CARDIAC TUMORS

Definition and Etiology

The heart may be the primary site of neoplastic disease, or it may be involved secondarily by tumors from adjacent structures such as the lungs, pleura, lymph nodes, or diaphragm. Cardiac neoplasia is uncommon in large animals. The most common primary cardiac tumor is lymphosarcoma. Mesotheliomas, fibrosarcoma, adenocarcinomas, and other carcinomas, especially squamous cell carcinomas in horses, may involve structures adjacent to the heart and may extend to the heart or heart base, producing signs of heart disease.193,194 An infiltrative cardiac lipoma has been reported in a horse, but no signs of cardiac disease were attributed to it.195 A metastatic anaplastic pulmonary carcinoma that did cause signs of CHF in a horse has been reported.194 Disseminated hemangiosarcoma with myocardial involvement was thought to be responsible for ventricular arrhythmias in one horse.196 Primary pericardial hemangiosarcomas also have been reported in a horse.197

Clinical Signs and Differential Diagnosis

The clinical signs of cardiac neoplasia are not specific and depend on the cardiac site involved and on the other sites of tumor manifestation. Nonspecific signs of neoplasia are common and include anorexia, depression, weight loss, and fever. These signs can be produced by any site of chronic disease; and in large animals pneumonia, peritonitis, enteritis, and liver and kidney disease are considered differential diagnoses, among others. If the tumor involves the pericardium, signs of pericarditis or pericardial effusion such as tachycardia, pain, jugular venous distention, peripheral edema, and weak arterial pulses may be seen. Myocardial involvement of the neoplasia, as is most common with lymphosarcoma, may result in cardiac signs that include tachycardia, cardiac arrhythmias, and cardiac murmur (atrioventricular valve insufficiency) or signs of CHF such as peripheral edema, ascites, and diarrhea. Clinical signs attributable to tumor involvement of the endocardium (e.g., obliteration of a cardiac chamber, valvular obstruction or damage, embolic showering) are rare in large animals.

Tumor involvement of other organ systems and tissues can be manifested by lymphadenopathy, peripheral edema, diarrhea, melena, rectal palpation of abdominal masses, dysphagia, tachypnea, or pleural effusion.

Clinical Pathology

Cardiac tumors present no consistent clinicopathologic feature. The complete blood count from horses or cattle with lymphosarcoma may reveal neoplastic lymphocytes. The absence of leukemic changes does not rule out lymphosarcoma. Cattle with lymphosarcoma may test positive for fecal occult blood. A serum chemistry profile may reveal nonspecific changes such as hypoalbuminemia, hyperglobulinemia, or elevated liver enzyme concentrations, depending on the other organ systems affected by the tumor or the animal’s debilitation. Diagnosis of the cardiac tumor is based on histopathology of tumor tissue. Tumor cells may be found in pericardial or pleural fluid or adjacent lymph nodes. Serologic evidence (agar gel immunodiffusion or radioimmunoassay) of BLV infection does not confirm a diagnosis of lymphosarcoma, but a negative test result virtually rules out the adult or enzootic form of lymphosarcoma in cattle. No evidence of BLV infection will be found in cattle or horses with the thymic form of lymphosarcoma.

If electrocardiographic evidence of cardiac tumors is present, it is nonspecific. Cardiac tumors may produce cardiac arrhythmias; reduce amplitude of the QRS complexes; or alter the normal appearance of the P, QRS, and T complexes. Two-dimensional echocardiography or an ultrasound examination of the lungs or pleura may show evidence of the cardiac tumor by providing direct evidence of abnormal echogenic masses involving the heart or surrounding tissue, abnormal fluid accumulation, or myocardial functional changes. The ultrasound findings can determine if there are any masses that can be safely biopsied to confirm the diagnosis.

Radiographs may provide evidence of cardiac tumors by showing abnormal soft-tissue densities in the thorax that obscure the cardiac silhouette or the ventral lung borders.

Pathophysiology

The most common cause of cardiac tumors in cattle, lymphosarcoma, has a predilection for the right atrial myocardium. Right ventricular myocardial involvement is not uncommon; left atrial or left ventricular involvement is rarer. Involvement of the right side of the heart may result in little or no evidence of heart disease. More commonly the myocardial involvement results in dilation of the chamber involved. As a consequence, the tricuspid valve ring may be dilated, and tricuspid valve insufficiency occurs. Either because of chamber enlargement or infiltration of the myocardial conduction system, cardiac arrhythmias may develop. Myocardial function may be impaired, so that signs of right-sided heart failure become apparent, including tachycardia, peripheral edema, jugular venous distention or pulsations, pericardial or pleural effusion, hepatic congestion, and ascites.

Epidemiology

Cardiac tumors are rare in large animals. The most common cause in cattle is lymphosarcoma. Although more than 50% of cattle in some parts of the United States are infected with BLV, less than 1% develop lymphosarcoma.198,199 In herds with more than 50% of cattle infected with BLV, the incidence of lymphosarcoma may be higher. Cardiac involvement is common in cattle with the adult or enzootic form of BLV, a disease that occurs most commonly in cattle over 4 years old. Thymic lymphosarcoma, which is not associated with BLV infection, also involves the heart but is much less common, occurring in cattle under 30 months of age.

Lymphosarcoma, mesothelioma, and squamous cell carcinoma probably are the most common causes of neoplastic involvement of the equine heart, but the prevalence is not documented.

Necropsy Findings

Necropsy findings depend on the type of cardiac tumor. Direct involvement of the myocardium with lymphosarcoma is associated with finding diffuse infiltration by a pale, tan, homogenous tissue that frequently causes enlargement of the cardiac chamber. Involvement of the right atrium (Fig. 30-24) is the most common manifestation of adult enzootic BLV, but any area of the myocardium and pericardium may be involved. Intracavitary extension of the tumor may be evident (see Fig. 30-24). Histologic evaluation of the tumor shows diffuse infiltrates of lymphoblastic cells that obliterate the normal architecture of the myocardium.

image

Fig. 30-24 Postmortem photograph of a cow with lymphosarcoma demonstrating right atrial myocardial infiltration by a tumor and extension of the tumor into the atrial lumen.

Other tumors such as fibrosarcoma, squamous cell carcinoma, pulmonary carcinoma, thymic lymphosarcoma, and mesothelioma (Fig. 30-25) may involve the heart by extension or metastasis from other sites in the thorax.

image

Fig. 30-25 Postmortem photograph of a horse with pericardial mesothelioma. Notice the huge heart base tumor mass, along with several smaller masses.

  Page 479 

Treatment and Prognosis

No definitive treatment exists for neoplasias involving the heart, and the prognosis for survival is poor. Death can be expected within 6 months with most cardiac tumors. Lymphosarcoma of the heart in cattle has a grave prognosis and is usually associated with death within a few months. Short-term improvement has been achieved in cattle with lymphosarcoma treated with a combination of corticosteroids, l-asparaginase, and cytotoxin. Thorascopic pericardiotomy has been used as a palliative treatment in a cow with pericardial lymphoma.200

Prevention and Control

The prevention and control of BLV can be accomplished by isolation of BLV-positive and BLV-negative animals; use of individual or sterilized supplies such as needles, rectal examination sleeves, tattooing, dehorning, and ear-tagging equipment on each animal; rigorous attention to a vector control program; and feeding colostrum from serologically negative cows only.199,201 Frequent testing (at least every 6 months) and isolation of serologically positive animals over 6 months of age should be performed.

Prevention and control of other cardiac tumors is not possible.

VASCULAR DISEASE: ANEURYSMS, THROMBOSIS, EMBOLISM

Definition and Etiology

Aneurysms, which are vascular dilations, develop from weakening of the medial elastic coat of blood vessels. The medial weakness may be primary or caused by a progression of an intimal atherosclerotic lesion that has enlarged from hemorrhage, calcification, ulceration, and thrombus formation. The specific causes of aneurysms in large animals are unknown, but trauma (internal or external), sepsis, parasite migration, degenerative vascular disease, atherosclerosis, or aging changes (dilation, elongation, and loss of elasticity of blood vessels) may play a role.202-204 Congenital aneurysms of the sinus of Valsalva have been reported in horses.205-209 Hypertension can accelerate the degeneration of the wall.

Thrombosis is the formation of a clot that obstructs blood flow in the circulatory system. The causes of thrombosis are numerous and include trauma, venous stasis, and catheterization for administering medication or fluids. Needle penetration, indwelling catheters, thrombogenic solutions, or bacterial contamination can cause thrombosis associated with catheterization. Secondary thrombosis can result from perivascular inflammation caused by cellulitis, lymphangitis, or other sources of bacterial invasion around the blood vessel. Mural thrombi, which occur in cardiac chambers dilated from valvular regurgitation or chronic atrial fibrillation in humans and which are associated with low-flow states, also may occur in large animals, although they have been rarely diagnosed antemortem. Thrombosis usually occurs when intimal disease is present, but it may occur in arteries with no intimal disease when a hypercoagulable state exists such as with dehydration, endotoxemia, anemia, hypotension, stress, or stasis.210,211 This type of thrombosis is frequently a complication of acute infectious disease (particularly acute toxic enteritis or colitis), neoplasia, or any chronic debilitating disease.

  Page 480 

An embolism is foreign material carried in the bloodstream. Emboli frequently arise from an arterial or venous thrombus, but unusual emboli include catheters and other foreign bodies inadvertently introduced into the circulatory system. In large animals, emboli occur most commonly in bacterial endocarditis, thrombophlebitis, omphalophlebitis, and parasitic arteritis. Emboli may also originate from detachment of mural thrombi in other forms of cardiac disease such as chronic atrial fibrillation and valvular heart disease. Aortoiliac thromboembolism has been reported as a complication of valvular endocarditis in a calf and mural endocarditis in a cow.212-213

Clinical Signs and Differential Diagnosis

Sites of thrombosis associated with thrombophlebitis are likely to have pain, swelling, redness, and palpable thickening of the involved vein. These signs frequently occur within 12 to 24 hours after catheter removal when the thrombus is associated with catheterization. If there is bilateral jugular venous thrombosis, sudden, marked swelling of the head may occur. If the thrombosis involves the terminal aorta and iliac arteries in horses, the signs are frequently a vague hindlimb lameness, exercise intolerance, or poor performance. These nonspecific signs make it necessary to rule out lameness from other causes, cardiac disease, or respiratory problems. Failure to ejaculate has been reported in breeding stallions with aortoiliac thrombosis.214 Aortoiliac thrombosis in horses also is characterized by heavy sweating after exercise, except over the hindlimbs, which are cool. With severe aortoiliac thrombosis the affected limb can be cool to the touch at rest or can be cold with no palpable femoral arterial pulse. Saphenous vein filling is slow or nonexistent in affected horses, and the metatarsal and other peripheral arterial pulses of the hindlimbs are weak. Rectal examination may be normal; or weak, absent, or asymmetric iliac pulses may be palpated. Fremitus of the iliac arteries or terminal part of the aorta may be palpated. The terminal part of the aorta may feel larger or firmer than normal, or an aneurysmal dilation may be detected. Similarly with verminous arteritis of the cranial mesenteric artery, a thickened, dilated cranial mesenteric artery or aorta may be palpated that may be firmer than normal and have a weak pulse, or fremitus may be palpated. In calves with aortic or aortoiliac thrombosis weakness, lameness, knuckling, paresis or paralysis of the hindlimbs, inability to rise, and cold hindlimbs lacking a femoral arterial pulse have been described.212,215-217

The signs attributable to embolism and thrombosis may be identical. Embolism usually is manifested by an acute episode of pain or fever, abnormal pulsation in a peripheral vessel, or a change in skin temperature. If there is peripheral vessel showering, superficial veins may be collapsed, and muscular weakness may be present. Embolic showering usually occurs in animals suspected of having or known to have thrombus formation.

Clinical signs associated with an aneurysm depend on the location of the aneurysm and may vary from being asymptomatic, to being a noticeable enlargement or mass associated with a blood vessel, to causing colic, syncope, seizures, or sudden death on rupture. In a peripheral artery a pulsatile, expansile mass may be visualized or palpated. Other considerations for this finding are a false aneurysm and an arteriovenous fistula. A false aneurysm is clinically indistinguishable from a true aneurysm but can be distinguished ultrasonographically. A false aneurysm is caused by a break in the continuity of all three coats of the arterial wall rather than in the tunica media alone. This results in extravascular accumulation of blood in adjacent tissues. Signs attributed to low blood flow such as lameness, colic, or edema may be present with arterial aneurysms. Aneurysms of the cranial mesenteric artery frequently are manifested as chronic episodes of colic. With involvement of major cardiac vessels there may be pain, an auscultable heart murmur, rapid tachycardia, signs of CHF, acute onset of pulmonary edema, or sudden death when the aneurysm ruptures. The latter signs make aneurysms difficult to distinguish from valvular heart disease or cardiomyopathy. One cause of an aorticocardiac fistula in horses is the result of rupture of an aneurysm of the sinus of Valsalva.205-209

Clinical Pathology

Aneurysms or pseudoaneurysms may be visualized radiographically as soft-tissue density masses continuous with a vessel wall (true aneurysm) or extending outward from a vessel wall (false aneurysm).203,204 However, the majority of the aneurysms involving the aorta and aortic root are not visible radiographically. Echocardiography is useful in the diagnosis of aneurysms involving the aortic root (Fig. 30-26).206-209 Angiography can be used in the diagnosis of peripheral vessel swelling or suspected thrombosis but is of little use in diagnosis of aneurysms of major vessels in adult animals. Ultrasonography may be used for the diagnosis of aneurysms or thrombosis of major arteries and peripheral vessels. In aortoiliac thrombosis of horses, ultrasound has been used to determine the origin of the thrombus and the extent of occlusion of the involved arteries (Fig. 30-27).218 Abdominal ultrasonography of the upper left flank dorsal to the left kidney has been used to diagnose aortoiliac thrombosis in calves.215 Diagnostic ultrasound has been used to detect thrombi in the caudal vena cava in cattle.219,220 Although the occluding thrombus is not imaged, the detection of a distended oval or round caudal vena cava, rather than the normal triangular vessel, in the eleventh and twelfth intercostal spaces is consistent with this diagnosis in cattle. Thrombi have been detected ultrasonographically in the hindlimb in both horses and cattle.221-224 Jugular vein thrombophlebitis has also been diagnosed ultrasonographically in both horses and cattle (Fig. 30-28).225,226 Similarly, diagnostic ultrasound has been used to image the cranial mesenteric artery, its branches, and the aorta in horses with verminous arteritis.227 Aneurysms appear as dilated vascular structures or vascular outpouchings continuous with the vessel wall,205 whereas a thrombus is apparent as a hypoechoic to echogenic mass within a blood vessel.226 Cavitation of an occlusive thrombus is suggestive of septic thrombophlebitis (see Fig. 30-28), whereas a nonseptic thrombus usually has a homogeneously hypoechoic to echoic appearance.226 Complete occlusion of the vessel can be determined ultrasonographically, or flow within an aneurysm or alongside a thrombus determined. Doppler ultrasound provides a more sophisticated method for determining blood flow and vessel patency. Computer-assisted radiographic techniques such as computed tomography and digital subtraction angiography may also be useful but have not yet been widely used in large animals. The latter methods may be limited in usefulness by the size of large animals and the cost of the equipment and procedures.

image

Fig. 30-26 Two-dimensional echocardiogram of a horse with a ruptured sinus of Valsalva aneurysm. Not the defect in the right side of the aorta at the sinus of Valsalva (vertical arrow) extending into the right atrium (horizontal arrow). The right atrium (RA), right ventricle (RV), left ventricle (LV), left atrium (LA), and aorta (AO) can be seen in this left ventricular outflow tract view.

image

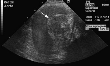
Fig. 30-27 Transverse sonogram of a large somewhat heterogeneous thrombus (arrow) in the terminal portion of the aorta extending into the right internal and external iliac arteries.

image

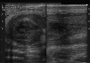
Fig. 30-28 Sonogram of the left jugular vein from a horse with septic thrombophlebitis. Note the cavitary appearance in the center of the thrombus consistent with infection.

  Page 481 

In the case of catheter-associated thrombosis, a positive catheter tip culture (>103 colony-forming units), along with a positive blood culture, provides evidence of septic thrombophlebitis.228 An aseptic ultrasound-guided aspiration of the cavitary lesion within a heterogeneous thrombus can be performed, and the aspirate submitted for culture and sensitivity testing.226 Septic thrombophlebitis from any cause or embolic showering of septic thrombi may be accompanied by neutrophilic leukocytosis and elevation in fibrinogen concentration.

Pathophysiology

Irritation of the intimal lining of a blood vessel, stasis of blood flow, or the existence of a hypercoagulable state triggers the clotting cascade and sets the stage for the development of thrombosis. Further injury causes hemorrhage, more thrombosis, ulceration, and calcification. These in turn can compromise the media of the vessel, predisposing to aneurysm formation, and impinge on the lumen of the vessel, causing obstruction to blood flow. Either aneurysm or thrombosis can occlude blood flow to vital structures or organs, resulting in ischemia.

Thrombosis in any sizable vein causes venous hypertension, passive congestion, and subsequent edema and pain of the structure. As the thrombus matures, it adheres to the wall more, but with clot retraction and lysis, recanalization may occur. However, parts of the thrombus may protrude into the moving bloodstream and serve as the source of embolic showering, even during thrombus organization. The most common site for an embolus to lodge has not been established in large animals; the femoral and iliac arteries are common locations in humans. Emboli usually lodge at bifurcations, where the caliber of the artery is suddenly reduced.

The most common outcome of aneurysm of a major vessel is thought to be rupture. Rupture of sinus of Valsalva aneurysms into the right atrium, right ventricle, and interventricular septum has been reported in the horse.206-208 Ventricular tachycardia often occurs with rupture of an aortic sinus of Valsalva aneurysm and dissection into the interventricular septum.207,208 Unruptured aneurysms may have other complications such as thrombosis or embolization of the thrombus. The frequency of rupture or embolic showering from thrombosis is unknown in animals.

Epidemiology

The significance of thromboembolism in large animals is poorly defined. Spontaneous thromboembolism is most commonly associated with parasitism in horses, and the aorta and cranial mesenteric arteries are the sites most frequently involved.229 Aortoiliac thrombosis is also a recognized syndrome diagnosed most frequently in heavily exercised horses. Although parasitism has been associated with aortoiliac thrombosis in horses, other causes of this syndrome are probable but have not been elucidated. Thrombotic disease can occur in any animal having repeated intravenous injections or being catheterized for administration of medication or fluids but is particularly common in horses with acute toxic enteritis or colitis.

Arteriosclerosis is recognized in horses and in cattle. In cattle the lesion is most frequently caused by excessive vitamin D3 supplementation or by ingestion of calcinogenic plants such as Solanum malacoxylon, Cestrum diurnum, or Trisetum flavescens.230 In horses the arteriosclerotic lesions were caused by lesions induced by Strongylus vulgaris.231

Aneurysms are uncommon in large animals but have been documented as the cause of sudden death in breeding stallions and racing thoroughbred and standardbred horses.208,231 Aneurysms of the sinus of Valsalva are probably a common cause of aortic rupture in older horses and are probably congenital in horses, as they are in humans.205-208 Aortic root rupture also occurs with the presence of a preexisting aneurysm and has been associated with medial necrosis of the aorta.

Necropsy Findings

Aneurysms are detected grossly as dilations of the involved blood vessel. Aneurysms of the sinus of Valsalva are characterized by an absent tunica media in the wall of the aorta, causing the aneurysmal dilation.205,208 Rupture of a sinus of Valsalva aneurysm may occur into the right atrium, right ventricle (Fig. 30-29), or interventricular septum, resulting in an aortic cardiac fistula and volume overload.205-209 Rupture through the tricuspid valve or chordae tendineae may also occur. Subendocardial dissection of blood down the interventricular septum may occur, with subsequent rupture into the left ventricle and of the mitral chordae tendineae also reported. Aneurysms of the major vessels leaving the heart may involve more than one vessel by dissection and hemorrhage. Aneurysms may contain thrombi or parasites, and there may be evidence of embolic showering of thrombi into peripheral vessels or other organ systems, especially the lungs. Histologically there may be necrosis and inflammation at the site of the aneurysm with foci of mineralization.

image

Fig. 30-29 Ruptured sinus of Valsalva aneurysm in a horse with acute onset of colic and right-sided congestive heart failure. The large aneurysm (arrow) ruptured through the tricuspid valve, creating an aortic-cardiac fistula.

  Page 482 

Thrombosis and arteriosclerotic lesions are recognized as rounded, well-demarcated fibrous plaques frequently located in the thoracic and cranial abdominal aorta (Fig. 30-30). The plaques may contain a central calcified core or parasitic larvae. Microscopically there is a thin layer of fibrin, platelets, and inflammatory cells in early lesions, whereas older lesions have a greater fibrous component. Thrombotic lesions may be associated with proliferation of the underlying aortic intima. In horses, parasitic larvae may be found.

image

Fig. 30-30 Ascending aorta from a horse that experienced an acute onset of uniform ventricular tachycardia after exercise and died within 3 hours of onset. Notice the irregular calcified surface of the aorta, consistent with atherosclerosis.

Treatment and Prognosis

Aneurysms of major vessels carry a guarded to grave prognosis because surgical correction is rarely attempted and spontaneous rupture is thought to be relatively common. Intact aneurysms of the sinus of Valsalva can be detected echocardiographically, and once an aneurysm has been detected, the horse should be removed from all athletic competition because of the risk of rupture.205

Treatment of thrombosis consists of removal of the catheter, if present, and resting the affected vessel. Warm compresses or hydrotherapy may be helpful in some animals. Support wraps may be useful to control swelling. The effectiveness of anticoagulant therapy (aspirin at 100 mg/kg once daily PO or heparin at 30 U/kg SC twice daily) or antiinflammatory drugs for dissolving a thrombus is questionable. Anticoagulant therapy may be useful in preventing additional thrombus formation or propagation of the existing thrombus. Ultrasonographic guidance can be used to obtain a sterile aspirate of the cavitated area of the thrombus for culture and sensitivity testing when septic thrombophlebitis is suspected.226 Broad-spectrum bactericidal antimicrobial therapy should be instituted for suspected septic thrombophlebitis or when a cavitated thrombus is detected ultrasonographically and modified, if necessary, based on the results of culture and sensitivity testing.226 Bacterial endocarditis, particularly involving the tricuspid valve, is a potential complication of septic jugular vein thrombophlebitis. With the exception of a jugular venous thrombus, surgical removal of an embolism or thrombus is rarely attempted in large animals. Surgical resection of a jugular vein with septic thrombophlebitis has been performed successfully when the surgeon could ligate the affected vein above and below the thrombus. Although the prognosis for complete resolution of the thrombophlebitis is guarded, especially if the thrombus is infected, many veins do recannulate with complete resolution of the thrombus and without vascular stricture. However, the time course is slow, and persistent local induration and obstruction to blood flow may persist.

Prevention and Control

Thrombosis and embolization from intravenous catheters can be prevented by aseptic insertion, stabilization of the catheter, use of topical antiseptics, application of a sterile dressing, daily inspection of the catheter and vein, and replacement of the catheter at another site (preferably in another vein) if phlebitis occurs. Attempts should be made to place long-term catheters in large peripheral or central veins, where contact between the endothelium and catheter is minimized and medications administered are diluted by the large volume of blood flow. Catheters left in place for prolonged periods should be of silicone rubber or polyurethane.228 Aspirin (100 mg/kg PO once daily, ruminants; 17 mg/kg every other day, horses) and low-dose heparin (30 U/kg SC twice daily, ruminants and horses) therapy should be considered in maintaining a catheter without thrombus formation in septic or endotoxic patients. Horses are much more prone to jugular thrombosis than are ruminants.

Parasite control is important in the control of thromboembolic disease and aneurysm in horses. Aneurysms of the sinus of Valsalva may be detected by routine echocardiographic screening of horses. In cattle, arteriosclerotic lesions are prevented by proper calcium and vitamin D supplementation.

  Page 483 

ATRIAL FIBRILLATION

Definition and Etiology

Atrial fibrillation is a cardiac arrhythmia characterized by a lack of coordinated atrial electrical activity. It is caused by an abnormality of impulse conduction that results from unidirectional conduction block and random reentrant activation of the atria. High resting vagal tone, commonly found in horses, shortens the action potential duration in atrial myocardial cells, making atrial fibrillation more likely to occur. Atrial fibrillation can occur in the presence of atrial enlargement from atrial myocardial disease, atrioventricular valvular regurgitation, ventricular failure (organic atrial fibrillation), myocarditis, endocarditis, autonomic nervous system imbalance, electrolyte or acid-base disturbances, anesthetic drugs or tranquilizer administration, or unknown causes (functional or benign atrial fibrillation).

Clinical Signs and Differential Diagnosis

Large animals with atrial fibrillation may be asymptomatic at rest, and atrial fibrillation may be detected as an incidental finding in an otherwise normal horse. Horses that perform in rigorous athletic events usually have a history of exercise intolerance or poor performance. Other complaints may be exercise-induced epistaxis, respiratory disease, weakness, syncope, myopathy, colic, or CHF. Cattle with atrial fibrillation usually have gastrointestinal disease.232,233 Atrial premature depolarizations have also been reported in cattle with gastrointestinal disease and may be a prelude to the development of atrial fibrillation.233 Foot rot, pneumonia, and endocarditis also have been associated with atrial fibrillation in cattle. Anorexia and decreased milk production are common in cattle with atrial fibrillation. Atrial fibrillation and the clinical signs associated with it in horses and in cattle can be paroxysmal. Paroxysmal atrial fibrillation usually lasts no more than 24 to 48 hours before spontaneous conversion to sinus rhythm occurs.234 Spontaneous conversion usually occurs only in horses with small atria or in cattle with correction of the underlying problem. Transient potassium depletion associated with the administration of furosemide is a common cause of paroxysmal atrial fibrillation in horses. The administration of bicarbonate “milkshakes” has also been implicated in horses with paroxysmal atrial fibrillation.

Animals with atrial fibrillation have an irregularly irregular cardiac rhythm. In horses with atrial fibrillation, there is a high degree of underlying periodicity.235 The heart sounds vary in intensity, and no fourth heart sound is audible. The heart rate may be slow, normal, or elevated. In cattle with severe abdominal disease, the heart rate usually reflects the severity of the underlying disease. In horses the resting heart rate is usually normal to slightly elevated and is rarely above 50 beats/min, unless there is underlying myocardial or valvular disease. During exercise, horses with atrial fibrillation develop abnormally high heart rates that are usually 40 to 60 beats/min higher than expected for each level of exercise, far exceeding the peak heart rate of 240 beats/min at maximal exercise.236,237 The arterial pulse varies in intensity. A pulse deficit occurs when two beats occur in rapid succession and is infrequent unless the heart rate is elevated. Cardiac murmurs of grade 3/6 or louder are present in less than 50% of the horses and in even fewer cattle with atrial fibrillation.238-240 Signs of CHF (peripheral edema, jugular venous distention) may be present in some animals, but they are not caused by the arrhythmia. In these cases the atrial fibrillation occurs secondary to the atrial enlargement that occurs with the underlying valvular or myocardial disease.

The lack of an auscultable fourth heart sound in the presence of an irregular cardiac rhythm with no underlying regularity distinguishes atrial fibrillation from other cardiac arrhythmias. Sinus arrhythmia, which is also an irregular rhythm, has an audible fourth heart sound. Ventricular and atrial ectopic beats usually occur with a relatively regular underlying rhythm. A complicated ventricular rhythm with more than one focus of activation may have characteristics similar to those of atrial fibrillation and must be distinguished from it by an ECG. Atrial tachycardia with varying degrees of atrioventricular block has similar characteristics, and the underlying fourth heart sounds may be missed if the animal is auscultated in a noisy environment.

Clinical Pathology

In cattle with atrial fibrillation, acid-base and electrolyte disturbances occur frequently and are most likely attributable to the underlying primary disease. Most cattle with atrial fibrillation have gastrointestinal disease, and the most consistent acid-base disturbance is metabolic alkalosis.240 Hypocalcemia, hypokalemia, and hypochloremia may also be seen in cattle with atrial fibrillation. Experimental induction of metabolic alkalosis with hypokalemia in cattle has been associated with the development of atrial fibrillation.241 Most horses with atrial fibrillation have normal electrolytes, although the fractional excretion of potassium may be low, particularly in horses that sweat excessively or are routinely receiving furosemide for exercise-induced pulmonary hemorrhage.

The diagnosis of atrial fibrillation is made by ECG. The arrhythmia is characterized by an irregular R-R interval. The ventricular response rate is low, normal, or high, depending on the presence of heart disease or the severity of the primary disease. The ventricular complexes have normal polarity and amplitude but vary slightly in appearance from beat to beat. Similarly, the QT interval and the appearance of the T wave vary. P waves are absent, replaced by fine undulations of the baseline called fibrillation or f waves. In some leads the f waves are barely visible, particularly in cattle (Fig. 30-31).

image

Fig. 30-31 ECGs showing atrial fibrillation in a horse (A) and cow (B). The irregular QT intervals and absence of P waves are apparent. Arrows point to fibrillation waves, which are apparent only in A.

The echocardiogram is used to determine whether cardiac disease is present. The most significant change associated with the arrhythmia is a mild reduction in shortening fraction (24% to 32%) that occurs, in part, secondary to the loss of the atrial contribution to ventricular filling.242 Absence of the second (atrial) opening of the mitral valve, corresponding to atrial contractions, is also detected with atrial fibrillation.243 Conversion to sinus rhythm usually results in these echocardiographic findings returning to normal within several days, if there is no underlying myocardial disease.242,244 Similar findings were reported in horses with mitral and aortic regurgitation after conversion to normal sinus rhythm.244 In many large animals with atrial fibrillation, no evidence of heart disease can be detected echocardiographically; these animals are often considered to have “lone” atrial fibrillation. Abnormal echocardiographic dimensions, if detected, indicated that underlying heart disease is present. Measurement of the maximal left atrial dimension in the two-chambered view of the left atrium and left ventricle from the left cardiac window should be performed to determine whether there is left atrial enlargement. This measurement is a more sensitive indicator of left atrial enlargement than the left atrium—to—aortic root ratio. In normal horses the left atrial diameter in this view should be less than or equal to 13.5 cm.

Cardiac catheterization reveals normal cardiac output and blood pressure measurements in most conscious horses with atrial fibrillation, but conversion to normal sinus rhythm may induce a reduction in mean right atrial, pulmonary arterial, and aortic pressures.245 Similar studies have not been reported in cattle.

  Page 484 

Pathophysiology

Experimentally rapid stimulation of the atrium can initiate atrial fibrillation, which can be sustained if the animal has a large heart and sufficient vagal tone.233,246-249 In horses and cattle the normal atria may be large enough to support atrial fibrillation once it is established. In addition, both species have a high vagal tone at rest. This combination of factors may be responsible for the large number of benign or functional cases of atrial fibrillation in large animals. The ventricular response during atrial fibrillation results from rate-dependant concealment of atrial fibrillation wavelets bombarding the AV node.235 Cardiac diseases such as endocarditis, atrioventricular valvular regurgitation, and CHF that result in atrial enlargement and rapid stimulation of the atria provide a setting in which atrial fibrillation can develop and can be sustained naturally. Microscopic cardiac pathology might also create the proper setting for the development of conduction block and reentry.

During atrial fibrillation there is no coordinated contraction of the atria; thus ventricular filling is passive. Although this might be expected to reduce cardiac output, there is no evidence that this occurs in resting horses without concurrent mitral or aortic regurgitation.245 In horses with aortic regurgitation (n = 2) or aortic and mitral regurgitation (n = 3), a decreased cardiac output was detected compared with horses without valvular insufficiencies before conversion.244 The cardiac output increased significantly in warmblood horses with valvular regurgitation after conversion. During exercise, however, the heart rate of horses with atrial fibrillation exceeds normal limits, often by 40 to 60 beats/min for each level of exercise. This results in a decreased cardiac output and the resultant exercise intolerance that occurs in horses performing high-intensity athletic work.236 Blood flow to other organs and viscera, although not studied, may be altered in large animals with atrial fibrillation, resulting in reduced gastrointestinal motility, colic, reduced muscle blood flow, and poor milk production.

Atrial pressures are elevated in horses with atrial fibrillation.245,250 Sustained high pressure is likely to produce dilation of the atria. With progressive dilation, secondary atrioventricular valve regurgitation may occur. During atrial fibrillation blood flow to the atrial myocardium is reduced, and progressive fibrosis can also be a consequence of chronic atrial fibrillation. Sustained atrial fibrillation may result in progressive cardiac disease, although it is usually well tolerated in the horse.

Epidemiology

Standardbred, thoroughbred, and draft horses have been reported to have the highest incidence of atrial fibrillation.237-239 Racehorses have been diagnosed most frequently, but atrial fibrillation has been found in all types of horses.238,239,244 Horses of all ages are susceptible to atrial fibrillation; however, atrial fibrillation occurs infrequently in ponies, foals, weanlings, and yearlings. Older horses, ponies, foals, weanlings, and yearlings with atrial fibrillation more frequently have underlying heart disease associated with the arrhythmia.

In cattle, atrial fibrillation is diagnosed more frequently in dairy cattle than in beef cattle, but there is no apparent breed predilection.232,240 It is commonly associated with gastrointestinal disease or abdominal pain in cattle.232,233,240 Foot rot and pneumonia can also be associated with the development of atrial fibrillation in cattle.

Necropsy Findings

Many cattle and horses have “lone” atrial fibrillation without apparent underlying heart disease, so the necropsy findings reflect the primary disease. Microscopic cardiac pathology has been found in horses with atrial fibrillation that consists of focal atrial myocardial fibrosis, microvascular alterations, and cardiac nerve abnormalities.251-253 Multifocal or large areas of myocardial fibrosis were detected in dairy cows with idiopathic atrial fibrillation.254 Whether these changes predisposed to the development of atrial fibrillation, were a consequence of atrial fibrillation, or are aging changes has not been established. A minority of horses and cattle have endocarditis, CHF, or valvular lesions; and the necropsy findings reflect these conditions. In horses with atrial fibrillation, mitral valve disease was the most common valvular lesion.239 Pharmacologic and transvenous electrical cardioversion are both options for conversion of atrial fibrillation to normal sinus rhythm in horses.239,255-262

Treatment and Prognosis

Quinidine is the drug of choice to convert atrial fibrillation to normal sinus rhythm in horses and cattle. The drug is a negative inotrope at high dosages, causes systemic hypotension, increases the ventricular response rate, and can produce undesirable side effects and toxicity; thus it must be used with caution. In animals with CHF, quinidine therapy has considerable risk.239 Because most large animals have little or no underlying cardiac pathology, treatment with quinidine is successful in restoring normal sinus rhythm. Treated animals should be monitored frequently by physical examination, with careful auscultation and ECG recording. Continuous ECG recording using radiotelemetry should be performed throughout treatment, if possible.258 Animals should have normal acid-base balance and electrolyte concentrations before treatment. They should be adequately hydrated, allowed to drink and eat, or given additional oral fluids (horses) or intravenous fluids (cattle) during therapy. The intravenous administration of quinidine gluconate is successful in converting horses with recent-onset atrial fibrillation to sinus rhythm.259 Quinidine gluconate is most successful when administered to horses with atrial fibrillation of 2 weeks or less. However, quinidine gluconate had been successful in converting horses with atrial fibrillation of 2 to 4 weeks duration. Horses with longer durations of atrial fibrillation should be treated PO with quinidine sulfate. Quinidine is poorly absorbed after oral administration to cattle and so must be given by intravenous infusion to obtain therapeutic concentrations. Cattle should be given intravenous fluids during quinidine infusion. Quinidine therapy should always be discontinued when conversion to normal sinus rhythm occurs.

  Page 485 

Quinidine sulfate is the preparation most economically used in large animals, although quinidine gluconate has resulted in successful conversion of a cow with atrial fibrillation.263 Before therapy, a baseline ECG is recorded. Horses are given a dose of 22 mg/kg (1 g/100 lb) of body weight in a suspension of water via nasogastric tube. At 2 hours (time by which blood concentration of quinidine should have peaked), horses are evaluated closely for idiosyncratic or toxic reactions such as nasal edema, cutaneous reactions (urticaria or wheals), laminitis, colic, diarrhea, or ataxia. If no abnormalities are noticed, an ECG is recorded. If conversion to normal sinus rhythm has not occurred and the QRS duration is not greater than 25% of the pretreatment QRS duration, an additional dose is administered. Two hours after each dose administered via nasogastric intubation, an ECG is recorded. If there has been no conversion to normal sinus rhythm, another dose is administered, up to a maximum of four doses. A plasma quinidine concentration should be obtained 1 hour after the fourth dose administered every 2 hours to be sure that the horse will be able to tolerate another dose without experiencing toxicity. If the QRS complex is prolonged by more than 25% of the pretreatment value or if a fast (more than 80 to 100 beats/min) supraventricular arrhythmia, ventricular rhythm, colic, diarrhea, ataxia, nasal edema or laminitis develops, therapy should be discontinued. Although laminitis is a frequently reported complication of quinidine sulfate therapy, the actual incidence of laminitis associated with the administration of quinidine is rare.258 Nasal mucosal edema, neurologic signs, and prolongation of the QRS duration to greater than 25% of the pretreatment value are all signs of quinidine toxicity that, if detected, should prompt discontinuation of the drug. Colic, associated with high dosages of quinidine, should also prompt discontinuation of treatment (at least for this attempt at conversion). If conversion has not occurred after a total of four to six doses (one every 2 hours) or after a cumulative dose of 88 to 132 mg/kg of quinidine sulfate has been administered, treatment intervals should be prolonged to every 6 hours (half-life of quinidine).258 The every-6-hour treatment can be continued until the horse converts or shows toxic or adverse side effects or the owner elects to discontinue treatment. The advantage of this treatment regimen is that steady-state plasma and myocardial concentrations of the drug are achieved. There is less quinidine toxicity, a lower total dose of quinidine sulfate is used, and horses that did not convert after the standard every-2-hour administration may convert with this treatment regimen. Digoxin at 0.011 mg/kg PO twice daily can then be added to the therapeutic regimen if conversion has not occurred in 24 to 48 hours and appears to be helpful in some horses. The concurrent administration of digoxin and quinidine will result in increased plasma digoxin concentration. Therefore, digoxin concentrations should be monitored beginning the second day of combined quinidine and digoxin therapy to prevent digoxin toxicity. If this is not possible, the horse should not receive more than 2 days of combined digoxin and quinidine therapy. Transvenous electrical cardioversion has been very successful in converting horses to normal sinus rhythm and is particularly useful in horses in which adverse or toxic reactions to quinidine prompted discontinuation of antiarrhythmic therapy with the result that conversion to normal sinus rhythm was not achieved.

Quinidine sulfate at a dose of 48 mg/kg is suspended in 4 L of saline or lactated Ringer’s solution when cattle are treated for atrial fibrillation. This dose is administered at a rate of 1 L/hr. Intravenous fluids are administered simultaneously in the opposite jugular vein. Cattle should be monitored continuously during the infusion. Cattle frequently become depressed and develop diarrhea during the infusion of quinidine. These signs are side effects, and therapy can be continued. The infusion rate should be slowed if the ventricular response rate exceeds 100 beats/min. If the QRS complex is visibly prolonged or a fast (more than 120 beats/min) supraventricular arrhythmia or ventricular rhythm develops, therapy is temporarily discontinued. Just before conversion, some cattle have blepharospasm and are ataxic. The infusion should be discontinued as soon as conversion occurs. Therapy should be discontinued after the 4 L infusion, even if conversion to normal sinus rhythm has not occurred.

During quinidine therapy the ECG shows predictable changes. The fibrillation waves become coarser and less frequent. The R-R interval becomes more regular as the heart rate increases. Before conversion there may be a rapid regular atrial rate with more than one P wave for each QRS complex (atrial tachycardia with atrioventricular block). At the time of conversion, a single P wave is present for each QRS complex. Frequently a large Ta wave is present and the ST segment is elevated. The ECG should be normal within 12 hours of conversion. A continuous 24-hour ECG is recommended in horses with atrial fibrillation after conversion to determine if frequent atrial premature depolarizations are present. If the continuous ECG is normal during the 24 hours after conversion and myocardial function has returned to normal, the horse can be returned to training. If frequent supraventricular premature extrasystoles are detected, the horse should be rested and treatment with corticosteroids may be considered for a possible myocarditis. The horse should not be returned to work until the atrial premature depolarizations have resolved. Intravenous amiodarone and flecainide have been used to convert horses with atrial fibrillation.261,262 However, ventricular arrhythmias were common in horses given flecainide, limiting its usefulness as a treatment for atrial fibrillation in horses.262

Digoxin is used before quinidine therapy in horses and cattle with fast heart rates. The ventricular response rate should be less than 60 beats/min in horses and 100 beats/min in cattle before quinidine therapy. One or two doses of digoxin are administered before initiation of quinidine therapy in horses with only mild tachycardia. In horses with very labile heart rates or problems with supraventricular tachycardia during a previous conversion, digoxin is administered for up to 5 to 7 days before initiation of quinidine therapy. Digoxin should be administered at a dose of 11 μg/kg twice daily PO to horses. Cattle are given digoxin IV by infusion of 0.86 μg/kg/hr or 11 μg/kg three times daily. The side effects of quinidine treatment such as rapid supraventricular tachycardia may be decreased in animals pretreated with digoxin. Digoxin is also indicated as a pretreatment in horses with atrial fibrillation and very low FS (<24%), indicative of underlying myocardial disease. Transvenous electrical cardioversion should be considered in horses with high heart rate responses to stimulation or during prior quinidine therapy.

  Page 486 

Cattle with primary gastrointestinal disease that is treated successfully frequently convert to normal sinus rhythm spontaneously. Spontaneous conversion usually occurs within 5 days of resolution of the primary problem; therefore treatment is delayed for this period.240 Cattle that do not convert spontaneously in 5 days, have chronic gastrointestinal problems, or have atrial fibrillation with adverse hemodynamic effects (poor peripheral perfusion, weak arterial pulses, pulse deficit) are selected for quinidine therapy. The prognosis for cattle with atrial fibrillation is good if the primary problem has been resolved and conversion to normal sinus rhythm occurs. Prognosis for cattle with chronic gastrointestinal disease is guarded, but many show improved appetite and milk production when atrial fibrillation is resolved. Unless heart disease is present, few cattle experience a recurrence of atrial fibrillation. A small percentage of cattle fail to respond to quinidine therapy, and their prognosis is guarded to poor because milk production and appetite are intermittently poor and heart disease can be progressive.

Horses with paroxysmal atrial fibrillation have a good prognosis for return to performance, and few have a recurrence of the arrhythmia. Predisposing factors such as transient potassium depletion should be removed, if possible, by discontinuing the furosemide administration or adding oral KCl to the diet. Oral bicarbonate milkshakes should be avoided. Horses with “lone” sustained atrial fibrillation have a good prognosis for conversion to normal sinus rhythm and a return to previous performance level.238,239 Horses with sustained atrial fibrillation associated with mild to moderate valvular regurgitation and atrial enlargement often have a recurrence of atrial fibrillation but can usually be successfully converted when indicated. Horses with heart rates greater than 60 beats/min or with signs of CHF have a guarded to grave prognosis, and conversion to sinus rhythm is rarely warranted. Treatment of the underlying cardiac disease, if possible, is warranted, and the horse should be treated for CHF with digoxin, diuretics, and vasodilators as needed. Recurrence of atrial fibrillation and side effects of quinidine therapy are more frequent in horses that have had atrial fibrillation for longer than 4 months before treatment.239 The recurrence rate for horses with atrial fibrillation of greater than 4 months’ duration increases to 60% from 25%. This may be the result of microscopic cardiac lesions that developed with chronic atrial fibrillation.

VENTRICULAR TACHYCARDIA

Definition and Etiology

Ventricular tachycardia is a cardiac arrhythmia characterized by a rapid rhythm originating in the ventricle. This rhythm originates below the bundle of His in the specialized conduction system, the surrounding ventricular myocardium, or both.264 Ventricular tachycardia may be caused by disorders in impulse formation or impulse conduction or a combination of these two mechanisms.264 Ventricular reentry is an important mechanism in the genesis of sustained ventricular tachycardia, whereas abnormal automaticity is probably responsible for idioventricular rhythms and parasystole. Changes in autonomic tone may also be important in the genesis of ventricular tachycardia. Early afterdepolarizations are thought to be the mechanism responsible for ventricular tachyarrhythmias associated with sympathetic stimulation. Late coupled ventricular complexes or a very premature ventricular depolarization are usually required to initiate ventricular tachycardia. Ventricular tachycardia can occur when there is myocarditis, myocardial necrosis, fibrosis or neoplasia, bacterial endocarditis (especially involving the aortic or mitral valve), autonomic nervous system imbalance, hypoxia, ischemia, electrolyte or metabolic disturbances, anesthesia, drug administration, sepsis, endotoxemia, toxic myocardial injury, or aortic root rupture; or it may be associated with other, unknown causes.265-269

Clinical Signs and Differential Diagnosis

The clinical signs detected depend on the ventricular rate, the type of ventricular tachycardia (uniform or multiform), the duration of ventricular tachycardia, and the severity of the underlying cardiac disease.266 Large animals with ventricular tachycardia may be asymptomatic at rest, if the rhythm is relatively slow and uniform, or may have severe CHF with rapid uniform or multiform ventricular tachycardia.266 Exercise intolerance is common and may be so severe that the animal has frequent syncope. Other complaints include depression, weakness, colic, respiratory distress, coughing, ventral edema, and pulmonary edema. Acute viral or bacterial respiratory disease with high fever may precede the development of ventricular tachycardia in horses or may occur concurrently with it.270 Gastrointestinal disease and primary myocardial disease are common in horses with ventricular tachycardia.265 In cattle, ventricular tachycardia occurs most frequently secondary to sepsis and toxemia. Anorexia and decreased milk production are common in affected cows.

Animals with sustained ventricular tachycardia have a rapid heart rate with a regular (uniform) or irregular (multiform) rhythm.271-274 Heart rates as high as 300 beats/min have been detected in horses with ventricular tachycardia. Heart sounds vary in intensity, with some very loud booming sounds (“bruit de cannon”). Arterial pulse may be variable or uniform, with normal (slower rate) or weak (rapid rate) intensity pulses. Pulse deficits frequently occur, particularly with rapid or multiform ventricular tachycardia. Jugular pulses are frequently detected in large animals with ventricular tachycardia. The large pulse waves seen in the jugular vein are cannon “a” waves that occur when the right atrium and ventricle contract simultaneously. Cardiac murmurs are not commonly detected. Signs of CHF are usually present when ventricular tachycardia is rapid and sustained but are uncommon in animals with slower or paroxysmal ventricular tachycardia.271-273 Signs of right-sided CHF (ventral edema, venous distention) usually predominate with sustained uniform ventricular tachycardia and increase in severity the longer the duration and more rapid the rate of the arrhythmia. Signs of left-sided CHF (coughing, expectoration of foamy fluid, respiratory distress) usually predominate with multiform ventricular tachycardia.270

The presence of jugular pulses and “bruit de cannon” in an animal with a rapid regular rhythm helps distinguish ventricular tachycardia from sinus or supraventricular tachycardia. Multiform ventricular tachycardia can be difficult to distinguish from atrial fibrillation, because both arrhythmias have an irregular rhythm with heart sounds that vary in intensity. Jugular pulses may also be detected in large animals with atrial fibrillation but are usually less prominent than in animals with ventricular tachycardia. Although large animals with multiform ventricular arrhythmias usually have more severe clinical signs, an ECG is necessary to distinguish these arrhythmias.

  Page 487 

Clinical Pathology

Electrolyte, metabolic, or toxic causes of ventricular tachycardia may be present in large animals with primary gastrointestinal disease. Hypomagnesemia and hypokalemia has also been associated with the development of ventricular tachycardia.274 Serum creatinine and BUN may be elevated in horses and cattle in CHF associated with prerenal azotemia. Serum osmolality, BUN, and creatinine increase and urine osmolality decreases acutely in horses with experimental monensin toxicosis.270,275 Initial decreases in serum potassium and serum calcium have also been reported in these animals. Marked elevations of cTnI have been seen in horses with ventricular tachycardia.276,277 cTnI is a more sensitive indicator of myocardial injury in human beings and appears to have a similar sensitivity in the horse. Cardiac isoenzymes of CK and LDH are often elevated if there is recent myocardial injury associated with the ventricular tachycardia. Elevation of the myocardial fraction of CK (CK-MB) in excess of 5% of the total CK is compatible with myocardial injury in horses.270,275 A neutrophilic leukocytosis and hyperfibrinogenemia may be detected in animals with an infectious myocarditis or bacterial endocarditis or may be elevated associated with the primary underlying disease. In most large animals with ventricular tachycardia, however, the hematology is normal.

The diagnosis of ventricular tachycardia is made from the ECG. A series of four or more ventricular premature depolarizations is diagnostic of ventricular tachycardia.265,278 The electrocardiographic appearance of the ventricular premature depolarizations may be widened and bizarre, or the QRS duration and appearance of the QRS and T may be near normal, especially in horses (Fig. 30-32).265,266 Although the duration of QRS complexes that are ventricular in origin is usually within the normal range reported for horses, it is usually longer than the QRS duration of the horse’s normal sinus beats.265 The major direction of the QRS complex is usually oriented opposite to that of the T wave. The R-R intervals may be regular or irregular. The morphology of the QRS complexes may be similar (uniform) or may vary widely (multiform). Atrioventricular dissociation is usually present, with an atrial rate slower than the ventricular rate. Fusion beats and capture beats may be detected (Fig. 30-33). Ventricular tachycardia can be sustained or paroxysmal.

image

Fig. 30-32 Lead II ECG obtained from a horse with sustained uniform ventricular tachycardia and CHF before (A) and after (B) conversion to sinus rhythm. Note the abnormal QRS and T configuration and slower atrial rate during the sustained ventricular tachycardia.

image

Fig. 30-33 Lead II ECG obtained from a horse with multiform ventricular tachycardia and acute onset of pulmonary edema. Notice the multiple different QRS and T configurations and the elevated ventricular rate.

The echocardiogram is used to determine whether cardiac disease is present. The echocardiogram is usually abnormal in large animals with primary myocardial disease and normal in large animals with secondary ventricular tachycardia, except for the changes associated with the ventricular tachycardia itself. Abnormal echocardiographic findings that may be detected in large animals with primary myocardial disease include myocardial dyskinesis, hypokinesis, and akinesis; abnormal myocardial echogenicity; decreased FS, ET, and EF; loss of the normal systolic and diastolic undulations of the aortic root; and detection of spontaneous contrast, small aortic root, and large pulmonary artery (see Fig. 30-15). Occasionally the echocardiographic abnormalities created by ventricular tachycardia may be difficult to distinguish from those of primary myocardial disease. Rupture of the aortic root at the right sinus of Valsalva may be detected in horses with acute onset of uniform ventricular tachycardia and colic.

Cardiac catheterization may reveal severe hypotension and low cardiac output. In healthy ponies with pacing-induced ventricular tachycardia, stroke volume decreased significantly when the ventricle was paced at 150, 200, and 250 beats/min.279 Mean left atrial pressure, mean pulmonary arterial pressure, and right ventricular systolic pressure increased significantly when the ventricle was paced at 220 and 250 beats/min. Aortic pressure and cardiac output decreased in these ponies at 250 beats/min, but the decrease from resting values was not statistically significant. Myocardial perfusion in the papillary muscles and subendocardium decreased significantly with pacing-induced ventricular tachycardia at a rate of 250 beats/min. Decreases in cardiac output, arterial blood pressure, and myocardial perfusion are even more marked in animals with underlying myocardial disease or multiform ventricular tachycardia, as are the changes in left atrial, pulmonary arterial, and right ventricular pressure.

Pathophysiology

Ventricular tachycardia is probably initiated spontaneously by late coupled ventricular complexes, whereas one very early ventricular premature depolarization can often initiate ventricular tachycardia electrically.264 Sympathetic stimulation may also provoke ventricular tachycardia by increasing the amplitude of the early afterdepolarizations, culminating in a run of ventricular tachycardia.264 This may be the mechanism of some of the exercise-induced ventricular tachycardia in horses. Reentry in the ventricle is an important cause of sustained ventricular tachycardia, particularly in human patients with dilated cardiomyopathy and ischemic heart disease. The area of reentry is reportedly small, less than 1.4 cm2.264 Reentry is also thought to be an important mechanism in horses with sustained ventricular tachycardia.273,280,281 Delayed afterdepolarizations may trigger ventricular tachycardia in humans and dogs and may be the mechanism for digitalis-induced ventricular tachycardia.264 Abnormal action potentials have also been demonstrated in ventricular myocardium resected from human beings with recurrent ventricular tachycardia.264 Depressed automaticity and afterdepolarizations have been associated with acute myocardial ischemia, whereas automaticity and afterdepolarizations are enhanced in Purkinje fibers surviving myocardial infarction. Idioventricular rhythms and parasystole may be caused by abnormal automaticity.

  Page 488 

Cardiac diseases such as endocarditis may result in septic myocardial emboli and myocardial ischemia. Aortic root rupture and the dissection of blood into the interventricular septum disrupts conduction and usually results in a uniform ventricular tachycardia. Myocarditis, myocardial necrosis, and fibrosis also may result in abnormalities of impulse formation and conduction, leading to ventricular tachycardia.282 The excitement of the high-performance situation and the decreased myocardial perfusion that may occur at peak exercise may make exercise-induced ventricular tachycardia more common in racehorses and other types of high-performance horses.

Epidemiology

Ventricular tachycardia has been reported in all large animals, although horses may have the highest incidence. Ventricular tachycardia leading to ventricular fibrillation is thought to be one of the leading causes of sudden death in horses when other causes of death cannot be found on postmortem examination.281 Male horses are at increased risk for aortic root and sinus of Valsalva rupture and are usually at least 10 years old at the time of rupture. Ventricular tachycardia is also more likely in large animals of any age with primary gastrointestinal disease.

Necropsy Findings

If the ventricular tachycardia is not associated with primary myocardial disease, the necropsy findings reflect the underlying disease. Gross and microscopic cardiac pathology has been found in horses with ventricular tachycardia, although in some horses no cardiac pathology is found. Areas of myocardial necrosis, inflammatory cell infiltrate, fibrosis, infarction, microvascular alterations, and cardiac nerve abnormalities have been reported in horses with ventricular tachycardia.273,280-282 CHF is most likely in large animal patients with multiform ventricular tachycardia and heart rates in excess of 180 beats/min. A minority of large animal patients have bacterial endocarditis with septic emboli disseminated through the coronary arteries associated with ventricular tachycardia. Aortic root rupture and rupture of a sinus of Valsalva aneurysm with dissection of blood into the interventricular septum are infrequently detected in horses.

Treatment and Prognosis

The treatment and prognosis for ventricular tachycardia depends on the suspected cause of the arrhythmia, the severity of the animal’s clinical signs, and the electrocardiographic abnormalities detected.265,266 Relatively slow uniform ventricular tachycardia often resolves or improves significantly with the correction of the underlying electrolyte or metabolic imbalances, without requiring antiarrhythmic therapy. These animals usually have an excellent prognosis for conversion with correction of the underlying problem. Similarly, in large animals with sepsis or toxemia, hemodynamically and electrically stable ventricular tachycardia often resolves with treatment of the underlying disease. Uniform, hemodynamically stable ventricular tachycardia in animals with myocarditis may resolve with rest and/or corticosteroid therapy. A minimum of 4 to 8 weeks of rest is indicated in these patients before returning to work, once the ventricular tachycardia has resolved.

Treatment with antiarrhythmics is indicated in any animal with hemodynamically unstable or life-threatening ventricular tachycardia. Treatment with antiarrhythmics is indicated if clinical signs of CHF or cardiovascular collapse are present or if the rate of sustained ventricular tachycardia is extremely high. In horses with sustained uniform ventricular tachycardia, a heart rate in excess of 120 beats/min usually warrants antiarrhythmic therapy, whereas in cattle, antiarrhythmic therapy may not be indicated until the heart rate exceeds 140 beats/min or greater. Horses with rapid sustained uniform ventricular tachycardia (120 beats/min or faster) need antiarrhythmic therapy because signs of CHF will develop after several days or weeks with this arrhythmia, if not already present. The rapidity of onset of CHF is related to the heart rate and type of primary myocardial disease, if present. These horses usually have a good prognosis for conversion and return to their previous performance level, with appropriate antiarrhythmic therapy (many times three or more antiarrhythmic drugs must be tried before conversion occurs) and rest before the horse is returned to work.

The electrocardiographic findings associated with life-threatening ventricular tachycardia include a multifocal origin for the ventricular premature depolarizations, torsades de pointes (wide ventricular tachycardia), and the presence of an R wave superimposed on the preceding T wave (“R on T”). Large animal patients with clinical signs of CHF and hemodynamic collapse with rapid (heart rate <120 beats/min) multiform ventricular tachycardia (±R on T) should be treated as a cardiovascular emergency, because sudden death from ventricular fibrillation is likely without antiarrhythmic therapy. Large animals with multiform ventricular tachycardia (±R on T) must be given a guarded to grave prognosis for survival, because most have severe underlying myocardial disease. Often conversion to sinus rhythm may not be successful before the animal develops ventricular fibrillation and dies. If successfully converted to sinus rhythm, many of these animals die or are euthanized because of the severity of the underlying cardiac disease.

  Page 489 

Several antiarrhythmic choices are available to the large animal practitioner for the correction of life-threatening ventricular tachycardia (see Table 30-3). Lidocaine hydrochloride is the most readily available drug for most large animal practitioners, is rapidly acting, is administered IV, and has a short duration of action and minimal hemodynamic effects. Lidocaine hydrochloride does, however, have central nervous system side effects in horses (hyperexcitability and seizures) and must be used at a lower dosage than in cattle. Quinidine gluconate (or quinidine sulfate in cattle) is very effective in large animals but is less rapidly acting, has negative inotropic effects at large doses or if primary myocardial disease is present, causes hypotension, and can produce undesirable adverse or toxic reactions. Magnesium sulfate can cause hypotension but has no other recognized adverse cardiovascular effects. Magnesium sulfate is less rapidly acting than lidocaine but may be effective when other antiarrhythmics fail, in both normomagnesemic and hypomagnesemic patients. Intravenous procainamide, intravenous and oral propafenone and intravenous flecainide have also been used successfully in horses with ventricular tachycardia. Intravenous propafenone is indicated for refractory ventricular tachycardia and has been used successfully in several horses that did not respond to lidocaine, quinidine, procainamide, or magnesium sulfate. However, it is not available at this time in the United States. Other antiarrhythmics such as propranolol have been used with less success but have converted large animals with sustained ventricular tachycardia.

References

1 Hilwig RW. Cardiac arrhythmias in the horse. J Am Vet Med Assoc. 1977;170:153.

2 Holmes JR. Equine electrocardiography: some practical hints on technique. Equine Vet J. 1984;16:477.

3 Reef VB. Cardiovascular. Orsini JA, Divers TJ, editors. Manual of equine emergencies. Philadelphia: Saunders; 1998;vol 1:94.

4 Bussadori C, et al. Applicazioni cliniche dell’electrocardiographia Holter in cardiologia equina. Ippoloogia. 1997;8:5.

5 Bonagura JD, Herring DS, Welker F. Echocardiography. Vet Clin North Am Equine Pract. 1985;1:311.

6 Reef VB. Echocardiographic examination in the horse: the basics. Compend Cont Educ (Pract Vet). 1990;12:1312.

7 Reef VB. Advances in echocardiography. Vet Clin North Am Equine Pract. 1991;7:435.

8 Long KJ. Two-dimensional and M-mode echocardiography. Equine Vet Educ. 1992;4:303.

9 Braun U, Schweizer T, Pusterla N. Echocardiography of the normal bovine heart: technique and ultrasonographic appearance. Vet Rec. 2001;148:47.

10 Reef VB. Cardiovascular ultrasonography. In: Reef VB, editor. Equine diagnostic ultrasound. Philadelphia: Saunders; 1998:215.

11 Long KJ, Bonagura JD, Darke PGG. Standardized imaging technique for guided M-mode and Doppler echocardiography in the horse. Equine Vet J. 1992;24:226.

12 Fregin GF. The cardiovascular system. Mansmann RA, McAllister ES, editors. Equine medicine and surgery, ed 3, vol 1. Santa Barbara, Calif: American Veterinary Publications, 1982;645.

13 Doyle JT, Patterson JLJr, Warren JV, Detweiler DK. Observations on the circulation of domestic cattle. Circ Res. 1960;8:4.

14 Reeves JT, Grover RF, Will DH, Alexander AF. Hemodynamics in normal cattle. Circ Res. 1962;10:166.

15 Sodhi SPS. Cardiovascular hemodynamic changes in the crossbred calves during the early postnatal life. Indian J Anim Sci. 1986;56:1030.

16 Lombard CW, Scarratt WK, Buergelt CD. Ventricular septal defects in the horse. J Am Vet Med Assoc. 1983;183:562.

17 McGuirk SM, Welker FH, Muir WW, Hull BL. Thermodilution curves for diagnosis of ventricular septal defect in cattle. J Am Vet Med Assoc. 1984;184:1141.

18 Franch RH, King SB, Douglas JS. Techniques of cardiac catheterization including coronary arteriography. Hurst JW, editor. The heart, ed 6, vol 2. New York: McGraw-Hill, 1986;1768.

19 Gore JM, Sloan K. Use of continuous monitoring of mixed venous saturation in the coronary care unit. Chest. 1984;86:757.

20 Linton RA, Young LE, Marlin DJ, et al. Cardiac output measured by lithium dilution, thermodilution, and transesophageal Doppler echocardiography in anesthetized horses. Am J Vet Res. 2000;61:731.

21 Corley KTT, Donaldson LL, Furr MO. Comparison of lithium dilution and thermodilution cardiac output measurements in anaesthetized neonatal foals. Equine Vet J. 2002;34:598.

22 Giguère S, Bucki E, Adin DB, et al. Cardiac output measurement by partial carbon dioxide rebreathing, 2-dimensional echocardiography, and lithium-dilution method in anesthetized neonatal foals. J Vet Intern Med. 2005;19:737.

23 Blissitt KJ, Young LE, Jones RS, et al. Measurement of cardiac output in standing horses by Doppler echocardiography and thermodilution. Equine Vet J. 1997;29:18.

24 Corley KT, Donaldson LL, Durando MM, Birks EK. Cardiac output technologies with special references to the horse. J Vet Intern Med. 2003;17:262.

25 Muir WW, Skarda RT, Milne DW. Estimation of cardiac output in the horse by thermodilution techniques. Am J Vet Res. 1976;37:697.

26 Miller RJ, Holmes JR. Computer processing of transaortic valve blood pressures in the horse using the first derivative of the left ventricular pressure trace. Equine Vet J. 1984;16:210.

27 Koblik PD, Hornof WJ. Diagnostic radiology and nuclear cardiology. Vet Clin North Am Equine Pract. 1985;1:289.

28 Huston R, Saperstein G, Leipold HW. Congenital defects in foals. J Equine Med Surg. 1977;1:146.

29 Lombard CW, Scarratt WK, Buergelt CD. Ventricular septal defects in the horse. J Am Vet Med Assoc. 1983;183:562.

30 Pipers FS, Reef V, Wilson J. Echocardiographic detection of ventricular septal defects in large animals. J Am Vet Med Assoc. 1985;187:810.

31 Reef VB. Echocardiographic findings in horses with congenital cardiac disease. Compend Cont Educ (Pract Vet). 1991;13:109.

32 Reef VB. Evaluation of ventricular septal defects in horses using two-dimensional echocardiography. Equine Vet J Suppl. 1995;19:86.

33 Gopal T, Leipold HW, Dennis SM. Congenital cardiac defects in calves. Am J Vet Res. 1986;47:1120.

34 Machida N, Yasuda J, Too K. Auscultatory and phonocardiographic studies on the cardiovascular system of the newborn thoroughbred foal. Jpn J Vet Res. 1987;35:235.

35 Prescott JRR, Slater JD, Jackson PGG. Patent ductus arteriosus in an 11-month-old heifer. Vet Rec. 1997;140:430.

36 Prickett ME, Reeves JT, Zent WW. Tetralogy of Fallot in a thoroughbred foal. J Am Vet Med Assoc. 1973;162:552.

37 Lacuata AQ, Yamada H, Hirose T, Yanagiya G. Tetralogy of Fallot in a heifer. J Am Vet Med Assoc. 1981;178:830.

38 Bayly WM, Reed SM, Leathers CW, et al. Multiple congenital heart anomalies in five Arabian foals. J Am Vet Med Assoc. 1982;181:684.

39 Schwarzwald C, Gerspach C, Glaus T, et al. Persistent truncus arteriosus and patent foramen ovale in a Simmentaler x Braunvieh calf. Vet Rec. 2003;152:329.

40 Seco Diaz O, Desrochers A, Hoffmann V, Reef VB. Total anomalous pulmonary venous connection in a foal. Vet Radiol Ultrasound. 2005;46:83.

41 Machida N, Yamaga Y, Yasuda J, Too K. Eisenmenger’s complex in a Holstein heifer. Nippon Juigaku Zasshi. 1986;48:1031.

42 Button C, Gross DR, Allert JA, Kitzman JV. Tricuspid atresia in a foal. J Am Vet Med Assoc. 1978;172:825.

43 Reef VB, Mann PC, Orsini PG. Echocardiographic detection of tricuspid atresia in two foals. J Am Vet Med Assoc. 1987;191:225.

44 Wilson RB, Haffner JC. Right atrioventricular atresia and ventricular septal defect in a foal. Cornell Vet. 1987;77:187.

45 Schrober KE, Kaufhold J, Kipar A. Mitral valve dysplasia in a foal. Equine Vet J. 2000;32:170.

46 Critchley KL. An interventricular septal defect, pulmonary stenosis and bicuspid pulmonary valve in a Welsh pony foal. Equine Vet J. 1976;8:176.

47 Hinchcliff KW, Adams WM. Critical pulmonary stenosis in a newborn foal. Equine Vet J. 1991;23:318.

48 Hiraga T, Abe M. Eight calves of cervical ectopia cordis and their sternums. Nippon Juigaku Zasshi. 1986;48:1199.

49 Scott EA, Chaffee A, Eyster GE, Kneller SK. Interruption of aortic arch in two foals. J Am Vet Med Assoc. 1978;172:347.

50 Ecke P, Malik R, Kannegieter NJ. Common atrioventricular canal in a foal. N Z Vet J. 1991;39:97.

51 Kraus MS, Pariaut R, Alcarazet A, et al. Complete atrioventricular canal defect in a foal: clinical and pathological features. J Vet Cardiol. 2005;7:59.

52 Musselman EE, LoGuidice RJ. Hypoplastic left ventricular syndrome in a foal. J Am Vet Med Assoc. 1984;185:542.

53 Rooney JR, Franks WC. Congenital cardiac anomalies in horses. Pathol Vet. 1964;1:454.

54 Blood DC, Radostits OM, Henderson JA. Veterinary medicine, ed 6. London: Baillière Tindall, 1983.

55 van Mierop LHS, Kutsche LM. Embryology of the heart. Hurst JW, editor. The heart, ed 6, vol 1. New York: McGraw-Hill, 1986;3.

56 Glazier DB, Farrelly BT, O’Connor J. Ventricular septal defect in a 7-year-old gelding. J Am Vet Med Assoc. 1975;167:49.

57 McGuirk SM, Welker FH, Muir WW, Hull BL. Thermodilution curves for diagnosis of ventricular septal defect in cattle. J Am Vet Med Assoc. 1984;184:1141.

58 Froelich W, Wlaschitz S, Riedelberger K, et al. Tricuspid valve endocarditis in a horse with a ventricular septal defect. Equine Vet Educ. 2006;18:172.

59 Reef VB. Cardiovascular disease in the equine neonate. Vet Clin North Am Equine Pract. 1985;1:117.

60 Reef VB. Cardiovascular ultrasonography. In: Reef VB, editor. Equine diagnostic ultrasound. Philadelphia: Saunders; 1998:215.

61 Stewart JH, Rose RJ, Barko AM. Echocardiography in foals from birth to three months old. Equine Vet J. 1984;16:332.

62 Lane VM, Anderson BC, Bulgin MS. Polycythemia and cyanosis associated with hypoplastic main pulmonary segment in the bovine heart. J Am Vet Med Assoc. 1983;183:460.

63 Reef VB. Pericardial and myocardial diseases. In: Koblick C, Ames T, Geor R, et al, editors. The horse: diseases and clinical management. St Louis: Churchill Livingstone; 1993:185.

64 Sleeper MM, Durando MM, Miller M, et al. Aortic root disease in four horses. J Am Vet Med Assoc. 2001;219:491.

65 Sandusky GE, Smith CW. Anomalous left coronary artery in calf. J Am Vet Med Assoc. 1978;173:475.

66 Karlstam E, Ho SY, Shokrai A, et al. Anomalous origin of the left coronary artery in a horse. Equine Vet J. 1999;31:350.

67 Else RW, Holmes JR. Cardiac pathology in the horse. I. Gross pathology. Equine Vet J. 1972;4:1.

68 Dewar HA, Jones MR, Griffin SG, et al. A study of experimental endocarditis in pigs. J Comp Pathol. 1987;97:567.

69 Roby KA, Reef VB, Shaw DP, Sweeney CR. Rupture of an aortic sinus aneurysm in a 15-year-old broodmare. J Am Vet Med Assoc. 1986;189:305.

70 Lester GD, Lombard CW, Ackerman N. Echocardiographic detection of a dissecting aortic root aneurysm in a thoroughbred stallion. Vet Radiol Ultrasound. 1992;33:202.

71 Marr CM, Reef VB, Brazil TJ, et al. Aorto-cardiac fistulas in seven horses. Vet Radiol Ultrasound. 1998;39:22.

72 Brown CM. Acquired cardiovascular disease. Vet Clin North Am Equine Pract. 1985;1:371.

73 Power HT, Rebhun WC. Bacterial endocarditis in adult dairy cattle. J Am Vet Med Assoc. 1983;182:8068.

74 Buergelt CD, Cooley AJ, Hines SA, Pipers FS. Endocarditis in six horses. Vet Pathol. 1985;22:333.

75 Maxson AD, Reef VB. Bacterial endocarditis in horses: ten cases (1984–1995). Equine Vet J. 1997;29:394.

76 Ramzan PHL. Vegetative bacterial endocarditis associated with septic tenosynovitis of the digital sheath in a thoroughbred racehorse. Equine Vet Educ. 2000;12:120.

77 Sponseller BT, Ware WA. Successful treatment of staphylococcal endocarditis in a horse. Equine Vet Educ. 2001;13:387.

78 Ewart S, Brown C, Derksen F, Kufuor-Mensa E. Serratia marcescens endocarditis in a horse. J Am Vet Med Assoc. 1992;200:961.

79 Verdegaal EJMM, de Heer N, Meertens NM, et al. A right-sided bacterial endocarditis of dental origin in a horse. Equine Vet Educ. 2006;18:191.

80 Blissitt KJ, Bonagura JD. Colour flow Doppler echocardiography in horses with cardiac murmurs. Equine Vet J Suppl. 1995;19:82.

81 Holmes JR, Miller RJ. Three cases of ruptured mitral valve chordae in the horse. Equine Vet J. 1984;16:125.

82 Brown CM, Bell TG, Paradis MR, Breeze RG. Rupture of mitral chordae tendineae in two horses. J Am Vet Med Assoc. 1983;182:281.

83 Reef VB. Mitral valve insufficiency associated with ruptured chordae tendineae in three foals. J Am Vet Med Assoc. 1987;191:329.

84 Yamaga Y, Too K. Diagnostic ultrasound imaging of vegetative valvular endocarditis in cattle. Jpn J Vet Res. 1987;35:49.

85 Froehlich W, Wlaschitz S, Riedelberger K, Reef VB. Tricuspid valve endocarditis in a horse with a ventricular septal defect. Equine Vet Educ. 2006;18:172.

86 Rantanen NW, Byars TD, Hauser ML, Gaines RD. Spontaneous contrast and mass lesions in the hearts of race horses: ultrasound diagnosis—preliminary data. Equine Vet Sci. 1985;4:220.

87 Kriz NG, Hodgson DR, Rose RJ. Prevalence and clinical importance of heart murmurs in racehorses. J Am Vet Med Assoc. 2000;216:1441.

88 Bonagura JD. Equine heart disease: an overview. Vet Clin North Am Equine Pract. 1985;1:267.

89 Bonagura JD, Pipers FS. Echocardiographic features of aortic valve endocarditis in a dog, a cow, and a horse. J Am Vet Med Assoc. 1983;182:595.

90 Ware WA, Bonagura JD, Rings DM. Echocardiographic diagnosis of pulmonic valve vegetative endocarditis in a cow. J Am Vet Med Assoc. 1986;188:185.

91 Reef VB, Spencer P. Echocardiographic evaluation of equine aortic insufficiency. Am J Vet Res. 1987;48:904.

92 Bonagura JD. Clinical evaluation and management of heart disease. Equine Vet Educ. 1990;2:31.

93 Young LE, Wood JLN. Effect of age and training on murmurs of atrioventricular valvular regurgitation in young thoroughbreds. Equine Vet J. 2000;32:195.

94 Hagio M, Otsuka H. Pulsed Doppler echocardiography in normal dogs and calves and three cases of valvular regurgitation. Jpn J Vet Sci. 1987;49:1113.

95 Long KJ. Doppler echocardiography: clinical applications. Equine Vet Educ. 1993;5:161.

96 Reef VB. The use of diagnostic ultrasound in the horse. Ultrasound Q. 1991;9:1.

97 Reef VB. Advances in echocardiography. Vet Clin North Am Equine Pract. 1991;7:435.

98 Reef VB. Heart murmurs in horses: determining their significance with echocardiography. Equine Vet J Suppl. 1995;19:71.

99 Reef VB, Bain FT, Spencer PA. Severe mitral insufficiency in horses: clinical, echocardiographic, and pathologic findings. Equine Vet J. 1998;30:18.

100 Bonagura JD. Echocardiography. Vet Clin North Am Equine Pract. 1985;1:311.

101 Yamaga Y, Too K. Echocardiographic detection of bovine cardiac diseases. Jpn J Vet Res. 1986;34:251.

102 Patteson MW, Cripps PJ. A survey of cardiac auscultatory findings in horses. Equine Vet J. 1993;25:409.

103 Nilsfors L, Lombard CW. Diagnosis of pulmonic valve endocarditis in a horse. Equine Vet J. 1991;23:479.

104 Reimer JM, Reef VB. Echocardiographic detection of pulmonic valve rupture in a horse with right-sided failure. J Am Vet Med Assoc. 1991;198:880.

105 Hines MT, Heidel PR, Barbee DD. Bacterial endocarditis with thrombus formation and abscessation in a horse. Vet Radiol Ultrasound. 1993;34:47.

106 Koblik PD, Hornof WJ. Diagnostic radiology and nuclear cardiology. Vet Clin North Am Equine Pract. 1985;1:289.

107 Gehlen H, Bubeck K, Stadler P. Pulmonary artery wedge pressure measurement in healthy Warmblood horses and in Warmblood horses with mitral valve insufficiencies of various degrees during standardized treadmill exercise. Res Vet Sci. 2004;77:257.

108 Davis JL, Gardner SY, Schwabenton B, Breuhaus BA. Congestive heart failure in horses: 14 cases (1984–2001). J Am Vet Med Assoc. 2002;220:1512.

109 Evans ET. Bacterial endocarditis in cattle. Vet Rec. 1957;69:1190.

110 Pipers FS, Hamlin RL, Reef V. Echocardiographic detection of cardiovascular lesions in the horse. J Equine Med Surg. 1979;3:68.

111 Dedrick P, Reef VB, Sweeney RW, Morris DD. Treatment of bacterial endocarditis in a horse. J Am Vet Med Assoc. 1988;193:339.

112 Johansson AM, Gardner SY, Levine JF, et al. Pharmacokinetics and pharmacodynamics of furosemide after oral administration to horses. J Vet Intern Med. 2004;18:739.

113 Sweeney RW, Reef VB, Reimer JM. Pharmacokinetics of digoxin administered to horses with congestive heart failure. Am J Vet Res. 1993;54:1108.

114 Sage AM. Cardiac disease in the geriatric horse. Vet Clin Equine. 2002;18:575.

115 Muir WW, McGuirk SM. Drugs to treat cardiovascular disease in horses. Vet Clin North Am Equine Pract. 1985;1:335.

116 Koritz GD, Anderson KL, Neff-Davis CA, et al. Pharmacokinetics of digoxin in cattle. J Vet Pharmacol Ther. 1983;6:141.

117 Gehlen H, Vieht JC, Stadler P. Effects of the ACE inhibitor quinapril on echocardiographic variables in horses with mitral valve insufficiency. J Vet Med. 2003;50:460.

118 Guglielmini C, Giuliani A, Testoni S, et al. Use of an ACE inhibitor (ramipril) in a horse with congestive heart failure. Equine Vet Educ. 2002;14:297.

119 James LF, Hartley WJ, Nielsen D, et al. Locoweed Oxytropis sericea poisoning and congestive heart failure in cattle. J Am Vet Med Assoc. 1986;189:1549.

120 James LF, Hartley WF, Van Kampen KR, Nielsen D. Relationship between ingestion of the locoweed Oxytropis sericea and congestive right-sided heart failure in cattle. Am J Vet Res. 1983;44:254.

121 Angel KL, Tyler JW. Pulmonary hypertension and cardiac insufficiency in three cows with primary pulmonary disease. J Vet Intern Med. 1992;6:214.

122 Welker FH. Investigation of the second heart sound in the horse [master’s thesis]. Columbus, Ohio: Ohio State University College of Veterinary Medicine, 1984.

123 Brown CM. Acquired heart disease. Vet Clin North Am Equine Pract. 1985;1:371.

124 Fellers G, Ardington P, Cimprich R. Clinico-pathologic conference. J Am Vet Med Assoc. 1975;166:700.

125 Bertoli L, Rizzato G, Sala G, et al. Echocardiographic and hemodynamic assessment of right heart impairment in chronic obstructive lung disease. Respiration. 1983;44:282.

126 Johansson AM, Gardner SY, Atkins CE, et al. Cardiovascular effects of acute pulmonary obstruction in horses with recurrent airway obstruction. J Vet Intern Med. 2007;21:302.

127 Sage AM, Valberg S, Hayden DW, et al. Echocardiography in a horse with cor pulmonale from recurrent airway obstruction. J Vet Intern Med. 2006;20:694.

128 Knight AP. Clinical forum: brisket disease. Agri-Practice. 1986;7:21.

129 Cranley JJ, McCullagh KG. Ischaemic myocardial fibrosis and aortic strongylosis in the horse. Equine Vet J. 1981;13:35.

130 Dubey JP, Sharma SP, Lopes CW, et al. Caprine toxoplasmosis: abortion, clinical signs, and distribution of Toxoplasma in tissues of goats fed Toxoplasma gondii oocysts. Am J Vet Res. 1980;41:1072.

131 Dubey JP. A review of Sarcocystis of domestic animals and other coccidia of cats and dogs. J Am Vet Med Assoc. 1976;169:1061.

132 Madigan JE, Teitler J. Borrelia burgdorferi borreliosis. J Am Vet Med Assoc. 1988;192:892.

133 Dudan F, Rossi GL, Luginbihl H. Ètude cardiovasculaire chez le cheval: relation entre les alterations vasculaires et tissulaires du myocarde. III, Suite et fin. Schweiz Arch Tierheilkd. 1985;127:369.

134 Lacuata AQ, Yamada H, Hirose T. Atrial fibrillation in a cow with postpartum cardiomyopathy: case report. J Vet Med. 1980;19:97.

135 Yamaga Y, Too K. Echocardiographic detection of bovine cardiac diseases. Jpn J Vet Res. 1986;34:251.

136 Baird JD. Dilated cardiomyopathy in Holstein cattle: clinical and genetic aspects. Proceedings of the sixth annual Veterinary Medicine Forum, Washington, DC. 1988:175.

137 Nart P, Thompson H, Barrett DC, et al. Clinical and pathological features of dilated cardiomyopathy in Holstein-Friesian cattle. Vet Rec. 2004;155:355.

138 Watanabe S, Akita T, Itakura C, Goto M. Evidence for a new lethal gene causing cardiomyopathy in Japanese black calves. J Hered. 1979;70:255.

139 Martig J, Tschudi P, Perritaz C, et al. Gehnufte fnlle von herzinsuffizienz beim rind vorlnufige mitteilung. Schweiz Arch Tierheilkd. 1982;124:69.

140 Morrow CJ, McOrist S. Cardiomyopathy associated with a curly hair coat in poll Hereford calves in Australia. Vet Rec. 1985;117:312.

141 Muylle E, Vandenhende C, Oyaert W, et al. Delayed monensin sodium toxicity in horses. Equine Vet J. 1981;13:107.

142 Doonan GR, Brown CM, Mullaney TP, et al. Monensin poisoning in horses: an international incident. Can Vet J. 1989;30:165.

143 Boemo CM, Tucker JC, Huntington PJ, et al. Monensin toxicosis in horses: an outbreak resulting in the deaths of ten horses. Aust Equine Vet. 1991;9:103.

144 Reef VB. A monensin outbreak in horses in the eastern United States: pathogenesis, clinical signs and epidemiology. Proceedings of the Eighth Annual Veterinary Medicine Forum. 1990:619.

145 Rollinson J, Taylor FGR, Chesney J. Salinomycin poisoning in horses. Vet Rec. 1987;121:126.

146 Newsholme SJ, Howerth EW, Bastianello SS, et al. Fatal cardiomyopathy in feedlot sheep attributed to monensin toxicosis. J South Afr Vet Assoc. 1983;54:29.

147 Geor RJ, Robinson WF. Suspected monensin toxicosis in feedlot cattle. Aust Vet J. 1985;62:130.

148 van Amstel SR, Guthrie AJ. Salinomycin poisoning in horses: case report. Proc Am Assoc Equine Pract. 1985;31:373.

149 Whitlock RH, White NA, Rowland GN, Plue R. Monensin toxicosis in horses: clinical manifestations. Proc Am Assoc Equine Pract. 1978;24:473.

150 Peek SF, Marques FD, Morgan J, et al. Atypical acute monensin toxicosis and delayed cardiomyopathy in Belgian draft horses. J Vet Intern Med. 2004;18:761-764.

151 Guarda F, Giraldo A, Rattazzi C. Could the fibro-adipose cardiomyopathy of horse be a model for the arrhythmogenic cardiomyopathy of man?. Eur J Vet Pathol. 1999;5:57.

152 Schwarzwald CC, Hardy J, Buccellato M. High cardiac troponin I serum concentration in a horse with multiform ventricular tachycardia and myocardial necrosis. J Vet Intern Med. 2003;17:364.

153 Cornelisse CJ, Schott HC2nd, Olivier NB, et al. Concentration of cardiac troponin I in a horse with a ruptured aortic regurgitation jet lesion and ventricular tachycardia. J Am Vet Med Assoc. 2000;217:231.

154 Iknheimo MJ, Takkunen JT. Echocardiography in acute infectious myocarditis. Chest. 1986;89:100.

155 Koblik PD, et al. Left ventricular ejection fraction in the normal horse determined by first-pass nuclear angiocardiography. Vet Radiol. 1985;26:53.

156 Miller MS, O’Grady MR, Smith FWK. Current concepts in vasodilator therapy for advanced or refractory congestive heart failure. Can Vet J. 1988;29:354.

157 Koritz GD, Anderson KL, Neff-Davis CA, et al. Pharmacokinetics of digoxin in cattle. J Vet Pharmacol Ther. 1983;6:141.

158 Button C, Gross DR, Johnston JT, Yakatan GJ. Digoxin pharmacokinetics, bioavailability, efficacy, and dosage regimens in the horse. Am J Vet Res. 1980;41:1388.

159 Pedersoli WM, Ravis WR, Belmonte AA, McCullers RM. Pharmacokinetics of a single, orally administered dose of digoxin in horses. Am J Vet Res. 1981;42:1412.

160 Sweeney RW, Reef VB, Reimer JM. Pharmacokinetics of digoxin administered to horses with congestive heart failure. Am J Vet Res. 1993;54:1108.

161 Davis LE, Neff-Davis CA, Wilcke JR. Monitoring drug concentrations in animal patients. J Am Vet Med Assoc. 1980;176:1156.

162 Johansson AM, Gardner SY, Levine JF, et al. Pharmacokinetics and pharmacodynamics of furosemide after oral administration to horses. J Vet Intern Med. 2004;18:739.

163 Johansson AM, Gardner SY, Levine JF, et al. Furosemide continuous rate infusion in the horse: evaluation of enhanced efficacy and reduced side effects. J Vet Intern Med. 2003;17:887.

164 Delbeke FT, Desmet M, Stevens M. Pharmacokinetics and diuretic effect of bumetanide after intravenous and intramuscular administration to horses. J Vet Pharmacol Ther. 1986;9:310.

165 Gardner SY, Atkins CE, Sams RA, et al. Characterization of the pharmacokinetic and pharmacodynamic properties of the angiotensin-converting enzyme inhibitor, enalapril, in horses. J Vet Intern Med. 2004;18:231.

166 Guglielmini C, Giuliani A, Testoni S, et al. Use of an ACE inhibitor (ramipril) in a horse with congestive heart failure. Equine Vet Educ. 2002;14:297.

167 Gehlen H, Vieht JC, Stadler P. Effects of the ACE inhibitor quinapril on echocardiographic variables in horses with mitral valve insufficiency. J Vet Med. 2003;50:460.

168 Morgan S, Stair EL, Martin T, et al. Clinical, clinicopathologic, pathologic, and toxicologic alterations associated with gossypol toxicosis in feeder lambs. Am J Vet Res. 1988;49:493.

169 Hudson LM, Kerr LA, Maslin WR. Gossypol toxicosis in a herd of beef calves. J Am Vet Med Assoc. 1988;192:1303.

170 Wagner PC, Miller RA, Merritt F, et al. Constrictive pericarditis in the horse. J Equine Med Surg. 1977;1:242.

171 Dill SG, Simoncini DC, Bolton GR, et al. Fibrinous pericarditis in the horse. J Am Vet Med Assoc. 1982;180:266.

172 Freestone JF, Thomas WP, Carlson GP, Brumbaugh GW. Idiopathic effusive pericarditis with tamponade in the horse. Equine Vet J. 1987;19:38.

173 Robinson JA, Marr CM, Reef VB, Sweeney RW. Idiopathic, aseptic, effusive, fibrinous, nonconstrictive pericarditis with tamponade in a standardbred filly. J Am Vet Med Assoc. 1992;201:1593.

174 Worth LT, Reef VB. Pericarditis in horses: 18 cases (1986–1995). J Am Vet Med Assoc. 1998;212:248.

175 Jesty SA, Sweeney RW, Dolente BA, Reef VB. Idiopathic pericarditis and cardiac tamponade in two cows. J Am Vet Med Assoc. 2005;226:1555.

176 Firshman AM, Sage AM, Valberg SJ, et al. Idiopathic hemorrhagic pericardial effusion in cows. J Vet Intern Med. 2006;20:1499.

177 Smith BP. Pleuritis and pleural effusion in the horse: a study of 37 cases. J Am Vet Med Assoc. 1977;170:208.

178 Bernard W, Reef VB, Clark ES, et al. Pericarditis in horses: six cases (1982–1986). J Am Vet Med Assoc. 1990;196:468.

179 Hardy J, Robertson JT, Reed SM. Constrictive pericarditis in a mare: attempted treatment by partial pericardiectomy. Equine Vet J. 1992;24:151.

180 Perkins SL, Magdesian KG, Thomas WP, Spier SJ. Pericarditis and pleuritis caused by Corynebacterium pseudotuberculosis in a horse. J Am Vet Med Assoc. 2004;224:1133.

181 Morley PS, Chirino-Trejo M, Petrie L, et al. Pericarditis and pleuritis caused by Mycoplasma felis in a horse. Equine Vet J. 1996;28:237.

182 Reef VB, Gentile DG, Freeman DE. Successful treatment of pericarditis in the horse. J Am Vet Med Assoc. 1984;185:94.

183 Foss RR. Effusive-constrictive pericarditis: diagnosis and pathology. Vet Med. 1985;80:89.

184 Wingfield WE, Rawlings CR, Steinkamp SJ. Physiologic changes in awake goats after experimentally induced pericardial effusion. Am J Vet Res. 1980;41:1130.

185 Reef VB. Cardiovascular ultrasonography. In: Reef VB, editor. Equine diagnostic ultrasound. Philadelphia: Saunders; 1998:215.

186 Salcedo E. Atlas of echocardiography, ed 2, Philadelphia: Saunders; 1985:294.

187 Bonagura JD, Pipers FS. Echocardiographic features of pericardial effusion in dogs. J Am Vet Med Assoc. 1981;179:49.

188 Bolin DC, Donahue JM, Vickers ML, et al. Microbiologic and pathologic findings in an epidemic of equine pericarditis. J Vet Diagn Invest. 2005;17:38.

189 Seahorn JL, Slovis NM, Reimer JM, et al. Case-control study of factors associated with fibrinous pericarditis among horses in central Kentucky during spring 2001. J Am Vet Med Assoc. 2003;223:832.

190 Vörös K, Felkai C, Szilágyi Z, Papp A. Two-dimensional echocardiographically guided pericardiocentesis in a horse with traumatic pericarditis. J Am Vet Med Assoc. 1991;198:1953.

191 Blood DC, Radostits OM, Henderson JA. Veterinary medicine: a textbook of the diseases of cattle, sheep, pigs, goats, and horses, ed 6, Philadelphia: Baillière Tindall; 1983:237.

192 Krishnamurthy D, Nigam JM, Peshin PK, et al. Thoracopericardiotomy and pericardiectomy in cattle. J Am Vet Med Assoc. 1979;175:714.

193 Wallace SS, Jayo MJ, Maddux JM, et al. Mesothelioma in a horse. Compend Cont Educ (Pract Vet). 1987;9:210.

194 Dill SG, Moise NS, Meschter CL. Cardiac failure in a stallion secondary to metastasis of an anaplastic pulmonary carcinoma. Equine Vet J. 1986;18:414.

195 Baker D, Kreefer J. Infiltrative lipoma in the heart of a horse. Cornell Vet. 1987;77:258.

196 Delesalle C, van Loon G, Nollet H, Deprez P. Tumor-induced ventricular arrhythmia in a horse. J Vet Intern Med. 2002;16:612.

197 Birks EK, Hultgren BD. Pericardial hemangiosarcoma in a horse. J Comp Pathol. 1988;99:105.

198 House C, House JA, Glover FL. Antibodies to the glycoprotein antigen of bovine leukemia virus in the cattle population of five states. Cornell Vet. 1977;67:510.

199 Miller JM. A review of bovine leukosis. Proc Am Assoc Bovine Pract. 1983;15:30.

200 Van Biervliet J, Kraus M, Woodie B, et al. Thoracoscopic pericardiotomy as a palliative treatment in a cow with pericardial lymphoma. J Vet Cardiol. 2006;8:693.

201 Johnson R, Gibson CD, Kaneene JB. Bovine leukemia virus: a herd-based control strategy. Prev Vet Med. 1985;3:339.

202 Derksen FJ, Reed SM, Hall CC. Aneurysm of the aortic arch and bicarotid trunk in a horse. J Am Vet Med Assoc. 1981;179:692.

203 Watrous BJ, Riebold TW, Wagner PC, Hultgren BD. Spontaneous resolution of a pseudoaneurysm in a horse following angiographic diagnosis. Vet Radiol Ultrasound. 1987;28:49.

204 Wagner PC, Watrous BJ, Riebold TW, et al. Treatment of a dorsal metatarsal arterial aneurysm in a horse. Compend Cont Educ (Pract Vet). 1987;9:580.

205 Reef VB, Sherri Klumpp S, Maxson AD, et al. Echocardiographic detection of an intact aneurysm in a horse. J Am Vet Med Assoc. 1990;197:752.

206 Roby KAW, Reef VB, Shaw DP, Sweeney CR. Rupture of an aortic sinus aneurysm in a 15-year-old broodmare. J Am Vet Med Assoc. 1986;189:305.

207 Lester GD, Lombard CW, Ackerman N. Echocardiographic detection of a dissecting aortic root aneurysm in a thoroughbred stallion. Vet Radiol Ultrasound. 1992;33:202.

208 Marr CM, et al. Aorto-cardiac fistulas in seven horses. Vet Radiol Ultrasound. 1998;39:22.

209 Sleeper MM, Durando MM, Miller M, et al. Aortic root disease in four horses. J Am Vet Med Assoc. 2001;219:491.

210 Lindsay JL, DeBakey ME, Beall AC. Diseases of the aorta. In: Hurst JW, editor. The heart, vol 2. New York: McGraw-Hill; 1986:1321.

211 Moore LA, Johnson PJ, Bailey KL. Aorto-iliac thrombosis in a foal. Vet Rec. 1998;142:459.

212 Rudmann DG, Stevenson GW. Aortic-iliac thromboembolism as an uncommon sequel to Staphylococcus aureus valvular endocarditis in a calf. J Vet Diagn Invest. 1993;5:288.

213 Du Preez ER, Morris SD, Duncan NM, Cornelius ST. Aortic thromboembolism associated with traumatic reticuloperitonitis in a downer cow. J South Afr Vet Assoc. 1995;66:254.

214 McDonnell SM, Love CC, Martin BB, et al. Ejaculatory failure associated with aortic-iliac thrombosis in two stallions. J Am Vet Med Assoc. 1992;200:954.

215 Buczinski S, Francoz D, Mulon P-Y. Ultrasonographic diagnosis of aortoiliac thrombosis in 2 calves. J Vet Intern Med. 2007;21:348.

216 Morley PS, Allen AL, Woolums AR. Aortic and iliac artery thrombosis in calves: nine cases (1974–1993). J Am Vet Med Assoc. 1996;209:130.

217 D’Angelo A, Bellino C, Alborali GL, et al. Aortic thrombosis in three calves with Escherichia coli sepsis. J Vet Intern Med. 2006;20:1261.

218 Reef VB, Roby KA, Richardson DW, et al. Use of ultrasonography for the detection of aortic-iliac thrombosis in horses. J Am Vet Med Assoc. 1987;190:286.

219 Braun U, Flückiger M, Feige K, Pospischil A. Diagnosis by ultrasonography of congestion of the caudal vena cava secondary to thrombosis in 12 cows. Vet Rec. 2002;150:209.

220 Braun U, Schefer U, Gerber D, Föhn J. Ultrasonographic findings in a cow with ascites due to thrombosis of the caudal vena cava. Schweiz Arch Tierheilkd. 1992;137:235.

221 Kofler J, Buchner A, Sendhofer A. Application of real-time ultrasonography for the detection of tarsal vein thrombosis in cattle. Vet Rec. 1996;138:34.

222 Kofler J, Kubber-Heiss A. Long-term ultrasonographic and venographic study of the development of tarsal vein thrombosis in a cow. Vet Rec. 1997;140:676.

223 Warmerdam EPL. Ultrasonography of the femoral artery in six normal horses and three horses with thrombosis. Vet Radiol Ultrasound. 1998;39:137.

224 Brianceau P, Divers TJ. Acute thrombosis of limb arteries in horses with sepsis: five cases (1988–1998). Equine Vet J. 2001;33:105.

225 Pusterla N, Braun U. Ultrasonographic evaluation of the jugular vein of cows with catheter-related thrombophlebitis. Vet Rec. 1995;137:431.

226 Gardner SY, Reef VB, Spencer PA. Ultrasonographic evaluation of 46 horses with jugular vein thrombophlebitis: 1985–1988: a retrospective study. J Am Vet Med Assoc. 1991;199:370.

227 Wallace KD, Selcer BA, Tyler DE, Brown J. In vitro ultrasonographic appearance of the normal and verminous equine aorta, cranial mesenteric artery, and its branches. Am J Vet Res. 1989;50:1774.

228 Spurlock SL, Spurlock GH, Parker G, Ward MV. Long-term jugular vein catheterization in horses. J Am Vet Med Assoc. 1990;196:425.

229 Cranley JJ, McCullagh KG. Ischemic myocardial fibrosis and aortic strongylosis in the horse. Equine Vet J. 1981;13:35.

230 Bundza A, Stevenson DA. Arteriosclerosis in seven cattle. Can Vet J. 1987;28:49.

231 Brown CN. Acquired cardiovascular disease. Vet Clin North Am Equine Pract. 1985;1:371.

232 Brightling P, Townsend HGG. Atrial fibrillation in ten cows. Can Vet J. 1983;24:331.

233 Constable PD, Muir WW3rd, Bonagura JD, et al. Clinical and electrocardiographic characterization of cattle with atrial premature complexes. J Am Vet Med Assoc. 1990;197:1163.

234 Holmes JR, Henigan M, Williams RB, Witherington DH. Paroxysmal atrial fibrillation in racehorses. Equine Vet J. 1986;18:37.

235 Gelzer ARM, Moise NS, Vaidya D, et al. Temporal organization of atrial activity and irregular ventricular rhythm during spontaneous atrial fibrillation: an in vivo study in the horse. J Cardiovasc Electrophysiol. 2000;11:773.

236 Amada A, Senta T, Kubo K, et al. Atrial fibrillation in the horse: clinical and histopathological studies of two cases. I, Clinical study. Exp Rep Equine Health Lab. 1974;11:51.

237 Holmes JR, Drake PGG, Else RW. Atrial fibrillation in the horse. Equine Vet J. 1969;1:212.

238 Deem DA, Fregin GF. Atrial fibrillation in horses: a review of 106 clinical cases, with consideration of prevalence, clinical signs, and prognosis. J Am Vet Med Assoc. 1982;180:261.

239 Reef VB, Levitan CW, Spencer PA. Factors affecting prognosis and conversion in equine atrial fibrillation. J Vet Intern Med. 1988;2:1.

240 McGuirk SM, Muir WW, Sams RA, Rings DM. Atrial fibrillation in cows: clinical findings and therapeutic considerations. J Am Vet Med Assoc. 1983;182:1380.

241 Goetze L, Vörös K, Scholz H, Lattmann J. Atemmechanik-and EKG-befunde bei experimenteller metabolischer alkalose des rindes [Respiration mechanics and ECG findings on experimental metabolic alkalosis in cattle]. Dtsch Tierarztl Wochenschr. 1984;91:307.

242 Marr CM, Reef VB, Reimer JM, et al. An echocardiographic study of atrial fibrillation in horses before and after conversion to sinus rhythm. J Vet Intern Med. 1995;9:336.

243 Wingfield WE, Miller CW, Voss JL, et al. Echocardiography in assessing mitral valve motion in 3 horses with atrial fibrillation. Equine Vet J. 1980;12:181.

244 Gehlen H, Stadler P. Comparison of systolic cardiac function before and after treatment of atrial fibrillation in horses with and without additional cardiac valve insufficiencies. Vet Res Commun. 2004;28:317.

245 Muir WW, McGuirk SM. Hemodynamics before and after conversion of atrial fibrillation to normal sinus rhythm in horses. J Am Vet Med Assoc. 1984;184:965.

246 Detweiler DK. Experimental and clinical observations on auricular fibrillation in horses. J Am Vet Med Assoc. 1952;1:119.

247 Kubo K, Senta T, Sugimoto O. Changes in cardiac output with experimentally induced atrial fibrillation in the horse. Exp Rep Equine Health Lab. 1975;12:101.

248 Van Loon G, Tavernier R, Duytshaever M, et al. Pacing induced sustained atrial fibrillation in a pony. Can J Vet Res. 2000;64:254.

249 Van Loon G, Duytschaever M, Tavernier R, et al. An equine model of chronic atrial fibrillation: methodology. Vet J. 2002;164:142.

250 Miller PJ, Holmes JR. Effect of cardiac arrhythmia on left ventricular and aortic blood pressure parameters in the horse. Res Vet Sci. 1983;35:190.

251 Kiryu K, Amada A, Kaneko M, Satoh H. Atrial fibrillation in the horse: clinical and histopathological studies of two cases. II, Formal pathogenesis. Exp Rep Equine Health Lab. 1974;2:70.

252 Kiryu K. Histopathogenesis of atrial fibrillation in the horse: cardiopathology of an additional case. Exp Rep Equine Health Lab. 1977;14:54.

253 Else RW, Holmes JR. Pathological changes in atrial fibrillation in the horse. Equine Vet J. 1971;3:56.

254 Machida N, Kiryu K. Cardiac lesions in dairy cows with idiopathic atrial fibrillation. J Vet Med Sci. 2001;63:873.

255 McGurrin MK, Physick-Sheard PW, Kenney DG, et al. Transvenous electrical cardioversion in equine atrial fibrillation: technique and successful treatment of 3 horses. J Vet Intern Med. 2003;17:715.

256 McGurrin MKJ, Physick-Sheard PW, Kenney DG. How to perform transvenous electrical cardioversion in horses with atrial fibrillation. J Vet Cardiol. 2005;7:109.

257 McGurrin MK, Physick-Sheard PW, Kenney DG, et al. Transvenous electrical cardioversion of equine atrial fibrillation: technical considerations. J Vet Intern Med. 2005;19:695.

258 Reef VB, Reimer JM, Spencer PA. Treatment of equine atrial fibrillation: new perspectives. J Vet Intern Med. 1995;9:57.

259 Morris DD, Fregin GF. Atrial fibrillation in horses: factors associated with response to quinidine sulfate in 77 clinical cases. Cornell Vet. 1982;72:339.

260 Muir WW, Reed SM, McGuirk SM. Treatment of atrial fibrillation in horses by intravenous administration of quinidine. J Am Vet Med Assoc. 1990;197:1607.

261 De Clercq D, van Loon G, Baert K, et al. Intravenous amiodarone treatment in horses with chronic atrial fibrillation. Vet J. 2006;172:129.

262 van Loon G, Blissitt KJ, Keen JA, Young LE. Use of intravenous flecainide in horses with naturally-occurring atrial fibrillation. Equine Vet J. 2004;36:609.

263 Smetzer DL, Gross DR, Breznock EM, Wallace CE. Treatment of atrial fibrillation in a cow with quinidine gluconate. J Am Vet Med Assoc. 1972;160:757.

264 Zipes DP. Genesis of cardiac arrhythmias: electrophysiological considerations. In: Braunwald E, editor. A textbook of cardiovascular medicine. ed 4. Philadelphia: Saunders; 1992:603.

265 Reimer JM, Reef VB, Sweeney RW. Ventricular arrhythmias in the horse: twenty-one cases (1984–1989). J Am Vet Med Assoc. 1992;201:1237.

266 Bonagura JD, Miller MS. Junctional and ventricular arrhythmias. J Equine Vet Sci. 1985;5:347.

267 Lester GD, Lombard CW, Ackerman N. Echocardiographic detection of a dissecting aortic root aneurysm in a thoroughbred stallion. Vet Radiol Ultrasound. 1992;33:202.

268 Delesalle C, van Loon G, Nollet H, Depreza P. Tumor-induced ventricular arrhythmia in a horse. J Vet Intern Med. 2002;16:612.

269 Dolente BA, Seco OM, Lewis ML. Streptococcal toxic shock in a horse. J Am Vet Med Assoc. 2000;217:64.

270 Reef VB. Pericardial and myocardial diseases. In: Koblick CN, Ames TR, Geor RJ, editors. The horse: diseases and clinical management. New York: Churchill Livingstone; 1993:185.

271 Nielsen IL. Ventricular tachycardia in a thoroughbred racehorse. Aust Vet J. 1990;67:140.

272 Senta T, et al. A case report on ventricular paroxysmal tachycardia (permanent type) in a thoroughbred colt. Exp Rep Equine Health Lab. 1971;8:61.

273 Machida N, Nakamura T, Kiryu K, et al. Cardiopathological observation on a case of persistent ventricular tachycardia in a pony mare. J Vet Med Sci. 1992;54:1213.

274 Marr CM, Reef VB. ECG of the month. J Am Vet Med Assoc. 1991;198:1533.

275 Reef VB. A monensin outbreak in horses in the eastern United States: pathogenesis, clinical signs and epidemiology. Proceedings of the Eighth Annual Veterinary Medicine Forum. 1990:619.

276 Cornelisse CJ, Schott HC2nd, Olivier NB, et al. Concentration of cardiac troponin I in a horse with a ruptured aortic regurgitation jet lesion and ventricular tachycardia. J Am Vet Med Assoc. 2000;217:231.

277 Schwarzwald CC, Hardy J, Buccellato M. High cardiac troponin I serum concentration in a horse with multiform ventricular tachycardia and myocardial necrosis. J Vet Intern Med. 2003;17:364.

278 McGuirk SM, Muir WW. Diagnosis and treatment of cardiac arrhythmias. Vet Clin North Am Equine Pract. 1985;1:353.

279 Parks C, Manohar M, Lundeen G. Regional myocardial blood flow and coronary vascular reserve in unanesthetized ponies during pacing-induced ventricular tachycardia. J Surg Res. 1983;35:119.

280 Kiryu K, Kaneko M, Mori S, et al. Cardiopathological observation on a case of paroxysmal ventricular tachycardia in a thoroughbred colt: formal pathogenesis. Exp Rep Equine Health Lab. 1975;12:74.

281 Kiryu K, Nakamura T, Kaneko M, et al. Cardiopathology of sudden cardiac death in the race horse. Heart Vessels Suppl. 1987;2:40.

282 Traub-Dargatz JL, Schlipf JW, Boon J, et al. Ventricular tachycardia and myocardial dysfunction in a horse. J Am Vet Med Assoc. 1994;205:1569.

* References 75, 77, 78, 83, 85, 89, 90, 105.