23 DESCRIPTION OF COLOR, COLOR-REPLICATION PROCESS, AND ESTHETICS
An understanding of the process in which the color and translucency of fixed restorations are planned and obtained so as to replicate the color and contours of its adjacent teeth is important for achieving an esthetic restoration. Errors, especially in the color replication process, have been a problem and a source of frustration for dentists and technicians and may lead to dissatisfaction for the patient. This chapter outlines some of the principles of color, light, and human perception as it relates to the color replication process and esthetics of fixed restorations.
Just as a solid body can be described by three dimensions of physical form (length, width, and depth), color has three primary attributes that allow it to be described with the same precision. Describing these attributes, however, depends on the color system used. Two systems are explained: the more visually descriptive Munsell color order system and the more quantitative CIELAB color system.
This system was widely used in the dental literature and also used in the past to quantify color.2,3 It is still a popular method of visually describing color. The three attributes of color in this system are called Hue, Chroma, and Value.*
Hue is defined as the particular variety of a color. The hue of an object can be red, green, yellow, and so on, and is determined by the wavelength of the reflected and/or transmitted light observed. The place of that wavelength (or wavelengths) in the visible range of the spectrum determines the hue of the color. The shorter the wavelength, the closer the hue is to the violet portion of the spectrum; the longer the wavelength, the closer it is to the red portion. In the Munsell color system, Hues are arranged around the wheel (Fig. 23-1).
Chroma is defined as the intensity of a hue. The terms saturation and chroma are used interchangeably in the dental literature; both mean the strength of a given hue or the concentration of pigment. A simple way to visualize differences in chroma is to imagine a bucket of water. When one drop of ink is added, a solution of low chroma results. Adding a second drop of ink increases the chroma, and so on, until a solution is obtained that is almost all ink and consequently of high chroma. In the Munsell color system, the intensity of Chroma of a particular Hue is more intense on the outer rim than near the hub of the wheel (Fig. 23-2).
Value is defined as the relative lightness or darkness of a color or the brightness of an object. The brightness of any object is a direct consequence of the amount of light energy the object reflects and/or transmits (see Fig. 23-2).
It is possible for objects of different hues to reflect the same number of photons and thus have the same brightness or value. A common example is the difficulty experienced in trying to tell a green object from a blue object in a black and white photograph. The two objects reflect the same amount of light energy and therefore appear identical in the picture.
A restoration that has too high a value (is too bright) may be easily detected by an observer and is a common esthetic problem in metal-ceramic prosthodontics.
The CIELAB color system is used almost exclusively for color research in dentistry around the world.4-7 It was introduced in 1976 and recommended by the International Commission on Illumination. The strength of this system, unlike that of the Munsell system, is its ability for clinical interpretation, as equal distances across the CIELAB color space (color differences or ΔE) represent approximately uniform steps in human color perception, improving the interpretation of color measurements. This means that the magnitude of perceptible and/or acceptable color difference can be defined between, for example, a porcelain crown and the adjacent natural dentition.
The CIELAB color order system defines color space by three coordinates: L*, a*, and b*. L* is similar to the Munsell system’s Value and represents the lightness, brightness, or black/white character of the color. The coordinates a* and b* describe the chromatic characteristics of the color. L* describes the achromatic character of the color. Colors with high value or L* (such as tooth colors) are located near the top of the color space, as depicted in Figure 23-3. The chromatic, or non–black/white, characteristics of a color are represented in the Munsell system by Hue and Chroma and in the CIELAB system by a* and b*. In each system, these two coordinates define the location of color on a plane of given lightness, such as the one depicting color B in Figure 23-3. In the Munsell system, the color is identified by one polar coordinate (Hue) and one linear, or Cartesian,† coordinate (Chroma); in the CIELAB system, both coordinates (a* and b*) are Cartesian. For an analogy, consider how the location of a house in a city might be described. It could be said that someone lived a distance of 11.85 miles (linear coordinate) in the north-northwest direction (polar coordinate) from downtown. This is analogous to describing a color in the Munsell system. The identical location could also be defined as being 10.6 miles north and 5.3 miles west of downtown (two Cartesian coordinates) (Fig. 23-4). This is analogous to describing a color in CIELAB. They represent the same location in space. However, unlike the Munsell coordinates, the CIELAB coordinates define the color space in approximately uniform steps of human color perception. This means that equal distances across the CIELAB color space (color differences, or ΔE) represent approximately equally perceived shade gradations, an arrangement that makes interpretation of color measurements more meaningful.
Fig. 23-3 La*b* color space. Any color can be defined in terms of these coordinates. L* (the vertical axis) defines the lightness or darkness of the color and corresponds to Value in the Munsell system; a* and b* define the chromatic characteristic. The color difference (ΔE) between two colors (A and B) can be calculated from the sum of the squares of the differences among the three coordinates. The system is arranged so that a color difference of 1 is perceivable by 50% of observers with normal color vision.60
(From Rosenstiel SF, Johnston WM: The effect of manipulative variables on the color of ceramic metal restorations. J Prosthet Dent 60:297, 1988.)
Fig. 23-4 Locations in space can be defined in polar (dashed line) or Cartesian (solid lines forming right angle) coordinates.
L* is a lightness variable proportional to Value in the Munsell system. It describes the achromatic character of the color.
The a* and b* coordinates describe the chromatic characteristics of the color. Although they do not correspond directly to Munsell’s Hue and Chroma, they can be converted by numerical parameters8 (see Fig. 23-3). The a* coordinate corresponds to the red-purple/blue-green axis in the Munsell color space. A positive a* relates to a predominantly red-purple color, whereas a negative a* denotes a color that is more blue-green. Similarly, the b* coordinate corresponds to the yellow/purple-blue axis.
The process in which the color of adjacent teeth is replicated in a metal-ceramic or all-ceramic crown is termed in this chapter the color replication process. The color replication process for fixed restorations (Fig. 23-5) consists of the shade-matching phase followed by a shade-duplication phase. Shade matching can be accomplished through either the more common visual shade matching or the increasingly popular instrumental analysis. The shade duplication takes place in the dental laboratory, in which either the use of corresponding porcelain selected in the shade-duplication phase or the use of more sophisticated porcelain mixtures is used to fabricate the fixed restoration. If visually perceptible differences can be observed between the final restoration and the originally matched restoration, it is possible for the clinician to apply surface characterization porcelains to the restoration to adjust any color discrepancy.
This phase occurs in the dentist’s office, in which the information on the color and translucency of the adjacent teeth to be matched is recorded through either visual shade matching or instrumental color analysis.
Visual assessment of the shade and translucency is the method most frequently applied in dentistry.9 Studies have shown that this often-used method is difficult to apply with accuracy and often yields unreliable and inconsistent results.10,11 Fortunately, a lifelike and successful restoration does not have to be an exact duplicate of the color and translucency of the adjacent teeth. It should, however, blend with the teeth as a result of the distribution of ceramic materials in the restoration. Not only is the apparent color of an object influenced by its physical properties, the nature of the light to which the object is exposed, and the subjective assessment of the observer; the variability of two of the three factors (e.g., lighting and subjectivity of the observer) can cause the same object (e.g., tooth) to look very different. Understanding the three main factors (lighting, subjectivity of human vision, and the object) that influence the outcome of visual shade matching can improve the accuracy and reliability of this process.
Light is necessary for color to exist. An object that is perceived as a certain color absorbs all light waves corresponding to other colors and reflects only the waves of the object’s color. For example, an object that absorbs blue and green light and reflects red appears red. The quality and quantity of the light source and the environment in which the teeth/shade guides are being visually matched are important.
Although daylight was initially thought to be the ideal light source for color matching,10 its use is not recommended, in view of inconstant color characteristics. The color of daylight can vary from red-orange at sunset to blue when the sky is clear. The relative intensity of daylight also fluctuates during the day with cloud cover.12 An ideal light source for visual shade matching is one that is diffuse and comfortable for the eyes, allowing observers to assess the color accurately and comfortably.12 In one study, evaluators obtained better visual shade matching in controlled stable, constant, and standard full-spectrum lighting than in daylight.13
Scientifically, light is described as visible electromagnetic energy whose wavelength is measured in nanometers (nm), or billionths of a meter. The eye is sensitive only to the visible part of the electromagnetic spectrum, a narrow band with wavelengths from 380 to 750 nm. At the shorter wavelengths lie ultraviolet, x, and gamma rays; at the longer wavelengths are infrared radiation, microwaves, and television and radio transmission waves (Fig. 23-6).
Pure white light consists of relatively equal quantities of electromagnetic energy over the visible range. When it is passed through a prism (Fig. 23-7), it is split into its component colors because the longer wavelengths are bent (refracted) less than the shorter ones.
A light source of the appropriate quality should be used during visual shade matching. The appropriate color temperature with appropriate spectral energy distribution and color rendering index (CRI) must be considered when selecting a light source.
A light source with a color temperature close to 5500° K (D55) that is spectrally balanced throughout the visible spectrum is ideal for color matching. Color temperature is related to the color of a standard black body when heated and is reported in degrees Kelvin (K), or absolute (0° K = −273° C). Accordingly, 1000° K is red; 2000° K is yellow; 5555° K is white; 8000° K is pale blue. D65 (Fig. 23-8) is considered to be the true color temperature of white light as perceived by human observers.14 D65 is very commonly used in dental shade matching as the standard lighting for visual shade matching. A light source with a CRI greater than 90 is recommended for shade matching.15 The CRI, on a scale of 1 to 100, indicates how well a particular light source renders color in comparison with a specific standard source. Dental personnel’s shade-matching ability on a designed color test16 was significantly better with a full-spectrum light source of 5700° K (CRI = 91) than with the following light sources: 6000° K (CRI = 93), 4200° K (CRI = 65) and 7500° K (CRI = 94).17
Fig. 23-8 Relative intensity versus wavelength of three light sources: D65 is relatively balanced; tungsten filament (A illuminant) is high in orange and red wavelengths; fluorescent (F3 illuminant) tube light has peaks of blue and yellow.
Unfortunately, the most common light sources in dental operatories are incandescent and fluorescent, neither of which is ideal for shade matching. An ordinary incandescent light bulb emits relatively higher concentrations of yellow light waves than of blue and blue-green, whereas fluorescent ceiling fixtures give off relatively high concentrations of blue waves. Color-corrected fluorescent lighting is recommended because it approaches the necessary type of balance. Recommended commercial color-corrected ambient lighting, ideal for shade matching, for the dental operatory can be found in Table 23-1.
Appropriate intensity of the ambient lighting in the dental operatory provides the dentist with visual comfort, particularly in terms of contrast. It is recommended that the light intensity for the dental operatory be between 18 to 28 lux* and 28 lux for the dental laboratory.18 The intensity of the dental operatory lighting has not been found to be crucial for color matching when the light intensity ranged from 1.5 to 28 lux.19
If ambient lighting in the dental operatory is not ideal in terms of quality and quantity for visual shade matching, the use of auxiliary lighting is recommended. The auxiliary light source for shade matching should be intense enough to overcome the influence of the ambient light. It has been recommended that the ratio of task (shade matching) to ambient light should not exceed 3:1; too much intensity does not allow discrimination of small color differences.18 Commercial auxiliary lighting, such as the Demetron Shade Light* (Fig. 23-9) or the Shade Wand,† is recommended for shade matching (see Table 23-1).
The ambient and direct lighting used for shade matching scatters and reflects from surfaces before reaching the structure that it illuminates. The colors of the dental operatory, clothing of the dentist and dental assistants, the patient’s clothing, and the dental drape may influence the perceived color of the patient’s teeth and shade guide.20 To maintain the necessary lighting quality for shade matching, the chroma of the environment should be carefully controlled. It is recommended that the walls, staff clothing, patient drape, and shade-matching environment have a Chroma of four Munsell units or less, which are the pastel18 or the ideal neutral gray tones.21 Further recommendations include that the ceiling have a Munsell Value of 9. All other major reflectors (e.g., walls, cabinets) should present at least a Munsell Value of 7 and a Chroma of no more than 4. Countertops not within the working area can have a Chroma of up to 6 but a Munsell Value retained at 7 or greater.22
Light from an object enters the eye and acts on receptors in the retina (rods and cones). Impulses from these are passed to the optical center of the brain, where an interpretation is made. Shade matching is therefore subjective: different individuals have different interpretations of the same stimulus.
Under low lighting conditions, only the rods are used (scotopic vision). These receptors allow an interpretation of the brightness (but not the color) of objects to be made. The rods are most sensitive to blue-green objects. Color vision is dependent on the cones, which are active under higher lighting conditions (photopic vision). The change from photopic to scotopic vision is called dark adaptation and takes about 40 minutes.23
The area with the most cones is in the center of the retina, which is free of rods. The rods begin to predominate toward the periphery. This means that the central field of vision is more color perceptive. Although the exact mechanism of color vision is not known, there are three types of cones—sensitive to red, green, and blue light24—that form an image in much the same way as the additive effect of the pixels in a television picture.
Color vision decreases rapidly as a person stares at an object. The original color appears to become less and less saturated until it appears almost gray.
The brain can be tricked in how it perceives color. A classic example of such a trick is the Benham disk (Fig. 23-10). When this black and white disk is illuminated and rotated at an appropriate speed, it appears to be highly colored.
Fig. 23-10 The Benham disk. When it rotates, red, green, and blue rings are seen. The order of the colors is reversed if the disk rotates in the opposite direction. This is a purely sensory phenomenon caused by afterimages.
Color is also influenced by surrounding colors, particularly complementary ones (those diametrically opposed in Fig. 23-1). For example, when blue and yellow are placed side by side, their chroma may appear to be increased. The color of teeth can also look different if the patient is wearing brightly colored clothing or lipstick (Fig. 23-11).
Fig. 23-11a A, The Checker Shadow Illusion. The squares marked A and B are the same shade of gray. For proof, see Fig. 23-11b, A. B, The Colored Cross Illusion. The central element of the two X-shaped objects appear very different in color but are, in fact, exactly the same. For proof, see Fig. 23-11b, B.
(A, Courtesy of Dr. E.H. Adelson; B, Courtesy of Dr. R.B. Lotto.)
Fig. 23-11b A, The Checker Shadow Illusion. The original image plus two stripes. By joining the squares marked A and B with two vertical stripes of the same shade of gray, it becomes apparent that both squares are the same. B, When a mask that isolates the central elements from the surrounding colors is placed, the illusion is revealed. As with many so-called illusions, both of these effects really demonstrate the success rather than the failure of the visual system. The visual system is not very good at being a physical light meter, but that is not its purpose. The important task is to break the image information down into meaningful components, thereby allowing the nature of the objects in view to be perceived. However, when selecting appropriate tooth shades, it is important not to be influenced by the surrrounding colors.
(A, Courtesy of Dr. E. H. Adelson; B, Courtesy of Dr, R.B. Lotto.)
Two colors that appear to be a match under a given lighting condition but have different spectral reflectance (Fig. 23-12) are called metamers, and the phenomenon is known as metamerism. For example, two objects that appear to be an identical shade of yellow may absorb and reflect light differently. Yellow objects normally reflect yellow light, but some may actually absorb yellow light and reflect orange and green. To an observer, the orange and green combination looks yellow, although when the lighting is changed, the metamers no longer match. This means that a sample that appears to match under the operatory light, for example, may no longer be satisfactory in daylight. The problem of metamerism can be avoided by selecting a shade and confirming it under different lighting conditions (e.g., natural daylight and fluorescent light).
Fluorescent materials, such as tooth enamel, re-emit radiant energy at a lower frequency than it is absorbed.25 For example, ultraviolet radiation is re-emitted as visible light. In theory, a mismatch can occur if the dental restoration has different fluorescence than the natural tooth. In practice, fluorescence does not play a significant role in color matching dental restorations.26
Natural teeth, particularly at their incisal edges, exhibit a light-scattering effect* that creates the appearance of bluish-white colors as the teeth are seen at different angles. This is similar to the bluish-white background seen in opal gemstones (hence the term opalescence). Manufacturers try to match this effect when formulating dental porcelains.27,28
Defects in color vision (color blindness) affect about 8% of the male population and less of the female population.29 Different types exist, such as achromatism (complete lack of hue sensitivity), dichromatism (sensitivity to only two primary hues—usually either red or green is not perceived), and anomalous trichromatism (sensitivity to all three hues with deficiency or abnormality of one of the three primary pigments in the retinal cones). Dentists should therefore have their color perception tested. If any deficiency is detected, the dentist should seek assistance when selecting tooth shades.30
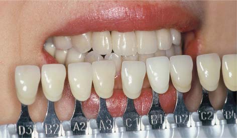
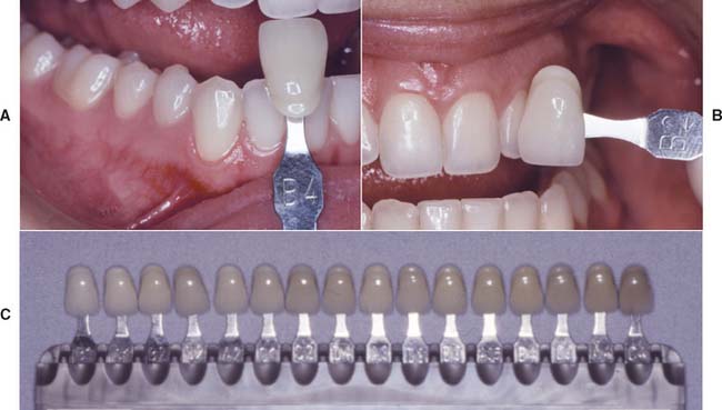
The most convenient method for selecting a shade is a commercially available porcelain shade guide (Fig. 23-13). Table 23-2 presents color measurement values made from Vita Lumin vacuum, Ivoclar Chromascop, and Vitapan 3D-Master shade guides with a spectroradiometer. Each shade tab (Fig. 23-14) has an opaque backing color, neck color, body color, and incisal color. Shade matching consists of picking the shade tab that looks the most natural and reproducing this color in a laboratory with materials and techniques recommended by the manufacturer. The procedure is easier if specimens of the same hue are grouped together in the shade guide. In the past, shade guides were produced in response to the demand for denture teeth rather than on the range of natural tooth color.31 More recently, shade guides have covered the color space occupied by natural teeth,* such as the Vitapan 3D-Master shade guide (see Fig. 23-13C).
Fig. 23-13 Commercial shade guides. A, The Vita Lumin vacuum shade guide. B, Ivoclar Chromascop shade guide. C, Vitapan 3D-Master shade guide.
Table 23-2 CIELAB VALUES: VITAPAN 3D-MASTER, IVOCLAR CHROMASCOP, AND VITA LUMIN VACUUM SHADE GUIDES MEASURED WITH SPECTRORADIOMETER WITH 45° ILLUMINATION AND 0° OBSERVER WITHOUT AN APERTURE


In the popular Vita Lumin vacuum shade guide (see Fig. 23-13A), A1, A2, A3, A3.5, and A4 are similar in hue, as are the B, C, and D shades. Choosing the nearest hue first and then selecting the appropriate match of chroma and value from the tabs available is the recommended technique.
If its chroma or intensity is low, accurately determining a given hue may be difficult. Therefore, the region with the highest chroma (i.e., the cervical region of canines) should be used for initial hue selection (Fig. 23-15A).
Fig. 23-15 Shade matching using the Lumin Vacuum shade guide. A, Selecting hue by matching samples with high chroma (e.g., A4, B4, C4, or D3) to a tooth with high chroma (i.e., canine). B, Selecting chroma from within the hue group (e.g., B1, B2, B3, or B4). C, Value-ordered shade guide is used to check lightness.
Once the hue is selected, the best chroma match is chosen. For example, if a B hue is determined to be the best match for color variety, there are four available gradations (tabs) of that hue: B1, B2, B3, and B4 (Fig. 23-15B). Several comparisons are usually necessary for determining which sample best represents the hue and its corresponding chroma (saturation) level. Between comparisons, glancing at a gray object rests the operator’s eyes and helps avoid retinal cone fatigue.
Finally, value is determined with a second commercial guide whose samples are arranged in order of increasing lightness (Fig. 23-15C). (The lightness readings—L* in Table 23-2—can be used as a guide to the sample sequencing.) By holding the second shade guide close to the patient, the operator should be able to determine whether the value of the tooth is within the shade guide’s range. Attention is then focused on the range of shade that best represents the value of the tooth and how that range relates to the tab matching for hue and saturation. An observer is able to assess the value most effectively by observing from a distance, standing slightly away from the chair, and squinting the eyes. By squinting, the observer can reduce the amount of light that reaches the retina. Stimulation of the cones is reduced, and a greater sensitivity to achromatic conditions may result.32 While squinting, the observer concentrates on which disappears from sight first—the tooth or the shade tab. The one that fades first has the lower value.
When the proper value selection has been made, it is the exception rather than the rule for this to coincide with the determinations for hue and chroma. The operator must decide whether to change the previously selected shade sample. If the independent value determination is lower than the value of the sample selected for hue and chroma, a change is usually necessary, because increasing the value of an object by adding surface stain (which always reduces brightness) is not possible. If the value determination is higher than the hue determination, the operator should decide whether this difference can be bridged through internal or surface characterization of the restoration. The final decisions about hue, chroma, and value are then communicated to the laboratory.
The manufacturer of this shade system (Fig. 23-16A) claims that it covers the entire tooth color space. The shade samples are grouped in six lightness levels, each of which has chroma and hue variations in evenly spaced steps (Fig. 23-16B). The shade guide is spaced in steps (ΔE) of four CIELAB units in the lightness dimension and two CIELAB units in the hue and chroma dimensions. The difference between lightness and color steps seems a logical approach to reducing the number of shade samples needed in the guide because of the way the CIELAB units are visually perceived. It seems to match the color difference formula of the Colour Measurement Committee (CMC) of the Society of Dyers and Colourists.33 Because the guide is evenly spaced, intermediate shades can be predictably formulated by combining porcelain powders.34
Fig. 23-16 Shade selection with the Vitapan 3D-Master shade guide. A, The shade guide is arranged in five lightness levels (plus an additional level for bleached teeth). B, Each lightness level has sufficient variations in chroma and hue to cover the natural tooth color space. C, This is in contrast to traditional shade guides, which are not uniformly spaced. D, Lightness is selected first, then chroma or saturation (E) and finally hue (F). G, The color communication form allows convenient laboratory shade prescription and intermediate shades if necessary.
(A to C, Courtesy of Vident, Brea, California.)
The manufacturer recommends selecting the lightness (Fig. 23-16D) first, then chroma (Fig. 23-16E), and finally the hue (Fig. 23-16F). A form is available to facilitate the laboratory shade prescription, which can include intermediate steps (Fig. 23-16G).
Most commercial shade systems cover a range more limited than the colors found in natural teeth, and the steps in the guide are greater than can be perceived visually.35 Some porcelain systems are available with extended-range shade guides, and other manufacturers have extended their ranges over the years. The use of two or more shade guides is a practical way to extend the range of commercial guides.
When a translucent all-ceramic system for a crown or veneer is used (see Chapter 25), communicating the shade of the prepared dentin to the dental laboratory is helpful. One system (IPS Empress)* provides specially colored die materials that match the dentin shade guide and enable the technician to judge restoration esthetics (Fig. 23-17).
Unfortunately, certain teeth may be impossible to match to commercial shade samples. In addition, difficulties may be encountered in reproducing the shade guides in the final restorations. The extensive use of surface characterization has severe drawbacks, because the stains increase surface reflection and prevent light from being transmitted through the porcelain.36
One approach to this problem is to extend the concept of a commercial shade guide by making a custom shade guide (Fig. 23-18). An almost infinite number of samples can be made by using different combinations of porcelain powders in varying distributions. However, the procedure is time consuming and is generally confined to specialty practice.
Fig. 23-18 A, A custom shade guide. B, Commercially available tabs for fabricating custom shade samples.
(A, Courtesy of Dr. A. M. Peregrina.)
Shade distribution charting (Fig. 23-19) is a practical approach to accurate shade matching and is recommended even when a fairly good match is available from the commercial shade sample.
The tooth is divided into three regions: cervical, middle, and incisal. Each region is matched independently, either to the corresponding area of a commercial shade sample or to a single-color porcelain chip. Because only a single color is matched, intermediate shades can usually be estimated rather easily and duplicated by mixing porcelain powders. The junctions between these areas are normally distinct and can be communicated to the laboratory in the form of a diagram. The shade distribution and thickness of the enamel porcelain are particularly important.37 Individual characteristics are marked on such a sketch and enable the ceramist to mimic details such as hairline fractures, hypocalcification, and proximal discolorations.
Regardless of which shade guide system is used, there should be general adherence to the following principles:
Color matching for dental restorative materials is generally done visually by matching a shade sample. In industry, electronic color measuring instruments, such as spectrophotometers, spectroradiometers, and colorimeters are used. Spectrophotometers and spectroradiometers measure light reflectance at wavelength intervals over the visible spectrum. Spectrophotometers differ from spectroradiometers primarily in that they have a stable light source and usually have an aperture between the detector and sample. Colorimeters provide direct color coordinate specifications without mathematical manipulation. This is accomplished by sampling light reflected from an object through three color filters that simulate the response of the color receptors in the eye.
Color-measuring instruments with an aperture between the translucent object and the illumination and sensor have been shown to exhibit “edge loss” when carrying out measurements.38,39 Edge loss is a phenomenon that occurs when light is scattered through a translucent material that originally would be seen by the eye but is simply not measured by the instrument. This happens when the light is scattered in the translucent object away from the aperture and does not return back through the aperture to the sensor and has been shown to be wavelength dependent. Thus, color-measuring instruments measuring translucent objects with an aperture assign incorrect color coordinates.39 The phenomenon must be avoided if accurate color measurements of translucent objects, such as teeth and porcelain, are to be obtained, which is done by using a combination of an external light source that does not cause shadowing and a spectroradiometer (Fig. 23-20). CIELAB data measured by this arrangement for three different shade guides and 360 anterior teeth from 120 human subjects40 are shown in Figure 23-21.
Fig. 23-20 Spectroradiometer (PR 705, PhotoResearch, Inc.) with an optical set-up of 45-degree illumination (I) and 0-degree observer (O) for measurements of a translucent material specimen (S).
Fig. 23-21 A and B, Color of 360 anterior teeth of human subjects and 3 shade guides. A, L* versus chroma. B, a* versus b*.
Various clinical color-measuring devices are available (Fig. 23-22). They range from simple to complicated, with capabilities and prices to match. The devices are generally one of three types: colorimeters, spectrophotometers, or digital color analyzers with various measuring geometries (Table 23-3). In vitro testing of some of these devices with various shade tabs have shown them to have reliability of approximately 90%, whereas their accuracy is approximately 70% to 80%.41,42 Initial clinical testing of some of these instruments shows similar clinical outcomes for visual matching.43,44
Errors associated with the duplication of the selected shade with dental porcelain are well documented. These errors are related to the underlying metal used,45,46 the batch of porcelain powder,47 the brand of porcelain,6,48 and the number of times glazing was performed.49 Visually detectable differences between the color of the shade tab and the fired porcelain are not uncommon.48,50 Surface corrections of these errors include surface characterization, as discussed in Chapter 30. Another strategy that has been used is to include custom shade guides (see Fig. 23-18) in the shade-matching process. The custom shade guide should be from the same metal and porcelain type that will be used when the metal-ceramic crown is fabricated.
Esthetics is the study of beauty. Knowledge of esthetics helps the dentist achieve a pleasing appearance or effect. A successful prosthodontic restoration provides the patient with excellent long-term function. It should also produce an attractive smile; esthetics is often the primary motivating factor for patients to seek dental care.51 In fact, correction of esthetic problems has a positive effect on self-esteem.52
Most people believe they can recognize an attractive smile, but individual opinion varies, particularly when cultural factors are considered. Research is conducted by showing test subjects photographs or computer-manipulated images of various smiles and having subjects grade the images for attractiveness53,54 (Fig. 23-23).* Such research is quantified in the standard dental (a)esthetic index (DAI), an orthodontic treatment need index based on perceptions of dental esthetics in the United States.55 In general, an extensive smile that showed the complete outline of the maxillary anterior teeth and teeth posterior to the first molar was considered the most attractive and youthful (Fig. 23-24). (A smile in an aging individual shows less of the maxillary incisors and more of the mandibular incisors.)
Fig. 23-23 Number of subjects and mean esthetic rank for three upper lip positions.
(From Dong JK, et al: The esthetics of the smile: a review of some recent studies. Int J Prosthodont 12:9, 1999.)
Fig. 23-24 A to G, Computer image manipulation was used to determine the attractiveness of various smiles. Light colors and oval-shaped teeth in women and rectangular teeth in men were considered the most attractive.
(From Carlsson GE, et al: An international comparative multicenter study of assessment of dental appearance using computer-aided image manipulation. Int J Prosthodont 11:246, 1998.)
The “buccal corridor” refers to the amount of space between the cheeks and teeth in a smile and is related to the width of the dentition and the width of the mouth during a smile56 (Fig. 23-25). The “smile arc” refers to the relative curvature of incisal edges of the maxillary teeth and the curvature of the lower lip. In smiles that were considered the most attractive, these curvatures were very similar,57 a factor that should be considered when restorations are shaped.
Esthetics depends largely on proportion. An object is considered beautiful if it is properly proportioned and unattractive if it is top-heavy, squat, or out of proportion. Concepts of proportion are probably based on what is found in nature. Leaves, flowers, shells, and pine cones normally develop in proportion. Their growth is closely related to a mathematical progression (called the Fibonacci* series) in which each number is the sum of the two immediately preceding it (i.e., 1, 1, 2, 3, 5, 8, 13, 21, 34, 55, 89, 144, and so on). The ratio between succeeding terms converges on approximately 1.618 to 1, known as the golden proportion. When a line is bisected in the golden proportion, the ratio of the smaller section to the larger section is the same as the ratio of the larger section to the whole line (Fig. 23-26). The golden proportion was used extensively in ancient Greek architecture and is exemplified in the Parthenon.
Claims have been made58 that the golden proportion exists in natural dentitions in the ratio of the widths of incisors and canines as seen from the front. Waxing guides, grids, or special calipers† that always extend to the golden proportion can be used, which may be helpful in designing a well-proportioned prosthesis (Fig. 23-27). However, studies of simulated smiles (Fig. 23-28) have revealed that designing prostheses to match the golden proportion is by no means optimal, except for patients in whom incisor length may be increased after periodontal disease.59,60 Other investigators have attempted to apply mathematical concepts to dental esthetics.61 Of particular importance to anterior tooth esthetics appears to be the height/width ratio of the maxillary incisors. When dentists were asked to select the most attractive smile, they consistently chose the image with maxillary incisor height/width ratio closest to a 75% to 78% range (Fig. 23-29).59,62
Fig. 23-28 Computer-simulated smiles. A, The anterior teeth are manipulated to give average proportion values. The lateral incisors are 66% the width of the centrals and the canines are 84% the width of the lateral incisors. B, These anterior teeth have been manipulated to the golden proportion. The lateral incisors are 62% the width of the central incisors, and the canines are 62% the width of the lateral incisors. Only 8% of general public respondents preferred or much preferred the golden proportion image in an internet survey.
(From Rosenstiel SF, Rashid RG: Public preferences for anterior tooth variations: a web-based study. J Esthet Restor Dent 14:97, 2002.)
Fig. 23-29 Computer-simulated smiles with different central incisor height/width ratios. A, 89%; B, 85%; C, 77%; D, 73%. C was chosen as best by 65% of dentists responding, followed in popularity by B, D, and A.
(From Rosenstiel SF, et al: Dentists’ perception of anterior esthetics: a web-based survey [Abstract no. 1481]. J Dent Res 83 [Special Issue A], 2004.)
Balance, including the location of the midline (Fig. 23-30), is an important prosthodontic concept.63 The observer expects the left and right sides of the mouth to balance out, if not to match precisely. An obvious restoration on one side may be balanced if there is a diastema or a large tooth on the other side. If something is out of balance, the brain infers that there is an unreciprocated force and the arrangement is unstable; a balanced arrangement implies stability and permanence.
Coincidence of facial and incisal midlines is stressed when orthodontic treatment planning is assessed and should be carefully evaluated in the planning of prosthodontic treatment. Studies have shown that the mean threshold for acceptable dental midline deviation is 2.2+/-1.5 mm64 and that there was no difference in the perception of midline discrepancies between orthodontists and young laypeople; differences in this perception increased with the size of the discrepancy but not by gender.60,65
The shape of incisal embrasures can have a dramatic effect on dental esthetics (Fig. 23-31). Increased embrasure form is seen in the young dentition, and a restoration with unnaturally reduced embrasures can appear unattractive. However, some patients demand reduced embrasures, seeking “perfectly” even incisal edges, although this appearance was “preferred” or “strongly preferred” by fewer than 30% of respondents to an internet survey.60 As with all aspects of personal esthetics, the patient’s opinion is paramount; the dentist provides expert knowledge. A sensible approach to achieving optimal incisal embrasure form when restoring with multiple ceramic restorations is to designate that the restorations be returned from the dental laboratory with reduced embrasure form. During the evaluation procedure, the embrasures can be carefully increased intraorally according to the patient’s wishes.
Fig. 23-31 Computer-simulated smiles used to evaluate the response to incisal embrasure form. A, Natural embrasures. B, Reduced embrasures. In an internet survey with 1934 responses, A was much preferred by 25% and preferred by 36%, and B was much preferred by 9% and preferred by 19%. Ten percent expressed no preference.
(From Rosenstiel SF, Rashid RG Public preferences for anterior tooth variations: a web-based study. J Esthet Restor Dent 14:97, 2002.)
The mesial or distal angulation of the maxillary incisor teeth can have a dramatic effect on esthetics (Fig. 23-32). In general, slight mesial angulation is acceptable, but distal angulation should be avoided.62 Knowledge of these principles and attention to detail in designing anterior restorations is the key to highly esthetic restorations.
Fig. 23-32 Computer-simulated images used to evaluate the effect of incisor angulation on anterior esthetics. Three-degree distal inclination of the central incisor (A) is preferred to 3-degree mesial inclination (B). Three-degree distal inclination of the lateral incisor (C) is preferred to 3-degree mesial inclination (D).
(From Rosenstiel SF, et al: Dentists’ perception of anterior esthetics: a web-based survey [Abstract no. 1481]. J Dent Res 83 [Special Issue A], 2004.)
An understanding of the science of color and color perception is crucial for success in the ever-expanding field of esthetic restorative dentistry. Although limitations in materials and techniques may make a perfect color match impossible, a harmonious restoration can almost always be achieved. Shade matching should be approached in a methodical and organized manner. This enables the practitioner to make the best choice and communicate it accurately to the laboratory. Newly developed shade systems and instruments may help the practitioner achieve a reliable restoration match. The size and shape of restorations are equally important when a highly esthetic result is sought. Knowledge of the optimal proportion and the relative position of the teeth to each other and the soft tissues is essential.
ach·ro·mat·ic \ăk′ra-măt′
k\ adj (1766) 1: lacking in hue and saturation, therefore falling into a series of colors that varies only in lightness or brightness 2: possessing no hue; being or involving black, gray or white
achromatopsia \ā-krō′ma-t
p′zhē-a\ n 1: monochromatism 2: a type of monochromatism in which all colors are perceived as achromatic, called also achromatism, total color perception deficiency
additive color mixture \ăd′
-t
v kŭl′ur m
ks′chur\: the perceived color that results when the same area of the retina of the eye is illuminated by lights of different spectral distribution such as by two colored lights—comp SUBTRACTIVE COLOR SYSTEM
af·ter·im·age \ăf′ter
m′
j\ n (1874): in visual acuity, a prolongation or renewal of a visual sensory experience, ascribable to residual excitation after external stimuli have ceased to operate
angle of incidence \ăng′gl ŭv
n′s
-dens\: the angle formed between the axis of a light beam and a perpendicular to the object’s surface
angle of reflection \ăng′gl ŭv r
-fl
k′shun\: the angle formed between the axis of a reflected light beam and a perpendicular to the object’s surface
anomalous trichromatic vision \a-n
m′a-lus trī′krō-măt′
k v
zh′un\: a form of defective color vision in which three stimuli are required for color matching, but the proportions in which they are matched differ significantly from those required by the normal trichromat. There are three forms of anomalous trichromatic vision: protanomalous, deuteranomalous, and tritanomalous
Bezold-Brucke effect [Helmholtz, 1867]: the apparent change in hue that accompanies a change in luminance
can·dle \kăn′dl\ n (12c): a unit of luminous intensity, equal to 1/60 of the luminous intensity of a square centimeter of a black body heated to the temperature of the solidification of platinum (1773° C)
candle power \kăn′dl pou′er\: luminous intensity expressed in candles
1ce·ram·ic \sa-răm′ik\ adj (1850): of or relating to the manufacture of any product made essentially from a nonmetallic mineral (as clay) by firing at a high temperature
chroma \krō′ma\ n (1889) 1: the purity of a color, or its departure from white or gray 2: the intensity of a distinctive hue; saturation of a hue 3: chrome describes the strength or saturation of the hue (color)—see also SATURATION
Munsell AH. A color notation. Baltimore: Munsell Color Co. Inc. 1975:14–7.
chromatic stimulus \krō-măt′ik st
m′ya-lus\: a stimulus that under prevailing conditions of adaptation gives rise to a perceived chromatic color
chromaticity coordinates \krō′ma-t
s′
-tē kō-ôr′d
-n
tz\: the two dimensions of any color order system that exclude the lightness dimension and describe the chromaticity. Unless otherwise specified, the term refers to the CIE coordinates x, y, and z for Illuminant C and 2 degrees (1931) Standard Observer—called also color coordinates
chromaticity diagram \krō′ma-t
s′
-tē dī′a-grăm\: a plane diagram in which each point represents a different combination of dominant wavelength and purity and which is usually constructed in some form of a triangle with calorimetric primaries represented at the corners. The CIE standard chromaticity diagram is essentially a right angle triangle representing hypothetical primaries and the complete chromaticity gamut of the CIE standard observer
chro·mat·ic·ness \krō′măt′
k-n
s\ n: the intensity of hue as expressed in the Natural Color System
chro·ma·top·sia \krō′ma-t
p′zha\ n: an abnormal state of vision in which colorless objects appear colored; a visual defect in which colored objects appear unnaturally colored and colorless objects appear color tinged
CIE LAB system \C I E Lăb s
s′tem\: CIE LAB relates the tristimulus values to a color space. This scale accounts for the illuminant and the observer. By establishing a uniform color scale, color measurements can be compared and movements in color space defined
CIE standard illuminant \C I E stăn′dard
-lōō′ma-nent\: the illuminants A, B. C, D65 and other illuminants, defined by the CIE in terms of relative spectral power distributions; A = Planckion radiation (a theoretical body that absorbs all incident optical radiant energy) a temperature of about 2856° K; B = Direct solar radiation 48,000° K; C = Average daylight; D65 = Daylight including the ultraviolet region: 6500° K
collarless metal ceramic restoration \k
l′er-l
s m
′l sa-răm′
k r
s′ta-rā′shun\: a metal ceramic restoration whose cervical metal portion has been eliminated. Porcelain is placed directly in contact with the prepared finish line
col·or \kŭl′or\ n (13c) 1: a phenomenon of light or visual perception that enables one to differentiate otherwise identical objects 2: the quality of an object or substance with respect to light reflected or transmitted by it. Color is usually determined visually by measurement of hue, saturation, and luminous reflectance of the reflected light 3: a visual response to light consisting of the three dimensions of hue, value, and saturation—see PERCEIVED C., PSYCHOPHYSICAL C.
color blindness \kŭl′or blīnd′n
s\: abnormal color vision or the inability to discriminate certain colors, most commonly along the red-green axis
color constancy \kŭl′or k
n′stan-sē\: relative independence of perceived color to changes in color of the light source
color deficiency \kŭl′or d
-f
sh′en-sē\: a general term for all forms of color vision that yield chromaticity discrimination below normal limits, such as monochromatism, dichromatism, and anomalous trichromatism
color difference \kŭl′or d
f′er-ens\: magnitude and character of the difference between two colors under specified conditions; referred to as delta E
color rendering index \kŭl′or r
n′dering
n′d
ks\: a number from 1 to 100 given to a light source to indicate its relative equivalence to pure white light which has a color rendering index (CRI) of 100. The closer the number is to 100, the more it resembles pure white light
color standard \kŭl′or stăn′dard\: a color whose psychophysical dimensions have been accurately measured and specified
color stimulus \kŭl′or st
m′yu-lus\: visible radiation entering the eye and producing a sensation of color, either chromatic or achromatic
color temperature \kŭl′or t
m′per-a-chōōr′, t
m′pra-\: the temperature in degrees Kelvin (Celsius plus 273°) of a totally absorbing or black body (object) that produces colors as the temperature changes. The range is from a dull red to yellow to white to blue. This term is sometimes used incorrectly to describe the color of “white” light sources. The correct term to describe the color of light sources is correlated color temperature
col·or·im·e·ter \kŭl′a-r
m′
-ter\ n (ca. 1863): a device that analyzes color by measuring it in terms of a standard color, scale of colors, or certain primary colors; an instrument used to measure light reflected or transmitted by a specimen
complementary colors \kom′pla-m
n′ta-rē, -trē kŭl′orz\: 1: two colors that, when mixed together in proper proportions, result in a neutral color. Colored lights that are complementary when mixed in an additive manner form white light and follow the laws of additive color mixture. Colorants that are complementary when mixed together form black or gray and follow the laws of subtractive colorant mixture 2: colors located in directly opposite positions on the color wheel. Colorants that are complementary when mixed together form black or gray and follow the laws of subtractive color
cone \kōn\ n (1562): one of the receptors of color vision found in the retinal layer of the eye and concentrated in the macula lutea
continuous spectrum \kon-t
n′yōō-us spěk′trum\: a spectrum or section of the spectrum in which radiations of all wavelengths are present; opposed to line spectra or band spectra
correlated color temperature \kôr′a-lā′tid kŭl′er t
m′per-a-chōōr\: the term describing the color of white light sources. Specifically, it is the temperature of the Planckion (black body) radiator that produces the chromaticity most similar to that produced by the light source expressed in degrees Kelvin or in mired; it is measured in degrees Kelvin, to which a black body must be raised to provide the closest match, in chromaticity, to a particular light source
delta E \d
l′ta E¯\: total color difference computed by use of a color difference equation. It is generally calculated as the square root of the sums of the squares of the chromaticity difference and the lightness difference. It signifies the difference between sample and standard
deuteranomalous vision \dōō′ter-a-n
m′a-lus, dyōō′-ter-a-n
m′a-lus v
zh′on\: a form of anomalous trichromatism in which the viewer requires more green in a mixture of red and green to match spectral yellow than does a normal trichromat. The relative spectral visual sensitivity does not differ noticeably from normal. Hue discrimination is poor in the red to green region of the spectrum
dichromatic vision \dī′krō-măt′
k v
zh′en\: defective color vision characterized by the interpretation of wavelengths from the red portion of the spectrum matching a given green. There are two known sub classifications. One requires red light to be approximately 10 times brighter than the red selected by the other to achieve a similar color mismatch
dimensions of color \d
-m
n′shunz ŭv kŭl′er\: terms used to describe the three dimensional nature of color. In the Munsell Color Order System, the dimensions are named hue, value, and chroma. These are used to describe the color family (hue), the lightness/darkness (value), and the purity or strength (chroma)
electromagnetic spectrum \
-l
k′trō-măg-n
t′
k sp
k′ trŭm\: the range of energy waves that extend from gamma rays to radio waves. The eye is sensitive to a very narrow band of wavelengths between about 380 and 760 nm
esthetic reshaping \
s-th
t′
k rē-shāp′
ng\: the physical modification of the surfaces of teeth to improve appearance
es·thet·ics \
s-th
t′
ks\ adj (1798) 1: the branch of philosophy dealing with beauty 2: in dentistry, the theory and philosophy that deal with beauty and the beautiful, especially with respect to the appearance of a dental restoration, as achieved through its form and/or color. Those subjective and objective elements and principles underlying the beauty and attractiveness of an object, design or principle—see DENTAL E., DENTURE E.—aes·thet·i·cal·ly adj
flu·o·res·cence \fl
-r
s′ens\ n (1852): a process by which a material absorbs radiant energy and emits it in the form of radiant energy of a different wavelength band, all or most of whose wavelengths exceed that of the absorbed energy. Fluorescence, as distinguished from phosphorescence, does not persist for an appreciable time after the termination of the excitation process
hue \hyōō\ n (bef. 12c): often referred to as the basic color, hue is the quality of sensation according to which an observer is aware of the varying wavelengths of radiant energy. The dimension of color dictated by the wavelength of the stimulus that is used to distinguish one family of color from another—as red, green, blue, etc. The attribute of color by means of which a color is perceived to be red, yellow, green, blue, purple, etc. White, black, and grays possess no hue
Munsell AH. A color notation. Baltimore: Munsell Color Co. Inc, 1975:14–6.
il·lum·inant \
-lōō′ma-nant\ adj (15c): mathematical description of the relative spectral power distribution of a real or imaginary light source, that is, the relative energy emitted by a source at each wave length in its emission spectrum—see CIE STANDARD ILLUMINANT
invariant color match \
n-vâr′ē-ant kŭl′ar măch\: a perfect color match under all light conditions
ir·i·des·cent \
r′
-d
s′ant\ adj (1796): colors produced by interference, refraction, or diffraction
Kelvin temperature [Thomson W. (Lord Kelvin), Scottish mathematician and physicist (1824–1907)]: absolute temperature indicated by the symbol K. Zero Kelvin = 273° C
light \līt\ n (bef. 12c): the aspect of electromagnetic radiation of which the human observer is aware through the visual sensations that arise from the stimulation of the retina of the eye
light source \līt sors\: an object that emits light or radiant energy to which the human eye is sensitive. The emission of a light source can be described by the relative amount of energy, emitted at each wavelength in the visible spectrum; the emission may be described in terms of its correlated color temperature
light·ness \līt′n
s\ n (bef. 12c) 1: achromatic dimension necessary to describe the three-dimensional nature of color, the others being hue and saturation. The lightness dimension may also be called brightness. In the Munsell Color Order System, the lightness dimension is called value 2: perception by which white objects are distinguished from gray and light objects from dark ones; equivalent to shading in grays
lim·bus \l
m′bas\: a border or interface especially if marked by a difference in color or structure between adjoining parts
met·a·mer \m
t′a-mer′\ n: one of a pair of objects whose colors match when viewed in a described way but do not match under all viewing conditions
metameric pair \m
t′a-mer′ik pâr\: a pair of objects whose colors match when viewed in a described way, but which do not match if the viewing conditions are changed. Thus a metameric pair of samples exhibit the same tri-stimulus values for a described set of viewing conditions (observer, light source, geometry of the illumination and viewing arrangement) but have different spectral distributions. Hence, they exhibit a match that is conditional
me·tam·er·ism \ma-tăm′a-r
z′um\ n. (1877): pairs of objects that have different spectral curves but appear to match when viewed in a given hue exhibit metamerism. Metamerism should not be confused with the term’s flair or color constancy, which apply to apparent color change exhibited by a single color when the spectral distribution of the light source is changed or when the angle of illumination or viewing is changed
monochromatic vision \m
n′a-krō-măt′
k v
sh′an\: vision in which there is no color discrimination
Munsell chrome [Alfred H. Munsell, Massachusetts, U.S. artist and teacher, 1858–1918]: eponym for the Munsell color system chrome, which is that quality by which a strong color is distinguished from one that is weak. The departure of a color sensation from that of white or gray; the intensity of a distinctive hue color intensity—see also SATURATION
Munsell color order system [Alfred H. Munsell, Massachusetts, U.S. artist and teacher, 1858–1918]: eponym for a color order system; developed in 1905, it places colors in an orderly arrangement encompassing the three attributes of hue, value, and chrome
Munsell AH. A color notation. Baltimore: Munsell Color Co., 1975:14–6.
Munsell hue [Alfred H. Munsell, Massachusetts, U.S. artist and teacher, 1858–1918]: eponym for that quality by which one color family is distinguished from another, as red from yellow, and green from blue or purple. The dimension of color determined by wavelength
Munsell value [Alfred H. Munsell, Massachusetts, U.S. artist and teacher, 1858–1918]: eponym for the relative brightness of a color. The quality of grayness in comparison to white (high value) and black, (low value); in the Munsell color system, the value of a color is determined by which gray on the value scale it matches in lightness/darkness (black is assigned a value of zero; white a value of 10)
natural color system \năch′ar-al, năch′ral kul′ar s
s′tam\: a color order system derived by Anders Hard that defines six color perceptions using the concept of percentage for localizing nuances within the three part system. The six perceptions are white, black, red, green, yellow, and blue. The dimensions of hue, blackness or whiteness, and chrome are used to relate colors within this system
partitive color mixing \pär′t
-t
v\: color mixing in which both additive and subtractive principles are involved. The eye interprets tiny dots of subtractive color too small to be individually resolved at the viewing distance. The resultant color will be the average of the colors used
perceived color \par-sēvd′ kŭl′ar\: attribute of visual perception that can be described by color names: white, gray, black, yellow, orange, brown, red, green, blue, purple, etc., or by a combination of names
phos·phor·es·cence \f
s′fa-r
s′ans\ n (1796): a form of photoluminescence based on the properties of certain molecules to absorb energy (either near ultra violet or visible), and emit it in the form of visible radiation at a higher wavelength. Distinguished from fluorescence in that light continues to be emitted for some time after the exciting energy has ceased—see FLUORESCENCE, LUMINANCE
pho·tom·et·er \fō-t
m′
-ter\ n (1884): an instrument for the measurement of emitted, reflected, or transmitted light. For the measurement of luminous intensity, a visual receptor element (the eye) may be used in the measuring device or a physical receptor element may be used that can be related to the calculated response of a standard observer—see PHYSICAL P., VISUAL P.
pho·ton \fō′t
n\ n (ca. 1922): a massless particle, the quantum of the electromagnetic field, carrying energy, momentum, and angular momentum—called also light quantum
photopic vision \fō-t
p′
k v
zh′an\: vision as it occurs under illumination sufficient to permit the full discrimination of colors. It is the function of the retinal cones and is not dependent on the retinal rods—called also daylight vision as contrasted with twilight or scotopic vision
photoreceptor process \fō′tō-r
-s
p′tar pr
s′
s′, prō′s
s′\: that specific process that is set in motion in a visual sensory end organ or other photic receptor by the incidence of its adequate stimulus, i.e., light
primary colors \prī′m
r′ē, -ma-rē kŭl′erz\: three basic colors used to make most other colors by mixture, either additive mixture of lights or subtractive mixture of colorants
primary colors additive \prī′m
r′ē, -ma-rē kŭl′erz ăd′
-t
v\: three colored lights from which all other colors can be matched by additive mixture. The three must be selected so that no one of them can be matched by mixture of the other two. Generally, red, green, and blue are used. Additive primaries are the complements of the subtractive primaries
protonomalous vision \prō′ta-n
m′a-lŭs v
zh′un\: a form of color deficient vision in which the ability to perceive blue and yellow is retained. Hue discrimination is poor in the red to green region of the spectrum
pseudoisochromatic color tests \sōō′dō-ī′sa-krō-măt′
k kŭ′lar t
sts\: tests for detecting color vision deficiency. The charts are made up of colored spots that yield a legible pattern (number, letter, figure, etc.,) for a normal observer but yield no legible pattern for observers with anomalous types of color vision
psychophysical color \sī′kō-f
z′
-kal kŭ′lar\: a specification of color stimulus in terms of operationally defined values, such as three tri-stimulus values
re·flec·tance \r
-fl
k′tans\ n (1926): the ratio of the intensity of reflected radiant flux to that of the incident flux. In popular usage, it is considered as the ratio of the intensity of reflected radiant flux to that reflected from a defined reference standard. Specular reflection is the angle of reflection equal to the angle of incidence. Surface reflection is associated with objects having optically smooth surfaces. These objects are usually termed glossy
re·frac·tion \r
-frăk′shun\ n (1603): the deflection of light or energy waves from a straight path that occurs when passing obliquely from one medium into another in which its velocity is different
re·frac·tory \r
-frăk′ta-rē\ adj (1606): difficult to fuse or corrode; capable of enduring high temperatures
rod \r
d\ n (bef. 12th cent.): the photoreceptor in the retina that contains a light-sensitive pigment capable of initiating the process of scotopic vision, i.e., low intensity for achromatic sensations only
sat·u·ra·tion \săch′a-rā′shun\ n (1554): the attribute of color perception that expresses the degree of departure from gray of the same lightness. All grays have zero saturation
scotopic vision \ska-tō′p
k v
′shun\: vision that occurs in faint light or dark adaptation and is attributable to the retinal rods. The maximum of the relative spectral visual sensitivity is shifted to 510 nm and the spectrum is seen uncolored
shade \shād\ n 1: a term used to describe a particular hue, or variation of a primary hue, such as a greenish shade of yellow 2: a term used to describe a mixture with black (or gray) as opposed to a tint that is a mixture with white—see TOOTH COLOR SELECTION
spectral reflection \sp
k′tral r
-fl
k′shun\: reflection in which the angle of reflection is equal to the angle of incidence. Associated with objects having optically smooth (glossy) surfaces—called also mirrored reflection
spec·tro·pho·tom·e·ter \sp
k′trō-fō-t
m′
-tar\ n: photometry device for the measurement of spectral transmissions, reflectance, or relative emissions. Spectrophotometers are normally equipped with dispersion optics (prism or grating) to give a continuous spectral curve
spec·trum \sp
k′trum\ n 1: band of colors produced when sunlight is passed through a prism 2: spatial arrangements of components of radiant energy in order of their wavelengths, wave numbers, or frequency—spec·tral adj
standard illuminant \stăn′dard
-lōō′ma-nant\: the illuminants A, B. C, D (and others) defined by the CIE in terms of their relative power distribution curves. “A” is an illuminant with a Planckion temperature of approximately 2854°K. It is intended to represent a common tungsten filament source. “B” approximates solar radiation—4870°K—and is obsolete. “C” is average daylight, 6740°K. “D” is daylight with the near ultraviolet source included
standard light source \stăn′dard līt sôrs, sōrs\: a reference light source whose spectral power distribution is known
standard of care: the level of care that reasonably prudent healthcare providers in the same or a similar locality would provide under similar circumstances
subtractive color system \sub-trăk′t
v kŭ′lar s
s′tum\: the system whereby light is removed by filtration or absorption from a white source. The primary colors of the subtractive system are magenta, cyan, and yellow—called also pigment mixture color system
subtractive primary colors \sub-trăk′t
v prī′m
r′ē, -ma-rē\: the primary colorant substances for pigment and filtering mixtures typically evoking responses of cyan (blue-green), magenta (red-blue), and yellow (red-green). The complementary colors of the subtractive primary colors are red, green, and blue. Magenta is a mixture of red and blue and is the complement of green. Cyan is a mixture of blue and green and is the complement of red. Yellow is a mixture of red and green and is the complement of blue
trichromatic system \trī-krō-măt′
k s
s′tam\: a system for specifying color stimuli in terms of the tri-stimulus value based on matching colors by additive mixtures of three primary colored lights
tri·chro·ma·tism \trī-krō′ma-t
z′um\ n: a type of vision in which the colors seen require, in general, three independently adjustable primaries (such as red, green, and blue) for their duplication by mixture; trichromatism may be either anomalous trichromatism or normal vision
tri-stimulus value \trī-st
m′ya-lus văl′yōō\: (R, G, B: X, Y, Z, etc.) Amounts of the three reference color stimuli, in a given trichromatic system, required to match the color of the stimulus considered
tri·ta·no·pia \trī-tă′nō-pē′a\ n: form of dichromatism in which reddish blue and greenish yellow stimuli are confused. Tritanopia is a common result of retinal disease but may be inherited—called also blue blindness, hence tritanope
ul·tra·vi·o·let \ŭl′tra-vī′a-l
t\: radiant energy of wavelengths shorter than extreme violet and lying beyond the ordinarily visible spectrum. Usually assigned to wavelengths shorter than 380 nm
uniform color space \yōō′na-fôrm kŭl′ar spās\: color space in which equal distances are intended to represent threshold or above threshold perceived color differences of equal size
val·ue \văl′yōō\ n (14c): the quality by which a light color is distinguished from a dark color, the dimension of a color that denotes relative blackness or whiteness (grayness, brightness). Value is the only dimension of color that may exist alone—see MUNSELL VALUE
Munsell, AH. A color notation. Baltimore: Munsell Color Co., 1975:14–7.
visible spectrum \v
z′a-bal sp
k′trum\: the section of the electromagnetic spectrum that is visible to the human eye. It ranges from 380 nm to 760 nm
visual adaptation \v
zh′ōō-al ăd′äp-tā′shun\: adjustive change in visual sensitivity due to continued visual stimulation or lack of stimulation. Three recognized types are: 1) scotopic or dark adaptation 2) photopic or light adaptation 3) chromatic or color adaptation
wave length \wāv l
ngkth\: the distance at any instant between two adjacent crests (or identical phases) of two series of waves that are advancing through a uniform medium. The wavelength varies inversely with the vibration rate or number of waves passing any given point per unit period of time
STUDY QUESTIONS
1 Munsell AH. A Color Notation, 11th ed. Baltimore: Munsell Color Co., 1961.
2 Sproull RC. Color matching in dentistry, II. Practical applications of the organization of color. J Prosthet Dent. 1973;29:556.
3 Hammad IA, Stein RS. A qualitative study for the bond and color of ceramometals. II. J Prosthet Dent. 1991;65:169.
4 Rinke S, et al. Colorimetric analysis as a means of quality control for dental ceramic materials. Eur J Prosthodont Restor Dent. 1996;4:105.
5 Seghi RR, et al. Spectrophotometric analysis of color difference between porcelain systems. J Prosthet Dent. 1986;56:35.
6 Rosenstiel SF, Johnston WM. The effect of manipulative variables on the color of ceramic metal restorations. J Prosthet Dent. 1988;60:297.
7 Okubo SR, et al. Evaluation of visual and instrument shade matching. J Prosthet Dent. 1998;80:642.
8 Wyszecki G, Stiles WS. Color Science: Concepts and Methods, Quantitative Data and Formulae, 2nd ed., New York: Wiley & Sons; 1982:840.
9 van der Burgt TP, et al. A comparison of new and conventional methods for quantification of tooth color. J Prosthet Dent. 1990;63:155.
10 Culpepper WD. A comparative study of shade-matching procedures. J Prosthet Dent. 1970;24:166.
11 Geary JL, Kinirons MJ. Colour perception of laboratory-fired samples of body-coloured ceramic. J Dent. 1999;27:145.
12 Saleski CG. Color, light and shade matching. J Prosthet Dent. 1972;27:263.
13 Paravina RD, et al. Color comparison of two shade guides. Int J Prosthodont. 2002;15:73.
14 Romney AK, Indow T. Estimating physical reflectance spectra from human color-matching experiment. Proc Natl Acad Sci U S A. 2002;99:14607.
15 Sproull RC, Preston JD. Understanding color. Goldstein RE, editor. Esthetics in Dentistry, vol 1. London: BC Decker. 1998:207.
16 Bergen SF: Color Education in the Dental Profession. Master’s thesis, New York University, 1975.
17 Bergen SF, McCasland J. Dental operatory lighting and tooth color discrimination. J Am Dent Assoc. 1977;94:130.
18 Preston JD, et al. Light and lighting in the dental office. Dent Clin North Am. 1978;22:431.
19 Barna GJ, et al. The influence of selected light intensities on color perception within the color range of natural teeth. J Prosthet Dent. 1981;46:450.
20 Preston JD, Bergen SF. Color Science and Dental Art. St. Louis: Mosby, 1980.
21 Lemire PA, Burk B. Color in Dentistry. Hartford, CT: JM Ney Co, 1975.
22 Hall GL, Bobrick M: Improved illumination of the dental treatment rooms. SAM-TR-68-103. Tech Rep SAM-TR December:1, 1968.
23 Wyszecki G, Stiles WS. Color Science: Concepts and Methods, Quantitative Data and Formulae, 2nd ed., New York: Wiley & Sons; 1982:519.
24 Land EH. The retinex theory of color vision. Sci Am. 1977;237:108.
25 Wyszecki G, Stiles WS. Color Science: Concepts and Methods, Quantitative Data and Formulae, 2nd ed., New York: Wiley & Sons; 1982:236.
26 Seghi RR, Johnston WM. Estimate of colorimetric measurement errors associated with natural tooth fluorescence [Abstract no. 1578]. J Dent Res. 1992;71:303.
27 Yamamoto M. Newly developed opal ceramic and its clinical use with respect to relative breaking indices. I. Significance of opalescence and development of opal ceramic. Quintessenz Zahntech. 1989;15:523.
28 Hegenbarth EA. Opalescence effect in low melting ceramic. Quintessenz Zahntech. 1991;17:1415.
29 Rushton WAH. Visual pigments and color blindness. Sci Am. 1975;232:64.
30 Davidson SP. Shade selection by color vision defective dental personnel. J Prosthet Dent. 1990;63:97.
31 Hall NR. Tooth colour selection: the application of colour science to dental colour matching. Aust Prosthodont J. 1991;5:41.
32 McPhee ER. Light and color in dentistry. I. Nature and perception. J Mich Dent Assoc. 1978;60:565.
33 Ragain JC, Johnston WM. Color acceptance of direct dental restorative materials by human observers. Color Res Appl. 2000;25:278.
34 Wee AG, et al. Color formulation and reproduction of opaque dental ceramic. Dent Mater. 2005;21:665.
35 O’Brien JW, et al. Coverage errors of two shade guides. Int J Prosthodont. 1991;4:45.
36 McLean JW. The Science and Art of Dental Ceramics, vol 2. Chicago: Quintessence Publishing. 1980:308.
37 Blackman RB. Ceramic shade prescriptions for work authorizations. J Prosthet Dent. 1982;47:28.
38 Johnston WM, et al. Analysis of edge-losses in reflectance measurements of pigmented maxillofacial elastomer. J Dent Res. 1996;75:752.
39 Bolt RA, et al. Influence of window size in small-window color measurement, particularly of teeth. Phys Med Biol. 1994;39:1133.
40 Gozalo-Diaz DJ: Relationship between the color of teeth, gingiva, lips and skin. Master’s thesis, The Ohio State University, 2004.
41 Wee AG. Reliability of the shadescan for three different shade guides [Abstract no. 395]. J Dent Res. 83(Special Issue A), 2004.
42 Kim S, et al. Reliablity and accuracy of electronic shade matching instruments [Abstract no. 408]. J Dent Res. 84(Special Issue A), 2005.
43 Wee AG, et al. Evaluating porcelain color match of different porcelain shade-matching systems. J Esthet Dent. 2000;12:271.
44 Raigrodski AJ, Chiche GJ. Computerized shade selection in matching anterior metal-ceramic crowns [Abstract no. 395]. J Dent Res. 83(Special Issue A), 2004.
45 Brewer JD, et al. Spectrometric analysis of the influence of metal substrates on the color of metal-ceramic restorations. J Dent Res. 1985;64:74.
46 Stavridakis MM, et al. Effect of different high-palladium metal ceramic alloys on the color of opaque porcelain. J Prosthodont. 2000;9:71.
47 O’Brien WJ, et al. Sources of color variation on firing porcelain. Dent Mater. 1991;7:170.
48 Groh CL, et al. Differences in color between fired porcelain and shade guides. Int J Prosthodont. 1992;5:510.
49 Jorgenson MW, Goodkind RJ. Spectrophoto-metric study of five porcelain shades relative to the dimensions of color, porcelain thickness, and repeated firings. J Prosthet Dent. 1979;42:96.
50 Douglas RD, Przybylska M. Predicting porcelain thickness required for dental shade matches. J Prosthet Dent. 1999;82:143.
51 Elias AC, Sheiham A. The relationship between satisfaction with mouth and number and position of teeth. J Oral Rehabil. 1998;25:649.
52 Davis LG, et al. Psychological effects of aesthetic dental treatment. J Dent. 1998;26:547.
53 Dong JK, et al. The esthetics of the smile: a review of some recent studies. Int J Prosthodont. 1999;12:9.
54 Carlsson GE, et al. An international comparative multicenter study of assessment of dental appearance using computer-aided image manipulation. Int J Prosthodont. 1998;11:246.
55 Proffit WR, Fields HW. Contemporary Orthodontics, 3rd ed. St. Louis: Mosby, 2000.
56 Johnson DK, Smith RJ. Smile esthetics after orthodontic treatment with and without extraction of four first premolars. Am J Orthod Dentofacial Orthop. 1995;108:162.
57 Sarver DM. The importance of incisor positioning in the esthetic smile: the smile arc. Am J Orthod Dentofacial Orthop. 2001;120:98.
58 Levin EI. Dental esthetics and the golden proportion. J Prosthet Dent. 1978;40:244.
59 Rosenstiel SF, et al. Dentists’ preferences of anterior tooth proportion—a web-based study. J Prosthodont. 2000;9:123.
60 Rosenstiel SF, Rashid RG. Public preferences for anterior tooth variations: a web-based study. J Esthet Restor Dent. 2002;14:97.
61 Ahmad I. Geometric considerations in anterior dental aesthetics: restorative principles. Pract Periodont Aesthet Dent. 1998;10:813.
62 Rosenstiel SF, et al. Dentists’ perception of anterior esthetics. A web-based survey [Abstract no.1481]. J Dent Res. 83(Special Issue A), 2004.
63 Lombardi RE. The principles of visual perception and their clinical application to denture esthetics. J Prosthet Dent. 1973;29:358.
64 Beyer JW, Lindauer SJ. Evaluation of dental midline position. Semin Orthodont. 1998;4:146.
65 Johnston CD, et al. The influence of dental to facial midline discrepancies on dental attractiveness ratings. Eur J Orthod. 1999;21:517.
* When used in reference to the Munsell coordinates, these terms are capitalized.
† From the Latin form of René Descartes, 1596–1650, the French philosopher and mathematician.
* Lux is a unit of illumination, equal to 1 lumen per square meter—originally based on the illumination provided by a household candle at a distance of 1 m.
* Kerr Corporation, Orange, California.
† Authentic Products, Inc., San Antonio, Texas.
* Called Mie scattering after Gustav Mie, 1868–1957, German physicist.
* Shades that match artificially bleached teeth are also available.
* Vident, Brea, California.
* Ivoclar Vivadent, Amherst, New York.
* See also www.dent.ohio-state.edu/restsurvey/appearance/.
* After Leonardo Fibonacci, c. 1170–c. 1250, Italian mathematician, who devised it in the 13th century.
† Panadent Corporation, Grand Terrace, California.
* Reprinted in part from The Journal of Prosthetic Dentistry, Vol. 94, No. 1, The Glossary of Prosthodontic Terms, 8th Edition, pp. 10–81, © 2005, with permission from The Editorial Council of The Journal of Prosthetic Dentistry.