Irritable bowel syndrome, chronic constipation and diverticular disease all arise from disordered peristaltic function and are at least partly attributable to the highly refined Western diet. These disorders could be regarded as endemic in developed societies.
Irritable bowel syndrome causes distressing abdominal discomfort in younger patients, whilst chronic constipation affects people of all age groups. Diverticular disease is probably caused by long-term dietary factors. These disorders make substantial demands on the time of family practitioners, physicians and surgeons, yet they are largely preventable. A hundred years ago, they were largely unknown in the West (apart from an obsession with constipation), as they still are in rural communities in many developing countries.
In addition to treating symptoms, the main surgical significance is that these conditions must be distinguished from inflammatory bowel diseases in the young and large bowel cancer in the older population. They have several symptoms in common:
Sigmoid volvulus is an acute condition resulting from chronic dilatation of the sigmoid colon plus an acute twisting of the sigmoid loop on a narrow mesentery, resulting in obstruction and massive dilatation (see below, Fig. 29.1, p. 378–379).
Angiodysplasia of the large bowel and ischaemic colitis are vascular conditions of the ageing gut, and both usually present with rectal bleeding and pain. Again, colorectal cancer has to be excluded as the cause of bleeding.
Little scientific attention was paid to diet-related disease until the 1970s, although Gaylord Hauser had written about fibre in the diet in the 1930s. In the 1970s, the ideas of Surgeon Captain T. L. Cleeve, a Royal Navy physician, and later the remarkable epidemiological observations of Denis Burkitt, a long-time missionary surgeon in Africa, emerged. Now the subject of diet is respectable in surgical circles and has contributed to the understanding, prevention and management of many common diseases. Diseases such as irritable bowel syndrome, diverticular disease and appendicitis, common in Western society, are largely unknown in much of the developing world and this difference is almost certainly diet-related. Thus it follows that a dietary history is important in evaluating these patients, and dietary change is often a fundamental part of management.
Over millions of years as ‘hunter-gatherers’, humans subsisted on a staple diet of an extensive variety of vegetables and fruits, grains, legumes and nuts, supplemented by occasional meat or fish. The modern human gastrointestinal and metabolic systems are thus perfectly adapted to that diet. During the brief period (in evolutionary terms) of the last 100 years, the average Western diet has changed dramatically, due to affluence, fashion, convenience, food processing and advertising. Since the 1980s there have been similar dietary changes in the more prosperous parts of developing countries, particularly in the cities. The modern diet contains many more calories than the hunter-gatherer diet. These are largely in the form of refined carbohydrates and fats, especially saturated animal fats and ‘trans’ fats in artificially hydrogenated vegetable oils. Perhaps equally important, the modern diet contains far less non-absorbable fibre residue.
Whilst the increase in calories and nutrients has brought benefits, it has also brought problems. The modern diet adversely affects both bowel function and metabolism, particularly of lipids. Box 29.1 outlines the important ways in which modern diet can induce disease and dysfunction. With regard to bowel diseases, the most important diet-related factors are likely to be faecal volume and consistency, together with gastrointestinal transit time. The average Western adult passes between 80 and 120 g of firm stool each day with a transit time of about 3 days, although transit time can be as long as 2 weeks in the elderly. In contrast, rural dwellers in the developing world, with a diet similar to the hunter-gatherer, pass between 300 and 800 g of much softer stool each day, with an average transit time of less than a day and a half.
An essential part of managing many bowel conditions (other than irritable bowel syndrome) and preventing others is a substantial increase in dietary fibre intake. Box 29.2 lists foods with a high fibre content that can be eaten regularly with little effort or extra expense. Increasing the fibre content almost inevitably leads to reduced consumption of refined carbohydrates and saturated animal fats and lower total energy intake. Patients should introduce dietary fibre gradually because a sudden increase is likely to cause abdominal discomfort and distension and more flatus. Bulking agents (ispaghula husk preparations) can be taken in the early stages for a rapid result whilst avoiding unpleasant side-effects.
Irritable bowel syndrome (IBS) has only been accepted as a pathological entity in recent years, although Osler coined the term mucous colitis in 1892 to describe mucorrhoea (excess mucus in the stool) and abdominal colic often found in patients with psychological problems. Another common name is ‘spastic colon’. The condition is widespread, particularly in young and middle-aged women.
Irritable bowel syndrome is a functional GI disorder characterised by abdominal pain and altered bowel habit without identifiable organic pathology. IBS can only be diagnosed clinically (after excluding organic causes) as there are no specific diagnostic tests. A group of experts formalised a diagnostic set of symptoms known as the Rome II Criteria. To fulfil a diagnosis of IBS, a patient must have the following symptoms continuously or recurrently for at least 3 months in a year: abdominal pain relieved by defaecation, and a change in stool frequency and consistency. Symptoms supporting the diagnosis include altered stool form, mucorrhoea and abdominal bloating.
The patient typically complains of episodic ‘cramping’ abdominal pain at any time of day and lasting from 15 minutes to several hours. The pain is unrelated to meals or other obvious provoking factors. It occurs anywhere in the abdomen but tends to arise peripherally, i.e. in either iliac fossa or epigastrium, and usually recurs in the same general area in any one patient.
Symptoms occur daily for weeks at a time and then resolve for weeks or months, only to return later. The patient may recognise that symptoms are worse at times of stress and are absent during weekends and holidays. The pain may provoke an urge to open the bowels, and evacuation may bring relief. An erratic bowel habit is characteristic of irritable bowel syndrome: passage of loose stools alternates with constipation, with small hard stools described as looking like rabbit pellets; but patients are divided into those for whom either diarrhoea or constipation is the predominant problem. Sufferers often complain of abdominal distension and excess flatus.
The pathophysiology is poorly understood. Colonic motility studies show abnormal rises in intraluminal pressure and disordered peristalsis with segmenting, non-propulsive contractions. The small volume of faeces (because of little residual fibre) becomes excessively dehydrated and fragmented. However, some patients with irritable bowel syndrome appear to be hypersensitive to gut distension and their symptoms may be made worse by a high-fibre diet. These in particular may benefit from a low-fibre diet plus methylcellulose fibre substitutes that do not ferment, e.g. Celevac. Thus the patient avoids constipation without the fermentation and excess gas production of a high-fibre diet. There is growing support for the view that at least some IBS is due to specific food intolerance, particularly wheat protein, and it is worth excluding this in a trial of treatment.
The diagnosis is made on the basis of a typical history and often after a trial of treatment. In the younger patient, where carcinoma is unlikely, abdominal and rectal examination (probably including flexible sigmoidoscopy) is all that is required. In IBS, these are normal except perhaps for mild tenderness in the area of pain. Other factors helping to exclude inflammatory bowel disease are a normal erythrocyte sedimentation rate (ESR) and C-reactive protein (CRP), and an absence of weight loss, ill-health and tiredness, troublesome diarrhoea or rectal bleeding. In cases of diagnostic difficulty, small bowel radiology and other investigations can exclude Crohn's disease.
Persistent upper gastrointestinal pain should be investigated, with gallstones or peptic ulcer disease in mind. In a patient over 50, irritable bowel syndrome is less likely, and cancer and diverticular disease must be excluded before IBS can be confirmed.
Treatment involves reassurance, adjusting the diet to test for wheat intolerance, treating the predominant symptom of constipation or diarrhoea, and antispasmodic drugs such as mebeverine and peppermint oil. Mebeverine plus codeine phosphate (as an analgesic) given immediately an attack comes on produces rapid relief and confirms the diagnosis. There is probably little benefit in giving continuous treatment. For selected patients, relaxation therapy or antidepressants such as amitriptyline may be beneficial.
Clinical features of constipation
Whether or not they consider it a problem, many patients suffer from chronic constipation. Constipation is difficult to define but the essence is a subjective inability to evacuate the bowels with sufficient frequency, ease, completeness or satisfaction. Perception of normality varies greatly; some patients insist that daily evacuation is essential whilst others tolerate a bowel movement only once a week.
Constipation is often considered in two groups. The first is slow transit with a general failure of colonic propulsion. The second, much smaller group includes patients with an evacuation disorder. These patients often complain of incomplete evacuation and a sensation of obstructed defaecation: some disorders responsible (like rectal intussusception) can only be demonstrated on a dynamic X-ray study known as an evacuation proctogram. These patients also require specialised anorectal physiological assessment.
From a medical viewpoint, evacuation less than twice a week is abnormal. In the uncomplaining elderly, defaecation may occur much less frequently, causing vague discomfort and anorexia, and predisposing to urinary retention, incontinence and urinary tract infection. Severe constipation alone may lead to faecal impaction and complete bowel obstruction necessitating hospital admission. Faecal fluid may intermittently escape past the impacted faecal mass and cause soiling, overflow incontinence or apparent (‘spurious’) diarrhoea.
Abdominal pain may be the presenting symptom. The pain may be sufficiently severe to precipitate emergency admission with suspected appendicitis (usually children) or suspected intestinal obstruction (usually the elderly). As many as 25% of patients in these age groups admitted with abdominal pain are eventually diagnosed as suffering from constipation. There is no fever, tachycardia or vomiting, and signs of peritoneal inflammation are absent. There may be mild abdominal tenderness. The faecally loaded left side of the colon often forms a palpable column which indents on palpation with a putty-like consistency. Rectal examination usually reveals a palpable faecal mass, although in the elderly the faeces may be impacted higher up, so an empty rectum does not exclude constipation.
For surgeons, chronic constipation is mainly a problem of children and the elderly. Patients present as emergencies and in the clinic. In most, the cause is a combination of low-fibre diet, poor fluid intake, obesity, inactivity and persistent failure to respond promptly to the urge to defaecate. Long-term use of purgative drugs such as senna may have an adverse effect on peristalsis. Some drugs, particularly codeine and opiates, slow large bowel motility, whilst yet other drugs such as aluminium hydroxide mixtures and iron preparations solidify the stool. Constipation is a characteristic feature of hypothyroidism and is also seen in hypo- and hypercalcaemia.
Diagnosis of constipation in children is usually made on the history and examination; successful treatment confirms the diagnosis. If chronic severe constipation persists in infants despite treatment, a diagnosis of ultra-short segment Hirschsprung's disease (see Ch. 50) should be considered. In the elderly, a dietary and drug history should be obtained, and blood tests performed to exclude metabolic causes of constipation. It is vital to differentiate constipation from early large bowel obstruction in this group of patients. Carcinoma or the complications of diverticular disease should be excluded by sigmoidoscopy and barium enema, colonoscopy or CT pneumocolon.
In severe constipation, treatment involves a series of measures used progressively:
• Discontinue constipating medication
• Rectal measures: lubricant glycerine suppositories, small phosphate enemas, stool-softening arachis oil enemas, manual disimpaction (may require general anaesthesia)
• Oral agents (Box 29.3): senna, bisacodyl or osmotic laxatives containing macrogol (polyethylene glycol 3350). A more radical method is to use oral sodium picosulfate (as used in surgical bowel preparation), along with adequate oral or intravenous fluids to avoid dehydration. Note that if powerful oral laxatives are given to an obstructed patient, life-threatening perforation of the bowel can occur
• Oral ‘maintenance’ medications: sodium docusate as a stool softener, lactulose, Fybogel
In milder long-term constipation, dietary measures should be used. Many patients take a high-fibre diet but do not drink enough, failing to recognise that both are necessary to produce the benefits of fibre. Many women fail to gain from a high-fibre diet; clearly, increasing their fibre even more does not improve matters. If the condition is not severe, then eating more figs, apricots and prunes may solve the problem. Otherwise, a low dose of a stimulant laxative taken intermittently may be needed.
Pathophysiology of sigmoid volvulus
Patients with longstanding chronic constipation tend to develop a capacious, elongated and relatively atonic colon, especially in the sigmoid region. This is sometimes described as acquired or idiopathic megacolon.

Fig. 29.1 Normal colon, megacolon and sigmoid volvulus
(a) Schematic diagram showing a grossly distended fluid-filled sigmoid colon twisted about its narrow neck, producing a ‘closed-loop’ obstruction; the loop is beginning to undergo necrosis. (b) and (c) This 35-year-old man with Down's syndrome presented with a massively swollen abdomen and total constipation. (b) Plain abdominal radiograph showing the abdomen filled with the dilated sigmoid loop, confirming the clinical diagnosis of sigmoid volvulus. Note the abdomen was so distended that two films were required to cover the area. The volvulus could not be relieved by gentle passage of a flatus tube. At operation (c), the hugely distended sigmoid emerged from the laparotomy wound. The loop had twisted three times around its narrow base and the colon was of doubtful viability. This sigmoid colon was resected without untwisting the volvulus
Occasionally, a huge sigmoid loop, heavy with faeces and distended with gas, becomes twisted on its mesenteric pedicle (often abnormally narrow) to produce a closed-loop obstruction (see Fig. 29.1a–c). If this volvulus is not corrected, venous infarction ensues, followed by perforation and catastrophic faecal peritonitis. This full picture is uncommon, but there is often a history of transient episodes of abdominal pain diagnosed as constipation. Note that volvulus elsewhere, of the caecum, small bowel or stomach is unrelated to constipation.
In Western countries, sigmoid volvulus is rare except in the elderly, those with severe learning difficulties, and long-stay patients in mental institutions; these groups all readily become faecally loaded. In contrast, it is very common in parts of the world where diet is extremely high in fibre, e.g. parts of Chile.
The patient with sigmoid volvulus is mildly unwell with abdominal distension and a variable degree of abdominal pain. There is absolute constipation (of both faeces and flatus) that has persisted for at least 24 hours. On digital examination, the rectum is empty but capacious. The abdomen is visibly distended and tympanitic to percussion but rarely tender. This is true even if the colon has reached the stage of venous infarction. Once perforation occurs, the full picture of faecal peritonitis will be evident.
Plain abdominal X-ray usually shows a single grossly dilated sigmoid loop, often reaching the xiphisternum (see Fig. 29.1). An erect film may reveal a characteristic ‘inverted U’ or ‘coffee-bean sign’ of bowel gas in the upper abdomen, with fluid levels at the same height in the two bowel limbs in the lower abdomen; a lateral decubitus X-ray may reveal two parallel fluid levels running the length of the abdomen.
If sigmoid volvulus is diagnosed, a sigmoidoscope is gently passed as far as possible into the rectum and a flatus tube inserted through it. The end of the flatus tube is then gently manipulated through the twisted bowel into the obstructed loop. If this is successful, there is a gush of liquid faeces and flatus, relieving the obstruction. The flatus tube can be left in situ for 24 hours to maintain decompression, discourage re-twisting and allow recovery of the vascular supply of the bowel wall. Despite this, volvulus is likely to recur.
If plain X-ray and sigmoidoscopy do not confirm volvulus but large bowel obstruction is still suspected, an ‘instant’ Gastrografin enema examination is performed, without bowel preparation. This differentiates volvulus from other obstructions such as cancer and diverticular disease, and from pseudo-obstruction. In volvulus, pressure from the enema may cause the bowel to untwist, releasing a torrent of faeces and flatus.
If a volvulus cannot be released, operation is performed urgently. In most cases, the bowel is still viable but sigmoid colectomy is usually required to prevent recurrence. A safe alternative procedure is to excise the sigmoid and bring the divided ends of bowel out to form a double-barrelled colostomy, rather than risk a primary anastomosis in this dilated and unprepared colon. For recurrent volvulus, sigmoid colectomy or suturing the bowel to the abdominal wall to prevent twisting may be performed electively.
Diverticular disease causes substantial morbidity in the older population, particularly in the West, and is a very common cause for hospital admission and operation. In developed countries, localised outpouchings or diverticula are present in the bowel wall in at least one-third of people over the age of 60. There is strong evidence that this can be caused or aggravated by a chronic lack of dietary fibre but there may also be a genetic element. Females are affected more often than males. (Note: the singular noun is diverticulum and the plural diverticula, not diverticulae; the adjectival form is diverticular.)
In diverticular disease, the colonic circular muscle is thickened because of an excess of elastic tissue between muscle fibres rather than muscle hypertrophy. The likely mechanism for diverticular formation is functional hypersegmentation. In this, adjoining segments of colon contract at the same time, sending peristaltic waves towards each other. This causes very high luminal pressure in short segments which forces mucosa to herniate through weak points in the wall. These potential defects occur where mucosal blood vessels penetrate the wall from outside, between longitudinal muscle bands (taeniae coli). The sigmoid colon is the section most commonly affected by diverticular disease and the condition extends for a variable distance proximally. Right-sided diverticular disease is more common in Japanese, Chinese and Polynesian races and is common in Hawaii. In the West, isolated caecal diverticula sometimes occur and may become inflamed or perforate; these are probably congenital rather than acquired.
The presence of uncomplicated diverticula is unimportant; this asymptomatic condition is known as ‘diverticulosis’. An individual diverticulum may, however, become inflamed as a result of obstruction of its narrow outlet. This causes a diverticular abscess. The abscess lies outside the bowel wall and leads to complications described below.
The consequences of diverticular inflammation are collectively described as diverticulitis and are summarised in Figure 29.3. Most people with diverticula are asymptomatic, and diverticula are a common incidental finding when the colon is investigated by barium enema or colonoscopy. Typical appearances are shown in Figures 29.2 and Fig. 29.4.

Fig. 29.2 Diverticular disease
Barium enema showing the typical appearance of multiple diverticula (arrowed) in the sigmoid and descending colon in a 77-year-old woman. A few diverticula are also present in the transverse colon
This is probably the most common manifestation of diverticular disease and is usually managed in family practices. Peridiverticular inflammation is chronic, low-grade and recurrent. Local irritation provokes bowel wall spasm, causing pain and erratic bowel habit. There is chronic constipation with small pellet-like faeces and episodic diarrhoea. There are few abnormalities on clinical examination, except perhaps mild left iliac fossa tenderness and faecal loading. Endoscopy or radiological imaging is often performed to confirm the diagnosis and exclude malignancy.
In most patients, symptoms can be relieved by taking a high-fibre diet and bulking agents, although some patients find symptoms are better on a low-fibre intake.
This represents local extension of the inflammation described above. It involves pericolic tissues and parietal peritoneum. Typically, the patient complains of continuous left iliac fossa pain and is systemically ill with a pyrexia and tachycardia, often requiring hospital admission. Abdominal findings range from mild left iliac fossa tenderness to obvious local peritonitis.
Antibiotic treatment is directed against the usual faecal organisms. In severe cases, a combination of intravenous antibiotics such as ciprofloxacin and metronidazole is used, and the bowel ‘rested’ by stopping oral intake and giving intravenous fluids. Less severe cases can be managed at home with oral antibiotics.
Four stages are described: stage 1 is a small pericolic or mesenteric abscess < 4c m; stage 2 is a large, often pelvic, abscess; stage 3 is a small perforation causing gaseous and purulent peritonitis; and stage 4 is free rupture with faecal peritonitis. Mortality rate for stages 1 and 2 is < 5%, for stage 3, 13% and for stage 4, 43%.
In patients admitted with complicated diverticular disease, initial imaging is with CT scan. Stage 1 patients nearly all settle with antibiotics, stage 2 and 3 patients can often be drained percutaneously and stage 4 patients need urgent laparotomy. Endoscopy to exclude malignancy should not be performed until inflammation has settled, after several weeks.
Pericolic abscess represents a further extension of the pathological process just described. The clinical presentation is similar at first but fails to resolve with antibiotics. The patient suffers persistent pain and tenderness, a swinging pyrexia and incomplete obstruction due to spasm of bowel wall muscle. Sometimes a pericolic abscess presents as ‘pyrexia of unknown origin’ or even systemic sepsis (septicaemia). A pericolic abscess may drain spontaneously into bowel, producing an attack of purulent diarrhoea; the condition then resolves. Diagnosis of a pericolic abscess is made on CT scan. A contrast enema may show leakage of contrast into the abscess cavity (see Fig. 29.5).
Antibiotic therapy is the first line of treatment for abscesses < 4 cm. Ideally, this allows the abscess to be contained, and then resolve or drain spontaneously into bowel. Abscesses > 4 cm can be drained percutaneously under radiological guidance. If this treatment fails, operation is required. This is a major procedure usually involving exploration and drainage of the abscess and diverting the faecal stream via a colostomy. The affected segment of bowel must be removed to prevent recurrence. Note that perforated carcinoma can present in a similar way and histological diagnosis is mandatory. The surgical options are to leave a rectal stump for later reanastomosis (Hartmann's operation, see Fig. 27.8, p. 359), a safe operation for non-specialists, or to primarily reanastomose the bowel ends. Reanastomosis is not attempted in faecal peritonitis or in a frail patient, as the chances of success are remote.
A small, asymptomatic diverticular abscess may rupture spontaneously, i.e. perforate, resulting in escape of gas and minimal bowel contents into the peritoneal cavity. The patient presents with an acute abdomen, the severity of clinical signs depending on the size of perforation and degree of peritoneal contamination. Perforations vary from pinhole size to a hole of 1 cm or more causing generalised faecal peritonitis and potentially fatal sepsis. With small perforations, symptoms and signs may be similar to acute diverticulitis; diagnosis of perforation is confirmed by finding free sub-diaphragmatic gas on CT or erect chest X-ray.
Conservative treatment employing percutaneous drain placement and bowel rest is appropriate for minimal perforations (Hinchey 3) but for Hinchey 4 perforations involves immediate parenteral antibiotics, followed by laparotomy for peritoneal toilet, diversion of the faecal stream and resection of diseased bowel.
Fistula formation can occur when an inflamed diverticulum lies close to another hollow viscus. Inflammatory adhesions develop and the diverticulum then ruptures into the other viscus. A fistula between large bowel and small bowel (see Fig. 29.6) causes diarrhoea. A vesico-colic fistula causes pneumaturia and severe urinary tract infection. A fistula into the vagina after a previous hysterectomy causes a purulent vaginal discharge. Diverticular disease is the most common cause of these types of fistula but they may also be caused by Crohn's disease and sometimes colorectal cancers.
Fistulae rarely show up on barium enema examination. CT scanning may reveal a loss of normal tissue planes between bowel and viscus, and/or gas in the bladder. Diagnosis can also be made on the history, at operation or, in the case of bladder fistula, at cystoscopy. Surgery involves excision and histological examination of the affected segment of bowel and repair of the viscus.
Diverticular disease occasionally presents with large bowel obstruction due to acute inflammatory thickening, muscle hypertrophy and spasm. Incomplete obstruction is more common and presents as severe constipation. Chronic diverticular inflammation sometimes causes local fibrous strictures, particularly in the sigmoid, which cause intermittent bouts of constipation when the stool is dry. When detected radiologically or endoscopically, these strictures must be distinguished from malignancy or Crohn's disease by biopsy (Figs. 29.5 and 29.7).
When acute diverticular inflammation involves the pericolic tissues, small bowel may become involved. Thus, small bowel adynamic disorder may be the presenting feature, with obstruction-like symptoms.
Diverticular disease may present with acute rectal bleeding, which, unlike the other complications of diverticula, is not usually the result of inflammation. Blood loss is variable but the bleeding almost always stops spontaneously. The patient typically complains of having passed a mass of fairly fresh blood instead of the expected stool and is admitted to hospital urgently. The main differential diagnosis is ischaemic colitis but other causes of rectal bleeding such as carcinoma and haemorrhoids must be considered.
Management is rarely surgical but an angiogram and embolisation is sometimes performed by a specialist radiologist if the bleeding is severe. After necessary resuscitation, the patient is kept under observation for several days, after which it is safe to perform further investigations.
For further reading please see: http://www.nejm.org/doi/full/10.1056/NEJMcp073228
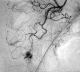
Colonic angiodysplasias have been recognised as a common cause of acute or chronic rectal bleeding and iron deficiency anaemia since the mid-1970s. The lesions are tiny hamartomatous vascular lesions in the colonic wall, usually in the ascending colon, and produce bleeding out of proportion to their size (see Fig. 29.8). They may also occur in the stomach and small bowel. The origin of colonic angiodysplasias is unknown but since they occur later in life, they are probably acquired and degenerative.
If bleeding is acute and is occurring rapidly, selective mesenteric arteriography may demonstrate the source of bleeding. In chronic or recurrent haemorrhage, large bowel lesions can be visualised by colonoscopy. This underlines the importance of thorough colonoscopy in patients with unexplained GI blood loss. Lesions can often be treated by electrical coagulation via a colonoscope. If unsuccessful, the affected segment is excised. Similar lesions occur more rarely in small bowel and bleed in the same way.
Ischaemic colitis is a condition of the elderly which usually presents with rectal bleeding. The history is characteristic; there is a bout of cramp-like abdominal pain lasting a few hours, followed by an attack of rectal bleeding. Usually the bleeding is dark red, often without faeces, and occurs one to three times over about 12 hours. The episode then ceases spontaneously. The differential diagnosis includes acute bleeding from diverticular disease. The cause is transient ischaemia of a segment of large bowel, followed by sloughing of the mucosa with the splenic flexure the most vulnerable. Further attacks occasionally occur but most patients have no further trouble. Investigation by barium enema in the acute stage may reveal colonic oedema in the affected segment (see Fig. 29.9). A rare late complication is fibrotic stricturing of the area affected by ischaemia.