An aneurysm is defined as a localised area of pathologically excessive arterial dilatation. For the abdominal aorta, an antero-posterior (AP) diameter of ≥ 3 cm is generally accepted as defining an aneurysm. In some patients with aneurysmal disease, all major arteries are wider (arteriomegaly) and one or more becomes truly aneurysmal. Aneurysms of the abdominal aorta and the iliac, femoral and popliteal arteries are often branded atherosclerotic but the primary disorder is degeneration of the elastin and collagen of the arterial wall. Atherosclerosis can be found within aneurysms but it is likely that the two pathologies share risk factors. Aneurysms are relatively uncommon; found mainly in males over 70 years of age, they are even less common in women in whom they present about 10 years later. At least a quarter of patients have more than one aneurysm.
Table 42.1
Clinical presentation and pathophysiology of aortic, iliac, femoral and popliteal aneurysms
| Clinical presentation | Pathophysiology |
| Asymptomatic—discovered incidentally as pulsatile mass in abdomen, groin or popliteal fossa, on abdominal X-ray, CT or ultrasound scan | Progressive aneurysmal dilatation. May be self-limiting if hypertension and smoking controlled |
| Symptomatic—abdominal or back pain with tender aneurysm. Needs urgent surgery | Rapidly expanding aneurysms cause pressure on adjacent structures |
| Sudden death—acute, usually fatal, cardiovascular collapse. Often misdiagnosed as myocardial infarction | Sudden rupture of aneurysm only detected at autopsy or in the dissection room |
| Leaking/ruptured aneurysm—ill-defined back or abdominal pain often simulating ureteric colic or other abdominal emergency. Diagnostic if accompanied by transient collapse. Sometimes a history of recent similar episodes. Pulsatile abdominal mass palpable in 50% | Dilatation and thinning of the wall of an aneurysm leading to leakage of blood into retroperitoneal tissues—usually leads to catastrophic rupture within hours |
| Symptoms and signs of acute severe leg ischaemia; often pulsatile popliteal aneurysm on contralateral side | Sudden thrombotic occlusion of aneurysmal popliteal artery |
| Complete arterial occlusion—sudden distal ischaemia affecting lower limb due to embolism of thrombus from within aneurysm | Thrombotic occlusion of popliteal artery |
| Screening—discovered on population screening or opportunistic screening for aneurysm |
Degenerative aneurysms are usually fusiform, slowly expanding in diameter. As it enlarges, the vessel wall thins, expansion accelerates and the risk of rupture increases. Most abdominal aortic aneurysms involve only the infrarenal aorta; some extend distally to involve common iliac arteries; sometimes there are separate aneurysms of internal iliac arteries (see Fig. 42.1). A few extend proximally to become thoraco-abdominal aneurysms.

Fig. 42.1 Patterns of aneurysm formation
About 25% have more than one aneurysm either in continuity (common iliac, internal iliac, thoraco-abdominal) or not (femoral 10%; popliteal 20%; thoracic 5%). Abdominal aortic aneurysms rarely extend above the renal arteries. External iliacs are never aneurysmal
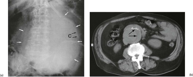
Aorto-iliac aneurysms are often found incidentally. The patient may notice a pulsatile abdominal mass or a pulsatile mass may be discovered on abdominal examination. An aneurysm may also be noticed incidentally on radiological investigation—as calcification on a plain abdominal X-ray, as an obvious aneurysm on CT or, most commonly, on ultrasound scanning for obstructive urinary symptoms (see Fig. 42.2). More recently in the UK, a national AAA screening programme has been approved, with the aim of offering all men an ultrasound scan of the abdominal aorta on reaching 65. Similar schemes are appearing in Denmark, Australia and other countries.
Despite this, nearly half the cases that reach surgeons present because of symptoms of retroperitoneal leakage or rupture. This carries a very high mortality. Several studies have shown that the total community and hospital mortality after rupture is more than 85% whereas elective treatment can have a mortality rate of around 5%. Pain is the most common symptom of a leaking aneurysm. The patient often gives a history of transient or persistent cardiovascular collapse (fainting, hypotension) which should alert clinicians to the probable diagnosis. The clinical picture ranges from an ‘acute abdomen’ to abdominal or back pain of up to a week's duration and the diagnosis is usually confirmed by finding a pulsatile abdominal mass. Sometimes the symptoms can mimic renal colic or back pain so an AAA must be excluded in all older men presenting with such symptoms. Intraperitoneal rupture and often extraperitoneal rupture are rapidly fatal and are frequently an unrecognised cause of sudden death in the elderly, with the cause often attributed to myocardial infarction.
Femoral and popliteal aneurysms are relatively uncommon and usually present as pulsatile masses. The larger they become, the more likely complications are to ensue. Femoral aneurysms occasionally rupture causing pain and massive swelling in the groin. Popliteal aneurysms are liable to undergo thrombosis or embolise, causing an acutely ischaemic leg (see Table 40.2). A thrombosed popliteal aneurysm carries a 50% risk of limb loss. In any patient presenting with an acutely ischaemic leg, it is vital to exclude this diagnosis as successful treatment often requires thrombolysis as well as surgery. Popliteal aneurysms can also rupture and cause a variety of other presentations listed in Table 40.2.
Indications for operation (see Box 42.1)
For asymptomatic aneurysms, the risk of rupture increases almost exponentially as the aneurysm dilates. Most vascular surgeons would consider operating on abdominal or thoracic aortic aneurysms of 5–5.5 cm or more or those that expand more than 0.5 cm a year; 6 cm is generally considered to be critical since 40% of such aneurysms can be expected to rupture over the following 2 years.
If there are symptoms such as back pain or abdominal pain, or signs of tenderness that can be attributed to the aneurysm, imminent rupture must be assumed and urgent operation performed.
A leaking or ruptured abdominal aortic aneurysm (AAA) is a surgical emergency. Less than half the patients reach hospital alive, and only about half of those undergoing surgery survive. The majority of patients die of shock before reaching the operating theatre or else of myocardial infarction or acute renal failure after operation. The true mortality of rupture is thus more than 85%. On the other hand, the mortality after elective operation or endovascular repair (EVAR, see p. 513) for aneurysm can be less than 5%. Thus, the decision to operate electively on a known aneurysm depends on the estimated risk of rupture. Indications for operation are summarised in Box 42.1.
Non-ruptured AAA: For asymptomatic aneurysms considered too small to warrant operation, ultrasonography is used for periodic monitoring, with referral to a surgeon once the size reaches an index diameter (usually 5 or 5.5 cm) or is seen to expand more than 0.5 cm in a year.
Where elective operation is planned, CT scanning is often used to show the relationship of the aneurysm to the renal arteries; the 5% of cases where the aneurysm extends above the renal arteries require a thoraco-abdominal operative approach and the operation carries a greater risk. CT can also show if iliac arteries are aneurysmal and if the aneurysm is inflammatory (i.e. has a thick layer of inflammatory tissue on its anterior surface that makes surgery technically difficult). Representative CT slices are usually taken through the chest to ensure the thoracic aorta is not aneurysmal; if there is a thoracic aneurysm, the management plan will have to accommodate it, according to size and position. If an aneurysm patient requiring surgery also has evidence of lower limb ischaemia, some form of arteriography is usually necessary in case a combined reconstruction is required.
Leaking or ruptured AAA: Any patient with a suspected leaking or ruptured AAA should be treated as a true surgical emergency but not necessarily by immediate transfer to the nearest operating theatre. There is good evidence that the survival rate increases when ruptured AAAs are treated by a specialist team of surgeons and anaesthetists, and this may mean transfer to a different centre. Over-aggressive blood pressure resuscitation of the hypotensive patient may convert a stable contained leak into a free rupture, and many clinicians support the use of permissive hypotension to facilitate transfer (see Ch. 15), i.e. not treating relative hypotension whilst the patient remains conscious and free from cardiac symptoms. This principle has increased the time available for transfer and/or further investigation.
Provided the patient with a leaking AAA is not demonstrating signs of cardiovascular instability, a CT scan can be valuable in helping to plan treatment. CT can demonstrate how the aneurysm relates to renal and visceral arteries and show any secondary iliac aneurysms; sometimes other abdominal pathology is shown that influences the decision to operate, e.g. liver metastases. In units equipped to undertake emergency endovascular repair (EVAR, see below), CT can show whether this is practicable.
The dilated aneurysmal segment is surgically corrected by means of a graft. Over recent years, there has been a trend towards treating AAAs using minimally invasive stent-graft placement (endovascular repair, EVAR) via the femoral artery. Many patients still, however, undergo traditional open surgery. The indications and relative merits of each technique are shown in Table 42.2. Tube grafts or bifurcation grafts of synthetic material (usually Dacron) are used for aorto-iliac and femoral aneurysms, whilst autogenous saphenous vein is preferred for popliteal aneurysms.
Table 42.2
Comparison of conventional and endovascular therapy for aortic aneurysm
| Conventional surgery | Endovascular therapy | |
| Mortality related to procedure | Approximately 5% | 1.7% |
| Length of hospital stay | 7–10 days | 2–4 days |
| ITU/HDU care needed | Likely | Unlikely |
| Overall cost | £6500 | £8000 |
| Anatomical constraints | Distance between AAA and renal arteries can be less than 15 mm | Needs 15 mm of relatively normal aorta below renals |
| Past medical history | More difficult with previous surgery or peritonitis | Unaffected by previous abdominal surgery |
| Follow-up | Discharge at 3 months. Rescan after 5–7 years. Reintervention unlikely | Frequent CT and ultrasound for life. Reintervention rates high but improving |
Open abdominal aortic aneurysm surgery (Fig. 42.3):
For abdominal aneurysms, the standard open approach is a long midline or a transverse abdominal incision. The aorta is usually reached via the peritoneal cavity or sometimes via an extraperitoneal approach. The patient is usually anticoagulated perioperatively with intravenous heparin to prevent distal thrombosis, and the iliac arteries and the infrarenal aorta are clamped (see Fig. 42.4). The aneurysm is incised longitudinally and any clot within it removed. Bleeding lumbar arteries opening into the posterior aortic wall are closed with sutures.
Proximally, the graft is sutured just above the upper limit of the aneurysm to (relatively) normal aortic wall within the aneurysmal sac, and to the native aorta at the bifurcation within the sac distally. Sometimes a bifurcated (‘trouser’) graft is used in aorto-iliac aneurysmal disease, with the distal graft ends sutured to an area of normal iliac artery. The aneurysm sac is left in situ and later closed around the graft. This is known as inlay grafting: it allows separation of the graft from the intestine, reducing the risk of an aorto-intestinal fistula arising later from the graft anastomoses.
Endovascular aneurysm repair (see Fig. 42.5): Endovascular aneurysm repair (EVAR) is a minimally invasive technique employing combined stent-grafts. In the UK, NICE has approved it but recommends that clinicians ensure patients fully understand the long-term uncertainties and potential complications, including endovascular leaks, the possibility of secondary intervention and the need for lifelong follow-up.

Fig. 42.5 Endovascular aneurysm repair
(a) Pre-procedure CT scan showing lumen of aorto-iliac aneurysm, suprarenal aorta and kidneys. On this view, the much larger diameter of the aneurysmal aortic wall is not visible.
(b) Post-procedure CT scan showing the stent-graft in position extending from the right common iliac to just above the renal arteries. In this case, there were technical problems placing a bifurcation graft and so the left common iliac origin was deliberately blocked with an occluding stent O and the left lower limb was revascularised with a crossover femoro-femoral graft X.
(c) Typical two-piece stent graft. Note the body and one limb are in one piece and the other limb is fitted afterwards. Note also the retaining wires at the proximal end
Most cases are performed under general anaesthesia but many can be done under local anaesthesia. The procedure is performed in an operating theatre using a mobile X-ray image intensifier or in a specialist endovascular suite. The stent-graft consists of a self-expanding metal framework with a non-porous cloth covering; it is supplied in a constrained state and measures around 8 mm in diameter. When in situ, the main body of the device resembles a pair of trousers with one short leg.
Short transverse incisions are used to access common femoral arteries in the groin. The main device is passed into one femoral artery and guided proximally using radiological guidance to its position below the renal arteries. An angiogram checks the device can release below the renals. The constraining mechanism is then removed and the stent opens and expands against the vessel wall. The contralateral femoral artery is then exposed and a guide-wire passed proximally to enter the main graft body through the short leg. The second limb of the stent-graft is then completed by passing another covered stent over the guide-wire and securing it into the main graft body and the iliac artery. After completion, the device looks like a complete pair of trousers and extends from the renal arteries to the common iliacs.
Other applications of EVAR: Open surgical repair of thoracic aneurysms carries a mortality of 10–20% and a high morbidity but many can be repaired by EVAR using just two small groin incisions. Even ruptured aneurysms (abdominal or thoracic) can sometimes be repaired using this technique, often using local anaesthesia. Incomplete traumatic aortic transsections have also been successfully treated with endovascular therapy. Advances continue to be made in EVAR technology so that more complex cases can be managed via this route.
Ischaemia of the upper limb is rare. This is because atherosclerosis is uncommon here and also because there is a rich collateral blood supply via scapular anastomoses that can bypass subclavian occlusive disease. Upper limb ischaemia usually occurs when the subclavian is compressed at the thoracic outlet or when emboli obstruct the brachial or more distal arteries. Occasionally, vasospastic disorders such as severe Raynaud's disease cause digital ischaemia. Embolic disease here has similar causes, presentation and treatment to embolism affecting the lower limbs (see Ch. 41 p. 502).
The subclavian artery and vein and brachial plexus pass through the space between the first rib and clavicle. If this becomes unduly narrow, neurological or arterial symptoms may appear; either can be part of thoracic outlet syndrome. Neurological symptoms are much more frequent but either variety of thoracic outlet syndrome is rare. Congenital causes include upward pressure exerted by a cervical rib lying above the first rib, or by fibrous bands. The gap may be encroached upon by acquired causes including a healed clavicular fracture, excess muscle development or other unknown means.
Neurological symptoms of thoracic outlet syndrome usually cause deficits in the T1 nerve root distribution (wasting and weakness of small muscles of hand; paraesthesia of inner forearm and hand). Symptoms of arterial compression include upper limb ‘claudication’ in people who habitually work with arms above their heads, as the artery becomes further compressed in this posture. In longstanding cases of subclavian artery compression, the artery beyond the stenosis may become dilated into an aneurysm (post-stenotic dilatation) which may collect thrombus. This can later embolise into the brachial artery causing acute ischaemia.
Occasionally arterial compression is diagnosed by finding a lower blood pressure in the affected arm, which varies with arm posture; obstruction can be confirmed by duplex ultrasonography or arteriography. Most cases are not so straightforward. Overall, the diagnosis of these syndromes is difficult and is best performed in specialist centres with input from neurologists, surgeons, radiologists and physiotherapists.
Operative intervention is becoming less common as conservative management improves. If indicated, treatment is by excising a cervical rib if present and/or excising the first rib, and dividing any obstructing bands. A post-stenotic subclavian aneurysm should be resected and replaced with a graft.
This unusual syndrome is caused by stenosis or occlusion of the subclavian artery proximal to the vertebral artery origin. In consequence, the subclavian is fed by retrograde flow from the vertebral artery via the carotids and circle of Willis. This situation remains tenable and asymptomatic until there is excessive demand by the upper limb, when blood becomes diverted (‘stolen’) from the cerebral circulation causing transient cerebral ischaemia. Figure 42.6 illustrates a classic example. Treatment is by angioplasty or stenting of the subclavian disease or more rarely by bypass with a graft.

Fig. 42.6 Subclavian steal syndrome
Subtraction angiograms from a 55-year-old house-painter who complained of dizziness when painting walls and ceilings. (a) Aortic arch (with ‘pigtail’ arteriogram catheter visible) showing normal right innominate artery with its subclavian and common carotid branches. On the left, the arterial anatomy is anomalous, with the common carotid CC arising from a left innominate artery IA rather than direct from the aorta (a ‘bovine arch’). The left subclavian artery Sc appears to be occluded beyond a short stump. (b) X-ray exposure taken 4 seconds later; the aortic arch and its branches are now clear of contrast, but contrast has appeared in the left vertebral artery V, flowing downwards from the circle of Willis. This has flowed onwards to fill the left subclavian artery Sc retrogradely. Thus there is complete obstruction of a segment of the left subclavian artery proximal to the origin of the vertebral artery, and the vertebral artery now supplies the left upper limb at the expense of the cerebral circulation. This results in episodes of transient cerebral ischaemia at times of high vascular demand from the left upper limb
Strokes are common worldwide and about 1 million occur each year in the UK. Extracranial atherosclerosis is common and is probably responsible for about a quarter. The common carotid bifurcation is the area most affected by atherosclerosis, but can affect the distal internal carotid in the carotid siphon. Vertebral arteries are the next most commonly affected extracranial arteries. Less frequently, the orifices of the great vessels become obstructed where they branch from the aortic arch.
Atherosclerotic strokes are often heralded by a transient ischaemic attack (TIA) or a minor stroke. This recovers spontaneously without serious disability but the risk of recurrent stroke in recently symptomatic patients with severe carotid stenosis is as high as 28% over the course of the next 2 years.
Carotid artery disease often results in stenosis, with cerebral blood flow becoming impaired when luminal narrowing exceeds about 70% (Fig. 42.7). Cerebral autoregulation of blood flow is able to compensate up to this point. Rough atherosclerotic plaques without gross narrowing may also be a source of platelet emboli. Small emboli may cause transient ischaemic attacks (including transient blindness, known as amaurosis fugax), with symptoms lasting less than 24 hours. In contrast, large emboli or embolism into critical areas cause major strokes. Asymptomatic stenoses may be discovered on investigation of carotid bruits or as part of general investigation before major arterial surgery elsewhere.
A minority suffering transient ischaemic attacks or stroke are found to have a bruit on carotid auscultation. However, this does not indicate the extent of narrowing; a significant stenosis may be silent, as of course is complete occlusion.
Patients with strokes and transient ischaemic attacks should be investigated urgently for carotid stenosis by non-invasive means, ideally in a dedicated clinic. The preferred method is duplex Doppler scanning, which allows simultaneous imaging of carotid arteries and measurement of blood flow velocity. A measured rise in velocity allows the degree of stenosis to be estimated. In high-grade stenosis in symptomatic disease (i.e. over 70%), surgical intervention is the preferred treatment. With skilled duplex examination, many surgeons feel that conventional carotid angiography is no longer necessary or desirable, particularly as this invasive technique carries a risk of stroke. Some centres now use magnetic resonance angiography as a less invasive form of imaging but it can overestimate the degree of stenosis.
Medical versus surgical or radiological intervention: The choice of treatment for symptomatic carotid artery stenosis consists of medical anti-platelet therapy (with aspirin 75–150 mg or clopidogrel 75 mg daily), surgical endarterectomy (i.e. removing the obstructing disease and thrombus) or, latterly, minimally invasive stenting. Carotid endarterectomy enjoyed an enormous uncontrolled vogue in the 1970s and 1980s for transient ischaemic attacks, completed stroke and asymptomatic carotid stenosis, particularly in the USA, but the role of surgery became much clearer after major randomised studies from Europe and the USA in 1998. These showed that surgery reduced stroke rate better than medical therapy only in patients with stenosis greater than 70%. In these high-grade stenoses, surgery reduced the annual stroke rate from about 6% in the ‘medical’ group to about 1.5%. However, the trials also showed a substantial risk of stroke or death from surgery of 6–8%.
Recent studies suggest patients with 50% or greater stenosis may benefit from surgery. Certainly, for patients suffering repeated symptoms but with lesser stenosis, cogent arguments can be made for intervention. Current risks of surgery include a stroke risk of about 2% and a myocardial infarction risk of between 1% and 2%. Unfortunately, surgery does not reduce long-term mortality from carotid artery disease even in high-grade stenosis. The mortality rate of about 5% per annum over 5 years is comparable in medically and surgically treated patients, taking the operative mortality of 2–3% into account.
Acute symptoms: There is good evidence that any symptoms referable to potential carotid disease, even a minor TIA, should be investigated urgently. This is because carotid endarterectomy is most effective at preventing threatened or future strokes if performed within 2 weeks of the herald symptoms. This benefit halves if patients are left untreated for 6 weeks or longer.
Asymptomatic carotid stenosis: The role of surgery in patients with asymptomatic carotid disease remains controversial. Recent trials indicate that even in the hands of surgeons with low complication rates, 15 asymptomatic stenoses need to be treated to prevent a single stroke. The figure for symptomatic disease is about six operations. There is also good evidence that the advent of best medical therapy (anti-platelet treatments, statins, strict blood pressure control and smoking cessation) has further reduced the risk of stroke in asymptomatic carotid disease.
Technique of endarterectomy: Currently, about 2000 carotid endarterectomies are performed annually in the UK. At present, seven males are treated for stenosis for every three females. The usual operation is endarterectomy and may be under general or local anaesthesia (studies have found no differences). The carotid bifurcation is incised longitudinally after clamping the carotid arteries and anticoagulating the patient. A temporary shunt is commonly used to maintain cerebral perfusion, with one end of the shunt in the common carotid below the stenosis and the other in the internal carotid above it, bypassing the operation site. The stenotic plaque is then dissected out and the carotid closed by direct suture (if the artery is large) or patched using vein or synthetic material to maintain the diameter. Carotid surgery carries an appreciable risk of mortality or cerebral complications such as stroke (around 3%) which needs to be taken into account when auditing individual results and when comparing patients treated medically or surgically.
Carotid angioplasty and stenting: Angioplasty with or without stenting is well established for treating peripheral and coronary artery disease but is relatively novel for carotid stenosis. Potential advantages include the lack of a neck incision, lower rates of haematoma formation and cranial nerve damage, and shorter hospital stays, but disadvantages include the risk of embolism during the procedure and possibly a higher rate of late restenosis. Recent meta-analysis suggests stenting causes more strokes in both the short and long term and endarterectomy is associated with cranial nerve injury and a higher cardiac event rate.
The technique of stenting involves passing a guide-wire from the femoral artery to the area of stenosis. A filter or basket at the end of the guide-wire is opened like an umbrella to catch debris to prevent it embolising to the brain and causing a stroke. A balloon-tipped catheter is then fed over the guide-wire to the target area and inflated to a high pressure to compress the plaque into the wall. The balloon is withdrawn and a self-expanding stent is guided to the area and released. The filter and balloon catheter are finally removed.
Blood supply to portions of the bowel may be compromised in four main ways:
• Strangulation. This is a mechanical problem presenting as bowel obstruction described in detail in Chapter 19 p. 271. It may be the result of a hernia (see Ch. 32), volvulus of small or large bowel or fibrous bands resulting from previous surgery (see Ch. 12 p. 172)
• Acute thrombotic or embolic obstruction (Fig. 42.8). This is analogous to acute thrombosis or embolism of the lower limb described in Chapter 41. The cause is usually superior mesenteric artery occlusion and the condition presents as an ‘acute abdomen’ (see Ch. 19)
• Transient ischaemia. This presents as inflammation of the bowel characterised by abdominal pain and rectal bleeding. The condition is known as ischaemic colitis and is discussed at the end of Chapter 29
• Chronic mesenteric artery insufficiency. This rare condition presents with gross weight loss and abdominal pain following eating; it is analogous to intermittent claudication due to lower limb arterial insufficiency
The rare condition of chronic mesenteric ischaemia or ‘gut claudication’ occurs when the visceral blood supply is restricted to a point where it becomes inadequate during active digestion but remains adequate at rest. This occurs when there is gross atherosclerotic narrowing of all three main mesenteric vessels (coeliac, superior mesenteric and inferior mesenteric arteries). These patients present with severe epigastric pain on eating which causes ‘fear of food’. There is always gross weight loss and sometimes an epigastric bruit can be heard on auscultation.
Diagnosis is by arteriography with lateral views showing the origins of the three main vessels or CT angiography. Treatment is by stenting or surgical reconstruction of the origins of one or more mesenteric arteries.
Pathophysiology of renal artery stenosis: This relatively uncommon condition arises in two main ways. In children and young adults, the cause is fibromuscular hyperplasia. In older patients, atherosclerosis is the usual cause. Renal artery stenosis may present with hypertension (ischaemia of kidneys causes poor perfusion, activating the renin–angiotensin system) or functional renal impairment. It is sometimes discovered incidentally on urography as a non-functioning or poorly functioning kidney.
Treatment: Fibromuscular hyperplasia responds well to balloon dilatation, which often results in blood pressure returning to normal. Atherosclerotic disease may be treatable by angioplasty or reconstructive surgery but randomised trials have shown no improvement in blood pressure control or renal function. Renal artery stenosis needs to be recognised in patients having aortic reconstructive surgery, whether for occlusive or aneurysmal disease. This is because hypotension during the operation may initiate thrombotic occlusion of narrowed renal arteries and cause renal failure. These stenoses may need to be treated before operation by angioplasty, or by reconstruction at the time of the aortic operation.
Specific complications are summarised in Box 41.2 (p. 501). Local complications include haemorrhage, embolism, thrombosis, graft infection and false aneurysm formation.
Patients undergoing arterial surgery are subject to the usual complications of major surgery. In addition, they invariably have generalised atherosclerotic arteriopathy, rendering them vulnerable to serious or fatal cardiovascular complications. Patients with obliterative disease are more likely to have serious cardiac disease than those with aneurysms. For aortic and other major arterial operations, prolonged general anaesthesia, aortic clamping and heavy operative blood loss place extra stress on a compromised cardiovascular system.
Common systemic complications include myocardial infarction, cardiac failure, acute arrhythmias, strokes, renal failure and intestinal ischaemia. To minimise the risk, preparation for elective arterial surgery should include thorough preoperative cardiovascular assessment and sometimes treatment of cardiac abnormalities. Pre-existing medical conditions such as cardiac failure or hypertension should be stabilised under expert advice. Patients also require intensive monitoring during and after operation. Perioperatively, this usually includes central venous and peripheral arterial catheterisation for accurate pressure measurements. For patients with severe myocardial disease, transoesophageal ultrasound helps estimate cardiac output and guide fluid replacement. These and other high-risk patients should be closely monitored during the early postoperative period in an intensive care or high-dependency unit so that complications can be recognised and treated early.
During surgical access to affected arteries, nearby veins are vulnerable to tearing even when great care is taken in dissection. For example, iliac veins cross deep to the iliac arteries and are often adherent to them. Venous tears are more alarming than arterial ones because veins are very thin-walled, friable and difficult to repair. They are often inaccessible and thus lacerations can be difficult to identify and control; such tears often result in massive blood loss.
Completing a satisfactory arterial anastomosis is demanding under the best of conditions, but it is made even more difficult if there are friable diseased vessels and calcified atherosclerotic plaques, as is so often the case. In the high-pressure arterial system, any defect is quickly revealed and blood sprays everywhere once clamps are released. Fortunately the arterial system can be remarkably forgiving and small leaks are quickly plugged by platelets if swabs are held in place for a few minutes. If blood loss is massive (10–25 units), platelets and coagulation factors are consumed and haemostasis is progressively impaired (consumption coagulopathy). Standard blood transfusions are of little help except as volume replacement, since stored blood lacks functioning platelets and clotting factors. In a deteriorating situation (and preferably in anticipation of it), expert haematological advice to infuse platelet concentrates, cryoprecipitate (contains fibrinogen) and fresh-frozen plasma, for example, provides the main answer. Where bleeding is difficult to control by sutures or packing, organic-based glues can be helpful in sealing bleeding areas. Patients are usually heparinised perioperatively before the arteries are clamped to prevent distal thrombosis. This does not usually interfere with haemostasis, but if necessary the effect can be reversed by injecting protamine.
There is a trend for the standard use of cell-saving devices intraoperatively to cope with anticipated heavy blood loss. These enable the patient's spilled blood to be collected, washed, concentrated and reinfused, minimising the use of stored blood. Inevitably, clotting factors are lost in the process.
Early postoperative haemorrhage is uncommon provided adequate haemostasis is achieved before completing the operation and closing the wound. When bleeding does occur, it usually results from a pinhole leak at the anastomosis or a slipped ligature. Haemorrhage is manifest by generalised signs of hypovolaemia, by progressive abdominal distension or, in the lower limb, by swelling beneath the wound. Postoperative haemorrhage occasionally stops spontaneously following transfusion of blood and clotting factors, but if blood loss continues, further operation must not be delayed.
In aneurysm surgery, embolism is usually caused by dislodging fresh or organised thrombus from within the aneurysmal sac. It is largely preventable by clamping the outflow vessels before the aneurysm is manipulated. Large emboli that lodge in femoral vessels can be retrieved with a Fogarty balloon catheter, but the more common case of fragmented distal embolism may cause infarction of digits or even the whole foot (‘trash foot’). Infarction caused by this distal embolism is irreversible and usually necessitates amputation later. If embolism occurs during carotid artery dissection under general anaesthesia, the event is not usually apparent until the patient wakes up and is found to have suffered a stroke. Under local anaesthesia, embolic events may be immediately detectable.
Thrombosis of reconstructed vessels is a major potential problem in arterial surgery. It rapidly leads to profound distal ischaemia and results in limb loss unless urgently corrected.
Sluggish flow leads to thrombosis and may arise for a variety of technical reasons as follows:
• Unrecognised stenosis or occlusion proximal or distal to the reconstruction causing poor inflow or runoff
• Faulty anastomotic technique causing stenosis or partial luminal obstruction
• Dissection of the layers of the distal vessel wall resulting in a loose flap of tunica intima and media which acts as a ‘flap valve’ occluding the lumen
Thrombosis usually occurs in the first few hours after operation and becomes evident by deteriorating colour, temperature and pulses of the affected limb from the satisfactory state achieved at operation. Urgent reoperation is usually required. Judicious use of preoperative anti-platelet agents and/or inhibitors of the coagulation system can help prevent this complication. It is good practice to spend time at the end of the operation ensuring satisfactory flow in the reconstruction and good peripheral perfusion, as well as securing haemostasis. This can avoid the need for reoperation for a thrombosed graft or to arrest haemorrhage in the middle of the night.
Infection of a synthetic graft is uncommon but can be a devastating complication. It can occur in the early post-operative period or at any time months or years later. The infecting organisms are usually from the patient's own intestine or skin, depending on the site of the graft. Infection is minimised by avoiding opening bowel, meticulous asepsis and haemostasis, and perioperative antibiotic cover. Antibiotics are normally given intravenously at anaesthetic induction and over the next 24 hours. A combination of gentamicin and flucloxacillin is usually suitable; where MRSA is prevalent, specific agents such as vancomycin are employed as well. In addition, protein-coated Dacron grafts can be soaked in an anti-staphylococcal antibiotic before placement, e.g. rifampicin or antibacterial silver impregnated grafts used.
Graft infection should be suspected if there is recurrent pyrexia and malaise or a persistently discharging wound sinus; occasionally, the wound breaks down, exposing the infected graft. Major graft infection, particularly when involving an anastomosis, has a bleak prognosis even when treated, the eventual outcome often being death from sepsis, or anastomotic breakdown with catastrophic bleeding. Standard treatment is to restore the distal circulation with an extra-anatomic graft (e.g. axillo-bifemoral) which bypasses the infected area, and remove the infected graft. Some units advocate use of the role of superficial femoral vein as a replacement conduit in the treatment of aortic graft infections. In early graft infection without anastomotic breakdown, prolonged graft irrigation with antibiotics can be successful on its own.
A false aneurysm is the result of a slow anastomotic leak or a leak from an arterial puncture (e.g. a femoral artery puncture for coronary artery stenting) that is confined by surrounding tissues. A slowly expanding blood-filled cavity results, which can eventually rupture or undergo thrombosis. A false aneurysm usually presents as a palpable pulsatile mass. False aneurysms following a femoral artery puncture can be observed (if < 2 cm diameter they can thrombose of their own accord), treated percutaneously with injection of thrombin, or repaired surgically. Patients are often taking dual anti-platelet therapy and have advanced coronary artery disease, the reason for the angiogram in the first place.
False aneurysms also can occur at an anastomosis (usually between a synthetic graft and artery). They used to be more common because of gradual breakdown of silk suture materials, but can still occur, sometimes as a consequence of low grade infection. They often require surgical reconstruction.
Occasionally a false aneurysm at an upper anastomosis of a graft with the abdominal aorta leaks into the overlying duodenum. This produces an aortoduodenal fistula and presents with major haematemesis. Aortoduodenal fistula may also result from graft infection.
All patients with obliterative atherosclerotic disease are liable to disease progression and new ischaemic events. In fact, the risk of sudden cardiovascular death in claudication patients is the same as someone who has suffered a non-fatal myocardial infarction! Ideally patients should be on ‘best medical treatment’ for atherosclerosis, i.e. a statin, aspirin or clopidogrel, blood pressure control and, if diabetic, tight control of blood sugar. Effective advice regarding smoking cessation and exercise should be given.
Most patients are followed up long term after surgery or angioplasty to monitor deterioration, to detect new disease and to enable timely intervention if needed. Femoro-popliteal vein grafts can be examined at intervals using duplex Doppler scanning. Such graft surveillance can detect early graft stenoses, enabling them to be treated and the graft preserved, although the efficacy of this is not proven. Aneurysm patients after open operation, on the other hand, can be discharged from regular follow-up 3 months after operation if there are no complications but should be rescanned by ultrasound at 5-yearly intervals for new aneurysms (Fig. 42.10). Stent-graft follow-up needs to be more rigorous as the devices are not as securely fixed as conventional grafts sewn in place. EVAR patients generally undergo CT scanning every 6 months to a year to look for leaks around the graft (endoleaks), but as devices have become more reliable there is a move towards 6-monthly ultrasound scans.