14 Gastrointestinal and Nutritional Disorders

Sarah A. Martin, Cindy L. Kerr

image Be sure to check out the supplementary content available at http://evolve.elsevier.com/Hazinski.

Pearls

Abdominal distension can compromise diaphragm expansion and can lead to respiratory insufficiency.

A child with significant intraabdominal pathology may have subtle clinical signs, such as somnolence and mental status changes.

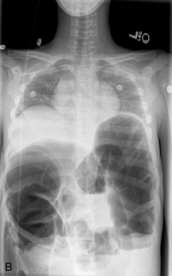
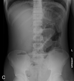
Bilious vomiting with a clinical examination suggestive of an acute abdomen can be a sign of a bowel-threatening pathologic condition (e.g., volvulus) and almost always warrants immediate operative intervention.

If a child does not recover as expected after gastrointestinal surgery, a technical complication of the procedure should be considered as a cause until it is ruled out.

Correct placement of a nasogastric or orogastric tube is verified with an abdominal radiograph.

Enteral feedings should begin as soon as possible, because even small quantities of feedings reduce the risk of infection and promote gut healing.

Introduction

The pediatric critical care nurse frequently encounters children with gastrointestinal (GI) disorders and nutritional problems. This chapter summarizes fundamental aspects of pediatric GI anatomy, physiology, and pathophysiology and applies them to common GI problems and diagnoses that may require intervention in the critical care unit. This chapter also includes principles governing nutritional assessment and management.

Essential anatomy and physiology

This section summarizes the basic anatomy and physiology of major structures composing the GI tract (Fig. 14-1). See the Chapter 14 Supplement on the Evolve Website for additional information on maturational anatomy and physiology.

image

Fig. 14-1 Structure and function of the digestive system. Digestion begins in the mouth with chewing, which breaks down food mechanically and mixes it with saliva. Swallowing propels chewed food through the esophagus to the stomach, where acids and stomach motility liquefy it further. Next the liquefied food enters the small intestine, where secretions of the intestinal walls, liver, gallbladder, and pancreas digest it into absorbable nutrients. Nutrients are absorbed through intestinal walls, and unabsorbed wastes enter the large intestine (colon), where fluids are removed. Solid wastes then enter the rectum and leave the body through the anus.

(From Patton KT, Thibodeau GA: Anatomy and physiology, ed 7, St Louis, Mosby, 2010.)

Mouth

Chewing begins the breakdown of food by reducing the size of food particles. Tastes on the tongue initiate salivation and stimulate secretion of gastric juices in the stomach. Saliva produced by the salivary glands includes the enzyme ptyalin, which commences digestion of carbohydrates.

Esophagus

Food is propelled from the mouth and oropharynx through the esophagus into the stomach. The esophagus has two layers of striated muscle that produce peristalsis when the fibers are stretched by food entering the esophagus. Peristalsis is an organized sequence of muscle contraction and relaxation that propels ingested material along the entire length of the GI tract.

The distal end of the esophagus includes a muscular sphincter called the lower esophageal sphincter (LES); this sphincter relaxes (i.e., opens) as food particles are swept through the lower portion of the esophagus into the stomach. After the food particles have passed into the stomach, the LES resumes its resting tone, creating a barrier between the esophagus and stomach. The LES normally prevents reflux of acidic gastric contents into the esophagus. However, because the LES is functionally immature and frequently incompetent during the first 4 to 6 months of life, young infants may demonstrate gastroesophageal reflux (GER).

Stomach

The stomach is a hollow muscular organ that serves as a temporary reservoir for ingested food, and is the site of the initial phases of protein digestion. Three smooth muscle layers of the stomach mix food with gastric secretions, creating a substance called chyme. Two muscular sphincters, the LES at the entrance to the stomach and the pyloric sphincter at the stomach outlet, contract to contain food within the stomach while the food is being churned and mixed with the gastric secretions. These muscle barriers also protect cells of the esophagus and duodenum from caustic stomach acid, which can erode and ulcerate the mucosa.

Specialized cells within the gastric mucosa (called parietal cells and chief cells) produce mucus, acid, enzymes, hormones, and intrinsic factor. Each of these products has a specific role in digestion.

Secreted mucus forms a protective barrier between the mucosa and the acid and proteolytic enzymes. Acid produced by partial cells creates a gastric pH of 1 to 2 that dissolves food fiber, acts as a bactericide against swallowed organisms, and converts pepsinogen to pepsin. Pepsinogen arises from chief cells. Under the influence of gastric acid, pepsinogen is converted into pepsin, a proteolytic enzyme that continues the breakdown of proteins that was started by gastric acids. Intrinsic factor is a glycoprotein required for vitamin B12 absorption.27

Gastric secretions consist predominantly of hydrochloric acid, potassium chloride, and sodium chloride. Stimulated parietal cells dispense these substances into the lumen of the stomach through active transport involving a proton pump. Histamine—H2 type—stimulates the H2 receptors in parietal cells, causing the cells to secrete gastric acid. H2 receptor antagonists inhibit gastric acid secretion by preventing histamine from activating the H2 receptors. Proton pump inhibitor medications inhibit hydrochloric acid directly at the cellular level.

Gastric Emptying

Gastric emptying is affected by stomach content and by external neural and hormone signals. Carbohydrates are emptied from the stomach faster than proteins, and fats require the longest gastric emptying time. Hypertonic and acidic substances empty slowly, and liquids empty faster than solids.

Nervous system control of gastric emptying is predominantly from the vagus nerve, which is part of the parasympathetic nervous system. Hormonal control is vast and works in a variety of ways. The hormones may directly affect smooth muscle contraction and may also stimulate the parietal cells.

Vascular Supply

The blood supply to the stomach, small intestine, and colon constitutes the splanchnic circulation. The three major arterial branches to these structures are the celiac artery, the superior mesenteric artery, and the inferior mesenteric artery. Each is a distinctive branch of the abdominal aorta.

Venous drainage from the stomach, pancreas, small intestine, and colon empties into the portal vein and perfuses the liver. Blood then returns to the heart through the hepatic vein and inferior vena cava. Nearly one fourth of cardiac output is distributed to the splanchnic circulation.

Small Intestine

The small intestine (Fig. 14-2) begins beyond the pylorus of the stomach and is divided into the duodenum (receives enzymes important for digestion), the jejunum (principle absorbing site), and the ileum (the only site for the absorption of vitamin B12 and bile acids). Two layers of smooth muscle, an outer longitudinal layer, and an inner thicker circular layer produce peristalsis.

image

Fig. 14-2 The small intestine.

(From McCance KL, Heuther SE, editors: Pathophysiology: the biologic basis for disease in adults and children, ed 6, St Louis, 2010, Elsevier.)

The inner mucosal layer has transverse folds or plicae circulares. This design increases surface area (and absorption) and slows the progression of food, allowing more time for digestion to occur. Villi, which are extensions of the mucosal layer, cover the mucosal folds as projections. These villi, composed of absorptive columnar cells and mucus-secreting goblet cells, are considered the functional units of the GI tract. Each villus is covered with tiny projections called microvilli; together these form the brush border of the intestine. This brush border contains digestive enzymes and contributes to the transfer of nutrients and electrolytes. See the Chapter 14 Supplement, Nutrition section, on the Evolve Website for additional information about the digestion of nutrients.

Epithelial cells in the small intestine have one of the most rapid turnover rates of any cells in the body. Villus cells continuously proliferate to maintain a consistent quantity within the intestinal epithelium. The loss of villi leads to decreased absorptive capacity. The capacity to renew these villi is lower during infancy and can be compromised in malnourished states and by intestinal disorders. Recovery following injury to the intestinal mucosa (e.g., from viral infection or malnutrition) may be prolonged, creating a vicious cycle of impaired intestinal function and persistent malabsorption leading to malnutrition and further compromise of intestinal function.

Duodenum

The duodenum is a portion of the small intestine that extends from the pylorus to the jejunum and transitions from a retroperitoneal structure to an intraperitoneal structure at the ligament of Treitz. Pancreatic and hepatic enzymes (bile) enter the second portion of the duodenum through the sphincter of Oddi. These enzymes work to neutralize acidic chyme and promote digestion. The duodenum is the primary site for absorption of iron, trace metals, and water-soluble vitamins.

Jejunum

The jejunum lies between the duodenum and ileum and comprises approximately half of the small bowel. Ninety percent of nutrients and 50% of water and electrolyte absorption is completed by the jejunum.

Ileum

The ileum connects the small intestine to the colon. Its functions include absorption of vitamin B12 and bile salts and completion of any remaining nutrient absorption. The ileocecal valve is situated between the ileum and the colon. This valve delays entry of intestinal contents into the colon and prevents reflux of colon contents back into the small intestine.

Large Intestine

The large intestine consists of the cecum, appendix, sigmoid colon, rectum, and anal canal. By the time food has reached the large intestine, almost all nutrients and 90% of the water have been reabsorbed and dietary fiber remains. The large intestine has four sections: ascending colon, transverse colon, descending colon, and sigmoid colon. The main functions of the large intestine are storage of feces and the absorption of water, electrolytes, and fatty acids. Intestinal flora is at its highest concentration in the large intestine and plays a role in the reabsorption of bile and elimination of toxic bile metabolites.

The S-shaped sigmoid colon is located after the descending colon and connects to the rectum. The muscular walls of the sigmoid colon contract and move stool into the rectum. Stool is expelled from the rectum through the anus. This external opening is highly sophisticated. Its circumferential muscle components are under both involuntary and voluntary control and are designed to remain contracted except during defecation or passing of flatus.

Liver

The liver is one of the largest organs of the body, and it performs hundreds of functions. It is divided into right and left lobes by the falciform ligament (Fig. 14-3). The right lobe is the largest lobe, composed of the right lobe proper, the caudate lobe (posterior surface), and the quadrate lobe (inferior surface).

image

Fig. 14-3 Gross structure of the liver. A, Anterior view. B, Inferior view.

(From Patton KT, Thibodeau GA: Anatomy and physiology, ed 7, St Louis, 2010, Mosby.)

The liver has 50,000-100,000 functional units or lobules composed of hepatic plates (i.e., plates of hepatocytes) that each radiate centrally around a central vein (Fig. 14-4). The porta hepatis is a fissure that serves as the entry point for the hepatic artery, the portal vein, and the common bile duct. The artery, vein, and duct divide into intralobular branches as they follow the septa throughout the liver.

image

Fig. 14-4 Diagrammatic representation of a liver lobule. A central vein is located in the center of the lobule, with plates of hepatocytes disposed radially. Branches of the portal vein and hepatic artery are located on the periphery of the lobule, and blood from both perfuses the sinusoids. Peripherally located bile ducts drain the bile canaliculi that run between the hepatocytes.

(Modified from Patton KT, Thibodeau GA: Anatomy and physiology, ed 7, St Louis, 2010, Mosby.)

Nearly three quarters of the blood flow to the liver is supplied by the portal venous system that carries blood from the GI tract that is rich in nutrients to the liver. The remaining 25% of hepatic blood flow is well-oxygenated blood from the hepatic artery.

The hepatobiliary system has many synthetic, metabolic, storage, and removal functions. Bile is composed of bile salts and is made by hepatocytes within the liver. Bile is secreted into the bile canaliculi or the spaces between the rows of hepatic cells. The bile is then transported to the terminal interlobular ducts, to the right or left hepatic duct, and eventually to the common bile duct. The bile is stored in the gallbladder until it is secreted into the duodenum.

The liver is responsible for a wide variety of synthetic, metabolic, and excretory functions. In addition to bile production, liver functions include the synthesis of plasma proteins and clotting factors. The liver synthesizes almost all plasma proteins, including albumin and clotting factors I, II, V, VII, IX, X, and XI. The liver metabolizes carbohydrates, proteins, and lipids. It is the major storage site for glycogen, fat, and fat-soluble vitamins (A, D, E, and K). In addition, the liver deactivates many drugs and waste products, including conversion of ammonia to urea.

Toxic metabolic waste products from medications and bilirubin are metabolized in the liver through oxidation or conjugation reactions. Metabolic products are then excreted in the bile or urine. Kupffer cells are macrophages that line the sinusoid vessels and serve as the liver's internal immune system; they remove intestinal and foreign bacteria in addition to other toxins.

Gallbladder

The gallbladder is a saclike organ that sits below the liver. Its primary functions are storing and concentrating bile produced by the liver. The right and left hepatic ducts drain from the liver into the common bile duct and then into the cystic duct that empties into the gallbladder. The gallbladder is stimulated to contract by hormones (cholecystokinin and motilin) that are released when fats are present in the duodenum. Gallbladder contraction propels bile down the common bile duct, through the sphincter of Oddi, and into the duodenum.

Pancreas

The pancreas is composed of a head, a body, and a tail. The head is tucked into the curve of the duodenum, and the tail reaches laterally across the midline to the spleen. The pancreas is a retroperitoneal organ and is well protected from most environmental impacts. It functions as both an exocrine and endocrine organ. The working cells of the exocrine pancreas are acini cells; these cells are organized as spheres encompassing small secretory ducts scattered throughout the organ. This series of ducts transports fluid containing the digestive enzymes (proteases, amylase, and lipase) and sodium bicarbonate (pH 7.1-8.2) produced by acini cells to the pancreatic duct.27 The pancreatic duct runs the length of the organ and then drains into the common bile duct at the ampulla of Vater, ultimately draining into the duodenum through the sphincter of Oddi.

The endocrine pancreas is responsible for production of glucagon and insulin that regulate carbohydrate, fat, and protein metabolism within the body. The islets of Langerhans are scattered throughout the pancreas. These islets have three types of hormone-secreting cells: alpha cells secrete glucagon, beta cells secrete insulin, and delta cells secrete gastrin or somatostatin.

Nutrition

There is little evidence to identify the best nutritional support of the critically ill child.30,44 A recent Cochrane review that attempted to assess the impact of enteral and parenteral nutrition (PN) on clinically important outcomes in the critically ill child found only one trial that was relevant to the review question.30 Appropriate nutritional assessment, determination of energy requirements, and the timing, route, and type of nutritional delivery have yet to be established for seriously ill or injured children in the critical care unit.

Recommended Daily Nutritional Intake

Adequate energy (caloric) intake is necessary for rapid growth and development throughout childhood. During infancy the requirement for energy intake per kilogram is greater than in all other age groups. The average requirements for energy intake during infancy and childhood are shown in Table 14-1. Of note, these requirements are for healthy, active infants and children.

Table 14-1 Daily Energy Requirements for Infants and Children

Age kcal/kg
Up to 6 months 90-110
6-12 months 80-100
12-36 months 75-90
4-6 years 65-75
7-10 years 55-75
11-18 years 40-55

It is useful to divide energy requirements into resting energy expenditure (REE) and requirements for growth and physical activity. REE is determined by the basal metabolic rate or the energy consumed for the normal maintenance of cellular energy. Estimates of an ill child's REE by standard equations are unreliable, and indirect calorimetry is not always available to clinicians.44 Caloric requirements for the hospitalized child may be substantially more or less than the normal daily recommended requirements. Hypermetabolic states, excessive nutrient losses, trauma, burns, and surgery will increase energy requirements, whereas neurologic impairment, reduced activity, and ventilator support can decrease energy needs. Typically, fever increases energy requirements 12% per day for each degree Celsius elevation in temperature above 37°   C.

A dietitian should assist in the assessment of the child's nutritional needs. These assessments will require basic anthropometric measurements (including body mass index [BMI] percentile), obtained as the child's clinical status allows. Clinicians are challenged to determine appropriate needs for the obese child (i.e., with a BMI greater than the 85th percentile), and it may be appropriate to determine caloric requirements based on ideal body weight.

Fluid and electrolyte requirements vary as a function of age, weight, and clinical condition. Normal daily fluid and electrolyte requirements are listed in Table 14-2. Any calculation of maintenance fluid requirements should use the formulas only to estimate a baseline. The actual volume of fluid administered to the patient must be tailored to the patient's clinical condition and fluid balance. For additional information about fluid and electrolyte balance, see Chapter 12.

Table 14-2 Formulas for Estimating Daily Maintenance Fluid and Electrolyte Requirements for Children

  Daily Requirements Hourly Requirements
Fluid Requirements Estimated from Weight*
Newborn (up to 72   h after birth) 60-100   mL/kg (newborns are born with excess body water)
Up to 10   kg 100   mL/kg (can increase up to 150   mL/kg to provide caloric requirements if renal and cardiac function are adequate) 4   mL/kg
11-20   kg 1000   mL for the first 10   kg + 50   mL/kg for each kg over 10   kg 40   mL for first 10   kg + 2   mL/kg for each kg over 10   kg
21-30   kg 1500   mL for the first 20   kg + 25   mL/kg for each kg over 20   kg 60   mL for first 20   kg + 1   mL/kg for each kg over 20   kg
Fluid Requirements Estimated from Body Surface Area (BSA)
Maintenance 1500   mL/m2 BSA
Insensible losses 300-400   mL/m2 BSA
Electrolytes
Sodium (Na) 2-4   mEq/kg
Potassium (K) 1-2   mEq/kg
Chloride (Cl) 2-3   mEq/kg
Calcium (Ca) 0.5-3   mEq/kg
Phosphorous (Phos) 0.5-2   mmol/kg
Magnesium (Mg) 0.4-0.9   mEq/kg

* The “maintenance” fluids calculated by these formulas must only be used as a starting point to determine the fluid requirements of an individual patient. If intravascular volume is adequate, children with cardiac, pulmonary, or renal failure or increased intracranial pressure should generally receive less than these calculated “maintenance” fluids. The formula utilizing body weight generally results in a generous “maintenance” fluid total.

Macronutrient Metabolism and Requirements

Recommended daily requirements of carbohydrate, fat, and protein are summarized in Table 14-3. The percentage of fat required in younger children is usually greater than requirements in older children. Disease states including renal and liver failure may decrease the amount of protein needed.

Table 14-3 Caloric Distribution of Daily Macronutrient Intake

Macronutrient Percent of Total Calories (%)
Carbohydrates 40-70
Fat 20-50 (40-50 in infants)
Protein 7-15

Carbohydrates

Carbohydrates are consumed as disaccharides, oligosaccharides, and polysaccharides. These are digested, absorbed, and transported through the body primarily as glucose, which is the primary metabolic fuel.

Fats

A variety of lipids (fats) are consumed in the diet; the highest quantity is in the form of triglycerides. Dietary triglycerides are a major source of energy; they have a higher caloric density than the other macronutrients (i.e., carbohydrates and proteins). Adequate dietary lipids are needed to allow for the absorption of fat-soluble vitamins A, D, E, and K.

Protein

Dietary proteins are necessary for maintaining body proteins and increasing protein mass associated with growth. If dietary protein is inadequate, growth is retarded. Renal and liver disease, cancer, and infections are associated with loss of body proteins.

Enteral Nutrition

Enteral feeding is preferable to parenteral nutrition, because enteral feedings will maintain gut structure and function and will reduce complications and cost. Specific benefits include intestinal trophism and preservation of the gut barrier to minimize bacterial translocation.38

Selection of the appropriate formula is based on the patient's age and disease process. Because breast milk is the preferred source of nutrition for infants, nursing mothers should be provided with a breast pump if their infant is unable to breast feed but can be fed enterally. Standard infant formulas are not appropriate for the premature infant (specialty premature formulas should be used) or for children older than 1 year. Specific formulas are available for disease states such as renal failure (NovaSource Renal [Nestlé Nutrition, North America, Minneapolis, MN] or Nepro [Abbott Nutrition, Columbus, OH]) or liver insufficiency (e.g., Pregestimil [Mead Johnson Nutrition, Evansville, IN] for infants, Peptamen Jr. [Nestlé Nutrition, North America, Minneapolis, MN] and PediaSure Peptide [Abbott Nutrition, Columbus, OH] for children). The renal formulas are not designed specifically for children, so they should be used with caution.

If possible, the patient should be encouraged to take nutrition orally; however, for many critically ill children enteral nutrition is provided through a feeding tube. Enteral feedings should be tailored to each patient. When a gastric feeding tube is in place, continuous feedings are often initially provided to achieve goal calories before transitioning to physiologic bolus feedings. Children with significant reflux may benefit from venting of the gastric tube (i.e., leave the tube open to air, with the open end elevated above the level of the stomach).

Postpyloric feeding should be considered for children with delayed gastric emptying and poor intestinal motility who are intolerant to gastric feedings. To prevent dumping syndrome, feedings into the jejunum are administered at a continuous hourly rate.

The practice of aspirating residual liquid and refeeding it is controversial. Although a large volume of residual feeding that remains in the stomach may contribute to inadvertent aspiration,45 the residual volume that should be considered significant has not been clearly established. Nurses should measure and record the volume of residual feeding and notify the on-call provider according to unit policy or orders. Enteral feeding delivery devices, routes, placement methods, nursing considerations, and complications are summarized in Table 14-4.

Table 14-4 Delivery of Enteral Nutrition

image

image

Parenteral Nutrition (PN)

When a child is unable to absorb nutrients through the GI tract, or when the child requires a supplement to enteral nutrition, PN is indicated. PN is defined as the administration of nutrients by the intravascular route. PN was first demonstrated as a practical mode of nutritional therapy in the 1960s and is now widely accepted as beneficial for nutritionally compromised children. Some children receive PN in the home setting.

PN may be used over a long period of time to allow a poorly functioning GI tract to rest. PN can also be used for long periods in children with “short gut” and for critically ill children with multiorgan failure when enteral feeding is not possible.

Indications for Parenteral Nutrition

PN is most often is used as a supportive rather than a definitive therapy for infants and children with complex illnesses and structural GI anomalies. Indications for the supportive use of PN in the neonatal period include: congenital GI anomalies requiring extensive resection of the small bowel, intestinal obstruction, and necrotizing enterocolitis. Beyond infancy, indications for PN include: severe malnutrition, acute pancreatitis, fulminant liver failure, inflammatory bowel disease, extensive burns, malabsorption syndromes, refractory anorexia nervosa, and other disorders causing intestinal failure (see the Intestinal Failure section in this chapter).

Parenteral Nutrition Solutions

PN solution consists primarily of glucose (as a source of carbohydrate), amino acids (as a source of protein), and fat emulsions. Dextrose provides 3.4   Kcal/g and constitutes 60% to 70% of the total PN caloric intake. Protein can be administered as Trophamine (recommended for infants younger than 1 year and for children with liver failure), or as Clinisol or Travasol (for children older than 1 year). Protein provides 4   Kcal/g and should constitute 14% to 20% of the total PN caloric intake. Fat emulsions (Intralipid) may be administered as a separate solution to provide a major source of calories (20% solution provides 2   Kcal/mL) and should constitute 30% to 50% of the total PN caloric intake. Providing adequate calories from fat (0.5   g/kg per day) prevents essential fatty acid deficiency states. Electrolytes, vitamins, minerals, and trace elements are added to these solutions to meet the child's known nutritional requirements.

The PN orders are individually tailored to deliver appropriate amounts of fluid, nutrients, and electrolytes. The critically ill child's fluid requirements often change and may differ from estimated maintenance fluid requirements. In addition, it may be necessary to alter electrolyte content based on the child's clinical condition or changes in medications. For example, medications such as furosemide (Lasix) will increase the daily potassium requirements; if the furosemide dose is reduced, the child will require less supplementary potassium.

When PN is initiated, there is gradual titration of additives until goal calories are achieved. The goal calories should be determined by the healthcare provider in consultation with a dietitian or pharmacist.

Nursing Responsibilities

The nurse must closely monitor the child's clinical appearance and fluid and electrolyte balance to prevent and detect complications of PN as soon as possible. This monitoring requires documentation of the quantity and content of the child's fluid intake and output and evaluation of the child's fluid and electrolyte status and daily weight. A sample monitoring schedule for children receiving PN is provided in Table 14-5.

Table 14-5 Sample Monitoring Schedule for Children Receiving Parenteral Nutrition: Must Be Tailored to Child's Clinical Status

Monitoring Frequency
General and Anthropometric Measurements
Vital signs Every 4   hours, or more often as patient condition warrants
Weight Daily
Strict intake and output Constant
Caloric intake Daily
Height Weekly
Head circumference Weekly (for children younger than 2 years)
Blood Sampling
Glucose Initial + Daily until stable (more often in neonates)
Electrolytes Initial + Daily until stable
BUN, Creatinine Initial + Weekly
Ca2+/ionized calcium, image, Mg2+ Initial + Weekly (image, Mg2+should be checked daily if values not within reference range)
Alkaline phosphatase, AST, ALT Initial + Weekly
Total and direct bilirubin Initial + Weekly
Total protein, albumin Initial + Weekly
Prealbumin Initiation
Triglycerides, cholesterol Weekly
Zinc, copper, selenium, manganese, iron Monthly
Glucose point-of-care testing When PN is abruptly discontinued, cycled, or if signs or symptoms of hypoglycemia or hyperglycemia suspected
CBC count with differential When febrile
Blood culture When febrile

ALT, Alanine aminotransferase; AST, aspartate aminotransferase; BUN, blood urea nitrogen; Ca2+, calcium; CBC, complete blood count; Mg2+, magnesium; PN, parenteral nutrition; image phosphorous.

Whenever the child receives concentrated glucose solutions, the nurse must verify that the fluid volume and content are appropriate for the child's estimated daily requirements. Before every new bag of PN solution is infused, the nurse should confirm that the prepared solution is accurate and consistent with the order by checking the solution content against the provider's original order. Reduction in the PN administration rate (e.g., if the intravenous [IV] catheter malfunctions or with the initiation of enteral feedings or feeding advancement) will reduce the child's fluid, glucose, and electrolyte intake unless enteral feedings provide the difference.

Potential complications of PN include electrolyte abnormalities, infection, cholestasis leading to hepatic dysfunction, and hyperlipidemias (with triglyceride administration). In critically ill children, there is an association between hyperglycemia and organ dysfunction.33

Because PN solution contains a high concentration of glucose, it provides an excellent medium for bacterial growth. When hanging a new bag of PN solution and tubing, the nurse must use strict aseptic technique to prevent line contamination. Many hospitals require that the entire tubing system (between PN solution and the patient, including infusion pump tubing) be changed every 24   hours to decrease the possibility of significant bacterial growth. The dressing over the catheter insertion site should be changed when it is no longer occlusive (per hospital policy), using sterile technique and an occlusive dressing. The nurse should assess the catheter insertion site for evidence of inflammation (erythema or exudate) and should report any abnormalities to the appropriate provider. Wound exudate should be cultured and sent for gram stain analysis as ordered (or per protocol). Nurses should be careful to follow the healthcare institutional policies and protocols to prevent central venous catheter-associated blood stream infections (see Chapter 22, Box 22-6 for further information).

Monitor the child's temperature at least every 4   hours (or according to hospital PN policy). Blood cultures are typically ordered if the child's temperature rises above 38.5°   C or if the child develops signs of infection. The child may be placed on empiric antibiotics until culture results are available. The antibiotics are then adjusted if the culture is positive and the bacterial sensitivities or susceptibilities support a change. Often the catheter is maintained during an attempt to clear an existing infection, because if the child requires long term PN it may be difficult to achieve and maintain venous access. Therefore existing access sites are salvaged if possible.

When PN is initiated, a low glucose concentration and a low rate of infusion are used, and then both are increased gradually so that the child's insulin production can accommodate the glucose load. Once the PN infusion is established, providers should maintain the infusion at a uniform rate as ordered; it should not be decreased or increased, because hypoglycemia or hyperglycemia can result. Once goal calories are achieved, it may be appropriate to stop the PN for increasing time intervals, allowing intervals without the PN. When neonates or children are receiving high dextrose compositions, dosing may need to be decreased and increased (with a gradual decrease in rate of administration before and gradual increase after the off cycle) to prevent hypoglycemia or hyperglycemia. To discontinue PN, the glucose concentration and the rate should be weaned gradually.

When PN infusions are initiated, serum glucose measurements can be performed several times per day. Point-of-care glucose measurements may be performed every 4 to 8   hours in infants if unit or hospital policy allows such testing. The presence of either glucosuria or ketonuria should be reported to an on-call provider, and the child's serum glucose level should be checked. Glucosuria usually indicates the presence of high serum glucose levels that exceed the renal threshold of 150 to 200   mg/dL blood.

If the PN catheter infiltrates or becomes occluded, providers should promptly insert a temporary IV catheter to continue glucose administration and avoid the development of hypoglycemia that could result from a sudden cessation of glucose infusion. Monitor the child closely for clinical evidence of hypoglycemia (e.g., lethargy, irritability, tremors, diaphoresis, tachycardia, headache, vomiting, dizziness, blurred vision) until the PN infusion is resumed. Point-of-care glucose measurements can be obtained from infants to rule out hypoglycemia. An additional source of IV glucose administration may be needed if the PN solution contains a dextrose concentration of greater than the maximum 12.5% dextrose solutions that can be infused peripherally.

Because serum magnesium, phosphate, and calcium levels may fall during PN therapy, providers will monitor the concentration of these elements at least weekly. Trace element deficiencies are more likely to develop with long-term PN therapy or when PN therapy is used in premature infants. The signs and symptoms of copper deficiency include anemia, neutropenia, loss of taste (obviously difficult to assess), and rash. Zinc deficiency can produce an erythematous maculopapular rash (called acrodermatitis enteropathica) over the face, trunk, and digits; poor wound healing; hair loss and loss of taste; and a functional ileus.62 A chromium deficiency can produce a diabetes-like syndrome.62

Complications of the PN catheter may also develop. Cardiac arrhythmias can occur if the central venous catheter migrates into the heart, particularly into the right ventricle. Venous thrombosis can develop if a clot is allowed to form at the catheter tip. Superior vena caval thrombosis can complicate PN therapy, particularly in infants who require prolonged PN therapy. An air embolus can be caused by careless coupling of the IV line or stopcock.

Because the central venous PN catheter is inserted into a relatively large vein, a loose or cracked tubing connection can rapidly result in significant loss of blood (i.e., hemorrhage). It is important that the nurse check all tubing and catheter connections at least every hour. Because insertion of a central venous catheter creates risk of significant complications, the nurse must ensure that the catheter is secured in place with no possibility of dislodgement. If catheter misplacement or migration is suspected, a chest radiograph may be needed to verify placement (for further information, see Chapter 10).

Fat emulsions are typically piggybacked into the PN line just before the solution enters the vein. This practice evolved during the initial years of parenteral alimentation using fat emulsions and arose from a concern that prolonged contact between the PN amino acids and the lipids would cause emulsification of the fat and result in the production of fat emboli.

Administration of fat emulsion is contraindicated in neonates with jaundice. Lipid binds with albumin and will displace bilirubin, resulting in an increased risk of hyperbilirubinemia.

Children who receive prolonged PN frequently demonstrate abnormalities in liver function studies (i.e., elevation of the liver enzymes and bilirubin values). Many of these abnormalities are transient and resolve shortly after PN nutrition is discontinued; however, if these abnormalities are noted, the child should be weaned from the PN as clinically appropriate.

Cholestatic jaundice is a serious but incompletely understood complication of PN that is associated with periportal fibrosis, bile duct proliferation, and bile stasis. This complication contributes to morbidity and mortality in younger infants and children with short gut syndrome (SGS) following intestinal resection.10 The first sign of cholestatic jaundice is elevation in concentrations of liver enzymes (alanine aminotransferase [ALT] and aspartate aminotransferase [AST]). In addition, the bilirubin will begin to rise and the child may appear jaundiced; cholestasis is defined as a direct bilirubin greater than 2   mg/dL. Risk of cholestatic jaundice can be reduced by cycling and limiting lipid administration to 1   g/kg per day or using alternate day dosing of the fat emulsion. If cholestasis is present, treatment includes administration of ursodeoxycholic acid.

Common clinical conditions

Intestinal Failure

Intestinal failure is the loss of the absorptive function of the intestine, with resulting malabsorption and malnutrition necessitating PN support. Although the terms intestinal failure and short gut syndrome (SGS) are sometimes used interchangeably, children can have intestinal failure even when they have normal bowel length. Most children afflicted with this disease are diagnosed at less than 1 year of age and are rendered “short gut” when extensive surgical resection of the intestine is required during infancy to treat congenital anomalies or necrotizing enterocolitis (NEC).

With the availability of PN as a form of replacement therapy, many children with intestinal failure survive to adulthood. Multidisciplinary teams (including a nurse practitioner, gastroenterologist, surgeon, dietitian, social worker, and speech therapist) can provide medical and surgical care for intestinal rehabilitation and to promote optimal growth and development in this patient population. Early referrals to such teams should be made for children that are dependent on PN.

Etiology

The etiologies of intestinal failure can be categorized as congenital anomalies with bowel loss or resection (e.g., complicated gastroschisis, malrotation with volvulus, multiple intestinal atresias), postsurgical complications (e.g., NEC, trauma), dysmotility disorders (e.g., chronic intestinal pseudoobstruction, total intestinal Hirschsprung disease), inflammatory bowel disease (e.g., Crohn's disease), and congenital enteropathies (e.g., microvillus inclusion disease, intestinal epithelial dysplasia, secretory diarrhea).

Pathophysiology

Each child with intestinal failure is unique, because there are no absolute criteria for the amount and type of bowel needed to sustain absorption of nutrients for appropriate growth. The normal estimated bowel length at birth is 250 ± 40   cm.22 After the loss of a bowel segment, the intestine undergoes a process termed intestinal adaptation. As a general rule, infants can experience acceptable intestinal function with less than 15   cm of intestine if the ileocecal valve is intact, and with 30 to 45   cm of intestine if the ileocecal valve is absent or does not function.17 It is unlikely that children with less than 20   cm of remaining bowel will be able to grow and develop with enteral nutrition alone. Intestinal transplantation may offer hope to these patients.

Many children with SGS no longer have a functioning ileocecal valve; this results in more rapid intestinal transit and decreased absorption of nutrients. Small bowel distension results in stasis and bacterial overgrowth. Small bowel bacterial overgrowth can result in bacterial translocation and sepsis that contributes to morbidity and mortality in this patient population. For these reasons, enteral antibiotics, and most recently probiotics (bacteria administered to support healthy intestinal flora), are often prescribed for children with SGS to minimize small bowel bacterial overgrowth.

Intestinal adaptation is characterized by increasing intestinal mass, lengthening of villi, and improved absorption at the epithelial level.10,22 This process allows for the remaining intestine to compensate for the loss of the bowel by increasing its surface area and functional abilities.10 Successful adaptation is described as the ability to achieve normal growth, fluid balance, and electrolyte concentration without PN.53 The time frame required for adaptation is unclear and dependent on the etiology of the SBS and the functional state of the remaining bowel, although adaptation can occur over weeks to months.10,22 Children have been transitioned to enteral feedings exclusively over periods as long as 8 years. There are a number of metabolic derangements that occur after loss of bowel that are summarized in Table 14-6.

Table 14-6 Metabolic Derangements and Consequences in Children with Short Gut Syndrome

Derangements Consequences
Early
Gastric hypersecretion Peptic ulceration
Dumping syndrome Diarrhea, hyperglycemia, reactive hypoglycemia
Rapid intestinal transit Nutrient malabsorption
High output from enterostomies Electrolyte disturbances
Late
Bile and fatty acid malabsorption Gallstones, steatorrhea
Bowel dilation and stasis Bacterial overgrowth syndrome, D-lactic acidosis
Anastomotic ulceration Gastrointestinal bleeding

From Cohran VC and Kocoshis SA: Short bowel. In Baker S, Baker R, David A, editors: Pediatric nutrition support, Sudburry, MA, 2007, Jones and Bartlett.

Management

The care of patients with intestinal failure includes complementary medical and surgical interventions with the goals of optimizing oral or enteral diet, PN prescription, treatment of bacterial overgrowth, and use of stool bulking agents. Surgical procedures include bowel lengthening procedures and intestinal transplantation.

In order for the bowel to adapt it must be fed; therefore initiation of early enteral feeding is paramount. Enteral feeding can start with a continuous infusion of nutrition administered through a nasogastric, gastrostomy, or transpyloric feeding tube. Appropriate fluid administration is as important as caloric intake. Many of these children will require 150% to 160% of maintenance fluid to remain hydrated. Once a continuous rate of feeding is tolerated, the time interval can be shortened and feedings can be consolidated if larger volumes are tolerated. Once a consolidated hourly feeding schedule is tolerated, the child can be advanced to bolus feeding.

Often 20   Kcal/ounce feedings are initiated and can be advanced to higher caloric density (to as high as 30   Kcal/ounce [1   Kcal/mL]) as tolerated. Usually these children are fed with casein hydrolysate formulas and elementary amino acid-based formulas such as Pregestimil (Mead Johnson, Evansville, IN), EleCare (Abbott Nutrition, Columbus, OH), and Neocate (Nutricia North America, Gaithersburg, MD) in infants and Peptamen Jr (Nestle Nutrition, North America, Minneapolis, MN) and Neocate Jr.(Nutricia North America, Gaithersburg, MD) in older children. These formula types are easier to digest and are less likely to trigger an immune response, so they will enhance bowel adaptation.10

The eventual goal of medical and surgical therapy is appropriate growth with enteral intake alone, without the need for PN. Promotion of oral food intake should be encouraged; many of these children will have an oral aversion.

When children are unable to achieve appropriate growth with enteral feedings, they may be considered surgical candidates for procedures to restore normal bowel diameter, lengthen the bowel, or both. The goals of surgical intervention include reducing stasis, improving motility, and increasing the effective mucosal surface area.29 The most common short bowel procedures are the Bianchi, Kimura, and the serial transverse enteroplasty procedure.

The Bianchi procedure is the oldest procedure and involves a longitudinal incision to create two tubes to lengthen the bowel (Fig. 14-5). The Kimura procedure (Fig. 14-6) is an alternative procedure for patients with SGS and inadequate mesentery who are not candidates for the Bianchi procedure. The serial transverse enteroplasty (STEP) procedure augments bowel length by stapling dilated bowel in a zigzag fashion to achieve more effective bowel surface area (Fig. 14-7).

image

Fig. 14-5 The Bianchi intestinal lengthening procedure. The bowel is divided in a longitudinal plane to create two tubes, which after reanastomosis results in doubling of the intestinal length at the expense of halving the bowel wall circumference.

(From Warner BW: Short-bowel syndrome. In Grosfeld JL et al, editors: Pediatric surgery, ed 6, Philadelphia, 2006, Mosby.)

image

Fig. 14-6 The Iowa (Kimura) intestinal lengthening procedure. The antimesenteric bowel wall is pexed to the undersurface of the abdominal wall. A seromyotomy along the bowel wall and mechanical abrasion of the abdominal wall before pexing promote neovascularization of the antimesenteric bowel, based on the systemic-derived abdominal wall. Several months later, the bowel may be longitudinally divided into two limbs. The first is based on the systemic blood supply to the antimesenteric limb, and the other is based on the mesenteric blood supply. These two limbs are then reapproximated to double the intestinal length.

(From Warner BW: Short-bowel syndrome. In Grosfeld JL et al, editors: Pediatric surgery, ed 6, Philadelphia, 2006, Mosby.)

image

Fig. 14-7 The serial transverse enteroplasty procedure. Multiple fires of an anastomotic stapling device to alternating sides of the bowel wall result in decreased bowel caliber with an increased length of enteral nutrient transit.

(From Warner BW: Short-bowel syndrome. In Grosfeld JL et al, editors: Pediatric surgery, ed 6, Philadelphia, 2006, Mosby.)

With advances in surgical techniques and immunosuppressive therapy, intestine transplantation is successful as an isolated procedure and when combined with transplantation of other organs.54 A major reason for the increased success of intestinal transplantation is the availability of more potent immunosuppressants such as tacrolimus (Prograf). The major limiting factor that prevents widespread use of transplantation is the lack of available organs for transplantation. Because children with less than 15   cm of bowel are not likely to tolerate enteral feeding and thrive, they should be referred to an intestinal rehabilitation and transplant program as soon as possible.

The ideal intestine donor has the same blood type, weighs within 10% of the recipient's body weight, and is close in age to the recipient. All intestine recipients have a stoma to allow for bowel surveillance and access for endoscopy and biopsy. Figure 14-8 shows the technical details of isolated intestine transplant procedure and intestine transplant in combination with other organs.54

image

Fig. 14-8 The three basic intestinal transplant procedures (the graft is shaded): Isolated intestine transplant, Intestine transplant combined with liver transplant, and multivisceral transplant. With the isolated intestine transplant, the venous outflow may be to the recipient portal vein (center), to the inferior vena cava (left), or to the superior mesenteric vein (right).

(From Reyes JD: Intestinal transplantation. Semin Pediatr Surg 15:228-234, 2006.)

The priorities of care for patients with liver-intestine failure (so-called “ABCs” of care) in the pediatric critical care unit include aeration, bowel integrity, and caloric or hydration requirements. As with any critical care patient, the nurse will assess and support the child's airway, breathing, and circulation. Bowel integrity is initially assessed by evaluating the physical appearance of the stoma (normal stoma appears pink and moist) and enteric output. Initially caloric requirements are met with PN. Enteral feedings are initiated as soon as possible after the transplant.

Critical care goals are to support the patient to be hemodynamically stable, with adequate oxygenation and ventilation, free of requirement for mechanical ventilation support. Airway clearance and spontaneous ventilation may be ineffective as a result of the lengthy abdominal surgical procedure (and resultant need for anesthetic administration during the long procedure), visceral edema, and pain. With the postoperative resolution of coagulopathies, aggressive chest physiotherapy is initiated. Intestine recipients generally require mechanical ventilation longer than isolated liver recipients (see Liver Transplantation in Chapter 17), because intestine recipients typically are in poor health before the transplant and often have a precarious fluid balance. Additional challenges include open abdominal wounds and potential need for surgical reexploration for complications such as perforation or bleeding.

Complications of intestine transplant procedures include rejection, infection, and posttransplant lymphoproliferative disease (PTLD). Signs and symptoms of intestinal graft rejection include a pale or dusky stoma, an increase or decrease in enteric output, abdominal pain, and guaiac positive output. Postoperative endoscopic biopsies of the transplanted bowel are made through the child's stoma on a routine and as needed basis. Rejection is not usually a visual finding during endoscopy, and there are no known confirmatory laboratory tests. Endoscopy with biopsy is the gold standard.

Infection is a common complication following intestine transplant. Viral infection is the most threatening infection for the intestine recipient. Primary infections are typically more serious and occur when the recipient has had no previous exposure to a virus and becomes infected in the posttransplant period. A secondary infection represents reactivation of a previous latent virus.

The most common infecting organisms are cytomegalovirus and Epstein-Barr virus. For the isolated intestine recipient efforts are made to match the recipient and donor cytomegalovirus status. The donor-recipient serology relationship is important because prophylactic therapy is initiated based on viral titers.

Post-transplant lymphoproliferative disorder (PTLD) is one of the most underrated complications of immunosuppression. PTLD is the development of continually proliferating B-lymphocytes, presumably under the influence of Epstein-Barr virus. Diagnosis is made by clinical examination and histologic review. Clinical signs and symptoms include fever, lymphadenopathy, GI symptoms, and weight loss. If the biopsy specimen is diagnostic for PTLD, treatment includes holding or reducing immunosuppression and initiating IV antiviral therapy and immunoglobulin therapy (see Chapter 17 for additional information).

PTLD is a difficult complication to treat following intestine transplantation, because rejection can develop following withdrawal of immunosuppression. Therefore careful titration of immunosuppression is imperative to promote recovery, although the graft may be lost to preserve the child's life.

Gastrointestinal Bleeding

Etiology and Pathophysiology

GI bleeding in children can result from inflammation of the intestine, congenital or acquired visceral or vascular anomalies, trauma, esophageal varices, ulcers, or coagulopathies. The incidence of acquired GI bleeding in critically ill children receiving mechanical ventilation has been reported to be as high as 51.8% in some series.14,47 Identified risk factors include a pediatric risk of mortality 2 score of 10 or higher, operating room procedures longer than 3   hours, hepatic insufficiency, coagulopathy, respiratory failure, and high-pressure ventilator settings of greater than or equal to 25   cm H2O.14,47

Upper GI bleeding originates proximal to the ligament of Treitz. Causes include gastritis, peptic ulcer disease (from nonsteroidal antiinflammatory use and from Helicobacter pylori infection), esophageal or gastric varices, and vascular malformations.

Lower GI bleeding is the result of mucosal disruption distal to the ligament of Treitz and can be caused by Crohn's disease, intussusception, or ischemic injury. Common causes of GI bleeding in children are listed in Table 14-7.

Table 14-7 Causes of Gastrointestinal Bleeding in Infants and Children

Age Group and Status Upper GI Bleeding Lower GI Bleeding
Healthy neonate Swallowed maternal blood, hemorrhagic disease of the newborn, esophagitis, gastric duplication Swallowed maternal blood, infectious colitis, milk allergy, hemorrhagic disease of the newborn, duplication of the bowel, Meckel's diverticulum, anal fissure
Sick neonate Stress ulcer, gastritis, vascular malformations Necrotizing enterocolitis, infectious colitis, disseminated coagulopathy, midgut volvulus, intussusception
Infancy Stress ulcer, esophagitis, gastritis, gastric duplication Anal fissure, infectious colitis, milk allergy, nonspecific colitis, juvenile polyps, intestinal duplication, intussusception, Meckel's diverticulum
Preschool age Esophagitis, gastritis, stress ulcer, peptic ulcer disease, foreign body, caustic ingestion, vascular disease (Rendu-Osler-Weber disease, hemophilia), trauma, portal hypertension Infectious colitis, juvenile polyps, anal fissure, intussusception, Meckel's diverticulum, angio-dysplasia, Henoch-Schönlein purpura, hemolytic-uremic syndrome, inflammatory bowel disease
School age and adolescence Esophagitis, gastritis, stress ulcer, peptic ulcer disease, portal hypertension, trauma Infectious colitis, inflammatory bowel disease, polyps, angiodysplasia, Henoch-Schönlein purpura, hemolytic-uremic syndrome, hemorrhoids, rectal trauma

GI, Gastrointestinal.

Data from Arensman RM, Browne M, Madonna MB: Gastrointestinal bleeding. In Grosfeld JL et al, editors: Pediatric surgery, ed 6, Philadelphia, 2006, Mosby; Martin SA, Simone S: Gastrointestinal system: In Slota MC, editor: Core curriculum for pediatric critical care nursing, ed 2, St Louis, 2006, Mosby-Elsevier.

Microscopic bleeding may cause no symptoms and may be detectable only through analysis of GI secretions or feces. Significant GI bleeding may result in hypovolemia and low cardiac output, shock, and death (see also Shock, in Chapter 6). See the section on Gastrointestinal Bleeding in the Chapter 14 Supplement on the Evolve Website for additional information about the pathophysiology of GI hemorrhage.

Clinical Signs and Symptoms

The appearance of the child with GI bleeding varies considerably, and it is affected by the amount and rapidity of blood loss. Usually the child is brought to the provider's office or emergency department for treatment after vomiting blood, passing black, tarry stools (melena), or passing bright red blood per rectum (hematochezia). Bright red vomitus indicates recent or ongoing upper GI hemorrhage, whereas coffee-ground vomitus indicates partial digestion of the blood.

The color and the source of the bleeding often help to identify the location of the bleeding. Bright red vomitus usually results from esophageal or gastric bleeding, and bright red blood in the stool results almost exclusively from rectal bleeding. Maroon, black, or tarry stool often indicates the presence of upper GI bleeding; the color derives from blood that is partially digested during passage through the bowel.

The patient with sudden, significant bleeding is more likely to demonstrate faintness, pallor, tachycardia, thready pulses, diaphoresis, thirst, apprehension, and other signs of acute blood loss. The child with gradual bleeding, however, may experience only weakness and faintness; the child may be aware of passing black stools, but may not know that significant blood loss has occurred.

The child with GI bleeding may have a normal systolic blood pressure, particularly in the recumbent position, despite significant intravascular volume loss and shock. Signs of decreased peripheral perfusion are usually the earliest signs of severe hemorrhage and include tachycardia; cool, pale, mottled skin; decreased peripheral pulses; and oliguria (urine output averaging less than 0.5-1.0   mL/kg per hour despite adequate fluid intake) or anuria.

Arterial constriction makes blood pressure measurement by cuff difficult or inaccurate, because automated oscillometric blood pressure cuffs may provide falsely high readings in the presence of shock with or without hypotension. The arterial waveform displayed from an indwelling arterial line usually is dampened in appearance, with a narrow pulse pressure.

Metabolic acidosis and a rise in serum lactate may be noted. Oxyhemoglobin desaturation may not be present or detected by pulse oximetry, because existing hemoglobin may be saturated with oxygen. The oximeter device may have difficulty detecting a signal if the child's pulses are weak. The nurse should notify an on-call provider immediately of these findings, because the patient's status is critical (see Chapter 6 for more information about recognition and treatment of shock).

Digested blood has a specific odor that may be noted on the patient's breath even before the onset of melena or the first expulsion of hematemesis. This odor is qualitatively the same as that of melena, but it is usually fainter. To detect early evidence of GI bleeding, all GI fluids and stools of patients at risk should be tested for the presence of blood (hemoprotein). The presence of occult blood in gastric fluid may be determined with point-of-care (bedside) testing such as the use of Gastroccult (Beckman Coulter, Brea, CA).

During the first days of life, the Apt test (named for Leonard Apt) may be performed to distinguish between swallowed maternal blood and GI bleeding as a cause of blood in the newborn's stool.4 The Apt test is performed by placing blood from the neonate on filter paper with 1% sodium hydroxide (a reagent that reacts with fetal hemoglobin).4 Maternal blood will appear rusty brown, whereas the neonate's blood that contains fetal hemoglobin will remain pink or red.4 The pink or red color is a positive result, indicative of presence of blood from the neonate.

Management

The three phases of management of the child with GI bleeding are resuscitation, specific diagnosis, and specific treatment. A diagnostic algorithm for upper GI bleeding is presented in Fig. 14-9.

image

Fig. 14-9 Diagnostic algorithm for upper gastrointestinal (GI) hemorrhage. PPI, Proton pump inhibitor; PUD, peptic ulcer disease.

(From Arensman RM, Browne M, Madonna MB: Gastrointestinal bleeding. In Grosfeld JL, O'Neill JA, Coran AG, Fonkalsrud EW, editors: Pediatric surgery, ed 6, Philadelphia, 2006, Mosby.)

During resuscitation and replacement of intravascular volume, nursing observations may help to determine the source of the child's bleeding. If saline lavage through a nasogastric tube reveals grossly bloody or red-tinged aspirate, ongoing upper intestinal bleeding is present. Nursing interventions during resuscitation of the child with GI bleeding are summarized in Box 14-1.

Box 14-1 Nursing Interventions During Resuscitation of the Child with GI Bleeding

1. Assess and support airway, breathing, and oxygenation. Optimize oxygenation and provide supplementary oxygen as indicated. If the child's level of consciousness is decreased, the child will likely require insertion of an advanced airway and support of ventilation.

2. Restore adequate intravascular volume. Establish vascular (intravascular or intraosseous) access. Because the rate of intravenous fluid replacement will be limited by the size of the vascular catheter, insert the largest catheter possible. It is preferable to establish two vascular catheters to allow one catheter to be used for rapid volume expansion while the other is used for administering medication and measuring the child's CVP.

3. Assess systemic perfusion. Monitor arterial and central venous pressures and systemic perfusion.

a. Record arterial cuff pressure or intraarterial pressure from continuous waveform display and analysis.
b. Notify an on-call provider if systemic perfusion deteriorates or if perfusion fails to improve following fluid and blood administration.
c. Noninvasive oscillometric blood pressure measurement may provide inaccurate blood pressure values if the child is in shock, especially if the child is hypotensive.

4. Insert a urinary catheter to monitor urine output.

5. Obtain blood samples for frequent (at least every 4   h) measurement of hematocrit or complete blood count; notify an on-call provider if either falls.

6. Administer blood volume expanders or packed red blood cells as ordered. Children with active gastrointestinal bleeding should have an active type and cross match with blood available at all times.

a. Warm blood products before administration to infants and small children (according to hospital policy) to prevent cold stress.
b. Observe for signs of transfusion reaction during the administration of blood products (e.g., fever, tachycardia, pruritus, rash, hives).
c. Monitor the serum ionized calcium concentration after transfusion with large amounts of citrate-preserved blood, because the citrate in this blood may precipitate with calcium, resulting in a decreased serum ionized calcium concentration.
d. For further information regarding transfusion therapy, see Blood and Blood Component Therapy in Chapter 15.

7. Assess for signs of further hemorrhage, including signs of poor systemic perfusion, abdominal pain or tenderness, changes in bowel sounds, hematemesis, or hematochezia.

8. Administer antibleeding pharmacologic agents as prescribed. See Table 14-8 for specific drug information.

Proton pump inhibitors and histamine-2 receptor antagonists are the most commonly used pharmacologic agents to prevent the development of GI bleeding (Table 14-8). Although only a small number of critically ill children will develop gastric bleeding, the associated morbidity justifies the common practice of prophylaxis.

Table 14-8 Drugs Used for Prophylaxis and Treatment of Gastrointestinal Bleeding

image

image

Upper GI endoscopy is indicated when bleeding is significant. It can be performed in the critical care unit and is the diagnostic procedure of choice. Push endoscopy is one method, and newer diagnostic tools include video capsule endoscopy. For diagnosis of small bowel bleeding, video capsule endoscopy can be a valuable diagnostic tool. A minute endoscope is embedded in a capsule that is swallowed. The capsule is propelled by peristalsis and captures images that are recorded on a hard drive attached to the patient's belt.

Indications for urgent surgical intervention include the development of intestinal perforation (identified by the presence of free air on an abdominal radiograph) or severe hemorrhage unresponsive to blood replacement therapy. If GI bleeding is stopped effectively with medical management and after resuscitation is complete, further studies will be performed to determine the origin of the bleeding and whether the patient is stable. Surgical intervention may be required at that time.

Hyperbilirubinemia

Etiology

Bilirubin is the major byproduct of hemoglobin breakdown. Hyperbilirubinemia is an elevation in the level of total serum bilirubin (TSB); it results from an imbalance between bilirubin production and excretion. An increase in bilirubin production can result from increased red blood cell (RBC) breakdown (such as hemolysis or decreased RBC life span in the neonate), or impaired bilirubin excretion (such as decreased capacity for elimination in the neonate or cholestatic liver disease). This section addresses hyperbilirubinemia in the neonate; hyperbilirubinemia in the older child is included in the liver failure section.

When the neonate's TSB is elevated, the bilirubin can cross the blood-brain barrier, causing acute bilirubin encephalopathy or the chronic form of bilirubin encephalopathy, kernicterus. Kernicterus is a yellow staining and brain tissue damage with degenerative lesions, resulting from central nervous system exposure to high concentrations of unconjugated bilirubin. Hyperbilirubinemia is commonly associated with prematurity, breast feeding, and other factors summarized in Box 14-2.

Box 14-2 Risk Factors for Hyperbilirubinemia in the Neonate

Factors That Increase Risk

Jaundice in first 24   h (usually related to hemolysis)

Visible jaundice before hospital discharge or TSB or TcB level in the high-risk zone

Hemolytic disease: blood group incompatibility, Rh incompatibility, glucose-6-phosphate dehydrogenase deficiency

Pyruvate kinase deficiency

Prematurity (less than 35 weeks’ gestation)

Cephalohematoma or significant bruising

Asphyxia

Sibling previously received phototherapy (possible genetic cause)

Breast feeding

Ethnicity: East Asian, certain Native American tribes, and Greek ancestry

Maternal age greater than 25 years

Macrosomic infants of diabetic mothers

Male

Other Genetic Causes

Rotor's syndrome

Dubin-Johnson syndrome

Gilbert's disease

Crigler-Najjar syndrome

Hereditary spherocytosis

Factors That Decrease Risk

African American

Greater than 41 weeks’ gestation

Data from American Academy of Pediatrics Subcommittee on Hyperbilirubinemia: Management of hyperbilirubinemia in the newborn infant 35 or more weeks of gestation, Pediatrics 114:297, 2004; Watson RL: Hyperbilirubinemia. Crit Care Nurs Clin N Am 21:97, 2009.Rh, Rhesus (factor); TcB, transcutaneous bilirubin; TSB, total serum bilirubin.

In the first week of life, it is estimated that approximately 60% of normal newborns will become clinically jaundiced.42 Newborns are now discharged from the hospital at approximately 24 to 48 hours after birth, before the typical TSB peak at 48 to 96 hours. As a result, hyperbilirubinemia is the most common reason for hospital readmission of the neonate. A sentinel event alert was issued by the Joint Commission in 2001, because an increased number of cases of kernicterus were being diagnosed in otherwise healthy newborns.

Pathophysiology

When RBCs reach the end of their 120-day life span, they normally are sequestered in the spleen. The cells are destroyed, and the heme portion of the hemoglobin molecule is oxidized, and bilirubin is formed. Bilirubin is bound to albumin in the plasma and taken up in the liver, where it is combined with a sugar through the action of the enzyme, bilirubin uridine diphosphate glucuronosyltransferase, making conjugated bilirubin.11 Conjugated bilirubin is water soluble, it cannot cross the blood-brain barrier, and it is normally excreted in bile (Fig. 14-10). Free bilirubin, called unconjugated (indirect) bilirubin, is lipid soluble and not water soluble. Because unconjugated bilirubin is thought to diffuse freely into the brain, high concentrations of this form of bilirubin may be neurotoxic and cause kernicterus.

image

Fig. 14-10 The pathophysiology of neonatal hyperbilirubinemia.

(From Colletti JE, et al: An emergency medicine approach to neonatal hyperbilirubinemia. Emerg Med Clin N Am 25:1117-1135, 2007.)

Increased TSB concentrations can result from an elevation in conjugated or unconjugated bilirubin. An elevation in the level of conjugated bilirubin is known as direct hyperbilirubinemia. It most commonly results from biliary tree obstruction or liver disease, although it also may occur with metabolic disorders, sepsis, meningitis, or drug reactions.

Elevation of unconjugated bilirubin levels is known as indirect hyperbilirubinemia. It most commonly occurs as a result of excessive bilirubin production in the neonatal period. Premature and critically ill neonates bind bilirubin less effectively than do healthy infants, so indirect hyperbilirubinemia is common among premature neonates. In addition, it can result from impaired transport of bilirubin caused by hypoxia, acidosis or the administration of albumin-binding drugs that displace bilirubin from the albumin. Impaired hepatic uptake of bilirubin also may cause indirect hyperbilirubinemia.

Kernicterus is yellow (bilirubin) staining of the basal ganglia in the brain of neonates with severe jaundice. Although the precise mechanisms responsible for the entry of bilirubin into the brain are not known, disruption of the blood brain barrier from increased permeability (e.g., caused by hyperosmolarity or severe asphyxia), prolonged transit time (e.g., caused by increased central venous pressure [CVP]), or increased blood flow (e.g., caused by hypercarbia and acidosis) are thought to be contributory.63

Jaundice (icterus) can usually be detected when the child's TSB level exceeds 3.0 to 5.0   mg/dL (normally it is less than 1.5   mg/dL). Jaundice is characterized by the accumulation of yellow pigment in the skin and other tissues. In the skin, the jaundice is apparent with digital blanching. Jaundice is usually evident first in the sclera and then progresses in a cephalocaudal distribution. The urine color may become brown as the result of the urinary excretion of conjugated bilirubin. In addition, the stools may become gray or acholic, indicating the absence of normal fecal elimination of bilirubin. Clinical signs that the jaundice is pathologic include persistently elevated direct bilirubin level, dark urine, and acholic stools. Infants with these signs should be evaluated for liver disease.

The neurotoxic sequelae of hyperbilirubinemia are the most worrisome, and a grading for acute bilirubin encephalopathy has been proposed. The earliest signs may include alteration in the tone of extensor muscles (hypotonia or hypertonia), retrocollis (backward arching of the neck), opisthotonus (backward arching of the trunk), and a poor suck.3 The early symptoms may intensify and be accompanied by a shrill cry and unexplained irritability alternating with lethargy.3 Therapy at this stage may prevent advancement of symptoms. Cessation of feeding, irritability, seizures, and altered mental status are later symptoms of acute bilirubin encephalopathy. The final stage is kernicterus and may be irreversible with the development of cerebral palsy, deafness or hearing loss, and impairment of upward gaze. Kernicterus has a significant mortality (at least 10%) and long-term morbidity (at least 70%), and most cases are reported in infants with TSB greater than 20   mg/dL.28

Noninvasive (transcutaneous) bilirubin measurements can be obtained with newer instruments. Published data suggest that in most infants the measurements are within 2 to 3   mg/dL of serum measurements and can replace TSB measurements in most cases.2 In infants undergoing phototherapy, this measurement is not reliable and should not be used.

It is possible to measure serum levels of total bilirubin and direct (or conjugated) bilirubin. Current recommendations caution against inferring the indirect (unconjugated) bilirubin from the TSB, because the difference between the total and direct bilirubin is not constant. Current guidelines recommend that providers evaluate the TSB level63; the higher the TSB, the greater the risk of bilirubin encephalopathy. Treatment is indicated for infants with bilirubin levels in excess of 20   mg/dL.

Management

If direct hyperbilirubinemia is present, the nurse should be alert for the appearance of additional signs of liver disease or decreased hepatic function. Additional diagnostic tests are indicated (these tests are reviewed in greater detail in the section, Liver Failure, later in this chapter).

Indirect hyperbilirubinemia is observed most commonly during the neonatal period, and it often complicates the care of premature infants. Neonatal indirect hyperbilirubinemia is treated with phototherapy, pharmacologic agents, or exchange transfusions to avoid kernicterus.

The current American Academy of Pediatrics (AAP) recommendations for phototherapy are based on age and TSB levels (see Evolve Fig. 14-1 in the Chapter 14 Supplement on the Evolve Website to view a graphic representation of recommended therapies based on infant age and total serum bilirubin concentration). Prophylactic phototherapy is often instituted for neonates weighing less than 1500   g. Although exclusive breast feeding can contribute to high TSB levels, the AAP recommends that breast feeding be continued with 10 to 12 feedings recommended per day, plus administration of supplementary intravenous fluid to treat dehydration.2

Phototherapy converts bilirubin to a water-soluble form that can be excreted without glucuronidation. Phototherapy units contain day lights, fluorescent tubes, fiberoptic light, and halogen bulbs. The effectiveness of phototherapy is determined by the type of light, the infant's distance to the light, and the amount of exposed body surface area. Light emitted at a wavelength in the blue-green spectrum of 425 to 495   nm is thought to be most effective because of the optical qualities of bilirubin and the skin. The AAP recommends the use of special blue fluorescent lamps or light-emitting diodes.41,42

The infant is unclothed while receiving phototherapy to expose maximum surface area. Remove the diaper if the TSB levels are approaching exchange transfusion level. Place protective eye shields over the infant's closed eyes, because the light can injure the retina. Exposure of body surface area may be enhanced in low-birth weight infants by placing a fiberoptic pad under the infant. Unless serum bilirubin levels are critically elevated, phototherapy should be interrupted briefly several times each day. During these interruptions the eye patches should be removed, and the infant (if condition allows) should be wrapped and held to provide comforting tactile and visual stimulation.

The infant's insensible water loss may be increased during phototherapy, so accurate measurement of fluid intake and output is required and weights should be recorded daily. Discuss evidence of excessive fluid loss or inadequate fluid intake with the responsible provider immediately. Neonates receiving phototherapy often develop diarrhea, which can contribute to fluid loss and nutritional compromise.

The infant receiving phototherapy should be turned frequently, and pressure points should be gently massaged. The phototherapy light must be turned off while blood specimens are obtained. If the blood specimens are exposed to light (especially phototherapy), then the bilirubin may be oxidized, thus altering the measured serum bilirubin levels in the blood samples and rendering them inaccurate.

Long-term sequelae of phototherapy are not known. Known complications include potential disruption of maternal infant bonding and possible eye injuries. Transient skin bronzing can occur in infants with cholestasis, although the cause of this bronzing is not clear.

The duration of phototherapy required is affected by the TSB level, the cause of the hyperbilirubinemia, and the infant's age. For infants readmitted for phototherapy during the first days of life, the treatment is usually discontinued when TSB levels reach 13 to 14   mg/dL. It is not uncommon for infants to experience a rebound increase in TSB level of 1 to 2   mg/dL when the therapy is discontinued.41

With the aggressive and early use of phototherapy and pharmacologic intervention, exchange transfusions are not often required. Exchange transfusions are most often used for infants with a hemolytic cause of hyperbilirubinemia. Exchange transfusion should be performed only in a pediatric or neonatal critical care unit with appropriate hemodynamic monitoring and resuscitation capabilities.

Pharmacologic options for treatment of hyperbilirubinemia include the administration of gamma globulin for hemolytic disease, possible use of tin-mesoporphyrin, and reduction of medications that bind albumin, if possible. For infants with isoimmune hemolytic disease, IV gamma globulin should be administered at a dose of 0.5 to 1   g/kg over 2   hours if TSB levels continue to rise despite phototherapy or if the TSB level is within 2 to 3   mg/dL of exchange transfusion levels.

There is some evidence to support administration of a drug that inhibits the production of heme oxygenase (the precursor to bilirubin development) to prevent hyperbilirubinemia. This drug is not yet approved by the U.S. Food and Drug Administration. Drugs that bind with serum albumin (ceftriaxone, sulfonamides, oxacillin, gentamicin, diazepam, furosemide, hydrocortisone, and digoxin) are avoided if possible, because they may displace serum bilirubin from albumin, thereby increasing the concentration of free bilirubin and the risk of bilirubin diffusion across the blood brain barrier.

Portal Hypertension

Etiology

Portal hypertension is an increase in portal venous pressure above 5 to 10   mmHg. It is caused by obstruction to the normal flow of blood through the portal venous system, the liver sinusoids, or the hepatic vein from the mesenteric vascular bed (small and large intestine, stomach, spleen, and pancreas).61 It may be caused by (1) obstruction of the portal vein or its immediate tributaries (this is a form of extrahepatic or prehepatic portal hypertension), (2) an increase in vascular resistance within the liver that occurs secondary to fibrosis of the liver (this form is called intrahepatic or hepatocellular portal hypertension), or rarely (3) obstruction of hepatic venous outflow into the inferior vena cava (this is a form of suprahepatic or posthepatic portal hypertension).

Children can develop extrahepatic portal hypertension as a result of thrombosis of the portal vein. Most portal vein thrombosis is idiopathic in origin. It may also be congenital in origin, it may result from the use of umbilical venous catheters during the newborn period, or it may result from a hypercoagulable disease state.

Intrahepatic portal hypertension can complicate any form of chronic liver disease, including neonatal or childhood hepatitis, biliary atresia, congenital hepatic fibrosis, or liver disease secondary to infection or metabolic diseases (e.g., alpha1-antitrypsin deficiency). Suprahepatic portal hypertension may be caused by inferior vena cava (IVC) obstruction, hepatic vein occlusion, thrombosis from Budd-Chiari syndrome, or stenosis of the hepatic vein orifice.61

Pathophysiology

Portal venous blood flows into liver sinusoids. Because these sinusoids offer more resistance to blood flow than normal capillaries, pressure in the portal vein is normally higher than the CVP. If flow through the liver is obstructed, pressure in the portal vein and the splenic and mesenteric circulations may increase rapidly.

Anything that obstructs blood flow within the portal venous system, liver, or inferior vena cava can produce portal hypertension. Thrombosis of the portal vein will cause a significant rise in pressure in the portal vein proximal to the clot. Fibrosis of the liver compresses and distorts liver architecture and blood vessels; this will increase the resistance to blood flow through the liver and elevate portal venous pressure. Any obstruction to the flow of blood through the hepatic vein and into the IVC can increase sinusoidal pressure and distend the liver sinusoids with blood. If this obstruction is severe or chronic, resistance to the flow of blood into those sinusoids will increase and portal hypertension will result.

The three major physiologic complications of portal hypertension are: congestion of the splenic and mesenteric circulations, the development of collateral vessels, and sequestration of blood in the splanchnic circulation (the blood vessels from the gut and spleen that normally drain into the portal vein). When portal vein pressure increases, blood flow from the splanchnic circulation is impeded; this results in the pooling of blood in the splanchnic circulation. Because the splanchnic circulation consists of the mesenteric and splenic veins, splenic congestion and enlargement will result.

Hypersplenism and stasis of blood in the spleen cause damage to or sequestration of the formed elements of the blood, producing anemia, thrombocytopenia, and neutropenia. Engorgement of mesenteric vessels may cause mesenteric vein thrombosis or mesenteric infarction.

Impedance to portal blood flow and hypertension in the portal and splanchnic circulation promote the formation of collateral vessels between the systemic and portal circulations and the IVC, or other major central veins (Fig. 14-11). Major collateral vessels form from the portal vein, along the stomach and esophagus to the intercostal veins, in the paraumbilical veins (causing enlarged abdominal wall vessels), and around the rectum and anus (in the hemorrhoidal veins). Submucosal veins of the esophagus often enlarge and form collateral vessels between the portal venous system and vena cava. These enlarged veins often protrude into the esophagus and are known as esophageal varices.

image

Fig. 14-11 Varices related to portal hypertension. Portal vein, its major tributaries, and the most important shunts (collateral veins) between the portal and caval systems.

(From Monahan FD, Sands JK, Neighbors M, Marek JF, Green-Nigro CJ: Hepatic problems. In Phipps' medical-surgical nursing: health and illness perspectives, ed 8, St Louis, 2007, Mosby.)

Clinical Signs and Symptoms

Splenomegaly is often one of the first clinical signs of portal hypertension in children. Children with portal hypertension may also have ascites, markedly dilated superficial abdominal veins (caput medusae), and hypoalbuminemia.

If esophageal varices are present, sudden, severe esophageal and GI bleeding may occur without warning (see Gastrointestinal Bleeding, earlier in this chapter) with the onset of hematemesis, melena, or hematochezia. The bleeding from esophageal varices can be complicated by high variceal pressure and associated thrombocytopenia, so it may be particularly difficult to control.

The mortality rate for patients with bleeding esophageal varices was previously high; however, current treatment with vasopressin and somatostatin, correction of coagulopathy, endoscopic sclerotherapy and ligation (banding), and balloon tamponade (with a Sengstaken-Blakemore tube) are generally effective in controlling bleeding in children.55 Balloon tamponade requires skilled personnel and is reserved for uncontrollable bleeding in larger patients.

The diagnosis of portal hypertension can be confirmed with ultrasound examination and assessment of the splenic or hepatic veins with vascular mapping. In some centers, computed tomography (CT) angiograms are performed to assess the existing vasculature. Liver function tests and a liver biopsy can be performed to determine the cause or extent of the primary disease in children with intrahepatic portal hypertension.

Management

Bleeding from esophageal varices is a life-threatening complication of portal hypertension. The goals of initial management are to maintain intravascular volume and systemic perfusion and to stop active bleeding (Box 14-3). For patients with portal hypertension from intrahepatic causes, there is a higher mortality when the initial bleeding episode is associated with liver dysfunction, malnutrition, and coagulopathy.

Box 14-3 Management of Hemorrhage Associated with Portal Hypertension

Resuscitation

Establish intravenous access and appropriate hemodynamic monitoring (e.g., arterial and central venous monitoring).

Provide isotonic intravenous crystalloid boluses (20   mL/kg and repeat as needed) and blood (10   mL/kg as needed). Warm blood products before administration in infants and young children (or per hospital policy).

Evaluate systemic perfusion frequently.

Assess for signs of ongoing hemorrhage (abdominal pain, changes in bowel sounds, hematemesis, or hematochezia).

Monitor fluid and electrolyte balance.

Diagnosis

Assess color, location of bleeding.

Monitor for indications that surgical intervention is required (free air observed on abdominal radiograph, severe hemorrhage unresponsive to blood replacement, or continuing hemodynamic instability). Endoscopy may be performed when the child is stable.

Treatment

Saline lavage

Vasopressin or somatostatin infusion

Endoscopy with sclerotherapy or ligation

Shunt procedure for patients as appropriate

Transjugular portasystemic shunt in larger patients

From Lin PW, Stoll BJ: Necrotizing enterocolitis. Lancet 368:1271-1283, 2006.

If bleeding from esophageal varices persists after correction of coagulopathies and volume resuscitation, a continuous IV infusion of vasopressin or somatostatin analog (octreotide acetate) can be initiated (see Table 14-8).

Alternative therapies for the treatment of bleeding esophageal varices that can be performed once acute bleeding is controlled include endoscopic sclerotherapy or band ligation in larger patients. These techniques require the expertise of a gastroenterologist or a pediatric surgeon and can be performed at the bedside using sedation or anesthesia.

During endoscopic sclerotherapy, the endoscopist injects a sclerosing agent such as 5% ethanolamine, 1 to 1.5% tetradecyl sulfate, or 5% sodium morrhuate either into or around bleeding esophageal varices.55 The resulting edema and thrombosis stops bleeding in most patients (Fig. 14-12). Esophageal varices can be obliterated completely with repeated injections at 2 to 4-week intervals, thus preventing recurrent episodes of bleeding. Potential complications of this technique include exacerbation of bleeding, esophageal stricture, and esophageal perforation.43

image

Fig. 14-12 Techniques of injection sclerotherapy.

(From Terblanche J, Burroughs AK, Hobbs EKF. Controversies in the management of bleeding esophageal varices. N Engl J Med 320:1393-1398, 1989.)

A pediatric Sengstaken-Blakemore tube (Fig. 14-13) can be inserted at the onset of the bleeding. Although this tube is usually effective in controlling bleeding, it is used infrequently because the complication rate is high. The tube must be inserted by skilled, experienced personnel, and the child typically requires arterial pressure monitoring and airway control with endotracheal intubation. Complications include pulmonary aspiration, discomfort, and pressure necrosis of the distal esophagus. When a Sengstaken-Blakemore tube is used, bedside providers should constantly monitor the tube function, placement, and integrity. In many instances bleeding reoccurs after the tube is removed. See the Chapter 14 Supplement on the Evolve Website, Portal Hypertension, Management, for additional information on The Sengstaken-Blakemore Tube.

image

Fig. 14-13 Positioning of a Sengstaken-Blakemore tube.

(From Given B, Simmons S: Gastroenterology in clinical nursing, ed 4, St Louis, 1984, Mosby.)

Surgery to decompress the hypertensive portal system may be necessary if life-threatening variceal bleeding recurs, although these procedures are most successful in children who are older than 10 years, when veins are of larger size. These procedures reduce the portal venous pressure by shunting portal blood flow directly into the IVC, bypassing the scarred liver or thrombosed portal vein.

The Rex shunt is an option for surgical correction of extrahepatic portal vein obstruction. The word Rex refers to the anatomic name of the portion of the liver to which the blood is shunted. The Rex shunt uses an autologous vein, most commonly the left jugular vein; this vessel extends from the superior mesenteric vein to the left branch of the portal vein.13 To prevent clotting of the shunt, heparin is initially provided. When oral intake is tolerated, anticoagulation therapy is transitioned to baby aspirin and dipyridamole (Persantine). The duration of this anticoagulation is variable, and is determined by the size of the child, the size of the graft, and the presence of any hypercoagulable conditions. For further information, readers are referred to websites about this procedure (e.g., http://www.childrensmemorial.org/depts/siragusa/transplant-surgery/rex-shunt.aspx)

Additional shunting procedures include the splenorenal shunt and the mesocaval shunt. The most popular shunting procedure performed in children is the distal splenorenal shunt, which results in anastomosis of the splenic vein to the left renal vein (Fig. 14-14). An alternative procedure, the mesocaval shunt, is occasionally performed; it redirects blood from the obstructed mesenteric system to the patent intrahepatic system.

image

Fig. 14-14 Distal splenorenal shunt. The lesser sac is entered, and the splenic vein is dissected off the interior border of the pancreas, ligating and dividing small pancreatic branches. The left renal vein is then found and mobilized, preserving the gonadal and adrenal branches. The splenic vein is divided close to the confluence with the superior mesenteric artery (SMA) and anastomosed end to side with the left renal vein. The vein should lie in a smooth curve to avoid kinking. The coronary and gastroepiploic veins are ligated and divided. Blood flows from the gastric and esophageal varices via the short gastric veins, across the spleen, and into the splenic vein. The spleen is also decompressed in this fashion while portal flow to the liver is preserved.

(From Superina R: Portal hypertension. In Grosfeld JL et al, editors: Pediatric surgery, ed 6, St Louis, 2006, Mosby).

A potential postoperative complication of the shunting procedure is thrombosis of the anastomotic vessel and recurrence of the portal hypertension. The mesocaval shunt diverts some blood from the splanchnic circulation, reducing flow to the liver. As a result, the shunt may reduce liver detoxification of some circulating toxins, such as nitrogenous substances. The nurse must monitor for the development of hepatic encephalopathy (see discussion under Liver Failure later in this chapter).

Nursing interventions during acute episodes of GI bleeding secondary to portal hypertension are summarized earlier in this chapter (see Gastrointestinal Bleeding). Intervention for the treatment of ascites is presented in the following section.

Ascites

Etiology

Ascites is the accumulation of free fluid in the peritoneal cavity. It can result from diffuse inflammation of the peritoneal surface such as occurs with peritonitis, or it can be associated with increased portal capillary pressure resulting from cirrhosis, severe congestive heart failure, or other obstructive vascular conditions. Ascites may also be associated with diseases that result in sodium and water retention with decreased plasma colloid osmotic pressure (e.g., nephrotic syndrome). In children, significant ascites is caused most often by liver disease, severe congestive heart failure, infection, or nephrotic syndrome. Chylous ascites may occur in newborns and may be acquired in older infants and children.

Pathophysiology

Ascites results from the exudation of fluid from the surface of the liver, bowel, or peritoneum. This fluid enters the abdominal cavity instead of the mesenteric or portal venous system if any of the following conditions is present: (1) obstruction to flow between the mesenteric or portal vein and the IVC, (2) extremely high CVP, (3) low serum albumin, or (4) presence of proteinaceous fluid in the peritoneal cavity.

When blood passes through any capillary bed, the amount of fluid filtered out of the capillaries (the vascular space) is determined by pressure gradients across the capillary bed (from the arterial to the venous end and between the intravascular and the extravascular or interstitial space) and the difference in oncotic pressure between the intravascular and extravascular spaces. Under normal circumstances these factors, known as Starling's capillary forces, favor a small amount of net fluid filtration (flow into the extravascular or interstitial space) at the arterial end of the capillary bed and reabsorption of most of the fluid (flow back into the vascular space or capillary) at the venous end of the capillary bed. The slight tendency for fluid to filter out of the capillary as the result of capillary hydrostatic pressure is balanced almost exactly by the oncotic pressure normally exerted by plasma (intravascular) proteins, so that a near equilibrium exists between fluid filtration and reabsorption. A rise in venous hydrostatic pressure, an increase in extravascular (interstitial) oncotic pressure (e.g., caused by leak of protein from the vascular space), or a fall in intravascular oncotic pressure (hypoalbuminemia) can destroy the capillary equilibrium and produce a net loss of fluid from the vascular space to the extravascular space. This net loss of fluid to the extravascular space in the abdominal cavity results in ascites.

When hepatic and portal venous blood flow is obstructed, such as in cirrhosis of the liver, venous capillary and hepatic sinusoidal pressures rise. Initially the veins and sinusoids expand to accommodate larger quantities of blood. Eventually, however, as the capillary hydrostatic pressure rises, fluid begins to exude from the surface of the liver into the peritoneal cavity. Because liver sinusoids are far more permeable than normal capillaries, both fluids and proteins leak into the abdominal cavity. Once a sufficient quantity of proteins is present in the abdominal cavity, the extravascular colloid osmotic (oncotic) pressure rises, drawing more fluid from the vascular space into the abdominal cavity.

Congestive heart failure may produce ascites if the CVP rises sufficiently. Initially, hepatic venous and sinusoidal pressures rise, and the veins and sinusoids expand to accommodate a greater blood volume. This venous congestion causes one of the earliest signs of congestive heart failure in children—hepatomegaly (see Congestive Heart Failure in Chapter 8). If the CVP continues to rise, the liver's storage capacity for blood is exceeded, and fluids and proteins will exude into the abdominal cavity, creating ascites.

Children with nephrotic syndrome or hypoalbuminemia demonstrate a low plasma oncotic pressure. This low oncotic pressure enhances net fluid filtration from the vascular space, even if capillary pressure remains low. Hypoalbuminemia usually produces generalized edema, including ascites.

Peritoneal inflammation results in the formation of protein-rich ascitic fluid. The presence of this fluid in the peritoneal cavity creates an increase in extravascular colloid osmotic pressure, drawing more fluid from the vascular space into the abdominal cavity (ascites).

Spontaneous bacterial peritonitis occurs in children with ascites from cirrhosis.35 Chylous ascites develops secondary to lymphatic obstruction at the level of the cisterna chyli or above.

Clinical Signs and Symptoms

Ascites usually develops gradually and is frequently unnoticed by the child or parents unless it is associated with other symptoms of the primary disease. Clothing may be perceived as too tight around the waist, and belts must be loosened as weight gain occurs and abdominal girth increases. Peripheral, ankle, and presacral edema may not be present unless hypoalbuminemia develops. If the ascites results from inferior vena caval, portal, or abdominal venous obstruction or a high CVP, superficial abdominal veins will be distended and visible on the surface of the abdomen (caput medusae).

The child's abdomen will be visibly distended. The abdominal girth should be measured every 4   hours, and more often if the patient's condition changes, to allow for monitoring of the severity of the ascites. The abdomen is generally dull to percussion, indicating the presence of fluid. Ascitic fluid will collect in dependent areas of the abdominal cavity, so the location of the area of dullness may change when the patient changes position; this is called shifting dullness.

If the child is cooperative and a second observer is present, it may be possible to elicit a fluid wave during palpation of the abdomen. The first observer places a hand firmly on the midline of the child's abdomen. The second observer places one hand along one side of the child's abdomen and, with the second hand, sharply taps the other side of the child's abdomen. If significant amounts of free peritoneal fluid are present, both observers feel a “wave” of fluid transmitted from one side of the abdomen to the other. The first observer's midline hand will rise when the fluid wave passes the midline.

Patients with ascites demonstrate a wide variety of fluid and electrolyte imbalances. Hypoalbuminemia may result from the primary disease or from a loss of protein into the ascitic fluid. Protein synthesis also is decreased if liver function is impaired. If the child has cirrhosis, antidiuretic hormone levels are elevated because the liver does not inactivate the antidiuretic hormone; this causes water retention and may produce a dilutional hyponatremia. In addition, aldosterone is not inactivated by the cirrhotic liver, so both water and sodium retention increase. Hypokalemia may result from aldosterone excess or from potassium loss caused by administered diuretics.

If significant fluid accumulates in the child's abdomen, it can impede diaphragm excursion. The child will demonstrate tachypnea with shallow breaths and may develop atelectasis. Providers should monitor for signs of respiratory distress, because assistance may be needed, using mechanical ventilation.

With the accumulation of large amounts of ascitic fluid, the child may develop a hydrothorax or accumulation of fluid in the thorax. This fluid most commonly enters the right chest, although bilateral hydrothoraces may develop. The child with a hydrothorax demonstrates dyspnea, increased respiratory effort (retractions and nasal flaring), and tachypnea. Breath sounds over the area of fluid usually are decreased, although the observer simply may note a change in the pitch of breath sounds caused by transmission of breath sounds from other areas of the chest through the pleural fluid.

If the ascites is secondary to liver, cardiovascular, or renal disease, then the child will exhibit signs of the primary disease and the ascites. For further information, see the appropriate sections in this chapter (e.g., Liver Failure), in Chapter 8 (Congestive Heart Failure) and in Chapter 13 (Acute Renal Failure).

The child with ascites may be extremely self-conscious about the abdominal distention. These children often complain of a sensation of “fullness” in the abdomen, and they may be anorexic. Nutritional weight loss may be masked by the weight gain produced by ascites.

Management

Ideally, healthcare providers should identify and treat the cause of the ascites before it is severe and produces respiratory compromise. Nurses should carefully measure fluid intake and output for any child at risk for the development of ascites. Weigh the child at the same time of day with the same scale and technique to detect small weight changes. Measure the child's abdominal girth frequently if ascites is developing or worsening.

Strict fluid and possibly sodium restriction are often required in the treatment of severe ascites. Administration of diuretics will necessitate close monitoring of fluid and electrolyte balance. The nurse must carefully monitor systemic perfusion during diuresis to prevent compromise in intravascular volume and systemic perfusion.

If a CVP catheter is placed in the child with an obstruction or compression of the IVC, it is important to know the location of the tip of the catheter in relation to the obstruction or compression. If the catheter tip is distal to the IVC obstruction or compression (e.g., catheter tip located in femoral vein in the child with severe ascites), the IVC pressure measured at that point will not reflect right atrial pressure. If possible, the tip of the catheter should be advanced beyond any area of obstruction (e.g., to the junction of the IVC and right atrium) if the central venous catheter pressure measurements are to be used to evaluate intravascular volume and cardiac preload.

If oral feedings are permitted, hard candy may be given to older children to assuage thirst and provide some glucose intake during periods of fluid restriction. An effort must be made to make meals palatable. Small, frequent feedings usually are better tolerated than infrequent, larger ones because gastric distention increases the sensation of abdominal fullness. If possible, allow the older child to plan disbursement of the restricted fluid intake during the day.

The child may develop lower lobe atelectasis from the pressure of abdominal fluid on the diaphragm and resultant shallow breathing. To prevent atelectasis, encourage the child to sit upright, rather than recline, and to remain as ambulatory as possible. Ambulation and use of incentive spirometry or bubbles may prevent atelectasis; chest physical therapy will be needed if pneumonia or atelectasis develops. If the child develops signs of respiratory distress, elevate the head of the bed to maximize diaphragm movement. Infants can be placed in an infant seat, and older children may prefer to sit at the side of the bed, leaning forward over a bedside table. Use pulse oximetry and titrate oxygen administration during episodes of respiratory distress.

Most cases of chylous ascites resolve without surgical intervention. The goal of treatment is to reduce lymphatic flow. For mild cases, reduce enteral fat intake with or without the use of medium chain triglyceride. Some patients require a period of no enteral intake and PN. In others, the addition of somatostatin will be effective. Palliative procedures to reduce fluid include decompression with paracentesis or placement of an intraabdominal drain and thoracentesis. After paracentesis, monitor the child closely for complications such as hypotension (large shifts of intravascular volume) and bacterial peritonitis.35 Surgical decompression using a peritoneal-jugular shunt may necessary.

Bowel Obstruction

Etiology

Bowel obstruction can be mechanical or functional in origin, and it can occur anywhere along the length of the GI tract. Mechanical obstruction is a physical barrier that blocks the lumen of the GI tract, so that peristaltic contractions are unable to propel GI contents forward. Four main causes of mechanical bowel obstruction are: (1) congenital GI malformations (e.g., duodenal atresia, annular pancreas), (2) intraluminal obstruction (e.g., foreign body, stool, bezoars [masses of organic or inorganic material—often swallowed material—trapped in the gastrointestinal system]), (3) intramural lesions within the bowel wall (e.g., tumors, Crohn's disease, webs), and (4) extramural causes (e.g., bowel adhesions, hernias, intestinal volvulus).32

A functional obstruction, also called an ileus, occurs when the motor function or peristalsis of the GI tract is impaired, creating a stasis of bowel contents. Functional obstruction can develop after abdominal surgery (i.e., postoperative ileus) but can be related to sepsis, medications (e.g., opioids), trauma, head injury, pneumonia, and metabolic imbalances.

Clinical Signs and Symptoms

Clinical signs and symptoms vary depending on the location of the obstruction, the type of obstruction (mechanical or functional), and whether the obstruction is complete or partial. Presentation can be acute with signs of peritonitis (e.g., volvulus) or subtle and chronic with incomplete or recurring bouts of obstruction (e.g., intussusception).

When obstruction develops, bowel proximal to the obstruction becomes distended by a collection of air and fluids. Distal bowel collapses from a lack of intraluminal content. Proximal obstructions create a relatively larger amount of bowel collapse, and physical findings can include a scaphoid or sunken abdomen.

An obstruction in the lower GI tract will result in more bowel distention and, consequently, more abdominal distension. Clinical findings include a rounded, distended, and tympanic abdomen with bowel loops that may be visible and palpable. If the bowel obstruction is mechanical, bowel sounds will be present and often are high pitched and tinkling in character, because the peristaltic waves continue to propel contents against the obstruction. Pain is initially mild, but increases in severity and often corresponds with peristalsis.

Functional obstructions are referred to as the silent abdomen, because there is lack of peristaltic activity. Pain associated with a functional obstruction is constant and increases in intensity as the bowel becomes further dilated. In cases of obstruction associated with compromised intestinal perfusion such as volvulus, pain results from ischemia and is continuous with escalating intensity.

Obstructions may be complete or partial and intermittent. Complete obstruction stops all progression of bowel contents, but patients will evacuate distal contents before all output ceases. Many patients with complete obstruction will develop bowel ischemia.46 Patients with partial or intermittent obstructions will pass some air and liquid stool (diarrhea and flatus).

Vomiting is a common symptom of both mechanical and functional bowel obstruction. The character and frequency of vomiting may provide clues to the location of the obstruction. Higher obstructions result in more rapid onset and more frequent episodes of vomiting. With lower obstructions there is more space to accommodate the accumulation of air and fluid, so there is typically a longer time before the onset of vomiting. Vomiting is typically a late sign of a lower obstruction and is preceded by bowel and abdominal distension.

Emesis typically is described as nonbilious (yellow) or bilious (green) in color. Vomiting associated with obstruction proximal to the sphincter of Oddi will more likely be nonbilious, because the expelled fluids have not yet mixed with bile excreted at the sphincter. Bilious emesis usually represents an obstruction occurring beyond the sphincter of Oddi and is regarded as a hallmark sign of a probable surgical emergency that requires rapid investigation and treatment.

Abdominal plain radiographs are the first choice for diagnostic imaging when bowel obstruction is suspected. The normal bowel gas pattern includes a paucity of air in the small bowel, but air is normally visible in the colon and rectum (Fig. 14-15, A). With obstruction, bowel proximal to the obstruction dilates as air and fluid accumulate, causing air fluid levels that are visible in the abdominal plain radiographs (Fig. 14-15, B). The colon and rectum have little or no air, so they may not be visible. The more distal the obstruction, the higher the visible air fluids levels (Fig. 14-15, C). With complete obstruction a paucity of air is visible distal to the obstruction and a cutoff point maybe evident. It is difficult to differentiate between large and small bowel obstruction on the basis of plain abdominal radiographs in infants.

image image image

Fig. 14-15 A, Normal gas pattern. Typical caliber of bowel with air seen throughout the intestine, including the rectum. B, Bowel obstruction with severely dilated bowel and air fluid levels in the left lower quadrant. The bowel distension extends to below the diaphragm on the left side. C, Multiple air fluid levels are present with a paucity of air in the lower abdominal quadrants. This radiograph is consistent with bowel obstruction.

Management

Mechanical obstruction is more likely to require surgical intervention. Functional obstruction is often managed with supportive measures such as bowel rest, nasogastric tube decompression, and pharmacologic interventions (e.g., neostigmine, metoclopramide, naloxone, erythromycin).

Placement of a nasogastric or orogastric tube can create a route for bowel decompression, although recent data calls into question the need for nasogastric decompression in all patients with obstruction. If a tube is inserted, low intermittent suction is often used to remove pooled fluid and air and reduce distension. To maintain fluid balance, the child will likely require additional intravascular fluids (typically isotonic crystalloids) to replace those lost through GI suction.

Bowel obstruction is often associated with dehydration caused by a lack of oral fluid intake and recurrent vomiting. Vomiting expels both fluids and electrolytes, contributing to dehydration and electrolyte imbalance. Distention reduces the ability of the bowel to reabsorb water and electrolytes, further increasing fluid and electrolyte losses. Alkalosis with low chloride and elevated serum bicarbonate is commonly observed with a high obstruction, such as pyloric stenosis.

Abdominal distension can produce respiratory compromise. Increasing intraabdominal pressure compromises diaphragm excursion and can contribute to respiratory distress. Raising the head of the bed can help to maximize diaphragm excursion, decrease the work of breathing, and improve oxygenation and ventilation.

Surgery is often required for the management of bowel obstruction and may be required on an emergent basis to avoid loss of bowel. Emergent surgery is indicated in the setting of complete obstruction (e.g., midgut volvulus, unsuccessful reduction of intussusception, incarcerated hernia) or when the patient demonstrates signs of bowel ischemia and peritonitis. Patients without clinical signs of septic shock, peritonitis, or bowel ischemia can be treated safely with nasogastric decompression and fluid resuscitation before surgical intervention. Partial obstructions can be treated initially with decompression that may resolve the obstruction.46

Care of the child after abdominal surgery

Preoperative electrolyte imbalance, dehydration, sepsis, and malnutrition can complicate both perioperative and postoperative care of the child requiring abdominal surgery. These conditions are often exacerbated by general anesthesia and surgical manipulation. It is important to correct electrolyte imbalances and hypovolemia and, when necessary and possible, maximize nutritional status before administering general anesthesia.

Fluid Balance

Maintenance of the child's fluid and electrolyte balance can be challenging. Significant fluid shifts after abdominal surgery can result in the loss of intravascular fluids into nonfunctional compartments (third spacing). Treatment of third spacing includes fluid administration to maintain intravascular volume. As postoperative inflammation or infection decreases, the patient begins to rebound from the third-spacing phenomenon. As the tissues and injured areas heal, fluid in the nonfunctional compartments shifts back into the vascular space. This recovery phase is identified by an increasing diuresis with low urine specific gravity and osmolality.

Postoperative Ileus

Ileus is hypomotility of the GI tract in the absence of a mechanical bowel obstruction. This hypomotility or paralytic state creates a lack of coordinated propulsive action, so food and air do not move through the GI tract. The most common causes of ileus include abdominal surgery, peritonitis, and trauma. The consequences of an ileus are the accumulation of both air and fluids within the bowel, causing distension. Clinical findings of an ileus include a distended, tympanic abdomen. Pain and discomfort increase as the bowel becomes more distended. Patients require analgesia and are hesitant to move. In addition to the abdominal signs, the compromised diaphragm function can cause increased work of breathing and risk of atelectasis and pneumonia.

Infection

The most common nonsurgical sites of postoperative infection and fever are the respiratory tract, urinary tract, and intravenous catheters. Fever during postoperative days 1 to 3 most likely has a noninfectious cause (e.g., atelectasis). When fever develops after postoperative day 5, the likelihood of an infectious source (e.g., wound infection) rises. Blood and urine specimens should be sent for culture if a fever develops at this time. If pulmonary symptoms are present, a chest radiograph is obtained. All surgical wounds should be inspected for any signs of infection.

Management

Goals of postoperative nursing care of the child recovering from abdominal surgery include preventing respiratory complications, maintaining the child's fluid and electrolyte balance and nutrition, and preventing and detecting any infection.

During the immediate postoperative period, the nurse should assess and support respiratory function and prevent respiratory compromise. Because abdominal distention or ascites can compromise diaphragm excursion, and abdominal pain or discomfort can contribute further to inadequate ventilation, postoperative mechanical ventilation may be planned after major GI manipulation or resection. If the child is breathing spontaneously, the nurse should encourage the child to cough and breathe deeply. Spirometry and chest physical therapy may be ordered to prevent atelectasis, and adequate analgesia is needed. Early ambulation will supplement these efforts and will promote resumption of bowel function.

The nurse should carefully measure and record all fluid intake and output. Third spacing of fluids should be anticipated postoperatively, and the nurse should monitor for evidence of inadequate intravascular volume (hypovolemia) and poor systemic perfusion. Fluid administration is indicated if intravascular volume is inadequate.

A nasogastric tube can be inserted postoperatively to prevent abdominal distention, discomfort, and excessive tension on the suture line. The nurse should evaluate the total amount of nasogastric drainage every 4 to 8   hours. Typically, half of this fluid loss is replaced with an IV solution determined by the surgeon or other on-call provider.

The nurse should examine the abdomen and auscultate for bowel sounds every time vital signs are assessed. Initially, bowel sounds are absent. As bowel motility resumes, bowel sounds gradually return. The child will begin to pass flatus or stool, and the abdomen will become softer and less distended. Serial measurements of abdominal girth are often useful in infants to track changes.

Postoperatively the nurse should assess the child's pain and administer adequate pain medication to maintain comfort and to prevent splinting of the abdominal incision. Typically an intravenous opioid is administered either as an intermittent bolus or a continuous infusion with or without a patient-controlled mode. For further information about analgesia, see Chapter 5.

Monitor the amount, consistency, odor, and color of wound drainage. Wound and blood cultures should be ordered if wound drainage becomes purulent or the patient becomes febrile. If the wound becomes inflamed, it can be excised and drained.

Peritonitis or GI bleeding can complicate the care of children with preoperative ascites and cirrhosis (see Ascites, Portal Hypertension, and Liver Failure in this chapter). Throughout the child's care, the nurse should monitor the child closely for evidence of abdominal pain or tenderness and check all nasogastric drainage and stools for the presence of blood. Intravenous antibiotics are indicated when peritonitis is present. Broad-spectrum antimicrobials are often ordered initially until specific infecting organisms are identified.

The nurse should carefully explain all procedures and treatments to the child and family and should give the child the opportunity to discuss questions and concerns about therapy. Surgical incisions can be frightening and threatening to the child's body image and sense of body integrity, so the child may require reassurance that the incisions will heal. If the child's condition allows, therapeutic play can offer the child the opportunity to express fears or frustration about the surgery.

Specific diseases

Congenital Gastrointestinal Abnormalities

The most important aspects of the management of congenital GI anomalies are prenatal or early diagnosis, a birth plan to allow for transfer to a tertiary care center, surgical intervention, early enteral feeding, and prevention or treatment of postoperative complications. With the frequent use of prenatal ultrasound examinations, most families are aware of the child's anomalies before birth. This knowledge allows for additional testing, including chromosomal analysis if the identified anomaly (e.g., omphalocele, duodenal obstruction) is associated with chromosomal abnormalities. If surgery is indicated, the parents can meet with a perinatologist, pediatric surgeon, and neonatologist to discuss the child's anticipated prognosis, delivery, and postnatal surgical plan.

One early sign of fetal upper GI obstruction is maternal polyhydramnios—the presence of excessive amniotic fluid during pregnancy. When fetal intestinal obstruction prevents the normal passage and absorption of amniotic fluid, the volume of maternal amniotic fluid increases.

Failure to pass air through the GI tract immediately after birth is an early sign of a GI anomaly. During the first breath, air enters the stomach and lungs. The gastric air normally is passed through the GI tract in a predictable sequence. With the second breath, air reaches the duodenum. At 6   hours of life air reaches the cecum, and at 24   hours of life air reaches the rectum. In most newborns with abdominal obstruction, plain abdominal radiographs (with air as the contrast) will outline the obstruction (see Fig. 14-15).

Failure to pass meconium in the first 24   hours of life is a strong clinical indicator of GI abnormality and is observed in children diagnosed with Hirschsprung disease or cystic fibrosis. Nurses should verify the passing of a meconium stool and report the absence of a stool to an on-call provider.

Congenital anomalies of the GI tract are listed in Table 14-9. Because neonatal critical care is not a focus of this text, nursing care of the newborn with these anomalies is highlighted but not detailed.

Table 14-9 Congenital Gastrointestinal Abnormalities39,51

image

image

image

Necrotizing Enterocolitis

Etiology

NEC is an acquired disease of unknown origin that develops during the neonatal period. NEC typically occurs in premature low-birth weight newborns (<1500   g), but cases have been described in term babies.60 Infants with NEC develop necrotic lesions in the GI tract, most commonly in the ileum and colon. The necrosis may be superficial and only detectable microscopically, or it may be transmural and involve both the small and large intestines. Mild disease may be completely reversible, but infants with extensive involvement may not survive or may be rendered as short gut with subsequent intestinal failure following surgical resection of the affected bowel.

A large number of epidemiologic factors have been associated with the development of NEC. The majority (more than 90%) of patients are premature neonates (less than 36 weeks’ gestation), who have received enteral nutrition. Newborns with low-flow states, such as patent ductus arteriosus or congenital heart disease (especially in infants with left ventricular outflow tract lesions), are at risk.20,60 NEC can also develop following repair of gastroschisis. Further discussion of the etiology can be found in the Chapter 14 Supplement on the Evolve Website, Specific Diseases, Necrotizing Enterocolitis.

Pathophysiology

The pathophysiology of NEC is poorly understood but includes: intestinal ischemia, distension, colonization by pathogenic bacteria, subsequent bacterial translocation, and intestinal necrosis and perforation. The proposed inciting mechanisms are schematically presented in Fig. 14-16. The initiating injury in NEC is disruption of the intestinal mucosal epithelium; this disruption can result from a variety of mechanisms, most likely hypoxia or an infection. Most cases occur after the second week of life following bacterial colonization of the intestine.25 See the Chapter 14 Supplement on the Evolve Website, Necrotizing Enterocolitis, for additional information about the role of enteral feeding in the development of NEC.

image

Fig. 14-16 Pathophysiology of necrotizing enterocolitis.

(From Lin PW, Stoll BJ: Necrotizing enterocolitis. Lancet 368:1271-1283, 2006.)

Pneumatosis intestinalis, a radiologic hallmark of well-established NEC, is the accumulation of extraluminal gas in the submucosal intestinal tissue following the invasion of intestinal bacterial flora. It is postulated that progressive infiltration of the mucosa and bowel wall with gram-negative or gram-positive bacteria leads to more extensive tissue inflammation and destruction from activated neutrophils, producing a vasoconstrictive response, with progression to necrosis, and perforation.25

Clinical Signs and Symptoms

The classic clinical presentation of infant NEC includes the symptom group of abdominal tenderness, abdominal distension, hemepositive stools (or other gross or occult signs of GI bleeding), and ileus (decreased bowel sounds and increased gastric residual volume following tube feeding). Abdominal distension is the most commonly observed symptom.25 Bilious vomiting after feeding also may be noted.

Signs of clinical deterioration in the child with NEC include apnea and bradycardia, lethargy, temperature instability, decreased urine output, further abdominal distension and discoloration of the abdominal wall. The wide range of symptoms in NEC has led to a clinical categorization or Bell's staging of the condition.6 Symptoms and factors utilized in this staging include the infant's history (and risk factors), nonspecific manifestations of distress, and specific gastrointestinal and radiographic clinical indicators (Box 14-4). Recently, a modification of Bell's staging has been proposed to include histologic findings of each stage.21

Box 14-4 Bell's Staging of Necrotizing Enterocolitis

Stage I: Suspected Disease

History of perinatal stress

Nonspecific systemic manifestations: apnea, bradycardia, lethargy, temperature instability

Gastrointestinal manifestations: poor feeding, increased residual volumes, emesis, mild distention

Bloody stools

Radiographic findings: ileus, non-specific or normal

Stage II: Definite Necrotizing Enterocolitis

Persistent occult or gross gastrointestinal bleeding

Marked abdominal distention, absent bowel sounds, abdominal tenderness

Radiographic findings: pneumatosis intestinalis or portal venous air

Laboratory findings: metabolic acidosis or thrombocytopenia

Stage III: Advanced Necrotizing Enterocolitis

Deterioration of vital signs with hypotension and septic shock

Striking abdominal distension, discoloration, and peritoneal signs

Radiographic findings: pneumoperitoneum

Laboratory findings: metabolic and respiratory acidosis, disseminated intravascular coagulopathy

Data from Lin PW, Stoll BJ: Necrotizing enterocolitis. Lancet 368:1271, 2006.

Management

Preventative interventions currently under investigation include: antenatal glucocorticoid administration, preferential use of breast milk, use of a standardized feeding regimen, restricting water intake without compromising hydration, and the use of probiotics (i.e., live microorganisms that may confer health benefits when administered in adequate amounts) and immunoglobulin A and arginine supplementation.37,49,60

If NEC is identified in its early stages and prompt medical treatment is provided, 30% to 50% of affected infants will improve without surgical intervention.25 Once the diagnosis of NEC is suggested, enteral feedings are discontinued and a nasogastric or orogastric tube is passed for gastric drainage and decompression. Umbilical artery or venous catheters are discontinued. The infant will require administration of IV fluid therapy, including PN and appropriate IV antibiotics for both gram-negative and gram-positive organisms. Blood, urine, and sputum cultures should be sent before initiation of antibiotic therapy.

During the early stages, nursing interventions include monitoring of vital signs (including blood pressure), measuring abdominal girth and fluid intake and output (including weighing of all stools), evaluating daily weight, and testing all stools for blood.

The nurse must monitor the infant's systemic perfusion closely. Signs of poor systemic perfusion include tachycardia, tachypnea, decreased intensity of peripheral pulses, coolness of extremities, pallor or mottled color, and a urine output of less than 0.5-1.0   mL/kg per hour. Hypotension may be only a late sign of cardiovascular compromise. Infants require aggressive fluid resuscitation (typical bolus volume is 10   mL/kg, repeated as needed), with administration of blood products as needed. Thrombocytopenia may develop secondary to gram-negative sepsis.

The infant with sepsis may develop hypothermia and lethargy rather than fever and irritability. If significant bowel edema or free peritoneal fluid is present, the infant may demonstrate evidence of third spacing of fluid, including signs of hypovolemia (inadequate circulating blood volume as the result of loss of fluid into the bowel wall or peritoneum). Additional signs include tachycardia, decreased intensity of peripheral pulses, hypotension, peripheral vasoconstriction, lactic acidosis, oliguria, and anuria.

Surgical intervention is indicated if the infant demonstrates evidence of intestinal perforation, erythema of the abdominal wall, persistent metabolic acidosis, or clinical deterioration that is unresponsive to vigorous medical management (Box 14-5).39,51 Surgical options include laparotomy with the resection of the affected bowel and creation of stomas or the placement of a peritoneal drain. See the Chapter 14 Supplement on the Evolve Website, Necrotizing Enterocolitis, for information about treatment with a peritoneal drain.

Box 14-5 Indications for Surgical Intervention in the Treatment of Necrotizing Enterocolitis

Absolute indications

Free intraperitoneal air
Paracentesis positive for stool or bile

Cellulitis of anterior abdominal wall

Clinical deterioration during medical therapy

Irreversible metabolic acidosis
Shock

Respiratory failure

Data from Henry MCW, Moss LR: Current issues in the management of necrotizing enterocolitis. Semin Perinatol 28:221, 2004

During surgery, necrotic bowel is resected, although attempts are made to salvage as much viable intestine as possible. A second operation may be performed to maximize the amount of retained bowel (the salvaged intestine is checked again for evidence of viability). The creation of an ileostomy or a jejunostomy permits the minimum possible amount of bowel resection and allows the distal, involved intestine a period of rest. This approach has afforded the highest survival.

These infants often require short-term postoperative mechanical ventilation. Parenteral nutrition (PN) is also necessary until oral feedings are resumed (see sections on Care of the Child after Abdominal Surgery and Parenteral Nutrition, earlier in this chapter).

Postoperative complications include rendering the infant as short gut and the development of intestinal obstruction. Late obstruction can result from stricture, most commonly in the colon (sigmoid colon); it may develop in up to one third of infants undergoing operative intervention and may also develop in infants who are managed medically. Infants rendered as short gut may be candidates for intestinal transplantation (see Intestinal Failure).

Biliary Atresia

Etiology

Biliary atresia (BA) is an inflammatory obstruction of the extrahepatic bile ducts with progressive inflammation of intrahepatic bile ducts. The atresia can involve isolated segments of the bile duct system or the entire biliary tree including the gallbladder. The progressive inflammation leads to fibrosis, with eventual bridging fibrosis and cirrhosis. There are two types of BA: the embryonic (fetal) form and the perinatal or acquired form. The embryonic form is usually associated with other congenital anomalies (e.g., polysplenia, cardiac anomalies, malrotation). Eighty percent of patients with biliary atresia in Western countries have the perinatal or acquired form of the disease, in which infants born with a patent hepatobiliary system develop progressive obstruction.40 Precipitating factors include viral, toxic, vascular or immune mediators.40

Pathophysiology

Obstruction of the biliary tree prevents bile drainage from the liver into the duodenum. The accumulation of bile in the liver causes direct (conjugated) hyperbilirubinemia. Cirrhosis may develop despite early diagnosis and surgical palliation.

Clinical Signs and Symptoms

Infants with BA exhibit persistent jaundice and direct (conjugated) hyperbilirubinemia during the first 2 months of life. Acholic or gray-colored stools indicate a lack of bile drainage in the GI tract, and dark-colored urine indicates increased bilirubin in the urine. In older children, a high serum bilirubin can cause pruritus. If the BA is not diagnosed within approximately the first month of life, signs of progressive liver disease (e.g., malabsorption of fats and fat-soluble vitamins, poor growth, rickets, hypoproteinemia) may develop. Cirrhosis will be associated with signs and symptoms of portal hypertension (see Portal Hypertension, earlier in this chapter).

An ultrasound examination may reveal a small noncontractile gallbladder, or the gallbladder is not visualized.18 A radionuclide hepatoiminodiacetic scan will detect movement of a radioactive tracer. The injected tracer is filtered by the liver, which adds it to the bile, so that the tracer normally flows through the bile ducts into the gallbladder and finally into the small intestine. In infants with BA there is no detectable excretion of the isotope into the small intestine.18 A liver biopsy may reveal bile duct proliferation and portal tract fibrosis, which suggest the diagnosis.

Management

Surgical palliation with the Kasai (portoenterostomy procedure) should be planned and discussed with the parents when diagnostic testing is underway, because surgery should be performed as soon as possible after the diagnosis to optimize postsurgical outcome. In the Kasai procedure, the atretic segments are resected, and a segment of jejunum is sewn between the liver and the duodenum to facilitate bile drainage (see Evolve Fig. 14-2 for an illustration of the Kasai procedure in the Chapter 14 Supplement on the Evolve Website). If successful bile drainage can be achieved, the prognosis for these patients is relatively good. The best outcomes are achieved in infants younger than 2 months of age.

When there is significant fibrosis or cirrhosis at the time of operation, the prognosis is poor, even after the Kasai procedure. These patients will demonstrate progressive liver failure postoperatively and will require liver transplantation (see Chapter 17, Overview of Solid Organ Transplantation).

Nursing interventions for the child undergoing a portoenterostomy procedure include postoperative laparotomy care (see Care of the Child after Abdominal Surgery, earlier in this chapter). Postoperative complications include infection (e.g., cholangitis), alteration in fluid and electrolyte balance, portal hypertension, and progression to liver failure. The risk of postoperative liver failure is increased if significant liver damage (scarring) is present at the time of surgery. Additional nursing interventions are those appropriate for the care of the child with liver failure (see Liver Failure, later in this chapter).

Hepatitis

Etiology

Hepatitis, or inflammation of the liver, is most commonly caused by viral illness. Other causes include autoimmune liver disease, toxins, and idiopathic neonatal hepatitis. Six etiologically and immunologically distinct viruses are known to cause hepatitis: hepatitis A, B, C, D, E, and G. Hepatitis that is not type A, B, or type C is referred to as non-A–non-B–non-C hepatitis and is a diagnosis of exclusion in fulminant hepatic failure when other serologic markers are negative. Other classifications of hepatitis and common viruses that can cause hepatitis are listed in Box 14-6. Idiopathic neonatal hepatitis is considered a distinct form of hepatitis and is not thought to be caused by a virus, but is a histologic descriptive term of giant cell hepatitis.

Box 14-6 Classification of Hepatitis

Type A

Type B

Type C

Type D

Type E

Type G

Non-A–non-B, non-C hepatitis

Other viruses: cytomegalovirus, herpes simplex virus, Epstein-Barr virus, adenovirus, parvovirus

Neonatal hepatitis

Autoimmune disease

Toxins

Hepatitis A

Hepatitis A virus (HAV) is present in the blood and feces during the incubation period and can be carried by persons who never develop the disease. This type of hepatitis is spread by the fecal-oral route, by feces-infected food and water, and by blood-borne infection. Food, water, and milk contaminated by virus-containing feces are typical sources of hepatitis A. Children and younger adults are infected most often with hepatitis A; peak incidence in children occurs in the early school-age period.

Hepatitis A typically begins as an acute illness after an incubation period of 14 to 40 days (average, 30 days). Fever is a common symptom early in the disease, whereas jaundice and prodromes of arthritis and rash are uncommon in children with hepatitis A. Fortunately this disease has little clinical significance and is not known to cause chronic liver disease.

Hepatitis B

Hepatitis B virus (HBV) is transmitted through blood transfusions or other contact with secretions (including saliva, breast milk, vaginal fluids, and semen) and serum containing HBV. In highly endemic areas of the world, children usually contract the virus through vertical transmission (mother to child); however, in the United States and other developed countries horizontal transmission is more common.58

This form of hepatitis frequently is preceded by a prodrome of arthritis and rash; fever is less common. The onset of hepatitis B is usually insidious and occurs after an incubation period of 60 to 180 days. When infants and young children are infected, they are at high risk (50% to 90%) to become chronically infected; by comparison, only 10% of infected adults become chronically infected.58,59

Hepatitis C

Hepatitis C virus (HCV) is transmitted through blood exposure or transfusion and is less contagious than HBV. In children, vertical transmission at birth (from mother to infant) accounts for most cases.56 The incubation period lasts 6 to 12 weeks, and RNA of the HCV can usually be detected in the serum 2 weeks after infection.56

Hepatitis D

Hepatitis D virus (HDV) occurs only in the presence of HBV. Transmission is the same as for HBV, although vertical transmission is less common. HDV is rare in children born in the United States, because they are vaccinated for HBV in infancy. Children with HBV who have rapid progression of disease usually have co-infection with HDV.

Hepatitis E

Hepatitis E virus (HEV) is similar to HAV. HEV is uncommon in the United States and is most common in developing countries.

Hepatitis G

Hepatitis G virus (HGV) is the newest strain of hepatitis, and little is known about it. Transmission is thought to be through blood. Often HGV produces no clinical symptoms and has not caused liver failure.

Pathophysiology

Viral hepatitis causes the destruction of liver cells and results in hepatic inflammation, necrosis, and autolysis. Changes occur diffusely throughout the liver, and the liver structure may be distorted. Regeneration of cells begins as soon as damaged ones are removed by phagocytosis. Most patients with nonneonatal forms of hepatitis recover with minimal residual damage. Unfortunately the hepatitis viruses mutate, and reinfection of the host can occur.

Fulminant hepatitis with accompanying hepatic encephalopathy may occur during the course of the viral illness (see Liver Failure, later in this chapter) and chronic hepatitis and cirrhosis may develop with chronic disease (HBV and HCV). An additional concern is that chronically infected patients can develop hepatocellular carcinoma (HCC).

Clinical Signs and Symptoms

The symptoms of viral hepatitis vary depending on the inciting virus. Many children have no apparent signs or symptoms, and the disease is often diagnosed when a child is tested for the disease after a parent is diagnosed with the disease.

General symptoms include flulike symptoms, fever, fatigue, nausea, vomiting, anorexia, abdominal pain (particularly right upper quadrant), diarrhea, and muscle soreness. Jaundice, producing yellow sclera and dark colored urine, is a later symptom that often triggers consultation with a healthcare provider. Jaundiced children will have elevated bilirubin and liver transaminases (AST and ALT).

Hepatitis A

Children with HAV may be asymptomatic, but they are contagious (see Hepatitis and Evolve Fig. 14-3 in the Chapter 14 Supplement on the Evolve Website for more details)

Hepatitis B

Children with HBV are less likely than adults to exhibit symptoms. Chronically infected children are usually asymptomatic unless they develop cirrhosis or hepatocellular carcinoma. In addition to general symptoms, children may develop extrahepatic symptoms including glomerulonephritis, papular acrodermatitis (papular rash of the face, extremities, and trunk), and lymphadenopathy.58,59 For further information about clinical course of HBV, see Hepatitis and Evolve Fig. 14-4 in the Chapter 14 Supplement on the Evolve Website.

Hepatitis C

Infants infected by vertical transmission are usually asymptomatic.59

Laboratory Tests

The hepatitis serologies (antigens and antibodies) are used to diagnose HAV, HBV, HCV, and the disease stage and to identify contaminated units of blood. If the critically ill patient has serologic markers, the nurse should be knowledgeable about implications for the patient's possible disease state and transmission of the infection. A brief summary of the clinical significance of these markers and their interpretation is included in Table 14-10.

Table 14-10 Hepatitis Virus Serum Markers and Interpretation

Virus, Virus Component, or Antibody Abbreviation Interpretation
Hepatitis A Virus HAV  
Antibody (IgM subclass) directed against HAV Anti-HAV IgM Current or recent infection; present for 4-6 months
Antibody (IgG subclass) directed against HAV Anti-HAV IgG Confirms past exposure and immunity (resulting from immunization or following an infection)
Hepatitis B Virus HBV  
HBV surface antigen HBsAg Indicates infection (either acute or chronic)
Hepatitis Be antigen HBeAg Is a derivative of HBsAg that correlates with viral replication and signifies high infectivity; if present beyond 6-8 weeks, suggests chronic carrier or disease
Antibody to HBsAg, subclass IgM (early) and IgG Anti-HBs Indicates clinical recovery from HBV infection and immunity
Total antibody to HBV core antigen Anti-HBc Indicates active HBV infection (either acute or chronic)
IgM antibody to HBcAg Anti-HBc IgM Early index of acute HBV infection, increases during the acute phase then declines (over 4-6 months), not present with chronic HBV
DNA of HBV HBV DNA Indicates HBV replication
Hepatitis C Virus HCV  
Antibody to HCV Anti-HCV Indicates exposure to HCV
RNA of HCV HCV RNA Indicates HCV infection
Hepatitis δ (Delta) Virus HDV  
δ antigen HDV Ag Indicates HDV infection
Total antibody to HDV Anti-HDV Indicates exposure to the agent (HDV)
RNA of HDV HDV DNA Indicates HDV replication

Ig, Immunoglobulin.

Adapted from Yazigi NA, Balistreri WF: Acute and chronic viral hepatitis. In Suchy FJ, Sokol RJ, Balistreri WF, editors: Liver disease in children, ed 2, Philadelphia, 2001, Lippincott Williams and Wilkins.

Management

All healthcare providers should practice standard precautions when handling any patient's body fluids (e.g., blood, urine, saliva, any wound or fluid drainage) and feces. There is no well-established treatment for the eradication of viral hepatitis. Medical treatment and nursing care is directed toward the relief of discomfort and maintenance of adequate nutrition and hydration.

If the child is eating, it is important to offer small, frequent tasty and nutritious meals. Typically hepatitis requires no dietary restrictions. Special treats, such as milk shakes, can provide fluid and calories without the appearance of a meal; therefore they may be appetizing to a child with anorexia or nausea. Antiemetics may be required if nausea prevents adequate nutrition.

Patients and families should be educated about the contagious nature of the disease and preventative measures. Family members should be vaccinated against HAV and HBV if not previously immunized. If known exposure has occurred, it may be appropriate to administer immunoglobulin preparations for HAV and HBV. Patients should be advised to eliminate exposure to hepatotoxic drugs, including alcohol.

In some affected patients, progression of liver damage occurs and cirrhosis develops; this indicates a poor prognosis for long-term survival without transplantation (see Liver Failure in this chapter and in Chapter 17, Overview of Solid Organ Transplantation).

Hepatitis A

HAV vaccine is available and should be given to children characterized by the following: over 1 year of age, living in areas of the country where infection rates are above the national average (e.g., Arizona, Alaska, Oregon, New Mexico, Utah, Washington, Oklahoma, South Dakota, Idaho, Nevada, California) or in areas with a community outbreak, those attending day care centers that have experienced outbreaks, and those with chronic liver disease with coagulopathies.

For children with HAV, supportive care is indicated. Approximately one third of infected patients will not develop immunity, so reinfection is possible. However, those infected do not develop chronic carrier states or chronic hepatitis.64

Hepatitis B

Hepatitis B vaccination is now available, and all children born in the United States after 1992 should be immunized (unless the child received no immunizations). All healthcare workers who may have contact with blood or blood products should be screened for hepatitis and vaccinated against hepatitis B. The need for “boosters” is unclear, and serologies for immunity should be periodically assessed. Prophylactic administration of hepatitis B immune serum globulin is recommended after parenteral exposure to HBV, such as occurs with a needle stick or direct mucous membrane contact, such as an accidental splash.

Current treatment for chronic HBV infection includes administration of lamivudine alone or in combination with interferon.24,58 Lamivudine inhibits HBV replication and is prescribed for 1 year.58 The advantage of this therapy is its oral route of administration. Interferon reduces viral replication, so it accelerates seroconversion in those who would have naturally cleared the virus.58 Interferon is administered subcutaneously for 4 to 6 months.9 Side effects can be problematic and include flulike symptoms, weight loss, and decreased growth velocity.58 It is unclear whether interferon alone or in combination with lamivudine is the most effective therapy.

Hepatitis C

There is no vaccine available for HCV. Therapy with pegylated interferon alpha (weekly infusion) and ribavirin have been shown to be most effective in children.24 Children appear to respond better than adults to treatment, probably because children have a shorter duration of chronic disease.16

Liver Failure

Etiology

Liver failure can be acute in children, but it is most often the end stage of chronic liver disease. Liver failure in children with chronic liver disease and disease progression is often termed pediatric end stage liver disease. Patients in the late stages of chronic liver failure will begin to demonstrate the complications of acute severe liver failure (e.g., acute encephalopathy). This condition is termed acute on chronic failure.

Acute necrosis of a previously normal liver is often termed fulminant hepatic failure (FHF). FHF is defined as the development of hepatic encephalopathy within 8 weeks of diagnosis without previous evidence of liver disease.

Acute liver failure (ALF) usually occurs as the result of a toxin exposure, viral illness, or unrecognized diagnoses (e.g., Wilson's disease). Other causes of ALF in previously normal children include idiosyncratic reactions to anesthetics, antibiotics, and chemotherapeutic agents. Ingestion of drugs or toxins such as acetaminophen (as may occur with therapeutic dosing or overdose), pesticides, cleaning compounds, or some plant alkaloids also can produce ALF.

Several causes of liver disease, including hepatitis and BA are addressed elsewhere in this chapter (see Biliary Atresia and Hepatitis sections). Other causes of liver disease in neonates and infants include genetic disorders such as Caroli's disease, tyrosinemia type 1, alpha-1 antitrypsin deficiency, and Alagille syndrome. Reye's syndrome was caused by an abnormal accumulation of fat in the liver and typically presented as a form of ALF. Following a published description of an association between aspirin administration to children with primary varicella or influenza (viral syndrome) and the development of Reye's syndrome, the use of aspirin in children has been nearly abolished and this disorder is rarely seen.

Wilson's disease is an autosomal recessive disorder that results in excessive accumulation of copper in the liver. Treatment includes administration of D-penicillamine and dietary restriction of copper; however, some patients will exhibit ALF and will require liver transplantation.

Nonalcoholic fatty liver disease has become the most common cause of liver disease in children in developed countries.34,36 This diagnosis is considered in children with mild to moderate elevation in ALT and AST levels with a body mass index in the 95th percentile or higher. The diagnosis is confirmed by liver biopsy, which reveals the accumulation of droplet fat in the hepatocytes in a child with no alcohol exposure.36 Treatment goals include identification and treatment of obesity, alleviation of risk factors such as insulin resistance, and avoidance of factors that may worsen the liver disease (e.g., exposure to hepatotoxic drugs and alcohol).36 There are no standard treatment regimens available, although lipid-lowering drugs, metformin, and vitamin E have been studied.34,36

Pathophysiology

The liver performs hundreds of synthetic, metabolic, and excretory functions, including drug detoxification, synthesis of protein and clotting factors, conversion of ammonia to urea, and phagocytosis with Kupffer cells. Liver failure produces both an accumulation of substances normally removed by the liver and a lack of substances normally manufactured by the liver. Although liver functions are fairly well preserved until 80% to 90% of liver function is lost, liver failure can contribute to multiorgan dysfunction. Major organ dysfunction with ALF includes the development of hepatic encephalopathy, coagulopathy, and hepatorenal syndrome.

Hepatic Encephalopathy

There are three major proposed mechanisms for development of this complication: the ammonia hypothesis, the gamma-aminobutyric acid (GABA)-benzodiazepine hypothesis and the false neurotransmitter hypothesis.15 There is evidence to support each of these theories and some successes and failures in the associated treatment modalities.

The ammonia hypothesis contends that encephalopathy results from hyperammonemia that develops when the liver is no longer able to detoxify ammonia. Ammonia is formed in the GI tract after bacterial and enzymatic breakdown of proteins, including blood. This ammonia is normally absorbed into the splanchnic and portal venous systems, converted to nontoxic urea by the liver, and ultimately excreted by the kidneys. During the development of hepatic encephalopathy, the child's serum ammonia levels are often inversely related to the child's level of consciousness.

According to the GABA hypothesis, hepatic encephalopathy results from a buildup of endogenous benzodiazepines that cause neuroinhibition.15 The false neurotransmitter hypothesis is based on the observation that branch chain amino acids are increased in liver failure and aromatic amino acids are decreased in liver failure.15 In FHF, aromatic amino acids in the brain are metabolized to false neurotransmitters. These false transmitters inhibit actual neurotransmitters and disrupt message transmission in the brain.15 This neurotransmitter dysfunction appears to be secondary to hyperammonemia.

Other theories suggest that toxins such as ammonia and manganese cross the blood-brain barrier and damage nerve cells and astrocytes.8 Ammonia appears to have a direct toxic effect on the brain, and increased ammonia levels correlate with increasing grades of encephalopathy.

The end result of hepatic encephalopathy is the development of cerebral edema, a major cause of morbidity and mortality in the patient with ALF. This cerebral edema is associated with astrocyte swelling and increased brain water content that can lead to increased intracranial pressure. Although the specific pathophysiology of the cerebral edema has not been established, coma ensues if the process is not reversed in the early stages.

Coagulopathy

The child with liver failure will demonstrate coagulopathies from abnormal production of clotting factors (fibrinogen-factor I, prothrombin-factor II, and factors V, VII, IX, and X), sequelae of splenomegaly, and disseminated intravascular coagulation caused by acceleration of normal clotting. If the child with liver failure has portal hypertension, the resultant hypersplenism can produce thrombocytopenia, anemia, and leukopenia and further increase the child's risk of hemorrhage, particularly from varices.

Renal Failure

Mechanisms of renal failure in the child with liver failure include prerenal azotemia (prerenal failure), hepatorenal syndrome, and acute tubular necrosis. Liver failure can cause decreased renal perfusion and prerenal failure as the result of the extravascular fluid shift caused by ascites, splanchnic sequestration that develops with portal hypertension, or from acute hemorrhage caused by coagulopathy. Any decrease in circulating blood volume will stimulate aldosterone secretion, causing renal retention of sodium and water (see Acute Renal Failure and Acute Kidney Injury in Chapter 13).

Hepatorenal syndrome is the development of renal failure in the patient with advanced liver disease. It is characterized by reduced renal function, abnormal arterial circulation (possible hypotension, decreased renal perfusion, and possible intrarenal vasoconstriction), and increased aldosterone and renin activity with increased circulating vasoconstrictive mediators.

Liver failure produces many alterations in acid-base and electrolyte balance. Chronic hyperaldosteronism increases potassium and magnesium loss in the urine and increases hydrogen ion excretion (the kidneys excrete hydrogen ion in exchange for the sodium that is saved). Increased renal hydrogen ion excretion can produce a mild metabolic alkalosis, which further increases renal potassium loss. Excess renal excretion of hydrogen ion increases the renal production of ammonia, raising serum ammonia levels. Gastrointestinal disturbances, such as diarrhea and vomiting, can result in potassium loss and the development of metabolic acidosis or alkalosis.

Clinical Signs and Symptoms

Signs of chronic liver disease in the child with acute failure include sequelae of portal hypertension with ascites and dilation of superficial abdominal veins (caput medusae), xanthoma formation, clubbing of the nails, gynecomastia, skin ecchymosis, palmar erythema, and spider angiomas. Jaundice is often present. The child frequently appears malnourished, and scratch marks and scabs may be visible signs of itching triggered by the pruritus.

Early signs of hepatic encephalopathy include poor school performance, forgetfulness and malaise. Neurologic signs of hepatic encephalopathy include tremors, incoordination, muscle twitching, and violent movements. The classic early symptom of hepatic encephalopathy is a peculiar flapping tremor known as asterixis. It can be elicited by asking an older child to stretch the arms straight out and dorsiflex the hand. The child will be unable to maintain the hyperextended position of the hand and will develop coarse bursts of twitching movements at the wrist (see Chapter 11 for further information about encephalopathy).

A staging of hepatic encephalopathy is described in Box 14-7, and children with acute failure can progress to stage 4 (coma) in a period as short as 1 or 2 days. Progressive encephalopathy is indicated by a decreased level of consciousness. Cerebral edema can produce increased intracranial pressure (see Chapter 11 for further information regarding the recognition and management of increased intracranial pressure).

Box 14-7 Stages of Hepatic Encephalopathy

Stage 1: Mild confusion with periods of depression and euphoria, disrupted sleep

    EEG typically normal

Stage 2: Moderate confusion, lethargy

    EEG abnormal, with generalized slowing

Stage 3: Marked confusion, incoherent speech, sleeps but is arousable

    EEG markedly abnormal

Stage 4: Coma

    EEG markedly abnormal

Data from Han MK, Hyzy R: Advances in critical care management of hepatic failure and insufficiency. Crit Care Med 2006; 34(Suppl):S235-S241.EEG, Electroencephalogram.

Liver failure produces many hematologic, coagulation, and serum chemistry derangements. Both the intrinsic and extrinsic clotting cascades are affected (see Chapter 15). An ominous laboratory constellation for the child with ALF is markedly elevated liver transaminases (>1000 IU/L with a trend to normal values once few functioning hepatocytes remain to release enzymes) with a rising prothrombin time. Decreased production of serum clotting factors by the liver causes a prolonged prothrombin time, manifested by ecchymosis or petechiae and increased bleeding from puncture sites or from mucosal irritation.

The child's serum direct bilirubin, transaminases, alkaline phosphatase, and ammonia level are usually elevated. Serum albumin levels may be normal in the setting of FHF because the half-life of albumin is 21 days; it may be low with acute or chronic disease. Anemia, leukopenia, hypoglycemia, hypokalemia, and hypocalcemia will develop in the presence of significant hepatic necrosis.

Clinical signs of hepatorenal syndrome include abrupt oliguria and azotemia, often without apparent precipitating factors such as infection, sepsis, or shock. Diagnostic criteria in adults include a creatinine greater than 1.5   mg/dL (or 24-hour creatinine clearance less than 40   mL/min); absence of shock, infection, or fluid losses; no improvement in renal function after withdrawal of diuretics and expansion of intravascular volume with plasma expander (adult receives 1.5   L, child receives 20   mL/kg boluses); proteinuria less than 500   mg/day; and no evidence of parenchymal or obstructive renal disease.23 Additional laboratory findings include a normal urinalysis, hyponatremia (despite the renal retention of sodium, the serum sodium falls because there is relatively greater renal absorption of water), and hypokalemia (see the discussion of Acute Renal Failure and Acute Kidney Injury in Chapter 13).

If the cause of the hepatic failure has not been identified, diagnostic studies will be performed immediately. These studies include extensive toxicology screening (for evidence of alcohol, drug, or chemical ingestion), liver function studies, hepatitis serologies, ultrasound examination to evaluate vessels, and possible liver biopsy (Table 14-11). Although a liver biopsy can be performed in the presence of significant coagulopathy, a coagulation profile should be obtained and significant coagulopathy corrected before the biopsy. Viral, bacteriologic, and fungal blood cultures also may be ordered.

Table 14-11 Common Liver Function Tests and Changes with Liver Failure

Test Normal Value Interpretation
Serum Enzymes
Alkaline phosphatase Infant, 150-420 units/L Increases with biliary obstruction and cholestatic hepatitis
2-10 years, 100-320 units/L
γ-Glutamyltransferase 0-3 months 0-120 units/L Increases with biliary obstruction and cholestatic hepatitis
3-12 months, male: 5-65 units/L
3-12 months, female: 5-35 units/L
1-15 years.: 0-28 units/L
Aspartate aminotransferase 5-40 units/mL Increases with hepatocellular injury
Alanine aminotransferase (ALT) 5-35 units/mL Increases with hepatocellular injury
Lactate dehydrogenase 10 days to 24 months: 180-430 units/L; Isoenzyme is elevated with hypoxic and primary liver injury
24 months to 12 years,: 110-295 units/L
5′-nucleotidase 2-11 units/mL Increases with increase in alkaline phosphatase
Bilirubin Metabolism
Serum bilirubin    
      Indirect (unconjugated) <0.8   mg/dL Increases with hemolysis (lysis of red blood cells)
      Direct (conjugated) Neonate, <0.6   mg/dL Increases with hepatocellular injury or obstruction
Infants/children, <0.2   mg/dL
      Total 0-1 days, <8   mg/dL Increases with biliary obstruction
1-2 days, <12   mg/dL
3-5 days, <12-16   mg/dL
Older infant, < 2   mg/dL
Adult, 0.3-1.2   mg/dL
Urine bilirubin 0 Increases with biliary obstruction
Urine urobilinogen 0-4   mg/24   h Increases with hemolysis or shunting of portal blood flow
Serum Proteins
Albumin 3.5-5.5   gm/dL Reduced with hepatocellular injury
Globulin 2.5-3.5   gm/dL Increases with hepatitis
Total 6-7   gm/dL  
Albumin/Globulin (A:G) ratio 1.5:1 to 2.5:1 Ratio reverses with chronic hepatitis or other chronic liver disease
Transferrin 203-380   mcg/dL Liver damage with decreased values, iron deficiency with increased values
Blood Clotting Functions
Prothrombin time 11.5-14   s or 90%-100% of control Increases with chronic liver disease (cirrhosis) or vitamin K deficiency
Activated partial thromboplastin time (aPTT) 30-33   seconds Increases with severe liver disease or heparin therapy

Data from Huether SE: Structure and function of the digestive system. In McCance KL, Huether SE, editors: Pathophysiology: the biologic basis for disease in adults and children, ed 6, St Louis, 2010, Mosby; Custer JW: Blood chemistries and body fluids. In Custer JW, Rau RE, editors: The Harriet Lane Handbook, ed 18, St Louis, 2009, Mosby-Elsevier; Values for blood clotting functions from Aquino J: Hematology. In Custer JW, Rau RE, editors: The Harriet Lane Handbook, ed 18, St Louis, 2009, Mosby-Elsevier.

Management

All children who are critically ill require planned nursing assessment and support of all body systems. The child with liver failure with multiorgan failure is no exception. Careful monitoring for respiratory cardiac, neurologic, and renal function is often more important than monitoring the child's liver function. The focus of the following information is on clinical assessment and prevention of the complications of liver failure and encephalopathy. Figure 14-17 is an overview of care considerations for the child with end stage liver disease.

image

Fig. 14-17 Optimizing care for the child with end-stage liver disease. Critically ill children with end-stage liver disease have multiple complex medical issues that must be addressed adequately to achieve optimal healthy outcomes.

(From Leonis MA, Balistreri WF: Evaluation and management of end-stage liver disease in children. Gastroenterology 143:1741-1751, 2008.)

The principal problems of the child with liver failure include any or all of the following: alteration in neurologic function, respiratory insufficiency, blood loss, changes in intravascular and interstitial fluid balance, compromised nutritional status, renal dysfunction, electrolyte or acid-base imbalance, increased risk of infection, decreased activity level, and patient and family anxiety.

Until liver function returns, treatment of the child with liver failure is primarily supportive. During the acute phase the most important goal of therapy is the prevention of major complications, such as increased intracranial pressure, respiratory failure, hemorrhage, fluid and electrolyte imbalances, and renal failure. Nutritional support and prevention of the complications of chronic liver failure, such as portal hypertension, are also important. The presence and severity of associated encephalopathy and intracranial hemorrhage often have the greatest effect on the child's survival.

Encephalopathy

The child with hepatic failure may develop encephalopathy and resultant increased intracranial pressure. The nurse must monitor for early signs of neurologic compromise. Nurses should perform brief but careful neurologic evaluation when recording vital signs. The nurse should evaluate pupil size and constriction to light, and report any pupil sluggishness or inequality to the child's on-call provider. Observe the child's voluntary movements, and immediately report any decreased movement, decreased sensation, abnormal posturing, or asterixis.

A decrease in the child's level of consciousness, such as decreased response to commands or the presence of unusual irritability or lethargy may indicate the development of increased intracranial pressure. If the child's condition allows, ask the child to write his or her name or identify common objects in the room. Record the names of the child's siblings and household pets, because conversation about them may be used to evaluate the child's short- and long-term memory. Whatever the method of evaluation, providers should make the evaluation as consistent as possible to detect changes in responsiveness with examinations over time.

If the child develops stage III or IV encephalopathy, management will be supportive. Endotracheal intubation should be performed whenever there is any question of the child's ability to maintain a patent airway, and mechanical ventilation is needed if hypoventilation develops. Placement of an ICP monitor may be indicated. The child's arterial carbon dioxide tension should be maintained at approximately normal range. Routine hyperventilation is not indicated and may reduce cerebral blood flow. Provide oxygen if needed to maintain a normal arterial oxygen tension and prevent the development of hypoxemia. The child should be appropriately medicated for pain and agitation.

Because a high serum ammonia concentration can contribute to encephalopathy, attempts are made to reduce ammonia production and absorption. Ammonia is produced in the GI tract during bacterial and enzymatic breakdown of endogenous and exogenous proteins. Administration of nonabsorbable antibiotics (e.g., neomycin, rifaximin) via nasogastric tube will decrease GI bacteria and subsequent ammonia production. Lactulose (1   mL/kg, 3 to 6 times daily) will be administered to acidify colonic content, thus promoting ammonium ion excretion.

If the child develops gastric bleeding related to coagulopathies, gastric blood should be drained to prevent GI blood breakdown and further ammonia production. Prophylactic antacids should be administered via nasogastric tube and intravenous administration of histamine type 2 blockers or sucralfate should be considered (see Gastrointestinal Bleeding, earlier in this chapter).

Mannitol and diuretics can be administered to treat increased intracranial pressure. Maintain the child's serum osmolality at approximately 300 to 310   mOsm/L, and do not allow the serum sodium concentration to rise or fall acutely (see Chapter 11, Increased Intracranial Pressure).

Respiratory Insufficiency

As the child's level of consciousness decreases, the child is at risk for developing hypoventilation, respiratory failure, upper airway obstruction and aspiration. If ascites is present, the child's tidal volume may decrease and the child may develop atelectasis. Hydrothorax can also further compromise respiratory function. Providers should be prepared to insert an advanced airway and support oxygenation and ventilation if the child's respiratory effort is insufficient or if there is any doubt about the child's airway protective reflexes.

Coagulopathies

If the child has any clinical or significant laboratory (i.e., serologic) evidence of coagulopathies, blood components are administered (see Blood and Blood Component Therapies in Chapter 15). Calculate the child's total circulating blood volume and consider any blood loss as a percentage of this blood volume. Consider transfusion to prevent hemodynamic compromise if blood loss totals 7% to 10% of the child's estimated blood volume.

If a severe GI hemorrhage occurs, all bedside providers must be prepared to provide prompt treatment to prevent shock (see Gastrointestinal Bleeding, earlier in this chapter). Blood and blood components should be available (i.e., typed and cross-matched) in the blood bank for use during bleeding episodes. Fresh frozen plasma can be administered as a continuous infusion if the child's activated partial thromboplastin time is elevated, and platelets should be transfused if the platelet count is less than 20,000/mm3 or the child has clinical evidence of bleeding. Vitamin K can be administered as needed. All efforts must be made to prevent oral, tracheal, and GI trauma during intubation, suctioning, and mouth care.

Fluid and Electrolyte Balance

The child with liver failure can develop fluid shifts and fluid imbalances related to hyperaldosteronism (and increased sodium and water retention), hypoalbuminemia, portal hypertension, and resultant splanchnic sequestration (see Portal Hypertension earlier in this chapter), or hepatorenal syndrome.

Measure all sources of fluid intake and output, and record body weight at least daily. Evaluate the child's level of hydration by assessing the moisture in mucous membranes, the presence of tearing, fullness of the fontanelle (in infants younger than 16 to 18 months), skin turgor, and urine output.

A central venous catheter will provide reliable vascular access and enable more precise evaluation of the child's intravascular volume. The presence of a high CVP is undesirable, because it can contribute to increased intracranial pressure and can increase esophageal variceal pressure and promote bleeding. As a result, when blood component or fluid administration is necessary, the nurse should monitor the child's response and tolerance, including changes in CVP. Diuretics may be prescribed, and the nurse should note the child's response. Notify the child's on-call provider if urine response is inadequate.

For the treatment of renal failure, the child may require hemodialysis or continuous hemofiltration. The goal should be to achieve euvolemia, and to correct electrolyte imbalances (refer to Acute Renal Failure and Acute Kidney Injury in Chapter 13).

Electrolyte and coagulation abnormalities and problems associated with liver failure are listed in Box 14-8. Electrolyte imbalance may result from fluid shifts, hyperaldosteronism, or diuretic therapy. Evaluate the child's serum electrolyte concentrations frequently, and provide electrolyte replacement therapy as needed.

Box 14-8 Potential Serum and Electrolyte Changes Resulting From Hepatic Failure

Hyperammonemia

Coagulopathies

Chronic hyperaldosteronism

Hyponatremia (water retention in excess of sodium retention)
Hypokalemia
Hypomagnesemia
Hypocalcemia
Metabolic alkalosis (H+ loss)

Hypoglycemia

Azotemia (increased nitrogen wastes, including blood urea nitrogen, creatinine)

Hypoglycemia can develop rapidly, especially in infants, so check the child's serum glucose frequently, with point-of-care testing if available, and administer glucose as needed. A continuous source of glucose (e.g., infusion) is typically preferable over frequent intermittent bolus administration.

Measure and record the child's abdominal girth at least every 4   hours. If the child develops ascites, monitor for signs of decreased intravascular volume and poor systemic perfusion. Ascites can impede diaphragm excursion and may lead to the development of atelectasis or a hydrothorax. For these reasons, monitor the child's respiratory function and watch for evidence of respiratory distress.

Nutritional Support

Liver failure can rapidly produce nutritional compromise. Parenteral nutrition will be required if the child is unable to tolerate enteral (oral or tube) feedings. Calculate the child's daily caloric requirements, and consult with the child's on-call provider and a dietician as needed if the child is not receiving adequate nutrition. Vitamin supplementation (especially vitamins A, D, E, and K) is usually necessary.

Additional Supportive Care

If the child is receiving any medications that are normally metabolized by the liver, review the doses of the medications and adjust as necessary (to prevent development of toxic drug levels). Box 14-9 details nursing interventions appropriate for care of the child with hepatic failure (note that it assumes that appropriate diagnostic studies have been performed).

Box 14-9 Nursing Care of the Child with Liver Failure

Treatment of liver failure requires problem-oriented supportive care and treatment of metabolic and neurologic complications.

Potential for Depressed Level of Consciousness and Potential for Increased Intracranial Pressure Related to:

Accumulation of toxic substances

Hyperammonemia

Altered amino acid profile and accumulation of possible false neurotransmitters

Increased neuroinhibitory substances

Development of cerebral edema

Fluid and electrolyte imbalances

Alteration in Cerebral Perfusion or Alteration in Thought Processes Related to:

Hepatic encephalopathy

Expected patient outcomes

Patient's level of consciousness will improve.

If patient's level of consciousness and responsiveness deteriorate, the patient's airway will be protected and oxygenation and ventilation will be supported as needed.

Nursing interventions

Assess patient level of consciousness and neurologic function at regular intervals:

1. General level of consciousness and responsiveness
2. Ability to follow commands (ask child to hold up two fingers, wiggle toes, or stick out tongue)
3. Spontaneous movement and movement in response to central painful stimulus (note quality of movement and any posturing)
4. Pupil size and response to light
5. Evidence of cranial nerve function (e.g., cough, gag, blink)
6. Systemic perfusion, heart rate, and respiratory rate
7. Spontaneous respiratory effort and oxygenation

Determine stage of hepatic encephalopathy (see Box 14-7), and report any change (particularly in arousability, speech, irritability, pupil size, and response to light) to a provider immediately.

Monitor for early signs of encephalopathy, including tremors, lack of coordination, muscle twitching, and flapping tremors (called asterixis). These tremors may be elicited if the child is asked to outstretch the arms and dorsiflex the hand; monitor for coarse bursts of twitching at wrist.

If the child's level of consciousness deteriorates, monitor airway patency and airway protective mechanisms (e.g., cough, gag). Be prepared to assist with emergency intubation and begin mechanical ventilatory support.

Once signs of increased intracranial pressure are observed, provide standard treatment (as ordered (see Chapter 11).

Assist in diagnostic studies, including computed tomography to determine presence and severity of cerebral edema, and laboratory studies to monitor hepatic function and causes of hepatic failure.

Potential Respiratory Insufficiency as a Result of:

Encephalopathy and depressed level of consciousness

Elevation of diaphragm from ascites

Deterioration in neurologic function

Expected patient outcomes

Patient will demonstrate effective systemic arterial oxygenation and carbon dioxide elimination (ventilation).

Respiratory rate will remain appropriate for age and clinical condition, oxygenation and carbon dioxide elimination will be adequate, and child will not demonstrate increased or inadequate respiratory effort.

Nursing interventions

Monitor patient's respiratory rate and effort; report any tachypnea and increased respiratory effort to provider immediately.

If patient is breathing spontaneously, elevate the head of the bed and position the patient comfortably to maximize diaphragm excursion.

Monitor patient level of consciousness and be prepared to assist with intubation and to provide assisted ventilation if airway protective mechanisms are compromised or respiratory insufficiency develops.

Monitor pulse oximetry and exhaled (end-tidal) carbon dioxide or arterial blood gases to determine effectiveness of oxygenation and ventilation; notify provider of any deterioration.

Auscultate breath sounds on a regular basis; notify provider of decreased intensity or change in pitch of breath sounds, which may indicate the development of atelectasis or hydrothorax.

If mechanical ventilatory support is required, ensure that support is appropriate and that the child's chest expands equally and adequately during positive pressure inspiration.

Monitor heart rate and systemic perfusion; if a deterioration in clinical appearance is observed, evaluate systemic oxygenation and ventilatory support.

Maintain emergency intubation (and reintubation) equipment at the bedside.

Potential Hypovolemia Related to:

Bleeding (especially via esophageal varices)

Third-spacing of fluid into peritoneal space

Hypoalbuminemia

Expected patient outcomes

Patient will maintain adequate intravascular volume as indicated by effective systemic perfusion (warm extremities with brisk capillary refill, good color, strong peripheral pulses, urine output of 1   mL/kg per hour), a central venous pressure of 2-5   mmHg, and appropriate heart rate and blood pressure for age and clinical condition.

Patient will maintain adequate hemoglobin and hematocrit, and significant acute blood loss will be replaced (per provider order).

Patient will not demonstrate excessive weight gain associated with edema.

Nursing interventions

Constantly evaluate systemic perfusion; notify provider of signs of inadequate systemic perfusion, including tachycardia, cool extremities, mottled color, delayed capillary refill, decreased intensity of peripheral pulses, and oliguria. Note that hypotension is usually only a late sign of hypovolemia in children.

Monitor for signs of dehydration, including dry mucous membranes, poor skin turgor, negative fluid balance, and sunken fontanelle in infants. Notify provider if these signs are observed.

If esophageal or gastrointestinal bleeding develops, notify provider, estimate quantity, and provide replacement blood products as ordered. Monitor serial hemoglobin and hematocrit, and notify provider of a fall in these variables.

Calculate daily maintenance fluid requirements and record fluid intake and output. Notify provider of imbalance. Administer crystalloids and colloids as ordered to maintain intravascular volume and support systemic perfusion.

Record patient weight daily or twice daily. Notify provider of significant weight gain or loss.

Measure abdominal girth.

Administer diuretics as ordered and monitor their effectiveness. These drugs are usually avoided unless increased intracranial pressure develops, because they can contribute to acute reduction in intravascular volume.

Monitor electrolyte balance, and notify provider of signs of hemoconcentration. In general, sodium intake is limited, and potassium supplements must be administered.

Monitor for signs of hepatorenal syndrome (oliguria and azotemia) caused by reduced renal perfusion. Notify provider of reduction in urine volume, and monitor renal function as needed (e.g., serum-urine creatinine). Low-dose dopamine therapy may be ordered to optimize renal perfusion.

Assist in abdominal paracentesis as needed.

Potential for Bleeding Related to:

Coagulopathies

Esophageal varices

Frequent administration of blood products

Potential sepsis

Expected patient outcomes

Patient will demonstrate no active bleeding. Hemoglobin and hematocrit will remain adequate for age.

Significant coagulopathies will be detected and effectively treated.

Nursing interventions

Observe patient closely for evidence of bleeding. Test gastric drainage and stool for evidence of blood, and notify provider of positive results.

Insert nasogastric tube and institute gastric gravity drainage. Administer nasogastric antacids, intravenous histamine type 2 receptor blockers, and proton pump inhibitors as ordered.

If esophageal varices are present, institute precautionary measures (e.g., prevent Valsalva maneuver, provide soft diet), and monitor the patient closely for evidence of bleeding. If bleeding develops, monitor the quantity of bleeding and be prepared to provide replacement blood therapy. (Ensure that a patient blood sample has been sent for type and cross-match analysis.) Also see Portal Hypertension elsewhere in this chapter; management of hemorrhage associated with portal hypertension includes:

1. Resuscitation and replacement of lost blood
2. Identification of bleeding site
3. Specific therapy to stop bleeding (e.g., sclerotherapy)

Monitor results of coagulation studies. Notify provider of coagulopathies and ensure that appropriate blood components are available before invasive procedures. Be alert for the appearance of petechiae or ecchymoses; notify provider if these are observed.

Avoid injections and minimize venipunctures if possible. Assist with insertion of indwelling arterial line for blood sampling. It may be necessary to administer blood components before catheter insertion to ensure hemostasis during procedure.

Provide a safe environment for the child.

Potential Infection and Sepsis Related to:

Impaired liver function

Multiple invasive catheters

Compromise in nutritional status

Expected patient outcomes

Patient will demonstrate no signs of infection, such as fever or hypothermia, localized inflammation, leukocytosis or leukopenia, or positive wound or blood cultures.

Existing infection will resolve promptly.

Nursing interventions

Ensure that every member of the healthcare team washes their hands before and after every patient contact.

Ensure that sterile and aseptic procedures are used for insertion and maintenance of monitoring and treatment catheters (see Box 22-6).

Change dressings and intravenous tubing and catheters according to unit policy. Maintain occlusive dressings over central venous and intracranial pressure catheter skin entrance sites (per hospital or unit policy).

Monitor for signs of infection, including localized signs of inflammation, fever or hypothermia, leukocytosis, or leukopenia. Notify provider of cloudy urine or drainage from wounds or catheter insertion sites. Obtain cultures as ordered or per unit policy.

Administer antibiotics as ordered.

If infection is present, monitor for evidence of bacteremia and development of sepsis, including a change in level of consciousness, tachycardia, respiratory alkalosis (if patient is breathing spontaneously), and thrombocytopenia. Notify provider if these signs are observed.

Potential for Poor Nutrition Related to:

Impaired liver function

Inadequate nutritional intake

Increased metabolic requirements

Impaired gastrointestinal absorption of nutrients

Expected patient outcomes

Patient will receive sufficient protein and caloric intake to prevent catabolism, but limited enough protein intake to prevent rise in amino acid levels.

Patient skin turgor and wound healing will remain satisfactory.

Nursing interventions

Monitor patient's total daily intake of protein; typically, protein intake is limited to approximately 0.5-1.0   g/kg per day.

Monitor serum albumin; notify provider of hypoalbuminemia.

Calculate maintenance caloric requirements (see Table 14-3); determine child's caloric intake and notify provider if caloric intake is inadequate.

Monitor serum glucose concentration; ensure ongoing source of glucose intake and notify provider if hypoglycemia or hyperglycemia develop.

Consult dietician to optimize the child's nutritional status.

Additional Potential Patient Problems

Patient and family stress and anxiety related to:

Uncertain patient prognosis

Painful procedures

Patient and family knowledge deficit related to:

Patient condition

Hospital and home therapy required

Progressive liver dysfunction

If severe liver failure persists despite supportive therapy, liver transplantation should be considered. Some liver assist devices have been developed for use in children, and clinical trials have demonstrated significant reduction in intracranial pressure; however, currently there are no pediatric devices approved by the U.S. Food and Drug Administration for use in children.

Liver transplantation is challenging in these extremely unstable children, particularly if multiorgan failure is present. However, transplantation affords the child with ALF the greatest chance of survival (see Chapter 17, Overview of Solid Organ Transplantation). Five-year survival for children undergoing liver transplantation for acute liver failure is relatively high (exceeding 70%).30a,31 For the most recent transplantation survival data, the reader is referred to the National Organ Procurement and Transplantation Website National Data (http://optn.transplant.hrsa.gov/latestData/viewDataReports.asp).

Pancreatitis

Etiology

Pancreatitis in children is relatively rare. Causes are diverse and can be categorized as nonobstructive, obstructive, or inflammatory. Nonobstructive causes predominate and include blunt abdominal trauma, typically caused by bicycle handle bar injuries and motor vehicle crashes. Nonobstructive pancreatitis is also associated with several medications, including didanosine, azathioprine, mercaptopurine, L-asparaginase, and valproic acid.52

Up to one third of cases of pancreatitis result from obstructive disorders in the biliary or pancreatic duct, with cholelithiasis being the most common. Cholelithiasis is frequently associated with hemolytic disorders, including spherocytosis, beta-thalassemia, and sickle cell disease. Inflammatory causes of pancreatitis include mumps, ulcerative colitis, mononucleosis, HIV, and cystic fibrosis. Hereditary pancreatitis is another cause of obstructive pancreatitis and is often recurrent.

Pathophysiology

When pancreatic acinar cells are damaged, they release and activate digestive enzymes, triggering an inflammatory process referred to as autodigestion. The inflammatory cascade causes edema, ischemia, and necrosis. When the autodigestion-inflammation affects structures surrounding the pancreas, multiorgan failure can result.

Acute pancreatitis refers to a single inflammatory episode. When this process resolves, the pancreas is left with no residual effects. With recurrent episodes, morphologic changes in the pancreas begin to interfere with exocrine and endocrine functions, resulting in chronic pancreatitis.

Clinical Signs and Symptoms

Classic symptoms of pancreatitis in children are abdominal pain, nausea, vomiting, and anorexia. Symptom severity varies from mild abdominal pain to signs and symptoms of severe shock and end organ failure. Abdominal pain is typically the most intense in the epigastrium. Because the pancreas is retroperitoneal, back and flank pain are also common. Movement increases the intensity of the pain, so patients often lie still and are hesitant to move. Eating usually triggers or increases the pain and can induce vomiting that may be bilious. Pain may increase in intensity after vomiting occurs, because vomiting increases intraductal pressures producing further obstruction of pancreatic secretions.

Physical findings may include a bluish discoloration around the umbilicus (Cullen's sign) or in the flanks (Turner's sign), signifying hemorrhagic pancreatitis. Ascites may also be present.

Amylase and lipase are enzymes derived from pancreatic acinar cells; elevated levels aid in the diagnosis of pancreatitis. Amylase levels typically peak approximately 48   hours after the onset of pancreatitis and may remain elevated for as long as 4 days. Amylase levels may be elevated by other more common diseases, but levels typically do not reach those found in pancreatitis. Because amylase is produced by the salivary glands, levels can also increase with head and mouth trauma. Amylase isoenzymes are helpful in separating acute pancreatitis from other diseases that cause a rise in amylase, such as injury to the main salivary gland. Lipase is more specific to pancreatic injury than amylase, and it can remain elevated for as long as 14 days. Serum enzyme levels are diagnostic for pancreatitis if they are at least threefold greater than normal ranges. The severity of the rise of these enzymes does not correlate with the extent of pancreatic injury.

Metabolic complications of acute pancreatitis include lipid abnormalities, hypocalcemia, hyperglycemia and metabolic acidosis.12 Hypocalcemia is observed in approximately 15% of patients with pancreatitis and develops when extensive fat necrosis occurs. Approximately 25% of patients with acute pancreatitis demonstrate hyperglycemia, because damaged pancreatic tissue releases less insulin than normal. The white blood cell count and differential are frequently normal, whereas the hematocrit reflects hemoconcentration secondary to dehydration.

A variety of radiologic studies are useful for detecting pancreatic abnormalities. Ultrasound examination is often the study of choice to evaluate pancreatic size and contour and to evaluate the progress of pancreatic or biliary obstruction in small, thin subjects. CT scans allow evaluation of the presence and extent of pancreatic necrosis, inflammation, ascites, and gallstones. Magnetic resonance cholangiopancreatography provides more accurate information about duct integrity.

Endoscopic retrograde cholangiopancreatography (ERCP) is both diagnostic and therapeutic, but is also the most invasive of these studies. When a pancreatic duct abnormality is detected during the study, procedures such as a sphincterotomy at the sphincter of Oddi, stent placement, and stone removal can be performed. This study is not advised during the acute phase of pancreatitis, because it may worsen the condition.

Management

The two goals of management of pancreatitis are to minimize causative factors and provide meticulous supportive care. Supportive care includes taking steps to decrease the production of digestive enzymes: the child should receive PN and should receive no enteral feeding (i.e., nothing by mouth or nasogastric tube). Octreotide acetate can be used to suppress GI hormones that stimulate pancreatic secretion.

Because the pain associated with pancreatitis can be severe, parenteral analgesia with narcotics or nonsteroidal antiinflammatory agents is generally required (see Chapter 5). The use of morphine and other opiate derivatives is theoretically less desirable in patients with pancreatitis, because these medications increase spasm of the sphincter of Oddi and may cause additional pain.

Shock is the leading cause of death in patients with acute fulminant pancreatitis.19 Nurses must closely monitor the child's vital signs, systemic perfusion, and evidence of fluid balance, including CVP and urine output. Fluid shifts can cause severe abdominal distension that hinders diaphragm excursion. Close monitoring of respiratory status (oxygenation, ventilation, aeration, and respiratory effort) is required.

Surgical intervention may be necessary in cases of pancreatic trauma with fracture of the pancreas and disruption of the pancreatic duct. Surgery may also be necessary for patients with familial pancreatitis.

Inflammatory Bowel Disease with Toxic Megacolon

Inflammatory bowel disease (IBD) is a general descriptive term that includes Crohn's disease and ulcerative colitis. Both conditions are chronic, relapsing inflammatory disorders of unknown etiology.

Crohn's disease is an autoimmune disease that can affect any portion of the GI tract from the esophagus to the anus, but most often involves the distal small intestine and colon. Extraintestinal manifestations of Crohn's disease include arthralgias, skin lesions, sclerosing cholangitis, uveitis, and stomatitis.

Ulcerative colitis is a chronic inflammatory disease that affects only the colon and rectum and can involve the entire colon (e.g., pancolitis). The rectum is involved in nearly all cases. Toxic megacolon is a complication of IBD (it is rare with Crohn's disease) that may require admission to the critical care unit, so it is reviewed in detail here.

Etiology and Pathophysiology

Toxic megacolon is a term for acute toxic colitis with dilation of the colon that is often present in patients with ulcerative colitis. It is almost always a complication of pancolitis. Pathologic analysis reveals acute inflammation involving all layers of the colon, with variable amounts of necrosis and degeneration.

Clinical Signs and Symptoms

The diagnosis of megacolon is based on clinical history, physical examination, and radiologic studies. Fever, acute abdominal pain, and abdominal distention are the primary symptoms of toxic megacolon. Other symptoms include rectal bleeding, and vomiting. Because high dose corticosteroids are used for treatment of IBD, fever may not be present.

If bowel perforation occurs, physical findings include abdominal distension, hypoactive bowel sounds, and peritoneal signs (e.g., rebound tenderness, abdominal rigidity, pain with movement). The diagnosis of toxic megacolon is confirmed by the presence of marked dilation (greater than 6   cm) of the colon on a single flat-plate radiograph of the abdomen.

Management

Goals of treatment include: reduction of colon distension, correction of fluid and electrolyte imbalances and treatment of toxemia. Medical management includes discontinuation of oral intake and provision of IV fluids, initiation of nasogastric suction, and administration of systemic antibiotics. Intravenous steroids are administered to patients with IBD.

The child requires PN because oral feeding is contraindicated for several days. Complications of high-dose systemic steroids can develop, including leukocytosis, decreased immunologic defenses and diabetes. Continued steroid administration can cause bone demineralization with resultantvertebral collapse or aseptic necrosis of the femoral heads. Steroids also cause redistribution of body fat, especially in the face (Cushingoid changes), neck, and posterior shoulder area.

When the child is admitted to the critical care unit with the diagnosis of toxic megacolon, the healthcare team should explain the possibility and details of surgery to both the patient and the family. This ensures that the child and family are prepared if a bowel perforation occurs and the child requires urgent surgical intervention.

If toxic megacolon does not resolve with supportive medical therapy or if bowel perforation occurs, emergency surgery is required. Colectomy with an ileostomy will be performed. The child requiring a colectomy should receive careful preoperative preparation, including explanation and demonstration of ileostomy appliances. This preparation should be given a high priority, even when time is limited before the surgery.

Acute Diarrhea

Acute diarrhea is a sudden change in the frequency and consistency of stools.5 Because many GI fluids contain large amounts of sodium, chloride, hydrogen, and bicarbonate ions, any significant GI fluid loss can result in dehydration and electrolyte imbalances. The severity and type of dehydration resulting from these conditions will be influenced by the volume and content of any replacement fluids administered.

Etiology

In children, diarrhea is most often the result of a viral or bacterial organism (Table 14-12). Rotavirus is the most common inciting pathogen worldwide in children younger than 5 years.5,48 Two live oral rotavirus vaccines (Rota Teq, Merck, Sharp and Dohme, Merck Incorporated, Whitehouse, NJ; and Rotarex, GlaxoSmithKline, Research Triangle Park NC), have been approved by the Food and Drug Administration for use in the United States, and current recommendations are to immunize all children for rotavirus starting at 2 months of age.1,48

Table 14-12 Infectious Causes of Acute Diarrhea

image

image

image

image

Clostridium difficile is a common cause of antibiotic-associated diarrhea. This gram-positive organism is part of the normal GI bacterial flora, but antibiotics and some other medications and conditions can disrupt normal bacterial flora and allow some organisms to grow unchecked. Hospitalized children at risk for C. difficile disease include those receiving antimicrobial agents. Additional conditions that increase risk for this organism include recent abdominal surgery, presence of a feeding tube, and decreased stomach acidity from the administration of histamine type 2 antagonists and proton pump inhibitors.50 Medications that increase GI motility (e.g., docusate [Colace], polyethylene glycol [MiraLax]) can also cause diarrhea.

Milk intolerance and dietary changes, such as changing formula and introducing new foods, can lead to diarrhea. Often children with failure to thrive are fed with concentrated formulas (up to 30   Kcal/ounce), and they may develop diarrhea from the hyperosmolar formulas and overfeeding. Some disease processes, including inflammatory bowel disease and Hirschsprung disease, may increase risk for colitis that can be life threatening.

Pathophysiology

Acute diarrhea alters the GI tract and can lead to dehydration. Dehydration is present when the total output of all fluids and electrolytes exceeds the total fluid intake. Dehydrated patients are deficient in both fluids and electrolytes. Dehydration is classified according to severity, based on clinical examination, and according to effects on the serum sodium and osmolality (see Dehydration and Hypovolemia in Chapter 12).

Clinical Signs and Symptoms

All children with diarrhea and dehydration will have a history of inadequate fluid intake and excessive fluid loss. The child may be febrile and usually is irritable and looks ill; there may or may not be associated vomiting. Initial clinical signs produced by dehydration can be difficult to separate from those produced by meningitis, because both can include a history of fever and irritability. However, a careful examination will reveal signs of dehydration, including sunken eyes, dry mucous membranes, and a sunken fontanelle in infants. The child will be tachycardic, and signs of compensated or hypotensive shock may be present. For further information, see Shock in Chapter 6 and Dehydration and Hypovolemia in Chapter 12.

The characteristics of the diarrhea stool can vary depending on the pathogen (see Table 14-12). If there is blood or mucous in the stool, stool studies should be obtained. The stool should be sent to identify stool pH, presence of reducing substance, presence of white blood cells, and C. difficile toxin and to check for ova and parasites and perform culture and sensitivity studies.

Initial diagnostic studies typically include evaluation of a serum chemistry panel and a complete blood cell count. Once the serum sodium concentration is determined, the estimate of the severity of dehydration (based initially on clinical examination alone) is modified as needed. Often these children have a metabolic acidosis, which may be evident from the low carbon dioxide level on the chemistry panel.

Management

The goals of the treatment of dehydration include restoration and maintenance of intravascular volume and systemic perfusion, and correction of abnormal serum electrolytes. If shock is present a urinary catheter is placed to enable continuous evaluation of urine production. Urine output should average approximately 0.5-1.0   mL/kg per hour. If urine output does not improve despite the presence of adequate systemic perfusion, notify an on-call provider immediately, because renal failure may be present (see Acute Renal Failure and Acute Kidney Injury in Chapter 13).

Treatment of dehydration requires replacement of the fluid deficit and any ongoing losses, and provision of maintenance fluid requirements. Regardless of the type of dehydration present, moderate or severe dehydration requires establishment of reliable vascular (IV or intraosseous) access. Children with mild dehydration may be able to replenish fluid losses with oral rehydration solutions, offered in small increments of 5-30   mL.

The child with moderate to severe dehydration will require IV fluid resuscitation with initial boluses (20   mL/kg) of isotonic crystalloids such as normal saline or Ringer's lactate. Fluid boluses are repeated until systemic perfusion improves, with normalization of vital signs and urine output. Monitor the child's systemic perfusion and continue fluid resuscitation as long as signs of shock are present.

It is important to monitor the child's response throughout therapy. If the shock is corrected and rehydration is successful, systemic perfusion, neurologic function, acid-base and electrolyte balance, and urine output should all improve (for further information, see Shock in Chapter 6 and Dehydration and Hypovolemia in Chapter 12).

Children with diarrhea from a bacterial cause require contact isolation until antibiotic therapy is complete. When diarrhea has a viral cause, contact isolation is maintained until the symptoms resolve. Contact isolation must be enforced with meticulous attention to hand washing, because most of these organisms are contagious and are a frequent cause of healthcare-acquired infection.

Obtain an accurate weight as soon as possible after admission. This weight measurement can be helpful in determining the severity of dehydration and evaluating the patient's response to therapy. Weight measurements are most reliable if the child is weighed using the same scale and technique at the same time every day. The nurse should carefully record intake and output and notify the on-call provider if the child's urine output is less than the 0.5 to 1   mL/kg hour.

Monitor the child's temperature throughout therapy. Young infants should be resuscitated under a warmer to prevent cold stress. If the infant is profoundly hypothermic, it may be necessary to warm resuscitation fluids before administration.

Treatment becomes supportive as diarrhea resolves. Initially, when stools are frequent and watery, the child receives nothing by mouth and maintenance fluid requirements are provided intravenously. The irritated GI tract requires a period of rest, followed by the gradual resumption of oral feedings with oral electrolyte solutions. Once stool output has decreased and the child is no longer vomiting, clear liquids are offered and enteral feeding can be advanced slowly as tolerated to an age-appropriate diet. If diarrhea resumes during diet advancement, the child should be placed back on a clear diet or the last tolerated intake.

Although the majority of acute diarrhea episodes are caused by viral pathogens, antimicrobial agents are administered for some bacteria or culture-proven parasitic infections. For culture-positive C. difficile infection, the causative antibiotic is discontinued if possible, and a 7-day oral course of metronidazole (Flagyl) is provided.50 Oral vancomycin can also be administered to patients who cannot tolerate metronidazole or any adolescent patients who are breastfeeding or pregnant.50

For the child who is experiencing concomitant vomiting and diarrhea, ondansetron (Zofran) can help with symptom control. For children with mild dehydration, the medication can be administered orally in the form of an oral disintegrating tablet; IV administration is recommended for children with moderate or severe dehydration.

Diagnostic testing

Several abdominal imaging options are available for the evaluation of suspected abdominal pathology. The selection of imaging mode is based on patient symptoms, clinical examination findings, and the differential diagnosis. Each type of study has advantages and disadvantages. Three of the most common modalities used for abdominal imaging are abdominal plain films, CT, and ultrasound.

Abdominal Plain Film

Abdominal plain films are frequently the first radiologic images obtained when abdominal pathology is suspected. Abdominal plain films are readily available, noninvasive, inexpensive, require no patient preparation, and can be obtained with portable machines in a timely manner. To review principles of interpretation of radiographs, refer to Chapter 10.

On a plain film, air appears black against a background of white and grey representing bony and soft tissue structures. This color contrast allows assessment of the distribution of air in the GI tract (see Fig. 14-15, A). Anteroposterior (AP) views are generally ordered for abdominal films, with specific positioning options such as spine, upright, and lateral decubitus. These positioning strategies are implemented to assess the distribution of air and fluid that change because of gravity. Free air rises, so when free intraperitoneal air is present it will rise to the highest location within the abdomen. With upright imaging, free intra-abdominal air will be visible just below the diaphragm. When an upright image is not possible because the patient is unstable, the lateral decubitus film is used. When the patient is placed with the left side down (left lateral decubitus), free air will appear as a dark border (air) outlining the light tissue density of the liver. Free fluid in the abdominal cavity will also be affected by gravity and will assume a dependent position.

Air fluid levels refer to a visible demarcation where air and fluid meet. When present, an air fluid level can be diagnostic of a bowel obstruction (see Fig. 14-15, B and C).

Abdominal plain films can serve as a triage tool for further evaluation of patients with an acute condition in the abdomen, especially with perforation of hollow viscera or intestinal obstruction.26

Abdominal Computed Tomography

The cross-sectional images, or slices, produced by CT can provide spatial detail and allow better differentiation of soft-tissue densities than do other modes of imaging. These qualities make CT scans extremely useful in patients with complex disease affecting multiple organ systems.

The use of a contrast agent for CT imaging of the abdomen can optimize the imaging and subsequent interpretation. The contrast agent can be administered via IV, oral, or rectal routes, and often studies will use a combination of these options. Decisions regarding the use of a contrast agent are based on the clinical entity to be evaluated. IV contrast outlines vessels to highlight their size, patency, and relationship to intraabdominal organs. When evaluating a tumor or abdominal mass, IV contrast allows visualization of the blood supply feeding the tumor. Oral contrast delineates the small and large bowel from intraabdominal masses and can identify fluid collections such as a perforated appendix. Rectal contrast can be used when pelvic pathology is suspected or for enhanced visualization of the lower GI tract.

There are several important considerations for use of oral contrast. Oral contrast takes time to flow through the GI tract. After administration, bowel opacification takes 60 to 90   min. To achieve maximal benefit, an adequate volume of contrast is needed, and the amount varies by age. In general, a contrast volume of 60 to 90   mL is used for patients younger than 1 month, and up to 1   L of contrast can be used for the adolescent patient. In patients experiencing nausea and vomiting, ingestion of the contrast can be difficult if not impossible, so administration via a nasogastric tube can be helpful.

If barium-based contrast extravasates outside of the GI lumen (e.g., as in a patient with bowel perforation), it can induce severe intraperitoneal inflammation. If aspirated, contrast can cause severe pneumonia. Diatrizoic acid (Gastrografin), a dilute water-soluble contrast, is used in cases of possible bowel perforation or when there is risk of aspiration. Although Gastrografin is considered safer under these conditions, it does result in low-quality imaging.

IV contrast is iodine-based, so patients with seafood or iodine allergies must be premedicated to avoid an allergic reaction. IV contrast is cleared by the kidneys and requires adequate renal function. The nurse or other providers should verify appropriate blood urea nitrogen and serum creatinine concentration before the contrast injection. A large bore (22-gauge) IV catheter is required for administration of contrast, because power injectors are often used to ensure accurate timing between contrast administration and imaging.57

Oral or IV contrast administration can cause delays in obtaining CT images, delaying diagnosis and treatment. Collaboration and coordinated timing with the radiology department is essential.

Patient movement during the study can negatively affect image quality, so sedation is recommended for children younger than 5 years or when patients are unable to cooperate with the procedure. Nothing-by-mouth status is recommended before CT imaging to minimize risks of vomiting the oral contrast. Studies have shown no increase in risk of aspiration when sedation is started after administering oral contrast.57

Exposure to ionizing radiation is a serious risk associated with CT imaging. In children, this radiation exposure can increase the risk of cancer.57 Caution and careful consideration should be taken before radiation exposure. For pediatric patients the dose of radiation can be decreased, because children have less body mass than adults. Studies limited to the specific areas of interest (i.e., pelvic CT versus full abdominal CT) will decrease radiation exposure.

CT technology continues to improve with the advent of multidetector CT scanners. This technology speeds image acquisition and will decrease artifacts associated with patient motion, such as breathing. This technology also maximizes contrast vascular enhancement. High-quality, three-dimensional images can be reconstructed, thus enhancing the diagnostic capabilities of this scanner. One of the biggest advantages for pediatric patients is a shorter scan time, so less sedation is needed.57

Abdominal Ultrasound

Ultrasound examination uses reflected sound waves to produce real-time pictures and excellent visualization (i.e., imaging) of the liver, kidneys, gallbladder, spleen, pancreas, and female pelvis.7 Different tissues (fluid, air, bone) reflect sound waves differently, so transmission and recording of reflected sound waves will produce outlines of structures on the ultrasound screen. Ultrasound with color Doppler capability can be used to evaluate blood flow characteristics and patency of blood vessels. One frequent application of this feature is to rule out the possibility of a deep vein thrombus.

Advantages of ultrasound include: portability, no exposure to ionizing radiation, and minimal if any patient preparation. Limitations of this imaging mode include inconsistent quality of study; quality is highly dependent on the operator. Ultrasound also requires patient cooperation—the patient must remain still and tolerate the compression of sensitive areas. Finally, ultrasound is less sensitive in obese patients and in patients with excessive bowel gas.

References

1 American Academy of Pediatrics Committee on Infectious Disease. Prevention of rotavirus disease: guidelines for use of rotavirus vaccine. Pediatrics. 2007;119:171.

2 American Academy of Pediatrics Subcommittee on Hyperbilirubinemia. Management of hyperbilirubinemia in the newborn infant 35 or more weeks of gestation. Pediatrics. 2004;114:297.

3 American Academy of Pediatrics Subcommittee on Hyperbilirubinemia. Neonatal jaundice and kernicterus. Pediatrics. 2001;108:763.

4 Arensman R.M., Browne M., Madonna M.B. Gastrointestinal bleeding. In Grosfeld J.L., et al, editors: Pediatric surgery, ed 6, Philadelphia: Mosby, 2006.

5 Baker R.A.U., Mondozzi M.A., Hockenberry M.J. Conditions that produce fluid and electrolyte imbalance. In Hockenberry M.J., Wilson D., editors: Wong's nursing care of infants and children, ed 8, St Louis: Mosby-Elsevier, 2007.

6 Bell M., et al. Neonatal necrotizing enterocolitis. Therapeutic decisions based upon clinical staging. Ann Surg. 1978;187:1-7.

7 Bloom D.A., Siegel M.J. Acute abdominal pain in childhood. In Bluth E.I., et al, editors: Ultrasound: a practical approach to clinical problems, ed 2, New York: Thieme Medical Publishers, 2008.

8 Butterworth R.F. Hepatic encephalopathy. Alcohol Res Health. 2003;27:240.

9 Chang M. Hepatitis B virus infection. Semin Fetal Neonatal Med. 2007;12:160.

10 Cohran V.C., Kocoshis S.A. Short bowel. In Baker S., Baker R., Davis A., editors: Pediatric nutrition support, ed 1, Sudbury, MA: Jones and Bartlett, 2007.

11 Colletti J.E., et al. An emergency medicine approach to neonatal hyperbilirubinema. Emerg Med Clin N Am. 2007;25:1117.

12 Czako L., et al. Interactions between endocrine and exocrine pancreas and their clinical relevance. Pancreatology. 2009;9:351.

13 Dasgupta R., et al. Effectiveness of REX shunt in the treatment of portal hypertension. J Ped Surg. 2006;41:108.

14 Deerojanawong J., et al. Incidence and risk factors of upper gastrointestinal bleeding in mechanically ventilated children. Pediatr Crit Care Med. 2009;10:91.

15 Faint V. The pathophysiology of hepatic encephalopathy. Nurs Crit Care. 2006;11:69.

16 Fischler B. Hepatitis C virus infection. Semin Fetal Neonatal Med. 2007;12:168.

17 Fishbein T.M., Matsumoto CS. Intestinal replacement therapy: timing and indications for referral of patients to an intestinal rehabilitation and transplant program. Gastroenterology. 2006;130:S147-S151.

18 Flanigan L.M. Biliary atresia and choledochal cyst. In Brown N.T., et al, editors: Nursing care of the pediatric surgical patient, ed 2, Sudbury, MA: Jones and Bartlett, 2007.

19 Gavaghan M. The pancreas-hermit of the abdomen. AORN J. 2002;75:1109.

20 Giannone P.J., et al. Necrotizing enterocolitis in neonates with congenital heart disease. Life Sci. 2008;82:341.

21 Gordon P.V., et al. Emerging trends in acquired neonatal intestinal disease: is it time to abandon Bell's criteria? J Perinatol. 2007;27:661.

22 Goulet O., et al. Irreversible intestinal failure. J Pediatr Gastroenterol Nutr. 2004;38:250.

23 Han M.K., Hyzy R. Advances in critical care management of hepatic failure and insufficiency. Crit Care Med. 2006;34:S225.

24 Heller S., Valencia-Mayoral P. Treatment of viral hepatitis in children. Arch Med Res. 2002;38:702.

25 Henry M.C.W., Moss L.R. Current issues in the management of necrotizing enterocolitis. Semin Perinatol. 2004;28:221.

26 Hernanz-Schulman M., Spottswood S. Gastrointestinal tract. In Slovis T.L., editor: Caffey's pediatric diagnostic imaging, ed 2, Philadelphia: Mosby, 2008.

27 Huether S.E. Structure and function of the digestive system. In McCance K., Huether S.E., editors: Pathophysiology: the basis for disease in adults and children, ed 5, St Louis: Elsevier, 2006.

28 Ip S., et al. An evidence-based review of important issues concerning neonatal hyperbilirubinemia. Pediatrics. 2004;114:e130.

29 Iyer K.R., Richard M. Surgery for intestinal failure. In: Matrese L.E., Steiger E., Seidner D.L., editors. Intestinal failure and rehabilitation: a clinical guide. Boca Raton, FL: CRC Press, 2005.

30 Joffe A., et al: Nutritional support for critically ill children (review). Cochrane Database Syst Rev. 2009:(2):CD005144 Apr 15

30a Kamath B.M., Olthoff K.M. Liver transplantation in children: update 2010. Pediatr Clin North Am. 2010;57(2):401-414.

31 Kelly D.A. Managing acute liver failure. Current Paediatr. 2001;11:96-101.

32 Khan A.N., Macdonald S., Howat J. Small-bowel obstruction, 2009. Available at http:emedicine.medscape.com/article/374962, 2011. Accessed October 3, Updated July 22, 2001

33 Kyle U.G., et al. Organ dysfunction is associated with hyperglycemia in critically ill children. Intens Care Med. 2010;36:312-320.

34 Lee C.K., Jonas M.M. Pediatric hepatobiliary disease. Curr Opin Gastroenterol. 2007;23:306.

35 Leonis M.A., Balistreri W.F. Evaluation and management of end-stage liver disease in children. Gastroenterology. 2008;143:1741.

36 Lerret S.M., Skelton J.A. Pediatric nonalcoholic fatty liver disease. Gastroenterol Nurs. 2008;31:115.

37 Lin P.W., Stoll B.J. Necrotising enterocolitis. Lancet. 2006;368:1271.

38 Lopez-Herce J. Gastrointestinal complications in critically ill patient: what differs between adults and children? Curr Opin Clin Nutr Metab Care. 2009;12:180.

39 Louie J.P. Essential diagnosis of abdominal emergencies in the first year of life. Emerg Med Clin N Am. 2007;25:1009.

40 Mack C.L., Sokol R.J. Unraveling the pathogenesis and etiology of biliary atresia. Pediatr Rev. 2005;57:87R.

41 Maisels M.J. A primer on phototherapy for the jaundiced infant. Contemp Pediatr. 2005;22:38.

42 Maisels M.J., McDonagh A.F. Phototherapy for neonatal jaundice. N Eng J Med. 2008;358:920.

43 Martin S.A., Simone S. Gastrointestinal system. In Slota M.C., editor: Core curriculum for pediatric critical care nursing, ed 2, St Louis: Elsevier, 2006.

44 Mehta N.M., Compher C., A.S.P.E.N. Board of Directors. A.S.P.E.N. clinical guidelines: nutrition support of the critically ill child. JPEN J Parenter Enteral Nutr. 2009;33:260.

45 Metheny N.A. Residual volume measurement should be retained in enteral feeding protocols. Am J Crit Care. 2008;17:62.

46 Moyer M.S., Warner B. Surgical disorders. In Kleinman R.E., et al, editors: Walker's pediatric gastrointestinal disease: physiology, diagnosis and management, ed 5, Ontario, Canada: B.C. Decker, Incorporated, Hamilton, 2008.

47 Nithiwathanapong C., Reungrongrat S., Ukarapol N. Prevalence and risk factors of stress induced gastrointestinal bleeding in critically ill children. World J Gastrol. 2005;11:6839.

48 Parez N. Rotavirus gastroenteritis: why to back up the development of new vaccines? Comp Immun Microbiol Infec Dis. 2008;31:253.

49 Patole S. Prevention and treatment of necrotizing enterocolitis in preterm neonates. Early Hum Devel. 2007;83:635.

50 Pelleschi M.E. Clostridium difficile-associated disease diagnosis, prevention, treatment, and nursing care. Crit Care Nurs. 2008;28:27.

51 Pierro A., Hall N.J., Chowdhury M.M. Gastrointestinal surgery in the neonate. Curr Paedeatr. 2006;16:153.

52 Pietzak T.T., Thomas D.W. Pancreatitis in childhood. Pediatr Rev. 2000;21:406.

53 Quiros-Tejeira R.E., et al. Long-term parenteral nutritional support and intestinal adaptation in children with short bowel syndrome: a 25-year experience. J Pediatr. 2004;145:157.

54 Reyes J.D. Intestinal transplantation. Semin Pediart Surg. 2006;15:228.

55 Ryckman F.C., Alonso M.H. Causes and management of portal hypertension in the pediatric population. Clin Liver Dis. 2001;5:789.

56 Sehgal S., Allen P.L.J. Hepatitis C in children. Pediatr Nurs. 2004;20:409.

57 Siegel M.J. Practical CT techniques. In Siegel M.J., editor: Pediatric body CT, ed 2, Philadelphia: Lippincott, 2008.

58 Sims R.J.M., Woodgate R.L. Managing chronic hepatitis B in children. J Pediatr Health Care. 2008;22:360.

59 Slowik M.K., Jhaveri R. Hepatitis B and C viruses in infants and young children. Semin Pediatr Infect Dis. 2005;16:296.

60 Srinivasan P.S., Brandler M.D., D'Souza A. Necrotizing enterocolitis. Clin Perinatol. 2008;35:251.

61 Superina R. Portal hypertension. In Grosfeld J.L., et al, editors: Pediatric surgery, ed 6, Philadelphia: Mosby, 2006.

62 Teitelbaum D.H., Coran A.G. Nutritional support. In Grosfeld J.L., et al, editors: Pediatric surgery, ed 6, Philadelphia: Mosby, 2006.

63 Wennberg R.P., et al. Toward understanding kernicterus: a challenge to improve the management of jaundiced newborns. Pediatrics. 2006;117:474.

64 Yazigi N.A., Balistreri W.F. Acute and chronic viral hepatitis. In Suchy F.J., Sokol R.J., Balistreri W.F., editors: Liver disease in children, ed 2, Philadelphia: Lippincott Williams and Wilkins, 2001.