Substantial inflammation in any part of the small or large bowel usually presents with diarrhoea (i.e. frequent passage of loose stools). When inflammation affects the large bowel, the diarrhoea often contains blood. Chronic diarrhoea is defined as lasting for longer than 6 weeks, different from the acute diarrhoea of gastroenteritis which is usually of viral origin or related to food poisoning and is usually self-limiting, though often fatal in infants in the developing world.
A chronic change of bowel habit to looser and more frequent stools, whether containing blood or not, raises the possibility of three categories of diagnosis: infective (bacillary or amoebic), inflammatory bowel diseases (ulcerative colitis, Crohn's disease or rarer forms of non-infective colitis) and neoplasms (covered in the previous chapter).
The term inflammatory bowel disease usually means the two chronic bowel disorders, ulcerative colitis or Crohn's disease. They share many pathophysiological and clinical features. However, Crohn's disease can involve any part of the gastrointestinal tract, whilst ulcerative colitis is confined to the large bowel. When the large bowel alone is inflamed, it is important to differentiate between these conditions because management and the spectrum of complications differ substantially (see Table 28.1).
These diseases are chronic and relapsing by nature. They have variable responses to treatments, with a potential for complications after major surgery. The most effective management and best outcomes result from cooperation between medical and surgical gastroenterologists. Patients can mostly be managed on an outpatient basis but acute exacerbations or complications may require admission. Surgery is usually indicated when medical management has failed or when complications such as fulminant colitis, obstruction, toxic dilatation of the colon or perforation occur. In addition, ulcerative colitis is a long-term risk factor for colorectal cancer.
In developing countries, infections that cause chronic large bowel inflammation are more common and may also be contracted by travellers. Amoebiasis in particular may mimic ulcerative colitis, and tuberculosis may mimic Crohn's disease.
Pseudomembranous and other forms of antibiotic-related colitis are increasingly common in hospitalised patients after antibiotic treatment; they are discussed in Chapter 12. Whilst typical cases can be readily diagnosed and treated, severe forms may require emergency colectomy and may cause fatality in elderly patients. Symptoms may occur as long as 6 months after antibiotic use.
Infective causes must be excluded before inflammatory bowel disease is diagnosed because life-threatening complications can result from treating infective conditions with immunosuppressive drugs used for inflammatory bowel disease.
Ulcerative colitis and Crohn's disease are considered to be separate entities but in 10–15% of cases no clear distinction can be made; this is termed indeterminate colitis; it is possible that the diseases share aetiological factors or even represent different facets of the same disease.
Ulcerative colitis and Crohn's disease are relatively common in developed countries but the diseases seem rare in most of Africa, Asia and South America. In the West, the incidence of Crohn's disease appears to have increased over the past few decades (to 100 per 100 000 population per year), whilst ulcerative colitis (200 per 100 000) has remained static or may have even declined.
Most inflammatory bowel disease develops in the late teen years or twenties. Gender, social class and urban living seems to be irrelevant. In the USA, white people are three times more susceptible to ulcerative colitis than black people and five times more susceptible to Crohn's disease.
The aetiology of these diseases remains obscure. There is a familial incidence: 6–8% of patients with ulcerative colitis and about 20% of those with Crohn's disease have first-degree relatives with the same condition. It is likely that both conditions are genetically heterogeneous and polygenic. For Crohn's disease, implicated genes include NOD2 and CARD15. For ulcerative colitis, genes IBD1, IBD2 and IBD3 have been identified. It is postulated that the presence of more than one of these genetic mutations may result in Crohn's disease.
Another similarity between the two diseases is the association with a range of non-gastrointestinal autoimmune disorders involving eyes, joints, skin and liver. The most common for both ulcerative colitis and Crohn's disease is ankylosing spondylitis, which is usually associated with the lymphocyte surface antigen HLA-B27. In contrast, pericholangitis occurs often in ulcerative colitis but is rare in Crohn's disease, and occasionally progresses to sclerosing cholangitis.
Infection is believed to play a part in initiating some cases of both ulcerative colitis and Crohn's disease, as many cases follow an acute attack of gastroenteritis. Importantly, tobacco smoking is more common in patients with Crohn's disease, and smoking increases disease recurrence. Ulcerative colitis, by contrast, is more prevalent in non-smokers.
Ulcerative colitis is an inflammatory disorder of the mucosa and submucosa of the large bowel only. It is characterised by recurrent acute exacerbations and intervening periods of quiescence or chronic low-grade activity. The symptom severity corresponds to the level of disease activity. Extracolonic features affect a small proportion of patients and include anaemia, inflammation of joints (arthropathy) and inflammation of eyes, skin and biliary tract. The disease always involves the rectum but often extends proximally in continuity to involve a variable length of colon. In nearly 20% of cases (but only those with pancolitis, i.e. colitis involving the whole large bowel), the distal end of the ileum becomes secondarily affected; this is described as backwash ileitis.
Initially, the colonic mucosa becomes acutely inflamed. Neutrophils accumulate in the lamina propria and within the tubular colonic glands to form small, highly characteristic crypt abscesses. Sloughing of the overlying mucosa produces small superficial ulcers. If the inflammatory process persists, the ulcers coalesce into extensive areas of irregular ulceration. Residual islands of intact but oedematous mucosa project into the bowel lumen; these inflammatory lesions are called pseudopolyps (see Fig. 28.1). The inflammation is usually confined to the mucosa and submucosa, only extending into the muscular wall and peritoneal surface in fulminating colitis.

Fig. 28.1 Ulcerative colitis—histopathology
Erosion and undermining of the mucosa Mu by the inflammatory process has produced typical pseudopolyps (arrowed). Inflammation spares the muscle wall M and serosa S. Mucosal glands show reactive and regenerative changes
Acute inflammatory episodes range from several days' to several months' duration. After subsiding, they can recur months or even years later. During quiescent periods, the acute inflammation resolves and the mucosa regenerates. The lamina propria, however, remains swollen by a chronic inflammatory infiltrate of lymphocytes and plasma cells. The colonic glands show a marked reduction in the number of mucin-secreting goblet cells, histologically termed ‘goblet cell depletion’.
After the disease has been present for some time, dysplastic changes can appear in the epithelium. Dysplasia (Latin for ‘bad form’) involves recognisable changes indicating early transformation to neoplasia. After prolonged or repeated episodes of inflammation, dysplasia may progress to adenocarcinoma. The risk of malignancy is greatest for those with early onset and extensive disease, and is approximately 5% after 10 years of colitis. Cancer diagnosis may be delayed if symptoms are mistaken for a relapse of colitis and are not investigated. Cancers in these patients are often particularly aggressive and occur on average 20 years earlier than in the general population.
In longstanding colitis, the mucosa and submucosa undergo fibrosis, resulting in smoothing out of haustrations and a shortened colon which has a characteristic radiological appearance, the so-called lead pipe colon (Fig. 28.2).
Acute inflammatory attacks are marked by loose blood-stained stools streaked with mucus. This mucus results from inflammation of recto-sigmoid colonic mucosa. As the extent of inflammation increases, the diarrhoea may become severe. The patient may pass 20 or more loose stools a day, each time preceded by cramping abdominal pain. In many patients, the urge to defaecate is so precipitate that incontinence occurs unless a lavatory is immediately available.
Any attack of ulcerative colitis may progress to the severe form of fulminant colitis; the patient may become prostrated by dehydration, severe electrolyte disturbance and blood loss. Occasionally, the colon dilates massively and patchy necrosis eventually occurs. The patient is systemically ill with high fever, marked tachycardia and dehydration. This process, known as toxic megacolon, culminates in perforation and fatal peritonitis unless emergency colectomy is performed.
Ulcerative colitis should probably be regarded as a systemic disorder. It is sometimes accompanied by extra-gastrointestinal manifestations, summarised in Box 28.1. During active phases, inflammatory markers (erythrocyte sedimentation rate (ESR) and C-reactive protein (CRP)) are elevated and moderate anaemia and hypoalbuminaemia is common. Associated arthropathy, eye and skin disorders usually flare up in parallel with the colitis (although they may rarely precede the intestinal symptoms). However, the liver-related conditions—sclerosing cholangitis, chronic active hepatitis and bile duct carcinoma—are often independent of colitic activity and are therefore difficult to treat.
The typical patient referred for investigation of suspected ulcerative colitis is a young adult with a history of several weeks of frequent loose stools, later streaked with blood and mucus. The attack often starts with an attack of gastroenteritis or traveller's diarrhoea which fails to settle. There is sometimes a history of non-GI symptoms such as arthropathy or uveitis.
General examination often reveals anaemia but abdominal examination is usually unremarkable. Rectal examination, followed by proctoscopy and sigmoidoscopy, is mandatory to palpate, inspect and, if necessary, biopsy the rectal mucosa. The affected mucosa ranges in appearance from mildly hyperaemic and easily traumatised to extensive patchy ulceration.
At least three separate fresh stool samples should be analysed to exclude bacterial or parasitic causes or cytomegalovirus, as these conditions may closely simulate ulcerative colitis but require entirely different treatment.
Proctitis: Some patients with ulcerative colitis have inflammation confined to the lower rectum. The mucosa often has a granular appearance and the condition is described as proctitis or granular proctitis. Its cause is unknown and its course is self-limiting. It tends to recur at times of stress, often at protracted intervals. Proctitis usually responds to short courses of local 5-aminosalicylic acid suppositories (see later), but can occasionally progress into a distal or even a total colitis.
Contrast radiology: If the clinical picture and histological findings are consistent with inflammatory bowel disease, the extent and degree of colonic involvement can be assessed by barium enema examination. Radiological appearances are illustrated in Figures 28.2 and 28.3. Contrast radiology is not usually performed in acute disease.
Endoscopy: In an acute situation, an unprepared flexible sigmoidoscopy is usually performed. In non-acute situations, colonoscopy enables direct inspection of the entire colonic mucosa and the taking of multiple biopsies (see Fig. 28.4). Furthermore, in patients with longstanding total colitis, colonoscopy with narrow band imaging and multiple biopsies is used for annual surveillance for dysplastic change.
Fulminant ulcerative colitis: Fulminant attacks sometimes occur, with extremely frequent watery, blood-stained stools and severe systemic illness. An attack may progress to toxic dilatation and eventual colonic perforation. Urgent colectomy may be judged necessary to treat fulminant colitis resistant to medical therapy, or to treat toxic megacolon, once infective causes have been excluded.
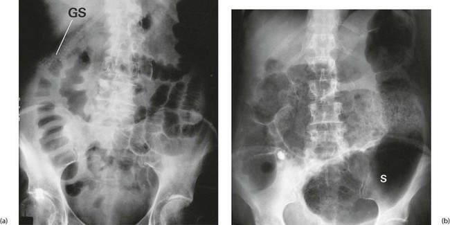
Whatever the cause, patients with acute colitis require urgent hospital admission and resuscitation including fluid, electrolyte and blood replacement. Sigmoidoscopy and biopsy are performed to establish the diagnosis. Stool is sent for microscopy and culture. Plain abdominal radiography is performed to monitor for dilatation, which might indicate toxic megacolon (defined as a colonic diameter greater than 6 cm in the presence of pyrexia or tachycardia). In the absence of megacolon, plain radiography may demonstrate other features of acute ulcerative colitis as shown in Figure 28.5.
The choice of treatment depends on the severity of individual attacks, the amount of colon involved, the extent of chronic symptoms and the risk of long-term complications. The treatment options are summarised in Box 28.2.
Aminosalicylate preparations: Mild attacks of proctitis or procto-sigmoiditis are treated locally with 5-aminosalicylic acid (5-ASA) suppositories or enemas, which are more effective in acute proctitis than steroids. Mild attacks of pan-colitis are treated initially with oral 5-ASA preparations which are also employed as maintenance therapy in ulcerative colitis to prevent relapse. Although aspirin and other non-steroidal anti-inflammatories are chemically related to 5-ASA compounds, these drugs should be avoided as they may worsen inflammatory bowel disease. The 5-ASA compounds are discussed later in this chapter as they are also used in the management of Crohn's disease.
Corticosteroids: Steroid suppositories or enemas (foam or liquid) can be used for local treatment of rectal inflammation. Short courses of high-dose oral corticosteroids are used for more severe exacerbations (e.g. prednisolone 40 mg daily for 2 weeks then reducing the daily dose by 5 mg weekly). Intravenous administration is advisable in seriously ill patients. There is no evidence that ‘bowel rest’ (i.e. nil by mouth) and total parenteral nutrition (TPN) are of any value in ulcerative colitis. Immunosuppressive drugs, including ciclosporin and azathioprine, are often tried in patients who fail to respond to corticosteroids. Azathioprine is also used as a ‘steroid-sparing’ agent in patients whose disease settles on steroids but flares again as steroids are reduced.
Other supportive measures: In the acute case, anti-diarrhoeal agents such as codeine phosphate or loperamide should be avoided as they can precipitate toxic dilatation.
Patients with moderately severe chronic disease frequently become anaemic and lose weight, in part because of persistent stool loss of protein. These problems may be helped by medical treatment, a diet high in calories and protein, and oral iron supplements.
Surgery for ulcerative colitis: Surgery is required in only about 20% of patients with ulcerative colitis. Colectomy may be needed in the following:
• Urgent treatment of fulminant cases which fail to respond to intensive medical treatment. ‘Failure to respond’ has no precise definition but there should normally be symptomatic improvement after a week of intensive management
• Acute cases which progress to toxic megacolon, perforation or major haemorrhage
• Patients with chronic disabling symptoms of intractable diarrhoea with urgency, recurring anaemia and failure to maintain adequate weight and nutrition
• Children with failure to thrive and retardation of growth (both are exacerbated by corticosteroid therapy)
• Patients with longstanding colitis who develop dysplasia or malignancy
As a principle, surgery for ulcerative colitis requires removal of the entire large bowel and is curative. There are three main surgical options:
• Subtotal colectomy with ileostomy is the safest operation in the emergency situation when the patient is sick and on high-dose corticosteroids. Most of the diseased colon is removed, but the patient is left with an inflamed rectal stump. Months later, when the patient is well, this may be revised to one of the other surgical options. Alternatively the rectum may be retained and treated with local therapy plus endoscopic surveillance, although the cancer risk remains
• Proctocolectomy with permanent ileostomy (includes removal of rectum) is generally recommended for elderly patients in whom sphincter-preserving procedures are inadvisable
• Restorative proctocolectomy (ileo-anal pouch, Parks' pouch) is a sphincter-preserving operation which avoids a permanent ileostomy (see Fig. 27.8). The entire colon and rectal mucosa is excised and a pouch reservoir is fashioned from a loop of terminal ileum. The pouch is brought into the pelvis and anastomosed to the upper anal canal. A temporary ileostomy is usually retained for a few months to allow healing. Many patients have excellent continence and can evacuate their bowels in the normal way
Crohn's disease is a chronic relapsing inflammatory disorder of any part of the gastrointestinal tract (though nearly always small or large bowel) which predominantly affects younger people. About 60% of patients are under 25 years at the time of initial diagnosis, and on average, symptoms will have been present intermittently for 5 years. A useful website is http://www.crohns.org.uk/.
The disease often affects one or more discrete segments of bowel with intervening parts completely spared, unlike the continuous nature of ulcerative colitis. These discontinuous affected areas are known as ‘skip lesions’ (see Fig. 28.11, p. 373).
The small bowel alone is affected in 50% of patients, the large bowel alone in 20% and both together in 30%. The terminal ileum is affected most commonly; in up to half of all cases, the disease is confined to the terminal ileum. In the original description of this disease it was named ‘terminal ileitis’. Later, when it became clear that other segments of bowel could be affected, the name was changed to regional enteritis, a term still used in the USA. Crohn's disease also commonly affects the perianal region, whether or not large bowel is involved. Occasionally, the disease involves the stomach, duodenum, oesophagus or mouth.
In contrast to ulcerative colitis, the inflammation involves the entire thickness of the bowel wall (transmural inflammation). Because of this, affected bowel may partially obstruct, fistulate or perforate, whereas this rarely occurs in ulcerative colitis. See Table 28.1 for comparisons between Crohn's disease and ulcerative colitis.
With each exacerbation, previously affected or new areas may become involved. The disease tends to run a protracted and unpredictable course.
The essential pathological feature is chronic inflammation of bowel, with inflammation extending diffusely through the entire bowel wall. The wall becomes markedly thickened by inflammatory oedema, especially in the submucosa. The epithelium remains largely intact but is criss-crossed by deep fissured ulcers. These large serpiginous ulcers and the intervening areas of dome-shaped mucosa and submucosa give a typical ‘cobblestone’ surface appearance (Fig. 28.11).

Fig. 28.11 Appearances of Crohn's colitis
(a) This is a typical colonoscopic view of florid Crohn's colitis. Note the nodular appearance producing a ‘cobblestone’ surface with linear ulcers between the nodules. (b) This subtotal colectomy specimen was removed from a man of 54 with a long history of weight loss, diarrhoea and abdominal pain (see barium enema, Fig. 28.10). There are three ‘skip lesions’ typical of Crohn's disease, in the ascending colon, the transverse colon and the hepatic flexure showing thickening of the wall, cobblestone mucosal surface and narrowing of the lumen
Granulomas containing multinucleate giant cells (see Fig. 28.6) are usually scattered throughout the inflamed bowel wall as well as in local lymph nodes. (Although these non-caseating granulomas are typical of Crohn's disease, they are not always found, and ruptured crypt abscesses in ulcerative colitis may also cause them.) Longstanding inflammation leads to progressive fibrosis of the thickened bowel wall, which encroaches on the lumen, producing elongated strictures.

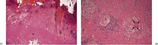
Fig. 28.6 Crohn's disease affecting the colon—histopathology
(a) Inflammation has produced fissure ulcers (arrowed) which extend into the muscle wall M. Lymphoid aggregates are also present and the inflammatory process extends into serosal fat F.
(b) High-power view showing well-formed granulomas with typical giant cells (arrowed), enabling a confident diagnosis of Crohn's disease to be made
Effects of mucosal inflammation: Mucosal inflammation causes diarrhoea which, if the colon is involved, may be streaked with mucus and blood. Luminal narrowing in the small bowel results in partial obstruction that causes grumbling, colicky abdominal pain, sometimes with acute episodes. Pain is a prominent feature in Crohn's disease in contrast to ulcerative colitis, since inflamed large bowel does not obstruct in this way.
If small bowel is inflamed, diarrhoea occurs and digestive and absorptive functions may be compromised. Extensive disease results in general malabsorption causing protein-calorie malnutrition, iron and folate deficiency and anaemia. In children, Crohn's disease may cause marked growth retardation. Ileal inflammation disrupts bile salt reabsorption. Excess bile salts in the faeces cause colonic irritation (and more diarrhoea) while diminished recirculation of bile salts may result in gallstone formation. Involvement of the terminal ileum may reduce vitamin B12 absorption but serious deficiency usually occurs only after surgical resection.
Effects of transmural inflammation: Crohn's disease causes added problems if serosal inflammation extends to adjacent structures. If inflamed bowel impinges on parietal peritoneum, pain becomes localised and more severe and signs of local peritonitis develop. Indeed, Crohn's disease of the terminal ileum may mimic acute appendicitis. At appendicectomy, the terminal ileum is visibly inflamed and the bowel wall abnormally thick to palpation. In this case, the terminal ileum should not be excised as a firm diagnosis of Crohn's disease requires histological and microbacterial exclusion of Yersinia ileitis as well as tuberculosis. Both may simulate Crohn's, but are completely reversible with medical treatment.
Serosal inflammation may cause a diseased segment of bowel to adhere to adjacent abdominal structures. Several complications may occur if these become matted together by the inflammatory process:
• Adhesions. These tough, fibrotic post-inflammatory adhesions are rarely symptomatic but constitute a formidable obstacle if operation is needed later
• Perforation. Free perforation is rare but a contained perforation may occur which causes localised pericolic or pelvic abscess formation
• Fistulae. These may develop between diseased bowel and other hollow viscera causing unusual clinical phenomena. For example, a gastro-colic fistula may result in true faecal vomiting; an ileo-rectal fistula may aggravate diarrhoea. Entero-vesical fistulae cause severe urinary tract infections and pneumaturia (passage of urine containing air bubbles), and fistulae between bowel and uterus or vagina lead to vaginal passage of faeces. Entero-cutaneous fistulae between bowel and skin occasionally develop as a complication of bowel resection for Crohn's disease, or spontaneously
Perianal inflammation: Perianal inflammation occurs in 15% of patients with Crohn's disease. Symptoms include recurrent perianal abscesses, characteristic blueish, boggy ‘piles’ (see Fig. 28.7) and anterolateral anal fissures. The last two are quite distinct from ordinary haemorrhoids and posterior anal fissures. Multiple fistulae commonly develop between rectum and perianal skin and can extend into the labia or scrotum. Fistulae are sometimes so numerous as to cause a ‘pepper-pot’ or ‘watering-can’ perineum (see Fig. 28.8). Paradoxically, this is more often associated with small bowel disease than colorectal disease.
Systemic features: Like ulcerative colitis, Crohn's disease is a systemic disorder and has a similar range of non-GI manifestations (see Box 28.1, p. 367). In contrast with ulcerative colitis, it is usual for patients to feel generally ill during an acute attack. Specific systemic features affecting skin, joints or the eye are relatively uncommon and not necessarily related to bowel disease activity.
Symptoms of Crohn's disease can be similar to those of ulcerative colitis, particularly when large bowel is involved (see Table 28.1, p. 365). Diarrhoea is usually less distressing and less likely to contain blood. Other characteristic symptoms include cramp-like abdominal pain, weight loss and general malaise. As an aide memoire, think of pain, weight loss and diarrhoea as symptomatic of Crohn's.
Physical examination may reveal generalised wasting and anaemia and sometimes other features like arthropathy. On abdominal examination, there may be areas of tenderness, an inflammatory mass in the right iliac fossa where omentum wraps around inflamed terminal ileum or the scars of previous surgery. The perianal skin should be examined for fissures, fistulae, Crohn's ‘piles’ or stenotic scarring from previous disease. Diseased rectal mucosa, with its typical firm surface nodularity, may be felt on digital examination. Sigmoidoscopic examination is usually normal but there may be mucosal oedema if the rectum is involved. In more severe cases, the typical ‘cobblestone’ appearance with fissured ulceration may be seen. Biopsies may be positive even when the mucosa is apparently normal.
Investigation of suspected Crohn's disease is similar to that for ulcerative colitis in respect of the large bowel, but follows a different pattern when there is suspected small bowel disease.
Colonoscopy enables a histological diagnosis to be obtained in colonic disease, and also allows biopsies of terminal ileum to be taken, which are often diagnostic. Barium ‘follow-through’ is the traditional method of examining small bowel but better images are sometimes obtained by controlled instillation of barium into the duodenum via a nasogastric tube. Typical radiological appearances of Crohn's disease include narrowing of the lumen due to mural oedema and fibrosis, nodularity and cobblestoning of the mucosal surface, deep fissured ulceration extending into the muscular wall, spiky ‘rose thorn’ ulcers and possibly evidence of fistula formation. Radiological changes in small and large bowel are shown in Figures 28.9 and 28.10. Note that large bowel abnormalities on barium enema may be difficult or impossible to distinguish from ulcerative colitis.
As in ulcerative colitis, full blood count, inflammatory markers (ESR and CRP) and liver function tests also give an indication of the disease activity; stool microscopy and culture is always undertaken to exclude an infective cause for diarrhoea.
Appearances of Crohn's colitis are shown in Fig. 28.10.
The aim of medical therapy in active Crohn's disease is to bring about and maintain remission. The treatments available may be broadly divided into three classes of medication:
• 5-ASA compounds, as used in ulcerative colitis. These act locally, making it a challenge to deliver oral medication to inflamed small bowel without gastric inactivation. Sulfasalazine (a combination of 5-ASA and a carrier, sulfapyridine) is useful in ulcerative colitis and large bowel Crohn's disease because the active ingredient is released by colonic bacteria. However, some patients suffer side-effects related to the sulfapyridine. Mesalazine is useful for more proximal Crohn's disease as the active compound is released earlier. Rectal Crohn's disease can be treated with 5-ASA suppositories or enemas, as in ulcerative colitis. 5-ASA compounds can be used as maintenance therapy in Crohn's disease but large doses are required
• Corticosteroids can act as systemic agents (e.g. prednisolone) or locally. Budesonide is a new oral steroid which is mostly released in the terminal ileum then rapidly inactivated by the liver after absorption, minimising systemic effects. Corticosteroids act rapidly to control flare-ups, but are rarely used for long-term maintenance
• Azathioprine and 6-mercaptopurine are immunosuppressants, sometimes used in more severe Crohn's disease. They can spare the need for damaging steroids, or they can help maintain remission in patients who relapse on 5-ASA compounds. About 10% of those treated are at risk of bone marrow suppression but those at risk can be predicted by pre-treatment testing
• Methotrexate acts both as an anti-inflammatory agent and an immunomodulator but has potentially serious side-effects upon liver and bone marrow
• Infliximab is a chimeric monoclonal antibody to TNFα, an inflammatory mediator. It is given by intravenous infusion for acute disease and is usually effective within 2 weeks. The drug can be given at 8-weekly intervals to maintain remission. Risks include developing antibodies to the drug. It should not be used where there is active infection or an abscess
Surgery should not be considered curative in Crohn's disease, unlike ulcerative colitis. This is because operating on one section of bowel does not affect later recurrences elsewhere. Up to 70% of patients with Crohn's disease will eventually need surgery, of whom half will need further surgery within 5 years.
The main indications for surgery can be summarised as follows:
• Acute complications, e.g. abscess, perforation
• Persistent local ileal disease
• Intolerable long-term obstructive and other symptoms, e.g. abdominal pain, perianal disease, general ill-health
• Entero-cutaneous fistulae and symptomatic internal fistulae
The choice of operation depends on the site and extent of disease. The former belief that all disease must be resected has been abandoned. Given the diffuse nature of the disease and likelihood of further operations, as much bowel as possible should be preserved. Surgery for multiple small bowel strictures now involves stricturoplasty of each lesion, a technique of enlarging the lumen of diseased bowel without losing potential absorptive length. If disease is limited, resection of the diseased segment with a small margin of normal tissue may be performed, followed by wide side-to-side anastomosis. Abscesses are usually treated by simple drainage, with resection of the affected bowel at the same time or later.
Fistulae between abdominal viscera are treated by removing the diseased bowel. In contrast, entero-cutaneous fistulae, usually a complication of recent surgery, are a more formidable problem since they are often associated with complicating factors like intra-abdominal infection, gross fluid and electrolyte abnormalities and a hypercatabolic state. Patients with entero-cutaneous fistulae require intensive preparatory medical care and strategic surgical intervention before definitive treatment is possible.
For severe large bowel disease, the entire colon is generally removed (pan-proctocolectomy with ileostomy). This is because there are usually several colonic ‘skip lesions’ and recurrence is likely. Pouch procedures are not recommended because of the risk of recurrent disease in the small bowel reservoir.
Recurrent disease often necessitates further surgery. Careful medical treatment to reduce disease recurrence and hence increase intervals between re-operations is imperative: stopping smoking, 5-ASA preparations, and even azathioprine may be used, particularly if the patient has been left with a short bowel.
Entamoeba histolytica is a protozoon parasite responsible for amoebic colitis. It is an endemic bowel commensal in many developing countries. Most of those infected have no symptoms but they are all carriers; less than 5% suffer amoebic colitis. In these, the organism invades the large bowel mucosa, causing chronic relapsing symptoms similar to ulcerative colitis. Encysted parasites are shed by carriers in faeces and infection is readily transmitted to new individuals via the faecal-oral route, contaminated hands or uncooked food.
The incidence of amoebiasis is likely to increase in the West as tourism expands into endemic areas. If sufferers are mistakenly treated with systemic steroids for inflammatory bowel disease, the result may be fatal. Occasionally, rampant invasion progresses to local perforation and a pericolic abscess or toxic megacolon.
In any case of amoebic colitis, amoebae passing to the liver in the portal veins sometimes produce hepatic abscesses, most frequently in the right lobe. These are usually solitary and are filled with reddish-brown necrotic material, said to resemble anchovy sauce.
Clinical features of amoebic colitis: The disease usually affects the proximal colon, causing colicky abdominal pain, erratic bowel habit with episodes of blood-stained loose stools and right iliac fossa tenderness. If the distal colon is involved, the patient suffers chronic watery diarrhoea with blood and mucus. When the entire colon is involved, there is generalised abdominal tenderness as well as systemic features, e.g. pyrexia and progressive weight loss. Large granulomatous colonic lesions known as amoebomas may be palpable and must be differentiated from carcinoma or diverticular disease.
If the patient develops an amoebic liver abscess, systemic features become more marked, with general ill-health and a swinging pyrexia with sweating attacks. There is pain in the liver area and an enlarged tender liver on palpation. The abscess may rupture spontaneously into the peritoneal cavity (causing peritonitis) or through the diaphragm into the chest. Secondary lung abscesses may then rupture into the bronchi and the patient coughs up ‘anchovy sauce’ sputum.
Diagnosis of amoebiasis: In developed countries, amoebic colitis should always be considered in the differential diagnosis of ulcerative colitis or Crohn's colitis. Amoebic colitis is best diagnosed by microscopic examination of fresh stool specimens; this may reveal trophozoites containing ingested red cells.
Liver abscesses cause serological tests for amoebiasis to become positive. The lesions are readily demonstrated by hepatic ultrasound and the diagnosis is confirmed by needle aspiration.
Treatment of amoebiasis: Metronidazole is the drug treatment of choice for amoebic dysentery and is given orally, 800 mg three times daily for 5 days, followed by diloxanide 500 mg three times daily for 10 days to eradicate cysts. Liver abscesses are treated with metronidazole 400 mg three times daily for 5–10 days followed again by diloxanide. Emergency surgery is occasionally necessary in fulminating amoebic colitis or less urgently for large liver abscesses.
This recently described condition is so called because the histology is abnormal but the macroscopic appearance may be normal. It causes chronic watery diarrhoea and is thought to be the cause in up to 5% of patients complaining of this symptom. Its aetiology is still unknown, but a link with non-steroidal anti-inflammatory drugs has been noted. Specific histological findings (collagenous and lymphocytic types) are seen in biopsy specimens, although the colon may look macroscopically normal at colonoscopy. Treatment is not very effective: budesonide and bismuth may be tried for patients unable to control symptoms with antidiarrhoeal agents.