10 Chest X-Ray Interpretation

Maureen A. Madden, Mary Fran Hazinski

Pearls

The chest radiograph must be used in conjunction with careful, clinical examination of the patient.

Nurses should develop a systematic method of reviewing chest radiographs and use that format for examining every film.

Loss of the cardiac silhouette indicates lung opacification (e.g., pneumonia, atelectasis).

Remember that free air shifts or rises to superior portions of the chest, whereas free fluid tends to shift or fall to dependent (inferior) portions of the chest.

Atelectasis represents a volume loss; therefore, structures are often shifted toward the area of atelectasis.

Pneumothorax and hemothorax are conditions that represent a volume gain; therefore, structures are often shifted away from the area of pneumothorax or hemothorax.

Because x-rays, CT scans, and fluoroscopy all use ionizing radiation, they should be used judiciously and with a specific indication or clinical question to be answered. (For more information, refer to the Image Gently campaign, available at: http://www.pedrad.org/associations/5364/ig/.)

Introduction

The discovery of the technique of radiography in 1895 by Wilhelm Conrad Roentgen provided clinicians with a noninvasive diagnostic method to evaluate internal anatomic structures and changes within the body. Many of the key elements of Roentgen’s original technique for the acquisition and development of a chest radiograph are still used today: film is exposed, developed, coded, and stored for review. However, digital radiography and the picture archiving and communication system (PACS) have significantly improved access to images. This system allows images to be viewed remotely almost immediately and manipulated at a workstation by clinicians in different locations. Images can also be viewed at the bedside soon after they are obtained. Often, the nurse is one of the first healthcare providers to see a patient’s chest radiograph.

A basic understanding of the chest radiograph can aid in the assessment and care of critically ill children. This understanding can help the nurse to interpret changes in the radiograph; evaluate placement and location of tubes, catheters, and wires; and correlate changes with the patient’s response to therapy. This information can assist in prevention or early detection of pulmonary disorders and complications of treatment, and it can help to identify the need for changes in treatment. The purpose of this chapter is to present the basic concepts used in the interpretation of chest radiographs and the application of these concepts to the care of the critically ill child.

The chest radiograph remains the most important method of chest imaging, providing an easily accessible, inexpensive, quick, and effective diagnostic tool. However, it is important to appreciate the limitations and pitfalls of this technique. It is extremely important that the chest radiograph be used only in conjunction with careful physical assessment. Often the radiograph simply confirms findings of the physical examination, and the child’s clinical condition will usually dictate the treatment required. In addition, a radiologist will be responsible for the final interpretation of any radiograph.

This chapter presents a systematic approach to interpretation of the radiograph and highlights the important factors that the nurse evaluates with this approach. This chapter will not discuss treatment of the problems identified on the radiograph. Evaluation of a chest radiograph may appear to be simple, but is in fact a complex task requiring careful observation, sound understanding of chest anatomy, and knowledge of the principles of physiology and pathology. The value of chest radiographs for critically ill pediatric patients is based on the diagnostic efficacy (the influence of a test result on diagnosis) and therapeutic efficacy (the effect of a test result on clinical management).2 A systematic approach to the review of a chest radiograph will help prevent errors in interpretation and diagnosis.

Radiographs are a common diagnostic study in critical care units, and they can produce scattered radiation during exposure. Healthcare providers often become lax in shielding themselves and their patients from the radiant energy. The clinician should always wear a lead shield if it is necessary to remain at the bedside during x-ray examinations and should always be certain the child has a gonadal shield in place. Pregnant nurses should check hospital policy regarding protection during patient x-ray procedures. It may be necessary for another nurse to assist in obtaining needed radiographs so that the pregnant nurse avoids any risk of radiation. If it is necessary to hold the child during x-ray examinations, clinicians should wear lead gloves.

Definitions

X-rays are a form of short wavelength radiant energy. Images are produced when an x-ray beam is directed through an object to a film cassette. The image produced on the film is determined by the composition, or density, of the object through which the beam passes. The thickness of components of the body and structures in the body vary in their radiodensity, or ability to block or absorb the x-ray beam. To begin the interpretation of a radiograph, the nurse must be able to recognize the different densities that are produced on a chest radiograph and be aware of terms used to describe these differing densities and their radiographic appearances (Box 10-1). This will help differentiate between normal and abnormal findings on the radiograph.

Box 10-1 Glossary of Terms

Density: Whiteness or any area of whiteness on an image

Lucency: Blackness or any area of blackness on an image

Shadow: Anything visible on an image; any specific density or lucency

Edge: Any visible demarcation between structures of differing density; sharpest edges are created when there is density on one side and a lucency on the other

Silhouette: Synonym for edge; the loss of an edge constitutes the silhouette sign

Line: Thin density with lucency on both sides or a thin lucency with density on both sides

If the object is extremely dense, it will block or absorb a significant portion of the beam and prevent it from reaching and reacting with the film; this creates a gray or white shadow on the film. The more x-ray beam an object blocks or absorbs the more radiopaque or radiodense that object is. An object that is not very dense does not block or absorb much of the x-ray beam; it is radiolucent.19 When the beam passes through such an object, most of the beam reacts with the film, and the resultant image on the film will have a dark gray or black appearance.

Most complex objects are not of uniform density; they contain a variety of substances of varying densities, which produce shadows on a radiograph. There are four major categories of radiographic densities that appear on a radiograph; in order of decreasing density these are metal or bone, water, fat, and gas (or air).3 Metal is extremely dense, and it is the most radiopaque of materials. Pure metals block or absorb the entire x-ray beam and produce a bright white shadow on the radiograph. Because bones contain a large amount of calcium, they are nearly as dense and radiopaque as metal and also produce white images on the radiograph. Water and other fluids are fairly radiodense; they block a significant amount of the x-ray beam and have a gray appearance. Body tissues or cavities containing water or fluid (such as the heart) will produce a very light or white image on the radiograph. However, because water and fluids are not as dense as bones, bones and metals will still create whiter (more opaque) images than water. Because fat (including muscle) is not as dense as water, it does not block as much of the x-ray beam and consequently is less radiopaque or more radiolucent than bone or fluid. As a result, the radiograph shadow that fat produces is less dense than that produced by bone or water. Fat is contained in subcutaneous tissue and in some muscle; the x-ray image produced by these fat-containing tissues will have a dark gray or charcoal appearance. Gas or air is the least dense of substances visible on the chest radiograph. Because gas does not absorb much of the x-ray beam, it is radiolucent and produces a black image. Gas or air density is normally seen in the lung fields and in the air-filled stomach. The ability to discern muscle, blood, internal organs, fat, and tissues requires the understanding of normal anatomy.5,7,16,17

All parts of the body contain one or more of the four densities—metal or bone, fluid, fat, or gas. The juxtaposition of body parts or chambers of differing densities will create contrasts on the radiograph. When objects of varying densities are in contact, their borders will be apparent because of the contrasts in their radiographic images, and the difference in their images creates an edge or silhouette.3 When structures are visible on a radiograph, it is easy to evaluate their size, shape, and position. When two objects with similar densities are in contact or in the same plane as the x-ray beam, no spectrum of density is seen; therefore, there is no visible border between the objects on the radiograph.17 This finding may be normal based on normal anatomy. The silhouette sign describes the loss of a normal interface or silhouette, which is suggestive of abnormal tissues densities, often indicating a pathologic condition.6,16 This observation of abnormal density or silhouette sign can often confirm a diagnosis of inappropriate tissue, fluid, or air accumulation. The silhouette sign is commonly applied to the heart, mediastinum, chest wall, and diaphragm.

An x-ray film creates a two-dimensional image of three-dimensional objects as it compresses the image into one plane. As a result, the depth of structures often cannot be appreciated by evaluation of only one radiograph view. Many times, studies must be taken from two or more views so that the images can be compared to better evaluate the relative position of objects.14 Healthcare providers are aware that it is impossible to confirm correct placement of a tracheal tube from an anteroposterior (AP) or a posteroanterior (PA) x-ray alone, because such a film compresses the anterior-posterior dimension. The AP film can be used to evaluate depth of insertion and placement in or displacement from the midline. Only on the lateral view of the chest will it be possible to correctly evaluate the position of the tracheal tube relative to the trachea and esophagus.

The radiograph views are typically labeled by patient position (e.g., upright, lateral) and by the body part nearest to the x-ray projection tube. The optimal position for chest radiography is the upright or erect position. The standard chest film is an upright PA film. This film is typically obtained in the radiology department. The patient stands facing the radiographic film cassette, and the x-ray beam is directed from the back of the patient, through the patient, to the film. Thus, the patient’s back (posterior aspect) is closest to the x-ray tube.

An AP chest film is the view most frequently obtained in the critical care unit because it can be taken with a portable x-ray machine. When an AP view is obtained, the film cassette is placed under or behind the child and the child faces the x-ray tube. The child optimally should be in a sitting position; however, if there is difficulty in positioning the child because of acute illness or general immobility, the child is positioned supine. The x-ray beam is then directed from in front of the child through the child and to the film. As a result, the front of the child (anterior aspect) is nearest the x-ray tube when the film is taken. The AP film tends to magnify anterior chest structures, including the heart, because of the divergence of the x-ray beam; this makes it difficult to compare heart size in an AP versus a PA film. Heart size is most magnified in an AP supine film because of horizontal elongation of the ribs, higher placement of the diaphragm, and the impression of decreased lung volume.17

Whenever heart size is evaluated on chest radiographs, it is important to know whether the film was taken with a PA or an AP approach, although the difference is not as significant in infants and small children as it is in older children and adults.19 Changes in heart size, or in the size of any organ, can best be appreciated by comparing two images obtained using the same approach. Characteristically, chest films obtained in the radiology department under controlled conditions are clearer and of better quality than those obtained with a portable machine. Therefore, the films should be obtained in the radiology department whenever practical.

When PA or AP chest films are obtained, evaluation of lateral relationships of structures is possible, but assessment of AP relationships is not possible because of the compression of the image onto a single plane. If a determination of depth is necessary or if localization of a density is required, a lateral film is taken. Lateral chest films are usually obtained as part of a complete radiographic study of the heart and lungs. To obtain a lateral film, the patient is upright, the film cassette is placed on one side of the patient—typically the patient’s left side—and the beam is directed from the other side of the patient. The lateral film is labeled according to the side of the patient that is nearest the x-ray tube. If the patient’s left side is against the film cassette and the right side is nearest the X-ray tube, the resultant film is a right lateral film. Conversely, if the patient’s right side is nearest the film cassette and left side is nearest the x-ray tube, the film is a left lateral film.22

Lateral views allow evaluation of the AP relationships of body structures, but they do not allow determination of their lateral relationships. Therefore, the comparison and evaluation of both a PA and a lateral film provide much more information than either film does separately. An additional advantage of obtaining radiographs in two views is that thin structures (such as fissures) may be visible on only one film if the x-ray beam strikes the structure parallel to its long axis.9,24 When films of the same object are obtained using two different views, there is a greater chance that small structures will be apparent on one of the views.

A lateral decubitus view is obtained with the patient lying on one side or the other. The film cassette is placed at the patient’s back, and the x-ray beam is then aimed horizontally or parallel to the floor.9 A lateral decubitus view can be obtained in the critical care unit, and it is often helpful in determining the presence of air-fluid levels in the chest, such as those be seen when a lung abscess or pleural effusion is present. Positioning has a significant influence on the appearance of air, fluid, and blood vessels within the chest.

Interpretation of film technique

Patient Position and View

The evaluation of a chest radiograph requires knowledge of the exposure conditions of the film, the angle of the x-ray beam, and the alignment and position of the patient. If the x-ray tube is positioned close to the film and the patient, the x-ray image of the patient will be magnified. Conversely, if the x-ray tube is farther away from the film and the patient, the image of the patient will be smaller but sharper. The x-ray tube should be positioned so that the x-ray beam is exactly perpendicular to the plane of the film. If the patient is positioned properly, the x-ray beam will be perpendicular to the horizontal or vertical axis of the patient. If the x-ray beam or patient is slanted, and not perpendicular, a lordotic (oblique) view will be obtained and will show the body or chest at an angle. An oblique view is undesirable if it is obtained unintentionally, because structures farthest from the beam will be shortened while those closest to the beam will be enlarged.22 The child’s nurse should assist the radiology technologist in ensuring that the child is not rotated during exposure of the image. This can reduce the need for additional radiographs, with the associated increase in radiation to the child.

In a lordotic film, the clavicles are projected higher than normal and may be seen to lie above the lung apices, and the ribs appear more horizontal. In addition, it may cause hazy opacification at the lung bases as a result of overlapping soft tissues with magnification of the heart and mediastinum. If the apices of the lungs are not visible above the clavicles on an AP or a PA chest film, a lordotic view has been obtained, and this must be considered when evaluation of lung size and chest expansion is made.17

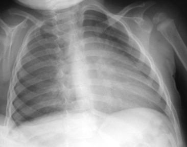
The alignment and the position of the patient at the time the film is taken also must be considered (Fig. 10-1). To determine whether a patient was positioned appropriately during the radiograph exposure, several structures should be evaluated. This evaluation includes the position of the trachea, curvature of the spine, position of the clavicles, length and symmetry of the ribs, and cardiac landmarks. If the patient is positioned straight and not rotated on the image, the trachea should project in the midline within the upper third of the chest. The spine should be straight with the intervertebral bodies outlined as separate from the disc spaces. With good alignment, the clavicles are of equal size and length. The medial ends of the clavicles should be equidistant from the thoracic spinous processes; they are normally projected over the lung apices and overlap the anterior first ribs. If the clavicles both appear horizontal and of equal size and length, a true AP or PA view was obtained.14 If, on the other hand, one clavicle appears to be smaller than the other (because it was farther away from the x-ray tube at the time the film was taken), or if one clavicle is at a different angle than the other, the patient was probably rotated, and an oblique view of chest structures appears on the radiograph, creating the appearance that one side of the chest image (and one clavicle) is larger than the other. As noted previously, if the apices of the lungs are not visible above the clavicles on an AP or a PA chest film, a lordotic view has been obtained.17

image

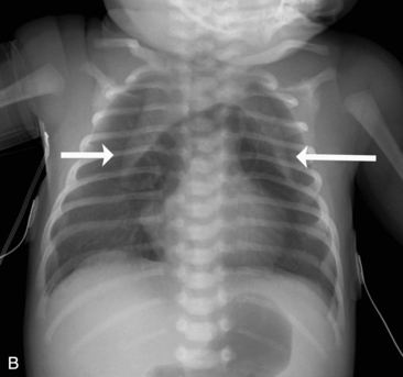
Fig. 10-1 In this chest radiograph the child is rotated to the left. Compared with Fig. 10-2, A, which demonstrates evidence of proper positioning, in this film the proximal ends of the clavicles are not symmetrical in appearance. The patient’s left clavicle appears larger. The ribs on the patient’s right side are more curved posteriorly, and ribs in the patient’s left chest are more elongated with greater visualization of the anterior ribs. The cardiac silhouette is more prominent in the left chest with a normal cardiothoracic ratio, but the heart shape is altered by the rotated view.

It is important to consider patient alignment when making any observations about heart size. If the patient is rotated, the oblique image changes the heart shape and distorts the image, causing a spurious increase in cardiac size.

When the chest film is obtained, the radiology technologist and the nurse must be sure to note the position of the patient, whether upright (sitting or standing) or supine. The patient’s position is important because gravity will influence the appearance, position, and location of any free air or fluid in the chest. Free pleural fluid (such as that accumulating as a result of a hemothorax, chylothorax, or pleural effusion) will assume a dependent position. If the child is upright, free fluid tends to accumulate along the bases of the lungs and the diaphragm, and it will appear as a dense opacification obscuring adjacent structures. The fluid usually reaches a higher point along the lateral chest wall than along the mediastinum, which is referred to as the meniscus sign. If the film is taken with the child supine, free pleural fluid will accumulate in the back of the child’s pleural cavity, posterior to the lungs, and produce a more diffuse opacification throughout the affected hemithorax. Vascular markings are usually visible within the lung situated anterior to the fluid, which on an AP film can make this fluid difficult to distinguish from intrapulmonary congestion.

To determine the presence, quantity, and location of free intrapleural fluid, the child should be placed upright before and while the radiograph is taken. If this position is impossible or an inconclusive reading is obtained, a lateral decubitus film often will be obtained. In the lateral decubitus position, the patient is positioned with the affected side down, and any free fluid will accumulate in the dependent portion of the lateral pleural space.

Air tends to rise to the highest point within the chest cavity. As a result, in an upright view, free pleural air (such as a pneumothorax) will rise toward the apex of the lung. On a supine film, the highest point in the chest lies adjacent to the heart and mediastinum. When the child is supine for an AP film, free pleural air usually is seen along the diaphragm or the sides of the lung fields. Free air will typically cause increased lucency at these points, often with no lung edges or lung vascular markings visible.9,14 If free air is suggested on a supine view, it can be confirmed by a decubitus view. When the child is positioned on the dependent side opposite to the free air, any air in the pleural cavity will rise to lie along the lateral chest wall.17

Ideally, chest radiographs should be obtained with the child in the upright position. In this position, air and fluid levels are more readily identified. In addition, when the child is upright, diaphragm excursion is usually better, enabling the child to inspire more deeply so that a better inspiratory film is obtained.

Film Technique

The exposure of the chest film will affect the intensity of the images on the chest radiograph. With the correct exposure, the spinous process of the lower thoracic vertebral bodies should be just visible through the cardiac shadow. If the radiograph is penetrated appropriately, the vertebral bodies will be clear and well delineated behind the heart, and disc spaces will be visible between the vertebral bodies. In addition, some pulmonary vascular markings will be projected over the heart shadow, because they are present behind the heart.

When the exposure of the film is not correct, the change in exposure will affect the entire film appearance. If the chest radiograph is underpenetrated (underexposed), all the structures on the radiograph will appear lighter in appearance or diffusely opaque (i.e., too white). The resulting images are difficult to interpret, preventing a detailed view of the mediastinal, retrocardiac, and spinal anatomy. Pathologic findings in the left lower lobe can be missed easily.27 In addition, pulmonary vascular markings will appear to be more prominent, with less distinct borders; thus, they may be mistakenly interpreted to be increased or hazy resulting from interstitial edema. If a film is overpenetrated (overexposed), all the images on the radiograph will be darker or diffusely lucent. The lungs will appear blacker than usual. Overpenetration can obliterate shadows and can make pulmonary vascular markings appear to be reduced.16

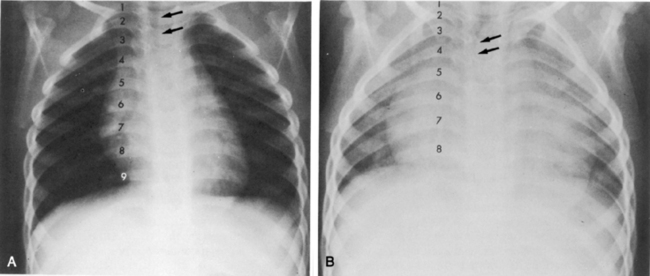
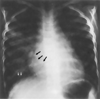
Unless other orders are specifically given, chest radiographs should be obtained during inspiration. This practice maximizes the size of the lung fields, allows detection of intrapulmonary abnormalities, and makes the cardiac image sharp. To determine whether the radiograph was obtained during inspiration or exhalation, the nurse should count ribs visible above the diaphragm and evaluate rib interspaces. With good inspiration and chest expansion, the domes of the hemidiaphragm are forced down to the ninth or tenth ribs posteriorly. In addition, the normal trachea should appear to be straight. If fewer than nine ribs are visible above the diaphragm, the child probably was exhaling while the film was taken.

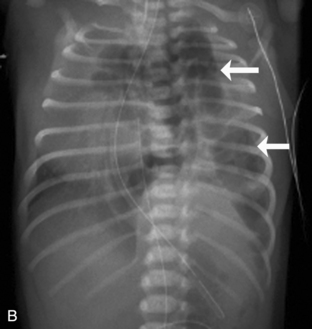
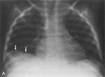
If the film is obtained during expiration, the heart will appear larger and less well defined. The lung fields will appear to be hazier and the pulmonary vascular markings more prominent. Hypoinflation of the lung fields can lead to misinterpretation of the images and misdiagnosis of a basilar pneumonia or cardiomegaly. Furthermore, if maximal inspiration is not present, the lungs can appear more congested and the trachea will appear to buckle to the right.21,24 Figure 10-2 illustrates these differences with two views obtained from a normal child during inspiration and expiration.

image

Fig. 10-2 Inspiratory and expiratory chest radiograph. Normal chest films obtained from the same child during inspiration and expiration. A, Inspiratory phase. Nine ribs can be counted above the diaphragm, indicating good inspiration. Alignment is good (note similarity of clavicles). Penetration of film is good (all vertebral bodies are visible; some pulmonary vascular markings can be seen). Intercostal spaces are equal; both sides of the diaphragm are visible. The mediastinum and trachea are straight (arrows). Heart borders are sharply defined, and heart size is normal. Pulmonary vascular markings are visible in the proximal two thirds of lung fields (normal). B, Expiratory phase. Only eight ribs are visible above the diaphragm (see numbers on ribs), indicating inadequate lung expansion. Alignment is good. Penetration of film is good. Intercostal spaces are narrow because expiration is occurring. Both sides of the diaphragm are hazy, and the left hemidiaphragm is not readily identifiable. The mediastinum appears widened, and the trachea seems to buckle to the right (arrows). Heart appears much larger than in A, and the heart borders are obliterated, but this is caused by expiration and reduction in apparent lung volume. Silhouette sign appears to be present, cardiothoracic size calculated from this view would be large, and pulmonary vascular markings appear prominent, but these are all artifacts caused by expiration.

(Courtesy H. Rex Gardner, Rush Presbyterian Saint Luke’s Hospital, Chicago, IL.)

The child must not move while the film is taken because motion can blur cardiothoracic structures. Blurring of the diaphragm can mimic the appearance of pulmonary infiltrates.19 If the nurse or radiology technologist suspects that the child moved when the film was taken, this should be noted for consideration when the film is interpreted. If excessive motion artifact is present, another film should be obtained.

Not all opacities on chest films originate in the lungs. Common artifacts that appear on chest radiographs include electrocardiogram leads, jewelry, snaps, ventilator or oxygen tubing, intravenous catheter lines, and wire sutures. When possible, before the chest film is taken, remove any external metal objects or extraneous items that can cause artifacts on the radiograph. Occasionally, long hair, wrinkles in clothing, or skin folds produce artifacts that resemble pulmonary infiltrates, air-fluid interface, or pneumothorax.

Interpretation of chest radiograph

It is good practice to develop a routine for reviewing chest radiographs. The first step is to verify that the chest radiograph is the correct film from the correct patient. Verify the patient’s name, date of birth, hospital number, and sex. Next, ensure that the correct film is being reviewed by verifying the date and time that it was taken. Last, confirm that the image is actually the type and view of image to be reviewed: AP, lateral decubitus, or other image type. Examine the film for technical qualities, as described previously. Include verification of the side marker, indicating left or right side of the patient, in addition to supine or lateral view.

Systematic Approach

When an organized systematic approach is used to examine the radiographic image, the nurse will be less likely to overlook significant abnormalities. It is often advisable to initially ignore the most striking or obvious features of a radiograph to avoid overlooking other equally important features. Table 10-1 provides one method of organizing the review of a chest film. Because there are many correct sequences that can be used to interpret the film, the nurse must develop an individual, comfortable style. The most important thing about any approach is that it must include all aspects of the film review. Once a healthcare provider develops a systematic and comprehensive approach to reviewing a film, the provider should use this method every time to ensure that nothing is missed during the review.

Table 10-1 An Organized Approach to Chest Radiograph Examination

Focus of Examination Aspects of Examination
Technique 1. Check alignment and position (check clavicles)
2. Check degree of inspiration (9 to10 ribs should be visible with full inspiration)
3. Check penetration (vertebral bodies should be easily visualized)
Soft tissues of chest and neck 1. Check for subcutaneous emphysema
  2. Examine extrathoracic structures
Bony thorax and intercostal spaces 1. Examine clavicles, scapula, ribs, humeri, and cervical and thoracic vertebrae
2. Check for fractures
3. Evaluate width of intercostal spaces (should be equal)
Diaphragm and area below diaphragm 1. Note clarity of diaphragm and location (check for elevation)
2. Check for location of gastric bubble (normal: patient’s left)
Pleura and Costophrenic angles 1. Check for presence of fluid or air between pleural layers (look between bony thorax and lung)
2. Costophrenic angle should be sharp
Mediastinum 1. Borders should be sharp
2. Check for lateral shift
Trachea 1. Should be straight (may buckle to left on expiratory film if right aortic arch is present)
2. Check for narrowing or deviation
Heart and great vessels 1. Borders of heart and aorta should be distinct
2. Obliteration of heart borders is called silhouette sign (see Table 10-2)
3. Measure cardiothoracic ratio—normally approximately 0.5 for children and adults (half the width of the chest)
Lung fields 1. Compare right with left
2. Note presence and location of any opacification; describe it
3. Look for air-fluid levels
Hili and pulmonary vascularity 1. Pulmonary vascularity is most prominent at hili
2. Peripheral pulmonary vascular markings usually are visible in proximal two thirds of lung fields (note if markings are increased or decreased)
3. Prominent but hazy pulmonary vascular markings may result from pulmonary edema or pulmonary venous congestion
Check location and continuity of all tubes, catheters and wires 1. Note position of head when evaluating endotracheal tube position
2. Tip of endotracheal tube should be at level of third rib (1-2   cm above carina)
Compare with previous films  

Current films should not be reviewed in isolation. They are most valuable when compared with the patient’s previous films to better appreciate changes. With the advent of the PACS, previous images are readily available for review and comparison with recent images. PACS allows for the sequential review of older images and can also allow for side-by-side comparison with the most recent image.

After review of the technical aspects of the chest film, the nurse can begin examination of the structures outlined by the radiograph. In this chapter, emphasis is placed on examination of the AP chest film because this is the projection most frequently obtained in the critical care setting.

Soft Tissues and Bony Thorax

Examine the soft tissues of the chest wall for evidence of subcutaneous emphysema (air density between the skin and bony thorax), which can result from an air leak around the chest tube or from a penetrating chest wound. In addition, tissue swelling can indicate the presence of an injury. Check the soft tissues of the neck for subcutaneous emphysema. In addition, if the child is intubated, note the position of the child’s head, because flexion or extension of the head can change the position of the tip of the endotracheal (ET) tube.15

Examine the bony thorax and the shape of the chest. Infants and young children normally have round chests with a horizontal orientation of their ribs (see Fig. 10-2). However, older children and adults have chests that are wider than they are deep, and their ribs angle downward from back to front. A round chest in an older child or adult is abnormal and may be the result of chronic respiratory disease with air trapping. As discussed, nine or ten ribs should appear above the dome of the diaphragm if a good inspiratory film has been obtained.

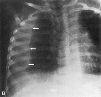
Check the continuity of vertebrae, ribs, scapulas, and clavicles for fractures and bony destruction. The ribs and intercostal spaces should be symmetrical. A fracture often will create a dark line in the bone because of separation of the bone fragments (Fig. 10-3). The vertebral bodies, particularly the cervical vertebrae, should be checked closely for fractures if the child has been admitted following trauma. The presence of multiple rib fractures, especially both posterior and anterior, and in various stages of healing is pathognomonic (positive predictive value of 95% or higher in children 3   years of age and younger) for child abuse.4 Healing fractures often have an enlarged area consisting of cartilage and woven bone creating a callus. Rib notching, or erosion of the underside of ribs caused by enlargement of the intercostal arteries, can be seen in older children with coarctation of the aorta, because the intercostal arteries become enlarged to carry collateral circulation around the area of coarctation into the descending aorta. Abnormalities of the ribs may be noted if the child has had surgery to alter the size or shape of the rib cage. Splinting can produce narrowing of the intercostal spaces on one side of the chest.

image

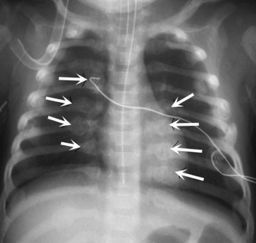
Fig. 10-3 Rib fractures. This chest radiograph of an 18-month-old girl was obtained as part of a series of films to evaluate for evidence of injuries caused by inflicted trauma. The child was admitted to the pediatric critical care unit with altered mental status, subdural hemorrhages, bilateral retinal hemorrhages, and areas of ecchymosis in various stages of healing. There are multiple healing rib fractures of different ages bilaterally, both medially and laterally (some indicated by the arrows) with no previous physician visits for trauma and no explanation for the injuries. Note the position of the tip of the nasogastric tube in the distal esophagus.

If the child has undergone previous cardiothoracic surgery, sternal wires or clips may be noted or the appearance of the ribs may be altered. Significant deformities of the chest wall (e.g., pectus excavatum) can alter the location and appearance of the cardiac silhouette.

Evaluate the width of the intercostal spaces. Following a thoracotomy, muscle spasm or sutures can reduce the width of the intercostal space at and near the site of surgery. In addition, significant atelectasis can cause narrowing of the intercostal spaces on the involved side and widening of the spaces on the noninvolved side.9,14 Hyperinflation, associated with air trapping, will cause widening of the intercostal spaces bilaterally.

Diaphragm and Abdomen

Examine the position and appearance of the diaphragms, including the shape, height, and angles. The patient’s right hemidiaphragm is usually approximately 1 to 3   cm higher than the left hemidiaphragm because the liver lies under the right diaphragm. The diaphragms should appear smooth and domed, with sharply defined costophrenic angles (the angle produced by the lateral downward curve of each hemidiaphragm at its periphery). Unilateral elevation of the diaphragm may be caused by diaphragm paralysis; this may be congenital in origin or result from chest trauma or injury to the phrenic nerve during thoracic surgery (Fig. 10-4). The elevation occurs during spontaneous inspiration, but will not occur during positive pressure inspiration. Atelectasis and abdominal organ distension are additional potential causes of unilateral elevation of the diaphragm. Bilateral elevation of the diaphragm may be observed in the child with hypoventilation, abdominal distension, ascites, intraabdominal mass, or obesity.

image

Fig. 10-4 Paralyzed left diaphragm. This patient has congenital paralysis of the left hemidiaphragm. This chest radiograph reveals significant elevation of the left hemidiaphragm. Note the presence of air filled bowel loops under the left hemidiaphragm. The right hemidiaphragm (arrows) is flattened with some hyperexpansion of the lung. The number of the ribs visible in the right and left lung fields may be counted to compare the relative lung expansion bilaterally. Note that diaphragm asymmetry may be masked during positive pressure ventilation.

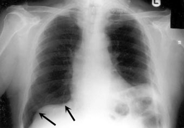
If the clear silhouette between the air density of the lungs and the tissue density of the diaphragm is obscured, it is usually caused by basilar atelectasis or accumulation of free pleural fluid along the diaphragm (Fig. 10-5). The accumulation of subpulmonic fluid can create an appearance similar to that produced by an elevated diaphragm if an AP film is taken with the patient upright. The free fluid will be readily apparent, however, when a lateral decubitus film is taken.

image image

Fig. 10-5 Pleural effusion. These films were obtained when this 3-year-old child developed tachypnea and increased respiratory effort several days after repair of a double-outlet right ventricle. The nurse noted a significant decrease in breath sounds over the right lung fields, particularly the right middle and lower lobes. The right lung fields were dull to percussion. The radiograph was ordered to differentiate between atelectasis and pleural effusion. A, The upright anteroposterior film. Despite an apparently good inspiratory film, the right lung field is smaller than the left. This finding could indicate elevation of the diaphragm as a result of atelectasis. It also could represent free pleural fluid accumulation along the diaphragm. The hilar pulmonary vascular markings are somewhat hazy; this is consistent with either atelectasis or compression of the right lung by subpulmonic fluid. The right costophrenic angle is blunted, so the diagnosis of pleural effusion was favored and a decubitus film was ordered to confirm the diagnosis. B, The decubitus film. The film was taken with the child lying on his right side so that the free right pleural fluid accumulated along that side. The fluid level is easily discerned (arrows).

(Courtesy Andrew K. Poznanski, Children’s Memorial Hospital, Chicago, IL.)

The diaphragm can appear to be unusually flat and depressed in any condition that increases the volume of the lung or the contents of the hemithorax. The patient’s diaphragm will be unilaterally flattened and displaced downward if the child has a significant unilateral (tension) pneumothorax or if the child has unilateral lung disease and hyperexpansion of one lung (see Fig. 10-4, noting the appearance of the child’s right hemidiaphragm).22

After evaluation of the diaphragm, examine the structures below the diaphragm. There is usually some air in the child’s stomach—in fact, the absence of gastric air in the neonate is one of the pathognomonic radiographic signs of esophageal atresia.20 The gastric bubble should appear under the patient’s left hemidiaphragm. If the gastric bubble is present under the patient’s right hemidiaphragm, situs inversus is present (i.e., the abdominal organs are transposed). The bedside nurse should be aware if the child has situs inversus, because this will affect subsequent assessments such as location for auscultation as part of the process of checking placement of the nasogastric tube or palpation of the liver for evidence of hepatomegaly. In addition, situs inversus can be associated with cardiac malpositions, congenital heart defects, or asplenia (see Chapter 8).13,23,24 Normally, there should be no free air in the peritoneal cavity although air is usually present in the child’s stomach, intestines, and colon.19

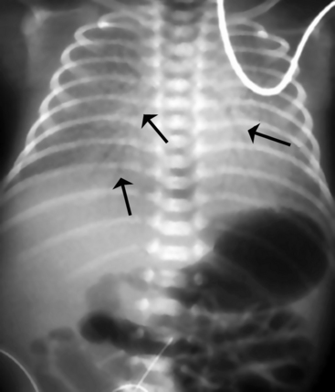
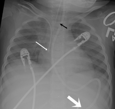
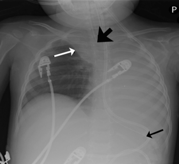
The newborn with diaphragmatic hernia may demonstrate severe respiratory distress. The chest radiograph reveals multiple abnormal air lucencies within the chest, usually the left hemithorax. This air is caused by the presence of loops of air-filled bowel in the chest (Fig. 10-6). The bowel compresses the lung on the involved side and shifts the mediastinum to the noninvolved (usually right) hemithorax, compressing that lung. Until the bowel fills with swallowed air, the newborn with a diaphragmatic hernia may be thought to have a mass in the left chest.

image image

Fig. 10-6 Congenital diaphragmatic hernia. A, This chest radiograph was obtained to evaluate a newborn admitted within the first few hours of life to the pediatric critical care unit with respiratory distress and poor feeding. The nasogastric tube can be traced into the left chest (arrow). The mediastinal structures are shifted to the right, and the dense opacity in the left hemithorax is due to the fluid filled stomach and loops of small bowel. There is no air in the stomach or small bowel. The newborn has a left congenital diaphragmatic hernia. B, This is a 2-day-old infant with a left congenital diaphragmatic hernia. There are multiple air-filled loops of bowel in the left hemithorax (arrows), with a marked shift of the mediastinum to the right. Note that in this case the nasogastric tube ends in the left upper quadrant of the abdomen, indicating that the stomach is in the abdomen and not in the chest.

(B, Radiograph courtesy of Sharon Stein, Nashville, TN.)

Pleura and Costophrenic Angles

The pleura consist of a double-layered serous membrane; the parietal pleura lines the inside of the thoracic cavity, and the visceral pleura adheres to the outside of the lung. The space between these two layers (the pleural cavity or space) is normally collapsed so that the two layers cast only a thin, white shadow on the radiograph.22 However, if fluid (hemothorax, effusion) or air (pneumothorax) accumulates in the pleural space, an air-fluid interface or a fluid density may be observed between the bony thorax and the lung. The pleura will cast a thicker white shadow on the radiograph if the pleura thickens as the result of pleural reaction (e.g., following surgery or other irritation). The fluid shadow created by pleural thickening or a loculated pleural effusion will not change when the patient changes position.

When examining the pleura, it is important to follow it and any visible pleural space around the entire margin of each lung. Because free pleural fluid tends to accumulate in dependent portions of the chest, fluid may be noted along the diaphragm in an upright film and behind the lungs in a supine film. On an upright film, small collections of fluid can obscure the costophrenic angle, and more significant collections of fluid tend to obscure the diaphragm and make it appear elevated (see Fig. 10-5, A).9,14

On a supine film, free pleural fluid may appear to opacify the lung fields, often making it difficult to distinguish from pulmonary congestion.9 In this case an upright or lateral decubitus film is usually obtained (see Fig. 10-5, B).

The lungs are divided into lobes by fissures; the right lung has three lobes and the left lung has two lobes. The oblique or major fissures, separating the upper from the lower lobes, are not usually seen on a chest radiograph because they face toward the x-ray beam on AP view. Fluid accumulation in the major fissure is best seen on a lateral film. The minor fissure in the right lung separates the right upper and right middle lobes, and it lies tangential to the beam in an AP view. Fluid can accumulate in the minor fissure; this fluid accumulation often can be observed on both AP and lateral films.9,21

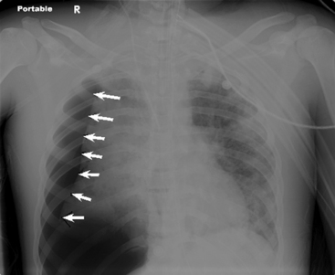
A pneumothorax will produce an air-tissue interface in the pleural cavity because the pneumothorax contains only air with no pulmonary vascular markings, whereas the lung contains air, tissues, and vessels. The presence of a significant pneumothorax will cause partial or complete collapse of the adjacent (ipsilateral) lung. Note that free pleural air will accumulate in the highest portions of the chest so that the location of the air is influenced by the patient’s position when the X-ray is obtained. In an upright film, free pleural air is typically observed above the apex of the lung, whereas in a supine film the air may accumulate along the anterior and lateral aspects of the lung and along the diaphragm (Fig. 10-7).

image

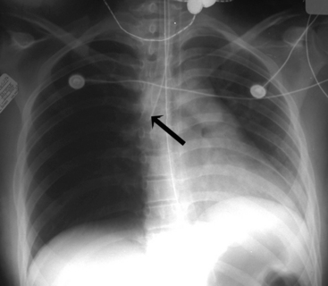
Fig. 10-7 Tension pneumothorax. This film was obtained as part of a routine daily chest radiograph to monitor for endotracheal tube placement in this 18-year-old male with methicillin-resistant Staphylococcus aureus necrotizing fascitis. This is a supine AP film that demonstrates near total atelectasis of the right lung. The pneumothorax is visible along the inferior and lateral aspects of the right chest, with a shift of the cardiac silhouette to the left. There is clear visualization of the lung-air interface (arrows) seen along the lateral and inferior margins of the right lung. This is a tension pneumothorax because the mediastinum is markedly shifted and the right hemidiaphragm is flattened out of the field of view.

The costophrenic angle is a sharp angle formed bilaterally from the downward curve of the lateral diaphragm seen on an AP (or a PA) film. The bases of the lower lobe of each lung dip into this recess. Obliteration or blunting of this angle can occur with accumulation of relatively small amounts of free pleural fluid. The angle also can be blunted if pleural reaction or thickening is present.22

Mediastinum and Trachea

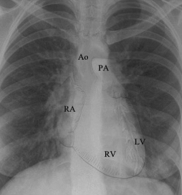
The mediastinum contains the trachea, the two main bronchi, the esophagus, the ascending aorta, the aortic arch (and major branches), the main pulmonary artery (and the proximal right and left pulmonary arteries), the major veins of the heart, the heart, and the thymus (Fig. 10-8). Because most of these structures contain fluid, the radiographic appearance of the mediastinum is that of a single fluid density between the lungs.

image

Fig. 10-8 Cardiac anatomy. This chest radiograph has a graphic overlay of the normal location and identification of the pulmonary artery, aorta, aortic knob, right atrium, right ventricle, and left ventricle as they are positioned in the mediastinum.

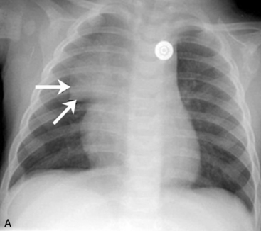
Children older than 6   years have mediastinal structures comparable to those of adults. The thymus shadow, seen in the upper third of the chest at the mediastinum, has bilateral lobes. The thymic silhouette blends almost imperceptibly with the cardiac silhouette, because it occupies contiguous space, giving the appearance of a widened mediastinum. It can produce a triangular shadow, resembling the sail of a boat (called the sail sign). The thymus is most often visualized on the chest radiograph from birth to 2   years of age, but may persist up to 5   years of age6,16,17,25 (Fig. 10-9).

image image

Fig. 10-9 Normal thymus. A, This supine anteroposterior film demonstrates the right lobe of the thymus projecting over the right upper lung field, creating the appearance of a widened mediastinum. The triangular shape (arrows) is the classic appearance of the sail sign (the right lobe of the thymus forms a triangular shape characteristic of the sail of a boat). B, This infant has a pneumomediastinum that has elevated the right and left lobes of the thymus (arrows) off the heart.

(B, Courtesy Sharon Stein, Nashville, TN.)

The trachea should be straight, and often it is located slightly to the right of the patient’s midline. Because the trachea contains air, a dark vertical radiolucent column identifies its position within the mediastinum (see Fig. 10-2). The posterior portion of the aortic arch creates a knob or curve that usually is seen just to the left of the patient’s spine. If the aorta arches to the right instead of to the left, the aortic knob can be superimposed on the shadow of the patient’s spine on the AP projection, and the trachea is displaced to the patient’s left. The incidence of congenital heart disease is higher in patients with a right aortic arch, although a right aortic arch can be seen in otherwise healthy patients.11,21

The aortic knob and the trachea will be displaced if a mediastinal shift occurs. When significant atelectasis is present, the trachea and aortic knob usually are displaced toward the area of collapse, because of the volume loss associated with the atelectais.22 However, if a large pleural effusion or pneumothorax is present, the trachea and aortic knob typically will be displaced away from the involved lung and toward the unaffected side, because these problems represent volume gain in the chest (Fig. 10-10).

image

Fig. 10-10 Tension pneumothorax. This 5   month old with complex congenital heart disease was noted by the nurse to have respiratory distress, including tachypnea and nasal flaring. The nurse also noted decreased breath sounds and chest expansion in the left chest and tracheal deviation to the right. This supine anteroposterior film was obtained and demonstrated a left-sided tension pneumothorax (white arrows). The trachea (black arrow) and aortic knob are displaced away from the involved left hemithorax and toward the unaffected right side because of the increased volume associated with the pneumothorax.

The trachea is identified by a straight vertical air density typically just to the right of the patient’s midline. As noted previously, it may appear to buckle to the right on an expiratory film, or it may be displaced toward an area of atelectasis or away from a pneumothorax or pneumomediastinum (see Fig. 10-10). The trachea bifurcates into the right and left mainstem bronchus at approximately the level of the patient’s fourth rib. The carina, a portion of the lowest tracheal ridge, is located at the bifurcation of the trachea and is used as a landmark in radiographic assessment of tracheal tube placement. In adults, the angle of branching of the left main bronchus is normally lower than the angle of branching of the right main bronchus. The right main bronchus typically branches off higher with a sharper angle. For this reason, aspirated substances frequently enter the right bronchial tree.21

The left hilum is normally higher than the right because the left side is elevated by the heart. Normal heart position extends approximately two thirds to the left of the midline in the chest. The center of the heart lies under the lower third of the sternum.10,18 If the child has dextrocardia or dextroversion, the heart will be located in the center of the chest or in the right chest, and additional congenital heart lesions are likely to be present.21,23 The cardiac shadow on the AP film is created largely by the shadow of the superior vena cava, the right atrium, the aortic knob, the main pulmonary artery, the left pulmonary artery, and the left ventricle.21 The right ventricle and left atrium normally do not contribute to the margin of the heart shadow in the AP or PA view.

Heart and Great Vessels

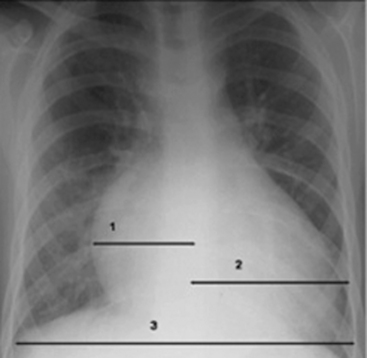
The size of the heart is quantified on AP or PA view by calculation of a ratio of the width of the heart to the width of the thorax, called the cardiothoracic ratio. To obtain the cardiothoracic ratio, the heart is measured between vertical lines drawn at its widest margins (from the center) on the right and left, and the chest is measured at the costophrenic angles on the inside of the rib cage (Fig. 10-11).

image

Fig. 10-11 Cardiothoracic ratio measurement. This chest film demonstrates the proper measurement of the cardiac silhouette on the right (from midline to widest point; line 1) and left side (from midline to widest point; line 2) and the inner diameter of the chest (line 3). The added width of the right and left side widest measurement divided by the widest point of the inner diameter of the chest is used to calculate the cardiothoracic ratio.

Beyond the newborn period, the heart’s width does not normally exceed half the width of the thorax. The cardiothoracic ratio in newborns is normally up to 0.55. In older infants and children up to 6   years of age, a ratio of 0.45 is normal. Between 6 and 12   years of age, a cardiothoracic ratio of up to 0.44 is normal.21 A convenient rule is that the cardiothoracic ratio in children is normally 0.5, plus or minus 5% to 6%, and it is typically larger in neonates and smaller in older children. An increase in the cardiothoracic ratio suggests the possibility of cardiomegaly. However, a poor inspiratory film and AP (compared with PA) chest radiographs will affect the accuracy of the cardiothoracic ratio.7,16,17 For practice, calculate the cardiothoracic ratio in Fig. 10-2, A. The ratio is 0.52.

Cardiac enlargement can increase the cardiothoracic ratio. Note that cardiac chamber hypertrophy may not alter heart size appreciably, because the cardiac shadow is determined by the outer border of the heart chambers and is not influenced by the thickness of chamber walls. Cardiomegaly that is apparent on the radiograph is caused by an increase in cardiac chamber volume; thus, it is most often a result of cardiac dilation (Fig. 10-12).14,21

image

Fig. 10-12 Cardiomegaly. This supine anteroposterior film was obtained preoperatively for this 5-day-old female with a prenatal diagnosis of hypoplastic left heart syndrome. Note the markedly enlarged cardiac silhouette, with the cardiothoracic ratio in excess of 0.5 (it is nearly 0.85).

Right atrial enlargement will often cause displacement of the right heart border toward the patient’s right side. The right atrial portion of the right heart margin also may appear to be more convex. Right ventricular enlargement can be difficult to discern from the AP film alone. When this ventricle enlarges, the rest of the heart is displaced posteriorly and cephalad (upward). Frequently, this enlargement increases the transverse diameter of the heart and pushes the cardiac apex outward and upward, like the upturned toe of a shoe or boot, although this is not an invariable radiologic finding.14,21 Right ventricular enlargement can be discerned better from a lateral chest film, because the enlarged anterior right ventricle will fill the retrosternal space and rest against the sternum. In small infants, it may be difficult to differentiate between the retrosternal thymus and the retrosternal right ventricle.14,21

Left atrial enlargement may be difficult to discern on a chest radiograph, because the left atrium normally does not form a distinct portion of the cardiac margin. With left atrial enlargement, the left heart border below the aortic knob may straighten or become convex instead of concave. In addition, the posterior enlargement of this chamber can elevate the left mainstem bronchus so that the angle of the tracheobronchial bifurcation is widened. A double density also may be observed in the center of the cardiac shadow14,21 (Fig. 10-13).

image

Fig. 10-13 Congestive heart failure with pulmonary edema. This 5-year-old boy with known mitral insufficiency was admitted to the critical care unit with tachypnea and increased respiratory effort. On physical examination, he demonstrated a heart rate of 137/min with a gallop rhythm. The respiratory rate was 54/min with moderate retractions. Breath sounds were adequate and equal bilaterally, and crackles were noted, particularly over the left lung fields. The child’s liver was palpable 6   cm below the right costal margin. The child also had cardiomegaly (cardiothoracic ratio of 0.6). The double density seen within the heart (large arrows) is caused by the large left atrium. Pulmonary interstitial markings are prominent and hazy through both lung fields. Kerley B lines are noted in the base of the right lung (small arrows).

(Courtesy Andrew K. Poznanski, Children’s Memorial Hospital, Chicago, IL.)

Left ventricular enlargement generally increases the transverse diameter of the heart and extends the left heart border toward the left chest wall. Commonly, left ventricular enlargement will displace the cardiac apex downward and outward so that it rests on the diaphragm.14,21

After cardiovascular surgery, the mediastinum and cardiac silhouette may be enlarged as the result of bleeding or fluid accumulation around the site of surgery. If the cardiac silhouette widens dramatically in the presence of tachycardia, signs of pulmonary and systemic venous congestion, and decreased systemic perfusion, cardiac tamponade may be present.22 However, it is important to note that the cardiac silhouette may remain small despite the presence of tamponade if the pericardial sac does not distend.

Cardiac enlargement often is seen when the child has congestive heart failure. Heart failure, often biventricular in children, can produce a global enlargement of all heart chambers.14 Pulmonary vascular markings also will be indistinct (see Fig. 10-13).

The most reliable way to evaluate radiographic changes in heart size by is by comparison of the most recent film with several previous films made under the same conditions. In addition, the nurse should always correlate clinical assessment with radiographic findings.

The great vessels may be enlarged or reduced in size as the result of congenital heart defects. If the child has a thoracic coarctation of the aorta, a characteristic E configuration of the aortic silhouette may be seen, which is caused by the coarctation. The presence of coarctation of the aorta, patent ductus arteriosus, or aortic valvular stenosis may cause the aortic knob to be more prominent than usual.11

The child with an intracardiac left-to-right shunt or a patent ductus arteriosus may demonstrate a large and convex main pulmonary artery shadow on radiograph, because the pulmonary artery is enlarged by the increased pulmonary blood flow. Pulmonary valve stenosis can result in poststenotic dilation of the main pulmonary artery.

Some congenital heart defects, such as severe tetralogy of Fallot or pulmonary atresia, are associated with a small main pulmonary artery. With a small main pulmonary artery, a concavity of the upper portion of the left heart border may be observed, because an extremely small main pulmonary artery will not produce the normal convexity below the aortic knob. This abnormal concavity can make the mediastinum appear to be narrow, because the upper heart shadow is created only by the aorta instead of by the pulmonary artery and aorta. Many children with tetralogy of Fallot or pulmonary atresia have a right aortic arch, so that the aortic knob is located to the right of the patient’s trachea. This condition will further decrease the fullness of the left heart border. If significant obstruction to pulmonary blood flow is present, pulmonary vascular markings may be diminished.11,14,21

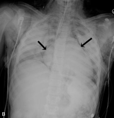
The borders of the heart and great vessels should be sharp. Because the cardiac silhouette is created by the contrast between the fluid density of the heart and the air density of the lung, obliteration of the sharp border between the lung and heart is associated with an abnormality where areas of these organs are normally in contact. This loss of a normal silhouette on a radiograph is referred to as the silhouette sign.9,17 The silhouette sign helps determine the location of the abnormal finding within the chest. Obliteration of the heart border is typically caused by opacification (congestion or atelectasis) of portions of the lung that are in anatomic contact with the heart or great vessels. It also can occur as a result of pleural fluid accumulation, pneumonia, or a lung mass.

To determine the reason for the appearance of the silhouette sign, the nurse must know which areas of the lung are in direct contact with the heart or great vessels. These areas are summarized in Table 10-2. Obliteration of the margins of the upper portion of the right heart border and ascending aorta can occur as a result of opacification of the right upper lobe. Opacification of the right middle lobe can result in loss of most of the right side of the heart border. Because the right lower lobe is posterior and not in direct contact with the heart, opacification of the right lower lobe will overlap the heart border but will not obliterate it.

Table 10-2 Significance of the Silhouette Sign: Obliteration of Cardiac Silhouette by Lung Opacification

Obliterated Heart Border or Structure Opacified Lung Segment
Upper portion of the right heart border and ascending aorta Right upper lobe
Most of the right heart border Right middle lobe
Right diaphragm Right lower lobe
Aortic knob (and upper left heart border) Left upper lobe
Most of left heart border Superior and/or inferior left lingula
Left diaphragm Left lower lobe

If the margin of the aortic knob is indistinct, it generally results from opacification of the left upper lobe. Atelectasis or pneumonia of the left lingula will obliterate most of the left side of the heart border. Because most of the left lower lobe is posterior and not in direct contact with the heart, left lower lobe opacification will overlap the heart but will not obliterate its silhouette.9

Lungs, Hili, and Pulmonary Vascularity

The lung fields on the chest radiograph are predominantly radiolucent. The soft tissues of the lung normally do not produce radiographic shadows, although some of the blood-filled arteries and veins will produce linear branching fluid density shadows. The right lung is larger than the left and normally is divided into the upper, middle, and lower lobes. Although the thin fissures between the lobes are not usually visible, the minor fissure occasionally is seen as a thin white line on the chest film. The left lung is smaller because the left chest also contains the heart. The left lung normally contains two lobes, the left upper and left lower lobes. The left lung homologue of the right middle lobe is called the lingula.

The radiolucent lung fields should contain no significant opacifications, other than those created by pulmonary vasculature, or fluid levels. If the nurse notes an opacification, the nurse should describe and localize it.

The air-filled peripheral bronchi normally are not visible on the chest radiograph. Visualization of a bronchus is called an air bronchogram. A bronchus is visible only if it is surrounded by an intrapulmonary structure of water or of fluid density. It can be seen as the result of pneumonia, atelectasis, pulmonary edema, consolidation, infarction, or certain chronic pulmonary lesions.9 In addition, an air bronchogram can be seen within the mediastinum in the radiographs of normal infants and young children, because portions of their lobar bronchi lie within the tissues of the mediastinum (Fig. 10-14). Although an air bronchogram is almost invariably associated with intrapulmonary disease in adults, it may be a normal finding in the mediastinum of infants and young children.9,21

image

Fig. 10-14 Air bronchograms. This anteroposterior film of a neonate with respiratory distress syndrome demonstrates air bronchograms throughout both lung fields (arrows). There are diffuse reticular granular pulmonary opacities. There is a large gastric bubble under the left diaphragm.

The hili of the lungs contain the pulmonary artery and vein for each lung and the right and left main bronchi. Because the bronchi normally do not produce a radiographic shadow, the shadows of the right and left hili are produced by the right and left pulmonary arteries and veins and their major branches. In the majority of patients, the left hilum is slightly higher than the right hilum.8,9,16,22,24,26 The hili may be enlarged by congenital heart defects that produce increased pulmonary blood flow and pulmonary artery dilation, such as ventricular septal defect or patent ductus arteriosus. The hili also may be enlarged in the presence of pulmonary venous dilation associated with congestive heart failure or pulmonary venous obstruction. Often, both pulmonary arteries and veins are enlarged (e.g., when the child with a large ventricular septal defect develops congestive heart failure). Enlargement of the hili also may be caused by lymph node enlargement.

The hilum of a lung can be displaced toward an area of lung collapse or away from a significant pneumothorax or pleural effusion.9 This shift is best appreciated by comparing the film showing suspected displacement with a previous film.

Pulmonary edema, pulmonary hemorrhage, overwhelming infection, aspiration pneumonitis, and pulmonary venous obstruction can cause perihilar opacities,14 making the lung hili more radiopaque and hazy in appearance (Fig. 10-15). The surrounding lung tissue may be more radiopaque with a reticular appearance caused by interstitial edema. Occasionally, the lung fields are radiolucent, creating a dark halo around the hazy opacity of the hili.

image

Fig. 10-15 Pulmonary edema. This child was admitted to the pediatric critical care unit after a drowning episode. The child had a respiratory arrest and required cardiopulmonary resuscitation at the scene and subsequent intubation in the field. The child had a return of spontaneous respiratory effort but required mechanical ventilatory support because of progressive respiratory distress, including tachypnea, increased respiratory effort, and hypoxia. The chest radiograph reveals a normal heart size. The pulmonary interstitial markings are all increased and hazy. The interstitial markings are particularly prominent surrounding the hila of the lungs. There was resolution of the edema over the next 48   hours, and the child was extubated without complications.

Pulmonary edema, infectious pneumonitis, and pulmonary venous obstruction often produce diffuse changes that are bilaterally symmetrical. Aspiration pneumonitis and partial pulmonary venous obstruction can produce unilateral or localized opacifications. Rarely, pulmonary edema can be segmental.14,21 Further evaluation of the pulmonary vascularity is made by examination of the peripheral pulmonary vascular markings.

Normally, the peripheral pulmonary vascular markings are not prominent and generally can be seen only in the proximal two thirds of the lung fields. Prominent pulmonary vascularity can result from the presence of an intracardiac shunt (causing increased pulmonary arterial blood flow), pulmonary venous obstruction, pulmonary hypertension, and increased collateral blood flow to the lungs. Although each of these problems theoretically can produce distinct radiographic changes, it is often difficult to differentiate among them by review of an AP film alone. Although a radiologist may be able to differentiate between the radiographic appearance of pulmonary arterial and pulmonary venous enlargement, this is not a realistic expectation in the critical care setting.

Intracardiac shunt lesions, such as a large ventricular septal defect or a patent ductus arteriosus, initially will produce a dilation of apical vessels on an upright film. (These vessels are normally not prominent in an upright film.) With a significant increase in pulmonary blood flow and possible pulmonary hypertension, the lung hili and the pulmonary arteries and veins become uniformly prominent. Occasionally, the child with anemia or an arteriovenous fistula will develop pulmonary hypervascularity that mimics the appearance of a shunt lesion.

When the newborn has pulmonary venous obstruction associated with left-sided heart failure or obstruction, or total anomalous pulmonary venous connection (TAPVC) below the diaphragm (or other forms of TAPVC with obstruction), and pulmonary venous pressure increases, redistribution of pulmonary blood flow often does not occur. Instead, lung fields become more radiopaque as a result of venous congestion, and the lung fields have a uniform “ground-glass” appearance caused by interstitial edema and pulmonary venous dilation.27

When pulmonary venous obstruction is present in the older infant or child and pulmonary venous pressure increases (e.g., caused by left heart failure or obstruction), blood flow in the lungs is redistributed. Normally, when the patient is upright, blood flow in the bases of the lungs is greater than flow to the apices. With an increase in pulmonary venous pressure, blood flow is redistributed and shifted to the upper portions of the lungs, causing a prominence of apical pulmonary venous markings.21 With progressive pulmonary venous congestion, interstitial edema develops, and the lung hili and all vascular markings begin to become hazy and indistinct. The hili may be particularly opaque.

Kerley-B lines may be seen with severe pulmonary venous congestion. These lines appear as thin, radiopaque, horizontal streaks in the lung bases that are thought to represent lymphatic channels in the interlobular septa of the lungs (see Fig. 10-13).21,24 If pulmonary venous pressure increases further, transudation of fluid into the tissue can occur. This transudation produces diffuse opacification of both lung fields. Air bronchograms may be visible (see Fig. 10-14).

When the child develops pulmonary hypertension with increased pulmonary vascular resistance, the hilar and proximal pulmonary vessels often appear to be prominent, but peripheral pulmonary vascular markings can be absent. This radiographic appearance of the pulmonary vessels is referred to as the pruned tree configuration.14,21 Because chest radiographs are not the chief method used to confirm or rule out the diagnosis of pulmonary hypertension, the observation of findings consistent with pulmonary hypertension should be used only to provide an index of suspicion. Many children with significant pulmonary hypertension have normal chest radiographs.

Occasionally, children with severe long-standing obstruction of pulmonary arterial blood flow (e.g., caused by uncorrected or palliated pulmonary atresia) develop prominent bronchial collateral vessels that proliferate, thus increasing the absolute amount of pulmonary blood flow. These vessels can be highly dense, but they often do not follow the normal branching pattern. These children are likely to have a normal or diminutive main pulmonary artery shadow and small right and left hili.14,21 When pulmonary artery blood flow is reduced, the lung fields appear to be abnormally radiolucent (or “empty”), because they do not contain the normal opacities produced by pulmonary vessels.

Common radiographic abnormalities

The preceding discussion has focused on the systematic review of a chest radiograph, including a brief discussion of abnormalities. The critically ill child can develop pneumonia, atelectasis, or accumulation of free pleural fluid or air. Because these problems require specific changes in nursing care, they are discussed in further detail here.

The term air space disease applies to the presence of abnormal (i.e., nonair) densities in the lung fields. These densities can be localized or diffuse and generally indicate the development of lung disease, atelectasis, or tumor or the accumulation of exudate, transudate, or blood in the lung.14 Often it may be difficult to differentiate between opacification produced by intrapulmonary (air space) disease and that produced by fluid accumulation in the pleural space. The following discussion includes identifying characteristics of each problem and clues to differentiating among them.

Atelectasis produces intrapulmonary opacification as the result of collapse of a portion of the lung tissue (Fig. 10-16). Atelectasis is usually seen as a diffuse increase in density with either a linear, angular, or streaked appearance in the affected area. Atelectasis is typically produced by intrinsic obstruction of an airway (caused by a mucous plug, exudate, or foreign body), extrinsic compression of the airway by another thoracic structure (e.g., enlarged lymph nodes, large heart, tumor), or significant hypoventilation. Because atelectasis represents loss of lung volume (i.e., lung collapse), other intrathoracic structures shift toward the area of atelectasis. The trachea, mediastinum, hilum, and any visible intrapulmonary septa can all shift toward the atelectatic area. If the upper lobe is involved, the loss of volume also elevates the hilum on the affected side. In addition, the hemidiaphragm on the involved side is elevated, and the intercostal spaces on that side become narrow. Air bronchograms may be present within the opacified area, and the visualized bronchi often are crowded together because of lung collapse. The uninvolved lung can become hyperinflated, producing a widening of the intercostal spaces on the nonatelectatic side and subsequent flattening of the hemidiaphragm.

image

Fig. 10-16 Atelectasis. Note opacification of the right upper lobe (small white arrow) and complete opacification of the left lung. Because atelectasis represents pulmonary collapse with associated volume loss, other structures have shifted toward the involved areas. The right hemidiaphragm is elevated, the hilum of the right lung is shifted upward, and the mediastinum is shifted to the left. Note the tracheal tube tip at the level of the third rib (large black arrow). The nasogastric tube ends in the stomach (small black arrow), with decompression of the gastric air bubble.

Pleural fluid accumulation can result from pleural effusion, chylothorax, hemothorax, hydrothorax, empyema (a purulent pleural space infection), or a pleural reaction. The fluid will infiltrate the lung space and appear as a density on the radiograph. The infiltrative process typically is seen at the periphery of the lung and moves inward with a hazy, white appearance without air volume loss. Free pleural fluid characteristically assumes a dependent position so that in the upright chest film it generally accumulates along the diaphragm. With small amounts of fluid accumulation, the costophrenic angles are blunted; with increasing amounts of fluid accumulation, the diaphragm will appear to be elevated and fluid will accumulate laterally as well (see Fig. 10-5, A). On average, more than 150   m of fluid must be present for a pleural effusion to be detected on an upright film. Smaller amounts, greater than 75   mL, can be detected on a lateral decubitus view when the patient is positioned so the affected side is dependent (i.e., the affected side is down).25,26 Fluid also can accumulate in the fissures between lobes of the lung.

If the free pleural fluid continues to accumulate, the entire hemithorax can be filled; this produces complete opacification of that hemithorax, with compression of the underlying lung and flattening of the involved hemidiaphragm.14 The trachea, mediastinum, and hilum usually are shifted away from significant fluid accumulation, because it represents an increase in intrathoracic volume (unless concurrent atelectasis is present on the involved side). A lateral decubitus view is not indicated in this case, because there is no air interface to assist in further characterization of the fluid. Ultrasound examination, however, can be extremely helpful.

If the child is supine when the chest radiograph is taken, free pleural fluid will accumulate along the posterior surface of the chest, because it is dependent when the child is supine. This condition will produce a diffuse opacification within the involved thorax that may be difficult to differentiate from interstitial lung disease. An upright film or a lateral decubitus film will help differentiate free pleural fluid from intrapulmonary disease. The lateral decubitus view is often specifically requested to confirm the presence of free pleural fluid, because this view will allow visualization of small amounts of fluid (see Fig. 10-5, B).

Pneumonia can initially produce a patchy infiltration with fluffy margins. The presence of air bronchograms within the infiltrate can confirm the impression that the opacification is caused by intrapulmonary disease.14 If the pneumonia causes obliteration of the cardiac border, the pneumonia must be in contact with the heart (Fig. 10-17). The portion of the heart that is obliterated will help describe the location of the pneumonia within the lung (see Table 10-2).14

image

Fig. 10-17 Right upper and middle lobe pneumonia. There is a dense opacity of the right upper lobe consistent with pneumonia. There is also hazy opacification along the right heart border. This opacification is caused by the fluid density of right middle lobe pneumonia obliterating the silhouette of the heart. This silhouette sign enables localization of the pneumonia to the right middle lobe.

Frequently, pneumonia will later cause more segmental or lobar disease, with a more homogenous opacification of the involved area of the lung.14 The child may develop air trapping with resultant depression of the diaphragm and increased radiolucency of the lung fields.

Some pneumonias cause a characteristic radiographic appearance that correlates with the child’s clinical history. Most infectious pneumonia in children, regardless of origin, begins with local or alveolar involvement, which is difficult to differentiate from interstitial disease; it can later progress to lobar disease. Lobar consolidation frequently occurs as the result of Streptococcus pneumoniae infection. Staphylococcus aureus infection occurs more commonly in infants younger than 1   year; it typically involves the right lung and can cause development of pneumatoceles (localized collections of intrapulmonary air) or abscesses. Haemophilus pneumoniae is nearly always associated with a pleural effusion. Epiglottitis also can accompany this disease, but is uncommon since the advent of the Haemophilus influenzae type B vaccine (Hib) vaccine. Streptococcus, Klebsiella, and H. pneumoniae also may be associated with empyema or pneumatocele formation.14

Aspiration pneumonia usually develops in the portion of the lung that is dependent at the time of aspiration. The radiographic changes following the aspiration are related to irritation and inflammation caused by the aspirated material and to the development of pneumonia. A diffuse aspiration process characteristically produces patchy opacification in the lung bases and perihilar infiltrations.14

Bronchopneumonia produces perihilar congestion. Pneumonia produced by Pneumocystis carinii (most frequently seen in immune compromised patients) can initially produce perihilar congestion and then peripheral intrapulmonary involvement. The disease soon assumes an alveolar and interstitial distribution. In patients with acquired immunodeficiency syndrome (AIDS), P. carinii can have virtually any radiographic appearance.

Abnormal areas of radiolucency may also be observed on the chest radiograph as collections of air within soft tissues or surrounded by tissues. They are most frequently caused by a pneumothorax, pneumomediastinum, lung abscess, pneumatocele, or emphysema.

The presence of a unilateral hyperlucency is most often a result of a pneumothorax. A small pneumothorax is more readily observed on an expiratory chest film, because the child’s lung volumes are smaller and the normal pulmonary vascular markings are crowded together (see Fig. 10-2, B). Thus, the difference between the vascularized lung fields and the avascular, radiolucent pneumothorax is intensified on an expiratory film. A pneumothorax may also be more readily discerned in an upright film, because free pleural air will rise toward the apex of the lung.

If the child is supine when the radiograph is taken, free pleural air will tend to collect along the diaphragm and the anterior aspects of the thorax (compare Figs. 10-7 and 10-10). In addition, the interface between the pneumothorax and the lung will be in the same plane as the chest radiograph, so a distinct border (or density contrast) between the two may not be apparent. However, a pneumothorax should be considered if an extremely radiolucent area lacking in vascular markings is noted along the diaphragm, along the pleural edge or tracking along the cardiac silhouette.

If the pneumothorax is significant, the underlying lung will collapse, and the trachea and mediastinum will be compressed and shifted away from the side of the pneumothorax. Because the pneumothorax occupies volume, the hemidiaphragm on the involved side of the chest often will be flattened or displaced downward (see Fig. 10-10).

Lung abscesses and pneumatoceles can develop as a result of pneumonia. They both produce circumscribed collections of air within the lungs. The increased radiolucency from an abscess occurs as the result of necrosis. The pneumatocele can also result from necrosis or air trapping.14

Emphysematous changes in the lungs may cause localized, circumscribed areas of increased radiolucency within the lungs. The emphysematous lung is distended, and air trapping occurs. The diaphragm on the involved side is flattened, and the trachea and mediastinum are shifted away from the involved side.

A pneumopericardium is a collection of air within the pericardial sac surrounding the heart. It is usually identified easily because it appears as a radiolucent border between the radiopaque pericardial sac and the radiopaque heart, with the radiolucent border tracking underneath the cardiac silhouette outlining the diaphragm (Fig. 10-18, A).12 In comparison, a pneumomediastinum is a collection of air within the mediastinal space, characterized by streaked radiolucencies over the border of the mediastinum that outline the cardiac silhouette and great vessels. These radiolucencies then extend into the neck and elevate the parietal pleura along the mediastinal borders (Fig. 10-18, B). A pneumomediastinum should be distinguished from a pneumopericardium and a pneumothorax. In pneumopericardium, air can be present underneath the heart, but does not enter the neck.

image image

Fig. 10-18 Pneumopericardium and pneumomediastinum. A, A pneumopericardium, pneumomediastinum and pneumothorax are present in this supine anteroposterior film. The pneumopericardium creates a dark (air) density surrounding the heart (arrows). Note that there is significant compression of the cardiac silhouette. In addition, there are linear air lucencies tracking up into the neck and the left axilla, indicating the presence of pneumomediastinum. There is also a large right pneumothorax. B, This supine AP film was obtained from a 10-year-old boy who sustained a traumatic tear to his trachea after colliding with a dumpster. The child had cardiopulmonary arrest in the field and was resuscitated, intubated, and transported to the pediatric critical care unit. He was noted to have pneumomediastinum, creating the bilateral linear areas of radiolucency (arrows) tracking along the mediastinum and extending superiorly into the neck.

Children with a diaphragmatic hernia may demonstrate abnormal densities and lucencies within the thorax. Generally, these children have hypoplasia of both lungs. The lung on the side of the diaphragmatic defect is compressed by abdominal contents during fetal life. The heart and other intrathoracic contents shift to the opposite side, thus compressing that lung during fetal life. Even after correction of the diaphragm hernia, the hypoplastic lungs may not completely fill the thorax, so radiolucent areas will surround the lung tissue.27

Identification of tubes, catheters, and wires

If the child is intubated, the position of the tracheal tube should probably be checked first. The radiopaque tip of the tube should be located approximately 1 to 2   cm above the carina or approximately at the level of the third rib. Because the position of the tracheal tube relative to the carina will change with a change in head position, it is important to note the position of the head when the radiograph is taken. The optimal head position is a neutral and midline position, with no neck flexion or extension. The tip of a tracheal tube will be displaced downward or further into the trachea when the neck is flexed, and it will move upward if the neck is extended or if the head is turned to one side (Fig. 10-19).15

image

Fig. 10-19 Proposed mechanism of orotracheal tube movement with changes in head position in the infant and young child. This movement must be considered when evaluating tracheal tube position on the chest radiograph. The upper cervical vertebrae (C1 to C4) primarily provide neck flexion and extension and head rotation. The lower cervical spine (C4 to C7) is fairly fixed. A functional lever arm is created between the anterior maxilla and the upper cervical spine; this lever arm moves the tracheal tube when the head moves. A, Neutral position, lateral view. B, Flexion of the neck, lateral view (pushes endotracheal tube further into trachea). C, Extension of the neck, lateral view (pulls endotracheal tube upward by a lever arm effect). D, Neutral position, frontal view. E, Lateral rotation, frontal view (displaces endotracheal tube upward and further out of trachea).

(From Donn SM, Kuhns LR: Mechanisms of endotracheal tube movement with change of head position in the neonate, Pediatr Radiol 9:39, 1980.)

If the tip of the tracheal tube is positioned too near the carina, especially if it is near the carina despite extension of the neck, it can easily slip into the right or left mainstem bronchus. Unintentional intubation of the right mainstem bronchus soon results in hyperinflation of the right lung with hypoventilation and possible atelectasis of the left lung (Fig. 10-20). If the tip of the ET tube is positioned too far above the carina, the tube may inadvertently slip out of the trachea with little patient movement.

image

Fig. 10-20 Right mainstem bronchus intubation resulting in left lung atelectasis. The tip of the endotracheal tube is well beyond the level of the carina into the right bronchus (arrow), and the left lung base is opacified with elevation of the left hemidiaphragm resulting from atelectasis. The right lung is hyperinflated with flattening of the hemidiaphragm. The bedside nurse noted decreased breath sounds and chest expansion on the left and loud breath sounds on the right.

Check the position and integrity of all central venous, pulmonary artery, or intracardiac catheters. Trace these lines along their entire length, because they can migrate distally or be dislodged to undesirable areas (Fig. 10-21). For example, during percutaneous insertion of a subclavian venous catheter, the catheter may advance into the jugular vein and migrate superiorly toward the head instead of inferiorly into the superior vena cava. The right atrial catheter may advance into the right ventricle, which will be obvious from pressure measurements and waveform tracings, or it may rest against the tricuspid valve. The pulmonary artery catheter can migrate distally and become wedged in a small pulmonary artery. Therefore, it is important that the nurse check the location of all catheters and discuss apparent abnormal appearances or the location of these catheters with a member of the medical management team. It is also important to check for pneumothorax following placement, or attempted placement, of a subclavian catheter.

image

Fig. 10-21 Evaluation of tracheostomy tube, central venous catheter, and nasogastric tube placement. The lungs are difficult to evaluate because inspiration is suboptimal; the right hemidiaphragm is at the level of the right seventh rib posteriorly. Heart size is normal, and pulmonary vascular markings are normal. The tip of the tracheostomy tube is between the clavicular heads (black arrow). A central venous catheter is in place with the tip in the right atrium (thin white arrow). A feeding tube is in place (thick white arrow).

Establish the location of nasogastric or any feeding tubes. In the past, nurses verified the location of the feeding tube with clinical assessment; however, it is now clear that clinical methods alone are inadequate to detect feeding tube misplacement.1 Therefore, the standard of care is to obtain radiographic confirmation of nasogastric tube placement. The nasogastric tube can migrate, especially if it is taped inadequately or if there is excessive patient movement. If, at any point, there is any concern regarding proper placement of the tube, tube position should be verified with a radiograph. The tip of the nasogastric tube and all ports (identified by breaks in the radiopaque marker line) should reside in the stomach. If the tube extends through the stomach and beyond the midline, it is likely in the duodenum or jejunum, and aspiration of the tube yields fluids with a pH >  6 (approximately the same pH as fluids aspirated from the lungs). Nasogastric tubes should be evaluated along their entire length, because occasionally they can become looped in the nasopharynx or cervical region.

Verify the location of any wires. There is a growing population of children with chronic illnesses who have implantable devices such as vagus nerve stimulators, pacemakers, and cardiac pacemaker or defibrillators. In addition, after cardiothoracic surgery the patient will frequently have cardiac pacing wires in place. Occasionally, a wire or lead is dislodged or fractured.

Lateral chest radiographs are often used to evaluate tube placement. As noted earlier in the chapter, AP or PA films are most useful for evaluation of the lateral relationships of structures (Fig. 10-22, A). However, this view occasionally can be misleading because it does not enable evaluation of the AP relationships of structures. The lateral view provides extremely valuable information when evaluating tube placement, because it allows evaluation of the AP relationships of structures (Fig. 10-22, B).

image

Fig. 10-22 Appearance of tracheostomy tube on anteroposterior and lateral chest radiographs. These films were obtained when the nurse noted difficulty in inserting the tracheostomy tube and noted inadequate breath sounds when hand ventilation was provided via the tube. Breath sounds were adequate during spontaneous ventilation. A, Anteroposterior view. Lung expansion appears adequate, and the tracheostomy tube appears to be in the midline of the trachea (arrows). B, Lateral view. The air density of the trachea is visible (arrows), and it is apparent that the tracheostomy tube has been inserted subcutaneously (it is not in the trachea at all).

(Courtesy Andrew K. Poznanski, Children’s Memorial Hospital, Chicago, IL.)

An umbilical venous catheter will curve from the umbilical vein and then into the inferior vena cava (IVC). If the umbilical venous catheter enters the IVC, it should be visible in the right side of the patient’s abdomen, moving toward the border between the liver and the heart. Look for the tip along the right side of the patient’s vertebral column (Fig. 10-23, A, B). The catheter is typically inserted until a good blood return is obtained (approximately 1-4   cm), or it is advanced to the junction of the IVC and the right atrium. The provider should not allow the tip to remain within the shadow of the liver, because it will likely reside in the portal vein or hepatic circulation. That tip location is not recommended, because it would allow infusion of hypertonic or alkaline solutions into the portal vein.27

image

Fig. 10-23 Evaluation of umbilical venous and arterial catheter placement. A, Umbilical venous catheter in “high” position at junction of inferior vena cava and right atrium (arrow). This is very high placement, which is acceptable, but not optimal; if the catheter is advanced further, there is a risk of right atrial perforation. If the catheter is withdrawn 1-2   cm, it will reside within the hepatic circulation. B, Umbilical venous catheter in hepatic circulation (arrow). This catheter should be withdrawn, because infusion of a high osmolality solution may injure the liver. C, Umbilical artery catheter in incorrect position. The tip of this catheter (arrow) is at approximately the level of the third or fourth lumbar vertebra; it should be advanced to the level of the sixth through tenth thoracic vertebrae.

An umbilical artery catheter will enter the umbilical artery and the aorta. If the umbilical artery catheter is in the aorta, it will appear on the patient’s left side of the vertebral column. The catheter tip is advanced until it enters the descending aorta, to prevent obstruction of the femoral or iliac arteries (Fig. 10-23, C). The tip should reside between the levels of the sixth and tenth thoracic vertebrae; lower placement (at the level of the third or fourth lumbar vertebra) is associated with more complications and is not recommended.3

Common imaging studies obtained in critically ill children

Computed Tomography (CT) Scan

CT is a highly advanced diagnostic procedure that uses x-rays enhanced by a computer to create cross-sectional pictures of the body. Unlike traditional radiographs, the CT rapidly generates a three-dimensional image of the inside of an object from a large series of two-dimensional x-ray images taken around a single axis of rotation. This process creates detailed images of areas surrounded by bone and can show less dense tissues, such as organs and blood vessels (Fig. 10-24). CT completely eliminates the superimposition of structures outside the area of interest into the area of focus. Because of the inherent high-contrast resolution of CT, it allows differentiation of structures that differ in physical density by less than 1%. CT can be enhanced by use of intravenous iodinated contrast material, which allows accurate evaluation of the vascular structures and can give information about enhancement of lesions.

image image image

Fig. 10-24 Mediastinal mass: radiographic and computed tomography images. A, Anteroposterior radiograph of a 2-year-old child with severe respiratory distress shows marked widening of the mediastinum consistent with a large mediastinal mass (arrows). B, Lateral view shows opacity in the retrosternal space (arrow) confirming that this mass is in the anterior mediastinum. The trachea is displaced posteriorly and narrowed by the mass. C, Computed tomography scan with intravenous contrast shows the large mass with cystic and solid areas, as well as an area of calcification (arrow) that was not visible on the plain film. This finding made teratoma the most likely diagnosis, which was confirmed by surgical and pathologic analysis.

(Courtesy Sharon Stein, Nashville, Tenn.)

Preparation of the patient includes ensuring patent intravenous access if the use of intravenous iodinated contrast material is desired. Before administering the contrast medium, contraindications to the medium must be considered; these include pregnancy, allergic reaction to shellfish or iodinated dye, unstable vital signs, and claustrophobia. The patient must remain motionless, because movement can cause artifact that will affect the clarity of the images. If the patient is likely to move, be agitated, or be uncooperative, then sedation or possible anesthesia may be required. All patients should be ordered “nothing by mouth” status (NPO), based on the American Society of Anesthesiology (ASA) pediatric guidelines, in anticipation of the need for sedation or anesthesia. Before administering contrast medium, check the blood urea nitrogen and creatinine levels for adequate kidney function. Some patients experience flushing or a feeling of warmth, a transient headache, a salty or metallic taste in the mouth, nausea, or vomiting, and they need to be prepared for these possible reactions. After the procedure, patients who receive contrast medium should be observed for signs and symptoms of delayed allergic reaction. Intravenous hydration or oral fluid intake needs to be continued to facilitate clearance of contrast medium.

The data from a single CT imaging procedure consisting of either multiple contiguous or one helical scan can be viewed as images in the axial, coronal, or sagittal planes, depending on the findings and the clinical question. When a typical sagittal view is obtained, the nurse should imagine looking up into the chest from below. The anterior surface of the chest will be at the top of the film, and the posterior surface of the chest will be at the bottom of the film. The patient’s left will be on the right side of the image, and the patient’s right will be on the left side of the image.

CT scans provide greater resolution than ordinary radiographs and, as a result, can often detect some problems at an earlier stage. CT is often used to image areas of the body such as the brain, chest, and abdomen. Current state-of-the-art CT scanning is so rapid that images are obtained in a few seconds, which has decreased the need for sedation in many cases.

Magnetic Resonance Imaging (MRI)

MRI is an imaging technique primarily used to visualize the structure and function of the body. It provides detailed images of the body in any plane. MRI provides much greater contrast between the different soft tissues of the body than does CT, making it especially useful in neurologic (brain), musculoskeletal, cardiovascular, and oncologic imaging. Unlike CT, it uses no ionizing radiation, but uses a powerful magnetic field to align the nuclear magnetization of (usually) hydrogen atoms in water in the body. Radiofrequency fields are used to systematically alter the alignment of this magnetization, causing the hydrogen-containing nuclei to produce a rotating magnetic field detectable by the scanner. This signal can be manipulated by additional magnetic fields to gather enough information to reconstruct an image of the body. Contrast agents for MRI are those with paramagnetic properties, such as gadolinium and manganese. Some patients who have implanted devices or metallic objects in the body will not be able to have MRI. Nurses or technologists should provide ear protection for the patient during the MRI study, because the magnet and machine create loud noises.

Unlike CT scanning, which is very rapid, MRI is time consuming with most studies taking up to 45   min. Most children require sedation and occasionally general anesthesia. Preparation of the patient includes ensuring patent intravenous access. All patients should be made NPO, based on the ASA pediatric guidelines, in anticipation of the need for sedation or anesthesia. Before administering contrast medium, check the blood urea nitrogen and creatinine levels for adequate kidney function. There have been concerns raised recently regarding the toxicity of gadolinium-based contrast agents and their effects on individuals with impaired kidney function. Adequate hydration is necessary when contrast medium is used, with careful monitoring of urine output and renal function.

Ultrasound

Medical sonography (ultrasonography) is an ultrasound-based diagnostic imaging technique used to visualize the size and shape of internal organs, soft tissues, and other structures and to evaluate possible pathologies or lesions in real time. Ultrasound is particularly useful in the evaluation of pleural effusions and allows the provider to discern whether the fluid is loculated or not. Ultrasound can be used in infants to evaluate diaphragmatic motion if the patient is too unstable to be transported to the radiology suite for fluoroscopy. It is possible to perform diagnostic or therapeutic procedures (e.g., biopsies or drainage of fluid collections) with ultrasound guidance.

Typically a hand-held probe (called a transducer) is placed directly on the skin and is moved over the structure to be visualized. A water-based gel is used to couple the ultrasound between the transducer and patient. The equipment is readily available and portable and can be used in the critical care setting or the radiology or emergency department.

Fluoroscopy

Fluoroscopy provides dynamic real-time images of the internal structures being examined; it is similar to an “x-ray movie.” Fluoroscopy is used for evaluation of structure or organ movement, such as the diaphragm. It also may be used for localization of pathologic findings. Fluoroscopy generally is performed in the radiology department, although it can be performed at the bedside of the critically ill patient. Modern fluoroscopes couple the screen to an x-ray image intensifier and video camera, allowing the images to be played and recorded on a monitor. Videotapes of the fluoroscopic examination usually are made to allow later viewing and analysis. Gonadal and thyroid shielding, when possible, is required for the child and for the attendant personnel.

Fluoroscopy uses x-rays with the aid of a contrast agent to capture a moving image. Preparation for a fluoroscopy procedure will depend on the type of examination being performed. Barium may be used for gastrointestinal procedures or as intravenous contrast material for cardiac catheterization and insertion of intravenous catheters. The preparation of the patient includes ensuring patent intravenous access. All patients should be made NPO, based on the ASA pediatric guidelines, in anticipation of the need for sedation or anesthesia. Care after the procedure may include restrictions on movement for a specified period of time (such as after cardiac catheterization). Most patients are able to resume their previous diet without restriction and will be encouraged to drink plenty of oral fluids. Otherwise, intravenous fluid hydration will be continued to help rehydrate the patient and facilitate clearance of any remaining contrast or barium material.

Conclusions

Chest radiographs are valuable adjuncts to assessment of the critically ill patient when they are used in conjunction with a thorough clinical examination and knowledge of the child’s condition. If the nurse uses a systematic method of reviewing the radiograph, and if abnormal densities in the chest are identified, the nurse will be able to confirm clinical impressions and better evaluate progress and complications of therapy. Because the nurse is often one of the first healthcare providers to see the chest radiograph, it is important that every nurse is able to recognize significant changes in the radiograph or indications of serious problems.

Acknowledgments

The authors thank Sharon Stein, MD, from the Monroe Carell, Jr., Children’s Hospital at Vanderbilt University, Nashville, Tennessee, for her thoughtful review and insights.

References

1 American Association of Critical Care Nurses. American Association of Critical Care Nurses Practice Alert: verification of feeding tube placement. Alisa Viejo, CA: American Association of Critical Care Nurses; 2005. Accessed on July 11, 2011 at: http://classic.aacn.org/AACN/practiceAlert.nsf/Files/FT%20Placement/$file/Verification%20of%20Feeding%20Tube%20Placement%2005-2005.pdf

2 American College of Radiology Panel. American College of Radiology Thoracic Imaging Expert Panel Report. Reston, VA: American College of Radiology; 2002.

3 Barrington K.J. Umbilical artery catheters in the newborn: effects of position of the catheter tip. Cochrane Database Syst Rev. 2000. CD000505

4 Barsness K.A., et al. The positive predictive value of rib fractures as an indicator of non-accidental trauma in children. J Trauma. 2003;54:1107-1110.

5 Beckstrand R.L. Understanding chest radiographs of infants and children: the AIR systematic approach. Crit Care Nurse. 2001;21:54-65.

6 Collins J., Stern E. Chest radiology: the essentials. Philadelphia: Lippincott Williams and Wilkins; 2007.

7 Daffner R. Clinical radiology: the essentials. Baltimore: Lippincott Williams and Wilkins; 1993.

8 Des Jardin T.R. Cardiopulmonary anatomy and physiology: essentials for respiratory care, ed 4. New York: Delmar; 2002.

9 Felson B., Weinstein A.S., Spitz H.B. Principles of chest roentgenology: a programmed text, ed 2. Philadelphia: WB Saunders; 1970.

10 Finholt D.A., et al. The heart is under the lower third of the sternum: implications for external cardiac massage. Am J Dis Child. 1986;140:646.

11 Fink B.W. Congenital heart disease: a deductive approach to its diagnosis, ed 3. Chicago: Mosby-Year Book; 1991.

12 Fleisher G., Ludwig S., Henretig F., et al. Textbook of pediatric emergency medicine, ed 5. Baltimore: Lippincott, Williams & and Wilkins; 2006.

13 Heller R.M., et al. Exercises in diagnostic radiology, ed 2. Philadelphia: WB Saunders; 1987.

14 Kirks D.R. Practical pediatric imaging, ed 3. Philadelphia: Lippincott-Raven; 1998.

15 Kuhns L.R., Poznanski A.K. Endotracheal tube position in the infant. J Pediatr. 1971;78:991.

16 Mettler F., et al. Primary care radiology. Philadelphia: Saunders; 2000.

17 Novelline R. Squires’s fundamentals of radiology, ed 6. Cambridge, MA: Harvard University Press; 2004.

18 Orlowski J.P. Optimum position for external cardiac compression in infants and young children. Ann Emerg Med. 1986;15:667.

19 Poznanski A.K. The chest. In Poznanski A.K., editor: Practical approaches to pediatric radiology, ed 2, Chicago: Year Book, 1976.

20 Raffensperger J.G.: Esophageal atresia and tracheoesophageal fistula. . Swenson’s pediatric surgery. ed 5, New York; Appleton-Century-Crofts:1992

21 Silverman F.N., Kuhn J.P. Essentials of Caffey’s pediatric X-ray diagnosis. Chicago: Chicago Year Book; 1996.

22 Squire L.F. Fundamentals of radiology, ed 6. Cambridge, MA: Harvard University Press; 2004.

23 Stanger P. Cardiac malpositions. In Rudolph A.M., editor: Pediatrics, ed 18, Norwalk, CT: Appleton-Century-Crofts, 1987.

24 Sutton D. A textbook of radiology and imaging, ed 6. New York: Churchill-Livingstone; 1998.

25 Swischuk L.R. Imaging of the newborn, infant, and young child, ed 5. Philadelphia: Lippincott Williams and Wilkins; 2005.

26 Swischuk L.R. Emergency imaging of the acutely ill or injured child, ed 4. Baltimore, MD: Lippincott Williams and Wilkins; 2000.

27 Trotter C., Carey B. Radiology basics: overview and concepts. Neonatal Netw. 2000;19(2):35-47.