Chapter 435 Tumors of the Heart

Robert Spicer, Stephanie Ware


Although cardiac tumors occur rarely in pediatric patients, they may result in serious hemodynamic or electrophysiologic abnormalities depending on tumor type and location.

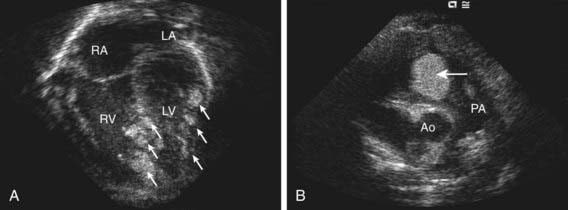
The vast majority of tumors originating from the heart are benign. Rhabdomyomas are the most common pediatric cardiac tumors and are associated with tuberous sclerosis in 70-95% of cases (Chapter 589.2). Rhabdomyomas may occur at any age, from fetal life through late adolescence. They are often multiple, can occur in any cardiac chamber, and originate within the myocardium extending, often, into the atrial or ventricular cavities (Fig. 435-1). Depending on their location and size, they can result in inflow or outflow obstruction leading to cyanosis or cardiac failure. Atrial and ventricular arrhythmias have been reported with rhabdomyomas, and on occasion, ventricular pre-excitation (Wolff-Parkinson-White) is present on ECG.

image

Figure 435-1 Echocardiograms demonstrating rhabdomyomas. A, Apical four-chamber view showing multiple rhabdomyomas (arrows) within the septum and left ventricular myocardium. B, Short-axis view showing a large rhabdomyoma (arrow) extending into the right ventricular outflow tract. Ao, ascending aorta; LA, left atrium; LV, left ventricle; PA, pulmonary artery; RA, right atrium; RV, right ventricle.

Fibromas are the second most common pediatric cardiac tumor, and in contrast to rhabdomyomas, are usually solitary and intramyocardial. They can, by size and location, lead to heart failure, cyanosis, or rhythm disturbances. Loss of the tumor suppressor PTCH1 is associated with the development of cardiac fibromas in sporadic cases. There is an increased incidence in patients with Gorlin syndrome (3%).

Myxomas, the most common cardiac tumor seen in adults, are infrequent in the pediatric population. Myxomas are predominantly intra-atrial, appear pedunculated, and are rather mobile. They may cause obstruction to inflow or outflow and may present with a murmur, heart failure, or syncope. On occasion, atrial myxomas are associated with systemic symptoms of fever, malaise, and arthralgia. Carney complex is a familial multiple neoplasia and lentiginosis syndrome in which cardiac myxomas can occur at a young age in any or all cardiac chambers.

Other benign tumors include hemangiomas, Purkinje cell tumors, papillomas, lipomas, and mesotheliomas. Depending on their location, these benign tumors can result in valvular function abnormalities, myocardial dysfunction, or heart block and other arrhythmias.

Malignant pediatric cardiac tumors are far less common than benign tumors (75% versus 25%), and the vast majority of such malignancies are sarcomas including angiosarcomas, rhabdosarcomas, or fibrosarcomas. Lymphomas or pheochromocytomas are reported but rare. Tumors originating from noncardiac sources that invade, extend, or metastasize to the heart are more commonly seen than primary malignant cardiac tumors. In pediatric patients, Wilms tumor and lymphoma/leukemia are the most common causes of such secondary tumors.

Although the manifestations of cardiac tumors in pediatric patients are protean, when a tumor is suspected, noninvasive imaging with echocardiography may be diagnostic and can determine tumor type, location, extent, and hemodynamic impact. ECG and Holter studies are valuable adjuncts when rhythm abnormalities are suspected. In complex cases, magnetic resonance imaging and computed tomography may be useful. Cardiac catheterization is rarely indicated, but may be utilized to confirm tumor location, assess intracardiac hemodynamics, and perform biopsy for histologic assessment. Risks including blood loss, perforation, arrhythmia, and vessel injury should be considered when discussing catheterization and biopsy.

Because the natural history of rhabdomyomas is one of spontaneous diminution or complete resolution, treatment of the majority of cardiac tumors in pediatric patients is unnecessary. However, careful clinical follow-up and imaging are important. Antiarrhythmic medications may be prescribed to control rhythm disorders. Surgical removal of a cardiac tumor may be indicated to relieve obstruction, improve myocardial or valve function, or control arrhythmias. Heart transplantation has been performed in cases of unresectable tumors with significant hemodynamic compromise. Wilms tumors extending from the inferior vena cava into the atrium may require cardiopulmonary bypass support during the course of primary resection of the renal tumor. Radiation or chemotherapy can improve cardiac function in rare cases of lymphoma or leukemia compressing the heart with hemodynamic compromise.

Bibliography

Burke A, Virmani R. Pediatric heart tumors. Cardiovasc Pathol. 2008;17:193-198.

Gunther T, Schreiber C, Noebauer C, et al. Treatment strategies for pediatric patients with primary cardiac and pericardial tumors: a 30-year review. Pediatr Cardiol. 2008;29:1071-1076.

Jozwiak S, Kotulska K, Kasprzyk-Obara J, et al. Clinical and genotype studies of cardiac tumors in 154 patients with tuberous sclerosis complex. Pediatrics. 2006;118:e1146-e1151.

Uzun O, Wilson D, Vujanic G, et al. Cardiac tumors in children. Orphanet J Rare Dis. 2007;2:11.

Wu K, Mo X, Liu Y. Clinical analysis and surgical results of cardiac myxoma in pediatric patients. J Surg Oncol. 2009;99:48-50.