32 BLUNT TRAUMA: WHAT TO LOOK FOR

Following an injury to the thorax, a CXR is usually the baseline radiographic examination.

A normal CXR will often provide considerable clinical reassurance.

Deciding that the CXR is normal depends on an informed and accurate assessment of the image.

MVA: motor vehicle accident (USA) RTA: road traffic accident (UK)

EIGHT QUESTIONS

A blunt injury. There are eight frequently asked questions:

image Fractures?
image Pneumothorax?
image Pneumomediastinum?
image Aortic rupture?
image Tracheo-bronchial injury?
image Lung contusion?
image Cardiac trauma?
image Ruptured diaphragm?

QUESTION 1—ARE THERE ANY FRACTURES?

MINOR THORACIC TRAUMA

There is no indication for a routine CXR in the majority of these patients. Demonstration of a simple rib fracture on a radiograph will not affect treatment. The only indication for a CXR is to exclude a pneumothorax in a patient in whom the pain or other symptoms raise this possibility. Oblique views of the ribs are not indicated.

MAJOR THORACIC TRAUMA1-6

Particular sites need special attention (Figs 32.1-32.3).

image

Figure 32.1 There is a close relationship between the subclavian artery and the posterior aspect of the first rib and the clavicle. The first rib is very strong. If an injury causes a fracture of this rib then it should be assumed that a very powerful blow has been sustained.

image

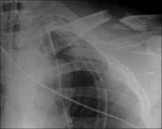
Figure 32.2 Fracture of the first rib and a laceration of the adjacent subclavian artery.

image

Figure 32.3 RTA. Fractures of the left clavicle, third rib, and scapula. Clearly, a very violent force had occurred. The priority: clinical assessment to rule out a vascular injury.

Double check ribs 1–3, the clavicles, and the scapulae7,8

image A fracture involving ribs 1–3 usually results from a very severe force. Important soft tissue and vascular injuries are potential complications. These include:
image Arterial or venous rupture; arising from the close relationship of the first rib to the subclavian vessels.
image Rupture of a bronchus.
image Brachial plexus injury.
image A fracture of the clavicle or scapula may injure the subclavian artery.

Double check ribs11–12

A fracture of either of these floating ribs may cause a laceration to the liver, spleen, or kidney (Fig. 32.4). Look very carefully because this area of the radiograph is often underexposed.

image

Figure 32.4 The spleen, kidney and liver are at risk when a fracture of ribs 11 or 12 occurs.

Look for a flail segment

image A flail segment is clinically important because it may cause paradoxical movement of the adjacent lung, which can adversely affect gas exchange. This effect varies between patients. Mechanical ventilation may be required.
image A flail segment is defined as two fractures in each of two or more adjacent ribs. It may also:
image Result from a fracture involving the sternum and/or a fracture extending across the midline to involve the opposite ribs.
image Involve the costal cartilages on each side of the midline. When this occurs the abnormal segment will not be recognised on a CXR because cartilaginous fractures are not visible on a radiograph (Fig. 32.6).
image A flail segment is always associated with underlying pulmonary contusion.
image

Figure 32.6 Several fractures through costal cartilage. These will not be detectable on a CXR. Note that a radiographically invisible flail segment is also present because fractures are present on each side of the midline in two adjacent costal cartilages (i.e. in the ribs).

Assess the sternum carefully

Clinical suspicion of a possible fracture of the sternum must be relayed to the radiographer (technologist) because diagnosis normally requires an additional lateral (cross-table) radiograph.

image

Figure 32.5 The rib fractures on the right side do not indicate a flail segment. On the left side there are two fractures in each of two adjacent ribs: a flail segment is present.

Sternoclavicular dislocations rarely cause an important soft tissue injury, but a sternal fracture always raises the possibility of an injury to the myocardium.

CAUTION—INVISIBLE FRACTURES9

1. Through cartilage. A fracture through a rib cartilage or a costochondral junction (Fig. 32.6) will not be detectable on a CXR. Cartilage is not visible on a radiograph.
2. Undisplaced. Many rib fractures—through bone—are initially undisplaced and are often invisible. A fracture may only become evident on a subsequent CXR.

QUESTION 2—IS THERE A PNEUMOTHORAX?

Following violent trauma the CXR is obtained with the patient lying on a trolley or examination couch. A large pneumothorax will be obvious. Smaller pneumothoraces are more difficult to detect on a supine CXR. Recognising a small pneumothorax is important—particularly if the patient is to be treated with positive pressure ventilation.

The features indicating a pneumothorax on a supine CXR are described in Chapter 7, pp. 97–100.

image

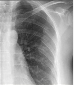
Figure 32.7 Left-sided flail segment shown by two fractures in each of ribs 5, 6 and 7.

image

Figure 32.8 Pneumothorax. When the injured patient is lying supine, air in the pleural space collects at the highest point—i.e. anteriorly (a). On the frontal CXR the visceral pleural line may not be evident. The diagnosis will need to be made by scrutinising the areas around the dome of the diaphragm and adjacent to the lateral border of the heart (b). The black line outlining the diaphragm indicates a pneumothorax: see p. 97 for a detailed description.

QUESTION 3—IS THERE A PNEUMOMEDIASTINUM?

image Pneumomediastinum following trauma may result from a:
image tear of lung tissue
image pneumothorax
image rupture of the trachea or bronchus
image rupture of the oesophagus
image rupture of an intra-abdominal viscus
image The CXR appearances of a pneumomediastinum are described in Chapter 8, pp. 123–127. If serial CXRs show a persistent severe pneumomediastinum (+/– pneumothorax) then consider whether there is an unrecognised tracheobronchial rupture (p. 366) or an unrecognised oesophageal rupture.
image

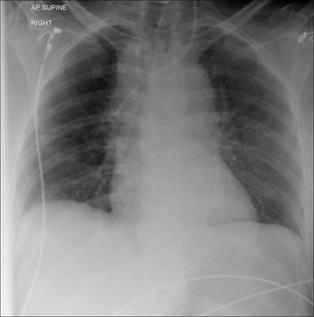
Figure 32.9 Male. Age 56. Intoxicated and fell over. Supine CXR. Multiple rib fractures. Air outlines the descending aorta; it has also dissected outside the pleura and appears as a black line along the surface of the right dome of the diaphragm. This is an extensive pneumomediastinum. Several mechanisms could explain the presence of this mediastinal air—e.g. a traumatic pneumothorax or a tear through the trachea, bronchus or oesophagus. In this patient the air had arisen from a tear of the lung parenchyma with subsequent dissection through the interstitial tissues, thence to the hilum, and out into the mediastinum.

QUESTION 4—IS THERE AN AORTIC RUPTURE?

RUPTURE—STATISTICS

image 80–90% die immediately.
image 50% of early survivors die within 24 hours if untreated.
image 2–5% of untreated survivors will live. An aneurysm will eventually develop at the site of injury. It may rupture at any time during the following years.

CXR APPEARANCE

image In most cases of aortic rupture the mediastinum or aortic contour will appear widened. The following CXR features are very suggestive of an aortic injury2,3,10,11:
image widened mediastinum
image lobulated aortic outline
image trachea displaced to the right
image A haemothorax should always raise the possibility of a large vessel injury(e.g. the aorta).

Major arterial injury

image If possible obtain an erect sitting-up CXR.
image A completely normal mediastinal contour on the sitting-up CXR will exclude the diagnosis of a major arterial injury2.
image The following signs are of modest value in hinting at a definite arterial injury. Their importance lies in alerting the physician that a major abnormality might, just possibly, have occurred…but their positive predictive value is low2.
image An apical pleural cap. Haemorrhage dissecting external to the pleura and extending over the apex of a lung.
image Mediastinal width greater than 8 cm at the level of the aortic arch on an AP radiograph.
image Fractures of the first or second ribs.

Mediastinal widening

Mediastinal widening is not necessarily bad news. In approximately 80% of trauma patients with true mediastinal widening—this is not due to aortic rupture. The widening is due to bleeding from small arteries and small veins.

image

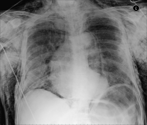
Figure 32.10 Deceleration injury. Aortic rupture at the isthmus. The haematoma has widened the mediastinum, extended over the apex of the left lung, and it has also displaced the trachea to the right. Some blood has leaked into the left pleural space.

image

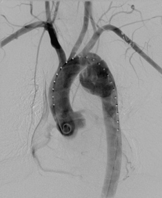
Figure 32.11 Male. Age 38. RTA. Aortogram following intravenous injection of contrast medium. Rupture of the aorta at its isthmus. Aortic isthmus: the junction of the aortic arch and the descending aorta.

image

Figure 32.12 Female Age 54. RTA. Widened mediastinum; trachea displaced to the right (i.e. by a large haematoma). Further investigation revealed a rupture of the aorta at the isthmus. The isthmus is a relatively fixed site and is thus vulnerable to a violent deceleration force.

QUESTION 5—IS THERE A TRACHEO-BRONCHIAL RUPTURE?

These injuries result from very violent trauma—usually a deceleration force applied to the anterior chest wall. An injury to the great vessels or an intracranial injury are recognised associations of tracheal or bronchial rupture.

image CXR features4,12 suggesting a tear of a main airway (transection or rupture):
image Pneumomediastinum.
image Lobar collapse. Either because the torn bronchus results in deflation, or because blood occludes the bronchial lumen. Whatever the cause, a lobar collapse may not occur for a few days.
image A pneumothorax that does not resolve following intercostal tube drainage12.
image Pitfall: the significance of any one of these three important CXR features may not be appreciated…because their appearance can be delayed.
image Consequences of a tear/rupture:
image High mortality.
image Broncho-pleural fistula.
image Eventual bronchostenosis (scarring with narrowing).
image

Figure 32.13 Violent trauma. Rupture of a main bronchus. This can cause a pneumomediastinum (arrows), and/or a pneumothorax that fails to absorb following insertion of an intercostal drain, and/or persistent lung or lobar collapse (i.e. persistent lung deflation).

QUESTION 6—IS THERE LUNG CONTUSION?

Contusion is very common following a violent injury. It appears as an area of consolidation, similar in appearance to lobar pneumonia.

image The consolidation2,3,5,13 may:
image Be present on the initial CXR. Usually, it will be evident within six hours of the injury.
image Cavitate.
image Take four to six weeks to clear. Clearing can be particularly slow if contusion has been accompanied by a laceration through the lung parenchyma.
image NB: the differential diagnosis for an area of consolidation on the CXR:
image Lung contusion.
image Aspiration pneumonia.
image Adult respiratory distress syndrome.
image Fat embolism.
image A combination of any of the above.
image

Figure 32.14 Blunt trauma. Lung contusion. Various appearances may result: an area of consolidation (right lung); or cavitation; or a cystic area, i.e. a pneumatocoele (left lung).

image

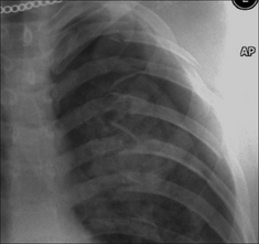
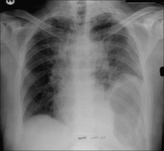
Figure 32.15 Male. Age 23. RTA. Left-sided rib fractures (note that a flail segment is present). Pneumothorax. The consolidation in the left upper lobe is an area of lung contusion.

QUESTION 7—IS THERE AN INJURY TO THE HEART?

The sternum and thoracic spine protect the heart and pericardium from non-penetrating injuries. The demonstration of anterior rib fractures or a sternal fracture should always raise the possibility—not the probability—of a myocardial injury. The CXR is usually unhelpful in excluding the possibility of pericardial or myocardial damage. Echocardiography provides a much more sensitive evaluation.

QUESTION 8—IS THE DIAPHRAGM NORMAL?14-17

Rupture of a dome of the diaphragm occurs in approximately 5% of cases of severe thoracic trauma14,16. A rupture is more common with blunt trauma than with a penetrating injury. The mechanism of injury is usually a sudden rise of intra-abdominal pressure from violent compression to the abdomen or lower thorax1.

image A rupture may affect either dome. The left dome is more commonly involved14—in the ratio of 4:1. A few cases are bilateral.
image In 50% or more of cases herniation of abdominal viscera through the rupture is delayed14. Delay may be two or more years after the injury and results from a small tear subsequently increasing in size.
image The following CXR features suggest a tear of the diaphragm2,3,14-17:
image Gas-containing viscus in the thorax (Figs 32.17 and 32.18).
image Abnormal contour of a dome (Fig. 32.18).
image A significant change to the shape of a dome compared with a previous normal CXR.
image Left dome: tip of a nasogastric tube situated unusually high.
image Right dome: small haemothorax with an unexpectedly high dome.
image

Figure 32.17 Male. Age 35. RTA. Widened mediastinum (due to a haematoma from ruptured veins). Multiple rib fractures. Seemingly high left dome of the diaphragm with the stomach gas bubble also unusually high. Diaphragmatic rupture with herniation of part of the stomach into the thorax.

image

Figure 32.18 Rupture of both the right and left domes of the diaphragm. The diaphragm is injured in approximately 5% of severe thoracic injuries14,16 and 22% of all thoraco-abdominal injuries3. Some 33% of these injuries are diagnosed three years after the trauma…sometimes because the abnormal CXR features were previously overlooked3. The most common site of injury is at the apex of the left dome.

image

Figure 32.16 The diaphragm viewed from below. Sagittal rupture through the central tendon and muscular part of the left dome from an antero-posterior compressive force. The tendon has a relatively poor blood supply and when ruptured it heals slowly and less effectively than the surrounding muscle.

FACTS AND FIGURES

image Following major trauma—20% of all deaths are due to a thoracic injury.
image Aortic rupture accounts for 16% of all RTA deaths4.
image Pneumothorax occurs:
image In approximately 40% of patients following major blunt chest trauma4.
image In 20% of patients following a penetrating injury to the thorax4.
image Pulmonary contusion (lung bruising):
image This is the most common cause of a pneumothorax resulting from blunt trauma6.
image The pulmonary haematoma around a tear of the lung may take weeks—sometimes months—to clear.
image If the tear communicates with a bronchus then a lung cyst (pneumatocoele) may form.
image Post-traumatic pleural effusion6 is usually due to bleeding from injury to one or more of:
image Lung.
image Chest wall.
image Major mediastinal vessels.
image Intubated patients. On a supine CXR the endotracheal tube18 should:
image Not lie below the level of the aortic arch.
image Lie a minimum of 3.5 cm (preferably 5–7 cm) above the carina.

REFERENCES

1. Schnyder P, Wintermark M. Radiology of Blunt Trauma of the Chest. Berlin: Springer-Verlag, 2000.

2. Mirvis SE, Templeton PA. Imaging in acute thoracic trauma. Semin Roentgenol. 1992;27:184-210.

3. Besson A, Saegesser F. A colour atlas of chest trauma and associated injuries. London: Wolfe Medical Publications, 1982.

4. Collins J, Stern EJ. Chest Radiology: The Essentials. Philadelphia, PA: Lippincott, Williams and Wilkins, 1999.

5. Groskin SA. Selected topics in chest trauma. Radiology. 1992;183:605-617.

6. Goodman LR, Putman CE. The SICU chest radiograph after massive blunt trauma. Radiol Clin North Am. 1981;19:111-123.

7. Woodring JH, Fried AM, Hatfield DR, et al. Fractures of first and second ribs. Predictive value for arterial and bronchial injury. AJR. 1982;138:211-215.

8. Gupta A, Jamshidi M, Rubin JR. Traumatic first rib fracture: is angiography necessary? A review of 730 cases. Cardiovasc Surg. 1997;5:48-53.

9. Ontell FK, Moore EH, Shepard JA, et al. The costal cartilages in health and disease. Radiographics. 1997;17:571-577.

10. Cowley RA, Turney SZ, Hankins JR, et al. Rupture of thoracic aorta caused by blunt trauma: a fifteen year experience. J Thorac and Cardiovasc Surg. 1990;100:652-660.

11. Mirvis SE, Bidwell JK, Buddemeyer EU, et al. Value of chest radiography in excluding traumatic aortic rupture. Radiology. 1987;163:487-493.

12. Kelly JP, Webb WR, Moulder PV, et al. Management of airway trauma. (1) Tracheobronchial injuries. Ann Thorac Surg. 1985;40:551-555.

13. Greene R. Lung alterations in thoracic trauma. J Thorac Imaging. 1987;2:1-11.

14. Eren S, Kantarci M, Okur A. Imaging of diaphragmatic rupture after trauma. Clin Radiol. 2006;61:467-477.

15. Iochum S, Ludig T, Walter F, et al. Imaging of diaphragmatic injury: a diagnostic challenge? Radiographics. 2002;22:103-116.

16. Nursal TZ, Ugurlu M, Kologlu M, et al. Traumatic diaphragmatic hernias; a report of 26 cases. Hernia. 2001;5:25-29.

17. Gelman R, Mirvis SE, Gens D. Diaphragm rupture due to blunt trauma: sensitivity of chest radiographs. AJR. 1991;156:51-57.

18. Chan O, Wilson A, Walsh M. ABC of emergency radiology: major trauma. BMJ. 2005;330:1136-1138.