30 HAEMOPTYSIS: WHAT TO LOOK FOR

Haemoptysis: Coughing up blood or blood stained sputum.
Massive haemoptysis: Definitions vary1,2. Typically — coughing up more than 200 ml blood in 24 hours (approximately one cup).
Mild haemoptysis: Some blood in the sputum…often spotting or a few ml only.
Pseudohaemoptysis: Spitting up blood that has not originated from the lower respiratory tract.

Some patients referred from primary care with suspected haemoptysis have had a pseudohaemoptysis. A patient will often have difficulty in distinguishing between blood resulting from epistaxis, gingivitis, gastrointestinal haemorrhage…and blood originating from the lower respiratory tract.

RELEVANT ARTERIAL ANATOMY3-5

An understanding of the dual blood supply to the lungs explains the differing origins of mild and massive haemoptysis (Table 30.1).

Table 30.1 Importance of the arterial supply to the lung.

Artery Capillary contact Clinical relevance
Pulmonary
image Alveolar
image Main function: gas exchange
image Low pressure from the right ventricle
image Haemoptysis occurs when the pathological process actually involves a pulmonary artery (e.g. pulmonary embolism).
image Massive haemoptysis is rare.
Bronchial
image An extensive plexus in intimate contact with the entire bronchial tree
image Main function: lung nutrition
image High pressure from the aorta
image Haemoptysis can result from any disease which affects the bronchi or the bronchioles.
image A massive haemoptysis usually arises from a disease process affecting the bronchial arteries (e.g. bronchiectasis).

The lung has two distinctive and separate blood supplies (Fig. 30.1):

image Low pressure pulmonary arteries which end in a network of capillaries supplying the alveoli only.
image High pressure bronchial arteries arising from the aorta. Their sites of origin can vary—usually from the proximal descending aorta. Typically, two bronchial arteries supply the left lung and a single bronchial artery supplies the right lung. These arteries feed the bronchial walls up to and including the terminal bronchioles. They also supply the connective tissue of the lung as well as the visceral pleural membrane.
image

Figure 30.1 The two separate blood supplies to the lungs. The bronchial arteries (high pressure) arise from the aorta. The pulmonary arteries (low pressure) arise from the right side of the heart.

CAUSES OF HAEMOPTYSIS1-3,5-11

The patient who coughs up blood has one overwhelming fear—that he has cancer. Knowledge of the numerous causes of haemoptysis—and the frequency of their occurrence—is essential (Table 30.2).

Table 30.2 Causes of haemoptysis13,511.

Cause Notes
1. Infection
 
image Acute bronchitis
image Pneumonia
image Lung abscess
image Tuberculosis
image Bronchiectasis
Common in Europe and North America
Also common
Less common
Less common
Less common
2. Neoplastic
 
 
image Bronchial carcinoma
image Other lung tumours
Haemoptysis is the presenting symptom in approximately 50% of primary carcinomas
Metastatic carcinoma. Particularly: breast, kidney, colon, oesophagus, choriocarcinoma
3. Pulmonary embolism
4. Cardiac
 
image Mitral valve disease
image Congestive heart failure
The haemoptysis is usually mild and the expectorate is often described as pink and frothy
5. Vascular
 
 
image Vasculitis
Wegener’s granulomatosis
Systemic lupus erythematosis
 
 
image Idiopathic pulmonary haemosiderosis
image Arterio-venous malformation
Rare. Presents in childhood
6. Trauma to the thorax
Lung contusion or penetrating injury
7. Drugs
 
image Aspirin/warfarin/cocaine/penicillamine
 
8. Glomerular inflammation
Goodpasture’s syndrome
9. Catamenial haemoptysis (menstrual-related)
Monthly. A very rare cause in young women
10. UNEXPLAINED
Figures vary. As many as 20% of all patients presenting with haemoptysis6
image

Figure 30.2 Haemoptysis due to acute bronchitis. The bronchial arteries arise from the aorta and nourish the walls of the inflamed bronchi. Inflammation around and involving the bronchial arterial capillaries can cause a mild haemoptysis.

image

Figure 30.3 Haemoptysis due to bronchiectasis. The chronic inflammation can cause localised proliferation of the bronchial arteries; these vessels may become friable and cause a mild haemoptysis. Sometimes the bronchial arteries are actually eroded by the inflammatory process and a massive haemoptysis results.

image

Figure 30.4 Haemoptysis due to pulmonary tuberculosis. The high pressure bronchial arteries can be eroded by the tuberculous inflammation. In this example a cavity has involved a bronchial artery, and a potentially massive haemoptysis could result. Erosion of low pressure pulmonary arteries or capillaries may also occur in chronic tuberculosis.

image

Figure 30.5 Haemoptysis due to pulmonary thromboembolic disease. Emboli have lodged in the low pressure pulmonary arterial circulation. An embolus may cause a mild or moderate haemoptysis.

CLINICAL INVESTIGATION/MANAGEMENT

(1) MASSIVE HAEMOPTYSIS: RARE BUT AN EMERGENCY

Massive haemoptysis is arbitrarily defined as coughing up more than a cup of blood (200 ml) in 24 hours. This is a medical emergency and necessitates immediate hospital admission and in-patient investigation and treatment.

image The causes of massive haemoptysis are shown in Table 30.3. High pressure (i.e. aortic pressure) vessels are eroded. Severe haemorrhage results.
image Usually, the pathology involves the bronchial artery circulation. Asphyxiation by blood is a serious risk.
image Blood transfusion and embolisation of the affected artery may be necessary.

Table 30.3 Causes of massive haemoptysis1.

Common Uncommon
image Bronchiectasis
image Cystic fibrosis
image Tuberculosis
image Lung abscess
image Aspergilloma
image Pulmonary contusion/trauma
image Invasive aspergillosis
image Mitral stenosis
image Pulmonary arteriovenous malformation
image Arterial fistula with an airway
image Bleeding diathesis
image Inhaled foreign body

(2) MILD HAEMOPTYSIS: MUCH MORE COMMON

Mild haemoptysis is defined as some blood in the sputum…generally a little spotting or a few millilitres only.

image Mild haemoptysis is relatively common.
image The most frequent causes are acute bronchitis, pneumonia, bronchial carcinoma, bronchiectasis, and pulmonary embolism.
image The prevalence of these diseases varies from country to country.
image The patient can be investigated as an outpatient.
image The CXR (frontal and lateral projections obtained as a pair) can have an important impact on the further management of the individual patient.

The vast majority of patients presenting with a mild haemoptysis and who have normal frontal—and lateral—CXRs have benign disease. A management algorithm can be constructed based on the CXR findings (Table 30.4).

Table 30.4 Investigation/management of mild haemoptysis.

image

THE CXR: ABNORMAL AND NORMAL

CXR ABNORMAL (1) PROBABLE CAUSE SUGGESTED

Examples (Figs 30.6-30.9) include pneumonia, pulmonary oedema (heart failure), bronchial carcinoma, metastatic lung disease, bronchiectasis and traumatic pulmonary contusion.

image

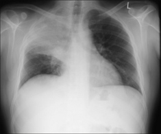
Figure 30.6 Mild haemoptysis. Due to infection. Lobar pneumonia.

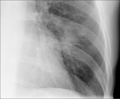
image

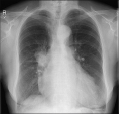
Figure 30.7 Haemoptysis due to a bronchial carcinoma. A central tumour at the right hilum. In most instances of haemoptysis resulting from a lung carcinoma the bleeding is mild and caused by the tumour eroding small vessels.

image

Figure 30.8 Haemoptysis in a young patient with cystic fibrosis. The CXR shows extensive bronchiectasis: ring shadows (cystic dilatation of bronchi) and tramline shadows (bronchial wall thickening). The chronic inflammation erodes friable mucosal vessels and causes bleeding.

image

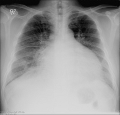
Figure 30.9 Haemoptysis secondary to elevated pulmonary venous pressure. In this case due to mitral valve disease. The sputum was pink and frothy rather than red.

CXR ABNORMAL (2) POSSIBLE CAUSE SUGGESTED

Examples (Figs 30.10-30.13):

image Tuberculosis…from the distribution and features of the shadowing (p. 134).
image Bronchiectasis (if minor/subtle CXR abnormality, p. 322)9.
image Solitary pulmonary nodule (SPN) suggests bronchial carcinoma, or metastasis, or a rarity such as Wegener’s granulomatosis.
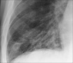
image

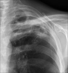
Figure 30.10 Haemoptysis due to post-primary tuberculosis at the left apex. The chronic inflammation has caused erosion of friable vessels. The bronchial arterial or the pulmonary arterial circulation may be affected.

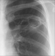
image

Figure 30.11 Mild haemoptysis due to bronchiectasis. The crowding of vessels and the prominent tramlines (thickened bronchial walls) at the right base raised the suggestion of bronchiectasis. Bronchiectasis was subsequently confirmed on CT.

image

Figure 30.12 Mild haemoptysis due to a SPN in the left lower zone. This SPN was a primary bronchial carcinoma.

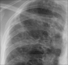
image

Figure 30.13 Mild haemoptysis due to Wegener’s granulomatosis. Necrotising lesions can erode blood vessels and cause bleeding. This left mid/upper zone lesion is cavitating.

CXR NORMAL—IMPLICATIONS AND USEFULNESS

image In most patients presenting with a mild haemoptysis and no other symptoms a normal CXR is good news. Remember that a lateral CXR should always be part of the haemoptysis CXR investigation protocol.
image Many patients with a normal CXR will have either acute bronchitis or a pseudohaemoptysis.
image If the haemoptysis recurs then CT and/or bronchoscopy will be indicated (see Table 30.4).
image Any symptom or sign that could be attributable to a pulmonary embolus (PE) means that this must be the default diagnosis—even if the frontal and lateral CXRs appear normal (see Chapter 23).

FACTS AND FIGURES

image A massive haemoptysis—200 ml or more in 24 hours—is most commonly due to an inflammatory condition eroding bronchial artery vessels.
image Mortality from a massive haemoptysis can be as high as 50%5. Death results from asphyxiation because the airways are flooded with blood.
image In the majority of cases of mild haemoptysis the underlying cause is benign and self-limiting10.
image Despite thorough investigation the cause of haemoptysis remains unexplained in a significant number of patients. Figures vary between different series, but may be as many as 20–30% of cases6,11,12.
image Persistent haemoptysis and a normal CXR. Approximately 5% of these patients will have a bronchial carcinoma13.
image The majority of patients with a PE have some abnormality on the CXR. Often minor—but an abnormality is present. Totally and unreservedly normal PA and lateral CXRs makes a PE unlikely14 (see p. 293).

REFERENCES

1. Johnson JL. Manifestations of hemoptysis. How to manage minor, moderate and massive bleeding. Postgrad Med. 2002;112:101-113.

2. Thompson AB, Teschler H, Rennard SI. Pathogenesis, evaluation, and therapy for massive haemoptysis. Clin Chest Med. 1992;13:69-82.

3. Fraser RG, Muller NL, Colman NC, Pare PD. Fraser and Pare’s Diagnosis of Diseases of the Chest, 4th ed. Philadelphia, PA: WB Saunders, 1999.

4. Ryan S, McNicholas M, Eustace S. Anatomy for Diagnostic Imaging, 2nd ed. Philadelphia, PA: WB Saunders, 2004.

5. Marshall TJ, Flower CD, Jackson JE. The role of radiology in the investigation and management of patients with haemoptysis. Clin Radiol. 1996;51:391-400.

6. Santiago S, Tobias J, Williams AJ. A reappraisal of the causes of hemoptysis. Arch Intern Med. 1991;151:2449-2451.

7. Goldman JM. Hemoptysis: Emergency assessment and management. Emerg Med Clin North Am. 1989;7:325-338.

8. Reisz G, Stevens D, Boutwell C, et al. The causes of hemoptysis revisited: a review of the etiologies of hemoptysis between 1986 and 1995. Mo Med. 1997;94:633-635.

9. Gudbjerg CE. Roentgenologic diagnosis of bronchiectasis. An analysis of 112 cases. Acta Radiol. 1955;43:210-226.

10. Corder R. Hemoptysis. Emerg Med Clin North Am. 2003;21:421-435.

11. Bidwell JL, Plachner RW. Hemoptysis: diagnosis and management. Am Fam Physician. 2005;72:1253-1260.

12. Andersen PE. Imaging and interventional radiological treatment of hemoptysis. Acta Radiol. 2006;47:780-792.

13. Lederle FA, Nichol KL, Perenti CM. Bronchoscopy to evaluate hemoptysis in older men with nonsuspicious chest roentgenograms. Chest. 1989;95:1043-1047.

14. Worsley DF, Alavi A, Aronchick JM, et al. Chest radiographic findings in patients with acute pulmonary embolism: observations from the PIOPED study. Radiology. 1993;189:133-136.