Chapter 7 Disorders of metabolism and homeostasis

Metabolic consequences of malnutrition 135
Trace elements and disease 139
Tissue depositions 141
Commonly confused conditions and entities relating to disorders of metabolism and homeostasis 145

Some metabolic disorders, congenital or acquired, are specific abnormalities of metabolic pathways, often having considerable clinical effects. Congenital metabolic disorders usually result from inherited enzyme deficiencies.

Other metabolic disorders are characterised by perturbations of the body’s homeostatic mechanisms maintaining the integrity of fluids and tissues. These conditions are almost always acquired and their effects can be diverse.

INBORN ERRORS OF METABOLISM

image Single-gene defects due to inherited or spontaneous mutations
image Usually manifested in infancy or childhood
image May result in: defective carbohydrate or amino acid metabolism; pathological effects of an intermediate metabolite; impaired membrane transport; synthesis of a defective protein

The concept of inborn errors of metabolism was formulated by Sir Archibald Garrod in 1908 as a result of his studies on a condition called alkaptonuria, a rare inherited deficiency of homogentisic acid oxidase.

Inborn (usually inherited) errors of metabolism are important causes of illness presenting in infancy. Some require prompt treatment to avoid serious complications. Others defy treatment. All deserve accurate diagnosis so that parents can be counselled about the inherited risk to further pregnancies. Inborn metabolic errors are potentially chronic problems, because the primary abnormality is innate rather than due to any external cause that could be eliminated by treatment.

Inborn errors of metabolism are single-gene defects resulting in the absence or deficiency of an enzyme or the synthesis of a defective protein. Single-gene defects occur in about 1% of all births, but the diseases caused by them show geographic variations in incidence; this is exemplified by the high incidence of thalassaemias—due to defects in haemoglobin synthesis (Ch. 23)—in Mediterranean regions. These variations reflect the prevalence of specific abnormal genes in different populations.

Inborn errors of metabolism have four possible consequences:

accumulation of an intermediate metabolite (e.g. homogentisic acid in alkaptonuria)
deficiency of the ultimate product of metabolism (e.g. melanin in albinos)
synthesis of an abnormal and less effective end product (e.g. haemoglobin S in sickle cell anaemia)
failure of transport of the abnormal synthesised product (e.g. alpha-1 antitrypsin deficiency).

Accumulation of an intermediate metabolite may have toxic or hormonal effects. However, in some conditions the intermediate metabolite accumulates within the cells in which it has been synthesised, causing them to enlarge and compromising their function or that of neighbouring cells; these conditions are referred to as storage disorders (e.g. Gaucher’s disease). Other inborn metabolic errors lead to the production of a protein with defective function; for example, the substitution of just a single amino acid in a large protein can have considerable adverse effects (e.g. haemoglobinopathies).

The genetic basis of the inheritance of these disorders is discussed in Chapter 3.

Inherited metabolic disorders may be classified according to the principal biochemical defect (e.g. amino acid disorder) or the consequence (e.g. storage disorder).

Disorders of carbohydrate metabolism

The commonest disorder of carbohydrate metabolism with an inherited component in its aetiology is diabetes mellitus (see p. 128). Much less common, but with an autosomal recessive pattern of inheritance and often presenting at an early age, are:

glycogen storage disease, in which the principal effects are due to the intracellular accumulation of glycogen
fructose intolerance, in which liver damage results due to a deficiency of fructose-1-phosphate aldolase, particularly if dietary fructose is taken before 6 months of age
galactosaemia, in which damage to the liver occurs due to a deficiency of galactose-1-phosphate uridyl transferase
tyrosinaemia, in which liver damage and, in chronic cases, liver cell carcinoma results from a deficiency of fumarylacetoacetate hydrolase.

Disorders of amino acid metabolism

Several inherited disorders of amino acid metabolism involve defects of enzymes in the phenylalanine/tyrosine pathway (Fig. 7.1).

image

Fig. 7.1 Inborn errors of metabolism in the phenylalanine/tyrosine pathway. 1. Phenylketonuria. Lack of phenylalanine hydroxylase blocks conversion of phenylalanine to tyrosine; phenylalanine and phenylpyruvic acid appear in the urine. 2. Alkaptonuria. Lack of homogentisic acid oxidase causes accumulation of homogentisic acid. 3. Albinism. Lack of the enzyme tyrosinase prevents conversion of tyrosine via DOPA to melanin. 4. Familial hypothyroidism. Deficiency of any one of several enzymes impairs iodination of tyrosine in the formation of thyroid hormone.

Phenylketonuria

This autosomal recessive disorder affects approximately 1 in 10000 infants. It is due to a deficiency of phenylalanine hydroxylase, an enzyme responsible for the conversion of phenylalanine to tyrosine (Fig. 7.1).

In the UK and many other countries the clinical effects of phenylketonuria are now seen only very rarely, because it is detected by screening all newborn infants and treated promptly. Testing is done by analysing a drop of blood, dried on to filter paper, for phenylalanine (Guthrie test). If phenylketonuria is not tested for in this way and the affected infant’s diet contains usual amounts of phenylalanine, then the disorder manifests itself with skin and hair depigmentation, fits and mental retardation. Treatment involves a low phenylalanine diet until the child is at least 8 years old. When affected females themselves become pregnant, the special diet must be resumed to avoid the toxic metabolites damaging the developing fetus.

Alkaptonuria

This rare autosomal recessive deficiency of homogentisic acid oxidase (Fig. 7.1) is a good example of an inborn metabolic error that does not produce serious effects until adult life. The condition is sometimes recognised from the observation that the patient’s urine darkens on standing; the sweat may also be black! Homogentisic acid accumulates in connective tissues, principally cartilage, where the darkening is called ochronosis. This accumulation causes joint damage. The underlying condition cannot be cured; treatment is symptomatic only.

Homocystinuria

Like most inherited disorders of metabolism, homocystinuria is an autosomal recessive disorder. There is a deficiency of cystathionine synthase, an enzyme required for the conversion of homocystine via homocysteine to cystathionine. Homocysteine and methionine, its precursor, accumulate in the blood. Homocystine also accumulates, interfering with the cross-linking of collagen and elastic fibres. The ultimate effect resembles Marfan’s syndrome (see p. 128), but also with mental retardation and fits.

Homocysteine and atherosclerosis

Several studies have shown a correlation between high blood levels of homocysteine and premature development of atherosclerosis, augmenting the risks from hypertension and hyperlipidaemia.

Storage disorders

Inborn metabolic defects result in storage disorders if a deficiency of an enzyme, usually lysosomal, prevents the normal conversion of a macromolecule (e.g. glycogen or gangliosides) into its smaller subunits (e.g. glucose or fatty acids). The macromolecule accumulates within the cells that normally harbour it, swelling their cytoplasm (Fig. 7.2) and causing organ enlargement and deformities. This situation is harmful to the patient because the swelling of cells often impairs their function, or that of their immediate neighbours due to pressure effects, and because of conditions resulting from deficiency of the smaller subunits (e.g. hypoglycaemia in the case of glycogen storage disorders).

image

Fig. 7.2 Bone marrow biopsy revealing Gaucher’s disease. Pale foamy macrophages distended with gangliosides have displaced much of the haemopoietic tissue (top left), thereby causing anaemia.

Major categories of these autosomal recessive disorders (Table 7.1) are:

glycogenoses
mucopolysaccharidoses
sphingolipidoses.

Table 7.1 Examples of inborn errors of metabolism resulting in storage disorders

Type of disease/examples Deficiency Consequences
Glycogenoses Debranching enzyme
Hepatomegaly
Hypoglycaemia
Cardiac failure
Muscle cramps
McCardle’s syndrome Muscle phosphorylase  
von Gierke’s disease Glucose-6-phosphate dehydrogenase  
Pompe’s disease Acid maltase  
Mucopolysaccharidoses Lysosomal hydrolase
Hepatosplenomegaly
Skeletal deformity
Mental deterioration
Hurler’s syndrome Alpha-l-iduronidase  
Hunter’s syndrome Iduronate sulphate sulphatase  
Sphingolipidoses Lysosomal enzyme
Variable hepatosplenomegaly
Neurological problems
Gaucher’s disease Glucocerebrosidase  
Niemann–Pick disease Sphingomyelinase  
Tay–Sachs disease Hexosaminidase A  

Disorders of cell membrane transport

Inborn metabolic errors can lead to impairment of the specific transport of substances across cell membranes. Examples include:

cystic fibrosis—a channelopathy (see below) affecting exocrine secretions
cystinuria—affecting renal tubules and resulting in renal stones
disaccharidase deficiency—preventing absorption of lactose, maltose and sucrose from the gut
nephrogenic diabetes insipidus—due to insensitivity of renal tubules to antidiuretic hormone (ADH).

Channelopathies

A channelopathy is a disease caused by the dysfunction of a specific ion channel in cell membranes. The ion channel dysfunction may result from:

mutations, usually inherited, in the genes encoding proteins involved in transmembrane ionic flow (e.g. cystic fibrosis)
autoimmune injury to ion channels in cell membranes (e.g. myasthenia gravis).

Cystic fibrosis

Cystic fibrosis, a channelopathy, is the commonest serious inherited metabolic disorder in the UK; it is much commoner in Caucasians than in other races. The autosomal recessive abnormal gene is carried by approximately 1 in 20 Caucasians and the condition affects approximately 1 in 2000 births. The defective gene, in which numerous mutations have been identified, is on chromosome 7 and ultimately results in abnormal water and electrolyte transport across cell membranes.

Cystic fibrosis transmembrane conductance regulator (CFTR)

The commonest abnormality (ΔF508) in the CFTR gene is a deletion resulting in a missing phenylalanine molecule. The defective CFTR is unresponsive to cyclic AMP control, so transport of chloride ions and water across epithelial cell membranes becomes impaired (Fig. 7.3).

image

Fig. 7.3 Defective chloride secretion in cystic fibrosis. The normal CFTR is a transmembrane molecule with intracytoplasmic nucleotide binding folds and a phosphorylation site on the R-domain. image In normal cells, interaction of the R-domain with protein kinase A results in opening of the channel and chloride secretion. image In cystic fibrosis, a common defect prevents phosphorylation of the R-domain with the result that chloride secretion is impaired.

Clinicopathological features

Cystic fibrosis is characterised by mucous secretions of abnormally high viscosity. The abnormal mucus plugs exocrine ducts, causing parenchymal damage to the affected organs. The clinical manifestations are:

meconium ileus in neonates
failure to thrive in infancy
recurrent bronchopulmonary infections, particularly with Pseudomonas aeruginosa
bronchiectasis
chronic pancreatitis, sometimes accompanied by diabetes mellitus due to islet damage
malabsorption due to defective pancreatic secretions
infertility in males.

Diagnosis

The diagnosis can be confirmed by measuring the sodium concentration in the sweat; in affected children it is usually greater than 70 mmol/l. Pregnancies at risk can be screened by prenatal testing of chorionic villus biopsy tissue for the defective CFTR gene.

Treatment

Treatment includes vigorous physiotherapy to drain the abnormal secretions from the respiratory passages, and oral replacement of pancreatic enzymes.

Porphyrias

The porphyrias, transmitted as autosomal dominant disorders, are due to defective synthesis of haem, an iron–porphyrin complex, the oxygen-carrying moiety of haemoglobin. Haem is synthesised from 5-aminolaevulinic acid. The different types of porphyrin accumulate due to inherited defects in this synthetic pathway (Fig. 7.4).

image

Fig. 7.4 Porphyrias. Enzyme deficiencies in the pathway of synthesis of haem from glycine and succinyl coenzyme A through 5-aminolaevulinic acid result in the accumulation of toxic intermediate metabolites. Removal of product inhibition due to deficient synthesis of haem enhances the formation of intermediate metabolites. Accumulation of 5-aminolaevulinic acid or porphobilinogen tends to be associated with neurological damage and psychiatric symptoms. Accumulation of porphyrinogens, of which there are several types (uro-, copro-, proto-), tends to be associated with photosensitivity.

Clinicopathological features

Accumulation of porphyrins can cause clinical syndromes characterised by:

acute abdominal pain
acute psychiatric disturbance
peripheral neuropathy
photosensitivity (in some porphyrias only)
hepatic damage (in some porphyrias only).

The pain and psychiatric disturbances are episodic. During the acute attacks, the patient’s urine contains excess 5-aminolaevulinic acid and porphobilinogen. Consequently, the urine may gradually become dark red, brown or even purple (‘porphyria’ is derived from the Greek word ‘porphura’ meaning purple pigment) on exposure to sunlight.

Acute attacks of porphyria can be precipitated by some drugs, alcohol and hormonal changes (e.g. during the menstrual cycle). The most frequently incriminated drugs include barbiturates, sulphonamides, oral contraceptives and anticonvulsants; these should therefore be avoided.

The skin lesions are characterised by severe blistering, exacerbated by light exposure, and subsequent scarring. This photosensitivity is a distressing feature, but it has led to the beneficial use of injected porphyrins in the treatment of tumours by phototherapy with laser light.

Disorders of connective tissue metabolism

Most inherited disorders of connective tissue metabolism affect collagen or elastic tissue. Examples include:

osteogenesis imperfecta
Marfan’s syndrome
Ehlers–Danlos syndrome
pseudoxanthoma elasticum
cutis laxa.

Osteogenesis imperfecta

Osteogenesis imperfecta is a group of disorders in which there is an inborn error of type I collagen synthesis (Ch. 25). Type I collagen is most abundant in bone, so the principal manifestation is skeletal weakness resulting in deformities and a susceptibility to fractures; the other names for this condition are ‘fragilitas ossium’ and ‘brittle bone disease’. The teeth are also affected and the sclerae of the eyes are abnormally thin, causing them to appear blue. It occurs in dominantly and recessively inherited forms with varying degrees of severity.

Marfan’s syndrome

Marfan’s syndrome is a combination of unusually tall stature, long arm span, dislocation of the lenses of the eyes, aortic and mitral valve incompetence, and weakness of the aortic media predisposing to dissecting aneurysms (Ch. 13). The condition results from a defect in the FBN1 gene encoding for fibrillin, a glycoprotein essential for the formation and integrity of elastic fibres.

ACQUIRED METABOLIC DISORDERS

Many diseases result in secondary metabolic abnormalities. In others the metabolic disturbance is the primary event. For example, renal diseases almost always result in metabolic changes that reflect the kidneys’ importance in water and electrolyte homeostasis. In contrast, a disease like gout is often due to a primary metabolic disorder that may secondarily damage the kidneys. This section deals with metabolic abnormalities as both consequences and causes of disease. Acquired metabolic disorders frequently cause systemic problems affecting many organs: for example, diabetes mellitus is associated with microvascular damage in the retinas, nerves, kidneys and other organs; electrolyte imbalance compromises the function of cells in all tissues.

Two of the disorders discussed in this section—diabetes mellitus and gout—are categorised as ‘acquired’ largely because they occur most commonly in adults, but both have a significant genetic component in their aetiology.

Diabetes mellitus

image Multifactorial aetiology: genetic and environmental factors
image Relative or absolute insufficiency of insulin, causing hyperglycaemia
image Insulin-dependent and non-insulin-dependent groups
image Long-term complications include atheroma, renal damage, microangiopathy, neuropathy

Diabetes mellitus is a group of diseases characterised by impaired glucose homeostasis resulting from a relative or absolute insufficiency of insulin. Insulin insufficiency causes hyperglycaemia and glycosuria. Diabetes is covered in Chapter 17, but a brief account is relevant here.

The aetiology is multifactorial; although the disorder is acquired, there is a significant genetic predisposition. Diabetes mellitus is subclassified into primary and secondary types. Primary diabetes is much more common than diabetes secondary to other diseases.

Primary diabetes mellitus

Primary diabetes mellitus (DM) is subdivided into:

insulin-dependent (IDDM) or type 1
non-insulin-dependent (NIDDM) or type 2
maturity-onset diabetes of the young (MODY).

Juvenile-onset diabetes, usually appearing before the age of 20 years, is almost always of IDDM type. There is an inherited predisposition associated with human leukocyte antigens (HLA) DR3 and DR4. The initiating event may be a viral infection of the insulin-producing beta-cells of the islets of Langerhans, precipitating their immune destruction.

Diabetes mellitus developing in adults (over 25 years of age) is most likely to be NIDDM type. It is associated with an acquired resistance to insulin. There is no HLA association, but there is a familial tendency to develop the disease. The affected patients are often, but not always, obese.

Secondary diabetes mellitus

Diabetes may be secondary to:

chronic pancreatitis (Ch. 16)
haemochromatosis (Ch. 16)
acromegaly (Ch. 17)
Cushing’s syndrome (Ch. 17).

Complications of diabetes mellitus

Good control of blood sugar levels reduces the risk of complications. Nevertheless, many diabetics develop complications of their disease. These are covered in more detail in the relevant chapters, but a summary is given here:

accelerated development of atheroma
glomerular damage leading to nephrotic syndrome and renal failure
microangiopathy, causing nerve damage and retinal damage
increased susceptibility to infections
cataracts
diabetic ketoacidosis
hyperosmolar diabetic coma.

To this list should be added hypoglycaemia, which is a frequent and troublesome complication of insulin therapy in IDDM.

There are two possible biochemical explanations for the tissue damage that results from long-term diabetes mellitus:

Glycosylation. The high blood sugar encourages binding of glucose to many proteins; this can be irreversible. This glycosylation often impairs the function of the proteins. The level of glycated haemoglobin (HbA1c) is commonly used as a way of monitoring blood sugar control.
Polyol pathway. Tissues containing aldose reductase (e.g. nerves, kidneys and the lenses of the eyes) are able to metabolise the high glucose levels into sorbitol and fructose. The products of this polyol pathway accumulate in the affected tissues, causing osmotic swelling and cell damage.

Gout

image Multifactorial disorder characterised by high blood uric acid levels
image Urate crystal deposition causes skin nodules (tophi), joint damage, renal damage and stones

Gout is a common disorder resulting from high blood uric acid levels. Uric acid is a breakdown product of the body’s purine (nucleic acid) metabolism (Fig. 7.5), but a small proportion comes from the diet. Most uric acid is excreted by the kidneys. In the blood, most uric acid is in the form of monosodium urate. In patients with gout, the monosodium urate concentration may be very high, forming a supersaturated solution, thus risking urate crystal deposition in tissues causing:

tophi (subcutaneous nodular deposits of urate crystals)
synovitis and arthritis (Ch. 25)
renal disease and calculi (Ch. 21).
image

Fig. 7.5 Pathogenesis of gout. The metabolic pathway shows the synthesis of uric acid from nucleic acids. Primary gout can arise from an inherited (X-linked) deficiency of hypoxanthine guanine phosphoribosyl transferase (HGPRT) or excessive activity of 5-phosphoribosyl-1-pyrophosphate (PRPP). Secondary gout results either from increased tissue lysis (e.g. due to tumour chemotherapy) liberating excess nucleic acids or from inhibition of the urinary excretion of uric acid. Xanthine oxidase (XO) is inhibited by allopurinol, an effective long-term remedy for gout.

Gout occurs more commonly in men than in women, and is rare before puberty. A rare form of gout in children—Lesch–Nyhan syndrome—is due to absence of the enzyme HGPRT (hypoxanthine guanine phosphoribosyl transferase) (Fig. 7.5) and is associated with mental deficiency and a bizarre tendency to self-mutilation.

Aetiology

Like diabetes mellitus, the aetiology of gout is multifactorial. There is a genetic component, but the role of other factors justifies the inclusion of gout under the heading of acquired disorders. Aetiological factors include:

gender (male > female)
family history
diet (meat, alcohol)
socio-economic status (high > low)
body size (large > small).

Some of these factors may, of course, be interdependent. Accordingly, gout can be subdivided into primary gout, due to some genetic abnormality of purine metabolism, or secondary gout, due to increased liberation of nucleic acids from necrotic tissue or decreased urinary excretion of uric acid.

Clinicopathological features

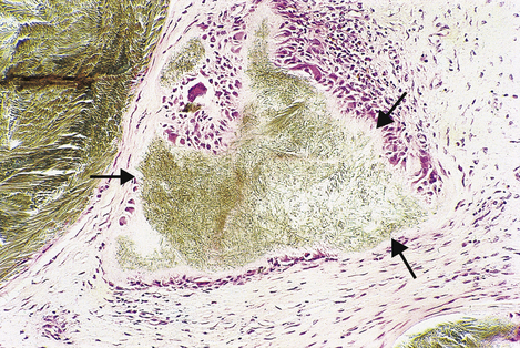
The clinical features of gout are due to urate crystal deposition in various tissues (Fig. 7.6). In joints, a painful acute arthritis results from phagocytosis of the crystals by neutrophil polymorphs, in turn causing release of lysosomal enzymes along with the indigestible crystals, thus accelerating and perpetuating a cyclical inflammatory reaction. The first metatarsophalangeal joint is typically affected.

image

Fig. 7.6 Histology of urate crystal deposition in gout. Aggregates of needle-shaped crystals (arrowed) have provoked an inflammatory and fibrous reaction.

Water homeostasis

image Abnormal water homeostasis may result in excess, depletion or redistribution
image Excess may be due to overload, oedema or inappropriate renal tubular reabsorption
image Dehydration is most commonly due to gastrointestinal loss (e.g. gastroenteritis)
image Oedema results from redistribution of water into the extravascular compartment

Water and electrolyte homeostasis is tightly controlled by various hormones, including antidiuretic hormone (ADH), aldosterone and atrial natriuretic peptide, acting upon selective reabsorption in the renal tubules (Ch. 21). The process is influenced by the dietary intake of water and electrolytes (in food or drinking in response to thirst or social purposes) and the adjustments necessary to cope with disease or adverse environmental conditions.

Many diseases result in problems of water and electrolyte homeostasis. Disturbances can also occur in post-operative patients receiving fluids and nutrition parenterally. Fortunately, any changes are fairly easy to monitor and control by making adjustments to the fluid and electrolyte intake.

Water is constantly lost from the body—in urine, in faeces, in exhaled gas from the lungs, and from the skin. The replenishment of body water is controlled by a combination of the satisfaction of the sensation of thirst and the regulation of the renal tubular reabsorption of water mediated by ADH.

Water excess

Excessive body water may occur in patients with extensive oedema or if there is inappropriate production of ADH (e.g. as occurs with small-cell lung carcinoma) or if the body sodium concentration increases due to excessive tubular reabsorption (for example, due to an aldosterone-secreting tumour of the adrenal cortex). Water overload can be caused iatrogenically by excessive parenteral infusion of fluids in patients with impaired renal function; this should be avoided by carefully monitoring fluid input and output.

Dehydration

Dehydration results from either excessive water loss or inadequate intake or a combination of both. Inadequate water intake is a common problem in regions of the world affected by drought and famine.

Excessive water loss can be due to:

vomiting and diarrhoea
extensive burns
excessive sweating (fever, exercise, hot climates)
diabetes insipidus (failure to produce ADH)
nephrogenic diabetes insipidus (renal tubular insensitivity to ADH)
diuresis (e.g. osmotic loss accompanying the glycosuria of diabetes mellitus).

Dehydration is recognised clinically by a dry mouth, inelastic skin and, in extreme cases, sunken eyes. The blood haematocrit (proportion of the blood volume occupied by cells) will be elevated, causing an increase in whole blood viscosity. This results in a sluggish circulation and consequent impairment of the function of many organs.

The plasma sodium and urea concentrations are typically elevated, reflecting haemoconcentration and impaired renal function.

Oedema and serous effusions

image Oedema is excess water in tissues
image Oedema and serous effusions have similar pathogeneses
image May be due to increased vascular permeability, venous or lymphatic obstruction, or reduced plasma oncotic pressure

Oedema is an excess of fluid in the intercellular compartment of a tissue. A serous effusion is an excess of fluid in a serous or coelomic cavity (e.g. peritoneal cavity, pleural cavity). The main ingredient of the fluid is always water. Oedema and serous effusions share common mechanisms.

Oedema is recognised clinically by diffuse swelling of the affected tissue. If the oedema is subcutaneous, the affected area shows pitting; i.e. if the skin is indented firmly with the fingers, an impression of the fingers is left transiently on the surface. There is, therefore, usually little difficulty in diagnosing subcutaneous oedema. Oedema of internal tissues may be evident during surgery because they are swollen and, when incised, clear or slightly opalescent fluid oozes from the cut surfaces. Pulmonary oedema gives a characteristic appearance of increased radio-opacity on a plain chest X-ray and can be heard, through a stethoscope, as crepitations on inspiration.

Oedema, irrespective of its cause, has serious consequences in certain organs. For example, pulmonary oedema fluid fills the alveoli and reduces the effective lung volume available for respiration; the patient becomes breathless (dyspnoeic) and, if the oedema is severe, cyanosed. Cerebral oedema is an ominous development because it occurs within the rigid confines of the cranial cavity; compression of the brain against the falx cerebri, the tentorial membranes or the base of the skull leads to herniation of brain tissue, possibly causing irreversible and fatal damage. Cerebral oedema can be diagnosed clinically by finding papilloedema (oedema of the optic disc) on ophthalmoscopy.

Oedema and serous effusions are due to:

excessive leakage of fluid from blood vessels into the extravascular spaces
impaired reabsorption of fluid from tissues or serous cavities.

Oedema is classified into four pathogenetic categories (Fig. 7.7):

inflammatory: due to increased vascular permeability
venous: due to increased intravenous pressure
lymphatic: due to obstruction of lymphatic drainage
hypoalbuminaemic: due to reduced plasma oncotic pressure.
Serous effusions can be attributable to any of the above causes, but in addition there is another important diagnostic category: neoplastic effusions due to primary or secondary neoplasms (tumours) involving serous cavities (Ch. 11).
image

Fig. 7.7 Pathogenesis of oedema. image Normal. Hydrostatic blood pressure forces water out of capillaries at the arterial end, but the plasma oncotic pressure attributable to albumin sucks water back into capillary beds at the venous end. A small amount of water drains from the tissues through lymphatic channels. image Inflammatory oedema. Gaps between endothelial cells (mostly at venular level) allow water and albumin (and other plasma constituents) to escape. There is increased lymphatic drainage, but this cannot cope with all the water released into the tissues and oedema results. image Venous oedema. Increased venous pressure (e.g. from heart failure, venous obstruction due to thrombus) causes passive dilatation and congestion of the capillary bed. Increased venous pressure exceeds that of plasma oncotic pressure and so water remains in the tissues. image Lymphatic oedema. Lymphatic obstruction (e.g. by tumour deposits, filarial parasites) prevents drainage of water from tissues. image Hypoalbuminaemic oedema. Low plasma albumin concentration reduces the plasma oncotic pressure so that water cannot be sucked back into the capillary bed at the venous end.

Inflammatory oedema

Oedema is a feature of acute inflammation (Ch. 10). In acutely inflamed tissues there is increased vascular (mainly venular) permeability due to the separation of endothelial cells under the influence of chemical mediators. Fluid with a high protein content leaks out of the permeable vessels into the inflamed tissue causing it to swell. This is beneficial, because the proteins in the oedema fluid assist in defeating the cause of the inflammation. For example:

albumin increases the oncotic pressure of the extravascular fluid, causing water to be imbibed, thus diluting any toxins
fibrinogen polymerises to form a fibrin mesh which helps to contain the damage
immunoglobulins and complement specifically destroy bacteria or neutralise toxins.

In addition to the fluid component, the extravasate contains numerous neutrophil polymorphs.

Tissues affected by inflammatory oedema also have the other features of acute inflammation, such as pain and redness.

Venous oedema

Oedema results from increased intravenous pressure because this pressure opposes the plasma oncotic pressure, largely due to the presence of albumin, that draws fluid back into the circulation at the venous end of capillary beds. Increased intravenous pressure results from either heart failure or impairment of blood flow due to venous obstruction by a thrombus or extrinsic compression. The affected tissues are often intensely congested due to engorgement by venous blood under increased pressure. In heart failure, there is also pulmonary congestion with oedema and so-called passive venous congestion of the liver.

Venous oedema is seen most commonly in dependent parts of the body, notably the legs; indeed, it is not unusual for mild degrees of venous oedema to occur at the ankles and feet of normal people who have sat in aircraft on long flights—immobilisation impairs venous return. The fluid in venous oedema has a low protein content.

Oedema of just one leg is almost always due to venous obstruction by a thrombus. This is a common complication of immobilisation following major surgery or trauma. Bilateral leg oedema, if due to venous causes (there may be other explanations, see below), is more likely to be due to heart failure than venous thrombotic obstruction. In either case it is a serious manifestation prompting immediate attention to the underlying condition.

Lymphatic oedema

Some fluid normally leaves capillary beds and drains into adjacent lymphatic channels to return eventually to the circulation through the thoracic duct. If the lymphatic channels are obstructed, the fluid remains trapped in the tissues and oedema results.

Causes of lymphatic oedema include blockage of lymphatic flow by filarial parasites (Ch. 3) or by tumour metastases (Ch. 11), or as a complication of surgical removal of lymph nodes. Blockage of inguinal lymphatics by filarial parasites frequently causes gross oedema of the legs and, in males, the scrotum; the resulting deformity is called elephantiasis. Blockage of lymphatic drainage from the small intestine, usually because of tumour involvement, causes malabsorption of fats and fat-soluble substances. Blockage of lymphatic drainage at the level of the thoracic duct, or at least close to it, causes chylous effusions in the pleural and peritoneal cavities; the fluid is densely opalescent due to the presence of numerous tiny fat globules (chyle).

Fortunately, oedema due to surgical removal of lymph nodes is now a rare event. It used to be a complication of radical mastectomy for breast cancer, but surgical treatment for this tumour now tends to be more conservative.

Hypoalbuminaemic oedema

A low plasma albumin concentration results in oedema because of the reduction in plasma oncotic pressure; thus, fluid cannot be drawn back into the venous end of capillary beds and it remains in the tissues. Causes of hypo-albuminaemia are:

protein malnutrition (as in kwashiorkor)
liver failure (reduced albumin synthesis)
nephrotic syndrome (excessive albumin loss in urine)
protein-losing enteropathy (a variety of diseases are responsible).

Hypoalbuminaemia as the cause of oedema can be verified easily by measuring the albumin concentration in serum. The underlying cause is then investigated and, if possible, treated. Infusions of albumin will have a beneficial, but temporary, effect.

Ascites and pleural effusions

Ascites is an excess of fluid in the peritoneal cavity. It is one of the five general causes of a distended abdomen: the complete alliterative list is—fluid, fat, faeces (constipation or obstruction), fetus, flatus (gas in the bowel).

Ascites and pleural effusions may be due to any of the above causes of oedema. However, the increased vascular permeability causing inflammatory oedema and effusions may also be induced by tumours. Thus, tumour cells growing within the cavities or on their serous linings cause excessive leakage of fluid. Serous effusions may be a presenting feature of cancer or they may complicate a previously diagnosed case. The fluid has a high protein content, and cytological examination to look for abnormal cells is often diagnostic.

Serous effusions may be divided into transudates and exudates by their protein content. Transudates have a protein concentration of less than 2g/100ml, whereas the concentration in exudates is higher. Involvement by tumour is the most important cause of an exudate.

Electrolyte homeostasis

Of all the electrolytes in plasma, sodium and potassium are among the most abundant and the most likely to be affected by pathological processes (Table 7.2).

Table 7.2 Common abnormalities of serum electrolytes

Abnormality Causes Consequences
Hypernatraemia (i.e. high sodium)
Renal failure
Cushing’s syndrome
Conn’s syndrome
Compensatory increased blood volume Oedema
Hyponatraemia (i.e. low sodium)
Addison’s disease
Excessive diuretic therapy
Reduced blood volume Hypotension
Hyperkalaemia (i.e. high potassium)
Renal failure Acidosis
Extensive tissue necrosis
Risk of cardiac arrest
Hypokalaemia (i.e. low potassium)
Vomiting
Diarrhoea
Diuretic therapy
Alkalosis
Cushing’s syndrome
Conn’s syndrome
Weakness
Cardiac dysrhythmias
Metabolic alkalosis

The abnormalities listed often do not occur in isolation and may be associated with other electrolyte changes.

Sodium and potassium homeostasis

image Sodium may be retained excessively by the body due to inappropriately high levels of mineralocorticoid hormones acting on renal tubular reabsorption
image Sodium may be lost excessively in urine, due to impaired renal tubular reabsorption, or in sweat
image Potassium may accumulate excessively in the body if there is extensive tissue necrosis or renal failure
image High serum potassium level is a medical emergency because of risk of cardiac arrest
image Potassium may be lost excessively in severe vomiting and diarrhoea

Hypernatraemia

Hypernatraemia (high serum sodium) may occur in conditions in which there is excessive mineralocorticoid (such as aldosterone) production acting on renal tubular reabsorption; Conn’s syndrome, due to an adrenal adenoma of the zona glomerulosa cells, is a typical example. The increased total body sodium content may be concealed by a commensurate increase in body water content in an attempt to sustain a normal plasma osmolarity; the serum sodium concentration may therefore underestimate the increase in total body sodium.

Hyponatraemia

Hyponatraemia (low serum sodium) is a logical consequence of impaired renal tubular reabsorption of sodium. This occurs in Addison’s disease of the adrenal glands due to loss of the aldosterone-producing zona glomerulosa cortical cells. Sodium is the electrolyte most likely to be lost selectively in severe sweating in hot climates or during physical exertion such as marathon running; the syndrome of ‘heat exhaustion’ is due mainly to a combination of dehydration and hyponatraemia. Falsely low serum sodium concentrations may be found in hyperlipidaemic states; the sodium concentration in the aqueous phase of the serum is actually normal but the lipid contributes to the total volume of serum assayed.

Hyperkalaemia

Potassium is more abundant within cells than in extracellular fluids, so relatively small changes in plasma concentration can underestimate possibly larger changes in intracellular concentrations. Furthermore, extensive tissue necrosis can liberate large quantities of potassium into the plasma, causing the concentration to reach dangerously high levels. The commonest cause is renal failure causing decreased urinary potassium excretion. Severe hyperkalaemia (>c. 6.5mmol/l) is a serious medical emergency demanding prompt treatment because of the risk of cardiac arrest. Moderate hyperkalaemia is relatively asymptomatic, emphasising the importance of regular biochemical monitoring to avoid sudden fatal complications.

Hypokalaemia

Hypokalaemia (low serum potassium) has many causes (Table 7.2). It is often accompanied by a metabolic alkalosis due to hydrogen ion shift into the intracellular compartment. Clinically, it presents with muscular weakness and cardiac dysrhythmias.

Vomiting and diarrhoea result in combined loss of water, sodium and potassium. Superimposed on this may be alkalosis from vomiting due to loss of hydrogen ions, or acidosis from diarrhoea due to loss of alkaline intestinal secretions.

Calcium homeostasis

image Serum calcium levels are controlled by vitamin D and parathyroid hormone and their effects on intestinal absorption, renal tubular reabsorption and osteoclastic activity
image Persistent hypercalcaemia can cause ‘metastatic’ calcification of tissues
image Clinical effects of hypocalcaemia (i.e. tetany) can result from fall in total serum calcium or from respiratory alkalosis reducing the ionised serum calcium

Serum calcium levels are regulated by the vitamin D metabolite—1,25-dihydroxyvitamin D—and by parathyroid hormone (PTH). The precise role of calcitonin in humans is uncertain, but it has a serum calcium-lowering effect when administered to patients with hypercalcaemia; however, patients with the calcitonin-producing medullary carcinoma of the thyroid (Ch. 17) do not present with hypocalcaemia.

Hypercalcaemia

Acute hypercalcaemia causes fits, vomiting and polyuria. Persistent hypercalcaemia additionally results in ‘metastatic’ calcification (see p. 141) of tissues and urinary calculi. Causes of hypercalcaemia include:

primary hyperparathyroidism (Ch. 17)
hypervitaminosis D
extensive skeletal metastases
PTH-like secretion from tumours.

Primary hyperparathyroidism is most commonly due to an adenoma of the parathyroid glands. The excessive and uncontrolled PTH secretion enhances the absorption of calcium and the osteoclastic erosion of bone, thus releasing calcium.

Hypercalcaemia due to neoplasms of other organs is seen most commonly with breast cancer. In the absence of extensive skeletal metastases, this is attributed to a PTH-like hormone secreted by the tumour cells.

Hypocalcaemia

Hypocalcaemia causes neuromuscular hypersensitivity manifested by tetany. This condition can be corrected rapidly by giving calcium gluconate intravenously. The commonest cause of acute hypocalcaemia is accidental damage to or removal of parathyroid glands during thyroid surgery. Low serum calcium levels resulting from renal disease or intestinal malabsorption are rapidly corrected, in a patient with intact parathyroid glands, by stimulation of PTH secretion. This eventually causes hyperplasia of the parathyroid glands (secondary hyperparathyroidism) and weakening of the skeleton due to excessive osteoclastic resorption under the influence of PTH.

Tetany also results from respiratory alkalosis, often in patients with hysterical hyperventilation who excessively eliminate carbon dioxide, due to a reduction in the ionised calcium concentration as the pH rises.

Acid–base homeostasis

image Body has innate tendency to acidification
image Buffers (bicarbonate/carbonic acid, proteins) have limited capacity
image Acidosis or alkalosis may be due to respiratory or metabolic causes
image Body attempts to restore pH by varying rate of respiration or by adjusting renal tubular function

Metabolic pathways are intolerant of pH deviations. The extracellular pH is tightly controlled at an approximate value of 7.4, but the intracellular pH is marginally lower and varies within an even narrower range. Acidic deviation outside the normal plasma pH range is sensed by chemoreceptors at the carotid bifurcations (carotid bodies), in the aortic arch and in the medulla of the brain.

The body has an innate tendency towards acidification due to production of:

carbon dioxide from aerobic respiration
lactic acid from glycolysis
fatty acids from lipolysis.

This acidic tendency is counteracted by basic (alkaline) buffers (bicarbonate, proteins) in the first instance, but these have limited capacity. Acid–base balance in the plasma is ultimately regulated by:

elimination of carbon dioxide by exhalation
renal excretion of hydrogen ions
metabolism of fatty and lactic acids
replenishment of bicarbonate ions.

Acidosis and alkalosis

Deviations outside the normal pH range are called acidosis (low pH) and alkalosis (high pH). Either deviation may be further classified as respiratory (due to insufficient or excessive elimination of carbon dioxide from the lungs) or metabolic (due to non-respiratory causes). Thus there are four possible combinations:

respiratory acidosis
metabolic acidosis
respiratory alkalosis
metabolic alkalosis.

The causes of these abnormalities of acid–base balance are shown in Table 7.3. The role of normal respiration and respiratory tract diseases in influencing acid–base balance is discussed in Chapter 14.

Table 7.3Features of respiratory and metabolic acidosis and alkalosis

image

Respiratory acidosis

Respiratory acidosis can be corrected by increased renal tubular reabsorption of bicarbonate ions (which are alkaline) or by increased urinary loss of hydrogen ions (which are acidic). By either mechanism, the pH is not corrected as promptly as it can be in metabolic acidosis by immediate stimulation of hyperventilation.

Metabolic acidosis

Metabolic acidosis stimulates hyperventilation, often with deep sighing respiratory excursions (Kussmaul respiration), in order to blow off carbon dioxide and thereby maintain the equilibrium of the bicarbonate/carbonic acid ratio, restoring the pH to neutrality.

Respiratory alkalosis

Respiratory alkalosis is always due to hyperventilation, causing excessive elimination of carbon dioxide (which is acid in solution as carbonic acid). There is limited scope for correction by increasing the urinary loss of bicarbonate ions.

Metabolic alkalosis

Metabolic alkalosis is more difficult to correct naturally because the vitally important hypoxic drive to respiration overrides the extent to which carbon dioxide can be conserved by hypoventilation.

METABOLIC CONSEQUENCES OF MALNUTRITION

Malnutrition, a serious medical and socio-economic problem, may be a consequence or a cause of disease. Diseases and conditions commonly complicated by malnutrition include:

anorexia nervosa
carcinoma of the oesophagus or stomach
post-operative states
dementia.

This section concentrates on the clinicopathological consequences of malnutrition. Malnutrition may be:

protein–energy malnutrition
vitamin deficiencies
a combination of both.

Protein–energy malnutrition

image Kwashiorkor: severe wasting is concealed by oedema
image Marasmus: severe wasting
image Both may be complicated by infections, parasitic infestations and vitamin deficiencies
image Cachexia: profound wasting often occurring terminally in cancer patients

Protein–energy malnutrition results from the frequent combination of insufficient protein, carbohydrate and fat in the diet. Carbohydrate and fat together account for approximately 90% of the energy content of a typical healthy diet. Protein alone cannot replace the necessary energy yield from fats and carbohydrates.

Protein–energy malnutrition frequently co-exists with infections. The infections may exacerbate the deficiency, thus exposing the malnourished state, or they may complicate the deficiency because of impaired body defence mechanisms. In children prolonged malnutrition leads to stunted development due to retardation of linear growth. A shorter period of malnutrition produces body wasting.

Malnutrition in children

Severe malnutrition in children results in two clinical conditions (Fig. 7.8):

kwashiorkor
marasmus.
image

Fig. 7.8 Kwashiorkor and marasmus. Malnutrition in both cases leads to severe wasting. image Wasting is concealed to some extent in kwashiorkor by the oedema and ascites. image Wasting is obvious in marasmus.

The factors determining which condition will develop in a malnourished child remain uncertain; some cases show features of both conditions. These conditions often co-exist with infections, parasitic infestations and vitamin deficiencies.

Kwashiorkor

Kwashiorkor is characterised by oedema, which may be very extensive and so belie the extreme wasting of the underlying tissues. The skin is scaly and the hair loses its natural colour. The condition often develops when a child is weaned off breast milk, but without the compensation of adequate dietary protein.

The serum albumin is low and this accounts for the oedema due to reduced plasma oncotic pressure. Hypokalaemia and hyponatraemia are common. The liver is enlarged due to severe fatty change; this occurs because the lack of protein thwarts the production of lipoprotein and, therefore, transport of fat from the liver.

Marasmus

Marasmus is characterised by severe emaciation rather than oedema. The skin is wrinkled and head hair is lost. The serum albumin is usually within the normal range, but hypokalaemia and hyponatraemia are common.

Cachexia

Cachexia is a state of severe debilitation associated with profound weight loss. It is seen in malnutrition (marasmus is akin to cachexia), but is most widely associated with the profound weight loss suffered by patients with cancer. When the tumour involves the gastrointestinal tract, the explanation for the cachexia is often obvious. However, weight loss can be a very early manifestation of any cancer and is a particularly common feature of carcinoma of the lung; in this instance, it may be due to factors causing increased protein catabolism as the patient’s food intake may be still within normal limits. Among several factors postulated to be responsible for the increased catabolic state in cachexia is tumour necrosis factor, a peptide secreted by tumour tissue.

Vitamin deficiencies

image Multiple vitamin deficiencies may occur in severe malnutrition
image Each vitamin deficiency is associated with specific consequences

Deficiencies of vitamins—so named by Casimir Funk (1884–1967) because he believed (mistakenly) that they were all vital amines—produce more specific abnormalities (Table 7.4) than those encountered in protein–energy malnutrition. This is because of their involvement in specific metabolic pathways. Some vitamin deficiencies merit comment here, because either they are relatively frequent or the consequences are profound.

Table 7.4 Vitamin deficiency states

Vitamin Dietary sources Consequence of deficiency
A Beta-carotene in carrots, etc. Vitamin A in fish, eggs, liver, margarine Night blindness, xerophthalmia, mucosal infections
B1 (thiamine) Cereals, milk, eggs, fruit, yeast extract Beri-beri, neuropathy, cardiac failure, Korsakoff’s psychosis, Wernicke’s encephalopathy
B2 (riboflavine) Cereals, milk, eggs, fruit, liver Mucosal fissuring
B6 (pyridoxine) Cereals, meat, fish, milk Confusion, glossitis, neuropathy, sideroblastic anaemia
B12 (cobalamin) Meat, fish, eggs, cheese Megaloblastic anaemia, subacute combined degeneration of the spinal cord
Niacin (nicotinic acid) Meat, milk, eggs, peas, beans, yeast extract Pellagra, dermatitis, diarrhoea, dementia
Folate Green vegetables, fruit Megaloblastic anaemia, mouth ulcers, villous atrophy of small gut
C (ascorbic acid) Citrus fruits, green vegetables Scurvy, lassitude, swollen bleeding gums, bruising and bleeding
D Milk, fish, eggs, liver Rickets (in childhood), osteomalacia (in adults)
E Cereals, eggs, vegetable oils Neuropathy, anaemia
K Vegetables, liver Blood coagulation defects

Thiamine (B1) deficiency

Thiamine deficiency impairs glycolytic metabolism and affects the nervous system and the heart. The classic deficiency state is called beri-beri (from the Sinhalese word ‘beri’ meaning weakness). This state is characterised by peripheral neuropathy and, in some cases, cardiac failure.

Alcoholism is a common predisposing cause in countries such as the UK, where it is often associated with an inadequate diet. Alcoholics with thiamine deficiency can develop two central nervous system syndromes:

Korsakoff’s psychosis—characterised by confusion, confabulation and amnesia
Wernicke’s encephalopathy—characterised by confusion, nystagmus and aphasia.

Folate and vitamin B12 deficiency

Folate and vitamin B12 (cobalamin) are essential for DNA synthesis. Deficiency of either impairs cellular regenera-tion; the effects are seen most severely in haemopoietic tissues, resulting in megaloblastic changes and macrocytic anaemia (Ch. 23). In addition, vitamin B12 deficiency also causes subacute combined degeneration of the spinal cord (Ch. 26).

Folate deficiency may result from:

dietary insufficiency (principal source is fresh vegetables)
intestinal malabsorption (e.g. coeliac disease—Ch. 15)
increased utilisation (e.g. pregnancy, tumour growth)
anti-folate drugs (e.g. methotrexate).

Vitamin B12 deficiency may result from:

autoimmune gastritis resulting in loss of intrinsic factor, thus causing pernicious anaemia
surgical removal of the stomach (e.g. gastric cancer)
disease of the terminal ileum, the site of absorption (e.g. Crohn’s disease—Ch. 15)
blind loops of bowel in which there is bacterial overgrowth
infestation with Diphyllobothrium latum, a parasitic worm.

Vitamin C deficiency

Vitamin C deficiency is now most common in elderly people and in chronic alcoholics, whose diet is often lacking in fresh fruit and vegetables. The vitamin (ascorbic acid) is essential principally for collagen synthesis: it is necessary for the production of chondroitin sulphate and hydroxyproline from proline. Minor degrees of deficiency may be responsible for lassitude and an unusual susceptibility to bruising. Severe deficiency causes scurvy, a condition characterised by swollen, bleeding gums, hyperkeratosis of hair follicles, and petechial skin haemorrhages.

Vitamin D deficiency

Vitamin D is derived either from the diet (milk, fish, etc.) as ergocalciferol (D2) or from the action of ultraviolet light on 7-dehydrocholesterol (D3) to form cholecalciferol in the skin. The intermediate precursors are activated by hydroxylation sequentially in the liver and kidneys to give 1,25-dihydroxy-cholecalciferol, a steroid hormone. Hydroxylation in the kidney is stimulated by parathyroid hormone and hypocalcaemia. An apparent deficiency can therefore result from:

lack of dietary vitamin D with inadequate sunlight
intestinal malabsorption of fat (vitamin D is fat-soluble)
impaired hydroxylation due to hepatic or renal disease.

People of races with deeply pigmented skin rely more heavily on dietary vitamin D when they migrate to countries with less sunlight than in their native lands.

Vitamin D is vital for normal calcium homeostasis. Its action resembles that of parathyroid hormone, ultimately causing elevation of the serum calcium concentration. It does so by:

promotion of the absorption of calcium (and phosphate to a lesser extent) from the gut
increased osteoclastic resorption of bone and mobilisation of calcium.

In children, lack of vitamin D impairs mineralisation of the growing skeleton, thus causing rickets. In adults, vitamin D deficiency results in osteomalacia (Ch. 25). However, the pathogenesis of rickets and osteomalacia is identical; the two conditions are different clinical manifestations of vitamin D deficiency occurring at different stages of skeletal development.

Vitamin K deficiency

Vitamin K is essential for the synthesis of blood-clotting factors. It is involved in the carboxylation of glutamic acid residues on factors II, VII, IX and X. The principal dietary sources are vegetables, leguminous plants and liver. Deficiency may result from:

lack of dietary vitamin K
intestinal malabsorption of fat (vitamin K is fat-soluble).

The commonest situation leading to dietary insufficiency is found in neonates on breast milk deficient in vitamin K.

Bruising and an abnormal bleeding tendency are the clinical manifestations of vitamin K deficiency. This occurs not only in the circumstances outlined above, but also in patients with liver failure in whom there is impaired hepatic synthesis of the vitamin K-dependent clotting factors; this can be corrected by giving large doses of vitamin K. It is essential to check the prothrombin time before performing a liver biopsy or any surgery on a patient with suspected liver disease.

OBESITY

Obesity is defined as a body mass index equal to or greater than 30. The body mass index is calculated by dividing the individual’s body weight in kilograms by the square of their height in metres (kg/m2). The cause of obesity is now cosidered to be multifactorial, resulting from an interaction between genetic and environmental factors, and is not regarded in all cases as being simply due to overeating. In a few cases, mutations of the leptin gene or the leptin receptor have been discovered.

Obesity significantly reduces life expectancy by increasing the risk of many serious pathological disorders, including:

ischaemic heart disease
diabetes mellitus (mainly type 2)
hypertension
osteoarthritis
carcinomas of breast, endometrium and large bowel.

For conditions treated surgically, there is also a substantially increased risk of serious post-operative complications, such as deep leg vein thrombosis and wound infections.

The prevalence of obesity is increasing rapidly, particularly in the USA and Europe, where it has been described as an ‘epidemic’ (Fig. 7.9). This has considerable implications for the health of the population and for the future demands on the health care system.

image

Fig. 7.9 Prevalence of obesity in the USA. Within just 10 years there was a massive increase in the prevalence of obesity (body mass index >30) in the USA. This predisposes affected individuals to an increased risk of serious disorders and a reduced life expectancy. (Data from Mokdad AH, Bowman BA, Ford ES et al 2001 The continuing epidemics of obesity and diabetes in the United States. JAMA 286: 1195–1200.)

Metabolic syndrome

Although the metabolic syndrome (also called syndrome X and insulin resistance syndrome) was first recognised in the early 1900s, marked rises in obesity and type 2 diabetes—common features of the syndrome—have greatly increased its prevalence and importance. In the USA, for example, over 40% of those >60 years of age are affected.

The diagnostic criteria for the metabolic syndrome are still debated, but commonly cited features are:

central obesity
impaired glucose tolerance (e.g. type 2 diabetes)
dyslipidaemia
hypertension.

This cluster of features of the metabolic syndrome has been called the ‘deadly quartet’.

The metabolic syndrome is associated with an increased risk of cardiovascular disease, principally atheroma and its complications, and of type 2 diabetes (in those who have not already developed it as one of the diagnostic criteria for the syndrome). However, it should be noted that several features of the syndrome also independently increase the risk and severity of atheroma, so the precise extent of the morbidity and mortality due to the syndrome itself is difficult to quantify.

TRACE ELEMENTS AND DISEASE

Trace elements are those present at an arbitrarily defined low concentration in a given situation. Some trace elements in humans are of vital importance, despite the meagre quantities found in the human body. Trace elements cause disease when the body levels are higher or lower than normal, depending on the specific biological effects of the element.

Many elements, such as iron, cannot be regarded as trace elements because of their abundance in the body; nevertheless, diseases can result from either a deficiency or an excess (anaemia and haemosiderosis respectively in the case of iron).

Diseases associated with trace element abnormalities are summarised in Table 7.5. Some examples of well-documented associations of disease and trace elements will be summarised.

Table 7.5 Trace elements and disease

Element Abnormality Consequences
Aluminium Excess
Bone changes
Encephalopathy
Cobalt Excess Cardiomyopathy
Copper Excess
Hepatic damage
Basal ganglia damage(i.e. Wilson’s disease)
Iodine Deficiency Goitre
Lead Excess
Neuropathy
Anaemia
Mercury Excess Neuropathy
Selenium Deficiency
Cardiac failure
Hepatic necrosis
Zinc Deficiency
Impaired wound healing
Acrodermatitis enteropathica

Aluminium

Aluminium is one of the most abundant elements in the Earth’s crust, but only traces are found in the normal human body. Toxic quantities can enter the body in a variety of ways. Aluminium is present in variable concentrations in water supplies and it is used therapeutically in the form of aluminium hydroxide as an antacid. Aluminium is also used in some cooking utensils, from which it can be leached under acid conditions. Aluminium powder has also been used for the treatment of pneumoconiosis, a chronic lung disorder resulting from the inhalation of toxic or allergenic dusts (Ch. 14).

Aluminium has been incriminated in the development of skeletal abnormalities and encephalopathy in patients on regular haemodialysis for chronic renal failure. In such cases, aluminium has been found deposited on mineralisation fronts in the skeleton, where it may interfere with bone turnover. Dialysis encephalopathy, first reported in 1972, is characterised by progressive dementia, epileptic fits and tremors. In 1976, dialysis encephalopathy was shown to be associated with an abnormally high aluminium concentration in brain tissue obtained from autopsies on affected patients. This finding then led to discovery of a link between aluminium and dialysis bone disease.

Aluminium is often detectable in the brain lesions in Alzheimer’s disease, a relatively common neurodegenerative disorder, but evidence that it is an aetiological factor is very weak.

Copper

Copper is essential for the function of several enzymes (e.g. superoxide dismutase). Copper deficiency appears to be rare. Some people with arthritis claim to derive benefit, undoubtedly psychological, from wearing copper bracelets, although the only observable change is a green discoloration of the underlying skin.

Wilson’s disease is the most important disorder of copper metabolism. This is inherited as an autosomal recessive condition in which copper accumulates in the liver (Fig. 7.10), basal ganglia of the brain, kidneys and eyes. The brown ring of copper deposition around the corneal limbus—the Kayser–Fleischer ring—is absolutely diagnostic. Serum caeruloplasmin levels are usually low. In the liver, the copper accumulation is associated with chronic hepatitis, frequently culminating in cirrhosis (Ch. 16). The neurological changes are seriously disabling. Although Wilson’s disease is rare, it is absolutely vital to consider the diagnosis in any patient presenting with chronic liver disease and neurological signs. d-Penicillamine, a chelating agent, has revolutionised the treatment of Wilson’s disease, but it is to little avail if the liver and brain have already been irreversibly damaged.

image

Fig. 7.10 Copper in liver. Liver biopsy, stained for copper (dark granules), showing excessive copper in periportal liver cells. No stainable copper would be present in a normal liver. Copper accumulates in the liver in Wilson’s disease and in patients with chronic obstructive jaundice (e.g. primary biliary cirrhosis).

Iodine

The human body contains only 15–20 mg of iodine, most of which is in the thyroid gland. Iodine is almost unique among elements in having just one known role in the human body: it is essential for the synthesis of thyroxine.

Ingestion of modestly excessive quantities of iodine (as potassium iodide, for example) has no serious adverse consequences. Indeed, large stocks of potassium iodide tablets are kept in the vicinity of nuclear power stations for use in the event of accidental release of radioactive iodine, a cause of thyroid cancer. The potassium iodide competes with the smaller amounts of radioactive iodine for uptake by the thyroid gland.

Iodine deficiency results in goitre (enlargement of the thyroid gland, Ch. 17). Goitre was prevalent in regions where the water and solid food lacked an adequate iodine content, usually in mountainous regions (hence, for example, ‘Derbyshire neck’). Maternal iodine deficiency during pregnancy causes cretinism in neonates, characterised by mental retardation and stunted growth. These problems have been eliminated in many countries by the addition of iodides and iodates to table salt.

Lead

Much effort is being made in many countries to reduce environmental contamination by lead. The human body contains approximately 120mg of lead and the daily intake should not exceed 500 μg. Excessive ingestion or inhalation can result from contaminated food, water or air; the main sources in the UK appear to be old lead piping in water supplies, and tetra-ethyl and tetra-methyl lead added to petrol as anti-knocking agents. Old plumbing is gradually being replaced and the use of unleaded petrol now common.

Toxic effects of lead include central and peripheral nervous system damage, renal damage and sideroblastic anaemia (Ch. 23). It has been alleged that lead exposure may be responsible for mental retardation in children, but it has been difficult to dissociate this from the other consequences of socio-economic deprivation prevalent in the urban environments contaminated with lead.

Mercury

The average human body contains only 13 mg of mercury. The safe daily intake is <50 μg.

Mercury has been used in dental amalgams for filling tooth cavities since 1818. Although doubts have been expressed about its safety, metallic mercury and mercury-containing dental amalgams are insoluble in saliva and are, therefore, not absorbed to an appreciable extent. Dentists must, of course, use mercury cautiously to minimise the risk of cumulative occupational exposure.

Mercury is neurotoxic. Chronic poisoning also results in a characteristic blue line on the gums. Perhaps the best-known (but fictitious) case is that of the Mad Hatter in Alice in Wonderland; hatmakers used mercuric nitrate for making felt out of animal fur! In the 1950s at Minamata, Japan, there was serious water pollution with methyl mercury, causing at least 50 deaths and many more cases of permanent neurological disability.

Despite its known toxicity, mercury has been used therapeutically, though not to any great effect. It was a popular, though ineffectual, remedy for syphilis; this gave rise to the heavenly adage ‘A night with Venus; a lifetime on Mercury’! More recently, pharmaceutical preparations containing mercury were advocated for treating childhood ailments such as measles, teething and diarrhoea. One such preparation containing calomel (mercurous chloride) was sold as a teething powder. Many years later this was suggested—and eventually proven—to be the cause of ‘pink disease’, a distressing condition affecting infants and young children, formerly of unknown aetiology.

TISSUE DEPOSITIONS

Tissues can become altered as a result of deposition of excessive quantities of substances present normally in only small amounts. These include haemosiderin, as in haemochromatosis (Ch. 16), lysosomal storage disorders (see p. 125), and lipofuscin, which accumulates particularly in the liver with ageing (Ch. 12). Pathological calcification and amyloid deposition are detailed below.

Calcification

image Dystrophic calcification in previously damaged tissues
image ‘Metastatic’ calcification due to hypercalcaemia
image Pathological calcification may be radiologically evident and diagnostically useful
image Resulting hardening of tissues may lead to malfunction

Although calcium ions are vital for the normal function of all cells, precipitates of calcium salts are normally found only in bones, otoliths and teeth. In disease states, however, tissues can become hardened by deposits of calcium salts; this process is called calcification. Calcification may be:

dystrophic
‘metastatic’.

‘Metastatic’ calcification must not be confused with the process of metastasis of tumours. It is an entirely separate condition. In the context of calcification, ‘metastatic’ only means widespread.

Dystrophic calcification

Calcification is said to be dystrophic if it occurs in tissue already affected by disease. In these cases the serum calcium is normal. The calcification is due to local precipitation of insoluble calcium salts. Common examples are:

atheromatous plaques
congenitally bicuspid aortic valves
calcification of mitral valve ring
old tuberculous lesions
fat necrosis
breast lesions
calcinosis cutis.

The calcified lesions will often be detectable on a plain X-ray as opacities or, if detected at surgery, will feel extremely hard. Dystrophic calcification does not usually have any special consequences for the patient, with the notable exception of calcification of a congenitally bicuspid aortic valve. A bicuspid aortic valve can function quite normally, but when it becomes calcified, a common event in the elderly, the valve cusps become thick and rigid; this causes stenosis, incompetence and, ultimately, cardiac failure (Ch. 13). The biochemical basis of dystrophic calcification is uncertain except in the instance of fat necrosis, a common result of trauma to adipose tissue or of acute pancreatitis (Ch. 16); the liberated fatty acids bind calcium to form insoluble calcium soaps, sometimes causing hypocalcaemia and tetany.

The presence of dystrophic calcification in breast lesions, particularly some carcinomas, is one of the abnormalities looked for by radiologists in the interpretation of mammograms (X-rays of the breasts) when screening for breast cancer.

A few tumours contain minute concentric lamellated calcified bodies. These are called psammoma bodies (‘psammos’ is Greek for sand) and are most commonly found in:

meningiomas (Ch. 26)
papillary carcinomas of thyroid (Ch. 17)
papillary ovarian carcinomas (Ch. 19).

Psammoma bodies assist the histopathologist in correctly identifying the type of tumour, but their pathogenesis is unknown.

‘Metastatic’ calcification

Metastatic calcification is much less common than dystrophic calcification and occurs as a result of hypercalcaemia. Calcification may be widespread and occurs in otherwise normal tissues. Frequent causes are:

hyperparathyroidism
hypercalcaemia of malignancy.

In hyperparathyroidism, an adenoma or, less often, a diffuse hyperplasia of the parathyroid glands secretes excess quantities of parathyroid hormone; this liberates calcium from the bone, resulting in hypercalcaemia. In some patients with malignant neoplasms, hypercalcaemia results from either the secretion of a parathyroid hormone-like substance or extensive bone erosion due to skeletal metastases.

In this condition the calcium salts are precipitated on to connective tissue fibres (e.g. collagen, elastin; Fig. 7.11).

image

Fig. 7.11 Calcification of alveolar walls. The purple-staining material deposited on alveolar walls is calcification in a patient with hypercalcaemia.

Amyloid

image Extracellular beta-pleated sheet material
image Composed of immunoglobulin light chains, serum amyloid protein A, peptide hormones, prealbumin, etc.
image Systemic amyloidosis may be due to a plasma cell neoplasm (e.g. myeloma) or to a chronic inflammatory disorder
image Localised amyloid deposits occur in some peptide hormone-producing tumours
image Amyloid often impairs the function of the organ in which it is deposited
image Heart failure and nephrotic syndrome are common complications

Amyloid (meaning starch-like from the Greek ‘amylon’) is the name given to a group of proteins or glycoproteins that, when deposited in tissues, share the following properties:

beta-pleated sheet molecular configuration with an affinity for certain dyes (e.g. Congo or Sirius red; Fig. 7.12)
fibrillar ultrastructure (Fig. 7.13)
presence of a glycoprotein of the pentraxin family (amyloid P protein)
extracellular location, often on basement membranes
resistance to removal by natural processes
a tendency to cause the affected tissue to become hardened and waxy.
image

Fig. 7.12 Renal amyloidosis. Renal biopsy stained to show amyloid (red). The amyloid is deposited in the glomeruli, blood vessel walls and tubular basement membranes.

image

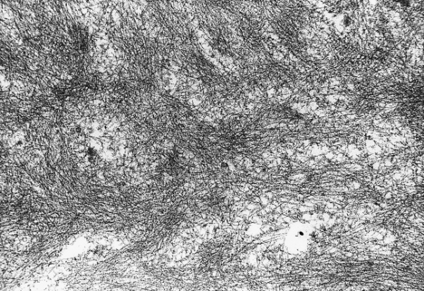
Fig. 7.13 Amyloid ultrastructure. Amyloid substances are characterised by a fibrillar appearance on electron microscopy.

Small asymptomatic deposits of amyloid are not uncommon in the spleen, brain, heart and joints of elderly people.

The beta-pleated molecular configuration is an important feature because the body has no enzymes capable of digesting large molecules in this form, so they remain permanently in the tissues.

Classification

Amyloid can be classified according to:

chemical composition—the substance in the amyloid material
tissue distribution—whether localised or systemic
aetiology—the nature of the underlying cause, if known.

These are all equally legitimate and complementary methods of classification. The chemical composition often correlates with the clinical classification (Table 7.6); it can, therefore, be helpful diagnostically and lead to the discovery of the aetiology in an individual case.

Table 7.6 Classification of amyloid substances

Condition Amyloid substance
Myeloma-associated (primary) AL (immunoglobulin light chains or fragments)
Reactive (secondary) AA (serum amyloid protein A, an acute-phase reactant)
Alzheimer’s disease A-beta (derived from amyloid precursor protein)
Haemodialysis-associated A-beta-2M (beta-2 microglobulin)
Hereditary and familial
Familial neuropathic
ATTR (transthyretin)
Familial Mediterranean fever AA
Finnish amyloidosis AGel (gelsolin)
Medullary carcinoma of thyroid AMCT (calcitonin)

In addition to those amyloid substances listed, all amyloid deposits also contain amyloid P glycoprotein as a common constituent.

Clinically, however, amyloidosis presents with organ involvement which is either:

systemic (Fig. 7.14)
localised.
image

Fig. 7.14 Common causes and consequences of systemic amyloidosis. In primary or myeloma-associated amyloidosis the AL amyloid comprises light chains secreted by neoplastic plasma cells. In reactive or secondary amyloidosis the production of AA amyloid by the liver is stimulated by cytokines secreted by chronic inflammatory cells.

Systemic amyloidosis

In systemic amyloidosis the material is deposited in a wide variety of organs; virtually no organ is exempt. Clinical features suggesting amyloidosis include generalised diffuse organ enlargement (e.g. hepatomegaly, splenomegaly, macroglossia) and evidence of organ dysfunction (e.g. heart failure, proteinuria).

Systemic amyloidosis is further classified according to its aetiology:

myeloma-associated (primary)
reactive (secondary)
senile
haemodialysis-associated
hereditary.

Myeloma-associated amyloidosis

The amyloid substance in myeloma-associated amyloidosis is AL amyloid—immunoglobulin light chains.

A myeloma is a plasma cell tumour, often multiple, arising in bone marrow and causing extensive bone erosion. It produces excessive quantities of immunoglobulin of a single class (e.g. IgG) with a uniform light chain (e.g. kappa). The light chain forms the amyloid material. The amyloid is deposited in many organs—heart, liver, kidneys, spleen, etc.—but shows a predilection for the connective tissues within these organs.

In some cases, myeloma-associated amyloidosis is called primary amyloidosis because of the absence of any clinically obvious myeloma. However, invariably there is a clinically occult plasma cell tumour, with little bone erosion to declare itself, but with a monoclonal immunoglobulin band on serum electrophoresis; this is referred to as a benign monoclonal gammopathy.

Amyloidosis is a serious complication of myeloma, exacerbating the ill health of the patient.

Reactive (secondary) amyloidosis

The amyloid substance in reactive or secondary amyloidosis is AA amyloid, derived from serum amyloid protein A.

Serum amyloid protein A, synthesised in the liver, is an acute phase reactant protein, one of several so called because the serum concentrations rise in response to the presence of a variety of diseases.

Reactive amyloidosis, by definition, always has a predisposing cause; this is invariably a chronic inflammatory disorder. Chronic inflammatory disorders frequently predisposing to secondary amyloidosis are:

rheumatoid disease
bronchiectasis
osteomyelitis.

The amyloid in reactive amyloidosis shows the same tendency to widespread deposition as in myeloma-associated amyloidosis, but it has a predilection for the liver, spleen and kidneys (Fig. 7.14).

Senile amyloidosis

Minute deposits of amyloid, usually derived from serum prealbumin, may be found in the heart and in the walls of blood vessels in many organs of elderly people. However, only in a few cases do they result in significant signs or symptoms.

Haemodialysis-associated amyloidosis

The association of amyloidosis with long-term haemodialysis for chronic renal failure has been recognised only recently. The clinical manifestations include arthropathy and carpal tunnel syndrome. In a few cases there is much more extensive involvement of other organs. The amyloid material deposited in the affected tissues appears to be beta-2 microglobulin.

Hereditary amyloidosis

Hereditary and familial forms of amyloid deposition are rare and include:

familial Mediterranean fever
Portuguese neuropathy
Finnish amyloidosis.

Localised amyloidosis

Amyloid material is often found in the stroma of tumours producing peptide hormones. It is particularly characteristic of medullary carcinoma of the thyroid, a tumour of the calcitonin-producing interfollicular C-cells. In this instance, the amyloid contains calcitonin molecules arranged in a beta-pleated sheet configuration.

Localised deposits of amyloid may be found, without any obvious predisposing cause, in virtually any organ; this is, however, a rare occurrence. The skin, lungs and urinary tract seem to be the most frequent sites.

Cerebral amyloid is found in Alzheimer’s disease (see Ch. 26) and in the brains of elderly people in:

neuritic (senile) plaques
the walls of small arteries (amyloid angiopathy).

The amyloid in plaques in Alzheimer’s disease comprises A-beta protein complexed with apolipoprotein E (apoE). The latter occurs in several allelic variants, of which apoE4 is a risk factor for Alzheimer’s disease.

Clinical effects and diagnosis

The clinical manifestations of amyloidosis are:

nephrotic syndrome, eventually renal failure
hepatosplenomegaly
cardiac failure due to restricted myocardial movement
macroglossia
purpura
carpal tunnel syndrome
coagulation factor X deficiency (in AL amyloid).

Amyloidosis may be suspected on clinical examination because of enlargement of various organs, especially the liver and spleen. As the kidneys are often involved and the amyloid is deposited in glomerular basement membranes, altering their filtration properties, the patients often have proteinuria; in severe cases the proteinuria can result in nephrotic syndrome (Ch. 21). The diagnosis is best confirmed by biopsy of the rectal mucosa, commonly involved in cases of systemic amyloidosis; this procedure is relatively safe and painless. The amyloid in the biopsy can be stained histologically using Congo red or Sirius red dyes, or immunohistochemically using specific antibodies. When examined using one fixed and one rotating polarising filter in the light path on either side of the section, the red colour changes to green (dichroism); this simple optical test is quite specific for amyloid. Using special techniques it may be possible to characterise the amyloid substance more precisely to determine its origin and to identify thereby the underlying cause.

Localised amyloid in a tumour is of no clinical consequence other than serving to assist the histopathologist in correctly identifying the tumour as, for example, a medullary carcinoma of the thyroid.

A solitary amyloid deposit is of clinical significance either because it mimics a tumour (e.g. on a plain chest X-ray) or because it compresses a vital structure (e.g. a ureter).

Commonly confused conditions and entities relating to disorders of metabolism and homeostasis

Commonly confused Distinction and explanation
Cystine, cysteine, homocysteine and homocystinuria Both cystine and cysteine are sulphur-containing amino acids: one molecule of cystine can be reduced to two molecules of cysteine. Homocysteine is an intermediate in the synthesis of cysteine; high blood levels are found in homocystinuria.
Tetany and tetanus Tetany is muscular spasm induced by hypocalcaemia, either an absolute reduction in serum calcium or, as in respiratory alkalosis (e.g. hysterical hyperventilation), a reduction in the amount of ionised calcium. Tetanus is the disease resulting from infection by Clostridium tetani which produces a toxin causing muscular spasm.
Kwashiorkor and marasmus Marasmus is severe wasting due to protein–energy malnutrition. In kwashiorkor the wasting is somewhat concealed by oedema of the tissues.
Dystrophic and ‘metastatic’ calcification Calcification of diseased tissues (e.g. atheromatous plaques, old tuberculous lesions) is called dystrophic. Calcification of previously normal tissues in a patient with hypercalcaemia is often said to be ‘metastatic’, but this should not be confused with the process of tumour metastasis.
Primary and secondary amyloidosis In primary amyloidosis the amyloid deposits contain immunoglobulin light chains; although there may be no underlying cause (hence ‘primary’), the light chains probably originate from a neoplastic clonal proliferation of plasma cells. In secondary amyloidosis the amyloid comprises serum amyloid protein A produced by the liver in response to cytokines from chronically inflamed tissues.

FURTHER READING

Daneman D.. Type 1 diabetes. Lancet. 2006;367:847-858.

Eckel R.H., Grundy S.M., Zimmet P.Z.. The metabolic syndrome. Lancet. 2005;365:1415-1428.

Kass R.S.. The channelopathies: novel insights into molecular and genetic mechanisms of human disease. Journal of Clinical Investigation. 2005;115:1986-1989.

Kellum J.A.. Determinants of blood pH in health and disease. Critical Care. 2000;4:6-14.

Kraut J.A., Madias N.E.. Approach to patients with acid–base disorders. Respiratory Care. 2001;46:392-403.

Labib M.. The investigation and management of obesity. Journal of Clinical Pathology. 2003;56:17-25.

Lenihan J.. The crumbs of creation: trace elements in history, medicine, industry, crime and folklore. Bristol: Adam Hilger; 1988.

Marshall W.J.. Clinical chemistry. Edinburgh: Mosby; 2000.

Nyhan W.L., Barshop B.A., Ozand P.T. Atlas of metabolic diseases. Oxford: Oxford University Press, 2005

Pepys M.B.. Amyloidosis. Annual Review of Medicine. 2006;57:223-241.

Ratjen F., Doring G.. Cystic fibrosis. Lancet. 2003;361:681-689.

Scriver’s Online Metabolic & Molecular Bases of Inherited Disease. http://www.ommbid.com/

Wong L.L., Verbalis J.G.. Systemic diseases associated with disorders of water homeostasis. Endocrinology and Metabolism Clinics of North America. 2002;31:121-140.