More than 90% of pancreatic cancers are adenocarcinomas derived from exocrine ductal cells. These have the worst survival of all GI malignancies, with only about 12% surviving 1 year and 2% surviving 5 years. Much less commonly, neoplasia arises from exocrine acinar (secretory) cells (2%) or from endocrine islet cells (8%). Most endocrine tumours present with excess hormone secretion, e.g. insulin, glucagon or gastrin. Around 90% of insulinomas are benign but most others are malignant, although survival is often prolonged.
Ductal adenocarcinoma typically presents late, with intractable abdominal pain, weight loss and obstructive jaundice caused by common bile duct compression, also a frequent presentation of the uncommon periampullary carcinomas. These include biliary cholangiocarcinomas and adenocarcinomas of the ampulla of Vater and duodenum.
Primary sclerosing cholangitis (PSC) is a rare, non-malignant liver disease involving inflammatory fibrosis of bile ducts. It presents similarly to pancreatic cancer and is therefore included in this chapter. The uncommon carcinoma of gall bladder often presents with cholecystitis symptoms, with jaundice developing later.
Primary liver tumours are rare in developed countries but common in some developing countries, where hepatitis B and C are the main predisposing factors. Secondary liver tumours are common everywhere from haematogenous spread of many types of cancer. Surgical disorders of the spleen are covered at the end of this chapter.
This is usually an adenocarcinoma arising from cells lining the ducts. About 80% arise in the head (the largest part) and 20% in the body or tail. Cancers often form a well-differentiated ductular pattern but despite this, it is a highly malignant tumour. It metastasises early to lymph nodes, to peritoneum, and to liver via the portal vein (see Fig. 24.1). At presentation, less than 20% are resectable and the overall prognosis is dire.

Fig. 24.1 Spread of carcinoma of the pancreas
Direct spread may involve the common bile duct CB where it traverses the pancreas, the duodenum and the portal vein PV. Lymphatic spread may reach the paraduodenal peritoneum P and the nodes of the coeliac axis 1, the porta hepatis 2, the lesser and greater curves of the stomach 3, 4 and the hilum of the spleen 5. Spread may also occur via the bloodstream to the liver, lungs, etc.
Pancreatic cancer presents at a mean age of 65 and is rare under 50. The incidence is similar in males and females, and in the Western world, ranks equal third with oesophageal cancer among GI cancers, after large bowel and stomach. In absolute numbers it is uncommon, being responsible for about 7000 deaths each year in the UK, although numbers in developed countries continue to rise. Risk factors include cigarette smoking (2–3 times the risk and presenting 15 years earlier), chronic pancreatitis (18 times risk, increasing to over 50 times in hereditary pancreatitis), obesity/type II diabetes (twice the risk), and positive family history.
There are no useful screening tests and so pancreatic cancer nearly always presents with symptoms and signs. The main features are substantial weight loss (80%), abdominal pain (60%) and obstructive jaundice (50%). Ascites and an abdominal mass are uncommon (Box 24.1).
The pain of advanced pancreatic carcinoma is severe and continuous and typically described as ‘deep’ and ‘gnawing’; it may drive patients to suicide. It is often nocturnal and poorly relieved by analgesics but sometimes alleviated by leaning forwards from sitting (‘the pancreatic position’). Severe pain usually represents locally advanced disease with extrapancreatic invasion into retroperitoneal nerves around the coeliac axis. There are often ill-defined dyspeptic symptoms such as anorexia, nausea or sporadic vomiting and usually profound weight loss.
Jaundice, often without pain early on, develops over several weeks, and is associated with pale stools and dark urine. These clinical features are dramatic and never ignored. The jaundice is caused by common bile duct compression in its course through the pancreatic head. As a result, the proximal bile duct dilates and the gall bladder may become palpable (Courvoisier's law, see Ch. 18, p. 259). Bile duct obstruction may also be caused by metastases in porta hepatis lymph nodes. Liver metastases alone rarely cause jaundice.
Note that pancreatic cancer and other obstructing biliary tumours typically produce a painless and progressive jaundice. In contrast, that of gallstone disease is less intense and fluctuates in intensity, and there is usually typical biliary pain.
A patient with obstructive jaundice should be investigated as described in Chapter 18, p. 258. If pancreatic cancer is likely, optimum management is via a streamlined diagnostic pathway carried out in a specialised, high-volume pancreatic centre.
When investigations are complete, the multidisciplinary team considers whether curative treatment is feasible and how to plan and implement it, or if not appropriate, what palliative treatment is needed.
Ultrasound seeks masses in pancreas and liver, dilated bile ducts and stones in the gall bladder (abdominal ultrasound is unreliable for common bile duct stones). Additional detail about a mass comes from high-resolution CT scans, ideally before ERCP to ensure an artefact-free field. CT can show tumour extent and the presence and volume of liver metastases. It can demonstrate vascular invasion of superior mesenteric and portal veins, and superior mesenteric artery and coeliac axis, any of which lessen the feasibility of surgical resection. The extent of primary and/or metastatic disease on imaging may indicate the tumour is inoperable (i.e. not resectable with intent to cure). Palliation can then be employed and the patient saved a fruitless attempt at resection.
Where ultrasound and/or CT indicate a pancreatic head carcinoma may be resectable, endoscopic ultrasound can give added detail. In this, an ultrasound probe is positioned in the second part of the duodenum via a gastroscope. This allows precise examination of the pancreatic head and associated vessels as well as duodenum and ampullary region. Ultrasound-guided needle aspiration sampling of suspicious lesions can be performed via the gastric lumen for cytology, either before surgery or to guide oncological management. Endoscopic ultrasound is the gold standard for assessing tumour size, site and vascular involvement and thus potential operability. However, its accuracy is severely impaired if a stent has already been placed to relieve jaundice.
In biliary obstruction, MRCP produces images similar to ERCP in diagnostic usefulness but is particularly useful for confirming choledocholithiasis (bile duct stones) or for obstructive lesions of the bile duct itself such as cholangiocarcinoma or primary sclerosing cholangitis.
ERCP is now largely employed for therapeutic intervention. For obstructive jaundice due to stone, ERCP is the main mechanism for removing duct stones. For inoperable carcinoma of the pancreatic head, placing a tubular stent across the obstruction allows palliation of jaundice by draining the biliary tree. Plastic stents eventually become encrusted and occluded so wider bore expanding metallic stents are more often employed.
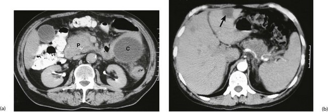
When pancreatic cancer is suspected in a non-jaundiced patient, abdominal CT can confirm the diagnosis more reliably than ultrasound, although small tumours may be missed (see Fig. 24.2a and b). CT scanning also indicates retroperitoneal and portal vein invasion; it shows metastases in liver and lymph nodes and CT-guided needle biopsy can obtain histopathology specimens, all of which can determine resectability. CT scanning can understage the disease, chiefly because it does not detect small-volume hepatic and peritoneal deposits.
Endoscopic ultrasound via the stomach can examine the pancreatic body and tail and allow aspiration cytology. Cancers here do not cause the early warning sign of jaundice and hence tend to present so late resectability is highly unlikely.
Staging laparoscopy may be included as a final evaluation before resection, allowing inspection and biopsy of peritoneum for small metastases; diagnostic laparoscopic ultrasound has largely been superseded by high-definition CT and endoscopic ultrasound. Accurate staging means resection can be offered to those most likely to benefit, whilst avoiding unnecessary surgery in the rest.
Cystic neoplasms are sometimes discovered incidentally on CT or ultrasonography, with the investigation prompted by non-specific upper abdominal symptoms. Cystic neoplasms can be difficult to differentiate from pancreatic pseudocysts but CT and endoluminal ultrasound (EUS) can define morphology and allow aspiration for cytology and biochemical analysis (e.g. CEA, CA19.9 and amylase). After excluding pseudocyst, the differential diagnosis includes serous and mucinous cystadenomas and cystadenocarcinomas. Radical resection is recommended for most since all cystic neoplasms may have malignant potential and are largely curable if treated early. If EUS-guided aspiration reveals a serous lesion without adverse radiological or biochemical features, observation by ‘watchful waiting’ may be an option, but the presence of mucus identifies a mucinous pancreatic lesion with greater malignant potential which should be resected.
Surgical resection and adjuvant therapy
It is an unfortunate truth that most patients with pancreatic cancer present at an incurable stage. Only about 15–20% have apparently localised disease with a potential for surgical cure. Whipple's operation (pancreatico-duodenectomy, see Fig. 24.6, p. 330) is the standard type of operation where resection of the pancreatic head is indicated. It is a major undertaking with high operative morbidity and mortality; even in specialist centres, mortality is 1–2% with a 15–20% morbidity (pancreatic leaks, delayed gastric emptying, wound infections) and a 5-year survival of only 15–20%.
Postoperative chemotherapy with 5-fluorouracil (5FU) or gemcitabine confers a modest survival advantage. Clinical trials investigating the role of chemo-radiation, neoadjuvant therapy and immunotherapy are ongoing but prospects for cure remain poor.
When there is obvious widespread disease, the patient should be allowed to die with minimal surgical interference but with careful attention to symptom control. Good analgesia is fundamental; severe pain can often be relieved by permanent coeliac ganglion blockade, performed percutaneously. Obstructive jaundice can usually be relieved by inserting a biliary stent at ERCP. If unsuccessful, a percutaneous transhepatic cholangiogram (PTC) can help pass a guide-wire to the duodenum to facilitate ERCP or else place a stent from above; techniques are illustrated in Figure 24.3. Surgical bypass (usually a ‘triple bypass’, see Fig. 24.3) may provide longer-lasting relief from jaundice and duodenal obstruction than stenting. Duodenal obstruction alone can be bypassed by endoscopic stent placement or laparoscopic gastroenterostomy.
Neuroendocrine cells of the islets of Langerhans give rise to several uncommon tumours. These often produce excess hormone secretions responsible for the presenting features. Islet cells make up 2% of the pancreatic mass and comprise cells of four types: alpha cells secrete glucagon, beta cells secrete insulin, delta cells secrete somatostatin and F or PP cells secrete pancreatic polypeptide.
The most common endocrine tumours are insulinomas derived from beta cells, but they occur in only 1.7 per million people per year. The main symptoms are cerebral disturbances caused by hypoglycaemic attacks, often when fasting or exercising and relieved by oral or intravenous glucose. About 90% of insulinomas are single and 90% are benign and amenable to curative resection. They occur with equal frequency in the head, body and tail of the pancreas. Malignancy is only diagnosed if metastases appear.
The diagnosis is usually made late, often after hypoglycaemic attacks have caused accusations of alcoholism or referrals for psychiatric or neurological advice for abnormal behaviour or epilepsy. When inappropriate hyperinsulinaemia has been confirmed, CT scanning, MRI and endoscopic ultrasound usually identify the lesion. If unsuccessful, venous sampling may help and intraoperative ultrasound can usually locate otherwise invisible lesions. Insulinomas are usually small and can be treated by enucleation although larger or deep lesions may need pancreatic resection.
Alpha cells may give rise to glucagonomas; these are very rare and present with diabetes mellitus and a characteristic skin rash known as migratory necrolytic erythema.
Gastrin-secreting tumours (gastrinomas) occur once per million people per year. They arise in pancreatic islets or in ectopic cells in the duodenal wall. About 25% occur in patients with multiple endocrine neoplasia type 1 (MEN 1), described below. Gastrinomas cause severe and intractable peptic ulceration and diarrhoea known as Zollinger–Ellison syndrome.
The diagnosis is made by demonstrating persistently high serum gastrin. The tumour is localised by CT, MRI or endoscopic ultrasound, or in difficult cases using somatostatin receptor scintigraphy (SRS). Many lesions are too small to show on standard imaging and can only be located by intraoperative ultrasonography at laparotomy. About 60% are malignant but they grow slowly and metastasise late, so excision is often curative. If the primary tumour is inoperable, palliation with high-dose proton pump inhibitors (PPIs) often prevents peptic ulcer symptoms and complications.
Pancreatic neuroendocrine tumours sometimes occur in inherited autosomal dominant multiple endocrine neoplasia syndromes (MEN). Two main types are recognised, MEN 1 and MEN 2:
• MEN 1—islet cell tumours, pituitary adenomas and parathyroid hyperplasia
• MEN 2a—medullary thyroid carcinoma (often in childhood), phaeochromocytoma and parathyroid adenoma or hyperplasia
• MEN 2b—medullary thyroid carcinoma, phaeochromocytoma, mucosal and gastrointestinal neurofibromas and Marfanoid habitus
Adenocarcinomas originating from biliary duct epithelium are known as cholangiocarcinomas. They develop anywhere in the intra- or extrahepatic duct system but are more common near the confluence of right and left hepatic ducts (‘Klatskin’ tumour). The less common intrahepatic cholangiocarcinomas present like primary hepatocellular carcinomas but most of the biliary system remains patent so jaundice is rare. In contrast, extrahepatic cholangiocarcinomas usually obstruct bile drainage and present with painless progressive jaundice. Cholangiocarcinomas are more frequent in primary sclerosing cholangitis. Distinguishing cholangiocarcinoma from the hallmark multiple strictures of sclerosing cholangitis can be taxing.
Cholangiocarcinomas have a dense fibrous stroma and grow along ducts rather than producing focal proliferative lesions. The resulting smooth elongated stricture can be demonstrated by ERCP, MRCP or transhepatic cholangiography (see Fig. 24.5). Histological proof of malignancy may be elusive owing to the fibrous nature of the tumour. Unlike pancreatic cancer, cholangiocarcinomas are often slow-growing and metastasise late. Despite this, lymph node involvement at presentation is common, and extension along bile ducts and involvement of portal vein and hepatic arterial branches results in a low operability rate and an even lower long-term survival. Radical procedures combining partial hepatectomy with excision of the involved biliary tree and ‘en bloc’ portal vein resection and reconstruction may offer better clearance and improved survival for selected patients.
An unusual lesion is adenocarcinoma of the ampulla of Vater. Here it forms a polypoid lesion projecting into the duodenum and obstructing biliary drainage causing jaundice. Tumours are friable and bleed persistently, giving positive faecal occult bloods. An association with intestinal polyposis syndromes has been described. Diagnosis is made at endoscopy by inspection and biopsy. Very rarely, adenocarcinoma arises in the duodenal mucosa and causes obstructive jaundice if close to the ampulla. Again, the lesion is readily diagnosed at ERCP and biopsy.
Extrahepatic and periampullary cancers can often be successfully treated by Whipple's pancreatico-duodenectomy, Figure 24.6. Operative morbidity and mortality are similar to the operation for pancreatic cancer, but the prognosis is often better because the obstructing tumour is usually small, with less extensive spread.

Fig. 24.6 Whipple's operation (pancreatico-duodenectomy)
(a) Structures are divided at the lines A1, A2, B1, C1. (b) The distal half of the stomach, the entire duodenal loop, the head and body of the pancreas and the lower end of the common bile duct are all removed, then reconstruction is performed with anastomoses between A1 and A2, B1 and B2 and C1 and C2
Carcinoma of the gall bladder is a disease of old age and is nearly always associated with stones. Chronic inflammation is the likely carcinogenic factor. Early diagnosis is usually made incidentally at cholecystectomy and in this special case, wide excision of the gall bladder bed plus hilar lymphadenectomy may offer a chance of cure. In most, the diagnosis is late with advanced disease and jaundice. Direct invasion of liver plus lymphatic spread make resection impracticable and survival is usually short.
Primary sclerosing cholangitis (PSC) is a rare condition, probably of autoimmune origin, causing progressive fibrosis and multiple biliary strictures. Luminal narrowing causes gradual and progressive obstructive jaundice and, later, secondary cirrhosis. It may arise sporadically but often occurs in longstanding ulcerative colitis. Bile duct stenosis is usually diffuse, with a characteristic ERCP appearance (see Fig. 24.7), but just occasionally it is localised to the extrahepatic biliary system. Here the radiological appearance is indistinguishable from cholangiocarcinoma, causing a diagnostic predicament. Management is by endoscopic dilatation of clinically significant strictures and prescribing choleretic drugs to improve bile flow. In advanced cases, liver transplantation is an option; interestingly, up to a third demonstrate cholangiocarcinoma in the excised liver.
Primary malignant liver tumours are uncommon in developed countries; most are hepatocellular carcinomas derived from hepatocytes. Even less commonly, other elements give rise to tumours such as angiosarcoma. Benign liver lesions are increasingly found incidentally during ultrasound for gallstones. The most frequent are benign cysts and haemangiomas which need no treatment.
More rarely, benign solid areas of focal nodular hyperplasia (FNH) are discovered. These are more prevalent in women and often associated with the oral contraceptive pill. Other benign solid lesions include hepatic adenomas. Focal nodular hyperplasia is much more common than adenoma (ratio of 9 : 1) but adenoma may lead to hepatoma so most liver surgeons recommend resection whilst hyperplasia can safely be left. Both look similar on imaging, but focal nodular hyperplasia may have a characteristic central scar.
These usually present symptomatically with pyrexia, malaise and upper abdominal pain or tenderness. The most important cause worldwide is amoebiasis; about 10% of the world population is chronically infected with Entamoeba histolytica. Simple pyogenic abscesses can arise from biliary infection (e.g. ascending cholangitis), through the portal venous system (e.g. appendix or diverticular abscess) or generalised bacteraemia (e.g. endocarditis). Most liver abscesses are managed effectively with combined radiological drainage and long-course antimicrobial therapy. The key exception is hydatid cysts arising from Echinococcus infection, a zoonosis transmitted through contact with dogs or sheep. Draining hydatid cysts carries a serious risk of peritoneal dissemination and anaphylaxis, so complete surgical excision is undertaken with cover from an antihelminthic agent such as mebendazole.
Hepatocellular carcinomas (also known as hepatomas) are malignant, slowly-growing tumours that often arise multicentrically and synchronously throughout the liver. Hepatocellular carcinoma is the sixth most prevalent cancer worldwide and the third cause of cancer-related death. More than 700 000 cases were diagnosed in 2008 so it represents a substantial global burden. Unusually for malignancy, an aetiological factor can be identified in nearly all cases; factors include infection with hepatitis B and especially hepatitis C, alcoholic cirrhosis, haemochromatosis and chronic active hepatitis. Around 80–90% have some form of pre-existing cirrhosis. In developed countries, alcoholic cirrhosis and non-alcoholic fatty liver disease (associated with the metabolic syndrome) are the usual aetiological factors; indeed, hepatoma occurs in about 25% of patients with cirrhosis of more than 5 years' standing. The risk in patients with haemochromatosis and chronic active hepatitis is even higher.
Hepatocellular carcinoma is very common in parts of Africa and the Far East. Here the usual cause is hepatitis B-induced cirrhosis, but environmental carcinogens have also been implicated including aflatoxin from Aspergillus growing on stored grains and peanuts. Various parasitic infestations, e.g. schistosomiasis, Echinococcus (tapeworm) and Clonorchis sinensis (liver fluke), also predispose to it. In developed countries, the peak incidence is between the ages of 40 and 60, but in developing countries, most cases occur between 20 and 40.
The presenting features are anorexia, weight loss, abdominal pain and distension, often with jaundice and ascites, plus non-abdominal stigmata of cirrhosis. A liver mass may be palpable. Multiple modality imaging, combining ultrasound, CT or MRI scanning (along with markedly elevated α-fetoprotein) can establish the diagnosis and delineate the size and position of the liver mass or masses. Radiologically guided needle biopsy is used for indeterminate lesions but has a false negative rate of 30–40% and so a negative result should not rule out malignancy.
By the time of initial diagnosis, carcinoma is usually widespread in the liver, rendering curative resection impossible. However, in developed countries, asymptomatic tumours are often discovered incidentally, allowing potentially curative therapeutic intervention. Occasionally, small lesions are resectable but only in rare instances where coexisting cirrhosis is minimal. At one time, liver transplantation appeared to offer the necessary radical resection, but results with large tumours proved unsatisfactory and recurrence was the rule. Transplantation is more promising when there are fewer than three tumours, each smaller than 3 cm, or a single tumour smaller than 5 cm (the ‘Milan’ criteria). In these, outcomes are comparable to those for liver transplantation for cirrhosis alone, with 5-year survival around 70%.
Patients with known cirrhosis should ideally be in a 6-monthly ultrasound surveillance programme to identify developing hepatocellular carcinoma early. If tumours are discovered, the patient may be considered for transplantation or for palliation to curb tumour growth. Palliation may involve local cytotoxic drugs given by ‘chemo-embolisation’ via a hepatic intra-arterial cannula. Where resection or transplantation are not practicable (e.g. due to advanced age, co-morbidities or patient choice), radiofrequency ablation can manage neoplasms in cirrhotic livers, and in some centres, is the first-line treatment for small lesions. Chemo-embolisation and radiofrequency ablation can give many years of disease control.
Secondary liver tumours are extremely common and arise from a wide variety of primary sources, especially stomach, pancreas, large bowel, breast and bronchus. Liver metastases are initially asymptomatic but the patient begins to feel ill with anorexia and weight loss as the parenchyma is progressively destroyed. Jaundice is unusual and appears only at a terminal stage when the biochemical picture tends to be a mixed hepatitic and obstructive pattern.
Many colorectal cancer patients can be cured by primary surgery, but those that eventually die almost all have metastatic liver disease. Whilst there is no benefit in resecting metastatic disease in most other sites, colorectal liver metastases are a special case, sometimes with a real chance of cure. Some 10–20% may be suitable for curative resection; recent optimistic outcome reports mean increasing numbers are considered for liver resection now better surgical techniques are available and surgeons more willing to undertake extensive or multiple resections.
The liver has a large reserve capacity and a remarkable regenerative capability. This means that up to 70% of liver tissue can be surgically resected, provided there is no other liver disease. Resection is sometimes combined with chemotherapy and/or radiofrequency ablation to ‘downsize’ the tumour in advance. This surgery is a major undertaking, best practised in specialised units with operative mortality of around 2% and 5-year survival of 30–40%. If further metastases appear in the hypertrophied regenerating liver, further resection can sometimes be done; even isolated lung metastases can be excised. In some series, this aggressive policy is extending 5-year survival close to 50%.
In other primary cancers such as breast and bronchus, liver metastases usually indicate surgically incurable disease, reflecting the systemic nature of the malignancy. Occasionally, however, metastases from renal cell carcinoma or neuroendocrine tumours have been successfully resected. If liver metastases are painful, palliation by systemic chemotherapy may retard growth and suppress symptoms. Multiple inoperable metastases can often be controlled by a range of physical methods including local cryotherapy, radiofrequency ablation, laser destruction and percutaneous alcohol injection. Such treatments are unlikely to extend survival and controlled clinical trials of benefit are notably lacking.
The spleen plays a major role in defence against infections, particularly involving encapsulated organisms. It also filters and removes senescent or defective blood cells. Primary splenic diseases are uncommon but a range of haematological disorders may involve the organ and usually manifest as splenomegaly (see Ch. 18, p. 263). Historically, splenectomy was common in myeloproliferative disorders and often used for diagnosis, but is now rarely indicated except to treat hypersplenism, i.e. excessive consumption of cellular blood components or for symptom control in pain associated with massive splenomegaly. The surgeon is most frequently involved in repair, partial resection or removal of a normal spleen after trauma or iatrogenic injury (Ch. 15, p. 207).
Patients undergoing elective (and emergency) splenectomy require immunisation against common encapsulated pathogens (Pneumococcus, Haemophilus influenzae type B and Meningococcus, ideally given at least 2 weeks before operation) and are advised to take lifelong antibiotic prophylaxis.
Laparoscopic splenectomy has become the standard technique for most elective cases and is outlined in Ch. 10, p. 145. The most common elective indication for splenectomy is immune thrombocytopenic purpura (ITP) in which anti-platelet antibodies lead to platelet destruction and an increased risk of spontaneous haemorrhage. Splenectomy is curative in about 85% of cases.
When erythrocyte loss is severe or resistant to medical management, splenectomy is sometimes required for haemolytic anaemias, including hereditary spherocytosis, thalassaemia and autoimmune haemolytic anaemia. It is common to perform simultaneous cholecystectomy for secondary pigment gallstones. In addition, in sickle cell anaemia, splenic infarction or abscess formation may require splenectomy.
Rarely, primary lesions of the spleen may require partial or total splenectomy; these include haemangiomas, primary angiosarcoma and cysts.