Chapter 14 Recognizing Bowel Obstruction and Ileus

image In Chapter 13, we discussed how to recognize the normal intestinal gas pattern.
image In this chapter, you’ll learn how to recognize and categorize the four most common abnormal bowel gas patterns and their causes. These abnormal bowel gas patterns will appear the same whether imaged initially by conventional radiography or by CT scanning. CT is superior in revealing the location, degree, and cause of an obstruction and in demonstrating any signs of reduced bowel viability.
image Abnormalities of bowel function are suspected by the history and clinical findings.
image The key questions in assessing the bowel gas pattern on imaging studies are:
Is air present in the rectum or sigmoid?
Are there dilated loops of small bowel?
Are there dilated loops of large bowel?

Abnormal Gas Patterns

image Abnormal intestinal gas patterns can be divided into two main categories, each of which can be subdivided into two subcategories (Box 14-1).
image Functional ileus is one main category in which it is presumed that one or more loops of bowel lose their ability to propagate the peristaltic waves of the bowel, usually due to some local irritation or inflammation, and hence cause a functional type of “obstruction” proximal to the affected loop(s).
image There are two kinds of functional ileus.
Localized ileus (also called sentinel loops) affects only one or two loops of (usually small) bowel.
Generalized adynamic ileus affects all loops of large and small bowel and frequently the stomach.
image Mechanical obstruction is the other main category of abnormal bowel gas pattern. With mechanical obstruction, a physical, organic, obstructing lesion prevents the passage of intestinal content past the point of either the small or large bowel blockage.
image There are two kinds of mechanical obstruction.
Small bowel obstruction (frequently abbreviated SBO)
Large bowel obstruction (frequently abbreviated LBO)

Box 14-1 Abnormal Bowel Gas Patterns

Functional Ileus

Localized ileus (sentinel loops)
Generalized adynamic ileus

Mechanical Obstruction

Small bowel obstruction (SBO)
Large bowel obstruction (LBO)

Laws Of The Gut

image The bowel reacts to a mechanical obstruction in more or less predictable ways.
image Loops proximal to the obstruction soon become dilated with air and/or fluid.
This can occur within a few hours of a complete small bowel obstruction.
image Peristalsis will continue (except in the loops of bowel involved in a functional ileus) in an attempt to propel intestinal contents through the bowel.
image Loops distal to an obstruction will eventually become decompressed or airless, as their contents are evacuated.
image In a mechanical obstruction, the loop(s) that will become the most dilated will either be the loop of bowel with the largest resting diameter before the onset of the obstruction (e.g., the cecum in the large bowel), or the loop(s) of bowel just proximal to the obstruction.
image Most patients with a mechanical obstruction will present with some form of abdominal pain, abdominal distension, and constipation.
Patients may present with vomiting early in the course of a proximal small bowel obstruction and later in the course of the illness with a distal small bowel obstruction.
image Prolonged obstruction with persistently elevated intraluminal pressures can lead to vascular compromise, necrosis and perforation in the affected loop of bowel.
image Let’s look at each of the four abnormal bowel gas patterns in detail (Table 14-1). For each of the four abnormalities, we’ll look at their pathophysiology, causes, key imaging features, and diagnostic pitfalls.

TABLE 14-1 ABNORMAL GAS PATTERNS—SUMMARY

image

Functional Ileus, Localized: Sentinel Loops

image Pathophysiology
Focal irritation of a loop or loops of bowel occurs most often from inflammation of an adjacent visceral organ, e.g., pancreatitis may affect bowel loops in the left upper quadrant, diverticulitis in the left lower quadrant.
The loop(s) affected are almost always loops of small bowel and, because they herald the presence of underlying pathology, they are called sentinel loops.
The irritation causes these loops to lose their normal function and become aperistaltic, which in turn leads to dilatation of these loops.
Because a functional ileus does not produce the degree of obstruction that a mechanical obstruction does, some gas continues to pass through the defunctionalized bowel past the point of the localized ileus.
Air usually reaches and is visible in the rectum or sigmoid.
image Causes of a localized ileus
The dilated loops of bowel tend to occur in the same anatomic area as the inflammatory or irritative process of the adjacent abdominal organ, although this may not always be the case.
Table 14-2 summarizes sites of a localized ileus and their most common cause.
image Key imaging features of a localized ileus
On conventional radiographs, there are one or two persistently dilated loops of small bowel.
Persistently means that these same loops remain dilated on multiple views of the abdomen (supine, prone, upright abdomen) or on serial studies done over the course of time.
Dilated means the small bowel loops are persistently larger than 2.5 cm. Small bowel loops involved in a functional ileus usually do not dilate as greatly as those which are mechanically obstructed.
Infrequently, the sentinel loop may be large bowel, rather than small bowel. This can especially occur in the cecum, with diseases such as appendicitis.
There are frequently air-fluid levels seen in sentinel loops.
There is usually gas in the rectum or sigmoid in a localized ileus (Fig. 14-1).

TABLE 14-2 CAUSES OF A LOCALIZED ILEUS

Site of Dilated Loops Cause(s)
Right upper quadrant Cholecystitis
Left upper quadrant Pancreatitis
Right lower quadrant Appendicitis
Left lower quadrant Diverticulitis
Midabdomen Ulcer or kidney/ureteral calculus
image

Figure 14-1 Sentinel loops from pancreatitis.

A single, persistently dilated loop of small bowel is seen in the left upper quadrant (solid white arrows) on both the supine (A) and prone (B) radiographs of the abdomen. A sentinel loop or localized ileus often signals the presence of an adjacent irritative or inflammatory process. This patient had acute pancreatitis.

imagePitfalls: Differentiating a localized ileus from an early SBO

A localized ileus may resemble an early mechanical SBO, i.e., there may be a few dilated loops of small bowel with air in the colon seen in both. Early means the patient has had symptoms for a day or two. Patients who have had obstructive symptoms for a week or more usually no longer demonstrate imaging findings of an early obstruction.

imageSolution. A combination of the clinical and laboratory findings and CT scanning of the abdomen that demonstrates the underlying pathology should differentiate localized ileus from small bowel obstruction.

Functional Ileus, Generalized: Adynamic Ileus

image Pathophysiology
In a generalized adynamic ileus, the entire bowel is aperistaltic or hypoperistaltic. Swallowed air dilates and fluid fills all loops of both small and large bowel.
A generalized adynamic ileus is almost always the result of abdominal or pelvic surgery in which the bowel is manipulated during the surgery.
image Causes of a generalized adynamic ileus are summarized in Table 14-3.
image Key imaging features of a generalized adynamic ileus
The entire bowel is usually air-containing and dilated, both large and small bowel. The stomach may be dilated as well.
The absence of peristalsis and the continued production of intestinal secretions usually produce many long air-fluid levels in the bowel.
Since this is not a mechanical obstruction, there should be gas seen in the rectum or sigmoid.
Bowel sounds are frequently absent or hypoactive (Fig. 14-2).

TABLE 14-3 CAUSES OF A GENERALIZED ADYNAMIC ILEUS

Cause Remarks
Postoperative Usually abdominal surgery
Electrolyte imbalance Especially diabetics in ketoacidosis
image

Figure 14-2 Generalized adynamic ileus, supine (A) and upright abdomen (B).

There are dilated loops of large (solid white arrows) and small bowel (dotted white arrows) with gas seen down to and including the rectum (solid black arrows). The patient had undergone colon surgery the previous day.

imagePitfalls: Recognizing a generalized adynamic ileus

Patients do not present to the emergency department with a generalized adynamic ileus unless they are one or two days postoperative (abdominal or gynecologic surgery) or they have a severe electrolyte imbalance (e.g., hypokalemia).
Many patients who have either intestinal pseudo-obstruction (see the end of this chapter) or aerophagia can be mistakenly identified as having a generalized ileus on abdominal radiographs.

Mechanical Obstruction: Small Bowel Obstruction (Sbo)

image Pathophysiology
A lesion, either inside or outside of the small bowel, obstructs the lumen.
Over time, from the point of obstruction backward, the small bowel dilates from continuously swallowed air and from intestinal fluid which continues to be produced by the stomach, pancreas, biliary system, and small bowel.
Peristalsis continues and may increase in an effort to overcome the obstruction.
This can lead to high-pitched, hyperactive bowel sounds.
As time passes, the peristaltic waves empty the small bowel along with the colon of their contents from the point of obstruction forward.
If the obstruction is complete and if enough time has elapsed since the onset of symptoms, there is usually no air found in the rectum or sigmoid.
image Causes of a mechanical small bowel obstruction are summarized in Table 14-4 (Fig. 14-3).
image Key imaging features of mechanical small bowel obstruction
On conventional radiographs, there are multiple dilated loops of small bowel demonstrated proximal to the point of the obstruction (>2.5 cm).
As they begin to dilate, small bowel loops stack up on one another forming a step-ladder appearance, usually beginning in the left upper quadrant and proceeding, depending on how distal the small bowel obstruction is, to the right lower quadrant (Fig. 14-4).
Generally speaking, the more proximal the small bowel obstruction (e.g., proximal jejunum), the fewer the dilated loops there will be; the more distal the obstruction (e.g., at the ileocecal valve), the greater the number of dilated small bowel loops.
On upright or decubitus radiographs, there will usually be numerous air-fluid levels present in the small bowel proximal to the obstruction.
If enough time has elapsed to decompress and empty the bowel distal to the point of obstruction, there will be little or no gas found in the colon, especially the rectum.

TABLE 14-4 CAUSES OF A MECHANICAL SMALL BOWEL OBSTRUCTION

Cause Remarks
Postsurgical adhesions Most common cause of a small bowel obstruction; most frequently following appendectomy, colorectal surgery and pelvic surgery; transition point on small bowel CT without other identifying cause most likely represents adhesions
Malignancy Primary malignancies of the small bowel are rare; secondary tumors such as gastric and colonic carcinomas and ovarian cancers may compromise the lumen of small bowel
Hernia An inguinal hernia may be visible on conventional radiographs if air-containing loops of bowel are seen over the obturator foramen; easily seen on CT (see Fig. 14-3).
Gallstone ileus May be visible on conventional radiographs or CT if air is seen in the biliary tree and (rarely) a gallstone is present in RLQ (see Chapter 15)
Intussusception Ileocolic intussusception is the most common form and produces SBO
Inflammatory bowel disease Thickening of the bowel wall may occur with compromise of the lumen in patients with Crohn disease; this is most likely to occur in the terminal ileum
image

Figure 14-3 Small bowel obstruction from inguinal hernia.

A, The scout image from a CT scan of the abdomen reveals dilated loops of small bowel (solid black arrow) caused by a left inguinal hernia (white circle). Loops of bowel should normally not be present in the scrotum. B, Coronal-reformatted CT scan on another patient shows multiple fluid-filled and dilated loops of small bowel (solid white arrows) from a right inguinal hernia (white circle) containing another dilated loop of small bowel (dotted white arrow).

image

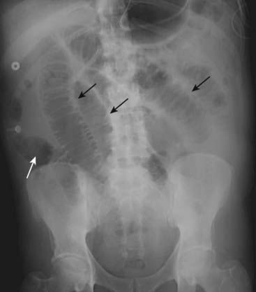
Figure 14-4 Step-ladder appearance of obstructed small bowel.

As they begin to dilate, small bowel loops stack up, forming a step-ladder appearance usually beginning in the left upper quadrant and proceeding, depending on how distal the small bowel obstruction is, to the right lower quadrant (solid black arrows). The more proximal the small bowel obstruction (e.g., proximal jejunum), the fewer the dilated loops there will be; the more distal the obstruction (e.g., at the ileocecal valve), the greater the number of dilated small bowel loops. This was a distal small bowel obstruction caused by a carcinoma of the colon which obstructed the ileocecal valve.

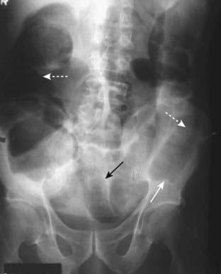
imageIn a mechanical small bowel obstruction, there should always be a disproportionate dilatation of small bowel compared to the collapsed large bowel (Fig. 14-5).

image

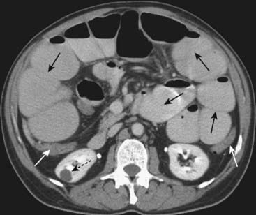
Figure 14-5 Mechanical small bowel obstruction.

Even though there is still a small amount of air visible in the right colon (solid white arrow), the overall bowel gas pattern is one of disproportionate dilation of multiple loops of small bowel (solid black arrows) consistent with a mechanical small bowel obstruction. The obstruction was presumably secondary to adhesions.

imagePitfalls: Differentiating a partial SBO from a functional (localized) adynamic ileus

An intermittent, (also known as a partial or incomplete) mechanical small bowel obstruction is one that allows some gas to pass the point of obstruction, at least at times. It can lead to a confusing picture because gas may pass into the colon long after the large bowel would be expected to be devoid of such gas. Partial or incomplete small bowel obstruction occurs more often in patients in whom adhesions are the etiology (Fig. 14-6).
CT with or without oral contrast should be able to demonstrate a partial small bowel obstruction or identify the abnormality producing the sentinel loops (Fig. 14-7).
image CT is the most sensitive study for diagnosing the site and cause of a mechanical small bowel obstruction.
CT scans for bowel obstruction can be performed with or without oral contrast, utilizing the fluid already present in the bowel as contrast. Orally administered contrast (either barium or iodinated contrast) may help in identifying dilated loops of bowel and in finding the transition point between the proximal dilated bowel and the distal collapsed bowel, but the oral contrast might also obscure important findings displayed by the use of intravenous contrast.
Intravenous contrast is used for detecting complications of bowel obstruction such as ischemia and strangulation.
image The CT findings of a small bowel obstruction:
Fluid-filled and dilated loops of small bowel (>2.5 cm in diameter) proximal to the point of obstruction.
Identification of a transition point, which is where the bowel changes caliber from dilated to normal indicating the site of the obstruction. In the absence of identifying a mass or other obstructive cause at the transition point, the cause is almost certainly adhesions (Fig. 14-8).
Collapsed small bowel or colon distal to the point of obstruction (Fig. 14-9).
Small-bowel feces sign. Proximal to the transition point of a small bowel obstruction, intestinal debris and fluid may accumulate producing the appearance of fecal material in the small bowel. This is a sign of SBO (Fig. 14-10).
Closed-loop obstruction occurs when two points of the same loop of bowel are obstructed at a single location. The closed loop usually remains dilated and may form a U- or C-shaped structure. Most closed-loop obstructions are caused by adhesions. In the small bowel, a closed-loop obstruction carries a higher risk of strangulation of the bowel. In the large bowel, a closed-loop obstruction is called a volvulus (Fig. 14-11).
Strangulation. Vascular compromise can be identified by circumferential thickening of the wall of the bowel often with absence of normal wall enhancement following intravenous contrast administration. There may be associated edema of the mesentery and ascites (Fig. 14-12).
image

Figure 14-6 Partial small bowel obstruction, supine (A) and upright (B).

A partial or incomplete mechanical small bowel obstruction allows some gas to pass the point of obstruction, possibly on an intermittent basis. This can lead to a confusing picture because gas may pass into the colon (solid black arrows) and be visible long after the large bowel would be expected to be devoid of gas. The important observation is that the small bowel is disproportionately dilated (dotted white arrows) compared to the large bowel, a finding suggestive of small bowel obstruction. Partial or incomplete small bowel obstructions occur more often in patients in whom adhesions are the etiology. Notice the clips (solid white arrows) attesting to prior surgery.

image

Figure 14-7 Partial small bowel obstruction.

Coronal-reformatted CT scan with oral contrast shows dilated and contrast-containing loops of small bowel (solid white arrows). Although there is still air present in the collapsed colon (dotted white arrows), the disproportionate dilatation of small bowel identifies this as a small bowel obstruction.

image

Figure 14-8 Small bowel obstruction due to Spigelian hernia.

A Spigelian hernia occurs at the lateral edge of the rectus abdominis muscle at the semilunar line. This patient has a transition point (solid white arrow) as the small bowel enters the hernia (dotted white arrow). More proximally, there are multiple dilated loops of small bowel (solid black arrows) that indicate obstruction. The colon is beyond the point of obstruction and is collapsed (dotted black arrow).

image

Figure 14-9 Small bowel obstruction, CT with oral and IV contrast.

There are multiple fluid- and contrast-filled, dilated loops of small bowel demonstrated (solid black arrows), while the colon is collapsed (solid white arrows), indicating a small bowel obstruction. Bowel wall enhancement or lack thereof may be obscured by oral contrast, a drawback to the use of oral contrast. Incidentally noted is a right renal cyst (dotted black arrow).

image

Figure 14-10 Small bowel feces sign.

There is air mixed with debris and old oral contrast in a dilated loop of small bowel (solid white arrows). There are proximal fluid-containing, dilated loops of small bowel (dotted white arrows). The patient had a CT scan with oral contrast several days earlier for abdominal pain and returned for this noncontrast scan when symptoms persisted. Intestinal debris and fluid may accumulate in the loop usually just proximal to a small bowel obstruction and produce this finding which resembles fecal material in the colon.

image

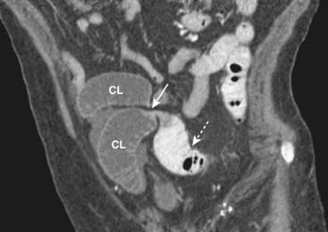
Figure 14-11 Closed-loop obstruction, CT.

A loop of small bowel (CL) is obstructed twice at the same point of twist (solid white arrow) producing a closed loop. No oral contrast enters the closed loop but is present in a more proximal loop of small bowel (dotted white arrow). Closed-loop obstructions are important because of their higher incidence of necrosis from strangulation of the bowel.

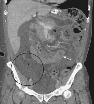
image

Figure 14-12 Bowel necrosis, contrast-enhanced CT.

A dilated loop of small bowel demonstrates normal enhancement of the wall (solid white arrow) on this coronal reformat of a contrast-enhanced CT, while more distal, dilated loops of small bowel show no wall enhancement (black circle). This is an indication of vascular compromise of the distal loops with bowel necrosis.

Mechanical Obstruction: Large Bowel Obstruction (Lbo)

image Pathophysiology
A lesion, either inside or outside the colon, causes obstruction to the lumen.
Over time, from the point of obstruction backward, the large bowel dilates with the cecum frequently attaining the greatest diameter even if the obstruction is as far away as the sigmoid colon.
The large bowel normally functions to reabsorb water, so there are usually few or no air-fluid levels seen in the obstructed colon.
As time passes, continuing peristaltic waves from the point of obstruction forward empty the colon distal to the obstruction.
There is usually little or no air found in the rectum in a mechanical large bowel obstruction.
image Causes of a mechanical large bowel obstruction are summarized in Table 14-5.

TABLE 14-5 CAUSES OF A MECHANICAL LARGE BOWEL OBSTRUCTION

Cause Remarks
Tumor (carcinoma) Most common cause of LBO; more frequently obstructs when it involves the left colon
Hernia May be visible on conventional radiographs if air is seen over the obturator foramen
Volvulus Either the sigmoid (more common) or cecum may twist on its axis and obstruct the colon and small bowel (Box 14-2)
Diverticulitis Uncommon cause of colonic obstruction
Intussusception Colocolic intussusception usually occurs because of a tumor acting as a lead point

imageKey imaging features of a mechanical large bowel obstruction

The colon is dilated to the point of obstruction.
Because there are a limited number of large bowel loops, they tend not to overlap each other (as do the loops of small bowel) so it is sometimes possible to identify the site of obstruction as the last air-containing segment of the colon (Fig. 14-13).
Regardless of the point of obstruction, the cecum is often the most dilated segment of the colon. When the cecum reaches a diameter above 12-15 cm, there is danger of cecal rupture.
The small bowel is not dilated (unless the ileocecal valve becomes incompetent; see below).
Because it is distal to the point of obstruction, the rectum contains little or no air.
Since the large bowel functions to reabsorb water, there are usually no or very few air-fluid levels present in the large bowel.
image

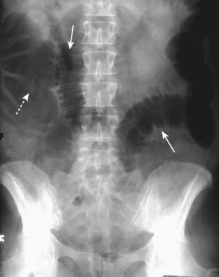
Figure 14-13 Mechanical large bowel obstruction.

The entire colon is dilated (dotted white arrows) to a cut-off point in the distal descending colon (solid white arrow), the site of this patient’s obstructing carcinoma of the colon. Some gas has passed backwards through an incompetent ileocecal valve and outlines a dilated ileum (solid black arrow). Notice that the large bowel is disproportionately dilated compared to the small bowel, a finding of large bowel obstruction.

imagePitfalls: How a LBO can mimic a SBO

image So long as the ileocecal valve prevents gas from reentering the small bowel in a retrograde direction (such an ileocecal valve is called competent), the colon will continue to dilate between the ileocecal valve and the point of colonic obstruction. The small bowel is not dilated.
But if the intracolonic pressure rises high enough and the ileocecal valve opens (such a valve is called incompetent), then gas from the dilated large bowel decompresses backward into the small bowel, much like the air escaping from a balloon.
This can produce a picture in which there is disproportionate dilatation of the small bowel compared to the decompressed large bowel. This picture mimics that of a mechanical small bowel obstruction (Fig. 14-14).
Solution
Ask for a CT scan of the abdomen. It should show the site of obstruction in the colon rather than the small bowel.
Barium is not administered by mouth in a patient with a suspected large bowel obstruction because water will be absorbed from the barium when it reaches the obstructed colon, increasing the viscosity of the barium and possibly leading to impaction.
image Recognizing a large bowel obstruction on CT
CT is obtained to identify the cause of the obstruction, assess for free intraperitoneal air and to identify associated lesions, such as metastases to the liver or lymph nodes.
The large bowel is dilated to the point of obstruction, then normal in caliber distal to the obstructing lesion.
The point of obstruction, frequently a carcinoma, can usually be located on CT as a soft tissue mass. Hernias containing large bowel are also easy to identify on CT. (Fig. 14-15).
image

Figure 14-14 Large bowel obstruction masquerading as a small bowel obstruction.

There are air-filled and dilated loops of small bowel (solid white arrows) seen in this patient who had a mechanical large bowel obstruction from a carcinoma of the middescending colon. The pressure in the colon was sufficient to open the ileocecal valve, which then allowed much of the gas in the colon to decompress backward into the small bowel. The cecum still contains air (dotted white arrow) and is dilated, a clue that this is really a large bowel obstruction. Abdominal CT can resolve the question of whether the large or small bowel is obstructed.

image

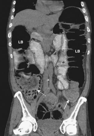
Figure 14-15 Large bowel obstruction from carcinoma of the colon.

This coronal reformatted CT scan of the abdomen and pelvis shows dilated cecum (dotted white arrow) and large bowel (LB) to the level of the distal descending colon where a large soft tissue mass is identified (solid white arrow). This mass was surgically removed and was an adenocarcinoma of the colon.

Volvulus Of The Colon

image Volvulus of the colon is a particular kind of large bowel obstruction that produces a striking and characteristic picture that is summarized in Box 14-2 (Fig. 14-16).

Box 14-2 Volvulus

A Cause of Mechanical Large Bowel Obstruction

Either the cecum or the sigmoid colon can twist upon itself producing a mechanical obstruction known as a volvulus.
Sigmoid volvulus is more common and tends to occur in older men.
The volvulated sigmoid assumes a massive size rising up from the pelvis with the wall between the twisted loops of sigmoid forming a line that points from the left lower to the right upper quadrant.
The appearance of the dilated sigmoid has been likened to a coffee bean (see Fig. 14-16).
When the cecum volvulates, it usually moves across the midline into the left upper quadrant producing loops of bowel forming a line that characteristically points from the right lower to the left upper quadrant.
A contrast enema can be both diagnostic (the obstructed sigmoid produces a beak sign) and therapeutic as the hydrostatic pressure of the enema can sometimes decompress the volvulus.
image

Figure 14-16 Sigmoid volvulus, supine abdomen.

There is a massively dilated sigmoid colon (solid white line) twisted upon itself in the pelvis (solid black arrow). The dilated sigmoid has a coffee-bean shape. Since the point of obstruction is in the distal colon, there are air and stool present in the more proximal portion of the colon (solid white arrows). Volvulus can produce massively dilated loops of sigmoid colon.

Intestinal Pseudo-Obstruction (Ogilvie Syndrome)

image Ogilvie syndrome (acute intestinal pseudo-obstruction) may occur in elderly individuals who are usually already hospitalized or at chronic bed rest.
Drugs with anticholinergic effects, such as antidepressants, phenothiazines, antiparkinsonian agents, and narcotics, may cause or exacerbate the condition.
image The syndrome is characterized by a loss of peristalsis, resulting in sometimes massive dilatation of the entire colon resembling a large bowel obstruction (Fig. 14-17).
Unlike a mechanical obstruction, no obstructing lesion can be demonstrated on CT or with barium enema. Unlike a generalized ileus, patients have more marked abdominal distension, and bowel sounds may be normal or hyperactive in almost half of patients with Ogilvie syndrome.
image The supine abdominal radiograph shows marked bowel dilatation, almost always confined to the colon.
image Management is pharmacologic stimulation of colonic contractions, usually with drugs such as neostigmine.
image

Figure 14-17 Ogilvie syndrome.

Ogilvie syndrome (acute intestinal pseudo-obstruction) may occur in elderly individuals who are usually already hospitalized or at chronic bed rest. Drugs with anticholinergic effects may cause or exacerbate the condition. The syndrome is characterized by a loss of peristalsis, resulting in sometimes massive dilatation of the entire colon resembling a large bowel obstruction, as in this patient. Treatment is pharmacologic stimulation of the bowel.

imageWeblink

Registered users may obtain more information on Recognizing Bowel Obstruction and Ileus on StudentConsult.com.

image Take-Home Points

Recognizing Bowel Obstruction and Ileus

Abnormal bowel gas patterns can be divided into two main groups: functional ileus and mechanical obstruction.

There are two varieties of functional ileus: localized ileus (sentinel loops) and generalized adynamic ileus. There are two varieties of mechanical obstruction: small bowel obstruction (SBO) and large bowel obstruction (LBO).

In mechanical obstruction, the gut reacts in predictable ways: loops proximal to the obstruction become dilated, peristalsis attempts to propel intestinal contents through the bowel and loops distal to the obstruction eventually are evacuated; the loop(s) that become the most dilated will either be the loop of bowel with the largest resting diameter or the loop(s) of bowel just proximal to the obstruction.

The key findings in a localized ileus (sentinel loops) are 2-3 dilated loops of small bowel with air in the rectosigmoid and an underlying irritative process that frequently is adjacent to the dilated loops.

Some causes of sentinel loops include pancreatitis (LUQ), cholecystitis (RUQ), diverticulitis (LLQ) and appendicitis (RLQ). All can be readily identified using ultrasound or CT.

The key findings in a generalized adynamic ileus are dilated loops of large and small bowel with gas in the rectosigmoid and long, air-fluid levels. Post-operative patients develop generalized adynamic ileus.

The key imaging findings in a mechanical small bowel obstruction are disproportionately dilated and fluid-filled loops of small bowel with little or no gas in the recto-sigmoid. CT is best at identifying the cause and site of obstruction or its complications.

The most common cause of a SBO is adhesions; other causes include hernias, intussusception, gallstone ileus, malignancy, and inflammatory bowel disease, such as Crohn disease.

A closed-loop obstruction is one in which two points of the bowel are obstructed in the same location producing the “closed-loop.” In the small bowel, a closed-loop obstruction carries a higher risk of strangulation of the bowel. In the large bowel, a closed-loop obstruction is called a volvulus.

The key imaging findings in mechanical LBO include dilatation of the colon to the point of the obstruction and absence of gas in the rectum with no dilatation of the small bowel as long as the ileocecal valve remains competent. CT will often demonstrate the cause of the obstruction.

Causes of mechanical LBO include malignancy, hernia, diverticulitis, and intussusception.

Ogilvie syndrome is characterized by a loss of peristalsis, resulting in sometimes massive dilatation of the entire colon resembling a large bowel obstruction but without a demonstrable point of obstruction; it can sometimes be confused for a generalized adynamic ileus.