Nearly all head and neck disorders reaching the general surgeon are lumps, including abscesses. Referrals are often made to exclude malignancy whilst some are for surgical treatment of a metabolic disorder such as thyrotoxicosis or hyperparathyroidism. There is a large overlap with other specialties in this area, particularly ENT, oral and maxillofacial surgery, plastic and reconstructive surgery and dermatology.
Thyroid swellings may be confused with other anterior neck swellings, so head and neck examination must include the thyroid area, described in Chapter 49.
Mouth problems are managed by oral and maxillofacial surgeons but patients often seek advice first from another clinician. Thus most doctors, particularly in an accident department, should understand the essentials of oral and dental disease and their management (see also Ch. 48).
Many different tissues are concentrated here, so there is a profusion of conditions causing lumps. Box 47.1 provides a simple classification.
As always, the history provides important clues to the diagnosis. The patient's age, the rate of growth of the lump and symptoms such as pain, discharge or swelling related to eating (‘mealtime syndrome’) may point to the diagnosis.
Most lumps are best examined with the patient sitting so the examiner can palpate from in front and behind. The examiner should establish the characteristics of the lump (Box 47.2) and determine how it relates to overlying or underlying structures. For example, a lump in the cheek may originate in skin, parotid, buccinator muscle, oral mucosa or parotid duct. In clinical exams, it is useful to describe the characteristics as if to someone who cannot see the patient.
With a lump or swelling, the whole of scalp, back of neck and skin behind and in the ears should be examined. Head and neck lymph nodes must be palpated. A simple method considers nodes lying in two planes, horizontal and vertical (Figure 47.1) which can be examined systematically. For lumps in the lower half of the face or submandibular region, the oral cavity should be examined to exclude salivary gland lesions, oral malignancies or sources of infection such as a dental abscess. For lumps in the parotid region, the integrity of the facial nerve should be tested since malignant tumours often cause neurological deficits. If the presenting complaint is lymph node enlargement, endoscopy of upper airways and pharynx may be necessary to exclude primary tumours or infected lesions.
For many doctors, asking the patient to open the mouth represents the entire oral examination. The simple technique illustrated in Figure 47.2a–d, will enable most significant lesions to be seen without special instruments or lighting.

Fig. 47.2 Technique of oral examination
Teeth, gums and buccal sulci can be inspected by retracting the lips with wooden spatulas or fingers (a). The palate is inspected by tilting the patient's head back and retracting the lips, and the floor of the mouth and movements of the tongue examined as shown in (b). The parotid papilla is demonstrated in (c). Finally, bimanual palpation of the submandibular area, including the course of the submandibular duct, is performed with a gloved finger inside the mouth, as shown in (d)
First, the patient should remove dentures. Then lips and their mucosal lining, and the lining of cheeks and gums are inspected. To do this, the lips are retracted by the examiner's gloved fingers or a wooden spatula and the mouth illuminated with a pen torch. Teeth are inspected for obvious decay and gum inflammation. A flap of gum over a partially erupted lower wisdom tooth can cause painful inflammation (Fig. 48.6).
If parotid disease is suspected, the duct papilla opposite the upper second molar should be identified and palpated. If the patient has dentures or irregular teeth, inspect for papillary scarring causing obstruction. The palate is best examined if the patient tilts the head backwards. Finally, the tongue and floor of the mouth are inspected for mucosal lesions. To assist, the patient first protrudes, then elevates the tongue.
Lumps in the floor of the mouth, submandibular area and cheeks should be palpated bimanually as shown in Figure 47.2d. Lumps in these areas are often mobile and tend to move away from examining fingers.
There are three pairs of major salivary glands, parotid, submandibular and sublingual. The parotid produces serous (watery) saliva, the submandibular a mixed seromucous saliva and the sublingual a mucous secretion. The parotid and submandibular glands each drain into the mouth via long ducts, whereas the sublingual drains via small ducts into the floor of the mouth.
Surgical disorders of major salivary glands include benign and malignant tumours, stones, bacterial and viral infections and rare autoimmune disorders, all of which present as salivary gland lumps. The oral mucosa also contains numerous small ‘minor’ salivary glands which can undergo neoplastic change or form retention cysts.
Pleomorphic adenoma is the most common lump in the parotid and by far the most common salivary gland neoplasm. In this gland, 80% are benign and of these 80% are pleomorphic adenomas. They present in middle age or later, and both sexes are equally affected.
Pleomorphic adenomas are derived from salivary gland epithelium and are benign but show variable differentiation. The name comes from the varied histological appearance. Columns and islands of neoplastic epithelial cells are separated by myxomatous connective tissue stroma, often with areas resembling immature cartilage. Some without myxomatous tissue are described as monomorphic.
Although they do not metastasise, pleomorphic adenomas are often poorly demarcated from surrounding tissue and have a 1% risk per year of undergoing malignant change. There is usually a well-defined thin capsule, but the surface is nodular, an important point when attempting removal.
Clinically, pleomorphic adenoma presents as a very slowly growing, painless lump (see Fig. 47.3). Most are in the parotid, some in the submandibular gland and a few are in minor salivary glands.

Fig. 47.3 Pleomorphic adenomas of the parotid
(a) Small lesion in the typical position below the ear lobe, between the posterior border of the ramus of the mandible and the upper end of the sternomastoid. (b) Larger lesion in an older man. This had been present at least 4 years before the patient presented. (c) Pathological specimen of large pleomorphic adenoma removed by extracapsular dissection. On the left the specimen has been freshly removed and shows the typical knobbly surface. On the right, the fixed and cut specimen shows the variegated and predominantly myxomatous appearance
Most parotid tumours occur in the superficial part, external to the facial nerve plane. Occasionally, they occur in the deep part in intimate association with the facial nerve. In either case, the tumour can extend between the nerve branches, but being benign, it does not invade the nerve to cause facial palsy. Facial nerve damage is a risk during excision, especially of deeper lesions. Patients should be warned of this possibility before operation.
If an older patient has a slowly growing solid parotid lump without facial palsy, it is best to assume it is a pleomorphic adenoma or Warthin's tumour (adenolymphoma). Definitive diagnosis can usually be made by ultrasonography and fine needle aspiration cytology, and confirmed histologically after excision. If malignancy is suspected, CT scanning may be needed.
Treatment: Treatment is by excision. For superficial lesions, the standard operation has long been superficial parotidectomy to excise all glandular tissue superficial to the facial nerve, but nowadays many surgeons perform extracapsular dissection of the lump alone. In benign disease this cures the problem and carries a lower risk of side-effects, particularly facial nerve damage and Frey's syndrome of gustatory sweating (see below). Recurrence is uncommon with either procedure. For deeper lesions, an attempt should be made to excise the entire lesion, carefully identifying and preserving the facial nerve branches. Again, extracapsular dissection may be the safer option.
Complications of parotid surgery: The main complication is facial nerve damage. Damage to the temporal or upper zygomatic branches may prevent complete closure of the eye, leading to corneal drying and damage. Mandibular branch damage causes weakness at the angle of the mouth and embarrassing salivary dribbling. Nerve damage may also complicate submandibular gland excision: the mandibular branch of the facial nerve is vulnerable if the incision is incorrectly sited, and the lingual and hypoglossal nerves lie close to the deep surface of the gland. Damage causes unilateral tongue wasting and numbness respectively.
Salivary fistula is an occasional complication following parotid surgery, causing saliva to leak onto the face at mealtimes. The fistula usually resolves spontaneously after several weeks.
Frey's syndrome is a late complication of superficial parotidectomy in 25% or more cases but is virtually unknown after extracapsular dissection. It probably results from divided parasympathetic secretomotor fibres regenerating in the skin where they assume control of sweat gland activity. Facial sweating occurs in response to salivatory stimuli; known as gustatory sweating, this can be embarrassing. It is often managed by injection of botulinum toxin.
This unusual benign lesion constitutes less than 10% of salivary neoplasms, and occurs almost exclusively in the parotid. They usually arise after middle age and there is a male predominance and a strong association with cigarette smoking. They sometimes occur bilaterally (up to 10%), at the same time or at different times.
Histologically, the tumour is composed of large glandular acini. The epithelium is embedded in dense lymphoid tissue with lymphoid follicles. Histogenesis is not understood, but the glandular part may be hamartomatous salivary duct tissue within a normal parotid lymph node.
Adenolymphomas are benign. They present as a parotid lump, clinically indistinguishable from pleomorphic adenoma. The diagnosis can sometimes be made by fine needle aspiration cytology, then either enucleated or left alone. Adenolymphomas do not recur, but a satellite lesion may enlarge and present as another tumour.
Malignant tumours are rare in major salivary glands but predominate in tumours of minor (accessory) salivary glands scattered throughout the oral mucosa. With parotid lumps, facial nerve weakness is diagnostic of malignancy. Most primary malignant tumours are adenocystic carcinomas (or less accurately cylindromas). The remainder include rare epithelial acinic cell carcinoma and squamous cell carcinoma. In Australia, the most common parotid tumour is malignant melanoma invading from skin. Overall, the commonest parotid malignancy is metastatic squamous carcinoma from a scalp primary.
Adenocystic carcinomas have a characteristic cribriform (sieve-like) microscopic appearance with small spaces in a tightly packed tumour cell mass. These are highly invasive with early regional and systemic metastasis. Treatment involves wide mutilating surgery which sometimes destroys the facial nerve. Unfortunately, recurrence is very common and may occur as long as 15 years after apparently successful eradication. The tumours are unresponsive to radiotherapy and prognosis is almost uniformly poor.
Lymph nodes within the parotid may become involved by metastases from face or scalp cancers. Similarly, secondaries from the mouth may develop in submandibular gland nodes. Finding a parotid or submandibular lump should therefore prompt a search for a primary locally, including the pharynx. Lymphomas, particularly arising from mucosal associated lymphoid tissue (MALT) also sometimes affect lymph nodes within salivary glands.
The submandibular gland and duct are prone to form calcified stones (calculi) which obstruct salivary outflow and predispose to infection. Calculi also occur in the parotid duct but much less commonly. The aetiology is unknown, but the submandibular gland may be vulnerable because of its more viscid secretion and elongated duct.
Stones are not the only cause of obstruction causing gland swelling. In parotid and submandibular gland, duct orifice trauma may cause stenosis and salivary stasis.
Submandibular stones may be found anywhere along Wharton's duct (Fig. 47.4), including its course within the gland. Stones vary from several millimetres to a centimetre in diameter. Those in the distal duct tend to have an elongated ‘date stone’ shape (see Fig. 47.5a).
Salivary calculi rarely cause complete obstruction but the patient usually experiences intermittent swelling or pain at mealtimes when salivary flow is high. The swelling then subsides over the next hour or so. Acidic foods such as lemon juice stimulate rapid salivary flow, and can be used as a test in clinic. Pain is not usually a prominent feature; rather, patients describe a sensation of fullness. Salivary calculi occasionally present with acute or chronic bacterial infection (sialadenitis). Secondary infection in the obstructed system leads to rapidly worsening symptoms and even spreading cellulitis of the floor of the mouth (Ludwig's angina, Fig. 47.6).
Most of the submandibular gland lies deep to the mandible and so there may be little to see on externally. In symptomatic stone disease, bimanual submandibular palpation usually confirms the gland is enlarged and firm. This involves a gloved finger palpating the floor of the mouth and the other hand below the jaw; any swelling can be felt between the two. This is the only clinical way to assess the gland size and may palpate a stone in the duct. Palpation is performed from the back towards the front of the mouth to avoid displacing a mobile stone backwards into the gland. On intraoral examination, a stone may be visible if impacted at the duct orifice.
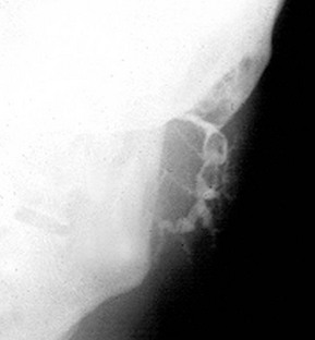
Plain X-rays demonstrate most calculi. For the submandibular gland and duct, an occlusal film held between the teeth shows the floor of the mouth, and a lateral oblique gives a second viewpoint. For the parotid, AP and lateral views are often used. Contrast radiography of the ducts (sialography) is sometimes indicated if the history suggests stone disease yet no stone is palpable or visible on plain X-ray, although this has largely been replaced by ultrasound. Sialography (Fig. 47.7) requires cannulation of the salivary duct which may reveal a stenosis of the orifice and may relieve symptoms temporarily. Stenosis alone of any part of the duct may produce symptoms similar to calculus obstruction.
The anterior two-thirds of the submandibular duct lie in the floor of the mouth and calculi here are removed via an intraoral (Fig. 47.5a) approach. Immediately before operation, the stone should be confirmed to be present by palpation or X-ray. Operation may be performed under local or general anaesthesia. A longitudinal incision is made in the duct over the stone and the stone lifted out. If the stone is impalpable, the duct is incised from the orifice backwards and the stone removed with forceps. The incision is not sutured but left open to improve salivary drainage. Stones can also be removed endoscopically or destroyed by lithotripsy.
Less commonly, calculi lie within the gland where they are often multiple (Fig. 47.5c–e). The usual treatment is to excise the entire submandibular gland via an incision below the mandible, placed to avoid damaging the mandibular branch of the facial and avoiding the hypoglossal nerve.
Parotid duct stenosis may respond to dilatation and attention to the dentition causing trauma. If this fails, ductoplasty can be performed, although this is often unsuccessful.
The salivary glands are subject to infection by viruses (such as mumps) and by bacteria. Mumps is rare outside childhood and young adulthood, is usually bilateral, and resolves spontaneously. It is rarely a surgical problem unless secondary bacterial infection occurs. The glands may also be affected by autoimmune disorders such as Sjögren's syndrome.
Acute parotitis was once common in postoperative patients because of dehydration and poor oral hygiene but is now rare because of intravenous fluids and nursing attention to mouth care. It now usually occurs in elderly, dehydrated or debilitated patients, or in children, arising from a suppurating lymph node within the parotid capsule. Dehydration and reduced salivary flow encourage ascending infection with resident oral flora, usually Streptococcus viridans or pneumococci. The result is a painful, unilateral swelling and trismus (limited mouth opening), pyrexia and tachycardia. The parotid is tender and diffusely enlarged and a purulent discharge may ooze (or can be ‘milked’) from the duct orifice.
Bacterial sialadenitis should be treated promptly with antibiotics. If a parotid abscess has formed, external surgical drainage may be necessary.
Prolonged calculus obstruction of a major salivary gland causes chronic inflammation. Glandular secretory elements progressively atrophy and are replaced by fibrous and adipose tissue. The duct system becomes dilated, fibrotic and infiltrated by chronic inflammatory cells. Chronic sialadenitis and salivary calculi usually involve the submandibular gland. The gland is swollen and there may be purulent duct discharge. The swelling is aggravated by eating. Treatment is by removing the duct obstruction; antibiotics may also be necessary. Glandular function may become irreversibly damaged, and the gland may require removal, although this is difficult because of fibrosis.
This uncommon condition may occur at any age and usually affects the parotid. One or both glands are subject to recurrent attacks of painful swelling. The cause is low-grade bacterial infection usually without duct obstruction. Recurrent attacks cause chronic swelling. Sialography shows dilatation of the duct system with terminal sacculation described as sialectasis. The cause is often a duct orificial stenosis, or stenoses of unknown origin proximally in the duct.
Immediate treatment includes antibiotics, chosen after culture of parotid duct discharge, as well as attention to oral hygiene. Ductoplasty to open the duct orifice is often successful. If sialography shows remote duct stenoses, these can sometimes be dilated using balloons similar to angioplasty devices.
The salivary glands occasionally become involved in a chronic inflammatory process characterised by diffuse lymphoid infiltration and fibrosis. This is part of various poorly understood autoimmune disorders which also involve lachrymal glands and mucous glands of mouth and upper respiratory tract. The parotid and submandibular glands become diffusely and symmetrically enlarged, and salivary production is curtailed. The resulting dry mouth (xerostomia) causes discomfort and dysphagia and predisposes to rampant dental caries. Diminished lachrymal secretion results in keratoconjunctivitis sicca affecting the eyes.
In isolation, the condition is known as primary Sjögren's syndrome. It may also occur in rheumatoid arthritis and other connective tissue disorders when it is known as secondary Sjögren's syndrome.
Large retention cysts sometimes develop in the floor of the mouth. A cyst of the sublingual gland can reach several centimetres and is known as a ranula (frog mouth). The ranula typically appears as a blue-grey dome-like swelling beneath the tongue. It may burst spontaneously, discharging its contents and collapsing, but it almost invariably recurs. The condition is painless but occupies space in the mouth. Excision is difficult because of the tenuous lining and because of the proximity to vital structures in the floor of the mouth; incomplete removal leads to recurrence. The usual treatment is excision of the sublingual gland, although marsupialisation is an option, i.e. de-roofing the cyst so that it opens into the floor of the mouth. Ranula may present as a lump in the neck, the so-called plunging ranula.
Patients are often referred to a surgeon for biopsy of an enlarged cervical lymph node, often with no other symptoms or signs. Isolated lymph node enlargement may be caused by local disease in its field of drainage. Examples of local disorders include tonsillitis or dental infection, tonsillar tuberculosis or a malignant oropharyngeal tumour. Nodes draining a bacterial infection may themselves suppurate, sometimes after the primary disorder has disappeared (see Fig. 47.8). Enlarged nodes may be part of a systemic lymphadenopathy caused by glandular fever, lymphoma or HIV. Thus, any patient presenting with an enlarged lymph node requires general examination as well as of the head, neck and mouth. The latter often includes endoscopy of the pharyngeal area, usually by a specialist ENT surgeon (otorhinolaryngologist).

Fig. 47.8 Suppurating lymph node in the neck
This patient presented with a suppurating node in the neck which required external drainage. The primary site of sepsis was a dental abscess on a lower molar tooth
General clinical examination includes axillary and inguinal lymph nodes, liver and spleen. A chest X-ray may show enlarged thoracic nodes. If node biopsy is necessary, a fine needle aspiration or core biopsy under ultrasound control may suffice, although some pathologists are unhappy with needle biopsies in lymphoma. If excision biopsy is required, this should always be performed under general anaesthesia if practicable, since the operation is often unexpectedly troublesome because nodes are intimately related to many vital structures and preoperative palpation underestimates the size and extent of node involvement.
Tuberculosis involving the cervical glands (scrofula) was once common, with the infection acquired by drinking milk from cattle infected with bovine tuberculosis. Cervical tuberculosis is now extremely rare in developed countries but may be seen in recent immigrants. The primary infection occurs in the tonsils but presents with secondary involvement of cervical nodes which become progressively enlarged and matted. In advanced cases, liquefaction of caseous material forms cold abscesses. If untreated, these eventually drain spontaneously onto the neck and leave disfiguring scars.
In the past, surgery was often required to drain and remove the affected glands. With modern chemotherapy this is rarely necessary and surgery is confined to diagnostic excision biopsy.
An enlarged cervical lymph node is a common presentation of non-Hodgkin lymphoma or Hodgkin's disease. The disease is often at an early stage without other clinical symptoms or signs. The diagnosis is made by histological examination of a biopsy specimen.
Cervical lymph node metastases may originate from primary cancers in the head or neck, chest or abdomen. An enlarged node may be the first indication of a cancer or represent a recurrence following treatment.
Head and neck cancers usually metastasise initially to nodes in the submandibular region and upper anterior triangle, although disease lower in the neck at presentation is not unusual. The following head and neck tumours commonly metastasise to cervical lymph nodes:
• Squamous carcinoma or melanoma of the skin of neck, face, scalp and ear
• Squamous carcinoma of mouth and tongue
• Squamous carcinoma of nasopharynx, oropharynx, larynx and paranasal sinuses. Note the primary tumour may be exceedingly small
• Adenocystic carcinoma of major or accessory salivary glands
• Papillary (and occasionally medullary) carcinomas of the thyroid
In contrast, tumours from the chest or abdomen usually metastasise to the lower part of the posterior triangle, particularly to Virchow's node (Fig. 47.9), lying deeply in the angle between sternocleidomastoid and clavicle on the left side.
A variety of congenital cystic lesions occur in the head and neck and some may have an external sinus opening. All are uncommon except in clinical ‘short-case’ examinations! They can be subdivided into thyroglossal cysts, branchial cysts, fusion-line dermoid cysts, pre-auricular cysts and sinuses, and cystic hygromas (now termed lymphatic malformations). All are true epithelial cysts except for cystic hygroma which is a hamartomatous lymphatic or lymphovascular malformation.
The embryological origin of these is disputed but they probably arise from remnants of the second pharyngeal pouch or branchial cleft. Branchial cysts usually present in early adulthood but sometimes later (Fig. 47.10). Such late presentation is unusual for congenital lesions generally. The patient typically complains of a painless swelling in the side of the neck which varies in size. Some present with a sudden painful red swelling due to inflammation of a previously unnoticed cyst.
The lump lies anterior and deep to the sternocleidomastoid, at the junction of its upper third and lower two-thirds. It protrudes into the anterior triangle of the neck and is soft and fluctuant. Provided it is not inflamed, the cyst usually transilluminates. Treatment is by surgical excision; percutaneous drainage is rarely permanent. Inflamed cysts may require urgent drainage.
Branchial sinus or fistula present as a discharging sinus near the lower end of the anterior border of the sternocleidomastoid. A sinus ends blindly on the lateral pharyngeal wall whereas a fistula communicates with the oropharynx near the tonsillar fossa. Surgical excision may be required.
Dermoid cysts of congenital origin arise from epithelial remnants along lines of embryological fusion in the head and neck. The most common are external angular dermoids, cystic swellings at the outer aspect of the supraorbital ridge usually noticed soon after birth. These cysts are tense and firm and do not transilluminate because of their thick keratinous contents. They are deeply fixed and immobile. External angular dermoids are usually removed for cosmetic reasons during childhood.
Midline dermoid cysts are described as teratoid cysts because they contain a mixture of ectodermal, mesodermal and endodermal elements (e.g. nails and teeth, glands, blood vessels). Rarely, dermoid cysts can arise in the midline of the head or neck, usually during the first year of life. They should be removed surgically.
Small cysts and sinuses may arise from developmental abnormalities of the first and second branchial arches that form the external ear. They become evident in early childhood, lying anterior to the tragus of the ear and present as a small lump or a tiny discharging sinus that occasionally becomes infected. There may be an obvious associated auricular abnormality. Treatment is usually by surgical excision.
Cystic hygromas are not true cysts but lymphatic or lymphovascular hamartomas which form multilocular cyst-like spaces. They may be huge and disfiguring lesions present at birth. Smaller lesions may present in older children or adolescents as a painless lump in the neck below the angle of the mandible and are soft and fluctuant and highly transilluminable. Surgical excision may be difficult as they often extend deeply into cervical and orofacial tissues. Injection of sclerosants such as bleomycin are gaining popularity.
Actinomycosis is a rare infection of the cervicofacial region caused by Actinomyces israelii, an anaerobic Gram-positive bacterium with a filamentous growth pattern similar to fungal mycelia. Actinomycosis is a chronic granulomatous infection which if untreated eventually forms multilocular abscesses that drain to the skin via multiple sinuses.
Actinomycosis is treated with a prolonged course (4–6 weeks) of high-dose penicillin. If necessary, the abscess network is surgically explored and drained. Actinomycosis also occurs in the ileocaecal area, gaining access from appendiceal perforation. Rarely, the infection is encountered in the pelvis, complicating intrauterine contraceptive devices.