25 ALL-CERAMIC RESTORATIONS
All-ceramic inlays, onlays, veneers, and crowns can provide some of the most esthetically pleasing restorations currently available. They can be made to match natural tooth structure accurately in terms of color, surface texture, and translucency. Well-made all-ceramic restorations can be virtually indistinguishable from unrestored natural teeth (Fig. 25-1).
Fig. 25-1 A, All-ceramic crown restoring the right maxillary central incisor. B and C, Maxillary anterior teeth restored with facial veneers and an all-ceramic fixed dental prosthesis.
(B and C, Courtesy of Dr. D. H. Ward.)
Traditionally, ceramic crowns have been made on a platinum matrix and were referred to as porcelain jacket crowns. More recently, improved materials and techniques have been introduced in an attempt to overcome disadvantages inherent in that traditional method. These improvements, particularly the use of higher strength ceramics and adhesives for bonding the ceramic restoration to tooth structure, have led to a resurgence of interest in all-ceramic restorations, including the more conservative inlays and veneers. With increasing demand for esthetics, all-ceramic restorations are an important part of contemporary dental practice.
This chapter reviews the historical background of ceramic restorations and more recent developments. It outlines the laboratory procedures necessary for the fabrication of all-ceramic inlays, veneers, and crowns and compares the alternatives.
The importance of the design of the tooth preparation to the success of ceramic restorations cannot be overemphasized (see Chapter 11).
The first attempt to use ceramics for making denture teeth was by Alexis Duchateau in 1774. More than a hundred years later, C. H. Land made the first ceramic crowns and inlays with a platinum foil matrix technique and was granted a patent in 1887.1 The popularity of ceramic restorations declined with the introduction of acrylic resin in the 1940s and continued to be low until the disadvantages of resin veneering materials (increased wear, high permeability leading to discoloration and leakage) were realized.2-4 In 1962, Weinstein and Weinstein patented a leucite-containing porcelain frit for use in metal-ceramic restorations.5 The presence of leucite, an aluminosilicate with high thermal expansion, allowed a match between the thermal expansion of the ceramic and that of the metal (see Chapter 24). The appearance of ceramic restorations was improved by the introduction of vacuum firing, which considerably reduced the amount of porosity and therefore resulted in denser and more translucent restorations than could be achieved with air firing.6
The chief disadvantage of the early restorations was their low strength, which limited their use to low-stress situations, such as those encountered by anterior teeth. Even so, fracture was a fairly common occurrence, which prompted the development of higher strength materials.7,8 These developments have followed two paths. One approach is to use two ceramic materials to fabricate the restoration. A high-strength but nonesthetic ceramic core material is veneered with a lower strength, esthetic porcelain. This approach is similar to the metal-ceramic technique (see Chapter 24), although the color of the ceramic core is more easily masked than that of a metal substructure. The other approach is the development of a ceramic that combines good esthetics with high strength. This has the obvious attraction of not needing the additional thickness of material to mask a high-strength core. However, at present, the strongest dental ceramics are nonesthetic core materials.
In spite of their excellent esthetic qualities and outstanding biocompatibility, dental ceramics, like all ceramic materials, are brittle. They are susceptible to fracture at the time of placement and during function. Brittle materials such as ceramics contain at least two types of flaws: fabrication defects and surface cracks, from which fracture can initiate. Methods used to improve the strength and clinical performance of dental ceramics include crystalline reinforcement, chemical strengthening, and stress-induced transformation.
Fabrication defects are created during processing and consist of voids or inclusions generated during sintering. Condensation of a ceramic slurry by hand before sintering may introduce porosity. Sintering under vacuum reduces the porosity in dental ceramics from 5.6 to 0.56 volume percent.9 Porosity on the internal side of clinically failed glass-ceramic restorations has been shown to constitute a fracture initiation site.10 Also, microcracks develop within the ceramic upon cooling in leucite-containing ceramics and are caused by thermal contraction mismatch between the crystals and the glassy matrix.11-13
Surface cracks are induced by machining or grinding. The average natural flaw size varies from 20 to 50 μm.14 Usually, fracture of the ceramic material takes place from the most severe flaw, which effectively determines the fracture resistance of the restoration. Ceramic engineers analyze failure with a statistical approach, looking at flaw size and spatial distribution.15
Strengthening by crystalline reinforcement involves the introduction of a high proportion of crystalline phase into the ceramic material to improve the resistance to crack propagation. The crystals can deflect the advancing crack front to increase the fracture resistance of two-phase materials. Microstructural features that typically lead to crack deflection include (1) weakened interfaces between grains in single-phase materials that may be caused by incomplete sintering and (2) residual strains in two-phase materials.16 The latter constitutes a major issue in dental ceramics.
A crystalline phase with greater thermal expansion coefficient than the matrix produces tangential compressive stress (and radial tension) near the crystal-matrix interface. Such tangential stresses tend to divert the crack around the particle. Leucite particles have a greater thermal expansion coefficient than does the surrounding glassy matrix. Upon cooling, compressive stresses develop at the leucite crystal–matrix interface.12
Chemical strengthening is another method used to increase the strength of glasses and ceramics. Chemical strengthening relies on the exchange of small alkali ions for larger ions below the strain point of the ceramic material. Because stress relaxation is not possible in this temperature range, the exchange leads to the creation of a compressive layer at the surface of the ceramic.17 Finally, any applied load must first overcome this built-in compression layer before the surface can be placed into tension; this results in an increase in fracture resistance. This technique involves the use of alkali salts with a melting point lower than the glass transition temperature of the ceramic material. Ion exchange strengthening has been reported to increase the flexural strength of feldspathic dental porcelain up to 80%, depending on the ionic species involved and the composition of the porcelain.18,19 The depth of the ion-exchanged layer could be as high as 50 μm.20 However, this technique is diffusion driven, and its kinetics are limited by time, temperature, and ionic radius of the exchanged ions.
The glass industry also uses thermal tempering (fast cooling) as a strengthening method.21
In some ceramic materials such as polycrystalline zirconia, strengthening can be obtained through a stress-induced transformation. Zirconia is monoclinic at room temperature and tetragonal between about 1170° C (2140° F) and 2370° C (4300° F). The transformation between tetragonal and monoclinic zirconia is accompanied by an increase in volume. The tetragonal form can be retained at room temperature by addition of various oxides such as yttrium oxide. Stress can trigger the transformation from tetragonal to monoclinic zirconia, thereby leading to strengthening as a result of an increase in grain volume in the vicinity of the crack tip.22
The addition of a surface glaze can also be used to strengthen ceramics. The principle is the formation of a low-expansion surface layer formed at a high temperature. Upon cooling, the low-expansion glaze places the surface of the ceramic in compression and reduces the depth and width of surface flaws.23
With contemporary dental ceramics, self-glazing is the standard technique. This consists of an additional firing in air after the original firing, without application of a low-expansion glaze. However, self-glazing does not significantly improve the flexure strength of feldspathic dental porcelain.24,25
The strength of ceramics is reduced in moist environments. This weakening is caused by a chemical reaction between water and the ceramic at the tip of the strength-controlling crack, resulting in an increase in the crack size—a phenomenon called stress corrosion or static fatigue.26 According to Michalske and Freiman,27 the reaction steps involve the following:
Sherrill and O’Brien28 reported a reduction in fracture strength of about 30% when dental porcelains were fractured in water, and other authors have concluded that stress corrosion is important in the performance of dental ceramic restorations.29,30
Ceramic systems such as Captek* that are baked on a metal foil may reduce fracture incidence by reducing moisture exposure to the internal surface of the ceramic material, from where the fracture is thought to initiate.10 In industry, coatings are used to reduce stress corrosion of glass and ceramics, such as optical fibers. Similar coatings have been tried experimentally for their effect on dental ceramics.31
The microstructure of some ceramic systems discussed in this chapter is illustrated in Figure 25-2, and their properties are summarized in Table 25-1.
Fig. 25-2 Representative dental ceramics etched to reveal microstructure. A, A feldspathic porcelain (IPS Classic). B, A leucite-reinforced pressable ceramic (OPC). C, A lithium disilicate pressable ceramic (OPC 3G). D, A slip-cast spinel ceramic (In-Ceram Spinell). E, A feldspathic machinable (VITA Mark II). F, A machined and sintered zirconia ceramic (Cercon).
The high-strength ceramic core was first introduced to dentistry by McLean and Hughes32 in 1965. They advocated using aluminous porcelain, which is composed of aluminum oxide (alumina) crystals dispersed in a glassy matrix. Their recommendation was based on the use of alumina-reinforced porcelain in the electrical industry33 and the fact that alumina has a high fracture toughness and hardness.34
The technique devised by McLean35 involved the use of an opaque inner core containing 50% by weight alumina for high strength. This core was veneered by a combination of esthetic body and enamel porcelains with 15% and 5% crystalline alumina, respectively36 (Fig. 25-3) and matched thermal expansion. The resulting restorations were approximately 40% stronger than those with traditional feldspathic porcelain.26
Fig. 25-3 The strength of an aluminous jacket crown is derived from its high-alumina content core, onto which esthetic body and incisal porcelains are fired. This is analogous to the metal-ceramic crown, whose strength is derived from a metal substructure.
Although declining in popularity with the introduction of innovative all-ceramic products, a technician skilled in the fabrication of the aluminous core porcelain jacket crown produces an exceptionally esthetic restoration. The procedure is outlined in Figures 25-4 to 25-6.
Fig. 25-4 Platinum matrix fabrication. A, A diamond-shaped foil is adapted to the facial surface (a cutting guide is provided with the foil). B, Two cuts are made, one to each incisal corner, and a triangle of foil is removed by cutting at 45 degrees toward the corners. C, The foil is folded onto the lingual surface and burnished. D and E, It is then gathered on the lingual surface with tweezers and adapted with finger pressure. F, The foil is trimmed to follow the lingual contour evenly. The two ends are separated, and one is trimmed to exactly half the width of the other. G and H, The long end is folded over the short end, and relieving cuts are made (see Fig. 25-5). Then the three-thickness joint is folded toward the short end. I, The foil is adapted with a wooden point, always starting from the incisal edge and working toward the margin. J, A beaver-tail burnisher is used to adapt the margin, working the foil toward the internal angle to prevent a perforation. Better adaptation can be achieved by swaging at this stage. The matrix is removed with sticky wax (K) and annealed in a Bunsen flame (L) to relieve work hardening. M, The completed platinum foil matrix.
Fig. 25-5 The tinner’s joint. A, Foil is trimmed so that one end is exactly twice as long as the other. B, The long end is carefully folded over the short end. C, Margin discrepancy at the joint can be reduced by removing a triangular section of foil.
Fig. 25-6 Aluminous core technique. A to C, The platinum matrix is heated to drive off dissolved gases, and the core porcelain is built up. D, A thin blade is used to form a cervical ditch, which will prevent the matrix from becoming distorted during the first firing. E, There must be no porcelain particles on the inner aspect. F, The fired core should be checked with a thickness gauge. Often additional core material is needed to obtain the recommended dimensions. G, The foil is readapted to the margin, and the ditch is filled with additional porcelain. This lingual view shows where the core should be thickest. For esthetic reasons, the core is much thinner on the facial surface. H, The core is seated on the definitive cast before the application of body and incisal porcelains.
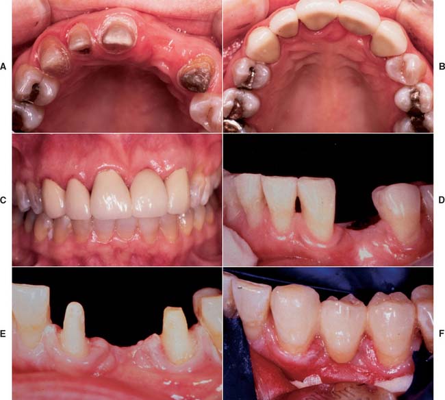
High-strength core frameworks for all-ceramic restorations can be produced with a slip-casting procedure37 such as the In-Ceram (see Fig. 25-9A).*
Fig. 25-9 Fabrication of a slip-cast alumina restoration. A, The In-Ceram system relies on a high-strength core veneered with an esthetic feldspathic porcelain. B, The definitive cast is duplicated with a special elastomer. C, The special plaster die. D, The alumina slip is ultrasonically mixed and applied to the plaster die (E). F, The VITA Inceramat special porcelain furnace. G, A special colored infiltration glass is painted on the porous sintered alumina and fired. H, Excess glass is carefully removed by grinding and air abrasion. I, Finished substructures on the definitive cast. J, Body and incisal porcelains are applied and fired in the conventional manner.
(A, Courtesy of Morehead Dental Laboratories, Morehead, Kentucky. B to J, Courtesy of Vident, Brea, California.)
Slip-casting is a traditional technique in the ceramic industry and is used to make sanitary ware. The starting medium in slip-casting is a slip that is an aqueous suspension of fine ceramic particles in water with dispersing agents. The slip is applied onto a porous refractory die, which absorbs the water from the slip and leads to the condensation of the slip on the die. The piece is then fired at a high temperature (1150° C [2100°F]). The refractory die shrinks more than the condensed slip, which allows easy separation after firing. The fired porous core is later glass infiltrated, a unique process in which molten glass is drawn into the pores by capillary action at a high temperature.38 Materials processed by slip-casting tend to exhibit lower porosity and fewer processing defects than do traditionally sintered ceramic materials. The strength of In-Ceram is about three to four times greater than that of earlier alumina core materials,39,40 a finding that has prompted its use in high-stress situations such as fixed dental prostheses (FDPs) (Fig. 25-7). Two modified porcelain compositions for the In-Ceram technique have been introduced: In-Ceram Spinell* contains a magnesium spinel (MgAl2O4) as the major crystalline phase, which improves the translucency of the final restoration (Fig. 25-8). In-Ceram Zirconia contains zirconium oxide (ZrO2) and is said to provide the highest strength.41,42 Marginal fit of In-Ceram has been reported as very good43 or good44 but also poor,45 which emphasizes the technique sensitivity of the process and the need to select a skilled dental laboratory.
Fig. 25-7 A to C, All-ceramic fixed dental prosthesis (FDP) replacing the maxillary left central incisor, through the use of the In-Ceram system. D to F, All-ceramic FDP replacing the mandibular left first premolar, through the use of the Empress 2 system.
(D to F, Courtesy of Ivoclar Vivadent, Inc., Amherst, New York.)
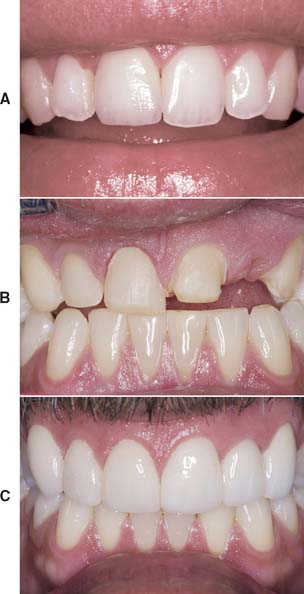
Fig. 25-8 A, Defective maxillary metal-ceramic crowns. Esthetic problems included high value and opacity. B, Crowns removed. The preparations are not discolored and thus allow a translucent all-ceramic crown system. C, Maxillary all-ceramic crowns with a translucent slip-cast spinel core material.
(Courtesy of Dr. R. B. Miller.)
Fig. 25-10 Body and incisal porcelain application. A, Moistening the high-strength core. B and C, Applying gingival and body porcelains. D, Cut-back for the incisal porcelain. E, The incisal porcelain. F, Adding to the interproximal areas. G, The completed buildup. H, The fired crown is seated on the definitive cast.
Heat-pressed ceramics have been popular in restorative dentistry since the early 1990s. The restorations are waxed, invested, and pressed in a manner somewhat similar to that for gold casting. Marginal adaptation seems to be better with heat pressing than with the high-strength alumina core materials,45 although the results from individual dental laboratories may not support the research findings. Most heat-pressed materials contain leucite as a major reinforcing crystalline phase, dispersed in a glassy matrix. The crystal size varies from 3 to 10 μm, and the leucite content varies from about 35% to about 50% by volume, depending on the material. Research has shown that residual tangential stresses remain around the leucite crystals after cooling.12 Ceramic ingots are pressed at a high temperature (about 1165° C [2130° F]) into a refractory mold made by the lost-wax technique. The ceramic ingots are available in different shades. Two finishing techniques can be used: a characterization technique (surface stain only) and a layering technique, involving the application of a veneering porcelain (Fig. 25-11G and H). The two techniques lead to comparable mean flexural strength values for the resulting porcelain composite.46 The thermal expansion coefficient of the core material for the veneering technique is usually lower than that of the material for the staining technique to be compatible with the thermal expansion coefficient of the veneering porcelain. Among the currently available leucite-containing materials for heat-pressing are IPS Empress,* Optimal Pressable Ceramic,† and two lower fusing materials, Cerpress‡ and Finesse.§
Fig. 25-11 Heat-pressed ceramic technique. A, Ceramic inlay restoration for a maxillary molar. A wax pattern is made in a manner similar to that for conventional gold castings. B, After the pattern is invested, it is burned out, and a ceramic ingot and alumina plunger are placed in the heated mold. C and D, The pressing is done under vacuum at 1165° C. E, Sprue removal. F, The pressed restoration seated on the die. G and H, For esthetic anterior restorations, only the dentin-colored ceramic is pressed. The incisal porcelain is brush applied in the conventional manner. I, Three-unit fixed dental prosthesis and veneer waxed to anatomic contour. J, The technician ensures that the connector size is adequate (4 × 4 mm). K, A silicone putty matrix is used to aid in cut-back of the wax pattern. L, Framework is sprued and invested (M), and the lithium-silicate ceramic is pressed into the mold. N, The pressed restoration. O, Framework on definitive cast. P, Applying veneering porcelain. Q, Completed restorations.
(Courtesy of Ivoclar Vivadent, Inc., Amherst, New York.)
IPS Empress 2 is an example of the second generation of heat-pressed dental ceramics. The major crystalline phase of the core material is a lithium disilicate. The material is pressed at 920° C (1690° F) and layered with a glass containing some dispersed apatite crystals.47,48
The indications for second-generation pressable dental ceramics include crowns and anterior three-unit FDPs.
The evolution of computer-aided design/computer-aided manufacturer (or computer-assisted machining) (CAD/CAM) systems for the production of machined inlays, onlays, veneers, and crowns led to the development of a new generation of ceramics that are machinable.
The Cerec system* has been marketed since the 1980s, with the improved Cerec 2 system introduced in the mid-1990s and the Cerec 3 in 2000. The equipment consists of a computer-integrated imaging and milling system, with the restorations designed on the computer screen (Fig. 25-12A). Several materials can be used with this system: VITA Mark II,† ProCad.‡ and In-Ceram Alumina and Spinell.§ VITA Mark II contains a feldspar (sanidine, KAlSi3O8) as a major crystalline phase within a glassy matrix. ProCad is a leucite-containing ceramic designed for making machined restorations. In-Ceram Alumina and Spinell are machined before the infiltration and veneering stages. Composite resin blocks are also available. Weaknesses of the earlier Cerec system include the poor marginal fit of the restorations49 and the lack of sophistication in the machining of the occlusal surface. The marginal adaptation of Cerec 3 is improved,50 and the occlusal anatomy can be shaped. The most recently introduced version of the CAD/CAM software¶ allows complete tridimensional visualization of the projected restoration with “virtual seating” capabilities. The various surfaces of the virtual restoration can be modified in all three dimensions before machining.
Fig. 25-12 Cerec 3 computer-assisted design/computer-assisted machining (CAD/CAM) system. A, The Cerec 3 system consists of an imaging system, a computer, and a milling system. B, Making an optical impression. C, Image of a prepared tooth. D, The preparation is marked and the restoration designed on the computer screen. E and F, Blocks are available in different ceramic systems, as is composite resin (G). H, The restoration is machined from the block. I, Defective amalgam restorations. J, Defective restorations replaced with Cerec 3 inlays. K, Defective cast metal crown. L, The defective crown replaced with CAD/CAM ceramic crown.
(A to D, I to L, Courtesy of Sirona Dental Systems, Charlotte, North Carolina; E, Courtesy of Vident, Brea, California; F, Courtesy of Ivoclar Vivadent, Inc., Amherst, New York; G, Courtesy of 3M ESPE, St. Paul, Minnesota.)
Extensive research in the field of zirconia ceramics and CAD/CAM technology has led to the development of zirconia ceramics for dental restorations.51 The material used is tetragonal zirconia stabilized with 3 mole percent yttrium oxide. Enlarged zirconia copings are machined from presintered zirconia blocks to compensate for the sintering shrinkage. The restorations are later sintered at a high temperature (1350° to 1450° C [2460° to 2640° F], depending on the manufacturer) for several hours. Matching veneering ceramics are available to achieve an esthetic restoration. These core materials exhibit very high strength and high fracture toughness. Long-term data are needed to assess the clinical performance of these ceramics.
The Procera AllCeram system (Fig. 25-13) involves an industrial CAD/CAM process.52,53 The die is mechanically scanned by the technician, and the data are sent to a work station, where an enlarged die is milled by a computer-controlled milling machine. This enlargement is necessary to compensate for the sintering shrinkage. Aluminum oxide powder is then compacted onto the die, and the coping is milled before sintering at a very high temperature (>1550° C [>2820° F]). The coping is further veneered with an aluminous ceramic with matched thermal expansion. The restorations seem to have good clinical performance54 and marginal adaptation,55,56 provided that the scanning is done skillfully.57
Fig. 25-13 The Procera All Ceram system. A, Tooth preparations for Procera crown on the maxillary anterior teeth. B, Completed restorations. C, Tooth preparations for Procera fixed dental prosthesis. D, High-strength framework. Body and incisal porcelains will be subsequently applied.
(A and B, Courtesy of Dr. E. van Dooren; C and D, Courtesy of Dr. E. Hagenbarth.)
In the Lava system (Fig. 25-14), a CAD/CAM procedure is used for the fabrication of zirconia frameworks all-ceramic restorations.58 The preparations are scanned, and frameworks are milled from presintered zirconia blanks. The size of the frameworks is precisely increased to allow for the shrinkage that occurs during sintering. Once a framework has been sintered, it is veneered with layered esthetic porcelains in a manner similar to that for the metal-ceramic technique.
Fig. 25-14 The Lava system. A, Lava computer-assisted design/computer-assisted machining (CAD/CAM) designing and milling machine. B, Computer design of framework. C and D, Framework milled from zirconia block. E, Veneering porcelain. F, Teeth prepared for posterior all-ceramic partial fixed dental prosthesis. G, Completed restoration. H, Framework evaluation for anterior partial fixed dental prosthesis. I, Completed anterior partial fixed dental prosthesis.
(A to E, Courtesy of 3M ESPE, St. Paul, Minnesota; F and G, courtesy of Dr. L. Jones and M. Roberts, CDT; H and I, courtesy of Dr. V. Bonatz.)
High-gold substructure systems are designed to overcome some of the disadvantages inherent in the porcelain jacket crown technique. The systems rely on different ways of creating a thin coping onto which the ceramic is fired. In strictest terms, therefore, they are metal-ceramic, as opposed to all-ceramic crowns.
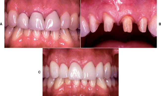
In the Captek* system, the coping is produced from two metal-impregnated wax sheets that are adapted to a die and fired. The first sheet forms a porous gold-platinum-palladium layer that is impregnated with 97% gold when the second sheet is fired.59 Advantages of the system include excellent esthetics and marginal adaptation.60
Fig. 25-15 The Captek system. A, Duplicated refractory die. B, Trimming the metal-impregnated wax sheet. C, Adapting the first sheet to the die. The first layer is fired to form a porous coping. D, Adapting the second metal-impregnated wax sheet. E, Fired framework. F, Sectioned Captek crown showing coping design. G, Defective metal-ceramic crown on the maxillary incisors replaced with Captek crowns (H). I, Partial fixed dental prosthesis frameworks can be fabricated with special pontic components.
(Courtesy of Captek, a Division of Precious Chemicals, Altamonte Springs, Florida.)
The primary purpose in recommending an all-ceramic restoration is to achieve the best possible esthetic result. Typically this is at the risk of reduced restoration longevity, because of the potential for fracture of the ceramic material, and the restoration may have a slightly inferior marginal adaptation than does a metal-ceramic crown.
Most hazards of restoration failure are removed if these restorations are confined to lower stress anterior teeth, and patients are carefully evaluated for evidence of parafunctional activity. Although laboratory testing of strength and fracture toughness has identified promising materials,38,61 clinical studies have consistently shown good performance on anterior teeth and yet poor performance on molars and for FDPs.62-64 Although the newer materials, such as alumina- and zirconia-based ceramics, promise higher strength (see Table 25-1), the long-term data to determine whether they are satisfactory, particularly for FDPs, are lacking.48,65,66
A knowledge of the available ceramic systems is needed to select a material that will provide the best esthetics for a particular patient. This is especially important when a single maxillary incisor is matched to an adjacent tooth. Careful consideration should also be given to the availability of laboratory support, because no dental laboratory invests in the expensive equipment needed for all the various systems. The marginal adaptation of the system is very important, even when resin bonding is used. When selecting a system, the dentist should carefully evaluate the internal and marginal adaptation, using an elastomeric detection paste.* Although research studies have identified differences among the various systems67 (see Table 25-1), these results may not represent an individual laboratory’s results. The translucency of the adjacent teeth and discoloration of the tooth being restored also must be considered when the most appropriate system is selected.68 A more opaque, high-strength core, ceramic system (e.g., In-Ceram or Procera) would not be a good choice for highly translucent teeth. However, such a system might be a good choice if the tooth exhibits discoloration that would not be well masked by a more translucent material. Conversely, when fracture is a concern, the higher strength materials should normally be given preference (see Table 25-1).
One concern with ceramic restorations is the potential for abrasion of the opposing enamel, particularly in patients with parafunctional habits. Whenever possible, a low-abrasion material should be considered. Abrasiveness has been studied in vitro,69-74 and the results are summarized in Table 25-1.
Porcelain labial veneers (see Chapter 11) can be fabricated by means of a refractory die technique, as well as on a platinum matrix† and with heat-pressed-ceramics. The heat-pressed technique is popular, but there are limitations to the esthetic effect when one ceramic color is pressed. The platinum matrix technique is tedious and somewhat challenging to learn, but once acquired, it enables the technician to make veneers with better marginal adaptation than does the refractory technique.75 Therefore, the platinum matrix technique is described here. Many of the steps are similar to those of the porcelain jacket crown technique (see Fig. 25-4).
Ceramic restorations are normally made through the use of the heat-pressed systems, but some technicians prefer a refractory die (Fig. 25-16). Marginal adaptation can be excellent, depending more on the technician’s skill than on the ceramic material used.78
Fig. 25-16 Fabrication of facial veneers and ceramic onlay with the refractory die technique. A, A surfactant debubblizer is used to spray the impression, after which it is lightly blown dry. B, Pouring the impression with die stone. C, Marking the preparation margins before die spacing and duplicating the cast with an elastomeric duplicating material (D). E, The mold is filled with the refractory investment. F, A die-lock system can be used; alternatively, a reverse dowel pin can be used with the dowel pin remaining in the cast base (G). H, As another alternative, special high-heat dowel pins* can be used. I, Marking margins with special pencil.† J, Decontaminating the investment. K, The blue margin marking turns red during this firing. L, The dies are soaked in distilled water until bubbling disappears. M, Adjacent proximal areas are coated with die hardener to prevent moisture from being absorbed into the cast. N, The initial porcelain application. O and P, Firing the first application. Q, Additional firing is needed to compensate for shrinkage. R, The veneer built up to final contour and glazed. S, Investment removed with a bur and air abrasion unit (T). U, Finished veneer on definitive cast. V, Inlays and onlays are made in a similar manner.
(Courtesy of Whip Mix Corporation, Louisville, Kentucky.)
All-ceramic FDPs have a checkered history. Their construction was attempted with aluminous porcelain by connecting alumina cores with pure alumina rods. These restorations were usually unsuccessful; either they fractured or the restorations encroached excessively into the embrasures, resulting in hygiene deficiencies. Leucite-containing heat-pressed ceramics do not appear to possess adequate strength for FDPs, except in very low-stress situations. Clinical trials of posterior ceramic FDPs have yielded disastrous results.33,77 The InCeram Zirconia has much higher laboratory strength than these materials and might be suitable for FDP frameworks. In-Ceram Alumina was somewhat successful for anterior FDPs (see Fig. 25-7). The more recent lithium disilicate heat-pressed ceramic, Empress 2, and the CAD/CAM Procera systems have also been recommended as suitable for anterior FDPs. Although the newer materials might be successful for FDPs, their manufacturers recommend a design with substantial connectors (typically 4 × 4 mm, as opposed to 2 × 3 mm recommended for metal connectors). These dimensions can lead to problems with adequate access for cleaning and poor esthetics.
All-ceramic materials have been used as foundation restorations for endodontically treated teeth78,79 to overcome esthetic problems associated with metal post and core systems (see Chapter 12). The post is made of zirconia,* chosen for its excellent strength,80 and, depending on the system, the core material can be composite resin or a pressable ceramic.†
The performance of all-ceramic restorations has been enhanced by the use of resin bonding. This technique was first devised for the porcelain laminate veneer technique81,82 and has been applied to other ceramic restorations. The technique entails the use of hydrofluoric acid or a less toxic substitute to etch the ceramic and a silane* coupling agent to bond a resin luting agent to the ceramic. The luting agent is bonded to enamel after etching with phosphoric acid, as with resin-retained FDPs (see Chapter 26), and bonded to dentin with a dentin-bonding agent. Significant reduction in the fracture incidence of some types of ceramic crowns has been reported when an adhesive cement has been used,83 although one retrospective study failed to reveal an improvement in comparison with traditional cements.84 Resin bonding does not appear to improve the fracture resistance of the high-strength alumina core materials such as In-Ceram and Procera. Nevertheless, for feldspathic and leucite-reinforced ceramics, resin bonding is now the recommended procedure and is also used extensively for luting ceramic inlays and onlays.85
The cementation procedures are presented in Chapter 31.
For many years, porcelain jacket crowns have been the most esthetic of fixed restorations. Unfortunately, they have a number of disadvantages in comparison with the more popular metal-ceramic crowns, including inferior mechanical properties and increased technical difficulties associated with obtaining adequate margin fit.
Improved materials and the bonded ceramic technique have renewed interest in all-ceramic restorations. Porcelain laminate veneers have proved to be conservative and esthetic alternatives to complete coverage. Porcelain inlays and onlays may provide a durable alternative to posterior composite resins without the extensive tooth preparation needed for crowns. The highest-strength materials may be suitable for high-stress applications, including FDPs. However, they are relatively new and still lack the support of long-term clinical experience and research.
aluminum oxide \a-lō’mi-num
k’sīd’\ 1: a metallic oxide constituent of dental porcelain that increases hardness and viscosity 2: a high strength ceramic crystal dispersed throughout a glassy phase to increase its strength as in aluminous dental porcelain used to fabricate aluminous porcelain crowns 3: a finely ground ceramic particle (frequently 50 μm) often used in conjunction with air-borne particle abrasion of metal castings before the application of porcelain as with metal ceramic restorations
anterior open occlusal relationship \ăn-tîr’ē-or ō’pen a-klōō’zal r
-lā’shen-sh
p’\: the lack of anterior tooth contact in any occluding position of the posterior teeth
bisque bake \b
sk bāk\: a series of stages of maturation in the firing of ceramic materials relating to the degree of pyro chemical reaction and sintering shrinkage occurring before vitrification (glazing)—called also biscuit bake
CAD-CAM: acronym for Computer Aided Design-Computer Aided Manufacturer (or Computer Assisted Machining)
castable ceramic \kăst’a-bl se-răm’ik\: for dental applications, a glass-ceramic material that combines the properties of a restorative material for function with the capability to be cast using the lost wax process
ce·ram \sa-răm\ n: a heat treatment process that converts a specially formulated glass into a fine grained glass-ceramic material
1ce·ram·ic \sa-răm’ik\ adj (1850): of or relating to the manufacture of any product made essentially from a nonmetallic mineral (as clay) by firing at a high temperature
ceramic crown \sa-răm’ik kroun\: a ceramic fixed dental prosthesis that restores a clinical crown without a supporting metal framework
ceramic flux \sa-răm’ik flŭks\: a glass modifier; metallic ions such as calcium, potassium or sodium, usually as carbonates, which interrupt the oxygen/silica bond, thus enhancing fluidity
ce·ram·ics \sa-răm’iks\ n 1: compounds of one or more metals with a nonmetallic element, usually oxygen. They are formed of chemical and biochemical stable substances that are strong, hard, brittle, and inert nonconductors of thermal and electrical energy 2: the art of making porcelain dental restorations
cermet \sûr’m
t\ (1998): fused glass powder with silver particles formed through high temperature sintering of a mixture of the two minerals
1cop·ing \kō’p
ng\ n 1: a long, enveloping ecclesiastical vestment 2a: something resembling a cope (as by concealing or covering) 2b: coping
2cop·ing \kō’p
ng\ n (ca. 1909): a thin covering or crown—usage: see C. IMPRESSION, TRANSFER C.
core \kôr, kōr\ n (14c): the center or base of a structure
1etch \
ch\ vb, vt (1634) la: to produce a retentive surface, especially on glass or metal, by the corrosive action of an acid lb: to subject to such etching 2: to delineate or impress clearly
2etch \
ch\ n (1896) 1: the effect or action of an etching acid on a surface 2: a chemical agent used in etching
etch·ant \
ch’ănt\ n: an agent that is capable of etching a surface
etch·ing \
ch’ing\ vt (1632) 1: the act or process of selective dissolution 2: in dentistry, the selective dissolution of the surface of tooth enamel, metal, or porcelain through the use of acids or other agents (etchants) to create a retentive surface
fir·ing \fīr’
ng\: the process of porcelain fusion, in dentistry, specifically to produce porcelain restorations
flu·o·res·cence \flōō-r
s’ens\ n (1852): a process by which a material absorbs radiant energy and emits it in the form of radiant energy of a different wavelength band, all or most of whose wavelengths exceed that of the absorbed energy. Fluorescence, as distinguished from phosphorescence, does not persist for an appreciable time after the termination of the excitation process
glass-ceramic \glăs sa-răm’ik\: a solid material, partly crystalline and partly glassy, formed by controlled crystallization of a glass
glaze \glāz\ vb \g
zd\; \g
;’z
ng\ vt (14c) 1: to cover with a glossy, smooth surface or coating 2: the attainment of a smooth and reflective surface 3: the final firing of porcelain in which the surface is vitrified and a high gloss is imparted to the material 4: a ceramic veneer on a dental porcelain restoration after it has been fired, producing a nonporous, glossy or semi-glossy surface—see NATURAL G., OVERGLAZE
hydroxyapatite ceramic \hī-dr
k’sē-ăp’a-tīt sa-răm’
k\: a composition of calcium and phosphate in physiologic ratios to provide a dense, non-resorbable, biocompatible ceramic used for dental implants and residual ridge augmentation
in·lay \
n-lā’,
n’lā’\ n (1667): a fixed intracoronal restoration; a dental restoration made outside of a tooth to correspond to the form of the prepared cavity, which is then luted into the tooth
intrinsic coloring \
n-tr
n’z
k, -s
k kŭl’ar-
ng\: coloring from within; the incorporation of a colorant within the material of a prosthesis or restoration
ion exchange strengthening \ī’an, ī’
n’
ks-chănj’ str
ngk’tha-n
ng\: the chemical process whereby the surface of a glass is placed in compression by the replacement of a small ion by a larger one while maintaining chemical neutrality
mam·e·lon \măm’a-lōn\ n: one of three tubercles sometimes found on the incisal edges of incisor teeth—mam·e·lon·at·ed \măm’a-la-nă’t
d\ v, mam·e·lon·a·tion \măm’a-la-nă’shun\ n
mi·cro·crack \mī’krō-krăk\ n: in porcelain, one of the numerous surface flaws that contributes to stress concentrations and results in strengths below those theoretically possible
natural glaze \năch-ar-al, năch’ral glăz\: the production of a glazed surface by the vitrification of the material itself and without addition of other fluxes or glasses
o·paque \ō-pāk’\ adj (1641): the property of a material that absorbs and/or reflects all light and prevents any transmission of light
o·ver·glaze \ō’var-glāz\ adj (1879): the production of a glazed surface by the addition of a fluxed glass that usually vitrifies at a lower temperature
pig·ment \p
g’mant\ n (14c): finely ground, natural or synthetic, inorganic or organic, insoluble dispersed particles (powder), which, when dispersed in a liquid vehicle, may provide, in addition to color, many other essential properties such as opacity, hardness, durability, and corrosion resistance. The term is used to include an extender, white or color pigments. The distinction between powders that are pigments and those that are dyes is generally considered on the basis of solubility—pigments being insoluble and dispersed in the material, dyes being soluble or in solution as used
platinum foil \plăt’n-um foil\: a precious-metal foil with a high fusing point that makes it suitable as a matrix for various soldering procedures as well as to provide an internal form for porcelain restorations during their fabrication
por·cel·ain \pôr’sa-l
n, pōr’-\ n (known in Europe, ca. 1540): a ceramic material formed of infusible elements joined by lower fusing materials. Most dental porcelains are glasses and are used in the fabrication of teeth for dentures, pontics and facings, metal ceramic restorations, including fixed dental prostheses, as well as all-ceramic restorations such as crowns, laminate veneers, inlays, onlays, and other restorations
po·ros·i·ty \pa-r
s’
-t
, pô-\ n, pl -ties (14c) 1: the presence of voids or pores within a structure 2: the state or quality of having minute pores, openings or interstices—see BACK PRESSURE P., OCCLUDED GAS P., SHRINK-SPOT P., SOLIDIFICATION P.
refractory cast \r
-frăk’ta-rē kăst\: a cast made of a material that will withstand high temperatures without disintegrating—called also investment cast
si·li·ca \s
l’
-ka\ n (ca 1301): silicon dioxide occurring in crystalline, amorphous, and usually impure forms (as quartz, opal, and sand, respectively)
2sinter \s
n’tar\ vt (1871): to cause to become a coherent mass by heating without melting
2stain \stān\ vb (14c) 1: to suffuse with color 2: to color by processes affecting chemically or otherwise the material itself 3: in dentistry, to intentionally alter restorations through the application of intrinsic or extrinsic colorants to achieve a desired effect, best termed characterization or to characterize a restoration
static fatigue \stāt’
k fa-t
g\: the delayed failure of glass and ceramic materials resulting from stress enhanced chemical reactions aided by water vapor acting on surface cracks. Analogous to stress corrosion occurring in metals
trans·luc·en·cy \trāns’lōō’san-s
\ n (1611): having the appearance between complete opacity and complete transparency; partially opaque
veneer \va-nîr’\ n (1702): 1. a thin sheet of material usually used as a finish 2. a protective or ornamental facing 3. a superficial or attractive display In multiple layers, frequently termed a laminate veneer
STUDY QUESTIONS
1 Ernsmere JB. Porcelain dental work. Br J Dent Sci. 1900;43:547.
2 Ehrlich A. Erosion of acrylic resin restorations [Letter]. J Am Dent Assoc. 1959;59:543.
3 Söremark R, Bergman B. Studies on the permeability of acrylic facing material in gold crowns, a laboratory investigation using Na. Acta Odontol Scand. 1961;19:297.
4 Lamstein A, Blechman H. Marginal seepage around acrylic resin veneers in gold crowns. J Prosthet Dent. 1956;6:706.
5 Weinstein M, Weinstein AB: Fused Porcelain-to-Metal Teeth. U.S. Patent No. 3,052,982, September 11, 1962.
6 Vines RF, Semmelman JO. Densification of dental porcelain. J Dent Res. 1957;36:950.
7 Hondrum SO. A review of the strength properties of dental ceramics. J Prosthet Dent. 1992;67:859.
8 Denry IL. Recent advances in ceramics for dentistry. Crit Rev Oral Biol Med. 1996;7:134.
9 Jones DW, Wilson HJ. Some properties of dental ceramics. J Oral Rehab. 1975;2:379.
10 Kelly JR, et al. Fracture surface analysis of dental ceramics: clinically failed restorations. Int J Prosthodont. 1990;3:430.
11 Mackert JRJr. Isothermal anneal effect on microcrack density around leucite particles in dental porcelain. J Dent Res. 1994;73:1221.
12 Mackert JRJr. Effect of thermally induced changes on porcelain-metal compatibility. In: Preston JD, editor. Perspectives in Dental Ceramics, Proceedings of the Fourth International Symposium on Ceramics. Chicago: Quintessence Publishing; 1988:53-64.
13 Mackert JRJr, Williams AL. Microcracks in dental porcelain and their behavior during multiple firing. J Dent Res. 1996;75:1484.
14 Anusavice KJ, et al. Influence of initial flaw size on crack growth in air-tempered porcelain. J Dent Res. 1991;70:131.
15 Weibull W. A statistical theory of the strength of material. Ing Vetensk Akad Proc. 1939;151:1.
16 Davidge RW, Green TJ. The strength of two-phase ceramic/glass materials. J Mater Sci. 1968;3:629.
17 Dunn B, et al. Improving the fracture resistance of dental ceramic. J Dent Res. 1977;56:1209.
18 Seghi RR, et al. The effect of ion-exchange on the flexural strength of feldspathic porcelains. Int J Prosthodont. 1990;3:130.
19 Denry IL, et al. Enhanced chemical strengthening of feldspathic dental porcelain. J Dent Res. 1993;72:1429.
20 Anusavice KJ, et al. Strengthening of porcelain by ion exchange subsequent to thermal tempering. Dent Mater. 1992;8:149.
21 Anusavice KJ, Hojjatie B. Effect of thermal tempering on strength and crack propagation behavior of feldspathic porcelains. J Dent Res. 1991;70:1009.
22 Garvie RC, et al. Ceramic steel? Nature. 1975;258:703.
23 Denry IL, et al. Effect of heat treatment on microcrack healing behavior of a machinable dental ceramic. J Biomed Mater Res. 1999;48:791.
24 Fairhurst CW, et al. The effect of glaze on porcelain strength. Dent Mater. 1992;8:203.
25 Griggs JA, et al. Effect of flaw size and auto-glaze treatment on porcelain strength [Abstract no. 1658]. J Dent Res. 1995;74:219.
26 McLean JW, Kedge MI. High-strength ceramics. Quintessence Int. 1987;18:97.
27 Michalske TA, Freiman SW. A molecular interpretation of stress corrosion in silica. Nature. 1982;295:511.
28 Sherrill CA, O’Brien WJ. Transverse strength of aluminous and feldspathic porcelain. J Dent Res. 1974;53:683.
29 Morena R, et al. Fatigue of dental ceramics in a simulated oral environment. J Dent Res. 1986;65:993.
30 Rosenstiel SF, et al. Stress-corrosion and environmental aging of dental ceramics [Abstract no. 823]. J Dent Res. 1992;71:208.
31 Rosenstiel SF, et al. Fluoroalkylethyl silane coating as a moisture barrier for dental ceramics. J Biomed Mater Res. 1993;27:415.
32 McLean JW, Hughes TH. The reinforcement of dental porcelain with ceramic oxides. Br Dent J. 1965;119:251.
33 Batchelor RW, Dinsdale A: Some physical properties of porcelain bodies containing corundum. In Transactions, Seventh International Ceramics Congress, p. 31. London, 1960.
34 Dinsdale A, et al. The mechanical strength of ceramic tableware. Trans Br Ceram Soc. 1967;66:367.
35 McLean JW. A higher strength porcelain for crown and bridge work. Br Dent J. 1965;119:268.
36 Jones DW. Ceramics in dentistry. II. Dent Techn. 1971;24:64.
37 Claus H. Vita In-Ceram, a new procedure for preparation of oxide-ceramic crown and bridge framework. Quintessenz Zahntech. 1990;16:35.
38 Pröbster L, Diehl J. Slip-casting alumina ceramics for crown and bridge restorations. Quintessence Int. 1992;23:25.
39 Seghi RR, et al. Flexural strength of new ceramic materials. J Dent Res. 1990;69:299.
40 Wolf WD, et al. Mechanical properties and failure analysis of alumina-glass dental composites. J Am Ceram Soc. 1996;79:1769.
41 McLaren EA. All-ceramic alternatives to conventional metal-ceramic restorations. Compend Contin Educ Dent. 1998;19:307.
42 Sorensen JA, et al. Core ceramic flexural strength from water storage and reduced thickness [Abstract no. 906]. J Dent Res. 1999;78:219.
43 Shearer B, et al. Influence of marginal configuration and porcelain addition on the fit of In-Ceram crowns. Biomaterials. 1996;17:1891.
44 Pera P, et al. In vitro marginal adaptation of alumina porcelain ceramic crowns. J Prosthet Dent. 1994;72:585.
45 Sulaiman F, et al. A comparison of the marginal fit of In-Ceram, IPS Empress, and Procera crowns. Int J Prosthodont. 1997;10:478.
46 Lüthy H, et al. Effects of veneering and glazing on the strength of heat-pressed ceramics. Schweiz Monatssch Zahnmed. 1993;103:1257.
47 Höland W, et al. A comparison of the microstructure and properties of the IPS Empress® 2 and the IPS Empress® glass-ceramics. J Biomed Mater Res. 2000;53:297.
48 Culp L. Empress 2. First year clinical results. J Dent Technol. 1999;16:12.
49 Anusavice KJ. Recent developments in restorative dental ceramics. J Am Dent Assoc. 1993;124:72.
50 Estafan D, et al. Scanning electron microscope evaluation of CEREC II and CEREC III inlays. Gen Dent. 2003;51:450.
51 Filser F, et al. Net-shaping of ceramic components by direct ceramic machining. Assembly Autom. 2003;23:382.
52 Hegenbarth EA. Procera aluminum oxide ceramics: a new way to achieve stability, precision, and esthetics in all-ceramic restorations. Quintessence Dent Technol. 1996;19:21.
53 Andersson M, et al. Procera: a new way to achieve an all-ceramic crown. Quintessence Int. 1998;29:285.
54 Oden A, et al. Five-year clinical evaluation of Procera AllCeram crowns. J Prosthet Dent. 1998;80:450.
55 May KB, et al. Precision of fit: the Procera AllCeram crown. J Prosthet Dent. 1998;80:394.
56 Smedberg JI, et al. Two-year follow-up study of Procera-ceramic fixed partial dentures. Int J Prosthodont. 1998;11:145.
57 Naert I, et al. Precision of fit and clinical evaluation of all-ceramic full restorations followed between 0.5 and 5 years. J Oral Rehabil. 2005;32:51.
58 Suttor D. Lava zirconia crowns and bridges. Int J Comput Dent. 2004;7:67.
59 Shoher I. Vital tooth esthetics in Captek restorations. Dent Clin North Am. 1998;42:713.
60 Zappala C, et al. Microstructural aspects of the Captek alloy for porcelain-fused-to-metal restorations. J Esthet Dent. 1996;8:151.
61 Seghi RR, et al. Relative fracture toughness and hardness of new dental ceramics. J Prosthet Dent. 1995;74:145.
62 Kelsey WP, et al. 4-Year clinical study of castable ceramic crowns. Am J Dent. 1995;8:259.
63 Hankinson JA, Cappetta EG. Five years’ clinical experience with a leucite-reinforced porcelain crown system. Int J Periodont Restor Dent. 1994;14:138.
64 Sorensen JA, et al. In-Ceram fixed partial dentures: three-year clinical trial results. J Calif Dent Assoc. 1998;26:207.
65 Pospiech P, et al. Clinical evaluation of Empress-2 bridges: first results after two years [Abstract no 1527]. J Dent Res. 2000;79:334.
66 Sorensen JA, et al. A clinical investigation on three-unit fixed partial dentures fabricated with a lithium disilicate glass-ceramic. Pract Periodontics Aesthet Dent. 1999;11:95.
67 Sulaiman F, et al. A comparison of the marginal fit of In-Ceram, IPS Empress, and Procera crowns. Int J Prosthodont. 1997;10:478.
68 Holloway JA, Miller RB. The effect of core translucency on the aesthetics of all-ceramic restorations. Pract Periodontics Aesthet Dent. 1997;9:567.
69 Seghi RR, et al. Abrasion of human enamel by different dental ceramics in vitro. J Dent Res. 1991;70:221.
70 Hacker CH, et al. An in vitro investigation of the wear of enamel on porcelain and gold in saliva. J Prosthet Dent. 1996;75:14.
71 Metzler KT, et al. In vitro investigation of the wear of human enamel by dental porcelain. J Prosthet Dent. 1999;81:356.
72 al-Hiyasat AS, et al. Investigation of human enamel wear against four dental ceramics and gold. J Dent. 1998;26:487.
73 Ramp MH, et al. Evaluation of wear: enamel opposing three ceramic materials and a gold alloy. J Prosthet Dent. 1997;77:523.
74 Sorensen JA, et al. Three-body in vitro wear of enamel against dental ceramics [Abstract no. 909]. J Dent Res. 1999;78:219.
75 Wall JG, et al. Cement luting thickness beneath porcelain veneers made on platinum foil. J Prosthet Dent. 1992;68:448.
76 Dietschi D, et al. In vitro evaluation of marginal fit and morphology of fired ceramic inlays. Quintessence Int. 1992;23:271.
77 Christensen R, Christensen G. Service potential of all-ceramic fixed prostheses in areas of varying risk [Abstract no. 1716]. J Dent Res. 1992;71:320.
78 Kakehashi Y, et al. A new all-ceramic post-and-core system: clinical, technical, and in vitro results. Int J Periodont Restor Dent. 1998;18:586.
79 Zalkind M, Hochman N. Esthetic considerations in restoring endodontically treated teeth with posts and cores. J Prosthet Dent. 1998;79:702.
80 Asmussen E, et al. Stiffness, elastic limit, and strength of newer types of endodontic posts. J Dent. 1999;27:275.
81 McLaughlin G. Porcelain fused to tooth—a new esthetic and reconstructive modality. Compend Contin Educ Gen Dent. 1984;5:430.
82 Calamia JR. Etched porcelain veneers: the current state of the art. Quintessence Int. 1985;16:5.
83 Malament KA, Grossman DG. Bonded vs. non-bonded DICOR crowns: four-year report [Abstract no. 1720]. J Dent Res. 1992;71:321.
84 Sjögren G, et al. Clinical evaluation of all-ceramic crowns (Dicor) in general practice. J Prosthet Dent. 1999;81:277.
85 Schaffer H, Zobler C. Complete restoration with resin-bonded porcelain inlays. Quintessence Int. 1991;22:87.
* Captek, Precious Chemicals Co., Inc., Altamonte, Florida.
* Vident, Brea, California.
* Note: The product In-Ceram Spinell is spelled differently from the mineral spinel.
* Ivoclar Vivadent, Inc, Amherst, New York.
† Pentron Laboratory Technologies, LLC, Wallingford, Connecticut.
‡ Leach & Dillon, Cranston, Rhode Island.
§ Dentsply Ceramco, York, Pennsylvania.
* Sirona Dental Systems, LLC, Charlotte, North Carolina.
† Vident, Brea, California.
‡ Ivoclar Vivadent, Inc., Amherst, New York.
§ VITA Zahnfabrik, Bad Säckingen, Germany.
¶ Cerec 3D, Sirona Dental Systems, LLC, Charlotte, North Carolina.
* Nobel Biocare, USA, Inc., Yorba Linda, California.
* 3M ESPE, St. Paul, Minnesota.
* Captek, a Division of Precious Chemicals Co., Inc., Altamonte Springs, Florida.
* This must be thoroughly removed before the restoration is bonded.
† Porcelain labial veneers can also be made with the machinable systems.
* Thermo-pins II, Pentron Laboratory Technologies, LLC, Wallingford, Connecticut.
† VHT, Whip Mix Corporation, Louisville, Kentucky.
* Whip Mix Corporation, Louisville, Kentucky.
* CosmoPost, Ivoclar Vivadent; Biopost, Incermed SA, Lausanne, Switzerland; TZP-post, Maillefer, Ballaigues, Switzerland.
† Empress, Cosmo, Ivoclar Vivadent, Inc., Amherst, New York.
* Compounds of silicon and hydrogen and other monomeric compounds that are used as coupling agents, inorganic materials to organic resins.
† Ceram-Etch gel (9.5% hydrofluoric acid), Gresco Products, Inc., Stafford, Texas (or the ceramic manufacturer’s recommended product).
* Reprinted in part from The Journal of Prosthetic Dentistry, Vol. 94, No. 1, The Glossary of Prosthodontic Terms, 8th Edition, pp. 10–81, © 2005, with permission from The Editorial Council of The Journal of Prosthetic Dentistry.