Page 316 

56 Lupoid onychodystrophy

INITIAL PRESENTATION

Claw abnormalities and pain in a Rhodesian ridgeback.

INTRODUCTION

Lupoid onychitis, also known as symmetrical lupoid onychodystrophy, is considered to be an immune-mediated cutaneous reaction pattern. Often, the initial cause leads to secondary paronychia, which further contribute to the ongoing problem. The condition normally affects several claws on the feet, rather than just a single claw or a single foot and is characterized by progressive shedding of nails over a period of weeks to months with associated pain and paronychia. Histologically, it is characterized by a cell-rich interface dermatitis. Claw abnormalities are described using special terms and those used in this chapter are defined in Table 56.1.

Table 56.1 Various terms used to describe claw abnormalities in this case report

Term Visible abnormality of the claw
Onychitis Inflammation of the claw
Onychodystrophy Malformation of the claw
Onycholysis Separation of claw from the claw bed
Onychomadesis Sloughing of the claw
Paronychia Inflammation of the claw bed
Onychalgia Claw pain

CASE PRESENTING SIGNS

A neutered male Rhodesian ridgeback, three and a half years of age, was presented with onycholysis, onychomadesis, onychalgia and paronychia.

CASE HISTORY

Most dogs with lupoid onychitis are presented with a history of lameness, feet licking or pain. The duration of onset varies but commonly there is a history of sloughing of one nail and then over a period of weeks nails are sloughed on the majority, if not all, digits on all four feet. Haemorrhage may be evident from affected digits. Lupoid onychitis does not result in systemic illness and affected dogs are in good general health. The condition is not associated with poor nutrition and most dogs are being fed well-balanced commercial pet foods.

The relevant history in this case was:

A sudden onset of lameness, about 6 months prior to presentation, which responded to meloxicam analgesia.
There had been further episodes of lameness and foot licking since the initial episode.
Onychalgia was observed.
Frequent feet licking and anal pruritus.
A previous history of otitis and anal pruritus.
The familial history was not known.
The dog was fed on a commercial complete dry diet for large breeds.
It was prone to gastrointestinal disturbances after dietary changes.

CLINICAL EXAMINATION

Onychomadesis and onychalgia are the most common presenting sign. The claws separate from the claw bed with evidence of exudate. Haemorrhage is not always seen, but when the nail plate comes away the claw may bleed profusely. Previously lost claws regrow in a dystrophic manner, with abnormalities such as brittleness, scaling, dryness and distortion.

Clinical findings in this case included:

Onycholysis, onychomadesis, onychalgia and erythema of the surrounding claw bed (Fig. 56.1).
Every claw on all four feet was affected (Fig. 56.2).
Cutaneous abnormalities and systemic signs were absent.
image

Figure 56.1 Separation of the claw plate from the claw bed.

image

Figure 56.2 All the claws of one foot are affected.

  Page 317 

DIFFERENTIAL DIAGNOSES

The history and clinical signs were highly suggestive of lupoid onychitis. Some authors suggest that the combination of nail shedding affecting multiple digits with no evidence of systemic illness is pathognomonic for the disease. However, a number of different conditions were considered, including:

Trauma
Infections
Bacterial onychitis
Fungal onychitis (trichophytosis, malasseziosis, other)
Immune-mediated diseases
Lupoid onychitis
Pemphigus complex
Bullous pemphigoid
Epidermolysis bullosa
Vasculitis
Adverse drug reaction
Endocrinopathies
Hypothyroidism
Hyperadrenocorticism
Nutritional causes
Adverse food reaction
Deficiency
Idiopathic onychomadesis and onychodystrophy.

CASE WORK-UP

Based on the history and the clinical signs, trauma was ruled out because of multiple claw involvement. Several diagnostic tests are needed to rule in or out the many conditions that are responsible for claw disease.

The following tests were performed in this case:

Cytological examination of impression smears from nail folds revealed numerous cocci and smaller numbers of rods.
Routine haematological and biochemical parameters were with normal limits, which by and large ruled out metabolic and endocrine diseases.
Thyroid function tests (total T4, cTSH, free T4 ED, TGAA; see Chapter 22) were performed. The TGAA was raised to 291% (normal reference range <200%). This result did not confirm clinical hypothyroidism, but the presence of autoantibodies was evidence for lymphocytic thyroiditis and suggested that the dog might, in the future, develop clinical hypothyroidism (the other parameters were within the normal ranges). Six-monthly monitoring of thyroid function was therefore recommended in this case.
  Page 318 
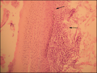
As the dew claws were affected in this case, the third phalanx of one was surgically removed and submitted for histology. Post-surgery analgesia with meloxicam was prescribed. Histology revealed interface dermatitis, with hydropic changes of the basal epithelium and mainly lymphocytes and plasma cells targeting the dermoepidermal junction (Fig. 56.3). These findings supported a diagnosis of immune-mediated lupoid onychitis. Acantholysis and clefting, histological signs of pemphigus, pemphigoid and epidermolysis bullosa, were not evident. There was evidence of mild perivascular dermatitis, but the histological signs associated with vasculitis were absent.
Some of the shedding claw plates from the same foot as the dew claw biopsy were removed using a haemostat and submitted for bacterial and fungal cultures (Fig. 56.4). The underlying corium was cleaned with chlorhexidine scrub and an electrocautry used to control bleeding. The foot was bandaged and routine postoperative care was provided. Staphylococcus aureus, E. coli and Proteus spp. were isolated from the claw and were considered to be secondary pathogens in the disease process. All three organisms were sensitive to enrofloxacin, clavulanic acid-potentiated amoxicillin, cefovecin, cefalexin and trimethoprim sulphonamides. Fungal culture was negative.
image

Figure 56.3 Interface dermatitis (arrows) demonstrated on histology.

image

Figure 56.4 Loose claws removed for fungal and bacterial cultures.

DIAGNOSIS

Lupoid onychitis with secondary bacterial infection.

PROGNOSIS

The prognosis is variable. Some cases respond reasonably well to benign therapy and nail care and have only rare recrudescence of disease. Other cases have repeated episodes of onychomadesis and are much more refractory to treatment. Lifelong treatment is likely to be required in these cases.

ANATOMY AND PHYSIOLOGY REFRESHER

The claw is a specialized horny structure of the skin. It is formed of highly keratinized epidermis and, together with the underlying dermis, is a continuation of the skin covering the digits. The horny layer is formed from the basal layer of the epidermis overlying the dermis (the quick) that covers the distal phalanx.

The nail is supported by the third (distal) phalanx (Fig. 56.5). The distal phalanx is divided into a cone-shaped portion called the ungual process that is surrounded by a thin bony collar, the ungual crest. The claw fold is formed around the ungual crest. The coronary band, where most of the nail growth occurs, is the base of the claw abutting, and partially enclosed by, the ungual crest. Most of the claw’s growth is generated at the coronary band, and it is the differential growth rates between the coronary band, the dorsal and the ventral epidermis that produce the curved form of the claw. The claw itself is made up of three parts: the coronary band, the lateral and medial walls, and the ventral sole.

image

Figure 56.5 Lateral section of a dog’s claw.

  Page 319 

The lateral and medial walls are the main body of the nail. They are highly keratinized stratum corneum consisting of hard keratins, rich in cysteine, lipids and water, with little or no stratum granulosum. In cross-section, it is a hooped structure with free edges on its ventral aspect which are joined together by the ventral sole (Fig. 56.6).

image

Figure 56.6 Cross-section of a dog’s claw.

The ventral sole is a softer structure that closes the base of the nail. It is stratum corneum but, unlike the walls, it also has distinct granular and clear layers.

The mineral composition of the canine claw includes calcium, magnesium, manganese, iron, potassium, sodium, copper, zinc and phosphorus. The roles of these minerals in maintaining claw condition are not understood, but differences have been noted between the normal and diseased states. However, the higher concentrations of calcium, phosphorus, potassium and sodium found in diseased claws suggest that mineral deficiency is not generally the cause of the disease.

Trauma is the most common cause of damage, when only a single claw is affected. If multiple claws on more than one foot are involved, then numerous aetiologies can be responsible for the clinical disease. They include:

Autoimmune and immune-mediated conditions (pemphigus complex, bullous pemphigoid, epidermolysis bullosa, systemic and cutaneous lupus erythematosus, drug eruption and vasculitis)
Infectious diseases (bacterial, fungal)
Endocrine abnormalities (hypothyroidism, hyperadrenocorticism, diabetes mellitus)
Protozoa (leishmaniosis)
Metabolic diseases (metabolic epidermal necrosis, severe nutritional abnormalities).

In many cases, a specific disease may not be identified even after extensive investigations.

Lupoid onychitis, as in this case, is characterized by initial separation of the claw from the claw bed, followed by sloughing and eventually regrowth with variable claw abnormalities. Secondary bacterial infection is common. The disease can take several months to affect all the claws, and when the new claws grow back they are usually dry, brittle and often malformed.

The underlying mechanisms that lead to the immune reaction and nail damage are not clear in the majority of cases and are considered to be idiopathic. However, lupoid onychitis may be a manifestation of an adverse reaction to drug or food administration. Therefore, if there is no history of previous drug administration, a diet trial should be considered to rule out an adverse food reaction, although this was not done in this case.

EPIDEMIOLOGY

There is no age or sex predisposition to the condition, and whilst the condition is not breed specific, it appears to have a greater incidence in larger breeds, e.g. German shepherd dogs, giant schnauzers and Rottweilers. In the author’s experience the condition is also over-represented in bearded collies. A genetic predisposition may be inferred, as the condition has been reported in two siblings.

  Page 320 

TREATMENT

This can be a challenging disease to treat and most dogs are likely to require long-term, possibly lifelong, therapy.

If presented in the acute stage of the disease, loose (and therefore painful) nails should be removed under heavy sedation or general anaesthesia. Cytology and perhaps culture and sensitivity testing should be performed on any exudate from nail folds and several weeks of antibacterial therapy should be prescribed based on the results of these tests. Appropriate dressings should be applied to the feet if required. Topical therapy in the form of antibacterial soaks in dilute chlorhexidine or similar antiseptic may also be beneficial.

Several anti-inflammatory and immunosuppressive protocols have been reported for the treatment of lupoid onychitis. Less aggressive treatment regimens include high dosage omega-3/omega-6 fatty acid supplementation, vitamin E, biotin and the combination of oxytetracyline and nicotinamide. Biotin supplementation in cattle, pigs, horses and humans has been shown to improve the quality and the growth of hooves and nails respectively.

More severely affected dogs or those that are refractory to treatment may be treated with the immunosuppressive combination of prednisolone and azathioprine. Another protocol described the use of a topical betamethasone mousse combined with systemic treatment using pentoxifylline.

The choice of treatment is based on individual case assessment and discussion with the client. The potential adverse effects of more aggressive therapy with the requirement for haematological and biochemical monitoring and the associated cost, versus the potential benefit of the treatment, should be considered when making a choice for management.

Treatment in this case

In this case, cefalexin was prescribed at a dosage of 20 mg/kg b.i.d. and continued for a total of 6 weeks of treatment. At the same time, the dog was started on vitamine E (400 IU s.i.d.), biotin supplementation and a commercial essential fatty acid supplement using double the manufacturer’s dosage (i.e. 552 mg linoleic acid, 68 mg γ-linolenic acid, 34 mg eicosapentaenoic acid and 22 mg docasahexaenoic acid per 10 kg body weight). Although a combination of oxytetracyline/nocotinamide was considered, it was not prescribed at the first instance. After the initial 6 weeks of antibiotic treatment (Fig. 56.7), a combination of 500 mg of oxytetracycline and 500 mg of nicotinamide t.i.d were prescribed for 3 months.

image

Figure 56.7 The claws after 6 weeks of treatment with cefalexin, Efavet regular, vitamin E and biotin.

Advice was given to the owners regarding the necessity of careful nail care. Nails should be regularly clipped and if possible, split nails should be filed to remove sharp edges that could result in further nail fracture.

NURSING ASPECTS

As many owners find nail clipping difficult, nurses should be involved in the nail care of lupoid onychitis cases. Regular clipping and filing of the claws, to reduce the pressure on the claw bed, can be of value in the long-term management of the disease.

CLINICAL TIPS

Claw disorders can have multiple aetiologies. A definitive diagnosis will improve the chances of successful management of the condition.
The only useful diagnostic tests possible from a shed claw are fungal and bacterial cultures. The nail plate by itself will not provide any diagnostic histological information.
For histology a whole-claw biopsy, taken at P3, is required. Amputation of an affected dew claw minimizes the post-surgical complications.
A technique for claw biopsy with a biopsy punch without amputation has been described. However, experience has shown that this is not an easy technique.
It requires general anaesthesia and experience in the procedure is essential.
Cutting through the hard nail with a biopsy punch can prove difficult.
The pathology may be present in only part of the claw matrix, so the absence of typical interface changes in the sample does not rule out lupoid onychitis.
The procedure may lead to disruption of the tissue.
Damage to part of the claw epithelium may lead to permanent distortion of the nail.
  Page 321 

FOLLOW-UP

The dog was maintained on the combination of essential fatty acid, vitamin E and biotin supplements long term. The oxytetracycline and nicotinamide combination was withdrawn after 3 months of treatment. The owners were diligent with long-term claw care for the dog; however, the claws continued to grow abnormally and the dog lost another claw after 9 months. A further 8-week course of oxytetracycline and nicotinamide (500 mg of each t.i.d.) was prescribed. Since then there has been no further nail loss.

Total T4 and thyroid-stimulating hormone have been within normal reference ranges when measured on two separate occasions 6 months apart. Thyroglobulin antibodies, however, remain elevated.

A food trial was not undertaken in this case, one reason being the only way the owner was able to administer the supplements was with special treats.