27 CHEST PAIN: WHAT TO LOOK FOR

CHEST PAIN—POSSIBLE CAUSES

There are numerous causes for a pain in the chest1-10. They can be sub-divided into non-cardiac causes (common and uncommon), and cardiacoraortic causes. These sub-divisions are shown in Tables 27.1-27.3.

Table 27.1 Non-cardiac chest pain: the most common causes.

image

Table 27.2 Non-cardiac chest pain: the uncommon causes.

image

Table 27.3 Cardiac or aortic chest pain.

Occurrence Includes Notes
Fairly common
image Angina pectoris
image Myocardial infarction
image
Uncommon
image Aortic dissection
image Pericarditis
image Myocarditis
image Arrhythmia
image Mitral valve prolapse
Often overlooked
image Cocaine usage image
Causes cardiac blood vessels to constrict.

CHEST PAIN—THE ROLE OF THE CXR

The CXR is just one of several diagnostic tools. When a CXR is requested it will:

Sometimes…provide the precise diagnosis (Figs 27.1-27.3).

image

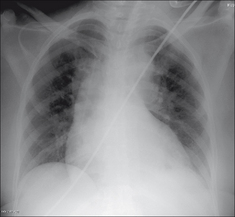
Figure 27.1 Female, 35 years. Drunk and disorderly. Complaining of chest pain. Multiple posterior rib fractures. Note also the shallow left pneumothorax.

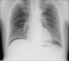
image

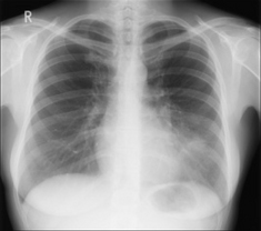
Figure 27.2 Female, 38 years. Chest pain. Silhouette sign...pneumonia in the lingular segments of the left upper lobe.

image

Figure 27.3 Male, 54 years. Chest pain, but difficult to localise. Free air under the domes of the diaphragm. Perforated duodenal ulcer.

Occasionally…suggest a possible diagnosis (Fig. 27.4).

image

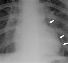
Figure 27.4 Young male. Recent vomiting episode. Now complains of chest pain. Air is present in the mediastinum (arrows). Oesophageal rupture. Boerhaave’s syndrome.

Often…exclude several causes for the pain.

CXR ABNORMAL—DIAGNOSIS REVEALED

image Pneumothorax.
image Pneumonia.
image Rib fracture.
image Perforated peptic ulcer.

CXR ABNORMAL—A POSSIBLE DIAGNOSIS IS SUGGESTED

image Ischaemic heart disease. Left heart failure…subtle pulmonary oedema.
image GORD…a fixed hiatus hernia.
image Musculo-skeletal…clear evidence of degenerative change in the thoracic spine.
image Acute asthma or ruptured oesophagus…mediastinal emphysema.
image Smoking marijuana or cocaine…mediastinal emphysema.
image Aortic dissection…a widened mediastinum (see Chapter 24).
image

Figure 27.5 Male. Acute tearing chest pain. The mediastinum is widened at the level of the aortic arch. Aortic dissection (Stanford Type A).

CXR NORMAL—DIAGNOSTIC SIGNIFICANCE

“A normal finding, when assessed quantitatively, can sometimes be extremely valuable in differential diagnosis…only when a normal test result occurs with equal or nearly equal frequency among all the diseases being considered will a negative finding contribute little or nothing to the diagnostic process.”11

A normal CXR will exclude some very common causes of chest pain:

image Pneumothorax.
image Pneumonia.
image Pleural effusion.

FACTS AND FIGURES

image Costochondritis (Tietze’s syndrome):
image Probably the most common cause of chest pain.
image Invariably accompanied by tenderness at the site of pain.
image Pneumothorax and/or pneumomediastinum are recognised complications when smoking cocaine12; or marijuana. The mechanism appears to be use of the valsalva manoeuvre to obtain a high input of the drug into the alveoli. Reflex coughing may raise the intra-alveolar pressure even higher and cause alveolar rupture.
image 10–30% of patients with chest pain who undergo cardiac catheterisation are found to have normal coronary arteries9.
image 40% of patients with non-cardiac chest pain have an abnormal degree of acid reflux9.
image Cough-induced rib fractures. In patients with a chronic cough, 78% of fractures are in women. The lateral aspects of the middle ribs are most commonly affected and the sixth rib is particularly vulnerable10.

An interesting condition—Diffuse Oesophageal spasm7,9,13-15

Aetiology/pathology

Excessive, uncoordinated, contractions ofthe smooth muscle of the oesophagus.

Clinical features

Chest pain is common.

The CXR

No abnormal findings.

A barium swallow examination will often show the characteristic features(Fig. 27.6).

image

Figure 27.6 Female. Age 65. Recurrent episodes of chest pain. Diffuse oesophageal spasm demonstrated on a barium swallow examination. This is the so-called nutcracker oesophagus.

REFERENCES

1. Spalding L, Reay E, Kelly C. Cause and outcome of atypical chest pain in patients admitted to hospital. J R Soc Med. 2003;96:122-125.

2. Just RJ, Castell DO. Chest pain of undetermined origin. Gastrointest Endosc Clin N Am. 1994;4:731-746.

3. Crea F, Gaspardone A. New look to an old syndrome: Angina pectoris. Circulation. 1997;96:3766-3773.

4. Minocha A. Noncardiac chest pain. Where does it start? Postgrad Med. 1996;100:107-114.

5. Fam AG. Approach to musculoskeletal chest wall pain. Prim Care. 1988;15:767-782.

6. Wise CM. Chest wall syndromes. Curr Opin Rheumatol. 1994;6:197-202.

7. Hong SN, Rhee PL, Kim JH, et al. Does this patient have oesophageal motility abnormality or pathological acid reflux? Dig Liver Dis. 2005;37:475-484.

8. Chun AA, McGee SR. Bedside diagnosis of coronary artery disease: a systematic review. Am J Med. 2004;117:334-343.

9. Paterson WG. Canadian Association of Gastroenterology Practice Guidelines: management of non-cardiac chest pain. Can J Gastroenterol. 1998;12:401-407.

10. Hanak V, Hartman TE, Ryu JH. Cough induced rib fractures. Mayo Clin Proc. 2005;80:879-882.

11. Gorry GA, Pauker SG, Schwartz WB. The diagnostic importance of the normal finding. N Engl J Med. 1978;298:486-489.

12. Eurman DW, Potash HI, Eyler WR, et al. Chest pain and dyspnea related to “crack” cocaine smoking: value of chest radiography. Radiology. 1989;172:459-462.

13. Richter JE. Oesophageal motility disorders. Lancet. 2001;358:823-828.

14. Adler DG, Romero Y. Primary esophageal motility disorders. Mayo Clin Proc. 2001;76:195-200.

15. Tutuian R, Castell DO. Review article: oesophageal spasm — diagnosis and management. Aliment Pharmacol Ther. 2006;23:1393-1402.