This chapter, in addition to Chapters 23 and 25, cover the autoimmune bullous diseases. The concepts of direct immunofluorescence (DIF) and indirect immunofluorescence (IIF) are reviewed in Chapter 23 (see Fig. 23.2), as are the recommended sites for performing skin biopsies for DIF (see Fig. 23.1).
• Immunobullous disease due to circulating autoantibodies that bind two components of hemidesmosomes, i.e. structures that provide adhesion between the epidermis and the dermis; the two antigens are collagen XVII (also referred to BP antigen 2 [BPA2] or BP180) and BPA1/BP230.
• Occurs more commonly in the elderly and can be drug-induced (e.g. furosemide); rarely, lesions are induced by ultraviolet light or radiation therapy.
• Both pruritic fixed urticarial plaques and tense bullae are seen (Figs. 24.1 and 24.2); the latter can develop within normal skin or areas of erythematous skin and produce erosions when they rupture; oral lesions are much less common than in pemphigus vulgaris (10–30% of patients).




Fig. 24.1 Bullous pemphigoid. A Classic presentation with multiple tense bullae arising on normal and erythematous skin; several of the bullae have ruptured, leaving circular erosions. B Urticarial papules and plaques, along with bullae containing serous fluid. C Firm annular urticarial plaques. D Eczematous presentation with large dermatitic plaques. C, D, Courtesy, Philippe Bernard, MD, and Luca Borradori, MD.

Fig. 24.2 Childhood bullous pemphigoid. Generalized bullae, both tense (fresh) and flaccid (old with re-epithelialization), as well as erosions with hemorrhagic crusts.
• Pruritus and nonspecific eczematous (see Fig. 24.1D) or papular lesions can precede the more characteristic cutaneous lesions and may be the predominant finding; unusual variants include dyshidrosiform (palms and soles), vegetans (major body folds), and localized (e.g. pretibial in adults; vulvar in children, acral in infants), as well as those that mimic prurigo nodularis and toxic epidermal necrolysis (Fig. 24.3).

Fig. 24.3 Bullous pemphigoid – unusual clinical variants. Grouped vesicles and bullae on the palms (A) and toes (B) that can resemble pompholyx (dyshidrosiform pemphigoid). C Vegetating plaque in the inguinal crease (pemphigoid vegetans). D Toxic epidermal necrolysis-like lesions with large erosions. A, D, Courtesy, Philippe Bernard, MD, and Luca Borradori, MD.
• Histologically, a subepidermal bulla plus an infiltrate of eosinophils is seen when the lesions are bullous; DIF demonstrates immunodeposits of IgG and/or C3 in a linear array along the basement membrane zone (see Fig. 23.3B); in general, by salt-split skin immunofluorescence studies, the immunodeposits are in the roof (epidermal side) of the blister (Fig. 24.4).

Fig. 24.4 Cleavage plane in salt-split skin and usual sites bound by autoantibodies in indirect immunofluorescence studies. The cleavage plane in 1 M NaCl salt-split skin is in the lower portion of the lamina lucida. Circulating autoantibodies from patients with various subepidermal immunobullous diseases bind to different sites, e.g. the epidermal versus dermal side of the split. Courtesy, Kim Yancey, MD.
• Both enzyme-linked immunosorbant assay and IIF can detect circulating autoantibodies in the sera in at least 70–80% of patients (see Table 23.1).
• At least 50% of patients have a peripheral eosinophilia.
• DDx: linear IgA bullous dermatosis (LABD), epidermolysis bullosa acquisita (EBA), mucous membrane pemphigoid, various forms of pemphigus, hypersensitivity reactions (including to drugs), primary pruritus, allergic contact dermatitis, scabies, urticaria (but individual lesions transient).
• Rx: see Table 24.1.
Table 24.1
Therapeutic ladder for bullous pemphigoid.
Key to evidence-based support: (1) prospective controlled trial; (2) retrospective study or large case series; (3) small case series or individual case reports.

* Validated.
† Prednisone doses of at least 0.5–0.75 mg/kg/day seem to be necessary to control extensive disease but increase serious side effects, including mortality.
‡ Validated for prednisone.
§ In elderly patients, low-dose regimen (2.5–10 mg/week) can be effective.
Note: Superpotent topical corticosteroids should be considered in any patient and may be combined with a systemic therapy.
• Chronic immunobullous disease due to autoantibodies that bind several components of the BMZ of the skin and mucosae, most often BP180 and laminin 332 (laminin 5); although heterogenous in its presentation, a tendency to scarring is typically seen.
• The mucous membranes represent the major site of involvement, in particular conjunctival (erosions, scarring with symblepharon formation, blindness) and oral mucosae (persistent erosions of the buccal and palatal mucosae, desquamative gingivitis) (Figs. 24.5 and 24.6).


Fig. 24.5 Mucous membrane (cicatricial) pemphigoid – mucosal involvement. A Erythema and erosions of the gingival margins (desquamative or erosive gingivitis). B Chronic erosions on the hard palate. B, Courtesy, C. Prost, MD.




Fig. 24.6 Progression of mucous membrane (cicatricial) pemphigoid. A Erosion of the lower eyelid margin and erythema plus scale-crust of the inner canthus and lower eyelid. B Three months later, ectropion and thickening of the lower eyelid in addition to erosions. C Six months later, smaller erosions but scarring and milia formation. D Seven years later, further scarring with significant shortening of the inferior fornix due to symblepharon. Courtesy, Louis Fragola, Jr., MD.
• Additional sites of involvement are the nasopharynx, larynx, and esophagus; a few authors have suggested that patients with anti-laminin 332 immunodeposits have an increased risk of internal malignancy.
• Cutaneous lesions are seen in a quarter of patients and favor the head and neck region and upper trunk; erythematous plaques that develop vesicles, erosions, and scarring are characteristic (Fig. 24.7).

Fig. 24.7 Mucous membrane (cicatricial) pemphigoid – cutaneous involvement. An erythematous plaque with atrophy and crusting; note the scarring alopecia. In the Brunsting–Perry variant, there are cutaneous lesions in the head and neck region but minimal or no mucosal involvement. Courtesy, Philippe Bernard, MD, and Luca Borradori, MD.
• Histologic and DIF features are similar to BP, but there is usually a sparser infiltrate and less eosinophils but fibrosis may be present; DIF positivity (IgG and/or C3 >> IgA) is greater for mucosa (50–90%) than for skin; circulating autoantibodies are detected by IIF in a minority of patients (20–30%).
• DDx: pemphigus vulgaris, occasionally BP, EBA, and LABD; if limited to oral mucosa, lichen planus or pemphigus vulgaris (see Fig. 59.5); if limited to scalp, consider other causes of scarring alopecia.
• Rx: potent topical or intralesional CS, dapsone, cyclophosphamide (severe or progressive ocular disease), alone or in combination with systemic CS, and rituximab.
• Autoimmune bullous disease due to autoantibodies that bind to collagen VII; the latter forms anchoring fibrils within the upper dermis and they play an important role in adhesion of the epidermis to the dermis.
• Two major clinical forms: (1) mechanobullous which resembles the genetic disorder epidermolysis bullosa; and (2) inflammatory which resembles bullous pemphigoid (Fig. 24.8).

Fig. 24.8 Epidermolysis bullosa acquisita – inflammatory presentation. Bullous and erosive lesions in a patient with multiple myeloma. This form resembles bullous pemphigoid. Courtesy, Philippe Bernard, MD, and Luca Borradori, MD.
• In the more common mechanobullous form, bullae arise in sites of friction and are followed by erosions, scarring, and milia formation (Fig. 24.9); oral lesions can also be seen (Fig. 24.10).

Fig. 24.9 Epidermolysis bullosa acquisita – mechanobullous presentation. Milia and scarring that favor sites of trauma overlying joints, in association with skin fragility.

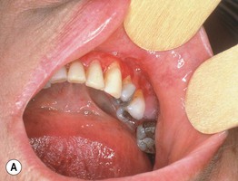
Fig. 24.10 Epidermolysis bullosa acquisita – oral lesions. Multiple erosions of the palate reminiscent of mucous membrane pemphigoid. Courtesy, C. Prost, MD.
• Associated systemic disorders include inflammatory bowel disease, in particular Crohn's disease, and plasma cell dyscrasias.
• Histological and DIF features are similar to BP, but there is usually a sparser infiltrate and few eosinophils in the mechanobullous form; DIF studies demonstrate linear IgG > C3 or IgA at the basement membrane zone; circulating autoantibodies are detected in ~50% of patients and by salt-split skin immunofluorescence studies, the immunodeposits are in the floor (dermal side) of the blister (see Fig. 24.4).
• DDx: inherited forms of epidermolysis bullosa, porphyria cutanea tarda (and other rare variants of porphyria), pseudoporphyria, bullous pemphigoid, LABD, mucous membrane pemphigoid, bullous systemic lupus erythematosus (also autoantibodies against collagen VII).
• Rx: difficult to treat; potent topical CS, oral CS, steroid-sparing agents (e.g. mycophenolate mofetil), dapsone, rituximab.
For further information see Chs. 28 and 30. From Dermatology, Third Edition.