Chapter 22 Recognizing Fractures and Dislocations

Recognizing an Acute Fracture

image Everyone, it seems, is fascinated by a broken bone or two. Fractures are a favorite among those learning radiology, perhaps because of how common they are. Fractures due to moderate trauma are much more common than those due to severe trauma or pathologic fractures.
image A fracture is described as a disruption in the continuity of all or part of the cortex of a bone.
If the cortex is broken through and through, the fracture is called complete.
If only a part of the cortex is fractured, it is called incomplete. Incomplete fractures tend to occur in bones that are “softer” than normal such as those in children, or in adults with bone-softening diseases such as osteomalacia or Paget disease (see Chapter 21, Recognizing Abnormalities of Bone Density).
Examples of incomplete fractures in children are the greenstick fracture, which involves only one part of, but not the entire, cortex, and the torus fracture (buckle fracture), which represents compression of the cortex (Fig. 22-1).
image

Figure 22-1 Greenstick and torus fractures.

Incomplete fractures are those that involve only a portion of the cortex. They tend to occur in bones that are “softer” than normal, such as those in children or in adults with bone-softening diseases, such as osteomalacia or Paget disease. There is a greenstick fracture of the distal radius (A), which involves only one part of (dotted white arrow), but not the entire, cortex (solid white arrow). B, In this torus fracture (buckle fracture) of the distal radius, buckling of the cortex is seen (solid black arrows).

imageRadiologic features of acute fractures (Box 22-1)

Fracture lines, when viewed in the correct plane, tend to be “blacker” (more lucent) than other lines normally found in bones, such as nutrient canals (Fig. 22-2A).
There may be an abrupt discontinuity of the cortex, sometimes associated with acute angulation of the normally smooth contour of bone (Fig. 22-2B).
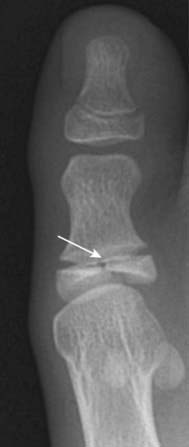
Fracture lines tend to be straighter in their course yet more acute in their angulation than any naturally occurring lines (such as epiphyseal plates) (Fig. 22-3).
The edges of a fracture tend to be jagged and rough.

Box 22-1 Characteristics of an Acute Fracture

Abrupt disruption of all or part of the cortex
Acute changes in the smooth contour of a normal bone
Fracture lines are black and linear
Where fracture lines change their course, they tend to be sharply angulated
Fracture fragments are jagged and not corticated
image

Figure 22-2 Nutrient canal versus fracture.

Fracture lines, when viewed in the correct orientation, tend to be “blacker” (more lucent) than other lines normally found in bones, such as nutrient canals. This is a nutrient canal (A) (solid white arrows) while a true fracture is seen in another patient in (B) (dotted black arrows). Notice how the nutrient canal has a sclerotic (whiter) margin, which is not the case with fracture lines. The edges of a fracture tend to be jagged and rough.

image

Figure 22-3 Fracture versus epiphyseal plate.

Fracture lines (solid black arrow) tend to be straighter in their course and more acute in their angulation than any naturally occurring lines, such as the epiphyseal plate in the proximal humerus (solid white arrows). Because the top of the metaphysis has irregular hills and valleys, the epiphyseal plate has an undulating course that will allow you to see it in tangent both on the anterior and posterior margins of the humeral head. This gives the mistaken appearance that there is more than one epiphyseal plate.

imagePitfalls: sesamoids, accessory ossicles, and unhealed fractures (Table 22-1)

Sesamoids are bones that form in a tendon as it passes over a joint. The patella is the largest and most famous sesamoid bone.
Accessory ossicles are accessory epiphyseal or apophyseal ossification centers that do not fuse with the parent bone.
Old, unhealed fracture fragments can sometimes mimic acute fractures (Fig. 22-4A).
Unlike fractures, these small bones are corticated (i.e., there is a white line that completely surrounds the bony fragment) and their edges are usually smooth.
In the case of sesamoids and accessory ossicles, they are usually bilaterally symmetrical so that a view of the opposite extremity will usually demonstrate the same bone in the same location. They also occur at anatomically predictable sites.
There are almost always sesamoids present in the thumb, the posterolateral aspect of the knee (fabella), and the great toe (Fig. 22-4B).
Accessory ossicles are most common in the foot (Fig. 22-4C).

TABLE 22-1 DIFFERENTIATING FRACTURES, OSSICLES, AND SESAMOIDS

Finding Acute Fracture Sesamoids and Accessory Ossicles*
Abrupt disruption of cortex Yes No
Bilaterally symmetrical Almost never Almost always
“Fracture line” Unsharp, jagged Smooth
Bony fragment has a cortex completely around it No Yes

* Old, unhealed fractures will not be bilaterally symmetrical.

image

Figure 22-4 Pitfalls in fracture diagnosis.

A, Old, unhealed fracture fragments (solid white arrow). B, Sesamoids are bones that form in a tendon as it passes over a joint (solid white arrows). C, Accessory ossicles are accessory epiphyseal or apophyseal ossification centers that do not fuse with the parent bone, (like this os trigonum, open white arrow). Unlike fractures, these small bones are corticated (i.e., there is a white line that completely surrounds the bony fragment) and their edges are usually smooth. Sesamoids and accessory ossicles are usually bilaterally symmetrical.

Recognizing Dislocations and Subluxations

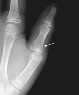
image In a dislocation, the bones that originally formed the two components of a joint are no longer in apposition to each other. Dislocations occur only at joints (Fig. 22-5A).
image In a subluxation, the bones that originally formed the two components of a joint are in partial contact with each other. Subluxations also occur only at joints (Fig. 22-5B).
image Some characteristics of dislocations of the shoulder and hip are shown in Table 22-2.
image

Figure 22-5 Dislocation and subluxation.

A, In a dislocation, the bones that originally formed the two components of a joint are no longer in apposition to each other (solid white arrows). The terminal phalanx is dislocated lateral compared to the middle phalanx. B, In a subluxation, the bones that originally formed the two components of a joint are in partial contact with each other. The humeral head (H) is subluxed inferiorly (solid white arrow) in the glenoid (G) because of large hematoma in the joint secondary to a fracture of the humeral neck (solid black arrow). The hematoma itself is not visible by conventional radiography.

TABLE 22-2 DISLOCATIONS OF THE SHOULDER AND HIP

Shoulder Hip
Anterior, subcoracoid most common Posterior and superior more common
Caused by a combination of abduction, external rotation, and extension Frequently caused by knee striking dashboard transmitting force to hip
Associated with fractures of humeral head (Hill-Sachs lesion) and glenoid (Bankart lesion) Associated with fractures of posterior rim of the acetabulum

Describing Fractures

image There is a common lexicon used in describing fractures to facilitate a reproducible description and to assure reliable and accurate communication.
image Fractures are usually described using four major parameters (Table 22-3):
The number of fragments
The direction of the fracture line
The relationship of the fragments to each other
By communication of the fracture with the outside atmosphere

TABLE 22-3 HOW FRACTURES ARE DESCRIBED

Parameter Terms Used
Number of fracture fragments Simple or comminuted
Direction of fracture line Transverse, oblique (diagonal), spiral
Relationship of one fragment to another Displacement, angulation, shortening, and rotation
Open to the atmosphere (outside) Closed or open (compound)

How Fractures are Described: by the Number of Fracture Fragments

image If the fracture produces two fragments, it is called a simple fracture.
image If the fracture produces more than two fragments, it is called a comminuted fracture. Some comminuted fractures have special names.
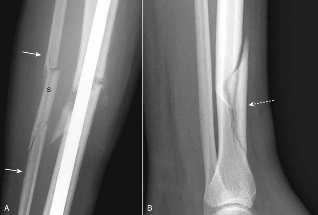
A segmental fracture is a comminuted fracture in which a portion of the shaft exists as an isolated fragment (Fig. 22-6A).
A butterfly fragment is a comminuted fracture in which the central fragment has a triangular shape (Fig. 22-6B).
image

Figure 22-6 Segmental fracture and butterfly fractures.

These are two comminuted fractures. A, This is a segmental fracture in which a portion of the shaft exists as an isolated fragment. Notice how the fibula has a center segment (S) and two additional fragments, one on either side (solid white arrows). B, A butterfly fragment is a comminuted fracture in which the central fragment has a triangular shape (dotted white arrow).

How Fractures are Described: by the Direction of the Fracture Line (Table 22-4)

image In a transverse fracture, the fracture line is perpendicular to the long axis of the bone. Transverse fractures are caused by a force directed perpendicular to shaft (Fig. 22-7A).
image In a diagonal or oblique fracture, the fracture line is diagonal in orientation relative to the long axis of the bone. Diagonal or oblique fractures are caused by a force usually applied along the same direction as the long axis of the affected bone (Fig. 22-7B).
image With a spiral fracture, a twisting force or torque produces a fracture like those that might be caused by planting the foot in a hole while running. Spiral fractures are usually unstable and often associated with soft tissue injuries such as tears in ligaments or tendons (Fig. 22-7C).

TABLE 22-4 DIRECTION OF FRACTURE LINE AND MECHANISM OF INJURY

Direction of Fracture Line Mechanism
Transverse Force applied perpendicular to long axis of bone; fracture occurs at point of impact
Diagonal (also known as oblique) Force applied along the long axis of bone; fracture occurs somewhere along shaft
Spiral Twisting or torque injury
image

Figure 22-7 Transverse, diagonal, and spiral fracture lines.

A, In a transverse fracture (solid white arrow), the fracture line is perpendicular to the long axis of the bone. B, Diagonal or oblique fractures (solid black arrow) are diagonal in orientation relative to the normal axis of the bone. C, Spiral fractures (solid white arrows) are usually caused by twisting or torque injuries.

How Fractures are Described: by the Relationship of One Fracture Fragment to Another

imageBy convention, abnormalities of the position of bone fragments secondary to fractures describe the relationship of the distal fracture fragment relative to the proximal fragment. These descriptions are based on the position the distal fragment would have normally assumed had the bone not been fractured.

image There are four major parameters most commonly used to describe the relationship of fracture fragments. Most fractures display more than one of these abnormalities of position. The four parameters are:
Displacement
Angulation
Shortening
Rotation
image Displacement describes the amount by which the distal fragment is offset, front to back and side to side, from the proximal fragment. Displacement is most often described either in terms of percent (the distal fragment is displaced by 50% of the width of the shaft) or by fractions (the distal fragment is displaced half the width of the shaft of the proximal fragment) (Fig. 22-8A).
image Angulation describes the angle between the distal and proximal fragments as a function of the degree to which the distal fragment is deviated from the position it would have assumed were it in its normal position. Angulation is described in degrees and by position (the distal fragment is angulated 15° anteriorly relative to the proximal fragment) (Fig. 22-8B).
image Shortening describes how much, if any, overlap there is of the ends of the fracture fragments, which translates into how much shorter the fractured bone is than it would be had it not been fractured (Fig. 22-8C).
The term opposite from shortening is distraction, which refers to the distance the bone fragments are separated from each other (Fig. 22-8D).
Shortening (overlap) or distraction (lengthening) is usually described by a number of centimeters (there are 2 cm of shortening of the fracture fragments).
image Rotation is an unusual abnormality in fracture positioning almost always involving the long bones, such as the femur or humerus. Rotation describes the orientation of the joint at one end of the fractured bone relative to the orientation of the joint at the other end of the same bone.
Normally, for example, when the hip joint is pointing forward, the knee joint is also pointing forward.
If there is rotation about a fracture of the femoral shaft, the hip joint could be pointing forward while the knee joint is oriented in another direction (Fig. 22-9).
To appreciate rotation, both the joint above and the joint below a fracture must be included, preferably on the same radiograph.
image

Figure 22-8 Fracture parameters.

The orientation of fracture fragments is described by using these four parameters. A, Displacement describes the amount by which the distal fragment (solid white arrow) is offset, front to back and side to side, from the proximal fragment (solid black arrow). B, Angulation describes the angle between the distal and proximal fragments (dotted black line) as a function of the degree to which the distal fragment is deviated from its normal position (solid white line). C, Shortening describes how much, if any, overlap occurs at the ends of the fracture fragments (solid white and black arrows). D, The term that is opposite from shortening is distraction, which refers to the distance the bone fragments are separated from each other (two white arrows show pull of tendons on fracture fragments of patella, black arrow points to distraction of fracture).

image

Figure 22-9 Rotation.

An unusual abnormality in fracture positioning, almost always involving the long bones, which describes the orientation of the joint at one end of the fractured bone relative to the orientation of the joint at the other end of the fractured bone. To appreciate rotation, both the joint above and the joint below a fracture must be included, preferably on the same radiograph. In this patient, the proximal tibia (solid black arrow) is oriented in the frontal projection while the distal tibia and ankle (solid white arrow) are rotated and oriented laterally.

How Fractures are Described: by the Relationship of the Fracture to the Atmosphere

image A closed fracture is the more common type of fracture in which there is no communication between the fracture fragments and the outside atmosphere.
image In an open or compound fracture, there is communication between the fracture and the outside atmosphere, i.e., a fracture fragment penetrates the skin (Fig. 22-10). Compound fractures have implications regarding the way in which they are treated in order to avoid the complication of osteomyelitis. Whether a fracture is open or not is best diagnosed clinically.
image

Figure 22-10 Open (compound) fracture, 5th metacarpal.

Most fractures are closed, meaning there is no communication between the fracture fragments and the outside atmosphere. Open or compound fractures (solid black arrows) have communication between the fracture and the outside (solid white arrow). Whether a fracture is open or not is best evaluated clinically. Treatment of a compound fracture must consider the higher incidence of infection that can occur in these injuries.

Avulsion Fractures

image Avulsion is a common mechanism of fracture production in which the fracture fragment (avulsed fragment) is pulled from its parent bone by contraction of a tendon or ligament.
image Although avulsion fractures can and do occur at any age, they are particularly common in younger individuals engaging in athletic endeavors—in fact, they derive many of their names from the type of athletic activity that produces them, e.g., dancer’s fracture, skier’s fracture, and sprinter’s fracture.
image They occur in anatomically predictable locations because tendons insert on bones in a known location (Table 22-5) and the avulsed fragment is typically small (Fig. 22-11).
image They sometimes heal with such exuberant callus formation that they can be mistaken for a bone tumor (Fig. 22-12).

TABLE 22-5 AVULSION FRACTURES AROUND THE PELVIS

Avulsed Fragment Muscle that Inserts on that Fragment
Anterior, superior iliac spine Sartorius muscle
Anterior, inferior iliac spine Rectus femoris muscle
Ischial tuberosity Hamstring muscles
Lesser trochanter of femur Iliopsoas muscle
image

Figure 22-11 Avulsion fractures, ASIS and lesser trochanter.

Avulsion fractures are common fractures in which the avulsed fragment is pulled from its parent bone by contraction of a tendon or ligament. Although avulsion fractures can occur at any age, they are particularly common in younger individuals who engage in athletic endeavors. There is an avulsion of the anterior superior iliac spine (ASIS) (solid white arrow), which is the site of the insertion of the sartorius muscle. There is also an avulsion of a portion of the lesser trochanter, on which the iliopsoas muscle inserts (dotted white arrow). The patient had participated in track and field events a week prior to this radiograph.

image

Figure 22-12 Healing avulsion fracture of ischial tuberosity.

Avulsion fractures of the pelvis occur in anatomically predictable locations (tendons insert on bones in known locations) and they are typically small fragments. Sometimes they heal with such exuberant callus formation that they can be mistaken for a bone tumor. This is a healing fracture (solid black arrows) of the ischial tuberosity originally caused by contraction of the hamstring muscles. There is a great deal of external callus present (solid white arrow).

Salter-Harris Fractures: Epiphyseal Plate Fractures in Children

image In growing bone, the hypertrophic zone in the growth plate (epiphyseal plate or physis) is most vulnerable to shearing injuries. Epiphyseal plate fractures are common and account for as many as 30% of childhood fractures. By definition, since these are all fractures through an open epiphyseal plate, they can only occur in children.
image The Salter-Harris classification of epiphyseal plate injuries is a commonly used method of describing such injuries that helps identify the type of treatment required and predicts the likelihood of complications based on the type of fracture (Fig. 22-13; Table 22-6).
image

Figure 22-13 The Salter-Harris classification of epiphyseal plate fractures helps in recognizing the likelihood of complications based on the type of fracture.

All of these fractures involve the epiphyseal plate (growth plate). Type I are fractures of the epiphyseal plate alone. Type II fractures, the most common of the epiphyseal plate fractures, involve the epiphyseal plate and metaphysis. These first two types have a favorable prognosis. Type III are fractures of the epiphyseal plate and the epiphysis and have a less favorable prognosis. Type IV is a fracture of the epiphyseal plate, epiphysis, and metaphysis. It has an even less favorable prognosis. Type V is a crush injury of the epiphyseal plate. It has the worst prognosis.

(Adapted from Robertson J, Shilkofski N, editors: The Johns Hopkins Hospital: The Harriet Lane Handbook, ed 17, Philadelphia, 2005, Mosby.)

TABLE 22-6 SALTER-HARRIS CLASSIFICATION OF EPIPHYSEAL PLATE FRACTURES

Type What’s Fractured Remarks
I Epiphyseal plate Seen in phalanges, distal radius, SCFE; good prognosis
II Epiphyseal plate and metaphysis Most common of all Salter-Harris fractures; frequently distal radius; displays corner sign; good prognosis
III Epiphyseal plate and epiphysis Intraarticular fracture; frequently distal tibia; prognosis is less favorable
IV Epiphyseal plate, epiphysis, and metaphysis Seen in distal humerus and distal tibia; poor prognosis
V Crush injury of epiphyseal plate Worst prognosis; difficult to diagnose until healing begins

imageTypes I and II heal well.

Type III fractures can develop arthritic changes or asymmetric growth plate fusion.
Types IV and V are more likely to develop early fusion of the growth plate with angular deformities and shortening of that bone.
image Type I: Fractures of the epiphyseal plate alone
Salter-Harris type I fractures are often difficult to detect without the opposite side for comparison. Fortunately, these fractures have a favorable prognosis.
Slipped capital femoral epiphysis (SCFE) is a manifestation of a Salter-Harris type I injury.
Slipped capital femoral epiphysis occurs most often in taller and heavier teenage boys and involves the inferior, medial, and posterior slippage of the proximal (capital) femoral epiphysis relative to the neck of the femur (Fig. 22-14).
It is bilateral in about 25% of cases and can result in avascular necrosis of the slipped femoral head because of interruption of the blood supply in up to 15% of cases.
image Type II: Fracture of the epiphyseal plate and fracture of the metaphysis
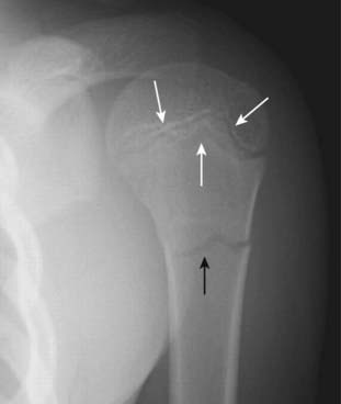
This is the most common type of Salter-Harris fracture (75%), seen especially in the distal radius. The small metaphyseal fracture fragment of a Salter-Harris type II fracture produces the so-called corner sign (Fig. 22-15).
image Type III: Fracture of the epiphyseal plate and the epiphysis
There is a longitudinal fracture through the epiphysis itself, which means the fracture invariably enters the joint space and fractures the articular cartilage.
This type of injury can have long-term implications for the development of secondary osteoarthritis (see Chapter 23, Arthritis) and can result in asymmetric and premature fusion of the growth plate with subsequent deformity of the bone (Fig. 22-16).
image Type IV: Fracture of the epiphyseal plate, metaphysis, and epiphysis
Type IV fractures have a poorer prognosis than other Salter-Harris fractures—i.e., premature and possibly asymmetric closure of the epiphyseal plate, especially in bones of the lower extremity that may lead to differences in leg length, angular deformities, and secondary osteoarthritis (Fig. 22-17).
image Type V: Crush fracture of epiphyseal plate
Type V Salter-Harris fractures are a rare, crush-type injury of the epiphyseal plate that are associated with vascular injury and almost always result in growth impairment through early focal fusion of the growth plate.
They are most common in the distal femur, proximal tibia, and distal tibia. They are difficult to diagnose on conventional radiographs until later in their course when complications ensue (Fig. 22-18).
image

Figure 22-14 Slipped capital femoral epiphysis.

Slipped capital femoral epiphysis (SCFE) is a manifestation of a Salter-Harris type I injury. It occurs more often in taller and heavier teenage boys and produces inferior, medial, and posterior slippage of the proximal femoral epiphysis (solid black arrow) relative to the neck of the femur. A line drawn parallel to the neck of the femur (solid white lines) should intersect a portion of the head. It does so on the normal left side, but does not on the right side because the epiphysis has slipped.

image

Figure 22-15 Salter-Harris II fracture.

In type II fractures, there is a fracture of the epiphyseal plate and a fracture of the metaphysis. This is the most common type of Salter-Harris fracture. The small metaphyseal fracture fragment (solid white arrow) produces the so-called corner sign.

image

Figure 22-16 Salter-Harris III fracture.

With type III fractures, a fracture of the epiphyseal plate as well as a longitudinal fracture through the epiphysis itself is seen (solid white arrow), which means the fracture invariably enters the joint space and fractures the articular cartilage. This can have long-term implications for the development of secondary osteoarthritis and can result in asymmetric and premature fusion of the growth plate with subsequent deformity of the bone.

image

Figure 22-17 Salter-Harris IV fracture.

In type IV fractures, a fracture of the epiphyseal plate, metaphysis (solid white arrow), and the epiphysis (solid black arrow) is present. These have a poorer prognosis than other Salter-Harris fractures because of increased likelihood of premature and possibly asymmetric closure of the epiphyseal plate. Salter-Harris IV fractures are most often seen in the distal humerus and distal tibia.

image

Figure 22-18 Salter-Harris V fracture.

Type V fractures are crush fractures of the epiphyseal plate. They are frequently not diagnosed until after they produce their growth impairment through early focal fusion of the growth plate leading to angular deformity. In this child, the medial portion of the distal radial epiphyseal plate has fused (solid black arrow) while the lateral portion remains open (dotted black arrow). This premature fusion of the medial growth plate has resulted in an angular deformity of the distal radius (black line).

Child Abuse

image Salter-Harris fractures are examples of accidental injuries in children. Certain kinds of fractures at other sites or of other types can be highly suggestive for nonaccidental injuries produced by abuse. Radiologic evaluations are key in diagnosing child abuse.

imageThere are several fracture sites and characteristics that should raise the suspicion for child abuse (Table 22-7).

TABLE 22-7 SKELETAL TRAUMA SUSPICIOUS FOR CHILD ABUSE

Site(s) Remarks
Distal femur, distal humerus, wrist, ankle Metaphyseal corner fractures
Multiple Fractures in different stages of healing
Femur, humerus, tibia Spiral fractures <1 year of age
Posterior ribs, avulsed spinous processes Unusual “naturally occurring” fractures <5 years of age
Multiple skull fractures Multiple fractures of occipital bone should suggest child abuse
Fractures with abundant callous formation Implies repeated trauma and no immobilization
Metacarpal and metatarsal fractures Unusual “naturally occurring” fractures <5 years of age
Sternal and scapular fractures
Vertebral body fractures and subluxations

Metaphyseal corner fractures. Small, avulsion-type fractures of the metaphyses due to rapid rotation of ligamentous insertions, corner fractures are considered diagnostic of physical abuse. They can parallel the metaphysis and have a bucket-handle appearance (Fig. 22-19A).
Rib fractures, especially multiple fractures and fractures of the posterior ribs (which rarely fracture even due to accidental trauma) (Fig. 22-19B).
Head injuries are the most common cause of death in child abuse under age 2 years. Findings include subdural and subarachnoid hemorrhage and cerebral contusions. Skull fractures tend to be comminuted, bilateral, and may cross suture lines.
image

Figure 22-19 Child abuse.

A, There are metaphyseal corner fractures (solid white arrows), small avulsion-type fractures of the distal radius, a finding characteristic of child abuse. B, There are several healing rib fractures (dotted white arrows), including one involving the left 6th posterior rib. Fractures of the posterior ribs are unusual, even in accidental trauma, and should raise suspicion for child abuse.

Stress Fractures

image Stress fractures occur as a result of numerous microfractures in which bone is subjected to repeated stretching and compressive forces.

imageAlthough conventional radiographs are usually the study first obtained, they may initially appear normal in as many as 85% of cases, so it is common for a patient to complain of pain yet have a normal-appearing radiograph at first.

image The fracture may not be diagnosable until after periosteal new bone formation occurs or, in the case of a healing stress fracture of cancellous bone, the appearance of a thin, dense zone of sclerosis across the medullary cavity (Fig. 22-20).
image Radionuclide bone scans will usually be positive much earlier than conventional radiographs: within 6 to 72 hours after the injury.
image Some common locations for stress fractures are the shafts of long bones such as the proximal femur or proximal tibia, as well as the calcaneous and the 2nd and 3rd metatarsals (march fractures).
image

Figure 22-20 Stress fracture, two frontal views taken three weeks apart.

A, Although conventional radiographs are the study of first choice, they may initially appear normal in as many as 85% of cases, so it is common for a patient to complain of pain yet have a normal-appearing radiograph, as occurs here one day after pain began. Radionuclide bone scan will usually be positive much earlier than conventional radiographs: within 6 to 72 hours after the injury. B, The fracture may not be diagnosable until after periosteal new bone formation forms (solid white arrow) or, in the case of a healing stress fracture of cancellous bone, the appearance of a thin, dense zone of sclerosis across the medullary cavity (solid black arrow). This radiograph was taken 3 weeks after the first.

Common Fracture Eponyms

image There are almost as many fracture eponyms as there are types of fractures. We will concentrate on five of the most commonly used eponyms.
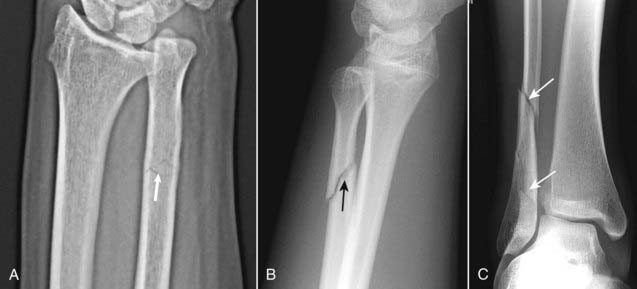
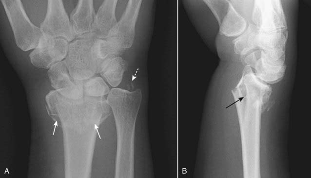
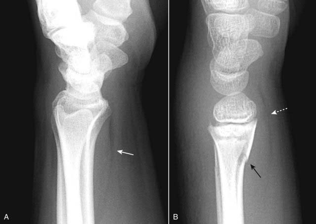
image Colles’ fracture is a fracture of the distal radius with dorsal angulation of the distal radial fracture fragment caused by a fall on the outstretched hand (sometimes abbreviated as FOOSH). There is frequently an associated fracture of the ulnar styloid (Fig. 22-21).
image Smith’s fracture is a fracture of the distal radius with palmar angulation of the distal radial fracture fragment (a reverse Colles fracture). It is caused by a fall on the back of the flexed hand (Fig. 22-22).
image Jones fracture is a transverse fracture of the 5th metatarsal about 1 to 2 cm from its base caused by plantar flexion of the foot and inversion of the ankle. A Jones fracture may take longer to heal than the more common avulsion fracture of the base of the 5th metatarsal (Fig. 22-23).
image Boxer’s fracture is a fracture of the head of the 5th metacarpal (little finger) with palmar angulation of the distal fracture fragment. It is most often the result of punching a person or wall (Fig. 22-24).
image March fracture is a type of stress fracture caused by repeated microfractures to the foot from trauma (such as marching), most often affecting the shafts of the 2nd and 3rd metatarsals (see Fig. 22-20).
image

Figure 22-21 Colles’ fracture, frontal (A) and lateral (B) views.

Colles’ fractures are fractures of the distal radius (solid white arrows) with dorsal angulation of the distal radial fracture fragments (solid black arrow) caused by a fall on the outstretched hand (sometimes abbreviated as FOOSH). There is frequently an associated fracture of the ulnar styloid (dotted white arrow).

image

Figure 22-22 Smith’s fracture.

A Smith fracture is a fracture of the distal radius (solid white arrow) with palmar angulation of the distal radial fracture fragment (solid black arrow), the reverse of a Colles fracture. It is caused by a fall on the back of the flexed hand.

image

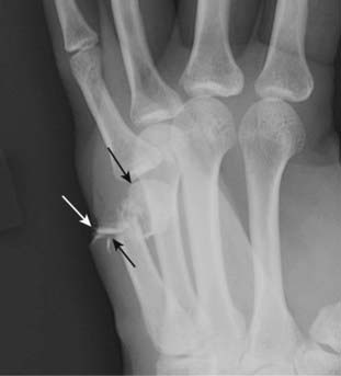
Figure 22-23 Jones fracture, base of 5th metatarsal.

A Jones fracture is a transverse fracture of the base 5th metatarsal (dotted white arrow). It occurs about 1 to 2 cm from the tuberosity of the 5th metatarsal (solid white arrow) and frequently takes longer to heal than an avulsion fracture of the tuberosity. It is caused by plantar flexion of the foot and inversion of the ankle.

image

Figure 22-24 Boxer’s fracture.

A boxer’s fracture is a fracture of the head of the 5th metacarpal with palmar angulation of the distal fracture fragment (solid black arrow). It is most often the result of punching a person (or a wall).

Some Easily Missed Fractures or Dislocations

image Look at these areas carefully when evaluating for a possible fracture; then look a second and third time.
image Scaphoid fractures (common)
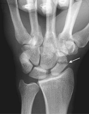
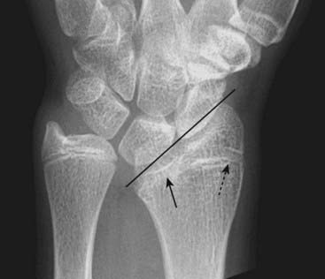
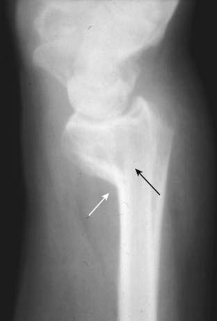
Scaphoid fractures are clinically suspected if there is tenderness in the anatomic snuff box after a fall on an outstretched hand. Look for hairline-thin radiolucencies on special angled views of the scaphoid (Fig. 22-25). Fractures across the waist of the scaphoid can lead to avascular necrosis of proximal pole of that bone.
Because of peculiarities of vascularization, a fracture through the midportion (waist) of the scaphoid (navicular) bone in the wrist interrupts blood supply to the proximal pole while the other bones of the wrist continue to undergo the process of bone turnover. The result is an apparent relative increase in the density of the devascularized part compared to the remainder of the bone (Fig. 22-26).
image Buckle fractures of radius and ulna in children (common)
Look for acute and sudden angulation of the cortex, especially near the wrist (see Fig. 22-1). These are impacted fractures and usually heal quickly with no deformity.
image Radial head fracture (common)
A fracture of the radial head is the most common fracture of the elbow in an adult. Look for a crescentic lucency of fat along the posterior aspect of the distal humerus produced by normally invisible intracapsular, extrasynovial fat that is lifted away from the bone by swelling of the joint capsule due to a traumatic hemarthrosis—the positive posterior fat-pad sign (Fig. 22-27).
image Supracondylar fracture of the distal humerus in children (common)
This is the most common fracture of the elbow in a child. Most of these fractures produce posterior displacement of the distal humerus.
On a true lateral film, the anterior humeral line (a line drawn tangential to the anterior humeral cortex) should bisect the middle third of the ossification center of capitellum. In a supracondylar fracture, this line passes anterior to its normal location (Fig. 22-28).
image Posterior dislocation of the shoulder (uncommon)
The humeral head is fixed in internal rotation and looks like a “lightbulb” in all views of the shoulder. Look at a view like the axillary or “Y” view to see if head still lies within the glenoid fossa. On the “Y” view (an oblique view of the shoulder), the head will lie lateral to the glenoid in a posterior dislocation (Fig. 22-29).
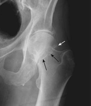
image Hip fractures in the elderly (common)
Hip fractures are frequently related to osteoporosis. Conventional radiographs of the femoral neck should be performed with the patient’s leg in internal rotation so as to display the neck in profile. Look for angulation of the cortex or zones of increased density indicating impaction (Fig. 22-30).
Sometimes, hip fractures may be very subtle and require an MRI or radionuclide bone scan for diagnosis.
image Look for indirect signs indicating the possibility of an underlying fracture (Table 22-8, Fig. 22-31).
image

Figure 22-25 Scaphoid fracture.

Scaphoid fractures are common. They are suspected clinically if there is tenderness in the anatomic snuff box after a fall on an outstretched hand. Look for linear fracture lines on special angled views of the scaphoid (solid white arrow). Fractures across the waist of the scaphoid can lead to avascular necrosis of proximal pole of that bone.

image

Figure 22-26 Avascular necrosis of the proximal pole of the scaphoid.

A close-up frontal view of the wrist demonstrates that the proximal pole of the scaphoid (solid black arrow) is denser than the distal pole (solid white arrow). There is a fracture through the waist of the scaphoid (dotted white arrow). Because of the peculiar blood supply of the scaphoid (from distal to proximal), fractures through the waist may interrupt the proximal blood supply while the other bones of the wrist, having normal blood supply, become demineralized. This makes the proximal pole of the scaphoid appear denser relative to the other bones of the wrist.

image

Figure 22-27 Fracture of radial head with joint effusion, frontal (A) and lateral (B) views.

Radial head fractures (dotted black arrows) are the most common fractures of the elbow in an adult. Look for fat appearing as a crescentic lucency along the dorsal aspect of the distal humerus (solid black arrow) caused by intracapsular, extrasynovial fat that is lifted away from the bone by swelling of the joint capsule due to a traumatic hemarthrosis—the positive posterior fat-pad sign. Virtually all studies of bones will include at least two views at 90° angles to each other called orthogonal views. Many protocols call for two additional oblique views which enable you to visualize more of the cortex in profile.

image

Figure 22-28 Supracondylar fracture.

A supracondylar fracture of the distal humerus is a common fracture in children, and its findings may be subtle. Most of these fractures produce posterior displacement of the capitellum of the distal humerus. On a true lateral film, the anterior humeral line (a line drawn tangential to the anterior humeral cortex and shown here in black) should bisect the middle portion of the capitellum (solid white arrow). When there is a supracondylar fracture, this line will pass more anteriorly, as it does here. There is a positive posterior fat pad sign present (solid black arrow).

image

Figure 22-29 Posterior dislocation of the shoulder.

Posterior dislocations of the shoulder are much less common than anterior dislocations but more difficult to diagnose. A, On the frontal view, look for the humeral head (H) to be persistently fixed in internal rotation and resemble a “lightbulb” no matter how the patient turns the forearm. There is also an increased distance between the head and the glenoid (solid black arrow). B, On the “Y” view, the head (H) will lie under the acromion (A), a posterior structure of the scapula. The coracoid process (C) is anterior. Normally, the head is centered between the coracoid and the acromion in the glenoid fossa (G).

image

Figure 22-30 Impacted subcapital hip fracture.

Hip fractures are relatively common fractures in the elderly and are frequently related to osteoporosis. Look for angulation of the cortex (solid white arrow) and zones of increased density (solid black arrows) indicating impaction. Conventional radiographs of the femoral neck should be obtained with the patient’s leg in internal rotation (as shown here) so as to display the neck in profile. Hip fractures can be very subtle and sometimes require additional imaging such as MRI or bone scan for their diagnosis.

TABLE 22-8 INDIRECT SIGNS OF POSSIBLE FRACTURE

Sign Remarks
Soft tissue swelling Frequently accompanies a fracture but does not necessarily mean that a fracture is present
Disappearance of normal fat stripes The pronator quadratus fat stripe on the volar aspect of the wrist, for example, may be displaced with a fracture of the distal radius (see Fig. 22-31).
Joint effusion The positive posterior fat pad sign seen on the dorsal aspect of the distal humerus from a traumatic joint effusion is an example (see Fig. 22-27B).
Periosteal reaction Sometimes the healing of a fracture will be the first manifestation that a fracture was present, especially with stress fractures of the foot.
image

Figure 22-31 Normal and abnormal pronator quadratus fat plane.

Soft tissue abnormalities can provide clues to the presence of subtle fractures or help confirm the significance of a questionable finding. Here is an example of a normal fascial plane (A) produced by the pronator quadratus (solid white arrow points to lucency) on the volar aspect of the wrist compared to the bulging fascial plane (dotted white arrow), which has occurred because of soft tissue swelling accompanying a fracture of the distal radius (solid black arrow) in (B).

Fracture Healing

image Fracture healing is determined by many factors including the age of the patient, the fracture site, the position of the fracture fragments, the degree of immobilization, and the blood supply to the fracture site (Table 22-9).
image Immediately following a fracture, there is hemorrhage into the fracture site.
image Over the next several weeks, osteoclasts act to remove the diseased bone. The fracture line may actually minimally widen at this time.
image Then, over the course of several more weeks, new bone (callus) begins to bridge the fracture gap (Fig. 22-32).
Internal endosteal healing is manifest by indistinctness of the fracture line leading to obliteration of the fracture line.
External, periosteal healing is manifest by external callus formation eventually leading to bridging of the fracture site.
image Remodeling of bone begins at about 8 to 12 weeks postfracture as mechanical forces, in part, begin to adjust the bone to its original shape.
In children, this occurs much more rapidly and usually leads to a bone that eventually appears normal. In adults, this process may take years and the healed fracture may never assume a completely normal shape.
image Complications of the healing process
Delayed union. The fracture does not heal in the expected time for a fracture at that particular site (e.g., 6 to 8 weeks for a fracture of the shaft of the radius). Most cases of delayed union will eventually progress to complete healing with further immobilization.
Malunion. Healing of the fracture fragments occurs in a mechanically or cosmetically unacceptable position.
Nonunion. This implies that fracture healing will never occur. It is characterized by smooth and sclerotic fracture margins with distraction of the fracture fragments (Fig. 22-33). A pseudarthrosis, complete with a synovial lining, may form at the fracture site.
Motion at the fracture site may be demonstrated under fluoroscopic manipulation or on stress views.

TABLE 22-9 FACTORS THAT AFFECT FRACTURE HEALING

Accelerate Fracture Healing Delay Fracture Healing
Youth Old age
Early immobilization Delayed immobilization
Adequate duration of immobilization Too short a duration of immobilization
Good blood supply Poor blood supply
Physical activity after adequate immobilization Steroids
Adequate mineralization Osteoporosis, osteomalacia
image

Figure 22-32 Healing humeral fracture.

Immediately following a fracture, there is hemorrhage into the fracture site. Over the next several weeks, new bone (callus) begins to bridge the fracture gap. Internal endosteal healing is manifest by indistinctness of the fracture line (solid black arrow) eventually leading to obliteration of the fracture line. External, periosteal healing is manifest by external callus formation (solid white arrows) leading to bridging of the fracture site.

image

Figure 22-33 Nonunion of clavicular fracture.

Nonunion is a radiologic diagnosis that implies fracture healing is not likely to occur because the processes leading to the repair of bone have ceased. It is characterized by smooth and sclerotic fracture margins with distraction of the fracture fragments (solid white arrows). A pseudarthrosis, complete with a synovial lining, may form at the fracture site.

imageWeblink

Registered users may obtain more information on Recognizing Fractures and Dislocations on StudentConsult.com.

image Take-Home Points

Recognizing Fractures and Dislocations

A fracture is described as a disruption in the continuity of all or part of the cortex of a bone.

Complete fractures involve the entire cortex, are more common, and typically occur in adults; incomplete fractures involve only a part of the cortex and typically occur in bones that are softer, such as those of children; torus and greenstick fractures are incomplete fractures.

Fracture lines tend to be blacker, more sharply angled, and more jagged than other lucencies in bones such as nutrient canals or epiphyseal plates.

Sesamoids, accessory ossicles, and unhealed fractures may mimic acute fractures but all will have smooth and corticated margins.

Dislocation is present when two bones that originally formed a joint are no longer in contact with each other; subluxation is present when two bones that originally formed a joint are in partial contact with each other.

Fractures are described in many ways including the number of fracture fragments, direction of the fracture line, relationship of the fragments to each other, and whether or not they communicate with the outside atmosphere.

Simple fractures have two fragments; comminuted fractures have more than two fragments; segmental and butterfly fractures describe two types of comminuted fracture.

The direction of fracture lines is described as transverse, diagonal, or spiral.

The relationships of the fragments of a fracture are described by four parameters: displacement, angulation, shortening, and rotation.

Closed fractures are those in which there is no communication between the fracture and the outside atmosphere; they are much more common than open or compound fractures in which there is communication with the outside atmosphere.

Avulsion fractures are produced by the forceful contraction of a tendon or ligament; they can occur at any age but are particularly common in younger, athletic individuals.

The Salter-Harris classification categorizes fractures through the epiphyseal plate that are graded by severity and prognosis, the more severe having an increased risk of resulting in angular deformities or shortening of the affected bone.

Child abuse should be suspected when there are multiple fractures in various stages of healing, metaphyseal corner fractures, rib fractures, and skull fractures, especially if multiple.

Stress fractures, such as march fractures in the metatarsals, occur as a result of numerous microfractures and frequently are not visible on conventional radiographs taken when the pain first begins; after some time, bony callus formation or a dense zone of sclerosis becomes visible.

Some common named fractures are Colles’ fracture (of the radius), Smith’s fracture (of the radius), Jones fracture (of the base of the 5th metatarsal), boxer’s fracture (of the head of the 5th metacarpal), and march fracture (in the foot).

Some fractures are more difficult to detect than others; the easily missed fractures (and how common they are) include scaphoid fractures (common), buckle fractures of the radius and ulna (common), radial head fractures (common), supracondylar fractures (common), posterior dislocations of the shoulder (uncommon), and hip fractures (common).

Soft tissue swelling, the disappearance of normal fat stripes and fascial planes, joint effusions, and periosteal reaction are indirect signs that should alert you to the possibility of an underlying fracture.

Fractures heal with a combination of endosteal callus, recognized by a progressive indistinctness of the fracture line, and external callus that bridges the fracture site; many factors affect fracture healing, including the age of the patient, the degree of mobility of the fracture, and its blood supply.

Delayed union refers to a fracture that is taking longer to heal than is usually required for that site; malunion means the fracture is healing but in a mechanically or cosmetically unacceptable way; nonunion is a radiologic diagnosis that implies there is little if any likelihood the fracture will heal.