Chapter 5 Recognizing Atelectasis

What is Atelectasis?

image Common to all forms of atelectasis is a loss of volume in some or all of the lung, usually leading to increased density of the lung involved.
The lung normally appears “black” on a chest radiograph because it contains air. When something of fluid or soft tissue density is substituted for that air or when the air in the lung is resorbed (as it can be in atelectasis), that part of the lung becomes whiter (more dense or more opaque).
image Unless mentioned otherwise, statements in this chapter that refer to “atelectasis” are referring to obstructive atelectasis. This might be a good time to review the chart from Chapter 4 (see Table 4-1) highlighting the markedly different appearances of the thorax in a large pneumothorax and atelectasis of the entire lung (see Fig. 4-2).

Signs of Atelectasis

image Displacement (shift) of the interlobar fissures (major and minor) toward the area of atelectasis.
image Increase in the density of the affected lung (Fig. 5-1).
image Displacement (shift) of the mobile structures of the thorax.
The mobile structures are those capable of movement due to changes in lung volume.
Trachea
Normally midline in location and centered on the spinous processes of the vertebral bodies (also midline structures) on a nonrotated, frontal chest x-ray. A slight rightward deviation of the trachea is always present at the site of the left-sided aortic knob.
With atelectasis, especially of the upper lobes, the trachea may shift toward the side of the volume loss (Fig. 5-2).
Heart
At least 1 cm of the right heart border normally projects to the right of the spine on a nonrotated, frontal radiograph.
With atelectasis, especially of the lower lobes, the heart may shift to one side or the other.
image When the heart shifts toward the left, the right heart border will overlap the spine (Fig. 5-3).
image When the heart shifts toward the right, the left heart border will approach the midline (Fig. 5-4).
Hemidiaphragm
image The right hemidiaphragm is almost always higher than the left by about half the interspace distance between two adjacent ribs. In about 10% of normal people, the left hemidiaphragm is higher than the right.
image In the presence of atelectasis, especially of the lower lobes, the hemidiaphragm on the affected side will usually be displaced upward (Fig. 5-5).
image Overinflation of the unaffected ipsilateral lobes or the contralateral lung.
The greater the volume loss and the more chronic its presence, the more the lung on the side opposite the atelectasis or the unaffected lobe(s) in the ipsilateral lung will attempt to overinflate to compensate for the volume loss.
This may be noticeable on the lateral projection by an increase in the size of the retrosternal clear space and on the frontal projection by extension of the overinflated contralateral lung across the midline (Fig. 5-6).
image The signs of atelectasis are summarized in Box 5-1.
image

Figure 5-1 Right middle lobe atelectasis.

Frontal (A) and lateral (B) views of the chest show an area of increased density (solid white arrow), which is silhouetting the normal right heart border (solid black arrow) indicating its anterior location in the right middle lobe. On the lateral view (B), the minor fissure is displaced downward (dotted white arrow) and the major fissure is displaced slightly upward (dotted black arrow). Note the anterior location of the middle lobe.

image

Figure 5-2 Right upper lobe atelectasis.

A fan-shaped area of increased density is seen on the frontal projection (A) representing the airless right upper lobe. The minor fissure is displaced upward (solid white arrow). The trachea is shifted to the right (solid black arrow). The lateral (B) demonstrates a similar wedge-shaped density near the apex of the lung. The minor fissure (solid white arrow) is pulled upward and the major fissure is pulled forward (solid black arrow). This is a child who had asthma leading to formation of a mucous plug, which obstructed the right upper lobe bronchus.

image

Figure 5-3 Atelectasis of the left lung.

There is complete opacification of the left hemithorax with shift of the trachea (solid black arrow) and the esophagus (marked here by a nasogastric tube, dotted black arrow) toward the side of the atelectasis. The right heart border, which should project about a centimeter to the right of the spine, has been pulled to the left side and is no longer visible. The patient had an obstructing bronchogenic carcinoma in the left main bronchus.

image

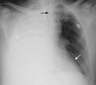
Figure 5-4 Atelectasis of the right lung.

There is complete opacification of the right hemithorax with shift of the trachea (solid black arrow) toward the side of the atelectasis. The left heart border is displaced far to the right and now almost overlaps the spine (solid white arrow). This patient had an endobronchial metastasis in the right main bronchus from her left-sided breast cancer. Did you notice the left breast was surgically absent?

image

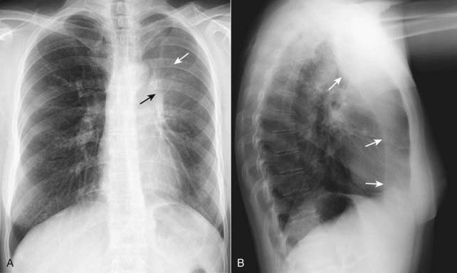
Figure 5-5 Left upper lobe atelectasis.

On the frontal projection (A), there is a hazy density surrounding the left hilum (solid white arrow) and there is a soft tissue mass in the left hilum (solid black arrow). Notice how the left hemidiaphragm has been pulled up to the same level as the right. The lateral projection (B) shows a bandlike zone of increased density (solid white arrows) representing the atelectatic left upper lobe sharply demarcated by the major fissure, which has been pulled anteriorly. The patient had a squamous cell carcinoma of the left upper lobe bronchus that was producing complete obstruction of that bronchus.

image

Figure 5-6 Left-sided pneumonectomy.

Complete opacification of the left hemithorax (A) is most likely from a fibrothorax produced following complete removal of the lung. There is associated marked volume loss with shift of the trachea to the left (solid white arrow). The left 5th rib was surgically removed during the pneumonectomy (solid black arrow). The right lung has herniated across the midline in an attempt to “fill-up” the left hemithorax, which is seen by the increased lucency behind the sternum in (B) (solid white arrow). Notice that because only the right hemithorax has an aerated lung remaining, only the right hemidiaphragm is visible on the lateral projection (solid black arrow). The left hemidiaphragm has been silhouetted by the airless hemithorax above it.

Box 5-1 Signs of Atelectasis

Displacement of the major or minor fissure*
Increased density of the atelectatic portion of lung
Shift of the mobile structures in the thorax, i.e., the heart, trachea, and/or hemidiaphragms*
Compensatory overinflation of the unaffected segments, lobes, or lung

* Toward the atelectasis.

Types of Atelectasis

image Subsegmental atelectasis (also called discoid atelectasis or platelike atelectasis) (Fig. 5-7)
Subsegmental atelectasis produces linear densities of varying thickness usually parallel to the diaphragm, most commonly at the lung bases.
It does not produce a sufficient amount of volume loss to cause a shift of the mobile thoracic structures.
It occurs mostly in patients who are “splinting,” i.e., not taking a deep breath, such as postoperative patients or patients with pleuritic chest pain.
Subsegmental atelectasis is not due to bronchial obstruction.
It is most likely related to deactivation of surfactant, which leads to collapse of airspaces in a nonsegmental or nonlobar distribution.
On a single study, without prior examinations for comparison, subsegmental atelectasis and chronic, linear scarring can look identical. Subsegmental atelectasis typically disappears within a matter of days with resumption of normal deep breathing whereas scarring remains.
image Compressive atelectasis
Loss of volume due to passive compression of the lung can be caused by:
A poor inspiratory effort in which passive atelectasis of the lung is seen at the bases (Fig. 5-8).
A large pleural effusion, large pneumothorax, or a space-occupying lesion (such as a large mass in the lung).
When caused by a poor inspiratory effort, passive atelectasis may mimic airspace disease at the bases.
image

Figure 5-7 Subsegmental atelectasis.

Close-up view of the lung bases demonstrates several linear densities extending across all segments of the lower lobes, paralleling the diaphragm (solid black arrows). This is a characteristic appearance of subsegmental atelectasis, sometimes also called discoid atelectasis or platelike atelectasis. The patient was postoperative from abdominal surgery and was unable to take a deep breath. The atelectasis disappeared within a few days after surgery.

image

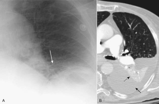
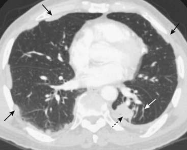
Figure 5-8 Compressive (passive) atelectasis.

Passive compression of the lung can occur either from a poor inspiratory effort (A), which is manifest as increased density at the lung bases (solid white arrow) or secondary to a large pleural effusion or pneumothorax (B). Axial CT scan of the chest showing only the left hemithorax (B) demonstrates a large left pleural effusion (solid black arrow). The left lower lobe (dotted black arrow) is atelectatic, having been compressed by the pleural fluid surrounding it.

imagePitfall: Be suspicious of compressive atelectasis if the patient has taken less than an 8 posterior-rib breath.

Solution: Check the lateral projection for confirmation of the presence of real airspace disease at the base.
When caused by a large effusion or pneumothorax, the loss of volume associated with compressive atelectasis may balance the increased volume produced by either fluid (as in pleural effusion) or air (as in pneumothorax).
In an adult patient with an opacified hemithorax, no air bronchograms and little or no shift of the mobile thoracic structures, it is important to suspect an obstructing bronchogenic carcinoma, perhaps with metastases to the pleura (Fig. 5-9).
Round atelectasis
This form of compressive atelectasis is usually seen at the periphery of the lung base and develops from a combination of prior pleural disease (such as from asbestos exposure or tuberculosis) and the formation of a pleural effusion that produces adjacent compressive atelectasis.
When the pleural effusion recedes, the underlying pleural disease leads to a portion of the atelectatic lung becoming “trapped.” This produces a masslike lesion that can be confused for a tumor.
On CT scan of the chest, the bronchovascular markings characteristically lead from the round atelectasis back to the hilum producing a comet-tail appearance (Fig. 5-10).
image Obstructive atelectasis (see Fig. 5-3)
Obstructive atelectasis is associated with the resorption of air from the alveoli, through the pulmonary capillary bed, distal to an obstructing lesion of the bronchial tree.
The rate at which air is absorbed and the lung collapses depends on its gas content when occluded. It takes about 18-24 hours for an entire lung to collapse with the patient breathing room air but less than an hour with the patient breathing near 100% oxygen.
The affected segment, lobe, or lung collapses and becomes more opaque (whiter) because it contains no air. The collapse leads to volume loss in the affected segment/lobe/lung.
Because the visceral and parietal pleura invariably remain in contact with each other as the lung loses volume, the mobile structures of the thorax are pulled toward the area of atelectasis.
image The types of atelectasis are summarized in Table 5-1.
image

Figure 5-9 Atelectasis and effusion in balance, an ominous combination.

There is complete opacification of the right hemithorax. There are neither air bronchograms to suggest pneumonia nor any shift of the trachea (solid black arrow) or heart (solid white arrow). The absence of any shift suggests the possibility of atelectasis and pleural effusion in balance, a combination that should raise suspicion for a central bronchogenic carcinoma (producing obstructive atelectasis) with metastases (producing a large pleural effusion).

image

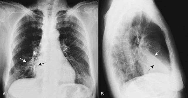
Figure 5-10 Round atelectasis, left lower lobe.

There is a masslike density in the left lower lobe (dotted black arrow). The patient has underlying pleural disease in the form of pleural plaques from asbestos exposure (solid black arrows). There are comet-tail shaped bronchovascular markings that emanate from the “mass” and extend back to the hilum (solid white arrow). This combination of findings is characteristic of round atelectasis and should not be mistaken for a tumor.

TABLE 5-1 TYPES OF ATELECTASIS

Type Associated With Remarks
Subsegmental atelectasis Splinting, especially in postoperative patients and those with pleuritic chest pain May be related to deactivation of surfactant; does not usually lead to volume loss; disappears in days
Compressive atelectasis Passive external compression of the lung from poor inspiration, pneumothorax, or pleural effusion Volume loss of compressive atelectasis can balance volume increase from effusion or pneumothorax resulting in no shift; round atelectasis is a form of compressive atelectasis
Obstructive atelectasis Obstruction of a bronchus from malignancy or mucus plugging Visceral and parietal pleura maintain contact; mobile structures in the thorax are pulled toward the atelectasis

Patterns of Collapse in Lobar Atelectasis

image Obstructive atelectasis produces consistently recognizable patterns of collapse depending on the location of the atelectatic segment or lobe and the degree to which such factors as collateral airflow between lobes and obstructive pneumonia allow the affected lobe to collapse.
image In general, lobes collapse in a fanlike configuration with the base of the fan-shaped triangle anchored at the pleural surface and the apex of the triangle anchored at the hilum.
image Other unaffected lobes will undergo compensatory hyperinflation in an attempt to “fill” the affected hemithorax, and this hyperinflation may limit the amount of shift of the mobile chest structures.

imagePitfall: The more atelectatic a lobe or segment becomes (that is, the smaller its volume), the less visible it becomes on the chest radiograph. This can lead to the false assumption of improvement when, in fact, the atelectasis is worsening.

Solution: This can usually be resolved with a careful analysis of the study to check for the degree of displacement of the interlobar fissures or hemidiaphragms or with a CT scan of the chest.
image Right upper lobe atelectasis (see Fig. 5-2)
On the frontal radiograph:
There is an upward shift of the minor fissure.
There is a rightward shift of the trachea.
On the lateral radiograph:
There is an upward shift of the minor fissure and a forward shift of the major fissure.
If right upper lobe atelectasis is produced by a large enough mass in the right hilum, the combination of the hilar mass and the upward shift of the minor fissure produces a characteristic appearance on the frontal radiograph named the S sign of Golden (Fig. 5-11).
image Left upper lobe atelectasis (see Fig. 5-5)
On the frontal radiograph:
There is a hazy area of increased density around the left hilum.
There is a leftward shift of the trachea.
There may be elevation with “tenting” (peaking) of the left hemidiaphragm.
Compensatory overinflation of the lower lobe may cause the superior segment of the left lower lobe to extend to the apex of the thorax on the affected side.
On the lateral radiograph:
There is forward displacement of the major fissure, and the opacified upper lobe forms a band of increased density running roughly parallel to the sternum.
image Lower lobe atelectasis (Fig. 5-12)
On the frontal radiograph:
Both the right and left lower lobes collapse to form a triangular density that extends from its apex at the hilum to its base at the medial portion of the affected hemidiaphragm.
Elevation of the hemidiaphragm is seen on the affected side.
The heart may shift toward the side of the volume loss.
On the right (only), there is a downward shift of the minor fissure.
On the lateral radiograph:
There is both downward and posterior displacement of the major fissure until the completely collapsed lower lobe forms a small triangular density at the posterior costophrenic angle.
image

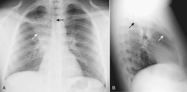
Figure 5-11 Right upper lobe atelectasis and hilar mass: S sign of Golden.

There is a soft tissue mass in the right hilum (solid white arrow). There is opacification of the right upper lobe from atelectasis. The minor fissure is displaced upward toward the area of increased density (dotted white arrow), indicating right upper lobe volume loss. The shape of the curved edge formed by the mass and the elevated minor fissure is called the S sign of Golden. The patient had a large squamous cell carcinoma obstructing the right upper lobe bronchus.

image

Figure 5-12 Left lower lobe and right lower lobe atelectasis.

A, A fan-shaped area of increased density behind the heart is sharply demarcated by the medially displaced major fissure (solid black arrows) representing the characteristic appearance of left lower lobe atelectasis. B, On the lateral view, the major fissure (solid white arrows) is displaced posteriorly. The small triangular density in the posterior costophrenic sulcus is in the characteristic location for left lower lobe atelectasis on the lateral projection. C, In a different patient there is a fan-shaped triangular density in the right lower lobe bounded superiorly by the major fissure (solid white arrow). Notice how the unaerated lower lobe silhouettes the right hemidiaphragm (solid black arrow).

imageIn the critically-ill patient, atelectasis occurs most frequently in the left lower lobe.

Always check that the left hemidiaphragm is seen in its entire extent through the heart since left lower lobe atelectasis will manifest by disappearance (silhouetting) of all or part of the left hemidiaphragm (see Fig. 5-12).
image Right middle lobe atelectasis (see Fig. 5-1)
On the frontal radiograph:
There is a triangular density with its base silhouetting the right heart border and its apex pointing toward the lateral chest wall.
The minor fissure is displaced downward.
On the lateral radiograph:
There is a triangular density with its base directed anteriorly and its apex at the hilum.
The minor fissure may be displaced inferiorly and the major fissure superiorly.
image Endotracheal tube too low (Fig. 5-13)
If the tip of an endotracheal tube enters the right lower lobe bronchus, only the right lower lobe tends to be aerated and remain expanded. Within a short time, atelectasis of the entire left lung and the right upper and middle lobes will develop.
Once the tip of the endotracheal tube is withdrawn above the carina, the atelectasis usually clears quite rapidly.
image Atelectasis of the entire lung (see Figs. 5-3 and 5-4)
On the frontal radiograph:
There is opacification of the atelectatic lung due to loss of air.
The hemidiaphragm on the side of the atelectasis will be silhouetted by the nonaerated lung above it.
There is a shift of all of the mobile structures of the thorax is toward the side of the atelectatic lung.
On the lateral radiograph:
The hemidiaphragm on the side of the atelectasis will be silhouetted by the nonaerated lung above it. Look closely and you’ll see only one hemidiaphragm on the lateral exposure, instead of two.
image

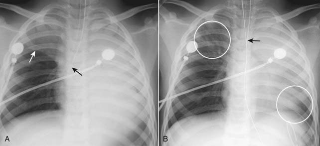
Figure 5-13 Right upper lobe and left lung atelectasis from an endotracheal tube.

A, The tip of the endotracheal tube extends beyond the carina into the bronchus intermedius (solid black arrow), which aerates only the right middle and lower lobes. The right upper lobe and entire left lung are opaque from atelectasis. The minor fissure is elevated (solid white arrow). B, One hour later, the tip of the endotracheal tube has been retracted above the carina (solid black arrow) and the right upper lobe and a portion of the left lower lobe are again aerated (white circles).

How Atelectasis Resolves

image Depending in part on the rapidity with which the segment, lobe, or lung became atelectatic, atelectasis has the capacity to resolve within hours or last for many days once the obstruction has been removed.
image Slowly-resolving lobar or whole-lung atelectasis may manifest patchy areas of airspace disease surrounded by progressively increasing zones of aerated lung until the atelectasis has completely cleared.
image The most common causes of obstructive atelectasis are summarized in Table 5-2.

TABLE 5-2 MOST COMMON CAUSES OF OBSTRUCTIVE ATELECTASIS

Cause Remarks
Tumors Includes bronchogenic carcinoma (especially squamous cell), endobronchial metastases, and carcinoid tumors
Mucous plug Especially in bedridden individuals; postoperative patients; those with asthma, cystic fibrosis
Foreign body aspiration Especially peanuts; toys; following a traumatic intubation
Inflammation As in scarring caused by tuberculosis

imageWeblink

Registered users may obtain more information on Recognizing Atelectasis on StudentConsult.com.

image Take-Home Points

Recognizing Atelectasis

Volume loss is common to all forms of atelectasis, but the radiographic appearance of atelectasis will differ depending on the type of atelectasis.

The three most commonly observed types of atelectasis are subsegmental atelectasis (also known as discoid or platelike atelectasis), compressive or passive atelectasis, and obstructive atelectasis.

Subsegmental atelectasis usually occurs in patients who are not taking a deep breath (splinting) and produces horizontal linear densities, usually at the lung bases.

Compressive atelectasis occurs passively when the lung is collapsed by a poor inspiration (at the bases), or from a large, adjacent pleural effusion or pneumothorax. When the underlying abnormality is removed, the lung usually expands.

Round atelectasis is a type of passive atelectasis in which the lung does not re-expand when a pleural effusion recedes, usually due to pre-existing pleural disease. Round atelectasis may produce a masslike lesion that can mimic a tumor on chest radiographs.

Obstructive atelectasis occurs distal to an occluding lesion of the bronchial tree because of reabsorption of the air in the distal airspaces via the pulmonary capillary bed.

Obstructive atelectasis produces consistently recognizable patterns of collapse based on the assumptions that the visceral and parietal pleura invariably remain in contact with each other and every lobe of the lung is anchored at or near the hilum.

Signs of obstructive atelectasis include displacement of the fissures, increased density of the affected lung, shift of the mobile structures of the thorax toward the atelectasis, and compensatory overinflation of the unaffected ipsilateral or contralateral lung.

Atelectasis tends to resolve quickly if it occurs acutely; the more chronic the process, the longer it usually takes to resolve.