LARYNX

The larynx is a hollow musculoligamentous structure with a cartilaginous framework that caps the lower respiratory tract.

The cavity of the larynx is continuous below with the trachea, and above opens into the pharynx immediately posterior and slightly inferior to the tongue and the posterior opening (oropharyngeal isthmus) of the oral cavity (Fig. 8.197A and B).

image

Fig. 8.197 Larynx. A. Relationship to other cavities. B. Lateral view.

The larynx is both a valve (or sphincter) to close the lower respiratory tract, and an instrument to produce sound. It is composed of:

image three large unpaired cartilages (cricoid, thyroid, and epiglottis);
image three pairs of smaller cartilages (arytenoid, corniculate, and cuneiform); and
image a fibro-elastic membrane and numerous intrinsic muscles.

The larynx is suspended from the hyoid bone above and attached to the trachea below by membranes and ligaments. It is highly mobile in the neck and can be moved up and down and forward and backward by the action of extrinsic muscles that attach either to the larynx itself or to the hyoid bone.

During swallowing, the dramatic upward and forward movements of the larynx facilitate closing the laryngeal inlet and opening the esophagus.

  Page 998 

Motor and sensory innervation of the larynx is provided by the vagus nerve [X].

Laryngeal cartilages

Cricoid cartilage

The cricoid cartilage is the most inferior of the laryngeal cartilages and completely encircles the airway (Fig. 8.198). It is shaped like a signet ring with a broad lamina of cricoid cartilage posterior to the airway and a much narrower arch of cricoid cartilage circling anteriorly.

image

Fig. 8.198 Cricoid cartilage. A. Anterolateral view. B. Posterior view.

The posterior surface of the lamina is characterized by two shallow oval depressions separated by a vertical ridge. The esophagus is attached to the ridge and the depressions are for attachment of the posterior crico-arytenoid muscles.

The cricoid cartilage has two articular facets on each side for articulation with other laryngeal cartilages:

image one facet is on the sloping superolateral surface of the lamina and articulates with the base of an arytenoid cartilage;
image the other facet is on the lateral surface of the lamina near its base and is for articulation with the medial surface of the inferior horn of the thyroid cartilage.
Thyroid cartilage

The thyroid cartilage (Fig. 8.199) is the largest of the laryngeal cartilages. It is formed by a right and a left lamina, which are widely separated posteriorly, but converge and join anteriorly.

image image

Fig. 8.199 Thyroid cartilage. A. Anterolateral view.

Thyroid cartilage. B. Superior view.

The most superior point of the site of fusion between the two broad flat laminae projects forward as the laryngeal prominence (Adam’s apple). The angle between the two laminae is more acute in men (90°) than in women (120°) so the laryngeal prominence is more apparent in men than women.

Just superior to the laryngeal prominence, the superior thyroid notch separates the two laminae as they diverge laterally. Both the superior thyroid notch and the laryngeal prominence are palpable landmarks in the neck.

There is a less distinct inferior thyroid notch in the midline along the base of the thyroid cartilage.

  Page 999 

The posterior margin of each lamina of the thyroid cartilage is elongated to form a superior horn and an inferior horn:

image the medial surface of the inferior horn has a facet for articulation with the cricoid cartilage;
image the superior horn is connected by a lateral thyrohyoid ligament to the posterior end of the greater horn of the hyoid bone.

The lateral surface of each thyroid lamina is marked by a ridge (the oblique line), which curves anteriorly from the base of the superior horn to a little short of midway along the inferior margin of the lamina.

The ends of the oblique line are expanded to form superior and inferior thyroid tubercles. The oblique line is a site of attachment for the extrinsic muscles of the larynx (sternothyroid, thyrohyoid, and inferior constrictor).

Epiglottis

The epiglottis is a leaf-shaped cartilage attached by its stem to the posterior aspect of the thyroid cartilage at the angle (Fig. 8.200) and projects posterosuperiorly from its attachment to the thyroid cartilage. The attachment is via the thyro-epiglottic ligament in the midline approximately midway between the laryngeal prominence and the inferior thyroid notch. The upper margin of the epiglottis is behind the pharyngeal part of the tongue.

image

Fig. 8.200 Epiglottis. A. Anterolateral view. B. Posterior surface.

The inferior half of the posterior surface of the epiglottis is raised slightly to form an epiglottic tubercle.

Arytenoid cartilages

The two arytenoid cartilages are pyramid-shaped cartilages with three surfaces, a base of arytenoid cartilage and an apex of arytenoid cartilage (Fig. 8.201):

image the base is concave and articulates with the sloping articular facet on the superolateral surface of the lamina of cricoid cartilage;
image the apex articulates with a corniculate cartilage;
image the medial surface of each cartilage faces the other;
image the anterolateral surface has two depressions, separated by a ridge, for muscle (vocalis) and ligament (vestibular ligament) attachment.
image

Fig. 8.201 Arytenoid cartilages.

The anterior angle of the base is elongated into a vocal process to which the vocal ligament is attached. The lateral angle is similarly elongated into a muscular process for attachment of the posterior and lateral crico-arytenoid muscles.

  Page 1000 
Corniculate

The corniculate cartilages (Fig. 8.202) are two small conical cartilages whose bases articulate with the apices of the arytenoid cartilages. Their apices project posteromedially toward each other.

image

Fig. 8.202 Corniculate and cuneiform cartilages.

Cuneiform

These two small club-shaped cartilages (Fig. 8.202) lie anterior to the corniculate cartilages and are suspended in the part of the fibro-elastic membrane of the larynx that attaches the arytenoid cartilages to the lateral margin of the epiglottis.

Extrinsic ligaments

Thyrohyoid membrane

The thyrohyoid membrane is a tough fibro-elastic ligament that spans between the superior margin of the thyroid cartilage below and the hyoid bone above (Fig. 8.203). It is attached to the superior margin of the thyroid laminae and adjacent anterior margins of the superior horns, and ascends medial to the greater horns and posterior to the body of the hyoid bone to attach to the superior margins of these structures.

image

Fig. 8.203 Extrinsic ligaments of the larynx.

  Page 1001 

An aperture in the lateral part of the thyrohyoid membrane on each side is for the superior laryngeal artery, the internal branch of the superior laryngeal nerve and lymphatics.

The posterior borders of the thyrohyoid membrane are thickened to form the lateral thyrohyoid ligaments. The membrane is also thickened anteriorly in the midline to form the median thyrohyoid ligament.

Occasionally, there is a small cartilage (triticeal cartilage) in each lateral thyrohyoid ligament.

Hyo-epiglottic ligament

The hyo-epiglottic ligament (Fig. 8.203) extends from the midline of the epiglottis, anterosuperiorly to the body of the hyoid bone.

Cricotracheal ligament

The cricotracheal ligament (Fig. 8.203) runs from the lower border of the cricoid cartilage to the adjacent upper border of the first tracheal cartilage.

Intrinsic ligaments

Fibro-elastic membrane of the larynx

The fibro-elastic membrane of the larynx links together the laryngeal cartilages and completes the architectural framework of the laryngeal cavity. It is composed of two parts—a lower cricothyroid ligament and an upper quadrangular membrane.

Cricothyroid ligament (cricovocal membrane, cricothyroid membrane)

The cricothyroid ligament (Fig. 8.204) is attached to the arch of cricoid cartilage and extends superiorly to end in a free upper margin within the space enclosed by the thyroid cartilage. On each side, this upper free margin attaches:

image anteriorly to the thyroid cartilage; and
image posteriorly to the vocal processes of the arytenoid cartilages.
image

Fig. 8.204 Cricothyroid ligament.

The free margin between these two points of attachment is thickened to form the vocal ligament, which is under the vocal fold (true vocal cord) of the larynx.

The cricothyroid ligament is also thickened anteriorly in the midline to form a distinct median cricothyroid ligament, which spans the distance between the arch of cricoid cartilage and the inferior thyroid notch and adjacent deep surface of the thyroid cartilage up to the attachment of the vocal ligaments.

  Page 1002 

In emergency situations, when the airway is blocked above the level of the vocal folds, the median cricothyroid ligament can be perforated to establish an airway. Except for small vessels and the occasional presence of a pyramidal lobe of the thyroid gland, normally there are few structures between the median cricothyroid ligament and skin.

Quadrangular membrane

The quadrangular membrane on each side runs between the lateral margin of the epiglottis and the anterolateral surface of the arytenoid cartilage on the same side (Fig. 8.205). It is also attached to the corniculate cartilage, which articulates with the apex of arytenoid cartilage.

image

Fig. 8.205 Quadrangular membrane.

Each quadrangular membrane has a free upper margin, between the top of the epiglottis and the corniculate cartilage, and a free lower margin. The free lower margin is thickened to form the vestibular ligament under the vestibular fold (false vocal cord) of the larynx.

The vestibular ligament is attached posteriorly to the superior depression on the anterolateral surface of the arytenoid cartilage and anteriorly to the thyroid angle just superior to the attachment of the vocal ligament.

On each side, the vestibular ligament of the quadrangular membrane is separated from the vocal ligament of the cricothyroid ligament below by a gap. Because the vestibular ligament attaches to the anterolateral surface of the arytenoid cartilage and the vocal ligament attaches to the vocal process of the same cartilage, the vestibular ligament is lateral to the vocal ligament when viewed from above (Fig. 8.206).

image

Fig. 8.206 Fibro-elastic membrane of the larynx (superior view).

Laryngeal joints

Cricothyroid joints

The joints between the inferior horns of the thyroid cartilage and the cricoid cartilage, and between the cricoid cartilage and arytenoid cartilages are synovial. Each is surrounded by a capsule and is reinforced by associated ligaments. The cricothyroid joints enable the thyroid cartilage to move forward and tilt downward on the cricoid cartilage (Fig. 8.207).

image

Fig. 8.207 Movements of the cricothyroid joints.

Because the vocal ligaments pass between the posterior aspect of the thyroid angle and the arytenoid cartilages sit on the lamina of cricoid cartilage, forward movement and downward rotation of the thyroid cartilage on the cricoid cartilage effectively lengthens and puts tension on the vocal ligaments.

  Page 1003 
Crico-arytenoid joints

The crico-arytenoid joints between articular facets on the superolateral surfaces of the cricoid cartilage and the bases of the arytenoid cartilages enable the arytenoid cartilages to slide away or toward each other and to rotate so that the vocal processes pivot either toward or away from the midline. These movements abduct and adduct the vocal ligaments (Fig. 8.208).

image

Fig. 8.208 Movements of the crico-arytenoid joints.

Cavity of the larynx

The central cavity of the larynx (Fig. 8.209) is tubular and lined by mucosa. Its architectural support is provided by the fibro-elastic membrane of the larynx and by the laryngeal cartilages to which it is attached.

image

Fig. 8.209 Laryngeal cavity. A. Posterolateral view. B. Posterior view (cutaway). C. Superior view through the laryngeal inlet. D. Labeled photographs of the larynx, superior view.

The superior aperture of the cavity (laryngeal inlet) opens into the anterior aspect of the pharynx just below and posterior to the tongue (Fig. 8.209A):

image its anterior border is formed by mucosa covering the superior margin of the epiglottis;
image its lateral borders are formed by mucosal folds (aryepiglottic folds), which enclose the superior margins of the quadrangular membranes and adjacent soft tissues, and two tubercles on the more posterolateral margin of the laryngeal inlet on each side mark the positions of the underlying cuneiform and corniculate cartilages;
image its posterior border in the midline is formed by a mucosal fold that forms a depression (interarytenoid notch) between the two corniculate tubercles.

The inferior opening of the laryngeal cavity is continuous with the lumen of the trachea, is completely encircled by the cricoid cartilage, and is horizontal in position unlike the laryngeal inlet, which is oblique and points posterosuperiorly into the pharynx. In addition, the inferior opening is continuously open, whereas the laryngeal inlet can be closed by downward movement of the epiglottis.

Division into three major regions

Two pairs of mucosal folds, the vestibular and vocal folds, which project medially from the lateral walls of the laryngeal cavity, constrict it and divide it into three major regions—the vestibule, a middle chamber, and the infraglottic cavity (Fig. 8.209B):

image the vestibule is the upper chamber of the laryngeal cavity between the laryngeal inlet and the vestibular folds, which enclose the vestibular ligaments and associated soft tissues;
image the middle part of the laryngeal cavity is very thin and is between the vestibular folds above and the vocal folds below;
image the infraglottic space is the most inferior chamber of the laryngeal cavity and is between the vocal folds (which enclose the vocal ligaments and related soft tissues) and the inferior opening of the larynx.
  Page 1004 
  Page 1005 
Laryngeal ventricles and saccules

On each side, the mucosa of the middle cavity bulges laterally through the gap between the vestibular and vocal ligaments to produce an expanded trough-shaped space (a laryngeal ventricle). An elongate tubular extension of each ventricle (laryngeal saccule) projects anterosuperiorly between the vestibular fold and thyroid cartilage and may reach as high as the top of the thyroid cartilage. Within the walls of these laryngeal saccules are numerous mucous glands. Mucus secreted into the saccules lubricates the vocal folds.

Rima vestibuli and rima glottidis

When viewed from above (Fig. 8.209C and 8.209D), there is a triangular opening (the rima vestibuli) between the two adjacent vestibular folds at the entrance to the middle chamber of the laryngeal cavity. The apex of the opening is anterior and its base is formed by the posterior wall of the laryngeal cavity.

Inferior to the vestibular folds, the vocal folds (true vocal cords) and adjacent mucosa-covered parts of the arytenoid cartilages form the lateral walls of a similar, but narrower triangular opening (the rima glottidis between the two adjacent vocal folds). This opening separates the middle chamber above from the infraglottic cavity below. The base of this triangular opening is formed by the fold of mucosa (interarytenoid fold) at the bottom of the interarytenoid notch.

Both the rima glottidis and the rima vestibuli can be opened and closed by movement of the arytenoid cartilages and associated fibro-elastic membranes.

Intrinsic muscles

The intrinsic muscles of the larynx (Table 8.19) adjust tension in the vocal ligaments, open and close the rima glottidis, control the inner dimensions of the vestibule, close the rima vestibuli, and facilitate closing of the laryngeal inlet. They do this mainly by:

image acting on the cricothyroid and crico-arytenoid joints;
image adjusting the distance between the epiglottis and arytenoid cartilages;
image pulling directly on the vocal ligaments; and
image forcing soft tissues associated with the quadrangular membranes and vestibular ligaments toward the midline.

Table 8.19 Intrinsic muscles of the larynx

image
Cricothyroid muscles

The fan-shaped cricothyroid muscles are attached to the anterolateral surfaces of the arch of the cricoid cartilage and expand superiorly and posteriorly to attach to the thyroid cartilage (Fig. 8.210).

image

Fig. 8.210 Cricothyroid muscle.

Each muscle has an oblique part and a straight part:

image the oblique part runs in a posterior direction from the arch of the cricoid cartilage to the inferior horn of the thyroid cartilage;
  Page 1006 
image the straight part runs more vertically from the arch of the cricoid cartilage to the posteroinferior margin of the thyroid lamina.

The cricothyroid muscles move the cricothyroid joints. They pull the thyroid cartilage forward and rotate it down relative to the cricoid cartilage. These actions lengthen the vocal folds.

The cricothyroid muscles are the only intrinsic muscles of the larynx innervated by the superior laryngeal branches of the vagus nerves [X]. All other intrinsic muscles are innervated by the recurrent laryngeal branches of the vagus nerves [X].

Posterior crico-arytenoid muscles

There is a right and a left posterior crico-arytenoid muscle (Fig. 8.211). The fibers of each muscle originate from a large shallow depression on the posterior surface of the lamina of cricoid cartilage, and run superiorly and laterally to converge on the muscular processes of the arytenoid cartilage.

image

Fig. 8.211 Crico-arytenoid, oblique and transverse arytenoids, and vocalis muscles.

The posterior crico-arytenoid muscles abduct and externally (laterally) rotate the arytenoid cartilages, thereby opening the rima glottidis. These muscles are the primary abductors of the vocal folds. They are innervated by the recurrent laryngeal branches of the vagus nerves [X].

  Page 1007 
Lateral crico-arytenoid muscles

The lateral crico-arytenoid muscle on each side originates from the upper surface of the arch of the cricoid cartilage, and runs posteriorly and superiorly to insert on the muscular process of the arytenoid cartilage (Fig. 8.211).

The lateral crico-arytenoid muscles internally rotate the arytenoid cartilages. These movements result in adducted (closed) vocal folds.

The lateral crico-arytenoids are innervated by the recurrent laryngeal branches of the vagus nerves [X].

Transverse arytenoid muscle

The single transverse arytenoid muscle spans the distance between adjacent lateral margins of the arytenoid cartilages and covers the posterior surfaces of these cartilages (Fig. 8.211). It adducts the arytenoid cartilages and is innervated by the recurrent laryngeal branches of the vagus nerves [X].

Oblique arytenoid muscles

Each of the two oblique arytenoid muscles runs from the posterior surface of the muscular process of one arytenoid cartilage to the apex of the arytenoid cartilage on the other side (Fig. 8.211). Some fibers of the muscle continue laterally around the margin of the arytenoid cartilage and into the aryepiglottic fold where they continue as the aryepiglottic part of the muscle (Fig. 8.212).

image

Fig. 8.212 Thyro-arytenoid muscle.

The oblique arytenoids can narrow the laryngeal inlet by constricting the distance between the arytenoid cartilages and the epiglottis. They are innervated by the recurrent laryngeal branches of the vagus nerves [X].

Vocalis

The vocalis muscles are elongate muscles lateral to and running parallel with each vocal ligament (Fig. 8.211). The fibers in each muscle are attached posteriorly to the lateral surface of the vocal process and adjacent depression on the anterolateral surface of the arytenoid cartilage, and anteriorly insert along the length of the vocal ligament to the thyroid angle.

The vocalis muscles adjust tension in the vocal folds and are innervated by the recurrent laryngeal branches of the vagus nerves [X].

Thyro-arytenoid muscles

The two thyro-arytenoid muscles are broad flat muscles lateral to the fibro-elastic membrane of the larynx and the laryngeal ventricles and saccules (Fig. 8.212). Each muscle runs from a vertical line of origin on the lower half of the thyroid angle and adjacent external surface of the cricothyroid ligament to the anterolateral surface of the arytenoid cartilage. Some of the fibers may continue into the aryepiglottic fold and reach the margin of the epiglottis. These fibers are the thyro-epiglottic part of the muscle.

Because the thyro-arytenoid muscles are broad and lateral to the quadrangular membrane, they act as a sphincter of the vestibule by pushing soft tissues medial to the muscles toward the midline. The muscles also narrow the laryngeal inlet by pulling the arytenoid cartilages forward while simultaneously pulling the epiglottis toward the arytenoid cartilages.

The thyro-arytenoid muscles are innervated by the recurrent laryngeal branches of the vagus nerves [X].

  Page 1008 

Function of the larynx

The larynx is an elaborate sphincter for the lower respiratory tract and provides a mechanism for producing sounds. Adjustments of the size of the central cavity of the larynx result from changes in the dimensions of the rima glottidis, the rima vestibuli, the vestibule, and the laryngeal inlet (Fig. 8.213). These changes result from muscle actions and laryngeal mechanics.

image

Fig. 8.213 Laryngeal function. A. Quiet respiration. B. Forced inspiration. C. Phonation. D. Effort closure. E. Swallowing.

Respiration

During quiet respiration, the laryngeal inlet, vestibule, rima vestibuli, and rima glottidis are open. The arytenoid cartilages are abducted and the rima glottidis is triangular shaped (Fig. 8.213A). During forced inspiration (Fig. 8.213B), the arytenoid cartilages are rotated laterally, mainly by the action of the posterior crico-arytenoid muscles. As a result, the vocal folds are abducted, and the rima glottidis widens into a rhomboid shape, which effectively increases the diameter of the laryngeal airway.

  Page 1009 
Phonation

When phonating, the arytenoid cartilages and vocal folds are adducted and air is forced through the closed rima glottidis (Fig. 8.213C). This action causes the vocal folds to vibrate against each other and produce sounds, which can then be modified by the upper parts of the airway and oral cavity. Tension in the vocal folds can be adjusted by the vocalis and cricothyroid muscles.

Effort closure

Effort closure of the larynx (Fig. 8.213D) occurs when air is retained in the thoracic cavity to stabilize the trunk, for example during heavy lifting, or as part of the mechanism for increasing intra-abdominal pressure. During effort closure, the rima glottidis is completely closed, as is the rima vestibuli and lower parts of the vestibule. The result is to completely and forcefully shut the airway.

Swallowing

During swallowing, the rima glottidis, the rima vestibuli, and vestibule are closed and the laryngeal inlet is narrowed. In addition, the larynx moves up and forward. This action causes the epiglottis to swing downward toward the arytenoid cartilages and to effectively narrow or close the laryngeal inlet (Fig. 8.213E). The up and forward movement of the larynx also opens the esophagus, which is attached to the posterior aspect of the lamina of cricoid cartilage. All these actions together prevent solids and liquids from entry into the airway and facilitate their movement through the piriform fossae into the esophagus.

In the clinic

Tracheostomy

A tracheostomy is a procedure in which a hole is made in the trachea and a tube is inserted to enable ventilation.

In the emergency situation a tracheostomy is typically performed when there is obstruction to the larynx as a result of inhalation of a foreign body, severe edema secondary to anaphylactic reaction, or severe head and neck trauma.

In the emergency situation the cricothyroid ligament can be identified by simple palpation and a small needle can be inserted to establish an airway. The typical situation in which a tracheostomy is performed is in the calm atmosphere of an operating theater. A small transverse incision is placed in the lower third of the neck anteriorly. The strap muscles are deviated laterally and the trachea can be easily visualized. Occasionally it is necessary to divide the isthmus of thyroid gland. An incision is made in the second and third tracheal rings and a small tracheostomy tube inserted.

After the tracheostomy has been in situ for the required length of time, it is simply removed. The hole through which it was inserted almost inevitably closes without any intervention.

Patients with long-term tracheostomies are unable to vocalize because no air is passing through the vocal cords.

  Page 1010 

Vessels

Arteries

The major blood supply to the larynx is by the superior and inferior laryngeal arteries (Fig. 8.214):

image the superior laryngeal artery originates near the upper margin of the thyroid cartilage from the superior thyroid branch of the external carotid artery, and accompanies the internal branch of the superior laryngeal nerve through the thyrohyoid membrane to reach the larynx;
image the inferior laryngeal artery originates from the inferior thyroid branch of the thyrocervical trunk of the subclavian artery low in the neck and, together with the recurrent laryngeal nerve, ascends in the groove between the esophagus and trachea—it enters the larynx by passing deep to the margin of the inferior constrictor muscle of the pharynx.
image

Fig. 8.214 Arterial supply of the larynx, left lateral view.

  Page 1011 
Veins

Veins draining the larynx accompany the arteries:

image superior laryngeal veins drain into superior thyroid veins, which in turn drain into the internal jugular veins (Fig. 8.215);
image inferior laryngeal veins drain into inferior thyroid veins, which drain into the left brachiocephalic vein.
image

Fig. 8.215 Venous drainage of the larynx, anterior view.

Lymphatics

Lymphatics drain regions above and below the vocal folds:

image those above the vocal folds follow the superior laryngeal artery and terminate in deep cervical nodes associated with the bifurcation of the common carotid artery;
image those below the vocal folds drain into deep nodes associated with the inferior thyroid artery or with nodes associated with the front of the cricothyroid ligament or upper trachea.
  Page 1012 

Nerves

Sensory and motor innervation of the larynx is by two branches of the vagus nerves [X]—the superior laryngeal nerves and the recurrent laryngeal nerves (Fig. 8.216).

image

Fig. 8.216 Innervation of the larynx.

Superior laryngeal nerves

The superior laryngeal nerves originate from the inferior vagal ganglia high in the neck (Fig. 8.216). On each side, they descend medial to the internal carotid artery and divide into internal and external branches just above the level of the superior horn of the hyoid bone:

image the external branch (external laryngeal nerve) descends along the lateral wall of the pharynx to supply and penetrate the inferior constrictor of the pharynx and ends by supplying the cricothyroid muscle;
image the internal branch (internal laryngeal nerve) passes anteroinferiorly to penetrate the thyrohyoid membrane—it is mainly sensory and supplies the laryngeal cavity down to the level of the vocal folds.
  Page 1013 
Recurrent laryngeal nerves

The recurrent laryngeal nerves are (Fig. 8.216):

image sensory to the laryngeal cavity below the level of the vocal folds; and
image motor to all intrinsic muscles of the larynx except for the cricothyroid.

The left recurrent laryngeal nerve originates in the thorax, whereas the right recurrent laryngeal nerve originates in the root of the neck. Both nerves generally ascend in the neck in the groove between the esophagus and trachea and enter the larynx deep to the margin of the inferior constrictor. They may pass medial, lateral, or through the lateral ligament of the thyroid gland, which attaches the thyroid gland to the trachea and lower part of the cricoid cartilage on each side.

NASAL CAVITIES

The two nasal cavities are the uppermost parts of the respiratory tract and contain the olfactory receptors. They are elongated wedge-shaped spaces with a large inferior base and a narrow superior apex (Figs. 8.217 and 8.218) and are held open by a skeletal framework consisting mainly of bone and cartilage.

image

Fig. 8.217 Nasal cavities (anterolateral view). Relationship to other cavities.

image

Fig. 8.218 Nasal cavities. A. Floor, roof, and lateral walls. B. Conchae on lateral walls. C. Coronal section. D. Air channels in right nasal cavity.

The smaller anterior regions of the cavities are enclosed by the external nose, whereas the larger posterior regions are more central within the skull. The anterior apertures of the nasal cavities are the nares, which open onto the inferior surface of the nose. The posterior apertures are the choanae, which open into the nasopharynx.

  Page 1014 

The nasal cavities are separated:

image from each other by a midline nasal septum;
image from the oral cavity below by the hard palate; and
image from the cranial cavity above by parts of the frontal, ethmoid, and sphenoid bones.

Lateral to the nasal cavities are the orbits.

Each nasal cavity has a floor, roof, medial wall, and lateral wall (Fig. 8.218A).

Lateral wall

The lateral wall is characterized by three curved shelves of bone (conchae), which are one above the other and project medially and inferiorly across the nasal cavity (Fig. 8.218B). The medial, anterior, and posterior margins of the conchae are free.

The conchae divide each nasal cavity into four air channels (Fig. 8.218C and 8.218D):

  Page 1015 
image an inferior nasal meatus between the inferior concha and the nasal floor;
image a middle nasal meatus between the inferior and middle concha;
image a superior nasal meatus between the middle and superior concha; and
image a spheno-ethmoidal recess between the superior concha and the nasal roof.

These conchae increase the surface area of contact between tissues of the lateral wall and the respired air.

The openings of the paranasal sinuses, which are extensions of the nasal cavity that erode into the surrounding bones during childhood and early adulthood, are on the lateral wall and roof of the nasal cavities (Fig. 8.219). In addition, the lateral wall also contains the opening of the nasolacrimal duct, which drains tears from the eye into the nasal cavity.

image

Fig. 8.219 Paranasal sinuses and nasolacrimal duct.

Regions

Each nasal cavity consists of three general regions—the nasal vestibule, the respiratory region, and the olfactory region (Fig. 8.220):

image the nasal vestibule is a small dilated space just internal to the naris that is lined by skin and contains hair follicles;
image the respiratory region is the largest part of the nasal cavity, has a rich neurovascular supply, and is lined by respiratory epithelium composed mainly of ciliated and mucous cells;
image the olfactory region is small, is at the apex of each nasal cavity, is lined by olfactory epithelium, and contains the olfactory receptors.
image

Fig. 8.220 Regions of the nasal cavities.

In addition to housing receptors for the sense of smell (olfaction), the nasal cavities adjust the temperature and humidity of respired air by the action of a rich blood supply, and trap and remove particulate matter from the airway by filtering the air through hair in the vestibule and by capturing foreign material in abundant mucus. The mucus normally is moved posteriorly by cilia on epithelial cells in the nasal cavities and is swallowed.

  Page 1016 

Innervation and blood supply

Innervation of the nasal cavities is by three cranial nerves:

image olfaction is carried by the olfactory nerve [I];
image general sensation is carried by the trigeminal nerve [V], the anterior region by the ophthalmic nerve [V1], and the posterior region by the maxillary nerve [V2];
image all glands are innervated by parasympathetic fibers in the facial nerve [VII] (greater petrosal nerve), which join branches of the maxillary nerve [V2] in the pteryatine fossa.

Sympathetic fibers are ultimately derived from the T1 spinal cord level. They synapse mainly in the superior cervical sympathetic ganglion, and postganglionic fibers reach the nasal cavities along blood vessels, or by joining branches of the maxillary nerve [V2] in the pteryatine fossa.

Blood supply to the nasal cavities is by:

image terminal branches of the maxillary and facial arteries, which originate from the external carotid artery; and
image from ethmoidal branches of the ophthalmic artery, which originates from the internal carotid artery.

Skeletal framework

Bones that contribute to the skeletal framework of the nasal cavities include:

image the unpaired ethmoid, sphenoid, frontal bone, and vomer;
image the paired nasal, maxillary, palatine and lacrimal bones, and inferior conchae.

Of all the bones associated with the nasal cavities, the ethmoid is a key element.

Ethmoid bone

The single ethmoid bone is one of the most complex bones in the skull. It contributes to the roof, lateral wall, and medial wall of both nasal cavities, and contains the ethmoidal cells (ethmoidal sinuses).

The ethmoid bone is cuboidal in overall shape (Fig. 8.221A) and is composed of two rectangular box-shaped ethmoidal labyrinths, one on each side, united superiorly across the midline by a perforated sheet of bone (the cribriform plate). A second sheet of bone (the perpendicular plate) descends vertically in the median sagittal plane from the cribriform plate to form part of the nasal septum.

image

Fig. 8.221 Ethmoid bone. A. Overall shape. B. Coronal section through skull.

Each ethmoidal labyrinth is composed of two delicate sheets of bone, which sandwich between them the ethmoidal cells.

image the lateral sheet of bone (the orbital plate) is flat and forms part of the medial wall of the orbit;
image the medial sheet of bone forms the upper part of the lateral wall of the nasal cavity and is characterized by two processes and a swelling (Fig. 8.221B)—the two processes are curved shelves of bone (the superior and middle conchae), which project across the nasal cavity and curve downward ending in free medial margins, while inferior to the origin of the middle concha, the middle ethmoidal cells form a prominent bulge (the ethmoidal bulla), on the medial wall of the labyrinth.

Extending anterosuperiorly from just under the bulla is a groove (the ethmoidal infundibulum), which continues upward, and narrows to form a channel that penetrates the ethmoidal labyrinth and opens into the frontal sinus. This channel is for the frontonasal duct, which drains the frontal sinus.

The superior surface of the ethmoidal labyrinth articulates with the frontal bone, which usually completes the roof of the ethmoidal cells, while the anterior surface articulates with the frontal process of the maxilla and with the lacrimal bone. The inferior surface articulates with the upper medial margin of the maxilla.

A delicate irregularly shaped projection (the uncinate process) on the anterior aspect of the inferior surface of the ethmoidal labyrinth extends posteroinferiorly across a large defect (maxillary hiatus) in the medial wall of the maxilla to articulate with the inferior concha.

The cribriform plate is at the apex of the nasal cavities and fills the ethmoidal notch in the frontal bone (Fig. 8.221) and separates the nasal cavities below from the cranial cavity above. Small perforations in the bone allow the fibers of the olfactory nerve [I] to pass between the two regions.

A large triangular process (the crista galli) at the midline on the superior surface of the cribriform plate anchors a fold (falx cerebri) of dura mater in the cranial cavity.

The perpendicular plate of the ethmoid bone is quadrangular in shape, descends in the midline from the cribriform plate, and forms the upper part of the median nasal septum (Fig. 8.221). It articulates:

image posteriorly with the sphenoidal crest on the body of the sphenoid bone;
image anteriorly with the nasal spine on the frontal bone and with the site of articulation at the midline between the two nasal bones; and
  Page 1017 
  Page 1018 
image inferiorly, anteriorly with the septal cartilage and posteriorly with the vomer.

External nose

The external nose extends the nasal cavities onto the front of the face and positions the nares so that they point downward (Fig. 8.222). It is pyramidal in shape with its apex anterior in position. The upper angle of the nose between the openings of the orbits is continuous with the forehead.

image

Fig. 8.222 External nose.

Like posterior regions, the anterior parts of the nasal cavities found within the nose are held open by a skeletal framework, which is composed partly of bone and mainly of cartilage:

image the bony parts are where the nose is continuous with the skull—here the nasal bones and parts of the maxillae and frontal bones provide support;
image anteriorly, and on each side, support is provided by lateral processes of the septal cartilage, major alar and three or four minor alar cartilages, and a single septal cartilage in the midline that forms the anterior part of the nasal septum.

Paranasal sinuses

There are four paranasal air sinuses—the ethmoidal cells, and the sphenoidal, maxillary, and frontal sinuses (Fig. 8.223A and 8.223B). Each is named according to the bone in which it is found.

image image

Fig. 8.223 Paranasal sinuses. A. Anterior view. B. Posteroanterior skull radiograph.

Paranasal sinuses. C. Paramedian view of right nasal cavity. D. Lateral skull radiograph.

The paranasal sinuses develop as outgrowths from the nasal cavities and erode into the surrounding bones. All are:

image lined by respiratory mucosa, which is ciliated and mucus secreting;
image open into the nasal cavities; and
image innervated by branches of the trigeminal nerve [V].
  Page 1019 
Frontal sinuses

The frontal sinuses, one on each side, are variable in size and are the most superior of the sinuses (Fig. 8.223A and 8.223B). Each is triangular in shape and is in the part of the frontal bone under the forehead. The base of each triangular sinus is oriented vertically in the bone at the midline above the bridge of the nose and the apex is laterally approximately one-third of the way along the upper margin of the orbit.

Each frontal sinus drains onto the lateral wall of the middle meatus via the frontonasal duct, which penetrates the ethmoidal labyrinth and continues as the ethmoidal infundibulum at the front end of the semilunar hiatus.

The frontal sinuses are innervated by branches of the supra-orbital nerve from the ophthalmic nerve [V1]. Their blood supply is from branches of the anterior ethmoidal arteries.

Ethmoidal cells

The ethmoidal cells on each side fill the ethmoidal labyrinth (Fig. 8.223A and 8.223B). Each cluster of cells is separated from the orbit by the thin orbital plate of the ethmoidal labyrinth, and from the nasal cavity by the medial wall of the ethmoidal labyrinth.

The ethmoidal cells are formed by a variable number of individual air chambers, which are divided into anterior, middle, and posterior ethmoidal cells based on the location of their apertures on the lateral wall of the nasal cavity:

image the anterior ethmoidal cells open into the ethmoidal infundibulum or the frontonasal duct;
image the middle ethmoidal cells open onto the ethmoidal bulla, or onto the lateral wall just above this structure;
image the posterior ethmoidal cells open onto the lateral wall of the superior nasal meatus.

Because the ethmoidal cells often erode into bones beyond the boundaries of the ethmoidal labyrinth, their walls may be completed by the frontal, maxillary, lacrimal, sphenoid, and palatine bones.

The ethmoidal cells are innervated by:

image the anterior and posterior ethmoidal branches of the nasociliary nerve from the ophthalmic nerve [V1]; and
image the maxillary nerve [V2] via orbital branches from the pteryatine ganglion.

The ethmoidal cells receive their blood supply through branches of the anterior and posterior ethmoidal arteries.

  Page 1020 
Maxillary sinuses

The maxillary sinuses, one on each side, are the largest of the paranasal sinuses and completely fill the bodies of the maxillae (Fig. 8.223A and 8.223B). Each is pyramidal in shape with the apex directed laterally and the base deep to the lateral wall of the adjacent nasal cavity. The medial wall or base of the maxillary sinus is formed by the maxilla, and by parts of the inferior concha and palatine bone that overlie the maxillary hiatus.

The opening of the maxillary sinus is near the top of the base, in the center of the semilunar hiatus, which grooves the lateral wall of the middle nasal meatus.

Relationships of the maxillary sinus are as follows:

image the superolateral surface (roof) is related above to the orbit;
image the anterolateral surface is related below to the roots of the upper molar and premolar teeth and in front to the face;
image the posterior wall is related behind to the infratemporal fossa.

The maxillary sinuses are innervated by infra-orbital and alveolar branches of the maxillary nerve [V2], and receive their blood through branches from the infra-orbital and superior alveolar branches of the maxillary arteries.

Sphenoidal sinuses

The sphenoidal sinuses, one on either side within the body of the sphenoid, open into the roof of the nasal cavity via apertures on the posterior wall of the spheno-ethmoidal recess (Fig. 8.223C and 8.223D). The apertures are high on the anterior walls of the sphenoid sinuses.

The sphenoidal sinuses are related:

image above to the cranial cavity, particularly to the pituitary gland and to the optic chiasm;
image laterally, to the cranial cavity, particularly to the cavernous sinuses; and
image below and in front, to the nasal cavities.

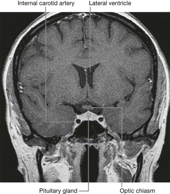
Because only thin shelves of bone separate the sphenoidal sinuses from the nasal cavities below and hypophyseal fossa above, the pituitary gland can be surgically approached through the roof of the nasal cavities by passing first through the anteroinferior aspect of the sphenoid bone and into the sphenoidal sinuses and then through the top of the sphenoid bone into the hypophyseal fossa.

Innervation of the sphenoidal sinuses is provided by:

image the posterior ethmoidal branch of the ophthalmic nerve [V1]; and
image the maxillary nerve [V2] via orbital branches from the pteryatine ganglion.

The sphenoidal sinuses are supplied by branches of the pharyngeal arteries from the maxillary arteries.

Walls, floor, and roof

Medial wall

The medial wall of each nasal cavity is the mucosa-covered surface of the thin nasal septum, which is oriented vertically in the median sagittal plane and separates the right and left nasal cavities from each other.

The nasal septum (Fig. 8.224) consists of:

image the septal nasal cartilage anteriorly;
image posteriorly, mainly the vomer and the perpendicular plate of the ethmoid bone;
image small contributions by the nasal bones where they meet in the midline, and the nasal spine of the frontal bone; and
image contributions by the nasal crests of the maxillary and palatine bones, rostrum of the sphenoid bone, and the incisor crest of the maxilla.
image

Fig. 8.224 Medial wall of the nasal cavity—the nasal septum.

  Page 1021 
Floor

The floor of each nasal cavity (Fig. 8.225) is smooth, concave, and much wider than the roof. It consists of:

image soft tissues of the external nose; and
image the upper surface of the palatine process of the maxilla, and the horizontal plate of the palatine bone, which together form the hard palate.
image

Fig. 8.225 Floor of the nasal cavity (superior view).

The naris opens anteriorly into the floor, and the superior aperture of the incisive canal is deep to the mucosa immediately lateral to the nasal septum near the front of the hard palate.

Roof

The roof of the nasal cavity is narrow and is highest in central regions where it is formed by the cribriform plate of the ethmoid bone (Fig. 8.226).

image

Fig. 8.226 Roof of the nasal cavity.

Anterior to the cribriform plate the roof slopes inferiorly to the nares and is formed by:

image the nasal spine of the frontal bone and the nasal bones; and
image the lateral processes of the septal cartilage and major alar cartilages of the external nose.

Posteriorly, the roof of each cavity slopes inferiorly to the choana and is formed by:

image the anterior surface of the sphenoid bone;
image the ala of the vomer and adjacent sphenoidal process of the palatine bone; and
image the vaginal process of the medial plate of the pterygoid process.

Underlying the mucosa, the roof is perforated superiorly by openings in the cribriform plate, and anterior to these openings by a separate foramen for the anterior ethmoidal nerve and vessels.

The opening between the sphenoidal sinus and the spheno-ethmoidal recess is on the posterior slope of the roof.

Lateral wall

The lateral wall of each nasal cavity is complex and is formed by bone, cartilage, and soft tissues.

Bony support for the lateral wall (Fig. 8.227A) is provided by:

image the ethmoidal labyrinth and uncinate process;
image the perpendicular plate of the palatine bone;
image the medial plate of the pterygoid process of the sphenoid bone;
image the medial surfaces of the lacrimal bones and maxillae; and
image the inferior concha.
image image

Fig. 8.227 Lateral wall of the nasal cavity. A. Bones.

Lateral wall of the nasal cavity. B. Covered with mucosa. C. Conchae broken away at attachment to lateral wall.

  Page 1022 

In the external nose, the lateral wall of the cavity is supported by cartilage (lateral process of the septal cartilage and major and minor alar cartilages) and by soft tissues. The surface of the lateral wall is irregular in contour and is interrupted by the three nasal conchae.

The inferior, middle, and superior conchae (Fig. 8.227B) extend medially across the nasal cavity, separating it into four air channels, an inferior, middle, and superior meatus, and a spheno-ethmoidal recess. The conchae do not extend forward into the external nose. The anterior end of each concha curves inferiorly to form a lip that overlies the end of the related meatus.

Immediately inferior to the attachment of the middle concha and just anterior to the midpoint of the concha, the lateral wall of the middle meatus elevates to form the dome-shaped ethmoidal bulla (Fig. 8.227C). This is formed by the underlying middle ethmoidal cells, which expand the medial wall of the ethmoidal labyrinth.

Inferior to the ethmoidal bulla is a curved gutter (the semilunar hiatus), which is formed by the mucosa covering the lateral wall as it spans a defect in the bony wall between the ethmoidal bulla above and the uncinate process below.

The anterior end of the semilunar hiatus forms a channel (the ethmoidal infundibulum), which curves upward and continues as the frontonasal duct through the anterior part of the ethmoidal labyrinth to open into the frontal sinus.

The nasolacrimal duct and most of the paranasal sinuses open onto the lateral wall of the nasal cavity:

image the nasolacrimal duct opens onto the lateral wall of the inferior nasal meatus under the anterior lip of the inferior concha—it drains tears from the conjunctival sac of the eye into the nasal cavity and originates at the inferior end of the lacrimal sac on the anteromedial wall of the orbit;
image the frontal sinus drains via the frontonasal duct and ethmoidal infundibulum into the anterior end of the semilunar hiatus on the lateral wall of the middle nasal meatus—the anterior ethmoidal cells drain into the frontonasal duct or ethmoidal infundibulum (in some cases, the frontal sinus drains directly into the anterior end of the middle nasal meatus and the frontonasal duct ends blindly in the anterior ethmoidal cells);
image the middle ethmoidal cells open onto or just above the ethmoidal bulla;
image the posterior ethmoidal cells usually open onto the lateral wall of the superior nasal meatus;
image the large maxillary sinus opens into the semilunar hiatus, usually just inferior to the center of the ethmoidal bulla—this opening is near the roof of the maxillary sinus.

The only paranasal sinus that does not drain onto the lateral wall of the nasal cavity is the sphenoidal sinus, which usually opens onto the sloping posterior roof of the nasal cavity.

  Page 1023 
  Page 1024 

Nares

The nares are oval apertures on the inferior aspect of the external nose and are the anterior openings of the nasal cavities (Fig. 8.228A). They are held open by the surrounding alar cartilages and septal cartilage, and by the inferior nasal spine and adjacent margins of the maxillae.

image

Fig. 8.228 Nares. A. Inferior view. B. Associated muscles.

Although the nares are continuously open, they can be widened further by the action of the related muscles of facial expression (nasalis muscle, depressor septi nasi, and levator labii superioris alaeque nasi; Fig. 8.228B).

Choanae

The choanae are the oval-shaped openings between the nasal cavities and the nasopharynx (Fig. 8.229). Unlike the nares, which have flexible borders of cartilage and soft tissues, the choanae are rigid openings completely surrounded by bone, and their margins are formed:

image inferiorly, by the posterior border of the horizontal plate of the palatine bone;
image laterally, by the posterior margin of the medial plate of the pterygoid process; and
image medially, by the posterior border of the vomer.
image

Fig. 8.229 Choanae (posterior view). A. Overview. B. Magnified view.

The roof of the choanae is formed:

image anteriorly by the ala of the vomer and the vaginal process of the medial plate of the pterygoid process; and
image posteriorly by the body of the sphenoid bone.

Gateways

There are a number of routes by which nerves and vessels enter and leave the soft tissues lining each nasal cavity (Fig. 8.230), and these include the cribriform plate, sphenopalatine foramen, the incisive canal, small foramina in the lateral wall, and around the margin of the nares.

image

Fig. 8.230 Gateways to the nasal cavities.

Cribriform plate

The fibers of the olfactory nerve [I] exit the nasal cavity and enter the cranial cavity through perforations in the cribriform plate. In addition, small foramina between the cribriform plate and surrounding bone allow the anterior ethmoidal nerve, a branch of the ophthalmic nerve [V1], and accompanying vessels to pass from the orbit into the cranial cavity and then down into the nasal cavity.

  Page 1025 

In addition, there is a connection in some individuals between nasal veins and the superior sagittal sinus of the cranial cavity through a prominent foramen (the foramen cecum) in the midline between the crista galli and frontal bone.

Sphenopalatine foramen

One of the most important routes by which nerves and vessels enter and leave the nasal cavity is the sphenopalatine foramen in the posterolateral wall of the superior nasal meatus. This foramen is just superior to the attachment of the posterior end of the middle nasal concha and is formed by the sphenopalatine notch in the palatine bone and the body of the sphenoid bone.

The sphenopalatine foramen is a route of communication between the nasal cavity and the pteryatine fossa. Major structures passing through the foramen are:

image the sphenopalatine branch of the maxillary artery;
image the nasopalatine branch of the maxillary nerve [V2]; and
image superior nasal branches of the maxillary nerve [V2].
  Page 1026 
Incisive canal

Another route by which structures enter and leave the nasal cavities is through the incisive canal in the floor of each nasal cavity. This canal is immediately lateral to the nasal septum and just posterosuperior to the root of the central incisor in the maxilla. The two incisive canals, one on each side, both open into the single unpaired incisive fossa in the roof of the oral cavity and transmits:

image the nasopalatine nerve from the nasal cavity into the oral cavity; and
image the terminal end of the greater palatine artery from the oral cavity into the nasal cavity.
Small foramina in the lateral wall

Other routes by which vessels and nerves get into and out of the nasal cavity include the nares and small foramina in the lateral wall:

image internal nasal branches of the infra-orbital nerve of the maxillary nerve [V2] and alar branches of the nasal artery from the facial artery loop around the margin of the naris to gain entry to the lateral wall of the nasal cavity from the face;
image inferior nasal branches from the greater palatine branch of the maxillary nerve [V2] enter the lateral wall of the nasal cavity from the palatine canal by passing through small foramina on the lateral wall.

Vessels

The nasal cavities have a rich vascular supply for altering the humidity and temperature of respired air. In fact, the submucosa of the respiratory region, particularly that related to the conchae and septum, is often described as “erectile” or “cavernous” because the tissue enlarges or shrinks depending on the amount of blood flowing into the system.

Arteries

Arteries that supply the nasal cavity include vessels that originate from both the internal and external carotid arteries (Fig. 8.231):

  Page 1027 
image vessels that originate from branches of the external carotid artery include the sphenopalatine, greater palatine, superior labial, and lateral nasal arteries;
image vessels that originate from branches of the internal carotid artery are the anterior and posterior ethmoidal arteries.
image

Fig. 8.231 Arterial supply of the nasal cavities. A. Lateral wall of the right nasal cavity. B. Septum (medial wall of right nasal cavity).

Sphenopalatine artery

The largest vessel supplying the nasal cavity is the sphenopalatine artery (Fig. 8.231), which is the terminal branch of the maxillary artery in the pteryatine fossa. It leaves the pteryatine fossa and enters the nasal cavity by passing medially through the sphenopalatine foramen and onto the lateral wall of the nasal cavity.

Posterior lateral nasal branches supply a large part of the lateral wall and anastomose anteriorly with branches from the anterior and posterior ethmoidal arteries, and with lateral nasal branches of the facial artery.

Posterior septal branches of the sphenopalatine artery pass over the roof of the cavity and onto the nasal septum where they contribute to the blood supply of the medial wall. One of these latter branches continues forward down the nasal septum to anastomose with the terminal end of the greater palatine artery and septal branches of the superior labial artery.

Greater palatine artery

The terminal end of the greater palatine artery enters the anterior aspect of the floor of the nasal cavity by passing up through the incisive canal from the roof of the oral cavity (Fig. 8.231).

Like the sphenopalatine artery, the greater palatine artery arises in the pteryatine fossa as a branch of the maxillary artery. It passes first onto the roof of the oral cavity by passing down through the palatine canal and greater palatine foramen to the posterior aspect of the palate, then passes forward on the undersurface of the palate, and up through the incisive fossa and canal to reach the floor of the nasal cavity. The greater palatine artery supplies anterior regions of the medial wall and adjacent floor of the nasal cavity, and anastomoses with the septal branch of the sphenopalatine artery.

Superior labial and lateral nasal arteries

The superior labial artery and the lateral nasal artery originate from the facial artery on the front of the face.

The superior labial artery originates from the facial artery near the lateral end of the oral fissure and passes medially in the lip, supplying the lip and giving rise to branches that supply the nose and nasal cavity. An alar branch supplies the region around the lateral aspect of the naris and a septal branch passes into the nasal cavity and supplies anterior regions of the nasal septum.

The lateral nasal artery originates from the facial artery in association with the margin of the external nose and contributes to the blood supply of the external nose. Alar branches pass around the lateral margin of the naris and supply the nasal vestibule.

Anterior and posterior ethmoidal arteries

The anterior and posterior ethmoidal arteries (Fig. 8.231) originate in the orbit from the ophthalmic artery, which originates in the cranial cavity as a major branch of the internal carotid artery. They pass through canals in the medial wall of the orbit between the ethmoidal labyrinth and frontal bone, supply the adjacent paranasal sinuses, and then enter the cranial cavity immediately lateral and superior to the cribriform plate.

The posterior ethmoidal artery descends into the nasal cavity through the cribriform plate and has branches to the upper parts of the medial and lateral walls.

The anterior ethmoidal artery passes forward, with the accompanying anterior ethmoidal nerve, in a groove on the cribriform plate and enters the nasal cavity by descending through a slit-like foramen immediately lateral to the crista galli. It gives rise to branches that supply the medial (septal) and lateral wall of the nasal cavity and then continues forward on the deep surface of the nasal bone, and terminates by passing between the nasal bone and lateral nasal cartilage to emerge on the external nose as the external nasal branch to supply skin and adjacent tissues.

Vessels that supply the nasal cavities form extensive anastomoses with each other. This is particularly evident in the anterior region of the medial wall where there are anastomoses between branches of the greater palatine, sphenopalatine, superior labial, and anterior ethmoidal arteries, and where the vessels are relatively close to the surface (Fig. 8.231B). This area is the major site of nosebleeds, or epistaxis.

Veins

Veins draining the nasal cavities generally follow the arteries (Fig. 8.232):

image veins that pass with branches that ultimately originate from the maxillary artery drain into the pterygoid plexus of veins in the infratemporal fossa;
image veins from anterior regions of the nasal cavities join the facial vein.
image

Fig. 8.232 Venous drainage of the nasal cavities.

In some individuals, an additional nasal vein passes superiorly through a midline aperture (the foramen cecum), in the frontal bone anterior to the crista galli, and joins with the anterior end of the superior sagittal sinus. Because this nasal vein connects an intracranial venous sinus with extracranial veins, it is classified as an emissary vein. Emissary veins in general are routes by which infections can track from peripheral regions into the cranial cavity.

  Page 1028 

Veins that accompany the anterior and posterior ethmoidal arteries are tributaries of the superior ophthalmic vein, which is one of the largest emissary veins and drains into the cavernous sinus on either side of the hypophyseal fossa.

Innervation

Nerves that innervate the nasal cavities (Fig. 8.233) are:

image the olfactory nerve [I] for olfaction; and
image branches of the ophthalmic [V1] and maxillary [V2] nerves for general sensation.
image

Fig. 8.233 Innervation of the nasal cavities. A. Lateral wall of right nasal cavity. B. Medial wall of right nasal cavity.

Secretomotor innervation of mucous glands in the nasal cavities and paranasal sinuses is by parasympathetic fibers from the facial nerve [VII], which mainly join branches of the maxillary nerve [V2] in the pteryatine fossa.

Olfactory nerve [I]

The olfactory nerve [I] is composed of axons from receptors in the olfactory epithelium at the top of each nasal cavity. Bundles of these axons pass superiorly through perforations in the cribriform plate to synapse with neurons in the olfactory bulb of the brain.

  Page 1029 
Branches from the ophthalmic nerve [V1]

Branches from the ophthalmic nerve [V1] that innervate the nasal cavity are the anterior and posterior ethmoidal nerves, which originate from the nasociliary nerve in the orbit.

Anterior and posterior ethmoidal nerves

The anterior ethmoidal nerve (Fig. 8.233) travels with the anterior ethmoidal artery and leaves the orbit through a canal between the ethmoidal labyrinth and the frontal bone. It passes through and supplies the adjacent ethmoidal cells and frontal sinus, and then enters the cranial cavity immediately lateral and superior to the cribriform plate.

The anterior ethmoidal nerve travels forward in a groove on the cribriform plate and then enters the nasal cavity by descending through a slit-like foramen immediately lateral to the crista galli. It has branches to the medial and lateral wall of the nasal cavity and then continues forward on the undersurface of the nasal bone. It passes onto the external surface of the nose by traveling between the nasal bone and lateral nasal cartilage, and then terminates as the external nasal nerve, which supplies skin around the naris, in the nasal vestibule, and on the tip of the nose.

Like the anterior ethmoidal nerve, the posterior ethmoidal nerve leaves the orbit through a similar canal in the medial wall of the orbit. It terminates by supplying the mucosa of the ethmoidal cells and sphenoidal sinus and normally does not extend into the nasal cavity itself.

Branches from the maxillary nerve [V2]

A number of nasal branches from the maxillary nerve [V2] innervate the nasal cavity. Many of these nasal branches (Fig. 8.233) originate in the pteryatine fossa, which is just lateral to the lateral wall of the nasal cavity, and leave the fossa to enter the nasal cavity by passing medially through the sphenopalatine foramen:

image a number of these nerves (posterior superior lateral nasal nerves) pass forward on and supply the lateral wall of the nasal cavity;
image others (posterior superior medial nasal nerves) cross the roof to the nasal septum and supply both these regions;
image the largest of these nerves is the nasopalatine nerve, which passes forward and down the medial wall of the nasal cavity to pass through the incisive canal onto the roof of the oral cavity, and terminates by supplying the oral mucosa posterior to the incisor teeth;
image other nasal nerves (posterior inferior nasal nerves) originate from the greater palatine nerve, descending from the pteryatine fossa in the palatine canal just lateral to the nasal cavity, and pass through small bony foramina to innervate the lateral wall of the nasal cavity;
image a small nasal nerve also originates from the anterior superior alveolar branch of the infra-orbital nerve and passes medially through the maxilla to supply the lateral wall near the anterior end of the inferior concha.
Parasympathetic innervation

Secretomotor innervation of glands in the mucosa of the nasal cavity and paranasal sinuses is by preganglionic parasympathetic fibers carried in the greater petrosal branch of the facial nerve [VII]. These fibers enter the pteryatine fossa and synapse in the pteryatine ganglion (see p. 940). Postganglionic parasympathetic fibers then join branches of the maxillary nerve [V2] to leave the fossa and ultimately reach target glands.

Sympathetic innervation

Sympathetic innervation, mainly involved with regulating blood flow in the nasal mucosa, is from the spinal cord level T1. Preganglionic sympathetic fibers enter the sympathetic trunk and ascend to synapse in the superior cervical sympathetic ganglion. Postganglionic sympathetic fibers pass onto the internal carotid artery, enter the cranial cavity, and then leave the internal carotid artery to form the deep petrosal nerve, which joins the greater petrosal nerve of the facial nerve [VII] and enters the pteryatine fossa (see Fig. 8.148 and p. 945).

Like the parasympathetic fibers, the sympathetic fibers follow branches of the maxillary nerve [V2] into the nasal cavity.

Lymphatics

Lymph from anterior regions of the nasal cavities drains forward onto the face by passing around the margins of the nares (Fig. 8.234). These lymphatics ultimately connect with the submandibular nodes.

image

Fig. 8.234 Lymphatic drainage of the nasal cavities.

Lymph from posterior regions of the nasal cavity and the paranasal sinuses drains into upper deep cervical nodes. Some of this lymph passes first through the retropharyngeal nodes.

  Page 1030 

ORAL CAVITY

The oral cavity is inferior to the nasal cavities (Fig. 8.235A). It has a roof and floor, and lateral walls, opens onto the face through the oral fissure, and is continuous with the cavity of the pharynx at the oropharyngeal isthmus.

image

Fig. 8.235 Oral cavity. A. Relationship to other cavities. B. Oral vestibule and oral cavity proper.

The roof of the oral cavity consists of the hard and soft palates. The floor is formed mainly of soft tissues, which include a muscular diaphragm and the tongue. The lateral walls (cheeks) are muscular and merge anteriorly with the lips surrounding the oral fissure (the anterior opening of the oral cavity).

The posterior aperture of the oral cavity is the oropharyngeal isthmus, which opens into the oral part of the pharynx.

The oral cavity is separated into two regions by the upper and lower dental arches consisting of the teeth and alveolar bone that supports them (Fig. 8.235B):

image the outer oral vestibule, which is horseshoe-shaped, is between the dental arches and the deep surfaces of the cheeks and lips—the oral fissure opens into it and can be opened and closed by muscles of facial expression, and by movements of the lower jaw;
image the inner oral cavity proper, which is enclosed by the dental arches.

The degree of separation between the upper and lower arches is established by elevating or depressing the lower jaw (mandible) at the temporomandibular joint.

  Page 1031 

The oropharyngeal isthmus at the back of the oral cavity proper can be opened and closed by surrounding soft tissues, which include the soft palate and tongue.

The oral cavity has multiple functions:

image it is the inlet for the digestive system involved with the initial processing of food, which is aided by secretions from salivary glands;
image it manipulates sounds produced by the larynx and one outcome of this is speech;
image

it can be used for breathing because it opens into the pharynx, which is a common pathway for food and air. For this reason, the oral cavity can be used by physicians to access the lower airway, and dentists use “rubber dams” to prevent debris such as tooth fragments from passing through the oropharyngeal isthmus and pharynx into either the esophagus or the lower airway.

Multiple nerves innervate the oral cavity

General sensory innervation is carried predominantly by branches of the trigeminal nerve [V]:

image the upper parts of the cavity, including the palate and the upper teeth, are innervated by branches of the maxillary nerve [V2];
image the lower parts, including the teeth and oral part of the tongue, are innervated by branches of the mandibular nerve [V3];
image taste (special afferent-SA) from the oral part or anterior two-thirds of the tongue is carried by branches of the facial nerve [VII], which join and are distributed with branches of the trigeminal nerve [V];
image parasympathetic fibers to the glands within the oral cavity are also carried by branches of the facial nerve [VII], which are distributed with branches of the trigeminal nerve [V];
image sympathetic fibers in the oral cavity ultimately come from spinal cord level T1, synapse in the superior cervical sympathetic ganglion, and are eventually distributed to the oral cavity along branches of the trigeminal nerve [V] or directly along blood vessels.

All muscles of the tongue are innervated by the hypoglossal nerve [XII], except the palatoglossus, which is innervated by the vagus nerve [X].

All muscles of the soft palate are innervated by the vagus nerve [X] except for the tensor veli palatini, which is innervated by a branch from the mandibular nerve [V3]. The muscle (mylohyoid) that forms the floor of the oral cavity is also innervated by the mandibular nerve [V3].

Skeletal framework

Bones that contribute to the skeletal framework of the oral cavity or are related to the anatomy of structures in the oral cavity include:

image the paired maxillae, palatine and temporal bones; and
image the unpaired mandible, sphenoid, and hyoid bone.

In addition, the cartilaginous parts of the pharyngotympanic tubes on the inferior aspect of the base of the skull are related to the attachment of muscles of the soft palate.

Maxillae

The two maxillae contribute substantially to the architecture of the roof of the oral cavity. The parts involved are the alveolar and palatine processes (Fig. 8.236A).

image image

Fig. 8.236 Base and lateral aspects of the skull. A. Features in the base of the skull related to structures associated with the oral cavity.

Base and lateral aspects of the skull. B. Styloid process of the temporal bone.

The palatine process is a horizontal shelf that projects from the medial surface of each maxilla. It originates just superior to the medial aspect of the alveolar process and extends to the midline where it is joined, at a suture, with the palatine process from the other side. Together, the two palatine processes form the anterior two-thirds of the hard palate.

In the midline on the inferior surface of the hard palate and at the anterior end of the intermaxillary suture is a single small fossa (incisive fossa) just behind the incisor teeth. Two incisive canals, one on each side, extend posterosuperiorly from the roof of this fossa to open onto the floor of the nasal cavity. The canals and fossae allow passage of the greater palatine vessels and the nasopalatine nerves.

Palatine bones

The parts of each L-shaped palatine bone that contribute to the roof of the oral cavity are the horizontal plate and the pyramidal process (Fig. 8.236A).

The horizontal plate projects medially from the inferior aspect of the palatine bone and is joined by sutures to its partner in the midline and, on the same side, with the palatine process of the maxilla anteriorly.

A single posterior nasal spine is formed at the midline where the two horizontal plates join and projects backward from the margin of the hard palate. The posterior margin of the horizontal plates and the posterior nasal spine are associated with attachment of the soft palate.

The greater palatine foramen, formed mainly by the horizontal plate of the palatine bone and completed laterally by the adjacent part of the maxilla, opens onto the posterolateral aspect of the horizontal plate. This foramen is the inferior opening of the palatine canal, which continues superiorly into the pteryatine fossa and transmits the greater palatine nerve and vessels to the palate.

  Page 1032 

Also opening onto the palatine bone is the lesser palatine foramen. This foramen is the inferior opening of the lesser palatine canal, which branches from the greater palatine canal and transmits the lesser palatine nerve and vessels to the soft palate.

The pyramidal process projects posteriorly and fills the space between the inferior ends of the medial and lateral plates of the pterygoid process of the sphenoid bone.

Sphenoid bone

The pterygoid processes and spines of the sphenoid bone are associated with structures related to the soft palate, which forms part of the roof of the oral cavity (Fig. 8.236A).

The pterygoid processes descend, one on each side, from the lateral aspect of the body of the sphenoid bone. Each process has a medial and a lateral plate. These two vertically oriented plates project from the posterior aspect of the process. The V-shaped gap that occurs inferiorly between the two plates is filled by the pyramidal process of the palatine bone.

Projecting posterolaterally from the inferior margin of the medial plate of the pterygoid process is an elongate hook-shaped structure (the pterygoid hamulus). This hamulus is immediately behind the alveolar arch and inferior to the posterior margin of the hard palate. It is:

image a “pulley” for one of the muscles (tensor veli palatini) of the soft palate; and
image the attachment site for the upper end of the pterygomandibular raphe, which is attached below to the mandible and joins together the superior constrictor of the pharynx and the buccinator muscle of the cheek.

At the root of the medial plate of the pterygoid process on the base of the skull is a small canoe-shaped fossa (scaphoid fossa), which begins just medial to the foramen ovale and descends anteriorly and medially to the root of the medial plate of the pterygoid process (Fig. 8.236A). This fossa is for the attachment of one of the muscles of the soft palate (tensor veli palatini).

The spines of the sphenoid, one on each side, are vertical projections from the inferior surfaces of the greater wings of the sphenoid bone (Fig. 8.236A). Each spine is immediately posteromedial to the foramen spinosum.

The medial aspect of the spine provides attachment for the most lateral part of the tensor veli palatini muscle of the soft palate.

Temporal bone

The styloid process and inferior aspect of the petrous part of the temporal bone provide attachment for muscles associated with the tongue and soft palate, respectively.

  Page 1033 

The styloid process projects anteroinferiorly from the underside of the temporal bone. It can be as long as 1 inch (2.5 cm) and points toward the lesser horn of the hyoid bone to which it is attached by the stylohyoid ligament (Fig. 8.236B). The root of the styloid process is immediately anterior to the stylomastoid foramen and lateral to the jugular foramen. The styloglossus muscle of the tongue attaches to the anterolateral surface of the styloid process.

The inferior aspect of the temporal bone has a triangular roughened area immediately anteromedial to the opening of the carotid canal (Fig. 8.236A). The levator veli palatini muscle of the soft palate is attached here.

Cartilaginous part of the pharyngotympanic tube

The trumpet-shaped cartilaginous part of the pharyngotympanic tube is in a groove between the anterior margin of the petrous part of the temporal bone and the posterior margin of the greater wing of the sphenoid (Fig. 8.236A).

The medial and lateral walls of the cartilaginous part of the pharyngotympanic tube are formed mainly of cartilage, whereas the more inferolateral wall is more fibrous and is known as the membranous lamina.

The apex of the cartilaginous part of the pharyngotympanic tube connects laterally to the opening of the bony part in the temporal bone.

The expanded medial end of the cartilaginous part of the pharyngotympanic tube is immediately posterior to the upper margin of the medial plate of the pterygoid process and opens into the nasopharynx.

The cartilaginous part of the pharyngotympanic tube is lateral to the attachment of the levator veli palatini muscle to the petrous part of the temporal bone and medial to the spine of the sphenoid. The tensor veli palatini muscle is attached, in part, to the membranous lamina.

Mandible

The mandible is the bone of the lower jaw (Fig. 8.237). It consists of a body of right and left parts, which are fused anteriorly in the midline (mandibular symphysis), and two rami. The site of fusion is particularly visible on the external surface of the bone as a small vertical ridge in the midline.

image

Fig. 8.237 Mandible. A. Superior view. B. Lateral view. C. Medial view.

  Page 1034 

The upper surface of the body of mandible bears the alveolar arch, which anchors the lower teeth, and on its external surface on each side is a small mental foramen.

Posterior to the mandibular symphysis on the internal surface of the mandible are two pairs of small spines, one pair immediately above the other pair. These are the superior and inferior mental spines (superior and inferior genial spines), and are attachment sites for a pair of muscles that pass into the tongue and a pair of muscles that connect the mandible to the hyoid bone.

Extending from the midline and originating inferior to the mental spines is a raised line or ridge (the mylohyoid line), which runs posteriorly and superiorly along the internal surface of each side of the body of the mandible to end just below the level of the last molar tooth.

Above the anterior one-third of the mylohyoid line is a shallow depression (the sublingual fossa), and below the posterior two-thirds of the mylohyoid line is another depression (the submandibular fossa).

Between the last molar tooth and the mylohyoid line is a shallow groove for the lingual nerve.

Immediately posterior to the last molar tooth on the medial upper surface of the body of mandible is a small triangular depression (retromolar triangle). The pterygomandibular raphe attaches just medial to the apex of this triangle and extends from here to the tip of the pterygoid hamulus above.

The ramus of mandible, one on each side, is quadrangular shaped and oriented in the sagittal plane. On the medial surface of the ramus is a large mandibular foramen for transmission of the inferior alveolar nerve and vessels.

Hyoid bone

The hyoid bone is a small U-shaped bone in the neck between the larynx and the mandible. It has an anterior body of hyoid bone and two large greater horns, one on each side, which project posteriorly and superiorly from the body (Fig. 8.238). There are two small conical lesser horns on the superior surface where the greater horns join with the body. The stylohyoid ligaments attach to the apices of the lesser horns.

image

Fig. 8.238 Hyoid bone. A. Anterior view. B. Lateral view.

The hyoid bone is a key bone in the neck because it connects the floor of the oral cavity in front with the pharynx behind and the larynx below.

Walls: the cheeks

The walls of the oral cavity are formed by the cheeks.

Each cheek consists of fascia and a layer of skeletal muscle sandwiched between skin externally and oral mucosa internally. The thin layer of skeletal muscle within the cheeks is principally the buccinator muscle.

Buccinator

The buccinator muscle is one of the muscles of facial expression (see p. 861 and Fig. 8.239). It is in the same plane as the superior constrictor muscle of the pharynx. In fact, the posterior margin of the buccinator muscle is joined to the anterior margin of the superior constrictor muscle by the pterygomandibular raphe, which runs between the tip of the pterygoid hamulus of the sphenoid bone above and a roughened area of bone immediately behind the last molar tooth on the mandible below.

image

Fig. 8.239 Buccinator muscle.

  Page 1035 

The buccinator and superior constrictor muscles therefore provide continuity between the walls of the oral and pharyngeal cavities.

The buccinator muscle, in addition to originating from the pterygomandibular raphe, also originates directly from the alveolar part of the mandible and alveolar process of the maxilla.

From its three sites of origin, the muscle fibers of the buccinator run forward to blend with those of the orbicularis oris muscle and to insert into the modiolus, which is a small button-shaped nodule of connective tissue at the interface between the muscles of the lips and cheeks on each side.

The buccinator muscle holds the cheeks against the alveolar arches and keeps food between the teeth when chewing.

The buccinator is innervated by the buccal branch of the facial nerve [VII]. General sensation from the skin and oral mucosa of the cheeks is carried by the buccal branch of the mandibular nerve [V3].

Floor

The floor of the oral cavity proper is formed mainly by three structures:

image a muscular diaphragm, which fills the U-shaped gap between the left and right sides of the body of the mandible and is composed of the paired mylohyoid muscles;
image two cord-like geniohyoid muscles above the diaphragm, which run from the mandible in front to the hyoid bone behind;
image the tongue, which is superior to the geniohyoid muscles.

Also present in the floor of the oral cavity proper are salivary glands and their ducts. The largest of these glands, on each side, are the sublingual gland and the oral part of the submandibular gland.

Mylohyoid muscles

The two thin mylohyoid muscles (Table 8.20), one on each side, together form a muscular diaphragm that defines the inferior limit of the floor of the oral cavity (Fig. 8.240). Each muscle is triangular in shape with its apex pointed forward.

Table 8.20 Muscles in the floor of the oral cavity

image
image

Fig. 8.240 A. Mylohyoid muscles. B. Geniohyoid muscles. C. Lateral view.

The lateral margin of each triangular muscle is attached to the mylohyoid line on the medial side of the body of the mandible. From here, the muscle fibers run slightly downward to the medial margin at the midline where the fibers are joined together with those of their partner muscle on the other side by a raphe. The raphe extends from the posterior aspect of the mandibular symphysis in front to the body of the hyoid bone behind.

The posterior margin of each mylohyoid muscle is free except for a small medial attachment to the hyoid bone.

The mylohyoid muscles:

image contribute structural support to the floor of the oral cavity;
image participate in elevating and pulling forward the hyoid bone, and therefore the attached larynx, during the initial stages of swallowing; and
image when the hyoid bone is fixed in position, depress the mandible and open the mouth.

Like the muscles of mastication, the mylohyoid muscles are innervated by the mandibular nerve [V3]. The specific branch that innervates the mylohyoid muscles is the nerve to mylohyoid from the inferior alveolar nerve.

  Page 1036 
Geniohyoid muscles

The geniohyoid muscles (Table 8.20) are paired cord-like muscles that run, one on either side of the midline, from the inferior mental spines on the posterior surface of the mandibular symphysis to the anterior surface of the body of hyoid bone (Fig. 8.240B&C). They are immediately superior to the mylohyoid muscle in the floor of the mouth and inferior to the genioglossus muscles that form part of the root of the tongue.

The geniohyoid muscles:

image mainly pull the hyoid bone, and therefore the attached larynx, up and forward during swallowing; and
image because they pass posteroinferiorly from the mandible to the hyoid bone, when the hyoid bone is fixed, they can act with the mylohyoid muscles to depress the mandible and open the mouth.

Unlike other muscles that move the mandible at the temporomandibular joint, the geniohyoid muscles are innervated by a branch of cervical nerve C1, which “hitchhikes” from the neck along the hypoglossal nerve [XII] into the floor of the oral cavity.

Gateway into the floor of the oral cavity

In addition to defining the lower limit of the floor of the oral cavity, the free posterior border of the mylohyoid muscle on each side forms one of the three margins of a large triangular aperture, which is a major route by which structures in the upper neck and infratemporal fossa of the head pass to and from structures in the floor of the oral cavity (Fig. 8.241). The other two muscles that complete the margins of the aperture are the superior and middle constrictor muscles of the pharynx.

image

Fig. 8.241 Gateway into the floor of the oral cavity.

  Page 1037 

Most structures that pass through the aperture are associated with the tongue and include muscles (hyoglossus, styloglossus), vessels (lingual artery and vein), nerves (lingual, hypoglossal [XII], glossopharyngeal [IX]), and lymphatics.

A large salivary gland (the submandibular gland) is “hooked” around the free posterior margin of the mylohyoid muscle and therefore also passes through the opening.

Tongue

The tongue is a muscular structure that forms part of the floor of the oral cavity and part of the anterior wall of the oropharynx (Fig. 8.242A). Its anterior part is in the oral cavity and is somewhat triangular in shape with a blunt apex of tongue. The apex is directed anteriorly and sits immediately behind the incisor teeth. The root of tongue is attached to the mandible and the hyoid bone.

image

Fig. 8.242 Tongue. A. Paramedian sagittal section. B. Superior view.

  Page 1038 

The superior surface of the oral or anterior two-thirds of the tongue is oriented in the horizontal plane.

The pharyngeal surface or posterior one-third of the tongue curves inferiorly and becomes oriented more in the vertical plane. The oral and pharyngeal surfaces are separated by a v-shaped terminal sulcus of tongue. This terminal sulcus forms the inferior margin of the oropharyngeal isthmus between the oral and pharyngeal cavities. At the apex of the v-shaped sulcus is a small depression (the foramen cecum of tongue), which marks the site in the embryo where the epithelium invaginated to form the thyroid gland.

In some people a thyroglossal duct persists and connects the foramen cecum on the tongue with the thyroid gland in the neck.

Papillae

The superior surface of the oral part of the tongue is covered by hundreds of papillae (Fig. 8.242B):

image filiform papillae are small cone-shaped projections of the mucosa that end in one or more points;
image fungiform papillae are rounder in shape and larger than the filiform papillae, and tend to be concentrated along the margins of the tongue;
image the largest of the papillae are the vallate papillae, which are blunt-ended cylindrical papillae invaginations in the tongue’s surface—there are only about 8 to 12 vallate papillae in a single V-shaped line immediately anterior to the terminal sulcus of tongue;
image foliate papillae are linear folds of mucosa on the sides of the tongue near the terminal sulcus of tongue.

The papillae in general increase the area of contact between the surface of the tongue and the contents of the oral cavity. All except the filiform papillae have taste buds on their surfaces.

Inferior surface of tongue

The undersurface of the oral part of the tongue lacks papillae, but does have a number of linear mucosal folds (Fig. 8.253). A single median fold (the frenulum of tongue) is continuous with the mucosa covering the floor of the oral cavity, and overlies the lower margin of a midline sagittal septum, which internally separates the right and left sides of the tongue. On each side of the frenulum is a lingual vein, and lateral to each vein is a rough fimbriated fold.

Pharyngeal surface

The mucosa covering the pharyngeal surface of the tongue is irregular in contour because of the many small nodules of lymphoid tissue in the submucosa. These nodules are collectively the lingual tonsil.

There are no papillae on the pharyngeal surface.

Muscles

The bulk of the tongue is composed of muscle (Fig. 8.242 and Table 8.21).

Table 8.21 Muscles of the tongue

image

The tongue is completely divided into a left and right half by a median sagittal septum composed of connective tissue. This means that all muscles of the tongue are paired. There are intrinsic and extrinsic lingual muscles.

  Page 1039 

Except for the palatoglossus, which is innervated by the vagus nerve [X], all muscles of the tongue are innervated by the hypoglossal nerve [XII].

Intrinsic muscles

The intrinsic muscles of the tongue (Fig. 8.243) originate and insert within the substance of the tongue. They are divided into superior longitudinal, inferior longitudinal, transverse, and vertical muscles, and they alter the shape of the tongue by:

image lengthening and shortening it;
image curling and uncurling its apex and edges; and
image flattening and rounding its surface.
image

Fig. 8.243 Muscles of the tongue.

Working in pairs or one side at a time the intrinsic muscles of the tongue contribute to precision movements of the tongue required for speech, eating, and swallowing.

Extrinsic muscles

Extrinsic muscles of the tongue (Fig. 8.243 and Table 8.21) originate from structures outside the tongue and insert into the tongue. There are four major extrinsic muscles on each side, the genioglossus, hyoglossus, styloglossus, and palatoglossus. These muscles protrude, retract, depress, and elevate the tongue.

Genioglossus

The thick fan-shaped genioglossus muscles make a substantial contribution to the structure of the tongue. They occur on either side of the midline septum that separates left and right halves of the tongue.

The genioglossus muscles originate from the superior mental spines on the posterior surface of the mandibular symphysis immediately superior to the origin of the geniohyoid muscles from the inferior mental spines (Fig. 8.244). From this small site of origin, each muscle expands posteriorly and superiorly. The most inferior fibers attach to the hyoid bone. The remaining fibers spread out superiorly to blend with the intrinsic muscles along virtually the entire length of the tongue.

image

Fig. 8.244 Genioglossus muscles. A. Posterior view. B. Lateral (left) view.

The genioglossus muscles:

image depress the central part of the tongue; and
image protrude the anterior part of the tongue out of the oral fissure (i.e., stick the tongue out).

Like most muscles of the tongue, the genioglossus muscles are innervated by the hypoglossal nerves [XII].

Asking a patient to “stick your tongue out” can be used as a test for the hypoglossal nerves [XII]. If the nerves are functioning normally, the tongue should protrude evenly in the midline. If the nerve on one side is not fully functional, the tip of the tongue will point to that side.

Hyoglossus

The hyoglossus muscles are thin quadrangular muscles lateral to the genioglossus muscles (Fig. 8.245).

image

Fig. 8.245 Hyoglossus muscles. A. Posterior view. B. Lateral (left) view.

Each hyoglossus muscle originates from the entire length of the greater horn and the adjacent part of the body of the hyoid bone. At its origin from the hyoid bone, the hyoglossus muscle is lateral to the attachment of the middle constrictor muscle of the pharynx. The muscle passes superiorly and anteriorly through the gap between the superior constrictor, middle constrictor, and mylohyoid to insert into the tongue lateral to the genioglossus and medial to the styloglossus.

The hyoglossus muscle depresses the tongue and is innervated by the hypoglossal nerve [XII].

An important landmark

The hyoglossus muscle is an important landmark in the floor of the oral cavity:

image the lingual artery from the external carotid artery in the neck enters the tongue deep to the hyoglossus, between the hyoglossus and genioglossus;
image the hypoglossal nerve [XII] and lingual nerve (branch of the mandibular nerve [V3]), from the neck and infratemporal fossa of the head, respectively, enter the tongue on the external surface of the hyoglossus.

Styloglossus

The styloglossus muscles originate from the anterior surface of the styloid processes of the temporal bones. From here, each muscle passes inferiorly and medially through the gap between the middle constrictor, superior constrictor, and mylohyoid muscles to enter the lateral surface of the tongue where they blend with the superior margin of the hyoglossus and with the intrinsic muscles (Fig. 8.246).

image

Fig. 8.246 Styloglossus muscles.

The styloglossus muscles retract the tongue and pull the back of the tongue superiorly. They are innervated by the hypoglossal nerves [XII].

Palatoglossus

The palatoglossus muscles are muscles of the soft palate and the tongue. Each originates from the undersurface of the palatine aponeurosis and passes anteroinferiorly to the lateral side of the tongue (Fig. 8.247).

image

Fig. 8.247 Palatoglossus muscles.

The palatoglossus muscles:

image elevate the back of the tongue;
image move the palatoglossal arches of mucosa toward the midline; and
image depress the soft palate.

These movements facilitate closing of the oropharyngeal isthmus and as a result separate the oral cavity from the oropharynx.

Unlike other muscles of the tongue, but similar to most other muscles of the soft palate, the palatoglossus muscles are innervated by the vagus nerves [X].

Vessels
Arteries

The major artery of the tongue is the lingual artery (Fig. 8.248).

image

Fig. 8.248 Arteries, veins, and nerves of the tongue.

On each side, the lingual artery originates from the external carotid artery in the neck adjacent to the tip of the greater horn of the hyoid bone. It forms an upward bend and then loops downward and forward to pass deep to the hyoglossus muscle, and accompanies the muscle through the aperture formed by the margins of the mylohyoid, superior constrictor, and middle constrictor muscles, and enters the floor of the oral cavity.

The lingual artery then travels forward in the plane between the hyoglossus and genioglossus muscles to the apex of the tongue.

In addition to the tongue, the lingual artery supplies the sublingual gland, gingiva, and oral mucosa in the floor of the oral cavity.

Veins

The tongue is drained by dorsal lingual and deep lingual veins (Fig. 8.248).

The deep lingual veins are visible through the mucosa on the undersurface of the tongue. Although they accompany the lingual arteries in anterior parts of the tongue, they become separated from the arteries posteriorly by the hyoglossus muscles. On each side, the deep lingual vein travels with the hypoglossal nerve [XII] on the external surface of the hyoglossus muscle and passes out of the floor of the oral cavity through the aperture formed by the margins of the mylohyoid, superior constrictor, and middle constrictor muscles. It joins the internal jugular vein in the neck.

The dorsal lingual vein follows the lingual artery between the hyoglossus and genioglossus muscles and, like the deep lingual vein, drains into the internal jugular vein in the neck.

Innervation

Innervation of the tongue is complex and involves a number of nerves (Figs. 8.248 and 8.249).

image

Fig. 8.249 Innervation of the tongue.

Glossopharyngeal nerve [IX]

Taste (SA) and general sensation from the pharyngeal part of the tongue are carried by the glossopharyngeal nerve [IX].

The glossopharyngeal nerve [IX] leaves the skull through the jugular foramen and descends along the posterior surface of the stylopharyngeus muscle. It passes around the lateral surface of the stylopharyngeus and then slips through the posterior aspect of the gap between the superior constrictor, middle constrictor, and mylohyoid muscles. The nerve then passes forward on the oropharyngeal wall just below the inferior pole of the palatine tonsil and enters the pharyngeal part of the tongue deep to the styloglossus and hyoglossus muscles. In addition to taste and general sensation on the posterior one-third of the tongue, branches creep anterior to the terminal sulcus of tongue to carry taste (SA) and general sensation from the vallate papillae.

  Page 1043 
Lingual nerve

General sensory innervation from the anterior two-thirds or oral part of the tongue is carried by the lingual nerve, which is a major branch of the mandibular nerve [V3]. It originates in the infratemporal fossa and passes anteriorly into the floor of the oral cavity by passing through the gap between the mylohyoid, superior constrictor, and middle constrictor muscles (Fig. 8.250).

image

Fig. 8.250 Lingual nerve in the floor of the oral cavity (medial view).

As it travels through the gap, it passes immediately inferior to the attachment of superior constrictor to the mandible and continues forward on the medial surface of the mandible adjacent to the last molar tooth and deep to the gingiva. In this position, the nerve can be palpated against the bone by placing a finger into the oral cavity.

The lingual nerve then continues anteromedially across the floor of the oral cavity, loops under the submandibular duct, and ascends into the tongue on the external and superior surface of the hyoglossus muscle.

In addition to general sensation from the oral part of the tongue, the lingual nerve also carries general sensation from the mucosa on the floor of the oral cavity and gingiva associated with the lower teeth. The lingual nerve also carries parasympathetic and taste fibers from the oral part of the tongue that are part of the facial nerve [VII].

Facial nerve [VII]

Taste (SA) from the oral part of the tongue is carried into the central nervous system by the facial nerve [VII]. Special sensory (SA) fibers of the facial nerve [VII] leave the tongue and oral cavity as part of the lingual nerve. The fibers then enter the chorda tympani nerve, which is a branch of the facial nerve [VII] that joins the lingual nerve in the infratemporal fossa (Fig. 8.250; also see p. 935).

Hypoglossal nerve [XII]

All muscles of the tongue are innervated by the hypoglossal nerve [XII] except for the palatoglossus muscle, which is innervated by the vagus nerve [X].

The hypoglossal nerve [XII] leaves the skull through the hypoglossal canal and descends almost vertically in the neck to a level just below the angle of mandible (Fig. 8.251). Here it angles sharply forward around the sternocleidomastoid branch of the occipital artery, crosses the external carotid artery, and continues forward, crossing the loop of the lingual artery, to reach the external surface of the lower one-third of the hyoglossus muscle.

image

Fig. 8.251 Hypoglossal nerve and C1 fibers.

The hypoglossal nerve [XII] follows the hyoglossus muscle through the gap between the superior constrictor, middle constrictor, and mylohyoid muscles to reach the tongue.

  Page 1044 

In the upper neck, a branch from the anterior ramus of C1 joins the hypoglossal nerve [XII]. Most of these C1 fibers leave the hypoglossal nerve [XII] as the superior root of the ansa cervicalis (Fig. 8.251). Near the posterior border of the hyoglossus muscle, the remaining fibers leave the hypoglossal nerve [XII] and form two nerves:

image the thyrohyoid branch, which remains in the neck to innervate the thyrohyoid muscle;
image the branch to the geniohyoid, which passes into the floor of the oral cavity to innervate the geniohyoid.
Lymphatics

All lymphatic vessels from the tongue ultimately drain into the deep cervical chain of nodes along the internal jugular vein:

image the pharyngeal part of the tongue drains through the pharyngeal wall directly into mainly the jugulodigastric node of the deep cervical chain;
image the oral part of the tongue drains both directly into the deep cervical nodes, and indirectly into these nodes by passing first through the mylohyoid muscle and into submental and submandibular nodes.

The submental nodes are inferior to the mylohyoid muscles and between the digastric muscles, while the submandibular nodes are below the floor of the oral cavity along the inner aspect of the inferior margins of the mandible.

The tip of the tongue drains through the mylohyoid muscle into the submental nodes and then into mainly the jugulo-omohyoid node of the deep cervical chain.

Salivary glands

Salivary glands are glands that open or secrete into the oral cavity. Most are small glands in the submucosa or mucosa of the oral epithelium lining the tongue, palate, cheeks, and lips, and open into the oral cavity directly or via small ducts. In addition to these small glands are much larger glands, which include the paired parotid, submandibular, and sublingual glands.

Parotid gland

The parotid gland (see p. 863) on each side is entirely outside the boundaries of the oral cavity in a shallow triangular-shaped trench (Fig. 8.252) formed by:

image the sternocleidomastoid muscle behind;
image the ramus of mandible in front; and
image superiorly, the base of the trench is formed by the external acoustic meatus and the posterior aspect of the zygomatic arch.
image

Fig. 8.252 Parotid gland.

The gland normally extends anteriorly over the masseter muscle, and inferiorly over the posterior belly of the digastric muscle.

The parotid duct passes anteriorly across the external surface of the masseter muscle and then turns medially to penetrate the buccinator muscle of the cheek and open into the oral cavity adjacent to the crown of the second upper molar tooth.

The parotid gland encloses the external carotid artery, the retromandibular vein, and the origin of the extracranial part of the facial nerve [VII].

  Page 1045 
Submandibular glands

The elongate submandibular glands are smaller than the parotid glands, but larger than the sublingual glands. Each is hook shaped (Fig. 8.253A and 8.253B):

image the larger arm of the hook is directed forward in the horizontal plane below the mylohyoid muscle and is therefore outside the boundaries of the oral cavity—this larger superficial part of the gland is directly against a shallow impression on the medial side of the mandible (submandibular fossa) inferior to the mylohyoid line;
image the smaller arm of the hook (or deep part) of the gland loops around the posterior margin of the mylohyoid muscle to enter and lie within the floor of the oral cavity where it is lateral to the root of the tongue on the lateral surface of the hyoglossus muscle.
image

Fig. 8.253 Submandibular and sublingual glands. A. Medial view. B. Posterior view. C. Anterior view. D. Anterosuperior view.

The submandibular duct emerges from the medial side of the deep part of the gland in the oral cavity and passes forward to open on the summit of a small sublingual caruncle (papilla) beside the base of frenulum of the tongue (Fig. 8.253C and 8.253D).

The lingual nerve loops under the submandibular duct, crossing first the lateral side and then the medial side of the duct, as the nerve descends anteromedially through the floor of the oral cavity and then ascends into the tongue.

  Page 1046 
Sublingual glands

The sublingual glands are the smallest of the three major paired salivary glands. Each is almond shaped and is immediately lateral to the submandibular duct and associated lingual nerve in the floor of the oral cavity (Fig. 8.253).

Each sublingual gland lies directly against the medial surface of the mandible where it forms a shallow groove (sublingual fossa) superior to the anterior one-third of the mylohyoid line.

The superior margin of the sublingual gland raises an elongate fold of mucosa (sublingual fold), which extends from the posterolateral aspect of the floor of the oral cavity to the sublingual papilla beside the base of the frenulum of the tongue at the midline anteriorly.

The sublingual gland drains into the oral cavity via numerous small ducts (minor sublingual ducts), which open onto the crest of the sublingual fold. Occasionally, the more anterior part of the gland is drained by a duct (major sublingual duct) that opens together with the submandibular duct on the sublingual caruncle.

Vessels

Vessels that supply the parotid gland originate from the external carotid artery and from its branches that are adjacent to the gland. The submandibular and sublingual glands are supplied by branches of the facial and lingual arteries.

Veins from the parotid gland drain into the external jugular vein, and those from the submandibular and sublingual glands drain into lingual and facial veins.

Lymphatic vessels from the parotid gland drain into nodes that are on or in the gland. These parotid nodes then drain into superficial and deep cervical nodes.

Lymphatics from the submandibular and sublingual glands drain mainly into submandibular nodes and then into deep cervical nodes, particularly the jugulo-omohyoid node.

Innervation
Parasympathetic

Parasympathetic innervation to all salivary glands in the oral cavity is by branches of the facial nerve [VII], which join branches of the maxillary [V2] and mandibular [V3] nerves to reach their target destinations.

The parotid gland receives its parasympathetic innervation from fibers that initially traveled in the glossopharyngeal nerve [IX], which eventually joins a branch of the mandibular nerve [V3] in the infratemporal fossa (Fig. 8.254).

image

Fig. 8.254 Secretomotor (parasympathetic) innervation of the salivary glands.

  Page 1047 

Greater petrosal nerve

All salivary glands above the level of the oral fissure, as well as all mucus glands in the nose and the lacrimal gland in the orbit, are innervated by parasympathetic fibers carried in the greater petrosal branch of the facial nerve [VII] (Fig. 8.254). Preganglionic parasympathetic fibers carried in this nerve enter the pteryatine fossa and synapse with postganglionic parasympathetic fibers in the pteryatine ganglion formed around branches of the maxillary nerve [V2]. Postganglionic parasympathetic fibers join general sensory branches of the maxillary nerve, such as the palatine nerves, destined for the roof of the oral cavity, to reach their target glands.

Chorda tympani

All glands below the level of the oral fissure, which include those small glands in the floor of the oral cavity, in the lower lip, and in the tongue, and the larger submandibular and sublingual glands, are innervated by parasympathetic fibers carried in the chorda tympani branch of the facial nerve [VII] (Fig. 8.254).

The chorda tympani joins the lingual nerve of the mandibular nerve [V3] in the infratemporal fossa and passes with it into the oral cavity. On the external surface of the hyoglossus muscle, preganglionic parasympathetic fibers leave the inferior aspect of the lingual nerve to synapse with postganglionic parasympathetic fibers in the submandibular ganglion, which appears to hang off the lingual nerve (Fig. 8.255). Postganglionic parasympathetic fibers leave the ganglion and pass directly to the submandibular and sublingual glands while others hop back onto the lingual nerve and travel with branches of the lingual nerve to target glands.

image

Fig. 8.255 Course of parasympathetic fibers carried in the chorda tympani nerve.

Roof—palate

The roof of the oral cavity consists of the palate, which has two parts—an anterior hard palate and a posterior soft palate (Fig. 8.256).

image

Fig. 8.256 Palate.

Hard palate

The hard palate separates the oral cavity from the nasal cavities. It consists of a bony plate covered above and below by mucosa:

image above, it is covered by respiratory mucosa and forms the floor of the nasal cavities;
image below, it is covered by a tightly bound layer of oral mucosa and forms much of the roof of the oral cavity (Fig. 8.256).

The palatine processes of the maxillae form the anterior three-quarters of the hard palate. The horizontal plates of the palatine bones form the posterior one-quarter. In the oral cavity, the upper alveolar arch borders the hard palate anteriorly and laterally. Posteriorly, the hard palate is continuous with the soft palate.

The mucosa of the hard palate in the oral cavity possesses numerous transverse palatine folds (palatine rugae) and a median longitudinal ridge (palatine raphe), which ends anteriorly in a small oval elevation (incisive papilla). The incisive papilla overlies the incisive fossa formed between the horizontal plates of the maxillae immediately behind the incisor teeth.

  Page 1048 
Soft palate

The soft palate (Fig. 8.256) continues posteriorly from the hard palate and acts as a valve that can be:

image depressed to help close the oropharyngeal isthmus;
image elevated to separate the nasopharynx from the oropharynx.

The soft palate is formed and moved by four muscles and is covered by mucosa that is continuous with the mucosa lining the pharynx and oral and nasal cavities.

The small tear-shaped muscular projection that hangs from the posterior free margin of the soft palate is the uvula.

Muscles of the soft palate

Five muscles (Table 8.22) on each side contribute to the formation and movement of the soft palate. Two of these, the tensor veli palatini and levator veli palatini, descend into the palate from the base of the skull. Two others, the palatoglossus and palatopharyngeus, ascend into the palate from the tongue and pharynx, respectively. The last muscle, the musculus uvulae, is associated with the uvula.

Table 8.22 Muscles of the soft palate

image

All muscles of the palate are innervated by the vagus nerve [X] except for the tensor veli palatini, which is innervated by the mandibular nerve [V3] (via the nerve to medial pterygoid).

Tensor veli palatini and the palatine aponeurosis

The tensor veli palatini muscle is composed of two parts—a vertical muscular part and a more horizontal fibrous part, which forms the palatine aponeurosis (Fig. 8.257A).

image

Fig. 8.257 A. Tensor veli palatini muscles and the palatine aponeurosis. B. Levator veli palatini muscles. C. Palatopharyngeus muscles.

The vertical part of the tensor veli palatini is thin and triangular in shape with its base attached to the skull and its apex pointed inferiorly. The base is attached along an oblique line that begins medially at the scaphoid fossa near the root of the pterygoid process of the sphenoid bone and continues laterally along the membranous part of the pharyngotympanic tube to the spine of the sphenoid bone.

The tensor veli palatini descends vertically along the lateral surface of the medial plate of the pterygoid process and pharyngeal wall to the pterygoid hamulus where the fibers converge to form a small tendon.

The tendon loops 90° medially around the pterygoid hamulus, penetrating the origin of the buccinator muscle as it does, and expands like a fan to form the fibrous horizontal part of the muscle. This fibrous part is continuous across the midline with its partner on the other side to form the palatine aponeurosis.

The palatine aponeurosis is attached anteriorly to the margin of the hard palate, but is unattached posteriorly where it ends in a free margin. This expansive aponeurosis is the major structural element of the soft palate to which the other muscles of the palate attach.

The tensor veli palatini:

image tenses (makes firm) the soft palate so that the other muscles attached to the palate can work more effectively; and
image opens the pharyngotympanic tube when the palate moves during yawning and swallowing as a result of its attachment superiorly to the membranous part of the pharyngotympanic tube.

The tensor veli palatini is innervated by the nerve to medial pterygoid from the mandibular nerve [V3].

Levator veli palatini

The levator veli palatini muscle originates from the base of the skull and descends to the upper surface of the palatine aponeurosis (Fig. 8.257B). On the skull, it originates from a roughened area on the petrous part of the temporal bone immediately anterior to the opening of the carotid canal. Some fibers also originate from adjacent parts of the pharyngotympanic tube.

The levator veli palatini passes anteroinferiorly through fascia of the pharyngeal wall, passes medial to the pharyngotympanic tube, and inserts onto the palatine aponeurosis. Its fibers interlace at the midline with those of the levator veli palatini on the other side.

Unlike the tensor veli palatini muscles, the levator veli palatini muscles do not pass around the pterygoid hamulus, but course directly from the base of the skull to the upper surface of the palatine aponeurosis. Therefore, they are the only muscles that can elevate the palate above the neutral position and close the pharyngeal isthmus between the nasopharynx and oropharynx.

The levator veli palatini is innervated by the vagus nerve [X] through the pharyngeal branch to the pharyngeal plexus. Clinically, the levator veli palatini can be tested by asking a patient to say “ah.” If the muscle on each side is functioning normally, the palate elevates evenly in the midline. If one side is not functioning, the palate deviates away from the abnormal side.

Palatopharyngeus

The palatopharyngeus muscle originates from the superior surface of the palatine aponeurosis and passes posterolaterally over its margin to descend and become one of the longitudinal muscles of the pharyngeal wall (Fig. 8.257C). It is attached to the palatine aponeurosis by two flat lamellae separated by the levator veli palatini muscle. The more anterior and lateral of these two lamellae is attached to the posterior margin of the hard palate as well as to the palatine aponeurosis.

The two palatopharyngeus muscles, one on each side, underlie the palatopharyngeal arches on the oropharyngeal wall. The palatopharyngeal arches lie posterior and medial to the palatoglossal arches when viewed anteriorly through the oral cavity (Fig. 8.258).

image

Fig. 8.258 Open mouth with soft palate. A. Oropharyngeal isthmus opened. B. Oropharyngeal isthmus closed.

On each side, the palatine tonsil is between the palatopharyngeal and palatoglossal arches on the lateral oropharyngeal wall.

The palatopharyngeus muscles:

image depress the palate and move the palatopharyngeal arches toward the midline like curtains—both these actions help close the oropharyngeal isthmus; and
image elevate the pharynx during swallowing.

The palatopharyngeus is innervated by the vagus nerve [X] through the pharyngeal branch to the pharyngeal plexus.

Palatoglossus

The palatoglossus muscle attaches to the inferior (oral surface) of the palatine aponeurosis and passes inferiorly and anteriorly into the lateral surface of the tongue (Fig. 8.259).

image

Fig. 8.259 Palatoglossus muscles and musculus uvulae.

The palatoglossus muscle underlies a fold of mucosa that arches from the soft palate to the tongue. These palatoglossal arches, one on each side, are lateral and anterior to the palatopharyngeal arches and define the lateral margins of the oropharyngeal isthmus (Fig. 8.258).

The palatine tonsil is between the palatoglossal and palatopharyngeal arches on the lateral oropharyngeal wall.

The palatoglossus muscles depress the palate, move the palatoglossal arches toward the midline like curtains, and elevate the back of the tongue. These actions help close the oropharyngeal isthmus.

The palatoglossus is innervated by the vagus nerve [X] through the pharyngeal branch to the pharyngeal plexus.

Musculus uvulae

The musculus uvulae originates from the posterior nasal spine on the posterior margin of the hard palate and passes directly posteriorly over the dorsal aspect of the palatine aponeurosis to insert into connective tissue underlying the mucosa of the uvula (Fig. 8.259). It passes between the two lamellae of the palatopharyngeus superior to the attachment of the levator veli palatini. Along the midline, the musculus uvulae blends with its partner on the other side.

The musculus uvulae elevates and retracts the uvula. This action thickens the central part of the soft palate and helps the levator veli palatini muscles close the pharyngeal isthmus between the nasopharynx and oropharynx.

The musculus uvulae is innervated by the vagus nerve [X] through the pharyngeal branch to the pharyngeal plexus.

  Page 1052 
Vessels
Arteries

Arteries of the palate include the greater palatine branch of the maxillary artery, the ascending palatine branch of the facial artery, and the palatine branch of the ascending pharyngeal artery. The maxillary, facial, and ascending pharyngeal arteries are all branches that arise in the neck from the external carotid artery (Fig. 8.260).

image

Fig. 8.260 Arteries of the palate.

Ascending palatine artery and palatine branch

The ascending palatine artery of the facial artery ascends along the external surface of the pharynx. The palatine branch loops medially over the top of the superior constrictor muscle of the pharynx to penetrate the pharyngeal fascia with the levator veli palatini muscle and follow the levator veli palatini to the soft palate.

The palatine branch of the ascending pharyngeal artery follows the same course as the palatine branch of the ascending palatine artery from the facial artery and may replace the vessel.

Greater palatine artery

The greater palatine artery originates from the maxillary artery in the pteryatine fossa. It descends into the palatine canal where it gives origin to a small lesser palatine branch, and then continues through the greater palatine foramen onto the inferior surface of the hard palate (Fig. 8.261). The greater palatine artery passes forward on the hard palate and then leaves the palate superiorly through the incisive canal to enter the medial wall of the nasal cavity where it terminates. The greater palatine artery is the major artery of the hard palate. It also supplies palatal gingiva. The lesser palatine branch passes through the lesser palatine foramen just posterior to the greater palatine foramen, and contributes to the vascular supply of the soft palate.

image

Fig. 8.261 Palatine nerves and arteries.

  Page 1053 
Veins

Veins from the palate generally follow the arteries and ultimately drain into the pterygoid plexus of veins in the infratemporal fossa (Fig. 8.262), or into a network of veins associated with the palatine tonsil, which drain into the pharyngeal plexus of veins or directly into the facial vein.

image

Fig. 8.262 Venous and lymphatic drainage of the palate.

Lymphatics

Lymphatic vessels from the palate drain into deep cervical nodes (Fig. 8.262).

  Page 1054 
Innervation

The palate is supplied by the greater and lesser palatine nerves and the nasopalatine nerve (Figs. 8.261 and 8.263).

image

Fig. 8.263 Innervation of the palate.

General sensory fibers carried in all these nerves originate in the pteryatine fossa from the maxillary nerve [V2].

Parasympathetic (to glands) and SA (taste on soft palate) fibers from a branch of the facial nerve [VII] join the nerves in the pteryatine fossa, as do the sympathetics (mainly to blood vessels) ultimately derived from the T1 spinal cord level.

Greater and lesser palatine nerves

The greater and lesser palatine nerves descend through the pteryatine fossa and palatine canal to reach the palate:

image the greater palatine nerve travels through the greater palatine foramen and turns anteriorly to supply the hard palate and gingiva as far as the first premolar;
image the lesser palatine nerve passes posteromedially to supply the soft palate.
Nasopalatine nerve

The nasopalatine nerve also originates in the pteryatine fossa, but passes medially into the nasal cavity. It continues medially over the roof of the nasal cavity to reach the medial wall, then anteriorly and obliquely down the wall to reach the incisive canal in the anterior floor, and descends through the incisive canal and fossa to reach the inferior surface of the hard palate.

The nasopalatine nerve supplies gingiva and mucosa adjacent to the incisors and canine.

  Page 1055 

Oral fissure and lips

The oral fissure is the slit-like opening between the lips that connects the oral vestibule to the outside (Fig. 8.264). It can be opened and closed, and altered in shape by the movements of the muscles of facial expression associated with the lips and surrounding regions, and by movements of the lower jaw (mandible).

image

Fig. 8.264 Oral fissure and lips. A. Anterior view. B. Lateral view.

The lips are entirely composed of soft tissues (Fig. 8.264B). They are lined internally by oral mucosa and covered externally by skin. Externally, there is an area of transition from the thicker skin that covers the face to the thinner skin that overlies the margins of the lips and continues as oral mucosa onto the deep surfaces of the lips.

Blood vessels are closer to the surface in areas where the skin is thin and as a consequence there is a vermilion border that covers the margins of the lips.

The upper lip has a shallow vertical groove on its external surface (the philtrum) sandwiched between two elevated ridges of skin. The philtrum and ridges are formed embryologically by fusion of the medial nasal processes.

On the inner surface of both lips, a fold of mucosa (the median labial frenulum) connects the lip to the adjacent gum.

The lips enclose the orbicularis oris muscle, neurovascular tissues, and labial glands. The small pea-shaped labial glands are between the muscle tissue and the oral mucosa and open into the oral vestibule.

A number of muscles of facial expression control the shape and size of the oral fissure. The most important of these is the orbicularis oris muscle, which encircles the orifice and acts as a sphincter. A number of other muscles of facial expression blend into the orbicularis oris or other tissues of the lips and open or adjust the contours of the oral fissure. These include buccinator, levator labii superioris, zygomaticus major and minor, levator anguli oris, depressor labii inferioris, depressor anguli oris, and platysma (see pp. 859–862).

Oropharyngeal isthmus

The oropharyngeal isthmus is the opening between the oral cavity and the oropharynx (see Fig. 8.258). It is formed:

image laterally by the palatoglossal arches;
image superiorly by the soft palate; and
image and inferiorly by the sulcus terminalis of the tongue that divides the oral surface of the tongue (anterior two-thirds) from the pharyngeal surface (posterior one-third).

The oropharyngeal isthmus can be closed by elevation of the posterior aspect of the tongue, depression of the palate, and medial movement of the palatoglossal arches toward the midline.

Medial movement of the palatopharyngeal arches medial and posterior to the palatoglossal arches is also involved in closing the oropharyngeal isthmus. By closing the oropharyngeal isthmus, food or liquid can be held in the oral cavity while breathing.

  Page 1056 

Teeth and gingivae

The teeth are attached to sockets (alveoli) in two elevated arches of bone on the mandible below and the maxillae above (alveolar arches).

If the teeth are removed, the alveolar bone is resorbed and the arches disappear.

The gingivae (gums) are specialized regions of the oral mucosa that surround the teeth and cover adjacent regions of the alveolar bone.

The different types of teeth are distinguished on the basis of morphology, position, and function (Fig. 8.265A).

image

Fig. 8.265 Teeth. A. Adult upper and lower permanent teeth. B. Deciduous (“baby”) teeth.

In adults, there are 32 teeth, 16 in the upper jaw and 16 in the lower jaw. On each side in both maxillary and mandibular arches are two incisor, one canine, two premolar, and three molar teeth.

  Page 1057 

image the incisor teeth are the “front teeth” and have one root and a chisel-shaped crown, which “cuts”;
image the canine teeth are posterior to the incisors, are the longest teeth, have a crown with a single pointed cusp, and “grasp”;
image the premolar teeth (bicuspids) have a crown with two pointed cusps, one on the buccal (cheek) side of the tooth and the other on the lingual (tongue) or palatal (palate) side, generally have one root (but the upper first premolar next to the canine may have two), and “grind”;
image the molar teeth are behind the premolar teeth, have three roots and crowns with three to five cusps, and “grind.”

Two successive sets of teeth develop in humans, deciduous teeth (“baby” teeth) (Fig. 8.265B) and permanent teeth (“adult” teeth). The deciduous teeth emerge from the gingivae at between six months and two years of age. Permanent teeth begin to emerge and replace the deciduous teeth at around age six years, and can continue to emerge into adulthood.

The 20 deciduous teeth consist of two incisor, one canine, and two molar teeth on each side of the upper and lower jaws. These teeth are replaced by the incisor, canine, and premolar teeth of the permanent teeth. The permanent molar teeth erupt posterior to the deciduous molars and require the jaws to elongate forward to accommodate them.

Vessels
Arteries

All teeth are supplied by vessels that branch either directly or indirectly from the maxillary artery (Fig. 8.266).

image

Fig. 8.266 Arteries and veins of the teeth.

Inferior alveolar artery

All lower teeth are supplied by the inferior alveolar artery, which originates from the maxillary artery in the infratemporal fossa. The vessel enters the mandibular canal of the mandible, passes anteriorly in bone supplying vessels to the more posterior teeth, and divides opposite the first premolar into incisor and mental branches. The mental branch leaves the mental foramen to supply the chin, while the incisor branch continues in bone to supply the anterior teeth and adjacent structures.

  Page 1058 

Anterior and posterior superior alveolar arteries

All upper teeth are supplied by anterior and posterior superior alveolar arteries.

The posterior superior alveolar artery originates from the maxillary artery just after the maxillary artery enters the pteryatine fossa and it leaves the fossa through the pterygomaxillary fissure. It descends on the posterolateral surface of the maxilla, branches, and enters small canals in the bone to supply the molar and premolar teeth.

The anterior superior alveolar artery originates from the infra-orbital artery, which arises from the maxillary artery in the pteryatine fossa. The infra-orbital artery leaves the pteryatine fossa through the inferior orbital fissure and enters the inferior orbital groove and canal in the floor of the orbit. The anterior superior alveolar artery originates from the infra-orbital artery in the infra-orbital canal. It passes through bone and branches to supply the incisor and canine teeth.

Gingival supply

The gingivae are supplied by multiple vessels and the source depends on which side of each tooth the gingiva is—the side facing the oral vestibule or cheek (vestibular or buccal side), or the side facing the tongue or palate (lingual or palatal side):

image buccal gingiva of the lower teeth is supplied by branches from the inferior alveolar artery, whereas the lingual side is supplied by branches from the lingual artery of the tongue;
image buccal gingiva of the upper teeth is supplied by branches of the anterior and posterior superior alveolar arteries;
image palatal gingiva is supplied by branches from the nasopalatine (incisor and canine teeth) and greater palatine (premolar and molar teeth) arteries.
Veins

Veins from the upper and lower teeth generally follow the arteries (Fig. 8.266).

Inferior alveolar veins from the lower teeth, and superior alveolar veins from the upper teeth drain mainly into the pterygoid plexus of veins in the infratemporal fossa, although some drainage from the anterior teeth may be via tributaries of the facial vein.

The pterygoid plexus drains mainly into the maxillary vein and ultimately into the retromandibular vein and jugular system of veins. In addition, small communicating vessels pass superiorly, from the plexus, and pass through small emissary foramina in the base of the skull to connect with the cavernous sinus in the cranial cavity. Infection originating in the teeth can track into the cranial cavity through these small emissary veins.

Venous drainage from the teeth can also be via vessels that pass through the mental foramen to connect with the facial vein.

Veins from the gingivae also follow the arteries and ultimately drain into the facial vein or into the pterygoid plexus of veins.

Lymphatics

Lymphatic vessels from the teeth and gingivae drain mainly into submandibular, submental, and deep cervical nodes (Fig. 8.267).

image

Fig. 8.267 Lymphatic drainage of the teeth and gums.

  Page 1059 
Innervation

All nerves that innervate the teeth and gingivae are branches of the trigeminal nerve [V] (Figs. 8.268 and 8.269).

image

Fig. 8.268 Innervation of the teeth.

image

Fig. 8.269 Innervation of the teeth and gums.

Inferior alveolar nerve

The lower teeth are all innervated by branches from the inferior alveolar nerve, which originates in the infratemporal fossa from the mandibular nerve [V3] (Figs. 8.268 and 8.269). The inferior alveolar nerve and its accompanying vessels enter the mandibular foramen on the medial surface of the ramus of mandible and travel anteriorly through the bone in the mandibular canal. Branches to the back teeth originate directly from the inferior alveolar nerve.

Adjacent to the first premolar tooth, the inferior alveolar nerve divides into incisive and mental branches:

image the incisive branch innervates the first premolar, the canine, and the incisor teeth, together with the associated vestibular (buccal) gingiva;
image the mental nerve exits the mandible through the mental foramen and innervates the chin and lower lip.
Anterior, middle, and posterior superior alveolar nerves

All upper teeth are innervated by the anterior, middle, and posterior superior alveolar nerves, which originate directly or indirectly from the maxillary nerve [V2] (Figs. 8.268 and 8.269).

The posterior superior alveolar nerve originates directly from the maxillary nerve [V2] in the pteryatine fossa, exits the pteryatine fossa through the pterygomaxillary fissure, and descends on the posterolateral surface of the maxilla. It enters the maxilla through a small foramen approximately midway between the pterygomaxillary fissure and the last molar tooth, and passes through the bone in the wall of the maxillary sinus. The posterior superior alveolar nerve then innervates the molar teeth through the superior alveolar plexus formed by the posterior, middle, and anterior alveolar nerves.

The middle and anterior superior alveolar nerves originate from the infra-orbital branch of the maxillary nerve [V2] in the floor of the orbit:

image the middle superior alveolar nerve arises from the infra-orbital nerve in the infra-orbital groove, passes through the bone in the lateral wall of the maxillary sinus, and innervates the premolar teeth via the superior alveolar plexus;
  Page 1060 
image the anterior superior alveolar nerve originates from the infra-orbital nerve in the infra-orbital canal, passes through the maxilla in the anterior wall of the maxillary sinus, and via the superior alveolar plexus, supplies the canine and incisor teeth.
Innervation of gingivae

Like the teeth, the gingivae are innervated by nerves that ultimately originate from the trigeminal nerve [V] (Fig. 8.269):

image gingiva associated with the upper teeth is innervated by branches derived from the maxillary nerve [V2];
image gingiva associated with the lower teeth is innervated by branches of the mandibular nerve [V3].

The gingiva on the buccal side of the upper teeth is innervated by the anterior, middle, and superior alveolar nerves, which also innervate the adjacent teeth. Gingiva on the palatal (lingual) side of the same teeth is innervated by the nasopalatine and the greater palatine nerves:

image the nasopalatine nerve innervates gingiva associated with the incisor and canine teeth;
image the greater palatine nerve supplies gingiva associated with the remaining teeth.

The gingiva associated with the (buccal) side of the mandibular incisor, canine, and premolar teeth is innervated by the mental branch of the inferior alveolar nerve. Gingiva on the buccal side of the mandibular molar teeth is innervated by the buccal nerve, which originates in the infratemporal fossa from the mandibular nerve [V3]. Gingiva adjacent to the lingual surface of all lower teeth is innervated by the lingual nerve.

  Page 1061 

Surface anatomy

Head and neck surface anatomy

Skeletal landmarks in the head and neck are used for locating major blood vessels, glands, and muscles, and for locating points of access to the airway.

Neurological examination of the cranial and upper cervical nerves is carried out by assessing function in the head and neck.

In addition, information about the general status of body health can often be obtained by evaluating surface features (Fig. 8.270), the eye and the oral cavity, and the characteristics of speech.

image

Fig. 8.270 Normal appearance of the head and neck. A. A woman, lateral view. B. A woman, anterior view. C. A man, lateral view. D. A man, anterior view.

  Page 1062 

Anatomical position of the head and major landmarks

The head is in the anatomical position when the inferior margins of the bony orbits and the superior margins of the external acoustic meatuses are in the same horizontal plane (Frankfort plane).

In addition to the external acoustic meatus and the bony margin of the orbit, other features that are palpable include the head of mandible, zygomatic arch, zygomatic bone, mastoid process, and external occipital protuberance (Fig. 8.271).

image

Fig. 8.271 Anatomical position of the head and major landmarks. Lateral head and neck of a man.

The head of mandible is anterior to the external ear and behind and inferior to the posterior end of the zygomatic arch. It is best found by opening and closing the jaw and palpating the head of mandible as it moves forward onto the articular tubercle and then back into the mandibular fossa, respectively.

The zygomatic arch extends forward from the region of the temporomandibular joint to the zygomatic bone, which forms a bony prominence lateral to the inferior margin of the anterior opening of the orbit.

The mastoid process is a large bony protuberance that is easily palpable posterior to the inferior aspect of the external acoustic meatus. The superior end of the sternocleidomastoid muscle attaches to the mastoid process.

The external occipital protuberance is palpable in the midline posteriorly where the contour of the skull curves sharply forward. This landmark marks the point superficially where the back of the neck joins the head.

Another clinically useful feature of the head is the vertex. This is the highest point of the head in the anatomical position and marks the approximate point on the scalp where there is a transition from cervical to cranial innervation of the scalp. Anterior to the vertex the scalp and face are innervated by the trigeminal nerve [V]. Posterior to the vertex, the scalp is innervated by branches from cervical spinal nerves.

  Page 1063 

Visualizing structures at the CIII/CIV and CVI vertebral levels

Two vertebral levels in the neck are associated with important anatomical features (Fig. 8.272).

image

Fig. 8.272 Visualizing structures at the CIII/IV and CVI vertebral levels. Lateral head and neck of a man.

The intervertebral disc between the CIII and CIV vertebrae is in the same horizontal plane as the bifurcation of the common carotid artery into the internal and external carotid arteries. This level is approximately at the upper margin of the thyroid cartilage.

Vertebral level CVI marks the transition from pharynx to esophagus and larynx to trachea. The CVI vertebral level therefore marks the superior ends of the esophagus and trachea and is approximately at the level of the inferior margin of the cricoid cartilage.

How to outline the anterior and posterior triangles of the neck

The boundaries of the anterior and posterior triangles on each side of the neck are easily established using readily visible bony and muscular landmarks (Fig. 8.273).

image

Fig. 8.273 How to outline the anterior and posterior triangles of the neck. A. In a woman, anterolateral view. The left anterior triangle is indicated. B. In a man, anterior view of the posterior triangles.

The base of each anterior triangle is the inferior margin of the mandible, the anterior margin is the midline of the neck, and the posterior margin is the anterior border of the sternocleidomastoid muscle. The apex of each anterior triangle points inferiorly and is at the suprasternal notch.

The anterior triangles are associated with structures such as the airway and digestive tract, and nerves and vessels that pass between the thorax and head. They are also associated with the thyroid and parathyroid glands.

The base of each posterior triangle is the middle one-third of the clavicle. The medial margin is the posterior border of the sternocleidomastoid muscle, and the lateral margin is the anterior border of the trapezius muscle. The apex points superiorly and is immediately posteroinferior to the mastoid process.

The posterior triangles are associated with nerves and vessels that pass into and out of the upper limbs.

  Page 1064 

How to locate the cricothyroid ligament

An important structure to locate in the neck is the cricothyroid ligament (cricovocal membrane, cricothyroid membrane) (Fig. 8.274) because artificial penetration of this membrane in emergency situations can provide access to the lower airway when the upper airway above the level of the vocal folds is blocked.

image image

Fig. 8.274 How to locate the cricothyroid ligament. A. In a man, lateral view of head and neck. B. In a woman, lateral view of head and neck.

How to locate the cricothyroid ligament. C. In a man, anterior neck with the chin elevated. D. In a woman, anterior neck with the chin elevated.

The ligament can be easily found using palpable features of the larynx as landmarks.

Using a finger to gently feel laryngeal structures in the midline, first find the thyroid notch in the superior margin of the thyroid cartilage and then move the finger inferiorly over the laryngeal prominence and down the anterior surface of the thyroid angle. As the finger crosses the inferior margin of the thyroid cartilage in the midline, a soft depression is felt before the finger slides onto the arch of the cricoid cartilage, which is hard.

The soft depression between the lower margin of the thyroid cartilage and the arch of the cricoid is the position of the cricothyroid ligament.

  Page 1065 

A tube passed through the cricothyroid ligament enters the airway just inferior to the position of the vocal folds of the larynx.

Structures that may occur in or cross the midline between the skin and the cricothyroid ligament include the pyramidal lobe of the thyroid gland and small vessels, respectively.

Inferior to the cricoid cartilage, the upper cartilage of the larynx can sometimes be palpated above the level of the isthmus of the thyroid gland that crosses the trachea anteriorly.

The landmarks used for finding the cricothyroid ligament are similar in men and women; however, because the laminae of the thyroid cartilage meet at a more acute angle in men, the structures are more prominent in men than in women.

How to find the thyroid gland

The left and right lobes of the thyroid gland are in the anterior triangles in the lower neck on either side of the airway and digestive tract inferior to the position of the oblique line of the thyroid cartilage (Fig. 8.275). In fact, the sternothyroid muscles, which attach superiorly to the oblique lines, lie anterior to the lobes of the thyroid gland and prevent the lobes from moving upward in the neck.

image

Fig. 8.275 How to find the thyroid gland. A. In a woman, anterior view of neck. B. In a man, anterior view of neck.

The lobes of the thyroid gland can be most easily palpated by finding the thyroid prominence and arch of the cricoid cartilage and then feeling posterolateral to the larynx.

The isthmus of the thyroid gland crosses anterior to the upper end of the trachea and can be easily palpated in the midline inferior to the arch of the cricoid.

The presence of the isthmus of the thyroid gland makes palpating the tracheal cartilages difficult in the neck. Also, the presence of the isthmus of the thyroid gland and the associated vessels found in and crossing the midline makes it difficult to artificially enter the airway anteriorly through the trachea. This procedure, a tracheostomy, is a surgical procedure.

  Page 1066 

Estimating the position of the middle meningeal artery

The middle meningeal artery (Fig. 8.276) is a branch of the maxillary artery in the infratemporal fossa. It enters the skull through the foramen spinosum and is within the dura mater lining the cranial cavity.

image

Fig. 8.276 Estimating the position of the middle meningeal artery. Lateral head and neck of a man.

In lateral blows to the head the middle meningeal artery can be ruptured, leading to extradural hemorrhage and eventual death if not treated.

The anterior branch of the middle meningeal artery is the part of the vessel most often torn. This branch is in the temple region of the head, approximately midway between the superior margin of the orbit and the upper part of the external ear in the pterion region. The pterion is a small circular area enclosing the region where the sphenoid, frontal, parietal, and temporal bones of the skull come together.

Lateral blows to the head can fracture the internal table of bone of the skull and tear the middle meningeal artery in the outer layer of dura mater that is fused to the cranium. Blood under pulsatile arterial pressure leaks out of the vessel and gradually separates the dura from the bone, forming a progressively larger extradural hematoma.

  Page 1067 

Major features of the face

The major features of the face are those related to the anterior openings of the orbit, the nasal cavities, and the oral cavity (Fig. 8.277).

image

Fig. 8.277 Major features of the face. Anterior head and neck of a woman.

The palpebral fissures are between the upper and lower eyelids and can be opened and closed. The oral fissure is the gap between the upper and lower lips and can also be opened and closed.

The sphincter muscles of the oral and palpebral fissures are the orbicularis oris and orbicularis oculi muscles, respectively. These muscles are innervated by the facial nerve [VII].

The nares are the anterior apertures of the nasal cavities and are continuously open.

The vertical groove in the midline between the external nose and the upper lip is the philtrum.

Sensory innervation of the face is carried by the trigeminal nerve [V]. The three divisions of this nerve are represented on the face and can be tested by touching the forehead (the ophthalmic nerve [V1]), the anterior cheek (the maxillary nerve [V2]), and skin over the anterior body of the mandible (the mandibular nerve [V3]).

  Page 1068 

The eye and lacrimal apparatus

Major features of the eye include the sclera, cornea, iris, and pupil (Fig. 8.278). The cornea is continuous with the sclera and is the clear circular region of the external covering of the eye through which the pupil and iris are visible. The sclera is not transparent and is normally white.

image

Fig. 8.278 Eye and lacrimal apparatus. A. Face of a woman. Lacrimal apparatus and the flow of tears are indicated. B. Left eye and surrounding structures. C. Left eye, surrounding structures with lower eyelid pulled down to reveal the lacrimal papilla and lacrimal punctum.

The upper and lower eyelids of each eye enclose between them the palpebral fissure. The eyelids come together at the medial and lateral palpebral commissures on either side of each eye.

At the medial side of the palpebral fissure and lateral to the medial palpebral commissure is a small triangular soft tissue structure (the lacrimal lake).

The elevated mound of tissue on the medial side of the lacrimal lake is the lacrimal caruncle, and the lateral margin overlying the sclera is the lacrimal fold.

  Page 1069 

The lacrimal apparatus consists of the lacrimal gland and the system of ducts and channels that collect the tears and drain them into the nasal cavity. Tears hydrate and maintain the transparency of the cornea.

The lacrimal gland is associated with the upper eyelid and is in a small depression in the lateral roof of the orbit just posterior to the orbital margin. The multiple small ducts of the gland open into the upper margin of the conjunctival sac, which is the thin gap between the deep surface of the eyelid and the cornea.

Tears are swept medially over the eye by blinking and are collected in small openings (lacrimal puncta), one on each of the upper and lower eyelids near the lacrimal lake.

Each punctum is on a small raised mound of tissue (a lacrimal papilla), and is the opening of a small canal (lacrimal canaliculus) that connects with the lacrimal sac.

The lacrimal sac is in the lacrimal fossa on the medial side of the orbit. From the lacrimal sac, tears drain via the nasolacrimal duct into the nasal cavity.

External ear

The external ear (Fig. 8.279) consists of the auricle and the external acoustic meatus. The auricle is supported by cartilage and is covered by skin. The external auditory meatus is near the anterior margin of the auricle.

image

Fig. 8.279 External ear. Lateral view of the right ear of a woman.

The auricle is characterized by a number of depressions, eminences, and folds. The folded outer margin of the auricle is the helix, which ends inferiorly as the lobule. A smaller fold (the antihelix) parallels the contour of the helix and is separated from it by a depression (the scaphoid fossa).

The tragus is a small eminence anteroinferior to the external acoustic meatus. Opposite the tragus and at the end of the antihelix is another eminence (the antitragus). The depression between the tragus and antitragus is the intertragic incisure.

The deepest depression (the concha) is bracketed by the antihelix and leads into the external acoustic meatus. Other depressions include the triangular fossa and the cymba conchae.

  Page 1070 

Pulse points

Arterial pulses can be felt at four locations in the head and neck (Fig. 8.280).

image

Fig. 8.280 Where to take arterial pulses in the head and neck.

image Carotid pulse—the common or external carotid artery can be palpated in the anterior triangle of the neck. This is one of the strongest pulses in the body. The pulse can be obtained by palpating either the common carotid artery posterolateral to the larynx or the external carotid artery immediately lateral to the pharynx midway between the superior margin of the thyroid cartilage below and the greater horn of the hyoid bone above.
image Facial pulse—the facial artery can be palpated as it crosses the inferior border of the mandible immediately adjacent to the anterior margin of masseter muscle.
image Temporal pulse—the superficial temporal artery can be palpated anterior to the ear and immediately posterosuperior to the position of the temporomandibular joint.
image Temporal pulse—the anterior branch of the superficial temporal artery can be palpated posterior to the zygomatic process of the frontal bone as it passes lateral to the temporal fascia and into anterolateral regions of the scalp. In some individuals pulsations of the superficial temporal artery can be seen through the skin.
  Page 1071 

Clinical cases

Case 1 MULTINODULAR GOITER

A 50-year-old overweight woman came to the doctor complaining of hoarseness of voice and noisy breathing. She was also concerned at the increase in size of her neck. On examination she had a slow pulse rate (45 beats per minute). She also had an irregular knobby mass in the anterior aspect of the lower neck, which deviated the trachea to the right.

A clinical diagnosis of a multinodular goiter and hypothyroidism was made.

Enlargement of the thyroid gland is due to increased secretion of thyroid stimulating hormone, which is usually secondary to diminished output of thyroid hormones. The thyroid undergoes periods of activity and regression, which can lead to the formation of nodules, some of which are solid and some of which are partially cystic (colloid cysts). This nodule formation is compounded by areas of fibrosis within the gland. Other causes of multinodular goiter include iodine deficiency, and in certain circumstances, drugs that interfere with the metabolism and production of thyroxine. The typical symptom of a goiter is a painless swelling of the thyroid gland. It may be smooth or nodular, and occasionally it may extend into the superior mediastinum as a retrosternal goiter.

The trachea was deviated.

The enlargement of the thyroid gland due to a multinodular goiter may not be symmetrical. In this case there was significant asymmetrical enlargement of the left lobe of the thyroid deviating the trachea to the right.

The patient had a hoarse voice and noisy breathing.

If the thyroid gland enlargement is significant it can compress the trachea, narrowing it to such an extent that a “crowing sound” is heard during inspiration (stridor).

Other possible causes for hoarseness include paralysis of the vocal cord due to compression of the left recurrent laryngeal nerve from the goiter. Of concern is the possibility of malignant change within the goiter directly invading the recurrent laryngeal nerve. Fortunately, malignant change is rare within the thyroid gland.

When patients have a relatively low production of thyroxine such that the basal metabolic rate is reduced they become more susceptible to infection, including throat and upper respiratory tract infections.

On examination the thyroid gland moved during swallowing.

Characteristically, an enlarged thyroid gland is evident as a neck mass arising on one or both sides of the trachea. The enlarged thyroid gland moves on swallowing because it is attached to the larynx by the pretracheal fascia.

The patient was hypothyroid.

Hypothyroidism refers to the clinical and biochemical state in which the thyroid gland is underactive (hyperthyroidism refers to an overactive thyroid gland). Some patients have thyroid masses and no clinical or biochemical abnormalities—these patients are euthyroid.

The hormone thyroxine controls the basal metabolic rate; therefore, low levels of thyroxine affect the resting pulse rate and may produce other changes, including weight gain, and in some cases depression.

The patient was insistent upon surgery.

After discussion about the risks and complications, a subtotal thyroidectomy was performed. After the procedure the patient complained of tingling in her hands and feet and around her mouth, and carpopedal spasm. These symptoms are typical of tetany and are caused by low serum calcium levels.

The etiology of the low serum calcium level was trauma and bruising of the four parathyroid glands left in situ after the operation. Undoubtedly the trauma of removal of such a large thyroid gland produced a change within the parathyroid gland, which failed to function appropriately. The secretion of parathyroid hormone rapidly decreased over the next 24 hours, resulting in increased excitability of peripheral nerves, manifest by carpopedal spasm and orofacial tingling. Muscle spasms can also be elicited by tapping the facial nerve [VII] as it emerges from the parotid gland to produce twitching of the facial muscles (Chvostek’s sign).

  Page 1072 

The patient recovered from these symptoms due to a low calcium level over the next 24 hours.

At her return to clinic the patient was placed on supplementary oral thyroxine, which is necessary after removal of the thyroid gland.

The patient also complained of a hoarse voice.

The etiology of her hoarse voice was damage to the recurrent laryngeal nerve.

The recurrent laryngeal nerve lies close to the thyroid gland. It may be damaged in difficult surgical procedures, and this may produce unilateral spasm of the ipsilateral vocal cord to produce a hoarse voice.

Since the thyroidectomy and institution of thyroxine treatment, the patient has lost weight and has no further complaints.

Case 2 PAROTID DUCT CALCULUS

A 25-year-old man complained of significant swelling in front of his right ear before and around mealtimes. This swelling was associated with considerable pain, which was provoked by the ingestion of lemon sweets. On examination he had tenderness around the right parotid region and a hard nodule was demonstrated in the buccal mucosa adjacent to the right upper molar teeth.

A diagnosis of parotid duct calculus was made.

The formation of stones in the salivary glands is not uncommon, but it is more likely in the submandibular gland than in the parotid gland because the saliva is more mucinous and the duct has a long upward course from the floor of the mouth. Nevertheless, stones do form in the parotid gland and the parotid ducts. Notably, most parotid duct calculi and submandibular duct calculi occur in mouths with excellent dental hygiene and mucosa.

An ultrasound scan was performed.

An initial ultrasound scan demonstrated a stone in the distal end of the right parotid duct with evidence of ductal dilatation. Assessment of the gland also demonstrated dilated ducts within the gland and evidence of intraparotid lymphadenopathy (Fig. 8.281).

image

Fig. 8.281 Ultrasound scan (axial view) demonstrating a stone in a dilated parotid duct.

The patient was treated with antibiotics.

A course of antibiotics was given to remove the bacteria that had produced the inflammation. On return to the doctor some days later the gland was normal in size and there was no evidence of inflammation or infection.

An operation was necessary.

The stone was at the distal end of the parotid duct and it would seem logical and straightforward to make a small incision at the sphincter in the buccal mucosa and deliver the stone, thus permitting the gland to drain normally. Unfortunately, in this patient’s case the gland was significantly destroyed by the chronic obstruction and bacterial infection. Furthermore, smaller calculi were also demonstrated in the gland at ultrasound. On direct questioning it appeared that the patient had had numerous attacks over the previous 4–5 years and it was decided that the parotid gland should be removed surgically.

The patient consented for removal of the parotid gland and a discussion of the possibility for loss of facial function and facial paralysis was had with the patient at this time.

  Page 1073 

Within the parotid gland the facial nerve [VII] divides into its five terminal branches. At operation the gland is displayed and extremely careful dissection is necessary to peel away the parotid gland from the branches of the facial nerve [VII]. This procedure was made more difficult by the chronic inflammatory change within the gland. After the procedure the patient made a good recovery, though there was some mild paralysis of the whole of the right side of the face. Importantly, taste to the anterior two-thirds of the tongue was preserved. The taste fibers to the anterior two-thirds of the tongue travel in the chorda tympani nerve, which is a branch of the facial nerve [VII]. This nerve leaves the facial nerve [VII] to join the lingual nerve proximal to the parotid gland; therefore, any damage to the facial nerve [VII] within the parotid gland does not affect special sensation (taste).

Over the following week the paralysis improved and was likely due to nerve bruising during the procedure. The patient remained asymptomatic.

Case 3 EXTRADURAL HEMATOMA

A 33-year-old man was playing cricket for his local Sunday team. As the new bowler pitched the ball short, it bounced higher than he anticipated and hit him on the side of his head. He immediately fell to the ground unconscious, but after about 30 seconds he was helped to his feet and felt otherwise well. It was noted he had some bruising around his temple. He decided not to continue playing and went to watch the match from the side. Over the next hour he became extremely sleepy and was eventually unrousable. He was rushed to hospital.

When he was admitted to hospital, the patient’s breathing was shallow and irregular and it was necessary to intubate him. A skull radiograph demonstrated a fracture in the region of the pterion. No other abnormality was demonstrated other than minor soft tissue bruising over the left temporal fossa.

A CT scan was performed.

The CT scan demonstrated a lentiform area of high density within the left cranial fossa.

A diagnosis of extradural hemorrhage was made.

Fractures in the region of the pterion are extremely dangerous. A division of the middle meningeal artery passes deep to this structure and is subject to laceration and disruption, especially in conjunction with a skull injury in this region. In this case the middle meningeal artery was torn and started to bleed, producing a large extradural clot.

The patient’s blood pressure began to increase.

Within the skull there is a fixed volume and clearly what goes in must come out (e.g., blood, cerebrospinal fluid). If there is a space-occupying lesion, such as an extradural hematoma, there is nowhere for this to decompress into. As the lesion expands, the brain becomes compressed and the intracranial pressure increases. This pressure compresses vessels, so lowering the cerebral perfusion pressure. To combat this the homeostatic mechanisms of the body increase the blood pressure to overcome the increase in intracerebral pressure. Unfortunately, the increase in intracranial pressure is compounded by the cerebral edema that occurs at and after the initial insult.

An urgent surgical procedure was performed.

Burr holes were placed around the region of the hematoma and it was evacuated. The small branch of the middle meningeal artery was ligated and the patient spent a few days on the intensive care unit. Fortunately the patient made an uneventful recovery.

  Page 1074 

Case 4 STENOSIS OF THE INTERNAL CAROTID ARTERY

A 60-year-old woman was brought to the emergency department with acute right-sided weakness, predominantly in the upper limb, which lasted for 24 hours. She made an uneventful recovery, but was extremely concerned about the nature of her illness and went to see her local doctor.

A diagnosis of a transient ischemic attack (TIA) was made.

A TIA is a neurological deficit resolving within 24 hours. It is a type of stroke.

Neurological deficit may be permanent or transient. Most transient events resolve within 21 days; any failure of resolution beyond 21 days is an established stroke.

An investigation into the cause of the TIA was undertaken.

Eighty-five percent of all strokes result from cerebral infarction, of which most are due to embolization.

A duplex Doppler scan of the carotid vessels was performed.

The majority of emboli originate from plaques that develop at and around the carotid bifurcation. Emboli consist of platelet aggregates, cholesterol, and atheromatous debris. Emboli may also arise from the heart secondary to cardiac tumors or myocardial infarction.

The lesion in the brain was on the left side.

The motor cortex for the whole of the right side of the body is represented in the left motor strip of the brain, which sits on the precentral gyrus.

The duplex Doppler ultrasound scan demonstrated a significant narrowing (stenosis) of the left internal carotid artery with evidence of plaque formation and abnormal flow in this region. The narrowing was approximately 90%.

Treatment required an operation.

A carotid endarterectomy (removal of the stenosis and the atheromatous plaque) was planned. This procedure is indicated in the presence of an ulcerating plaque with stenosis. The procedure was carried out under general anesthetic and a curvilinear incision was placed in the left side of the neck. The common carotid, external carotid, and internal carotid arteries were displayed. All vessels were clamped and a shunt was placed from the common carotid artery into the internal carotid artery to maintain cerebral blood flow during the procedure. The internal carotid artery was opened and the plaque excised.

After the procedure the patient did extremely well and suffered no further cerebral events. However, a new medical student examined the patient the following day and demonstrated a number of interesting findings. These included altered skin sensation inferior to the left mandible, altered sensation on the left side of the soft palate, an paralyzed left vocal cord, inability to shrug the left shoulder, and a tongue that deviated to the left.

The etiology of these injuries was due to localized nerve trauma.

This constellation of neurological deficits can be accounted for by trauma to the nerves that are close to the carotid bifurcation. The changes in skin sensation can be accounted for by a neurapraxia due to damage to branches of the narrower cervical nerve. The alteration in sensation in the soft palate is due to neurapraxia of the glossopharyngeal nerve [IX]. The paralyzed left cord results from neurapraxia of the recurrent laryngeal nerve, while the inability to shrug the shoulder is due to neurapraxia of the accessory nerve [XI]. Deviation of the tongue can be accounted for by damage to the hypoglossal nerve [XII].

Most of these changes are transient and are usually due to traction injuries during the surgical procedure.

  Page 1075 

Case 5 POSTERIOR COMMUNICATING ARTERY ANEURYSM

A 33-year-old fit and well woman came to the emergency department complaining of double vision and pain behind her right eye. She had no other symptoms. On examination of the right eye the pupil was dilated. There was a mild ptosis. Testing of eye movement revealed that the eye turned down and out and the pupillary reflex was not present.

These findings revealed that the patient has an ipsilateral third nerve palsy (palsy of the oculomotor nerve [III]).

The oculomotor nerve [III] is the main motor nerve to the ocular and extra-ocular muscles. It arises from the midbrain and pierces the dura mater to run in the lateral wall of the cavernous sinus. The oculomotor nerve [III] leaves the cranial cavity and enters the orbit through the superior orbital fissure. Within this fissure it divides into its superior and inferior divisions.

The site of the nerve lesion needs to be assessed.

Third nerve palsy may involve the nucleus of the oculomotor nerve [III], which typically spares the pupil and is painless. The pupillary reflexes are supplied from the autonomic fibers of the Edinger–Westphal nucleus, which pass through the ciliary ganglion.

The lesion cannot be a primary oculomotor nerve [III] nuclear injury.

As both the pupillary reflexes and vision are affected, the lesion is likely to be along the course of the oculomotor nerve [III]. Medical conditions such as diabetes mellitus and vascular disease may produce an isolated oculomotor nerve [III] injury, but they are not associated with pain.

The lesion was caused by an aneurysm.

One of the commonest causes of a third nerve palsy is pressure on the nerve from a posterior communicating artery aneurysm, which lies parallel to the nerve on the anterior aspect of the brainstem. As the aneurysm abuts the outside of the oculomotor nerve [III], it involves the parasympathetic fibers, which lead to a predominance of the loss of pupillary function over general function.

The aneurysm was imaged with an angiogram.

The patient initially underwent CT and MRI scanning. Currently, the definitive test for assessment of aneurysms arising from the circle of Willis and its branches is a digital subtraction angiogram. The angiogram demonstrated the posterior communicating artery aneurysm. The patient underwent surgery and made an excellent recovery.

  Page 1076 

Case 6 RECURRENT EPISTAXIS

A 10-year-old boy was brought to an ENT surgeon (ear, nose, and throat surgeon) with epistaxis (nose bleeding). The bleeding was associated with his nose picking habit. However, the bleeding was profuse and on two occasions required hospital admission and nasal packing.

On inspection an indurated area was noted.

The typical findings are an indurated area in the anterior inferior aspect of the nasal septum (Kiesselbach’s area). This is a very vascular area that has a considerable number of veins, which are often traumatized during nose picking.

The patient underwent treatment.

Typical treatment is cauterization of these prominent veins in Kiesselbach’s area, which is usually performed by a simple local analgesia and the application of silver nitrate.

Unfortunately, the boy was involved in a fight the next day and again developed severe epistaxis, which again was difficult to control.

Not only is there a rich venous plexus around Kiesselbach’s area, but there is also a significant arterial supply, which is provided from the nasal septal branches of the posterior and anterior ethmoidal arteries and the branches of the greater palatine artery. These are supplemented from the septal branches of the superior labial artery.

In most cases treatment is conservative.

Conservative treatment usually involves packing the nasal cavity until bleeding has stopped and correcting any bleeding abnormality. In patients with bleeding refractory to medical treatment a series of maneuvers have been employed, including ligating the anterior and posterior ethmoidal arteries through a medial incision in the canthus orbit. Even more drastic measures have included ligation of the internal carotid artery. Unfortunately, many of these procedures fail because of the rich and diverse blood supply to the nasal cavity. Blood arises not only from branches of the internal carotid artery, but also from the external carotid artery, and by simply ligating one or the other of these branches blood flow may not be stemmed.

Determination of the specific site of bleeding can be achieved radiologically.

By placing a catheter from the femoral artery through the aorta and into the carotid circulation the sphenopalatine artery can be easily cannulated from the maxillary branch of the external carotid artery. Bleeding can usually be demonstrated and the vessel can be embolized using small particles.

Fortunately in this young boy’s case, bleeding stopped after further medical management and he remained asymptomatic.

  Page 1077 

Case 7 COMPLICATION OF ORBITAL FRACTURE

A 35-year-old man was involved in a fight and sustained a punch to the right orbit. He came to the emergency department with double vision.

The double vision was only in one plane.

Examination of the orbits revealed that when the patient was asked to look upward the right eye was unable to rotate superiorly. There was some limitation in general eye movement. Specifically, assessment of the lateral rectus muscle (abducent nerve [VI]), superior oblique muscle (trochlear nerve [IV]), and the rest of the eye muscles (oculomotor nerve [III]) was otherwise unremarkable.

The patient underwent a CT scan.

A CT scan of the facial bones demonstrated a fracture through the floor of the orbit (Fig. 8.282).

image

Fig. 8.282 Coronal CT scan demonstrating an orbital blow-out fracture.

A careful review of this CT scan demonstrated that the inferior oblique muscle had been pulled inferiorly with the fragment of bone in the fracture. This produced a tethering effect, so when the patient was asked to gaze in the upward direction the left eye did, but the right eye was unable to because of the tethered inferior oblique muscle.

The patient underwent surgical exploration to elevate the small bony fragment and return the inferior oblique to its appropriate position. On follow-up the patient had no complications.

  Page 1078 

Case 8 BRAINSTEM TUMOR

A 30-year-old man came to the emergency department with increasing headaches, which were worse in the morning. He also complained of some blurring of vision and a nonspecific alteration in his overall motor abilities.

Examination of the patient by a medical student did not reveal any significant motor or sensory abnormality. The student was diligent and examined all cranial nerves.

Ophthalmoscopy revealed marked bulging of the peripheral margins of the optic nerve and the appearance of vessels hooking over the edge of this bulging periphery.

A diagnosis of raised intracranial pressure was made and a CT scan was performed.

The CT scan demonstrated dilated lateral and third ventricles, and a normal fourth ventricle.

A diagnosis of hydrocephalus was made, and given the absence of dilatation of the fourth ventricle a blockage was suspected at the level of the aqueduct (noncommunicating hydrocephalus).

An MRI scan was obtained.

An MRI scan with intravenous contrast demonstrated a small mass in the midbrain at and around the region of the aqueduct.

A brainstem tumor was diagnosed and the patient underwent treatment.

The medical student’s findings and the site of the tumor do not “add up.”

In the presence of hydrocephalus the ventricles dilate in series from the lateral ventricles onward. If this obstruction is in the region of the foramen of Monro, only the lateral ventricles are dilated. If the obstruction is in the region of the aqueduct, the lateral and third ventricles are dilated. It is unusual for the lateral and median foramina of the fourth ventricle to be obstructed and usually the next point of obstruction is in the region of the arachnoid granulations, secondary to blood and pertinacious fluid blocking the resorption of cerebrospinal fluid. In these cases the cerebrospinal fluid pressure around the brain is typically elevated, producing the changes around the optic nerve described and demonstrated at ophthalmoscopy.

An ophthalmologist examined the eye.

The eye was actually normal and it was an unfortunate misdiagnosis (though a good learning exercise) by the medical student. Importantly, the patient’s tumor was diagnosed and treatment was instituted. Ophthalmoscopy is a difficult skill to acquire and takes many hours of practice.

  Page 1079 

Case 9 PITUITARY MACROADENOMA

A 30-year-old woman came to her doctor with a history of amenorrhea (absence of menses) and galactorrhea (the production of breast milk). She was not pregnant and appeared otherwise fit and well.

Serum prolactin was measured.

Prolactin is a hormone produced by the pituitary gland and necessary for the production of breast milk postpartum. This hormone was markedly elevated.

Further clinical tests demonstrated visual field defects.

The patient went to see an optometrist who performed a visual field assessment and demonstrated a reduction in the lateral aspects of the normal visual fields. This was bilateral and symmetrical—a bilateral temporal hemianopia.

The visual pathways have now determined the site of the lesion.

Visual information from the temporal fields is projected onto the medial aspect of the retina bilaterally. The visual information from the medial aspects of the retina is carried in fibers that cross the midline through the optic chiasm to the opposite side.

The lesion is in the area of the optic chiasm.

Any disruption of the optic chiasm produces the field defect of bitemporal hemianopia. Tumors of the optic chiasm are unusual, though gliomas do occur. More frequently, compression of the optic chiasm by tumors in the vicinity is the usual cause for bitemporal hemianopia.

A pituitary tumor was diagnosed.

The optic chiasm is anterior and extremely close to the pituitary gland. Given that the patient is producing excessive amounts of prolactin (a pituitary tumor) and there is loss of the function of the chiasm, the most likely clinical explanation is an exophytic pituitary tumor compressing the optic chiasm.

An MRI scan was performed and demonstrated a large tumor (macroadenoma) of the pituitary gland.

Drug treatment was commenced and the tumor shrank. The endocrinological effects of the prolactin secretion also stopped.

Follow-up scans were performed.

Over the ensuing few years the tumor shrank. Unfortunately, the patient again began to secrete prolactin and surgery was performed (Fig. 8.283).

image

Fig. 8.283 Coronal MRI showing pituitary macroadenoma.

A transsphenoidal approach was undertaken.

With meticulous accuracy a series of very fine instruments was passed through the nasal cavity into the sphenoid bone. The bone was drilled and via this approach the pituitary gland was removed.

Extreme care must be taken because on both sides of the pituitary gland is the cavernous sinus through which the internal carotid artery, oculomotor nerve [III], trochlear nerve [IV], trigeminal nerve [V], and abducent nerve [VI] pass.

  Page 1080