9 Pulmonary Disorders

Andrea M. Kline-Tilford, Lauren R. Sorce, Daniel L. Levin, Nick G. Anas

image Be sure to check out the supplementary content available at http://evolve.elsevier.com/Hazinski.

Pearls

Acute disease of the respiratory tract is the most common cause of illness in infancy and childhood.

Respiratory disease is frequently present in critically ill or injured children; it may be present as a primary clinical problem or as a secondary complication.

Altered level of consciousness in an infant or child with respiratory disease is often an ominous sign of deterioration.

Children can have adequate oxygen saturation as documented by pulse oximetry, but they may be hypoxic because of inadequate oxygen delivery.

Airway resistance increases exponentially as airway lumen size decreases.

Once the PaO2 falls below 60   mm   Hg, even small additional decreases in PaO2 are associated with a significant fall in arterial oxygen saturation and therefore in arterial oxygen content.

Hypercarbia is difficult to detect clinically.

Essential anatomy and physiology

The primary functions of the respiratory system are to move oxygen from the air into the blood and to move carbon dioxide from the blood into the air. This process is known as gas exchange. Gas exchange is adequate if arterial oxygen tension (PaO2) and arterial carbon dioxide tension (PaCO2) are maintained in the normal range. Gas exchange is either inadequate or excessive if these blood gas tensions are abnormal. Ventilation, measured by the elimination or accumulation of PaCO2 is the product of breathing frequency (f) and tidal volume (VT).

Oxygen and carbon dioxide move between air and blood in the lung by simple diffusion—that is, gases move from an area of high partial pressure to an area of low partial pressure. The respiratory muscles bring oxygen-rich, carbon dioxide-poor air through branching airway tubes to the alveolar air spaces. Oxygen-poor, carbon dioxide-rich systemic venous blood is pumped by the right ventricle through branching pulmonary arteries to lung capillaries, located within the walls of the alveoli. Virtually all cardiac output enters the lungs. Each red blood cell spends approximately 1   second exposed to alveolar air, a brief time that is more than adequate for the complete equilibration of oxygen and carbon dioxide between alveolar gas and capillary blood.

Embryology of the Lung

The respiratory system begins to develop by the fourth week of gestation. A lung bud branches from the primitive esophagus and eventually forms the airways and alveolar spaces. The pulmonary arteries form near the branching airways and their growth matches the growth of the airways. Although virtually all other body systems are physiologically ready for extrauterine life by as early as 25 weeks' gestation, the lungs require more time to mature. Thus lung maturity is the single most important factor that determines whether a premature infant can survive extrauterine life. Table 9-1 summarizes development of the respiratory system. Although the number of airway branches is fixed at birth, airway dimensions increase until the child is approximately 8 years old.202 Alveoli multiply rapidly from an estimated 20 million alveoli at birth to 200 million by 3 years of age, and the number decreases thereafter. The alveolar surface is lined with type I and type II epithelial cells that are well developed at birth.99

Table 9-1 Fetal Respiratory System Development

Period of Gestation Development
26 days Lower respiratory system begins to develop until separation of the respiratory tract from the foregut is achieved
5 weeks Lung buds form and begin to differentiate into the bronchi
7-10 weeks Development of the larynx
5-16 weeks Twenty-four orders of airway branches are formed
13-25 weeks Canalicular period; bronchi enlarge and lung tissue becomes highly vascular
26-28 weeks Lungs are capable of gas exchange; type II alveolar cells secrete surfactant
24 weeks to birth Capillary network proliferates around the alveoli; approximately 8%-10% of cardiac output flows through the lung; pulmonary vascular resistance is high

Anatomy of the Chest

The thoracic cavity is formed by the ribs, intercostal muscles, and diaphragm, and it contains both lungs and the mediastinal structures. The right lung is composed of three lobes, and the left lung is composed of two lobes.49 The heart, great vessels, nerves, trachea, and esophagus are located within the mediastinum. Pleural tissue covers each lung and adheres to the surface of the diaphragm and inner surface of the chest wall.

The diaphragm is the principal muscle of inspiration. If the chest wall is sufficiently stiff and expands during inspiratory contraction of the diaphragm, thoracic volume increases in both longitudinal and transverse dimensions, and thoracic cavity pressure decreases.

The diaphragm is innervated on each side of the chest by the phrenic nerve, which is formed by the third, fourth, and fifth cervical spinal nerves. In older children and adults, the chest wall is relatively rigid compared with the chest wall of the neonate and infant. Therefore, when the diaphragm contracts in older patients, intrathoracic pressure falls in proportion to the movement of the diaphragm, and air moves into the lungs (Fig. 9-1).

image

Fig. 9-1 Chest cavity and related structures. A, Anterior view. B, Cross section.

(From Thompson JM, et al: Mosby's manual of clinical nursing, ed 2, St Louis, 1989, Mosby.)

The ribs angle downward, from back to front, so that contraction of the external intercostal muscles will elevate the rib cage. The chest wall of an infant is compliant, and the external intercostal muscles stabilize the chest wall. When respiratory disease develops, pulmonary compliance is reduced. When the diaphragm contracts and produces a decrease in intrathoracic pressure, intercostal and sternal retractions develop rather than inflation of the lungs (Fig. 9-2). The more the chest wall retracts, the less the lungs inflate.

image

Fig. 9-2 Interaction of forces during inspiration and expiration. Equilibrium between recoil tendencies of lungs (to move inward) and chest wall (to move outward) is reached at the end of each normal expiration (A) and inspiration (C). During inspiration (B), the equilibrium is disrupted, with the chest wall tendency to move outward dominant (large arrows indicate chest wall tendencies). During expiration (D), the lung's recoil tendencies are dominant (large arrows indicate recoil tendencies). The chest wall and lungs tend to expand and recoil together as the result of the subatmospheric pressure present in the pleural space.

(From Brashers VL: Structure and function of the pulmonary system. In McCance KL, Heuther SE: Pathophysiology: the biologic basis for disease in adults and children, ed 6, St Louis, 2010, Mosby.)

The diaphragm inserts more horizontally in infants than in older children or adults, and diaphragm contraction can contribute to subcostal retractions, particularly when the infant is supine.49 The greater the retractions present, the more the diaphragm will need to contract or shorten to generate an adequate VT. Retractions make ventilation inefficient, with the result that the diaphragm must shorten and move as much as 130% of normal to generate a VT; this increases the work of breathing and can lead to respiratory muscle fatigue.

The airways distribute gas to all parts of the lung. As air passes through the nose and mouth it is warmed, humidified, and filtered. The upper airway thus serves as an air filter and an “air conditioner,” so air that reaches the trachea has been warmed to body temperature, is fully saturated with water, and is freed of small particles.

The amount of water vapor a volume of gas can contain depends on the temperature of the gas. The higher the temperature of the inspired gas, the greater the amount of water vapor contained in the gas. Heat is transmitted to inspired air by convection, whereas water is added by evaporation from the airway surface. Therefore there is usually a loss of heat and water from the body during breathing. Although a healthy child copes well with this loss, a small infant with lung disease can lose a substantial amount of heat and water when tachypnea develops. When water is lost from the airway surface, ciliary activity and mucociliary clearance are impaired, which can lead to the formation of mucous plugs, atelectasis, air trapping, or infection. When the upper airway is bypassed with an endotracheal tube (ETT) or tracheostomy, inspired gas must be humidified to avoid damage to the airway surface by mucosal drying.

The Upper Airway

The neonate (0-4 weeks of age) breathes predominantly through the nose, so any obstruction in the nose or nasopharynx will increase upper airway resistance and increase the work of breathing. For example, respiratory failure can be exacerbated in neonates by the insertion of a nasogastric tube or obstruction of the nares by secretions.

The airways of infants and children are much smaller than the airways of adults. Resistance to air flow in any airway will increase exponentially if the airway radius is compromised (see Box 9-1 and Fig. 9-3). This means that any decrease in airway radius can significantly compromise effective gas flow or increase the work of breathing. Relatively small amounts of mucus accumulation, airway constriction, or edema can substantially reduce airway radius in the infant or child, resulting in an increase in the resistance to air flow and the work of breathing.

Box 9-1 Poiseuille's Law

Resistance to flow increases as radius decreases, and it is increased by length of the tube or vessel.

R  =  8nlr4 when flow is laminar (substitute r5 power if flow is turbulent)

l, Length of tube; n, gas viscosity; r, radius of tube.

image

Fig. 9-3 Relative effects of 1   mm of circumferential airway edema in a infant and young adult. A, The infant's larynx is approximately 4   mm diameter, with a 2-mm radius. If 1   mm of circumferential edema develops, it will halve the airway radius and increase resistance to air flow by a factor of 16 if airflow is laminar, and it will increase resistance to turbulent airflow by up to 32 times. B, The young adult possesses a larynx approximately 10   mm in diameter and 5   mm in radius. Development of 1   mm of circumferential edema in the young adult will reduce the radius by approximately 20% (from 5 to 4   mm) and increase resistance to laminar air flow by a factor of 2.4.

Upper airway patency is maintained by the active contraction of muscles in the pharynx and larynx. Airway obstruction can develop if these muscles do not function properly or if the neck of an infant is flexed or extended. Airway obstruction can also develop during rapid-eye-movement sleep, when muscle tone is markedly reduced. The upper airway of the infant is fairly pliable and it can narrow during inspiration.

The infant upper airway is shaped like a funnel, whereas the upper airway of the older child and adult is more tubular. The glottis of an infant is located more anteriorly and more cephalad than in an older child, and the epiglottis is longer, making intubation of the trachea more difficult in the small infant, especially when the neck is hyperextended. The narrowest portion of the infant's airway is at the level of the cricoid, whereas the narrowest portion of the airway in the adult is at the level of the vocal cords. Small amounts of edema or obstruction in the cricoid (subglottic) area will produce an increase in airway resistance and can lead to respiratory failure. Postnatally the airways increase in both length and diameter and major changes occur in the terminal respiratory units as the number and size of the alveoli increase.49,182

Compliance and Resistance

From the time of the first breath, elastic fibers in the lung tissue create a tendency for the lungs to recoil inward (away from the chest wall). This recoil tendency is balanced by the propensity of the chest wall to spring outward. The net effect of these two opposing forces is to create a subatmospheric pressure in the intrathoracic space at the end of a normal breath (Fig. 9-2). During inspiration, the volume of the thoracic cavity is increased, and intrathoracic pressure becomes more negative with respect to atmospheric pressure. As a result, air moves from the mouth to the alveolar spaces. At the end of inspiration, the elastic recoil of the lungs and chest wall cause alveolar pressure to rise above atmospheric pressure, producing expiratory flow. In a person with normal lungs, expiration is passive and requires no muscular work.92

The ratio of lung volume to transpulmonary pressure is called compliance. Compliance of the lung (CL) is a measure of the distensibility of the lungs and is defined as the volume change (ΔV) produced by a transpulmonary pressure change (ΔP):


image


Compliance is high when the volume change produced by a given pressure change is large. Compliant lungs will inflate with very low pressure (i.e., the volume change produced by 1   cm H2O pressure is large).

If the volume change produced by a given pressure change is small, the lungs are stiff and less compliant. When lung compliance is low, the work of breathing is increased. Compliance is increased in diseases such as emphysema and asthma, and it is decreased by pulmonary edema, pneumothorax, atelectasis, and pulmonary fibrosis. Compliance is difficult to measure, but effective compliance or dynamic compliance of the lung and chest wall can be measured in the intubated child during mechanical ventilation (see sections, Optimal PEEP and Common Diagnostic Tests).

Lung compliance is determined primarily by two factors: surfactant and the elasticity of lung tissue. Surfactant is a lipid material that spreads on the alveolar surface and prevents alveolar collapse as the alveoli get smaller during expiration. Surfactant lowers surface tension at low lung volumes.

Just as compliance is determined by lung tissue factors, resistance is determined primarily by airway size (diameter or radius). Airway resistance is defined as the driving pressure divided by the airflow rate. In the lung, the driving pressure for flow is the transairway pressure, which is equal to mouth pressure minus alveolar pressure during inspiration and alveolar pressure minus mouth pressure during expiration.

Resistance to air flow is directly proportional to three variables: flow rate, the length of the airway, and the viscosity of the gas. If any of these variables increases, resistance to air flow will increase.

In addition, resistance to air flow is inversely proportional to the fourth power of the airway radius (Box 9-1) when flow is laminar.110 Any reduction in the infant's airway radius will result in exponential increases in the resistance to air flow and work of breathing (Fig. 9-3). Resistance to airflow is inversely related to the fifth power of the airway radius when air flow is turbulent (e.g., with upper airway obstruction).

For example, if the 4-mm airway of the infant is compromised by 1   mm of circumferential edema, the airway radius is reduced by 50% from 2 to 1   mm. The decrease in circumference will increase resistance to air flow by a factor of 16 if airflow is laminar, and by a factor of as much as 32 if airflow is turbulent. If the adult with a 10-mm airway develops the same 1   mm of circumferential edema, the adult's airway radius will be reduced by 20% from 5 to 4   mm, and resistance to laminar air flow will be slightly more than doubled.

The small caliber of the pediatric airway increases the potential significance of any disorder that compromises airway size. Airway resistance is highest in the nasopharynx and lowest in the small bronchioles. Airway resistance is substantially increased in diseases such as asthma, cystic fibrosis, chronic lung disease, bronchiolitis, and tracheal stenosis and conditions with increased respiratory secretions. High airway resistance increases the work of breathing and creates respiratory distress. If a child with increased airway resistance develops respiratory muscle fatigue, respiratory failure will ensue.

Ventilation

The process of gas movement in and out of the lungs is defined as ventilation. Minute ventilation (volume per minute image) is the product of respiratory frequency and tidal volume:


image


For example, a patient breathing 30 times per minute, with a tidal volume of 100   mL, has a minute ventilation of 30  ×  100   mL, or 3000   mL/min.

Normal tidal volume during spontaneous respiration is approximately 6 to 7   cc/kg. Approximately 70% of tidal volume reaches the alveolar space, and 30% fills the conducting airways. The latter volume is called the anatomic dead space (VD) and is typically approximately 2 to 3   cc/kg body weight. The anatomic dead space is the gas that remains in the conducting airways and does not participate in gas exchange. The remaining 70% of the volume that actually reaches the alveolar space is referred to as alveolar ventilation (VA). Alveolar ventilation can be estimated by subtracting the anatomic dead space from the tidal volume (VT):


image


For example, if the tidal volume is 100   mL, respiratory rate is 30/min, and the anatomic dead space is 20   mL, then alveolar ventilation would equal 30  ×  (100  −  20), or 2400   mL/min. Alveolar ventilation is always less than minute ventilation.

The rate of removal of carbon dioxide from alveoli and the rate of oxygen delivery to the alveoli are directly related to alveolar ventilation. Normal alveolar ventilation is defined as the level of ventilation that results in normal partial pressures of oxygen and carbon dioxide in arterial blood.103

Anatomic dead space is just one part of the total dead space ventilation. A more clinically significant portion of dead space is the physiologic dead space. This space represents the volume of ventilation that reaches the alveoli that do not receive any pulmonary blood flow; therefore it is ventilation that does not participate in gas exchange. Ventilation of this portion of the lung is wasted. This concept is illustrated in Fig. 9-4. Normally, physiologic and anatomic dead space volumes are similar, but physiologic dead space can be significant in patients with pulmonary vascular disease or when positive end-expiratory pressure (PEEP) reduces pulmonary blood flow or whenever right ventricular output is reduced.

image

Fig. 9-4 The theoretical respiratory unit with graphic representation of the relationship between ventilation and perfusion in different clinical conditions. A, The ideal ventilation-perfusion ratio is image. B and C, Lung diseases characterized by a loss of alveolar volume (e.g., acute respiratory distress syndrome) create V/Q ratios that are either low (image)—shown in B—or zero (image which is the definition for intrapulmonary shunt)—shown in C. Importantly, low image alveolar units are responsive to oxygen administration (i.e., results in an increase in PaO2), whereas image alveolar units (intrapulmonary shunt) are not responsive to oxygen administration. D, High image units (dead space ventilation) are created under any circumstances in which pulmonary perfusion is reduced while alveolar ventilation is maintained. Thus any clinical condition that decreases right ventricular output (e.g., full cardiac arrest) or increases pulmonary vascular resistance (e.g., excessive PEEP) will result in increased dead space ventilation.

Lung Volumes

Lung volume measurements require patient effort; therefore accuracy is affected by patient cooperation. Such measurements are difficult or impossible to obtain in children who are uncooperative or who are younger than 5 years.

The total volume of the gas contained in the lung at maximum inspiration is the total lung capacity, Fig. 9-5. The volume that can be expired after a maximal inspiratory effort is the vital capacity (VC). This important and useful measurement of lung function is discussed in detail later in this chapter. VC can be reduced by any acute or chronic lung disease that increases lung stiffness (i.e., reduces lung compliance) or by conditions that limit available intrathoracic space (e.g., scoliosis, pneumonia, pleural effusion).

image

Fig. 9-5 Divisions of total lung capacity. A and B, Total lung capacity (TLC) is the maximum amount of air contained in the lungs. The total lung capacity is divided into four primary volumes: inspiratory reserve volume (IRV), tidal volume (VT), expiratory reserve volume (ERV), and residual volume (RV). Capacities are combinations of two or more lung volumes; these include inspiratory capacity (IC), functional residual capacity (FRC), and VC. The IC is the IRV plus the VT. The FRC is ERV plus the RV. The VC is depicted. Normal adult volumes are shown.

(From Patton KT, Thibodeau GA: Anatomy and physiology, ed 7, St Louis, 2010, Mosby.)

The volume of gas remaining in the lungs at the end of a normal expiration is the functional residual capacity (FRC). An increase in functional residual capacity usually indicates hyperinflation of the lung, or gas trapping, which is generally found in disorders characterized by decreased expiratory flow, such as chronic lung disease, cystic fibrosis, or asthma. A decrease in FRC may be seen in patients with pulmonary fibrosis or scoliosis.

Ventilation-Perfusion Relationships

As atmospheric air reaches the lungs (ventilation), it is exposed to pulmonary capillary blood perfusing the lungs. The distribution of perfusion and ventilation is not uniform in normal lungs. Because gravity affects blood flow, blood flow is greatest in dependent portions of the lungs. When the patient is supine, blood flow is greatest in the posterior portions of the lungs. When the patient is standing or sitting, blood flow is greatest in the inferior portions of the lung.

Pleural pressure is not uniform, so the upper lobes of the lungs receive more ventilation than the lower lobes. As a result of the effects of gravity and pleural pressure, some portion of pulmonary blood flow will not reach ventilated alveoli (i.e., there will be some dead space ventilation).

Intrapulmonary shunting exists in areas of the lung where alveolar ventilation is absent, but blood flow to the nonventilated alveoli persists (i.e., alveoli are not ventilated but are perfused, so image is 0; see Fig. 9-4, C). Intrapulmonary shunting is the cause of reduced PaO2 (hypoxemia) in diseases such as cardiogenic and noncardiogenic pulmonary edema (acute respiratory distress syndrome [ARDS]). By definition, hypoxemia associated with intrapulmonary shunting does not respond to supplementary oxygen administration, because the oxygen does not reach the nonventilated alveoli. This finding is in contrast to hypoxemia caused by partially ventilated alveoli (image), which do respond to administration of supplementary oxygen (i.e., the PaO2 increases). An important distinction is that alveoli that are not ventilated (i.e., image) must be recruited (opened) for supplementary oxygen to improve oxygenation. With treatment, the image ratio is converted from zero image (shunt) to low or normal image (i.e., to oxygen-responsive hypoxemia).

Intrapulmonary shunt and low image match are the most common causes of hypoxemia in pediatric lung disorders. These physiologic or abnormal intrapulmonary shunts do not result in hypercapnia (increased PaCO2), because CO2 is highly soluble in capillary blood and rapidly diffuses into the alveoli, and it is eliminated during expiration (exhalation).

During the first days of life, neonates demonstrate both cardiac and intrapulmonary shunting of blood. The cardiovascular shunt is caused by the patent ductus arteriosus with some desaturated pulmonary arterial blood shunted through the ductus into the arterial circulation (the aorta) without passing through the lungs. This right-to-left shunt occurs because pulmonary vascular resistance is high at birth. Once pulmonary vascular resistance begins to fall, the volume of right-to-left shunt falls. In infants with a patent ductus arteriosus, a PaO2 of 60 to 80   mm Hg may be normal in the first day of life, but the PaO2 typically exceeds 80   mm   Hg within 2 or 3 days after birth (Table 9-2) as pulmonary vascular resistance falls and the right-to-left shunt ceases. A small amount of right-to-left shunting can also occur in the immediate newborn period through a patent foramen ovale.

Table 9-2 Normal Arterial Blood Gas Values in Children

  Neonate at Birth Child
pH 7.32-7.42 7.35-7.45
PCO2 30-40   mm   Hg 35-45   mm   Hg
HCO3 20-26   mEq/L 22-28   mEq/L
PO2 60-80   mm   Hg 80-100   mm   Hg

The neonatal values represent normal values for neonates during the first days of life. Values for the child are the same as for the adult.

Gas Transport

The exchange of O2 and CO2 occurs in the alveolus. The gases diffuse through the alveolar-capillary membranes. The pressure gradient for CO2 causes CO2 to diffuse from the blood into the alveolar space, whereas the pressure gradient for oxygen causes oxygen to diffuse from the alveolar space to the blood. The amount of oxygen that diffuses through the alveolar-capillary membrane is determined by both the pressure gradient and the amount of functional alveolar membrane.

Oxygen Tension and Oxygen Content

Oxygen is carried in the blood in two ways. A large portion (97.5%) is carried in combination with hemoglobin inside red blood cells, and a small portion (2.5%) is carried in the dissolved state in plasma. Therefore the patient's arterial oxygen content (CaO2)—the total amount of oxygen (in milliliters) carried per deciliter of blood—will be determined primarily by the patient's total hemoglobin concentration and the oxy-hemoglobin saturation plus the dissolved oxygen.

Arterial oxygen content cannot be determined from the PaO2, which is the partial pressure of oxygen. At sea level, the total pressure of gases in the atmosphere and in the blood must always equal 760 torr. Room air contains 21% oxygen, approximately 79% nitrogen, and a small quantity of inert gases. Therefore the PaO2 of room air is 21% of 760 torr, or approximately 160   mm   Hg, and the partial pressure of nitrogen in room air is 79% of 760   mm   Hg, or 600   mm   Hg.

In the alveolus at sea level, the total pressure exerted by all gases will still equal 760   mm Hg, but these gases ultimately include both water and CO2. Water vapor pressure of air that is 100% humidified is 47   mm   Hg, so the partial pressure of O2 in the airways when the patient breathes room air is approximately 150   mm   Hg (0.21  ×  [760  −  47] mm Hg). Alveolar gas also contains CO2 with a normal PaCO2 of 40   mm   Hg, so the alveolar oxygen tension or partial pressure of oxygen in the alveoli (PAO2) is approximately 110   mm   Hg. When blood passes through the capillary adjacent to the alveolus, CO2 diffuses from the blood through the alveolar-capillary membrane and into the alveolus, and oxygen diffuses from the alveolus into the blood.

The total pressure of all gases in the blood also totals 760   mm   Hg at sea level. The partial pressure of O2 is approximately 110   mm   Hg, and the partial pressure of CO2 is approximately 40   mm   Hg. These numbers reflect the partial pressure of gases (including oxygen) dissolved in the blood.

Approximately 0.003   mL of oxygen is dissolved per deciliter of blood for every mm Hg partial pressure of oxygen present in the blood. For example, if the PaO2 is 100   mm   Hg, 0.3   mL of oxygen is dissolved per deciliter of blood. This dissolved oxygen reflects only a tiny fraction of the oxygen carried in the blood, but this is the number reflected by the PaO2.

Oxygen is carried most efficiently when it is bound to hemoglobin and each gram of hemoglobin is able to carry 1.34   mL oxygen. The total oxygen content is determined by multiplying the hemoglobin (in g/dL) by 1.34   mL O2/g of saturated hemoglobin and then multiplying that number by the actual hemoglobin saturation. The small amount of oxygen carried in the dissolved form is then added to the amount of O2 carried by hemoglobin. The normal arterial O2 content is approximately 18 to 20   mL O2 per dL blood (Box 9-2).271

Box 9-2 Calculation of Total Arterial Oxygen Content


image


The oxygen bound to hemoglobin is calculated by determining the theoretical oxygen-carrying capacity of the blood, or the amount of oxygen carried by the hemoglobin if the hemoglobin is fully saturated:


image


Once the patient's arterial oxygen saturation is known, it is multiplied by the theoretical O2-carrying capacity:


image


To calculate the amount of dissolved oxygen present in the blood, the child's PaO2 is multiplied by 0.003   mL O2 per dL:


image


Finally, the total arterial oxygen content is equal to the sum of the O2 carried by the hemoglobin and the dissolved O2:


image


Hgb, Hemoglobin.

To emphasize the difference between PaO2 and arterial O2 content, consider the effects of varying hemoglobin concentration in three patients. If the patients all breathe room air, as noted previously, the PaO2 of all patients will equal approximately 110   mm   Hg, regardless of hemoglobin concentration. If the three patients have normal lungs, their hemoglobin will be fully saturated (99%), so their total arterial oxygen content will differ according to their hemoglobin concentration. If the first patient has no hemoglobin at all (concentration of 0   g/dL), the patient's PaO2 is still 110   mm   Hg, but the patient's arterial oxygen content is 0.33   mL/dL (equal to the amount of dissolved oxygen, or 0.003  ×  PaO2). This example is not realistic, but it makes the point that the PaO2 is not the same as O2 content. Consider a second patient with a hemoglobin concentration of 8   g/dL; the second patient's PaO2 is 110   mm   Hg, with a total arterial oxygen content of approximately 11   mL O2 per dL blood (slightly more than half normal). The third patient has a hemoglobin concentration of 15   g/dL; this patient's PaO2 is 110   mm Hg, and the patient's arterial oxygen content is approximately 20   mL O2 per dL blood (normal). Although all three patients have exactly the same PaO2 and oxygen saturation, the second patient must almost double cardiac output to maintain the same oxygen delivery as the third patient (DO2  =  CO  ×  CaO2). These examples illustrate the importance of evaluating hemoglobin concentration, PaO2, and arterial oxygen saturation when interpreting blood gas results. Additional patient examples are included in Box 9-3.

Box 9-3 Calculation of Arterial Oxygen Content from Patient Examples

Normal arterial oxygen content is 18-20   mL O2 per dL blood.

Example 1

Calculate the oxygen content (in mL O2 per dL) for a child with a hemoglobin concentration of 15   g/dL, a PaO2 of 100   mm   Hg, and an arterial oxygen saturation of 97%.


image


Example 2

Calculate the oxygen content (in mL O2 per dL) for a child with a hemoglobin concentration of 8   g/dL, a PaO2 of 100   mm   Hg, and an arterial oxygen saturation of 97%.


image


Examples 1 and 2 demonstrate the dramatic fall in O2 content that occurs with a fall in the Hgb concentration. Although both patients have exactly the same PaO2 and O2 saturation, the second patient must almost double cardiac output to maintain the same O2 delivery as the first patient (DO2  =  CO  ×  CaO2).

Example 3

Calculate the arterial O2 content (in mL O2 per dL) for a child with a hemoglobin concentration of 15   g/dL, a PaO2 of 50   mm   Hg, and an arterial O2 saturation of 85%.


image


This example demonstrates the effect of mild hypoxemia on the patient's arterial O2 content. Most patients tolerate such mild hypoxemia because they are able to maintain O2 delivery by compensatory increases in cardiac output. The arterial O2 content of the patient in Example 3 is still significantly higher than the arterial O2 content of the patient in Example 2, even though the patient in Example 2 has a higher PaO2 and fully saturated Hgb. This is explained by the higher Hgb concentration of the patient in Example 3.

Hgb, Hemoglobin.

The Oxyhemoglobin Dissociation Curve

The relationship between the PaO2 and the hemoglobin saturation is expressed by the oxyhemoglobin dissociation curve, as shown in Fig. 9-6, with the PaO2 on the horizontal axis and the hemoglobin saturation on the vertical axis. The curve is not linear but S-shaped, with a large plateau at the higher levels of PaO2. There are several important things to note about the oxyhemoglobin dissociation curve. As noted, the curve flattens when the PaO2 exceeds 80 to 100   mm   Hg; this means that although the PaO2 continues to rise beyond 100   mm   Hg, the hemoglobin cannot become more saturated than 100%, and it cannot carry any more oxygen. Any additional rise in the PaO2 will result only in increases in the amount of dissolved oxygen in the blood, which contributes only 0.003   mL O2 per mm   Hg rise in PaO2. Therefore a rise in PaO2 from 100 to 700 torr does not mean that sevenfold more oxygen is carried in the blood; it is associated with an approximately 10% increase in oxygen content. Because the hemoglobin is fully saturated once the PaO2 reaches 100   mm   Hg, there is usually no advantage to maintaining the patient's PaO2 any higher than this value.

image

Fig. 9-6 Oxyhemoglobin dissociation curve. The horizontal or flat segment of the curve at the top of the graph is sometimes called the arterial portion, or that part of the curve where oxygen is bound to hemoglobin. This portion of the curve is flat because partial pressure changes of oxygen between 60 and 100   mm   Hg do not significantly alter the percent saturation of hemoglobin with oxygen. The wide range of partial pressures of oxygen (PaO2  =  60-100   mm Hg) represented by the flat part of the curve, allows adequate hemoglobin saturation at a variety of altitudes. For example, a PaO2 of 100   mm   Hg at sea level results in a hemoglobin saturation with oxygen of 98%. The steep part of the oxyhemoglobin dissociation curve occurs after the PaO2 drops below 60   mm   Hg and represents the rapid dissociation of oxygen from hemoglobin. During this phase, oxygen diffuses rapidly from the blood into tissue cells. Conditions associated with altered affinity of hemoglobin for O2 are listed. P50 is the PaO2 at which hemoglobin is 50% saturated, normally 26.6   mm   Hg. A lower-than-normal P50 represents increased affinity of hemoglobin for O2, such as is present in conditions such as alkalosis, hypocarbia, hypothermia. The lower P50 means that the hemoglobin will be better saturated at lower PaO2 (e.g., at normal pH, a 90% oxyhemoglobin saturation is associated with PaO2 of approximately 60   mm   Hg; at an alkalotic pH, a 90% oxyhemoglobin saturation will be associated with a lower PaO2, probably nearer 50   mm   Hg). The increased affinity means that the hemoglobin does not release O2 to the tissues as readily. A higher P50 is seen with decreased hemoglobin affinity for O2. With decreased affinity for O2, the hemoglobin is less saturated at a given PaO2, but will release the oxygen more readily to the tissues. Note that variation from normal is associated with decreased (low P50) or increased (high P50) availability of O2 to tissues (dotted lines). The shaded area shows the entire oxyhemoglobin dissociation curve under the same circumstances. 2,3-DPG, 2,3-diphosphoglycerate present in higher quantities in children with cyanotic heart disease and in lower quantities in neonates with large amounts of fetal hemoglobin.

(From Lane EE, Walker JF: Clinical arterial blood gas analysis, St Louis, 1987, Mosby.)

As shown in Fig. 9-6, the slope of the oxyhemoglobin dissociation curve becomes extremely steep once the PaO2 is less than 60   mm   Hg. Thus when the patient's PaO2 falls below 60   mm   Hg, even small additional decreases in the PaO2 will be associated with a significant fall in the hemoglobin saturation and arterial oxygen content. Therefore the patient's PaO2 should be maintained above 60   mm   Hg, if possible.

The position of the oxyhemoglobin curve can be altered by several factors (Table 9-3). If the curve is shifted to the right, then hemoglobin has less affinity for oxygen (it is less well saturated) at any partial pressure of oxygen (PaO2). Conversely, if the curve is shifted to the left, then hemoglobin has a higher affinity for oxygen (the hemoglobin is better saturated) at any given PaO2.

Table 9-3 Shifts in Hemoglobin Dissociation Curve

Shift to Left (Higher oxygen affinity) Shift to Right (Lower oxygen affinity)
Alkalosis Acidosis
Hypocapnia Hypercapnia
Hypothermia Hyperthermia
Fetal hemoglobin (decreased 2,3 DPG) Increased 2,3 DPG
Methemoglobinemia Adult hemoglobin

Factors that shift the curve to the right include acidosis, hypercapnia, and hyperthermia. Under these conditions the oxyhemoglobin saturation and oxygen content is lower at any given PaO2, but within the normal range the amount of oxygen released to tissues is enhanced, which is an adaptive response that makes oxygen more available in the tissue beds of patients who are likely to need it (e.g., those who are acidotic, hypercapnic, febrile).271 Factors that shift the oxyhemoglobin dissociation curve to the left include alkalosis, hypocapnia, and hypothermia. Although these factors increase oxyhemoglobin saturation at any given PaO2, oxygen will not be as readily released to the tissues,271 because oxygen is more tightly bound to the hemoglobin molecule.

The hemoglobin dissociation curve for fetal hemoglobin is located to the left of the adult hemoglobin curve. Thus at a given PaO2 and hematocrit, fetal blood contains more oxygen than adult blood. This higher affinity of fetal hemoglobin for oxygen provides adequate fetal arterial oxygen content and delivery, despite the relatively low PaO2 in the placenta and fetal circulation. Fetal hemoglobin, however, releases oxygen less readily to the tissues than does adult hemoglobin. Fetal hemoglobin usually disappears within 4 to 6 weeks after birth and is replaced by adult hemoglobin.

Regulation of Carbon Dioxide Tension and Hydrogen Ion Concentration

Carbon dioxide is carried in the blood in several ways. Like oxygen, it can be dissolved in plasma or carried by hemoglobin. In addition, CO2 can react with water to form carbonic acid (H2CO3), or it can combine with other proteins to form carbamino compounds.

Unlike oxygen, the relationship between PaCO2 and the arterial CO2 content is linear. Furthermore, PaCO2 is directly proportional to the metabolic production of CO2 and inversely proportional to alveolar ventilation. Thus an increase in alveolar ventilation will result in a decrease in PaCO2. For example, if the patient's PaCO2 falls from 40 to 20   mm   Hg, the patient must have doubled alveolar ventilation. Similarly, if the PaCO2 increases from 40 to 60   mm   Hg, alveolar ventilation must have decreased by 50%. If the PaCO2 increases, then CO2 combines with water to form H2CO3, and carbonic acid then dissociates into bicarbonate and hydrogen ion:


image


The net result of these reactions is a rise in hydrogen ion concentration and a fall in pH, or respiratory acidosis. If this condition persists for several hours, the kidney will respond with the excretion of more hydrogen ions and reabsorption of more bicarbonate. Renal compensation can restore the arterial pH to nearly normal levels (see discussion of renal disorders in Chapter 13).

Alveolar ventilation may either increase or decrease as compensation for primary metabolic disorders. When metabolic acidosis develops, excess hydrogen ions are present, resulting in the formation of more carbonic acid, which then dissociates to CO2 and water. Total ventilation then increases (e.g., a patient with diabetic acidosis develops hyperpnea), so additional CO2 is eliminated, and the CO2 tension falls. The arterial pH will then increase toward normal levels, because hydrogen ions are eliminated as CO2 is excreted by the lungs.

Alveolar ventilation will decrease when metabolic alkalosis is present. Carbon dioxide may be retained until the PaCO2 is extremely high. Carbon dioxide will combine with water to form carbonic acid, which will dissociate to form hydrogen ions and bicarbonate ions. Hydrogen ions accumulate and the arterial pH decreases. An example of this compensation is a patient who develops hypokalemic, hypochloremic metabolic alkalosis and slows respirations; the PaCO2 rises and the pH falls toward normal. Table 9-4 summarizes changes in the arterial pH, PaCO2, and serum bicarbonate (HCO3) that occur with respiratory and metabolic acidosis and alkalosis.

Table 9-4 Changes in Arterial Blood Gases with Acid-Base Imbalances

image

Regulation of Respiration

Alveolar ventilation is controlled by both neural and chemical factors. Spontaneous respiration requires a rhythmic discharge from the respiratory center in the ventral portion of the brain. The chemical control of breathing is modulated at two respiratory centers: the CO2 sensor and the O2 sensor. The sensor for CO2 is located in the brainstem and is influenced primarily by CO2-related changes in the hydrogen ion concentration of the cerebrospinal fluid (CSF; see previous equation). Carbon dioxide diffuses freely from the blood into CSF, so an increase in PaCO2 will quickly increase the hydrogen ion concentration in the CSF near these sensor cells. The electrical output of these chemosensitive cells results in an increase in ventilation that restores the PaCO2 to normal levels.

The oxygen sensor consists of chemoreceptors located in the carotid and aortic bodies. These peripheral chemoreceptors detect changes in arterial oxygen tension and not oxygen content. A fall in PaO2 below 50 to 60   mm   Hg results in a progressive increase in the electrical activity of the carotid body, which is transmitted to the respiratory centers in the brainstem and results in an increase in alveolar ventilation. The carotid body sensors are also responsive to acidosis and, to a lesser extent, hypotension.

Neural Control of Airway Caliber

The walls of the airways are lined with smooth muscle; constriction of this smooth muscle causes bronchoconstriction. Relaxation of the smooth muscle lining the airways will cause bronchodilation.

Airway smooth muscle is innervated by branches of the vagus nerve (cholinergic nerves) and to a lesser extent by branches of the sympathetic nervous system (adrenergic nerves). Acetylcholine and related compounds cause bronchoconstriction, whereas acetylcholine antagonists such as atropine cause bronchodilation. Adrenergic stimulation of smooth muscle by epinephrine and related compounds causes bronchodilation. Mucous glands in the lung also have a dual cholinergic and adrenergic innervation. Cholinergic stimulation increases mucus secretion, whereas adrenergic stimulation decreases it.

Common clinical conditions

Upper Airway Obstruction

The upper airway is composed of many structures, including the nose pharynx, larynx, and trachea. The functions of the upper airway are to warm, filter, and humidify inspired gases before they reach the trachea.92

Etiology

Upper airway obstruction can occur anywhere in the extrathoracic areas. There are several developmental factors that increase the risk of upper airway obstruction in infants and young children. The larynx of the infant or child is more anterior and cephalad than the larynx of the adult. As a result, the sniffing position optimizes the airway opening during bag-mask ventilation or intubation of the infant or young child. Extreme extension of the neck can lead to obstruction of the airway.243

Upper airway obstruction in infants and children may be caused by conditions such as congenital or acquired anatomic abnormalities, acute infectious processes, or compression from other organ systems (Table 9-5). Additional potential causes of upper airway obstruction are listed as follows:

1. Recent history of airway manipulation (e.g., intubation, bronchoscopy, airway surgery)

2. Mucus plugging of an artificial airway (e.g., endotracheal tube or tracheostomy tube)

3. Mechanical obstruction from a foreign body aspiration, with secondary laryngospasm that may result in further airway obstruction

4. Infections associated with acute inflammation and swelling of the upper airway (e.g., croup, epiglottitis, retropharyngeal abscess, peritonsillar abscess)

5. Recent history of general anesthesia or sedation, leading to decreased upper airway tone and collapse of upper airway or tongue falling to back of throat

6. Trauma or congenital malformations of the head or neck (e.g., choanal stenosis)

7. Any disease that results in excessive mucus production such as asthma or cystic fibrosis

8. Anaphylactic reaction

9. Adenotonsillar hypertrophy

10. Rapid-eye-movement sleep with decreased pharyngeal muscle tone.

Table 9-5 Clinical Diagnosis of Airway Obstruction

image

Pathophysiology

Airway obstruction decreases airway diameter and increases the resistance to air flow and work of breathing. The child often can compensate for a mild airway obstruction by increasing the work of breathing, allowing ventilation (air flow) to remain unchanged. When the airway obstruction becomes more severe, the child will no longer be able to compensate and will demonstrate significant increased work of breathing, decreased aeration (ventilation) with eventual hypercarbia, and respiratory failure. When severe, this condition can also lead to hypoxemia and tissue hypoxia.

Clinical Signs and Symptoms

Upper airway obstruction can often be identified from the clinical signs and symptoms. Older children with upper airway obstruction and a normal level of consciousness often assume the position that provides the most relief (i.e., the best air flow). Typically, these children are more comfortable sitting up and leaning forward; this is referred to as the tripod position. Signs of respiratory distress are often exacerbated in the supine position or by agitation.

The infant or child will exhibit stridor, a high-pitched sound during inspiration. This sound may be accompanied by a hoarse cough or cry. Inspiratory stridor, hoarseness, and drooling indicate the presence of significant acute upper airway obstruction, which is often associated with airway edema or airway compression. Stertor, or snoring, is often noted in children with upper airway obstruction secondary to adenotonsillar hypertrophy or a tongue that obstructs the posterior pharynx.

The child with mild to moderate airway obstruction may be restless and exhibit tachypnea. The child will often use accessory muscles of respiration, demonstrating nasal flaring and tracheal tugging (supraclavicular retractions). Breath sounds may be adequate, although they may be difficult to assess if the child has concomitant stridor or stertor. Tachycardia may also be noted as a nonspecific sign of distress. Oxygenation usually remains adequate until there is severe obstruction and decompensation. Signs of profound airway obstruction with respiratory failure include slowed respiratory rate, decreased aeration, altered level of consciousness, compromise in systemic perfusion, apnea or gasping, and bradycardia.

Regardless of the site of obstruction, the hallmark of airway obstruction is hypercarbia with a respiratory acidosis. The PaO2 may initially be normal, although hypoxemia will develop when the patient's condition deteriorates.

Management

Acute upper airway obstruction must be rapidly evaluated and treated. It can sometimes be anticipated and prevented or treated in young children by proper positioning of the head and neck into the sniffing position. Infants with acute respiratory distress who are breathing spontaneously are positioned in the upright or lateral (supported) position, especially after feedings. An infant seat can be used to keep the infant upright. Care must be taken to avoid flexion or hyperextension of the neck, because these positions can cause upper airway obstruction by tracheal compression.

For the older child the side-lying position is preferred immediately after surgery, because the tongue and other upper airway muscles may be hypotonic and occlude the upper airway if the patient is supine. Children with large tonsils or adenoids may manifest signs of airway obstruction, including snoring or stertor if they are allowed to sleep in the supine position.

As noted previously, toddlers and older children with upper airway obstruction often instinctively assume a posture that maximizes airway caliber. It is best to avoid manipulating the child's position until personnel experienced in airway management are present. The young child may be most comfortable when held and supported upright by a parent.

Treatment includes administration of warmed, humidified oxygen by face mask, hood, tent, or blow-by tubing. Minimize noxious stimulation, because agitation can worsen airway obstruction. Inhaled racemic epinephrine is an accepted treatment for upper airway obstruction related to moderate-to-severe croup or postextubation edema. The mechanism of action is thought to be related to α-adrenergic constriction of precapillary arterioles, with resulting fluid reabsorption from the interstitial space and decreased laryngeal mucosal edema. These effects increase airway diameter and ease of gas flow. Doses may be given as often as every 20   minutes. Inhaled l-epinephrine is as effective as racemic epinephrine. These inhaled agents are to be used with caution in patients with tachycardia, arrhythmias, or underlying congenital heart disease, because the agents can potentiate tachycardia.201

Inhalation treatment with a helium-oxygen mixture (heliox) provides a lower density gas compared with a nitrogen and oxygen mixture. Helium is an odorless, tasteless inert gas that can be substituted for nitrogen in inhaled gaseous mixtures.94,167 The benefit of providing inhaled gas with a lower density is that it promotes laminar flow within the upper and lower airways. Laminar gas flow promotes the delivery of oxygen and inhaled medications through the areas of obstruction and facilitates drug deposition (Fig. 9-7). Effects of the helium and oxygen mixture are noted almost immediately; if it is effective, then the patient's work of breathing decreases and aeration improves. If the child is verbal, gas delivery is confirmed if the child speaks in a high-pitched voice. A higher pitched cry may be noted during therapy in preverbal infants.

image

Fig. 9-7 Laminar versus turbulent flow. Schematic depiction of the spatial and velocity profiles of gas molecules within A, a laminar and B, a turbulent flow regimen. The velocity of the gas molecules is proportional to the length of arrows. During turbulent flow, there is chaotic molecular movement between lamina that results in ever greater pressure being required to achieve incremental flow. C, Note the alinear pressure-flow relationship with turbulent flow.

One limitation to the use of the helium-oxygen mixture is the need for supplementary oxygen. Generally, helium mixtures are delivered at 20% oxygen and 80% helium, 30% oxygen and 70% helium, or 40% oxygen and 60% helium. There is generally no benefit to heliox if the patient needs an FiO2 greater than 0.4 (40% oxygen plus 60% helium), because the gas mixture will have a density similar to that of a standard nitrogen and oxygen mixture. Some children, however, will need less oxygen if the inhaled gas is able to traverse the areas of obstruction to reach the lower airways.

Administration of heliox during mechanical ventilation necessitates close monitoring of the child and the circuit, because the helium may interfere with the pneumotachometers and ventilator function. Because heliox improves flow through areas of airway obstruction, it can be used to treat disease processes that produce turbulent flow (e.g., asthma). It is often used until therapeutic medications take effect, or it can be used until resolution of the disease process.94 Most institutions develop specific protocols for management of acute, life-threatening upper airway obstruction to support efficient care (Box 9-4).6

Box 9-4 Sample Protocol for Management of Epiglottitis

I. Once the diagnosis of epiglottitis is suspected, follow these steps without exception:

A. Begin continuous observation of the patient. Allow the parents to remain with the patient. Do not place the child in a supine position.
B. Contact the team designated to secure the airway (i.e., anesthesiologist, intensivist, otolaryngologist).
C. Place equipment for bag-mask ventilation, intubation, oxygen, suction, tracheostomy, and cardiopulmonary resuscitation at the bedside.
D. Do not agitate the child with noxious procedures such as oral examination, blood drawing, or intravenous catheter placement.
E. Begin continuous electrocardiogram, respiratory, and pulse oximetry monitoring.
F. Obtain lateral neck radiograph only if the child's condition is stable and the diagnosis is uncertain. A physician capable of intubation must accompany the child to the radiology department.
G. Administer O2 at 1-2 L/min or at a rate sufficient to maintain O2 saturation >  90% by pulse oximetry.
H. For worsening airway obstruction consider administering nebulized racemic epinephrine (2.25%): 0.2   mL in 2   mL 0.9% sodium chloride solution.
I. If complete airway obstruction develops before the arrival of the airway team, begin assisted ventilation with bag and mask with continuous positive pressure during expiration.

II. Once the airway team has arrived, perform the following:

A. Transport the child to the operating room or critical care unit.
B. Ask the airway specialist to remain with the child and be prepared for fiberoptic examination, rigid bronchoscopy, or tracheostomy
C. Induce anesthesia with the patient in a sitting position using an inhalation agent and oxygen. Confirm the diagnosis of epiglottitis. Intubate the child through the oral route with an endotracheal tube one size smaller than estimated from the child's body length and age.
D. Provide bag-tube ventilation and verify tube position with clinical assessment and an exhaled CO2 detector. Ensure that the child is well oxygenated.
E. Obtain a chest radiograph to ensure proper insertion depth of the endotracheal tube and to evaluate for pulmonary abnormalities, including pulmonary edema.
F. Place an intravenous catheter; obtain blood and epiglottic cultures.
G. Begin antibiotic therapy with extended-spectrum cephalosporin*, or as indicated based on local and likely pathogens and their susceptibilities.
1. Cefuroxime: 150   mg/kg/day for 3 days
2. Ceftriaxone: 80   mg/kg/day for 2 days
3. Cefotaxime: 200   mg/kg/day for 4 days

Modified from Al-Sundi S: Acute upper airway obstruction: croup, epiglottitis, bacterial tracheitis, and retropharyngeal abrasions. In Levin D, Morriss F, editors: Essentials of pediatric intensive care, New York, 1997, Churchill Livingstone.

* Chloramphenicol is no longer recommended because second- and third-generation cephalosporins are effective and far less toxic.

When airway obstruction is severe, elective (supportive) intubation is always preferable to emergency intubation (i.e., during resuscitation) of a child with impending respiratory failure. The decision to intubate is based on the patient's clinical appearance. If the child demonstrates severe respiratory distress with significant work of breathing, then consider intubation. Signs of severe airway obstruction include mottling or cyanosis, decreased air movement, altered level of consciousness, stertor, stridor, and compromised systemic perfusion. Apnea or gasping or bradycardia are late signs of severe airway obstruction and should be prevented by timely intubation and respiratory support.

The pulse oximeter is generally not a useful tool in the detection of significant airway obstruction and the need for intubation, because hypoxemia is a late sign of deterioration. However, a downward trend or a sudden substantial decrease in oxyhemoglobin saturation can indicate deterioration, especially when the patient is breathing room air (FiO2 = 0.21). Blood gas analysis or noninvasive CO2 measurements should be evaluated if hypercarbia is suspected.

The severity and etiology of the upper airway obstruction will determine the treatment needed. Obstruction may be acute, as in cases of infection and tissue inflammation, or it may be chronic, such as with tonsillar and adenoidal hypertrophy. In both categories of airway obstruction, assessment of the effectiveness of gas exchange will help determine appropriate intervention. Some obstruction will resolve with repositioning and suctioning. Significant obstruction, however, may be treated with a nasal trumpet to provide airway stenting, noninvasive positive pressure ventilation, or tracheal intubation and ventilation. Relief of some causes of upper airway obstruction may need surgical intervention.

Lower Airway Obstruction

The lower airways consist of the lungs, conducting airways, and alveoli (i.e., the airways inside the thorax). These airways get progressively smaller, so small changes in airway diameter can have significant effects on airflow and work of breathing.

Etiology

Obstruction in the lower airways can result from airway plugging caused by inflammation with mucosal edema and increased production of thick secretions, or it can result from hyperreactivity of the bronchial smooth muscle that leads to bronchospasm. Some lower airway obstruction results from both causes. Although asthma is the most common cause of lower airways disease and obstruction in pediatric patients, the obstruction can result from other causes, including infections and chronic lung disease.92

Pathophysiology

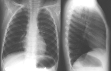
Airflow obstruction results from decreased airway caliber, which causes increased resistance to the flow of both inspired and expired gas. However, exhalation is predominantly affected. Mucus plugging within the small airways results in air trapping and hyperinflation of the lungs, causing the diaphragm to be flattened instead of a typical dome shape at rest92 (Fig. 9-8).

image

Fig. 9-8 Chest radiographs of a patient with hyperinflation. No infiltrates are noted. The right side is more radiolucent (darker) compared with the left. This is subtle and may be difficult to appreciate unless the chest radiograph is viewed from a distance. The right hemidiaphragm is normally higher than the left hemidiaphragm; they are at about the same level in this patient. These findings suggest hyperinflation of the right lung. The clinical history indicated that the child was jumping on a bed while eating a snack, when she began choking. Since that time, she has experienced respiratory difficulty. Further radiographs revealed bilateral air trapping. Bronchoscopy revealed bilateral bronchial peanut fragment foreign bodies. Impression: Right-sided hyperexpansion and air trapping, which may represent a bronchial foreign body.

Clinical Signs and Symptoms

Lower airway obstruction typically produces increased work of breathing, forced or prolonged exhalation, and expiratory wheezing. If the obstruction is severe, verbal children will be unable to speak in complete sentences; they may speak in monosyllables because they need to interrupt speech to breathe. In addition, patients may demonstrate:

Hypoxemia or cyanosis

Pulsus paradoxus (a decrease in the amplitude of the pulse oximeter or intraarterial wave form during inspiration)

Diaphragm fatigue as manifested by paradoxical movement of the abdomen or apnea

Altered mental status

Inability to lie supine

Management

A variety of pharmacologic agents is available for management of lower airways obstruction. These medications will be discussed in more detail in the sections on status asthmaticus and bronchiolitis. In addition to pharmacologic agents, heliox can be used to manage lower airway obstruction. Refer to additional information on heliox in the Upper Airway Obstruction section. Heliox may have additional therapeutic effects, because it may attenuate lung inflammation and reduce mechanical and oxidative stress in the management of acute lung injury.169 Assisted ventilation, either noninvasive or invasive, is needed in some patients (see section, Status Asthmaticus later in this chapter).

Apnea

Apnea is a common problem in premature infants, and the incidence is inversely related to gestational age. Apnea must not be confused with normal neonatal periodic breathing. Apnea is generally defined as lack of airflow for 20   seconds or longer. Lack of airflow over shorter periods of time is labeled apnea if it is associated with significant bradycardia or cyanosis.224 More than half of infants younger than 32 weeks postconceptual age will demonstrate some degree of apnea.224 Apnea in a term infant is never a normal finding and needs further investigation.

Apnea can be either central, when there is no respiratory effort and no airflow, or obstructive, when there is respiratory effort accompanied by paradoxic inward motion of the chest and outward movement of the abdomen, but absence of airflow associated with the effort. Mixed central and obstructive apnea occurs when there is a combination of decreased effort and evidence of obstruction to airflow.

Etiology

The etiology of apnea in the preterm infant may be multifactorial, with delayed maturation of cardiorespiratory control a likely factor. Infants and children with apnea must be evaluated for a variety of abnormalities (Box 9-5). Apnea in older children may be chronic, as when related to an underlying neurologic condition (e.g., brain tumor, hydrocephalus), or it may be acute as in conditions such as toxic ingestions or traumatic brain injury.

Box 9-5 Etiology of Apnea

Central apnea

Infection—particularly respiratory syncytial virus (RSV)

Hypoxia with decreased cardiac output

Central nervous system pathology, brainstem injuries (infection, stroke, tumor, trauma including inflicted trauma)

Metabolic disorder—disorders of fatty acid oxidation

Pharmacologic side effects—especially anesthetics, narcotics

Cardiac arrhythmias

Obstructive apnea

Anatomic factors—craniofacial abnormalities, adenotonsillar hypertrophy

Gastroesophageal reflux

Obstructive apnea is seen in children with structural or mechanical upper airway obstruction (e.g., from adenotonsillar hypertrophy) during sleep. Clinical symptoms are exacerbated with sleep, because the tone in upper airway muscles is reduced in the sleep state. Reduced tone can result in prolapse of structures such as the tongue into the airway, leading to worsening of mechanical obstruction.

Mixed obstructive apnea is frequently documented in children with obstructive apnea syndromes. In these cases, respiratory pauses (central apnea) are present but are rarely physiologically significant. It is presumed that dysfunction in medullary respiratory centers explains both the lack of airway tone associated with obstructed breaths and the absence of effort that defines central apnea.

Management

The management of apnea is determined by the etiology. Patients with central apnea may need to be intubated and mechanically ventilated if it is severe (e.g., respiratory syncytial virus [RSV]-associated apnea, drug overdose, trauma, stroke, hypoxic-ischemic brain injury). Apnea of prematurity generally will resolve by the time the infant reaches 40 weeks postconceptual age. Cardiac and apnea monitoring are indicated for these patients. Some children may need home apnea monitoring.

Treatment includes management of the etiology of the apnea (e.g., underlying cardiac disease, anatomic abnormalities) when possible. If the etiology is not treatable, such as in premature infants, symptom control is the goal. This treatment can include tactile stimulation during events, administration of low-flow oxygen, methylxanthines (e.g., caffeine), or nasal continuous positive airway pressure (CPAP). In older infants and children, a complete evaluation will be needed to identify the etiology of the apnea.

In obstructive sleep apnea (OSA), management focuses on relieving the obstruction. Polysomnography can be used to quantify the respiratory distress index and document the severity of OSA. Surgical management (i.e., tonsillectomy, adenoidectomy, or both) is often needed for moderate to severe OSA. Nonsurgical management includes positive pressure ventilation, using either CPAP or bilevel positive airway pressure. Patients with severe obstruction may not achieve cure with surgical intervention alone and may need noninvasive positive pressure support after surgical intervention. Commonly, obese children with OSA will achieve improvement in their respiratory distress index and quality of life postoperatively, but OSA does not resolve completely in the majority. In these cases, chronic noninvasive ventilation support may be needed.160

If airway obstruction is not resolved and becomes chronic, the chronic alveolar hypoxia can, over time, produce pulmonary hypertension and cor pulmonale (right-sided heart failure caused by pulmonary hypertension). A 12-lead electrocardiogram (ECG) and echocardiogram (Echo) may be indicated to determine whether cor pulmonale is present in children with longstanding OSA. A follow-up polysomnogram is generally indicated 4 to 6 weeks postoperatively or after implementation of noninvasive ventilation to ensure adequate control of obstructive disease. Long-term complications of OSA include cor pulmonale, systemic hypertension, behavioral disturbances, poor school performance, daytime somnolence, and enuresis.

Hypoventilation

Hypoventilation is a result of decreased respiratory effort. It leads to decreased renewal of alveolar gas, so the PaCO2 rises and the PaO2 falls.79

Etiology

True hypoventilation is uncommon. When it occurs, it is most likely to result from central nervous system dysfunction.79 The condition can be challenging to detect unless the patient is already being monitored or the condition is associated with additional clinical findings such as upper airway obstruction. The differential diagnosis for hypoventilation includes central nervous system injury, use of narcotic or anesthetic agents, neuromuscular disorders, infant botulism, and congenital central hypoventilation syndrome (Ondine's curse).

Head trauma—especially when it is associated with ischemia, an intracranial mass, or infection—can decrease the brainstem response to chemoreceptor stimulation (i.e., hypercarbia or hypoxia). Pharmacologic agents and metabolic toxins can lead to similar clinical findings. In particular, opioid medications decrease the respiratory drive, leading to hypoventilation. This effect may be desirable when using this class of medication to facilitate mechanical ventilation, but it may be a hindrance when working toward extubation or when opioids are administered to children who are not intubated.80

Hypoventilation can also be caused by significant muscle weakness. In these clinical situations, the child initiates a breath, but the muscles are so weak that the child is unable to generate adequate tidal volume to achieve CO2 removal.

Clinical Manifestations

When hypoventilation is present, the rise in PaCO2 approximately equals the fall in PaO2, so oxyhemoglobin saturation (via pulse oximetry) will fall. Hypercarbia secondary to hypoventilation often produces nonspecific findings. If hypercarbia is severe, somnolence may be noted. Mild hypercapnia is often not associated with any clinical findings, so it is difficult to diagnose in the absence of other findings. Children with reduced respiratory effort associated with hypercarbia and hypoxemia need central nervous system evaluation.80

Management

For acute hypoventilation, invasive or noninvasive mechanical ventilatory support is indicated to restore ventilation. Central respiratory stimulants have been successful primarily in neonates, after the child's condition is stabilized. A reversal agent (naloxone) can be administered in cases of pharmacologically induced apnea (i.e., opioids), which can result in increased respiratory effort and temporary reversal of apnea. However, patients need close monitoring for recurrence of bradypnea and apnea, because the duration of action of the narcotic is longer than that of the naloxone. In chronic disease, diaphragm pacing has been provided in an attempt to avoid long-term mechanical ventilation; however, this practice is not widespread.

Airways Malacias

The term malacia is derived from a Greek word that means softness. Malacia is generally used to describe a weak or insufficiently rigid (i.e., supporting cartilage is insufficiently rigid) portion of the airway that collapses during respiration. The distal third of the trachea is most commonly affected, although any portion of the airway can be involved.65,152

The incidence of tracheomalacia is unknown. Although uncommon, it is the most frequent cause of stridor in infants and children. Most children have mild or moderate symptoms that improve with time, as the cartilage becomes more firm. An increased incidence has been described in premature infants.267

Etiology

Malacia can be primary or secondary. Primary tracheomalacia occurs when the trachea is unusually collapsible from incomplete hardening of the tracheal cartilage. Secondary malacia occurs in association with conditions that compress the trachea (Table 9-6).

Table 9-6 Classification of Tracheomalacia

Primary Secondary
Congenital absence of tracheal cartilage Esophageal atresia and tracheoesophageal fistula
  Vascular rings
  Tracheal compression from an innominate artery
  Tetralogy of Fallot with absent pulmonary valve
  Compression from mediastinal mass
  Connective tissue disease disorder
  Prolonged mechanical ventilation

Adapted from McNamara VM, Crabbe DCG: Traceomalacia, Paediatric Resp Rev 5:147, 2004.

Pathophysiology

Collapse of the extrathoracic airway (e.g., trachea) during inspiration causes narrowing of the airway lumen, resulting in inspiratory airflow obstruction. This effect can lead to severe respiratory distress and is exaggerated by increased respiratory effort or agitation, particularly during feeding, crying, and coughing, or by the presence of an intercurrent illness.65,152

Clinical Signs and Symptoms

Severity of symptoms will be affected by the length, location and severity of the malacia. Most infants with malacia will present with stridor. Stridor and obstruction are exacerbated by agitation and increased respiratory effort, and lessened during sleep and restful breathing. Persistent wheezing with irreversible airway obstruction is another frequent presenting sign. Additional potential symptoms include cough, noisy breathing, hoarseness, dyspnea, and inspiratory retractions.

Management

In cases of primary tracheomalacia, gradual improvement occurs as the tracheal lumen increases in diameter with anatomic growth and firming of supporting cartilage. Most infants demonstrate improvement by 6 to 12 months of age, and signs and symptoms will resolve in most children by 2 years of age.

Symptoms may be alleviated by positioning. Prone positioning will allow gravity to contribute to enlarging or opening of the airway lumen. Conversely, supine positioning can lead to decreased airway lumen diameter and airway collapse.65 Positioning with the head of the bed elevated may prevent episodes of gastroesophageal reflux, decreasing the risk for gastric contents irritating airways and further compromising airway diameter. Irritating an already collapsing airway can exacerbate symptoms. In addition, proton pump inhibitors, histamine blockers, and prokinetic agents are used often to reduce the effects of gastroesophageal reflux.267

Fortunately most cases of malacia are mild. In cases of moderate to severe malacia, conservative measures may not be adequate. Parents should be taught basic life support techniques. These children may also need cardiorespiratory monitoring, oxygen, and noninvasive PPV in the home.152

Surgical options for severe tracheomalacia include aortopexy and segmental tracheal resection. The goal of aortopexy is to suspend the aorta in a ventral position to prevent tracheal collapse. Through either a thoracotomy or median sternotomy, the aortic root is exposed and the thymus is resected or retracted.267 Sutures are placed in the pericardial tissue over the aortic root and in the adventitia of the aortic arch and are tied to the underside of the sternum. As the aorta is pulled forward (i.e., toward the sternum), the front wall of the trachea is also pulled forward by fibrous attachments between the aorta and trachea. Intraoperative bronchoscopy can be used to visualize the trachea and to ensure adequate suspension and reduction of the tracheal compression.152,267 There are few complications associated with aortopexy surgery. Recurrence (incidence is approximately 10% to 25%) may necessitate additional surgery in some patients. Other less common complications include phrenic nerve palsy, pneumonia, chylopericardium, and wound infections.267

If aortopexy does not successfully improve the diameter of the tracheal lumen, another option is to resect the region of malacia. This procedure may cure the malacia, but candidacy for it can be limited by the length of the segment involved, because long segments of malacia cannot be resected.152

Additional treatment strategies include placing indwelling endotracheal or endobronchial stents to stabilize the collapsing airway. Expandable metallic airway stents have been used in adults since the 1980s to palliate airway strictures caused by malignancy. Expandable metallic coronary artery stents have been used in children, although experience is limited. In the short term, stents are highly effective in treating malacia. However, because indwelling airway stents do not epithelialize in the same way as endovascular stents, airway stents promote formation of granulation tissue that can contribute to recurrent airway obstruction and bleeding. There is also a risk that the stent may erode into neighboring vessels, causing catastrophic hemorrhage. Newer biodegradable stents are under development.152

Vocal Cord Paralysis

The vocal cords are two elastic bands of muscle tissue located just above the trachea in the larynx. Vocalization is normally created when exhaled air passes through closed vocal cords, causing them to vibrate. In the absence of vocalization, the cords remain open to facilitate respiration.

Vocal cord paralysis is the absence of movement of the cords owing to motor nerve dysfunction in the larynx. The paralysis can be unilateral or bilateral. In cases of bilateral paralysis, most cases are abductor palsies, with the cords in close apposition to each other. The cords may not move at all (paralysis), or they may have decreased or abnormal movement (paresis). Although vocal cord paralysis is uncommon, this condition is the second leading cause of stridor in infancy.58

Etiology

Vocal cord paralysis may be idiopathic, or it may be associated with surgical procedures or related to a neurologic disorder, birth trauma, or brachial plexus injury. Cardiac procedures such as ligation of a patent ductus arteriosus or manipulation or repair of the aortic arch have been associated with vocal cord dysfunction. The recurrent laryngeal nerve loops around the aortic arch on the left and the subclavian artery on the right before it travels superiorly and enters the larynx. Surgery near these areas can result in manipulation of the nerve, producing vocal cord dysfunction.250

Neurologic conditions associated with vocal cord paralysis include midbrain/brainstem dysgenesis, Arnold-Chiari malformation, congenital hydrocephalus, neurofibromatosis, and global hypotonia.58,162 Neurosurgical procedures near the brainstem also can result in vocal cord paralysis.

Uncommonly, vocal cord injury can be caused by physical trauma during endotracheal intubation. Postoperatively, all children who undergo these surgical procedures need to be monitored for clinical signs of vocal cord paresis.

Clinical Manifestations

Common clinical signs and symptoms include stridor, weak cry or voice, hoarseness, and swallowing dysfunction. In cases of bilateral paresis or paralysis, the stridor is more severe; in fact, children with bilateral paresis will have more significant clinical findings in general.58 Swallowing dysfunction associated with vocal cord paralysis can lead to aspiration of saliva or food, placing the child at risk for aspiration pneumonitis.250

The diagnosis of vocal cord paralysis can be established using either direct bronchoscopy in the operating room or through dynamic assessment of the larynx using flexible fiberoptic laryngoscopy (generally performed at the bedside) to evaluate the motion of the vocal cords. Ultrasonography of the larynx is a useful adjunctive diagnostic technique.58 The condition is confirmed when the there is no motion or abnormal motion of one or both of the vocal cords.250

Management

Spontaneous recovery can occur within approximately 6 months in some children. Intervention of any sort is needed only if the vocal cord injury results in problems with gas exchange or if the child is aspirating food or formula.

Some children will need only thickened foods and positioning with the head of the bed elevated during feeding. In addition, they will need close observation for signs of aspiration. Other children will need alternative enteral nutrition delivery (e.g., gastric tube) to bypass the paretic area. Speech therapy evaluation is crucial to determine the safest method for feeding.250 Rarely, a tracheostomy is needed to relieve airway obstruction associated with vocal cord paresis and to protect the lungs from soiling.127

For children with unilateral vocal cord paresis, surgical intervention is an option, using a CO2 laser to bring the paralyzed cord into a more medial position (i.e., medialization); this facilitates adduction of the paretic cord with the functional cord. Another method of medialization of the paralyzed vocal cord is to inject it with silicone elastomers. Injection with Teflon (DuPont, Wilmington, DE) is no longer used because it has been associated with granuloma development.69

Respiratory Failure

Etiology

Respiratory failure is defined as exchange of O2 and CO2 that is insufficient to meet the metabolic demands of the body; this results in hypoxemia, hypercarbia, or both. Virtually any critically ill or injured child is at risk for respiratory failure. Respiratory failure results from hypoventilation, ventilation or perfusion (image) mismatch, diffusion abnormalities, and intrapulmonary shunting.9,82,243

Pathophysiology

Respiratory failure can be caused by failure of any component of the respiratory system, including central nervous system control of ventilation, airways, the chest wall, respiratory muscles, or lung tissue including the alveolar-capillary membrane (Box 9-6).

Box 9-6 Major Components of the Respiratory System and Potential Contribution to Respiratory Failure

Brain or central nervous system control of breathing

image Immaturity
image Depressed because of narcotics, barbiturates, or anesthetics
image Impaired in central nervous system disease, insult, or injury

Airways

image Bronchospasm
image Airway obstruction caused by inflammation, edema, or mucus with significant increase in resistance to air flow and work of breathing
image Airway musculature incompletely developed, so airways are compliant and may be compressed
image Airway may be compressed by abnormal vascular or other anatomy
image Artificial airway occlusion or displacement

Chest wall

image Extremely compliant in young children, so it may collapse during episodes of respiratory distress, resulting in further compromise in efficiency of respiratory function
image Excessive inspiratory pressure and volume can be provided inadvertently during positive pressure ventilation.

Respiratory muscles

image If any respiratory muscles lack tone, power, or coordination, the upper or lower airway patency may be compromised, reducing inspiratory effort.
image Diaphragm fatigue or paralysis: Intercostal muscles may be incapable of generating effective tidal volume during early childhood.
image Phrenic nerve injury

Lung tissue

image Cardiogenic or noncardiogenic pulmonary edema
image Surfactant inactivation
image Parenchymal lung diseases
image Anatomic abnormalities can result in lung restriction or compliance problems.

Alveolar-pulmonary capillary interface (diffusion surface)

image Pulmonary edema
image Pulmonary hypertension syndromes
image Pulmonary emboli

Excessive positive pressure

Respiratory failure and hypoxemia result from: hypoventilation, low image (O2 responsive), image (shunt, not O2 responsive), diffusion disturbances, decreased PaO2 (decreased SaO2), and high altitude.9

The diagnosis of respiratory failure is based on both clinical and physiologic criteria. For example, oxygen criteria alone can be misleading in a child with cyanotic heart disease who is hypoxemic while breathing room air (i.e., intracardiac shunt). Physiologic criteria include hypoxemia while breathing room air and hypercarbia with acidosis. Oxygen therapy may result in a normalization of the PaO2 in a patient with respiratory failure.260 The response to oxygen in a patient with lung disease is determined by the percent of alveoli represented by intrapulmonary shunting. If greater than 40% of the lung units are involved in the shunt, positive pressure ventilation and lung recruitment will be needed before oxygen therapy will increase the PaO2.

Respiratory failure may be present despite oxygen therapy. Hypoxemia can result in inadequate tissue oxygenation and development of lactic acidosis. Cardiac output and pulmonary blood flow increase initially in response to hypoxemia. In addition, the hemoglobin affinity for oxygen is decreased (the oxyhemoglobin dissociation curve shifts to the right; see Fig. 9-6) so that oxygen is released more easily to the tissues.64 These compensatory mechanisms will help maintain adequate oxygen delivery. With progressive hypoxemia, cardiac output falls and alveolar hypoxia may produce inadequate oxygen delivery.

Clinical Signs and Symptoms of Respiratory Failure

The clinical and physiologic indicators of respiratory failure in children are listed in Box 9-7. These indicators include hypoxemia despite oxygen therapy and hypercarbia with acidosis. The child's baseline oxygenation and respiratory function must also be considered (Box 9-8).

Box 9-7 Clinical and Physiologic Indicators of Respiratory Failure

Depressed level of consciousness

Increased respiratory rate and effort, including retractions or grunting, decreased chest wall movement

Absent or significantly decreased breath sounds

Cardiovascular signs of distress, including tachycardia, peripheral vasoconstriction, mottled color, and pulsus paradoxus

Signs of diaphragm muscle fatigue:

image Paradoxic movement of diaphragm
image Respiratory alternans
image Apnea

Late signs: apnea or gasping, agonal respirations, bradycardia, or hypotension

Cyanosis and hypoxemia despite supplementary oxygen therapy (e.g., PaO2  <  75   mm   Hg despite FiO2 of 1.00)*

Hypercarbia (PaCO2 >  50-75   mm   Hg), especially with acute acidosis

Rising alveolar-arterial oxygen difference (normal, <  25   mm   Hg) or decreasing PaO2/FiO2 ratio

* In the absence of intracardiac right-to-left shunt lesion.

In the absence of chronic lung disease and metabolic alkalosis.

Box 9-8 Clinical and Physiologic Criteria for Diagnosis of Respiratory Failure in Children with Chronic Lung Disease, Cyanotic Heart Disease, or Neurologic Disease

Respiratory failure in the child with chronic lung disease

Chronic increase in PaCO2 with compensatory metabolic alkalosis

Acute respiratory acidosis

Significant increase in work of breathing

Hypoxemia or hypercarbia exceeding the child's “normal” range

Compromise in systemic perfusion (cool extremities, mottled color)

Depressed level of consciousness

Late signs: apnea, gasping, bradycardia

Respiratory failure in the child with cyanotic congenital heart disease

Metabolic (lactic) acidosis (increased serum lactate, worsening base deficit)

Hypoxemia exceeding patient's normal range

Severe retractions or grunting

Hypercarbia

Late signs: apnea or gasping, compromise in systemic perfusion, bradycardia

Respiratory failure in the child with neuromuscular disease

Decreased respiratory effort

Weak cough, incompetent swallow or gag

Use of accessory muscles of respiration

Decreased tidal volume

Decreased inspiratory force: cannot generate force more negative than −  20   cm H2O (normal is at least −  60 to −  100   cm H2O, and forceful cough is thought to require at least −  25   cm H2O)

Decreased vital capacity

The alveolar-arterial oxygen difference or gradient (A-a DO2) is an objective calculation used to assess the initial severity and the evolution of lung injury. It is calculated as follows. A patient breathes a known concentration of oxygen for 15 to 20   min, and then an arterial blood sample is obtained. The inspired oxygen tension (PiO2) is calculated by multiplying the fractional inspired oxygen concentration (FiO2) by the difference between the barometric pressure and the water vapor pressure at body temperature (the water vapor pressure at body temperature is 47   mm   Hg). The alveolar oxygen tension (PaO2) is equal to the PiO2 minus the PaCO2 as shown on the next page:


image



image


where R = Respiratory exchange quotient, which can be estimated as 1.

Note: If not at sea level, substitute barometric pressure for 760.

The A-a DO2 is the difference between the calculated PAO2 and the PaO2 and is calculated as follows:


image


where normal is <  25 to 50   mm   Hg.

The difference between PiO2 and the child's arterial oxygen tension increases when perfusion of nonventilated alveoli occurs; this is called an intrapulmonary shunt. The severity of intrapulmonary shunting is estimated using a shunt graph (Fig. 9-9). The PaO2/FiO2 (P/F) ratio is more commonly used in clinical practice to estimate the degree of intrapulmonary shunting (e.g., P/F <200 is consistent with ARDS).

image

Fig. 9-9 Relationship between inspired O2 concentration and arterial O2 tension with changing severity of intrapulmonary shunting. By comparing the patient's FiO2 to the PaO2, the percentage of nonfunctioning but perfused alveoli (i.e., the shunt) can be determined. Note that once the intrapulmonary shunt nears 50%, increasing the inspired O2 concentration will produce little improvement in PaO2 at this point, treatment must improve alveolar ventilation and the ventilation-perfusion ratio through the use of positive end-expiratory pressure. Changes in cardiac output and O2 uptake can influence the position of the shunt curves.

(From West JB: Pulmonary pathophysiology: the essentials, ed 2, Baltimore, 1980, Williams and Wilkins.)

Management

The child with respiratory distress and evolving respiratory failure needs continuous monitoring of general appearance and responsiveness, pulse oximetry, and heart rate. The child needs to be kept as comfortable as possible. Position the child for maximal comfort to provide optimal oxygenation, and frequently evaluate the child's airway, oxygenation, ventilation, and perfusion.

If the child's airway is obstructed or if the child appears unable to maintain a patent airway, perform intubation immediately (see section, Intubation below). The goal of therapy for respiratory failure is to maximize O2 delivery by increasing arterial oxygen content and supporting cardiac output. In addition, reduce oxygen demand by treating fever and pain. Avoid cold stress in young infants through the use of warming devices. A frightened child may be comforted by the presence of the parents. Minimize intrusive examinations and treatments. Monitor fluid intake and output carefully, because excessive fluid administration can contribute to pulmonary interstitial edema (from capillary leak) and worsening of respiratory failure.

Pulse Oximetry

Pulse oximetry allows continuous evaluation of oxyhemoglobin saturation (SaO2). To estimate the child's PaO2 from the SaO2, consult an illustration of the oxyhemoglobin dissociation curve (see Fig. 9-6). The pulse oximeter uses a photodetector with light-emitting diodes. The photodetector is placed across a pulsatile tissue bed from the diodes. The diodes emit a red light and an infrared light through tissue containing both venous and arterial blood, and a photodetector captures the red and infrared light on the other side of the tissue bed. Oxygenated hemoglobin absorbs little red light, but a large amount of infrared light. A microprocessor determines the difference between the absorption of the red and infrared light and can determine the percentage of the total normal hemoglobin that is oxygenated in the tissue.206 The pulse oximeter also displays the strength of the pulse and a digital pulse rate.

In order for pulse oximetry to be useful, the signal must be strong and artifact must be minimized. The oximeter is typically placed on the child's finger or toe (the neonate's hand or foot may be used). If movement artifact interferes with pulse oximetry, the disposable sensor and band can be placed on the arm or leg of the neonate. Technology in newer pulse oximeters has reduced motion artifact. Ambient light may also cause artifact, so it may be helpful to wrap the sensor and extremity loosely in gauze. The pulse oximeters are calibrated by the manufacturer, so they do not require calibration by the user.

In addition to light and motion artifact, accuracy of pulse oximetry is limited when tissue perfusion is poor, and it is limited by hemoglobinopathies and by dyes or pigments in the blood and hemoglobin. Poor tissue perfusion decreases the pulsatile flow needed for the detectors and for the calculation. Pulse oximeters calculate only O2 saturation in normal hemoglobin, so they do not recognize carboxyhemoglobin or methemoglobin. As a result, the oxyhemoglobin saturation displayed by the monitor will overestimate total hemoglobin saturation in patients with these conditions, because it will reflect only the percent of normal hemoglobin that is saturated with oxygen and does not reflect the abnormal hemoglobin compounds. For example, if a child has 15% carboxyhemoglobin, the child's maximum possible oxyhemoglobin saturation is 85%. If the pulse oximeter displays an SaO2 of 90%, the child's actual oxyhemoglobin saturation is probably 90% of the 85% of hemoglobin that is not bound to carbon monoxide, for an actual saturation of 76% (i.e., 0.85  ×  0.9  =  76.5%). If carbon monoxide poisoning or methemoglobinemia are suspected or confirmed, the hemoglobin saturation must be measured by cooximetry in the blood gas laboratory.206

Pulse oximeters are generally accurate over a wide range of hemoglobin saturations, although most have a lower limit or threshold hemoglobin concentration below which they are no longer accurate. In addition, clinicians must be aware that a child with severe anemia can have extremely low arterial oxygen content despite a normal oxyhemoglobin saturation, because oxygen-carrying capacity is reduced. In the child with severe anemia, oxygen delivery will fall unless cardiac output increases (see Box 9-2).

The pulse oximeter must have adequate signal strength, and the high and low alarm limits for heart rate and hemoglobin saturation must be set appropriately. Clinicians must be aware of the child's hemoglobin concentration and pH. In general an oxyhemoglobin saturation 94% or higher will be associated with adequate arterial oxygen content (and a PaO2 greater than 70   mm   Hg) unless anemia is present. If the child's pH is maintained in the alkalotic range, an oxyhemoglobin saturation less than 94% may be associated with significant hypoxemia (a PaO2 less than 60   mm   Hg).

An experienced healthcare provider may be able to recognize the presence of pulsus paradoxus (i.e., a fall in systolic blood pressure during spontaneous inspiration) during careful evaluation of the pulse oximetry signal, because the pulse amplitude will decrease during deep spontaneous inspiration. Pulsus paradoxus may be present in children with status asthmaticus when severe air trapping causes hyperinflation of the lungs and flattening of the diaphragm; this places tension on the pericardium. The hyperinflated lungs and the pericardium compress the heart and reduce diastolic filling, and they increase left ventricular afterload. These effects decrease stroke volume and cardiac output, especially during spontaneous inspiration.

Oxygen Administration

Administer warmed, humidified oxygen to the hypoxemic child. This therapy may effectively treat respiratory failure associated with hypoxemia if the child's airway is patent and respiratory effort and ventilation are acceptable (i.e., the child's PaCO2 is normal). Measure and record the concentration of inspired oxygen carefully and assess the response of the child to therapy at frequent intervals.

Nasal cannulae are frequently used to deliver supplementary oxygen to children; they are useful to deliver low levels of oxygen (22%-40%). Flow rates for a standard nasal cannula range from 0.25 to 4   L/min, and they provide limited humidification. Hi-flow nasal cannula are also available.

Face tents are used frequently for older children and adolescents, although they are not made specifically in pediatric sizes. The soft, plastic masklike tent fits around the patient's chin and elastic straps hold it in place around the jaw. A minimum gas flow of 7   L/min is needed to ensure adequate CO2 removal.

Several kinds of oxygen masks are available for pediatric use. To select a mask of the appropriate size, make certain that the mask is just large enough to cover the child's nose and mouth, because a mask that is too large may cause the patient to rebreathe exhaled gas, and a mask that is too small can prevent adequate gas flow. Most oxygen masks deliver inspired oxygen concentrations up to approximately 55%. A tight-fitting mask with a reservoir bag or special blender can provide inspired O2 concentrations up to 100%.

Venturi masks are designed to provide more predictable oxygen concentrations, and they are particularly effective at delivering inspired O2 concentrations between 24% and 50%. The Venturi mask differs from the conventional mask in that it can successfully deliver specific inspired O2 concentrations, because its total liter flow usually exceeds the patient's inspiratory flow. Therefore all inspired gas contains the same, premeasured O2 concentration (FiO2), and no ambient air is entrained. Table 9-7 summarizes the advantages and disadvantages of various oxygen delivery systems (see Chapter 21).

Table 9-7 Advantages and Disadvantages of Typical Oxygen Delivery Systems

System Advantages Disadvantages
Oxygen masks Many sizes available Skin irritation
  Provides predictable concentration of oxygen (with Venturi mask) whether child breathes through nose or mouth Fear of suffocation
    Accumulation of moisture on face
    Possible aspiration of vomitus
    Difficulty controlling inspired oxygen concentrations
Nasal cannula Provides constant oxygen flow even while the child eats and talks May be uncomfortable or irritating
  Enables more complete observation of child because nose and mouth remain unobstructed May causing abdominal distension and discomfort or vomiting
    Difficult to control inspired oxygen concentration if child breathes through mouth
    Inability to provide mist if desired
Oxygen hood Provides high concentrations of oxygen (FiO2 up to 1.00) High humidity environment
  Enables ready access to patient's chest for assessment Need to remove patient for feeding and care

Use of Oral or Nasal Airways

Placement of an oropharyngeal or nasopharyngeal airway may be necessary for the control of secretions or the prevention of airway obstruction. These airways are appropriate for short-term use only, and they must be replaced by an endotracheal tube if there is any doubt about the child's ability to maintain a patent airway.

Oropharyngeal airways may prevent occlusion of the pharynx by the tongue of an unconscious patient; they cannot be inserted in a conscious child because they may stimulate vomiting.194 Occasionally an oral airway is maintained in the obtunded child with an oral endotracheal tube in place to prevent biting on the tube, but a bite block is more appropriate for this purpose.

The size of the oropharyngeal airway is evaluated before insertion by placing the airway on the outside of the child's cheek, with the bite block segment at the lips. The end of the airway should reach the angle of the jaw so that it will reach to the level of the central incisors.43 Using a tongue blade may be helpful to depress the tongue during insertion.194 Do not force the airway into the patient, because it can push the tongue back into the pharynx and obstruct the airway.

Nasopharyngeal airways are soft rubber or plastic tubes that provide a conduit for air flow from the nares to the posterior pharyngeal wall and for suctioning of the posterior pharynx.194 These airways can be used in conscious or unconscious children, and they will maintain airway patency and provide a channel for suctioning the pharynx.

The diameter of the nasopharyngeal airway is sized by comparing the inner circumference of the nare to the outer circumference of the nasopharyngeal airway to be used. The length of the nasopharyngeal airway is equivalent to the distance from the tip of the nose to the tragus of the ear.194 Lubricate the airway with a water-soluble lubricant before insertion, and do not force it into place if resistance is encountered. If any blanching of the nare is noted after placement, the diameter of the nasopharyngeal airway is too big and a smaller airway is needed. Small or extremely soft airways can become obstructed by mucus, vomitus, or soft tissues, so the airway must be suctioned frequently and its effectiveness needs to be evaluated repeatedly.194

Bag-Mask Ventilation

This method of ventilation uses a hand-ventilating bag joined to an oxygen source and a mask. A bag-mask system must be present at every bedside in the critical care unit. Because virtually any patient is at risk for developing respiratory failure, bedside nurses must be prepared to offer support of ventilation whenever necessary. Every healthcare provider must learn good bag-mask ventilation technique. The novice can begin skill acquisition by assisting during the suctioning of an intubated patient. It is important to provide effective ventilation without generating high peak inspiratory pressures, and it is also important to synchronize delivered breaths with the patient's spontaneous ventilatory efforts.

To provide effective bag-mask ventilation, use a self-inflating bag and select a mask to fit properly over the child's nose and mouth. Extend the child's neck slightly, unless cervical spinal injury is suspected in a trauma victim, and lift the jaw. Create a seal between the patient's face and the mask by grasping the mask between the thumb and index fingers of the nondominant hand while lifting the child's lower jaw against the mask using the third, fourth, and fifth fingers; this creates the E-C clamp depicted in Fig. 9-10.

image

Fig. 9-10 Single rescuer bag-mask ventilation (E-C clamp) technique (“ventilating a baby is as ‘E-C’ as 1-2-3”). A, Hand displaying E-C shape. B, The E is formed with the ring, small, and index fingers. The C is formed with the index finger and thumb. C, The E fingers rest on the bony ridge of the jaw. D, The C fingers are positioned to hold the mask. E, Proper E-C clamp for assisted ventilation.

(Developed by the New York City EMS project and NYC*EMS! Adapted from the Center for Pediatric Emergency Medicine: Teaching resource for instructors in prehospital pediatrics, ed 2. Available at http://cpem.med.nyu.edu/teaching-materials/tripp-bls. (Modified from Foltin GL, et al: Teaching resource for instructors in prehospital pediatrics, New York, 1998, Center for Pediatric Emergency Medicine, Maternal Child Health Bureau, Emergency Medical Services for Children Grant.)

During bag-mask ventilation, the rescuer compresses the bag in synchrony with, or slightly faster than, the child's spontaneous respiratory efforts. Inspiratory volume is administered to produce a visible chest rise. Bag-mask ventilation is effective if the chest expands equally and adequately bilaterally and if equal breath sounds can be auscultated over both sides of the chest during each breath. In addition, if bag-mask ventilation is effective, the child's oxyhemoglobin saturation (SaO2) will rise or remain adequate, and the heart rate will be appropriate for age and clinical condition. Ineffective ventilation produces inadequate breath sounds bilaterally, and the chest fails to rise during ventilation. If the SaO2 is low or falling and heart rate is decreased, bag-mask ventilation is inadequate.

Bag-mask ventilation can result in the entry of air into the esophagus, producing gastric distension; this can be harmful because the child could vomit and aspirate gastric contents, and gastric dilation can impair diaphragm excursion. If the child is unconscious with no cough or gag reflex, a second person can apply light pressure at the cricoid cartilage during bag-mask ventilation; this will displace the trachea posteriorly and obstruct the esophagus, reducing or preventing further air entry into the esophagus. If this maneuver fails or if gastric distension is significant, insert a nasogastric tube to decompress the stomach (remove it before an intubation attempt).

If prolonged bag-mask ventilation is needed, an endotracheal tube (advanced airway) will be inserted, enabling delivery of mechanical ventilatory support with less potential inflation of the stomach. The endotracheal tube will permit suctioning and application of PEEP to improve oxygenation.

Intubation

The decision to intubate is primarily a clinical decision, based on assessment of gas exchange and respiratory effort. Indications for intubation in the critically ill child include respiratory arrest or apnea, inability to maintain an effective airway (as a result of a depressed level of consciousness), obstructed airway, or edema with stridor, and/or severe hypoxemia or progressive hypercarbia. Intubation will be needed for the child who has multisystem failure or increased intracranial pressure (Box 9-9).

Box 9-9 Indications for Intubation and Mechanical Ventilation

Respiratory arrest, gasping, or agonal respirations

Excessive work of breathing

Respiratory muscle fatigue

Upper airway obstruction (anatomic or functional) or potential obstruction (e.g., facial trauma, inhalation injuries)

Actual or potential decrease in airway protective reflexes (i.e., cough, gag)

Shock (especially septic shock)

Anticipated need for mechanical ventilation support (e.g., impending acute respiratory failure, chest trauma, shock, increased intracranial pressure, neuromuscular disease)

Hypoxemia despite supplementary oxygen (PaO2  <  60   mm   Hg with FiO2  >  0.6) in the absence of cyanotic congenital heart disease

Inadequate ventilation (PaCO2  >  60   mm   Hg acutely or unresponsive to other interventions)

Need for airway and ventilation control for deep sedation or patient transport

Emergency drug administration

Altered mental status

Glasgow Coma Scale score less than 8 (see Chapter 11, Table 11-6)

Increased intracranial pressure (see Chapter 11)

Whenever possible, accomplish intubation on an elective basis (i.e., discuss it during morning and afternoon rounds and plan elective intubation) in anticipation of further deterioration in respiratory function. If nursing and medical assessment and care are skilled, respiratory arrests rarely occur in the hospital, because respiratory deterioration is recognized and appropriate support is provided to prevent the arrest.

Selection of Tube Type

In the past, all children 8 years of age and younger were intubated with uncuffed endotracheal tubes, because the cricoid cartilage (the narrowest point of the airway) creates a natural seal around the tube. There was concern that use of a cuffed tube could create inflammation and injury to this area, although it is now clear that both cuffed and uncuffed tubes may be used safely in children, provided cuff pressure is monitored and kept at 20 to 25   cm H2O. The use of cuffed ETTs may be preferred over uncuffed tubes in children with decreased lung compliance or in those who have a large air leak when an uncuffed tube is used. When using cuffed endotracheal tubes, the cuff must be a low-pressure, high-volume cuff to reduce the risk of pressure injury to the tissues. Monitor and maintain cuff pressure at 20 to 25   cm H2O pressure (or per manufacturer's specifications).122a,171

Selection of Tube Size

When the child is critically ill and is at risk for respiratory failure, intubation equipment should be readily available in a cart at the bedside. Proper ETT size is estimated most accurately from the child's length, and the use of the color-coded Broselow Resuscitation Tape (Vital Signs, Armstrong Medical, Lincolnshire, IL) facilitates determination of proper tube size.139 If the tape is not available, the uncuffed endotracheal tube size can be estimated roughly from the child's age according to the following formula (accurate in children 1-10 years old)122a:


image


The cuffed endotracheal tube can be estimated by the child's age using the following formula122a:


image


The diameter of the ETT is approximately the diameter of the child's small finger. A reference table also can be used to estimate the proper tube size (Table 9-8).

Tube size is evaluated after placement. A tube can be too large yet still pass easily through the child's vocal cords, because the narrowest portion of the child's larynx is below the vocal cords at the level of the cricoid cartilage. Once the tube is placed, use a ventilation bag with pressure manometer to provide inspiration to a known pressure. If the tube size is appropriate, a small air leak will be detectable when the inspiratory pressure reaches approximately 25   cm H2O. If a leak develops at lower pressures, the tube is probably too small, and a large air leak may develop during positive pressure ventilation. If the tube is too large, a leak will not be detectable despite inspiratory pressure exceeding 25   cm H2O. The use of an excessively large tube can result in laryngeal or mucosal injury or necrosis or subglottic stenosis.

Insertion of the Tube

Before the intubation attempt, assemble all necessary equipment at the bedside (Box 9-10). Monitor the child's heart rate continuously and make certain the heart rate (QRS tone) is audible.

Box 9-10 Intubation Equipment

Bag, mask, and oxygen source, cardiac monitor with audible QRS tone

Endotracheal tube: estimated size for body length and age (see Table 9-8) plus tubes sized 0.5   mm larger and 0.5   mm smaller

Laryngeal mask airways in a variety of sizes (if available)

Laryngoscope blade and handle (and extra bulbs and batteries)

image Infants: 0-1 straight blade
image Small children: 1 straight blade
image Children (12-22   kg): 2 straight or curved blade
image Large children (24-30   kg): 2-3 straight or curved blade
image Adolescents (32-34   kg): 3 straight or curved blade

Stylet

image Children 3-17   kg: 6 French
image Children >  17   kg: 14 French

Exhaled CO2 detector, capnography

Suction equipment: wall or portable suction

Appropriate catheter to pass easily through endotracheal tube (usually the next French size above twice the ETT size (in millimeters) will pass readily into any ETT  >  3.0   mm)

Tonsillar suction or 12-14 French suction catheter

Nasogastric tube

Tape, liquid adhesive applicators, water-soluble lubricant

Gloves and goggles

Neuromuscular blocking agents, sedatives, analgesics, lidocaine

Magill forceps for nasotracheal intubation

ETT, Endotracheal tube.

Table 9-8 Endotracheal and Tracheostomy Tube Sizes

image

Oxygen is administered before and between any intubation attempts to ensure that the child is well oxygenated. If a short-acting nondepolarizing or depolarizing neuromuscular blocking agent is administered to facilitate intubation, then atropine may be administered to prevent bradycardia (refer to section, Nursing Care of the Child during Mechanical Ventilation and Chapter 5). Routine administration of atropine before intubation attempts is discouraged, however, because it might prevent or minimize hypoxemic-induced bradycardia and delay the recognition of hypoxemia during intubation.

Intubation of the critically ill child should be attempted only by persons skilled in airway management. The intubation clinician is assisted by one or more team members. Proper positioning before the attempt is essential. Typically, infants and toddlers (without suspected cervical spine trauma) are placed on a flat surface with the chin lifted into a sniffing position. It may be necessary to place the torso on a small pad to achieve proper alignment. Children older than 2 years (without cervical spine trauma) are generally placed with the head on a small pillow, and the chin is lifted into a sniffing position. The child is appropriately positioned for intubation if the opening of the ear canal is above or just level with the front of the shoulder when viewed from the side.

One team member holds the ETT (prepared with a stylet if requested) and may provide bag-mask ventilation using 100% oxygen before and after any intubation attempt. That team member may also provide cricoid pressure if requested during the intubation attempt. One team member is responsible for monitoring patient color and heart rate during the intubation attempt and must advise the intubating clinician if the child's heart rate or appearance deteriorates, so that the attempt can be interrupted and hand ventilation can be provided if the child's condition worsens. A respiratory therapist is an important member of the team during this phase of intubation.

It may be necessary to insert a stylet into the tube to pass the tube through the vocal cords. If a stylet is used, insert it only up to the final 1   cm of the tube and bend the proximal end of the stylet over the universal adaptor at the proximal end of the tube, so that the stylet cannot be inadvertently advanced beyond the tip of the tube. It is important to prevent the stylet from extending beyond the end of the tube, because it can perforate the airway. The decision to use a stylet during intubation is made by the intubating clinician. Be prepared to apply pressure to the cricoid cartilage to facilitate intubation.

During intubation, the following materials must be available within reach of the intubating clinician: suction tubing (joined to a suction canister, set to provide approximately −  90   cm H2O suction), a tonsillar suction device, a large suction catheter (used to suction the pharynx, if needed), a suction catheter of appropriate size for suctioning the ETT, liquid adhesive applicator, and tape (torn into strips appropriate for taping the tube), or device to secure the tube.

Suction devices are often needed to remove secretions, vomitus, or blood from the pharynx so that the intubating clinician can visualize the vocal chords. Once the tube is in place, the suction control is set to provide approximately −  60 to −  150   cm H2O suction, based on the age of the child (Table 9-9).

Table 9-9 Typical Maximum Negative Pressure for Pediatric Airway Suctioning Based on Age

Age Typical Negative Pressure (cm H2O)
Infant 60-80
Child 80-120
Older child 120-150

Orotracheal intubation is typically performed in the critical care unit. It can be achieved rapidly and is associated with few complications. Nasotracheal intubation may be performed if it is difficult to secure the oral tube (e.g., the child has mouth or facial burns or injuries). Nasotracheal intubation has been associated with development of sinusitis, so when it is performed it will be necessary to monitor the patient closely for evidence of sinus infection.

If orotracheal intubation is performed, the laryngoscope blade is inserted into the hypopharynx to control the tongue and lift the lower jaw and tongue upward, so that the vocal cords may be visualized. It may be necessary to suction the area above the vocal cords, with a tonsillar suction or a large suction catheter, to visualize the cords.

If nasotracheal intubation is performed, the tube is lubricated, gently inserted nasally, and advanced until the tip of the tube is visualized in the back of the pharynx. The laryngoscope blade is then used to visualize the cords, and McGill forceps are used to advance the tube from the pharynx through the vocal cords.

Rapid Sequence Intubation

The critically ill or injured infant or child who needs intubation may have a full stomach. In such a child, the goal is to safely insert an airway, without stimulating vomiting. For a patient who needs urgent intubation, rapid sequence intubation (RSI) may be performed (Box 9-11 shows the indications for RSI). RSI is defined as nearly simultaneous delivery of oxygenation, sedation, and neuromuscular blockade for the purpose of intubation.209 The goal is to provide near immediate intubating conditions.284

Box 9-11 Rapid Sequence Intubation

Indications

Full stomach or oral intake within the past 4-6   h

Pharyngeal or upper gastrointestinal bleeding

Ileus or intestinal obstruction (includes acute onset of illness)

Tense abdominal distension

Pregnancy