Chapter 3 Recognizing Airspace Versus Interstitial Lung Disease

Classifying Parenchymal Lung Disease

image Diseases that affect the lung can be arbitrarily divided into two main categories based in part on their pathology and in part on the pattern they typically produce on a chest imaging study.
Airspace (alveolar) disease
Interstitial (infiltrative) disease
image Why learn the difference?
While many diseases produce abnormalities that display both patterns, recognition of these patterns frequently helps narrow the disease possibilities so that you can form a reasonable differential diagnosis (Box 3-1).

Box 3-1 Classification of Parenchymal Lung Diseases

Airspace Diseases

Acute

Pneumonia
Pulmonary alveolar edema
Hemorrhage
Aspiration
Near-drowning

Chronic

Bronchoalveolar cell carcinoma
Alveolar cell proteinosis
Sarcoidosis
Lymphoma

Interstitial Diseases

Reticular

Idiopathic pulmonary fibrosis
Pulmonary interstitial edema
Rheumatoid lung
Scleroderma
Sarcoid

Nodular

Bronchogenic carcinoma
Metastases
Silicosis
Miliary tuberculosis
Sarcoid

Characteristics of Airspace Disease

imageAirspace disease characteristically produces opacities in the lung that can be described as fluffy, cloudlike, or hazy.

image These fluffy opacities tend to be confluent, meaning they blend into one another with imperceptible margins.
image The margins of airspace disease are indistinct, meaning it is frequently difficult to identify a clear demarcation point between the disease and the adjacent normal lung.
image Airspace disease may be distributed throughout the lungs, as in pulmonary edema (Fig. 3-1), or it may appear to be more localized as in a segmental or lobar pneumonia (Fig. 3-2).
image Airspace disease may contain air bronchograms.
The visibility of air in the bronchus because of surrounding airspace disease is called an air bronchogram.
An air bronchogram is a sign of airspace disease.
image Bronchi are normally not visible because their walls are very thin, they contain air, and they are surrounded by air. When something like fluid or soft tissue replaces the air normally surrounding the bronchus, then the air inside of the bronchus becomes visible as a series of black, branching tubular structures—this is the air bronchogram (Fig. 3-3).
image What can fill the airspaces besides air?
Fluid, such as occurs in pulmonary edema
Blood, e.g., pulmonary hemorrhage
Gastric juices, e.g., aspiration
Inflammatory exudate, e.g., pneumonia
Water, e.g., near-drowning
image

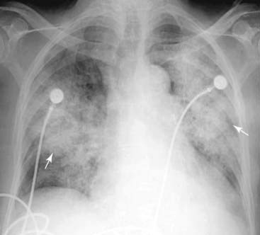
Figure 3-1 Diffuse airspace disease of pulmonary alveolar edema.

Opacities throughout both lungs primarily involve the upper lobes, which can be described as fluffy, hazy, or cloudlike and are confluent and poorly marginated, all pointing to airspace disease. This is a typical example of pulmonary alveolar edema (due to a heroin overdose in this patient).

image

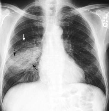
Figure 3-2 Right lower lobe pneumonia.

An area of increased opacification is in the right midlung field (solid black arrow) that has indistinct margins (solid white arrow) characteristic of airspace disease. The minor fissure (dotted black arrow) appears to bisect the disease, locating this pneumonia in the superior segment of the right lower lobe. The right heart border and the right hemidiaphragm are still visible because the disease is not in anatomical contact with either of those structures.

image

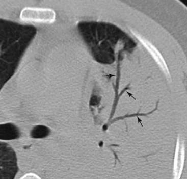
Figure 3-3 Air bronchograms demonstrated on CT scan.

Numerous black, branching structures (solid black arrows) represent air that is now visible inside the bronchi because the surrounding airspaces are filled with inflammatory exudate in this patient with an obstructive pneumonia from a bronchogenic carcinoma. Normally, on conventional radiographs, air inside bronchi is not visible because the bronchial walls are very thin, they contain air, and they are surrounded by air.

imageAirspace disease may demonstrate the silhouette sign (Fig. 3-4).

image The silhouette sign occurs when two objects of the same radiographic density (fat, water, etc.) touch each other so that the edge or margin between them disappears. It will be impossible to tell where one object begins and the other ends. The silhouette sign is valuable not only in the chest but as an aid in the analysis of imaging studies throughout the body.
image The characteristics of airspace disease are summarized in Box 3-2.
image

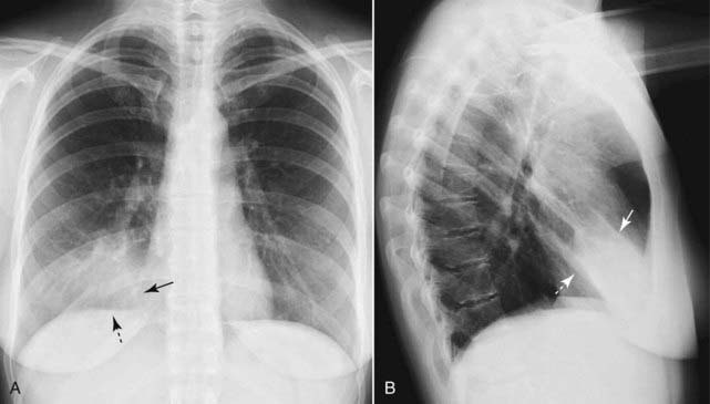
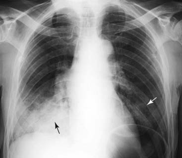
Figure 3-4 Silhouette sign, right middle lobe pneumonia.

A, Fluffy, indistinctly marginated airspace disease is seen to the right of the heart. It obscures the right heart border (solid black arrow) but not the right hemidiaphragm (dotted black arrow). This is called the silhouette sign and establishes that the disease (1) is in contact with the right heart border (which lies anteriorly in the chest) and (2) is the same radiographic density as the heart (fluid or soft tissue). Pneumonia fills the airspaces with an inflammatory exudate of fluid density. B, The area of the consolidation is indeed anterior, located in the right middle lobe, which is bound by the major fissure below (dotted white arrow) and the minor fissure above (solid white arrow).

Box 3-2 Characteristics of Airspace Disease

Produces opacities in the lung that can be described as fluffy, cloudlike, and hazy.
The opacities tend to be confluent, merging into one another.
The margins of airspace disease are fuzzy and indistinct.
Air bronchograms or the silhouette sign may be present.

Some Causes of Airspace Disease

image Three of the many causes of airspace disease are highlighted here and will be described in greater detail later in the text.
image Pneumonia (see also Chapter 7)
About 90% of the time, community-acquired lobar or segmental pneumonia is caused by Streptococcus pneumoniae (formerly known as Diplococcus pneumoniae) (Fig. 3-5).
Pneumonia usually manifests as patchy, segmental, or lobar airspace disease.
Pneumonias may contain air bronchograms.
Clearing usually occurs in less than 10 days (pneumococcal pneumonia may clear within 48 hours).
image Pulmonary alveolar edema (see also Chapter 9)
Acute alveolar pulmonary edema classically produces bilateral, perihilar airspace disease sometimes described as having a bat-wing or angel-wing configuration (Fig. 3-6).
It may be asymmetrical but is usually not unilateral.
Pulmonary edema, which is cardiac in origin, is frequently associated with pleural effusions and fluid that thickens the major and minor fissures.
Because fluid fills not only the airspaces but also the bronchi themselves, usually no air bronchograms are seen in pulmonary alveolar edema.
Classically, pulmonary edema clears rapidly after treatment (<48 hours).
image Aspiration (see also Chapter 7)
Aspiration tends to affect whatever part of the lung is most dependent at the time the patient aspirates, and its manifestations depend on the substance(s) aspirated (Fig. 3-7).
For most bedridden patients, aspiration usually occurs in either the lower lobes or the posterior portions of the upper lobes.
Because of the course and caliber of the right main bronchus, aspiration occurs more often in the right lower lobe than the left lower lobe.
What is aspirated and whether it becomes infected will determine the radiographic appearance of aspiration and how quickly the airspace disease resolves.
Aspiration of bland (neutralized) gastric juice or water usually clears rapidly, within 24 to 48 hours, whereas aspiration that becomes infected can take weeks to resolve.
image

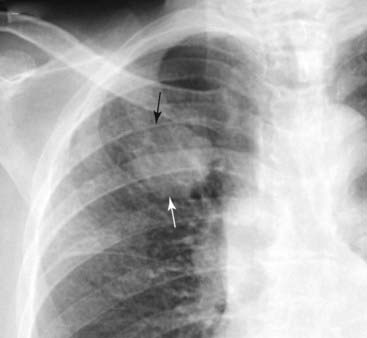
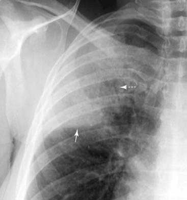
Figure 3-5 Right upper lobe pneumococcal pneumonia.

Close-up view of the right upper lobe demonstrates confluent airspace disease with air bronchograms (dotted white arrow). The inferior margin of the pneumonia is more sharply demarcated because it is in contact with the minor fissure (solid white arrow). This patient had Streptococcus pneumoniae cultured from the sputum.

image

Figure 3-6 Acute pulmonary alveolar edema.

Fluffy, bilateral, perihilar airspace disease with indistinct margins, sometimes described as having a bat-wing or angel-wing configuration, is present (solid white arrows). No air bronchograms are seen. The heart is enlarged. This represents pulmonary alveolar edema secondary to congestive heart failure.

image

Figure 3-7 Aspiration, right and left lower lobes.

An area of opacification in the right lower lobe is fluffy and confluent with indistinct margins characteristic of airspace disease (solid black arrow). To a much lesser extent, a similar density is seen in the left lower lobe (solid white arrow). The bibasilar distribution of this disease should raise the suspicion of aspiration as an etiology. This patient had a recent stroke and aspiration was demonstrated on a video swallowing study.

Characteristics of Interstitial Lung Disease

image The lung’s interstitium consists of connective tissue, lymphatics, blood vessels, and bronchi. These are the structures that surround and support the airspaces.
image Interstitial lung disease is sometimes referred to as infiltrative lung disease.

imageInterstitial lung disease produces what can be thought of as discrete “particles” of disease that develop in the abundant interstitial network of the lung (Fig. 3-8).

image

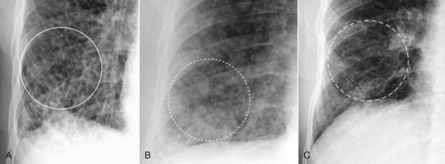
Figure 3-8 The patterns of interstitial lung disease.

A, The disease is primarily reticular in nature, consisting of crisscrossing lines (solid white circle). This patient had advanced sarcoidosis. B, The disease is predominantly nodular (dotted white circle). The patient was known to have thyroid carcinoma, and these nodules represent innumerable small metastatic foci in the lungs. C, Interstitial disease of the lung, reticulonodular. Most interstitial diseases of the lung have a mixture of both a reticular (lines) and nodular (dots) pattern, as does this case, which is a close-up view of the right lower lobe in another patient with sarcoidosis. The disease (dashed white circle) consists of both an intersecting, lacy network of lines and small nodules.

These “particles” of disease can be further characterized as having three patterns of presentation:
image Reticular interstitial disease appears as a network of lines (see Fig. 3-8A).
image Nodular interstitial disease appears as an assortment of dots (see Fig. 3-8B).
image Reticulonodular interstitial disease contains both lines and dots (see Fig. 3-8C).
image These “particles” or “packets” of interstitial disease tend to be inhomogeneous, separated from each other by visible areas of normally aerated lung.
image The margins of “particles” of interstitial lung disease are sharper than the margins of airspace disease that tend to be indistinct.
image Interstitial lung disease can be focal (as in a solitary pulmonary nodule) or diffusely distributed in the lungs (Fig. 3-9).
image Usually no air bronchograms are present, as there may be with airspace disease.
image

Figure 3-9 Varicella pneumonia.

Innumerable calcified granulomas occur in the lung interstitium, here seen as small, discrete nodules in the right lung (white circles). This patient had a history of varicella (chicken pox) pneumonia years earlier. Varicella pneumonia clears with multiple small calcified granulomas remaining.

imagePitfall: Sometimes, so much interstitial disease is present that the overlapping elements of disease may superimpose and mimic airspace disease on conventional chest radiographs. Remember that conventional radiographs are two-dimensional representations of three-dimensional objects (humans) so all of the densities in the lung, for example, are superimposed on themselves on any one projection. This may make the tiny packets of interstitial disease seem coalescent and more like airspace disease.

Solutions: Look at the periphery of such confluent shadows in the lung to help in determining whether they are, in fact, caused by airspace disease or a superimposition of numerous reticular and nodular densities (Fig. 3-10).
Obtain a CT scan of the chest.
The characteristics of interstitial lung disease are summarized in Box 3-3.
image

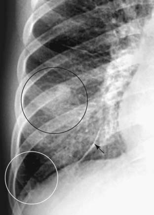
Figure 3-10 The edge of the lesion.

Notice how a portion of this disease appears confluent, like airspace disease (solid black arrow). Always look at the peripheral margins of parenchymal lung disease to best determine the nature of the “packets” of abnormality and to help in differentiating airspace disease from interstitial disease. At the periphery of this disease (black circle), this is more clearly seen to be reticular interstitial disease.

Box 3-3 Characteristics of Interstitial Lung Disease

Interstitial disease has discrete reticular, nodular, or reticulonodular patterns.
“Packets” of disease are separated by normal-appearing, aerated lung.
Margins of “packets” of interstitial disease are usually sharp and discrete.
Disease may be focal or diffusely distributed in the lungs.
Usually no air bronchograms are present.

Some Causes of Interstitial Lung Disease

image Just as with the airspace pattern, there are many diseases that produce an interstitial pattern in the lung. Several will be discussed briefly here. They are roughly divided into those diseases that are predominantly reticular and those that are predominantly nodular.

imageKeep in mind that many diseases have patterns that overlap and many interstitial lung diseases have mixtures of both reticular and nodular changes (reticulonodular disease).

Predominantly Reticular Interstitial Lung Diseases

image Pulmonary interstitial edema
Pulmonary interstitial edema can occur because of increased capillary pressure (congestive heart failure), increased capillary permeability (allergic reactions), or decreased fluid absorption (lymphangitic blockade from metastatic disease).
Considered the precursor of alveolar edema, pulmonary interstitial edema classically manifests four key radiologic findings: fluid in the fissures (major and minor), peribronchial cuffing (from fluid in the walls of bronchioles), pleural effusions, and Kerley B lines.
Classically, the patient may have few physical findings in the lungs (rales) even though their chest radiograph demonstrates considerable pulmonary interstitial edema, because almost all of the fluid is in the interstitium of the lung rather than in the airspaces.
With appropriate therapy, pulmonary interstitial edema usually clears rapidly (<48 hours) (Fig. 3-11).
image Idiopathic pulmonary fibrosis
A disease of unknown etiology, usually occurring in older men who develop cough and shortness of breath.
The early stage is a milder form known as desquamative interstitial pneumonia (DIP) and its findings are usually seen best on high-resolution CT scans of the chest.
Later in the disease, it is called usual interstitial pneumonia (UIP), and there is marked thickening of the interstitium, bronchiectasis, and a pattern of cystic changes in the lung called honeycombing.
UIP is also best demonstrated on high-resolution CT scans of the chest.
Conventional radiographs of the chest may show a fine or, later in the disease, a coarse reticular pattern that is bilaterally symmetrical, most prominent at the bases, subpleural in location and frequently associated with volume loss.
Idiopathic pulmonary fibrosis is considered the end-stage disease along the spectrum of these interstitial pneumonias (Fig. 3-12).
image Rheumatoid lung
Rheumatoid lung disease is found in some patients with rheumatoid arthritis.
The three most common manifestations of rheumatoid lung disease are (in order of decreasing frequency) pleural effusions, interstitial lung disease, and nodules in the lung called necrobiotic nodules.
Pleural effusions are usually unilateral and characteristically remain unchanged in appearance for long periods of time.
Rheumatoid interstitial lung disease is usually reticular, can be seen diffusely throughout the lung, but is usually most prominent at the lung bases.
Necrobiotic nodules are identical to subcutaneous rheumatoid nodules and occur mostly at the lung bases near the periphery of the lung; cavitation is frequent.
Unlike the joint findings of rheumatoid arthritis, which are more common in women, the thoracic manifestations of rheumatoid arthritis are more common in men (Fig. 3-13).
image

Figure 3-11 Pulmonary interstitial edema secondary to congestive heart failure.

A close-up view of the right lung shows an accentuation of the pulmonary interstitial markings (black circle). Multiple Kerley B lines (white circle) represent fluid in thickened interlobular septa. Fluid is seen in the inferior accessory fissure (solid black arrow).

image

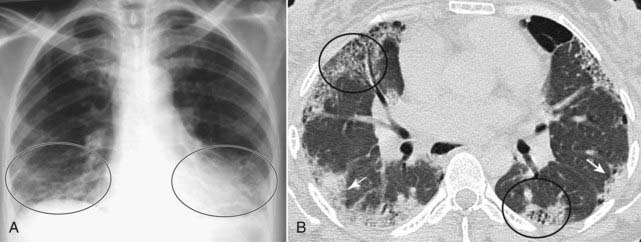
Figure 3-12 Idiopathic pulmonary fibrosis.

Idiopathic pulmonary fibrosis probably represents a spectrum of disease that may begin as desquamative interstitial pneumonia (DIP) and lead to the findings here of usual interstitial pneumonia (UIP). A, coarse reticular interstitial markings represent fibrosis, predominantly at the lung bases (black circles). B, A high-resolution CT scan of the chest shows abnormalities at the lung bases in a subpleural location, the typical distribution for UIP. There are small cystic spaces called honeycombing (black circles) with hazy densities called ground-glass opacities (solid white arrows).

image

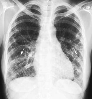
Figure 3-13 Rheumatoid lung.

Prominent markings at both lung bases have a predominantly reticular appearance (solid white arrows). Bibasilar interstitial disease can be found in numerous diseases including bronchiectasis, asbestosis, desquamative interstitial pneumonia (DIP), scleroderma, and sickle cell disease. This patient was known to have rheumatoid arthritis. Pleural effusion is the most common manifestation of rheumatoid lung disease, and pulmonary fibrosis, usually diffuse but more prominent at the bases, is second most common.

Predominantly Nodular Interstitial Diseases

image Bronchogenic carcinoma (see Chapter 12)
Bronchogenic carcinoma has four major cell types: adenocarcinoma, squamous cell carcinoma, small cell carcinoma, and large cell carcinoma.
Adenocarcinomas, in particular, can present as a solitary peripheral pulmonary nodule.
As a rule, on conventional chest radiographs, nodules or masses in the lung are more sharply marginated than airspace disease, producing a relatively clear demarcation between the nodule and the surrounding normal lung tissue.
CT scans may demonstrate spiculation or irregularity of the lung nodule that may not be apparent on conventional radiographs (Fig. 3-14).
image Metastases to the lung
Metastases to the lung can be divided into three categories depending on the pattern of disease demonstrated in the lung: hematogenous, lymphangitic and direct extension.
Hematogenous metastases arrive via the bloodstream and usually produce two or more nodules in the lungs, sometimes called cannonball metastases because of their large, round appearance.
Primary tumor sites that classically produce nodular metastases to the lung include breast, colorectal, renal cell, bladder and testicular, head and neck carcinomas, soft tissue sarcomas, and malignant melanoma (Fig. 3-15A).
The second form of tumor dissemination is lymphangitic spread. The pathogenesis of lymphangitic spread to the lungs is somewhat controversial but most likely involves blood-borne spread to the pulmonary capillaries and then invasion of adjacent lymphatics. An alternative means of lymphangitic spread is obstruction of central lymphatics usually in the hila with retrograde dissemination through the lymphatics in the lung.
Regardless of the mode of transmission, lymphangitic spread to the lung tends to resemble pulmonary interstitial edema from congestive heart failure, except, unlike congestive heart failure, it tends to be localized to a segment or involve only one lung.
Primary tumor sites that classically produce the lymphangitic pattern of metastases to the lung include breast, lung, stomach, pancreatic, and, infrequently, prostate carcinoma.
Findings include: Kerley lines, fluid in the fissures, and pleural effusions (Fig. 3-15B).
Direct extension is the least common form of tumor spread to the lungs because the pleura is surprisingly resistant to the spread of malignancy through direct violation of its layers.
Direct extension would most likely produce a localized subpleural mass in the lung, frequently with adjacent rib destruction (Fig. 3-15C).
image

Figure 3-14 Adenocarcinoma, right upper lobe.

A mass is seen in the right upper lobe (solid white arrow). Its margin is slightly indistinct along the superolateral border (solid black arrow). CT scan of the chest confirmed the presence of the mass and also demonstrated paratracheal and right hilar adenopathy. The mass was biopsied and was an adenocarcinoma, primary to the lung. Adenocarcinoma of the lung most commonly presents as a peripheral nodule.

image

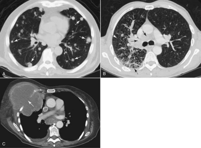
Figure 3-15 Metastases to the lung, CT scans.

A, Multiple discrete nodules of varying size are present throughout both lungs (solid white arrows). The diagnosis of exclusion, whenever multiple nodules are found in the lungs, is metastatic disease. In this case, the metastases were from colon carcinoma. B, The interstitial markings in the right lung are prominent (solid white arrow), there are septal lines (dotted black arrow) and lymphadenopathy (solid black arrows) from lymphangitic spread of a bronchogenic carcinoma. C, In this case, the lung cancer has grown through the chest wall (solid white arrow) and invaded it by direct extension. The pleura usually serves as a strong barrier to the direct spread of tumor.

Mixed Reticular and Nodular Interstitial Disease (Reticulonodular Disease)

image Sarcoidosis
In addition to the bilateral hilar and right paratracheal adenopathy characteristic of this disease, about half of patients with thoracic sarcoid also demonstrate interstitial lung disease.
The interstitial lung disease is frequently a mixture of both reticular and nodular components.
There is a progression of disease in sarcoid that tends to start with adenopathy (Stage I), proceed to a combination of both interstitial lung disease and adenopathy (Stage II), and then progress to a stage in which the adenopathy regresses while the interstitial lung disease remains (Stage III).
Most patients with parenchymal lung disease will undergo complete resolution of the disease (Fig. 3-16).
image

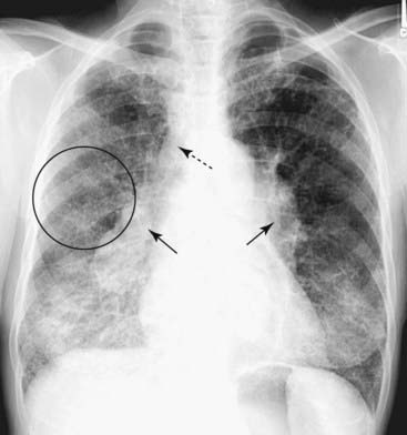
Figure 3-16 Sarcoidosis.

A frontal radiograph of the chest reveals bilateral hilar (solid black arrows) and right paratracheal adenopathy (dotted black arrow), a classical distribution for the adenopathy in sarcoidosis. In addition, the patient has diffuse, bilateral interstitial lung disease (black circle) that is reticulonodular in nature. In some patients with this stage of disease, the adenopathy regresses while the interstitial disease remains. In the overwhelming majority of patients with sarcoid, the disease completely resolves.

image Weblink

Registered users may obtain more information on Recognizing Airspace Versus Interstitial Lung Disease on StudentConsult.com.

image Take-Home Points

Recognizing Airspace Versus Interstitial Lung Disease

Parenchymal lung disease can be divided into airspace (alveolar) and interstitial (infiltrative) patterns.

Recognizing the pattern of disease can help in reaching the correct diagnosis.

Characteristics of airspace disease include fluffy, confluent densities that are indistinctly marginated and may demonstrate air bronchograms.

Characteristics of interstitial lung disease include discrete “particles” or “packets” of disease with distinct margins that tend to occur in a pattern of lines (reticular), dots (nodular), or very frequently a combination of lines and dots (reticulonodular).

Examples of airspace disease include pulmonary alveolar edema, pneumonia, and aspiration.

Examples of interstitial lung disease include pulmonary interstitial edema, pulmonary fibrosis, metastases to the lung, bronchogenic carcinoma, sarcoidosis, and rheumatoid lung.

An air bronchogram is typically a sign of airspace disease and occurs when something other than air (such as inflammatory exudate or blood) surrounds the bronchus, allowing the air inside the bronchus to become visible.

When two objects of the same radiographic density are in contact with each other, the normal edge or margin between them will disappear. The disappearance of the margin between these two structures is called the silhouette sign and is useful throughout radiology in identifying either the location or the density of the abnormality in question.