Benign oesophageal diseases form a small but significant part of upper GI surgeons' workload. Most are managed by medical gastroenterologists except those likely to require surgery; then close collaboration is needed between medical and surgical specialists. Oesophageal cancer surgery is largely performed in specialised units.
Difficulty in swallowing, dysphagia, is the most common presenting symptom. Reflux oesophagitis and other peptic disorders of the lower oesophagus (often associated with hiatus hernia) and oesophageal carcinomas are the main conditions encountered. Achalasia and pharyngeal pouch are occasionally seen; oesophageal web (as in Plummer–Vinson syndrome) and leiomyomas (gastrointestinal stromal tumours, GIST) are extremely rare.
Oesophageal varices secondary to cirrhosis usually present as massive haematemesis and are usually managed with non-surgical therapy.
Pathology and clinical features
The oesophagus is lined by stratified squamous epithelium. Historically the majority of oesophageal malignancies were squamous carcinomas. The rest were adenocarcinomas in the lower third, probably derived from metaplastic intestinal mucosa, i.e. Barrett's oesophageal changes. However, over the last few decades there has been a slow but steady reversal in these proportions; currently adenocarcinoma makes up 60–70% of new cases. Both forms tend to behave aggressively.
Tumours at the gastro-oesophageal junction originate from three areas: the distal oesophagus (‘type 1’), the gastric cardia (‘type 2’) or the subcardial gastric wall (‘type 3’). Oesophageal cancers may fungate into the lumen but more often infiltrate diffusely along and around the oesophageal wall. Once through the wall, the tumour invades adjoining mediastinal organs.
Difficulty in swallowing (dysphagia) is the classic symptom, but it tends to develop insidiously. Patients initially have trouble with solids but tend to compensate (liquidising their food, for example) before seeking medical advice. Later they have trouble swallowing liquids. By the time dysphagia manifests, the cancer is often incurable and lymphatic spread has already occurred to mediastinal nodes. Sometimes, involvement of other mediastinal organs, e.g. recurrent laryngeal nerve invasion or an oesophago-tracheal fistula, produces the first symptoms. Low oesophageal lesions tend to metastasise to upper abdominal nodes and the liver.
The incidence of oesophageal cancer in Western countries is relatively low compared with cancer of the colon or stomach. It accounts for about 5% of all deaths from cancer, with men at two-fold greater risk than women. The disease is usually advanced by the time of presentation, hence the mortality rate is appalling, with 70% dying within a year and only 8% surviving 5 years (see Fig. 22.1).
Oesophageal carcinoma is uncommon before the age of 50 years. At least 50% occur in the lower third and only about 15% in the upper third. Heavy alcohol intake is associated with at least 20 times greater risk and smokers have five times the risk of non-smokers; however, these risk factors classically predispose only to squamous cell carcinoma.
Since 1980, adenocarcinomas have increased by 70% relative to squamous carcinomas in many Western countries. This may be connected with the widespread use of acid-suppressing medication and possibly with dietary changes. There is no familial predisposition but people with structural and functional disorders, such as peptic oesophagitis and stricture, achalasia, oesophageal web or pharyngeal pouch, are at considerably greater risk. Areas of exceptionally high incidence have been reported in China, elsewhere in the Far East, and around the Caspian Sea. There is some evidence that a fungus which grows on food grain may be responsible. These epidemiological patterns suggest that chronic tissue irritation is an important aetiological factor. One common finding in dietary studies is an association with low fruit and vegetable intake.
Dysphagia or pain on swallowing (odynophagia) in a middle-aged or elderly patient demands urgent investigation to exclude carcinoma (see Box 22.1). General physical examination is usually unrewarding except in advanced disease. In these cases, there may be signs of wasting, hepatomegaly due to metastases, a Virchow's node in the left supraclavicular fossa or sometimes hoarseness from recurrent laryngeal nerve involvement. Gastroscopy allows direct inspection of the oesophagus using a flexible endoscope and biopsies are taken of any suspicious areas (Fig. 22.2).
Once oesophageal carcinoma is diagnosed, it is important to establish the extent of local invasion and whether metastasis has occurred to thoracic or abdominal lymph nodes, liver or peritoneum; this will determine whether potentially curative treatment is appropriate. CT scanning of chest and abdomen is the principal investigation but it often understages the disease. Staging laparoscopy for lower third tumours can show peritoneal or visceral metastases not seen on CT scan; some units employ staging thoracoscopy to assess the pleural cavity for the same reasons. Endoscopic ultrasound (EUS) demonstrates very clearly the different layers of gut wall and thus helps to delineate the tumour more accurately in length and, more importantly, depth of invasion (T stage). It also has high sensitivity and specificity for involvement of local lymph nodes and can enable biopsy of suspicious nodes in otherwise inaccessible locations (EUS-guided biopsy), enhancing the staging process and in some cases preventing unnecessary surgery. The greater the number of involved nodes, the lower the chances of surgical cure. Increasingly patients are also undergoing fluorodeoxyglucose positron emission tomography (FDG-PET), known as PET scans, which localise any cancerous tissue more accurately than CT scanning alone.
The ideal treatment would be to eliminate the cancer. In practice, this can rarely be achieved because of overt or occult spread. Even if cure is impossible, oesophageal obstruction must be relieved to allow the patient to eat and to prevent the appalling consequences of complete obstruction, namely inability to swallow even saliva.
The choice of treatment depends on the patient's fitness and the stage, but surgical resection of the tumour is only employed when the aim is cure. Co-morbidity such as chronic lung disease or cirrhosis (often from the adverse effects of alcohol and cigarettes) may influence the decision. Cardiac fitness is assessed clinically and by electrocardiography (ECG), echocardiography, and cardiopulmonary exercise testing (CPEX). In addition, spirometry and blood gases should be performed to assess fitness for thoracotomy. If the FEV1 is less than 2 L, single lung ventilation used during thoracotomy is unlikely to be tolerated. Adjuvant therapy in addition to surgery has a role in some patients, although clinical trials are continuing to determine precise indications. Most often, chemotherapy is given alone or in combination with radiotherapy (chemoradiotherapy) before surgery (neoadjuvant therapy) in an attempt to shrink or downsize the tumour.
Historically, radiotherapy has been given as the sole form of treatment for squamous carcinoma. Intubation of the tumour was often needed before radiotherapy to prevent complete obstruction in the short term as a result of swelling. Results of this were often disappointing because of adverse local effects. Radiotherapy nowadays tends to be reserved for palliation.
For incurable patients with dysphagia, palliative procedures to restore swallowing, such as argon plasma tissue coagulation, laser treatment or stent insertion, can be effective and are preferable to major surgery, particularly if life expectancy is short.
Once a decision has been made to operate, the choice of operation depends on the level of the lesion. In general, the aim is to remove the tumour with an appropriate safety margin, to perform a two-field lymphadenectomy (removing mediastinal and abdominal lymph nodes) and to achieve a leak-free anastomosis.
Lesions above the carina (tracheal bifurcation) are usually dealt with by a three-stage oesophagectomy known as the McKeown operation, with all stages performed at the same operation. The first stage is to mobilise the tumour and oesophagus via a right thoracotomy with the patient in the left lateral position. The second stage involves rolling the patient into a supine position and performing a laparotomy to allow the stomach to be mobilised and fashioned into a conduit. A third incision is then made in the neck through which oesophagus and tumour are delivered. The tumour is resected and the gastric conduit anastomosed to the cervical oesophagus. A cervical anastomosis is safer than an intrathoracic one, as the consequences of anastomotic leakage are less devastating.
If the tumour arises lower in the oesophagus, a two-stage Ivor Lewis operation is usually performed. The abdomen is opened first, and the stomach mobilised and fashioned into a conduit. The patient is then turned into a left lateral position and the right chest opened, the oesophagus mobilised and the tumour and lymph nodes excised. Finally the gastric conduit is drawn up into the chest and anastomosed to the proximal oesophageal remnant. If this is impossible, a loop of jejunum or a single end of jejunum (Roux-en-Y) is drawn up to make the connection (see Fig. 22.3). Controversy exists about whether extending lymphadenectomy into the neck, so-called ‘three-field lymphadenectomy’, is beneficial. The procedure increases operative risks and only appears to benefit a subgroup with proximal tumours and fewer than five involved nodes.
An operation that gained popularity is transhiatal oesophagectomy. A thoracotomy is avoided by mobilising the oesophagus and the cancer by blunt dissection from below via the diaphragmatic hiatus and from above via a neck incision, performing the anastomosis in the neck after resection. However, interest is waning because the safety margins of excision may be insufficient for potential cure and adequate lymphadenectomy is impossible in the chest. There is also a risk of damaging veins during dissection (particularly the azygos) and causing catastrophic haemorrhage.
There is increasing interest in laparoscopic approaches to these cancers, and many units are now regularly performing laparoscopic oesophagectomies and gastrectomies. Techniques involve combined laparoscopic and thoracoscopic approaches. Perioperative morbidity and mortality and cancer recurrence rates appear to be at least comparable with open surgery, and there are the additional benefits of minimal access surgery.
Oesophagectomy is always a major undertaking and carries the potentially fatal risk of anastomotic breakdown. This may lead to mediastinitis, lung abscess or oesophago-pleural fistula. Patients need to be made aware of the risks in relation to the benefits, as well as the likely prolonged convalescent period and the long-term morbidity. Postoperative problems include dysphagia, small capacity for food (early satiety), and reflux.
If operation is inappropriate, oesophageal patency can often be restored by palliative ablation of the tumour with laser therapy or argon plasma coagulation via a gastroscope. These treatments can be repeated as the tumour regrows. Alternatively, the oesophagus can be intubated with an expanding metal stent (see Fig. 22.4) through the lesion. This is usually done under intravenous sedation, using the endoscopic technique of pulsion intubation. First the oesophageal lesion is dilated then the stent inserted using X-ray guidance. These tubes relieve symptoms, but food has to be liquidised and the tube kept ‘clean’ by taking fizzy drinks after eating. Patients are more susceptible to acid reflux, for which antacid medication may need to be prescribed. Chemotherapy, external beam radiotherapy and intraluminal brachytherapy (local radiotherapy) are increasingly used for palliation.
The oesophagus is essentially a tube of smooth muscle conveying food to the stomach by peristalsis. At the lower end there is a tonically active sphincter mechanism. Its contraction coordinates with oesophageal peristalsis, relaxing to allow food to enter the stomach. The purpose of the sphincter mechanism is to prevent reflux of stomach contents into the oesophagus. After passing through the diaphragm, the oesophagus continues for about 2 cm within the abdomen before joining the stomach. The sphincter mechanism is not completely understood but it probably involves several components: a functional (but not anatomical) sphincter of the oesophageal wall immediately above the diaphragm and the smooth muscle at the gastric cardia. This mechanism is reinforced by diaphragmatic crural contraction, by the acute angle at which the oesophagus enters the stomach and by the ‘flutter valve’ effect of intra-abdominal pressure on the abdominal oesophagus causing luminal collapse.
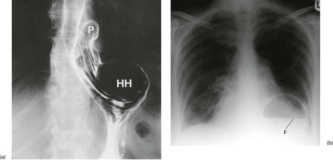
Hiatus hernia occurs when the proximal part of the stomach passes through the diaphragmatic hiatus up into the chest (see Fig. 22.5). Around 90% of hiatus hernias are of the sliding type, in which the gastro-oesophageal junction is drawn up into the chest and a segment of stomach becomes constricted at the diaphragmatic hiatus. The hernia tends to slide up into the chest with each peristaltic contraction. These hernias may become huge and, rarely, may contain the whole stomach including pylorus and first part of the duodenum, sometimes with part of the colon as well. In the 10% of non-sliding cases, the gastro-oesophageal junction remains below the diaphragm and a bulge of stomach herniates through the hiatus beside the oesophagus. These are described as para-oesophageal or rolling hiatus hernias.

Fig. 22.5 Types of hiatus hernia
(a) Sliding hiatus hernia, which is common. This type disrupts the physiological anti-reflux mechanism. (b) Rolling or para-oesophageal hiatus hernia, which is rare. The anti-reflux mechanism is usually left intact
In sliding hiatus hernia, the lower oesophageal sphincter mechanism often becomes defective, causing reflux of acid–peptic stomach contents. This is not a problem with rolling hiatus hernias which more usually present with pain or dysphagia.
Hiatus hernia in adults is commonly associated with smoking and obesity. The pressure of intra-abdominal fat may be contributory. Hiatus hernia can also be a congenital abnormality presenting in early infancy.
Hiatus hernia is common, especially in women, and becomes more common with advancing years. Only a small proportion of patients with hiatus hernia experience symptoms of acid–peptic reflux, i.e. ‘heartburn’; moreover, reflux can occur without a hiatus hernia. Reflux causes acute inflammation (oesophagitis), experienced as burning retrosternal pain (heartburn), bitter-tasting regurgitation or other forms of ‘indigestion’. Symptoms are typically worse at night when the patient lies flat or on bending forward during the day.
If reflux is severe and persistent, mucosal destruction is recurrent and inflammation becomes chronic. Progressive scarring leads to fibrosis of the wall and this may lead to luminal narrowing (stricture) and dysphagia. Longstanding oesophageal reflux predisposes to Barrett's oesophagus, with normal squamous oesophageal epithelium being replaced by metaplastic columnar mucosa. Barrett's oesophagus is the only known predisposing factor for adenocarcinoma of the lower oesophagus. Histological examination of biopsies may reveal specialised intestinal metaplasia (SIM) or severe dysplasia; both are markers for malignant change, supporting the metaplasia/dysplasia/carcinoma model for evolution of lower oesophageal cancer.
Occasionally, oesophageal reflux symptoms are severe and acute, causing chest pain which can easily be mistaken for angina or even myocardial infarction. There is often an element of oesophageal spasm which, like angina, is relieved by glyceryl trinitrate and similar drugs, which may confuse the diagnosis.
In general, hiatus hernias are assessed at endoscopy, with biopsy if necessary. The latter is important to exclude carcinoma, especially in dysphagia. In specialised units, oesophageal manometry studies can assess the oesophageal muscular function and oesophageal pH studies assess the extent and severity of reflux. These studies help determine which patients are likely to benefit from surgery. Rarely barium swallow examination (see Figs 22.6 and 22.7) may be necessary to delineate complicated anatomy.
Most patients can be managed conservatively, with surgery reserved for intractable cases. Treatment is aimed at reducing acid–pepsin activity and preventing reflux.
Weight reduction, where appropriate, is the most effective long-term anti-reflux measure. Changes in diet often of themselves improve symptoms of reflux. For example, alcohol causes the sphincter to relax and many medical students can personally vouch for the combined effect of beer and spicy food! Other foods known to precipitate reflux are caffeine, high fat foods and chocolate. Reflux can be reduced substantially by taking smaller, more frequent and drier meals, by using blocks to elevate the head of the bed at night and by sleeping on more pillows in an upright position. Smoking induces sphincter relaxation, and quitting often reduces reflux dramatically. Patients should also be advised to wear loose-fitting clothing, and avoid bending or straining soon after meals. Alginate drugs, available in liquid or chewable tablet form, produce a foamy surface layer on the stomach contents and are said to coat the lower oesophagus, protecting it from reflux effects. These drugs are most effective if taken soon after food.
Drugs that stimulate motility can have a useful effect in reflux. Metoclopramide and domperidone are dopamine antagonists that stimulate oesophageal clearance and gastric emptying and increase small bowel transit, as well as enhancing contraction of the oesophageal sphincter.
This is probably the mainstay of treatment for reflux disease. Simple antacid drugs and H2-receptor antagonists are sometimes effective but in most cases omeprazole or another proton pump inhibitor (PPI) is the drug of choice.
Inflammatory fibrous strictures used to be regularly dilated with gum-elastic bougies of progressively increasing size under general anaesthesia via a rigid oesophagoscope. Nowadays, dilatation is usually performed under intravenous sedation using flexible gastroscopy under X-ray control, with a balloon to dilate the stricture. If the stricture recurs and causes dysphagia despite conservative treatment for reflux, an anti-reflux operation may be indicated. This usually allows healing of mucosal damage and may prevent further stricture formation.
Surgery has historically been reserved for intractable symptoms, recurrent stricture and chronic oesophagitis which fail to respond to PPI therapy. This especially includes patients with Barrett's oesophagus (having excluded those with a high risk of malignancy by biopsy). Surgery may also be indicated for the young or middle-aged patient in whom PPIs produce a response but who do not wish to take long-term medication. The traditional operations for formal repair of hiatus hernia, performed via chest or abdomen (e.g. Belsey Mark IV), have largely been superseded by laparoscopic Nissen fundoplication. This operation involves dissection of the gastro-oesophageal junction at the hiatus, tightening the crura (which may have become lax, allowing the hiatus hernia to develop) and wrapping the gastric fundus around the intra-abdominal portion of the oesophagus to recreate a flutter valve.
In experienced hands, this is the operation of choice and allows the patient a rapid return to normal activity. Clinical trials have shown that the laparoscopic approach gives results comparable to open fundoplication. Typical side-effects of any Nissen operation include temporary dysphagia, gas-bloat syndrome (due to retained air and decreased ability to belch) and consequently increased flatus. These problems usually settle in time, but must be clearly explained to the patient before obtaining consent for operation. The most significant (but fortunately rare) postoperative complication is that of a slipped wrap. In this case, the fundal wrap slips down onto the stomach, or up through the hiatus into the chest (usually after a bout of excessive vomiting). In either case, the patient usually presents with acute onset chest and/or upper abdominal pain and dysphagia. This complication should be managed as a surgical emergency with diagnostic confirmation followed by early reoperation.
Pathophysiology and clinical presentation
Achalasia is an uncommon disorder of oesophageal motility. In pathological terms, there is a poorly understood neurological defect involving Auerbach's myenteric (parasympathetic) plexus. Peristalsis is disrupted throughout the entire oesophagus, causing uncoordinated contractions and inadequate relaxation of the lower oesophageal sphincter.
The condition presents in two main age groups, young adults and the elderly. In the latter, the cause may be a central rather than a local neurological deficit. Achalasia, as with any structural oesophageal abnormality, predisposes to cancer with a 5% lifetime risk of developing squamous oesophageal carcinoma, usually 15–20 years after diagnosis of achalasia.
Clinically, the cardiac sphincter becomes constricted and the proximal oesophagus dilates with accumulated fluid and solids. Difficulty in swallowing is the usual presenting symptom, together with halitosis, weight loss, reflux of food into the back of the throat. Solids tend to sink to the lower end of the dilated oesophagus, whereas fluids spill over into the trachea causing spluttering dysphagia (see Ch. 18, p. 249) and coughing, particularly at night. Vomiting and retrosternal pain may occur in more severe cases.
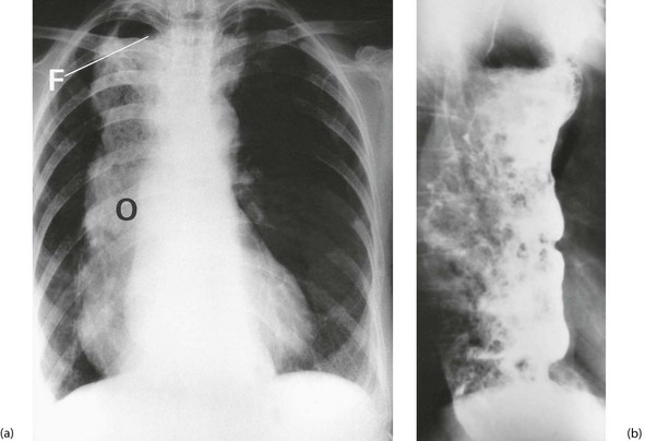
Chest X-ray may show the mediastinal shadow is widened by a dilated oesophagus; sometimes a fluid level in the oesophagus is visible behind the heart Fig. 22.7(b). At endoscopy the typical appearance is of a capacious distal oesophagus, usually with food and fluid residue, and a tight lower oesophageal sphincter that may or may not admit the tip of the gastroscope. It is important to see the oesophago-gastric junction to exclude an occult neoplasm masquerading as achalasia (pseudoachalasia). Barium swallow examination reveals gross dilatation of the oesophagus with a tapering constriction (often described as a ‘bird’s beak’ or ‘rat’s tail’) at the lower end. The constriction barely allows contrast to enter the stomach (see Fig. 22.8). Under fluoroscopic screening, uncoordinated purposeless peristaltic waves can often be seen; these are described as tertiary contractions, distinct from normal coordinated primary and secondary contractions. Oesophageal manometry is the cardinal test for achalasia, demonstrating excessive lower oesophageal sphincter pressure that fails to relax on swallowing, and abnormal peristalsis in patients with a more chronic history.
The condition is by its nature incurable, and treatment aims to relieve the distal obstruction. The standard operation is a laparoscopic abdominal procedure involving a longitudinal incision of the lower oesophageal and upper gastric muscle wall until the mucosa bulges through (Heller's cardiomyotomy); this is best combined with a partial fundoplication to overcome the almost inevitable reflux it will cause. Balloon dilatation is sometimes used as an alternative but often needs to be repeated. Botulinum toxin (Botox) is now often used to relax the lower oesophageal sphincter and is an excellent temporising measure, but needs to be repeated after 3–6 months as the effect wears off. Patients with achalasia should be followed up and periodically endoscoped to exclude developing squamous carcinoma (see Fig. 22.9).
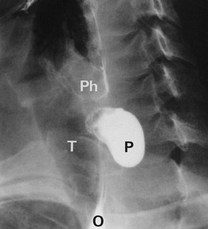
Pharyngeal pouch is a rare cause of dysphagia. It arises at the junction of pharynx and oesophagus, and probably results from lack of coordination between the inferior constrictor muscle and cricopharyngeus during swallowing. At this point, there is an area of relative weakness known as Killian's dehiscence. The result is a progressive mucosal outpouching between the two muscles. The condition is best diagnosed by barium swallow (see Fig. 22.10). Pharyngeal pouch is easily perforated during endoscopy, and therefore in endoscopy to investigate ‘high’ dysphagia, the procedure should be performed by an experienced endoscopist. Treatment of pharyngeal pouch is by surgical excision from the side of the neck, or via a completely endoluminal approach using a stapler to join the pouch to the oesophagus.
Circumferential mucosal folds (or webs) in the oesophagus may produce annular narrowing and cause dysphagia. They also predispose to carcinoma in the long term. In the upper oesophagus, webs are associated with severe iron deficiency anaemia, particularly in women. The triad of dysphagia, anaemia and atrophic glossitis is known as Plummer–Vinson or Paterson–Brown-Kelly syndrome.
Gastro-oesophageal varices result from portal venous hypertension. The most common cause is cirrhosis of the liver, usually linked with alcohol abuse. Less common causes include portal vein thrombosis, hepatic vein thrombosis (Budd–Chiari syndrome) and schistosomiasis.
As resistance to flow and pressure rises in the portal venous system, abnormal communications develop between the peripheral portal system and the systemic venous circulation. This is known as portal-systemic shunting. Multiple large veins appear in the peritoneal cavity and retroperitoneal area, making any form of abdominal surgery hazardous. Large submucosal veins also appear at the lower end of the oesophagus and gastric fundus, and are known as gastro-oesophageal varices (see Fig. 22.11). These varices can cause massive gastrointestinal haemorrhage, possibly related to rises in intravariceal pressure. Up to 40% of cirrhotic patients suffer variceal haemorrhage at some stage.
Gastro-oesophageal varices are not usually treated unless they have bled. Occasionally, elective treatment is carried out in cases where haemorrhage is considered highly likely, with the improving efficacy of banding and sclerotherapy. After recovery from an acute bleed, varices should be treated at planned intervals by banding or injection sclerotherapy until they are eliminated.
When a patient with known cirrhosis or varices presents with massive upper gastrointestinal haemorrhage, the first priority is resuscitation. The source of haemorrhage is next sought by endoscopy. Only about half of these patients will be bleeding from oesophageal varices. The rest have bleeding gastric varices, gastric erosions, a peptic ulcer or Mallory–Weiss tears of the lower oesophagus. In this last condition, arterial bleeding is the cause and it does not respond to measures designed to treat bleeding varices, but is usually self-limiting. Whatever treatment is undertaken, it must be remembered that cirrhotic patients often have defective clotting, further exacerbated by massive haemorrhage. It is prudent to perform clotting studies and give specific corrective factors.
If bleeding is from varices, an attempt may be made at endoscopy to band or inject them with a sclerosant (e.g. ethanolamine or sodium tetradecyl sulphate (STD)). The mainstay of initial treatment is an infusion of vasopressin or an analogue such as terlipressin. Octreotide has also been used successfully. More than 75% of patients initially respond to this therapy. Meanwhile, resuscitation continues with blood volume replacement, fresh-frozen plasma and platelets. Excess water and sodium should be avoided as this rapidly migrates into the peritoneal cavity as ascites. Hepatic encephalopathy should be anticipated as a result of the protein load of blood in the bowel and oral neomycin or lactulose administered. Delirium tremens may also require treatment if the patient is alcoholic.
In patients not responding to octreotide, an attempt is made to apply tamponade. After endotracheal intubation to protect the airway, a special tube is passed through the mouth into the stomach and a balloon inflated. Traction is exerted on the upper end for up to 4 hours to arrest the haemorrhage. Several varieties of tube are in use: the Sengstaken–Blakemore tube has separate intragastric and oesophageal balloons and depends for its action upon physiological arrest of bleeding. Most cases cease bleeding with inflation of the gastric balloon alone plus traction. The Linton balloon is an alternative comprising a single large intragastric balloon (300–600 ml) which allows simultaneous endoscopy and rubber banding or injection sclerotherapy of varices.
If variceal haemorrhage continues despite effective conservative therapy, transjugular intrahepatic portal-systemic stenting (TIPS) is sometimes used. This involves cannulating the internal jugular vein and placing an angiography catheter within the intrahepatic vena cava. Using combined fluoroscopy and ultrasound, the catheter is guided into the portal system within the liver. Then an expanding metal stent is placed to connect the intrahepatic portal system to the vena cava.
As a last resort, emergency surgical treatment is performed, but all operations carry high mortality in such seriously ill patients. The simplest operation is transgastric oesophageal stapling. A circular stapler is passed into the oesophagus via a gastrotomy, a ligature tied around the oesophagus between the staple cartridge and the anvil, and the gun fired. This places two rows of staples through the full thickness of the oesophageal wall, disconnecting the longitudinal veins. Operative risk in these patients has been calculated using Child's criteria, shown in Table 22.1.