Chapter 20 Magnetic Resonance Imaging

Understanding the Principles and Recognizing the Basics

Daniel J. Kowal

How MRI Works

image Magnetic resonance imaging (MRI) involves the use of a very strong magnetic field to manipulate the electromagnetic activity of atomic nuclei in a way that releases energy in the form of radiofrequency signals, which are recorded by the scanner’s receiving coils and then computer-processed to form an image.
Our bodies are composed of atoms, each of which has a nucleus made up of protons and neutrons. The only exception, but an important one, is the hydrogen nucleus, which is made up of only one proton.
Proton and hydrogen nucleus are interchangeable terms.
Although MRI could be used to evaluate many different nuclei, clinical MRI scanners are based on hydrogen nuclei due to their abundance in the human body. The body is mostly composed of water molecules, which have an abundance of hydrogen nuclei.
Nuclei (like the hydrogen nucleus) that have an odd number of protons or neutrons will have a net magnetic moment and behave like mini-bar magnets, which is what MRI requires to make an image.
image Each proton has a positive electrical charge, and because protons also have a spin, this charge is constantly moving.
You might remember that a moving electrical charge is also an electrical current, and because an electrical current induces a magnetic field, each proton has its own small magnetic field (or magnetic moment).
image Normally, protons in the body spin randomly.
image When a patient enters an MRI scanner, though, the mini-magnet protons all align with the more powerful external magnetic field of the MRI magnet.
Most of these protons will point parallel to the field and others point antiparallel to the field, but they will all align with the external magnetic field of the MRI.
The sum of all magnetic moments is called the net magnetization vector. Any tissue placed in a large magnetic field will have a net magnetization vector.
image Protons don’t like to be couch potatoes, so they precess (wobble like a spinning top) along the magnetic field lines of the MRI.
image We’ll return to our little protons in a (magnetic) moment.

Hardware that Makes Up an MRI Scanner

Main Magnet

image The main magnet in an MR scanner is usually a superconducting magnet.
image Superconducting magnets contain a conducting coil that is cooled down to superconducting temperature in order to carry the current (4° K or −269° Celsius).

imageAt temperatures that low (close to absolute zero), resistance to the flow of electricity in the conductor practically disappears.

image Therefore, an electric current sent once through this ultracold conducting material will continuously flow and create a permanent magnetic field. The magnet in an MRI scanner is always “on.”
image To reach temperatures this low, cryogens such as liquid helium and nitrogen are utilized.
image If the temperature increases above these superconducting temperatures, a quench occurs, and there is suddenly resistance to flow of electricity. The energy stored in the magnetic coils then becomes converted to heat. A quench can be initiated manually if there is an emergent need to turn off the MRI magnet, but it is extremely expensive to turn the magnet back on after a quench.
image Most scanners today have a magnetic field strength between 0.5 and 3 Tesla.
One tesla (T) = 10,000 gauss (G).
No, tesla does not refer to the 1980s hair metal band, but to Nikola Tesla, the father of alternating current.
To provide a reference for how strong this magnetic field is, the earth’s magnetic field is only 50 microTesla.
The MRI scanner’s external magnetic field is so strong it can pull a metallic oxygen tank into the scanner like a missile.
Open MRI scanners, those that do not completely encircle the patient in the scanning circle, have lower field strengths of 0.1-1.0 T.
In general, higher field strength magnets have better spatial resolution, but lower field strength magnets have better tissue contrast and are less expensive to install and operate.

Coils

image An important part of the MRI scanner are the coils placed within the magnet. These coils are responsible for either transmitting the radiofrequency (RF) pulses (transmitter coils) that excite the protons, or receiving the signal (or echo) given off by these excited protons (receiver coils).
image Types of coils
Volume coils
These coils surround the part of the body to be imaged, and are permanently part of the scanner. They act as the transmitters of the RF pulse (transmitter coils) and can also act as receiver coils.
Surface coils
These coils are placed directly on the area to be imaged and thus have different shapes, depending on the body part.
These coils are good for superficial structures, but are poor for deep structures because the detected signal intensity falls rapidly with increased distance from the coil.
Unlike volume coils, these coils only act as receiver coils and receive the signal of the excited nuclei, with the RF pulse transmitted by the volume coil.
Gradient coils

imageThese coils generate additional linear, electromagnetic fields that vary the magnetic field and are important because they help relate the signal to an exact location and tissue, and make slice selection and spatial information possible. These coils are the source of the repetitive, machine-gunlike banging noise characteristic of MRI, and are essential for creating images.

image There are three sets of gradient coils corresponding to the three dimensions in space: x, y, and z orientations (i.e., the axial, coronal, and sagittal orientations). It is these gradient coils that help the MRI scanner detect from which tissue the signal is coming.

Computer

image A computer dedicated to the MRI scanner processes the radiofrequency signals received by the receiver coils and generates an image.
image The imaging parameters set at the MRI console determine how different images will be weighted, and ultimately how different tissues will look.

What Happens Once Scanning Begins

image When the patient is placed in the scanner magnet, the transmitter coils send a short (measured in milliseconds) electromagnetic pulse called a radiofrequency (RF) pulse.
The spinning protons in the patient align with the external magnetic field of the magnet.
This RF pulse is sent at a particular frequency that can change the orientation of the protons, flipping their net magnetization vector and displacing them from their original alignment in the external field.
There are two important, different magnetization vector components that play a role in this process: longitudinal magnetization (parallel to the magnetic field) and transverse magnetization (perpendicular to the magnetic field).
image When the RF pulse is turned off, the displaced protons relax and realign with the main magnetic field, and energy subsequently released in the form of radiofrequency signals (the echo) is detected by the receiver coils.

imageThe times it takes for this recovery and decay to occur and the echo to be generated are called T1 and T2.

image T1 and T2 are both time constants, and it is the values of the T1 and T2 relaxation times that allow different tissues to be identified.
T1 is called the longitudinal relaxation time.
T2 is called the transversal relaxation time.
image T1 relaxation (or recovery) is the time it takes for the tissue to recover to its longitudinal state, the time before the RF pulse was administered.
image T2 relaxation (or decay) is the time it takes for the tissue to regain its transverse orientation, before the RF pulse was administered.
image In summary, as soon as the RF pulse stops, relaxation begins (transversal magnetization disappears, and longitudinal magnetization reappears) and the spinning nuclei release energy which is subsequently picked up by the receiver coil and ultimately used to produce an image.

Pulse Sequences

image Pulse sequences consist of a set of imaging parameters determined in advance by protocols for specific diseases and body parts and then preselected by the MRI technologist at the computer at the time of the study to send a set of instructions to the RF generator and gradient amplifiers.
Pulse sequences will determine the way different tissues will appear.
The orientation of the image (axial, coronal, or sagittal) is also predefined as part of the pulse sequence.
Each pulse sequence can take as little as 20 seconds to as long as 15 minutes to complete.
A particular imaging protocol (e.g., a routine MRI brain protocol) consists of a series of multiple pulse sequences. Depending on the number and the time for each pulse sequence, MRI studies can last from a few minutes to over an hour.
image There are two main pulse sequences: spin echo (SE) and gradient recalled echo (GRE).
Both of these sequences will produce an echo (the radiofrequency signal returning from the protons in the tissue being scanned), and the signal from this echo is used to create an MRI image. All of the other pulse sequences used in MRI scanning are based on these two sequences.
image TR and TE
These parameters are set by the MRI operator at the console prior to scanning.
Changing the TR and TE will alter how the image is “weighted.”
TR is the repetition time between two RF pulses, and it influences the amount of T1 weighting.
Pulse sequences which feature a short TR (meaning a short amount of time between the RF pulses) will create what is called a T1-weighted image.
TE is the echo time between a pulse and its resultant echo, and it influences the amount of T2 weighting.
Pulse sequences which feature a long TE (meaning a long amount of time between the RF pulse and the echo) will create what is called a T2-weighted image.

How can You Identify a T1-Weighted or T2-Weighted Image?

image Different tissues have different T1 and T2 values (relaxation and recovery time constants), which is why fat, muscle, and bone, for example, will appear differently not only from each other but also with different pulse sequences.

imageTissues that have a short T1 will be bright.

image Tissues with a long T2 will be bright.
image “Bright” translates into “whiter” or having “increased signal intensity” on MRI scans. “Dark” translates into “blacker” or having “decreased signal intensity” on MRI.
image A key point is that water will be dark on T1-weighted images and bright on T2-weighted images. Water is T1-dark and T2-bright.
A bright way to remember this fact is that the number “2” is both in H2O (water) and T2-weighted image.
Therefore, when you are looking at any MR image, first try to find something you know is fluid (water), such as the CSF in the ventricles and spinal canal or urine in the bladder, for example.
If the fluid is dark, then you are probably looking at a T1-weighted sequence (Fig. 20-1A).
If this fluid is bright, then chances are you are looking at a T2-weighted image (Fig. 20-1B).
image

Figure 20-1 Normal T1-weighted and T2-weighted axial images of the abdomen.

Because cerebrospinal fluid is similar to water in density, it appears dark on the T1-weighted image (A) (solid white arrow), and bright on the T2-weighted image (B) (open white arrow). Subcutaneous fat (dotted white arrows) and intraabdominal fat (dotted black arrows) are bright on both T1-weighted and T2-weighted images.

imageCertain tissues and structures are typically bright on T1-weighted images.

Fat: subcutaneous and intraabdominal fat, fat within yellow bone marrow, fat-containing tumors (see Fig. 20-1A)
Hemorrhage: although this varies depending on the age of the hemorrhage (Fig. 20-2)
Proteinaceous fluid: proteinaceous fluid in renal or hepatic cysts, cystic neoplasms (Fig. 20-3)
However, a simple cyst containing water will be dark on T1 (and bright on T2), because remember that water is T1-dark (Fig. 20-4)
Melanin, e.g., melanoma (Fig. 20-5)
Gadolinium and other paramagnetic substances (manganese, copper)
image Certain tissues and structures are typically bright on T2-weighted images.
Fat: subcutaneous and intraabdominal fat, fat within yellow bone marrow, fat-containing tumors (see Fig. 20-1B)
Water, edema, (Figs. 20-6 and 20-7) inflammation, infection, cysts (see Fig. 20-4)
Hemorrhage: although this varies depending on the age of the hemorrhage (see Fig. 20-2).
image Notice that both fat and hemorrhage can be T1-bright and T2-bright.
image Suppression
A useful feature of MRI is the ability to cancel out or suppress the signal from certain tissues, thus making that tissue look dark on the image, and making other structures and pathology more conspicuous.
A tissue that is often suppressed is fat.
Fat is normally bright on T1-weighted images, but will be dark on T1-fat suppressed images (Fig. 20-8).
This feature is useful when attempting to identify fat-containing lesions such as ovarian dermoid cysts, adrenal myelolipomas, and liposarcomas (Fig. 20-9), as they will appear to change from bright on the nonfat suppressed images to dark on the fat-suppressed images.
Fat suppression is also useful for evaluation of tissues after the administration of gadolinium contrast.
image There are many other pulse sequences besides T1-weighted and T2-weighted images that typically comprise a particular MRI scan protocol, such as diffusion-weighted images (DWI), proton density-weighted images, and an entire alphabet soup of catchy acronyms like STIR andMRA/TOF.
image

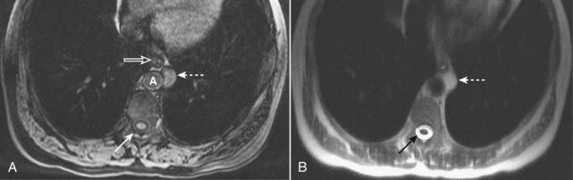
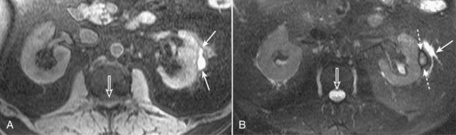
Figure 20-2 Subcapsular hematoma of the kidney.

A, Axial T1-weighted fat-suppressed image demonstrates a bright subcapsular hematoma (solid white arrows) involving the left kidney laterally. We can tell that this is a T1-weighted image because cerebrospinal fluid (CSF) in the spinal canal is dark (open white arrow). B, Axial T2-weighted, fat-suppressed image again demonstrates a slightly bright left subcapsular hematoma with a dark rim of hemosiderin (dotted white arrows) indicating surrounding older blood. There is a small amount of adjacent left perinephric fluid (solid white arrow). The bright signal of the CSF helps us to recognize this image as a T2-weighted image (open white arrow).

image

Figure 20-3 Proteinaceous enteric cyst.

A, Axial T1-weighted fat-suppressed image demonstrates a left-sided, mediastinal bright mass (dotted white arrow) adjacent to the esophagus (open white arrow) and aorta (A). Notice that this mass is brighter than the CSF in the spinal canal (solid white arrow). B, Axial T2-weighted image shows that the mass is T2 bright (dotted white arrow), but not as bright as the CSF in the spinal canal (solid black arrow). Contrast-enhanced images (not shown) demonstrated no enhancement. At surgery, this mass was found to represent a benign enteric cyst containing proteinaceous (as opposed to purely simple) fluid.

image

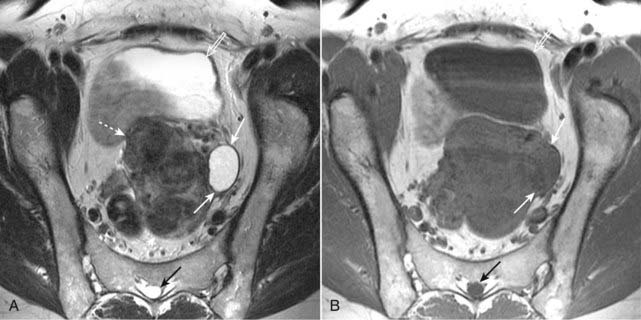
Figure 20-4 Simple left ovarian cyst.

A, Axial T2-weighted image demonstrates an ovoid, homogeneously bright lesion in the left ovary (solid white arrows) adjacent to a fibroid uterus (dotted white arrows). Note that urine in the bladder (open white arrow) and CSF in the spinal canal (solid black arrow) are both bright, which helps us identify this image as a T2-weighted image. B, Axial T1-weighted image shows that this left ovarian lesion is dark (solid white arrows) and therefore consistent with simple fluid. Urine in the bladder (open white arrow) and CSF in the spinal canal (closed black arrow) are also dark.

image

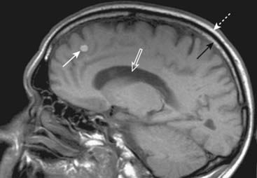
Figure 20-5 Metastatic melanoma.

Sagittal T1-weighted image of the brain demonstrates a bright mass (solid white arrow) in the frontal lobe representing metastatic melanoma. Notice that both the yellow bone marrow within the skull (solid black arrow) and the overlying subcutaneous fat (dotted white arrow) are bright. We can tell that this is a T1-weighted image because the CSF in the lateral ventricles is dark (open white arrow).

image

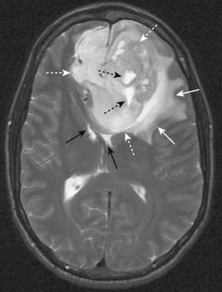
Figure 20-6 Glioblastoma multiforme with surrounding edema.

Axial T2-weighted image demonstrates bright vasogenic type edema (solid white arrows) surrounding a large, lobulated frontal lobe mass (dotted white arrows) representing glioblastoma multiforme, an aggressive brain tumor. There are a few bright areas of cystic degeneration (dotted black arrows) within this mass. The frontal horns of the lateral ventricles are compressed (solid black arrows).

image

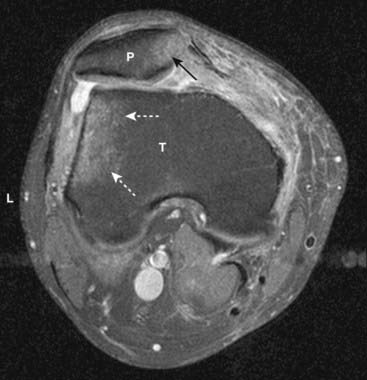
Figure 20-7 Bone marrow edema due to transient lateral patellar dislocation.

Axial proton-density, fat-saturated image (a T2-like sequence) demonstrates bright bone marrow edema involving the lateral (L) tibial (T) plateau (dotted white arrows) and medial aspect of the patella (P) (solid black arrow). This edema is due to recent lateral patellar dislocation with contusion of the patella as it struck the tibia.

image

Figure 20-8 Normal T2-weighted fat-suppressed axial image of the abdomen.

We can tell that this is a T2-weighted image because the CSF in the spinal canal is bright (solid black arrow). Also, it is a fat-suppressed image because the subcutaneous (solid white arrow) and intraabdominal (dotted white arrow) fat are dark. Fat is normally bright on a T2-weighted image without fat suppression.

image

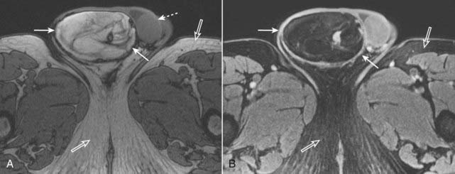
Figure 20-9 Fat in a liposarcoma of the right spermatic cord.

A, Axial T1-weighted image of the scrotum demonstrates a bright, heterogeneous right scrotal mass (solid white arrows). The left testis is unremarkable (dotted white arrow), and the right testis is not visualized. Note that subcutaneous fat is normally bright (open white arrows). B, Axial T1-weighted, fat-suppressed, gadolinium-enhanced image demonstrates that the bright signal in the right scrotal mass is now dark, consistent with fat (solid white arrows). The subcutaneous fat of the thighs is also dark (open white arrows). This was an unusual malignancy of the spermatic cord derived from fat cells.

MRI Contrast: General Considerations

image Gadolinium is the most common intravenous contrast agent used in clinical MRI imaging.
It is a rare-earth, heavy metal ion that is chelated to different compounds to form MRI contrast agents. When chelated to an acid known as DTPA (Gd-DTPA), it forms gadopentetate dimeglumine, also known as the commonly used contrast agent Magnevist®.
image Gadolinium-based contrast agents are used in the same fashion that iodinated contrast media is used in CT. They can be injected intravascularly or intraarticularly.
image After intravenous injection, Gd-DTPA enters the blood pool, enhances organ parenchyma, and then is excreted by the kidneys via glomerular filtration.
Other special types of gadolinium-based contrast agents have a component of biliary excretion.

imageGadolinium’s effect is to shorten the T1 relaxation times of hydrogen nuclei (and to a lesser extent also shorten T2).

image T1 shortening will cause a brighter signal on T1-weighted images, and it is for this reason that images obtained after gadolinium administration are usually T1-weighted to take advantage of this effect.
image Fat is bright on T1 even before the administration of gadolinium. In order to increase detection of contrast enhancement in fat, the precontrast and postcontrast images are typically fat-suppressed (meaning darkened) to enhance the effect of the gadolinium (Fig. 20-10).
image Structures that become bright on postgadolinium images are typically vascular (such as tumors) (Fig. 20-11) and inflammation (Fig. 20-12), and are described as enhancing.
image

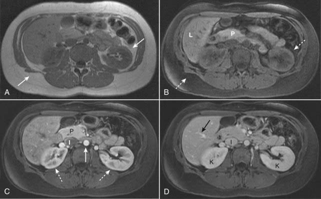
Figure 20-10 Fat suppression and normal enhancement of the abdomen following the administration of intravenous gadolinium.

A, T1-weighted image of a normal abdomen demonstrates normal bright subcutaneous and intraabdominal fat (solid white arrows). B, T1-weighted, fat-suppressed image shows that the signal from the fat has been suppressed (dotted white arrows) and is now dark. Intraabdominal organs such as the pancreas (P) and liver (L) now appear brighter relative to the adjacent suppressed fat. C, T1-weighted, fat-suppressed, early phase post-gadolinium image shows the normal enhancement of the aorta (solid white arrow) which enhances earlier than the inferior vena cava (I). The kidneys demonstrate normal corticomedullary phase enhancement (dotted white arrows), and the pancreas (P) enhances maximally during this phase. D, T1-weighted, fat-suppressed, later phase post-gadolinium image shows that the hepatic veins (solid black arrow) and inferior vena cava (I) are now well enhanced. The kidneys (K) now demonstrate normal homogeneous enhancement, the optimal phase to detect renal masses.

image

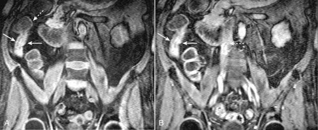
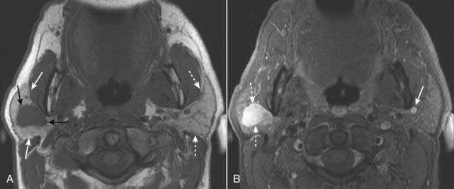
Figure 20-11 Right parotid pleomorphic adenoma.

A, Axial T1-weighted image of the neck demonstrates a dark, ovoid mass with a slightly lobular contour (solid black arrows) located within the right parotid gland (solid white arrows). The left parotid gland is unremarkable (dotted white arrows). B, Axial T1-weighted, fat-suppressed, post-gadolinium enhanced image demonstrates that the right parotid mass is very bright due to intense enhancement (dotted white arrows). Surgical resection of this mass yielded a pleomorphic adenoma, the most common benign tumor of the parotid gland. A clue that this image is a gadolinium-enhanced image is the presence of bright, enhancing vascular structures such as the left retromandibular vein (solid white arrow).

image

Figure 20-12 Active inflammation in Crohn disease.

A, Coronal T1-weighted fat-suppressed image from an MR enterography examination demonstrates thickening of the wall of the distal terminal ileum (solid white arrows). The adjacent cecum is normal (dotted white arrow). B, Coronal T1-weighted, fat-suppressed, gadolinium-enhanced image demonstrates marked enhancement of the wall of the terminal ileum (solid white arrows) indicating that this wall thickening represents active inflammatory narrowing of the lumen. Gadolinium is also seen within the inferior vena cava (dotted white arrow), a finding that helps us determine that this is an enhanced image.

MRI Safety Issues

General Considerations

image No harmful biological effects have been demonstrated from exposure to static magnetic fields below 10 T. The maximum clinical MR field strength is well below that value, currently at 3.0 T.

Claustrophobia

image Patients can occasionally suffer such extreme claustrophobia in the small confines of the MR scanner that they will be unable to begin or complete the study. Pretreatment with sedation may help in the appropriate clinical situation.
image Alternatively, the patient can be scanned in an open magnet, which is not as confining. The trade-off, however, is that open magnets in general have lower magnetic field strengths and poorer spatial resolution.

Ferromagnetic Objects

image Any ferromagnetic object inside the patient can be moved by the magnetic field of the MR scanner and could damage adjacent tissues. Such internal ferromagnetic objects also hold the potential to be heated and cause burns to surrounding tissues.

imageFerromagnetic objects in a location where motion of the object may be harmful to the patient represent an absolute contraindication to MR imaging. These objects include medically inserted items such as cerebral aneurysm repair clips, vascular clips, and surgical staples. Many vascular clips and staples are now manufactured to be MRI-compatible.

image Some foreign bodies, such as bullets, shrapnel, and metal in the eyes (as can be seen in metal workers) can also be ferromagnetic.
Patients who may have a history of possible metallic foreign bodies in the eyes must have conventional orbital radiographs before undergoing an MRI and, if metal is present, an alternative means of imaging should be utilized.
If a patient who has metallic foreign bodies in the eyes undergoes an MRI, motion of these foreign bodies could cause blindness.
image Ferromagnetic objects outside of the patient such as oxygen tanks, scissors, scalpels, and metallic tools, also pose a risk to the patient as they could become airborne once they enter the magnetic field and for this reason are strictly forbidden in the MRI scanning room. Nonferromagnetic equipment (“MR-safe equipment”) is now available, and is used for MRI-guided procedures such as biopsies.

Mechanical or Electrical Devices

imageMRI cannot be performed in patients who have pacemakers, pain stimulator implants, insulin pumps, other implantable drug infusion pumps, and cochlear implants.

image The presence of a pacemaker or implantable cardiac defibrillator represents an absolute contraindication to MR imaging because the device may be deactivated by the magnetic field, and there may also be heating induced in the leads that could injure the endocardium.

Pregnant Patients

image Although there are no known biological risks associated with MR imaging in adults, the effects of MRI on the fetus are not definitely known (Fig. 20-13).
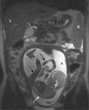
image

Figure 20-13 MRI in pregnancy.

Coronal T2-weighted image demonstrates an intrauterine pregnancy. The maternal liver (L) and spleen (S) are partially imaged. The bright amniotic fluid (A) and fetal CSF (dotted white arrow) help us to recognize this image as a T2-weighted image. The fetal body (solid white arrow) and leg (dotted black arrow) can be seen clearly. The umbilical cord (solid black arrow) is partially visualized.

imageBecause only limited data exists and because the fetus is more susceptible to injury in the first trimester of pregnancy, pregnancy is considered by some to be an absolute contraindication to MR imaging due to theoretical harmful effects to the fetus.

image The American College of Radiology, however, states that pregnant patients can undergo MRI scans at any stage of pregnancy if it is decided that the risk-benefit ratio to the patient weighs in favor of performing the study.
image MRI should probably not be performed electively in early term pregnancy due to this unknown risk to the fetus.
image Gadolinium is not recommended in pregnant patients, as gadolinium crosses the placenta, is subsequently excreted by the fetal kidneys, and has unknown effects on the fetus.

Nephrogenic Systemic Fibrosis

image In patients with renal insufficiency, gadolinium-based contrast agents have been associated with a rare, painful, debilitating, and sometimes fatal disease called nephrogenic systemic fibrosis (NSF).
image NSF produces fibrosis of skin, eyes, joints, and internal organs resembling scleroderma.
image Patients with preexisting renal dysfunction, especially those on dialysis, are at the greatest risk.
Caution is exercised when administering gadolinium to patients who have moderate renal disease (estimated glomerular filtration rate [eGFR] between 30-60 mL/min/1.73m2). Gadolinium is typically avoided in patients with severe renal disease (eGFR < 30).
image There is currently no evidence to suggest that patients with normal renal function are at risk of developing NSF, and contrast-enhanced MRI imaging remains extremely safe in the vast majority of patients.

Diagnostic Applications of MRI

image Some of the many clinical uses of MRI are outlined in Table 20-1. The chapters in which some of the diseases are discussed in greater detail are indicated.

TABLE 20-1 USES OF MRI

System Organ Diseases
Musculoskeletal Evaluate bone marrow menisci, tendons, muscles Meniscal tears; ligamentous and tendon injuries; contusions
Bones Occult or stress fractures
Osteomyelitis High negative predictive value if normal
Spine (Chapter 24) Disk disease and marrow infiltration; differentiating scarring from prior surgery from new disease
Neurologic Brain (Chapter 25) Ideal for studying brain, especially posterior fossa; tumor, infarction; multiple sclerosis
Peripheral nerves Impingement; injury
GI Liver (Chapter 18) Characterize liver lesions; detect small lesions; cysts, hemangiomas; hepatocellular carcinoma; focal nodular hyperplasia; hemochromatosis; fatty infiltration
Biliary system (Chapter 18) Magnetic resonance cholangiopancreatography for strictures, ductal dilatation
Small and large bowel MR enterography; appendicitis in pregnant females
Endocrine/reproductive Adrenal glands Adenomas; adrenal hemorrhage
Female pelvis Anatomy of uterus and ovaries; leiomyomas; adenomyosis; ovarian dermoid cysts; endometriosis; hydrosalpinx
Male pelvis Staging of rectal, bladder, and prostate carcinoma
GU Kidneys Renal masses; cysts versus masses

imageWeblink

Registered users may obtain more information on Magnetic Resonance Imaging: Understanding the Principles and Recognizing the Basics on StudentConsult.com.

image Take-Home Points

MRI: Understanding the Principles and Recognizing the Basics

MRI uses a very strong magnetic field to influence the electromagnetic activity of hydrogen nuclei, also called protons.

Protons each have a charge and possess a spin. The constant movement of protons generates a small magnetic field causing the proton to behave like a mini-magnet. When the protons are placed in the much more powerful magnetic field of the MRI scanner, they all align with this external magnetic field.

A radiofrequency (RF) pulse, transmitted by a transmitter coil, displaces the protons from their original alignment with the external magnetic field of the scanner.

When the RF pulse is turned off, the displaced protons relax and realign with the main magnetic field, producing a radiofrequency signal (the echo) as they do so. Receiver coils receive this signal (or echo) given off by the excited protons. A computer reconstructs the information from the echo to generate an image.

The main magnet in an MRI scanner is usually a superconducting magnet that is cooled to extremely low temperatures in order to carry the electrical current.

There are three major types of coils within the MRI scanner: volume, surface, and gradient coils.

Pulse sequences consist of a set of imaging parameters that determine the way a particular tissue will appear. The two main pulse sequences that all MRI pulse sequences are based on are called spin echo (SE) and gradient recalled echo (GRE).

T1 and T2 are both time constants. T1 is called the longitudinal relaxation time, and T2 is called the transversal relaxation time.

TR is the repetition time between two RF pulses. A short TR creates a T1-weighted image.

TE is the echo time between a pulse and its resultant echo. A long TE creates a T2-weighted image.

On T1-weighted images, fat, hemorrhage, proteinaceous fluid, melanin, and gadolinium are typically bright (white).

On T2-weighted images, fat, water, edema, inflammation, infection, cysts, and hemorrhage are typically bright.

In summary, fat is T1-bright and T2-bright. Water is T1-dark and T2-bright.

Suppression is a feature of MRI that will cancel out or eliminate signal from certain tissues and is most often used for fat. Although normally T1-bright, fat will be dark on T1-weighted fat suppressed images. Fat suppression is particularly useful for tissue characterization after administration of gadolinium.

Gadolinium is the most common intravenous contrast agent used in clinical MR imaging, and its effect is to shorten the T1 relaxation time of hydrogen nuclei yielding a brighter signal. Vascular structures such as tumors and areas of inflammation enhance after gadolinium administration and become more conspicuous.

Ferromagnetic objects must be kept outside of the MRI scanning room as they could become airborne when exposed to the magnetic field. Patients who may have metallic foreign bodies in their eyes must first have conventional orbital radiographs to see if metal is present.

In pregnancy, MRI is preferred in the second and third trimester, and gadolinium is contraindicated.

Nephrogenic systemic fibrosis is a debilitating fibrotic disease that can occur in patients with renal insufficiency who receive intravenous gadolinium-based contrast agents. Therefore, gadolinium is typically avoided in patients with severe renal disease.