Nuclear Medicine

Understanding the Principles and Recognizing the Basics

How It Works

image A radioactive isotope (radioisotope) is an unstable form of an element that emits radiation from its nucleus as it decays. Eventually, the end product is a stable, nonradioactive isotope of another element.
image Radioisotopes can be produced artificially (most frequently by neutron enrichment in a nuclear reactor or in a cyclotron) or may occur naturally. Naturally occurring radioisotopes include uranium and thorium. The vast majority of radioisotopes are produced artificially.
image Radiopharmaceuticals are combinations of radioisotopes attached (for the purposes of this chapter) to a pharmaceutical with binding properties that allow it to concentrate in certain body tissues, e.g., the lungs, thyroid, or bones. Radioisotopes used in clinical nuclear medicine are also referred to as radionuclides, radiotracers, or sometimes simply tracers.
image Various body organs have a specific affinity for, or absorption of, different biologically active chemicals. For example, the thyroid takes up iodine, the brain utilizes glucose, bones utilize phosphates, and particles of a certain size can be trapped in the lung capillaries.
image After the radiopharmaceutical is carried to a tissue or organ in the body, its radioactive emissions allow it to be measured and imaged using a detection device called a gamma camera.
image Table 1 outlines various radioisotopes and pharmaceuticals used in nuclear imaging.

TABLE 1 RADIOPHARMACEUTICALS USED IN NUCLEAR MEDICINE

Organ Radioactive Isotope Pharmaceutical
Brain Technetium 99m (Tc 99m), Iodine 123 Pertechnetate, glucoheptonate, diethylenetriaminepenta-acetic acid (DTPA)
Cardiac Thallium 201, Tc 99m Pyrophosphate, pertechnetate, sestamibi, teboroxime, labeled red blood cells
Lung Xenon-127, Xenon-133, Krypton-81m, Tc 99m aerosolized Macroaggregated albumin
Bone Tc 99m Phosphates, diphosphonates (e.g., MDP)
Kidney Tc 99m, Iodine 131, Iodine 123 Glucoheptonate, mercaptoacetyltriglycine, Hippuran, DTPA
Thyroid Iodine 131, Iodine 123, Iodine 125, Tc 99m Pertechnetate with Tc 99m
Multiple organs Gallium 67 Citrate
White blood cells (infection) Indium 111, Tc 99m White blood cells

Radioactive Decay

image Unstable isotopes attempt to reach stability by one or more of several processes. They may undergo splitting (fission), or they may emit particles (alpha or beta particles) and/or energy (gamma rays) in the form of radiation.
Fission is a destructive process that occurs primarily in nuclear reactors.
Alpha particles have a relatively high energy, are large and strongly absorbed by adjacent tissue, and can cause substantial damage to nearby molecules. They are not used diagnostically in medicine.
Beta particles are high-energy, high-speed electrons or positrons (positive electrons) that have a penetrating power between alpha particles and gamma rays. Their main disadvantage in diagnosis is the relatively high radiation dose they deliver to the patient.
Gamma decay involves the emission of energy from an unstable nucleus in the form of electromagnetic radiation. Gamma rays are identical to “x-rays” except that gamma rays originate from nuclei whereas x-rays emanate from outside the nucleus.
Radioisotopes undergo gamma decay at discrete energies. These energies are usually expressed in the form of the electron volt (eV). Most radioisotopes produce energies in the range of thousands (keV) to millions (MeV) of electron volts.
image Table 2 describes some of the most commonly used terms in nuclear medicine.

TABLE 2 TERMINOLOGY

Term Description
Physical half-life The time required for the number of radioactive atoms in a sample to decrease by 50%
Biologic half-life The time needed for half of a radiopharmaceutical to disappear from the biologic system into which it has been introduced
Effective half-life Time dependent on both the physical half-life and the biological clearance
Isotopes Species of atoms of a chemical element with the same atomic number (protons in nucleus) but with different numbers of neutrons and thus atomic masses (total number of protons and neutrons); every element has at least one isotope
Stable isotopes Do not undergo radioactive decay
Unstable isotopes Undergo spontaneous disintegration
Atomic number (Z) Defines an element; all atoms with the same atomic number have nearly the same properties
Mass number (A) The number of protons and neutrons in the nucleus; different numbers of neutrons is what produces isotopes

Half-Life

image In order for a radioisotope to be useful for medical diagnosis, it must be capable of emitting gamma rays of sufficient energy to be measurable outside of the body. It also must have a half-life that is long enough for it to still be radioactive after shipping and preparation, but sufficiently short so as to decay soon after it is used for imaging.
image The physical half-life of a radioisotope is the time required for the number of radioactive atoms in a sample to decrease by 50%. Physical half-life is a property inherent to the radioisotope. Most radioisotopes for medical use must have half-lives of hours or days.
image Table 3 outlines the physical half-lives of some of the most commonly used radioisotopes.

TABLE 3 PHYSICAL HALF-LIVES OF COMMONLY USED RADIOISOTOPES

Radioisotope Physical Half-Life
Technetium 99m 6 hours
Iodine 131 8 days
Iodine 123 13.2 hours
Gallium 67 3.3 days
Indium 111 2.8 days
Thallium 201 73 hours
image Biological half-life accounts for the biological clearance of a radiopharmaceutical from an organ or tissue. If a radiopharmaceutical is cleared from the body via the kidneys, but kidney function is impaired, the radiopharmaceutical will have a longer biological half-life than if kidney function was normal.
image The effective half-life is dependent on both the physical half-life and the biological clearance.

Nuclear Medicine Equipment

image By far, the most widely used radioisotope is technetium 99m (abbreviated Tc 99m, the “m” standing for metastable). It has a half-life of 6 hours, meaning that it loses roughly half of its radioactivity in that time. It decays by emitting low-energy gamma rays rather than higher energy beta emission and is easily combined with a wide variety of biologically active substances.
image Radioisotope doses in nuclear scanning are typically in minute amounts—the microcurie or millicurie level.

Detecting and Measuring the Radioactivity of an Isotope

image Geiger counters
Geiger counters are used mostly to detect contaminations (e.g., spills) and are especially good at detecting low levels of radioactivity. Their portability and sensitivity allow them to survey relatively large areas for the presence or absence of radiation.
image Scintillation detectors
Scintillation is the process by which a material called a scintillator (the most common compound being sodium iodide mixed with thallium) luminesces when excited by ionizing radiation. The luminescence is in the form of a miniscule flash of light. A scintillation detector receives the emitted light, intensifies its signal in a device called a photomultiplier, and converts that signal into an electrical pulse for further analysis by computer.
Scintillation detectors have the capacity to convert ionizing radiation into electrical energy in an amount proportional to the energy deposited in the crystal, which is key to their ability to produce diagnostic images.
image Gamma cameras
A gamma camera uses one or more scintillation detectors made of crystals that scintillate in response to gamma rays emitted from the patient. A computer reconstructs an image based on the distribution and concentration of the radioisotope deposited in the target organ.
image Images can be acquired either as static, whole body or dynamic images (change in activity in the same location over a period of time), or SPECT images.
image Single photon emission computed tomography (SPECT) imaging is a nuclear medicine study performed by using a gamma camera to acquire multiple two-dimensional (2D) images from multiple angles, which are then reconstructed by computer into a three-dimensional (3D) dataset that can be manipulated to demonstrate thin slices in any projection. To acquire SPECT scans, the gamma camera rotates around the patient.
image SPECT scans use the same radiopharmaceuticals as 2D (planar) images.
image Any nuclear medicine study can be performed using SPECT. SPECT is especially used in myocardial perfusion imaging, bone imaging, and functional brain imaging.
image Most nuclear medicine scans have about 1 cm of resolution, meaning that they cannot accurately detect lesions smaller than that.

Nuclear Medicine Safety

image Radiopharmaceuticals are prescription drugs that require dispensing by a physician.
image Each dose has to be assayed for its radioactivity before being administered to the patient. Dose calibration is essential in assuring that a safe and effective amount of radiopharmaceutical is given. This is usually done by inserting a syringe containing the radiopharmaceutical into an ionization chamber that converts the ionization of a sample into a measurable dose, depending on the radioisotope used.
image The performance of the dose calibrator itself must be evaluated at set intervals utilizing a series of tests to ensure that the calibrator is accurate and reliable.
image A locked and controlled area is needed for the storage and preparation of radiopharmaceuticals. Techniques need to be in place to assure the material being injected is sterile and free of pyrogens.
image Spills of liquid radiopharmaceuticals sometimes occur accidentally; there are prescribed methods for containing and cleaning the spill as well as disposing of the material used for the cleanup. The area in which the spill has occurred may be monitored by using Geiger counters.
image While there is no absolute contraindication to the use of radiopharmaceuticals during pregnancy, some radioisotopes, e.g., radioactive iodine, can cross the placenta and be concentrated in the fetal thyroid. Similarly, women who are breastfeeding may have to suspend breastfeeding for a period of time following administration of some radiopharmaceuticals because the pharmaceutical may pass through breast milk to the child. Renal excretion of some radioisotopes means they collect and concentrate in the urinary bladder of the mother and can pose a potential risk by their proximity to the developing fetus.
image Adverse reactions to the radiopharmaceutical itself are extremely rare and are related to the pharmaceutical, such as those composed of human serum albumin, rather than the radioisotope.
image Some types of radiotherapy utilizing radiopharmaceuticals administered at much higher doses than for diagnostic studies may require the patient to be hospitalized in order to assure radiation safety. Patients may be assigned to private rooms without outside visitors for 24 hours. The Nuclear Regulatory Commission no longer requires hospitalization for Iodine 131 treatment of the thyroid.
image Patients treated with radioiodine (again in doses much larger than for diagnostic purposes) may be warned to carry certification of their treatment because they may trigger radiation security alarms at airports and elsewhere for up to four months after treatment.
image Patients undergoing treatment with radiopharmaceuticals must follow instructions so that a dose to other individuals can be maintained as low as is reasonably possible.

Commonly Used Nuclear Medicine Studies

image Commonly used nuclear medicine studies include:
Bone scans
Pulmonary ventilation/perfusion scans
Cardiac scans
Thyroid scintigraphy
HIDA scans
Gastrointestinal bleeding (blood loss) scans

Bone Scans

image Bone scans are the screening method of choice for the detection of osseous metastatic disease and for diagnosing fractures before they become visible by conventional radiography.
image Bone scans offer the advantages of being widely available and inexpensive, and they can image the entire skeleton at the same time. While MRI scans may be more sensitive in detecting osseous metastases, they are less widely available and usually much more expensive. The disadvantages of bone scanning are poor spatial and contrast resolution.
image Technetium 99m (Tc 99m) methylene diphosphonate (MDP) is the radiopharmaceutical most frequently used for bone scanning. It combines a radioisotope, technetium 99m, with a pharmaceutical (MDP) that directs the isotope to bone. Diphosphonates are rapidly removed from the circulation and produce little background noise from uptake in soft tissues.
image After the intravenous injection of the radiopharmaceutical, most of the dose is quickly extracted by the bone. The remaining radiopharmaceutical is excreted by the kidneys and subsequently collects in the urinary bladder. Less than 5% of the injected dose remains in the blood 3 hours after injection.
image In most instances, the entire body is imaged about 2 to 4 hours after injection, either by producing one image of the whole body, multiple spot images of particular body parts, or both. Anterior and posterior views are frequently obtained because each view brings different structures closer to the gamma camera for optimum imaging, e.g., the sternum on the anterior view and the spine on the posterior view.
image Unlike the convention used for viewing other studies in radiology, the patient’s right side is not always on your left in nuclear scans. This can be confusing, so make sure you look for the labels on the scan (Fig. 1).

image

Figure 1 Normal bone scan.

Anterior and posterior views are frequently obtained, since each view brings different structures closer to the gamma camera for optimum imaging, e.g., the sternum on the anterior view (solid white arrow) and the spine on the posterior view (dotted white arrow). Notice that the kidneys are normally visible on the posterior view (white oval). Unlike the convention used in viewing other studies in radiology, the patient’s right side is not always on your left. On posterior views, the patient’s right side is on your right. This can be confusing, so make sure you look for the labels on the scan. In many cases a white marker dot will be located on the patient’s right side (white circles).

image Metastases to bone
Tc 99m MDP deposits in the greatest concentration in those areas of greatest bone turnover. Radionuclide bone scanning is sensitive (60% to 90%) for metastases, but not specific. Many benign lesions also produce increased bone turnover and radiotracer uptake including fractures, arthritis, and osteomyelitis.
Tc 99m MDP is normally cleared through the kidneys and collects in the urinary bladder. Therefore, the kidneys will normally show increased uptake, especially on the posterior views where the kidneys are closer to the detector.
Conventional radiographs of the affected areas are then obtained to further characterize the lesions seen on the bone scan. If the radiographs show either a benign cause for the increased uptake (e.g., a healing fracture) or a clearly malignant bone lesion, no further studies are needed.
If the conventional radiographs are normal or inconclusive, then another imaging examination such as an MRI scan of the area or possibly a biopsy of the lesion may be needed.
Metastatic bone disease usually presents with a pattern of multiple, asymmetric focal areas of increased uptake (“hot spots”) on bone scans. Even lytic metastases (e.g., those caused by bronchogenic carcinoma) usually produce enough osteoblastic response to be positive on a bone scan (Fig. 2).

image

Figure 2 Metastases to bone.

Metastatic bone disease usually presents with a pattern of multiple, asymmetric focal areas of increased uptake (hot spots) on bone scans (white arrows). Even lytic metastases, e.g., those caused by bronchogenic carcinoma, usually produce enough osteoblastic response to be positive on a bone scan. This patient had metastatic breast carcinoma and had diffuse skeletal metastases including the ribs, pelvis, and spine.

The important exception is multiple myeloma. Bone scans will frequently be negative because of the almost purely lytic nature of multiple myeloma unless there is an associated pathologic fracture. Conventional radiographs of the axial and proximal appendicular skeleton (a bone or metastatic survey) may be more useful in this disease than a bone scan (Fig. 3).

image

Figure 3 Multiple myeloma on conventional radiography.

Bone scans will frequently be negative in multiple myeloma because of the almost purely lytic nature of the lesions (solid black arrow) unless there is an associated pathologic fracture. Conventional radiographs of the axial and proximal appendicular skeleton (most often called a bone or metastatic survey) may be more diagnostic in this disease than a bone scan.

Two other abnormal patterns of uptake that can be seen with a bone scan include photopenic lesions and superscans.
Photopenic lesions (photon-deficient lesions, cold spots) are areas of abnormally diminished or absent radiotracer uptake on the bone scan. These might be caused by an interruption of the blood supply so that no radiopharmaceutical can reach the area (e.g., avascular necrosis) or when a process is so destructive, no bone-forming elements remain (e.g., renal or thyroid metastases) (Fig. 4).

image

Figure 4 Photopenic abnormality.

Photopenic lesions (photon-deficient lesions, cold spots) are areas of abnormally diminished or absent radiotracer uptake on the bone scan. They can be produced by lesions such as avascular necrosis or when a process is so destructive, no bone-forming elements remain (e.g., renal or thyroid metastases). They can also be produced by a prosthesis, which can obviously not extract the radiotracer as normal bone does. In this case, a photopenic area is seen in the right knee (white circle) compared to left knee (white arrow) (A), produced by a metallic knee replacement seen better on the conventional radiograph (dashed circle in B).

Superscans are produced when there is diffuse and relatively uniform uptake of radioisotope throughout the skeleton. This most often occurs when there is extensive involvement with metastatic disease but can also be seen in bones with diffusely high turnover rates such as in hyperparathyroidism.
At first glance, a superscan may mimic the appearance of a normal bone scan. The clue to this abnormality is decreased or absent uptake in the kidneys, because so much of the radiopharmaceutical is extracted by the bone, very little reaches the kidneys in a superscan. Prostate carcinoma may lead to the appearance of a superscan (Fig. 5).

image

Figure 5 Superscan.

Superscans are produced when there is diffuse and relatively uniform uptake of radioisotope because of a high rate of bone turnover, especially in bones extensively involved by metastatic disease. At first glance, a skeleton completely infiltrated by tumor, such as in this scan, may mimic a normal bone scan. The clue to the abnormality is decreased or absent uptake in the kidneys (white oval) because so much of the radiopharmaceutical is extracted by the bone, very little reaches the kidneys in a superscan. This patient had metastatic prostate carcinoma, which is a common cause of a superscan. The radiotracer was injected into a right antecubital vein (solid white arrow) and tracer outlines urine excreted into the patient’s Foley catheter (dotted white arrow).

Bone scans may be positive within 24 hours after a fracture. Depending on the fracture’s rate of healing, the scan may revert to normal in as little as 6 months or may remain abnormal forever (Fig. 6).

image

Figure 6 Stress fracture.

A, Stress fractures may be difficult or impossible to visualize on conventional radiographs done soon after the injury (white circle shows a normal metatarsal 2 days after pain began). B, Bone scans may be positive as early as 24 hours after a fracture and can be especially helpful in detecting occult stress fractures by demonstrating markedly increased uptake in the affected bone (white arrow points to metatarsal). C, Three weeks after the injury seen in A, extensive external callous formation is seen around the healing fracture (black circle).

image Osteomyelitis
A triple-phase bone scan may be done to differentiate cellulitis from adjacent osteomyelitis. Images are obtained within the first minute after injection (flow phase), about 5 minutes after injection (blood pool or tissue phase) and then 2 to 4 hours after injection (delayed or skeletal phase) (Fig. 7).

image

Figure 7 Normal triple phase bone scan, knees.

This is a 16-year-old patient, so the growth plates take up radiotracer normally (white arrows). Images are obtained within the first minute after injection (A, flow phase), about 5 minutes after injection (B, blood pool or tissue phase) and then 2 to 4 hours after injection (C, delayed or skeletal phase). Flow is normally equal bilaterally; the tracer then shows activity in the soft tissues and is quickly extracted by the bone, clearing from the soft tissues by the delayed images.

Cellulitis will demonstrate increased uptake in the soft tissue on both the tissue phase and the skeletal phase (Fig. 8).

image

Figure 8 Triple phase bone scan, cellulitis.

A, There is increased flow to the left ankle shown on the flow phase (solid white arrows). B, Increased uptake is again seen on the blood pool phase in the soft tissues (dotted white arrows). C, On the delayed phase, the increased uptake is again seen in the soft tissues of the ankle, but is not localized to the bone itself (black arrows). Osteomyelitis would show progressive uptake in the bone and clearance from the soft tissues on the delayed phase.

Osteomyelitis will show clearance of the tracer from the soft tissues with progressive uptake in the bone on the skeletal phase (Fig. 9).

image

Figure 9 Triple phase bone scan, osteomyelitis.

Increased radiotracer uptake is seen in sequential images of the flow phase (solid white arrows), tissue phase (solid black arrow), and localized to the bone of the knee in the delayed phase (dotted white arrow). This patient had a total knee prosthesis that had become infected.

Pulmonary Ventilation/Perfusion Scans for Pulmonary Embolism

image Immobilization, usually following surgery, is the risk factor most often associated with pulmonary embolism. Other known risk factors include malignancy, thrombophlebitis, trauma to the lower extremities, and stroke.
image CT pulmonary angiography (CT-PA) has largely replaced nuclear medicine ventilation/perfusion (V/Q) scans as the modality of choice in diagnosing pulmonary thromboembolism.
image Ventilation/perfusion scans are used primarily if CT-PA is not available or if the patient has a contraindication to the administration of intravenous iodinated contrast material, such as impaired renal function or severe allergy to contrast.
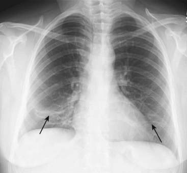
image Chest radiographs should be obtained to aid in the interpretation of the V/Q scan and to rule out another cause of the patient’s symptoms besides pulmonary embolism. In most cases of pulmonary embolism, the initial chest radiograph is normal (Fig. 10).

image

Figure 10 Chest radiograph in pulmonary embolism.

Chest radiographs should be obtained to rule out another cause of the patient’s symptoms besides pulmonary embolism and to aid in the interpretation of the nuclear scan. In most cases of pulmonary embolism, the initial chest radiograph is normal or demonstrates nonspecific findings such as the discoid atelectasis (subsegmental atelectasis) seen in this patient (black arrows).

image If the chest radiograph is normal, then V/Q scanning may be diagnostic. If the chest radiograph is abnormal, a CT-PA is usually performed.
image The pulmonary perfusion study is performed using technetium 99m macroaggregated albumin (MAA). The radioisotope is technetium 99m and the pharmaceutical to which it is bound is the macroaggregated albumin. The radiopharmaceutical is then injected intravenously.
image Macroaggregated albumin is prepared by heating human serum albumin. It can be produced to a particle size that is extracted 80% or more during its passage through the pulmonary vasculature. Although an average of about 350,000 MAA particles are injected, only about 1 in a 1000 lung capillaries are occluded with a usual injection, so the patient experiences no symptoms from the injection.
image Images of the lungs are obtained in multiple positions (e.g., anterior, posterior, right and left lateral and oblique projections) as soon as the radiopharmaceutical is injected.
image The normal perfusion scan will show uniform uptake throughout the lungs with photopenic areas normally seen in the region of the hila and the heart, especially on the anterior projection (Fig. 11).

image

Figure 11 Normal lung perfusion scan.

The normal perfusion scan will show uniform uptake throughout the lungs with photopenic areas normally seen in the region of the hila and the heart (H), especially on the anterior projection. The lungs are imaged in multiple projections during a lung scan to better demonstrate small perfusion abnormalities.

image If the perfusion study is abnormal, then the ventilation scan is performed with the patient breathing either radioactive xenon, krypton gas, or an aerosol labeled with technetium 99m.
image In a normal ventilation scan, the radiotracer washes into the lungs homogeneously, usually after the first deep breath. Most of the radiotracer will normally wash out of the lungs within two minutes (Fig. 12).

image

Figure 12 Normal lung ventilation scan, first breath through washout.

In a normal ventilation scan, the radiotracer washes into the lungs homogeneously, usually after one deep breath (far left image). Most of the radiotracer will normally wash out of the lungs within two minutes (far right image). These four images show normal homogeneous wash-in followed by normal rapid washout.

imagePulmonary emboli should produce a segmental mismatch on the V/Q scan in which ventilation is maintained but perfusion is absent. Depending on the number and size of defects, correspondence between the ventilation and perfusion scans and the appearance of the chest radiograph, the results of the lung scan are categorized as being normal, low, intermediate, or high probability for pulmonary embolism (Fig. 13).

image

Figure 13 Pulmonary embolus on ventilation/perfusion (V/Q) scan.

A, The ventilation scan is normal. B, A large photopenic defect is seen at the right lung base (white arrows) on the perfusion scan. There is a mismatch between the ventilation and perfusion scans since the abnormality is present on one but not the other. Pulmonary emboli should produce a segmental mismatch like this on the V/Q scan in which ventilation is maintained but perfusion is absent.

image Not surprisingly, the combination of a relatively low clinical suspicion of PE and a low probability lung scan effectively excludes PE (<5% will actually have a pulmonary embolism). The combination of a high clinical suspicion for PE and a high probability V/Q scan almost certainly indicates the presence of a PE (>95%). Unfortunately, there still is a majority of patients remaining who have an intermediate clinical likelihood of having PE and intermediate lung scan findings who may require another type of study.
image A number of clinical trials called the Prospective Investigation of Pulmonary Embolism Diagnosis (PIOPED) trials have been performed to try to determine the most efficacious means of accurately diagnosing pulmonary embolism.
image The recommendations from the PIOPED trials attempt to combine clinical assessment and diagnostic testing in various clinical scenarios to provide the most effective means of accurately diagnosing pulmonary embolism.

Cardiac Scans

image Nuclear myocardial scans are used to detect myocardial ischemia and infarction. The examinations typically consist of both perfusion and ECG-gated, wall-motion studies. The studies can also determine left ventricular ejection fraction, regional wall motion, and end-systolic left ventricular volume.
image Nuclear myocardial imaging is associated with an excellent predictive value in that normal scan results are associated with an annual rate of severe cardiac events (myocardial infarction or cardiac death) of less than 1%.
image Myocardial perfusion scanning
Myocardial perfusion imaging rests on the twin presumptions that, firstly, a radiopharmaceutical can be delivered to a cell only if there is adequate perfusion of that cell and, secondly, that the myocardial cell itself must be viable to take up the radiotracer. Abnormalities of either perfusion or viability will therefore display decreased uptake of radiotracer.
A nuclear myocardial scan is usually performed with a stress test consisting of a resting scan and a post-stress scan. The stress may be pharmacologic (e.g. produced by adenosine, dobutamine or dipyridamole) or by exercise (e.g., treadmill or exercise bicycle). Most studies involve exercise rather than pharmacologic stress.
Exercise stress is carried out using a graded increase in either treadmill exercise or an exercise bicycle, usually up to 85% of a patient’s peak heart rate in order to obtain an adequate study. Pharmacologic stress may be used in patients with arthritis or in poor physical condition. Rest-only studies may be done in patients for whom both pharmacologic and exercise stress are contraindicated.
The risk associated with the test comes from the stress portion rather than the radioactivity of the isotope. About 1 in 10,000 deaths occur as a result of the stress and about 4 in 10,000 patients have a myocardial infarction from the test.
The radiopharmaceuticals used in stress tests include technetium 99m sestamibi (Cardiolite®), thallium 201, or Tc 99m teboroxime. Imaging protocols are different for the different agents and for the equipment by which images are acquired.
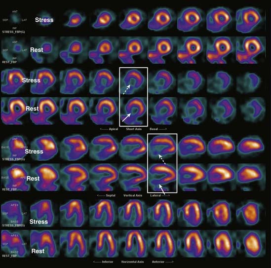
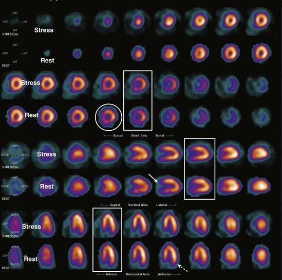
Images are displayed in a standardized format usually in color. In the short-axis view, the wall segments normally form a circle. In the vertical long-axis view, there is a U shape with the opening to the right. In the horizontal long-axis view, the opening of the U is down (Fig. 14). Wall thickness is generally uniform in the same image.

image

Figure 14 Normal cardiac scan.

Images are displayed in a standardized format, usually in color. In the short-axis view, the wall segments form a circle (white circle). In the vertical long-axis view, there is a U shape with the opening to the right (solid white arrow). In the horizontal long-axis view, the opening of the U points downward (dotted white arrow). In any given image, wall thickness is uniform. By convention, the first row of each set of images is the stress portion of the test and the second row is the rest portion of the test for those same images. Normally, each paired set of stress and rest images looks the same (white rectangles).

image Wall motion
Myocardial wall motion is assessed using ECG-gated SPECT images. ECG gating allows for gated images to be replayed in a continuous loop (cine loop) that aids in the display of wall motion. Technetium 99m-labeled red blood cells (RBCs) can be used as an imaging agent to assess wall motion.
ECG gating (also called cardiac triggering) is a technique used in imaging studies to time the acquisition of data based on a pulse derived from the patient’s ECG tracing. Acquiring data from a single cardiac cycle would not provide enough counts to produce a diagnostic image for nuclear cardiac studies, so counts are acquired at the same phase of the cardiac cycle over dozens or hundreds of heart beats.
The type of scan that demonstrates wall motion and from which the cardiac ejection fraction can be calculated is called a MUGA scan (MUGA stands for MUltiple Gated Acquisition). It is also called gated blood pool imaging. MUGA scans can be performed at rest or after stress or both.
MUGA scans may be used in patients with congestive heart failure to assess cardiac function, in those patients about to undergo chemotherapy with a cardiotoxic drug, to assess the effectiveness of cardiac surgery or drugs, and for outcome prediction in coronary artery disease.
In normal people, the left ventricular ejection fraction (LVEF) falls within a range between 50% to 80%. With stress, the LVEF may decrease in patients with coronary artery disease. There should be no abnormal regions of cardiac wall motion. Patients with infarctions may show global or local areas of decreased motion (akinetic or hypokinetic regions) or outward bulging of the ventricular wall during systole (dyskinetic regions).
A nuclear scan after a myocardial infarction can demonstrate whether viable myocardium is present which, in turn, helps determine whether bypass surgery, stenting, or angioplasty will be most effective in treatment (Figs. 15 and 16).

image

Figure 15 Left anterior descending coronary artery ischemia.

Compare the sets of images in the two rectangles. There is a wall defect on the stress portions of the test (dotted white arrows point to thinning of the wall) which improves with rest (solid white arrows). Since the defect reverses with rest, this is more characteristic of ischemia than infarct. The defect is in the distribution of the left anterior descending coronary artery.

image

Figure 16 Basal inferior infarct.

Once again, compare the pairs of stress and rest images in the white rectangles. There is a fixed defect in the wall which remains on both the stress (dotted white arrows) and resting images (solid white arrows). The lack of reversibility is consistent with infarction of the inferior wall.

Thyroid Scintigraphy

image Thyroid scans are used to determine the functioning of thyroid nodules, to help differentiate Graves’ disease from toxic nodular goiter (Plummer’s disease), to diagnose thyrotoxicosis, to image metastases from thyroid cancer, and sometimes to establish a mediastinal mass as being thyroid in origin.
image A thyroid scan is an image of the thyroid gland. Thyroid scans can be combined with a measurement of radioactive thyroid uptake, which is a measure of the gland’s functional ability to concentrate and clear iodine.
image Patients with hyperthyroidism will show elevated thyroid uptakes whereas patients with hypothyroidism will show decreased uptakes. The normal range of thyroid uptake varies but is generally between 10% and 35%. Radioactive uptake studies have been largely replaced by blood tests for thyroxine (T4) and thyroid-stimulating hormone (TSH).
image Thyroid scans are done using either radioactive iodine or technetium 99m pertechnetate. Both iodine and pertechnetate are trapped in the thyroid gland. The radiopharmaceutical is most commonly administered by mouth or sometimes intravenously.
image The normal thyroid gland is butterfly-shaped and is homogeneous in its uptake of radiotracer. Nodules of increased activity will show increased uptake (hot nodules) compared to the remainder of the thyroid, whose function may be suppressed by the hot nodule. Nodules of decreased activity will show decreased or no uptake (cold nodules) relative to the remainder of the thyroid gland (Fig. 17).

image

Figure 17 Normal thyroid scan.

The normal thyroid gland is butterfly-shaped and is homogeneous in its uptake of radiotracer. It consists of right and left lobes and an isthmus (white arrow) that joins the two. (R, Patient’s right side).

image Thyroid nodules are common. They are more common in women than men. They increase in frequency with advancing age, so a solitary nodule in a younger person is of more concern than in an older individual.
image About 85% of all thyroid nodules are cold, and 15% are hot or “warm.” The overwhelming percentage of cold nodules (85%) are benign, while 95% of hot nodules are benign. Ultrasound, combined with fine needle aspiration, is used to definitively diagnose thyroid cancer in cold nodules (Fig. 18).

image

Figure 18 Hot and cold nodules on thyroid scan.

Thyroid nodules are common, frequently multiple, and occur especially in older women. A solitary nodule in a younger person is of more concern for malignancy than in an older individual. About 85% of all thyroid nodules are cold, and 15% are hot or “warm.” This is a multinodular gland with a hot nodule (solid white arrow) in the right lobe and a cold nodule (dotted white arrow) occupying the left lobe. These lesions are benign.

image An enlarged thyroid gland is called a goiter. There are many causes of a thyroid goiter, including nontoxic goiters (multinodular colloid goiters), Graves’ disease, Plummer’s disease (toxic nodular goiter), and Hashimoto’s thyroiditis.
image In nontoxic multinodular colloid goiters, the gland is enlarged and takes up radiotracer heterogeneously. In Graves’ disease the gland is enlarged with uniform and intense increased uptake. The thyroid may also be enlarged in the early phase of thyroiditis (Fig. 19).

image

Figure 19 Nontoxic goiter, Graves’, and thyroiditis on thyroid scans of different patients.

A, In nontoxic, multinodular colloid goiters, the gland is enlarged and takes up radiotracer heterogeneously. B, Graves’ disease demonstrates an enlarged gland with uniform and intense distribution of the tracer. The thyroid uptake is elevated due to hyperthyroidism. C, The thyroid may also be enlarged in the early phase of thyroiditis. The uptake here is low due to hypothyroidism.

image Thyroid cancer typically presents as a dominant, solitary nodule. The presence of multiple nodules reduces the likelihood of malignancy (Fig. 20).

image

Figure 20 Thyroid carcinoma.

Thyroid cancer typically presents as a dominant, solitary nodule. The presence of multiple nodules reduces the likelihood of malignancy. There is a single, large cold nodule in the right lower pole of the gland (white arrow). Since most cold nodules are benign, confirmatory ultrasound with a fine needle biopsy is frequently performed.

image Radioisotope scans can also demonstrate metastases from thyroid carcinoma distant from the gland itself. Follicular and papillary thyroid carcinomas may show increased tracer uptake in the lungs, lymph nodes, and skeleton (Fig. 21).

image

Figure 21 Pulmonary thyroid metastases visualized with radioiodine.

Radioisotope scans can demonstrate metastases from thyroid carcinoma distant from the gland itself, especially in follicular and papillary thyroid carcinomas. These images are of the chest in a patient who received radioiodine. There are multiple foci of increased radioiodine uptake in the lungs (white arrows), metastatic from a papillary carcinoma of the thyroid (not imaged here).

image Radioiodine is also used in much higher doses than for diagnostic purposes for the ablation of the gland in Graves’ disease and for the treatment of thyroid cancer. Iodine 131 (I-131) is usually utilized as the radioisotope for treatment. Radioiodine is also used in the treatment of thyroid carcinoma metastases from primary tumors that demonstrate the ability to take up radioisotope.

HIDA Scans

image Cholescintigraphy is performed using technetium 99m, which was originally coupled to iminodiacetic acid (IDA). This was referred to as a HIDA scan, in which the “H” stands for “hepatic” or “hepatobiliary.” Even though other radiopharmaceuticals besides iminodiacetic acid may now be used for the test, it is still often referred to as a HIDA scan. The HIDA scan is the most frequently used nuclear medicine liver study.
image HIDA scans are generally indicated in cases of suspected acute cholecystitis in which an ultrasound examination may be equivocal. They are also used to demonstrate postoperative biliary leaks.
image The patient has nothing by mouth for 3 to 4 hours before the study. After intravenous injection, the radiopharmaceutical binds to protein, is taken up by the liver, and then rapidly excreted from the liver, similar to bile.
image In a normal HIDA scan, the bile ducts contain radiotracer within 10 minutes and there is radiotracer in the duodenum by 60 minutes, indicating patency of the common bile duct. Filling of the normal gallbladder occurs within 30 to 60 minutes, which confirms the patency of the cystic duct. Delayed images in several hours are usually obtained to reduce false positive results (Fig. 22).

image

Figure 22 Normal HIDA scan.

In a normal HIDA scan, the bile ducts (solid white arrow) contain radiotracer within 10 minutes, and there is radiotracer in the duodenum and small bowel (SB) by 60 minutes, indicating patency of the common bile duct. Filling of the normal gallbladder (dotted white arrow) occurs within 30 to 60 minutes, which confirms the patency of the cystic duct. Delayed images in several hours may be obtained to reduce false positive results. (R, Patient’s right side; L, liver.)

image Except in rare exceptions, visualization of the gallbladder excludes acute calculous cholecystitis.
image Cholescintigraphy is very sensitive and extremely specific for acute cholecystitis. One of its disadvantages is that it can take several hours to perform and an acutely ill patient may need a diagnosis sooner. To shorten the time needed to complete the study, morphine sulphate can be administered intravenously. Morphine causes constriction of the sphincter of Oddi, increasing pressure in the common duct and speeding the filling of the cystic duct. The gallbladder should fill normally within 30 minutes of morphine administration (Fig. 23).

image

Figure 23 HIDA scan in cholecystitis.

The gallbladder does not fill with radiotracer. Instead there is a photopenic area of the liver (L) in the location of the gallbladder (dotted white arrow). There is no filling of the cystic duct but there is filling of the common duct (solid white arrow) and runoff into the small bowel (SB). Obstruction of the cystic duct and nonfilling of the gallbladder in a symptomatic patient is consistent with acute cholecystitis. (R, Patient’s right side.)

image Cholescintigraphy is also used to demonstrate bile leaks in patients who have undergone laparoscopic cholecystectomy, liver transplant, or trauma. After the radiopharmaceutical is injected, the abdomen is scanned to image radiotracer outside of the normal confines of the biliary system (Fig. 24).

image

Figure 24 HIDA scan showing bile leak.

Cholescintigraphy is also used to demonstrate bile leaks in patients who have undergone laparoscopic cholecystectomy, liver transplant, or trauma. After the radiopharmaceutical is injected, the abdomen is scanned to image radiotracer outside of the normal confines of the biliary system. In this patient, radiotracer is seen in the gallbladder fossa (solid white arrow) and the “bulb” of a drain inserted at the site of the cholecystectomy (dotted white arrow). Visualization of the tracer outside of the ductal system or bowel is an indication of a bile leak. (R, Patient’s right side; L, liver.)

Gastrointestinal Bleeding Scans

image Localization of bleeding from the lower gastrointestinal tract can be problematic using either endoscopy or imaging studies.
image Utilizing technetium 99m coupled to red blood cells (RBCs), the site of bleeding can be localized. An initial flow study is frequently performed and static imaging of the abdomen usually lasts for about 90 minutes. Only about 2-3 cc of extravasated blood is needed for detection (Fig. 25).

image

Figure 25 Normal gastrointestinal bleeding scan.

The patient’s own red blood cells are labeled with a radiotracer and the abdomen is scanned. Activity may normally be found in the heart (H), liver (L), aorta (dotted white arrow), and iliac arteries (solid white arrows). Abnormal studies will show a focus of increased activity in the bowel, which will move on serial images due to the peristaltic motion of the gut.

image Abnormal studies will demonstrate an extravascular but intraluminal focus of increased radiotracer uptake that increases over time. Since blood irritates the intestine, peristalsis is more rapid than normal. The focus of increased uptake must move through the bowel over the course of serial images (Fig. 26).

image

Figure 26 Abnormal bleeding scan.

An abnormal collection of radiotracer is seen in the right lower quadrant (white oval) in this patient bleeding from right-sided diverticulosis. The focus of increased uptake moved through the large bowel on serial images. Radiotracer activity is seen in the major vessels (Ao, Aorta; I, iliac arteries), the stomach (S) and the liver (L).

Positron Emission Tomography

image Positron emission tomography (PET) scans operate on a molecular level to produce three-dimensional images that depict the body’s biochemical and metabolic processes. They are performed using a positron (positive electron) producing radioisotope attached to a targeting pharmaceutical.
image Radioisotopes used in PET imaging include fluorine-18, carbon-11, and oxygen-15. These isotopes have short half-lives (all less than 2 hours) and, since they are produced in a cyclotron, earlier PET scanners required an on-site cyclotron. Fluorine-18 has the benefit of allowing production in an off-site cyclotron.
image The most commonly used target molecule in PET scanning is an analog of glucose called fluorodeoxyglucose (FDG) (called FDG-PET). The concentration of this glucose analog in bodily tissues gives a measure of metabolic activity.
image Many PET scanners incorporate the presence of a CT scanner, which allows for the fusion (called coregistration) of the functional PET dataset on the anatomical dataset of CT scan images. The PET and CT scans are done sequentially without moving the patient, which minimizes patient motion between the two studies and improves the quality of the image.
image By fusing the PET and CT images, the anatomical location of the functional abnormality is determined (Fig. 27).

image

Figure 27 PET/CT fusion image.

By fusing the PET and CT images, the anatomical location of the functional abnormality can be determined. The CT scan (A) is superimposed on the PET image (C) to form the PET/CT fusion image (B). Uptake of FDG is depicted by varying intensities of red. Normal uptake is seen in the liver (L) and normal excretion is through the kidneys (white arrows) into the bladder (B). The more concentrated the uptake, the more intense the red color.

image PET scans are similar to scans using SPECT except that SPECT scans measure the radiotracer’s emitted gamma radiation directly whereas PET tracers produce positrons.

Uses of Pet Scans

image PET scanning is most often used in the diagnosis and treatment follow-up of cancer. It is frequently used to locate hidden metastases from a known tumor or to detect recurrence. Oncologic PET scans make up about 90% of the clinical use of PET.
Some tumors take up more of the radiotracer than others and are referred to as FDG avid tumors.
image Because of their ability to measure function, PET scans are also used in analyzing brain and heart function and to measure regional blood flow. In the brain, areas of high radiotracer activity correspond to areas of increased brain activity. By using compounds that bind to certain neuroreceptors in the brain, PET has been used to study psychiatric disorders and substance abuse. It has also been used extensively in Alzheimer disease and epilepsy.
image In the heart, PET scans are being used in the diagnosis of coronary artery disease, in part because they offer superior resolution to perfusion imaging. Completely infarcted areas can be differentiated from ischemia utilizing both perfusion and PET imaging. This differentiation is important in determining a course of treatment because there is little benefit in revascularizing completely infarcted muscle.

Safety Issues and Pet Scans

image PET scans expose the body to ionizing radiation. When combined with a CT scan that also utilizes ionizing radiation, the radiation dose can be significant. As with all diagnostic tests that utilize ionizing radiation, the benefits provided by the data obtained from the test must be weighed against its potential risks.
image False-positive findings may occur with inflammatory processes, in benign neoplasms, and in hyperplastic but benign tissue, all of which are FDG avid (Fig. 28).

image

Figure 28 FGG avid scar from hernia repair.

PET scans are most often used to diagnose or confirm malignancy. False-positive findings may occur with inflammatory processes, in benign neoplasms, and in hyperplastic but benign tissue, all of which are FDG avid. (A) This patient had previously undergone a hernia repair on the right side (solid white arrow). The PET/CT fusion image (B) shows intense uptake in the inflammatory reaction surrounding the site of the repair (dotted white arrow).

image False-negative findings may occur if the tumor is very small, has necrosed, or is composed of certain cell types, such as prostate carcinoma, some thyroid cancers, lobular breast cancers, well-differentiated hepatocellular carcinomas, and some skeletal metastases.

Pet Scan Images

image There is physiologic (normal) uptake of FDG in the salivary glands, thyroid, brown fat, thymus, the liver, GI tract, kidneys and urinary bladder, and the uterus (see Fig. 27).
image FDG avid lesions are those that show abnormally increased uptake of the radiopharmaceutical (Figs. 29 and 30).

image

Figure 29 Positive PET scan, bronchogenic carcinoma.

An FDG avid lesion is seen in the right upper lobe (white arrow) on this coronal reformatted PET/CT scan (B) confirming what was suspected to be the malignant nature of this lesion. This was an adenocarcinoma of the lung. A metastatic lymph node is seen in the left supraclavicular region (black arrow).

image

Figure 30 Positive PET scan, bronchogenic carcinoma with metastases.

A large right hilar mass (dotted white arrow) is FDG avid and represented a bronchogenic carcinoma (B). Less evident was a right supraclavicular lymph node metastasis (solid white arrow). PET scans are especially helpful in detecting occult metastases.

image Box 1 indicates those tumors that are especially avid at taking up FDG during PET scans.

Box 1 FDG Avid Tumors

Lung cancer
Breast cancer
Colon cancer recurrences
Nodal metastases from head and neck cancers
Brain tumor necrosis versus residual or recurrent tumor
Pancreatic cancer
Lymphoma staging

image Take-Home Points

Nuclear Medicine: Understanding the Principles and Recognizing the Basics

A radioactive isotope (radioisotope) is a naturally or artificially produced, unstable form of an element that emits radiation from its nucleus as it decays.

Radiopharmaceuticals are combinations of radioisotopes attached to a pharmaceutical that has binding properties which allow it to concentrate in certain body tissues.

Unstable isotopes attempt to reach stability by the process of splitting (fission), or by emitting particles (alpha or beta particles) and/or energy (gamma rays) in the form of radiation. Positively charged electrons are called positrons.

Physical half-life is the time required for the number of radioactive atoms in a sample to decrease by 50% and is a property inherent to the radioisotope. Most radioisotopes for medical use must have half-lives of hours or days.

The most widely used radioisotope is technetium 99m with a half-life of 6 hours. It decays by emitting low-energy gamma rays.

A gamma camera uses one or more scintillation detectors made of crystals that scintillate (luminesce) in response to gamma rays emitted from the patient.

Single photon emission computed tomography (SPECT) imaging is performed by using a gamma camera to acquire multiple two-dimensional (2D) images from multiple angles, which are then reconstructed by computer into a three-dimensional (3D) dataset.

Bone scans are the screening method of choice for the detection of osseous metastatic disease. Tc 99m MDP deposits in the greatest concentration in those areas of greatest bone turnover. Radionuclide bone scanning is sensitive (60% to 90%) for metastases, but not specific.

CT pulmonary angiography (CT-PA) has largely replaced nuclear scans in the diagnosis of pulmonary thromboembolic disease. If the chest radiograph is normal, then V/Q scanning may be diagnostic. If the chest radiograph is abnormal, a CT-PA is usually performed.

Pulmonary emboli should produce a segmental mismatch on the V/Q scan in which perfusion is absent but ventilation is maintained.

Nuclear cardiac scans are used to detect myocardial ischemia and infarction and to determine left ventricular ejection fraction, regional wall motion, and end-systolic left ventricular volume.

Thyroid scans are used to determine the functioning of thyroid nodules, to help differentiate Graves’ disease from toxic nodular goiters and thyrotoxicosis, and to image metastases from thyroid cancer. Thyroid scans are frequently combined with a functional measurement of thyroid activity called thyroid uptake.

The most frequently used biliary scan is generically called a HIDA scan. HIDA scans are generally indicated in cases of suspected acute cholecystitis in which an ultrasound examination may be equivocal. They are also used to demonstrate postoperative biliary leaks.

Nuclear GI bleeding scans can help in the localization of bleeding from the lower gastrointestinal tract by imaging the abdomen after administering tagged red blood cells to the patient.

Positron emission tomography (PET) scans operate on a molecular level to produce three-dimensional images that depict the body’s biochemical and metabolic processes. PET scanning is most often used in the diagnosis and treatment follow-up of cancer but they are also used in cardiac and brain imaging.

The most commonly used target molecule in PET scanning is an analog of glucose called fluorodeoxyglucose (FDG) (called FDG-PET).

Many PET scanners incorporate the presence of a CT scanner, which allows for the fusion (called coregistration) of the functional PET dataset on the anatomical dataset of CT scan images.