Chapter 279 American Trypanosomiasis (Chagas Disease; Trypanosoma cruzi)

Edsel Maurice T. Salvana, Laila Woc-Colburn, Robert A. Salata


American trypanosomiasis or Chagas disease is a vector-borne disease caused by the protozoan Trypanosoma cruzi. Its natural vectors are the bloodsucking insects of the family Reduviidae. It can also be transmitted vertically from mother to child and through blood transfusion and organ transplantation. While acute American trypanosomiasis usually manifests as a nonspecific febrile illness, chronic Chagas disease is associated with cardiomyopathy and severe gastrointestinal abnormalities.

Etiology

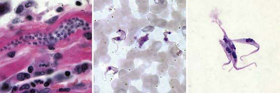
American trypanosomiasis is a caused by Trypanosoma cruzi, a parasitic, flagellated kinetoplastid protozoan (Fig. 279-1). The main vectors for T. cruzi are insects of the order Triatominae, which includes Triatoma infestans, Rhodnius prolixus, and Panstrongylus megistus.

image

Figure 279-1 Stages of Trypanosoma cruzi. From left to right: amastigote, trypomastigote, and epimastigote.

(From the Centers for Disease Control and Prevention: Laboratory identification of parasites of public health concern. Trypanosomiasis, American [website]. www.dpd.cdc.gov/dpdx/HTML/ImageLibrary/TrypanosomiasisAmerican_il.htm. Accessed August 30, 2010.)

Life Cycle

T. cruzi has 3 recognizable morphogenetic phases: amastigotes, trypomastigotes, and epimastigotes (Figures 279-1 and 279-2). Amastigotes are intracellular forms found in mammalian tissues that are spherical and have a short flagellum but form clusters of oval shapes (pseudocysts) within infected tissues. Trypomastigotes are spindle-shaped, extracellular, nondividing forms that are found in blood and are responsible for both transmission of infection to the insect vector and cell-to-cell spread of infection. Epimastigotes are found in the midgut of the vector insect and multiply in the midgut and rectum of arthropods, differentiating into metacyclic trypomastigotes. Metacyclic trypomastigotes are the infectious form for humans and are released onto the skin of a human when the insect defecates close to the site of a bite, entering via the damaged skin or mucous membranes. Once in the host, these multiply intracellularly as amastigotes and are released into the circulation when the cell dies. Blood-borne trypomastigotes circulate until they enter another host cell or are taken up by the bite of another insect, completing the life cycle.

image

Figure 279-2 Vector-borne transmission and life cycle of Trypanosoma cruzi.

(From Rassi A Jr, Rassi A, Marin-Neto JA: Chagas disease, Lancet 375:1388–1400, 2010, Fig 1, p 1389.)

Epidemiology

Chagas disease is found only in the Western hemisphere, specifically the Americas, particularly in Southern Patagonia (Fig. 279-3). Natural transmission only occurs within this region, but the disease may arise elsewhere due to migration and transmission through contaminated blood. Multilateral efforts coordinated by the World Health Organization (WHO) in large-scale vector control, blood donor screening to prevent transmission through transfusion, and case-finding and treatment of chronically infected mothers and newborn infants have effectively halted transmission in a number of areas of South America. The number of cases has dropped from a peak of 24 million in 1984 to a current estimate of 8-10 million. The lack of international consensus guidelines on case definition, mass screening, and treatment recommendations for the different stages of the disease severely hamper the prospects for elimination of this disease. Moreover, the lack of clear therapeutic endpoints, logistic difficulties in drug procurement, and substantial drug toxicity presents substantial barriers to the formulation and adoption of universal treatment guidelines.

image

Figure 279-3 Estimated number of immigrants with Trypanosoma cruzi infection living in nonendemic countries. Data are supplied for Canada, Australia, and Japan in 2006; the USA in 2005; Spain in 2008; and other European countries in 2004–2006.

(From Rassi A Jr, Rassi A, Marin-Neto JA: Chagas disease, Lancet 375:1388–1400, 2010, Fig 2, p 1391.)

Infection is divided into 3 main phases: acute (Table 279-1), indeterminate, and chronic. Acute infection is the most amenable to treatment. Indeterminate infection is asymptomatic but associated with a positive antibody titer. Up to 30% of infected persons proceed to chronic T. cruzi infection and develop symptoms. While it was initially believed that chronic infection without treatment does not clear, at least 3 well-documented cases of spontaneous resolution without treatment have been reported. It is still unclear how this parasitic protozoan escapes the immune system because, unlike African trypanosomiasis (Chapter 278), antigenic variation is not observed.

Table 279-1 VECTOR-BORNE TRANSMISSION AND LIFE CYCLE OF TRYPANOSOMA CRUZI

image

T. cruzi infection is primarily a zoonosis, and humans are incidental hosts. T. cruzi has a large sylvan reservoir and has been isolated from numerous animal species. The presence of reservoirs and vectors of T. cruzi, and the socioeconomic and educational levels of the population are the most important risk factors for vector-borne transmission to humans. The arthropod vectors for T. cruzi are the reduviid insects or triatomines, variably known as wild bedbugs, assassin bugs, or kissing bugs. Insect vectors are found in rural, wooded areas and acquire infection through ingestion of blood from humans or animals with circulating trypomastigotes.

Housing conditions are very important in the transmission chain. Incidence and prevalence of infection depends on the adaptation of the triatomines to human dwellings as well as the vector capacity of the species. Animal reservoirs of reduviid bugs include dogs, cats, rats, opossum, guinea pigs, monkeys, bats, and raccoons. Humans often become infected when land in enzootic areas is developed for agricultural or commercial purposes. Although reduviid insects can be found in warmer regions of the USA as far north as Maryland, Chagas disease is extremely rare owing to the higher standard of domestic housing. Most acute cases in the USA are associated with laboratory accidents. Approximately 100,000 immigrants from endemic countries living in the USA are likely infected with T. cruzi, and several cases have been reported among immigrants in American cities. Chagas disease may be a significant contributor to otherwise diagnosed cases of primary dilated idiopathic cardiomyopathy.

Humans can be infected transplacentally, occurring in 10.5% of infected mothers and causing congenital Chagas disease. Transplacental infection is associated with premature birth, fetal wastage, and placentitis. Previously, up to 1,000 neonates infected with T. cruzi were born every year in Argentina; this number has substantially decreased since widespread control programs were initiated. Disease transmission can occur through blood transfusions in endemic areas from asymptomatic blood donors. Seropositivity rates in endemic areas are as high as 20%. The risk for transmission through a single blood transfusion from a chagasic donor is 13-23%. A blood screening test for T. cruzi was approved by the U.S. Food and Drug Administration in December of 2006, and the American Red Cross began routinely screening donated blood in January 2007. Since then, nearly 800 cases of Chagas disease have been detected and confirmed in the USA blood supply (www.aabb.org/Content/Programs_and_Services/Data_Center/Chagas/). Percutaneous injection as a result of laboratory accidents is also a documented mode of transmission. Oral transmission through contaminated food has been reported. Although breast-feeding is a very uncommon mode of transmission, women with acute infections should not nurse until they have been treated.

Pathogenesis

Acute Disease

At the site of entry or puncture site, neutrophils, lymphocytes, macrophages, and monocytes infiltrate. T. cruzi organisms are engulfed by macrophages and are sequestered in membrane-bound vacuoles. Trypanosomes lyse the phagosomal membrane, escape into the cytoplasm, and replicate. A local tissue reaction, the chagoma, develops, and the process extends to a local lymph node (see Fig. 279-2). Blood forms appear, and the process disseminates. Immune recognition of parasites is incompletely understood but probably involves toll-like receptor (TLR)-independent mechanisms.

Chronic Disease

The pathophysiology of chronic Chagas disease is incompletely understood, and the mechanism remains controversial. Two theories have been proposed, although other factors may come into play. The 1st mechanism involves direct tissue destruction by low level parasite persistence. The 2nd mechanism involves molecular mimicry of host antigens by the parasite, resulting in autoantibodies that produce (1) an inflammatory reaction associated with direct damage to host tissue, and/or (2) direct stimulation of adrenergic and muscarinic cholinergic receptors associated with dysautonomia and increased risk of arrhythmia.

T. cruzi strains demonstrate selective parasitism for certain tissues. Most strains are myotropic and invade smooth, skeletal, and heart muscle cells. Attachment is mediated by specific receptors on the trypomastigotes that attach to complementary glycoconjugates on the host cell surface. Attachment to cardiac muscle results in inflammation of the endocardium and myocardium, edema, focal necrosis in the contractile and conducting systems, periganglionitis, and lymphocytic inflammation. The heart becomes enlarged, and endocardial thrombosis or aneurysm may result. Right bundle branch block is also common. Trypanosome parasites also attach to neural cells and reticuloendothelial cells. In patients with gastrointestinal tract involvement, myenteric plexus destruction leads to pathologic organ dilatation. Immunologic mechanisms for control of parasitism and resistance are not fully understood. Despite strong acquired immunity, parasitologic cure in chronic infection is exceedingly rare. Antigenic variation that is typical of African trypanosomiasis (Chapter 278) is not seen with American trypanosomiasis. Antibodies involved with resistance to T. cruzi are related to the phase of infection. Immunoglobulin G antibodies, probably to several major surface antigens, mediate immunophagocytosis of T. cruzi by macrophages. Conditions that depress cell-mediated immunity increase the severity of T. cruzi infection. Macrophages likely play a major role in protection against T. cruzi infection, especially in the acute phase. Interferon-γ stimulates macrophage killing of amastigotes through oxidative mechanisms.

Clinical Manifestations

Acute Chagas disease in children is usually asymptomatic or is associated with a mild febrile illness characterized by malaise, facial edema, and lymphadenopathy (Table 279-1). Infants often demonstrate local signs of inflammation at the site of parasite entry, which is then referred to as a chagoma. Approximately 50% of children come to medical attention with the Romaña sign (unilateral, painless eye swelling), conjunctivitis, and preauricular lymphadenitis. Patients complain of fatigue and headache. Fever can persist from 4-5 weeks. More severe systemic presentations can occur in children younger than 2 yr old and may include lymphadenopathy, hepatosplenomegaly, and meningoencephalitis. A cutaneous morbilliform eruption can accompany the acute syndrome. Anemia, lymphocytosis, hepatitis, and thrombocytopenia have also been described.

The heart, central nervous system, peripheral nerve ganglia, and reticuloendothelial system are often heavily parasitized. The heart is the primary target organ. The intense parasitism can result in acute inflammation and in 4-chamber cardiac dilatation. Diffuse myocarditis and inflammation of the conduction system can lead to the development of fibrosis. Histologic examination reveals the characteristic pseudocysts, which are the intracellular aggregates of amastigotes.

Intrauterine infection in pregnant women can cause spontaneous abortion or premature birth. In children with congenital infection, severe anemia, hepatosplenomegaly, jaundice, and convulsions can mimic congenital cytomegalovirus infection, toxoplasmosis, and erythroblastosis fetalis. T. cruzi can be visualized in the cerebrospinal fluid in meningoencephalitis. Children usually undergo spontaneous remission in 8-12 wk and enter an indeterminate phase with lifelong low-grade parasitemia and development of antibodies to many T. cruzi cell surface antigens. The mortality rate is 5-10%, with deaths caused by acute myocarditis with resultant heart failure, or meningoencephalitis. Acute Chagas disease should be differentiated from malaria, schistosomiasis, visceral leishmaniasis, brucellosis, typhoid fever, and infectious mononucleosis.

Autonomic dysfunction and peripheral neuropathy can occur. Central nervous system involvement in Chagas disease is uncommon. If granulomatous encephalitis occurs in the acute infection, it is usually fatal.

Chronic Chagas disease may be asymptomatic or symptomatic. The most common presentation of chronic T. cruzi infection is cardiomyopathy, manifested by congestive heart failure, arrhythmia, and thromboembolic events. Electrocardiographic abnormalities include partial or complete atrioventricular block and right bundle branch block. Left bundle branch block is unusual. Pathologic examination of infected heart muscle reveals muscle atrophy, myonecrosis, myocytolysis, fibrosis, and lymphocytic infiltration. Myocardial infarction has been reported and may be secondary to left apical aneurysm embolization or necrotizing arteriolitis of the microvasculature. Left ventricular apical aneurysms are pathognomonic of chronic chagasic cardiomyopathy.

T. cruzi–infected human peripheral blood mononuclear and endothelial cells synthesize increased levels of interleukin 1β (IL-1β), IL-6, and tumor necrosis factor (TNF). These cytokines result in increasing leukocyte recruitment and smooth muscle cell proliferation, which may be responsible for some of the manifestations of the disease. Viral myocarditis, rheumatic heart disease, and endomyocardial fibrosis can mimic chronic chagasic cardiomyopathy.

Gastrointestinal manifestations of chronic Chagas disease occur in 8-10% of patients and involve a diminution in the Auerbach plexus and Meissner plexus. There are also preganglionic lesions and a reduction in the number of dorsal motor nuclear cells of the vagus nerve. Characteristically, this involvement presents clinically as megaesophagus and megacolon. Sigmoid dilatation, volvulus, and fecalomas are often found in megacolon. Loss of ganglia in the esophagus results in abnormal dilatation; the esophagus can reach up to 26 times its normal weight and hold up to 2 L of excess fluid. Megaesophagus presents as dysphagia, odynophagia, and cough. Esophageal body abnormalities occur independently of lower esophageal dysfunction. Megaesophagus can lead to esophagitis and cancer of the esophagus. Aspiration pneumonia and pulmonary tuberculosis are also more common in patients with megaesophagus.

Immunocompromised Persons

T. cruzi infections in immunocompromised persons may be caused by transmission from an asymptomatic donor of blood products or reactivation of prior infection. Organ donation to allograft recipients can result in a devastating form of the illness. Cardiac transplantation for Chagas cardiomyopathy has resulted in reactivation, despite prophylaxis and postoperative treatment with benznidazole. HIV infection also leads to reactivation; cerebral lesions are more common in these patients and can mimic those of toxoplasmic encephalitis. In immunocompromised patients at risk for reactivation, serologic testing and close monitoring are necessary.

Diagnosis

A careful history with attention to geographic origin and travel is important. A peripheral blood smear or a Giemsa-stained smear during the acute phase of illness may show motile trypanosomes, which is diagnostic for Chagas disease (see Fig. 279-1). These are only seen in the 1st 6-12 wk of illness. Buffy coat smears may improve yield.

Most persons seek medical attention during the chronic phase of the disease, when parasites are not found in the bloodstream and clinical symptoms are not diagnostic. Serologic testing is used for diagnosis, most commonly enzyme-linked immunosorbent assay (ELISA), indirect hemagglutination and indirect fluorescent antibody testing. No single serology test is sufficiently reliable to make the diagnosis, so repeat or parallel testing using a different method or antigen is required to confirm the result of an initial positive serologic test, and in the case of discordant results a 3rd test may be employed. Confirmatory tests have been proposed, including the radiologic immunoprecipitation assay (RIPA, used as a confirmatory test in blood donors in the USA) and Western blot assays based on trypomastigote excreted-secreted antigens (TESA-WB).

Nonimmunologic methods of diagnosis are also available. Mouse inoculation and xenodiagnosis (allowing uninfected reduviid bugs to feed on a patient’s blood and examining the intestinal contents of those bugs 30 days after the meal) are quite sensitive. Polymerase chain reaction (PCR) of nuclear and kinetoplast DNA sequences have been developed and are highly sensitive in acute disease but are less reliable for the detection of chronic disease. Parasites may also be cultured in Novy-MacNeal-Nicolle (NNN) media.

Treatment

Biochemical differences between the metabolism of American trypanosomes and that of mammalian hosts have been exploited for chemotherapy. Trypanosomes are very sensitive to oxidative radicals and do not possess catalase or glutathione reductase/glutathione peroxidase, which are key enzymes in scavenging free radicals. All trypanosomes also have an unusual reduced nicotinamide adenine dinucleotide phosphate (NADPH)-dependent disulfide reductase. Drugs that stimulate H2O2 generation or prevent its utilization are potential trypanosomicidal agents. Other biochemical pathways that have been targeted include ergosterol synthesis using azole compounds and the hypoxanthine-guanine phosphoribosyltransferase (HGPRT) pathway using allopurinol.

Drug treatment for T. cruzi infection is currently limited to nifurtimox and benznidazole. Both are effective against trypomastigotes and amastigotes and have been used to eradicate parasites in the acute stages of infection. Treatment responses vary according to the phase of Chagas disease, duration of treatment, dose, age of the patient, and geographic origin of the patient. Neither drug is safe in pregnancy.

Nifurtimox has been used most extensively and is about 60% percent effective in preventing progression to chronic disease if given in the acute or early stages of infection. Efficacy in chronic disease is variable and has been disappointing for the most part. Nifurtimox generates highly toxic oxygen metabolites through the action of nitroreductases, which produce unstable nitroanion radicals, which in turn react with oxygen to produce peroxide and superoxide free radicals. The treatment regimen for children 1-10 yr of age is 15-20 mg/kg/day divided 4 times a day PO for 90 days; for children 11-16 yr of age, 12.5-15 mg/kg/day divided 4 times a day PO for 90 days; and for children >16 yr of age, 8-10 mg/kg/day divided 3 times a day to 4 times a day PO for 90-120 days. Nifurtimox has been associated with weakness, anorexia, gastrointestinal disturbances, toxic hepatitis, tremors, seizures, and hemolysis in patients with glucose-6-phosphate dehydrogenase deficiency.

Benznidazole is a nitroimidazole derivative that may be slightly more effective than nifurtimox. While benznidazole is capable of inducing the production of free oxide radicals, the dose at which it is given is not effective for this mode of action. Instead, its nitroreduction intermediates may form covalent bonds or interact in other ways with parasitic DNA, lipids, and proteins and cause damage to parasite components. The recommended treatment regimen for children <12 yr of age is 10 mg/kg/day divided twice daily PO for 60 days, and for those >12 yr of age, it is 5-7 mg/kg/day divided twice daily PO for 60 days. This drug is associated with significant toxicity, including rash, photosensitivity, peripheral neuritis, granulocytopenia, and thrombocytopenia. While treatment is generally recommended for acute Chagas disease and is likely effective in the early stages of infection as well, the treatment of asymptomatic (or indeterminate) and symptomatic chronic disease is controversial. Multiple trials with long-term follow-up have yielded mixed results, with an estimated response rate of 10-20% for chronic disease. The definition of response in itself is problematic, and parasitologic cure is nearly impossible to demonstrate given the limitations of the sensitivity and specificity of detection methods. Instead, serologic conversion is seen as an appropriate treatment response, although some patients who achieve this still eventually develop symptoms. Recommendations from authorities have been mixed, with some advocating for treatment regardless of disease phase, and others recommending against treatment due to uncertain benefit and the toxicity of the drugs involved. Proponents of the latter approach instead advocate symptomatic treatment of disease manifestations. Treatment of congestive heart failure is generally in line with recommendations for management of dilated cardiomyopathy due to other causes. Beta-blockers have been validated in the management of these patients. Digitalis toxicity occurs frequently in patients with Chagas cardiomyopathy. Pacemakers may be necessary in cases of severe heart block. Although cardiac transplantation has been used successfully in chagasic patients, it is reserved for those with the most severe disease manifestations. Plasmapheresis to remove antibodies with adrenergic activity has been proposed for refractory patients as this approach has been tried and has worked in patients with dilated cardiomyopathy from other causes. However, its application to Chagas disease is unproven.

A light, balanced diet is recommended for megaesophagus. Surgery or dilation of the lower esophageal sphincter treats megaesophagus; pneumatic dilation is the superior mode of therapy. Nitrates and nifedipine have been used to reduce lower esophageal sphincter pressure in patients with megaesophagus. Treatment of megacolon is surgical and symptomatic. Treatment of meningoencephalitis is also supportive.

In accidental infection when parasitic penetration is certain, treatment should be immediately initiated and continued for 10-15 days. Blood is usually collected and serologic samples tested for seroconversion at 15, 30, and 60 days.

Prevention

Massive coordinated vector control programs under the auspices of the WHO and the institution of widespread blood donor screening and targeted surveillance of chronically infected mothers and infants at risk have effectively eliminated or at least drastically reduced transmission in most endemic countries. As Chagas disease remains linked to poverty, improvement of living conditions is likewise essential to successful control and eradication. Education of residents in endemic areas, use of bed nets, use of insecticides, and destruction of adobe houses that harbor reduviid bugs are effective methods to control the bug population. Synthetic pyrethroid insecticides help keep houses free of vectors for up to 2 years and have low toxicity for humans. Paints incorporating insecticides have also been used. Vaccine development thus far has been unsuccessful, as the parasite uses incompletely understood means to evade immune surveillance.

Blood transfusions in endemic areas are a significant risk. Gentian violet, an amphophilic cationic agent that acts photodynamically, has been used to kill the parasite in blood. Photoirradiation of blood containing gentian violet and ascorbate generates free radicals and superoxide anions that are trypanosomicidal. Mepacrine and maprotiline have also been used to eradicate the parasite in blood transfusions.

Because immigrants can carry this disease to nonendemic areas, serologic testing should be performed in blood and organ donors from endemic areas. Potential seropositive donors can be identified by determining whether they have been or have spent extensive time in an endemic area. Questionnaire-based screening of potentially infected blood and organ donors from areas endemic for infection can reduce the risk for transmission. Seropositivity should be considered a contraindication to organ donation.

Bibliography

Bern C, Montgomery SP. An estimate of the burden of Chagas disease in the United States. Clin Infect Dis. 2009;49:e52-e54.

Bern C, Montgomery SP, Herwaldt BL, et al. Evaluation and treatment of Chagas disease in the United States: a systematic review. JAMA. 2007;298:2171-2181.

Chessler AD, Ferreira LR, Chang TH, et al. A novel IFN regulatory factor 3-dependent pathway activated by trypanosomes triggers IFN-beta in macrophages and fibroblasts. J Immunol. 2008;181:7917-7924.

Dias JC, Dias E, Filho OM, et al. Further evidence of spontaneous cure in human Chagas disease. Rev Soc Bras Med Trop. 2008;41:505-506.

Jannin J, Villa L. An overview of Chagas disease treatment. Mem Inst Oswaldo Cruz. 2007;102:S95-S97.

Médecins Sans Frontières International meeting. new diagnostic tests are urgently needed to treat patients with Chagas disease. Campaign for Access to Essential Medicines. Rev Soc Bras Med Trop. 2008;41:315-319.

Medei EH, Nascimento JH, Pedrosa RC, et al. Role of autoantibodies in the physiopathology of Chagas’ disease. Arq Bras Cardiol. 2008;91:257-262. 281–286

Milei J, Guerri-Guttenberg RA, Grana DR, et al. Prognostic impact of Chagas disease in the United States. Am Heart J. 2009;157:22-29.

Rassi AJr, Rassi A, Marin-Neto JA. Chagas disease. Lancet. 2010;375:1388-1400.

Salazar-Schettino PM, Perera R, Ruiz-Hernandez AL, et al. Chagas disease as a cause of symptomatic chronic myocardiopathy in Mexican children. Pediatr Infect Dis J. 2009;28:1011-1012.

Villar JC, Marin-Neto JA, Ebrahim S, et al: Trypanocidal drugs for chronic asymptomatic Trypanosoma cruzi infection. Cochrane Database Syst Rev 1:CD003463, 2002.

Yadon ZE, Schmunis GA. Congenital Chagas disease: estimating the potential risk in the United States. Am J Trop Med Hyg. 2009;81:927-933.