Chapter 278 African Trypanosomiasis (Sleeping Sickness; Trypanosoma brucei Complex)

Edsel Maurice T. Salvana, Robert A. Salata


Over 60 million people in nearly 40 countries are at risk for infection with Trypanosoma brucei complex, the causative agent of sleeping sickness. Also known as human African trypanosomiasis (HAT), this disease is restricted to sub-Saharan Africa, the range of the tsetse fly vector, where at least 300,000 people are infected. It is a disease of extreme poverty, with an increasing burden observed in remote rural areas. HAT comes in 2 geographically and clinically distinct forms. Trypanosoma brucei gambiense causes a chronic infection lasting years and mostly affects people who live in Western and Central Africa (West African sleeping sickness, Gambian trypanosomiasis). Trypanosoma brucei rhodesiense, a zoonosis, presents as an acute illness lasting several weeks and usually occurs in residents of eastern and southern Africa (East African sleeping sickness, Rhodesian trypanosomiasis).

Etiology

HAT is a vector-borne disease caused by parasitic, flagellated kinetoplastid protozoans of 2 subspecies of Trypanosoma brucei. It is transmitted to humans through the bite of Glossina, commonly known as the tsetse fly.

The tsetse fly feeds on the blood of humans and wild game animals and penetrates intact mucous membranes and skin. Humans usually contract East African HAT when they venture from towns to rural areas to visit woodlands or livestock, highlighting the importance of zoonotic reservoirs in this disease. West African HAT is contracted closer to settlements. This form only requires a small vector population and thus has been particularly difficult to eradicate. Because of low rates of infection in tsetse flies, the life cycle of this form necessitates close and repeated contact between humans and insects to permit frequent biting. While animal reservoirs occur, these reservoirs are less important than for East African HAT, and the main source of infection remains chronically infected human hosts.

Life Cycle

Trypanosoma brucei undergoes several stages of development in the insect and mammalian host. Upon ingestion with a blood meal, nonproliferative stumpy forms of the parasite, which are optimally adapted to surviving in Glossina, transform into procyclic forms in the insect’s midgut. These procyclic forms proliferate and undergo further development into epimastigotes, which then become infective metacyclic forms that migrate to the insect’s salivary glands. The life cycle within the tsetse fly takes 15-35 days. On inoculation into the mammalian host, the metacyclic stage transforms into proliferative long and slender forms in the bloodstream and the lymphatics, eventually penetrating the central nervous system. These slender forms appear in waves in the peripheral blood, with each wave followed by a febrile crisis and heralding the formation of a new antigenic variant. The slender forms transform into intermediate forms, which become nonproliferative stumpy forms that are ingested by Glossina and start the cycle anew.

Direct transmission to humans has been reported, either mechanically through contact with the contaminated mouth parts of tsetse flies with viable slender forms during feeding or vertically to infants by way of the placenta of infected mothers.

Epidemiology

HAT is a major public health problem in sub-Saharan Africa. It occurs in the region between latitudes 15 degrees north and 15 degrees south, corresponding roughly to the area where the annual rainfall creates optimal climatic conditions for Glossina flies to thrive.

Thirty-two thousand cases of HAT are reported annually, although an incidence of up to 70,000 cases/yr is estimated to occur; 24,000 deaths per year are attributed to HAT. By far, the bulk of reported cases are made up of T. brucei gambiense, with approximately two thirds of the cases coming from the Democratic Republic of the Congo. The incidence of HAT has been dropping in recent years, reflecting more aggressive and cohesive control programs, but these programs need to be sustained before the possibility of elimination can be considered realistic. Over 1.5 million disability-adjusted life years were lost to HAT in 2002, although this number does not take into account morbidity from acute and chronic infection, toxic side effects of treatment, or economic burden from losses of trypanosome-infected livestock.

T. brucei rhodesiense infection is restricted to the eastern third of the endemic area in tropical Africa, stretching from Ethiopia to the northern boundaries of South Africa. T. brucei gambiense occurs mainly in the western half of the continent’s endemic region. Glossina captured in endemic foci show a low rate of infection, usually <5%. Rhodesian HAT, which has an acute and often fatal course, greatly reduces chances of transmission to tsetse flies. The ability of T. brucei rhodesiense to multiply rapidly in the bloodstream and infect other species of mammals helps maintain its life cycle. The insect vector is able to transmit disease for up to 6 mo.

Pathogenesis

The initial entry site of the organisms develops a hard, painful, red nodule known as a trypanosomal chancre. It contains long, thin trypanosomes multiplying beneath the dermis and is surrounded by a lymphocytic cellular infiltrate. Dissemination into the blood and lymphatic systems follows, with subsequent localization to the CNS. Histopathologic findings in the brain are consistent with meningoencephalitis, with lymphocytic infiltration and perivascular cuffing of the membranes. The appearance of morular cells (large, strawberry-like cells, supposedly derived from plasma cells) is a characteristic finding in chronic disease.

Antigenic variation of variant surface glycoproteins (VSG) on the trypanosome’s surface enables evasion of acquired immunity during infection. Both T. brucei gambiense and T. brucei rhodesiense have acquired resistance to trypanolytic factors in human serum, the most well-studied of which is apolipoprotein L-1 (APOL1), through the expression of a protein known as serum resistance-associated protein (SRA). A frameshift mutation in the APOL1 gene in 1 patient enabled infection with a nonhuman trypanosome, Trypanosoma evansi, and treatment with recombinant APOL1 restored trypanolytic activity. Mechanisms underlying virulence in HAT are still incompletely understood, although severity of disease seems to be dependent on the host inflammatory response, particularly IFN-γ production in the central nervous system (CNS) and blood.

Clinical Manifestations

Clinical presentations vary not only because of the 2 subspecies of organisms but also because of differences in host response in the indigenous population of endemic areas and in newcomers or visitors. Visitors usually suffer more from the acute symptoms, but in untreated cases death is inevitable for natives and visitors alike. Symptoms usually occur within 1-4 wk of infection. The clinical syndromes of HAT are trypanosomal chancre, hemolymphatic stage, and meningoencephalitic stage.

Trypanosomal Chancre

The site of the tsetse fly bite may be the 1st presenting feature. A nodule or chancre develops in 2-3 days and becomes a painful, hard, red nodule surrounded by an area of erythema and swelling within 1 wk. Nodules are commonly seen on the lower limbs and sometimes also on the head. They subside spontaneously in about 2 wk, leaving no permanent scar.

Hemolymphatic Stage (Stage 1)

The most common presenting features of acute HAT occur at the time of invasion of the bloodstream by the parasites, 2-3 wk after infection. Patients usually present with irregular episodes of fever, each lasting up to 7 days, accompanied by headache, sweating, and generalized lymphadenopathy. Attacks may be separated by symptom-free intervals of days or even weeks. Painless, nonmatted lymphadenopathy, most commonly of the posterior cervical and supraclavicular nodes, is 1 of the most constant signs, particularly in the Gambian form. A common feature of trypanosomiasis in Caucasians is the presence of blotchy, irregular, nonpruritic, erythematous macules, which may appear any time after the 1st febrile episode, usually within 6-8 wk. The majority of macules have a normal central area, giving the rash a circinate outline. This rash is seen mainly on the trunk and is evanescent, fading in 1 place only to appear at another site. Examination of the blood during this stage may show anemia, leukopenia with relative monocytosis, and elevated levels of IgM. Cardiac manifestations of HAT have also been reported but are generally limited to nonspecific ST-T wave electrocardiographic abnormalities. Histopathologic characterization shows a lymphomonohistiocytic infiltrate in the interstitium and there is no penetration of the myocardial cells, unlike that for American trypanosomiasis (Chapter 279). Progression of cardiac pathology to congestive heart failure has not been reported, and the perimyocarditis is usually self-limited and/or readily resolves with treatment.

Meningoencephalitic Stage (Stage 2)

Neurologic symptoms and signs are nonspecific, including irritability, insomnia, and irrational and inexplicable anxieties with frequent changes in mood and personality. Neurologic symptoms may precede invasion of the CNS by the organisms. In untreated T. brucei rhodesiense infections, CNS invasion occurs within 3-6 wk and is associated with recurrent bouts of headache, fever, weakness, and signs of acute toxemia. Tachycardia may be evidence of myocarditis. Death occurs in 6-9 mo as a result of secondary infection or cardiac failure.

In Gambian HAT, cerebral symptoms appear within 2 yr after the acute symptoms. An increase in drowsiness during the day and insomnia at night reflect the continuous progression of infection and may be accompanied by anemia, leukopenia, and muscle wasting. Patients are also at increased risk for infection.

The chronic, diffuse meningoencephalitis without localizing symptoms is the form referred to as sleeping sickness. Drowsiness and an uncontrollable urge to sleep are the major features of this stage of the disease and become almost continuous in the terminal stages. Tremor or rigidity with stiff and ataxic gait, suggest involvement of the basal ganglia. Psychotic changes occur in almost one third of untreated patients. Although untreated disease has been generally regarded to be uniformly fatal, this belief has been challenged recently, and there is some evidence that at least partial immunity and even spontaneous resolution may occur.

Diagnosis

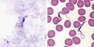
Definitive diagnosis can be established during the early stages by examination of a fresh, thick blood smear, which permits visualization of the motile active forms (Fig. 278-1). HAT can also be detected from blood using a variety of sensitive techniques: quantitative buffy coat smears and mini anion exchange resins are common examples. The card agglutination trypanosomiasis test (CATT) is of value for epidemiologic purposes and in screening for T. brucei gambiense. Dried, Giemsa-stained smears should be examined for the detailed morphologic features of the organisms. If a thick blood or buffy coat smear is negative, concentration techniques may help.

image

Figure 278-1 Trypanosoma brucei sp. trypomastigotes in thick blood smear stained with Giemsa (left) and thin blood smear stained with Wright-Giemsa (right).

(From the Centers for Disease Control and Prevention: Laboratory identification of parasites of public health concern. Trypanosomiasis, African [website]. www.dpd.cdc.gov/dpdx/HTML/ImageLibrary/TrypanosomiasisAfrican_il.htm. Accessed August 30, 2010.)

Aspiration of an enlarged lymph node can also be used to obtain material for parasitologic examination. If positive, cerebrospinal fluid should also be examined for the organisms. Technology based on polymerase chain reaction (PCR) for detection of trypanosomes to the species level has been validated in animal infection but is currently unsuitable for field work and is not yet cost effective for extensive use in human populations. Several PCR methods have been developed, including those that use internal transcribed spacer (ITS) regions of ribosomal RNA and can detect mixed infections.

Treatment

The choice of chemotherapeutic agents for treatment is dependent upon the stage of the infection and the causative organisms.

Stage 1 Treatment

Hematogenous forms of both Rhodesian and Gambian HAT can be treated with either suramin or pentamidine, which are better tolerated than drugs for stage 2 or CNS disease but are associated with substantial risks of toxicity. Suramin is a polysulphonated symmetrical naphthalene derivative given as a 10% solution for intravenous administration. A test dose (10 mg for children; 100-200 mg for adults) is initially administered to detect rare idiosyncratic reactions of shock and collapse. The dose for subsequent IV injections is 20 mg/kg (maximum 1 g) administered on days 1, 3, 7, 14, and 21. Suramin is nephrotoxic, and thus a urinalysis should be performed before each dose. Marked proteinuria, blood, or casts is a contraindication to continuation of suramin. Resistance is rare but has been reported.

Pentamidine isethionate (4 mg/kg/day IM for 7-10 days daily or on alternate days) concentrates to high levels in trypanosomes and is highly trypanocidal. It is better tolerated than suramin but carries significant risk of hypoglycemia, nephrotoxicity, hypotension, leukopenia, and liver enzyme elevation. Because of its potency, long half-life, and toxicity, short course treatment is desirable and is being investigated.

Stage 2 Treatment

If CNS invasion is present, melarsoprol is the drug of choice. Melarsoprol is an arsenical compound with trypanosomicidal effects. It is used outside the USA for treatment of late hemolymphatic and CNS HAT. It is the only effective treatment for late T. brucei rhodesiense disease and is the most widely used drug for stage 2 HAT. Treatment of children is initiated at 0.36 mg/kg once daily IV, with gradually escalating doses every 1-5 days to 3.6 mg/kg once daily IV; treatment is usually 10 doses (18-25 mg/kg total dose). Treatment of adults is with melarsoprol 2-3.6 mg/kg once daily IV for 3 days; and after 1 wk, 3.6 mg/kg once daily IV for 3 days, which is repeated after 10-21 days. An alternative regimen is 2.2 mg/kg once daily for 10 days. Guidelines recommend 18-25 mg/kg total over 1 mo. Reactions such as fever, abdominal pain, and chest pain are rare but may occur during or shortly after administration. Serious toxic effects include encephalopathy and exfoliative dermatitis.

Eflornithine is used as an alternative to melarsoprol. It is more effective against T. brucei gambiense and variably effective against T. brucei rhodesiense. It was previously in short supply, although the recent use of eflornithine as a facial hair suppressing agent breathed new life into the compound. Because of an improved supply, emerging melarsopol resistance, and some evidence of lesser toxicity, there has been a push to use the drug as a first-line treatment. It is given at a dose of 100 mg/kg/day every 6 hr IV for 14 days. Major pharmaceutical companies have generously donated large quantities of trypanosomicidal drugs, including eflornithine, pentamidine, suramin, and nifurtimox, to the global eradication effort.

With the recent influx of research funding into neglected tropical diseases, several new candidate therapeutic agents have emerged, including at least 1 oral form. Pafuramidine maleate (DB289) is an O-methyl amidoxime prodrug that is metabolized systemically to diamidine furamidine (DB75). It is only active against stage I disease; side effects have included fever and pruritus but have generally been mild in early phase II trials. It is currently undergoing evaluation in phase III clinical trials. Other drugs in the pipeline include diminazine, which has been used as a veterinary trypanocide, as well as nifurtimox, which is currently being evaluated in trials and for compassionate use in cases of melarsoprol failure. Combination therapy holds substantial promise and may become the preferred mode of treatment, since drugs act synergistically and the improved efficacy allows the doses of each drug to be reduced leading to decreased toxicity.

Prevention

A vaccine or consistently effective prophylactic therapy is not available. A single injection of pentamidine (3-4 mg/kg IM) provides protection against Gambian trypanosomiasis for at least 6 months, but the effect against the Rhodesian form is uncertain.

Vaccine development is particularly challenging because of the antigenic variation due to VSGs. Recent work in African lions has shown some trypanosomal cross-species acquired immunity in spite of the VSGs and may suggest novel pathways for vaccine development.

Control of trypanosomiasis in endemic areas of Africa is an ongoing challenge, and even though early successes in reducing disease burden are encouraging, the increasing cost of treatment per case as the overall number of patients decline may lead to premature termination of intensive control efforts. Moreover, underreporting of cases remains a challenge. Vector control programs to control Glossina have been essential in controlling disease, coupled with the use of screens, traps, and sanitary measures. Encouraging neutral-colored clothing that is not attractive to the tsetse fly may reduce bites. Using serology and parasitologic methods, mobile medical surveillance of the population at risk by specialized staff is critical. The creation of referral centers for evaluation and treatment is still needed, especially because of the toxic nature of treatment. Ground spraying of insecticides, aerial spraying, and the use of cloth and live animal baits have proven successful. Transgenic techniques to restrict the ability of the tsetse fly to survive and transmit pathogens are also being developed.

The full genome sequencing of the T. brucei and Trypanosoma cruzi parasites has revealed a conserved core proteome of about 6,200 genes in large gene clusters. This advance has helped identify genes relevant to the disease and its possible prevention, as well as the design of new antitrypanosomal drugs including those that target specific metabolic pathways.

Wigglesworthia glossinidia is an obligate endosymbiont found in the Glossina vector and has been shown to be intimately involved in female fly fecundity and overall survival of the fly. This endosymbiont represents a new target for vector control and a possible vehicle to introduce foreign gene products that may affect the development of the parasite.

Bibliography

Blum JA, Zellweger MJ, Burri C, et al. Cardiac involvement in African and American trypanosomiasis. Lancet Infect Dis. 2008;8:631-641.

Brun R, Blum J, Chappuis F, et al. Human African trypanosomiasis. Lancet. 2010;375:148-156.

Checchi F, Barrett MP. African sleeping sickness. BMJ. 2008;336:679-680.

Checchi F, Filipe JA, Barrett MP, et al. The natural progression of gambiense sleeping sickness: what is the evidence? PLoS Negl Trop Dis. 2008;2:e303.

Fèvre EM, Wissmann BV, Welburn SC, et al. The burden of human African trypanosomiasis. PLoS Negl Trop Dis. 2008;2:e333.

Inojosa WO, Augusto I, Bisoffi Z, et al. Diagnosing human African trypanosomiasis in Angola using a card agglutination test: observational study of active and passive case finding strategies. Br Med J. 2006;332:1479-1481.

Maclean L, Odiit M, Macleod A, et al. Spatially and genetically distinct African Trypanosome virulence variants defined by host interferon-gamma response. J Infect Dis. 2007;196:1620-1628.

Pais R, Lohs C, Wu Y, et al. The obligate mutualist Wigglesworthia glossinidia influences reproduction, digestion, and immunity processes of its host, the tsetse fly. Appl Environ Microbiol. 2008;74:5965-5974.

Thumbi SM, McOdimba FA, Mosi RO, et al. Comparative evaluation of three PCR base diagnostic assays for the detection of pathogenic trypanosomes in cattle blood. Parasit Vectors. 2008;1:46.

Welburn S, Picozzi K, Coleman PG, et al. Patterns in age-seroprevalence consistent with acquired immunity against Trypanosoma brucei in Serengeti lions. PLoS Negl Trop Dis. 2008;2:e347.