunately, in this patient’s case, this happened, producing almost complete obstruction. Further discussion with the patient revealed that she was vomiting relatively undigested food soon after each meal.

A CT scan demonstrated further complications.

In the region of the head and neck of the pancreas are complex anatomical structures, which may be involved with a malignant process. The CT scan confirmed a mass in the region of the head of the pancreas, which invaded the descending part of the duodenum. The mass extended into the neck of the pancreas and had blocked the distal part of the bile duct and the pancreatic duct. Posteriorly the mass had directly invaded the portal venous confluence of the splenic and superior mesenteric veins, producing a series of gastric, splenic, and small bowel varices.

This patient underwent palliative chemotherapy, but died 7 months later.

Case 10 CAVAL OBSTRUCTION

A 62-year old man came to the emergency department with swelling of both legs and a large left varicocele (enlarged and engorged varicose veins around the left testis and within the left pampiniform plexus of veins).

The patient was known to have a left renal cell carcinoma and was due to have this operated on the following week.

Anatomically it is possible to link all of the findings with the renal cell carcinoma knowing the biology of the tumor.

Renal cell carcinoma tends to grow steadily and predictably. Typically, when the tumor is less than 3–4 cm, it remains confined to the kidney. Large tumors have the propensity to grow into the renal vein, the inferior vena cava, the right atrium, and through the heart into the pulmonary artery.

The tumor grew into the renal vein.

As the tumor grew into the renal vein it blocked off all tributaries draining into the vein, the largest of which is the left testicular vein. This blockage of the left testicular vein caused a dilation of the veins around the left testis (a varicocele occurred).

The swollen legs were accounted for by caval obstruction.

The tumor grew along the renal vein and into the inferior vena cava toward the heart. Renal tumors can grow rapidly; in this case the tumor grew rapidly into the inferior vena cava, occluding it. This increased the pressure in the leg veins, resulting in swelling and pitting edema of the ankles.

The patient unfortunately died on the operating table.

In this patient’s case, a “tongue” of tumor grew into the inferior vena cava. At the time of surgery, the initial dissection mobilized the kidney on its vascular pedicle; however, a large portion of tumor became detached in the inferior vena cava. The tumor embolus passed through the right atrium and right ventricle and occluded the pulmonary artery. This could not be cleared at the time of surgery and the patient succumbed.

  Page 400 

Case 11 DIVERTICULAR DISEASE

A 65-year-old businessman came to the emergency department with severe lower abdominal pain that was predominantly central and left-sided. He had pain radiating into the left loin, and he also noticed he was passing gas and fecal debris as he urinated.

A CT scan of his abdomen and pelvis was performed (Fig. 4.175).

image

Fig. 4.175 A computed tomogram, in the axial plane, of the pelvis demonstrates a loop of sigmoid colon with numerous diverticula and a large abscess in the pelvic cavity.

The CT scan demonstrated a collection of fluid (likely a pelvic abscess) in the left iliac fossa. Associated with this collection of fluid was significant bowel wall thickening of the sigmoid colon and multiple small diverticula arising throughout the sigmoid colon. Gas was present in the bladder. An obstruction was noted in the left ureter and the left pelvicalyceal system.

The patient underwent an urgent operation.

As the surgeons entered into the abdominal cavity through a midline incision, the tissues in the left iliac fossa were significantly inflamed. The surgeon used his hand to mobilize the sigmoid colon and entered a cavity from which there was a “whoosh” of pus as indicated on the CT scan. The pus was washed out and drained. The sigmoid colon was remarkably thickened and inflamed and stuck to the dome of the bladder. Careful finger dissection revealed a small perforation in the dome of the bladder, allowing the passage of fecal material and gas into the bladder and producing the patient’s symptoms of pneumaturia and fecaluria. The sigmoid colon was resected. The rectal stump was oversewn and the descending colon was passed through the anterior abdominal wall to form a colostomy. The bladder was catheterized and the small hole in the dome of the bladder was oversewn.

The patient had a difficult postoperative period in the intensive care unit where he remained pyrexial and septic. The colostomy began to function well.

An ultrasound was performed and demonstrated the continued dilatation in the left kidney, and the patient underwent a nephrostomy.

Under ultrasound guidance a drainage catheter was placed into the renal pelvis through the renal cortex on the left. A significant amount of pus was drained from the renal tract initially; however, after 24 hours urine passed freely.

The likely cause for the obstruction was the inflammation around the distal ureter on the left. It is also possible that a small ureteric perforation also occurred, allowing bacteria to enter the urinary tract.

The patient made a further uneventful recovery with resumption of normal renal function and left the hospital.

On return to the surgeon in the outpatient clinic some weeks later, the patient did not wish to continue with his colostomy and bag. Further to discussion, surgery was planned to “rejoin” the patient.

At operation the colostomy was “taken down” and the rectal stump was identified. There was, however, a significant gap between the bowel ends. To enable the bowel to be sutured, the descending colon was mobilized from the posterior abdominal wall. An anastomosis was performed and the patient left the hospital one week later and currently remains well.

  Page 401 

Case 12 ENDOLEAK AFTER ENDOVASCULAR REPAIR OF ABDOMINAL AORTIC ANEURYSM

A 72-year old man was brought to the emergency department with an abdominal aortic aneurysm (an expansion of the infrarenal abdominal aorta). The aneurysm measured 10 cm, and after discussion with the patient it was scheduled for repair.

The surgical and endovascular treatment options were explained to the patient.

Treatment of abdominal aortic aneurysms has been, for many years, an operative procedure where the dilatation (ballooning) of the aorta is resected and a graft is sewn into position. A modern option is to place a graft to line the aneurysm from within the artery (endovascular aneurysm repair). In this technique the surgeon dissects the femoral artery and makes a small hole in it. The graft is compressed within a catheter and the catheter is passed through the femoral artery and the iliac arterial system into the distal abdominal aorta. The graft can then be released inside the aorta, effectively relining it to prevent further expansion of the aneurysm.

Occasionally the relined aneurysm may continue to enlarge after the endovascular graft has been placed and a cause needs to be identified.

A Doppler ultrasound investigation of the abdomen and a CT scan revealed there was flow between the endovascular lining and the wall of the aneurysm.

The likely sources for this bleeding were assessed.

The graft usually begins below the level of the renal arteries and divides into two limbs that end in the common iliac arteries. The aneurysm may continue to be fed from any vessels between the graft and the aneurysm wall. These vessels can include the lumbar arteries and the inferior mesenteric artery. Interestingly, blood usually flows from the abdominal aorta into the inferior mesenteric artery and the lumbar arteries; however, with the changes in flow dynamics with the graft in place, blood may flow in the opposite direction through these branches, thereby leading to enlargement of the aneurysm.

Blood flow was from the superior mesenteric artery into the aneurysm sac.

Above the level of the graft the superior mesenteric artery arises normally. From the right colic and middle colic branches a marginal branch around the colon anastomoses, in the region of the splenic flexure, with marginal branches from the inferior mesenteric artery (this can become a hypertrophied vessel known as the marginal artery of Drummond). In this situation, blood passed retrogradely into the inferior mesenteric artery, filling the aneurysm and allowing it to remain pressurized and expand.

The inferior mesenteric artery was ligated laparoscopically and the aneurysm failed to expand further. Over the ensuing six months the aneurysm contracted. The patient remains fit and healthy with two small scars in the groin.

Case 13 GASTROINTESTINAL BLEED

A 55-year-old woman came to her family physician feeling unwell and generally lethargic. The physician performed some routine blood tests and a chest X-ray. The chest X-ray was unremarkable; however, the routine blood tests revealed that the patient was anemic.

There are a number of causes for anemia that need to be excluded.

Anemia occurs when there is inadequate production of red blood cells, excessive breakdown of red blood cells within the body, or chronic blood loss.

On examination the patient had pale mucous membranes. This was determined by reflecting the lower tarsal plate of the eyelids and noting pallor in this region.

When the patient does not produce enough red blood cells, other hematological cell lines are often suppressed. This can be secondary to diffuse underproduction by the marrow or marrow infiltration by tumors. Marrow suppression may also occur during chemotherapy.

  Page 402 

With excessive red blood cell breakdown (hemolysis) the patient may have enlargement of the liver and spleen. These were not apparent on examination of the patient.

A diagnosis of chronic blood loss was made clinically.

Blood loss may occur through vomiting blood, passing blood per urethra, or losing blood per rectum, which is the commonest cause. Chronic low-grade blood loss from these orifices may not always be as obvious as “bright red blood” loss from external orifices.

The patient underwent endoscopy to assess the esophagus, stomach, and duodenum. These were all found to be normal. The patient underwent an assessment of the large bowel.

There are many ways of assessing the large bowel, which include a barium enema (passage of barium solution per rectum) and obtaining radiographs demonstrating the wall of the rectum and any intramural masses. Other ways of assessing include colonoscopy (direct visualization of the whole bowel) and CT pneumocolon (a CT scan in which the colon is insufflated with air, enabling visualization of wall.)

Before the patient’s appointment for a colonoscopy, she developed torrential bleeding per rectum and was rushed to the emergency department. An intravenous cannula was placed and the patient was rehydrated, given blood, and rushed to the angiography room.

An angiogram was performed to demonstrate the site of the bleeding (Fig. 4.176).

image image

Fig. 4.176 Colon cancer bleeding. A. Angiogram showing the placement of a catheter in the inferior mesenteric artery. A small area of bleeding has been identified in a superior branch of the left colic artery. B. Through the process of embolization, platinum coils were introduced and the bleeding was stopped.

  Page 403 

The patient’s right inguinal region and femoral artery were anesthetized with local anesthetic. A small catheter was introduced and used to selectively cannulate the celiac trunk, superior mesenteric artery, and inferior mesenteric artery.

Catheterization of the inferior mesenteric artery revealed a small area of bleeding arising from the superior branch of the left colic artery. Using a co-axial technique, a catheter was placed inside the main catheter and a series of small platinum coils were used to block the bleeding artery.

The patient made an uneventful recovery and no further bleeding occurred. The cause of the bleeding still required investigation.

The patient underwent a colonoscopy some days later, which demonstrated a tumor within the proximal portion of the descending colon. A biopsy was obtained and confirmed the malignant nature of the lesion; the patient underwent resection two days later.

Case 14 METASTATIC LESIONS IN THE LIVER

A 44-year-old woman had been recently diagnosed with melanoma on the toe and underwent a series of investigations.

Melanoma (properly called malignant melanoma) can be an aggressive form of skin cancer that spreads to lymph nodes and multiple other organs throughout the body. The malignant potential is dependent upon its cellular configuration and also the depth of its penetration through the skin.

The patient developed malignant melanoma in the foot, which spread to the lymph nodes of the groin. The inguinal lymph nodes were resected; however, it was noted on follow-up imaging that the patient had developed two metastatic lesions within the right lobe of the liver.

Surgeons and physicians considered the possibility of removing these lesions.

A CT scan was performed that demonstrated the lesions within segments V and VI of the liver (Fig. 4.177).

image

Fig. 4.177 This postcontrast computed tomogram, in the axial plane, demonstrates two metastases situated within the right lobe of the liver. The left lobe of the liver is clear. The larger of the two metastases is situated to the right of the middle hepatic vein, which lies in the principal plane of the liver dividing the left and right sides of the liver.

The segmental anatomy of the liver is important because it enables the surgical planning for resection.

The surgery was undertaken and involved identifying the portal vein and the confluence of the right and left hepatic ducts. The liver was divided in the imaginary principal plane of the middle hepatic vein. The main hepatic duct and biliary radicals were ligated and the right liver was successfully resected.

The segments remaining included the left lobe of the liver.

The patient underwent a surgical resection of segments V, VI, VII, and VIII. The remaining segments included IVa, IVb, I, II, and III. It is important to remember that the lobes of the liver do not correlate with the hepatic volume. The left lobe of the liver contains only segments II and III. The right lobe of the liver contains segments IV, V, VI, VII, and VIII. Hence, cross-sectional imaging is important when planning surgical segmental resection.