Benign hyperplasia and carcinoma are the most common prostatic disorders and have an increasing importance in an ageing population. Inflammation and infection of the prostate (prostatitis) is a less common condition that occurs in a younger age group and is rather poorly defined clinically.
The normal prostate gland is about 3 cm long and 3 cm in diameter and weighs 10–15 g. The gland is situated immediately below the bladder neck so that the first 3 cm of the urethra lies within the gland (Fig. 35.1, p. 452) so the proximal urethral walls (the prostatic urethra) are composed of glandular tissue. The urethra then passes through the pelvic floor muscle that also constitutes the distal sphincteric mechanism. Prostatic hyperplasia or carcinoma may cause local urethral obstruction and carcinoma may invade and disrupt the sphincter mechanism.
The posterior aspect of the gland is palpable rectally (Fig. 35.1, pp. 450, 451) and a median groove can usually be identified. This groove is described as dividing the gland into two lateral lobes and tends to be obliterated in advanced prostatic cancer but is usually exaggerated in benign hypertrophy.
When the prostatic urethra is examined cystoscopically (see Fig. 35.3, p. 450), an important landmark is an elongated mound on the posterior wall known as the veru montanum (urethral crest), which can be variable in size and prominence. At its midpoint is a small depression, sometimes visible, into which the two ejaculatory ducts open. The posterior part of the gland above the ejaculatory ducts is known as the median lobe. If this becomes hypertrophied it may extend into the floor of the bladder (the surgical ‘middle lobe’); this may act as a flap valve and obstruct the bladder outlet.
As seen in Figure 35.1, the bulk of the normal prostate consists of up to 50 peripheral glandular lobules. These converge into about 20 separate ducts opening into the prostatic urethra lateral to the veru montanum. As well as this glandular tissue proper, there is a zone of small para-urethral glands adjacent to the urethra, the transition zone. From middle age onwards, the transition zone tends to enlarge to cause benign prostatic hyperplasia. At the same time, the peripheral glandular tissue is compressed to form a fibrous outer ‘surgical capsule’. In contrast, prostate cancer arises most often in the peripheral glandular tissue, tending to spread outwards into bordering structures more often than obstructing the centrally located urethra. Even after prostatectomy, cancer can arise in the residual peripheral zone.
The normal prostate gland is surrounded by a filmy true capsule of little surgical significance; external to this is a rich venous plexus which, in turn, is invested by a dense fascial sheath. During open or endoscopic prostatectomy, it is important not to disturb this venous plexus as it is a common source of bleeding during and after the operation. There are direct venous connections between the plexus and the vertebral extradural plexus which provide a direct route for blood-borne dissemination of prostate cancer. Posteriorly, the prostatic fascial sheath is fused with the dense fascia of Denonvilliers. This provides a barrier against direct spread of cancer from the prostate to the rectum and vice versa.
Benign prostatic hyperplasia (BPH) affects half of all men aged 50, and the proportion increases with advancing age so that BPH is almost universal at 70 years. Approximately half of those with BPH are asymptomatic or have only mild symptoms. In about 50% of men over 60, however, hyperplasia produces enough symptoms for treatment to be considered.
In pathological terms, the para-urethral transition zone glands undergo nodular hyperplasia. This causes progressive symmetrical enlargement of the gland up to several times its normal size (up to 150 g).
The prostate volume cannot be reliably estimated by digital examination and is best assessed by ultrasound. However, there is little relationship between prostatic volume and symptoms; the presence of a large prostate without symptoms is not an indication for treatment. Urine flow rate is determined by the calibre and length of the prostatic urethra and by detrusor contractility, not by prostatic bulk. Prostatic urethroscopy provides further anatomical detail but no functional information.
Symptoms and signs of bladder outflow obstruction (summarised in Box 35.1) are usually gradual in onset. Benign causes are prostatic hyperplasia and the apparently independent disorder of bladder neck hypertrophy and fibrosis. Acute retention of urine may occur suddenly at any time and is commonly precipitated by bladder overfilling after excessive fluid intake. It is also a hazard of many general surgical or orthopaedic operations on older men and also of any pelvic or perineal operations after adolescence. In some patients, the severity of prostatic symptoms fluctuates from month to month (and even perhaps with the season), making it difficult to decide whether an operation is necessary.
Prostatic obstruction can progressively interfere with the patient's ability to empty his bladder but only 20–30% of patients have progressive symptoms and 50% remain unchanged over 5 years. In progressive cases, the volume of residual urine gradually increases over weeks and months (i.e. chronic retention) and in a minority leads to a rise in intravesical pressure. In the latter, the threshold for the voiding reflex is reached more quickly and calls to void become more frequent. The stagnant residual urine is prone to infection which exacerbates the symptoms. In chronic retention, the bladder becomes vastly distended and atonic, which can lead to overflow incontinence. In other cases, the detrusor muscle undergoes hypertrophy in an attempt to overcome the outflow obstruction. The normally smooth bladder lining then becomes trabeculated. Eventually, muscle fibre bundles are replaced by non-contractile fibrous tissue; this may explain why some patients fail to improve after obstruction is relieved. With a further rise in pressure, the depressions between the muscle bands deepen (sacculation) and eventually form bladder diverticula. Urinary stasis in the diverticula predisposes to stone formation (see Fig. 35.2).
A small proportion of patients with bladder outlet obstruction experience few local symptoms. In these, rising intravesical pressure can be transmitted back into the ureters and kidneys causing hydronephrosis and progressive renal parenchymal damage. Patients often present with systemic illness or symptoms such as anorexia, apparently of non-renal origin. The renal failure may be accompanied by anaemia, dehydration, acidosis and infection. Bladder outflow obstruction in these patients is easily overlooked unless the bladder is examined for distension and plasma urea measured.
The principles of management of bladder outlet obstruction believed to be due to benign prostatic hyperplasia are outlined in Box 35.2.
A detailed history is first taken to assess the nature of the symptoms and how much they interfere with the patient's life. The International Prostate Symptom Score sheet helps in assessing the overall impact of symptoms in a standardised way (Box 35.1). This, and the patient's general condition, are the principal factors determining whether treatment is needed. The abdomen is examined for an enlarged bladder and the prostate palpated rectally. These clinical examinations, however, reveal only gross abnormalities.
The next step is to investigate the effects of outlet obstruction on the bladder by measuring urinary flow rate and estimating the volume of residual urine using ultrasound. This is reliable, quick, non-invasive, safe and cheap. When urinary symptoms are severe but residual volume is insignificant, the alternative diagnosis of an overactive bladder should be considered. Urodynamic studies are more complex and involve measuring the filling and emptying pressures of the bladder, but may be invaluable if diagnostic doubts remain.
Renal function is assessed by estimating plasma urea, creatinine and electrolytes. If these are abnormal, further metabolic investigations may be necessary and renal tract ultrasound is mandatory.
A midstream specimen of urine should be examined by microscopy and culture as urinary infection alone may be responsible for the symptoms or may have precipitated an episode of urinary retention. In addition, if surgery is intended, it is important that infection is eradicated to minimise risk of perioperative infection and secondary haemorrhage.
If the prostate feels nodular on palpation, cancer should be suspected, particularly if the serum prostate specific antigen (PSA) is elevated. Transrectal ultrasound scanning (TRUS) and needle biopsy should be performed even if prostatectomy is planned because a preoperative diagnosis of cancer is likely to alter the plan of management. Marked elevation of serum PSA is diagnostic of prostatic cancer but a mildly elevated PSA may be due to benign disease or infection. A normal result does not, however, exclude cancer.
In chronic retention and a large volume of residual urine (750 ml or more), abnormal renal function or upper tract dilatation on renal tract ultrasound, the patient is usually catheterised to allow detrusor tone to recover over a few days. Drainage also allows any reversible component of renal failure to self-correct; it may take 3 weeks of catheter drainage to improve biochemical renal function tests, after which spontaneous improvement is unlikely. Initially, fluid and electrolyte balance is monitored and normalised if necessary by intravenous fluids. In patients with chronic outflow obstruction and obstructive renal failure, catheterisation may produce a massive diuresis and this should be anticipated and treated appropriately.
Despite the above investigations, the anatomical nature of the bladder outlet obstruction can be accurately assessed only by direct cystoscopic examination. At the same time, the bladder can be examined for other problems such as trabeculation, diverticula, tumours and stones. In patients with complications from bladder outlet obstruction or severe symptoms not responding to medical treatment, transurethral resection (TUR) or Holmium laser enucleation of the obstruction is performed under the same anaesthetic (see TURP, below). In elderly or unfit patients, placement of a urethral stent may be considered. However, these devices are prone to displacement, haemorrhage, local irritation and blockage. Only very occasionally are patients too unfit for some form of intervention. It is now rarely necessary to leave a patient with a long-term catheter; in this event a suprapubic catheter is preferable to a urethral catheter because of the ease of changing it and greater patient comfort.
Finasteride and dutasteride block the enzyme 5-alpha reductase from converting testosterone to dihydrotestosterone and thus reduce the size of hyperplastic prostate glands. A 6-month trial of treatment is required; if successful, symptoms may improve to the extent that surgery can be delayed or avoided. Some herbal remedies such as saw palmetto contain naturally occurring 5-alpha reductase inhibitors.
Alpha-adrenergic A1 receptors are present in the bladder neck and prostate and selective alpha-adrenergic blocking drugs may enable the prostatic urethra to open more readily, relieving symptoms. Newer drugs, e.g. tamsulosin or alfuzosin, have fewer side-effects than older drugs such as prazosin. Combination therapy with alpha-adrenergic blockers and 5-alpha reductase inhibitors may be more beneficial in patients with larger glands.
Transurethral prostatectomy has lower postoperative mortality and morbidity than open retropubic prostatectomy and requires a shorter hospital stay. Holmium laser enucleation of prostate (HOLeP) yields at least equivalent results to TURP with the added benefit of reduced blood loss. In addition, larger glands can be enucleated than could reasonably be resected, thus avoiding the need for open retropubic prostatectomy. Laser ablation techniques (using KTP-green light and holmium lasers) can be valuable in special circumstances, such as a patient on warfarin, and have shown promising results approaching those of TURP. Nonetheless, TURP remains the standard therapy, while other physical treatments have demonstrated lesser degrees of success. Cryo-prostatectomy (freezing the gland), cold punch prostatectomy, microwave thermotherapy and transurethral needle ablation (TUNA) are obsolete procedures.
The aim of transurethral prostatectomy is to remove the bulk of the prostate but leave the compressed normal peripheral tissue. This protects the subcapsular venous plexus that might otherwise bleed catastrophically. In TURP, a series of ‘chips’ or strips of tissue are excised with a resectoscope using a cutting diathermy wire loop; the chips drift into the bladder. The enlarged gland is progressively sliced away as shown in Figure 35.3, taking great care to preserve the sphincter mechanism immediately distal to the veru montanum. The prostatic chips are always examined histologically and may reveal unsuspected carcinoma. A transparent isotonic irrigation solution is used during the process, which washes away blood and debris to allow continuous visibility. Since some irrigation fluid is inevitably absorbed, sterile glycine solution is most often used instead of water as it does not cause haemolysis. If large volumes are absorbed, this causes dilutional hyponatraemia and hyperammonaemia along with drastic plasma electrolyte changes, producing the TUR syndrome. Various isotonic sugar solutions can now be safely used as alternatives.


Fig. 35.3 Transurethral prostatectomy
(a) Transurethral resectoscope. ‘Divots’ or chips are cut by squeezing the handle towards the eyepiece while turning the diathermy current on. This ‘cheese-wires’ the cutting loop through tissue. (b) Technique of transurethral resection. (c) Ellik's evacuator for bladder irrigation. The instrument is completely filled with irrigation fluid and then attached to the resectoscope sheath which is left in the bladder after withdrawal of the main instrument. Squeezing the bulb flushes fluid alternately in and out of the bladder, bringing the cut prostatic slices with it which then settle to the bottom of the container. (d) Apparatus for bladder irrigation in the postoperative period. The rate of fluid flow is adjusted to be fast enough to prevent clotting within the bladder. In practice the effluent should be pink rather than red. (e) Arresting haemorrhage after TURP. Excessive bleeding after transurethral resection can often be controlled by exerting traction on the catheter for 20 minutes (but not more). Tension is maintained by (i) tying a swab around the catheter, or (ii) attaching the catheter to the anterior abdominal wall with adhesive tape
When obstruction is caused by bladder neck hypertrophy, the prostate is not usually resected but the bladder neck muscle is divided by making a longitudinal incision (bladder neck incision, BNI) using a diathermy point via the resectoscope. This operation is also effective where the obstruction is caused by a small prostate (<30 g).
Open prostatectomy, now rarely performed, is used mainly when the gland is so large that transurethral resection is not practicable, or occasionally when there are accompanying bladder diverticula or huge stones.
Prostatectomy usually disrupts the bladder neck mechanism that normally prevents semen entering the bladder during ejaculation. Patients therefore usually fail to ejaculate through the penis after prostatectomy (retrograde ejaculation), although the sensation of orgasm is unaffected. This affects 75% of patients. Maintaining fertility is not usually important in this older age group, but should the need arise, urine can be filtered to recover sperm for artificial insemination. Erectile impotence follows TURP in 5–10%, a rate similar to other major operations in the pelvis or perineal area. Urethral strictures develop in 1–10% of cases, reflecting the use of relatively large instruments and potentially harmful urethral catheters.
Minor haematuria can be expected during the first few weeks after prostatectomy. Secondary haemorrhage (due to infection or unsuspected cancer) can be more profuse and may cause clot retention, i.e. retention of urine caused by obstructing blood clot. Recovery of complete urinary continence is sometimes delayed following prostatectomy but permanent damage to the sphincter mechanism is rare.
Operation greatly improves the quality of life in most patients. Even in patients over 80, perioperative morbidity and mortality are acceptably low. Nevertheless, a small proportion of severely debilitated, immobile or demented patients are better managed by long-term suprapubic (or urethral) catheterisation, changed regularly by the family practitioner or as a hospital outpatient. In situ urethral stenting is an alternative, although it has a high rate of failure and other complications.
Acute urinary retention may occur in patients with longstanding symptoms of bladder outlet obstruction; indeed in the majority of men with chronic retention, acute retention is the first presentation. It is often precipitated by overfilling of the bladder, faecal loading or urinary tract infection. Acute retention is a common cause of emergency surgical admission and a frequent early complication after any major operation, especially in males; it may therefore occur at any age even without bladder neck hypertrophy or prostatic enlargement. Management of postoperative acute retention is described in Chapter 11.
In a patient with no urine output, acute retention must be distinguished from anuria. However, the diagnosis is not usually difficult—the patient in retention is acutely distressed with abdominal or perineal pain and a readily palpable bladder. A history of previous similar episodes, urological surgery or accidental injury should be sought in case special treatment is required.
Acute retention is usually treated by urethral or preferably suprapubic catheterisation using an aseptic technique (Fig. 35.4). Urethral catheterisation may prove difficult in patients with a history of difficult catheterisation, prostatectomy or urethral stricture, or the finding of a non-retractile foreskin. If the problem appears complex, an experienced opinion should be sought early before risking urethral damage by unwise attempts at urethral catheterisation. Inserting a suprapubic catheter is quick and safe provided the bladder is palpably distended but should be avoided if there is a history of bladder tumour. A surgeon with urological training may elect to carry out cystourethroscopy and appropriate surgical treatment as a single scheduled procedure if catheterisation is not urgent.
A catheter is usually left in situ for 1 or 2 days after relieving the acute retention until the patient has been fully assessed. At this point, the decision is whether to attempt a trial without catheter (TWOC), i.e. test whether the patient can void urine satisfactorily when the catheter is removed, or clamped off in the case of a suprapubic, or whether to proceed directly with surgical or other treatment. Any urinary tract infection must be treated before any trial without catheter or operation.
If appropriate, the catheter should be removed either around midnight or very early in the morning so that a catheter can be replaced before the patient's bedtime if the trial is unsuccessful. Success is if the patient can pass reasonable volumes of urine with each voiding, i.e. more than about 100 ml. Even if passing good volumes, the patient must be examined at intervals to ensure that the bladder is not distending with retained urine indicating chronic retention with overflow. Prescribing an alpha-adrenergic blocker such as tamsulosin for 48 hours before TWOC can increase success rates. Unsuccessful TWOC is an indication for cystourethroscopy and probable surgical treatment. Approximately 50% will pass urine successfully, although up to 50% will have a further episode of retention within 1 year. Men with low urinary flow rates, large residual volumes and palpably large prostates are more likely to develop further retention.
In addition to failed TWOC, other common indications for cystourethroscopy and prostatectomy or bladder neck incision are:
• A huge volume of retained urine released by catheterisation—indicating chronic retention
• Raised plasma urea and creatinine which improve after catheterisation—indicating chronic obstructive uropathy
• Previous episodes of acute retention
• Bladder outflow obstruction caused by carcinoma of prostate
• Acute retention in combination with a history of lower urinary tract symptoms sufficient in themselves to warrant surgery
Indications for permanent urethral or suprapubic catheterisation include:
• Patients unfit for prostatectomy
• Incontinent, elderly patients who are severely debilitated, demented or immobile
• Incontinence due to external sphincter damage caused by previous prostatectomy or invading carcinoma
Recurrent catheter blockage and infection are the major problems of long-term catheterisation. Catheters readily become blocked by epithelial debris or by gradual accretion of calculus. Modern silicone or silicone-coated ‘long-term’ catheters are better but must still be changed regularly every 10–12 weeks. In most cases, they can be changed at home by the GP or community nurse using full sterile precautions because if infection becomes established in the presence of a catheter, it is difficult to eradicate. However, low-grade infection is almost always present in elderly patients and causes little discomfort. Antibiotics should be prescribed only if local symptoms become troublesome or if systemic signs of infection develop.
In paraplegic patients, ureteric reflux predisposes to recurrent upper urinary tract infections. Established infections can lead to progressive renal failure and death at an early age. For these patients, special care must be taken to avoid introducing infection, and urine microscopy and culture should be performed regularly and any infections treated promptly. Intermittent catheterisation, rather than an indwelling catheter, may be a better form of management provided it is performed correctly; in many cases, patients successfully perform this themselves.
Pathophysiology of prostatic carcinoma
Carcinoma of the prostate is common after the age of 65 and is becoming increasingly common in the two decades before that. The rising incidence is partly explained by many more early cases discovered because of increasing public awareness, and screening using PSA testing, particularly in the USA. The rise may also be related to high meat and fat consumption: East Asians living on a predominantly vegetarian diet have the lowest incidence of prostate cancer.
Cancer usually arises in the peripheral prostatic glands rather than in the para-urethral tissue and thus is often slow to intrude on the urethra and cause obstruction. For the same reason, malignant change can occur in the pseudo-capsule of compressed peripheral glandular tissue after benign prostatectomy. Prostate cancers are nearly all adenocarcinomas with a variable degree of differentiation reflected in their behaviour and aggressiveness of local and metastatic spread. The exception is carcinoma of the prostatic ducts which is urothelial in origin and behaves similarly to bladder cancer.
Most adenocarcinomas are well differentiated and contained within the capsule, slowly invading adjacent prostatic tissue and sometimes involving the bladder neck or sphincter mechanism. In many cases, the prostate is already enlarged by benign hyperplasia. Prostate cancer metastasises to pelvic lymph nodes and via the bloodstream to bone (for which it has a particular affinity) and other organs. Tumour cells enter the subcapsular venous plexus then the spinal venous system which may explain the frequency of bone metastases in the pelvis and spinal column. The mean survival time after diagnosis of metastasis is about 2 years.
Most prostatic cancers secrete a glycoprotein, prostate specific antigen (PSA), detectable in the blood even when the tumour remains confined within the gland. More advanced tumours with greater tumour mass produce greater amounts and hence higher blood levels of PSA. Other prostatic conditions (e.g. hyperplasia, prostatitis) may cause elevation of PSA but levels over 10–15 nanograms/ml are likely to be caused by cancer, provided urinary infection can be eliminated as a cause. Specific markers for determining aggressiveness are under development.
The main prognostic indicators are the presenting PSA level, the PSA velocity (i.e. the rate at which it rises) and the histological grading. These factors have complicated the debate about the value of screening for prostatic cancer and the appropriateness of radical ‘curative’ surgery for localised asymptomatic disease. Prostate cancer screening has not been recommended in the UK or Australia. Even in the USA powerful national bodies have come out against it (see Ch. 6).
Many patients have asymptomatic, localised or dormant disease diagnosed incidentally at TURP for presumed benign disease. At autopsy, one-third or more of men over 50 and 90% of men over 90 dying of other causes have microscopic cancer in the prostate and it can be assumed that this is true for the population at large. The natural history of these occult cancers is unknown and many clearly do not progress to become clinically relevant. Even after characteristic local symptoms appear, the disease often pursues a prolonged course and many patients over 70 years of age die with their prostate cancer rather than from it. On the other hand, 50% of patients under 70 with moderately or poorly differentiated cancers will eventually die from the disease and a greater proportion will develop significant morbidity. Patients who suffer from other life-threatening co-morbid conditions should be offered an ‘active monitoring’ policy unless their metastases are symptomatic.
Symptoms and signs of prostatic cancer depend on the degree of local and systemic spread. Clinical staging is most commonly based on the TNM system (see Fig. 35.5). Incidence of pelvic lymph node involvement varies from 2% in T1 tumours to 85% in T5 tumours. The palpation characteristics of the malignant prostate are illustrated in Figure 35.1 (p. 446, 450).
Patients with stage T1 or T2 tumours may be asymptomatic. They may be discovered incidentally or on a routine health check, or present with lower urinary tract symptoms equivalent to those of benign hyperplasia. Those with T3 and T4 tumours may present in the same way but many develop other local symptoms from advancement of the primary tumour, e.g. encirclement of the rectum or occlusion of ureters and presenting with renal failure. Patients with nodal disease (N+) may have symptoms from local compression (swollen legs) and impaired lymphatic drainage (penile and genital oedema). Unfortunately, T3 and T4 lesions have often metastasised already by the time of presentation (M+) and present with bone pain, pathological fractures (e.g., of the femur) or spinal cord compression. Thus older men presenting with backache should always have a rectal examination and PSA assay. In more advanced cases, non-specific symptoms of malaise, fatigue, weight loss and anaemia may develop and escape recognition for many months. Respiratory problems from pulmonary carcinomatous lymphangitis are an uncommon presentation.
Rectal examination can sometimes reveal the primary diagnosis. On palpation of a T1 tumour, the prostate appears normal or smoothly enlarged by benign hyperplasia; stage T2 typically presents with a nodular, asymmetrical surface, and stage T3 with a large, hard, irregular gland with evidence of extension beyond the capsule or into the seminal vesicles. A tumour fixed to bone or adjacent pelvic organs is stage T4. Local spread may involve the rectum (causing changes in bowel habit) or the bladder neck and ureters (causing incontinence, impotence or rarely obstructive renal failure). At this late stage, the tumour is obvious on rectal palpation. In very advanced cases where cancer has invaded laterally to involve the pelvic walls or encircle the rectum, the pelvis may appear ‘frozen’ solid with tumour. Some patients develop major deep venous thrombosis affecting the lower limb. Modes of presentation of carcinoma of the prostate are summarised in Box 35.3.
Unless the prostate feels malignant or there are obvious bony metastases, it may be impossible to distinguish clinically between benign disease and prostatic carcinoma. Transrectal ultrasonography is used to image the prostate irrespective of the findings on palpation and to guide transrectal needle biopsy if necessary. Serum PSA should be measured but results must be interpreted with caution, as modestly rising levels with advancing age are accepted as normal. A normal PSA result cannot exclude carcinoma confined to the gland; PSA is normal in 25% of these cases. Substantially elevated PSA usually indicates aggressive local disease or more often, metastatic disease, although false positive results can occur in benign prostatic hyperplasia or inflammation (prostatitis). If carcinoma can be effectively excluded, any obstruction may be treated in the usual way by prostatectomy and the specimens examined histologically. At operation, carcinoma is suspected if the gland lacks the usual clear plane of cleavage.

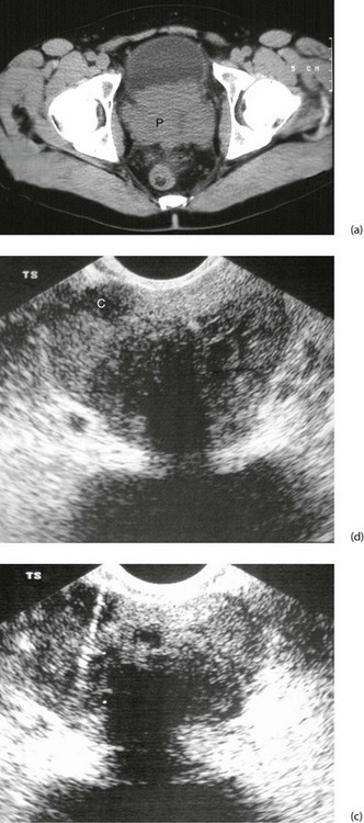
Fig. 35.7 Carcinoma of the prostate
(a) CT scan showing a large carcinoma of the prostate P invading extensively into the bladder anteriorly and posteriorly towards the rectum. This was a late and aggressive form of the disease and the patient lived less than 1 year. (b) and (c) Ultrasound guided biopsy. (b) Transrectal ultrasound scan of prostate showing a small cancer C within the peripheral zone and an acoustic shadow beyond it. The larger central zone is enlarged by benign hypertrophy. (c) After transrectal biopsy. The white line represents bubbles of air left after successful needle biopsy of the tumour
If a patient has skeletal pain, X-rays and radionuclide bone scans are indicated. On X-ray, prostatic bony metastases are typically sclerotic or osteoblastic (i.e. dense, appearing white on X-rays) rather than lytic (as in most other bony secondaries), giving the characteristic patchy ‘cotton-wool’ appearance shown in Figure 35.6. Some lesions, however, are radiolucent. An isotope bone scan can reveal metastases even when a plain X-ray is normal.
Early-stage disease (stages T1 or T2; N0, M0)
Radical prostatectomy or radical radiotherapy is potentially curative for organ-confined disease, i.e. disease confined to the prostate or ‘true’ stage T1 and T2, and there is enthusiasm for radical local treatment at specialist centres. If external beam radiation therapy is chosen, it is delivered so as to provide a high local tumour dose without adversely affecting the rectum. Cyber Knife radiotherapy claims greater precision. There is a revival in the use of radioactive seed implants (brachytherapy) as an alternative to external beam therapy; the seeds can be placed accurately under ultrasound control and provide the necessary high but localised dosage.
One treatment option for patients with low-grade, impalpable, organ-confined prostate cancer remains active monitoring until there is evidence of increased disease activity (rising PSA or detectable nodule on palpation). This gives outcomes equivalent to radical treatment for all patients and spares many the side-effects of radical treatment. There is, however, evidence of improved survival with radical treatment in patients with moderate to high-grade organ-confined disease compared to active monitoring although there is not yet any foolproof way of selecting these.
Radical prostatectomy entails risks such as incontinence or impotence, although complication rates are lower using advanced surgical techniques, including robotic-assisted radical prostatectomy (RARP); RARP or laparoscopic prostatectomy have become the operation of choice in many centres. Patient selection for radical treatment is important in terms of the cancer characteristics (staging, PSA level and tumour volume) as well as patient characteristics (co-morbidity, age, sexual function and patient preference). Patients must be fully counselled in the range of treatment options (including no treatment) and their complications.
For patients presenting with bladder outlet symptoms, standard transurethral resection may relieve urinary symptoms; TURP may, however, risk permanent incontinence if the tumour has invaded the sphincter mechanism or the nerves controlling it. Further treatment then depends on local practice and patient preference. Locally advanced primary disease (stage T3) is usually treated by neoadjuvant radiotherapy (before the principal therapy) or adjuvant radiotherapy, with or without hormone therapy.
Many patients still present with metastatic disease. In these, the aim of treatment is to control symptoms and to retard the progression of disease. For patients presenting with bladder outlet symptoms, standard transurethral resection or ‘channel TUR’ usually restores urinary flow.
Most prostatic cancers are androgen-dependent, at least initially, and hormonal manipulation is the mainstay of treatment of advanced disease. Local radiotherapy is frequently effective for treating painful metastases. Pathological fractures in the sclerotic metastases of prostatic cancer are much less common than in the lytic metastases of other cancers. This is fortunate since the dense bone is more difficult to cut and drill than normal bone should internal fixation be needed.
Most cancers depend on the presence of male sex hormones for their growth and are rendered quiescent, at least for a time, by pharmacological or surgical castration. Three main treatment options are available:
• LHRH agonists (LHRHa) such as goserelin. These drugs need to be injected at 4–12 weekly intervals. Therapy causes initial stimulation of luteinising hormone (LH) release from the pituitary, which in turn causes increased testicular testosterone secretion for up to 2 weeks. This is followed by inhibition of LH release by competitively blocking the receptors, resulting in an ‘anorchic’ state. Hot flushes and sexual dysfunction are the major side-effects. Many patients experience a ‘flare’ of symptoms in the first 2 weeks, aggravating bone pain or spinal cord compression. For this reason, the first 2–3 weeks are usually covered by anti-androgen therapy (e.g. cyproterone acetate or flutamide)
• Removal of both testes by subcapsular orchidectomy. This is a quick and simple scrotal operation and removes about 95% of testosterone synthesised (the rest is from the adrenals), producing an immediate fall in plasma testosterone. The testicular capsules are left in situ and these fill with blood clot and preserve the scrotal contour. There are few side-effects other than hot flushes and sexual dysfunction, and no serious long-term sequelae
• Anti-androgen drugs such as cyproterone acetate or flutamide. These block the binding of dihydrotestosterone to its receptor at cellular level and, in contrast to LHRH agonists, block both testicular and adrenal testosterone. Flutamide may preserve the potential for sexual arousal for longer and may be the preferred treatment for younger patients with advanced disease
Almost inevitably, prostatic cancer eventually escapes its androgen dependency and becomes refractory to hormonal treatment. The mechanism is unknown but occurs at a mean of 2 years after commencing treatment in M+ and 5 years in N+ M0 disease. When this occurs, secondary or salvage treatment with diethylstilbestrol may be of value. This is a synthetic androgen and suppresses LHRH secretion from the hypothalamus, but has a high rate of serious thromboembolic side-effects. Bone metastases can sometimes be palliated by intravenous radioactive strontium. Non-hormone chemotherapy has little to offer, and often only symptomatic and general palliative measures can be offered. The principles and techniques of palliative care are described in Chapter 13. The management of prostatic carcinoma is summarised in Box 35.4.
Bacterial prostatitis is an uncommon inflammatory disorder of the prostate usually caused by coliforms, Chlamydia or Neisseria. Mycoplasma may also have a role. It occurs in acute and chronic forms. Urinary tract infection or instrumentation may be a predisposing factor.
Acute prostatitis is characterised by perineal pain and fever. Prostatic swelling may also cause bladder outflow obstruction and urinary frequency. The prostate is exquisitely tender on rectal examination and prostatic massage is inadvisable as it may precipitate bacteraemia.
Initial treatment is with intravenous antibiotics such as gentamicin until the patient is apyrexial and then an oral quinolone antibiotic for 6 weeks. Infective prostatitis may be the first presentation of diabetes mellitus.
Chronic prostatitis presents with chronic, low-grade perineal and suprapubic pain. Symptoms and signs are often vague and the diagnosis is sometimes made on insufficient grounds. Around 5% of cases are due to chronic bacterial infection, most commonly by coliforms, whereas in 95%, no infective cause can be found. Other theories of causation such as autoimmunity and intraprostatic urinary reflux have been proposed.
Treatment is with appropriate antibiotics according to culture and sensitivity of prostatic fluid obtained after prostatic massage. Anti-inflammatory drugs may be used in addition to or instead of antibiotics, particularly in the non-infective cases; alpha-adrenergic blockers may also be employed.