Page 67

6 Surgical endodontics

I.R. Matthew

Surgical endodontics is a term for surgical procedures undertaken on the roots of teeth and the periapical tissues.
The aim of surgical endodontics is to prevent noxious substances from within the root canal of a tooth causing inflammation in the periodontal ligament and beyond.
The objective of surgical endodontics is to achieve a satisfactory seal of the root canal and thus prevent noxious substances entering into the adjacent tissues.
Surgical endodontics is indicated when conventional endodontics has failed or is impracticable.
Surgical endodontics may also be indicated to manage other conditions, including lateral root perforation, root resorption, a fracture of the apical third of a root, curettage and biopsy of periapical pathosis.

ASSUMED KNOWLEDGE

It is assumed at this stage that you will have knowledge/competencies in the following areas:

dental anatomy
diagnosis and treatment of disease of the pulpal, radicular and periapical tissues
conventional endodontics.

If you think that you are not well equipped in these areas, revise them before reading this chapter or cross-check with texts on those subjects as you read.

INTENDED LEARNING OUTCOMES

At the end of this chapter you should be able to:

1. Describe the principles of surgical endodontics
2. Select suitable cases for surgical endodontics
3. Recognize those cases for whom referral to a specialist in oral surgery is indicated
4. Explain a surgical endodontic procedure to a patient (informed consent)
5. Diagnose and manage complications of surgical endodontics
6. Evaluate the outcome of surgical endodontics.

INTRODUCTION

Success rates for contemporary endodontic therapy are in excess of 90%, depending on the skill of the clinician and the teeth involved. Surgical endodontic procedures are usually undertaken when conventional (orthograde) endodontics has failed. However, the chances of successful retreatment of a tooth with a failed root filling are higher when non-surgical endodontics is repeated (wherever possible) rather than by undertaking a surgical approach. Surgical endodontics may therefore not be the first option when conventional root canal treatment fails.

Page 68

Non-surgical endodontics attempts to eliminate the bacteria by cleaning and shaping the root canal to remove infected dentine, disinfecting the canal and sealing with a root filling. If non-surgical endodontics fails, it is usually because of the persistence of noxious substances (toxins and other by-products of bacteria) within the root canal system. If a root canal therapy fails and the tooth cannot be retreated, surgical endodontics may be indicated to eliminate the noxious substances from the root canal system. Where surgical endodontics is indicated, it is desirable that a root filling has been inserted first to improve the chances of success.

Surgical endodontics may be indicated in the management of a lateral root perforation or a horizontal fracture of the apical third of the root, root resorption or persistent periapical pathosis (e.g. inflammatory cyst or granuloma, or a periapical neoplasm).

Surgical endodontics is usually undertaken under local analgesia, with or without sedation. A patient with a pre-existing extensive inflammatory cyst might be more appropriately managed under general anaesthesia. Prerequisites for surgical endodontics are an experienced dental surgeon and trained assistant, a compliant patient who is medically fit and a range of suitable surgical instruments and root-end filling materials.

AIMS AND OBJECTIVES OF SURGICAL ENDODONTICS

The aim of surgical endodontics is to restore the integrity of the supporting tissues of a tooth or teeth with chronic pulpal or periapical disease, where non-surgical endodontics has failed and retreatment cannot be undertaken or is contraindicated.

The principal objective of surgical endodontics is to enhance the lifespan of the tooth by removing causes of chronic periapical or periradicular inflammation. This is achieved by creating an effective seal of the root surface and thereby eradicating noxious substances present within the root canal of a tooth.

PRINCIPLES OF SURGICAL ENDODONTICS

Apicectomy

Apicectomy is the surgical removal of the apical portion of a tooth. To achieve this, access to the root apex is gained via a mucoperiosteal flap and then bone is removed around the root apex. The aim of apicectomy is to eradicate persistent infection in the periapical tissues.

The objectives of apicectomy are to:

eliminate the ‘apical delta’ of minor root canals that cannot be effectively sealed by conventional endodontics (Fig. 6.1)
excise a root apex that cannot be sealed successfully due to anatomical anomalies such as marked root curvature.
image

Fig. 6.1 The apical delta of root canals is a potential area for leakage despite conventional endodontics. Apicectomy aims to minimize leakage at this site.

Page 69

Root-end (retrograde) filling

A root-end filling is a restoration placed into the cut surface of the root after apicectomy of the root apex to occlude the root canal apically. The root-end filling requires a small cavity to be prepared in the root surface with a bur or ultrasonic instrument, and a suitable restorative material is placed in the cavity. The objective of placing a root-end filling is to achieve a satisfactory seal of the root surface.

Apicectomy may be undertaken alone but it is preferable wherever possible to place a root-end filling after apicectomy to improve the chances of gaining a satisfactory apical seal. These techniques may be performed in conjunction with the placement of an orthograde root filling at the time of surgery. This may be necessary if it has not been possible to disinfect the root canal during conventional endodontics and the patient has persistent periapical inflammation (the patient usually complains of pain and swelling that resolves only if the root filling is removed and the tooth is left on open drainage).

INDICATIONS FOR SURGICAL ENDODONTICS

Failed conventional endodontics

Typical reasons for failed endodontics include inadequately filled canals, coronal leakage, root fracture, missed canals, restoration failures, fractured instruments and post-perforations.

The signs and symptoms of chronic pulpal or periapical disease may persist after conventional endodontic treatment. The cause of endodontic failure is sometimes evident on radiographic examination. If it is feasible to retreat a tooth with a failed root filling via an orthograde (coronal) approach, then this should be attempted first. If retreatment by non-surgical endodontics is impracticable or is unlikely to have a successful outcome, then surgical endodontics may be indicated.

Conventional endodontics is impracticable

Reasons for this may be many.

Anatomical

A calcified root canal
An impassable pulp stone
Marked curvature of a root canal
Incomplete apical development.

Pathological

Inability to disinfect the root canal
Inability to control persistent inflammatory changes in the periodontal tissues
Root resorption
Persistent pathological changes at the apex of a tooth (e.g. a dental cyst that does not resolve after conventional endodontics).

Operator-induced (iatrogenic)

Surgically accessible perforation of the root
Irretrievable root-filling materials. For example, noxious materials used in non-surgical endodontics (e.g. endomethasone paste) may be expressed into the apical tissues, or gutta percha extruded through the apex may cause compression of the inferior alveolar neurovascular bundle.
Fractured reamer or file that cannot be retrieved by non-surgical endodontics.

Traumatic

Horizontal fracture of the apical third of a root, with pulp necrosis.

CONTRAINDICATIONS FOR SURGICAL ENDODONTICS

Rarely, local anatomical or pathological conditions are a contraindication for surgical endodontics—for example, proximity of the periapical tissues to the maxillary antrum or mental foramen may necessitate removal of the tooth. Psychological conditions might compromise the success of surgical endodontics (e.g. a pronounced gag reflex). Some medical conditions may contraindicate any outpatient oral surgery procedure in general dental practice. Examples include haemorrhagic disorders, previous radiotherapy to the face and jaws, unstable angina, a compromised immunological state (e.g. due to steroids for rheumatoid arthritis, or disease of the immune system). An emerging concern is the patient taking bisphosphonates, in whom there is a risk of osteonecrosis. However, the relative risk of osteonecrosis is uncertain at present. Other medical conditions may be relative contraindications to surgical endodontics—e.g. myocardial or valvular disease. Each case should be judged on its merits. If there is any doubt about the suitability of a patient for surgical treatment, then the patient should be referred to a specialist.

Page 70

Factors influencing the decision to undertake surgical endodontics

Inappropriateness of repeating conventional (non-surgical) endodontics
Systemic disease (e.g. cardiovascular, metabolic, endocrine or haematological disease)
Local anatomy (e.g. the maxillary antrum, mental or inferior alveolar neurovascular bundle, or adjacent teeth)
General state of the dentition (e.g. coexisting active caries or periodontal disease)
Periodontal and periapical disease of the affected tooth
Associated apical dental disease (e.g. pathological resorption of adjacent teeth)
Surgical access
Poor patient compliance
The consequences of delaying treatment
The potentially adverse influence of coexisting periodontal disease such as horizontal or vertical bone loss on the prognosis of surgical endodontics (Fig. 6.3)
image

Fig. 6.3 A flap has been raised here, exposing a lack of labial bone, which reduces the chances of success for surgical endodontics.

Local contraindications

Access to the periapical tissues may be limited, in which case extraction of the tooth may be indicated.
Anatomical structures may compromise flap design, e.g. a short sulcus depth (Fig. 6.2), or prominent fraenal and muscle attachments.
Anatomical structures in close proximity which might be compromised during surgery (e.g. the inferior alveolar or mental neurovascular bundles, or the maxillary antrum).
image

Fig. 6.2 A shallow sulcus like this, especially if teeth are proclined, makes access for surgical endodontics very difficult.

TREATMENT PLANNING FOR SURGICAL ENDODONTICS

Careful preoperative planning is the key to success.

History

The patient may complain of pain, swelling, halitosis or an unpleasant taste (which may be indicative of discharge of pus) and tenderness or mobility of the affected tooth during mastication.

Clinical examination

In the presence of an acute apical abscess, there may be erythema or swelling of the soft tissues at the apex of the affected tooth. The periapical soft tissues may be tender to palpate, and the tooth is likely to be tender to percussion. A sinus may be present on the buccal aspect of the affected tooth, although this is not always the case. Occasionally pus from a maxillary incisor may discharge through a pathological sinus into the floor of the nose. Pus from a maxillary premolar or molar may discharge into the maxillary antrum, or rarely, on to the face (see Ch. 7).

A periodontal examination should be undertaken. Healing of the periapical tissues may be compromised if there is coexisting periodontal disease, which may manifest as either horizontal or vertical bone loss around the tooth.

Page 71

Radiographic examination

Radiographs demonstrate both anatomical and pathological features at the apex of the tooth (Fig. 6.4). A radiograph may demonstrate an incompletely sealed root canal, or bone loss around the apex of the tooth involved. If there is chronic apical disease, a lesion with the physical characteristics of a cyst may be identified at the apex of the tooth. Rarely, the cause of a failed root filling cannot be established through clinical or radiographic examination but it may become apparent when surgical endodontics is undertaken. For example, a root fracture not detectable clinically or radiographically may be identified on surgical exploration.

image

Fig. 6.4 Preoperative radiograph of upper left central and lateral incisors before surgical endodontics.

The operator should also consider the position of the apex of the tooth in a mesiodistal direction. If the apex of the tooth to be treated is inclined towards an adjacent tooth root, there is a risk of damaging the adjacent root structure.

Case selection

For optimal results in general practice, surgical endodontics should be confined to the maxillary anterior sextant. Teeth more posteriorly placed pose clinical problems that diminish the chances of success, such as narrow or curved roots in mandibular incisors, or restricted access to the palatal root of maxillary premolars and molars. It may be difficult to seal a lateral root perforation because of restricted access. As experience is gained through graduate training, it becomes possible to undertake more demanding surgery.

Referral of patients for surgical endodontics

Patients are referred for specialist care if the primary care clinician has inadequate experience to undertake the surgery, if there is any doubt about the patient’s medical history or if there are anatomical or pathological features that may complicate surgery. For example, there may be marked root curvature, or the apex of the root may be close to an anatomical structure such as the mental neurovascular bundle.

Extensive bone removal may at times be required to gain access to a retruded root apex, for example a proclined mandibular incisor. Errors in identifying the correct root apex might result in surgery being undertaken in an adjacent tooth root. Identification of the apex of the root can be difficult if a periapical bone defect is small.

Pathological conditions, such as a large (more than 1 cm in diameter) radiolucent lesion (e.g. cyst or granuloma) involving the apices of several teeth, may be difficult to treat under local analgesia; pain control may be inadequate due to the extent of the lesion. General anaesthesia is then considered.

Advice to the patient before surgery

Reported success rates for surgical endodontics vary between 0 and 90%, depending on the criteria for success and the presence of a conventional root filling. Incomplete sealing of root canals may contribute to failure, but the prognosis for successful retreatment is good if an unsealed root canal is identified. However, the success of surgical endodontics without a root filling present is less predictable.

The prognosis should be discussed with the patient preoperatively. However, no guarantee of a successful outcome should be given, because circumstances may change due to factors identified at the time of surgery, such as a root fracture.

Page 72

Complications

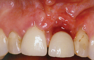
Patients should be informed of pain, swelling and bruising of the face arising after surgery. Damage to adjacent teeth may occur through carelessness or difficulty in locating the apex of the tooth to be treated. This latter complication should be anticipated preoperatively. Contraction of the mucoperiosteal flap may occur through scarring as it heals, leading to unsightly recession around the gingival margin (Fig. 6.5). A judicious approach to flap design, reflection, retraction and careful suturing of the flap after surgery should avoid this problem.

image

Fig. 6.5 Loss of tissue at the gingival margin of the upper left central incisor following surgical endodontics.

Trauma to the infraorbital, inferior alveolar or mental neurovascular bundles during surgery may result in temporary or permanent nerve damage. This may manifest as paraesthesia (a ‘pins and needles’ sensation), anaesthesia (absence of sensation) of the soft tissues served by the neurovascular bundle or hyperaesthesia (pathological increase in sensitivity of the skin). The problem is most likely to occur with the mandibular premolar or molar teeth. Damage to a neurovascular bundle can have profound medicolegal consequences; loss of sensation may markedly affect quality of life. The risk of trauma to the nerve may therefore outweigh the benefits of surgical endodontics, and the patient should be aware of this.

If the maxillary antrum is breached (this may occur when operating on a maxillary second premolar or first molar) and the antral lining is inadequately anaesthetized, there may be discomfort when coolant spray enters the antrum during removal of bone. Additional local anaesthetic solution applied to the infraorbital, middle and posterior superior alveolar nerves should relieve the pain.

Root-filling material may enter into the maxillary antrum. This can precipitate a chronic infection (sinusitis) or create a chronic oroantral fistula.

A patient’s signed, written consent should be obtained for all surgical endodontic procedures (with written evidence of an outline of potential complications discussed).

Perioperative medication

The drugs prescribed will vary according to the individual preferences and specific needs of the patient, some of whom may have coexisting medical disease. Anxiolytics (e.g. benzodiazepines) may be prescribed to reduce patient anxiety. An antimicrobial mouth rinse, e.g. aqueous chlorhexidine gluconate 0.2%, is recommended for routine use before surgery.

Instrumentation

A tray of sterile surgical instruments is required (see Appendix A). Loupes or an operating microscope will magnify the surgical field during surgery, and has been shown to increase the chances of success of surgical endodontics. Adequate lighting is essential; a fibreoptic light source attached to a headband or loupes is ideal. A miniature contra-angled handpiece with a small (size 1 or 2) rose head bur is used to cut a retrograde (retrograde means directed backwards) cavity in the apical portion of the tooth. A straight surgical handpiece is unsuitable if access is restricted. A standard air-rotor should never be used to cut bone and dentine, because there is a risk of surgical emphysema, tissue space infection and even death. An air-driven, backward-venting surgical turbine is acceptable. Ultrasonic dentine-cutting devices that have a fine tip to abrade the dentine and form a retrograde cavity exist.

Page 73

SURGICAL PROCEDURE

Local anaesthesia

Conventional techniques (infiltration and regional block analgesia with aspiration) are applicable. There are a few points of particular relevance to surgical endodontics. Topical anaesthetic gel is recommended, especially in the anterior maxilla where the injection may otherwise be painful. A local anaesthetic solution with vasoconstrictor (e.g. 1:80 000 epinephrine) provides a relatively bloodless field during surgery. The vasoconstrictor acts most efficiently by infiltration at the site of surgery, but sufficient time to achieve vasoconstriction (at least 5 minutes) should elapse before surgery commences.

Satisfactory analgesia is required of both the buccal and palatal (or lingual) soft and hard tissues. The tissues should also be anaesthetized lateral to the surgical field, where the relieving incisions are to be made. Pain cannot sometimes be controlled where granulation tissue is present around the apex of the tooth: a swab soaked in local anaesthetic solution with vasoconstrictor is then applied directly onto the granulation tissue before curettage.

Factors to consider in flap design

Depth of the buccal sulcus may comprise access to the periapical tissues if it is shallow.
Position and size of the labial fraenum and muscle attachments will influence the position of relieving incisions.
Location of important structures (e.g. the mental nerve bundle) should be considered in order to avoid iatrogenic damage.
Size of any periapical lesion present may require a broader-based flap.
Number of teeth to be treated should be taken into consideration.

The viability of a mucoperiosteal flap depends on the blood supply from the base of the flap in the buccal sulcus. The flap is designed with a broad base to ensure an adequate blood supply. Relieving incisions are made deep enough into the sulcus to provide access to the periapical tissues (Fig. 6.6), and the incisions cut through oral mucosa and periosteum down to bone. The margins of the flap will rest on sound bone after surgery is completed; otherwise an unsightly dehiscence might develop (i.e. breakdown of the soft tissue, exposing underlying bone or root).

image

Fig. 6.6 A three-sided flap raised for apicectomy of lower incisors. The flap is reflected well beyond the apices to gain sufficient access.

Flap design

There are three principal flap designs for surgical endodontics (Fig. 6.7):

‘two-sided’
‘three-sided’ (trapezoidal)
semilunar.
image

Fig. 6.7 (a) A two-sided flap, with a broad base and a gingival margin incision that can be extended around the gingival margin. (b) A three-sided flap, with divergent relieving incisions. (c) The Luebke-Ochsenbein flap, which aims to combine the benefit of avoiding the gingival margin, with the access provided by a three-sided flap. (d) The semilunar flap.

See also Chapter 4, pages 37–38.

‘Two-sided’ flap

A relieving incision is made in the oral mucosa of the buccal sulcus, and the incision is extended around the gingival margin of the tooth to be treated (Fig. 6.7a). Preservation of the gingival attachment is preferred wherever possible. An advantage of this type of incision is the ease of repositioning of the flap after surgery. In most circumstances access to the apical tissues is satisfactory. If access is not sufficient, the gingival margin incision can be extended distally as far as is required, but failing that, a second relieving incision may be used; the flap is now a three-sided design.

‘Three-sided’ (trapezoidal) flap

The three-sided flap (Figs 6.6, 6.7b) provides excellent access for most surgical endodontic procedures. There should be no undue tension on the flap while it is being retracted.

Page 74

A relieving incision should be avoided over thin oral mucosa where the surface of a root is prominent (such as the canine eminence), because the reduced blood supply may result in delayed healing or wound dehiscence. A disadvantage of a three-sided flap is the risk of postoperative recession at the gingival margin. This is distressing for some patients, and may require a new crown or veneer to improve aesthetics. The flap can be more difficult than the two-sided design to reposition accurately.

A modification of the three-sided flap leaves a 3- to 4-mm rim of gingival tissue in situ. This design (the so-called Luebke-Ochsenbein flap design) usually provides satisfactory access to the apical tissues (Fig. 6.7c). Although this flap is prone to wound dehiscence, it usually gives a good aesthetic result.

Semilunar flap

The semilunar design avoids the gingival margin, and there is less risk of recession of the gingival tissues after surgery (Fig. 6.7d). However, there are three main disadvantages of the semilunar flap design:

surgical access to the apical tissues may be restricted
it is often difficult to ensure the incision line ends up resting on bone
the flap sometimes results in wound dehiscence.

Flap reflection

The periosteum should be raised with care because tears can result in more postoperative pain and swelling. Flap reflection may be difficult if a sinus is present, or if fibrous scar tissue is present after previous surgery. The sinus or scar tissue is dissected from the flap with a scalpel or blunt-tipped dissecting scissors, and the resultant defect is sutured at the end of the procedure. A conventional flap retractor (e.g. the Bowdler-Henry rake retractor) is satisfactory, but specific apicectomy retractors exist.

Bone removal

If there has been loss of buccal bone through pathological resorption, it is relatively simple to determine the site of bone removal. Otherwise, it may be possible to identify the apex of the tooth if a sharp probe is pushed through the buccal cortical plate to identify the pathological cavity around the tooth apex. A medium size (5 or 6) round bur is then used to create a window in the buccal bone and expose the apical tissues, including any granuloma (Fig. 6.8).

image

Fig. 6.8 Bone removal with a round bur, to expose the granuloma, after reflection of the flap.

If there has been no pathological resorption of buccal bone, the position of the tooth apex is determined using the average crown–root length for the tooth to be treated. Alternatively, the preoperative radiograph is used to work out the approximate crown–root length, taking into consideration the magnification factor of the X-ray apparatus used.

Page 75

It can be difficult to identify the apex during bone removal, especially if there is persistent oozing of blood from adjacent bone. Haemostatic material (e.g. oxidized regenerated cellulose) or a gauze swab soaked in local anaesthetic solution, packed gently into the bony cavity, may help to control bleeding if left in place for 30–60 seconds. The apex of the root may then be identified more easily. Once haemorrhage is under control, blood will ooze gently from the cut surface of the bone but not from the surface of the root, thus aiding its identification.

Factors to consider when removing buccal bone

Curvature of the root apex
Mesial or distal inclination of the root
Foreshortening of the apex due to natural anatomical variation or following root resorption
The position of a root fracture in relation to the tooth apex

Curettage of the apical tissues

Curettage is undertaken to remove foreign bodies such as excess root-filling material within the tissues. Any periapical soft tissue is removed with a curved excavator or a Mitchell’s trimmer, and is sent for histopathological examination to confirm that it is granulation tissue (Fig. 6.9).

image

Fig. 6.9 A Mitchell’s trimmer or similar curette is used to separate the granuloma from bone.

Apicectomy

The apical portion (3 mm or more) of root is excised to obliterate the apical lateral root canals (Fig. 6.10). The length of the root, the amount of bone support and the extent of root filling are considered when planning the position of the apicectomy. A flat fissure bur (size 4 or 5) in a straight handpiece is suitable for the apicectomy cut.

image

Fig. 6.10 The apex is cut off at a bevel of about 45°, leaving a wide-open cavity in the bone for access.

Page 76

A bevel is made so that the entire root surface can be seen (Fig. 6.11). The angle of the bevel depends upon the tooth to be apicected. For example, an upper lateral incisor tends to be more retroclined than an upper central incisor, so a more oblique angle of bevel is required for a lateral incisor. The angle of the bur cut relative to the long axis of the tooth is generally 45° for maxillary teeth and greater than 45° for mandibular teeth.

image

Fig. 6.11 The apex has been resected and the back of the bone cavity has been packed with bone wax (this must be removed after placement of the root-end filling).

The surface of the apicected root is examined to exclude a root fracture before the retrograde cavity is cut. Methylene blue dye aids identification of a root fracture. The dye will stain the fractured surface of the root clearly.

Root-filling material present in the canal will be visible once the apicectomy cut has been made. It can be difficult to confirm that the root filling has adequately sealed the remaining portion of the root. Even with loupes it is not possible to identify microscopic leakage. It is therefore prudent to place a root-end filling after apicectomy.

Retrograde cavity preparation

A retrograde cavity approximately 2–3 mm deep is prepared in the cut surface of the apex of the root (Fig. 6.12) to accommodate the root-end filling. A miniature rose head bur or ultrasonic cutting tip is used to cut retentive axial cavity walls to contain the root-end filling.

image

Fig. 6.12 The retrograde cavity is cut to include the margin of the canal at the apex, but avoiding the margin of the root itself.

Page 77

Temporary obturation of the bone cavity

The exposed bone cavity is temporarily obturated in order to avoid spillage of retrograde root-filling material and to reduce moisture contamination from bleeding (Fig. 6.12). It is especially important to obturate the bone cavity when the lining of the maxillary antrum has been breached, to prevent ingress of foreign material into the antrum. Ribbon gauze (¼ in.) is packed into the bone cavity, leaving the retrograde cavity preparation exposed. However, ribbon gauze is easily displaced; bone wax is as an acceptable alternative. All traces of bone wax should be removed before wound closure because it can delay healing and cause infection and chronic pain due to a foreign body giant cell reaction. Cotton wool is unsuitable to obturate the bone cavity; cotton fibres may remain in the wound and incite a chronic inflammatory (foreign body) reaction.

Root-end filling

A root-end filling is inserted into the retrograde cavity preparation to seal the root surface (Figs 6.13, 6.14). Many dental materials have been used, including dental amalgam, gutta percha, gold foil, polycarboxylate cement, Intermediate Restorative Material (IRM®), Super EBA® (ethoxybenzoic acid) cement, composite resin, glass ionomer cement, Cavit®, Restodent® and other zinc oxide/eugenol mixtures. Though expensive, mineral trioxide aggregate has shown great promise as an ‘ideal’ root-end filling material.

image

Fig. 6.13 The root-end filling has been placed; all debris and the packing have been removed.

image

Fig. 6.14 Placement of a retrograde filling using IRM.

Debridement

After the root-end filling is inserted, the tissues are irrigated with sterile saline. An excavator can be used to remove debris, but a Briault probe is preferred to remove fine particles of filling material because it minimizes inadvertent packing of these into bone surface. Debris can also be displaced with a fine jet of sterile saline.

Some clinicians take a radiograph at this stage. This provides an opportunity to correct an inadequate apical seal before wound closure. Residual other radio-opaque debris within the apical tissues will also appear on the radiograph and can be removed before wound closure.

Wound closure

The interdental papillae are first repositioned to their correct anatomical location. Simple interrupted sutures may be placed to secure the edges of the mucoperiosteal flap. Any dehiscence caused by excision of a sinus or fistula tract can also be sutured. Resorbable sutures are suitable.

Once the mucoperiosteal flap has been repositioned and sutured back into place, gentle pressure is applied to the flap for a few minutes with a moist gauze swab to obtain haemostasis. If a postoperative radiograph was not taken before wound closure, this is usually done now.

Page 78

Summary of surgical procedure

Control of pain and anxiety
Mucoperiosteal flap (two-sided, three-sided, semilunar or a variant)
Bone removal with burs
Curettage of any apical soft tissue
Apicectomy (at least 3 mm to remove the apical delta) and bevelling at 45° or greater
Retrograde cavity preparation
Control of bleeding and of spillage of filling material
Root-end filling with a suitable dental material
Removal of all debris
Wound closure

POSTOPERATIVE CARE

Postoperative instructions are given after surgery is completed. If the apicected tooth is to be crowned, it is preferable to wait at least 6 months after surgical endodontics to ensure a satisfactory outcome. A patient who wishes to have a crown made sooner should be advised of the guarded prognosis and possible failure of the surgical endodontic procedure.

Postoperative infection

Antibiotics given to prevent postoperative wound infection after surgical endodontics is controversial. If antibiotics are to be prescribed, it is suggested that they should be given preoperatively to provide adequate tissue concentrations at the time of surgery. If infection occurs postoperatively, an appropriate antibiotic is prescribed, the dosage and route being selected according to the severity of the infection.

ASSESSING THE OUTCOME OF SURGICAL ENDODONTICS

Follow-up

The success of surgical endodontics is determined from the patient’s history and subsequent clinical and radiographic examinations. The patient returns for review 7–10 days after surgery, after 4 weeks (when all swelling and tenderness due to the surgery should have subsided) and after 6 months (which allows a reasonable period for signs of recurrent infection to appear).

Criteria for success after surgical endodontics

There will be complete resolution of symptoms if surgery is successful. Pain will subside, and there will be no further swelling or discharge of pus. Periodontal pocket depths should be within acceptable limits, according to the patient’s general periodontal status. The soft tissues will have healed well without unsightly wound breakdown or gingival recession. The tooth will be in satisfactory function, without evidence of mobility. Any sinus or fistula will have resolved completely.

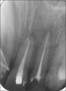
Ideally, there should be complete regeneration of periapical bone and an intact lamina dura after surgical endodontics (Fig. 6.15). However, a persistent apical radiolucency after surgery does not necessarily indicate an unsuccessful outcome. The capacity for bone regeneration diminishes with age, and sometimes surgical endodontics is successful even though a bone defect persists at the apex of the affected tooth. This is the main reason why the criteria for success should not be based solely on radiographic appearance.

image

Fig. 6.15 Radiographs taken at 1 week and 6 months after apicectomy and retrograde root filling of the upper left central and lateral incisors. The bone has not returned completely to normal density at 6 months, but a lamina dura has reformed around the apices.

Summary of criteria for success after surgical endodontics

Uncomplicated healing of the surgical site
Absence of persistent pain or discomfort
Absence of soft tissue or bony infection (no sinus or discharge of pus)
Satisfactory function of the apicected tooth
Absence of tooth mobility
Radiographic evidence of complete bone repair

Repeat radiographs

If the patient has no symptoms, it is reasonable to repeat radiographs no more than annually for 2–3 years.

Page 79

COMPLICATIONS AND DIFFICULTIES OF SURGICAL ENDODONTICS

Discharge of pus

Pus will exude from a sinus associated with the tooth that has been apicected, sometimes preceded by an acute abscess at the site of the apicectomy. Radiographic examination of the tissues is undertaken to identify the cause of the recurrent infection, with a gutta percha point passed through the sinus to identify its origin.

Recurrent apical infection may arise through failure to curette adequately the apical tissues before wound closure, or failure to remove the apex of the tooth after apicectomy. It may also be due to an inadequately sealed root canal. In some cases the cause is not clear. If pus continues to discharge, the prognosis is poor. A repeat apicectomy might be indicated to explore and debride the apical tissues.

Perforation of the lining of the maxillary antrum

This may occur during surgical endodontics on the root of a maxillary canine, premolar or molar that is related closely to the maxillary antrum. The patient may experience pain if coolant spray from the handpiece contacts an inadequately anaesthetized maxillary antral lining. This is usually resolved by additional local anaesthetic nerve blocks.

If the lining of the maxillary antrum is breached during surgery, the apicected root tip or retrograde filling material might be displaced into the antrum. The perforation must be temporarily occluded during surgery to avoid this.

Haemorrhage

Haemorrhage may occur at any time during the surgery, e.g. during flap incision, bone removal or during excision of granulation tissue or a cyst in the apical tissues. Haemorrhage is less likely to be problematic if local anaesthetic solution with vasoconstrictor is administered (ideally epinephrine unless contraindicated). Haemorrhage during surgery is occasionally troublesome enough to delay the procedure, requiring the use of local measures as outlined in Chapter 4.

Pain during curettage of granulation tissue

The options are to:

inject local anaesthetic solution directly into the soft-tissue mass (this is not ideal, because most of the solution is spilled)
pack the cavity with ribbon gauze soaked in local anaesthetic solution for 1–2 minutes.
Page 80

Surgical emphysema

Surgical emphysema is a rare complication of surgical endodontics; it is characterized by a marked and sudden swelling of the soft tissues. Crepitus may be elicited on palpation. Surgical emphysema occurs through entrapment of air within the soft tissues, and may be caused:

by the use of a forward-vented air-driven handpiece (such as an air rotor for restorative procedures) instead of a slow-speed electric motor. A conventional high-speed handpiece should never be used during oral surgery
if an oroantral communication has been created. Air may enter the tissues via the maxillary antrum if the patient blows his/her nose or sneezes.

Surgical emphysema may be distressing for the patient, and reassurance is required. There is a risk of infection spreading through the tissue planes, and antibiotics are prescribed to prevent this from happening.

Damage to adjacent teeth

It is occasionally difficult to identify the apex of the tooth to be apicected, particularly if there is extensive haemorrhage from the cut surface of the alveolar bone. Damage to an adjacent tooth root is possible. However, this may be avoided by judicious sectioning of the root surface after it has been identified, ensuring that the bone cut does not extend too far laterally.

Failure to apicect the tooth completely

This may occur if haemorrhage restricts the surgeon’s view of the apical tissues. Control of haemorrhage is important at all times, and is usually achieved by following the techniques described earlier. A fibreoptic light source used in conjunction with loupes usually ensures satisfactory illumination and magnification of the surgical field.

Inadequate placement of the retrograde filling

A root-end filling may inadvertently be deposited in adjacent alveolar bone, particularly if the apical tissues are obscured by haemorrhage at the time of placement of the retrograde filling. This complication typically arises through inexperience, and further surgery may be required to provide a satisfactory apical seal. For this reason, it is appropriate to take a postoperative radiograph immediately prior to wound closure.

Recession of the gingival margin

Recession of the gingivae may arise because of inadequate repositioning of the mucoperiosteal flap, a compromised circulation to the flap during surgery through excessive retraction or poor design, or contraction. The recession may leave an unsightly cosmetic result, which may require correction by crown lengthening and provision of a porcelain veneer or crown. The patient should be made aware of the possibility of gingival recession as part of informed consent.

Summary of complications and difficulties

Recurrent apical infection
Perforation of the sinus lining
Haemorrhage
Pain during curettage
Surgical emphysema
Damage to adjacent teeth
Failure completely to apicect the tooth
Unsatisfactory placement of the root-end filling
Recession at the gingival margin

REPEAT APICECTOMY

Several surgical endodontic attempts may occasionally be undertaken to treat recurrent infection or persistent tenderness of the apical tissues. A successful outcome after repeat apicectomy cannot be assured, and it is rarely achieved unless the reason for failure of the initial surgical endodontic procedure can be diagnosed and corrected. Repeat apicectomy should therefore be reserved for patients in whom the outcome of a second surgical procedure carries a good prognosis. Furthermore, it is unusual for an apicectomy to be successful after more than two attempts, and the patient’s expectations of success should not be raised after a second surgical endodontic procedure has failed.

Page 81

ADVANCED PROCEDURES

Closure of lateral perforation

An iatrogenic defect in the surface of the root due to instrumentation can result in local infection and inflammation, similar to a failure of apical sealing. Provided that access is adequate, such perforations may be sealed by techniques similar to retrograde root filling (Fig. 6.16). If the perforation is directly on the mesial or distal aspect of the root, and particularly if the perforation is large or the roots are close together, access is often so poor that a satisfactory result cannot be achieved. However, such defects can sometimes be managed by conventional endodontics.

image

Fig. 6.16 (a) A perforation has occurred at the side of the root during preparation for a post and material has been extruded into the periodontal ligament. (b) Following sealing of the perforation and the apex with IRM® there has been bony repair.

Hemisection and root amputation

These procedures may be indicated if an adequately root-filled molar has a periodontal furcation involvement, a vertical root fracture, or a single root which is not otherwise amenable to endodontics. The lesion is managed by removing the involved root (and the overlying crown), and then sealing and preserving the remaining root and crown (Figs 6.17, 6.18). A full periodontal assessment is necessary before planning these procedures.

image

Fig. 6.17 Hemisection for vertical fracture.

image

Fig. 6.18 Root resection followed by sealing of a tooth.

Page 82

Intentional replantation

The tooth is extracted; surgical endodontics is performed on the apical root structure and the tooth is replaced in its socket. This procedure is indicated if the root apices are close to an important anatomical structure, such as a mandibular molar with roots close to the inferior alveolar canal. However, the tooth should be anatomically suitable for extraction without fracture of a root or excessive dilation of alveolar bone.

FURTHER READING

Beckett H. Impact of a restorative dentistry service on the prescription of apical surgery in a district general hospital. Annals of the Royal College of Surgeons of England. 1996;78:369-371.

Bell G.W. A study of the suitability of referrals for periradicular surgery. British Dental Journal. 1998;184:183-186.

Briggs P.F., Scott B.J. Evidence-based dentistry: endodontic failure—how should it be managed? British Dental Journal. 1997;183:159-164.

El-Swiah J.M., Walker R.T. Reasons for apicectomies. A retrospective study. Endodontics and Dental Traumatology. 1996;12:185-191.

Harty F.J., Pitt Ford R.T., editors. Harty’s endodontics in clinical practice, 4th ed., Oxford, UK: Wright, 1997.

Jou Y.T., Pertl C. Is there a best retrograde filling material? Dental Clinics of North America. 1997;41:555-561.

Koseoglu B.G., Tanrikulu S., Subay R.K., Sencer S. Anesthesia following overfilling of a root canal sealer into the mandibular canal: a case report. Oral Surgery, Oral Medicine, Oral Pathology, Oral Radiology, and Endodontics. 2006;101:803-806.

Kost W.J., Stakiw J.E. Root amputation and hemisection. Journal of the Canadian Dental Association. 1991;57:42-45.

Longman L.P., Martin M.V. The use of antibiotics in the prevention of postoperative infection: a reappraisal. British Dental Journal. 1991;170:257-262.

Maltezos C., Glickman G.N., Ezzo P., He J. Comparison of the sealing of Resilon, Pro Root MTA, and Super-EBA as root-end filling materials: a bacterial leakage study. Journal of Endodontics. 2006;32:324-327.

Penarrocha M., Garcia B., Marti E., Balaguer J. Pain and inflammation after periapical surgery in 60 patients. Journal of Oral and Maxillofacial Surgery. 2006;64:429-433.

Torabinejad M., Pitt Ford T.R. Root end filling materials: a review. Endodontics and Dental Traumatology. 1996;12:161-178.

Tsesis I., Rosen E., Schwartz-Arad D., Fuss Z. Retrospective evaluation of surgical endodontic treatment: traditional versus modern technique. Journal of Endodontics. 2006;32:412-416.

Watzek G., Bernhart T., Ulm C. Complications of sinus perforations and their management in endodontics. Dental Clinics of North America. 1997;41:563-583.

USEFUL WEB SITES

American Association of Endodontists: http://www.aae.org

Interactive Endodontics: http://www.endodontics.com

INTERACTIVE COMPUTER-AIDED LEARNING PROGRAMS

Aspects of Minor Oral Surgery (AMOS) may be downloaded via http://www.dentistry.bham.ac.uk/ecourse/cal/p-amos-aspectsofminororalsurgery.asp

USEFUL WEB SITES

American Association of Endodontists: http://www.aae.org

Interactive Endodontics: http://www.endodontics.com

INTERACTIVE COMPUTER-AIDED LEARNING PROGRAMS

Aspects of Minor Oral Surgery (AMOS) may be downloaded via

http://www.dentistry.bham.ac.uk/ecourse/cal/p-amos-aspectsofminororalsurgery.asp

SELF-ASSESSMENT

1. What specific problems may be encountered in apicectomy of:
(a) a mandibular central incisor,
(b) a mandibular second premolar, and
(c) a maxillary first premolar?
2. What are the advantages and disadvantages of using a two-sided flap for apicectomy?
3. Why might the bone cavity be packed before placing a root-end filling? Suggest some materials that may be used.
4. What evidence, found 1 month postoperatively, might indicate failure of apical surgery?
5. At what times after surgical endodontics should radiographs be taken, and why? What radiographic features suggest success?

Answers on page 264.