Page 21 

Practical clinic procedures

Dermatologists make use of several diagnostic and therapeutic procedures in their everyday clinical practice.

Diagnostic procedures

The ability to diagnose a skin disease is improved by the use of better methods of observing lesions and by appropriate use of samples for laboratory investigation. Patch tests and prick tests are described on page 126.

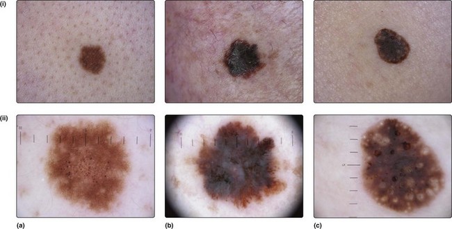
Dermoscopy

A hand lens helps when looking at small lesions such as nits on hair shafts (Fig. 1) or scabetic burrows, but dermoscopy gives added information, especially for pigmented lesions. Dermoscopy employs a ×10 magnification illuminated lens system, which can visualize a lesion after the application of a drop of oil or water between the skin and the applied lens. Detailed visualization of the epidermal structures is possible, particularly the pigment network (Fig. 2). Analysis takes account of:

image the symmetry of the lesion

image patterns of pigmentation

image blue–white structures in the pigment network.

image

Fig. 1 Head lice and nits are evident on a hair shaft, best visualized using a hand lens.

image

Fig. 2 Use of the dermoscope in (a) a benign melanocytic naevus, (b) a malignant melanoma, (c) a seborrhoeic wart.

Comparison of the macroscopic (i) and dermoscopic (ii) appearances in each case.

Dermoscopy allows an opinion to be made about the nature and malignant potential of the lesion.

Microbiology samples

Swabs for bacterial and viral culture should be sampled from areas showing pus or exudation. Scrapings for fungal microscopy and culture are obtained by the following techniques:

image The active scaly edge of an eruption is sampled using a disposable scalpel blade held vertically to the skin.

image Nail samples are taken from the distal portion or from debris beneath the nail using clippers or a scalpel.

image Hair sampling requires plucking of hairs as the hair root is often infected (a scalp scraping is also worthwhile).

Samples are taken onto a small sheet of black paper or a microscope slide (Fig. 3). Direct microscopy of scrapings mounted in 20% potassium hydroxide solution will show hyphae (Fig. 4).

image

Fig. 3 Take a scraping from the edge of an area of suspected fungal infection by using a disposable scalpel blade.

image

Fig. 4 Microscopy of skin scrapings showing fungal hyphae.

Demonstrating the acarus of scabies

Dermatologists sometimes need to demonstrate the mite to themselves or their patients (p. 62). This can be achieved by:

image removing the acarus using a small needle (the end of the burrow with the mite in can be difficult to see) and mounting it on a microscope slide

image visualizing the acarus by dermo-scopy: it appears as a dark triangle

image taking a superficial scalpel scraping, which is examined by microscopy.

Wood’s light examination

Wood’s light is a hand-held ultraviolet A (UVA) source that can be shone on the skin in a darkened room to diagnose certain skin diseases that show particular patterns of fluorescence in UV radiation. It is used especially for:

image determining the extent of vitiligo

image showing hypopigmented macules in tuberous sclerosis

  Page 22 

image diagnosing bacterial infections such as erythrasma (p. 50)

image diagnosing tinea capitis due to Microspora species.

Dermographism

Stroking the skin in patients with symptomatic dermographism will induce whealing (p. 76). Cold-induced urticaria can be provoked by the application of an ice cube to the skin. Rubbing a lesion of urticaria pigmentosa will produce a localized wheal (p. 116).

Doppler studies

The measurement of the ankle/brachial blood pressure index (ABPI) is essential in the management of patients with leg ulcers (p. 73). The ABPI must be >0.8 for compression therapy.

Therapeutic procedures

Dermatologists use some non-surgical techniques in their clinical work. Surgical methods and cryotherapy are dealt with elsewhere (p. 111).

Intralesional steroid injection

The injection of steroid into the skin is useful in the management of several diseases, including:

image alopecia areata

image keloid or hypertrophic scars

image acne cysts

image granuloma annulare

image hypertrophic lichen planus

image prurigo nodularis

image nail psoriasis.

Triamcinolone acetonide (10 mg/mL) is normally used in an insulin syringe, which has an integral needle. An injection of 0.1–1.0 mL of the solution is given into the mid or deep dermis (Fig. 5). The main side-effects are skin atrophy, hypopigmentation and telangiectasia. Occasionally, injection of other substances into the skin is used, e.g. bleomycin for viral warts (p. 53).

image

Fig. 5 Intralesional injection of steroid into a hypertrophic scar.

Paring of skin

The paring down of hyperkeratotic areas on the hands or feet using a disposable scalpel often helps in:

image diagnosis, as it can reveal the underlying lesion, e.g. the punctate thrombosed capillaries of a viral wart or a small haematoma within the epidermis (such as that produced by the friction of shoes on the heel)

image therapy, e.g. for callosities under the metatarsals, by reducing the pressure that results from the callus.

On the feet, callosities often develop as a result of the interaction of external forces and an abnormal anatomy of the foot. The advice of a chiropodist or podiatrist will usually be helpful.

Use of caustics

Xanthelasma around the eyes (p. 84) can be treated by the careful application of the caustic trichloroacetic acid (30–50%) solution on an almost dry cotton applicator. Great care is needed to protect the eyes. The treatment should be carried out only by those experienced in the procedure. The xanthelasma turns white with ‘frosting’ within seconds of application of the acid, and subsequently the treated skin peels off over a period of days.

Procedures in the skin clinic

image Dermoscopy is useful in deciding whether or not a pigmented lesion might be a malignant melanoma.

image Skin scrapings for mycology should be taken from the edge of a suspect area using a disposable scalpel blade onto a piece of black paper.

image Wood’s light can show the extent of vitiligo or diagnose erythrasma or tinea capitis.

image Intralesional triamcinolone is a useful treatment for alopecia areata, keloid, acne cysts and other diseases. Skin atrophy is a potential side-effect.

image Paring of skin can reveal the underlying condition, e.g. a viral wart, or be a treatment for callosity.

image Application of caustic: trichloroacetic acid is used with care in the treatment of xanthelasma.

Web resources

http://www.dermoscopy.org/

http://www.skinstreet.net/intralesional_therapy.html