Virtually every woman with a breast lump, breast pain or discharge from the nipple fears she has cancer. The anxiety results from the unknown course of the disease, the threat of mutilation and the fear of dying. This has often prevented women from seeking medical advice, but publicity about self-examination and screening (see Ch. 6) and the potential benefits of early treatment has encouraged earlier presentation.
Anxiety may be heightened by friends' or relatives' experiences of breast cancer or a recent ‘celebrity diagnosis’; for this reason, reassuring the ‘worried well’ is important. The effects of breast surgery on attractiveness and femininity must be considered; breast care nurses can provide psychological support throughout investigation and treatment.
Rates of referral to breast clinics have increased, reflecting easier access, widespread breast screening and public awareness of breast cancer. Despite the fears of those referred, in the UK less than 15% prove to have cancer. The rest include benign breast conditions and others within the normal range of anatomy and physiology (see Box 45.1).
The breast consists of 15–20 lobes containing lobules linked by ductules that combine to form ducts. The glandular tissue is supported by fibrous tissue connected by Astley Cooper's ligaments and lies over pectoralis major and minor. It is supplied by branches of the axillary and internal mammary arteries. Lymph drains primarily to the axillary nodes.
Patients may present with symptoms or signs (see Fig. 45.1). Two-thirds complain of a discrete lump or lumpiness.

Fig. 45.1 Symptoms and signs of breast disease (see also Figs 45.3 and 45.4)
UK NICE guidelines for urgent and non-urgent referral to a specialist are indicated on a pink background
A detailed history can provide important clues to the pathology of a breast problem. Age alters the probability of different breast disorders (see Fig. 45.2); in particular, the risk of malignancy rises with age. The duration of symptoms should be established at the outset; cancers are usually slow-growing, whilst cysts can appear rapidly, sometimes almost overnight. Benign conditions such as fibroadenosis and fibroadenoma may present with lumps that fluctuate with the menstrual cycle or have decreased in size since first noticed. They are also more likely to be painful and tender than a malignant lesion.
A previous history of breast conditions, particularly malignancy, cysts or fibrocystic change, can be an indicator of the nature of a current breast problem. The greatest single risk factor for breast cancer is a previous history of the condition, however long ago (1% risk per year) (see Box 45.2). There is some evidence that patients with recurrent benign breast disorders are more liable to cancer.
Trauma from seatbelt injuries is common and patients should be asked whether bruising of the breast was followed by the appearance of a lump.
Drug history, particularly of the oral contraceptive pill (OCP) or hormone replacement therapy (HRT), should be recorded, including the duration and how recently the drug has been used. These drugs modulate the hormonal environment of breast tissue and tend to increase the risk of breast cancer. Other hormone-related risk factors for cancer include late age at first full-term pregnancy, lower parity (number of pregnancies) and early age of menarche and late age of menopause. Enquiry should be made about a family history of breast or ovarian cancer, including number of first- and second-degree relatives, age of onset and bilaterality. Some families have mutations in the tumour suppressor genes BRCA1 or BRCA2, which strongly predispose to breast and other cancers.
There are several accepted methods for examining the breasts; one is shown in Figure 45.3. All areas of the breast must be examined, with particular attention to the axillary tail and retro-areolar regions. Breast examination involves six distinct manoeuvres:

Fig. 45.3 Technique of breast examination
Inspection: the breasts should be inspected for asymmetry, skin tethering and dimpling and changes in colour. This should be performed with the patient sitting comfortably, pressing hands on hips (a), lifting arms in the air (b), and pressing hands on top of the head. Palpation: the patient should sit on an examination couch as shown in (c), with the backrest at about 45° and rolled slightly to the contralateral side. The arm on the side to be examined should be elevated and the head rested on the pillow. The effect of these manoeuvres is to spread the breast over a greater area of the chest wall. The flat of the right hand is used to palpate the breast circumferentially by quadrants (d)–(f). The central part of the breast and the axillary tail must also be palpated. If there is a history of nipple discharge, the areola is pressed in different areas (f) to identify the duct from which it emanates and therefore the segment involved. Finally the axillary lymph nodes are palpated as shown in (g) and (h). The left axilla is palpated with the right hand (h) and the right axilla is palpated with the left hand (g). It is important to relax the axillary muscles by supporting the weight of the patient's arm as shown. The fingers of the examining hand are firmly held in a curve, pressed high into the apex of the axilla against the chest wall and drawn downwards. The hand will then ‘ride over’ any enlarged axillary nodes
• Observation with the patient sitting up
• Observation with the patient raising and lowering her arms
• Systematic palpation of each breast
During inspection, the signs to be looked for are listed in Figure 45.1.
Palpation may be done circumferentially using the flat of one hand, starting at the nipple then moving in progressively larger circles; radially from the nipple outwards like the spokes of a wheel; or by sectors, examining each quadrant in turn. Axillary lymph nodes are palpated whilst the examiner's other hand supports the patient's arm (Fig. 45.3g, h). This helps relax the muscles and aids assessment of the nodal groups (medial, lateral, anterior, posterior and apical). Note that clinical assessment of axillary nodes is unreliable, with a 30% false positive and a 30% false negative rate.
A history of nipple discharge can often be confirmed by pressure over the appropriate sector near the areola. Discharges not obviously blood-stained should be tested for blood using urinalysis dipsticks. In all cases, a smear preparation should be examined for cytological abnormalities.
Lumps: The differential diagnosis of a discrete breast mass is:
During the examination the patient needs to point out any lump she is worried about. The normal breast has a wide range of textures, from soft through nodular to hard, so the texture of the rest of the breast must be taken into account. When a lump is found, its characteristics should be defined (see Box 45.3), in particular whether it is discrete or dominant or whether it is an area of nodularity or ‘thickening’. If there is a discrete mass, does it appear benign or suspicious for malignancy? (Characteristic signs of cancer are shown in Fig. 45.4.) Note that even for breast specialists, clinical examination has a low sensitivity (i.e. ability to detect real abnormalities) of 65–80%. In one clinical evaluation system, increasing levels of suspicion are graded E1 to E5; an E3 designation may prompt a core biopsy even if radiological findings are not suspicious. Only 3% of breast cancers occur under the age of 30 but a discrete lump in a patient over 65 is a cancer until proved otherwise.
Skin tethering (as opposed to direct infiltration) can be a subtle sign and is accentuated by raising the arms to put the breast suspensory ligaments under tension. Deep fixation can be assessed by checking the mobility of the lump over pectoralis major with the muscle relaxed and then tensed.
Paget's disease of the nipple: Some patients with breast carcinoma present with eczema-like reddening and thickening of the skin of the nipple and areola, together with fissuring and ulceration. This is more common in the elderly and is known as Paget's disease of the nipple (Fig 45.10).
‘One-stop’ clinics allow rapid and comprehensive preliminary assessment. Triple assessment includes clinical examination, breast imaging and biopsy (when indicated) on the same day. This has an overall accuracy of 99.6% when performed by experienced personnel, meaning the chances of missing a cancer are less than 1%; patients shown not to have cancer can usually be discharged. If there is a clinically suspicious lump and needle biopsy is negative or equivocal, diagnostic excision biopsy should be performed. The discrete lump is completely excised and examined histologically.
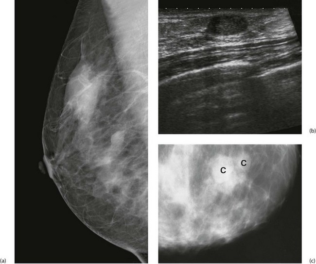
Mammography (breast radiography) is an important method of radiological assessment of the breasts. In women over 40 years, it has a sensitivity of 88% for carcinoma. It is less sensitive in younger women because the breast tissue is denser, and is rarely performed below 35 years.
During mammography, the breast is compressed firmly in the machine. This spreads the tissue to an even thickness to give correct exposure for all the breast tissue to make it easier to detect any mass lesion. Radiological views are taken in two directions, medio-lateral oblique (MLO) and cranio-caudal (CC). Localised compression views can reduce the problem of superimposed structures simulating a mass. Focused magnified views can better display any abnormal area. Full digital mammography, which permits post-processing enhancement of the image, has nearly replaced film mammography.
Features looked for on a mammogram include:
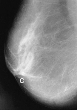
A typical carcinoma appears as a spiculated mass lesion (dense centre with radiating lines) which may have malignant-type fine linear or granular microcalcification (Fig. 45.5). Fine granular microcalcification within a spiculate lesion is virtually pathognomonic of cancer. Tumours as small as 2–3 mm are sometimes detectable radiologically, long before they become palpable.
Benign-type microcalcification is coarse and ‘chunky’ (Fig. 45.6). Fine branching microcalcification is characteristic of ductal carcinoma-in-situ (DCIS). Architectural distortion and asymmetry are subtle radiological signs but should be viewed with suspicion.
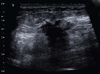
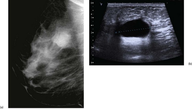
Ultrasound has long been used to distinguish solid lesions from cysts and has a specificity of 100% for this. Modern B-mode ultrasound demonstrates breast anatomy in great detail and is complementary to mammography. Benign lesions can be distinguished from malignancy with a sensitivity for cancer of at least 85%. Ultrasound can accurately measure the size of a cancer (Fig. 45.7) and can guide percutaneous needle biopsies and cyst aspiration (Fig. 45.8).
The strength of breast imaging comes from performing mammography and ultrasound together as the physical characteristics tested by the two techniques are different. The information acquired by mammography results from attenuation of the X-ray beam through breast structures whilst ultrasound tests the reflectivity of a pulsed ultrasound beam (of about 12 mHz) caused by subtle attenuation changes at tissue interfaces within the breast.
Most palpable and all non-palpable image-detected masses are biopsied under image guidance, as are suspicious areas of calcification. Fine needle aspiration cytology (FNAC) specimens are rarely used for tissue diagnosis now (see Box 45.4). FNAC has a sensitivity of 95% for detecting malignancy but cannot distinguish between in situ and invasive cancers. By contrast, core biopsy has a sensitivity of 98%. The tissue architecture is preserved so that invasion can be confidently diagnosed on histology and tumours can be pathologically graded. After core biopsy patients need to return later for the results as the pathology has to be read after the specimen has been fixed. This has the advantage that any bad news can be broken in a phased manner. If needle biopsy is negative or equivocal, a discrete lump should be completely excised with a wide margin of apparently normal breast tissue and the specimen examined histologically. This procedure, excision biopsy, can also form the first step in controlling local disease.
Eczematous lesions suspicious for Paget's disease of the nipple can be ‘punch’ biopsied under local anaesthesia in the clinic.
In Western societies, breast cancer is the leading cause of death in 35–55-year-olds. About 1 in 10 women will develop breast cancer (i.e. a lifetime risk of 10%) and 1 in 18 will die from it. In the UK, 25 000 new cases are diagnosed annually and 15 000 women die each year. Worldwide, there are about half a million deaths from breast cancer annually but despite an increasing global incidence, mortality rates have gradually fallen with earlier diagnosis and improved treatments, including advances in hormonal therapy.
Age: Age is the greatest risk factor. Incidence rates rise from about 25, more steeply between 40 and 55, with a slight levelling off until about 70. After that, another fairly steep rise continues into old age (see Fig. 45.2). Breast cancer is the commonest cause of death in women aged between 40 and 50 years.
Genetic factors: The aetiology of breast cancer is multifactorial, with genetic factors being relatively more important in premenopausal women and environmental factors more so after the menopause. These play a small role in calculating the risk of breast cancer, but the risk is greater in women with a strong family history (two first-degree relatives, bilateral breast cancer or diagnosis before the age of 50). Such a family history accounts for 10% of cancers, with half due to genetic mutations, mainly BRCA1 (17q21) and BRCA2 (13q41) genes which are transmitted in an autosomal dominant fashion. A mutation in either of these leads to an 80–90% lifetime risk of developing the disease. The same mutations are also linked to ovarian cancers. Women with a BRCA mutation should be counselled about their individual risk of breast and ovarian cancer and the treatment options (ranging from surveillance to risk-reducing bilateral mastectomies, which reduce the cancer risk by more than 90% and oophorectomy).
Hormonal factors: Growth of most breast cancers is promoted by oestrogens, hence reproductive physiology and behaviour influence cancer risk. It has long been known that nulliparous women are at greater risk: Ramazzini commented in 1703 that breast cancer was common in Catholic nuns who as ‘Vestalis Virgines’ were prone to ‘horrendis mammarium canceris’.
The interval between menarche and menopause is the oestrogen window and is an estimate of cumulative exposure to endogenous oestrogen; the longer the interval, the higher the cancer risk. Women who begin menses before the age of 12, or start the menopause after 55 are at an increased risk. A natural or a ‘medical’ menopause under 40 years reduces cancer risk by two-thirds. Nulliparity and a late age at first pregnancy increase risk and a first full-term pregnancy under 20 years halves the risk compared with one between 30 and 35 years or nulliparity, although the risk is still small.
Prolonged use of the oral contraceptive pill increases the risk of breast cancer by 20% and combined hormonal replacement therapy (HRT) for more than 10 years also increases the risk, although this falls when HRT is stopped.
Social and geographic factors: Breast cancer is more common in the Western world and in women in higher socioeconomic classes. Obese women are at a higher risk, possibly due to conversion of androgens to oestrogen in adipose tissue. Consuming more than 3 units of alcohol a day increases the risk by 50%.
Breast cancer is not a new disease; it was recognised by the ancient Egyptians and mastectomy was certainly performed in Roman times. Nowadays, breast cancer is predominantly a disease of Western society but differences in incidence are more likely environmental than racial. The disease is uncommon in Japan, but Japanese immigrants to the USA acquire local incidence rates within two generations.
Breast cancer rates are rising fastest in Asiatic countries that have adopted Western lifestyles. The rise is most likely due to changes in reproductive practice, including deferring childbirth until past 30 years of age, smaller families, and prolonged use of the oral contraceptive pill.
Environmental factors: Exposure to irradiation in the teenage years may initiate some breast cancers which are then promoted by other factors years later. Female survivors of the atomic bombs of Hiroshima and Nagasaki have a high risk of developing breast cancer, as do those who have received mantle irradiation for Hodgkin's disease. Surprisingly, no link has been shown between smoking and breast cancer.
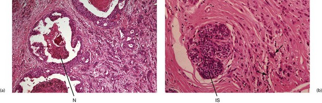
Tumour types: Almost all breast cancers are adenocarcinomas and arise from the terminal duct/lobular unit. Over 85% originate from the ductal component and are designated invasive ductal carcinomas of ‘no special type’ (NST) (Fig. 45.9). About 8% arise from the lobules and are known as lobular carcinomas. These are similar in behaviour and prognosis to ductal carcinomas but can be difficult to see on mammography and often present late. Microscopically these tumours are characterised by linear arrangements of cells, so-called ‘Indian filing’ (Fig. 45.9b). A few invasive carcinomas have ductal and lobular features and are termed ‘mixed’ tumours.

Fig. 45.9 Breast adenocarcinoma—histopathology
(a) Ducts to the left of the picture contain highly atypical epithelium, with central necrosis N, a type of in situ ductal carcinoma also known as comedocarcinoma. On the right of this micrograph is invasive ductal carcinoma composed of many small glandular structures diffusely invading breast tissue. (b) In situ IS and invasive lobular carcinoma. Malignant cells tend to be less atypical than in ductal carcinoma and do not form glands, but often invade in ‘single-file’ (arrowed). Intracellular mucin is also characteristic of this variant of breast carcinoma
The remaining 12–15% of cancers are known as ‘special types’ (tubular, mucoid, medullary and papillary carcinomas). Special types are well differentiated and generally have a better prognosis.
In situ carcinoma: Breast cancers can develop from an in situ or non-invasive precursor known as ductal carcinoma-in-situ or DCIS. These are primarily detected through breast screening programmes as suspicious microcalcifications. Post-mortem studies suggest there is only a 20% chance of DCIS progressing to invasive cancer. DCIS ranges from low to high grade, and higher-grade lesions are more likely to progress if untreated.
Paget's disease of the nipple: In Paget's disease, the epidermis becomes infiltrated by neoplastic cells arising from an underlying ductal carcinoma. These reach the surface by intra-epithelial spread along mammary ducts (Fig 45.10).
Inflammatory carcinoma: Inflammatory carcinoma may be difficult to distinguish from infective conditions of the breast. It often develops without a palpable mass, and can be misdiagnosed as cellulitis. It should be suspected in older women with inflammation that does not respond to antibiotics. Mammogaphy and ultrasound are helpful in establishing the diagnosis although appearances can be similar as a breast abscess often contains necrotic debris simulating a solid mass on imaging. Chronic mastitis during pregnancy may mask an underlying inflammatory carcinoma and delay diagnosis.
Tumour grade: Breast carcinomas are graded histologically I–III according to degree of differentiation. Higher grade tumours tend to infiltrate blood and lymphatic vessels which increases the chance of lymph node and haematogenous metastases, and thus have a worse prognosis. Unfortunately, grade III tumours are more common in premenopausal women. Also, the larger the tumour, the worse the grade tends to be.
Estimates of tumour doubling times suggest that many cancers have been present for 4–6 years before diagnosis. Individual breast cancers vary greatly in their behaviour. Some women present with advanced metastatic disease, others refuse treatment and live for many years, and yet others relapse 20 years or more after apparently successful treatment. Breast cancer tends to be more aggressive in young women and many have an early relapse after treatment. Once a metastatic relapse has been diagnosed, the median survival is 2 years.
There are two main theories about the biological dissemination of breast cancer. Halsted proposed in the 1880s that cancer spreads sequentially from a focus in the breast to regional lymph nodes and then into the bloodstream to produce haematogenous metastases. Thus, distant spread occurs only after lymph nodes have been invaded and their filtration capacity overwhelmed. On this basis, loco-regional control by radical mastectomy and/or radiotherapy would cure most patients. By contrast, Bernard Fisher's research between 1957 and 1970 challenged Halsted's concept (which mandated radical surgery) with evidence that breast cancer might already be systemic long before the primary is detectable. Furthermore, disseminated cancer cells could potentially metastasise throughout life and it is these that ultimately determine the patient's fate (Fig. 45.11).
In practice, both theories appear to apply in different situations, and breast cancers may show either biological behaviour. Poorly differentiated cancers in younger women are more likely to have distant micrometastases at the time of diagnosis and carry a higher chance of recurrence and death, hence screening would be useless. Conversely, cancers in older patients often have lower metastatic potential even when locally advanced and screening may detect them before systemic spread when they remain potentially curable.
Principles of management of breast cancer (Boxes 45.5 and 45.6)
The overall prognosis for breast cancer patients has not changed substantially over the past few decades, but the duration of disease-free survival and to a lesser extent the survival rates have improved. Over the past 20 years, 10-year survival has increased from 55% to 74% and 20-year survival from 44% to 64%. Some of this improvement is due to earlier detection causing lead-time bias, but most of it is due to improved adjuvant therapy which acts on metastases as well as the primary.
Whilst the aim of treatment is generally cure, in practice, prolonging the disease-free survival or optimal management of metastatic disease may be a more realistic goal. Treatments have been evaluated in randomised trials and national and international guidelines for treatment have been formulated from these. For patients with advanced disease, palliation is the main objective, with particular emphasis on optimising quality of life.
Once a diagnosis of cancer has been made, the disease should be staged to define the extent of spread. Staging begins with triple assessment of the breast and axilla (see above, p. 546). If there is no evidence of axillary nodal or distant involvement and the cancer is amenable to surgery, no further investigations are performed. Clinical signs that may preclude initial surgery are peau d'orange and inflammatory cancer, fixation to the chest wall and distant metastatic disease. These may be indications for neoadjuvant chemotherapy, i.e. in advance of surgery.
If there is evidence of axillary disease, this is a strong predictor of micrometastatic spread and a CT chest and abdomen and a bone scan are arranged to look for metastatic disease in lungs, liver and bone.
The TNM system (Fig. 45.12 and Table 45.1) classifies cancer according to the size of the primary Tumour, the pathological Nodal status and the presence or absence of distant Metastases. TNM grading is used to stage breast patients into four categories (see Table 45.1) and this correlates well with observed rates of disease-free survival at 5 years: 84% for stage I, 72% for stage II, 47% for stage III and 18% for stage IIIC tumours. For further details, see http://poptop.hypermart.net/brcastg.html. In addition to this traditional staging system, the Nottingham Prognostic Index (see http://nuhrise.org/2010/11/nottingham-prognostic-index-plus-npi-a-ground-breaking-tool-for-breast-cancer/) is widely used, which grades patients into six prognostic groups, based on tumour size, nodal status and histological grade.
Other factors used to assess prognosis are histological lymphovascular invasion and hormone receptor status.
Note that as a result of screening, the proportion of small tumours detected has increased but it is uncertain whether this brings an overall survival advantage.
The purpose of loco-regional treatment is to control disease in the breast, chest wall and axillary lymph nodes. For patients with small tumours of favourable grade and some screen-detected lesions, loco-regional treatment alone is potentially curative. These treatments involve surgery or radiotherapy or a combination of the two. Complete removal of the breast (mastectomy) was the standard operation for invasive breast cancer, but over the past 30 years breast conservation surgery has become more prevalent. Each patient with breast cancer is best discussed at a multidisciplinary team (MDT) meeting involving surgeon, radiologist, histopathologist and others, and recommendations regarding surgery and further treatment made.
This involves removing the tumour with a margin of surrounding breast tissue, followed by radiotherapy to the breast to minimise local recurrence; several long-term clinical trials have shown that overall survival is comparable with mastectomy. Despite this, some patients still opt for mastectomy even if suitable for conservation surgery, and patient choice is an important part of the decision-making process. In parts of the world where radiotherapy is unavailable or is feared, mastectomy remains the treatment of choice.
Selection criteria for conservative surgery are shown in Box 45.7. Wide local excision aims to remove the tumour with a 1 cm macroscopic margin of normal breast tissue. Skin is not usually excised unless there is tethering. It is possible to remove up to 20% of the breast volume and still achieve a reasonable cosmetic result. For impalpable tumours, excision can be directed by ultrasound-guided skin marking over the cancer or insertion of a hooked wire under mammography. A quadrantectomy is sometimes performed, which removes the tumour within a quadrant-shaped resection. However, this yields a poor cosmetic result.
Patients undergoing breast conservation surgery generally report better body image and sexual functioning than those undergoing mastectomy, but levels of anxiety and depression are similar.
Mastectomy techniques have changed since the operation was first introduced. The radical mastectomy was devised by William Halsted in the 1880s in the USA. This operation involved removal of the breast, axillary lymph nodes and pectoralis major and minor muscles.
Patey later devised a less mutilating operation in which the pectoralis major was preserved but pectoralis minor was removed to facilitate lymph node clearance (modified radical mastectomy). Modern practice now preserves both pectoralis muscles and this simple mastectomy is now standard for invasive breast cancer. The cosmetic effects of mastectomy are of great psychological importance to patients and their families. Careful attention to this can alleviate distress and improve acceptance of disfigurement. Preoperative counselling by breast care nurses prepares the patient for treatment and after mastectomy, patients who do not undergo reconstruction should be fitted with a life-like breast prosthesis incorporated into the cup of a bra.
Patients having a mastectomy can now be offered breast reconstruction, either immediate or delayed. The aim is to restore the natural breast shape, re-establish symmetry and create a nipple-areolar complex. With immediate reconstruction, a skin-sparing mastectomy is first performed, removing all of the breast tissue via a periareolar incision. The simplest reconstruction option is with an implant or tissue expander, placed deep to the pectoralis muscle. Expanders are gradually inflated and later exchanged for a permanent implant. This is a relatively quick operation compared with tissue transfer techniques, with no donor site morbidity, but it is difficult to re-create larger, ptotic breasts with implants.
The second option to recreate the breast is to employ a myocutaneous flap, using skin, fat and muscle (if necessary). Tissue can be taken from the abdominal wall (‘TRAM’—transverse rectus abdominis myocutaneous flap, or ‘DIEP’—deep inferior epigastric perforator flap), or from the back (‘LD’—latissimus dorsi flap) or from the buttock and inner thigh (Fig. 45.13). All of these can be augmented by implants. Tissue transfer produces a more natural-feeling and moving breast, but the operation takes a lot longer and there is substantial donor site morbidity. Most patients need additional procedures to augment or reduce the contralateral breast for symmetry and to create a new nipple. Immediate reconstruction aims to improve psychological well-being, but the effects of postoperative radiotherapy on the implant and reconstruction must be considered. Sometimes reconstruction is delayed due to the need for adjuvant chemo-radiotherapy, where wound healing problems could delay the treatment.

Fig. 45.13 Breast reconstruction following skin-sparing mastectomy using latissimus dorsi flap and silicone implant
Via a circumareolar incision, the entire breast tissue including the nipple–areolar complex is excised and the axillary node dissection performed. The latissimus dorsi muscle is mobilised as a pedicle flap together with an ellipse of overlying skin and tunnelled anteriorly to lie in the breast cavity. Excess skin is trimmed from the flap to leave a circular disc to replace the excised nipple. A silicone implant is sandwiched between the latissimus dorsi and pectoralis muscles to provide bulk and reshape the breast
Axillary nodal status is the most important prognostic factor in breast cancer. Only 25% of patients present with involved lymph nodes and performing a clearance on every patient causes unnecessary morbidity and is no longer necessary unless nodes are involved. Axillary ultrasound at the time of initial assessment is becoming standard practice, according to NICE guidance. If suspicious nodes are located, a core biopsy or aspiration cytology specimen is taken. If this is positive for metastasis, the patient can then be offered a primary axillary clearance, so only one axillary procedure is necessary. If the biopsy is negative, the patient is offered a sentinel node biopsy.
Sentinel node biopsy: Lymphatic spread nearly always follows a predictable pattern, with a sentinel node the first to be affected, so the standard diagnostic procedure is now sentinel lymph node biopsy (Fig. 45.14). This node is identified using both a radioactive isotope bound to albumin, injected next to the tumour 12 hours before surgery, and a blue dye injected into the periareolar area at the start of surgery. Radioactivity is detected at surgery and the visibly blue nodes are excised and examined by the pathologist. This can be done by immediate frozen section, and if the nodes are positive, an axillary clearance can be completed.

Fig. 45.14 Sentinel node biopsy
The sentinel node is usually the first axillary node to receive lymphatic drainage from the tumour. Before operation, a blue dye and a radiotracer are injected into subareolar area and at operation the sentinel node is identified visually and by using a device to detect radioactivity
By detecting positive axillary nodes, sentinel node biopsy has reduced the morbidity associated with axillary surgery for 75% of patients.
Axillary clearance: Axillary surgery is performed both to fully stage the axilla and to treat proven axillary disease to improve local control and prevent recurrence. However, the indications for, and the extent of axillary surgery remain controversial. If axillary surgery is indicated, techniques need to keep the morbidity low to minimise lymphoedema and reduced shoulder function.
The surgical levels of axillary nodes are defined in relation to the pectoralis minor muscle. Most nodes are level I, below its lower edge. Level II is at the level of the muscle and level III is above it. Malignant cells generally progress from level I to level II to level III, with ‘skip’ metastases in only about 3% (i.e. involving higher levels without lower levels).
Most surgeons accept a level II clearance as optimising local control and staging; level III clearance causes higher morbidity with no survival benefit and should be performed only if higher nodes are palpable.
Radiotherapy to the breast is mandatory after breast conserving surgery. It improves loco-regional control and reduces tumour recurrence by 65%; it is thought to reduce mortality from distant metastases by up to 5%. Treatment is by external beam irradiation (40–50 Gy over 3 or 5 weeks); patients with larger tumours or with a narrow margin of normal tissue in the excised specimen may receive a localised booster dose of 12–16 Gy.
Radiotherapy is also given to the 25% or so of patients who, after mastectomy, are shown to have large, poorly differentiated tumours with lymphovascular invasion and four or more involved nodes. In these, supraclavicular nodes and sometimes the internal mammary chain are also irradiated. Post-mastectomy radiotherapy reduces local recurrence by up to 50% and is believed to improve survival by about 10% but it also increases the risk of arm lymphoedema.
The low cure rate for apparently early breast cancer is due to occult metastatic spread. The aim of systemic therapy is to delay or prevent these metastases. Some form of prognostic index is often used for planning systemic therapy (see Table 45.3, p. 558), although these are more reliable for predicting short-term than long-term survival. Patients in the best prognostic group are unlikely to have micrometastases and do not generally require systemic treatment. For the rest, the choice of adjuvant therapies (or none) often involves detailed discussion between patient and doctor about the balance of benefit and side-effects. Table 45.2 summarises current thinking about adjuvant systemic therapies for different categories of patient. An American web-based system called Adjuvantonline (www.adjuvantonline.com) is widely used internationally to estimate the benefits and side-effects of different therapies in individual patients and the likely risk of cancer-related mortality or relapse without adjuvant therapy. Data are entered about the patient and their cancer (e.g. age, tumour size, nodal involvement, histological grade) and estimates are then printed as graphs and texts to inform consultations.
Table 45.2
Criteria for selection of adjuvant therapies*

*Low, intermediate and high risk refer to the chances of developing distant disease and relapse and are based on the criteria of tumour size, histological grade and nodal status
Several pulses of systemic adjuvant chemotherapy improve survival in certain groups of patients. Some clinicians believe, however, that the benefit results from chemotherapy-induced ovarian ablation. Adjuvant chemotherapy certainly gives greater benefit in premenopausal women.
Short term toxicity of chemotherapy includes nausea, vomiting, alopecia, mucositis and neutropenia. Long-term complications include premature ovarian failure and induction of early menopause.
Combination chemotherapy is usual and most current regimens contain the alkylating agent cyclophosphamide. One of the first regimens, CMF, contained cyclophosphamide, methotrexate and 5-fluorouracil, and was used for many years. This has largely been superseded by regimens of cyclophosphamide plus an anthracycline. Taxanes are a newer class of agent which promote microtubule polymerisation leading to cell death. They work in a different way from anthracyclines and give extra response rates in metastatic disease of 50% plus.
Adjuvant chemotherapy is currently recommended for most premenopausal women with high-grade tumours and axillary nodal spread but without evidence of distant metastases. Treatment gives an average proportional increase in survival of approximately 30%, irrespective of nodal status. Systemic chemotherapy is used less frequently in node-negative patients and in postmenopausal women where the absolute benefits are less.
Neoadjuvant chemotherapy, i.e. given before surgery, is generally used in young women with large, high-grade tumours. One advantage is that the response of the cancer to treatment can be directly assessed. Neoadjuvant chemotherapy can also be used to downstage large tumours so that breast-conserving surgery might be possible.
Hormonal therapy for breast cancer includes ovarian ablation, selective oestrogen receptor modulators such as tamoxifen, and aromatase inhibitors.
Hormonal therapy only benefits patients with oestrogen receptor (ER)-positive tumours, in whom it can reduce mortality by up to 36%. The greatest benefit is in postmenopausal women, reducing 10-year mortality by 28%. Similar benefits occur in younger women but menopausal symptoms of oestrogen withdrawal may be troublesome. Hormonal therapy has been shown to reduce the risk of local and distant recurrences as well as the risk of a contralateral breast cancer.
Ovarian ablation yields benefits comparable to chemotherapy in oestrogen receptor-positive premenopausal women, and can be achieved with LHRH analogues or oophorectomy, the latter usually performed laparoscopically. Both improve disease-free survival in premenopausal women.
Tamoxifen is a selective oestrogen receptor modulator (SERM) that blocks the peripheral action of oestrogen in the breast by binding to the receptor. The main side-effects are menopausal symptoms such as vaginal dryness and hot flushes. In addition, the drug carries moderately increased risks of thromboembolism, endometrial cancer and visual disturbances. Treatment of ER-positive cancers with tamoxifen for 5 years reduces the risk of death from breast cancer by 20–30%. Tamoxifen has similar benefits in pre- and postmenopausal women, and its action is additive to chemotherapy.
Aromatase inhibitors (AIs) prevent oestrogen synthesis in peripheral adipose tissues by blocking the conversion of androgens to oestrogen by the enzyme aromatase. AIs significantly reduce peripheral oestrogen levels and block intra-tumoural synthesis of oestrogen. They can only be prescribed in postmenopausal women.
AIs decrease the risk of cancer recurrence and have fewer side-effects than tamoxifen but carry an increased risk of osteoporosis and fractures. NICE guidelines suggest postmenopausal women with low-risk tumours be offered tamoxifen whilst those with high-risk, ER+ tumours should be treated with AIs.
Patients who are elderly and unsuitable for surgery with ER+ tumours can be treated with primary endocrine therapy such as tamoxifen or letrozole, to slow disease progression.
These novel forms of therapy target growth factor pathways and are showing promise when used in combination with conventional therapies. Trastuzumab (Herceptin) is a humanised monoclonal antibody to the HER/neu (cerbB2) transmembrane receptor which is overexpressed in 30% of breast cancers and indicates a poor prognosis. Clinical response rates of about 35% in metastatic breast cancer have occurred in carefully selected cases. Trastuzumab has also shown striking effects when used as adjuvant treatment, with a 50% reduction of recurrence and a substantial survival benefit. Trastuzumab is given after surgery and chemotherapy at 3-weekly intervals for 1 year.
About two-thirds of breast cancer patients now survive for at least 20 years, but many eventually succumb from micrometastatic disease which later progresses to clinically evident metastases. Once metastases have appeared, treatment is palliative, but very worthwhile prolongation of life and improved quality of life can often be achieved. The commonest sites for metastases are bones, liver, lung and brain. Bone metastases are more likely in postmenopausal women with well-differentiated, ER-positive tumours. More than 90% of patients with metastatic disease have bone lesions. These are usually lytic and commonly affect ribs and vertebrae. They are very painful and can lead to pathological fractures (Fig. 45.17). Luckily, they often respond to palliative radiotherapy. Lobular carcinoma can metastasise to unusual sites such as skin (Fig. 45.18) and gastrointestinal tract.

Fig. 45.15 Advanced breast cancer
This 60-year-old woman had been aware of a lump in her right breast for over a year before she could be persuaded to seek treatment. The whole breast is involved and malignancy has spread through the skin widely across the chest wall. Palliative treatment was given with radiotherapy and tamoxifen

Fig. 45.18 Skin secondaries following simple mastectomy and radiotherapy
This patient presented with painless, slightly elevated nodules in the skin below the axilla 3 years after treatment for lobular carcinoma of the breast. In this photograph, the arm is elevated and one skin secondary can just be made out (arrowed); the site of excision biopsy of another is seen at B
Locally advanced breast cancer (stage III disease) often involves most of the breast tissue (see Fig. 45.15). The skin becomes infiltrated (peau d'orange or inflammatory cancer where dermal lymphatics are involved), and eventually ulcerates; the tumour can invade the chest wall. Ultimately much of the chest wall may become involved, when it is known as carcinoma en cuirasse. Locally advanced disease of breast and axilla may initially be inoperable but neoadjuvant hormonal or chemotherapy can downsize the cancer so a toilet mastectomy can be performed. Radiotherapy alone can be employed for palliation of advanced skin, breast, chest wall and lymph node disease.
Stage IV (metastatic cancer) typically presents in younger women with poorly differentiated tumours that have spread to viscera. Recurrent pleural effusions result from pulmonary metastases (Fig. 45.16) and are managed with aspiration or pleurodesis (obliterating the pleural cavity by instilling tetracycline or bleomycin) or performing surgical pleurectomy. Ascites occurs secondary to liver involvement, and patients can present with nausea, anorexia, weight loss and jaundice. Lymphangitis carcinomatosa (widespread dissemination in skin or lung lymphatics) and fulminant liver metastases may occur in the terminal stage of the disease. Brain metastases can present with headaches and neurological symptoms due to a rise in intracranial pressure.
In stage IV, the aim of treatment is palliation—to control the symptoms of the primary cancer and the metastatic burden, and to prolong worthwhile life wherever possible. Systemic therapy can delay progression of the disease and improves symptoms in 30—70% of patients. This can involve endocrine and traditional chemotherapy, together with radiotherapy and bisphosphonates for bony disease and hypercalcaemia.
Women who have had one breast cancer have a 15% lifetime risk of developing a second cancer in the other breast. The risk is higher if the original lesion was a lobular carcinoma. Breast tissue in these women may have an increased susceptibility to cancer, or else breast cancer may have arisen at the same time in multiple foci. Thus patients with breast cancer should be followed up clinically and by mammography for 5 years after initial treatment, before returning to a screening programme (if within the screening age group). There is no evidence that more prolonged follow-up improves outcomes.
When long-term survival curves have been examined statistically, there is no evidence of ‘cure’ in the normally accepted sense (Fig. 45.19), although a ‘personal cure’ is achieved in about 50% of patients who die from some other disease. Micrometastatic foci can remain dormant for 35 years or more and become ‘kick started’ for unknown reasons into progressive metastatic disease and death. Loco-regional relapse often occurs within the first 5 years, but distant disease tends to occur much later.

Fig. 45.19 Life expectancy after diagnosis of breast cancer (after Brinkley and Haybittle)
Note that 5- and 10-year survival has improved in recent years as a result of better diagnosis and treatment but it is uncertain that long-term survival will also improve
Breast cancer survival estimates from prognostic scoring systems are meaningful only for about 10 years, and as estimates are based on group analyses, they are of doubtful relevance for any individual. A commonly used tool is the Nottingham Prognostic Index (NPI), which divides patients into five prognostic groups (see Table 45.3). Adjuvantonline is also popular for estimating prognosis.
Table 45.3
Nottingham Prognostic Index (NPI) for breast cancer*
| Nottingham prognostic group | NPI score | Estimated 10-year survival |
| Excellent | ≤ 2.4 | 95% |
| Good | ≤ 3.4 | 83% |
| Moderate I | ≤ 4.4 | 70% |
| Moderate II | < 5.4 | 51% |
| Poor | > 5.4 | 19% |
*The NPI is calculated as follows: 0.2 × tumour size in cm + histological grade + lymph node status (node negative scores 1; one to three positive nodes scores 2, and four or more positive nodes scores 3)
Most patients referred to breast clinics are found to have benign breast conditions. These include fibrocystic change or fibroadenosis (the most common), fibroadenoma, duct papilloma, fat necrosis, breast infections and mammary duct ectasia.
In women of reproductive age, breast tissue is constantly undergoing physiological changes in response to circulating hormones. This can produce a spectrum of proliferative and regressive changes in the breast parenchyma including distortion and overgrowth of the main structural components—the ducts, lobules and fibrous tissue. The concept of ‘abnormalities of normal development and involution (ANDI)’ thus encompasses a variety of clinico-pathological features which histologically include fibrosis, adenosis, apocrine metaplasia, epithelial hyperplasia and macro- and microcyst formation.
These changes together result in areas of general or focal nodularity associated with varying degrees of pain and tenderness. The term fibrocystic change or fibroadenosis has historically been applied to this condition. The main components are cyst formation, epitheliosis, fibrosis and proliferation of lobular acini, known as adenosis. Fibrosis may occur within areas of adenosis, splitting acini; this is known as sclerosing adenosis. Several of these features are often present within a single lesion, or in different areas of the same or the contralateral breast.
By definition, the hyperplastic element in ANDI is not histologically atypical and there is no increased risk of malignancy in this complex of benign breast changes.
Fibrocystic change (fibroadenosis) presents as either a single lump or areas of lumpiness which are painful and tender premenstrually, i.e. cyclically (see Fig. 45.20). These changes may be difficult to distinguish clinically from carcinoma, and florid fibrocystic change can mask a cancer both clinically and radiologically. Fibrocystic change is most common between the ages of 35 and 45 years.
Cyst formation is more prevalent over the age of 40 years and in perimenopausal women. Cysts may present symptomatically as single or occasionally multiple lumps. Cysts develop from lobules and are fluid-filled spaces. Microcysts are part of the involutionary process and may coalesce to produce a larger cyst which presents as a smooth, round palpable lump. Larger cysts may be tense, tender and fluctuant with the texture of a table tennis ball. Cysts can usually be diagnosed clinically and are readily confirmed with ultrasonography; they are usually recognisable on a mammogram. Simple cysts can be aspirated under ultrasound control or freehand. Provided the cyst fluid is not blood-stained, there is no residual lump post aspiration and there are no sonographically suspicious features, patients can be discharged without further follow-up, although cysts can recur or new cysts develop (see Fig. 45.21). Cysts are uncommon over the age of 60 years unless the patient is taking HRT. Under these circumstances it is important to exclude an intracystic papilloma, intracystic carcinoma or a cystic carcinoma.
Once the patient has been reassured she does not have cancer, the symptoms of pain and tenderness associated with fibrocystic change can be treated. Gamolenic acid (GLA) in high doses may relieve cyclical symptoms in some women, but has to be used for a minimum of 3 months to see results. More than 90% of patients with mild to moderate breast pain can be satisfactorily managed with reassurance and simple analgesia. For those with moderate to severe cyclical pain, danazol or bromocriptine offers relief in 70% of women, but both these drugs have substantial side-effects which reduce compliance. Danazol inhibits pituitary gonadotrophin secretion and has androgenic side-effects of acne and hirsutism. Bromocriptine inhibits pituitary prolactin release and can produce dizziness.
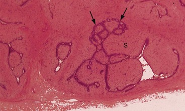
Fibroadenoma is a localised form of ANDI rather than a benign tumour. This lesion arises from a single lobule and is composed of epithelial and fibrous components (Fig. 45.22). Fibroadenomas undergo involution in the perimenopausal years but can persist into old age and become calcified.
Fibroadenomas are most common between the ages of 15 and 30 and thus occur in a younger group than fibroadenosis. They present as a single rounded mass which is smooth, firm and highly mobile. Smaller lesions are sometimes described as breast mice since they slip away from beneath the palpating fingers. Fibroadenomas are occasionally multiple and bilateral and are more frequent in an Afro-Caribbean population. Larger fibroadenomas should be distinguished from benign phyllodes tumours which have similar features clinically, radiologically and on core biopsy. Where suspicion of phyllodes exists or a fibroadenoma is enlarging, excision biopsy is indicated, otherwise the lesions regress spontaneously in 85–90% and do not require excision. Confirmatory tissue biopsy is unnecessary below 25, but is advisable over this age.
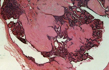
Intraduct papillomas are localised areas of epithelial proliferation. They are villous lesions composed of a fibrovascular core covered by a double layer of epithelium. They usually occur as solitary lesions in the main lactiferous ducts close to the nipple but multiple papillomas can occur more peripherally. Papillomas are not premalignant (see Fig. 45.23). They present as spontaneous blood-stained or clear watery nipple discharge, often from a single duct; a retroareolar mass may be palpable. These lesions are best imaged with ultrasound and the diagnosis confirmed on core biopsy. Papillomas are treated by excision of the affected duct (microdochectomy) or a group of ducts (wedge resection). If the causative lesion cannot be found at operation, a subareolar excision of all the ducts may be necessary.
Trauma to the breast, either accidental or surgical, can produce an area of fat necrosis that can mimic carcinoma clinically and radiologically. There is an initial acute inflammatory response which can persist, provoking chronic inflammation and a fibrotic reaction. This gives a hard irregular lump which may have skin dimpling. Mammography may show a stellate area of distortion with calcification. Core biopsy distinguishes fat necrosis from carcinoma.
Breast infection is occasionally seen in neonates, but is commonest in premenopausal women. Lactational mastitis usually occurs during the first 3 months of breast feeding and can lead to septicaemia. Risk factors include a cracked nipple and poor feeding technique causing milk stasis. The organism responsible is almost always Staph. aureus. Patients present with pain, swelling and erythema. Treatment is with empirical antibiotics (such as flucloxacillin), together with continued feeding or milk expression. If the patient is septic, she may need intravenous antibiotics. If an abscess develops (see Fig. 45.24), this should be drained with repeated ultrasound-guided aspiration until resolution. Surgery is only indicated if the skin is threatened or necrotic. In this case, a small stab incision is made, and the abscess cavity is flushed until all the pus is drained.
Non-lactational mastitis is mainly periductal with active inflammation in non-dilated ducts, and should not be confused with duct ectasia. It is treated with broad-spectrum antibiotics with anaerobic cover (such as co-amoxiclav), and either aspiration or incision and drainage, although this risks a mammary duct fistula.
The diagnosis of an abscess is usually obvious, with local signs of acute inflammation, a tachycardia and fever. The affected segment of the breast is tender, red and warm. If the infection is inadequately treated, the abscess becomes fluctuant and eventually ‘points’ to the surface and discharges.
The early cellulitic phase is reversible if treated with appropriate antibiotics. Flucloxacillin is usually the antibiotic of choice on a ‘best-guess’ basis. The need for surgical drainage has declined in recent years because of prompt and appropriate antibiotic treatment, sometimes aided by needle aspiration.
Mammary duct ectasia refers to dilatation and shortening of the major lactiferous ducts. It is a common involutional change appearing around the menopause. It presents with spontaneous cream, yellow or green nipple discharge, a palpable subareolar mass or nipple inversion. Plasma cells are a characteristic feature on histology; this may be described as plasma cell mastitis. Ducts can calcify and be seen on a mammogram (Fig. 45.25). Duct ectasia should be managed conservatively, unless radiological findings are suspicious for malignancy. Persistent discharge can be treated by subtotal or total nipple duct excision.
The two main breast conditions in males are gynaecomastia and cancer.
Gynaecomastia is a benign proliferation of the male breast which feels like a rubbery firm mass extending concentrically from the nipple. It results from an imbalance of oestrogens and androgens acting on the breast. Primary gynaecomastia is physiological and occurs in three phases: infantile gynaecomastia is present at birth in response to oestrogens crossing the placenta and resolves spontaneously over several weeks. In puberty, the condition is bilateral in 50–60%; the exact mechanism is unknown but most resolve spontaneously. Senescent gynaecomastia peaks at 50–69 years of age and is more likely in obese men.
Secondary gynaecomastia is either due to medication or pathological:
• Medication—drugs include spironolactone, digoxin, ranitidine, calcium channel blockers, together with anabolic steroids and cannabis use. Hormonal treatment for prostate cancer can also cause gynaecomastia
• Pathological—alcoholic cirrhosis interferes with the metabolism of oestrogens and decreases free testosterone and some testicular germ cell tumours may secrete oestrogens. Other predisposing illnesses include chronic renal failure, diabetes and hypogonadism
Adults with gynaecomastia should undergo triple assessment and have blood tested for prolactin, LH, oestrogen, testosterone and hCG to exclude hypogonadism and testicular tumours. Most men can then be reassured without treatment. Surgery is usually performed in younger males for cosmetic purposes.
Between 0.5 and 1% of breast cancers occur in males, who are an average of 10 years older than women at presentation. Male breast cancer is more common in carriers of BRCA2 mutations and in states of hyper-oestrogenism such as liver disease and Klinefelter's syndrome. The patient may present late because the diagnosis has not been considered. Mastectomy is the usual surgical option and tamoxifen is prescribed for ER-positive tumours (80–90% are oestrogen receptor-positive). Stage for stage, the prognosis is similar for breast cancer in men and women; male breast cancer tends to behave like postmenopausal disease in women.