CHAPTER 8 Disorders of development and eruption of the teeth and developmental craniofacial abnormalities

Padraic M. Dixon, MVB, PhD, MRCVS

Division of Veterinary Clinical Studies, University of Edinburgh, Easter Bush Veterinary Centre, Roslin, Midlothian EH25 9RG, UK

Craniofacial abnormalities

Foals can develop a variety of growth abnormalities of their craniofacial bones that cause malocclusion of their teeth and possible permanent changes to their dental function. Although some of these abnormalities, such as overbite (‘parrot mouth’), are often regarded as being primary dental abnormalities, it must be remembered that the observed dental abnormality is just a manifestation of a significant skeletal abnormality and correction of the dental abnormalities, such as reduction of dental overgrowths, will not correct the underlying craniofacial abnormality.

Overjet and overbite

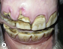
Many horses have some degree of overjet (‘overshot jaw’), i.e., where the occlusal aspects of the upper incisors project rostral to the occlusal aspects of the lower incisors (Fig. 8.1). Untreated cases of severe overjet generally develop overbite, where the upper incisors lie rostral to the lower incisors as above but additionally now lie directly in front of the lower incisors (‘parrot mouth’; Fig. 8.2). These disorders are commonly termed brachygnathism (indicating shortness of mandible), but in horses they may actually be due to overgrowth of the upper jaw.1 With overbite, the upper incisors may mechanically trap the lower incisors behind them and so restrict mandibular growth; this in turn further exaggerates the disparity in length between the upper and lower jaws. Overjet, and more so overbite, are esthetically undesirable, especially in show horses, but unless contact between opposing incisors is totally absent, these problems rarely cause difficulty in prehension.2 As the more rostral incisors (01s, central incisors) have the least occlusal contact, they overgrow most and so affected horses develop a convex appearance of their upper incisor occlusal surface (termed a ‘smile’), which should be reduced if pronounced.2,3 This reduction should be performed in stages in order to prevent pulpar exposure. In contrast to having their CT floated, many horses greatly resent incisor teeth floating and require sedation for this procedure.

image

Fig. 8.1 Mild overjet in a 3-month-old Thoroughbred foal.

image

Fig. 8.2 This foal has both marked overjet and overbite, with ventral deviation of the premaxilla (incisive bone).

The main clinical significance of incisor overjet or overbite is that affected horses usually have concurrent CT disorders, due to the upper CT row being rostrally positioned in relation to its lower counterpart.3 This leads to focal overgrowths on the rostral aspects of the upper 06s and the caudal aspects of the lower 11s, as discussed below. The treatment of overjet and overbite are discussed in Chapter 19, and of CT overgrowths in Chapter 17.

Underjet

Underjet (prognathism, ‘sow mouth,’ ‘undershot jaw’; Fig. 8.3) is rare in horses and is usually of little clinical significance unless there is total lack of occlusion between incisors. In contrast to horses with overjet, those with underjet usually develop focal CT overgrowths on the caudal aspects of the upper 11s and the rostral aspects of the lower 06s. Due to preferential overgrowth of the lower 01s, such cases develop a concave occlusal surface of their upper incisor occlusal surface (termed a ‘frown’). Similar to overbite, major incisor overgrowths and concurrent CT focal overgrowths are the main consequences of underjet, and such overgrowths should be reduced at 6-month intervals.

image

Fig. 8.3 This adult donkey has underbite, i.e. the lower incisors lie directly in front of the upper incisors.

(Image courtesy of Dr Nicole du Toit.)

Rostral positioning of the upper CT rows

Rostral positioning of the upper CT rows relative to their mandibular counterparts is caused by an imbalance in craniofacial bone growth and as noted earlier, is usually associated with incisor overjet/overbite. This abnormality can rarely occur independent of incisor malocclusions. Because the upper and lower CT rows are not in full contact in this disorder, localized dental overgrowths (colloquially termed ‘beaks’, ‘hooks’, and ‘ramps’) develop on the rostral aspect of the upper 06s, and these overgrowths may be pressed against the lips and cheeks by the bit and so cause mucosal ulceration and bitting problems. If large, these overgrowths can also restrict the normal, but variable, rostrocaudal mandibular movement, relative to the maxilla, while lowering and raising the head.4 Feeding affected horses fully from the ground rather than from a height may also promote normal rostrocaudal mandibular movement and so help reduce the development of such overgrowths. Smaller 06 overgrowths can be fully reduced manually, but if large, then motorized dental instruments are required, and such overgrowths should be removed in stages, as described in Chapter 17.

Similar overgrowths may also develop on the caudal aspect of the lower 11s, but due to the later eruption of the 11s in comparison to the 06s, mandibular 11 overgrowths may not develop until affected horses are 5–6 years of age. These lower 11 overgrowths may remain undetected unless a full dental examination is performed.2,3 True lower 11 caudal overgrowths must be differentiated (e.g., by visually or digitally assessing crown height above gingival margin) from an anatomically normal, upward sloping caudal CT occlusal surface (‘curve of Spee’), which can be especially marked in some smaller equine breeds (e.g., Arabian and Welsh ponies). Lower 11 overgrowths can traumatize the adjacent oral mucosa during mastication, and if large enough, can even lacerate the hard palate and the greater palatine artery or cause an oromaxillary fistula. Because there is very little room between the caudal aspect of the lower 11s and the vertical ramus of the mandible and the soft tissue protrusion caudal to the lower 11s, the mandible and adjacent soft tissue can be readily traumatized when manually reducing (floating, rasping) overgrown lower 11s. Consequently, sedation is usually necessary to both fully evaluate and if necessary, carefully and in stages, reduce larger lower 11 overgrowths.

If lower 11s are very overgrown, they are best reduced in stages from their medial aspects using motorized dental instruments2,5,6 as described in Chapter 17, whilst maintaining the normal high occlusal angulation of caudal mandibular CT.7 The use of ‘molar cutters’, cold chisels, or percussion guillotines (that encircle these caudal 11 overgrowths), risks fracturing the tooth and causing pulpar exposure, which can lead to cellulitis of the mandibular, oral, and pharyngeal areas.

Wry nose (campylorrhinis lateralis)

Wry nose is a syndrome involving shortening and/or deviation of the premaxillary (incisive) and maxillary bones that can also involve the nasal and vomer bones.8 In addition to possible disturbances to nasal airflow, malocclusions of the incisors (Fig. 8.4) and of teeth on the extremities of one of the CT rows can occur. Milder cases later develop a diagonal incisor occlusal plane (’diagonal bite’, ‘slope mouth’, ‘slant mouth’) and unilateral upper 06, and lower 11 CT overgrowths. All cases of diagonal occlusal bite should be assessed for the presence of wry nose, which may be subtle in some cases. Affected foals can have a variety of surgical and orthodontic treatments for this disorder with limited success.8 Affected horses should have 6-monthly floating of excessively sloped incisors and also of any CT overgrowths, bearing in mind that they cannot be permanently corrected.

image

Fig. 8.4 This 8-week old foal has severe wry nose, with complete absence of contact of some incisors.

Disorders of dental development

Hypodontia (anodontia)

Hypodontia refers to reduced numbers of teeth, whilst anodontia technically refers to total absence of teeth; however, the terms are sometimes interchangeably used. Hypodontia is an abnormality of differentiation of the dental lamina and tooth germs (as are the presence of supernumerary teeth).9 Developmental hypodontia is relatively uncommon in horses, with absence of equine teeth usually caused by loss due to trauma, disease or to wear. Hypodontia generally affects the permanent equine dentition (Figs 8.5 & 8.6). This disorder is hereditary in humans and can be part of many generalized developmental syndromes.9 In many species (including the horse), multiple hypodontia is often associated with the presence of other dental abnormalities (such as dysplastic teeth) or even generalized ectodermal disorders including the ectodermal dysplasia syndrome.10

image image

Fig. 8.5 (A) This young horse has developmental absence of 202, with mesial (medial) drifting of 203 into its site, with consequent overgrowth of the unopposed opposite 302, that is more obvious when the mouth is open (B). A diastema between 301 and 302 may be due to the overgrowth of 302 causing it to be laterally (distally) displaced.

image

Fig. 8.6 (A) This skull radiograph shows absence of 306 (an intercurrent sclerotic, eruption cyst lies beneath the 307). (B) Intra-oral examination shows marked overgrowth of the opposing 206, with just a remnant of the deciduous tooth (706) visible in the intra-oral mirror. Such retention of deciduous teeth remnants is common in hypodontia, due to absence of pressure from an underlying erupting permanent CT to aid shedding.

Supernumerary teeth

The presence of supernumerary (additional) teeth, also termed polydontia or hyperdentition, is relatively uncommon in the horse, but the exact prevalence is unknown.11,12 Colyer found a prevalence of 0.6 % supernumerary incisors and 2.4 % supernumerary cheek teeth in 484 museum skulls, whilst Wafa found a 0.3 % prevalence of incisors in an abattoir survey of 355 skulls.1,13 Canine teeth are uncommon in mares, but these teeth are not generally considered as supernumerary teeth, but as atavism, i.e., the reappearance of a characteristic of a distant ancestor that is not found in its immediate ancestors.1 Dentigerous cysts are also not considered to be supernumerary teeth in this review.

Supernumerary teeth can be categorized on their appearance into three types, i.e., supplemental teeth which resemble teeth of normal series in crown and root morphology, though not always in size. Consequently, it is often impossible to differentiate supplemental from normal teeth.1,9,11 Haplodont supernumerary teeth are characterized by their simple, usually conical crowns with single roots (Fig. 8.7). Tuberculate supernumerary teeth have complex crowns with several tubercles on the occlusal surface with deep indentations between the raised tubercles.1,9 A connate tooth is composed of two or more tooth elements, possibly arising from fusion of multiple tooth germs or alternatively from a partial splitting of an embryonic tooth.1,9 Connate teeth are not necessarily supernumerary teeth, but some supernumerary equine cheek teeth are connated, including 6 of the 10 supernumerary cheek teeth described by Dixon et al.12 Connated supernumerary teeth have also been illustrated by Miles and Grigson, including a connated incisor with two fused crowns sharing separate roots.1 The relationship between connated and tuberculate supernumerary teeth is unclear.

image image

Fig. 8.7 (A) This horse has a haplodont supernumerary incisor lying between 302 and 303 that has caused caudal displacement of the 303. Despite having a relatively small clinical crown, radiographs confirmed the great length and outlined the shape of the reserve crown and apex of this supernumerary tooth. (B) The 9 cm long supernumerary tooth was extracted by removal of the rostral alveolar wall, and the gingival wound was partially sutured.

Supernumerary teeth are a developmental defect and may arise due to localized excessive odontogenic capacity, or from the splitting of a tooth primordium.1,9 With supplemental supernumerary teeth, it is believed that the primordium divides into equal parts, each with the capacity to form a tooth of normal morphology. Haplodont and tuberculate supernumerary teeth may be due to division of the primordium into parts which do not have the capacity to form a tooth of normal shape and size.9

Equine supernumerary teeth often occur at the peripheries of the different classes of teeth, especially at the caudal aspect of the molar teeth,1,14,15 and in particular, caudal to the upper 11s,12,16 and this is also a relatively common site for supernumerary teeth development in other species, including humans, where a midline (pre)maxillary incisor is the most common supernumerary tooth.17,18 Supernumerary equine cheek teeth can also occur lingually, buccally, and rostrally to the normal cheek teeth row.12,15,16 Supernumerary teeth are generally more common in permanent than in deciduous teeth, in incisors than other classes of teeth, and are more common in maxillary in than mandibular teeth.9,17,18 Supernumerary teeth are present in 0.8 % of primary dentition and in 2.1% of permanent dentition in humans.18

Supernumerary incisors

In contrast to human supernumerary incisors, equine supernumerary incisors have been said to only occur in the permanent dentition,19 more commonly in the premaxillary incisors.11 Supernumerary incisors are believed to occur more frequently in horses than supernumerary cheek teeth,14,15 as is the case in humans where circa 90 % of all supernumerary teeth are reported to be premaxillary incisors;17 however, Colyer (1906) recorded a 0.6 % prevalence of equine supernumerary incisors whilst finding a 2.5 % prevalence of supernumerary CT.1 Equine supernumerary incisors are usually supplemental teeth, i.e., are morphologically similar to normal incisors.11 Occasionally, a complete supplementary set of incisors (six) can occur,11,13,19 but more commonly, only one or two supernumerary incisors develop, and protrude rostrally to the normal premaxillary (incisive) incisors (Fig. 8.8).16

image image

Fig. 8.8 (A) Intra-oral radiograph of a premaxilla containing two bent, supplemental supernumerary (permanent) incisors lying at oblique angles, that have caused overcrowding and displacement of the remaining incisors. (B) One of these supernumerary incisors is visible, abnormally protruding at an oblique angle between 201 and 202.

Because of their normal morphology, supplemental supernumerary incisors can readily be confused with retained deciduous incisors. This is particularly the case with larger retained incisors, whose permanent successors erupted beside, rather than beneath, the deciduous incisor, and thus have not caused any resorption or mechanical displacement of the apex or reserve crown. Radiography usually distinguishes between a retained deciduous and supernumerary incisor, as a retained deciduous incisor is shorter and narrower than a supernumerary permanent incisor (see later), in contrast to supernumerary incisors that are usually of similar size (Fig. 8.8). Supernumerary incisors may cause overcrowding and displacement of the normal permanent incisors, and diastemata often occur beside the displaced incisors. A rostrally displaced supernumerary incisor may also develop between, and so cause separation of the normal incisors (Fig. 8.7).

If just one or two supernumerary incisors are present that lie rostral (labial) to the normal incisor arch, it is usually possible to extract them following infra-orbital (or mental) nerve block in the sedated horse, and removal of the rostral alveolar wall with a curved osteotome, as described in detail in Chapter 20. Long gingival incisions over the reserve crown should be sutured more apically after repositioning remnants of the alveolar wall. The occlusal aspect of the wound is left open for drainage (Fig. 8.7). If supernumerary incisors are very rostrally displaced (especially in older horses) dental elevators can be inserted progressively deeper into their periodontal space to loosen them without removal of any alveolar wall.

Supernumerary incisors and possibly displaced normal incisors can erupt in an overcrowded manner along the normal incisor arch, and caudal (palatal) to them on the rostral aspect of the hard palate. In addition to the difficulty in clinically differentiating supplemental supernumerary incisors from normal incisors, it is usually very difficult to extract such displaced supernumerary incisors without causing damage to the remaining incisors, the hard palate and overlying soft tissues. Lateral and intra-oral radiographs generally demonstrate the great length of the reserve crowns of both the normal and the (indistinguishable) supernumerary incisors that are lying closely together, sometimes in an intertwined manner (Fig. 8.8). As the consequences of leaving multiple supernumerary incisors in are usually minimal, these teeth are, therefore, best not extracted. As the supernumerary incisors erupt, their occlusal surfaces are usually worn down by attrition – due to contact with food and intermittent contact with lower incisors due to the normal rostrocaudal movement of the mandible. If, however, supernumerary incisors are extremely displaced, individual teeth lose occlusal contact and overgrow. Such teeth should be reduced biannually, preferably using motorized equipment.

Supernumerary canine and 1st premolar teeth (‘wolf teeth’)

Supernumerary canine or ‘wolf’ teeth are rarely recognized, and most suspected supernumerary canine teeth are in fact rostrally displaced, large 1st premolar (‘wolf teeth’).16 Radiography readily differentiates these teeth from canine teeth by the size and shape of their reserve crowns and roots. Many suspected supernumerary ‘wolf teeth’ are retained fragments of the deciduous 06 that on closer inspection are seen to be a flat structure lying relatively superficially in the gingiva, as illustrated by Dixon and Dacre.20

Supernumerary cheek teeth

The most common site for supernumerary CT development in horses is, as noted, the caudal aspect of the maxillary CT rows (Fig. 8.9) and less commonly, caudal to the mandibular 11s (Figs 8.10 & 8.11). These caudal CT have been termed Triadan 12s,16 but could also be termed Triadan 11b, if they originate from the same tooth bud as the normal 11. Supernumerary CT may also develop medial, lateral, or rostral to the upper or lower CT rows (Figs 8.12 & 8.13). Dixon et al illustrated a full-sized supernumerary maxillary CT lying in the physiological diastema (between the incisors and the 06),12 and Wortley,21 and Dixon et al16 also reported supernumerary teeth developing in the hard palate, and further examples are shown in Figures 8.12 and 8.13. Usually just one or two additional CT develop, but Wortley reported a horse with four supernumerary maxillary CT.21 Many supernumerary CT erupt when the normal CT are erupting, but others may erupt in mature horses, and Dixon et al reported supernumerary CT eruption at 12 years of age.16 Connated supernumerary CT are very large and irregular in shape and consequently can displace adjacent CT. Their irregular interdental margins do not form tight seals with adjacent normal CT and the resultant large interdental (interproximal) space (i.e., diastema) leads to food pocketing and often painful periodontal disease.

image

Fig. 8.9 (A) The supernumerary CT present at the caudal aspect of this maxillary CT row is overgrown due to absence of occlusal contact. Contact of the overgrowth with the caudal aspect of the lower 11 has caused it to displace caudally, causing a wide diastema (arrow) between it and the adjacent 11. (B) Intra-oral view of a supernumerary 212 that has overgrown and caused a diastema (arrow) to develop between it and the 211. The flat occlusal surface shows it has been reduced in the past.

image

Fig. 8.10 Post mortem radiograph of a hemimandible with a caudal supernumerary CT. In addition, there are focal, lytic areas in the sclerotic mandibular bone under 311 associated with marked periodontal disease clinically evident around this tooth.

image

Fig. 8.11 A marked (circa 5 cm long) overgrowth is present on this caudally situated supernumerary mandibular CT (412) that has caused marked ulceration of the adjacent cheeks (arrow).

image

Fig. 8.12 (A) This supernumerary cheek tooth lies medial to 106/107 with much periodontal pocketing of food on its rostral aspect (arrow). (B) The periodontal disease has caused the darkened area on the crown of the orally extracted tooth (arrow).

image

Fig. 8.13 A supernumerary maxillary CT lying medial (palatal) to 108 and 109 has caused some separation between these two normal teeth, with resultant diastemata formation and periodontal disease development between all three teeth. The subsequent marked and deep periodontal disease necessitated extraction of all three CT.

In other instances where a caudal supernumerary tooth develops at the same time as the normal 11, overcrowding of the dental buds occurs prior to calcification. In these cases, the 11 and the supernumerary cheek tooth are both deformed and lie obliquely or possibly parallel to each other in separate or a common alveolus. Following eruption of the supernumerary cheek tooth, diastemata between these two distorted teeth allow food impaction also leading to painful periodontal disease. Unopposed caudal supernumerary CT will overgrow if not reduced (Fig. 8.11) and the overgrown teeth will become displaced caudally, causing diastema formation (Fig. 8.9).

In the rare cases where clinically significant diastemata do not occur adjacent to a supernumerary cheek tooth, continuing eruption of the unopposed supernumerary tooth causes an overgrowth (usually at the caudal aspect of the CT rows) (Figs 8.9 & 8.11). Consequently, it is very worthwhile in horses with caudal CT overgrowths, especially with unexplained development of such overgrowths, not to just assume that they are overgrowth of an 11, but to carefully count the teeth to assess if a supernumerary tooth is present. If any doubt exists, latero-oblique radiograph can confirm the presence of supernumerary teeth, but care must be taken not to mistake two overlapping teeth for a single, wide tooth. Very rarely, a second supernumerary tooth (e.g., Triadan 113) will develop caudal to the initial supernumerary cheek tooth as illustrated by Dixon et al.16

Careful examination of a well-restrained horse using a good light source and a dental mirror (or intra-oral camera) is needed to examine the poorly accessible caudal aspect of the mouth where supernumerary CT most commonly develop. If significant periodontal disease is present, extraction of the supernumerary tooth is the ideal solution, but this can be a very difficult procedure, especially in a young horse.16,22 Extraction of an upper 12 can be particularly difficult, as it will likely have a caudally facing reserve crown and apex that may partially lie beneath the orbit. Consequently, it is impossible to apply adequate repulsive forces directly behind the apex to repulse the supernumerary CT into the oral cavity, but careful application of lateral pressure may loosen the tooth.

For many reasons, oral extraction is preferable to repulsion, provided that enough clinical crown of a suitable shape is present, i.e., some supernumerary teeth may be conical – and very difficult to grip with extractors. Sometimes, caudal supernumerary CT may have been mechanically reduced (Fig. 8.9) and possibly rounded off on their occlusal surface, which may preclude oral extraction until they erupt further. Caudal maxillary supernumerary teeth lie beside and may be surrounded by the soft palate – whose normal boundary with the hard palate usually lies at the interdental space of the upper 10s and 11s. Consequently, great care must be taken when orally extracting caudal maxillary supernumerary CT to ensure that the soft palate is not damaged. In particular, it is essential that the soft palate is not perforated towards its midline (where there is no underlying rim of bony palate), as such oropharyngeal fistulas show poor tendency to heal and are likely to cause permanent dysphagia in affected horses. Extraction of CT is comprehensively discussed in Chapter 20.

If oral extraction is not feasible, and clinical signs of apical infection are not present (e.g., sinusitis – with presence of caudally situated supernumerary CT), a further option is to remove any overgrown crown causing soft tissue trauma, and, possibly, to attempt to widen the interproximal space between the supernumerary tooth and the normal 11s using a diastema burr in order to prevent food impaction at this site. Alternatively, any diastema and periodontal pockets present can be cleaned out and filled with acrylic or endodontic restorative material.23 Due to poor access and commonly also to tongue movements, diastema widening is a relatively difficult procedure when the supernumerary tooth has erupted directly behind the 11, and great care must be taken not to damage the soft palate with the burr during the procedure.24,25 If the supernumerary and the Triadan 11 teeth have an obliquely oriented interproximal space between them, it is even more difficult to safely widen this diastema and constant monitoring with an intra-oral mirror or endoscope is necessary during the procedure to guide the diastema burr along the irregular interdental space. Additionally, due to the potential great depth of the diastema (e.g., up to 7 cm deep), it may not be possible to clean them fully of impacted food, even with use of pressurized water or air systems.

As noted, diastema formation adjacent to a supernumerary Triadan 12 can lead to apical infection of the supernumerary and/or adjacent CT and to caudal maxillary sinusitis. Alternatively, food tracking (between the upper 11s and 12s) into the sinus may cause an oromaxillary fistula without apical infection of adjacent CT.23 Unless advanced apical changes are present in such teeth, it may be difficult to determine the presence of apical infection by radiography alone because of the superimposed radiodense sinus structures and contents. Careful examination of each tooth for the presence of pulpar exposure is indicated in such cases and may indicate the presence of apical infection.2628 Advanced imaging techniques, such as scintigraphy and computerized tomography, can also be of great value. In the absence of conclusive evidence of apical infection of the upper 11, extraction of the supernumerary tooth prevents further food pocketing and allows healing of the oromaxillary defect. In the presence of an oromaxillary sinus fistula, sinoscopy or sinusotomy is indicated with thorough lavage of food from the sinus and placement of a postoperative sinus lavage system. If the supernumerary CT is not apically infected, the placement of acrylic into the cleaned and prepared diastema may prevent further ingress of food into the sinus.23 Careful reduction of supernumerary CT also helps prevent its caudal displacement and reduces the likelihood of loss of diastema packing and re-development of oro-maxillary fistula.

Dental dysplasia

Dysplasia or abnormal development of teeth can involve the crown, roots, or all of the tooth. Commonly recorded disturbances in the gross form of teeth include dilacerations (abnormal bending of teeth), double teeth, abnormalities of size, and concrescence (roots of adjacent teeth joined by cementum) of teeth.1,9 Disturbances in the structure of teeth, including dysplasias (disturbances of development) of the individual calcified dental tissues or pulp, are well described in human dentistry, with disturbances in amelogenesis particularly well described.29 There is a rapidly increasing knowledge of the genetic defects that underlie some of these dental dysplasias.30 However, very many human dental dysplasias are secondary to systemic diseases that can occur in utero, or during the neonatal or postnatal periods. Local disturbances, including trauma, can also cause dental dysplasia; for example, the most common cause of enamel hypoplasia of a single human permanent tooth (’Turner tooth’) is damage to the developing ameloblasts by infection of the overlying deciduous tooth.9

Amelogenesis imperfecta includes a range of hereditary disorders affecting enamel formation in both deciduous and permanent teeth and can be divided into two types, i.e., defects in enamel matrix formation or in the mineralization of enamel. The genetics of this disorder in particular are well studied in human dentistry, with AMELX gene mutations increasingly described.9,30 Amelogenesis imperfecta as part of a generalized ectodermal syndrome has been described in a horse (Fig. 8.14),10 and an amelogenesis defect is also the likely cause of the widespread dental dysplasia present in the horse shown in Figure 8.15.

image

Fig. 8.14 Severe dental dysplasia with some abnormally small sized (microdontia) and misshapen CT, and concurrent hypodontia in a young Thoroughbred that suffered a generalized ectodermal dysplasia.

(From Ramzan et al10 with permission from Equine Veterinary Journal.)

image

Fig. 8.15 Lateral-oblique radiograph of a 3-year-old horse that initially presented with maxillary sinusitis. Gross dysplasias of multiple permanent cheek teeth are present.

(Image courtesy of Dr Scott Palmer.)

A wide range of developmental defects of dentin has been described in humans including dentinogenesis imperfecta and others caused by mineral and vitamin deficiencies. Developmental cemental defects are less commonly described in any species, and include root hypercementosis, a feature so commonly found in older equine teeth as to be almost regarded as physiological. Marked hypercementosis is present in some chronic equine CT apical infections.2628 A dramatic hypercementosis of equine incisors has also been described in many horses affected with the recently described equine odontoclastic tooth resorption and hypercementosis syndrome.31

Examples of dysplastic incisors (Figs 8.16 & 8.17) and dysplastic cheek teeth (Figs 8.14, 8.15, 8.18 & 8.19) are also presented here. Recent studies have shown dysplasia to be a relatively common finding in apically infected CT, and to predispose to the apical infection in a minority of cases, and two examples are shown here (Figs 8.20 & 8.21).2628 Some dysplastic teeth are of normal morphological structure and of normal shape but are excessively large i.e., macrodontia or too small, i.e., microdontia, and an example of the former is given in Figure 8.21.

image

Fig. 8.16 This recently erupted dysplastic 403 has an abnormal protrusion on its labial aspect.

image

Fig. 8.17 This young horse has displaced and abnormally shaped maxillary incisors that additionally are suffering focal enamel caries – a rare feature at this site, that is likely caused by structural developmental defects.

image image

Fig. 8.18 (A) Lateral-oblique radiograph of a miniature Shetland pony with dysplasia of 109, 110 and 111. The large, abnormally curved (dilacerated) 109 has caused caudal displacement of the abnormally shaped 110 and 111, with resultant development occlusal abnormalities of both CT rows. (B) Dilacerated dysplastic tooth following extraction. The clinical crown had a groove cut in it to aid its extraction.

image

Fig. 8.19

(A) The occlusal surface of a 307 with multiple, branched subdivisions of pulp chambers 1 and 2 caused by dysplastic enamel. The dysplastic enamel has altered the overall shape of the tooth, causing it to poorly fit its alveolus, resulting in some localized periodontal food pocketing and periodontitis (site indicated by superimposed red lines).

(From Dacre et al,26 with permission from The Veterinary Journal.)

image

(B) The mid-tooth section shows all pulp chambers to be empty. The enamel dysplasia has caused reduced dentinal thickness, and the peripheral cementum has become very infolded, appearing like maxillary infundibula, i.e., completely surrounded by enamel. A new cheek teeth pulp horn numbering system is now in use (see Chapter 5).

image

Fig. 8.20 (A) The caudal root of this dysplastic, apically infected mandibular CT is absent, and its site has a large apical opening leading into a wide necrotic pulp chamber (arrow). Some extraction-induced loss of periodontal membrane has occurred. (B) The occlusal surface shows an additional dysplastic pulp chamber (surrounded by a ring of enamel) that is occlusally exposed.

(From Dacre et al,26 with permission from The Veterinary Journal.)

image

Fig. 8.21 This macrodontic (enlarged) 110 (arrows) is of normal appearance, but is about 50 % wider than the normal maxillary CT. Due to its large size, it has overgrown and excessively worn down the normal (but smaller) opposing 410.

Disparity in the length of the cheek teeth rows

A disparity between the lengths of the upper and lower CT rows, including due to the presence of a supernumerary cheek tooth in one row, or because of larger CT in one opposing row, can result in overgrowths occurring unilaterally or bilaterally on the 06s or 11s (or supernumerary teeth) in upper or lower CT rows. Supernumerary CT problems are dealt with separately later in this chapter. The CT overgrowths should be reduced biannually (as earlier described for the craniofacial disorder, rostral positioning of the maxillary CT row) using techniques outlined in Chapter 17.

Abnormalities of dental eruption

Maleruption of cheek teeth

Some cases of ‘stepmouth’ and ‘wavemouth’ are caused by mismatched eruption of opposing permanent CT in the maxillary or mandibular rows,19 causing an overgrowth of the teeth that erupt first. Bilateral overgrowths of the upper 10s are a common pattern of this disorder in some breeds. These developmental overgrowths may remain for life and even increase in magnitude with time, initiating additional abnormalities of CT wear and diastemata. Recognizing and removing such overgrowths at an early stage (in stages if necessary) is the key to their successful management, as discussed in Chapter 17.

Retention of deciduous teeth

Retention of incisors

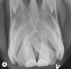
Deciduous incisors are occasionally retained for a significant period beyond their normal time of shedding, which is approximately 2.5, 3.5, and 4.5 years of age, respectively, for the 01s, 02s and 03s. Because the permanent tooth buds normally develop lingual (on oral aspect) to their deciduous precursors, retained incisors usually lie labial (rostral) to the erupting permanent incisors,11 (Fig. 8.22) or lie between and displace the permanent incisors (Figs 8.23, 8.24) but rarely can develop on their lingual aspect (Fig. 8.25).32 Retained incisors can cause the erupting permanent incisors to be displaced (usually lingually), and if deciduous incisors are retained for long enough (e.g., >1 year), they may cause lasting changes to the position of the permanent incisors.33 In some horses, the permanent incisor erupts beside its deciduous precursor, thus forming an expanded incisor arcade. In such cases, it may be difficult to clinically differentiate between the normal permanent incisors and the retained incisor(s), or indeed to assess if the additional tooth in the arcade is in fact a supernumerary incisor. Consequently, radiographs should be taken prior to attempted extraction of any additional incisor, unless it can be positively identified on morphological appearance as being a retained incisor.

image image

Fig. 8.22 (A) This retained 702 has caused caudal (distal) displacement of the permanent 302 and 303. (B) A ventrorostal view showing the 6-cm long tooth being extracted.

image

Fig. 8.23 (A) The additional incisor present in this maxillary incisor arcade was believed to be the tooth with a small rounded clinical crown (arrow), rather than the tooth with a normal sized crown medial (mesial) to it. (B) However, this radiograph showed a wide, short remnant of the 602 to be retained (arrow) and the tooth with the small, rounded clinical crown to be a (slightly small) permanent incisor (302).

image

Fig. 8.24 Retention of the deciduous 702 (arrow) has caused caudal (distal) displacement of the permanent 303 with subsequent abnormal wear of 303 and the opposing 203.

image image

Fig. 8.25 (A) Initial examination of these incisors might suggest rostral displacement of two retained deciduous incisors (501, 502). However, radiography showed the rostrally displaced incisors to be the permanent teeth (101,102), with two short, retained deciduous incisors lying caudal (lingual) to them. (B) View of premaxilla following extraction of the two retained incisors.

Under sedation and appropriate regional nerve block, firmly attached retained deciduous incisors with short reserve crowns can sometimes be extracted, using dental elevators and forceps. However, retained incisors with very long reserve crowns need resection of their alveolar wall to allow extraction. Deciduous incisors that are retained on the lingual aspect of the permanent teeth are more difficult to extract, and their reserve crowns may need to be ground (reamed) out.32 Details of incisor extractions are presented in detail in Chapter 20.

Retention of cheek teeth

Abnormal retention of the remnants of the deciduous CT (termed ‘caps’) can occur in horses between 2 and 4.5 years of age. These deciduous teeth are normally shed at 2.5, 3 and 4 years of age respectively, for the 06s, 07s, and 08s, but there can be much individual variation in the timing of deciduous cheek tooth shedding.33,34 If the deciduous teeth are loose, they may abnormally stretch or tear periodontal ligaments or gingival attachments during mastication, causing short-term oral discomfort. Affected horses may display headshaking, quidding, resistance to the bit, and occasionally loss of appetite for a couple of days, until the loose teeth are shed. Such clinical signs of oral discomfort in 2–4-year-old horses warrant careful oral examination for evidence of deciduous teeth that are loose or have a distinct space between deciduous and permanent teeth (Fig. 8.26). If loose deciduous CT are found, they can be removed using specialized ‘cap’ extractors or small CT forceps (Fig. 8.27). Even if not loose, some clinicians advise that temporary CT should be extracted, if the corresponding contralateral ‘cap’ has already been shed.

image

Fig. 8.26 A distinct margin is apparent between the deciduous and permanent mandibular CT in this skull, indicating the former is ready to be shed, and is retained by periodontal attachments on one side only (arrow).

image

Fig. 8.27 This loose deciduous tooth, which had a large space between it and the underlying permanent CT with food entrapment, is being extracted with a ‘cap extractor’.

It has been suggested that the prolonged retention of ‘caps’ may predispose to delayed eruption of the underlying permanent cheek tooth and also to the development of enlarged ‘eruption cysts’ (‘3 y.o. or 4 y.o. bumps’) and thus to apical infections.35 These swellings, beneath the developing apices of the permanent CT, occur more commonly on the mandible than maxilla. However, another study found no evidence of retained deciduous CT in horses with mandibular apical infection – most of which developed within months of eruption of affected teeth.36 Nevertheless, there is close temporal relationship between dental eruption, and development of apical infection in mandibular CT.36 The presence of very enlarged eruption cysts on a mandible or maxilla, especially if unilateral, should prompt a thorough oral examination for the presence of retained deciduous CT, or other dental abnormalities.

The practice of methodically removing deciduous teeth at set ages results in the premature removal of deciduous CT in some horses. Once the deciduous tooth is removed, the fleshy dental sac covering the underlying developing permanent cheek tooth is exposed and quickly destroyed by mastication. This leads to loss of blood supply to the occlusal aspect of the infundibula of the rostral three upper CT (06, 07, 08), where active cement deposition may still be occurring. This may result in marked central infundibular cement hypoplasia and so predispose to the development of infundibular caries later in life. In conclusion, deciduous teeth should not be removed until they become digitally loose; have an obvious space between them and the erupting permanent CT; protrude above the remaining occlusal surface; or the contralateral deciduous tooth has been shed.

Vertical impaction of cheek teeth (‘eruption cysts’; ‘3 year-old and 4-year-old bumps’)

As noted in the previous section, many horses develop focal, bilateral swellings of their mandible and also less obviously (due to the presence of overlying muscles) of their maxillae beneath the developing apices of the 07 and 08 CT (Fig. 8.28). Certain breeds, especially lighter breeds and miniature breeds in particular, are more prone to develop these bony swellings. These eruption cysts may be due to vertical impaction of the CT that erupt last and a study showed increased angulation of the two adjacent CT onto mandibular CT with apical infection.36 With time, as the mandible and maxillae lengthen, the impacted CT have room to erupt normally and the overlying bones then remodel to a normal contour over the following year or so. Occasionally, the impacted tooth may become ankylosed to the ventral mandibular cortex and never erupt (Fig 8.29).

image

Fig. 8.28 This 4-year-old horse has bilateral eruption cysts beneath the lower 07s and 08s.

image image

Fig. 8.29 (A) Diagrammatic representation of overcrowding and vertical impaction of a mandibular 08. (B) Radiograph of a vertically impacted 307 that has become ankylosed to the ventral mandibular cortex. Additionally, marked drifting of the two adjacent teeth (306, 308) more occlusally now permanently prevents its eruption.

Developmental diastema(ta)

As noted earlier, the occlusal surfaces of the individual CT rows are normally compressed tightly together so that the occlusal surface of the 6 CT in each row function as a single grinding unit. However, if spaces, i.e., diastema(ta) develop in the interdental (interproximal) space between the CT, food impaction will occur in these spaces12,24,25 (Fig. 8.30). Developmental mechanisms that can allow CT diastemata to develop24,25 include inadequate angulation of the rostral (06s) and caudal (10s, 11s) CT that normally compress the occlusal aspects of all 6 CT together occlusally. Alternatively, CT may have normal angulation but develop too far apart due to disparity between size of teeth and supporting bones or because the CT buds develop too far apart.

image

Fig. 8.30 View of medial aspect of the left hemimandible showing deep food impaction with periodontal disease in three interdental (interproximal) spaces that has been caused by CT diastemata.

Carmalt has proposed that the term valve diastema be used to differentiate these pathological diastemata from the normal diastemata present between the incisors (or canine teeth in males) and the CT (i.e., ‘bars of mouth’) or from a wide interdental space, e.g., where a cheek tooth has been lost.4 Such valve diastemata are more problematic than open diastemata – where the abnormal space has similar width from the occlusal surface to the gingiva. Du Toit et al have shown that clinical examination of diastemata can accurately differentiate between valve diastemata (narrower on occlusal than gingival aspect) or open diastemata (same width from occlusal to gingival aspects) – with mean occlusal to gingival diastema width ratios of 0.4 found in valve diastemata and of 1.07 in open diastemata.37 The presence of sharp transverse overgrowths or accentuated transverse ridges directly opposite wider diastemata can selectively widen such diastemata and compress food into them, but most problematic CT diastemata are valve diastemata with narrow (<3 mm) spacing occlusally, that do not have linear occlusal overgrowths on the opposite CT.

The massive and prolonged forces of mastication on equine CT occlusal surfaces cause progressively deeper impaction of long fibers into widened interdental spaces, which can later spread sub-gingivally to the lateral and medial aspects of the two affected teeth. This leads to a painful and usually progressive secondary periodontal disease with remodeling and lysis of the alveolar bone – that occasionally may even lead to extensive osteomyelitis of the supporting mandibular or maxillary bones,12 or if involving the upper 08s–11s, to sinusitis or an oro-maxillary fistula – with the overlying maxillary sinuses becoming filled with food and exudate.23 CT diastema can be recognized by finding food fibers packed in between teeth and more significantly in periodontal pockets between the CT just above the gingival margin (Fig. 8.30), especially between the caudal mandibular cheek teeth (09s–10s; 10s–11s). Due to their common position between the caudal mandibular CT where they are hidden by the tongue, mandibular CT diastemata are difficult to detect clinically unless these sites are carefully examined with an intra-oral mirror24 or endoscope.38,39

Open-mouthed radiographic evaluation of diastemata is a very useful method of assessment of this disorder, both to evaluate the dimensions of diastemata and more importantly, to assess the positions and angulations of the CT.40,41 Cheek teeth with good angulation may grow together over the following years, with closure of the diastemata, whilst the prognosis is poorer for CT with inadequate angulation.25

Cleaning out periodontal pockets with manual dental picks or long, right-angled forceps, or by using high pressure water or air picks can allow short-term relief, and filling the cleaned periodontal pockets with soft plastic impression material may be of longer-term benefit for some cases. If present, removal of overgrown transverse ridges opposite diastemata may reduce food impaction. Feeding mechanically chopped forage is also palliative because short (e.g., <5mm long) fibers do not become entrapped in diastemata. In younger horses, this diet may allow time for further eruption and compression of the CT row, provided the rostral and caudal CT have sufficient angulation.24 Specialized burrs can be used to widen diastemata at the occlusal surface to help limit food trapping and are best used after radiographic evaluation (open-mouth projections) of diastemata and careful examination of the occlusal surface to assess the direction of the interproximal space (and diastema) between affected CT, as some (especially caudally situated) diastemata have a diagonal and/or wavy interproximal space. Great care must be taken not to thermally damage or directly expose the pulp of the CT being burred. A long-term study showed excellent clinical results with this treatment.25

Developmental displacement of teeth

Displacement of incisors

In addition to displacements in the presence of supernumerary incisors, occasionally gross displacement of permanent incisors can occur in horses with a normal number of teeth (Fig. 8.31). Previous trauma can cause displacements of the developing incisors, especially mandibular incisor(s), but incisors may also be displaced because of intrinsic developmental reasons.

image

Fig. 8.31 This 4-year-old horse has a developmental displacement of 202 that is rotated almost 90° and so is horizontally (rather than vertically) aligned to the long axis of the premaxilla. It was treated by repeated floating its occlusal surface. Extraction of the displaced incisor would be difficult and likely to damage the adjacent normal incisors.

Displacement of cheek teeth

Displacements are extremely rare in deciduous equine CT, but are well recognized in permanent CT. Two different types of permanent CT displacement (i.e., developmental and acquired) are recognized in horses.12 Most severe CT displacements, especially in younger horses, are developmental and often appear to be caused by overcrowding of the dental rows during eruption and, less commonly, by developmental displacement of the developing CT bud. Developmental CT displacement may be bilateral, and displaced CT may be bent (dilaceration), suggesting that dental overcrowding occurred prior to calcification of the developing tooth (Fig. 8.32). Trauma to the jaws can also damage or displace a developing CT bud, causing later maleruption. The permanent 06, 07, and 08 positions are seldom affected with overcrowding or developmental displacements because they replace deciduous teeth of approximately the same size.

The 09 and 10 positions are most commonly displaced, and equine mandibular CT are three times more likely to be displaced than maxillary CT.12 Rotation of displaced CT is occasionally present, especially with displaced maxillary CT. Large and sharp overgrowths can develop on aspects of displaced teeth and their opposing teeth, that are not in full occlusal contact. Developmentally displaced CT invariably have diastemata between the displaced and adjacent CT (Fig. 8.318.33), which allows painful food pocketing.24,25 In some horses, very wide diastemata occur beside displaced CT, which suggests that abnormal positioning of the developing tooth bud, rather than dental overcrowding, was the initial cause of the displacement. Abnormally protruding areas of displaced CT and, less commonly, secondary overgrowths on opposite teeth, can lacerate the cheeks and tongue, causing bitting and quidding problems (Fig. 8.33). However, deep and painful periodontal food pocketing due to concurrent diastemata is the usual cause of quidding that persists after the protruding areas of displaced (or opposing) teeth are ground down.

image

Fig. 8.32 Developmental displacement is present in this 410 which is bent. Diastema is present adjacent to the displaced tooth and also between 408 and 409.

Marked displacements where CT lay horizontal in the mandible or the maxilla and never erupted have been reported.42,43

Abnormal protrusions or overgrowths of displaced CT (or their misaligned opposing CT) can be removed with manual or power instruments, and impacted food in diastemata should be removed. If very extensive food pocketing is present, these diastemata can be mechanically widened (removing most dental tissue from the displaced tooth), and overgrowths on the opposing teeth ground down. Finally, displaced teeth can be extracted, especially when markedly displaced or rotated, and this procedure is most readily performed in older horses with shorter reserve crowns, especially where the CT have been loosened by deep periodontal disease. Such extractions can readily be performed per os in the standing, sedated horse, and an excellent clinical response usually follows.

image

Fig. 8.33 Post mortem image of a marked developmental lateral (buccal) displacement of a 309 that has not been treated for years. The displaced tooth has caused severe ulceration and deeper muscle damage to the cheeks (arrow). Marked periodontal disease on both sides of the displaced CT caused additional oral pain to this neglected horse.

(From Dixon et al,12 with permission from Equine Veterinary Journal.)

References

1 Miles AEW, Grigson C. Colyer’s Variations and diseases of the teeth of animals. Cambridge: Cambridge University Press; 1990. 118–122, 307–311

2 Easley J. Basic equine orthodontics. In: Baker GJ, Easley J. Equine dentistry. 2nd edn. Edinburgh: Elsevier; 2005:249–266.

3 Easley J. Equine orthodontics. In: Focus on Equine Dentistry. Indianapolis: American Association of Equine Practitioners; 2006:39–46.

4 Carmalt JL, Townsend HGG, Allen AL. Effect of dental floating on the rostrocaudal mobility of the mandible of horses. Journal of the American Veterinary Medical Association. 2003;223:666–669.

5 Scrutchfield WL. Equine dental instrumentation. In: Baker GJ, Easley J. Equine dentistry. London: WB Saunders; 1999:173–184.

6 Easley J. Corrective dental procedures. In: Baker GJ, Easley J. Equine Dentistry. 2nd edn. Edinburgh: Elsevier Saunders; 2005:221–248.

7 Brown SL, Shaw DJ, Dixon PM, Arkins S. Occlusal angles of cheek teeth in normal horses and horses with dental disease. The Veterinary Record. 2008;162:807–810.

8 Schumacher J, Dixon PM. Diseases of the Nasal Cavity. In: McGorum BC, Robinson NE, Dixon PM, Schumacher J. Equine Respiratory Medicine and Surgery. Elsevier Oxford; 2005:369–392.

9 Soames JV, Southam JC. Disorders of development of teeth and craniofacial abnormalities. In Oral Pathology, 4th edn, Oxford: Oxford University Press; 2006:1–18.

10 Ramzan PHL, Dixon PM, Kempson SA, Rossdale PD. Dental dysplasia and oligodontia in a Thoroughbred colt. Equine Vet J. 2001;33:99–104.

11 Dixon PM, Tremaine WH, Pickles K, et al. Equine dental disease part 1: a long-term study of 400 cases: disorders of incisor, canine and first premolar teeth. Equine Vet J. 1999;31:369–377.

12 Dixon PM, Tremaine WH, Pickles K, et al. Equine dental disease part 2: a long-term study of 400 cases: disorders of development and eruption and variations in position of the cheek teeth. Equine Vet J. 1999;31:519–528.

13 Wafa NSY. A study of dental disease in the horse. MVM thesis. Dublin: National University of Ireland; 1988. 91–173

14 Baker GJ. A study of equine dental disease. PhD Thesis. University of Glasgow; 1979. 36–38

15 Orsini PG. Oral cavity. In: Auer JA, ed. Equine Surgery. Philadelphia: WB Saunders; 1992:300.

16 Dixon PM, Easley KJ, Ekmann A. Supernumerary teeth in the horse. Journal of Clinical Techniques in Equine Practice. 2005;4:155–161.

17 Rajab LD, Hamdan MAM. Supernumerary teeth: review of the literature and a survey of 152 cases. International Journal of Paediatric Dentistry. 2002;12:244–254.

18 Garvey MT, Barry HJ, Blake M. Supernumerary Teeth – An overview of classification, diagnosis and management. Journal of the Canadian Dental Association. 1999;65:612–616.

19 O’Connor JJ. Affections of the teeth: Abnormalities of development. In: O’Connor JJ, ed. Dollar’s Veterinary Surgery. 4th edn. Chicago: Alexander Eger; 1950:591.

20 Dixon PM, Dacre I. A review of equine dental disorders. Vet J. 2005;169:165–187.

21 Wortley AJ. Irregularities and diseases of the teeth. In: Wortley AJ, ed. The horse, its treatment in health and disease, Vol.2. London: Gresham Publishing; 1907:327.

22 Dixon PM, Dacre I, Dacre K, et al. Standing oral extraction of cheek teeth in 100 horses (1998–2003). Equine Vet J. 2005;37:105–112.

23 Hawkes CS, Easley J, Barakzai SZ, Dixon PM. Treatment of oromaxillary fistulae in nine standing horses (2002–2006). Equine Vet J. 2008;40:546–555.

24 Collins N, Dixon PM. Diagnosis and management of equine diastemata. Techniques in Equine Practice. 2005;4:148–154.

25 Dixon PM, Barakzai S, Collins N, Yates J. Treatment of equine cheek teeth by mechanical widening of diastemata in 60 horses (2000–2006). Equine Vet J. 2008;40:22–28.

26 Dacre IT, Kempson S, Dixon PM. Pathological studies of cheek teeth apical infections in the horse Part 4: Aetiopathological findings in 41 apically infected mandibular cheek teeth. Vet J. 2008;178:341–351.

27 Dacre IT, Kempson S, Dixon PM. Pathological studies of cheek teeth apical infections in the horse. 5 Aetiopathological findings in 57 apically infected maxillary cheek teeth and histological and ultrastructural findings. Vet J. 2008;178:352–363.

28 van den Enden MS, Dixon PM. Prevalence of occlusal pulpar exposure in 110 equine cheek teeth with apical infections and idiopathic fractures. Vet J. 2008;178:364–371.

29 Aldred MJ, Crawford PJ. Amelogenesis imperfecta – towards a new classification. Oral Diseases. 1995;1:2–5.

30 Vastardis H. The genetics of human tooth agenesis: new discoveries for understanding dental anomalies. American Journal of Orthodontics and Craniofacial Orthopaedics. 2000;117:650–656.

31 Staszyk C, Bienert A, Kreutzer R, et al. Equine odontoclastic tooth resorption and hypercementosis. Vet J. 178, 2008. 372–337

32 Alexander K, McMillen RG, Easley J. Incisor extraction in a horse by a longitudinal forage technique. Equine Veterinary Education. 2001;13:179–182.

33 Scrutchfield WL, Schumacher J. Examination of the oral cavity and routine dental care. Veterinary Clinics of North America – Equine Practice. 1993;9:123–131.

34 Sisson S, Grossman JD. The Anatomy of Domestic Animals, 4th edn. Philadelphia: WB Saunders; 1971. pp 396–405

35 Barrairon P, Blin PC, Molinier F. Contribution à l’etude du mechanisme de formation de fistule des premolaires chez le jeune cheval. Bulletin de l’ Academie Veterinaire de France. 1980;53:47–54.

36 Dixon PM, Tremaine WH, Pickles K, et al. Equine dental disease part 4: a long-term study of 400 cases: apical infections of cheek teeth. Equine Vet J. 2000;32:182–194.

37 Du Toit N, Burden FA, Gosden L, Dixon PM. A study of the dimensions of diastemata and associated periodontal food pockets in donkey cheek teeth. J Vet Dent. 2009;26:10–14.

38 Tremaine WH. Dental endoscopy in the horse. Clinical techniques in equine practice. 2005;4:181–187.

39 Simhofer H, Griss R, Zetner K. The use of oral endoscopy for detection of cheek teeth abnormalities in 300 horses. Vet J. 2008;178:396–404.

40 Easley J, A new look at dental radiography. Proceedings of the 48th Annual Convention of the American Association of Equine Practitioners, 2002, 412–420

41 Barakzai SZ, Dixon PM. A study of open-mouthed oblique radiographic projections for evaluating lesions of the erupted (clinical) crown. Equine Veterinary Education. 2003;15:143–148.

42 Edwards GB. Retention of permanent cheek teeth in horses. Equine Veterinary Education. 1993;5:399–402.

43 Becker E. Zahne. In: Dobberstein J, Pallaske G, Stunzi H, Band V. Handbuch der speziellen pathologischen anatomie der haustiere. 3rd edn. Berlin: Verlag Paul Parey; 1962:121–265.