Evaluation Immediately After the Turn

Evaluate the patient (verify placement of ETT, evaluate oxygenation and perfusion, and check vital signs).

Check all catheters and tubing; reconnect those that were capped.

Adjust cushions and padding to support the patient, with the head higher than the abdomen and the head of the bed elevated slightly. Check body prominences, abdomen, and toes, and adjust cushions as needed to avoid pressure on these areas.

Adapted from Grant MJC, Curley MAQ: Pulmonary critical care problems. In Curley MAQ, Maloney-Harmon PA, editors: Critical care nursing of infants and children, Philadelphia, 2001, WB Saunders.ECG, Electrocardiogram; ETT, endotracheal tube.

Other Adjunctive Therapies: Nitric Oxide

Nitric oxide is currently approved by the FDA for use in neonatal RDS, where it has been well demonstrated to improve oxygenation in patients with pulmonary hypertension. In children, however, inhaled nitric oxide has not been demonstrated as an effective therapy for ARDS. Nonetheless, nitric oxide is frequently used because it improves oxygenation as a result of its selective vasodilatory properties, resulting in increased image matching.

Minimizing of Oxygen Demands

Eliminating fever and pain and maintaining the patient in a thermoneutral environment will decrease oxygen consumption. As noted previously, the use of neuromuscular blockade with sedation may reduce the oxygen consumption by respiratory muscles and will enable better ventilation control of the child with severe respiratory failure. The use of neuromuscular blockade with appropriate sedation (and analgesia, if needed) is particularly important when CMV produces elevated peak inspiratory pressures, because these pressures increase the risk of spontaneous pneumothorax. The use of neuromuscular blockers is not mandatory when children are treated with HFV, although sedation is usually needed (see Chapter 5).

Supportive Care

Careful monitoring and evaluation of fluid administration is necessary in the child with ARDS, because excessive fluid administration may contribute to worsening pulmonary edema and respiratory failure. The goal of fluid therapy is to maintain systemic perfusion and fluid balance using intravenous fluids, feedings, or diuretic therapy. In adults with ARDS, the use of limited fluid administration has been associated with significantly more ventilator-free days, significantly more critical care unit-free days, and slightly reduced mortality when compared with treatment using unrestricted fluid management.168 Of note, the adult ARDS study did not include patients in shock. Fluid restriction and removal of mediators of lung injury using hemofiltration is not universally practiced, because no randomized trials have evaluated outcomes. Intravascular volume must be maintained at adequate levels, and systemic perfusion must be monitored closely. Urine volume and skin perfusion will serve as reliable indicators of the adequacy of systemic perfusion. If systemic perfusion is compromised by positive pressure ventilation or high levels of PEEP, volume administration or inotropic support usually will restore perfusion to satisfactory levels.

Bronchopulmonary Dysplasia (Chronic Lung Disease of the Premature Infant)

Etiology

Chronic lung disease includes bronchopulmonary dysplasia (BPD), the chronic lung disease occurring in premature infants. It is defined as the need for supplementary oxygen from birth, regardless of the infant's gestational age, for longer than 28 days.113 BPD was first described by Northway et al.174 Since that time, estimates of the incidence of BPD have varied widely,174 as the result of heterogeneity of population risk factors, including antenatal exposures, genetics, and heredity.

BPD is the response of the immature lung to early injury. In the past, high FiO2 and PPV were both implicated in the development of BPD. The past (i.e., former) BPD was characterized by inflammation and disruption of normal pulmonary structures which lead to heterogeneous airway and parenchymal disease. A “new” BPD has emerged as a developmental disorder characterized by decreased alveolarization, decreased septation, and minimal airway disease. These abnormalities result in less surface area for gas exchange to occur, limited airway injury, inflammation, and fibrosis. Infants with BPD may have only mild respiratory distress, but exposure to multiple contributing factors can result in alterations in normal pulmonary microvascular growth and alveolarization.13

Pathophysiology

Infants with BPD demonstrate reduced lung compliance, increased airway resistance, and severe expiratory flow limitation caused by edema and small airway inflammation; these cause both overinflation and atelectasis.32 Ventilation-perfusion mismatch results in hypercarbia and hypoxemia. Current lung protective ventilation strategies allowing for permissive hypercarbia may limit additional lung injury that had been associated with traditional approaches to ventilation.

The sequelae of chronic hypoxemia include increased pulmonary vascular resistance, pulmonary hypertension, and cor pulmonale. Supplementary oxygen is an essential component of therapy when hypoxemia is present.

Clinical Signs and Symptoms

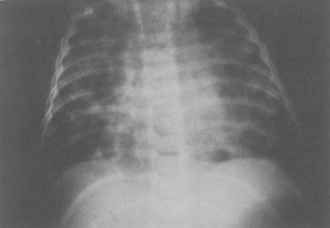
The chest radiograph of the child with BPD characteristically shows scattered linear infiltrates and patchy areas of hyperinflation (Fig. 9-16). Arterial blood gases usually reveal hypercapnia, mild acidosis (compensated respiratory acidosis), and mild hypoxemia.228,249 The child may have a barrel chest, tachypnea, retractions, wheezing, crackles, and failure to thrive. In severe forms of old BPD, digital clubbing may be present, which indicates a poor prognosis.

image

Fig. 9-16 The most common radiographic finding associated with bronchopulmonary dysplasia is the presence of diffuse infiltrates. These infiltrates produce a ground-glass or marbleized appearance in the lung fields. Emphysema may or may not be present.

(Courtesy Thomas A Hazinski, Vanderbilt University Medical Center, Nashville, TN.)

High pulmonary vascular resistance increases right ventricular afterload and may produce right ventricular hypertrophy that may be diagnosed by ECG criteria, even before the patient exhibits overt symptomatology. If right-sided heart failure develops, tachycardia, tachypnea, hepatomegaly, periorbital edema, and a gallop rhythm may be noted.

Management

Once BPD develops, weaning from mechanical ventilation is undertaken gradually, and some patients may need mechanical ventilation at home. As mentioned previously, supplementary oxygen will promote adequate tissue oxygenation and diminish the risk of pulmonary vascular and cardiac complications. Oxygen requirements can vary during activity, sleep, and feeding, so oxygen saturations are monitored by pulse oximetry during a variety of activities and O2 is titrated accordingly.

Given the role of inflammation in the pathophysiology of BPD, steroids have been used with success. However, long-term outcomes of infants who received dexamethasone therapy demonstrated an increased risk of neurotoxicity. Therefore steroid administration is no longer recommended for routine use in BPD therapy.8 Intermittent, goal-directed therapy with steroids may still be used with caution in these patients.

Rapid lung growth occurs during the first year of life, and lung function even in patients with chronic lung disease usually improves. Adequate nutrition is essential to the recovery of the infant with BPD, but it may be difficult to achieve. Elevated rates of energy expenditure in chronic lung disease demand a higher caloric intake that is difficult to provide while maintaining fluid restriction.63 High calorie formulas present an excessive osmotic load to the gastrointestinal tract and may result in diarrhea.

Some infants with BPD suffer from gastroesophageal reflux or may demonstrate poor feeding related to behavioral problems and reduced oral sensitivity following prolonged intubation. Optimization of nutritional support often requires speech therapy, environmental modifications to support eating, and the use of enteral feeding tubes.

Throughout the child's hospitalization, all clinicians must monitor for symptoms of impending respiratory failure, such as increased respiratory effort or worsening hypercapnia or hypoxemia. Acidosis in the child with chronic (compensated) respiratory acidosis may indicate the need for invasive or noninvasive support of ventilation. It is also important to monitor for signs of congestive heart failure, including tachycardia, tachypnea, hepatomegaly, decreased urine output, decreased peripheral perfusion, and rarely periorbital or sacral edema.

Croup (Laryngotracheobronchitis)

Etiology

Croup (laryngotracheobronchitis [LTB]) is a disease of diffuse inflammation that can include the epiglottis, vocal cords, subglottic tissue, trachea, or bronchi, resulting in upper airway obstruction. Infectious LTB is typically viral rather than bacterial in origin. Viral LTB occurs predominantly in children 3 months to 4 years of age; the most common viral pathogens are parainfluenza, RSV, and adenovirus.

Pathophysiology

The subglottic region is the narrowest segment of the upper airway of the infant and young child. It is surrounded by a rigid ring of cricoid cartilage. When infection produces inflammation, secretions and edema in this richly vascularized area, the rigid cartilage limits external extension of the tissue, and the internal airway lumen is narrowed so that airway obstruction develops. In addition, subglottic edema limits vocal cord abduction during inspiration, resulting in increased airway resistance.

Clinical Signs and Symptoms

The child with croup may have a history of rhinitis, mild fever, malaise, and anorexia for 12 to 48 hours before respiratory signs or symptoms appear. The onset of croup is heralded by a barking cough and hoarseness that is typically worse in the evening or at night. The child appears restless and anxious and may have inspiratory stridor. Because airway obstruction increases resistance to airflow, sternal retractions will be present, indicative of increased respiratory effort. On auscultation, diminished breath sounds can be heard and adventitious sounds also may be noted. If airway obstruction is severe, hypercarbia, hypoxemia, tachycardia, and respiratory acidosis may develop.

Severity of croup symptoms can be scored to provide an objective number to monitor for signs of either improvement or disease progression. The most commonly used score is the Westley Croup Score273 (Table 9-14). However, a number of croup scores are available online, and there is no evidence that one is better than another in determining outcomes in croup. The most important aspect of any scoring system is consistency in application by all members of the healthcare team.

Table 9-14 Croup Score

image

The differential diagnosis of LTB includes epiglottitis, foreign body aspiration, retropharyngeal abscess, diphtheria, trauma, peritonsillar abscess, allergic reaction, angioneurotic edema, or tumor. LTB may be diagnosed by the child's clinical condition.24 If the clinical condition does not provide enough evidence to support the diagnosis of croup, a lateral radiograph of the neck may be obtained. This test can be expected to show a normal epiglottis and an area of density below the larynx caused by swelling of the tracheal soft tissues.

An anteroposterior view of the neck may show subglottic narrowing manifested by a “steeple effect” or “pencil pointing” in the airway, but this is not diagnostic. The radiograph is obtained to rule out epiglottitis, not to diagnose croup. Direct examination of the oropharynx is performed only by a physician skilled in airway management, ideally in the operating room with another physician present who can perform an emergency tracheostomy.

Management

The treatment for LTB is largely supportive and includes measures that comfort the child and facilitate airflow until the inflammation resolves. Maintenance of a patent airway is vitally important.

It is also important to minimize the child's anxiety and prevent crying and agitation, which can increase stridor, respiratory distress, and work of breathing. If the child is comforted by the parents or family, they are encouraged to remain at the bedside to decrease the child's agitation. The child is kept as quiet and comfortable as possible. Painful procedures are not performed until a provider experienced in pediatric airway management either confirms or rules out the diagnosis and determines the need for an advanced airway or other support.

Oxygen is administered as needed to treat hypoxemia, titrated based on oxyhemoglobin saturation (pulse oximetry).164 Because hypoxemia can cause tissue hypoxia that contributes to agitation and worsening of respiratory distress, it must be treated promptly. In the past, the application of mist was thought to moisten secretions and soothe inflamed laryngeal mucosa. Administration of humidified oxygen, however, has not improved outcomes of children with croup in the emergency department.164

Heart rate, heart rhythm, and rate, depth, and pattern of respirations need to be monitored, as well as the presence and severity of retractions and nasal flaring. Hoarseness, stridor, cough, and mental status are assessed on a regular basis to detect any signs of deterioration. Tachyarrhythmias may indicate progressive hypoxemia. Arterial blood gas (ABG) analysis can be performed if the child's condition warrants such analysis, although usually this is avoided to prevent agitation. Equipment for intubation and possible tracheostomy must be readily available.

Monitor body temperature and treat fever with antipyretics. Administer intravenous fluids if oral intake is impossible or unsafe because of severe respiratory distress or deterioration. Intravenous fluid administration also may be needed if dehydration is present, but excessive fluid administration is avoided because it can contribute to pulmonary edema. Urine specific gravity is a good indicator of the child's level of hydration.

Inhalation of racemic epinephrine or l-epinephrine can reduce airway edema and has been shown to reduce airway resistance, improve clinical symptoms, and decrease the need for intubation in children with respiratory distress and croup.24,45 Hourly treatments may occasionally be necessary (see section, Upper Airway Obstruction earlier in this chapter for doses). During and immediately following the racemic epinephrine treatments, monitor for tachycardia or lack of improvement.

A helium-oxygen mixture (heliox) may be beneficial in children with croup, particularly if the child does not need a high inspired oxygen concentration. In one study, when combined with dexamethasone, either heliox or racemic epinephrine improved croup scores.266 Although there is limited evidence that heliox improves outcomes in croup, it may be beneficial to decrease work of breathing in the short-term care of these children (see the discussion of heliox administration under the section, Upper Airway Obstruction).

Many studies have demonstrated the effectiveness of steroids, including dexamethasone, prednisolone, and budesonide, in relieving symptoms of croup and reducing hospital length of stay.207 Because steroids improve croup symptoms, few children (less than 1% of children with LTB) will need intubation for the management of respiratory failure.86

Epiglottitis

Etiology

Epiglottitis is a medical emergency characterized by inflammation and swelling of the epiglottis, false cords, and aryepiglottic folds, often causing severe upper airway obstruction. Because it involves the structures of the supraglottic region, it can be known as supraglottitis. In the past, the primary bacterial agent causing epiglottitis was Haemophilus influenzae B. With the introduction of the Hib vaccine, the incidence of epiglottitis has decreased overall, and those caused by H. influenzae B have been significantly reduced.218 Other infectious organisms are group A beta streptococcus, Streptococcus pyogenes, Streptococcus pneumoniae, and Staphylococcus aureus, as well as some fungi and viruses.90,200 Following widespread use of the Hib vaccine, the age of patients with the disease has increased, and it now occurs most commonly in children from 2 years to late school age.218,274

Pathophysiology

The epiglottis is a cartilaginous structure covered by mucous membranes; it normally helps to occlude the glottis during swallowing. Edema of the mucous membranes in the area of the epiglottis can obstruct the airway completely in a matter of minutes or hours. Acute and complete occlusion of the airway may be precipitated by stimulating the oropharynx (e.g., examination, manipulation, suctioning) or by any procedure that induces apprehension or anxiety in the child.110

Clinical Signs and Symptoms

The clinical course of epiglottitis is characteristically rapid. Unless immediate medical care is provided to maintain airway patency, airway obstruction and death can result. The child with epiglottitis often demonstrates a muffled voice, weak cough, sore throat, drooling, and dysphagia with a high fever (usually >39° C). As the epiglottis increases in size, the child exhibits signs of airway obstruction, including a characteristic inspiratory stridor, sternal retractions, tachycardia, and decreased breath sounds. The child is usually anxious and prefers to sit and lean forward, assuming a tripod position. Late signs of hypoxia include listlessness, cyanosis, and cardiac arrhythmias, including bradycardia and premature ventricular contractions (see Table 9-5).

The definitive diagnosis of epiglottitis is ideally made in the operating room when a physician experienced in airway management examines the upper airway via laryngoscopy and visualizes a cherry-red, swollen epiglottis. The presence of the disease is nearly always an indication for intubation. Typically intubation is performed using an ETT one size smaller than that typically used for the child's age and size. Occasionally intubation is impossible if laryngospasm has occurred; a tracheostomy is then performed.

Management

Once the diagnosis of epiglottitis is suspected, a physician qualified to perform emergency intubation or tracheostomy and all equipment needed for intubation must be readily available. Allow the parents to remain with the child, because their presence may reduce the child's anxiety. If obtained, a lateral radiograph of the neck shows the epiglottis as a large, rounded, soft-tissue mass at the base of the tongue, and it rules out other pathologies such as retropharyngeal abscess, foreign body, and croup.219 A radiograph is obtained only when the diagnosis is questioned and care must be taken to prevent agitation.

In the unusual case of a patient with epiglottitis who is not intubated, the goal is to maintain a patent airway while keeping the child quiet and undisturbed. Anxiety and episodes of crying may be minimized by having the child rest in the parent's arms. The parent can deliver oxygen by simple blow-by (a tube or mask with humidified oxygen “blowing by” the child's nose and mouth).

Until intubation is accomplished, it is important to monitor the child's rate and depth of respirations, retractions, and nasal flaring and stridor, as well as the child's color and air movement. Supportive care is provided to minimize the child's energy expenditure and maximize respiratory efficiency. Humidified oxygen (using a facial tent, face mask, or blow-by O2, as noted previously) is provided.

If cardiorespiratory arrest occurs before insertion of an advanced airway, attempt bag-mask ventilation with 100% oxygen (using a two-person technique to ensure a tight face-to-mask seal and effective jaw lift). Ventilation may not be effective if inflammation is severe or if the child initially struggles. As the child loses consciousness, it may be possible to provide effective bag-mask ventilation. If airway obstruction prevents ventilation by bag-mask technique, a healthcare provider skilled in airway management can insert a large-bore needle (13-15 gauge) into the cricothyroid area to provide oxygenation (it will not provide an effective technique for CO2 elimination) until an ETT or tracheostomy can be placed.

Typically the ETT can be removed within 24 to 48 hours after antibiotic therapy is started (ceftriaxone or appropriate antibiotic for suspected pathogen). Sedation may be necessary if O2 and the relief of airway obstruction do not eliminate the patient's agitation, although frequently patients are comfortable as soon as they are intubated. Until swelling of the epiglottis subsides, maintenance of ETT patency and position are critical. Any obstruction or displacement of the tube can produce acute, life-threatening, deterioration. The ETT must be taped securely in place. Secure the child's hands appropriately (as needed) to decrease the risk of spontaneous extubation, which can be a life-threatening event. Reintubation can be extremely difficult in these children, although when the tube is removed early for any reason, even within hours of starting antibiotics, patients are frequently sufficiently improved and reintubation may not be needed.

The child with epiglottitis needs adequate fluid and caloric intake. Before intubation, the child with severe respiratory distress receives nothing by mouth. Intravenous fluids are administered to ensure adequate hydration, although caution is necessary in establishing intravenous access before the advanced airway is placed. Typically, vascular access is achieved in the operating suite after anesthesia is administered and after the airway is placed.

Immediately after extubation, the child receives nothing by mouth for up to 8   hours, until the healthcare team is certain that reintubation will not be needed. If reintubation is needed, the child may have Ludwig's angina (a cellulitis infection of the submandibular space). Once the child is successfully extubated, oral fluids may be provided.

The child and family will need reassurance and support. The acuity of the child's progression of symptoms can be extremely frightening.

Bronchiolitis

Etiology

Bronchiolitis is a lower respiratory tract illness that occurs primarily in young infants. It is characterized by inflammation of the bronchioles, increased mucus production, and bronchoconstriction resulting in airway obstruction and air trapping. Bronchiolitis is caused most frequently by RSV, but other viruses, including adenovirus, influenza, and parainfluenza, also may be isolated. The peak incidence of illness occurs during midwinter and early spring, and the disease typically affects infants of approximately 2 to 4 months of age.176 Significant symptoms of lower airway obstruction in the child older than 2 years are rare.

Infants with BPD, cyanotic congenital heart disease, prematurity, cystic fibrosis, stem cell or solid organ transplantation (or both), neuromuscular diseases, and immunodeficiency are at increased risk for severe bronchiolitis.154,178,270 Additional risk factors for severe bronchiolitis include male gender, younger age, birth during RSV season, attendance in day care, and crowded living conditions.225 Other potential risk factors include exposure to tobacco smoke, asthma in a parent, lower socioeconomic status, time limited breastfeeding and atopic dermatitis.225,231

Pathophysiology

The virus responsible for the bronchiolitis replicates in the epithelial cells of the airways, resulting in inflammation, necrosis of the epithelium, and proliferation of nonciliated cells. The lack of bronchial cilia, increased secretions, edema of the submucosal layer, and bronchoconstriction cause obstruction of the small airways. An increase in the functional residual capacity, caused by air trapping, forces the infant to breathe at a higher lung volume; this reduces lung compliance and increases the work of breathing. Scattered areas of atelectasis produce ventilation perfusion mismatching and abnormal gas exchange.

Clinical Signs and Symptoms

Following a 2- to 5-day prodrome of upper respiratory tract infection and fever, the infant develops tachypnea, wheezing, crackles, and retractions. Episodes of apnea and/or cyanosis also may be observed as initial symptoms in small infants. The liver may be palpable secondary to lung hyperinflation. The chest radiograph typically demonstrates hyperinflation, a flattened diaphragm, and atelectasis. Hypoxemia may be detected using pulse oximetry, and both hypoxemia and hypercarbia may be detected with arterial blood gas sampling.

Diagnosis is based primarily on clinical observation and knowledge of epidemiology within the community. A rapid immunofluorescence test for RSV may be used on nasopharyngeal secretions. This test is 70% to 100% sensitive and specific, provided that a good sample of nasopharyngeal secretions is obtained.101

Management

The respiratory status of the infant with bronchiolitis must be assessed continuously, with close observation for respiratory fatigue and respiratory failure or apnea. Signs of respiratory failure include a change in respiratory effort (significant increase or decrease in effort), diaphragm fatigue (paradoxic abdominal movement, respiratory alternans, and apnea), cyanosis, hypercarbia, and hypoxemia.

Oxygen is administered to maintain normal arterial oxyhemoglobin saturation. Intubation and ventilation may be necessary if respiratory failure develops or if the infant demonstrates repetitive apnea that is not relieved by nasal suctioning. Administration of nebulized bronchodilators such as beta adrenergic agonists and epinephrine may result in symptomatic improvement in some children. However, there is no evidence that routine administration of bronchodilators improves oxygenation, hospitalization rate, or duration of hospitalization.119 There is also little benefit from bronchodilators in intubated children with RSV and respiratory failure.130 For children who have trouble with secretion clearance, administration of nebulized hypertonic 3% saline may facilitate mucociliary clearance.211 Treatment with corticosteroids is controversial, and there is no evidence of overall effect in decreasing ventilator days in critically ill, children receiving ventilation.56 Ribavirin is an antiviral agent previously used in the treatment of RSV. More recent data, however, do not support its use in treating RSV. In addition, the routine use of surfactant in children with RSV may show positive trends, but additional rigorous study is needed to determine effectiveness in this disease.56 Hydration is maintained by the intravenous route when the infant exhibits tachypnea or distress. Contact isolation is recommended for children with bronchiolitis caused by RSV, adenovirus, coronavirus, influenza virus, parainfluenza, and rhinovirus.

Many infants with bronchiolitis, especially small or young infants and those with chronic or congenital diseases, will develop respiratory failure necessitating mechanical ventilation. Although this has traditionally been accomplished with endotracheal intubation, NIV techniques such as face mask CPAP and high-flow nasal cannula may be successful.

Status Asthmaticus

Pathophysiology

Asthma is a diffuse, obstructive pulmonary disease that is characterized by airway inflammation, mucosal edema, increased mucus production, and bronchospasm.92 Submucosal inflammatory infiltrates in the bronchial tree activate mast cells, epithelial cells, and T lymphocytes that generate proinflammatory cytokines. Inflammatory mediators such as leukotrienes, histamine, and platelet-activating factor are found both locally in the airways and systemically. The inflammatory changes cause epithelial destruction and nerve end exposure, which result in airway hyperreactivity.

Because the airways of the child with asthma are hyperreactive, acute airway obstruction can be triggered by allergens, infections, smoke, exercise, environmental irritants, and stress.145 Underlying inflammation and bronchospasm lead to impaired gas flow and air trapping, making exhalation difficult.145 Ventilation-perfusion mismatch results in hypoxemia. Increased work of breathing can lead to respiratory muscle fatigue and hypercarbia.

Increased FRC resulting from air trapping can affect cardiac function. Right ventricular afterload is increased as the result of hypoxic pulmonary vasoconstriction, increased lung volume, and possibly acidosis. If airway obstruction is severe, patients may demonstrate a pulsus paradoxus or an exaggeration in the drop of arterial pressure during inspiration. Severe airway obstruction results in generation of more negative intrapleural pressures. Negative intrapleural pressures increase left ventricular afterload and depressed left ventricular function, and they can lead to cardiogenic pulmonary edema (see section, Cardiopulmonary Interactions earlier in this chapter). Hyperinflation also impairs diaphragm function because the diaphragm is shortened, limiting the tension the muscle fibers can generate.

Clinical Signs and Symptoms

The clinical presentation of status asthmaticus varies by severity of illness and age. Cough, wheezing, prolonged or forced expiration phase and increased work of breathing are typical presenting signs and symptoms. A congested cough may also result from the increased mucus production. Wheezing noted on physical examination indicates obstructed expiratory airflow. Absent or distant breath sounds (or “silent chest”) are signs of impending respiratory failure. Other signs indicative of significant respiratory compromise include inability to speak in more than monosyllables, diaphoresis, inability to lie flat, or change in mental status.145 The presence of pulsus paradoxus correlates with the severity of airway obstruction and may be useful in the assessment of disease progression. Pulsus paradoxus is best illustrated by fluctuations in the wave form from an intraarterial catheter, but may be detected by the reduction in the amplitude of the pulse oximeter waveform during inspiration. Assessment of a child with status asthmaticus is primarily through clinical examination, but some diagnostic tests can be used to augment assessment of severity (Table 9-15).

Table 9-15 Pediatric Asthma Score

image

Chest Radiography

Radiographic studies are not used to diagnose asthma, but will generally demonstrate characteristic air trapping and support clinical examination findings. Flattened diaphragms are typically noted with diseases causing air trapping (see Fig. 9-8). These children are at increased risk for air leak syndromes, and some radiographs may demonstrate a pneumothorax or pneumomediastinum associated with the illness. Often these air leaks are clinically insignificant, but they have the potential to expand and cause clinical deterioration. If the exacerbation of asthma is related to pneumonia, an infiltrate may be noted on a chest radiograph. Frequently, the chest radiograph demonstrates areas of atelectasis that can be confused with true infiltrate.

Carbon Dioxide Monitoring

Blood gas analysis can be used in the assessment of children with status asthmaticus. Generally, however, this method has been replaced by noninvasive oximetry and either transcutaneous CO2 measurement or capnography. Carbon dioxide monitoring is useful in assessing pulmonary gas exchange. Hypocarbia is noted in the early phases of the exacerbation, and a normalizing CO2 or hypercarbia in the presence of ongoing symptoms typically indicates deterioration in condition.

Management

The immediate goal of care of the child with status asthmaticus is the relief of airway obstruction and the restoration of effective oxygenation and ventilation. Any child with severe asthma needs careful cardiorespiratory monitoring and a quiet and comfortable environment to alleviate fear and agitation. Supplementary oxygen is administered to maintain the SaO2 90% to 92% or greater.

Fluid Management

Most children with status asthmaticus will have some level of dehydration at the time of admission. Explanations include increased insensible fluid loss secondary to increased work of breathing, decreased fluid intake during the time of exacerbation, and vomiting related to the underlying cause of the exacerbation. Fluid goals include restoration of euvolemia. Fluid boluses and continuous intravenous fluid therapy may be needed, although care must be taken to avoid overhydration that may contribute to pulmonary edema and worsening of clinical condition.145

Pharmacologic Therapy

Treatment with β-receptor agonists is the mainstay of therapy in status asthmaticus (Box 9-24). These medications bind to the β2-receptors in the smooth muscle lining the airway and will produce smooth muscle relaxation.145 The most common means of administration of β2-receptor agonists is via nebulization. Intravenous formulations (e.g., terbutaline) may be useful if the child does not tolerate a nebulized formulation or does not exhibit adequate bronchodilation with the inhaled formulation.

Box 9-24 Pharmacologic Management of Status Asthmaticus

Beta 2 agonists

Albuterol

Levalbuterol

Terbutaline

Anticholinergics

Ipratropium bromide

Corticosteroids

Magnesium Sulfate

Methylxanthine

Aminophylline

Leukotriene antagonists

Montelukast

Mucolytics

Recombinant human deoxyribonuclease

Inhaled anesthetics

Desflurane
Isoflurane
Sevoflurane
β2-Receptor Agonists

The most commonly used inhaled β2-receptor agonist in the United States is albuterol. Other available agents are epinephrine and levalbuterol. Both racemic albuterol and terbutaline are selective for β2-receptor agonists. Levalbuterol is a formulation of R-isomer-albuterol that is thought to have fewer side effects with the same clinical effect as albuterol and terbutaline. S-albuterol (50% of racemic albuterol) was previously thought to be an inert compound, but some studies have demonstrated that this compound may exaggerate airway hyperresponsiveness, trigger a proinflammatory effect in children, and actually cause prolonged bronchoconstriction.85,114,130,145,170 Terbutaline is the intravenous β2-receptor agonist formulation used in the United States. Other countries use intravenous albuterol.

Side effects related to β2-receptor agonists include tachycardia, arrhythmia, hypertension, and prolongation of the QT interval corrected for heart rate (QTc interval). β2-receptor agonists may also contribute to hypokalemia and hyperkalemia. The most common clinically significant side effects of continuous albuterol or intravenous terbutaline are diastolic hypotension, hypoxemia caused by reversal of hypoxic pulmonary vasoconstriction, tachycardia, and agitation. No studies have demonstrated clinically significant cardiac toxicity related to the administration of terbutaline.145

Even when administered under ideal conditions, less than 10% of nebulized medication will reach the lung. Factors affecting drug absorption include the child's tidal volume, breathing pattern, and nebulized gas flow.145 Some evidence supports the use of metered dose inhalers for medication delivery in children with mild to moderate symptoms. For those needing more frequent or continuous therapy, however, continuous nebulization is used.145

Anticholinergics

Anticholinergic medications, most commonly ipratropium bromide, may be used in conjunction with β2-receptor agonists for the treatment of status asthmaticus. These medications are inhaled and are delivered using either nebulization or metered dose inhaler. No systemic absorption occurs, so side effects are minimal. These medications are not considered to be rescue medications and they are used as adjunctive therapy with other bronchodilators. Several studies evaluating the use of ipratropium bromide in ward-hospitalized pediatric patients have failed to demonstrate changes in patient outcomes such as length of stay.52,88 However, because side effects are minimal and benefits have been reported, ipratropium is used as adjunctive therapy for status asthmaticus.

Corticosteroids

Corticosteroids are central in the management of status asthmaticus. Beneficial effects of steroids include decreased airway inflammation, inhibition of the vascular leak induced by proinflammatory mediators, decreased mucus production, and modification of activation of lymphocytes, eosinophils, mast cells, and macrophages. Oral and intravenous corticosteroids (e.g., methylprednisolone, 0.5-1   mg/kg every 6   hours) are equally effective, although intravenous formulations are often used in critically ill children who may demonstrate tenuous respiratory status or poor tolerance of enteral feedings.145 The first dose of steroids is administered promptly, because effects will not be noted for 2 to 4 hours.

Magnesium Sulfate

Adjuvant therapy with magnesium sulfate may have a role in the management of status asthmaticus. Magnesium is found in intracellular fluid and is important for cellular electrical activity and many enzymatic reactions.118 Smooth muscle relaxation secondary to magnesium administration is thought to be secondary to inhibition of calcium uptake.145

Magnesium sulfate can be administered intravenously via intermittent infusion dosing, or it can be added to the continuous intravenous fluid formulation. Nebulized magnesium sulfate is also available, but its role in status asthmaticus has not yet been determined.262 Side effects include flushing, weakness, burning at the infusion site, diarrhea, and hypotension. Several studies have documented the safety of this therapy in pediatric status asthmaticus.47,48,87

Leukotrienes

Leukotrienes are naturally occurring mediators that are implicated in the inflammatory process of asthma exacerbations. Leukotriene antagonists are not used in the routine treatment of status asthmaticus,145 but their role in asthma therapy continues to be explored.

Methylxanthines

Methylaxanthines (e.g., theophylline) were once a mainstay in the management of asthma, but their use has fallen out of favor because of the risk of toxicity. Methylxanthines are phosphodiesterase inhibitors that are thought to stimulate endogenous catecholamine release, stimulate β-adrenergic receptors, augment diaphragmatic contractility, and act as a diuretic.145 Their role in management of severe pediatric asthma remains unclear, although some studies suggest they may be beneficial.55,161,275

Ketamine

Ketamine is a dissociative anesthetic with potent analgesic action. It also possesses bronchodilatory side effects that may be useful in status asthmaticus. Several mechanisms for bronchodilation have been postulated, but the most likely explanation is increasing endogenous catecholamine release. This medication can be considered for procedural use in children with status asthmaticus and for intermediate term sedation for intubated asthmatics.145

Mucolytic Agents

Airway obstruction by viscous mucus is one of the pathophysiologic features of an acute asthma exacerbation. The mucous plugs develop after lysis of inflammatory cells, and DNA present in the cell debris contributes to increased adhesiveness and viscosity of secretions. The mucus can be liquefied by administration of recombinant human deoxyribonuclease (dornase alpha) in patients with cystic fibrosis, although addition of single-dose nebulized dornase alpha to the combination of bronchodilator therapy and systemic steroids has not been shown to be beneficial in children with moderate to severe asthma.26

Heliox

Heliox can be used to reduce the turbulent airflow associated with asthma. This gas mixture will allow gas and medications to traverse areas of obstruction more easily and allow for improved airflow through the lower airways. To provide the benefits of the lighter weight gas mixture, the ratio of helium to oxygen must be at least 60% helium and 40% oxygen (see Croup [Laryngotracheobronchitis], earlier in this chapter). This gas mixture can be delivered to children who are breathing spontaneously without advanced airways in place and to children receiving either noninvasive or invasive mechanical ventilation. Heliox admixture administration via conventional ventilation appears to be safe, lowers the peak inspiratory pressure, and improves CO2 removal.1 Overall, the reported benefits of this gas mixture in status asthmaticus have been mixed.38,120

Noninvasive Ventilation

Noninvasive ventilation may be successful for treatment of status asthmaticus. General benefits of NIV are discussed above (see section, Noninvasive Positive Pressure Ventilation earlier in this chapter). Several studies have demonstrated that noninvasive ventilation in status asthmaticus, and lower airways diseases may avoid the need for intubation and mechanical ventilation.36,242

Invasive Ventilation

Because the complication rate for invasive ventilation is high for children with status asthmaticus, this method of support needs to be avoided if possible. If intubation is performed, a cuffed ETT is preferred to minimize the air leak associated with the anticipated high pressures needed to provide adequate ventilation. Most complications associated with intubation and ventilation in the child with status asthmaticus occur at the time of intubation or shortly thereafter. The most common complications include hypotension, oxygen desaturation, pneumothorax, subcutaneous emphysema, and cardiac arrest.37,145 Hypotension related to intrathoracic pressure changes and reduced systemic venous return is usually successfully treated with fluid boluses. If hypotension does not improve with fluid administration, a tension pneumothorax may be present and needs to be ruled out.145 These children are also at risk for VAP.

Sedation, analgesia, and in many cases neuromuscular blockade will be needed to prevent tachypnea and ventilator dyssynchrony and to decrease the risk of pneumothorax. Optimal ventilator strategies for intubated patients with asthma have not been well described. Shorter inspiratory times allow greater time for the expiratory phase of the respiratory cycle, which is beneficial in obstructive diseases. Pressure control ventilation has been demonstrated to be a safe mode of ventilation for patients with asthma.210 The use of PEEP remains controversial, although there seems to be good physiologic evidence that PEEP allows for improved expiratory airflow by maintaining airway patency throughout the respiratory cycle. Recent research suggests that intubation and mechanical ventilation itself may increase risk of mortality.37

Inhalation Anesthetics

Some inhalation anesthetics are highly potent bronchodilators. These agents have been used in refractory status asthmaticus, although there are significant challenges associated with administration. Safe and proper administration of inhalation agents must be considered before implementation. Administration requires either an anesthesia machine or custom-fitted ventilator with a scavenging circuit and continuous analysis of inspiratory and expiratory gas.145

Pneumonia

Etiology

Pneumonia is an inflammation of the lung parenchyma that may be caused by infection, aspiration, chemical inhalation, or toxic agents. The term pneumonia covers many disorders that differ widely in causative agents (Box 9-25), disease course, pathology, and prognosis. The likely causative agents vary with the age of the child. The most common bacterial cause of pneumonia in pediatrics is Streptococcus pneumonia, followed by Chlamydia pneumonia and Mycoplasma pneumoniae.214 In the newborn period, congenital infection caused by cytomegalovirus, herpes simplex, rubella, and toxoplasma must be considered. Acquired newborn infections include group B streptococcus and those caused by gram-negative enterobacillus such as Escherichia coli and Klebsiella species. Chlamydia trachomatis is a common cause of afebrile pneumonia in infants.214

Box 9-25 Risk Factors for Pneumonia: Compromised Host Defenses

Bypass of nasal defense

Tracheostomy

Endotracheal intubation

Craniofacial malformations (e.g., cleft palate)

Aspiration

Bottle propping

Incompetent cough, gag, or swallow

Tracheoesophageal fistula (H-type) or cleft

Gastroesophageal reflux with aspiration

Abnormal cough reflex

Drugs and anesthetic agents

Muscular weakness or paralysis

Pain

Anatomic defects (e.g., vascular ring, polyps, tracheal web)

Compromise in mucociliary clearance

Infections (e.g., mycoplasma, pertussis, virus)

Inhaled toxins

Abnormal mucus

Bronchopulmonary dysplasia

Immotile cilia syndromes

Abnormal airway secretions

Cystic fibrosis

Secretory IgA deficiency

IgG subclass deficiency

Airway obstruction

Congenital (e.g., pulmonary sequestration, cysts, fistulas)

Acquired (e.g., retained foreign body, extrinsic airway compression, nodes, masses, bronchiectasis, asthma)

Ig, Immunoglobulin.

In patients with congenital or acquired immunodeficiency, Pneumocystis carinii, Candida species, and Aspergillus species can cause pneumonia. Approximately 25% of children suffering from bacterial pneumonia can also be co-infected with a virus.133,158 Respiratory viruses are a common cause of febrile pneumonia, with a peak incidence at 2 to 3 years of age.214 Pneumonias secondary to parainfluenza virus, adenovirus, metapneumovirus, and rhinovirus are also common in these younger children. Community-acquired methicillin-resistant Staphylococcus aureus (CA-MRSA) must be considered as a likely causative agent in areas where it is endemic. Typically CA-MRSA causes local skin and soft-tissue infections, but it can cause pneumonia.240 CA-MRSA has a susceptibility profile that differs from hospital-acquired S. aureus.

Pathophysiology

As noted previously, the term pneumonia covers a multitude of disorders that differ widely in causative agents, disease course, pathology, and prognosis. A common feature of all pneumonias is that each involves an inflammatory response. The causative agent is most often infectious, and it is introduced into the lungs through either inhalation or the bloodstream. Depending on the etiologic agent, the pathologic response varies. A virus causes direct injury to the epithelium of the respiratory tract, leading to edema and obstruction, accumulation of debris, and abnormal secretions. Bacteria may also injure the epithelium with the same consequences or cause inhibition of ciliary action, cellular destruction, and an inflammatory reaction in the submucosa.214

Pneumonia can be classified as lobar pneumonia (e.g., Streptococcus pneumoniae), bronchopneumonia (e.g., Staphylococcus pneumoniae), or interstitial pneumonia (e.g., group A streptococcus) on the basis of clinical and radiographic evidence. In lobar pneumonia, one or more lobes are involved. When bronchopneumonia is present, the terminal bronchioles are inflamed. With interstitial pneumonia the inflammatory processes are found within the alveolar walls.

Clinical Signs and Symptoms

Generally, infants and younger children develop more severe symptoms with respiratory infection than do older children. In addition, the natural history of the illness can differ among age groups, because of developmental differences in lung function and respiratory reserve. Although the onset of the disease is typically characterized by rhinitis and cough lasting for several days, the classic presentation throughout childhood is tachypnea.

Infants may demonstrate a period of decreased oral intake followed by development of fever or hypothermia, respiratory distress, apprehension, and restlessness. Respiratory distress is accompanied by increased work of breathing manifested by grunting, use of accessory muscles, nasal flaring, and intercostal, subcostal, and supraclavicular retractions. These infants will likely also have tachycardia and cyanosis. In addition, vomiting, anorexia, and diarrhea may be present with a paralytic ileus causing abdominal distension.

Children and adolescents may demonstrate the characteristic rhinitis and cough followed by rapid onset of fever with chills and chest pain. They may be drowsy and restless, and they can have a dry or productive cough, be anxious, and develop circumoral cyanosis. Pleuritic pain may be present. Gastrointestinal findings may also be present in this age group, and a lower lobe pneumonia frequently presents with signs similar to those of an acute abdomen.

Respiratory findings for pneumonia include diminished breath sounds, crackles, and rhonchi over the affected area of the lung. In small infants, abnormal lung sounds may be heard throughout because the sounds are referred from the involved area through noninvolved tissue. If the child is an infant and is wheezing, the child is more likely to have a viral rather than a bacterial or mixed cause pneumonia.158 With percussion there is dullness over the affected area. Children with complications of pneumonia including effusion, empyema, or pneumothorax will have more pronounced findings of respiratory distress.

Ideally, a specific pathogen is identified by sputum culture, although this is rarely the case in pediatric patients. Appropriate antibiotic therapy is tailored to culture results. When an expectorated sputum sample cannot be obtained, tracheal aspirate, pleural fluid, or a lung biopsy sample may be obtained and cultured. In children, however, these invasive techniques are usually reserved for immunocompromised patients or those who fail to respond to conventional therapy.

Management

Oxygen and Respiratory Support

Humidified oxygen is administered to children with respiratory distress and hypoxemia. It is important to monitor the child closely throughout hospitalization for evidence of increased respiratory distress. When respiratory distress increases despite oxygen delivery, the child may benefit from the addition of noninvasive respiratory support in the form of a high-flow nasal cannula, bag-mask positive pressure ventilation, or CPAP (see section, Noninvasive Positive Pressure Ventilation earlier in this chapter).

Mechanical Ventilation

Some children with pneumonia will develop respiratory failure and need intubation and mechanical ventilation. Conventional mechanical ventilation (CMV) is typically effective for the treatment of respiratory failure secondary to pneumonia. The goal of ventilatory support is to maximize oxygenation and ventilation. Transitioning to HFV is unusual in children with pneumonia.

Antibiotics

If the child is critically ill, antimicrobial therapy is usually instituted before a pathogen is isolated. Antibiotics are selected based on the age of the child and the likely causative organism. A third-generation cephalosporin generally is recommended for critically ill children. If the child does not improve, additional coverage for atypical agents may be needed. For children living in communities where CA-MRSA is prevalent, consider coverage with vancomycin or clindamycin.214 For neonates, broad-spectrum antibiotic coverage for possible sepsis is typically provided.

Supportive Care

Children with pneumonia need thorough respiratory assessment and good general supportive care. Respiratory rate, effort, and color are assessed frequently. Auscultation over both lung fields is performed, and the examiner must be alert to the presence of adventitious sounds or alteration in the pitch or intensity of diminished breath sounds, and report deterioration to a provider. Once any area of consolidation or congestion is identified, careful auscultation is needed to identify evidence of clearing or exacerbation.

If the child's cough is ineffective, suctioning may be necessary to remove secretions whether the child is intubated or not. Chest physiotherapy may aid in the mobilization of secretions (see the Chapter 9 Supplement on the Evolve Website for information and illustrations regarding chest physiotherapy). The child with pneumonia may not be able to tolerate a head-down or side-lying position. Pillows may be used to elevate the head of the bed or aid in positioning the patient. The infant may demonstrate improvement when placed in an infant seat, because this position can maximize diaphragm excursion.

Monitor the child's body temperature closely and treat fever with antipyretics to reduce oxygen consumption, improve patient comfort, and decrease the possibility of febrile seizure. Fever in conjunction with tachypnea also increases insensible water loss. Evaluate the child's fluid status frequently and carefully record hourly intake and output and routine weights. Monitor the child's urine volume and specific gravity. Urine output averages 1   mL/kg per hour if fluid intake is adequate. Provide maintenance fluids and titrate them to the child's fluid status. Nutrition can be provided orally or by enteral tube in the child who is not intubated, as tolerated. In the intubated child, enteral tube feedings are begun as soon as possible to support healing.

Some complications of pneumonia (especially staphylococcal pneumonia) are empyema, pleural effusion, pyopneumothorax, and tension pneumothorax. If pleural fluid accumulation is detected by auscultation and a chest radiograph, a thoracentesis can be performed and any fluid obtained is cultured. Continuous chest drainage may be necessary when purulent fluid is aspirated.

Aspiration Pneumonia

Etiology

Aspiration pneumonia is a group of disorders that have in common the contamination of the lower respiratory tract with foreign, nongaseous material. Aspiration events can be asymptomatic, mildly symptomatic, or acute and life-threatening. A variety of substances can be aspirated, including saliva, gastric contents, hydrocarbon, and other materials. Most but not all cases of aspiration pneumonia occur in patients with an impaired level of consciousness or impaired neuromuscular control of swallowing (Box 9-26).

Box 9-26 Conditions that Increase Risk of Aspiration

Altered level of consciousness

Central nervous system injury or disease (e.g., meningitis, seizures, trauma, poisoning, toxic ingestion)

Sedation

General anesthesia

Dysphagia

Esophageal dysmotility, neurologic deficit, gastroesophageal reflux

Mechanical disruption of defensive barriers

Endotracheal tube, tracheostomy

Persistent vomiting

Aspiration pneumonia can be classified according to the type of substance aspirated, known as the inoculum. The classification and clinical signs of the most common forms of aspiration pneumonias are listed in Table 9-16. Disease secondary to the aspiration of particulate matter is referred to as foreign body aspiration in this chapter (see section, Foreign Body Aspiration later in this chapter).

Table 9-16 Classification and Clinical Signs of Aspiration Pneumonia Syndromes

Type Aspirated material Clinical presentation
Chemical pneumonitis Acid Acute dyspnea, wheezing, cyanosis, pulmonary edema
Hydrocarbons
Reflex airway closure, mechanical obstruction Inert fluids Dyspnea, cough, hypoxemia, pulmonary edema
Oral secretions
Infection Oropharyngeal secretions Cough, sputum changes, fever, infiltrates

Adapted from Bartlett JG: Aspiration pneumonia. Clin Notes Respir Disease 18:3, 1980.

Chemical pneumonitis may result from the aspiration of gastric acid or hydrocarbons. Toxic manifestations of the aspiration of various forms of hydrocarbons are listed in Table 9-17.

Table 9-17 Clinical Features and Toxic Manifestations Following Aspiration of Common Hydrocarbons

Classification Examples Toxic Manifestations
Aliphatic (low viscosity hydrocarbons) Petroleum ether Most commonly ingested, most likely to cause pulmonary toxicity
  Gasoline Chemical pneumonitis
  Naphtha (lighter fluid, cleaning fluid, paint thinner) CNS depression (caused by hypoxemia)
  Kerosene (fuel, lighter fluid, paint thinner) Coma, respiratory arrest
  Mineral seal oil (furniture polish) Gastrointestinal irritant
    Myocardial dysfunction
Aromatic Benzene, toluene, xylene, naphthalene, aniline Chemical pneumonitis
Nail polish removers Cardiac arrhythmias
Degreasing cleaners Excitement, delirium, seizure, hypertonicity, hyperreflexia secondary to systemic absorption via lung, skin or gut
Lacquers
Halogenated Carbon tetrachloride Pulmonary and CNS toxicity less likely
Tetrachloroethane Hepatic and renal damage
Trichloromethane
Polychlorinated biphenyls
This group is most commonly used as solvents, antiseptics, propellants, refrigerants, and fumigants
Hydrocarbons combined with toxic additives   Toxicity dependent on additives
Hydrocarbons (high viscosity) Lubricating oil Much less likely to cause chemical pneumonitis; minimal absorption secondary to very high viscosity
Mineral oil
Petroleum jelly
Grease, tar

CNS, Central nervous system.

Inert fluids that can be aspirated include saline, water, barium, and many nasogastric feeding solutions. They may fail to produce a chemical pneumonitis and do not harbor sufficient bacteria to produce infection. Aspiration of upper airway secretions is a common form of aspiration pneumonia. The oropharynx harbors a variety of flora normal for that portion of the airway, but which can cause infections in the lung. Massive aspiration events can produce direct injury to the mucosal surface of the respiratory tract, resulting in diffuse alveolar damage, hemorrhage, and necrotizing bronchiolitis. In severe forms, the clinical disease closely resembles ARDS, with similar outcomes.179

Pathophysiology

The severity of the lung injury is affected by the pH of the aspirated material and the presence of bacteria, and in the case of hydrocarbons, by the volatility and viscosity of aspirated material (see Table 9-16). Pulmonary hemorrhage, necrosis, surfactant impairment, and pulmonary edema may occur, resulting in abnormal compliance and image mismatching. Intubation and mechanical ventilation may be necessary.

Clinical Signs and Symptoms

Most patients develop respiratory symptoms within 2   hours of the aspiration event. Beyond that time, complications are unlikely unless vegetable matter was aspirated (see next paragraph).116 Acid aspiration can produce immediate pulmonary symptoms that worsen over the first 24   hours. Coughing, vomiting, tachypnea, dyspnea, wheezing, and cyanosis may be noted as well as pulmonary edema and hemoptysis. Fever usually results from the necrotizing pneumonitis and does not necessarily indicate a superimposed bacterial infection.

Clinical signs of the aspiration of oral secretions may not be distinguishable from other forms of acute bacterial pneumonia. Aspirated vegetable matter (e.g., peanut, carrot, popcorn) may not produce symptoms for several weeks following aspiration. There may be an increase in cough or fever, and sputum will be foul smelling.

Chest radiograph changes may worsen over the first 72   hours following aspiration, and then begin to clear (Fig. 9-17). Abnormalities can persist for 4 to 6 weeks, lagging far behind clinical improvement. Marked perihilar densities are initially visible, followed by progression to consolidation. Air trapping with the possible formation of pneumatoceles and cysts may occur rarely. Infiltrates are most likely to be observed in the right upper lobe of the supine, intubated patient, but they may be present in any lobe. The presence of a normal chest radiograph, normal breath sounds, and lack of pulmonary symptoms does not rule out the possibility of aspiration pneumonia.

image

Fig. 9-17 Aspiration pneumonia. A, This child aspirated during intubation and so was supine during the aspiration episode. Bilateral infiltrates are present, particularly to the right lung and to the left upper lobe. B, This child ingested kerosene and then vomited and aspirated the hydrocarbon. Diffuse bilateral infiltrates are present, consistent with permeability pulmonary edema and early acute respiratory distress syndrome. The endotracheal tube is readily identifiable (arrow).

(Chest radiographs courtesy Sharon Stein and Dennis Stokes, Vanderbilt University Medical Center, Nashville, TN.)

Management

Treatment of aspiration pneumonia is primarily supportive and includes frequent monitoring of respiratory status, management of bronchospasm, support of oxygen delivery, and PPV when needed. Airway clearance with oropharyngeal and tracheal suctioning is performed, as clinically indicated.177 Children with aspiration pneumonia are at a high risk for developing air leaks, so they need close observations for signs and symptoms of pneumothorax, pneumomediastinum, and pneumopericardium. Treatment is similar to that described for ARDS in severe cases (see sections regarding ARDS and Nursing Care of the Child During Mechanical Ventilation earlier in this chapter).

If gastroesophageal reflux is suspected, elevate the head of the bed during and after every feeding. Studies in critically ill patients that have compared small bowel feeding tubes to gastric feeding tubes have failed to demonstrate superiority of one form of feeding over the other to prevent aspiration pneumonia related to gastroesophageal reflux.66,104,153,256 When nasogastric feedings are administered with an infusion pump, the child must be monitored carefully, because an infusion pump will continue to infuse the feeding even when the child is vomiting. Residual volume is not a valid marker for risk of aspiration in critically ill patients.151

Initiation of empiric antimicrobial agents in noninfectious aspiration pneumonitis can increase antimicrobial resistance and treatment costs (see section, Other Complications of Mechanical Ventilation for more information on VAP earlier in chapter).116 The successful use of exogenous surfactant in the treatment of neonates with respiratory distress syndrome and surfactant deficiency has led some clinicians to use exogenous surfactants in the treatment of aspiration pneumonia and other forms of ARDS associated with surfactant deficiency.

Foreign Body Aspiration

Etiology and Pathophysiology

Aspiration of a foreign body (i.e., foreign body aspiration [FBA]) can produce serious complications and may be fatal. The severity of the FBA is determined by the object aspirated and the location and the extent of the airway obstruction produced. Prompt recognition of the problem and effective removal may prevent death and potential complications. The greatest risk of FBA occurs in older infants and toddlers, because children in this age group often put objects in their mouths. Items aspirated include inorganic objects such as plastic toys and earrings, as well as vegetable matter such as hot dogs, peanuts, seeds, and solid vegetables. Risk of death from FBA is highest in children between 2 months and 4 years of age,248 likely because children in this age range have narrow airways and immature immunologic protective mechanisms.

Clinical Signs and Symptoms

The most reliable indication of FBA is witnessed aspiration (i.e., known event) with an associated choking episode.248 Children are more likely to aspirate objects into the right main bronchus compared with the left main bronchus, because the right main bronchus branches less acutely from the trachea (i.e., the left main bronchus branches at a more acute angle from the trachea),177 so aspirated fluid or an aspirated object will take the more direct path into the right main bronchus.

Laryngotracheal foreign bodies cause dyspnea, cough, and stridor. Tracheobronchial foreign bodies produce cough, decreased air entry, wheezing, and dyspnea. Cyanosis may develop in either group. Other less common findings are hoarseness, chest pain, and recurrent respiratory infection. Foreign body aspiration distally in the lung can cause asymmetric physical findings such as decreased breath sounds and wheezing. This will correlate with asymmetric abnormalities on a radiograph.

Late diagnosis can result in respiratory difficulties ranging from life-threatening airway obstruction to chronic wheezing and cough. The diagnosis of recurrent pneumonia may actually represent inflammation around the foreign body.215 Misdiagnosis and mismanagement of FBA increases the duration of symptoms, rate of complications, and cost prior to correct diagnosis.143 Complications from delayed diagnosis include granulation tissue formation surrounding the foreign body, persistent fever, reactive airways disease, or recurrent pneumonia. Diagnosis and removal become more challenging in these patients.248 Initial diagnostic testing includes anteroposterior and lateral chest radiographs. Radiographic evaluation can confirm FBA but cannot rule it out.117 Metallic objects will be visible on the chest radiograph; however, objects such as peanuts or plastics usually are not seen. Radiopaque FBA findings have been reported in approximately 20% of patients.248

When a single foreign body is lodged in a single bronchus, unilateral obstructive emphysema can be present on a chest radiograph and may be identified more readily if films are taken at both inspiration and expiration (Fig. 9-18), including anteroposterior and decubitus films. Paired inspiratory and expiratory films are often difficult to obtain in children who are unable to cooperate.248 Chest fluoroscopy may be considered in patients with normal radiographs but a strong history consistent with FBA. Fluoroscopy often reveals air trapping and an inspiratory shift of the mediastinum to the side contralateral to the foreign body.248

image

Fig. 9-18 Foreign body aspiration. The child in shown A, B, and C aspirated a peanut. The child shown D and E aspirated a small tack. A, Because the aspirated substance is not radiopaque, the diagnosis must be made on the basis of clinical examination and evidence of air trapping on radiographic examination. This posterior-anterior view is relatively normal in appearance. Hyperinflation is not obvious, so decubitus films were obtained. B, This left lateral decubitus film (obtained with the patient's left side down) demonstrates normal compression of the left lung in this position. The left diaphragm is elevated, and the mediastinum moves into the left chest. The left lung appears to be more vascular because it is compressed. C, This right lateral decubitus film is diagnostic of the right mainstem bronchus obstruction. Despite the fact that the right lung is in a dependent position, there is no evidence of right lung compression, and no mediastinal shift into the right chest. The right lung is hyperinflated, which is suggestive of bronchial obstruction. D, The tack was aspirated as this young boy attempted to use a homemade blow-gun. The radiopaque tack is visible in the right chest and appears to be in the right mainstem bronchus. E, The lateral view of the same patient as in D confirms the presence of the tack in the right bronchus.

(Chest radiographs courtesy Sharon Stein and John Pietsch, Vanderbilt University Medical Center, Nashville, TN.)

Management

Children with FBA are at risk for developing acute airway obstruction. Goals of care include vigilant respiratory assessment, relief of respiratory distress, and general minimization of stimulation. Signs of clinical deterioration include changes in heart and respiratory rates; increased severity of retractions, pallor, or cyanosis; loss of ability to speak; and drooling. Emergency equipment for intubation must be readily accessible.

The most effective intervention for acute aspiration of a foreign body is immediate removal of the object. If FBA is strongly suspected, rigid bronchoscopy is preferable to enable removal of the foreign body. Aspirated vegetable material can break apart during removal and lodge distally. Repeat bronchoscopy may be necessary if symptoms persist. After the foreign body is removed, the child will continue to need frequent assessment. Chest physiotherapy may be helpful for several days, particularly if the object was lodged beyond the main-stem bronchus and signs of infection are present (see Chest Physiotherapy in the Chapter 9 Supplement on the Evolve Website).

Efforts to prevent FBA can target the parents of infants and toddlers. Parents need to be taught the dangers of FBA if young children eat uncooked beans, seeds, or nuts and are allowed to play with beads, buttons, or small toys.

Drowning and Submersion

Etiology

Drowning is one of the leading causes of death in children 4 years of age and under in the United States. Every year, thousands die from drowning and many more are left permanently disabled; one in four of drowning victims are typically children.42

Drowning is defined as a process resulting in primary respiratory impairment from submersion or immersion in a liquid.107 The term near-drowning is no longer used, but formerly described at least temporary initial recovery from submersion.33 Any child who arrives in the critical care unit after submersion is a drowning victim, whether or not the child survives for 24   hours.

Drownings are preventable tragedies, with many occurring in home swimming pools or bathtubs. Most children are under adult supervision at the time of the incident. Parents simply do not realize how quickly or silently children can drown in a bathtub or a pool; often the dangers posed by a home swimming pool are not appreciated.

The single most effective deterrent to unsupervised entrance into a pool area is the presence of a circumferential fence with a self-closing, self-latching gate. The fence must be sufficiently high, and the home cannot form one of the barriers to the pool, because it is easy for a small child to open a house door or window and gain entrance to the pool area. Nonrigid pool covers and warmers merely make the child more difficult to see after a submersion, and they are not effective barriers to the pool. Pool alarms provide a false sense of security and are often found floating next to the child in the pool, with the battery dead or the alarm dismantled.131

Pathophysiology

Submersion can occur in either fresh water or salt water, but the tonicity of the fluid aspirated is not usually clinically significant. The rate of survival after drowning is roughly 50%.128

Once the child's nose and mouth are below the level of the water, breath holding typically ensues; involuntary aspiration of fluid into the hypopharynx or laryngospasm can then result in hypoxemia, hypercarbia, and acidosis.107,175 In some victims, laryngospasm (part of the diving reflex) occurs and there is no aspiration of fluid, but asphyxia still develops.108 In most, however, laryngospasm eventually stops and fluid is aspirated. Vomiting and aspiration often occur, because children often swallow large amounts of water; aspiration of gastric contents causes additional pulmonary injury.

Aspiration of fluid can also occur during active gasping. With loss of consciousness, airway reflexes are abolished and fluid can be aspirated into the airways, leading to airway obstruction, alveolar collapse, and intrapulmonary shunting.108 Hypercarbia and hypoxemia with combined metabolic and respiratory acidosis may develop quickly. Alveolar permeability, surfactant washout, and inactivation will contribute to atelectasis and intrapulmonary shunting. Other complications of drowning include secondary pneumonia, ARDS, and coagulopathies.

Hypoxemia produces hypoxic-ischemic cardiovascular injury that results in decreased cardiac output, elevated left and right heart filling pressures, and increased systemic and pulmonary vascular resistances108,285 Arrhythmias may develop in response to hypothermia and acidosis.175 Damage to the cardiovascular system is usually reversible and will be affected by the period of anoxia, any associated hypothermia, duration of arrest, and quality of resuscitation, although severe hypoxic insult can occur with several minutes of anoxia.

Hypoxic neurologic injury can develop following cardiopulmonary arrest. With the possible exception of drowning in icy water, the neurologic outcome after prolonged cardiopulmonary arrest is dismal. No predictive factors evaluated during resuscitation can determine the outcome of drowning victims, so aggressive resuscitation and postresuscitation care are generally indicated for the first hours following the submersion.156 If skilled resuscitation is performed at the scene and during transport, and the normothermic child remains asystolic on arrival in the emergency department, neurologic recovery is extremely unlikely.22,33 Additional poor prognostic indicators include absence of purposeful movement at 24   hours after admission.156 The time of submersion as reported by bystanders is typically unreliable, and it is often impossible to determine the duration of cardiopulmonary arrest.

Hypothermia generally develops even after submersion in warm water, because the water temperature is usually lower than the child's body temperature and conductive heat loss is rapid and efficient in water. Different degrees of hypothermia produce different clinical consequences. With severe hypothermia (28 to 32° C body temperature), heart rate and blood pressure decrease and oxygen consumption diminishes.108 Moderate hypothermia (32 to 35° C) results in shivering, increased oxygen consumption, and increased sympathetic tone. When children are profoundly hypothermic (<28° C), there is risk for severe bradycardia, ventricular fibrillation, or asystole.108

Although small children may tolerate submersion in extremely cold (icy) water, because rapid development of hypothermia quickly reduces O2 consumption, submersion beyond a few minutes usually is associated with severe neurologic insult (see section, Clinical Signs and Symptoms). As noted previously, if a perfusing rhythm has not been restored in the normothermic child by the time of arrival in the emergency department, it is extremely unlikely that neurologic recovery will occur.22,33

When the child is admitted following drowning, although it may be difficult to do, it is important to try to obtain a good history of the event, including the estimated duration of submersion, the water temperature, the condition of the patient on recovery from the water, the presence of spontaneous respirations at the scene, and the duration and quality of any cardiopulmonary resuscitation attempted.

Clinical Signs and Symptoms

Within 3   minutes of submersion in warm water, most victims will develop sufficient hypoxia and cerebral ischemia to produce loss of consciousness. Most children submerged for several minutes are flaccid with no spontaneous breathing when they are pulled from the water. If the submersion episode is brief, and if skilled CPR is instituted promptly, the child may recover spontaneous respiration and demonstrate a perfusing heart rate and responsiveness at the scene.

If skilled resuscitation is performed at the scene of the submersion and during transport, a child who has suffered a mild anoxic insult will usually demonstrate spontaneous respiration and a perfusing heart rate on arrival at the hospital. Unfortunately there are no absolute predictors of outcome from submersion.254 Although a variety of articles address this subject, none provide predictors with 100% accuracy. Variables such as Glasgow Coma Scale, fixed and dilated pupils, coma, and even a submersion score at presentation have been studied.156 In a recent retrospective study, worse outcomes were noted in children who drowned in pools rather than other bodies of water, and better outcomes were noted in younger children.128 Because outcome predictors have not been established, aggressive resuscitation is generally performed, particularly when the child is hypothermic.

The parents need an honest assessment of the child's clinical condition and possible outcomes so that they can participate in decisions for ongoing medical care for their child. It is extremely difficult to conduct such conversations in the emergency department. Prognostication for children who are submerged in icy water will need to be approached carefully, because outcomes in these children can vary widely.

If the child is breathing spontaneously, pulmonary congestion and airway obstruction can produce signs and symptoms of respiratory distress. The child may exhibit tachycardia, tachypnea, stridor, retractions, nasal flaring, use of accessory muscles of respiration, and excessive respiratory secretions. Auscultation may reveal pulmonary congestion and decreased lung aeration bilaterally. If the child's respiratory distress increases, crackles may be heard on auscultation.

In symptomatic patients, blood gas values are obtained immediately. Most commonly the child demonstrates moderate hypoxemia accompanied initially by hypocarbia. Hypercarbia with respiratory acidosis may be present if ventilation or perfusion abnormalities are severe, and metabolic acidosis will be present if hypoxemia is severe. Pulmonary edema, atelectasis, and chemical pneumonitis also may be present.

The child's level of consciousness may be altered, and there may be changes in pupil response to light. Pupil dilation may be noted, with a decrease or inequality in response to light. Decerebrate and decorticate posturing, seizure activity, and loss of reflexes including cough, gag, and corneal reflex (blink) may be present.

With severe central nervous system injury and cerebral edema, the syndrome of inappropriate antidiuretic hormone (SIADH) secretion or diabetes insipidus (DI) may develop later in the course. With SIADH secretion, free water is retained in excess of sodium, and sodium is lost in the urine; hyponatremia develops, and urine specific gravity increases. With DI, the child loses large amounts of highly diluted urine, hypernatremia develops, and urine specific gravity decreases (see the discussion of SIADH and DI in Chapter 12). If the fluid volume lost in the urine is not replaced in the child with DI, dehydration and hypovolemia can develop rapidly. Central DI is usually a signal of severe brain injury and brain death in these patients.229

The chest radiograph of a child after drowning may reveal infiltrates and diffuse pulmonary edema (Fig. 9-19). Fractured ribs or air leaks also may be seen as the result of resuscitative efforts.

image

Fig. 9-19 Near-drowning in a toddler. A, This first radiograph was taken within hours of the submersion episode. Only some mild perihilar pulmonary edema is apparent, particularly in the right lung. B, Within several days, acute respiratory distress syndrome had evolved. The child developed permeability pulmonary edema, intrapulmonary shunting, and decreased lung compliance. Diffuse infiltrates are present bilaterally.

(Chest radiographs courtesy of Gordon Bernard, Vanderbilt University Medical Center, Nashville, TN.)

Management

By the time the child arrives in the critical care unit, the child usually has received resuscitative efforts consistent with American Heart Association Pediatric Advanced Life Support Guidelines.15,194 This effort includes treatment for cardiac arrest and respiratory failure, establishing vascular access, and initiating rewarming, if needed.15,285?

If the child demonstrates a perfusing cardiac rhythm on arrival in the pediatric critical care unit, the goal of therapy is to maintain O2 delivery through the support of cardiovascular and pulmonary function. Typically the child in full cardiac arrest will be intubated at the scene or in the emergency department. If the child did not warrant intubation at the scene or in the emergency department, then airway and oxygenation must be assessed and intubation performed if significant respiratory distress, diminished level of consciousness, hypoxemia, or increased volume of secretions is present.

The most common pulmonary finding in near-drowning victims is bilateral pulmonary edema, likely caused by (1) acute myocardial depression secondary to increased left ventricular afterload, (2) hypoxia and ARDS, (3) interstitial fluid flux secondary to extreme negative pleural pressure generated by respiratory attempts with a closed glottis, and (4) so-called neurogenic pulmonary edema.

Sedation and neuromuscular blockade can be used to control mechanical ventilation, but these drugs preclude effective neurologic assessment and so are typically avoided if at all possible. As long as the child receives mechanical ventilation, the ventilator variables are checked at least every hour when vital signs are assessed (see section, Nursing Care of the Child During Mechanical Ventilation earlier in this chapter).

Analysis of arterial blood gases will help the healthcare team to assess the child's ventilation status and to evaluate response to therapy. In addition, it is important to monitor the patient's A-a O2 difference or gradient, because this difference will quantitate the amount of intrapulmonary shunting present (see Respiratory Failure, Clinical Signs and Symptoms, earlier in this chapter).

Children with drowning may be hemodynamically unstable and need careful monitoring of systemic perfusion. Signs of poor cardiac output include tachycardia, decreased intensity of peripheral pulses, cool extremities, and decreased urine output, with the excretion of highly concentrated urine. In addition, capillary refill time will be prolonged (greater than 2   seconds). After drowning, a child may demonstrate cardiac arrhythmias, particularly if electrolyte imbalance is present.

Rewarming the patient with severe hypothermia is accomplished gradually and is considered for the child with moderate hypothermia. The primary goal is to rewarm the child by 0.5 to 2° C per h until the child's body temperature reaches 33-36° C, while avoiding hyperthermia.156,285 Passive rewarming techniques include blankets, preventing further exposure to cold, and removing cold and wet clothing. Active rewarming includes the use of warmed intravenous fluids and warm gastric lavage. Hot packs, heat lamps, and warming blankets must be used carefully, because their use can result in surface vasodilation leading to further cardiac compromise.156 The most efficient way of rewarming a child with hypothermia and ongoing cardiac arrest or cardiovascular instability is cardiopulmonary bypass or extracorporeal life support.156

Fever contributes to adverse outcomes following cerebral ischemia, because it will increase the cerebral consumption of O2. As a result, it is important to avoid excessive warming and to treat fever aggressively.

Studies of resuscitation in adults who remain comatose after primary cardiac arrest support induction of mild hypothermia to improve neurologic outcome.19,106 It is unclear whether hypothermia has a protective effect on neurologic outcome in children after drowning, but it may be considered if the child is hemodynamically stable. Induced (therapeutic) hypothermia after cardiac arrest is the subject of a major study by the National Heart, Lung and Blood Institute (NHLBI).16 For further information, refer to the NHLBI website (http://clinicaltrials.gov/ct2/show/NCT00880087?term=hypothermia+AND+children&rank=5) and Chapter 6.

For children with mild hypothermia and who are hemodynamically stable, no intervention regarding warming is necessary. Closely monitor these children for the negative effects of hypothermia, including cardiac instability, shivering, coagulopathies, infections, and acid-base imbalances.19 Increased intracranial pressure following a submersion episode indicates the presence of severe neurologic insult. There is no evidence that treatment to control the increased intracranial pressure using standard therapies (hyperventilation, osmotic diuretics) will improve neurologic outcome.156

Excessive fluid administration in children after submersion may accentuate pulmonary edema. The child's fluid intake usually is limited to two thirds of calculated maintenance fluid requirements. A target goal for urine output averages 0.5-1   mL/kg per hour if fluid intake is adequate. An increase in urine specific gravity and a decrease in urine volume may indicate hypovolemia, poor systemic perfusion, or ischemia. The type and volume of intravenous solutions are adjusted based on the child's serum electrolyte concentration, hematocrit, and fluid balance.

The child is at risk for nutritional compromise as the result of prolonged intubation, stress, and bed rest. The healthcare team is responsible for ensuring adequate caloric intake, because it is necessary for lung and wound healing and prevention of infection.

If the child remains comatose, plans are needed to prevent skin breakdown. A specialty bed or, at a minimum, a pressure reduction mattress can be used to decrease the risk of skin breakdown over bony prominences. If the child is comatose or sedated, a physical therapy consultation may be indicated to devise splints and provide motion exercises to prevent contractures.

Finally, the child and family need psychological support. Because drowning is often preventable, the family may feel a great deal of guilt for the child's condition. Throughout the child's illness and recovery it is imperative that the healthcare team use consistent terms so that the family receives consistent information and a consistent prognosis.

Pulmonary Embolus

Pulmonary embolism (PE) occurs when there is mechanical obstruction of pulmonary arterial blood flow from either endogenous or exogenous emboli or local thrombus formation. When the obstruction is severe, PE is a life-threatening disorder.193 Incidence of PE in the pediatric population has not been well established and depends on underlying conditions and methods of diagnosis. Incidence appears to have a bimodal distribution, with most occurrences taking place in neonates and adolescents. The incidence in African American children may be double that reported in Caucasian children.193

Etiology

A PE can arise from many conditions. Most commonly the child has an underlying deep vein thrombus that enters the blood stream and travels to the pulmonary vessels, occluding blood flow distal to the thrombus. PEs can also be caused by small emboli associated with right heart bacterial endocarditis, septic thrombophlebitis, pyomyositis, and osteomyelitis.41,283 Risk factors for PE in children include obesity, deep vein thrombosis, central venous catheter-related thrombosis, endocarditis, sepsis, and underlying oncologic pathology.180,193

Pathophysiology

The obstruction to pulmonary blood flow causes ventilation and perfusion (image) abnormalities. The duration and extent of the obstruction will determine the severity of signs and symptoms. In the acute phase, or the first 48   hours of this process, cardiac output is the main determinate in distribution of image abnormalities, rather than redistribution of pulmonary blood flow to nonoccluded areas or increasing or redistributing ventilation to areas maintaining perfusion.257 When cardiac output is maintained or increased, there is increased perfusion to the nonoccluded regions of the lung, which improves blood flow in relation to ventilation. The resulting increase in blood flow to nonoccluded lung segments and reduced or absent blood flow to areas where vessels are occluded will result in less image mismatch and acute changes in pulmonary function.

If there is a decline in cardiac output, blood flow will decrease through the areas of low ventilation and the image ratio increases.257 In addition, acute right ventricular failure and cardiovascular collapse may ensue.

Clinical Signs and Symptoms

The diagnosis of PE can be challenging because signs of PE can mimic other common childhood respiratory illnesses, such as pneumonia. There is a wide spectrum of severity and resulting clinical signs and symptoms, ranging from small segmental PE with no clinical symptoms to large central and/or bilateral clots associated with cardiovascular collapse. A high index of suspicion for PE needs to be entertained when children demonstrate chest pain or dyspnea on exertion.193

Optimal strategies for screening of children with PE have not been well established and are extrapolated from data in adults. The D-dimer test has been shown to be highly sensitive in adult patients with PE, but this test has not been shown to be as useful in pediatric patients. This may be explained by clearance of the D-dimer fragments by the liver when diagnosis is delayed. Alternatively, peripheral small pulmonary artery thrombi may not increase the D-dimer level.

Chest radiograph abnormalities may be noted in children with a PE, but these findings are not specific. Although pulmonary angiography has been described as the “gold standard” technique for diagnosing PE, it is infrequently performed. Lack of adequate venous access in children makes this test impractical in many pediatric cases. Spiral CT scan has emerged as an effective diagnostic tool.159,193,280 This study is rapid, noninvasive, and can detect alternate diagnoses. The main limitation is in the accurate detection of small peripheral artery emboli. Other diagnostic methods include ventilation perfusion scintigraphy, spiral CT angiography, magnetic resonance imaging, and pulmonary angiography.193

Management

Thrombolytic therapy and anticoagulation are the major pharmacologic strategies in the treatment of PE.34,233 Occasionally, anticoagulation is contraindicated because of hemorrhage or recent trauma, or because anticoagulation therapy may be ineffective. In these cases, inferior vena cava (IVC) filters may be considered.34 IVC filters have been used in adult patients for many years to prevent PE, and their use has increased with percutaneously introduced retrievable filters.192

Potential indications for IVC filter placement include presence of a venous thromboembolism (VTE) and contraindication to anticoagulation, proven VTE and complication from anticoagulation, or recurrent VTE despite anticoagulation. Complications from long-term filter use include filter fracture, filter migration, IVC thrombosis, and IVC wall disruption.192 Use of these devices in children has been limited, but may be increasing with increased identification of VTE in children. Placement and removal of percutaneously placed IVC filters is feasible in pediatric patients and can be performed by clinicians skilled in endovascular procedures.192

Thrombectomy, using either a surgical or catheter-based approach, can also be performed in some patients with PE to restore patency of the pulmonary vessel.233 Long-term complications of pediatric PE are not known, although some patients demonstrate a risk of recurrence.

Congenital Diaphragmatic Hernia

Etiology

Diaphragmatic hernia is a congenital defect in the diaphragm that results in the posterolateral, anterior-midline, or crural diaphragm fusing with the chest wall, with communication between the chest and the abdominal cavity. Acquired diaphragmatic hernia can result from traumatic (typically blunt chest trauma) tearing of the diaphragm (see Chapter 19 for information about acquired or traumatic diaphragmatic hernia).

With congenital diaphragmatic hernia (CDH), there may be complete absence of the diaphragm muscle (agenesis). When this occurs, the abdominal organs are displaced into the chest cavity and interfere with parenchymal and pulmonary vascular development, producing hypoplasia of the lungs and pulmonary vasculature. This condition affects approximately 1 in every 2500 births and may be associated with other major or minor anomalies.51 It can be diagnosed in utero, and severity can be assessed with ultrasonography or magnetic resonance imaging.57 Intrauterine diagnosis allows time for both education of the family and staff preparation of the delivery. If untreated the defect is often fatal. Most neonates with diaphragmatic hernia develop severe respiratory insufficiency necessitating critical care support and surgical intervention during the first days of life.

Pathophysiology

The diaphragm is the most important muscle of inspiration. It is composed of a thin, dome-shaped muscle that is inserted in the lower ribs. During contraction of the diaphragm, the abdominal contents are displaced downward and forward, and as a consequence the vertical dimension of the chest cavity is increased.272

The diaphragm hernia is on the left side in approximately 80% of all cases.129 The ipsilateral lung is small and hypoplastic, with decreased pulmonary vascularity and increased pulmonary vascular resistance. The mediastinal structures are shifted to the contralateral side of the chest in utero, and the heart most commonly is shifted into the right chest. The resulting increase in pulmonary vascular resistance produces right-to-left shunting of blood through the patent ductus arteriosus (see the discussion of Patent Ductus Arteriosus and Pulmonary Hypertension in Chapter 8). The contralateral lung is often partially compressed and is usually hypoplastic. Once the child is born, progression of respiratory dysfunction occurs because of both pulmonary hypoplasia and distension of the stomach and intestines with swallowed air.

When the diagnosis of diaphragmatic hernia is made, most patients develop severe hypoxemia and are placed on ECMO. After the patient stabilizes, and ideally when pulmonary hypertension improves, surgical intervention is scheduled (see section, Types of Mechanical Ventilation earlier in this chapter, and Chapter 7).

Clinical Signs and Symptoms

The child with diaphragmatic hernia has a large barrel chest and a suspiciously flat abdomen. Tachypnea, with a respiratory rate exceeding 120/minute, is seen commonly. Respiratory distress is usually noted immediately after birth, or there may be a period of up to 48   hours before respiratory distress develops. Rarely, signs are delayed for days, weeks, or months. Signs of respiratory distress in addition to tachypnea are nasal flaring, severe chest retractions, cyanosis, absent breath sounds, and severe respiratory acidosis. Bowel sounds may be heard in the chest. The newborn may exhibit extreme respiratory distress when fed. Once the infant is intubated and the lungs are mechanically ventilated, resistance to hand ventilation is noted, and the neonate will need high inspiratory pressures because the lungs are small and stiff. Pulmonary hypertension is often severe.

The diagnosis of diaphragmatic hernia is made clinically and is confirmed with a chest radiograph, which shows air-filled loops of bowel located in the chest (Fig. 10-6). Rarely, further evaluation will be needed with a contrast radiographic study of the upper gastrointestinal tract to confirm the diagnosis. Blood gas analysis will demonstrate the presence of respiratory acidosis and hypoxemia.

An echocardiogram can be obtained to look for pulmonary hypertension, ventricular septal flattening, and right-to-left shunting via the ductus arteriosus. Doppler echocardiography can also be used to evaluate pulmonary vascular resistance.

Management

The optimal medical and surgical management for diaphragmatic hernia continues to evolve. Initial postnatal management includes support of O2 and ventilation, placement of a nasogastric tube for gastric and bowel decompression, and maintenance of reliable vascular access.

Placing the infant in semi-Fowler's position uses gravity to alleviate pressure of the abdominal contents in the thorax. The involved side of the chest can be placed in a dependent position to increase aeration of the uninvolved lung, although oxygenation may actually improve if the uninvolved lung is placed in a dependent position. NIV is avoided in these patients because these methods may cause gaseous distension in the herniated viscera and worsening of cardiopulmonary status. Endotracheal intubation is typically performed as soon as the neonate becomes symptomatic.

Other medical management strategies include HFOV, inhaled nitric oxide, gentle permissive hypercapnia, and ECMO (see Chapter 7).51 Ideally the infant is stabilized before surgical intervention. The ideal timing for surgical intervention is still in question. Most centers will wait at least 48   h after initial stabilization. Surgical strategies include primary repair using native tissue or in cases of large defects, repair with a Gore-Tex patch (DuPont). A higher recurrence rate exists with the use of a Gore-Tex patch compared with native tissue patches, because the Gore-Tex patch does not grow with the child. Surgical intervention may be accomplished in the neonatal critical care unit to avoid transport to the operating suite if the neonate is extremely unstable. 70

Postoperatively, the infant is monitored closely for evidence of respiratory insufficiency, shock, pulmonary hypertension, and bleeding. Neonates with CDH have highly reactive pulmonary vascular beds, and pulmonary hypertension can produce hypoxemia, right ventricular failure, and low cardiac output. Inhaled nitric oxide can be administered during the preoperative and postoperative periods to promote pulmonary vasodilation. Neonates with diaphragmatic hernia have small, noncompliant lungs that are especially at risk for pneumothorax and tension pneumothorax during the postoperative period.

The availability of ECMO and the utility of preoperative stabilization have improved survival in CDH. ECMO is most commonly used preoperatively (see Chapter 7). The duration of ECMO for neonates with CDH is significantly longer than for those with meconium aspiration or persistent pulmonary hypertension of the newborn.132 Recurrence of pulmonary hypertension is associated with high mortality, and weaning from ECMO is performed cautiously. If the infant cannot be weaned from ECMO after repair of diaphragmatic hernia, options include discontinuing support or lung transplant in rare cases. 70

Overall long-term survival for CDH is relatively high. Children with diaphragmatic hernia often have a long-term hospitalization after the initial surgery. The child must receive adequate nutrition (see section, Total Parenteral Alimentation in Chapter 14). Occasionally the child will need subsequent surgical intervention for the release of abdominal adhesions. Sequelae for these neonates include long-term pulmonary function changes, neurodevelopmental delays, and growth retardation. Other common problems are gastroesophageal reflux, pectus excavatum, and scoliosis. 70

Common diagnostic tests

There are many pulmonary function tests that are clinically useful. Most, however, are impractical for use in the critical care setting because they require maximum effort from cooperative patients. This section focuses only on those tests performed on critically ill children.

Physical Examination

The most important diagnostic tool for assessing respiratory function is the physical examination. A great deal of information can be gained by watching the child's behavior and breathing and noting the child's position of comfort. Carefully observe respiratory rate, effort, work of breathing, and use of accessory muscles of respiration. One must know the normal physical findings for the child's age and typical physical signs of the patient's disease.

Chest Radiograph

The chest radiograph is used frequently to evaluate pulmonary status in critically ill children. See Chapter 10 for a detailed discussion of the radiologic examination.

Bronchoscopy

Bronchoscopy allows direct visualization of the larynx and larger airways using either rigid or flexible instruments. Rigid bronchoscopy is usually performed in the operating room under general anesthesia, whereas flexible bronchoscopy can be performed at the bedside, introduced through the nose, mouth, or artificial airway. These bronchoscopes are small in size (ultrathin flexible scopes are available in diameters as small as 2.5   mm) and do not occlude a small child's airway.

Bronchoscopes have some or all of the following capabilities: fiberoptics for airway visualization and inspection, ventilation ports, suction, and the ability to retrieve objects and collect specimens. Rigid bronchoscopy offers a larger channel and is the preferred method of retrieving foreign bodies. Either a rigid or flexible bronchoscope may be used to evaluate chronically intubated patients for the presence of subglottic stenosis. The bronchoscope can be introduced through a special T adaptor at the end of the tracheostomy or ETT for children with an advanced airway; this allows ongoing mechanical ventilation throughout the procedure.

Complications of bronchoscopy are rare, but they include laryngospasm, hypoxemia, cardiac arrhythmias, laryngeal edema, bronchial tears, pneumothorax, epistaxis, and pulmonary hemorrhage. Monitor the patient to ensure a return to baseline after the procedure. In children with severe pulmonary disease, it may take several hours for the child to return to baseline. (i.e., they may need more mechanical ventilator support and may have higher O2 requirements).

Noninvasive Monitoring

Pulse Oximetry

The saturation of hemoglobin in arterial blood can be monitored continuously using a pulse oximeter. The pulse oximeter has rapidly become the monitor of choice for the noninvasive monitoring of oxygenation. It continuously monitors and displays the arterial oxyhemoglobin saturation and can quickly indicate hypoxemic events. It is a good indicator of systemic perfusion. For more information on pulse oximetry, please see Respiratory Failure, Management, earlier in this chapter.

Transcutaneous Blood Gas Monitors

The most reliable method for assessing partial pressure of O2 and CO2 in the body is analysis of an arterial blood sample. The skin surface PO2 and PCO2 monitor is a noninvasive tool that can be used to quantify estimated O2 and CO2 tensions either intermittently or continuously.

The use of pulse oximetry has largely replaced skin surface O2 monitoring, but the skin surface CO2 monitor is still the most reliable method of noninvasive estimation of PaCO2, (measurement of PETCO2 reflects alveolar CO2 tension and can trend with the PaCO2). Transcutaneous devices are modifications of conventional blood gas electrodes, and they have been shown to provide a more accurate estimate of PaCO2 than the PETCO2 in some patient populations, including children with both cyanotic and acyanotic congenital heart disease.39,246,277

Skin surface PCO2 measurement has also been shown to be an accurate and clinically acceptable estimate of PaCO2 over a wide range of PaCO2 values in pediatric patients during high-frequency oscillatory ventilation and for children undergoing polysomnography.17,121 This technique is effective because small amounts of O2 and CO2 diffuse through the skin. The device warms the skin beneath the electrode membrane to a temperature of 44 to 45° C. Lower temperatures occasionally are used in premature infants to decrease skin injury. Warming the capillaries located beneath the electrode dilates them, and arteriovenous connections within the capillary bed open so that the O2 and CO2 tensions of the heated blood beneath the membrane reach arterial levels. In general, the skin surface PO2 is less than the PaO2, particularly in older patients.

The minimal requirements for a reliable skin surface O2 and CO2 sensor system are the following: (1) measurement of specific gases, with no interference from other gases; (2) uniform heat transfer across the sensing area; (3) drift of less than ±  5   mm   Hg for 24   h; (4) a machine with mechanical and electrical integrity; and (5) the ability to eliminate discrepancies between the transcutaneous and arterial PO2 and PCO2 resulting from hypoperfusion or other factors. The skin electrodes must be applied to skin that is clean, dry, and hairless. Because the electrode causes the surface of the skin to warm, there is a risk for skin irritation or burning. The location of the transcutaneous probe must be rotated intermittently to prevent these effects. These units must be calibrated at intervals specified by the manufacturer.

End-Tidal Carbon Dioxide Monitoring

Measurement of exhaled CO2 provides real-time evidence of ventilation. The PCO2 at the end of expiration is approximately equal to the alveolar PCO2. In patients with normal lungs and pulmonary blood flow, the alveolar PCO2 is the same as the pulmonary venous and PaCO2. As a result, measurement of PETCO2 can be used in place of repeated PaCO2 measurements when the child's condition is stable.

Devices are available for end-tidal CO2 monitoring with the natural airway or with an advanced airway. The amount of CO2 in the exhaled air is measured using mass spectrometry or infrared absorption. For patients with an advanced airway and on mechanical ventilation, this small device is placed in the ventilator circuit at the proximal airway. If the child does not have an advanced airway or is not on mechanical ventilation, the sampling catheter can be placed just inside the nostril or at the tracheostomy stoma. As exhaled gas passes through the device, a detector measures the light absorption in the sample. The partial pressure of CO2 is inversely proportional to the amount of light that is absorbed. Using this information, the device is able to quantify the amount of CO2 present in exhaled gas.

While it is relatively simple to measure PCO2, it is extremely difficult to obtain a true alveolar gas sample that is not contaminated by dead space gas or ambient air. If measurement of PETCO2 is to be used to reflect the PaCO2, simultaneous samples are obtained for measurement of the PaCO2 and the PETCO2 to assess the relationship between these two measurements. Although many devices can measure the peak PCO2 in exhaled air (Fig. 9-20) or the end-tidal CO2, the result may or may not be representative of the alveolar (and arterial) PCO2. If the patient has severe lung disease, the PETCO2 does not plateau but varies widely during expiration. As a result, it is difficult to determine which measurement to use.

image

Fig. 9-20 A, Normal features of a capnogram. A, Baseline, represents the beginning of expiration and should start at zero. B, The transitional part of the curve represents mixing of dead space and alveolar gas. C, The alpha angle represents the change to alveolar gas. D, The alveolar part of the curve represents the plateau average alveolar gas concentration. E, The end-tidal CO2 value. F, The beta angle represents the change to the inspiratory part of the cycle. G, The inspiration part of the curve shows a rapid decrease in CO2 concentration. B, Increase in PETCO2 is consistent with hypoventilation. Diagnosis is confirmed by demonstrating increased PaCO2. C, Reduction in PETCO2 from 40 to 0   mm   Hg is consistent with situations in which no alveolar ventilation is occurring (apnea), or the endotracheal tube is malfunctioning of improperly placed. D, PETCO2 tracing demonstrates progressive reduction as cardiac arrest occurs, resulting in decreased pulmonary perfusion. E, PETCO2 tracing is consistent with compromised pulmonary perfusion by hypovolemia, increased pulmonary vascular resistance, or administration of excessive positive end-expiratory pressure.

(Adapted from Thompson J and Jaffe M: Capnographic waveforms in the mechanically ventilated patient. Respir Care 50:100-109, 2005.)

In general, changes in the PETCO2 accurately reflect trends in the child's PaCO2, even if a significant lung disease is present. A sudden decrease in the PETCO2 to zero could indicate extubation, ETT obstruction, esophageal malposition, or a disruption or leak in the system (Fig. 9-21).21 If cardiac output or lung perfusion falls drastically, the PETCO2 will fall. A rise in PETCO2 may be observed with hypoventilation, sepsis, or malignant hyperthermia.21 Airway obstruction can alter the shape of the expired CO2 curve and produce a rise in the PETCO2. This shape is usually demonstrated with an upsloped capnography tracing.244

image

Fig. 9-21 End-tidal CO2 graphic tracing (capnogram) with tracheal versus esophageal intubation.

(From Roberts WA, Maniscalco WM, Cohen AR, Litman RS, and Chhibber A: The use of capnography for recognition of esophageal intubation in the neonatal intensive care unit. Pediatr Pulmonol 19:262-268, 1995.)

An increase in the PaCO2-to-PETCO2 gradient indicates an increase in dead space ventilation (VD/VT  =  PaCO2 − PETCO2/PaCO2. That is, changes in PETCO2 must be compared with PaCO2. Any time the PaCO2-to-PETCO2 gradient increases, dead space ventilation has increased. Increased VD/VT (dead space ventilation) occurs any time pulmonary perfusion decreases relative to alveolar ventilation. Conditions causing increased dead space ventilation include: (1) pulmonary vascular disease or increased pulmonary vascular resistance, (2) PE, (3) decreased right ventricular output (hypovolemia or arrest), and (4) excessive PEEP.

A more novel use of noninvasive PETCO2 monitoring is in the child with diabetic ketoacidosis. This monitoring has been shown to reliably reflect acidosis, offering an early warning sign for unexpected changes in acidosis.5

Assessment of Arterial Blood Gases

Blood Sampling for Blood Gas Analysis

The adequacy of gas exchange is best evaluated by measuring the pH, PO2, and PCO2 of arterial blood. It is also possible to assess arterialized capillary samples, but the analysis of PaO2 by this method may be unreliable, because it is influenced greatly by the perfusion of the sampled capillary bed.

Arterial Blood Gas Analysis

The vessels most frequently used for blood gas analysis are the umbilical artery in neonates and the radial, femoral, and dorsalis pedis arteries in infants and children. The radial artery is the preferred site for arterial blood sampling, because it is easily accessible and has good collateral circulation.123 Because an arterial puncture can produce pain and cause anxiety, the blood gas measurements obtained by intermittent sampling in this manner can be unreliable. As a result, arterial catheters usually are placed in children with severe cardiorespiratory disease who need close observation, frequent arterial sampling, or continuous evaluation of blood pressure (see Chapter 21).

An arterial blood sample can be collected in a heparinized syringe. If the blood gas specimen is obtained by arterial puncture, a small-gauge needle or a butterfly needle can be used for the puncture. As little as 0.2   mL of blood can be used to obtain an accurate blood gas analysis. A local anesthetic, intradermal or topical, can be administered immediately over the artery to minimize the child's discomfort during the arterial puncture, although only small volumes of intradermal lidocaine are administered because large volumes can produce arterial spasm. The puncture site is scrubbed with a chlorhexidine, povidone-iodine, or alcohol solution. Before a radial artery puncture is made, an Allen test is performed to assess the adequacy of collateral (nonradial artery) flow to the hand (Box 9-27).

Box 9-27 Modified Allen Test to Document Adequate Ulnar Arterial Flow to Hand

1. Elevate the patient's arm and hand well above level of the heart.

2. Clench the patient's fist or open and close the hand (this may be performed actively by the patient or passively by an examiner).

3. Place the thumb of one hand over the ulnar artery and the thumb of the other hand over the radial artery and compress both arteries to occlude flow until the hand becomes pale.

4. Release pressure only on the ulnar side of the wrist.

The entire hand should regain color in less than 5   s if flow through ulnar artery is sufficient to perfuse the hand; this is a negative result. If reperfusion requires more than 5-10   s, flow through the ulnar artery is sluggish, and hand perfusion probably depends on some flow through the radial artery; this is a positive result. Placing an arterial catheter in the radial artery of a patient with radial artery-dependent hand perfusion can seriously compromise arterial blood flow to the hand.

From Briening E: Arterial catheter insertion: perform. In Verger JT and Lebet RM, editors: AACN procedure manual for pediatric acute and critical care, St Louis, 2008, Saunders-Elsevier.

Capillary Sampling for Blood Gas Analysis

Because arterial punctures are sometimes difficult to obtain in infants, capillary samples often are taken. Although an accurate PCO2 and pH can be obtained with a capillary sample, the PO2 usually will be lower than the child's PaO2. If shock or other causes of poor systemic perfusion are present (e.g., hypothermia), the capillary PO2 probably will not accurately reflect the PaO2.

The best area for the capillary stick is one that is highly vascularized. The infant's heel, earlobe, or a large finger or toe is typically used. The area must be prewarmed with a warm towel, a heat lamp, or a warm, moist pack for 5 to 10   minutes before the sample is obtained; this will encourage blood flow to the area, thus arterializing the capillary blood. Be careful to avoid applying too much heat that can burn delicate skin. Cleanse the foot with alcohol. A puncture wound is made with a lancet so that blood flows freely from the puncture site. Avoid squeezing the sample area, because squeezing will encourage venous blood to mix with the capillary blood. Figure 9-22 illustrates the circulation of the infant's heel. The best blood gas specimens are obtained from the medial or lateral portion of the heel, because this area is more highly vascular and avoids the calcaneus. Do not obtain heel-stick capillary blood specimens after the infant has begun walking, because calluses have formed on the heel, making the puncture more difficult. In addition, the child may develop an infection once the foot is again used for walking.

image

Fig. 9-22 Vascular anatomy of the infant foot. Heel-stick blood samples for blood gas analysis are best obtained from the medial aspect of the heel (arrow), because this area is highly vascular. To avoid direct injury to the calcaneus or the medial calcaneal nerves, the bottom of the heel should be avoided (dotted area). This area can be identified by drawing imaginary vertical lines along the length of the infant's foot, from the middle of the first and fifth toes. The area of the heel between these two lines must be avoided.

Use a heparinized 0.2-mL capillary tube to obtain the specimen. Remove the first drop of blood with gauze and collect the following drop. Try to insert the tip of the tube into the droplet of blood to avoid surface blood, which will begin to equilibrate with air. Once the free-flowing blood has been collected in the tube, seal the tube and placed it on ice. Last, clean the site and apply a dry dressing. Although complications from repeated capillary sticks are rare, infection can occur if the area is not cleaned properly before the puncture. Osteomyelitis has been reported in neonates after only one or two heel punctures.

Venous Samples

Venous blood can be used for blood gas analysis, but interpretation of the PO2 and PCO2 is difficult. Venous CO2 tension (PVCO2) is 4 to 6   mm   Hg higher than systemic PaCO2, and venous pH is 0.05 lower than arterial pH. Mixed venous saturation (image) is a reflection of O2 delivery. This mixed venous O2 saturation reflects the balance between O2 delivery and O2 utilization. The superior vena caval O2 saturation (ScvO2) is often used as a surrogate for the mixed venous O2 saturation (see Chapter 6).

Pulmonary Artery Samples

Pulmonary artery blood obtained through a pulmonary artery catheter provides a true mixed venous blood sample. If systemic arterial blood and pulmonary artery blood are obtained and analyzed simultaneously, the arterial-venous oxygen content difference (A-VO2) can be calculated using the Fick equation (see the discussion on assessment of low cardiac output in Chapters 6 and 8). The difference between these two numbers is inversely proportional to the O2 delivery: if the A-VO2 difference is small, the oxygen delivery is high relative to consumption; if the A-VO2 difference is large or increasing, either O2 delivery is falling or O2 extraction by the tissues is rising, or both are occurring.

The normal A-VO2 content difference ranges from 4.5 to 6.0 vol%. A critically ill child with excellent cardiovascular reserves will have an A-VO2 difference in the range of 2.5 to 4.5 vol%. A critically ill child with low cardiac output or respiratory failure will have an A-VO2 difference of greater than 6.0 vol%. The A-VO2 difference may also increase if O2 consumption is increased in the face of fixed O2 delivery.

Continuous monitoring of image is possible using a pulmonary artery catheter with fiberoptic light and sensor, but pulmonary artery catheters are rarely used in children. Generally venous O2 saturation samples are obtained from a central venous catheter, typically from the SVC. Pediatric fiberoptic catheters allow for continuous monitoring of central venous saturation and can facilitate rapid detection of a fall in ScvO2, which can be associated with a compromise in O2 delivery (i.e., either pulmonary function or cardiac output) or an increase in oxygen consumption.

Lung Volumes and Capacities

Simple measurements of lung volumes and capacities can be performed at the bedside to provide an objective estimate of the child's respiratory status (see section, Essential Anatomy and Physiology at the beginning of this chapter).

Tidal Volume

The measurement of tidal volume is an easy procedure and can be performed at the bedside. This measurement, together with assessment of respiratory rate on a serial basis, can provide an indication of inspiratory effort and tidal volume. To measure tidal volume at the bedside, a handheld spirometer may be used. A mouthpiece is applied to the spirometer, and the child is asked to breathe normally through the mouthpiece. A needle indicator then instantly records the inspiratory tidal volume. The child must breathe for 1   min. To obtain the average inspiratory tidal volume, the total volume recorded is divided by the respiratory rate.

If the child is intubated, the spirometer can be attached easily to the ETT or to the ventilator tubing. A normal predicted tidal volume is 6 to 7   cc/kg. A tidal volume of less than 4 to 5   cc/kg may indicate an inadequate inspiratory effort to sustain spontaneous ventilation, or it may indicate the presence of upper airway obstruction or decreased lung compliance. Measuring a normal tidal volume does not exclude the presence of severe restrictive lung disease. As a result, this test is not clinically useful as a predictor of severity of pulmonary symptoms.

Several devices are available for spirometry measurement; one of the most widely used is the Wright respirometer. Many mechanical ventilators automatically calculate and display delivered and expired (exhaled) tidal volume; however, such calculations will be inaccurate if a significant leak occurs around the ETT.

If the child refuses to cooperate, assessing the tidal volume may be difficult or impossible. Because these bedside tests require a great deal of patient effort, even when they are performed accurately, the results can be highly misleading.

Vital Capacity

VC testing can be used to evaluate readiness for extubation. The VC is the maximal amount of air that can be exhaled after a maximal inspiratory effort. A spirometer is attached to the ETT to quantify the volume, and the child is instructed to take the deepest inspiration possible and then to exhale the air as quickly, forcefully, and completely as possible. This forced expiratory volume measurement is best evaluated in a cooperative patient who is either not sedated or lightly sedated. Normal VC is approximately 65 to 75   cc/kg for infants and young children. Children with significant respiratory disease usually have a VC of approximately 15 to 30   cc/kg, and children with a VC of less than 15   cc/kg often need assisted ventilation. Older children are generally ready for extubation with a VC greater than about 15   cc/kg.172

A true decrease in VC is caused by restrictive lung disease processes such as pneumonia, atelectasis, or pulmonary fibrosis. A decrease in VC may also be noted in the absence of lung disease with conditions such as muscle weakness, abdominal distension, or surgical pain.83 Lower than expected measured VC can result from inadequate effort or from loss of exhaled air as a result of a loose seal around the airway or the patient's mask, so the child's VC is underestimated.

Negative Inspiratory Force

Respiratory muscle strength is evaluated by measuring the maximal positive pressure created by forcefully exhaling after a full inspiration and the maximal negative pressure that can be generated by inhaling after maximal expiration. Clinically this is performed by preventing inspiration by either occluding the inspiratory port of a mask or occluding the inspiratory tubing of the ventilator. The maximal negative pressure generated is measured with a manometer. This information is useful in patients with neuromuscular disease or in patients who are being evaluated for extubation.

Normal inspiratory force is a negative pressure of approximately −  60   cm H2O. Values less forceful than −  40 cm H2O are considered abnormal.99 The child usually needs assisted ventilation if the negative inspiratory force is less forceful than −20   cm H2O. Because this measurement also requires patient cooperation, it is subject to error.

Static and Dynamic Lung Compliance

Compliance is how much a compartment will expand if the pressure in the compartment is altered. For example, a partially inflated balloon has high compliance because small pressure increases in the balloon result in the balloon expanding greatly. A rigid cylinder has low compliance because a pressure increase in the cylinder will not result in a significant increase in volume in the cylinder. In humans, tissue elastic forces and surface tension forces contribute to lung compliance.


image


Elastance is the reciprocal of compliance; high elastance is seen in stiff lungs.


image


Static lung compliance is the slope of the pressure-volume curve of the lung that is obtained during deflation from total lung capacity. To obtain a static lung compliance estimate in an intubated child, an inspiratory hold maneuver is performed. At peak inspiration, an inspiratory hold is performed for 1 to 2 seconds. Once the flow is held, a plateau pressure will occur as long as the lungs fall back to resting position at peak inspiration. The plateau pressure reading is used to obtain the patient's static lung compliance. The pressure measured at that volume is recorded and then the tidal volume is divided by the measured pressure. The result reflects the static lung compliance.

Dynamic lung compliance is the ratio of change in the volume compared with the change in pressure over a tidal breath; it represents the ratio of change in volume to a change in pressure between the points of zero flow at the end of inspiration and expiration. In healthy children, the values for static and dynamic compliance are similar. Measurement of dynamic lung compliance can be useful in detecting pneumothorax when the patient's lungs are ventilated with a volume-cycled ventilator. In these patients, higher-than-normal pressures are needed to deliver the desired tidal volume, because the lung compliance is decreased.89

Conclusion

All of these diagnostic tests may be clinically useful, but physical examination and arterial blood gas analysis provide the most rapid, complete, and objective estimate of pulmonary function.

References

1 Abd-Allah S.A., et al. Helium-oxygen therapy for pediatric acute severe asthma requiring mechanical ventilation. Pediatr Crit Care Med. 2003;4:353-357.

2 Aboab J., et al. Effect of inspired oxygen on alveolar decruitment in acute respiratory distress syndrome. Intensive Care Med. 2006;32:1979-1986.

3 Acosta B., et al. Hemodynamic effects of noninvasive bilevel positive airway pressure on patients with chronic congestive heart failure with systolic dysfunction. Chest. 2000;118:1004.

4 Acute Respiratory Distress Network. Ventilation with lower tidal volumes as compared with conventional tidal volumes for acute lung injury and the acute respiratory distress syndrome. N Engl J Med. 2000;342:1301-1308.

5 Agus M.S., Alexander J.L., Mantell P.A. Continuous noninvasive end-tidal CO2 monitoring in pediatric in patients with diabetes ketoacidosis. Pediatr Diabetes. 2006;7:196-200.

6 Al-Sundi S. Acute upper airway obstruction: croup, epiglottitis, bacterial tracheitis, and retropharyngeal abrasions. In: Levin D.L., Morriss F.C., editors. Essentials of pediatric intensive care. New York: Churchill Livingstone, 1997.

7 Amato M.B., et al. Effect of a protective-ventilation strategy on mortality in the acute respiratory distress syndrome. N Engl J Med. 1998;338:347.

8 American Academy of Pediatrics Committee on Fetus and Newborn. Postnatal steroids to treat or prevent chronic lung disease in preterm infant. Pediatrics. 109(330), 2002.

9 Anas N. Respiratory failure. In: Levin D.L., Morriss F.C., editors. Essentials of pediatric intensive care. New York: Churchill Livingstone, 1997.

10 Arnold J.H., et al. Prospective, randomized comparison of high-frequency oscillatory ventilation and conventional mechanical ventilation in pediatric respiratory failure. Crit Care Med. 1994;22:1530-1539.

11 Ashbaugh D.G., et al. Acute respiratory distress in adults. Lancet. 1967;12:7511.

12 Bancalari E. Mechanical ventilation. In: Rudolph C.D., Rudolph A.M., editors. Rudolph's pediatrics. New York: McGraw Hill, 2003.

13 Baraldi E., Filippone M. Chronic lung disease after premature birth. N Engl J Med. 2007;357:1946-1955.

14 Bartlett J.G. Aspiration pneumonia. Clin Notes Respir Disease. 1980;18:3.

15 Berg M.D., Schexnayder S.M., Chameides L., et al. Pediatric basic life support. 2010 American heart association guidelines for cardiopulmonary resuscitation and emergency cardiovascular care. Circulation. 122(18 Suppl. 3), 2010. S862-875

16 Berg M.D. Pediatric in-hospital cardiac arrest and therapeutic hypothermia: where we are and where we are going. Pediatr Crit Care Med. 2009;10:601-602.

17 Berkenbosch J.W., Tobias J. Transcutaneous carbon dioxide monitoring during high frequency oscillatory ventilation in infants and children. Crit Care Med. 2002;30:1024-1027.

18 Bernard G.R., et al. The American-European consensus conference on ARDS definitions, mechanisms, relevant outcomes and clinical trial coordination. Am J Respir Crit Care Med. 1994;149:818.

19 Bernard S.A., et al. Treatment of comatose survivors of out-of-hospital cardiac arrest with induced hypothermia. N Engl J Med. 2002;346:557.

20 Bernet V.B., et al. Predictive factors for the success of noninvasive mask ventilation in infants and children with acute respiratory failure. Pediatr Crit Care Med. 2005;6:660.

21 Bhende M.S. End-tidal carbon dioxide monitoring in pediatrics—clinical applications. J Postgraduate Med. 2001;47:215-218.

22 Biagas K. Drowning and near drowning: submersion injuries. In Nichols D.G., editor: Rogers' textbook of pediatric intensive care, ed 4, Philadelphia: Lippincott Williams and Wilkins, 2008.

23 Bindslev L., Hedenstierna G., Santesson J., et al. Ventilation-perfusion distribution during inhalation anaesthesia. Effects of spontaneous breathing, mechanical ventilation and positive end-expiratory pressure. Acta Anaesthesiol Scand. 1981;25(4):360-371.

24 Bjornson C.L., Johnson D.W. Croup. Lancet. 2008;371:329.

25 Bledsoe G.H., Schexnayder S.M. Pediatric rapid sequence intubation. Pediatr Emerg Care. 2004;20:339.

26 Boogaard R., et al. Recombinant human deoxyribonuclease for the treatment of acute asthma in children. Thorax. 2008;63:141-146.

27 Boyce J.A.K. Auto positive end-expiratory pressure calculation. In: Verger J.T., Lebet R.M., editors. AACN procedure manual for pediatric acute and critical care. St Louis: Saunders, 2008.

28 Branson R.D. Secretion management in the mechanically ventilated patient. Respir Care. 2007;52:1328-1342.

29 Briassoulis G.C., et al. Air leaks from the respiratory tract in mechanically ventilated children with severe respiratory disease. Pediatr Pulmonol. 2000;29:127-134.

30 Brochard L., Pluskwa R., Lemaire F. Improved efficacy of spontaneous breathing with inspiratory pressure support. Am Rev Respir Dis. 1987;136:411.

31 Bronicki R., Anas N. Cardiopulmonary interaction. Pediatr Crit Care Med. 2009;10:313-322.

32 Bryan M., et al. Pulmonary function studies during the first year of life in infants recovering from the respiratory distress syndrome. Pediatrics. 1973;52:169.

33 Buford A.E., et al. Drowning and near-drowning in children and adolescents. Pediatr Emerg Care. 2005;21:610.

34 Cahn M.D., et al. Long-term follow up of Greenfield inferior cava filter placement in children. J Vascular Surg. 2001;34:820-825.

35 Carlson J., et al. Extubation force: tape versus endotracheal tube holders. Ann Emerg Med. 2007;50:686-691.

36 Carroll C.L., Schramm C.M. Noninvasive positive pressure ventilation for the treatment of status asthmaticus in children. Ann Allergy Asthma Immunol. 2006;96:454-459.

37 Carroll C.L., Zucker A.R. The increased cost of complications in children with status asthmaticus. Pediatr Pulmonol. 2007;42:914-919.

38 Carter E.R., Webb C.R., Moffitt D.R. Evaluation of heliox in children hospitalized with acute severe asthma. A randomized crossover trial. Chest. 1996;109:1256-1261.

39 Casati A., et al. Transcutaneous monitoring of partial pressure of carbon dioxide in the elderly patient: a prospective, clinical comparison with end-tidal monitoring. J Clin Anesth. 2006;18:436-440.

40 Caviedes I., et al. Effect of intrinsic positive end-expiratory pressure on respiratory compliance. Crit Care Med. 1986;14:947.

41 Celebi S., Hacimustafaoglu S., Demirkaya M. Septic pulmonary emboli in a child. Indian Pediatr. 2008;45:415-417.

42 Centers for Disease Control and Prevention, National Center for Injury Prevention and Control: Web-based Injury Statistics Query and Reporting System (WISQARS) [online]. 2008 Available at: http://www.cdc.gov/ncipc/wisqars Accessed July 28, 2008

43 Chameides L.C., Samson R.A., Schexnayder S.M., Hazinski M.F., editors. Pediatric advanced life support manual. Dallas: American Heart Association, 2011.

44 Chatte G., et al. Prone position in mechanically ventilated patients with severe acute respiratory failure. Am J Respir Crit Care Med. 1997;155:473.

45 Cherry J.D. Croup. N England Med. 2008;358:384.

46 Choi S.J. Comparison of desaturation and resaturation response times between transmission and reflectance pulse oximeters. Acta Anaesthesiol Scand. 2010;54:212-217.

47 Ciarallo L., Brousseau D., Reinert S. Higher-dose intravenous magnesium therapy for children with moderate to severe acute asthma. Arch Pediatr Adolesc Med. 2000;154:979-983.

48 Ciarallo L., Sauer A.H., Shannon M.W. Intravenous magnesium therapy for moderate to severe pediatric asthma: results of a randomized, placebo-controlled trial. J Pediatr. 1996;129:809-814.

49 Coalson J.J. Stucture of the respiratory system. In Fuhrman B.P., Zimmerman J., editors: Pediatric critical care, ed 3, Philadelphia: Mosby-Elsevier, 2006.

50 Collaborative European Multicenter Study Group. Surfactant replacement therapy for severe neonatal respiratory distress syndrome: an international randomized clinical trial. Pediatrics. 1988;82:683-691.

51 Colvin J., et al. Outcomes of congenital diaphragmatic hernia: a population-based study in Western Australia. Pediatrics. 2005;116:e356-e363.

52 Craven D., et al. Iprtropium bromide plus nebulized albuterol for the treatment of hospitalized children with acute asthma. J Pediatr. 2001;138:51-58.

53 Curley M.A.Q., et al. Effect of prone positioning on clinical outcomes in children with acute lung injury. J Am Med Assoc. 2005;294:229.

54 Curley M.A.Q., Thompson J.E., Arnold J.H. The effects of early and repeated prone positioning in pediatric patients with acute lung injury. Chest. 2000;118:156.

55 D'Ávila R.S., et al. Early administration of two intravenous bolus of aminophylline added to the standard treatment of children with acute asthma. Respir Med. 2008;102:156-161.

56 Davison C., et al. Efficacy of interventions for bronchiolitis in critically ill infants: a systematic review and meta analysis. Pediatr Crit Care Med. 2004;5:482.

57 Datin-Dorriere V. Prenatal prognosis in isolated congenital diaphragmatic hernia. Am J Obstet Gynecol. 2008;198(1):80-81.

58 Daya H., et al. Pediatric vocal fold paralysis: a long-term retrospective study. Arch Otolaryngol Head Neck Surg. 2000;126:21-25.

59 deCaen A., Duff J., Coovadia A.H., et al Airway Management. In Nichols DG, editor-in-chief: Roger's textbook of pediatric critical care. Philadelphia. ed 4, Lippincott; Williams and Wilkins:2008

60 Deep A., De Munter C., Desai A. Negative pressure ventilation in pediatric critical care setting. Indian J Pediatr. 2007;74:483.

61 DeJonge M.H., White M. A comparison of two methods or oral endotracheal tube stabilization in neonatal patients. J Perinatol. 1998;18:463-465.

62 deKlerk A. Humidified high-flow nasal cannula: is it the new and improved CPAP? Adv Neonatal Care. 8(98), 2008.

63 Denne S.C. Energy Expenditure in infants with pulmonary insufficiency: is there evidence for increased energy needs? J Nutr. 2001;131:935S.

64 Dobyns E.L. Assessment and monitoring of respiratory function. In: Fuhrman B.P., Zimmerman J., editors. Pediatric critical care. Philadelphia: Mosby, 2006.

65 Doshi J., Krawiec M.E. Clinical manifestations of airway malacia in young children. J Allergy Clin Immunol. 2007;120:1276.

66 Drover D.W. Gastric versus postpyloric feeding. Gastrointest Endosc Clin N Am. 2007;17:765-775.

67 Duffett M., et al. Surfactant therapy for acute respiratory failure in children: a systematic review and meta-analysis. Critical Care. 11(R66), 2007. Available at: http://pedsccm.org/view.php?id=498 Accessed June 26, 2011

68 Dullenkopf A., et al. Performance of a novel pressure release valve for cuff pressure control in pediatric tracheal tubes. Pediatr Anesth. 2006;16:19-24.

69 Duruisseau O., et al. Endoscopic rehabilitation of vocal cord paralysis with a silicone elastomer suspension implant. Otolaryngol Head Neck Surg. 2004;131:241-247.

70 Ehrlich P.F. Coran Eventration of the Diaphragm. In Kleigman R.M., editor: Nelson textbook of pediatrics, ed 18, Philadelphia: Elsevier/Saunders, 2007.

71 Essouri S., et al. Noninvasive positive pressure ventilation: five years of experience in a pediatric intensive care unit. Pediatr Crit Care Med. 2006;7:329.

72 Farias J.A., et al. An evaluation of extubation failure predictors in mechanically ventilated infants and children. Intensive Care Med. 2002;28:752.

73 Farias J.A., et al. A comparison of two methods to perform a breathing trial before extubation in pediatric intensive care patients. Intensive Care Med. 2001;27:1649.

74 Ferrara T.B., et al. Routine use of Dexamethasone for the prevention of postextubation respiratory distress. J Perinatol. 1989;9:287.

75 Fewell JE, Abendschein DR, Carlson J, et al. Mechanism of decreased right and left ventricular end-diastolic volumes during continuous positive-pressure ventilation in dogs. Circ Res. 1980;47:467-472.

76 Fiastro J.F., Habib M.P., Quan S.E. Pressure support compensation for inspiratory work due to endotracheal tubes and demand continuous positive airway pressure. Chest. 1988;93:499.

77 Flori H.R., et al. Pediatric acute lung injury: prospective evaluation of risk factors associated with mortality. Am J Respir Crit Care Med. 2005;171:995-1001.

78 Foglia E., Meier M.D., Elward A. Ventilator-associated pneumonia in neonatal and pediatric intensive care unit patients. Clin Microbiol Rev. 2007;20:409-425.

79 Fontán J.P., Haddad G.G. Respiratory Pathophysiology. In: Behrman R.E., Kliegman R.M., Jenson H.B., editors. Nelson textbook of pediatrics. Philadelphia: Saunders, 2004.

80 Fontán J.P., Lister G. The acutely ill infant and child. In: Rudolph C.D., et al, editors. Rudolph's pediatrics. New York: McGraw-Hill, 2003.

81 Frank B.S., Lewis R.J. Experience with intubated patients does not effect the accidental extubation rate in pediatric intensive care units and intensive care nurseries. Pediatr Pulmonol.. 1997;23:424-428.

82 Frankel L. Respiratory distress and failure. In: Berhman R.E., Kliegman R.M., Jenson H.B., editors. Nelson textbook of pediatrics. Philadelphia: Saunders, 2004.

83 Gal T.G. Pulmonary function testing. In: Miller R.D., editor. Miller's Anesthesia. Philadelphia: Elsevier, 2005.

84 Gardner A., et al. Best practice in stabilization of oral endotracheal tubes: a systemic review. Aust Crit Care. 2005;18:160-165.

85 Gawchik S.M., et al. The safety and efficacy of nebulized levalbuterol compared with racemic albuterol and placebo, in treatment of asthma in pediatric patients. J Allergy Clin Immunol. 1999;103:615-621.

86 Geelhoed G.C. Sixteen years of croup in a western Australian teaching hospital: effects of routine steroid treatment. Ann Emerg Med. 1996;28:621.

87 Glover M.L., Machado C., Totapally B.R. Magnesium sulfate administered via continuous infusion in pediatric patients with refractory wheezing. J Crit Care. 2002;17:255-258.

88 Goggi N., Macarthur C., Parkin P.C. Randomized trial of the addition of ipratropium bromide to albuterol and corticosteroid therapy in children hospitalized because of an acute asthma exacerbation. Arch Pediatr Adolesc Med. 2001;155:1329-1334.

89 Gold W.M. Pulmonary Function Testing. In: Mason R.J., editor. Murray & Nadel's texbook of respiratory medicine. Philadelphia: Elsevier, 2005.

90 Gorelick M.H., Baker M.D. Epiglottitis in children, 1979 through 1992. Effects of haemophilus influenzae type b immunization. Arch Pediatr Adolesc Med. 148(47), 1994.

91 Grant M.J.C., Curley M.A.Q. Pulmonary critical care problems. In: Curley M.A.Q., Maloney-Harmon P.A., editors. Critical care nursing of infants and children. Philadelphia: WB Saunders, 2001.

92 Grant M.J.C., Webster H.F. Pulmonary system. In Slota M.C., editor: Core curriculum for pediatric critical care nursing, ed 2, St Louis: Saunders, 2006.

93 Grillo H.C., et al. Management of congenital tracheal stenosis by means of slide tracheoplasty or resection and reconstruction, with long term follow-up of growth after slide tracheoplasty. J Thorac Cardiovasc Surg. 2002;112:145.

94 Gupta V.K., Cheifetz I. Heliox administration in the pediatric intensive care unit: an evidence-based review. Pediatr Crit Care Med. 2005;6:204-211.

95 Guyton A.C., Jones C.E., Coleman T.G. Mean circulatory pressure, mean systemic pressure, and mean pulmonary pressure and their effects on venous return. In: Guyton A.C., Jones C.E., Coleman T.G., editors. Circulatory physiology: cardiac output and its regulation. ed 2. Philadelphia: WB Saunders; 1973:205-221.

96 Guyton D.C., Barlow M.R., Besselievre T.R. Influence of airway pressure on minimum occlusive endotracheal tube cuff pressure. Crit Care Med. 1997;25:91-94.

97 Hales R.L. High frequency oscillatory ventilation. In: Verger J.T., Lebet R.M., editors. AACN procedure manual for pediatric acute and critical care. Philadelphia: WB Saunders, 2008.

98 Happ M.B., et al. Use of the quasi-experimental sequential cohort design in the study of patient-nurse effectiveness with assisted communication. Contemp Clin Trials. 2008;29:801-808.

99 Hazinski T.A. Tools for Diagnosis and Management of Respiratory Disorders. In Rudolph C.D., et al, editors: Rudolph's pediatrics, ed 21, New York: McGraw-Hill, 2003.

100 Jul 18Henderson-Smart D.J., et al. Elective high frequency oscillatory ventilation versus conventional ventilation for acute pulmonary dysfunction in preterm infants. Cochrane Database Syst Rev. 3(CD000104), 2007.

101 Henrickson K.J. Cost-effective use of rapid diagnostic techniques in the treatment and prevention of viral respiratory infections. Pediatr Ann. 2005;34:24.

102 Herting E., et al. Surfactant improves oxygenation in infants and children with pneumonia and acute respiratory distress syndrome. ACTA Paediatr. 2002;91:1174.

103 Heulitt M.J. Physiology of the respiratory system. In Fuhrman B.P., Zimmerman J., editors: Pediatric critical care, ed 3, Philadelphia: Mosby-Elsevier, 2006.

104 Heyland D.K., et al. Optimizing the benefits and minimizing the risks of enteral nutrition in the critically ill: role of small bowel feeding. J Parenter Enteral Nutr. 2002;28:60.

105 Hickling K.G., Henderson S.J., Jackson R. Low mortality associated with low volume pressure limited ventilation with permissive hypercapnia in severe adult respiratory distress syndrome. Intensive Care Med. 1990;16:372.

106 Hypothermia after Cardiac Arrest Study Group. Mild therapeutic hypothermia to improve the neurological outcome after cardiac arrest. N Engl J Med. 246(549), 2002.

107 Idris A.H., et al. Recommended guidelines for uniform reporting of data from drowning the “Utstein Style”. Circulation. 2003;108:2565.

108 Isben L.M., Koch T. Submersion and asphyxia injury. Crit Care Med. 2002;30(11 Suppl.):S402-S408.

109 Jaber S., et al. Volume-guaranteed pressure-support ventilation facing acute changes in ventilatory demand. Intensive Care Med. 2005;31:1181.

110 Jardine D.S., Crone R.K. Specific diseases of the respiratory system: upper airway. In: Fuhrman B.P., Zimmerman J., editors. Pediatric critical care. Philadelphia: Mosby, 2006.

111 Jarog D.L. Endotracheal tube: taping. In: Verger J.T., Lebet R.M., editors. AACN procedure manual for pediatric acute and critical care. St Louis: Saunders Elsevier, 2008.

112 Jin-Hee K., et al. Elongation of the trachea during neck extension in children: implications of the safety of endotracheal tubes. Anesth Analg. 2005;101:974-977.

113 Jobe A.H., Bancalari E. Bronchopulmonary Dysplasia (electronic version). Am J Respir Crit Care Med. 2001;163:1723. Available at: http://ajrccm.atsjournals.org/cgi/content/full/163/7/1723?ijkey=9885160ff371fb7a8a8b47bf80f44a06e051598c&keytype2=tf_ipsecsha Accessed June 26, 2011

114 Johansson F., et al. Effects of albuterol enantiomers on in vitro bronchial reactivity. Clin Rev Allergy Immunol. 1999;14:57-64.

115 Art. No.: CD000437Joshi V.H., Bhuta T. Rescue high frequency jet ventilation versus conventional ventilation for severe pulmonary dysfunction in preterm infants. Cochrane Database of Systematic Reviews. 1, 2006. doi: 10.1002/14651858.CD000437.pub2

116 Kane-Gill S.L., et al. Multicenter treatment and outcome evaluation of aspiration syndromes in critically ill patients. Ann Pharmacother. 2007;41:549-555.

117 Karakoc F., et al. Late diagnosis of foreign body aspiration in children with chronic respiratory symptoms. Int J Pediatr Otorhinolaryngol. 2007;71:241-246. Epub 2006 Nov 27

118 Kelley P.J., Arney T.D. Use of magnesium sulfate for pediatric patients with acute asthma exacerbations. J Infus Nurs. 2005;28:329-336.

119 Kellner J.D., Ohlsson A., Gadomski A.M., Wang E.E.L. Bronchodilators for bronchiolitis. Cochrane Database Syst Rev. 2(CD001266), 2000.

120 Kim I.K., et al. Helium/oxygen-driven albuterol nebulization in the treatment of children with moderate to severe asthma exacerbations: a randomized, controlled trial. Pediatrics. 2005;116:1127-1133.

121 Kirk V.G., Batuyong E.D., Bohn S.G. Transcutaneous carbon dioxide monitoring and capnography during pediatric polysomnography. Sleep. 2006;29:1601-1608.

122 Kissoon N., Rimensberger P.C., Bohn D. Ventilation strategies and adjunctive therapy in severe lung disease. Pediatr Clin N Am. 2008;55:709.

122a Kleinman ME, Chameides L, Schexnayder SM, et al. Part 14: pediatric advanced life support: 2010 American Heart Association Guidelines for Cardiopulmonary Resuscitation and Emergency Cardiovascular Care. Circulation. 2010;122(18 Suppl 3):S876-908.

123 Kline A.M. Arterial Puncture: perform. In: Verger J.T., Lebet R.M., editors. AACN procedure manual for pediatric acute and critical care. St Louis: Saunders-Elsevier, 2008.

124 Kregenow D.A., et al. Hypercapnic acidosis and mortality in acute lung injury. Crit Care Med. 2006;34:1.

125 Krishnan J.A., Brower R.G. High-frequency ventilation for acute lung injury and ARDS. Chest. 2000;118:795.

126 Lacroix J., et al. Transfusion strategies for patients in pediatric intensive care units. New Engl J Med. 2007;356:1609-1619.

127 Lee C.C., et al. Outcome of vocal cord paralysis in infants. Acta Paediatr Taiwan. 2004;45:278-281.

128 Lee L.K., Mao C., Thompson K.M. Demographic factors and their association with outcomes in pediatric submersion injury. Acadc Emerg Med. 2006;13:308.

129 Levin D. Morphological analysis of the pulmonary vascular bed in congenital left-sided diaphragmatic hernia. J Pediatr. 1978;92:805-809.

130 Levin D.L., et al. A prospective, randomized controlled blinded study of three bronchodilators in infants with respiratory syncytial virus bronchiolitis on mechanical ventilation. Pediatr Crit Care Med. 2008;9:598-604.

131 Levin D.L. Near-drowning. Crit Care Med. 1980;8:590-595.

132 Levin D.L., et al. Persistent pulmonary hypertension of the newborn. J Pediatr. 1976;89:626-630.

133 Levin D.L., Tribuzio W., Green-Wrzesinkit T. Empiric antibiotics are justified for infants with respiratory syncytial virus lower respiratory tract infection presenting with respiratory failure. A prospective slides and evidence review. Pediatr Crit Care Med. 2010;11:289-294.

134 Little L.A., Koenig J.C., Newth C.J.L. Factors affecting accidental extubations in neonatal and pediatric intensive care patients. Crit Care Med. 1990;18:163.

135 Lloyd T.C. Effect of inspiration on inferior vena caval blood flow in dogs. J Appl Phyisol. 1983;55:1701-1708.

136 Lodato R.F. Oxygen toxicity. Crit Care Clin. 1990;6:749.

137 Loh L.E., Chan Y.H., Chan I. Noninvasive ventilation in children: a review. J Pediatr (Rio J). 2007;83:S91.

138 Loughead J.L., et al. Reducing accidental extubation in neonates. Jt Comm J Qual Patient Saf. 2008;34:164-170.

139 Luten R.C., et al. Length-based endotracheal tube and emergency equipment in pediatrics. Ann Emerg Med. 1992;21:900.

140 Macintyre N.R. Principles of mechanical ventilation. In: Mason R.J., editor. Murray and Nadel's texbook of respiratory medicine. Philadelphia: Elsevier, 2005.

141 Maclntyre N.R. Pressure support ventilation: effects on ventilatory reflexes and ventilatory-muscle workloads. Respir Care. 1987;32:447.

142 Magnus V.S., Turkington L. Communication interaction in ICU—patient and staff experiences and perceptions. Intensive Crit Care Nursing. 2006;22:167-180.

143 Mallick M.S., et al. Late presentation of tracheobronchial foreign body aspiration in children. Pediatrics. 2005;51:145-148.

144 Mancebo J., et al. A multicenter trial of prolonged prone ventilation in severe acute respiratory distress syndrome. Am J Respir Crit Care Med. 2006;173:1233.

145 Mannix R., Bachur R. Status asthmaticus in children. Curr Opin Pediatr. 2007;19:281-287.

146 Marcin J.P., et al. Nurse staffing and unplanned extubation in the pediatric intensive care unit. Pediatr Crit Care Med. 2005;6:254-257.

147 Marini J.J. Mechanical ventilation. Curr Pulmonol. 1988;9:164.

148 Markovitz B.P., Randolph A.G., Khemani R.G. Corticosteroids for the prevention and treatment of post-extubation stridor in neonates, children and adults. Cochrane Database Sys Rev. 2(CD001000), 2008.

149 Marraro G.A. Innovative practices of ventilatory support with pediatric patients. Pediatr Crit Care Med. 2003;4:8.

150 Martins R.H.G., et al. Endoscopic findings in children with stridor. Braz J Otorhinolaryngol. 2006;72:649.

151 McClave S.A., et al. Poor validity of residual volumes as a marker for risk of aspiration in critically ill patients. Crit Care Med. 2005;33:324.

152 McNamara V.M., Crabbe D.C.G. Traceomalacia. Paediatr Respir Rev. 2004;5:147.

153 Meert K.L., Daphtary K.M., Metheny N.A. Gastric vs small bowel feeding in critically ill children receiving mechanical ventilation. Chest. 2004;126:872-878.

154 Meissner H.C. Selected populations at increased risk from respiratory syncytial virus infection. Pediatr Infect Dis J. 2003;22:S40.

155 Mercier J., Dauger S., Durand Javouey E. Acute respiratory distress syndrome. In: Fuhrman B.P., Zimmerman J., editors. Pediatric critical care. Philadelphia: Mosby-Elsevier, 2006.

156 Meyer R.J., Theodorou A.A., Berg R.A. Childhood drowning. Pediatr Rev. 2006;27:163.

157 Mhanna M.J., et al. The “air leak” test around the endotracheal tube, as predictor of postextubation stridor, is age dependent in children. Crit Care Med. 2002;30:2639-2643.

158 Michelow I.C., et al. Epidemiology and clinical characteristics of community-acquired pneumonia in hospitalized children. Pediatrics. 2004;113:701.

159 Michiels J.J., et al. Noninvasive exclusion and diagnosis of pulmonary embolism by sequential use of the rapid ELISA d-dimer assay, clinical score and spiral CT. Int Angiol. 2003;22:1-14.

160 Mitchell R.B., Kelly J. Adenotonsillectomy for obstructive sleep apnea in obese children. Otolaryngol Head Neck Surg. 2004;131:104-108.

161 Mitra A., Bassler D., Ducharme F.M. Intravenous aminophylline for acute severe asthma in children over 2 years of age using inhaled bronchodilators. Cochrane Database Syst Rev. 4(CD001276), 2001.

162 Miyamoto R.C., et al. Bilateral congenital vocal cord paralysis: a 16 year institutional review. Otolaryngol Head Neck Surg. 2005;133:241-245.

163 Möller J.C., et al. Treatment with bovine surfactant in severe acute respiratory distress syndrome in children: a randomized multicenter study. Intensive Care Med. 2003;29:437.

164 Moore M., Little P. Humidified air inhalation for treating croup. Cochrane Database Syst Rev. 3(CD002870), 2006.

165 Morris L.G., Zoumalan R.A., Roccaforte J.D., et al. Monitoring tracheal tube cuff pressures in the intensive care unit: a comparison of digital palpation and manometry. An Otol Rhinol Laryngol. 2007;116:639-642.

166 Morrow B., Futter M., Argent A. Effect of endotracheal suction on lung dynamics in mechanically-ventilated paediatric patients. Aust J Physiother. 2006;52:121-126.

167 Myers T.R. Use of heliox in children. Respir Care. 2006;51:6.

168 National Heart, Lung, and Blood Institute Acute Respiratory Distress Syndrome (ARDS) Clinical Trials Network, et al. Comparison of two fluid-management strategies in acute lung injury. N Engl J Med. 2006;354:2564-2575.

169 Nawab U.S., et al. Heliox attenuates lung inflammation and structural alterations in acute lung injury. Pediatr Pulmonol. 2005;40:524-532.

170 Nelson H.S., et al. Improved bronchodilation with levalbuterol compared with racemic albuterol in patients with asthma. J Allergy Clin Immunol. 1998;102:943-952.

171 Newth C.J., et al. The use of cuffed versus uncuffed endotracheal tubes in pediatric intensive care. J Pediatr. 2004;144:333.

172 New C.J., et al. Eunice Shriver Kennedy National Institute of Child Health and Human Development Collaborative Pediatric Critical Care Research Network. Weaning and extubation readiness in pediatric patients. Pediatr Crit Care Med. 2009;10:1-11.

173 Noda A.K., et al. Beneficial effect of bilevel positive airway pressure on left ventricular function in ambulatory patients with idiopathic dilated cardiomyopathy and central sleep apnea-hypopnea: a preliminary study. Chest. 2007;131:1694.

174 Northway W., Rosan R., Porter D. Pulmonary disease following respiratory therapy of hyaline membrane disease. N Engl J Med. 1967;276:357.

175 Olshaker J.S. Submersion. Emerg Med Clin North Am. 2004;22:357-367.

176 Openshaw P.J.M. Potential therapeutic implications of new insights into respiratory syncytial virus disease. Respir Res. 2002;3:S15.

177 Paintal H.S., Kuschner W.G. Aspiration syndromes: 10 clinical pearls every physician should know. Int J Clin Pract. 2007;61:846-852.

178 Panitch H.B. Viral respiratory infection in children with technology dependence and neuromuscular disorders. Pediatr Infect Dis J. 2004;23:S222.

179 Parakininkas D., Rice T.B. Pneumonitis and Interstitial Lung Disease. In: Fuhrman B.P., Zimmerman J.J., editors. Pediatric critical care. Philadelphia: Mosby, 2006.

180 Paz-Priel I., et al. Thromboembolic events in children and young adults with pediatric sarcoma. J Clin Oncol. 2007;25:1519-1524.

181 Pelosi P., et al. Effects of the prone position on respiratory mechanics and gas exchange during acute lung injury. Am J Respir Crit Care Med. 1998;157:387.

182 Perket E.A. Lung Growth in Infancy and Childhood. In Rudolph C.D., et al, editors: Rudolph's pediatrics, ed 21, New York: McGraw-Hill, 2003.

183 Peter J.V., Chacko B., Moran J.L. Comparison of closed endotracheal suction versus open endotracheal suction in the development of ventilator-associated pneumonia in intensive care units: an evaluation using meta-analytic techniques. Indian J Sci. 2007;61:201-211.

184 Peters J., Kindred M.K., Robotham J.L. Transient analysis of cardiopulmonary interactions. I. Diastolic events. J Appl Physiol. 1988;64:1506-1517.

185 Peters J., Kindred M.K., Robotham J.L. Transient analysis of cardiopulmonary interaction. II. Systolic events. J Appl Physiol. 1988;64:1518-1526.

186 Petty T.L. A historical perspective of mechanical ventilation. Crit Care Clin. 1990;6:489.

187 Phipps L.M., et al. Prospective assessment of guidelines for determining appropriate depth of endotracheal tube placement in children. Pediatr Crit Care Med. 2005;6:519.

188 Popernack M.L., Thomas N.J., Lucking S.E. Decreasing unplanned extubations: utilization of the Penn State Children's Hospital sedation algorithm. Pediatr Crit Care Med. 2004;5:58-62.

189 Prakash O., Meij S. Cardiopulmonary response to inspiratory pressure support during spontaneous ventilation vs conventional ventilation. Chest. 1985;88:403.

190 Priestly M.A., Helfaer M.A. Approaches in the management of acute respiratory failure in children. Curr Opin Pediatr. 2004;16:293.

191 Putensen C., et al. The impact of spontaneous breathing during mechanical ventilation. Curr Opin Crit Care. 2006;12:13.

192 Raffini L., et al. A prospective observational study of IVC filters in pediatric patients. Pediatr Blood Cancer. 2008;51:517-520.

193 Rajpurkar M., et al. Pulmonary embolism—experience at a single children's hospital. Thromb Res. 2007;119:699-703.

194 Ralston M., et al. PALS provider manual and student CD. Dallas: American Heart Association, 2006.

195 Randolph A.G., et al. Cumulative fluid intake minus output is not associated with ventilator weaning duration or extubation outcomes in children. Pediatr Crit Care Med. 2005;6:642.

196 Randolph A.G., et al. Effect of mechanical ventilator weaning protocols on respiratory outcomes in infants and children: a randomized controlled trial. J Am Med Assoc. 2002;288:2561.

197 Ream R.S., et al. Association of nursing workload and unplanned extubations in a pediatric intensive care unit. Pediatr Crit Care Med. 2007;8:366-371.

198 Reid C., Chan L., Tweeddale M. The who, where, and what of rapid sequence intubation: prospective observational study of emergency RSI outside the operating theatre. Emer Med J. 2004;21:296.

199 Rich J.M., et al. The critical airway, rescue ventilation and the combitube: part 1. AANA J. 2004;72:17.

200 Roosevelt G. Infectious upper airway obstruction. In: Berhman R.E., Kliegman R.M., Jenson H.B., editors. Nelson textbook of pediatrics. Philadelphia: Saunders, 2004.

201 Roosevelt G.E. Acute Inflammatory upper airway obstruction (croup, epiglottitis, laryngitis, and bacterial tracheitis). In: Kleigman R.M., et al, editors. Nelson textbook of pediatrics. Philadelphia: Saunders, 2007.

202 Rosenberg A.A. The Neonate. In: Gabbe S.G., et al, editors. Obstetrics: normal and problem pregnancies. Philadelphia: Churchill Livingston, 2007.

203 Rothe C.F. Mean circulatory filling pressure: its meaning and measurement. J Appl Physiol. 1993;74:499.

204 Rotta A.T., Steinhorn D.M. Conventional mechanical ventilation in pediatrics. J Pediatr. 2007;83:S100-S108.

205 Royall J.A., Levin D.L. Adult respiratory distress syndrome in pediatric patients, I: clinical aspects, pathophysiology, and mechanisms of lung injury. J Pediatr. 1988;112:169.

206 Rubens D., Schenkman K.A., Martin L.D. Noninvasive monitoring in children. In Fuhrman B.P., Zimmerman J., editors: Pediatric critical care, ed 3, Philadelphia: Mosby-Elsevier, 2006.

207 Russell K., et al. Glucocorticoids for croup. Cochrane Database of Syst Rev. 1(CD001955), 2004.

208 Santamore W.P., Gray L. Significant left ventricular contributions to right ventricular systolic function. Chest. 1995;107:1134-1145.

209 Saragin M.J., et al. Rapid sequence intubation for pediatric emergency airway management. Pediatr Emerg Care. 2002;18:417.

210 Sarnaik A.P., et al. Pressure-controlled ventilation in children with status asthmaticus. Pediatr Crit Care Med. 2004;5:133-138.

211 Sarrell E.M., et al. Nebulized 3% hypertonic saline solution treatment in ambulatory children with viral bronchiolitis decreases symptoms. Chest. 2002;223:2015.

212 Scharf S.M., Ingram R.H.Jr. Influence of abdominal pressure and sympathetic vasoconstriction of the cardiovascular response to positive end-expiratory pressure. Am Rev Respir Dis. 1977;116:661-670.

213 Schuerer D.J.E., et al. Extracorporeal membrane oxygenation current clinical practice, coding and reimbursement. Chest. 2008;134:179.

214 Sectish T.C., Prober C.G. Pneumonia. In: Kliegman R.M., Behrman R.I., Stanton B.F., editors. Nelson textbook of pediatrics. Philadelphia: Elsevier, 2008. Available at: http:www.mdconsult.com/das/book/body/100677694-7/730226910/1608/939.html Accessed July 29

215 Sersar S.I., et al. Inhaled foreign bodies: presentation, management and value of history and plain chest radiography in delayed presentation. Head Neck Surg. 2006;134:92-99.

216 Severinghaus J.W. History of measuring O2 and CO2 responses. Adv Exp Med Biol. 2008;605:3-8.

217 Shah P.S., Ohlsson A., Shah J.P. Continuous negative extrathoracic pressure or continuous positive airway pressure for acute hypoxemic respiratory failure in children. Cochrane Database Syst Rev. 1(DC003699), 2008.

218 Shah R.K., Roberson D.W., Jones D.T. Epiglottitis in the Hemophilus influenzae type B vaccine era: changing trends. Laryngoscope. 2004;114:557.

219 Shah S., Sharieff G.Q. Pediatric respiratory infections. Emerg Med Clin North Am. 2007;25:961-979.

220 Shapiro B.A., Cane R.D., Harrison R.A. Positive end-expiratory pressure therapy in adults with special reference to acute lung injury: a review of the literature and suggested clinical correlations. Crit Care Med. 1984;12:127.

221 Shekerdemian L.S., et al. Cardiorespiratory responses to negative pressure ventilation after tetralogy of Fallot repair: a hemodynamic tool for patients with a low-output state. J Am Coll Cardiol. 1999;33:549-555.

222 Siempos I.I., Vardakas K.Z., Falagas M.E. Closed tracheal suction systems for prevention of ventilator associated pneumonia. Br J Anaesth. 2008:299-306.

223 Siempos I.I., et al. Impact of passive humidification on clinical outcomes of mechanically ventilated patients: a meta-analysis of randomized controlled trials. Crit Care Med. 2007;35:2843-2851.

224 Silvestri J.M., Weese-Mayer D.E. Apnea and SIDS. In: Rudolph C.D., et al, editors. Rudolph's pediatrics. ed 21. New York: McGraw-Hill; 2003:1934-1937.

225 Simoes E.A. Environmental and demographic risk factors for respiratory syncytial virus lower respiratory tract disease. J Pediatr. 2003;143(5 Suppl.):S118.

226 Singer M., et al. Oxygen toxicity in man: a prospective study in patients after open heart surgery. N Engl J Med. 1970;283:1473.

227 Smith M.M., et al. Flexible fiber-optic laryngoscopy in the first hours after extubation for the evaluation of laryngeal lesions due to intubation in the pediatric intensive care unit. J Pediatr Otorhinolaryngol. 2007;71:1423-1428.

228 Stahlman M.T. Clinical description of bronchopulmonary dysplasia. J Pediatr. 1979;8:829.

229 Staworn D., et al. Brain death in pediatric intensive care unit patients: incidence, primary diagnosis, and the clinical occurrence of Turner's triad. Crit Care Med. 1994;22:1301-1305.

230 Steinhorn R.H., Green T.P. Use of extracorporeal membrane oxygenation in the treatment of respiratory syncytial virus bronchiolitis: the national experience, 1983 to 1988. J Pediatr. 1990;116:338-342.

231 Stensballe L.G., et al. Atopic disposition, wheezing and subsequent respiratory syncytial virus hospitalization in Danish children younger than 18 months: a nested case-control study [electronic version]. Pediatrics. 2006;118:1360.

232 Subirana M., Solà I., Benito S. Closed tracheal suction systems versus open tracheal suction systems for mechanically ventilated adult patients. Cochrane Database Syst Rev. 4, 2007. Art. No.: CD004581. Doi: 10.1002/14651858.CD004581.pub2

233 Sur J.P., Garg R.K., Jolly N.J. Rheolytic percutaneous thrombectomy for acute pulmonary embolism in a pediatric patient. Catheter Cardiovasc Interv. 2007;70:450-453.

234 Suter P.M., Fairley B., Isenberg M.D. Optimum end-expiratory airway pressure in patients with acute pulmonary failure. N Engl J Med. 1975;292:284.

235 Swaniker F., et al. Extracorporeal life support outcome for 128 pediatric patients with respiratory failure. J Pediatric Surgery. 2000;35:197.

236 Takata M., Robotham J.L. Ventricular external constraint by the lung and pericardium during positive end-expiratory pressure. Am Rev Respir Dis. 1991;143:872-875.

237 Teague W.G. Noninvasive positive pressure ventilation: current status in paediatric patients. Paediatr Respir Rev. 2005;6:52-60.

238 Teboul J.L., et al. Estimating cardiac filling pressure in mechanically ventilated patients with hyperinflation. Crit Care Med. 2000;28:3631-3636.

239 Telford K., et al. Outcome after neonatal continuous negative-pressure ventilation: follow-up assessment. Lancet. 2006;367:1080.

240 The Red Book Online: Summaries of Infectious Diseases, Staphylococcal Infections. 2011. http://aapredbook.aappublications.org/cgi/content/full/2006/1/3.121 Accessed on June 30

241 Thierbach A.R., Pieipho T., Maybauer M. The easytube for airway management in emergencies. Prehosp Emerg Care. 2005;9:445.

242 Thill P.J., et al. Noninvasive positive-pressure ventilation in children with lower airway obstruction. Pediatr Crit Care Med. 2004;5:337-342.

243 Thompson A.E. Pediatric airway management. In: Fuhrmans B.P., Zimmerman J., editors. Pediatric critical care. Philadelphia: Mosby, 2006.

244 Thompson J., Jaffe M. Capnographic waveforms in the mechanically ventilated patient. Respir Care. 2005;50:100-109.

245 Tingay D.G., et al. Effects of open endotracheal suction on lung volume in infants receiving HFOV. Intensive Care Med. 2007;33:689-693.

246 Tobias J.D., Meyer D.J. Noninvasive monitoring of carbon dioxide during respiratory failure in toddlers and infants: end-tidal versus transcutaneous carbon dioxide. Anesth Analg. 1997;85:55-58.

247 Todisco T., et al. Treatment of acute exacerbations of chronic respiratory failure: integrated use of negative pressure ventilation and noninvasive positive pressure ventilation. Chest. 2004;125:2217.

248 Tokar B., Ozkan R., Ilhan H. Tracheobronchial foreign bodies in children: importance of accurate history and plain chest radiography in delayed presentation. Clin Radiol. 2004;59:609-615.

249 Tooley W.H. Epidemiology of bronchopulmonary dysplasia. J Pediatr. 1979;85:851.

250 Truong M.T., et al. Pediatric vocal fold paralysis after cardiac surgery: rate of recovery and sequelae. Otolaryngol Head Neck Surg. 2007;137:780-784.

251 Truwit J.D., Marini J.D. Evaluation of thoracic mechanics in the ventilated patient, I: primary measurements. J Crit Care. 1988;3:133.

252 Tsugawa J., et al. Development of acquired tracheal stenosis in premature infants due to prolonged endotracheal intubation: etiologic considerations and surgical management. Pediatr Surg Int. 2006;22:887-890.

253 Turner D.A., Arnold J.H. Insights in pediatric ventilation: timing of intubation, ventilatory strategies, and weaning. Curr Opin Crit Care. 2007;13:57.

254 Turner G.R., Levin D.L. Improvement of neurological status after pediatric near-drowning accidents. Crit Care Med. 1985;13:1080.

255 Tyler D.C. Positive end-expiratory pressure: a review. Crit Care Clin. 1983;11:300.

256 Ukleja A., Sanchex-Fermin M. Gastric versus post-pyloric feeding: relationship to tolerance, pneumonia risk, and successful delivery of nutrition. Curr Gastroenterol Rep. 2007;9:309-316.

257 Vaughan D.J., Brogan T.V. Ventilation/perfusion mismatch. In Fuhrman B.P., Zimmerman J., editors: Pediatric critical care, ed 3, Philadelphia: Mosby-Elsevier, 2006.

258 Venkataraman S.T., Khan N., Brown A. Validation of predictors of extubation success and failure in mechanically ventilated infants and children. Crit Care Med. 2000;28:2991.

259 Venkataraman S.T. Mechanical ventilation and respiratory care. In: Fuhrman B.P., Zimmerman J.J., editors. Pediatric critical care. ed 4. Philadelphia: Mosby Elsevier; 2011:657-688.

260 Venkataraman S.T. Mechanical ventilation and respiratory care. In: Fuhrman B.P., Zimmerman J.J., editors. Pediatric critical care. ed 4. Philadelphia: Mosby Elsevier; 2011:657-688.

261 Villar J., et al. A high positive end expiratory pressure, low tidal volume ventilatory strategy improves outcome in persistent acute respiratory distress syndrome: a randomized, controlled trial. Crit Care Med. 2006;34:1311.

262 Villeneuve E.J., Zed P.J. Nebulized magnesium sulfate in the management of acute exacerbations of asthma. Ann Pharmacother. 2006;40:1118-1124.

263 Ware L.B., et al. Pathogenetic and prognostic significance of altered coagulation and fibrinolysis in acute lung injury/acute respiratory distress syndrome. Crit Care Med. 2007;35:1821.

264 Ware L.B., Matthay M.A. The acute respiratory distress syndrome. N Engl J Med. 2000;342:1334.

265 Ware L.B., Matthay M.A. Clinical practice. Acute pulmonary edema. N Engl J Med. 2005;353(26):2788-2796.

266 Weber J.E., et al. A randomized comparison of helium-oxygen mixture (heliox) and racemic epinephrine for the treatment of moderate to severe croup. Pediatrics. 107(E96), 2001. Available at: http://www.pediatrics.org/cgi/content/full/107/6/e96 Accessed April 8, 2008

267 Weber T.R., Keller M.S., Fiore A. Aortic supspension (aortopexy) for severe tracheomalacia in infants and children. Amer J Surg. 2002;184:573.

268 Webster H.F. Weaning from mechanical ventilation. In: Verger J.T., Lebet R.M., editors. AACN procedure manual for pediatric acute and critical care. St Louis: Saunders-Elsevier, 2008.

269 Weiss M., et al. Tracheal tube displacement in children during head-neck movement—a radiological assessment. Br J Anaesth. 2006;96:486-491.

270 Welliver R.C. Review of epidemiology and clinical risk factors for severe respiratory syncytial virus (RSV) infection. J Pediatr. 2003;143(5 Suppl.):S112.

271 West J.B.: Gas transport by the blood. . Pulmonary pathophysiology: the essentials. ed 7, Baltimore; Lippincott Williams & Wilkins:2008

272 West J.B. Challenges in teaching the mechanics of breathing to medical and graduate students. Adv Physiol Educ. 2008;32:177-184.

273 Westley C.R., Cotton E.K., Brooks J.G. Nebulized racemic epinephrine by IPPB for the treatment of croup. Am J Dis Child. 1978;132:484.

274 Wheeler D.S., Dauplaise D.J., Giuliano J.S. An infant with fever and stridor. Pediatr Emerg Care. 2008;24:46.

275 Wheeler D.S., et al. Theophylline versus terbutaline in treating critically ill children with status asthmaticus: a prospective, randomized, controlled trial. Pediatr Crit Care Med. 2005;6:204-211.

276 Willson D.F., et al. Effect of exogenous surfactant (calfactant) in pediatric acute lung injury: a randomized controlled trial. J Am Med Assoc. 2005;293:470.

277 Wilson J., et al. Noninvasive monitoring of carbon dioxide in infants and children with congenital heart disease: end-tidal versus transcutaneous techniques. J Intensive Care Med. 2005;20:291-295.

278 Wratney A.T., et al. The endotracheal tube air leak test does not predict extubation outcome in critically ill pediatric patients. Pediatr Crit Care Med. 2008;9:490-496.

279 Wright M.L., Romano M.J. Ventilator-associated pneumonia in children. Sem Pediatr Infectious Dis. 2006;17:58-64.

280 Writing Group for the Christopher Study Investigators. Effectiveness of managing suspected pulmonary embolism using and algorithm combining clinical probability, d-dimer testing and computed tomography. J Am Med Assoc. 2006;295:172-197.

281 Wunsch J., Mapstone J. High-frequency ventilation versus conventional ventilation for treatment of acute lung injury and acute respiratory distress syndrome. Cochrane Database Syst Rev. 1(CD004085), 2004.

282 Youngquist S., Gausche-Hill M., Burbulys D. Alternative airway devices for use in children requiring prehospital airway management. Pediatr Emerg Care. 2007;23:250.

283 Yuksel H., et al. A pediatric case of pyomyositis presenting with septic pulmonary emboli. Joint Bone Spine. 2007;74:491-494.

284 Zelicof-Paul A., et al. Controversies in rapid sequence intubation in children. Curr Opin Pediatr. 2005;17:355.

285 Zuckerbraun N.S., Saladino R.A. Pediatric drowning: current management strategies for immediate care. Clin Pediatr Emerg Med. 6, 2005. Available at: http://www.mdconsult.com/das/article/body/101018360-3/jorg=journal&source=&sp=15573844&sid=731277684/N/473050/1.html?issn=1522-8401 Accessed July 28, 2008