Page 215

15 The maxillary antrum

K.H. Taylor

The maxillary antrum is closely related to the roots of the maxillary premolar and molar teeth and is frequently visualized on oral and facial radiographs. The signs and symptoms of antral disease may mimic those of dental disease (and vice versa).
Dental surgery in the maxillary molar and premolar region may be complicated by the creation of an oroantral communication, the displacement of whole teeth, roots or other foreign bodies into the antrum or a fracture of the maxillary tuberosity.
Antral disease may cause facial pain and the antral wall may be fractured during facial trauma.
Malignant disease within the antrum often presents late but may be first diagnosed from its oral signs and symptoms.

ASSUMED KNOWLEDGE

It is assumed that at this stage you will have knowl-edge/competencies in the following areas:

anatomy of the maxillary antrum and maxillary teeth, including an understanding of their innervation and normal radiographic appearance
clinical features and diagnosis of pain of dental origin
principles of dental extraction and the surgical removal of teeth (see Ch. 4).

If you think that you are not competent in these areas, revise them before reading this chapter or cross-check with relevant texts as you read.

INTENDED LEARNING OUTCOMES

At the end of this chapter you should be able to:

1. Distinguish signs and symptoms originating in the maxillary antrum from those of dental origin. Understand the common investigations and surgical procedures performed for antral disease and know when their use is indicated
2. Recognize situations in which dental extraction/minor oral surgery may be complicated by the creation of an oroantral communication or the displacement of a foreign body, tooth or root into the antrum
3. Know how to treat a newly created oroantral communication or a foreign body displaced into the antrum and how to minimize the risk of these complications occurring
4. Anticipate and minimize the risk of a fracture of the maxillary tuberosity occurring during tooth extraction and know how to treat this complication
5. Recognize the characteristic features of malignant disease of the maxillary antrum
6. Distinguish between those conditions of the maxillary antrum suitable for treatment in general dental practice and those requiring referral to a specialist.
Page 216

THE IMPORTANCE OF THE MAXILLARY ANTRUM TO DENTAL SURGERY

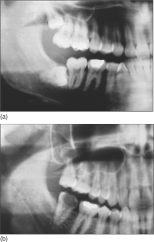
The maxillary sinus is often referred to as the maxillary antrum (or more simply the ‘antrum’). It is important to the dental surgeon because of its close relationship to the posterior maxillary teeth (generally from first premolar to third molar). The proximity varies between individuals (Fig. 15.1) but tends to increase with age as the antrum enlarges. The antrum can encroach into alveolar bone after tooth extraction, and periapical bone loss resulting from dental disease may further decrease the amount of bone separating it from the teeth. This close anatomical relationship can lead to diagnostic difficulties because both the antrum and the maxillary teeth are innervated by branches of the maxillary division of the trigeminal nerve. In addition, infection may spread from the periapical region of the posterior maxillary teeth to the antrum (and in the opposite direction) and the antrum is at risk of iatrogenic damage during certain dental procedures.

image

Fig. 15.1 (a) A small maxillary antrum that does not reach the apex of the second premolar. (b) A large maxillary antrum that reaches to the apex of the lateral incisor.

The ability to distinguish between dental and antral symptoms enables the dental surgeon to decide when dental treatment is indicated and when referral (e.g. to a general medical practitioner, an oral and maxillofacial surgeon or an ear, nose and throat (ENT) surgeon) is appropriate.

The antrum is visualized on oral and facial radiographs (notably periapical views of the posterior maxillary teeth, orthopantomogram (OPT) and occip-itomental views) and a knowledge of its normal radiographic appearance is essential in the diagnosis of both dental and antral disease. Evidence of antral pathology may be incidentally discovered by the general dental practitioner (GDP) on these radiographs.

Although the GDP is unlikely routinely to perform elective surgery within the antrum, there will be occasions when dentoalveolar surgery with a degree of antral involvement is necessary—for example, to repair a newly created oroantral communication. It is necessary for the GDP to be able to recognize and deal with problems such as oroantral communication and foreign body in the antrum and he or she should be capable of explaining the commonly performed antral investigations and surgical procedures to a patient who requests information. The GDP may also recommend other procedures that involve antral surgery (e.g. ‘sinus lift’/alveolar ridge augmentation procedures used prior to the placement of osseointegrated implants).

Summary of the importance of the maxillary antrum to dental surgery

The roots of the upper premolars and molars and the floor of the maxillary antrum are closely related and share a common innervation. As a result dental symptoms and antral symptoms can mimic each other
Dental procedures may be complicated by problems involving the antrum, including creation of an oroantral communication, displacement of a foreign body into the antrum and fracture of the maxillary tuberosity
Antral pathology may be incidentally demonstrated on dental radiographs
Page 217

DISTINGUISHING SIGNS AND SYMPTOMS OF DENTAL PATHOLOGY FROM THOSE OF SINUSITIS

Maxillary sinusitis is common and the dentist needs to be able to distinguish it from dental disease. It is usually an acute condition, but chronic sinusitis may also develop following an acute episode and may persist or recur if drainage from the antrum to the nasal cavity is poor or when a foreign body is retained.

Acute sinusitis may affect any of the paranasal sinuses but is usually confined at any one time to a single sinus. It is a bacterial infection and typically occurs after a viral upper respiratory tract infection (URTI) (Haemophilus, Pneumococcus, Streptococcus, Staphylococcus species and anaerobes are commonly found).

Maxillary sinusitis is usually related to impaired antral drainage, which may be caused by:

1. Mechanical obstruction of the ostium resulting from
(a) inflammatory oedema of the nasal mucosa (due to a common cold)
(b) ethmoid polyps or
(c) deviated nasal septum
2. Impaired mucus clearance resulting from
(a) poor ciliary action (e.g. related to the mucosal damage caused by chronic infection or surgical stripping) or the viral damage caused by a common cold (or occasionally due to rare conditions such as primary ciliary dyskinesia)
(b) abnormally thick or sticky mucus (as found in cystic fibrosis).

Accumulated secretions become infected, allowing a collection of pus to develop in the antrum.

Dental diseases (including periapical pathology, infected odontogenic cysts and periodontal disease) may also cause sinusitis. Other possible causes include the presence of contaminated foreign bodies, trauma or infections of non-odontogenic cysts or malignant tumours.

Signs and symptoms of sinusitis

Symptoms of acute sinusitis usually appear a few days after the acute cold symptoms have resolved. Pain, headache, nasal obstruction, a purulent nasal secretion and ‘postnasal drip’ (a discharge of ‘mucopus’ into the pharynx) are commonly found and there may also be fever and malaise. The pain is dull, heavy, throbbing and located over the cheek and in the upper teeth. It may resemble toothache but is not related to hot, cold or sweet stimuli, although it may be increased by biting. Typically all of the posterior teeth on the affected side are painful and tender to percussion, although often no obvious dental cause can be found. Leaning the head forwards increases the pain (as it leads to an increase in venous congestion which, together with collected secretions, occludes the ostium and increases pressure within the antrum). However, leaning the head backwards reduces congestion, allowing the ostium to become patent, reducing internal antral pressure and consequently relieving pain. Although the pain usually overlies the affected sinus it may be referred from the antrum to the frontal and retro-orbital regions.

Clinical signs of sinusitis

Signs of a recent upper respiratory tract infection, e.g. rhinorrhoea and nasal redness, dryness or crusting
Tenderness of the cheek (especially in the infraorbital region and canine fossa)
Tenderness of teeth in whole buccal segment to percussion or pressure
Tenderness over the anterior antral wall, intraorally
Swelling and inflammation of the cheek (rare in sinusitis)
Page 218

THE INVESTIGATION OF ANTRAL DISEASE

A diagnosis of sinusitis can usually be made from the findings of the history and examination. The teeth and surrounding tissues should be examined for disease (although remember that sinusitis may itself have a dental cause). Transillumination, using a torch shone from inside the mouth, may demonstrate antral congestion but this is a rather crude test and may fail to detect tumours. Radiographs are not usually required to confirm the diagnosis of sinusitis as the diagnosis can be made on clinical grounds alone. Radiographs are only required to exclude the possibility of dental disease, trauma or pathology within the antrum. If pathology or trauma is suspected, occipitomental radiographic views are often taken in specialist centres. A ‘fluid level’ may be visible which represents a collection of pus, although following trauma it may be due to the presence of blood and suggests that there is a fracture of the wall of the antrum. Opacities due to polyps, cysts, thickened antral lining, tumours and radio-opaque foreign bodies may also be demonstrated.

Other useful radiographs include:

the OPT (to show foreign bodies, oroantral communication (or at least a bone defect suggestive of such a communication), the size of antrum and its relationship to maxillary teeth, cysts and tumours)
periapical views (for the relationship between roots and antrum)
computed tomography (CT) scans (useful to demonstrate tumours or comminuted fractures involving the orbit or zygomatic complex).

Much useful information can be gathered by endoscopy of the antrum. This is better performed by someone with experience of endoscopy in the region (such as an ENT surgeon).

DENTAL EXTRACTIONS AND THE ANTRUM

The following complications may occur during the extraction of posterior maxillary teeth because of their close proximity to the maxillary antrum:

creation of an oroantral communication
displacement of a tooth or root into the antrum
fracture of the maxillary tuberosity.

Maxillary premolars and permanent molars are most frequently implicated, although permanent canines may occasionally be very close to the antrum. Complications may also occur during the surgical removal of impacted partially erupted or unerupted teeth (e.g. canines, premolars and third molars). The extraction of deciduous teeth does not present a risk due to the relatively small size of the antrum in children and the presence of the developing permanent teeth.

An assessment of the size and proximity of the antrum before extraction or periapical surgery on a posterior maxillary tooth may help to anticipate and avoid these complications. When a complication does occur, it should be recognized and dealt with promptly.

The following factors should be taken into account during clinical and radiographic examination in order to anticipate and avoid complications:

the size of the antrum and its relationship to the teeth
the size and shape of the tooth and roots and evidence of any periapical pathology
the patient’s age
the patient’s past dental history.

If the dental history reveals the creation of an oroantral communication during a previous extraction there is likely to be an increased risk of this complication occurring during the subsequent extraction of adjacent or contralateral teeth. Similarly, if there is a history of difficult extractions, due perhaps to hypercementosis or dense bone, there may be an increased risk of tuberosity fracture.

OROANTRAL COMMUNICATION AND FISTULA

An oroantral communication (OAC) is an abnormal connection between the oral and antral cavities; an oroantral fistula (OAF) is an epithelialized OAC (although the terms OAC and OAF are often used interchangeably).

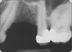
The creation of an OAC most commonly follows the extraction of a maxillary tooth closely related to the antral floor (typically the first molar (Fig. 15.2), which lies close to the lowest point of the antral floor, although any premolar or molar may be affected). An OAC may also form as a result of an alveolar fracture running through the antral floor or wall, or be due to direct trauma from a bur or chisel. Left untreated, an OAC may heal spontaneously or persist as an OAF (Fig. 15.3).

image

Fig. 15.2 A maxillary molar in close relation to the maxillary antrum.

image

Fig. 15.3 Oroantral fistula in the first molar region with proliferation of soft tissue.

The following signs indicate OAC formation:

a visible defect between the mouth and antrum
Page 219
bone fragments with a smooth concave upper surface (antral floor fragments) adhering to the root of the extracted tooth.

Investigation of a suspected OAC

The presence of an OAC can often be confirmed by careful examination using a mirror and a good light, although bleeding may obscure visibility. The interior of the antrum may be visible or there may be a bony defect lined by intact antral mucosa. Gentle suction applied to the socket often produces a characteristic hollow sound. The temptation to confirm the presence of a suspected OAC by probing or irrigation (to demonstrate transfer of fluid through the OAC into the antrum and nose) should be resisted. Both methods carry the risk of causing sinusitis by introducing oral flora or pushing contaminated bone fragments or other foreign bodies into the antrum. Even gentle probing may breach an intact antral floor or mucosal lining to create an OAC where one previously did not exist. It may also increase the size of an existing OAC, lessening the chances of spontaneous closure and complicating future surgical repair.

To test for a suspected OAC, a patient may be asked to attempt to blow the nose whilst pinching the nostrils. Air, which is unable to escape through the closed nostrils, is forced into the mouth through any OAC, producing bubbles of blood or saliva. Established OAFs often have small slit-like or pinhole oral openings concealing much wider underlying bony defects. They can also be detected using the above test and if sinusitis is present pus may be expressed or may discharge spontaneously into the mouth.

A patient with an untreated OAC or established OAF will typically give a history of an upper molar or premolar extraction followed by the development of:

salty-tasting discharge or the awareness of an unpleasant smell
reflux of fluids and food (and smoke in smokers) into the nose from the mouth
escape of air into mouth during nose blowing
recurrent or chronic sinusitis on the affected side
difficulty in smoking a cigarette or playing a wind instrument
proliferation of soft tissue around the fistula.

Radiographs (e.g. periapical views or OPT) are useful to confirm the diagnosis of OAC/OAF and to assess the size of the bone defect, although small defects may not be demonstrated.

Page 220

Prevention of OAC formation

Where the risk of OAC formation is anticipated, the patient should be warned preoperatively and steps should be taken to avoid this complication. Surgical exodontia is preferable to forceps extraction because it allows more control over bone removal and, by tooth division, enables individual roots to be delivered away from the thin antral floor. If a mucoperiosteal flap is raised its design should allow it to be adapted for OAC repair if necessary.

The diagnosis and enucleation of cysts near the antrum can be problematic, as an extension of the antrum may be mistaken for an odontogenic cyst during the preoperative assessment and at operation. Both have a similar radiographic appearance, although a radio-opaque line can usually be seen to separate a cyst cavity from the antrum, whereas an extension of the antrum will appear continuous with the main antral cavity. Because the healthy antrum contains air but a cyst contains fluid, the following simple test is often useful to distinguish between the two at operation. The thin bony wall is pierced using a wide-bore needle connected to a large syringe and the cavity contents aspirated. Air is aspirated if the antrum has been pierced; fluid would be recovered from a cyst. Unfortunately, this test is not foolproof as pus may be aspirated from an infected antrum or the contents of a cyst may be too thick to enter the needle, giving the impression of an empty cavity.

Treatment of OAC and OAF

The immediate treatment of a new OAC is aimed at preventing the development of a persistent OAF and chronic sinusitis. Larger communications require surgical closure although small defects (up to 5 mm wide) may heal spontaneously (it is likely that many close without being detected). However, early surgical closure is recommended whenever possible as it is difficult to predict when spontaneous healing will occur.

Immediate treatment of new OAC

This aims to encourage the regeneration of new bone between the oral and antral cavities. Treatment is directed at protecting the blood clot within the socket whilst organization and bone formation take place and at preventing infection of the wound or antrum.

Where further surgery is delayed or contraindicated an acrylic base plate or extension of an existing denture can be used to support the clot, or a dressing such as ribbon gauze (soaked in an antimicrobial agent) may be sutured across (not into) the defect. In smokers this has the advantage of protecting the clot from disturbances due to the changes in intraoral pressure associated with inhalation. However, care must be taken not to force impression material through the OAC into the antrum (the defect can be covered with sterile gauze while the impressions are taken).

If there is sufficient soft tissue, the opposing palatal and buccal mucosa may be held together with mattress sutures. A strong, preferably non-resorbable, suture material should be chosen (e.g. 3/0 black silk) and sutures retained for 10–14 days to ensure that healing is complete before they are removed. Reducing the height of the bony socket edges with a bur and slightly undermining the tissue margins helps to bring the margins together where there is a shortage of soft tissue. However, there is often insufficient mucosa for this simple technique and because the sutures are unsupported by bone there is a risk of wound dehiscence. If there is insufficient mucosa a buccal mucoperiosteal advancement flap is used to cover the defect. This is a more demanding procedure, which should be undertaken by a general dental practitioner only if he or she has adequate training, experience and facilities.

Further options for the treatment of OAC/OAF

If the immediate measures are insufficient or fail to lead to healing of an OAC (e.g. in the case of a large OAC) further treatment becomes necessary. Tissue from local flaps is most often utilized to close oroantral defects, although distant flaps (e.g. from the tongue) and grafting are also possible. The choice of method depends on the size and position of the communication. Of the variety of local flaps which have been described the most common is the buccal advancement flap.

Buccal advancement (Rehmann’s) flap (Fig. 15.4)

This technique is suitable for the closure of new OACs and chronic OAFs.

image

Fig. 15.4 Closure of an oroantral fistula with a buccal advancement flap.

(a) The incisions outlined from the buccal and occlusal aspects.
(b) Incision of periosteum only, high up in the reflection of the sulcus.
(c) Extension of the flap following ‘release’.
(d) Closure with vertical mattress sutures, seen from the occlusal aspect.

1. A sharp probe is used to locate the edges of the bony defect (which may be considerably larger than the soft-tissue defect—especially in a long-standing OAF).
Page 221
2. The epithelium lining the fistula tract (if present) and soft-tissue margins is excised with a No. 11 scalpel blade, leaving a 2- to 3-mm rim of exposed bone, which enables the suture line to rest on sound bone. Alternatively, the fistula may be turned in on itself, up into the antrum. This presents, in the place of an empty tract, a connective tissue surface for the underside of the buccal flap to lie against.
3. A broad-based three-sided buccal mucoperiosteal flap, which extends to the full depth of the sulcus, is cut and reflected.
4. The periosteum lining the inner surface of the flap is cut parallel to and close to its base, allowing the flap to be stretched (‘advanced’) without tension to meet the palatal mucosa. Although the full width of the periosteum must be divided in order to mobilize the flap, care must be taken not to compromise the blood supply by creating a ‘button-hole’ in the thin buccal tissue. To prevent this the back of a scalpel blade may be used with repeated light strokes until the periosteum is cut through.
5. The palatal margin is slightly undermined and the wound closed with mattress sutures. This author recommends 3/0 non-resorbable (or a long-lasting resorbable) suture material and that sutures should be retained for 10–14 days.
Page 222

This is a simple, well-tolerated procedure with a good success rate. It can be performed under local anaesthesia in a cooperative patient and may be performed in general dental practice if adequate skill and facilities are available. Although this technique initially reduces sulcus depth, this is usually temporary.

In OAFs with large bony defects or where previous surgical closure has been unsuccessful, more complicated surgery may be required to close the defect. An adaptation of the buccal advancement flap utilizing a buccal fat pad (BFP) graft is often used. This is performed under GA in order to achieve adequate analgesia and as surgery is more prolonged. A broad-based three-sided mucoperiosteal flap is raised and periosteum incised (Fig. 15.4). The BFP is then located using a vestibular incision in the region of the upper first permanent molar and mobilized using blunt dissection with artery forceps. This tissue is then advanced to cover the bony defect and the mucoperiosteal flap is sutured using a non-resorbable material. A high success rate using the BFP graft has been reported.

Palatal rotation flap (Fig. 15.5)

This is used less commonly than the buccal advancement flap.

image

Fig. 15.5 Closure of an oroantral fistula with a palatal rotation flap.

(a) The incision outlined.
(b) The flap mobilized, rotated into the defect and sutured.

1. The epithelial lining (if present) is excised with a No. 11 scalpel blade (Fig. 15.5a).
2. An elongated full-thickness mucoperiosteal palatal flap, which follows the course of the greater palatine artery and which extends for a short distance anterior to the oroantral defect is designed, cut and raised. It should be long enough for its free end to be rotated to cover the defect. As the flap relies upon the greater palatine artery for its blood supply, care must be taken not to cut or damage this vessel or to reduce flow through it by bending the flap too acutely.
3. The flap is sutured across the defect (Fig. 15.5b) using mattress sutures (as for the buccal advancement flap). The resultant area of exposed bone is covered with a dressing such as ribbon gauze (soaked in an antimicrobial agent) held in place with sutures, or a periodontal dressing (secured with sutures or an acrylic base-plate), which should be retained for 10–14 days.

This technique provides a thick, strong repair, which heals readily due to its good blood supply and does not adversely affect the buccal sulcus. However, palatal flaps are relatively inelastic and can be difficult to raise and mobilize. In addition, it can be difficult to judge the precise length of tissue required. Under local anaesthesia, this procedure is more unpleasant for the patient than the buccal advancement flap is and a raw area of exposed palatal bone is produced. Although, it could be tackled in general dental practice under local anaesthesia it is more commonly performed in a specialist setting under GA.

Page 223

For all methods of OAC/OAF closure, the patient should be warned not to blow the nose during the first 10 postoperative days, as this raises pressure within the antrum and may disrupt the healing tissue. Compliance with this instruction may be greater if a patient is given a simple explanation for it. Prophylactic antibiotics and nasal decongestant drops are prescribed by some surgeons to prevent infection and encourage antral drainage.

FOREIGN BODIES IN THE ANTRUM

This complication occurs when teeth or roots are closely related to the antrum. Roots of maxillary premolars and molars are the most common foreign bodies although whole teeth may also be displaced into the antrum. Their entry into the antrum occurs during attempts at removal and is associated with OAC formation. Other foreign bodies include materials introduced during root-filling procedures, via an OAF (food, impression material, cotton buds) and during trauma.

The displacement of a root into the antrum occurs because of:

failure to detect a large antrum or a close relationship between a root and a thin or perforated antral floor
use of an inappropriate technique or insufficient care during removal of the root.

As a root can be pushed through a very thin antral floor using the lightest touch it is essential to avoid applying any upward pressure. The risk is particularly high when an elevator is used blindly within a socket. Root removal should therefore be performed under direct vision using a transalveolar approach. Elevators are used to apply gentle pressure towards the mouth (never towards the antrum) and forceps should not be applied without a clear view of both the palatal and buccal root surfaces. Consideration may be given to leaving a small (less than 3 mm) vital root fragment rather than risk displacing it into the antrum. If this decision is taken the patient should be informed and the reasons explained, relevant radiographs should be taken to confirm the size and position of the retained root and an entry should be made in the patient’s notes. The root should be reviewed periodically and removed if symptoms develop. Whole teeth may be pushed into the antrum, with partially erupted and unerupted teeth, especially those with a single conical root, being at the greatest risk (e.g. upper third molars, impacted canines and premolars).

A root may be displaced:

into the antrum
under the buccal or palatal mucosa
out of the socket into the mouth
out of the mouth—e.g. into suction tubing, onto patient’s clothing, onto floor.

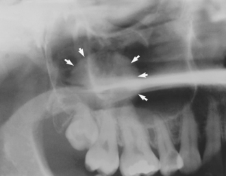
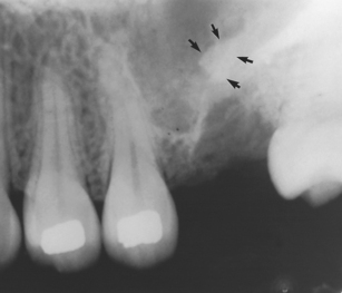
A root not removed with the tooth must be accounted for, due to the dangers of inhalation and infection. First look in the oral cavity, socket and adjacent tissues, next search extraorally and then take radiographs if necessary. Radiographs that are suitable for demonstrating a root in the antrum include periapical (Fig. 15.6) and oblique occlusal views or an OPT. The presence of a root canal confirms that a radio-opaque image represents a root.

image

Fig. 15.6 A root displaced into the maxillary antrum (arrows).

Roots should be removed from the antrum as soon as possible to prevent an OAF and chronic sinusitis from developing. If left they may become embedded in granulation tissue, polyps or fibrous tissue or an antrolith (antral ‘stone’) may form around them. They are occasionally expelled through an OAF into the mouth or through the ostium into the nose from where they may be inhaled or expelled by sneezing. In general dental practice, the recommended immediate treatment for a root in the antrum is to provide simple treatment for the OAC (see above), inform the patient and arrange prompt referral to an oral and maxillofacial surgeon.

Page 224

Roots can sometimes be removed through the extraction socket, although often access is better via a window in the anterior antral wall, made using the Caldwell-Luc operation. As an alternative, consideration should be given to possible removal of small roots by endoscopy.

Surgical removal via an extraction socket

If a root in the antrum is near its socket, it can sometimes be removed by raising a buccal flap and removing the buccal wall of the socket to create an enlarged opening into the antrum. Suction and irrigation are used to locate the root, which is then recovered. The defect is closed by advancing a buccal flap across it.

Caldwell-Luc operation (Fig. 15.7)

This gives surgical access to the interior of the antrum though the mouth and is usually performed in hospital under GA. It can be used to remove roots, teeth and other foreign bodies from the antrum.

image

Fig. 15.7 The Caldwell-Luc operation.

1. A horizontal incision is made in the buccal sulcus from the upper lateral incisor to the upper first molar and a mucoperiosteal flap is raised (in the edentulous ridge a two-sided buccal flap with an anterior relieving incision is used). A chisel or bur is used to create an opening in the antral wall in the canine fossa.
2. The root is located using suction and good lighting and removed with an artery clip or Fickling forceps.
3. If blood clot, granulation tissue or polyps are present they may be carefully removed, but the antral lining should be disturbed as little as possible (problems with mucus clearance and subsequent chronic sinusitis may result).
4. Finally, the antrum is irrigated with normal saline and the incision is closed with interrupted non-resorbable sutures.

Summary of extractions and the maxillary antrum

The extraction of maxillary teeth may be complicated by OAC/OAF formation, the introduction of roots, teeth or other foreign bodies into the antrum and fracture of the maxillary tuberosity
These complications are more likely to occur where the antrum is large and closely related to the teeth
The GDP should know how to predict, avoid, detect and treat these conditions and should understand whether treatment by a GDP or a specialist is appropriate

FACIAL FRACTURES INVOLVING THE ANTRUM

Fractures of the antral walls occur in several common types of facial fracture including zygomatic complex, mid-third (Le Fort I, II and III), orbital blow-out and alveolar fractures (see Ch. 13). The presence of a fracture through the antral wall does not preclude the extraction of a maxillary molar or premolar, although forceps should be avoided in favour of a surgical approach in the initial 6 weeks following trauma.

ANTRAL CYSTS AND TUMOURS

Antral mucosal cysts are frequently discovered as incidental findings on dental radiographs (Fig. 15.8). They are generally symptomless and have no long-term significance, but care should be taken to differentiate between truly antral lesions and cysts of odontogenic origin (apical cysts, dentigerous cysts and odontogenic keratocysts), which do require treatment.

image

Fig. 15.8 A benign antral mucosal cyst (arrows) may be an incidental finding on a dental radiograph.

Page 225

Benign tumours arising in the antrum include papillomas and osteomas. Although they rarely cause symptoms, they may interfere with antral drainage or cause nasal obstruction by growing through the ostium, and they occasionally herniate through an OAC. More often, however, they are discovered incidentally on radiographs.

Malignant tumours arising in the antrum are less common, but often have a poor prognosis as they tend to present at an advanced stage. This is because they develop in a concealed location and early symptoms may be absent, or mistaken for sinusitis. When symptoms of antral malignancy do develop, a patient may consult a dentist believing he or she has a dental problem. This makes it especially important that dentists are able to recognize the typical presenting signs and symptoms (see also Ch. 10, p. 136). These vary according to the direction in which the tumour is spreading (see box).

Radiographs of early malignant antral tumours appear normal or may show cloudiness or an irregular soft-tissue outline. Erosion of the antral wall is seen in later stages. Whenever antral malignancy is suspected referral should be made without delay to an oral and maxillofacial surgeon, initially by telephone or fax.

THE ANTRUM AND FACIAL PAIN

Sinusitis and antral malignancy both produce facial pain, which may not have an immediately obvious cause. These conditions should be included in the differential diagnosis of facial pain (their typical signs and symptoms are described above and facial pain is discussed in detail in Ch. 16).

Signs and symptoms of antral malignancy (dependent on direction of spread)

All directions: symptoms of sinusitis which are unresponsive to treatment, i.e. pain in the maxilla, unilateral nasal obstruction and purulent nasal discharge
Towards mouth: unaccountable mobility of a maxillary tooth excessive bleeding or herniation of tumour through socket following dental extraction swelling in the buccal sulcus or palate (may affect the fit of an upper denture) oral ulceration
Towards nose: epistaxis (worrying in older patient (40+ years) if no other possible explanation) nasal obstruction nasal discharge
Towards cheek: extraoral swelling redness over the maxilla paraesthesia in the distribution of the infraorbital nerve (very suggestive of malignancy)
Towards orbit: diplopia raised pupil and proptosis on affected side
Infratemporal spread: trismus (due to invasion of the muscles of mastication)

PHARMACOLOGICAL TREATMENT OF ANTRAL DISEASE

Antibiotics, decongestant nasal drops and steam inhalations are prescribed for the prevention of sinus infection following the creation of an OAC. Broad-spectrum antibiotics are useful in the treatment of acute sinusitis (although they are not a substitute for the drainage of pus) and decongestant nasal drops and steam inhalations can be used to encourage drainage. An analgesic such as paracetamol or ibuprofen may be recommended for relief of pain in acute sinusitis.

Antibiotics

Amoxicillin or erythromycin is a suitable choice.

Page 226

Decongestants

Sympathomimetic drops, such as ephedrine 0.5%, encourage antral drainage by causing vasoconstriction, which reduces vascular engorgement within the nasal mucosa. This decreases mucosal swelling and thus increases the patency of the ostium. Ephedrine drops should not be used for more than 7 consecutive days as rebound vasodilatation occurs with long-term use, leading to further mucosal congestion (also note that ephedrine should not be prescribed for a patient taking monoamine oxidase inhibitors). Pseudoephedrine tablets may be taken as an alternative.

Steam inhalations

Steam inhalations help to decrease the viscosity of mucus, allowing it to drain more easily (use hot rather than boiling water to avoid the risk of scalding). Menthol and eucalyptus may be added to the water to make this treatment more pleasant and, although this has no proven medical benefit, it increases patient compliance.

FURTHER READING

Awang M.N. Closure of oroantral fistula. International Journal of Oral and Maxillofacial Surgery. 1988;17:110-115.

McGowan D.A., Baxter P.W., James J. The maxillary sinus and its dental implications. Bristol, UK: Wright, 1993.

SELF-ASSESSMENT

1. During the extraction of an upper first molar you notice a fragment of bone with a smooth, concave superior surface adhering to the palatal root. The preoperative radiograph shows a close relationship between this tooth and the maxillary antrum.
(a) What has happened, and how can you confirm this?
(b) What should you do immediately?
(c) What postoperative instructions and follow-up treatment should you provide the patient?
(d) Which other teeth may be affected by this complication?
2. During the attempted extraction of a maxillary left third molar (Fig. 15.9) you become aware of an unusual amount of movement of a large section of alveolar bone surrounding this tooth.
(a) What has happened?
(b) How should you proceed?
(c) What radiographic signs warn of this possible complication?
3. During an attempt to remove the palatal root of an upper first molar, using an elevator, it suddenly disappears from view.
(a) List the possible locations in which the root may now lie.
(b) How would you go about locating it and how might the order in which you search the possible locations be important?
Page 227
(c) What precautions should have been taken before and during the removal of this root?
4. List the typical symptoms, signs and radiographic features of acute sinusitis. How do these differ from those of chronic sinusitis?
5. List the signs and symptoms that would lead you to suspect that a patient may have a malignant antral tumour. What would you do on discovering such signs or symptoms?
image

Fig. 15.9 See question 2.

Answers on page 269.