Chapter 13 Recognizing the Normal Abdomen

Conventional Radiographs

image While imaging of the abdomen is now largely performed utilizing CT, ultrasound, or MRI, many patients have “plain films” of the abdomen as a first step before other imaging studies are performed or as a method of following up on findings demonstrated by other modalities.
As always, the principles that guide the interpretation of conventional radiographs apply to the modalities of CT, MRI, and ultrasound.
image In order to recognize abnormal findings on conventional radiographs of the abdomen, you first must familiarize yourself with the appearance of normal.

What To Look For

imageFirst, look at the overall gas pattern (Box 13-1).

Box 13-1 Recognizing the Normal Abdomen

What to Look For

The gas pattern

Extraluminal air

Calcifications

Soft tissues masses

You are looking for the overall pattern, so don’t spend too much time trying to identify every bubble of bowel gas you see.
image Second, check for extraluminal air (see Chapter 15).
image Third, look for abnormal abdominal calcifications.
image Fourth, look for any soft tissue masses.

Normal Bowel Gas Pattern

image Virtually all gas in the bowel comes from swallowed air. Only a fraction comes from the bacterial fermentation of food.
image In the abdomen, the terms gas and air are used interchangeably to refer to the contents of the bowel.
image Loops of bowel that contain a sufficient amount of air to fill the lumen completely are said to be distended. Distension of bowel is normal.
image Loops of bowel that are filled beyond their normal size are said to be dilated. Dilatation of the bowel is abnormal.
image Stomach
There is almost always air in the stomach, unless
The patient has recently vomited, or
There is a nasogastric tube in the stomach and the tube is attached to suction.
image Small bowel
There is usually a small amount of air in about two or three loops of nondilated small bowel (Fig. 13-1).
The normal diameter of small bowel is less than 2.5 cm, which is about 1 inch or the diameter of one U.S. quarter.
image Large bowel
There is almost always air in the rectum or sigmoid. There may be varying amounts of gas in the remainder of the colon (Fig. 13-2).
Use this rule to decide if the large bowel is dilated or not:
The large bowel can normally distend to about the same size as it does on a barium enema examination. To give you an idea of how large that is, look at Figure 13-3.
Stool is recognizable by the multiple, small bubbles of gas present within a semisolid-appearing mass. Recognizing the appearance of stool will help in localizing the large bowel (Fig. 13-4).
image

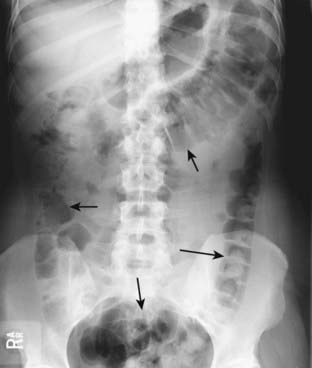
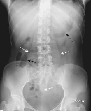
Figure 13-1 Normal supine abdomen.

This is the “scout” film of the abdomen, the one that gives a general idea of the bowel gas pattern and allows you to search for radiopaque calculi and detect organomegaly. There is usually a small amount of air in about two to three loops of nondilated small bowel (solid black arrow). There will almost always be air in the stomach (dotted black arrow) and in the rectosigmoid (solid white arrow). Depending on the amount of fat around the visceral organs, their outlines may be partially visible on conventional radiographs. The psoas muscles are outlined by fat (dotted white arrows) making them visible on this image.

image

Figure 13-2 Normal prone abdomen.

In the prone position, the ascending and descending colon and the rectosigmoid—all posterior structures—are the highest parts of the large bowel and thus most likely to fill with air. There is air seen in the S-shaped rectosigmoid (solid black arrow) and throughout the remainder of the colon (solid white arrows).

image

Figure 13-3 Normal colonic distension.

The colon can normally distend to the size of the diameter of the colon as seen on a barium enema (solid white arrows). Beyond this size, the colon would be considered dilated. This patient has had a double-contrast barium enema examination in which both air and barium are instilled as contrast agents. The combination allows for excellent visualization of the mucosal surface of the colon.

image

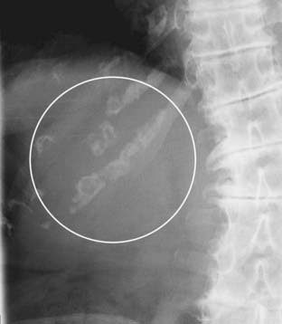
Figure 13-4 Appearance of stool.

Stool is recognizable by the multiple, small bubbles of gas present within a semisolid-appearing soft tissue density (white circle). Stool marks the location of the large bowel and can help in identification of individual loops of bowel on conventional radiographs. This patient has a markedly dilated sigmoid colon from chronic constipation.

imageIndividuals who swallow large quantities of air may develop aerophagia, characterized by numerous polygonal-shaped, air-containing loops of bowel, none of which is dilated (Fig. 13-5).

image

Figure 13-5 Aerophagia.

Virtually all bowel gas comes from swallowed air. Swallowing large quantities of air may produce a picture called aerophagia, characterized by numerous polygonal-shaped, air-containing loops of bowel, none of which is dilated (white circle).

Normal Fluid Levels

image Stomach
Fluid is almost always seen in the stomach, so an air-fluid level is almost always demonstrated in the stomach on an upright abdominal or upright chest radiograph or if the patient is in the decubitus position.
To see an air-fluid level, the x-ray beam must be directed horizontally—parallel to the floor (see Chapter 1, Recognizing Anything).
image Small bowel
Two or three air-fluid levels in the small bowel may be seen normally on an upright or decubitus view of the abdomen.
image Large bowel
The large bowel functions, in part, to remove fluid, so there are no or very few air-fluid levels in the colon (Fig. 13-6).
image

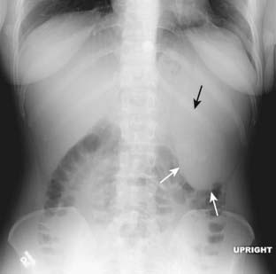
Figure 13-6 Normal upright abdomen.

There for two things to look for on an upright view of the abdomen: air-fluid levels and free intraperitoneal air. Normally, there is an air-fluid level in the stomach (solid black arrow). There may be short, air-fluid levels present in a few nondilated loops of small bowel (black circle). There are usually very few or no air-fluid levels seen in the colon. Free air, if present, should be visible just below the hemidiaphragm (dotted black arrow) and would be easier to recognize on the right than on the left.

imageMany air-fluid levels may be present in the colon if the patient has had a recent enema or if the patient is taking medication with a strong anticholinergic, antiperistaltic effect.

image The normal distribution of bowel gas and fluid is summarized in Table 13-1.

TABLE 13-1 NORMAL DISTRIBUTION OF GAS AND FLUID IN THE ABDOMEN

Organ Normally Contains Gas Normally Has Air-Fluid Levels
Stomach Yes Yes
Small bowel Yes—2-3 loops Yes
Large bowel Yes, especially rectosigmoid No

Differentiating Large From Small Bowel

image Recognizing large bowel
Large bowel is peripherally placed around the perimeter of the abdominal cavity except for the right upper quadrant, which is occupied by the liver (Fig. 13-7).
Haustral markings usually do not extend completely across the large bowel from one wall to the other. If they do connect one wall with another, haustral markings are spaced more widely apart than the valvulae conniventes of the small bowel (Fig. 13-8).
image Recognizing small bowel
Small bowel is centrally placed in the abdomen. Valvulae markings typically extend across the lumen of small bowel from one wall to the other. The valvulae are spaced much closer together than the haustra of the large bowel (Fig. 13-9).
Small bowel can achieve a maximum diameter, even when dilated, of about 5 cm. Large bowel can dilate to many times that size.
image

Figure 13-7 Location of large bowel.

The large bowel usually occupies the periphery of the abdomen. The small bowel is located more centrally. Here, the large bowel (solid black arrows) contains a normal amount of air. The liver occupies the right upper quadrant and normally displaces all bowel from this area.

image

Figure 13-8 Normal large bowel haustral markings.

Most haustral markings in the colon do not traverse the entire lumen to extend from one wall to the opposite wall (solid white arrows). This is unlike the appearance of the valvulae conniventes in the small bowel. The haustral markings are also spaced more widely apart than the valvulae of the small bowel (see Fig. 13-9).

image

Figure 13-9 Normal small bowel valvulae.

Markings representing the valvulae typically do extend across the lumen of the small bowel to extend from one wall to the other. In addition, the valvulae are spaced much closer together than the haustra of the large bowel, even when the small bowel is dilated. The solid black arrows point to two valvulae that traverse the entire lumen in this enhanced close-up of dilated small bowel in this patient with a small bowel obstruction.

Acute Abdominal Series: The Views And What They Show

image Almost every Department of Radiology has a series of radiographic images (a protocol) that is routinely obtained in patients who have acute abdominal pain.
These series are sometimes called “obstructions series,” “complete abdominal series.” “acute abdominal series,” or something similar. For the purposes of this book, we’ll call such series “acute abdominal series.”
image Acute abdominal series: what it may contain
Supine view of the abdomen. This view is almost always obtained.
Prone or lateral rectum view. The inclusion of these views is the most variable in different hospitals’ acute abdominal series.
Upright or left-side down (left lateral) decubitus view. One or the other is almost always included.
Chest—upright or supine view. Inclusion of a chest radiograph depends upon hospital practices.
image Table 13-2 summarizes what to look for on each of the views of an acute abdominal series.

TABLE 13-2 ACUTE ABDOMINAL SERIES: THE VIEWS AND WHAT TO LOOK FOR

View Look for
Supine abdomen Bowel gas pattern, calcifications, masses
Prone abdomen Gas in the rectosigmoid
Upright abdomen Free air, air-fluid levels in the bowel
Upright chest Free air, pneumonia, pleural effusions

Acute Abdominal Series: Supine View (“Scout Film”)

image What it’s good for
Overall appearance of the gas pattern
The overall appearance of the bowel gas pattern, including how much air and fluid there are and their most likely location, is more important than identifying every small bubble of air on the radiograph.
Identifying the presence or absence of calcifications.
Identifying the presence of soft tissue masses (see Fig. 13-1).
image How it’s obtained
The patient lies on his or her back on the x-ray table or stretcher and the x-ray beam is directed vertically downward (Fig. 13-10).
image Substitute view
There is really no other view that substitutes for a supine view of the abdomen. Virtually all patients, regardless of their condition, can tolerate this part of the examination.
image

Figure 13-10 Positioning for supine view of the abdomen.

The patient lies on his or her back on the x-ray table or stretcher and the x-ray beam is directed vertically downward. The camera icon represents the x-ray tube, which would actually be positioned about 40 inches above the cassette, represented by the thick line.

Acute Abdominal Series: Prone View

image What it’s good for
Identifying gas in the rectum and/or sigmoid
Since the rectum and sigmoid are the highest points of the large bowel with the person lying prone on the x-ray table, air will rise into the rectosigmoid.
By the way, almost no air is introduced into the rectosigmoid during the course of a routine rectal examination.
Identifying gas in ascending and descending colon
Since these two parts of the large bowel, besides the rectosigmoid, are also posteriorly positioned, air will collect in them when the patient is lying prone (see Fig. 13-2).
image How it’s obtained
The patient lies on his or her abdomen on the x-ray table or stretcher, and the x-ray beam is directed vertically downward (Fig. 13-11).
image Substitute view
Frequently, patients are unable to lie prone because of their physical condition (e.g., recent surgery, severe abdominal pain).
These patients can turn on their left side and have a lateral view of the rectum exposed with a vertical beam to substitute for the prone radiograph (Fig. 13-12).
The lateral view of the rectum will usually demonstrate the presence or absence of air in the rectum and sigmoid (Fig. 13-13).
image

Figure 13-11 Positioning for prone view of the abdomen.

The patient lies on his or her abdomen on the x-ray table or stretcher and the x-ray beam is directed vertically downward. The camera icon represents the x-ray tube, which would actually be positioned about 40 inches above the cassette, represented by the thick line.

image

Figure 13-12 Positioning for the lateral rectum view.

Patients who cannot lie prone can turn on their left side and have a lateral view of the rectum exposed with a vertical beam to substitute for the prone radiograph. The camera icon represents the x-ray tube, which would actually be positioned about 40 inches above the cassette, represented by the thick line.

image

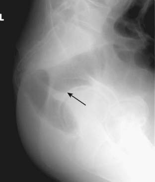
Figure 13-13 Normal lateral view of the rectum.

Frequently, patients are unable to lie prone because of their physical condition (e.g., recent surgery, severe abdominal pain). These patients can turn on their left side and have a lateral view of the rectum exposed with a vertical beam to substitute for the prone radiograph. The lateral view of the rectum will usually demonstrate the presence or absence of air in the rectum and sigmoid (solid black arrow).

Acute Abdominal Series: Upright View of Abdomen

image What it’s good for
Seeing free air in the peritoneal cavity (i.e., extraluminal air)
Seeing air-fluid levels within the bowel lumen (see Fig. 13-6)
image How it’s obtained
The patient stands or sits up and the exposure is made with the x-ray beam directed horizontally, parallel to the plane of the floor (Fig. 13-14).
image Substitute view
Frequently, patients with the signs and symptoms of an acute abdomen cannot tolerate standing or sitting up for an upright view of their abdomen.
In such cases, a left lateral decubitus view of the abdomen is substituted for the upright radiograph. For a left lateral decubitus view, the patient lies on his or her left side on the x-ray table. This is done so that any “free air” will distribute itself at the highest part of the abdominal cavity which will be the patient’s right side (Fig. 13-15).
Free air should be easily visible over the outside edge of the liver where no bowel gas normally is present (Fig. 13-16).
If a right lateral decubitus view were obtained, any free air would rise to the left side of the abdomen. The left side of the abdomen is the normal location of the stomach bubble as well as gas in the splenic flexure of the colon, either of which could be mistaken for free air.
In order to see free air, the x-ray beam must be directed horizontally, parallel to the floor, when a decubitus view is obtained.
image

Figure 13-14 Positioning of patient for an upright view of the abdomen.

The patient stands or sits up and the x-ray beam is directed horizontally, parallel to the plane of the floor. The camera icon represents the x-ray tube, which would actually be positioned about 40 inches from the cassette, represented by the thick line.

image

Figure 13-15 Positioning of the patient for a left lateral decubitus view of the abdomen.

Patients who cannot tolerate an upright view of their abdomen usually have a left lateral decubitus view as a substitute. The patient lies on his or her left side on the examining table, the x-ray tube is usually positioned anteriorly (camera icon) and the cassette (thick line) is placed in back of the patient. The x-ray beam is directed horizontally, parallel to the floor at a distance of about 40 inches from the patient.

image

Figure 13-16 Normal left lateral decubitus view of the abdomen.

For a left lateral decubitus view, the patient lies on his or her left side on the examining table and an exposure is made with a horizontal x-ray beam (parallel to the floor). This is done so that any “free air” will distribute itself at the highest part of the abdominal cavity which will be the patient’s right side. Free air, if present, should be easily visible as a black crescent over the outside edge of the liver (solid white arrows), a location in which no bowel gas is normally present.

imageBox 13-2 summarizes what is needed to visualize air-fluid levels in the abdomen.

Box 13-2 To See an Air-Fluid Level on Conventional Radiographs, You Must Have

Air
Fluid
A horizontal x-ray beam (parallel to the plane of the floor)
Air-fluid interfaces cannot be visualized on conventional radiographs taken with a vertical x-ray beam.

Acute Abdominal Series: Upright View of Chest

image What it’s good for
Seeing free air beneath the diaphragm
Finding pneumonia at the lung bases, which might mimic the symptoms of an acute abdomen
Finding pleural effusions, which could be secondary to an intraabdominal process and help identify its presence
Pancreatitis, for example, may be associated with a left pleural effusion.
Some ovarian tumors may occasionally be associated with right-sided or bilateral pleural effusions.
An abscess beneath the right hemidiaphragm (subphrenic abscess) may be associated with a right pleural effusion.
See Chapter 6 for more on the laterality of pleural effusions.
image How it’s obtained
The patient stands or sits up and an exposure of the thorax is made using a horizontal x-ray beam (Fig. 13-17).
image Substitute view for an upright chest x-ray
Frequently, patients with the signs and symptoms of an acute abdomen cannot tolerate standing for an upright view of their chest. In those cases, a supine view of the chest may be obtained with the patient lying on the stretcher or x-ray table.
In a supine view, the x-ray beam is directed vertically downward; free air, especially small amounts, may not be visible.
image

Figure 13-17 Positioning of patient for an upright chest radiograph.

The patient sits upright or stands with the anterior chest wall closest to the cassette. The camera icon represents the x-ray tube, which is actually about 72 inches from the cassette, represented by the thick line.

Calcifications

imageAbdominal calcifications are discussed in Chapter 16, Recognizing Abnormal Calcifications. There are two abdominal calcifications that should not be confused with pathologic calcifications.

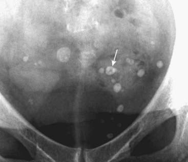
image Phleboliths are small, rounded calcifications that represent calcified venous thrombi that occur with increasing age, most often in the pelvic veins of women. They classically have a lucent center, which helps to differentiate them from ureteral calculi with which phleboliths can be confused (Fig. 13-18).
image Calcification of the rib cartilages occurs with advancing age and, while not a true abdominal calcification, can sometimes be confused for renal or biliary calculi when they overlie the kidney or region of the gallbladder. Calcified cartilage tends to have an amorphous, speckled appearance and the calcified cartilage will occur in an arc corresponding to that of the anterior rib cartilage as it sweeps back towards the sternum (Fig. 13-19).
image

Figure 13-18 Phleboliths.

Phleboliths are small, rounded calcifications that represent calcified venous thrombi that occur with increasing age, most often in the pelvic veins of women. They classically have a lucent center (solid white arrow). In the pelvic veins, they are considered incidental and nonpathologic calcifications, but they can be confused with ureteral calculi.

image

Figure 13-19 Calcified rib cartilages.

Calcification of the rib cartilages (white circle) occurs with advancing age and, while not a true abdominal calcification, can sometimes be confused for calculi when it overlies the kidney or region of the gallbladder. Calcified cartilage tends to have an amorphous, mottled appearance. Calcified rib cartilages will occur along an arc corresponding to the sweep of the anterior ribs as they turn back toward the sternum.

Organomegaly

image Conventional radiographic evaluation of soft tissue structures in the abdomen (e.g., the liver, spleen, kidneys, gallbladder, urinary bladder, or soft tissue masses such as tumors or abscesses) is limited because these structures are soft tissue densities and they are surrounded by other soft tissues or fluid of similar density.
Only a difference in density between two adjacent structures will render their outlines visible on conventional radiographs.
image Still, conventional radiographs are easy to obtain and frequently the first study ordered in a patient with abdominal symptoms.

imageThere are two fundamental ways of recognizing the presence and estimating the size of soft tissue masses or organs on conventional radiographs of the abdomen:

The first is by direct visualization of the edges of the structure, which can only occur if it is surrounded by something of a different density than soft tissue, like that of fat or free air.
The second is to recognize indirect evidence of the mass or enlarged visceral organ by recognizing pathologic displacement of air-filled loops of bowel.

Liver

image Normal
The liver normally displaces all bowel gas from the right upper quadrant.
Occasionally, a tonguelike projection of the right lobe of the liver may extend to the iliac crest, especially in females. This is called a Riedel lobe and is normal (Fig. 13-20).
image Enlarged liver
An enlarged liver might be suggested from conventional radiographs if there is displacement of all bowel from the right upper quadrant down to the iliac crest and across the midline (Fig. 13-21).
Conventional radiographs are notoriously poor for estimating the size of the liver. Imaging evaluation of liver size is best made using CT, MRI, or ultrasound.
image

Figure 13-20 Riedel lobe of the liver.

Occasionally, a tonguelike projection of the right lobe of the liver may extend to the iliac crest, especially in females. This is called a Riedel lobe and is normal (solid black arrows). Conventional radiographs are notoriously poor for estimating the size of the liver; CT, MRI, or US give a more accurate picture of liver size.

image

Figure 13-21 Hepatomegaly.

Sometimes, the liver can become so enlarged it will be obvious even on conventional radiographs. An enlarged liver might be suggested from conventional radiographs if there is displacement of all bowel loops from the right upper quadrant down to the iliac crest and across the midline (solid black arrows), as in this patient with cirrhosis.

Spleen

image Normal
The adult spleen is about 12 cm in length and usually does not project below the 12th posterior rib. As a general rule, the spleen is about as large as the left kidney.
The stomach bubble (i.e., air in the gastric fundus) usually nestles beneath the highest part of the left hemidiaphragm about midway between the abdominal wall and the spine.
image Enlarged spleen
If the spleen projects well below the 12th posterior rib or displaces the stomach bubble toward or across the midline, the spleen is probably enlarged. (Fig. 13-22).
image

Figure 13-22 Splenomegaly.

The spleen is about 12 cm in length and usually does not project below the 12th posterior rib. If the spleen (solid white arrows) projects well below the 12th posterior rib (solid black arrow) or displaces the stomach bubble toward or across the midline, the spleen is probably enlarged, as it is in this patient with leukemia.

Kidneys

image Normal
Portions of the kidney outlines may be visible on conventional radiographs if there is an adequate amount of perirenal fat present.
The kidney length is approximately the height of four lumbar vertebral bodies or about 10 to 14 cm in size in an adult.
The liver depresses the right kidney so that the right kidney is usually lower in the abdomen than the left kidney (Fig. 13-23).
The left kidney is roughly the same length as the spleen.
image Enlarged kidney
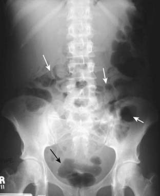
Usually only extremely enlarged kidneys or large renal masses will be recognizable on conventional radiographs by displacement of bowel gas (Fig. 13-24).
image

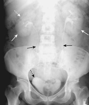
Figure 13-23 Position of the kidneys.

This is one image from an intravenous urogram (intravenous pyelogram [IVP]) in which the patient receives an intravenous injection of iodinated contrast which is excreted by the kidneys. Both kidney outlines (solid white arrows), ureters (solid black arrows) and urinary bladder (dotted black arrow) can be seen. Other images of the kidneys, including oblique views, were often obtained to visualize the entire contour of the kidney. CT scans and CT urograms have largely replaced IVPs. The liver (dotted white arrow) normally depresses the right kidney more inferior than the left kidney.

image

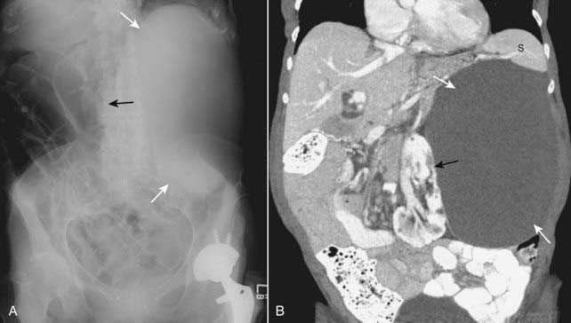
Figure 13-24 Enlarged kidney.

Soft tissue masses or organomegaly can be diagnosed from a conventional radiograph either by visualizing the edge of the mass if there is fat or air surrounding it or by displacement of bowel. A, On the conventional radiograph, there is a soft tissue mass in the left upper quadrant (solid white arrows), which is displacing bowel to the right (solid black arrow). B, A coronal reformatted CT scan of the same patient demonstrates a large renal cyst (solid white arrows) arising from the left kidney (solid black arrow), displacing it and the surrounding bowel. The cyst is compressing the spleen (S).

Urinary Bladder

image Normal
The bladder frequently is surrounded by enough extravesical fat that at least the dome is visible in most individuals as the top of an oval structure with its long axis parallel to the hips and the base of the bladder just above the top of the symphysis pubis.
The urinary bladder is about the size of a small cantaloupe when distended and about the size of a lemon when contracted (Fig. 13-25).
image Enlarged urinary bladder
Bladder enlargement is usually recognized by displacement of bowel out of the pelvis by a soft tissue mass. Bladder outlet obstruction is much more common in men from enlargement of the prostate, so that a pelvic soft tissue mass is more likely to be a dilated bladder in a male than a female (Fig. 13-26).
image

Figure 13-25 Normal urinary bladder.

Close-up of the pelvis shows enough perivesical fat to make the outline of the urinary bladder visible (solid white arrows). In males, the sigmoid colon usually occupies the space just above the bladder (solid black arrow); in females, the soft tissue above the bladder may be either the uterus or sigmoid colon.

image

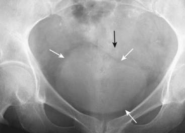
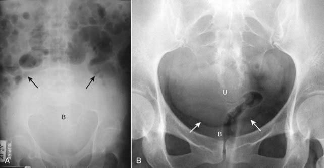
Figure 13-26 Distended urinary bladder and enlarged uterus.

A, The distended bladder (B) is a soft tissue mass that ascends from the pelvis into the lower abdomen displacing the bowel into the midabdomen (solid black arrows). This was a 72-year-old man with bladder outlet obstruction from benign prostatic hypertrophy. B, The uterus (U) is slightly enlarged. It can be distinguished from the bladder because there is a fat plane (solid white arrows) seen between it and the urinary bladder (B) below it.

Uterus

image Normal
The uterus usually sits atop the dome of the bladder. There is a lucency that is frequently produced by fat between the top of the bladder and the bottom of the uterus. The normal uterus is about 8 cm by 4 cm by 6 cm.
image Enlarged uterus
Ultrasound is the best tool for evaluating the size of the uterus and ovaries.
Occasionally uterine enlargement, when marked, may be visible on conventional radiographs.
The key to differentiating an enlarged uterus from a distended bladder is identification of the lucency between the bladder and the uterus; when the uterus is enlarged, the fat plane will be present; when the bladder is dilated, the fat plane will not be visible (see Fig. 13-26).

Psoas Muscles

image One or both of them may be visible if there is adequate extraperitoneal fat surrounding them. Inability to visualize one or both psoas muscles is not a reliable indicator of retroperitoneal disease (see Fig. 13-1).

imageWeblink

Registered users may obtain more information on Recognizing the Normal Abdomen: Conventional Radiographs on StudentConsult.com.

image Take-Home Points

Recognizing the Normal Abdomen: Conventional Radiographs

Evaluation of the abdomen should focus on four main areas: the gas pattern, free air, soft tissue masses or organomegaly, and abnormal calcifications.

Air is normally present in the stomach and colon, especially the rectosigmoid, while a small amount of air (2-3 loops) may be seen in normal small bowel.

An air-fluid level is found normally in the stomach; two or three air fluid levels may be seen in nondilated small bowel, but usually no fluid is visible in the colon.

An acute abdominal series usually consists of: supine abdomen, prone abdomen (or its substitute, a lateral rectum view), upright abdomen (or its substitute, a left lateral decubitus view), and an upright chest (or its substitute, a supine chest).

The supine view of the abdomen is the general scout view for the bowel gas pattern and is useful for seeing calcifications and detecting organomegaly or soft tissue masses.

The prone view allows air, if present, to be seen in the rectosigmoid, which is important in the evaluation of mechanical obstruction of the bowel.

The upright abdomen may demonstrate air-fluid levels in the bowel or free intraperitoneal air.

The upright chest radiograph may demonstrate free air beneath the diaphragm, pleural effusion (which may provide a clue as to the presence and the nature of intraabdominal pathology), or pneumonia (which can mimic an acute abdomen).

CT, US, and MRI have essentially replaced conventional radiography in the assessment of organomegaly or soft tissue masses.